Plasmocitopatias  Dra. Vaneuza Araújo Moreira Funke Médica do Serviço de Transplante de Medula Óssea Hospital de Clínicas-Universidade Federal do Paraná
OBJETIVOS Reconhecer as principais doenças relacionadas aos plasmócitos quanto aos seguintes aspectos: Epidemiologia Manifestações Clínicas Diagnóstico
DOENÇAS MONOCLONAIS CORRELATAS AOS DISTÚRBIOS DOS PLASMÓCITOS Mieloma múltiplo Formas variantes do mieloma múltiplo Macroglobulinemia de waldeström Amiloidose primária Doenças de cadeia pesada Medeiros, C. R inZago, M.A et al, Hematologia; fundamentos e prática, 2001
Mieloma Múltiplo
É uma proliferação neoplásica de um único clone de plasmócitos, na maioria das vezes produzindo uma imunoglobulina monoclonal Medeiros, C. R in Zago, M.A et al, Hematologia: Fundamentos e Prática, 2001 Definição
Este clone prolifera na medula óssea, e resulta em: destruição extensa do esqueleto, com lesões osteolíticas, osteoporose e fraturas comprometimento da medula óssea normal levando a anemia Medeiros, C. R in Zago, M.A et al, Hematologia: Fundamentos e Prática, 2001 Brian Durie em Mieloma Múltiplo: revisão concisa da doença e opções de tratamento, International Myeloma Foundation Latin America, 2005 Definição
Este clone prolifera na medula óssea, e resulta em: liberação da proteína monoclonal (componente M) no plasma e urina, levando a hiperviscosidade, coagulopatias e insuficiência renal supressão da função imune normal, com hipogamaglobulinemia e maior risco de infecções Definição Medeiros, C. R in Zago, M.A et al, Hematologia: Fundamentos e Prática, 2001 Brian Durie em Mieloma Múltiplo: revisão concisa da doença e opções de tratamento, International Myeloma Foundation Latin America, 2005
Epidemiologia Idade - 65 a 70 anos Sexo m > f Raça negra > branca 1% das doenças malignas 10% das doenças onco-hematológicas Incidência -  3 a 4:100.000 Medeiros, C. R inZago, M.A et al, Hematologia; fundamentos e prática, 2001
Fatores externos Exposição ao benzeno, inseticidas, herbicidas Radiação ionizante Exposição ocupacional a metais pesados (metalurgia, indústria de níquel) Fatores genéticos Medeiros, C. R inZago, M.A et al, Hematologia; fundamentos e prática, 2001 Hoffman Hematology 5th Edition, 2008 Etiologia
Vírus Herpes Virus Tipo 8 (HHV8) Anormalidades cromossômicas (30-50%) t(11,14) 13q-, t (4,14) 17p- Hipodiploidia Etiologia Medeiros, C. R in Zago, M.A et al, Hematologia; fundamentos e prática, 2001 Hoffman Hematology 5th Edition, 2008
Etiologia Substâncias Químicas Radiação ionizante Lesão do DNA “ Stress” Célula  tumoral - Macrófago - Célula Dendrítica - Célula T Vírus
Patogênese Anormalidades genéticas intrínsecas às células do mieloma Interações entre as células do mieloma e o microambiente Kyle, R. ; NEJM; 351: 1860, 2005
INSTABILIDADE  GENÔMICA Tranalocações 14q32 (50%) Del 13 (50%) CÉLULA NORMAL INFECÇÃO? INFLAMAÇÃO? GAMOPATIA MONOCLONAL DE SIGNIFICADO INDETERMINADO ALTERAÇÕES NO MICROAMBIENTE DA MO ANGIOGÊNESE AUMENTADA AUMENTO DA REABSORÇÃO ÓSSEA MIELOMA N-RAS, K-RAS (30%) METILAÇÃO DO p16 TRANSLOCAÇÕES SECUNDÁRIAS Kyle, R. ; NEJM; 351: 1860, 2005 Patogênese
Angiogênese Mieloma Não Ativo Gamopatia Monoclonal de Significado Indeterminado Mieloma Ativo
MANIFESTAÇÕES CLÍNICAS Medeiros, C. R in Zago, M.A et al, Hematologia; fundamentos e prática, 2001 Hoffman Hematology 5th Edition, 2008 <10% Hiperviscosidade 15 – 50% Infecção 20% Insuficiência renal 25% Hipercalcemia 60% Anemia 70 – 90% Doença óssea
Anemia Normocrômica normocítica – substituição da mo normal  pela infiltração de células tumorais e inibição da produção de células vermelhas por citocinas (Fator de necrose tumoral-TNF). Brian Durie em Mieloma Múltiplo: revisão concisa da doença e opções de tratamento, International Myeloma Foundation Latin America, 2005
Hipercalcemia 30-40% dos pacientes Letargia, poliúria, polidipsia, constirpação, náuseas, vômitos Insuficiência renal pré-renal Manifestações clínicas Medeiros, C. R in Zago, M.A et al, Hematologia; fundamentos e prática, 2001 Hoffman Hematology 5th Edition, 2008
Insuficiência renal Dano tubular pela excreção das cadeias leve (proteína de bence jones)  Síndrome de Fanconi: defeito tubular com extravasamento de aminoácidos e fosfatos Deposição glomerular amiloide Manifestações clínicas Medeiros, C. R in Zago, M.A et al, Hematologia; fundamentos e prática, 2001
Insuficiência renal Desidratação Hiperuricemia Hipercalcemia Pielonefrites Drogas: anti-inflamatórios, contrastes intravenosos Manifestações clínicas Medeiros, C. R in Zago, M.A et al, Hematologia; fundamentos e prática, 2001
Insuficiência renal Manifestações clínicas Medeiros, C. R in Zago, M.A et al, Hematologia; fundamentos e prática, 2001 Pressão arterial Impacto na Sobrevida Correlação: massa  tumoral e  quantidade de cadeias leves
HIPERVSICOSIDADE   <10% dos pacientes Mais frequente em mieloma IgA (polímeros) Manifestações: Renais: insuficiência renal  Cerebrais: cefaléia, visão turvo, sintomas neurológicos isquêmicos Medeiros, C. R in Zago, M.A et al, Hematologia; fundamentos e prática, 2001 Hoffman Hematology 5th Edition, 2008
HIPERVISCOSIDADE   Manifestações: Pulmonares: edema pulmonar Isquemia periférica Sangramento Medeiros, C. R in Zago, M.A et al, Hematologia; fundamentos e prática, 2001 Hoffman Hematology 5th Edition, 2008
INFECÇÕES   São comuns e causam óbito Causas: Hipogamaglobulinemia Anormalidades nos linfócitos T, NK e monócitos Iatrogênico (corticosteróides) Microorganismos: 60% gram-negativos entéricos 25% gram-positivos encapsulados Varicella Zoster Virus Medeiros, C. R in Zago, M.A et al, Hematologia; fundamentos e prática, 2001 Hoffman Hematology 5th Edition, 2008
DOENÇA ÓSSE GANGRENA E CRIOGLOBULINEMIA TIPO  I Cirasino, L. ; NEJM; 1582, 1999
Sintomas neurológicos Fraqueza, confusão, fadiga, alterações visuais (hipercalcemia) Cefaléia, sintomas isquêmicos (hiperviscosidade pela paraproteína) Dor radicular, incontinência (compressão medular, plasmacitomas)  síndrome do túnel carpeano (infiltração de nervos periféricos, amiloidose) Medeiros, C. R in Zago, M.A et al, Hematologia; fundamentos e prática, 2001 Hoffman Hematology 5th Edition, 2008
Amiloidose Deposição extra-medular de proteína fibrilar insolúvel. Manifestações:  Síndrome do túnel carpeano Síndrome nefrótico Cardiomiopatia Macroglossia Sangramentos Medeiros, C. R in Zago, M.A et al, Hematologia; fundamentos e prática, 2001 Hoffman Hematology 5th Edition, 2008
AMILOIDOSE
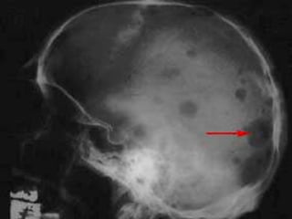
Doença Óssea e Mieloma Múltiplo
Doença óssea 70 – 90% Anemia 60% Hipercalcemia 25% Insuficiência renal 20% Infecção 15 – 50% Hiperviscosidade <10% Medeiros, C. R in Zago, M.A et al, Hematologia; fundamentos e prática, 2001 Hoffman Hematology 5th Edition, 2008
Dor ossea Presente em 2/3 dos pacientes com mieloma: dorso e tórax Agravada pelo movimento. Dor persistente pode indicar fraturas nas vértebras Manifestações clínicas Medeiros, C. R in Zago, M.A et al, Hematologia; fundamentos e prática, 2001 Hoffman Hematology 5th Edition, 2008
Doença Óssea  Alterações Radiológicas e Bioquímicas Kyle, 1975 Mieloma Múltiplo Nenhuma 49 19 Alteração radiológica Pacientes % Osteopenia (só) 12 5 Lesão lítica (1 local) 56 22 Lesões líticas (mais que 1 local) 101 39 Fratura vertebral 95 37 Outras fraturas patológicas 21 8 Hipercalcemia 54 21 Fosfatase alcalina elevada 47 18
Comprometimento Ósseo
Comprometimento Ósseo
Comprometimento Ósseo
Patogênese da Lesão Óssea 4 1 2 3 Célula  tumoral Osteoclasto PTHrP, prostaglandina  E TGF-  ,  IL-6 Os tumores produzem substâncias que atraem e estimulam os osteoclastos 1 2 Os osteoclastos começam a destruição do osso 3 Ao ser destruído, o osso libera substâncias químicas que propiciam o crescimento das células tumorais  4 À medida que o tumor cresce, ele continua produzindo as substâncias que atraem os osteoclastos
CRITÉRIOS DIAGNÓSTICOS Plasmócitos na MO Componente M Presença de 1 ou mais fatores ROTI* Mieloma Sintomático Mieloma (M) >3g  Plasmócitos>10% MO  Sem ROTI Mieloma assintomático Mieloma Indolente Proteína monoclonal (M) <3g Sem ROTI GMSI Gamopatia monoclonal de significado incerto (GMSI) Definição Nova Nomenclatura Padrão
ROTI Sem ROTI (*) Mieloma Múltiplo Brian Durie em Mieloma Múltiplo: revisão concisa da doença e opções de tratamento, International Myeloma Foundation Latin America, 2005 (*)  R elated  O rgan or  T issue  I mpairment Anemia: Hb 2g/dL abaixo do normal ou Hb < 10g/dL Osso: Cálcio > 1mg/dL acima do normal ou > 11mg/dL Lesões líticas ou osteoporose com fraturas Renal: Creatinina > 2mg/dL Outros: Hiperviscosidade sintomática, amiloidose, > 2 infecções bacterianas recorrentes
Critérios para classificação de gamopatias monoclonais, mieloma múltiplo e doenças relacionadas Tumor de plasmócitos extramedular Medula óssea normal Esqueleto normal e MRI da coluna e pelve (se realizado) Sem ROTI Plasmocitoma Extramedular Lesão óssea única Medula óssea normal Esqueleto normal Sem ROTI Plasmocitoma Solitário Ósseo
Critérios para classificação de gamopatias monoclonais, mieloma múltiplo e doenças relacionadas Br J  Haematol, 2003, 121, 749-757 Plasmócitos > 2,0 x 10 9 /L no sangue Plasmócito > 20% no sangue Leucemia Plasmocitária Nenhuma proteína – M Plasmocitose na medula óssea (>10%) ou plasmocitoma Com  ROTI Mieloma Não Secretor
AVALIAÇÃO LABORATORIAL Hemograma completo Aspirado e biópsia de medula óssea Citogenética Imunofenotipagem Uréia e creatinina Calcio VHS LDH Β 2 Microglobulina NCCN Practice guidelines in Oncology – v 2.2010
AVALIAÇÃO LABORATORIAL Hemograma Anemia normocrômica normocítica Plasmócitos no sp 50% rouleaux eritrocitário Medeiros, C. R in Zago, M.A et al, Hematologia; fundamentos e prática, 2001
Aspirado de Medula óssea
IgG: 55 a 60%  IgA: 20 a 25%  Cadeias leves    e    : 15 a 20%  Não secretor: <1% IgD, IgE e biclonal: raros Componente Monoclonal Medeiros, C. R in Zago, M.A et al, Hematologia; fundamentos e prática, 2001
Estudo do Perfil Proteico Eletroforese de proteínas Imunoeletroforese de proteínas Imunofixação de proteínas Quantificação das imunoglobulinas  e cadeias leves livres:
Estudo do Perfil Proteico Eletroforese de proteínas (soro ou urina) Pico monoclonal em 80% 10% hipogamaglobulina 10% sem anormalidades Medeiros, C. R in Zago, M.A et al, Hematologia; fundamentos e prática, 2001 52% IgG 21% IgA 2% IgD 0,5%IgM 16% BJ isolada 2% Biclonal
Imunofixação IgA   Normal
Cadeias Leves Livres Séricas Conveniência do teste no soro Melhor sensibilidade e precisão do que a eletroforese, melhor para avaliar remissão completa Resultados numéricos para monitorar a doença Identificação da amiloidose AL e do mieloma múltiplo não secretor, onde não é possível detectar proteínas monoclonais por testes convencionais técnica ultra-sensível
EXAMES COMPLEMENTARES Rx de esqueleto Em casos selecionados: TAC, RNM NCCN Practice guidelines in Oncology – v 2.2009
 
 
 
 
MIELOMA MÚLTIPLO Tratamento
Indicações para Tratamento    Proteína-M no sangue    Proteína-M na urina    Hemoglobina    Cálcio ou creatinina Lesões ósseas líticas Plasmacitoma extramedular
Tratamento Transplante autólogo Transplante alogênico Esteróides: Prednisona (P) ou  Dexametasona (D) Agentes alquilantes:   Melphalan (M),  Ciclofosfamida (C),  BCNU (B) Outras drogas:   Adriamicina (A),  Vincristina (V),  VP-16 (E) Talidomida Lenalidomida Bortezomib
Kyle, R. ; NEJM; 351: 1860, 2005 CÉLULAS DO ESTROMA TALIDOMIDA BORTEZOMIB AGENTES ALQUILANTES CORTICOSTEROIDES BORTEZOMIB TALIDOMIDA CÉLULAS T CÉLULAS NK TALIDOMIDA BORTEZOMIB FATOR NUCLEAR  ΚΒ FATOR DE NECROSE TUMORAL  α INTERLEUCINA - 6 CÉLULAS DO ESTROMA MECANISMO  DE AÇÃO DAS DROGAS
DOENÇA ÓSSEA - TRATAMENTO
Doença Óssea - Tratamento Radioterapia Cirurgia Bisfosfonatos
 
 
Bisfosfonatos Inibidores específicos da atividade osteoclástica Eficientes no tratamento da hipercalcemia Reduz eventos esqueléticos Efeito direto anti-células do mieloma e antiangiogênico Melhora qualidade de vida
Efeito do Pamidronato em Reduzir EEs em Pacientes com Mieloma Múltiplo: Estudo fase III  Berenson et al, 1996 EE = Eventos Esqueléticos (fratura vertebral, compressão,  necessidade de radioterapia e/ou cirurgia) 24% 41% P < 0.001 Proporção de pacientes com EE aos 9 meses 1,1% 2,05% Taxa de morbidade EE eventos /ano P < 0.001 Pamidronato Placebo
Bisfosfonatos - Cuidados Alterações renais Alterações dentárias
Osteonecrose da Mandíbula associada a bisfosfonados Salvatore L Ruggiero et al.  Oral Maxillofac Surg 62:527-534, 2004 NEJM , July 7, 2005
Terapia de Suporte Anemia Insuficiência Renal Hiperviscosidade  Infecção Hipercalcemia  Dores ósseas  Hidratação, citoredução, alopurinol, corrigir hipercalcemia e hemodiálise (10%) Citoredução e plasmaférese Antibioticoterapia (microorganismos mais freqüentes depende da fase da doença), profilaxia (vacina anti-influenza, anti-pneumocócica, imunoglobulinas) Citoredução, reposição de eritrócitos e eritropoetina recombinante humana (50 a 75% de resposta) Citoredução, hidratação, corticóide, bisfosfonato Citoredução, analgésico, radioterapia, bisfosfonato
MIELOMA MÚLTIPLO Prognóstico
Greipp, P.R.; JCO, 25:3412, 2005 SOBREVIDA De acordo com os fatores prognósticos Pode variar de <1 ano a >10 anos Sistema de estadiamento : Durie e Salmon  Sistema Prognóstico: IPSS
Probabilidade de Sobrevida meses antes 1960 1961 a 1990 após 1990 50% 12 24 36 48 60
ESTADIO CRITÉRIOS   MASSA(CELSX1012/M2) I TODOS OS SEGUINTES <0,6 HB >10 mg/dL CÁLCIO <12 mg/dL RX NORMAL OU LESÃO ÚNICA IgG <5 g/dl  , igA <3g/dl  (M URINA<4g/24h) II 0,6-1,2 III QUALQUER UM DOS SEGUINTES >1,2 HB< 8,5 CÁLCIO ≥12MG/DL LESÕES LÍTICAS ÓSSEAS IgG >7 g/dl  , igA >5g/dl  (M URINA >12g/24h) A-creatinina < 2 mg/dL  B- creatinina>2 mg/dL  1x10 12  células=1kg Durie, B.G.M.; Cancer 36:842, 1975; Bataill, R. ;JCO 4:80, 1986
“ International Staging System”  JCO. Vol. 23  Number 15  May 20 2005 Estadio  ISS Critério Sobrevida  (meses) I  2  microglobulina < 3.5 mg/L   62 II Nem I ou III 44 III 29 Albumina  >  3.5 mg/L    2  microglobulina  >  5.5 mg/L
Conclusão ISS é simples Baseado em variáveis fáceis de se obter (B2 M e albumina) Recomendado para utilização imediata  JCO. Vol. 23  Number 15  May 20 2005
DOENÇAS MONOCLONAIS CORRELATAS AOS DISTÚRBIOS DOS PLASMÓCITOS Macroglobulinemia de Waldeström Medeiros, C. R inZago, M.A et al, Hematologia; fundamentos e prática, 2001
M acroglobulinemia de Waldeström Doença caracterizada por proliferação desordenada de linfócitos pequenos, que maturam até plasmóctos, com produção exagerada de IgM Linfoma linfoplasmacítico na classificação da OMS Medeiros, C. R inZago, M.A et al, Hematologia; fundamentos e prática, 2001
Epidemiologia 2% de todas as neoplasias hematológicas Incidência: 8 casos/1.000.000 habitantes/ano 63 anos Etiologia Anormalidades cromossômicas no cromossomo 14: t(9,14) em 30% dos pacientes Medeiros, C. R inZago, M.A et al, Hematologia; fundamentos e prática, 2001 Macroglobulinemia de Waldestrom
Manifestações clínicas Medeiros, C. R inZago, M.A et al, Hematologia; fundamentos e prática, 2001 Macroglobulinemia de Waldestrom Sangramento em mucosas Alt. hemostasia Interação proteína-proteína Fadiga, cefaléia, visão borrada,sangramento, alterações mentais, coma,  Raynaud, acrocianose, púrpura, urticária ao frio Hiperviscosidade Crioglobulinemia tipo I Físico-química Estrutura pentamérica Precipitação com  frio Quadro clínico Condição resultante Propriedades da IgM
Manifestações clínicas Medeiros, C. R inZago, M.A et al, Hematologia; fundamentos e prática, 2001 Macroglobulinemia de Waldestrom Pele: bolhas e pápulas GI: diarréia, má absorção,  Rins: proteinúria Púrpura periorbital, macroglossia, edema, disfunção de rim, coração, fígado, neuropatias periféricas e autônomas Disfunção específica de órgãos Amiloidose Depósito em tecidos: pele, TGI, rins Fibrilas de amilóide Anticorpos anti-mielina: neuropatia sensorimotora, com ataxia.  Fraqueza, púrpura, artralgias, proteinúria, insuficiência renal, anemia hemolítica crônica exacerbada pelo frio, Raynaud, acrocianose, livedo reticular Polineuropatia Crioglobulinemia tipo II Anemia Hemolítica Atividade de anticorpos: Contra nervos Contra IgG Contra hemácias Quadro clínico Condição resultante Propriedades da IgM
Diagnóstico laboratorial Anemia normocrômica e normocítica Rouleaux eritrocitário Pico monoclonal IgM Cadeia leve de tipo único (75% dos casos K) Proteinúria de Bence Jones (45%) Medeiros, C. R inZago, M.A et al, Hematologia; fundamentos e prática, 2001 Macroglobulinemia de Waldestrom
Diagnóstico laboratorial Aumento de viscosidade do sangue Medeiros, C. R inZago, M.A et al, Hematologia; fundamentos e prática, 2001 Hoffman, 5th Edition, 2008 Macroglobulinemia de Waldestrom
Diagnóstico laboratorial Beta 2 Microglobulina pode estar elevada Biópsia de MO: Infiltração de pequenos linfócitos e células plasmacitóides Medeiros, C. R inZago, M.A et al, Hematologia; fundamentos e prática, 2001 Hoffman, 5th Edition, 2008 Macroglobulinemia de Waldestrom
DOENÇAS DE CADEIAS PESADAS Medeiros, C. R inZago, M.A et al, Hematologia; fundamentos e prática, 2001 Hoffman, 5th Edition, 2008
DOENÇAS DE CADEIAS PESADAS São processos linfoproliferativos dos linfócitos B que produzem uma imunoglobulina monoclonal anormal, constituída apenas de cadeias pesadas de imunoglobulina Não é detectada pela eletroforese de proteínas em 40-60% dos casos. Imunofixação Medeiros, C. R inZago, M.A et al, Hematologia; fundamentos e prática, 2001 Hoffman, 5th Edition, 2008
Medeiros, C. R inZago, M.A et al, Hematologia; fundamentos e prática, 2001 Hoffman, 5th Edition, 2008 Doenças das Cadeias Pesadas -15 a 35 anos -Baixo padrão sócio-econômico e higiene Linfoma do Mediterrâneo Infiltração  e ulceração do Intestino Delgado Alfa -60 anos -Fraqueza, fadiga e febre Aumento de parótidas, língua, fígado, baço e linfonodos. Anemia Hemolítica auto-imune, Trombocitopenia Manifestações Neurológicas Curso clínico é variável Gama Características Clínicas Tipo de Cadeia Pesada
Medeiros, C. R inZago, M.A et al, Hematologia; fundamentos e prática, 2001 Hoffman, 5th Edition, 2008 Doenças das Cadeias Pesadas Diarréia, síndrome de má absorção, fístulas, enteropatia perdedora de proteínas Alfa -60 anos -hepatoesplenomegalia e linfonodomegalia µ Características Tipo de Cadeia Pesada
AMILOIDOSE PRIMÁRIA Medeiros, C. R inZago, M.A et al, Hematologia; fundamentos e prática, 2001 Hoffman, 5th Edition, 2008
AMILOIDOSE Termo que identifica doenças com uma característica comum: deposição extracelular em órgãos e tecidos de proteína fibrilar patológica e insolúvel. A proteína pode ser constituída de cadeias leves intactas, fragmentos de cadeias leves ou de cadeias pesadas Medeiros, C. R inZago, M.A et al, Hematologia; fundamentos e prática, 2001 Hoffman, 5th Edition, 2008
Epidemiologia Incidência: 8/1.000.000 Idade média de 62 anos Medeiros, C. R inZago, M.A et al, Hematologia; fundamentos e prática, 2001 Hoffman, 5th Edition, 2008 AMILOIDOSE
MANIFESTAÇÕES CLÍNICAS Achados clínicos comuns: Proteinúria intensa Insuficiência cardíaca ou cardiomiopatia restritiva Hepatomegalia Neuropatia Periférica Medeiros, C. R inZago, M.A et al, Hematologia; fundamentos e prática, 2001 Hoffman, 5th Edition, 2008 AMILOIDOSE
MANIFESTAÇÕES CLÍNICAS Medeiros, C. R inZago, M.A et al, Hematologia; fundamentos e prática, 2001 Hoffman, 5th Edition, 2008 AMILOIDOSE Sintomas Clínicos Inespecíficos: Fadiga, perda de peso Sintomas Clínicos Típicos (15%): macroglossia, edema submandibular, púrpura facial, hipertrofia muscular
MANIFESTAÇÕES CLÍNICAS Medeiros, C. R inZago, M.A et al, Hematologia; fundamentos e prática, 2001 Hoffman, 5th Edition, 2008 AMILOIDOSE
ACHADOS LABORATORIAIS Imunoeletroforese e Imunofixação em soro e urina em busca de cadeias leves positivo em 90% dos casos. Biópsia: reto, medula óssea, tecido subcutâneo, estômago, glândulas salivares, gengiva. Vermelho Congo Medeiros, C. R inZago, M.A et al, Hematologia; fundamentos e prática, 2001 Hoffman, 5th Edition, 2008 AMILOIDOSE
Obrigada Pela Atenção Vaneuza A. M. Funke [email_address]

Plasmacitopatias

  • 1.
    Plasmocitopatias Dra.Vaneuza Araújo Moreira Funke Médica do Serviço de Transplante de Medula Óssea Hospital de Clínicas-Universidade Federal do Paraná
  • 2.
    OBJETIVOS Reconhecer asprincipais doenças relacionadas aos plasmócitos quanto aos seguintes aspectos: Epidemiologia Manifestações Clínicas Diagnóstico
  • 3.
    DOENÇAS MONOCLONAIS CORRELATASAOS DISTÚRBIOS DOS PLASMÓCITOS Mieloma múltiplo Formas variantes do mieloma múltiplo Macroglobulinemia de waldeström Amiloidose primária Doenças de cadeia pesada Medeiros, C. R inZago, M.A et al, Hematologia; fundamentos e prática, 2001
  • 4.
  • 5.
    É uma proliferaçãoneoplásica de um único clone de plasmócitos, na maioria das vezes produzindo uma imunoglobulina monoclonal Medeiros, C. R in Zago, M.A et al, Hematologia: Fundamentos e Prática, 2001 Definição
  • 6.
    Este clone proliferana medula óssea, e resulta em: destruição extensa do esqueleto, com lesões osteolíticas, osteoporose e fraturas comprometimento da medula óssea normal levando a anemia Medeiros, C. R in Zago, M.A et al, Hematologia: Fundamentos e Prática, 2001 Brian Durie em Mieloma Múltiplo: revisão concisa da doença e opções de tratamento, International Myeloma Foundation Latin America, 2005 Definição
  • 7.
    Este clone proliferana medula óssea, e resulta em: liberação da proteína monoclonal (componente M) no plasma e urina, levando a hiperviscosidade, coagulopatias e insuficiência renal supressão da função imune normal, com hipogamaglobulinemia e maior risco de infecções Definição Medeiros, C. R in Zago, M.A et al, Hematologia: Fundamentos e Prática, 2001 Brian Durie em Mieloma Múltiplo: revisão concisa da doença e opções de tratamento, International Myeloma Foundation Latin America, 2005
  • 8.
    Epidemiologia Idade -65 a 70 anos Sexo m > f Raça negra > branca 1% das doenças malignas 10% das doenças onco-hematológicas Incidência - 3 a 4:100.000 Medeiros, C. R inZago, M.A et al, Hematologia; fundamentos e prática, 2001
  • 9.
    Fatores externos Exposiçãoao benzeno, inseticidas, herbicidas Radiação ionizante Exposição ocupacional a metais pesados (metalurgia, indústria de níquel) Fatores genéticos Medeiros, C. R inZago, M.A et al, Hematologia; fundamentos e prática, 2001 Hoffman Hematology 5th Edition, 2008 Etiologia
  • 10.
    Vírus Herpes VirusTipo 8 (HHV8) Anormalidades cromossômicas (30-50%) t(11,14) 13q-, t (4,14) 17p- Hipodiploidia Etiologia Medeiros, C. R in Zago, M.A et al, Hematologia; fundamentos e prática, 2001 Hoffman Hematology 5th Edition, 2008
  • 11.
    Etiologia Substâncias QuímicasRadiação ionizante Lesão do DNA “ Stress” Célula tumoral - Macrófago - Célula Dendrítica - Célula T Vírus
  • 12.
    Patogênese Anormalidades genéticasintrínsecas às células do mieloma Interações entre as células do mieloma e o microambiente Kyle, R. ; NEJM; 351: 1860, 2005
  • 13.
    INSTABILIDADE GENÔMICATranalocações 14q32 (50%) Del 13 (50%) CÉLULA NORMAL INFECÇÃO? INFLAMAÇÃO? GAMOPATIA MONOCLONAL DE SIGNIFICADO INDETERMINADO ALTERAÇÕES NO MICROAMBIENTE DA MO ANGIOGÊNESE AUMENTADA AUMENTO DA REABSORÇÃO ÓSSEA MIELOMA N-RAS, K-RAS (30%) METILAÇÃO DO p16 TRANSLOCAÇÕES SECUNDÁRIAS Kyle, R. ; NEJM; 351: 1860, 2005 Patogênese
  • 14.
    Angiogênese Mieloma NãoAtivo Gamopatia Monoclonal de Significado Indeterminado Mieloma Ativo
  • 15.
    MANIFESTAÇÕES CLÍNICAS Medeiros,C. R in Zago, M.A et al, Hematologia; fundamentos e prática, 2001 Hoffman Hematology 5th Edition, 2008 <10% Hiperviscosidade 15 – 50% Infecção 20% Insuficiência renal 25% Hipercalcemia 60% Anemia 70 – 90% Doença óssea
  • 16.
    Anemia Normocrômica normocítica– substituição da mo normal pela infiltração de células tumorais e inibição da produção de células vermelhas por citocinas (Fator de necrose tumoral-TNF). Brian Durie em Mieloma Múltiplo: revisão concisa da doença e opções de tratamento, International Myeloma Foundation Latin America, 2005
  • 17.
    Hipercalcemia 30-40% dospacientes Letargia, poliúria, polidipsia, constirpação, náuseas, vômitos Insuficiência renal pré-renal Manifestações clínicas Medeiros, C. R in Zago, M.A et al, Hematologia; fundamentos e prática, 2001 Hoffman Hematology 5th Edition, 2008
  • 18.
    Insuficiência renal Danotubular pela excreção das cadeias leve (proteína de bence jones) Síndrome de Fanconi: defeito tubular com extravasamento de aminoácidos e fosfatos Deposição glomerular amiloide Manifestações clínicas Medeiros, C. R in Zago, M.A et al, Hematologia; fundamentos e prática, 2001
  • 19.
    Insuficiência renal DesidrataçãoHiperuricemia Hipercalcemia Pielonefrites Drogas: anti-inflamatórios, contrastes intravenosos Manifestações clínicas Medeiros, C. R in Zago, M.A et al, Hematologia; fundamentos e prática, 2001
  • 20.
    Insuficiência renal Manifestaçõesclínicas Medeiros, C. R in Zago, M.A et al, Hematologia; fundamentos e prática, 2001 Pressão arterial Impacto na Sobrevida Correlação: massa tumoral e quantidade de cadeias leves
  • 21.
    HIPERVSICOSIDADE <10% dos pacientes Mais frequente em mieloma IgA (polímeros) Manifestações: Renais: insuficiência renal Cerebrais: cefaléia, visão turvo, sintomas neurológicos isquêmicos Medeiros, C. R in Zago, M.A et al, Hematologia; fundamentos e prática, 2001 Hoffman Hematology 5th Edition, 2008
  • 22.
    HIPERVISCOSIDADE Manifestações: Pulmonares: edema pulmonar Isquemia periférica Sangramento Medeiros, C. R in Zago, M.A et al, Hematologia; fundamentos e prática, 2001 Hoffman Hematology 5th Edition, 2008
  • 23.
    INFECÇÕES São comuns e causam óbito Causas: Hipogamaglobulinemia Anormalidades nos linfócitos T, NK e monócitos Iatrogênico (corticosteróides) Microorganismos: 60% gram-negativos entéricos 25% gram-positivos encapsulados Varicella Zoster Virus Medeiros, C. R in Zago, M.A et al, Hematologia; fundamentos e prática, 2001 Hoffman Hematology 5th Edition, 2008
  • 24.
    DOENÇA ÓSSE GANGRENAE CRIOGLOBULINEMIA TIPO I Cirasino, L. ; NEJM; 1582, 1999
  • 25.
    Sintomas neurológicos Fraqueza,confusão, fadiga, alterações visuais (hipercalcemia) Cefaléia, sintomas isquêmicos (hiperviscosidade pela paraproteína) Dor radicular, incontinência (compressão medular, plasmacitomas) síndrome do túnel carpeano (infiltração de nervos periféricos, amiloidose) Medeiros, C. R in Zago, M.A et al, Hematologia; fundamentos e prática, 2001 Hoffman Hematology 5th Edition, 2008
  • 26.
    Amiloidose Deposição extra-medularde proteína fibrilar insolúvel. Manifestações: Síndrome do túnel carpeano Síndrome nefrótico Cardiomiopatia Macroglossia Sangramentos Medeiros, C. R in Zago, M.A et al, Hematologia; fundamentos e prática, 2001 Hoffman Hematology 5th Edition, 2008
  • 27.
  • 28.
    Doença Óssea eMieloma Múltiplo
  • 29.
    Doença óssea 70– 90% Anemia 60% Hipercalcemia 25% Insuficiência renal 20% Infecção 15 – 50% Hiperviscosidade <10% Medeiros, C. R in Zago, M.A et al, Hematologia; fundamentos e prática, 2001 Hoffman Hematology 5th Edition, 2008
  • 30.
    Dor ossea Presenteem 2/3 dos pacientes com mieloma: dorso e tórax Agravada pelo movimento. Dor persistente pode indicar fraturas nas vértebras Manifestações clínicas Medeiros, C. R in Zago, M.A et al, Hematologia; fundamentos e prática, 2001 Hoffman Hematology 5th Edition, 2008
  • 31.
    Doença Óssea Alterações Radiológicas e Bioquímicas Kyle, 1975 Mieloma Múltiplo Nenhuma 49 19 Alteração radiológica Pacientes % Osteopenia (só) 12 5 Lesão lítica (1 local) 56 22 Lesões líticas (mais que 1 local) 101 39 Fratura vertebral 95 37 Outras fraturas patológicas 21 8 Hipercalcemia 54 21 Fosfatase alcalina elevada 47 18
  • 32.
  • 33.
  • 34.
  • 35.
    Patogênese da LesãoÓssea 4 1 2 3 Célula tumoral Osteoclasto PTHrP, prostaglandina E TGF-  , IL-6 Os tumores produzem substâncias que atraem e estimulam os osteoclastos 1 2 Os osteoclastos começam a destruição do osso 3 Ao ser destruído, o osso libera substâncias químicas que propiciam o crescimento das células tumorais 4 À medida que o tumor cresce, ele continua produzindo as substâncias que atraem os osteoclastos
  • 36.
    CRITÉRIOS DIAGNÓSTICOS Plasmócitosna MO Componente M Presença de 1 ou mais fatores ROTI* Mieloma Sintomático Mieloma (M) >3g Plasmócitos>10% MO Sem ROTI Mieloma assintomático Mieloma Indolente Proteína monoclonal (M) <3g Sem ROTI GMSI Gamopatia monoclonal de significado incerto (GMSI) Definição Nova Nomenclatura Padrão
  • 37.
    ROTI Sem ROTI(*) Mieloma Múltiplo Brian Durie em Mieloma Múltiplo: revisão concisa da doença e opções de tratamento, International Myeloma Foundation Latin America, 2005 (*) R elated O rgan or T issue I mpairment Anemia: Hb 2g/dL abaixo do normal ou Hb < 10g/dL Osso: Cálcio > 1mg/dL acima do normal ou > 11mg/dL Lesões líticas ou osteoporose com fraturas Renal: Creatinina > 2mg/dL Outros: Hiperviscosidade sintomática, amiloidose, > 2 infecções bacterianas recorrentes
  • 38.
    Critérios para classificaçãode gamopatias monoclonais, mieloma múltiplo e doenças relacionadas Tumor de plasmócitos extramedular Medula óssea normal Esqueleto normal e MRI da coluna e pelve (se realizado) Sem ROTI Plasmocitoma Extramedular Lesão óssea única Medula óssea normal Esqueleto normal Sem ROTI Plasmocitoma Solitário Ósseo
  • 39.
    Critérios para classificaçãode gamopatias monoclonais, mieloma múltiplo e doenças relacionadas Br J Haematol, 2003, 121, 749-757 Plasmócitos > 2,0 x 10 9 /L no sangue Plasmócito > 20% no sangue Leucemia Plasmocitária Nenhuma proteína – M Plasmocitose na medula óssea (>10%) ou plasmocitoma Com ROTI Mieloma Não Secretor
  • 40.
    AVALIAÇÃO LABORATORIAL Hemogramacompleto Aspirado e biópsia de medula óssea Citogenética Imunofenotipagem Uréia e creatinina Calcio VHS LDH Β 2 Microglobulina NCCN Practice guidelines in Oncology – v 2.2010
  • 41.
    AVALIAÇÃO LABORATORIAL HemogramaAnemia normocrômica normocítica Plasmócitos no sp 50% rouleaux eritrocitário Medeiros, C. R in Zago, M.A et al, Hematologia; fundamentos e prática, 2001
  • 42.
  • 43.
    IgG: 55 a60% IgA: 20 a 25% Cadeias leves  e  : 15 a 20% Não secretor: <1% IgD, IgE e biclonal: raros Componente Monoclonal Medeiros, C. R in Zago, M.A et al, Hematologia; fundamentos e prática, 2001
  • 44.
    Estudo do PerfilProteico Eletroforese de proteínas Imunoeletroforese de proteínas Imunofixação de proteínas Quantificação das imunoglobulinas e cadeias leves livres:
  • 45.
    Estudo do PerfilProteico Eletroforese de proteínas (soro ou urina) Pico monoclonal em 80% 10% hipogamaglobulina 10% sem anormalidades Medeiros, C. R in Zago, M.A et al, Hematologia; fundamentos e prática, 2001 52% IgG 21% IgA 2% IgD 0,5%IgM 16% BJ isolada 2% Biclonal
  • 46.
  • 47.
    Cadeias Leves LivresSéricas Conveniência do teste no soro Melhor sensibilidade e precisão do que a eletroforese, melhor para avaliar remissão completa Resultados numéricos para monitorar a doença Identificação da amiloidose AL e do mieloma múltiplo não secretor, onde não é possível detectar proteínas monoclonais por testes convencionais técnica ultra-sensível
  • 48.
    EXAMES COMPLEMENTARES Rxde esqueleto Em casos selecionados: TAC, RNM NCCN Practice guidelines in Oncology – v 2.2009
  • 49.
  • 50.
  • 51.
  • 52.
  • 53.
  • 54.
    Indicações para Tratamento Proteína-M no sangue  Proteína-M na urina  Hemoglobina  Cálcio ou creatinina Lesões ósseas líticas Plasmacitoma extramedular
  • 55.
    Tratamento Transplante autólogoTransplante alogênico Esteróides: Prednisona (P) ou Dexametasona (D) Agentes alquilantes: Melphalan (M), Ciclofosfamida (C), BCNU (B) Outras drogas: Adriamicina (A), Vincristina (V), VP-16 (E) Talidomida Lenalidomida Bortezomib
  • 56.
    Kyle, R. ;NEJM; 351: 1860, 2005 CÉLULAS DO ESTROMA TALIDOMIDA BORTEZOMIB AGENTES ALQUILANTES CORTICOSTEROIDES BORTEZOMIB TALIDOMIDA CÉLULAS T CÉLULAS NK TALIDOMIDA BORTEZOMIB FATOR NUCLEAR ΚΒ FATOR DE NECROSE TUMORAL α INTERLEUCINA - 6 CÉLULAS DO ESTROMA MECANISMO DE AÇÃO DAS DROGAS
  • 57.
    DOENÇA ÓSSEA -TRATAMENTO
  • 58.
    Doença Óssea -Tratamento Radioterapia Cirurgia Bisfosfonatos
  • 59.
  • 60.
  • 61.
    Bisfosfonatos Inibidores específicosda atividade osteoclástica Eficientes no tratamento da hipercalcemia Reduz eventos esqueléticos Efeito direto anti-células do mieloma e antiangiogênico Melhora qualidade de vida
  • 62.
    Efeito do Pamidronatoem Reduzir EEs em Pacientes com Mieloma Múltiplo: Estudo fase III Berenson et al, 1996 EE = Eventos Esqueléticos (fratura vertebral, compressão, necessidade de radioterapia e/ou cirurgia) 24% 41% P < 0.001 Proporção de pacientes com EE aos 9 meses 1,1% 2,05% Taxa de morbidade EE eventos /ano P < 0.001 Pamidronato Placebo
  • 63.
    Bisfosfonatos - CuidadosAlterações renais Alterações dentárias
  • 64.
    Osteonecrose da Mandíbulaassociada a bisfosfonados Salvatore L Ruggiero et al. Oral Maxillofac Surg 62:527-534, 2004 NEJM , July 7, 2005
  • 65.
    Terapia de SuporteAnemia Insuficiência Renal Hiperviscosidade Infecção Hipercalcemia Dores ósseas Hidratação, citoredução, alopurinol, corrigir hipercalcemia e hemodiálise (10%) Citoredução e plasmaférese Antibioticoterapia (microorganismos mais freqüentes depende da fase da doença), profilaxia (vacina anti-influenza, anti-pneumocócica, imunoglobulinas) Citoredução, reposição de eritrócitos e eritropoetina recombinante humana (50 a 75% de resposta) Citoredução, hidratação, corticóide, bisfosfonato Citoredução, analgésico, radioterapia, bisfosfonato
  • 66.
  • 67.
    Greipp, P.R.; JCO,25:3412, 2005 SOBREVIDA De acordo com os fatores prognósticos Pode variar de <1 ano a >10 anos Sistema de estadiamento : Durie e Salmon Sistema Prognóstico: IPSS
  • 68.
    Probabilidade de Sobrevidameses antes 1960 1961 a 1990 após 1990 50% 12 24 36 48 60
  • 69.
    ESTADIO CRITÉRIOS MASSA(CELSX1012/M2) I TODOS OS SEGUINTES <0,6 HB >10 mg/dL CÁLCIO <12 mg/dL RX NORMAL OU LESÃO ÚNICA IgG <5 g/dl , igA <3g/dl (M URINA<4g/24h) II 0,6-1,2 III QUALQUER UM DOS SEGUINTES >1,2 HB< 8,5 CÁLCIO ≥12MG/DL LESÕES LÍTICAS ÓSSEAS IgG >7 g/dl , igA >5g/dl (M URINA >12g/24h) A-creatinina < 2 mg/dL B- creatinina>2 mg/dL 1x10 12 células=1kg Durie, B.G.M.; Cancer 36:842, 1975; Bataill, R. ;JCO 4:80, 1986
  • 70.
    “ International StagingSystem” JCO. Vol. 23 Number 15 May 20 2005 Estadio ISS Critério Sobrevida (meses) I  2 microglobulina < 3.5 mg/L 62 II Nem I ou III 44 III 29 Albumina > 3.5 mg/L  2 microglobulina > 5.5 mg/L
  • 71.
    Conclusão ISS ésimples Baseado em variáveis fáceis de se obter (B2 M e albumina) Recomendado para utilização imediata JCO. Vol. 23 Number 15 May 20 2005
  • 72.
    DOENÇAS MONOCLONAIS CORRELATASAOS DISTÚRBIOS DOS PLASMÓCITOS Macroglobulinemia de Waldeström Medeiros, C. R inZago, M.A et al, Hematologia; fundamentos e prática, 2001
  • 73.
    M acroglobulinemia deWaldeström Doença caracterizada por proliferação desordenada de linfócitos pequenos, que maturam até plasmóctos, com produção exagerada de IgM Linfoma linfoplasmacítico na classificação da OMS Medeiros, C. R inZago, M.A et al, Hematologia; fundamentos e prática, 2001
  • 74.
    Epidemiologia 2% detodas as neoplasias hematológicas Incidência: 8 casos/1.000.000 habitantes/ano 63 anos Etiologia Anormalidades cromossômicas no cromossomo 14: t(9,14) em 30% dos pacientes Medeiros, C. R inZago, M.A et al, Hematologia; fundamentos e prática, 2001 Macroglobulinemia de Waldestrom
  • 75.
    Manifestações clínicas Medeiros,C. R inZago, M.A et al, Hematologia; fundamentos e prática, 2001 Macroglobulinemia de Waldestrom Sangramento em mucosas Alt. hemostasia Interação proteína-proteína Fadiga, cefaléia, visão borrada,sangramento, alterações mentais, coma, Raynaud, acrocianose, púrpura, urticária ao frio Hiperviscosidade Crioglobulinemia tipo I Físico-química Estrutura pentamérica Precipitação com frio Quadro clínico Condição resultante Propriedades da IgM
  • 76.
    Manifestações clínicas Medeiros,C. R inZago, M.A et al, Hematologia; fundamentos e prática, 2001 Macroglobulinemia de Waldestrom Pele: bolhas e pápulas GI: diarréia, má absorção, Rins: proteinúria Púrpura periorbital, macroglossia, edema, disfunção de rim, coração, fígado, neuropatias periféricas e autônomas Disfunção específica de órgãos Amiloidose Depósito em tecidos: pele, TGI, rins Fibrilas de amilóide Anticorpos anti-mielina: neuropatia sensorimotora, com ataxia. Fraqueza, púrpura, artralgias, proteinúria, insuficiência renal, anemia hemolítica crônica exacerbada pelo frio, Raynaud, acrocianose, livedo reticular Polineuropatia Crioglobulinemia tipo II Anemia Hemolítica Atividade de anticorpos: Contra nervos Contra IgG Contra hemácias Quadro clínico Condição resultante Propriedades da IgM
  • 77.
    Diagnóstico laboratorial Anemianormocrômica e normocítica Rouleaux eritrocitário Pico monoclonal IgM Cadeia leve de tipo único (75% dos casos K) Proteinúria de Bence Jones (45%) Medeiros, C. R inZago, M.A et al, Hematologia; fundamentos e prática, 2001 Macroglobulinemia de Waldestrom
  • 78.
    Diagnóstico laboratorial Aumentode viscosidade do sangue Medeiros, C. R inZago, M.A et al, Hematologia; fundamentos e prática, 2001 Hoffman, 5th Edition, 2008 Macroglobulinemia de Waldestrom
  • 79.
    Diagnóstico laboratorial Beta2 Microglobulina pode estar elevada Biópsia de MO: Infiltração de pequenos linfócitos e células plasmacitóides Medeiros, C. R inZago, M.A et al, Hematologia; fundamentos e prática, 2001 Hoffman, 5th Edition, 2008 Macroglobulinemia de Waldestrom
  • 80.
    DOENÇAS DE CADEIASPESADAS Medeiros, C. R inZago, M.A et al, Hematologia; fundamentos e prática, 2001 Hoffman, 5th Edition, 2008
  • 81.
    DOENÇAS DE CADEIASPESADAS São processos linfoproliferativos dos linfócitos B que produzem uma imunoglobulina monoclonal anormal, constituída apenas de cadeias pesadas de imunoglobulina Não é detectada pela eletroforese de proteínas em 40-60% dos casos. Imunofixação Medeiros, C. R inZago, M.A et al, Hematologia; fundamentos e prática, 2001 Hoffman, 5th Edition, 2008
  • 82.
    Medeiros, C. RinZago, M.A et al, Hematologia; fundamentos e prática, 2001 Hoffman, 5th Edition, 2008 Doenças das Cadeias Pesadas -15 a 35 anos -Baixo padrão sócio-econômico e higiene Linfoma do Mediterrâneo Infiltração e ulceração do Intestino Delgado Alfa -60 anos -Fraqueza, fadiga e febre Aumento de parótidas, língua, fígado, baço e linfonodos. Anemia Hemolítica auto-imune, Trombocitopenia Manifestações Neurológicas Curso clínico é variável Gama Características Clínicas Tipo de Cadeia Pesada
  • 83.
    Medeiros, C. RinZago, M.A et al, Hematologia; fundamentos e prática, 2001 Hoffman, 5th Edition, 2008 Doenças das Cadeias Pesadas Diarréia, síndrome de má absorção, fístulas, enteropatia perdedora de proteínas Alfa -60 anos -hepatoesplenomegalia e linfonodomegalia µ Características Tipo de Cadeia Pesada
  • 84.
    AMILOIDOSE PRIMÁRIA Medeiros,C. R inZago, M.A et al, Hematologia; fundamentos e prática, 2001 Hoffman, 5th Edition, 2008
  • 85.
    AMILOIDOSE Termo queidentifica doenças com uma característica comum: deposição extracelular em órgãos e tecidos de proteína fibrilar patológica e insolúvel. A proteína pode ser constituída de cadeias leves intactas, fragmentos de cadeias leves ou de cadeias pesadas Medeiros, C. R inZago, M.A et al, Hematologia; fundamentos e prática, 2001 Hoffman, 5th Edition, 2008
  • 86.
    Epidemiologia Incidência: 8/1.000.000Idade média de 62 anos Medeiros, C. R inZago, M.A et al, Hematologia; fundamentos e prática, 2001 Hoffman, 5th Edition, 2008 AMILOIDOSE
  • 87.
    MANIFESTAÇÕES CLÍNICAS Achadosclínicos comuns: Proteinúria intensa Insuficiência cardíaca ou cardiomiopatia restritiva Hepatomegalia Neuropatia Periférica Medeiros, C. R inZago, M.A et al, Hematologia; fundamentos e prática, 2001 Hoffman, 5th Edition, 2008 AMILOIDOSE
  • 88.
    MANIFESTAÇÕES CLÍNICAS Medeiros,C. R inZago, M.A et al, Hematologia; fundamentos e prática, 2001 Hoffman, 5th Edition, 2008 AMILOIDOSE Sintomas Clínicos Inespecíficos: Fadiga, perda de peso Sintomas Clínicos Típicos (15%): macroglossia, edema submandibular, púrpura facial, hipertrofia muscular
  • 89.
    MANIFESTAÇÕES CLÍNICAS Medeiros,C. R inZago, M.A et al, Hematologia; fundamentos e prática, 2001 Hoffman, 5th Edition, 2008 AMILOIDOSE
  • 90.
    ACHADOS LABORATORIAIS Imunoeletroforesee Imunofixação em soro e urina em busca de cadeias leves positivo em 90% dos casos. Biópsia: reto, medula óssea, tecido subcutâneo, estômago, glândulas salivares, gengiva. Vermelho Congo Medeiros, C. R inZago, M.A et al, Hematologia; fundamentos e prática, 2001 Hoffman, 5th Edition, 2008 AMILOIDOSE
  • 91.
    Obrigada Pela AtençãoVaneuza A. M. Funke [email_address]

Notas do Editor

  • #14 Figure 1. Mechanisms of Disease Progression in the Monoclonal Gammopathies. Percentages are the proportions of patients with the abnormality. Microenvironmental changes include increased bone resorption — mediated by increased production of receptor activator of nuclear factor k B ligand, decreased levels of osteoprotegerin, and increased levels of macrophage inflammatory protein 1 a ; the induction of angiogenesis; increased levels of interleukin-6 and vascular endothelial growth factor; and decreased immune surveillance.
  • #57 Proposed Mechanism of Action of Drugs to Target the Myeloma Cell and Components of the Bone Marrow Microenvironment. In myeloma cells, alkylating agents, corticosteroids, and bortezomib inhibit cell growth and induce apoptosis. The effect of bortezomib on myeloma cells is mediated in part by the inhibition of nuclear factor- kB. Thalidomide and bortezomib inhibit the interaction between myeloma cells and stromal cells as well as the production of cytokines such as tumor necrosis factor a and interleukin-6. Thalidomide inhibits angiogenesis and stimulates the immunesurveillance properties of T cells and natural killer cells. Solid