TREINAMENTO EM
ULTRASSONOGRAFIA
VETERINÁRIA
Dra. Cibele Figueira Carvalho
DVM; CBRV diplomate; MSc in Veterinary Medicine;
PhD and Post doctorate in Veterinary Diagnostic Imaging
CURITIBA, PR - 2016
ADRENAIS
*Localização
Adrenal: 12
(BOYD)
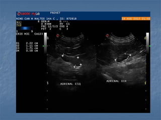
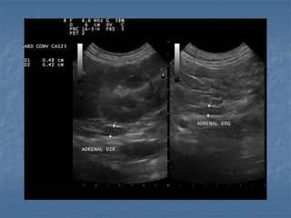
ANATOMIA
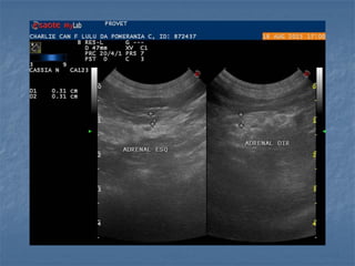
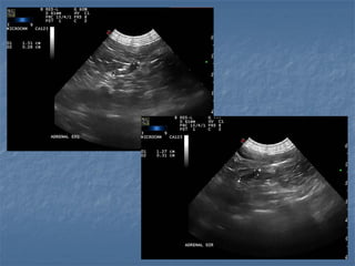
 Em cães
 Formato (parece o formato do cão!):
- Esquerda tem formato de amendoim (alongada)
- Direita tem formato de vírgula
 Ecogenicidade: hipoecoica em relação a gordura
adjacente, com cortical e medular distintas
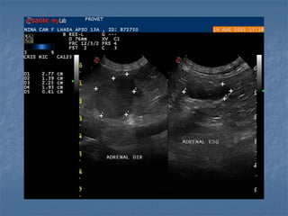
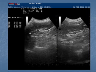
 Dimensões (cães):
- 2,0 a 3,0cm x 0,5cm
- Idosos até 0,74cm
- máximo diâmetro no
pólo caudal (melhor
sensibilidade e
especificidade)
Barthez et al.,1998
 Em gatos:
 glândula é mais curta, ovoide ou cilíndrica
(“grape tomatoes”)
 hipoecoica (cortical e medular distinguíveis)
 Podem ocorrer mineralizações em gatos
idosos (associada a hipertireoidismo)
 Estresse pode causar “white coat effect”
 Gatos nefropatas crônicos apresentam
adrenais em formato de bola de golf!
 Dimensões (gatos):
1,04 ± 0,18cm de comprimento
0,36 ± 0,07cm altura margem caudal
(Combes et al., 2013)
 Imagem é aparelho
dependente!
 Necessário alta
resolução para
observar detalhes
Técnica de varredura
Técnica de varredura
Plano de imagem - long
O que é importante relatar?
 Formato
 Contornos, superfície e margens
 Distinção córtico-medular
 Ecogenicidade
 Tamanho e simetria
Alterações sonográficas
 Hipoadrenocorticismo
 Hiperadrenocorticismo ou Sindrome de
Cushing
 “Incidentalomas”
 Hipoadrenocorticismo ou Doença de Addison
- diagnóstico não pode ser baseado somente nos
achados de imagem, porém estudos
demonstram redução evidente nas medidas das
adrenais nos animais acometidos em relação aos
normais;
- espessura de 2,2 – 3,0mm para adrenal
esquerda e 2,2 – 3,4mm para a adrenal direita;
- comprimento de 10 a 19,7mm para adrenal
esquerda e 9,5 a 18,8mm para a direita;
- Causas: Iatrogênico, Atrofia bilateral, Neoplasia
Hoerauf & Reusch, 1999
 Hiperadrenocorticismo
- Pode ser de origem iatrogênica, hipofisária ou
adrenal dependente
 Hiperadrenocorticismo
- iatrogênico: administração exógena de
esteroides, corticoesteroides
- pode ocorrer atrofia das glândulas e até
mesmo não serem visibilizadas!
 Hiperadrenocorticismo
 Hipofisário dependente: há um aumento
bilateral (80% dos casos!), pode ser
simétrico ou assimétrico
* Medida normal de espessura menor que 0,74cm
cães adultos
Hiperplasia adrenal bilateral
Hiperplasia adrenal bilateral
Hiperplasia adrenal unilateral
 Gatos hipertireoideos podem apresentar
hiperplasia bilateral adrenal e com maior
número de pontos hiperecoicos (mineralização)
dispersos no parênquima
Combes et al., 2012
 Hiperadrenocorticismo
- Neoplásico:
* massa unilateral, ecotextura heterogênea e
atrofia contra lateral
* pode haver presença de massas adrenais não
funcionantes e ausência de atrofia contra-lateral
* pode haver massa adrenal bilateral
* pode haver pouca atrofia contra-lateral
* pode haver presença de trombos metastáticos
na V.C.C.
Adenoma unilateral
Feocromocitoma
Mielolipoma
Incidentalomas
 Follow up em 3-4 semanas (conforme
necessário)
 Clinicamente: procurar presença de sinais
vago simpáticos; hipertensão (+) ou (-);
histórico de problema anestésico; massas
invasivas em veias frenicas e veia cava
caudal
 Diagnóstico diferencial: trombose frenica!
 Invasão vascular
(diferencial: massa neoplásica x trombo hemático)
VCC
Invasão vascular e trombos associados a massa
tumoral é mais comum em cães (Briscoe et al, 2009).
Obstrução venosa pode ocasionar Sindrome de Budd-
Chiari (Rose et al. 2007)
Hiperaldosteronismo felino
Doença de Conn
 Pacientes geriátricos, sem predisposição
sexual ou racial
 Sinais clínicos: disfagia, ventroflexão
cervical, apatia e depressão (polimiopatia
hipocalemica)
 Sindrome mais frequente em gatos com
tumor adrenal (adenoma ou
adenocarcinoma cortical)
Daniel et al., 2015
Hiperaldosteronismo felino
Tumor da cortical adrenal: massa adrenal,
calcificação, ecogenicidade variável
Ref.: ROSSMEISL et al., 2000
Journal of American Animal Hospital Association
 Considerar animais diabéticos e hipertensos
 Acromegalia
 Adenocarcinoma diabético
 Tumor adrenal em gatos = 0,2% do total das
neoplasias felinas!
 Aspecto normal não exclui o diagnóstico
(infiltração tumoral maligna ou benigna em
processo inicial)
Diagnóstico diferencial das
massas adrenais
 Não invasivas:
- Adenoma hiperplásico
- Adenocarcinomas em estágios iniciais
- Mielolipomas em estágios iniciais
- Feocromocitomas em estágios iniciais
 Invasivas:
- feocromocitomas, adenocarcinomas
- Trombose frênica
Considerações finais
 A avaliação destes órgãos deve ser
considerada importante apesar das
dificuldades e limitações de acesso
 Deve-se citar no laudo caso não tenha
sido possível a visibilização das mesmas

Aula adrenais

  • 1.
    TREINAMENTO EM ULTRASSONOGRAFIA VETERINÁRIA Dra. CibeleFigueira Carvalho DVM; CBRV diplomate; MSc in Veterinary Medicine; PhD and Post doctorate in Veterinary Diagnostic Imaging CURITIBA, PR - 2016
  • 2.
  • 3.
  • 4.
     Em cães Formato (parece o formato do cão!): - Esquerda tem formato de amendoim (alongada) - Direita tem formato de vírgula  Ecogenicidade: hipoecoica em relação a gordura adjacente, com cortical e medular distintas
  • 5.
     Dimensões (cães): -2,0 a 3,0cm x 0,5cm - Idosos até 0,74cm - máximo diâmetro no pólo caudal (melhor sensibilidade e especificidade) Barthez et al.,1998
  • 6.
     Em gatos: glândula é mais curta, ovoide ou cilíndrica (“grape tomatoes”)  hipoecoica (cortical e medular distinguíveis)  Podem ocorrer mineralizações em gatos idosos (associada a hipertireoidismo)  Estresse pode causar “white coat effect”  Gatos nefropatas crônicos apresentam adrenais em formato de bola de golf!
  • 7.
     Dimensões (gatos): 1,04± 0,18cm de comprimento 0,36 ± 0,07cm altura margem caudal (Combes et al., 2013)
  • 8.
     Imagem éaparelho dependente!  Necessário alta resolução para observar detalhes
  • 10.
  • 11.
  • 12.
  • 14.
    O que éimportante relatar?  Formato  Contornos, superfície e margens  Distinção córtico-medular  Ecogenicidade  Tamanho e simetria
  • 15.
    Alterações sonográficas  Hipoadrenocorticismo Hiperadrenocorticismo ou Sindrome de Cushing  “Incidentalomas”
  • 16.
     Hipoadrenocorticismo ouDoença de Addison - diagnóstico não pode ser baseado somente nos achados de imagem, porém estudos demonstram redução evidente nas medidas das adrenais nos animais acometidos em relação aos normais; - espessura de 2,2 – 3,0mm para adrenal esquerda e 2,2 – 3,4mm para a adrenal direita; - comprimento de 10 a 19,7mm para adrenal esquerda e 9,5 a 18,8mm para a direita; - Causas: Iatrogênico, Atrofia bilateral, Neoplasia Hoerauf & Reusch, 1999
  • 19.
     Hiperadrenocorticismo - Podeser de origem iatrogênica, hipofisária ou adrenal dependente
  • 20.
     Hiperadrenocorticismo - iatrogênico:administração exógena de esteroides, corticoesteroides - pode ocorrer atrofia das glândulas e até mesmo não serem visibilizadas!
  • 22.
     Hiperadrenocorticismo  Hipofisáriodependente: há um aumento bilateral (80% dos casos!), pode ser simétrico ou assimétrico * Medida normal de espessura menor que 0,74cm cães adultos
  • 23.
  • 24.
  • 25.
  • 27.
     Gatos hipertireoideospodem apresentar hiperplasia bilateral adrenal e com maior número de pontos hiperecoicos (mineralização) dispersos no parênquima Combes et al., 2012
  • 28.
     Hiperadrenocorticismo - Neoplásico: *massa unilateral, ecotextura heterogênea e atrofia contra lateral * pode haver presença de massas adrenais não funcionantes e ausência de atrofia contra-lateral * pode haver massa adrenal bilateral * pode haver pouca atrofia contra-lateral * pode haver presença de trombos metastáticos na V.C.C.
  • 30.
  • 31.
  • 34.
  • 35.
    Incidentalomas  Follow upem 3-4 semanas (conforme necessário)  Clinicamente: procurar presença de sinais vago simpáticos; hipertensão (+) ou (-); histórico de problema anestésico; massas invasivas em veias frenicas e veia cava caudal  Diagnóstico diferencial: trombose frenica!
  • 37.
     Invasão vascular (diferencial:massa neoplásica x trombo hemático)
  • 38.
    VCC Invasão vascular etrombos associados a massa tumoral é mais comum em cães (Briscoe et al, 2009). Obstrução venosa pode ocasionar Sindrome de Budd- Chiari (Rose et al. 2007)
  • 39.
    Hiperaldosteronismo felino Doença deConn  Pacientes geriátricos, sem predisposição sexual ou racial  Sinais clínicos: disfagia, ventroflexão cervical, apatia e depressão (polimiopatia hipocalemica)  Sindrome mais frequente em gatos com tumor adrenal (adenoma ou adenocarcinoma cortical) Daniel et al., 2015
  • 40.
    Hiperaldosteronismo felino Tumor dacortical adrenal: massa adrenal, calcificação, ecogenicidade variável Ref.: ROSSMEISL et al., 2000 Journal of American Animal Hospital Association
  • 41.
     Considerar animaisdiabéticos e hipertensos  Acromegalia  Adenocarcinoma diabético  Tumor adrenal em gatos = 0,2% do total das neoplasias felinas!  Aspecto normal não exclui o diagnóstico (infiltração tumoral maligna ou benigna em processo inicial)
  • 42.
    Diagnóstico diferencial das massasadrenais  Não invasivas: - Adenoma hiperplásico - Adenocarcinomas em estágios iniciais - Mielolipomas em estágios iniciais - Feocromocitomas em estágios iniciais  Invasivas: - feocromocitomas, adenocarcinomas - Trombose frênica
  • 43.
    Considerações finais  Aavaliação destes órgãos deve ser considerada importante apesar das dificuldades e limitações de acesso  Deve-se citar no laudo caso não tenha sido possível a visibilização das mesmas