HepatocarcinomaVictor Camarão PôrtoAcadêmico do 8º semestre
Epidemiologia90% das neoplasias malignas primárias Incidência entre 500 mil a 1 milhão casos/ano;3-5/1000 habitantes – EUA;100/1000 habitantes – África e Ásia;5º tumor maligno mais frequente entre homens e 9º entre mulheres;70-90% dos CHC estão associados à cirrose (macronodular);20-40% das cirroses evoluem para CHC.
EtiologiaInfecção crônica pelos vírus B (50%) e C (25%);Intoxicação por aflatoxinas;Uso abusivo e crônico de etanol;Doenças metabólicas hereditárias (hemocromatose);Cirrose hepática.
AlcoolismoAumento da produção de absorção de substâncias cancerígenas;Aumento da solubilidade e absorção de toxinas;Indução do sistema P450;Ação direta sobre o DNA;Indutor de imunodepressão;Deficiências nutricionais (retinol, piridoxina e vitamina E);Causador de cirrose.
AflatoxinasPotentes carcinogênicos;Aguda – necrose hepática aguda;Crônica – tumor;Mais tóxica – B1;Produzida pelo Aspergilusflavus e parasiticus;Induz mutação no gene p53 (supressor);15g/kg de alimento (ratos).Tolerada até o nível de 20 ppb (alimentos) e 0,5 ppb (leite).
HemocromatoseMais comum doença metabólica/genética;Acúmulo de ferro no organismo;Sobrecarga de ferro, com fibrose, cirrose e HCH;Risco de HCH – 18,5% (hemocromatose + cirrose).
Quadro ClínicoDor abdominal (75%);Emagrecimento (93%)Anorexia, náuseas;Febre baixa, intermitente (15%);Hepatomegalia (90%);Fígado duro e nodular;Esplenomegalia (20-40%);Ascite (35-60%);Icterícia (32%).
FisiopatologiaLesão surge a partir de um nódulo de regeneração;Evolui com o aparecimento de displasia;Depois as células cancerosas propriamente ditas;Dobra o volume entre 4 e 6 meses (entre 27 e 605 dias).
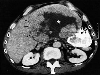
ExamesTGO/TGP, bilirrubinas, GGT, fosfatase alcalina;Alfafetoproteína(70-80%);Desgamacarboxiprotrobina (PIVKA II - 90%);US (Contra: diagnóstico diferencial, metástase e tumor benigno);US com Doppler (avaliar a vascularização);US angiográfica (95% de sensibilidade);TC helicoidal (sensibilidade > 80%);RNM (melhor para detecção de tumores <2cm);Angiografia (pré-operatório);Biópsia (risco de disseminação – 2%).
TratamentoRadical (apenas 30%):Ressecção hepática parcial (apenas 10%);Transplante hepático;Terapias ablativas (ambulatorial):Alcoolização percutânea (necrose e isquemia do tecido tumoral);Radiofrequência (termoablação por ondas eletromagnéticas).
Esteatose Hepática Não-AlcoólicaEsteatose hepática à cirrose em pacientes sem história de alcoolismo;Forma severa: esteato-hepatite não-alcoólica (NASH):Doença crônica hepática (aumento);Caracterizada:Aumento do CHC;Inflamações dispersas;Fibrose perissinusoidal;Corpos de Mallory (inclusão eosinofílica)
NASH + CHCPrincipal causa de cirrose de causa desconhecida no mundo;Fisiopatologia é incerta;Estudos demonstraram maior frequência acima dos 60 anos (média = 63 anos);Em 1 estudo:57% tinham DM insulino-dependente;28,5% tinham dislipidemia.

Hepatocarcinoma

  • 1.
  • 2.
    Epidemiologia90% das neoplasiasmalignas primárias Incidência entre 500 mil a 1 milhão casos/ano;3-5/1000 habitantes – EUA;100/1000 habitantes – África e Ásia;5º tumor maligno mais frequente entre homens e 9º entre mulheres;70-90% dos CHC estão associados à cirrose (macronodular);20-40% das cirroses evoluem para CHC.
  • 3.
    EtiologiaInfecção crônica pelosvírus B (50%) e C (25%);Intoxicação por aflatoxinas;Uso abusivo e crônico de etanol;Doenças metabólicas hereditárias (hemocromatose);Cirrose hepática.
  • 4.
    AlcoolismoAumento da produçãode absorção de substâncias cancerígenas;Aumento da solubilidade e absorção de toxinas;Indução do sistema P450;Ação direta sobre o DNA;Indutor de imunodepressão;Deficiências nutricionais (retinol, piridoxina e vitamina E);Causador de cirrose.
  • 5.
    AflatoxinasPotentes carcinogênicos;Aguda –necrose hepática aguda;Crônica – tumor;Mais tóxica – B1;Produzida pelo Aspergilusflavus e parasiticus;Induz mutação no gene p53 (supressor);15g/kg de alimento (ratos).Tolerada até o nível de 20 ppb (alimentos) e 0,5 ppb (leite).
  • 6.
    HemocromatoseMais comum doençametabólica/genética;Acúmulo de ferro no organismo;Sobrecarga de ferro, com fibrose, cirrose e HCH;Risco de HCH – 18,5% (hemocromatose + cirrose).
  • 7.
    Quadro ClínicoDor abdominal(75%);Emagrecimento (93%)Anorexia, náuseas;Febre baixa, intermitente (15%);Hepatomegalia (90%);Fígado duro e nodular;Esplenomegalia (20-40%);Ascite (35-60%);Icterícia (32%).
  • 8.
    FisiopatologiaLesão surge apartir de um nódulo de regeneração;Evolui com o aparecimento de displasia;Depois as células cancerosas propriamente ditas;Dobra o volume entre 4 e 6 meses (entre 27 e 605 dias).
  • 9.
    ExamesTGO/TGP, bilirrubinas, GGT,fosfatase alcalina;Alfafetoproteína(70-80%);Desgamacarboxiprotrobina (PIVKA II - 90%);US (Contra: diagnóstico diferencial, metástase e tumor benigno);US com Doppler (avaliar a vascularização);US angiográfica (95% de sensibilidade);TC helicoidal (sensibilidade > 80%);RNM (melhor para detecção de tumores <2cm);Angiografia (pré-operatório);Biópsia (risco de disseminação – 2%).
  • 10.
    TratamentoRadical (apenas 30%):Ressecçãohepática parcial (apenas 10%);Transplante hepático;Terapias ablativas (ambulatorial):Alcoolização percutânea (necrose e isquemia do tecido tumoral);Radiofrequência (termoablação por ondas eletromagnéticas).
  • 14.
    Esteatose Hepática Não-AlcoólicaEsteatosehepática à cirrose em pacientes sem história de alcoolismo;Forma severa: esteato-hepatite não-alcoólica (NASH):Doença crônica hepática (aumento);Caracterizada:Aumento do CHC;Inflamações dispersas;Fibrose perissinusoidal;Corpos de Mallory (inclusão eosinofílica)
  • 15.
    NASH + CHCPrincipalcausa de cirrose de causa desconhecida no mundo;Fisiopatologia é incerta;Estudos demonstraram maior frequência acima dos 60 anos (média = 63 anos);Em 1 estudo:57% tinham DM insulino-dependente;28,5% tinham dislipidemia.