ENDOSCOPIA TERAPÊUTICA
DR. VICTOR ANDRADE
Faculdade de Medicina Nova Esperança
Cirurgia Geral - Universidade Federal da Paraíba (UFPB)
Endoscopia - Faculdade de Medicina do ABC/ Hospital Estadual Mario
Covas (FMABC/HEMC)
vaendoscopia@gmail.com
(83) 99813-3333
Tópicos
• Endoscopia Digestiva Alta
• Endoscopia Digestiva Baixa - Colonoscopia
• Endoscopia Hepatobiliopancreática - CPRE
• Endoscopia Bariátrica
• Ecoendoscopia
• Endoscopia Respiratória
HISTÓRICO
Ninguém finge se chamar endoscopista se não tiver conhecimento
das fontes da origem de sua especialidade e se ele não alimentou
sua consciência com os triunfos e fracassos de quem o precedeu.
HISTÓRICO
1806 - Philipp Bozzini, Obstetra Frankfurt
HISTÓRICO
1867 - Adolf Kussmaul, Pai da endoscopia.
- Engolidores de espada
HISTÓRICO
1928 - Schindler iniciou o projeto de um endoscópio flexível.
HISTÓRICO
1957- Basil, Primeiro fibroscópio.
TIPOS DE APARELHOS
• Gastroscópio - EDA
TIPOS DE APARELHOS
• Colonoscópio - EDB
TIPOS DE APARELHOS
• Duodenoscópio - CPRE
TIPOS DE APARELHOS
• Duplo Canal - Bariátrica
TIPOS DE APARELHOS
• Ecoendoscópio
TIPOS DE APARELHOS
• Broncoscopia
ENDOSCOPIA TERAPÊUTICA
Endoscopia terapêutica é o ramo da endoscopia digestiva que
realiza o tratamento endoscópico de doenças do tubo digestivo.
São realizados tratamentos como hemostasia de lesões sangrantes
do tubo digestivo, dilatação de estenoses, ressecção de tumores
precoces e desobstrução da via biliar.
Procedimentos para conforto de pacientes graves, como a
gastrostomia endoscópica e a passagem de próteses em tumores
avançados.
ENDOSCOPIA TERAPÊUTICA
Endoscopia digestiva alta
- Hemorragia digestiva Alta
- Corpo Estranho
- Gastrostomia Endoscópica
- Proteses Esofágicas
HEMORRAGIA DIGESTIVA
ALTA
• Emergência médica
• Esôfago 2ª porção duodenal (papila de Vater)
• Altas taxas de hospitalização / morbimortalidade / custos
• Idosos
• Comorbidades
• AINE`s / AAS
• Antiplaquetários (clopidogrel)
Maior chance
de HDA
Maior
mortalidade
HEMORRAGIA DIGESTIVA
ALTA
HDA
• Europa e E.U.A. — Úlcera péptica
• Brasil — Ruptura de varizes esofagogástricas
Etiologia Percentual (%)
Varizes esofagogástricas 51,25
Úlcera duodenal 23,5
Úlcera gástrica 11,75
HD baixa e outras 13,5
Fonte: Averbach M, Safatle-Ribeiro AV, Ferrari Jr AP, et al. Endoscopia Digestiva:
Diagnóstico e Tratamento. Livro da SOBED 2013;65(2):576.
Etiologia
HDA Não Varicosa
Úlcera péptica
Fonte: Serviço de Endoscopia Digestiva
Hospital Estadual Mario Covas
Úlcera prépilórica
Etiologia
HDA Não Varicosa
Úlcera péptica
Fonte: Averbach M, Safatle-Ribeiro AV, Ferrari Jr AP, et al. Endoscopia Digestiva:
Diagnóstico e Tratamento. Livro da SOBED 2013;65(2):576.
Etiologia
HDA Varicosa
Variz Esofágica
Fonte: Acervo pessoal Dr. Victor Andrade
Etiologia
HDA Varicosa
Variz Esofágica
Fonte: Averbach M, Safatle-Ribeiro AV, Ferrari Jr AP, et al. Endoscopia Digestiva:
Diagnóstico e Tratamento. Livro da SOBED 2013;65(2):576.
TRATAMENTO:
- Endoscópico:
- Ligadura elástica:
http://www.hepcentro.com.br
TRATAMENTO:
- Endoscópico:
- Ligadura elástica:
COLAIACOVO, Wagner; ALMODOVA, EmilianoC; OLIVEIRA, Alessandrino T. Endoscopia Digestiva Diagnóstico e Tratamento/ SOBED
CORPO ESTRANHO
• Emergência :
• Obstrução de esôfago (risco de aspiração)
• Baterias no esôfago
• Objetos pontiagudos no esôfago
CORPO ESTRANHO
Urgência (dentro das primeiras 24h) :
• Corpos estranhos em esôfago não pontiagudos
• Impactação alimentar sem obstrução total
• Objetos pontiagudos em estômago e duodeno
• Objetos maiores que 6 cm de comprimento em duodeno
• Imãs ao alcance endoscópico
CORPO ESTRANHO
• Não urgente :
• Moedas no estômago em pacientes assintomáticos
• Objetos rombos maiores de 25 mm no estômago
• Baterias no estômago podem ser observadas até 48 horas
(maiores de 20mm dificilmente irão migrar e necessitam ser
retiradas)
• Objetos rombos que não continuam no estômago após 4
semanas
• Objetos rombos impactados em duodeno por mais de 1
semana.
CORPO ESTRANHO
Fonte: Acervo pessoal Dr. Victor Andrade
CORPO ESTRANHO
Fonte: Acervo pessoal Dr. Victor Andrade
CORPO ESTRANHO
Fonte: Acervo pessoal Dr. Victor Andrade
CORPO ESTRANHO
Fonte: Acervo pessoal Dr. Victor Andrade
COLONOSCOPIA
Fonte: Acervo pessoal Dr. Victor Andrade
COLONOSCOPIA
Fonte: Acervo pessoal Dr. Victor Andrade
Colangiopancreatografia Retrógrada
Endoscópica
Colangiopancreatografia Retrógrada Endoscópica – CPRE
TÉCNICA BÁSICA
Colangiopancreatografia Retrógrada Endoscópica – CPRE
TÉCNICA BÁSICA
Colangiopancreatografia Retrógrada Endoscópica – CPRE
TÉCNICA BÁSICA
Fonte: Acervo pessoal Dr. Victor Andrade
Colangiopancreatografia Retrógrada Endoscópica – CPRE
TÉCNICA BÁSICA
Fonte: Acervo pessoal Dr. Victor Andrade
Fonte: Acervo pessoal Dr. Victor Andrade
Copyright © 2016 Dr. Victor Andrade. E-mail: vaendoscopia@gmail.com
Thiago Ferreira de Souza; Victor Emanoel Gregório de Andrade; Vinícius Guerra Garcia; Mariana Souza
Varella Frazão; Tomazo Antônio Prince Franzini; Lucas Menezes Marques; Eduardo Grecco
BACKGROUND: Bronchobiliary fistula
(BBF) is a rare condition in which there is
communication between the biliary
system and bronchial tree. The etiology
most commonly found is secondary to
liver or subphrenic abscesses, infected
by echinococcus or amoeba. Can occur
secondary to transdiaphragmatic
migration of the biliary stent, placed on
biliary tract for the treatment of
obstructive jaundice, and also to liver
mucormycosis. BBF was observed as
postoperative complications of liver
resection for cholangiocarcinoma. It has
also been described arising from hepatic
hydatid migration into the lung through
the diaphragm. The management of this
condition should be conducted by a
multidisciplinary team and involves less
invasive alternatives such as endoscopic
therapy and transparietohepatic
drainage.
Endoscopic treatment of bronchobiliary fistula after
liver metastasis resection: Case report
OBJECTIVE: This study aims to report a
case of a patient who developed a
bronchobiliary fistula after surgery for
liver metastasis resection of advanced
colon cancer.
CASE REPORT: Patient 53 year-old, female, diagnosed
with advanced sigmoid colon cancer with liver metastasis
and was submited a rectosigmoidectomy associated with
hepatic trisegmentectomy. In the immediate postoperative
period, the patient developed a high-output biliary fistula
associated with choleperitoneum and subsequent
formation of subphrenic abscess drained externally.
Referred to our service for performing endoscopic
retrograde cholangiopancreatography (ERCP) by default
of obstructive jaundice and bilioptysis in moderate
quantity. The diagnosis of BBF was showing the
cholangiography and then confirmed by computed
tomography of the chest and abdomen. The endoscopic
treatment consisted of drainage of the bile duct; the
decompression was realized through wide papillotomy and
passage of a plastic biliary stent.
CONCLUSION: ERCP is a minimally invasive procedure
and choice in the treatment of bronchobiliary fistula with a
success rate close to 60%. The literature demonstrates
resolution of the fistula, with conservative treatments,
around five weeks. The patient progressed satisfactorily
with bilioptysis resolution and decrease the bilious flow
through the external abdominal drainage. A bronchoscopy
was performed after 15 days and did not show the
presence of bile secretion in the bronchial tree. In the
follow up of outpatient, didn't occurs any sign of
recurrence of the bronchobiliary fistula.
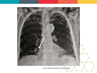
Fonte: Acervo pessoal Dr. Victor Andrade
Fonte: Acervo pessoal Dr. Victor Andrade
BRONCOSCOPIA
ENDOSCOPIA BARIÁTRICA
- BALÃO INTRAGÁTRICO
- GASTROPLASTIA SLEEVE ENDOSCÓPICA
ENDOSCOPIA BARIÁTRICA
- BALÃO INTRAGÁTRICO
ENDOSCOPIA BARIÁTRICA
- GASTROPLASTIA SLEEVE ENDOSCÓPICA
ENDOSCOPIA BARIÁTRICA
ENDOSCOPIA TERAPÊUTICA
A Endoscopia digestiva é uma área em constante evolução.
Novas técnicas e procedimentos são incorporados
frequentemente, melhorando o atendimento aos pacientes.
Com isso, os profissionais que atuam nesta área precisam
estar sempre atualizados sobre os assuntos e
procedimentos mais recentes.
OBRIGADO

Aula endoscopia - Atualidade

  • 1.
    ENDOSCOPIA TERAPÊUTICA DR. VICTORANDRADE Faculdade de Medicina Nova Esperança Cirurgia Geral - Universidade Federal da Paraíba (UFPB) Endoscopia - Faculdade de Medicina do ABC/ Hospital Estadual Mario Covas (FMABC/HEMC) vaendoscopia@gmail.com (83) 99813-3333
  • 2.
    Tópicos • Endoscopia DigestivaAlta • Endoscopia Digestiva Baixa - Colonoscopia • Endoscopia Hepatobiliopancreática - CPRE • Endoscopia Bariátrica • Ecoendoscopia • Endoscopia Respiratória
  • 3.
    HISTÓRICO Ninguém finge sechamar endoscopista se não tiver conhecimento das fontes da origem de sua especialidade e se ele não alimentou sua consciência com os triunfos e fracassos de quem o precedeu.
  • 4.
    HISTÓRICO 1806 - PhilippBozzini, Obstetra Frankfurt
  • 5.
    HISTÓRICO 1867 - AdolfKussmaul, Pai da endoscopia. - Engolidores de espada
  • 6.
    HISTÓRICO 1928 - Schindleriniciou o projeto de um endoscópio flexível.
  • 7.
  • 8.
    TIPOS DE APARELHOS •Gastroscópio - EDA
  • 9.
    TIPOS DE APARELHOS •Colonoscópio - EDB
  • 10.
    TIPOS DE APARELHOS •Duodenoscópio - CPRE
  • 11.
    TIPOS DE APARELHOS •Duplo Canal - Bariátrica
  • 12.
    TIPOS DE APARELHOS •Ecoendoscópio
  • 13.
  • 14.
    ENDOSCOPIA TERAPÊUTICA Endoscopia terapêuticaé o ramo da endoscopia digestiva que realiza o tratamento endoscópico de doenças do tubo digestivo. São realizados tratamentos como hemostasia de lesões sangrantes do tubo digestivo, dilatação de estenoses, ressecção de tumores precoces e desobstrução da via biliar. Procedimentos para conforto de pacientes graves, como a gastrostomia endoscópica e a passagem de próteses em tumores avançados.
  • 15.
    ENDOSCOPIA TERAPÊUTICA Endoscopia digestivaalta - Hemorragia digestiva Alta - Corpo Estranho - Gastrostomia Endoscópica - Proteses Esofágicas
  • 16.
    HEMORRAGIA DIGESTIVA ALTA • Emergênciamédica • Esôfago 2ª porção duodenal (papila de Vater) • Altas taxas de hospitalização / morbimortalidade / custos • Idosos • Comorbidades • AINE`s / AAS • Antiplaquetários (clopidogrel) Maior chance de HDA Maior mortalidade
  • 17.
    HEMORRAGIA DIGESTIVA ALTA HDA • Europae E.U.A. — Úlcera péptica • Brasil — Ruptura de varizes esofagogástricas Etiologia Percentual (%) Varizes esofagogástricas 51,25 Úlcera duodenal 23,5 Úlcera gástrica 11,75 HD baixa e outras 13,5 Fonte: Averbach M, Safatle-Ribeiro AV, Ferrari Jr AP, et al. Endoscopia Digestiva: Diagnóstico e Tratamento. Livro da SOBED 2013;65(2):576.
  • 18.
    Etiologia HDA Não Varicosa Úlcerapéptica Fonte: Serviço de Endoscopia Digestiva Hospital Estadual Mario Covas Úlcera prépilórica
  • 19.
    Etiologia HDA Não Varicosa Úlcerapéptica Fonte: Averbach M, Safatle-Ribeiro AV, Ferrari Jr AP, et al. Endoscopia Digestiva: Diagnóstico e Tratamento. Livro da SOBED 2013;65(2):576.
  • 20.
    Etiologia HDA Varicosa Variz Esofágica Fonte:Acervo pessoal Dr. Victor Andrade
  • 21.
    Etiologia HDA Varicosa Variz Esofágica Fonte:Averbach M, Safatle-Ribeiro AV, Ferrari Jr AP, et al. Endoscopia Digestiva: Diagnóstico e Tratamento. Livro da SOBED 2013;65(2):576.
  • 22.
    TRATAMENTO: - Endoscópico: - Ligaduraelástica: http://www.hepcentro.com.br
  • 23.
    TRATAMENTO: - Endoscópico: - Ligaduraelástica: COLAIACOVO, Wagner; ALMODOVA, EmilianoC; OLIVEIRA, Alessandrino T. Endoscopia Digestiva Diagnóstico e Tratamento/ SOBED
  • 24.
    CORPO ESTRANHO • Emergência: • Obstrução de esôfago (risco de aspiração) • Baterias no esôfago • Objetos pontiagudos no esôfago
  • 25.
    CORPO ESTRANHO Urgência (dentrodas primeiras 24h) : • Corpos estranhos em esôfago não pontiagudos • Impactação alimentar sem obstrução total • Objetos pontiagudos em estômago e duodeno • Objetos maiores que 6 cm de comprimento em duodeno • Imãs ao alcance endoscópico
  • 26.
    CORPO ESTRANHO • Nãourgente : • Moedas no estômago em pacientes assintomáticos • Objetos rombos maiores de 25 mm no estômago • Baterias no estômago podem ser observadas até 48 horas (maiores de 20mm dificilmente irão migrar e necessitam ser retiradas) • Objetos rombos que não continuam no estômago após 4 semanas • Objetos rombos impactados em duodeno por mais de 1 semana.
  • 27.
    CORPO ESTRANHO Fonte: Acervopessoal Dr. Victor Andrade
  • 28.
    CORPO ESTRANHO Fonte: Acervopessoal Dr. Victor Andrade
  • 29.
    CORPO ESTRANHO Fonte: Acervopessoal Dr. Victor Andrade
  • 30.
    CORPO ESTRANHO Fonte: Acervopessoal Dr. Victor Andrade
  • 31.
  • 32.
  • 33.
  • 34.
  • 35.
  • 36.
    Colangiopancreatografia Retrógrada Endoscópica– CPRE TÉCNICA BÁSICA Fonte: Acervo pessoal Dr. Victor Andrade
  • 37.
    Colangiopancreatografia Retrógrada Endoscópica– CPRE TÉCNICA BÁSICA Fonte: Acervo pessoal Dr. Victor Andrade
  • 39.
    Fonte: Acervo pessoalDr. Victor Andrade
  • 40.
    Copyright © 2016Dr. Victor Andrade. E-mail: vaendoscopia@gmail.com Thiago Ferreira de Souza; Victor Emanoel Gregório de Andrade; Vinícius Guerra Garcia; Mariana Souza Varella Frazão; Tomazo Antônio Prince Franzini; Lucas Menezes Marques; Eduardo Grecco BACKGROUND: Bronchobiliary fistula (BBF) is a rare condition in which there is communication between the biliary system and bronchial tree. The etiology most commonly found is secondary to liver or subphrenic abscesses, infected by echinococcus or amoeba. Can occur secondary to transdiaphragmatic migration of the biliary stent, placed on biliary tract for the treatment of obstructive jaundice, and also to liver mucormycosis. BBF was observed as postoperative complications of liver resection for cholangiocarcinoma. It has also been described arising from hepatic hydatid migration into the lung through the diaphragm. The management of this condition should be conducted by a multidisciplinary team and involves less invasive alternatives such as endoscopic therapy and transparietohepatic drainage. Endoscopic treatment of bronchobiliary fistula after liver metastasis resection: Case report OBJECTIVE: This study aims to report a case of a patient who developed a bronchobiliary fistula after surgery for liver metastasis resection of advanced colon cancer. CASE REPORT: Patient 53 year-old, female, diagnosed with advanced sigmoid colon cancer with liver metastasis and was submited a rectosigmoidectomy associated with hepatic trisegmentectomy. In the immediate postoperative period, the patient developed a high-output biliary fistula associated with choleperitoneum and subsequent formation of subphrenic abscess drained externally. Referred to our service for performing endoscopic retrograde cholangiopancreatography (ERCP) by default of obstructive jaundice and bilioptysis in moderate quantity. The diagnosis of BBF was showing the cholangiography and then confirmed by computed tomography of the chest and abdomen. The endoscopic treatment consisted of drainage of the bile duct; the decompression was realized through wide papillotomy and passage of a plastic biliary stent. CONCLUSION: ERCP is a minimally invasive procedure and choice in the treatment of bronchobiliary fistula with a success rate close to 60%. The literature demonstrates resolution of the fistula, with conservative treatments, around five weeks. The patient progressed satisfactorily with bilioptysis resolution and decrease the bilious flow through the external abdominal drainage. A bronchoscopy was performed after 15 days and did not show the presence of bile secretion in the bronchial tree. In the follow up of outpatient, didn't occurs any sign of recurrence of the bronchobiliary fistula.
  • 41.
    Fonte: Acervo pessoalDr. Victor Andrade
  • 42.
    Fonte: Acervo pessoalDr. Victor Andrade
  • 43.
  • 44.
    ENDOSCOPIA BARIÁTRICA - BALÃOINTRAGÁTRICO - GASTROPLASTIA SLEEVE ENDOSCÓPICA
  • 45.
  • 46.
  • 47.
  • 48.
    ENDOSCOPIA TERAPÊUTICA A Endoscopiadigestiva é uma área em constante evolução. Novas técnicas e procedimentos são incorporados frequentemente, melhorando o atendimento aos pacientes. Com isso, os profissionais que atuam nesta área precisam estar sempre atualizados sobre os assuntos e procedimentos mais recentes.
  • 49.

Notas do Editor

  • #22 importancia da intubaçao orotraqueal - sheila
  • #25 tem que ser realiza entre 2 e 4h
  • #30 liliane
  • #31 liliane
  • #32 liliane
  • #33 liliane
  • #34 Melhor Exame - através desse procedimento, conseguimos acessar a via biliar do paciente e tratar diversas patologias. cálculos, tumores, fístulas pós-cirúrgicas e estenoses.
  • #35 Melhor Exame - através desse procedimento, conseguimos acessar a via biliar do paciente e tratar diversas patologias. cálculos, tumores, fístulas pós-cirúrgicas e estenoses.
  • #36 Melhor Exame - através desse procedimento, conseguimos acessar a via biliar do paciente e tratar diversas patologias. cálculos, tumores, fístulas pós-cirúrgicas e estenoses.
  • #37 Melhor Exame - através desse procedimento, conseguimos acessar a via biliar do paciente e tratar diversas patologias. cálculos, tumores, fístulas pós-cirúrgicas e estenoses.
  • #38 Melhor Exame - através desse procedimento, conseguimos acessar a via biliar do paciente e tratar diversas patologias. cálculos, tumores, fístulas pós-cirúrgicas e estenoses.
  • #39 Melhor Exame - através desse procedimento, conseguimos acessar a via biliar do paciente e tratar diversas patologias. cálculos, tumores, fístulas pós-cirúrgicas e estenoses.
  • #40 Melhor Exame - através desse procedimento, conseguimos acessar a via biliar do paciente e tratar diversas patologias. cálculos, tumores, fístulas pós-cirúrgicas e estenoses.
  • #41 pos op de hepatectomia
  • #44 liliane
  • #45 liliane
  • #46 liliane
  • #47 endoscopia chegou ao ápice - conseguir dar pontos
  • #48 liliane