TRAUMA TORÁCICO
Prof. Francielly Bordon
INTRODUÇÃO
Trauma torácico  mecanismos
penetrantes;
Maioria dos tratamentos 
contusos e
intervenções
relativamente simples;
Lesões significativas (órgãos envolvidos na
manutenção da oxigenação, ventilação e oferta de
oxigênio);
Morbidades significativas:
• Hipóxia;
• Hipercapnia;
• Acidose;
• Choque.
ANATOMIA
T
FISIOLOGIA
FISIOPATOLOGIA
LESÃO PENETRANTE:
Penetração do ar (Pressão
e  Resistência);
Rompimento da aderência
entre as membranas
pleurais PNEUMOTÓRAX;
Colabamento
(impedimento de
ventilação eficaz).
Respiração superficial  Estimulação do centro
respiratório   esforço respiratório
FISIOPATOLOGIA
LESÃO PENETRANTE:
 Entrada de ar (sem saída)  PNEUMOTÓRAX
hipertensivo  impede a respiração   Retorno
venoso  CHOQUE;
 Deslocamento mediastino  Retorno venoso 
 PA  Distensão da veia jugular
. ***Desvio de
traqueia***
 Ferimentos penetrantes  hemorragia
(HEMOTÓRAX)  não visível/ visível  CHOQUE e
 Capacidade respiratória;
 Ferimentos pulmonares  hemorragias  sangue
nos alvéolos   ventilação e oxigenação;
FISIOPATOLOGIA
LESÃO CONTUSA:
Aplicada na parede torácica  órgãos torácicos
(pulmões)  hemorragia   ventilação e
oxigenação;
Lesão da pleura parietal  ar no espaço pleural
 PNEUMOTÓRAX (hipertensivo);
 Fratura de costelas  laceração pulmonar 
PNEUMOTÓRAX E HEMOTÓRAX;
Grandes vasos (aorta)  Hemorragia
catastrófica.
AVALIAÇÃO
 Coleta da história e realização do exame físico;
 SINTOMAS;
 ALERGIAS E OS ANOS DE VIDA DO PACIENTE;
 MEDICAÇÕES;
 PASSADO MÉDICO;
 LÍQUIDOS E ÚLTIMA ALIMENTAÇÃO;
 AMBIENTE DO TRAUMA;
 Mecanismo do trauma?***
AVALIAÇÃO
EXAME FÍSICO
 OBSERVAÇÃO:
DOENTE
CIANOSE
(HIPÓXIA)
FREQUÊNCIA
VENTILATÓRIA
E
DIFICULDADE
RESPIRATÓRIA
APREENSIV
O OU
TONTURA
(CHOQUE)
PALIDEZ
CUTÂNEA E
SUDORESE
(CHOQUE)
DESVIO DE
TRAQUEIA
VEIAS
JUGULARES
DISTENDIDAS
SIMETRIA
DO TÓRAX
E LESÕES
AVALIAÇÃO
EXAME FÍSICO
 INSPEÇÃO: Assimetria
 AUSCULTA: Diminuição do murmúrio vesicular
unilateral  Pneumotórax ou hemotórax;
 Sons respiratórios anormais  crepitações;
 Sons cardíacos abafados e sopros.
 PALPAÇÃO:
 Pesquisa de pontos dolorosos, crepitação (óssea ou
e segmento instável da
enfisema subcutâneo)
parede torácica;
 PERCUSSÃO:
 Som abafado (contusão pulmonar ou hemotórax) e
timpânica (pneumotórax).
AVALIAÇÃO
EXAME FÍSICO
 OXIMETRIA DE PULSO;
CAPNOGRAFIA: análise do nível de CO2 no ar
expirado e monitorar estado geral do doente e
respostas ao tratamento.
FRATURAS DE COSTELAS
 Comuns;
 Grande quantidade de energia;
 Face lateral das costelas 4 a 8 (finas e menos
protegidas);
 Lesionar músculo, pulmões (contusão pulmonar e
pneumotórax) e vasos sanguíneos (ruptura
traumática da aorta);
 Costelas inferiores: lesões intra-
abdominais(esplênicas e hepáticas) CHOQUE;
FRATURAS DE COSTELAS
 AVALIAÇÃO: poucos sintomas; dor torácica e
dispneia, dificuldade de respiração, sensibilidade
da parede torácica e crepitação.
 Sinais vitais (frequência ventilatória e profundidade
da respiração) – oximetria e capnografia;
 TRATAMENTO:
 Inicial: alívio da dor (analgesia com pequenas doses
de narcóticos IV);
 Manter respiração profunda e tossir;
 Evitar imobilização de costelas com bandagem
firme ou atadura;
 Se necessário: adm. de O2 e assistência vent.
TÓRAX INSTÁVEL
 2 ou + costelas adjacentes fraturadas em pelo
menos dois lugares;
 Segmento  não apresenta mais continuidade;
 Comprometimento da troca gasosa  Contusão
pulmonar;
 Comprometimento da ventilação  movimento
paradoxo do segmento contundido durante a
respiração;
TÓRAX INSTÁVEL
 AVALIAÇÃO: Dor mais intensa (sofrimento); 
frequência ventilatória; hipóxia; movimento
paradoxal pode não ser evidente ou fácil
identificado; sensibilidade e crepitação óssea;
Palpação pode ser observada;
 TRATAMENTO:
 Alívio da dor;
 Suporte ventilatório (+ importante) e
monitoramento;
 Oximetria de pulso  hipóxia;
 Estabilização do segmento são contraindicados.
CONTUSÃO PULMONAR
 Laceração ou rompimento  mec. contusos ou
penetrantes;
 Sangue nos alvéolos e entre eles  dificuldade na
troca gasosa;
 Complicação comum e potencialmente letal;
 AVALIAÇÃO: os achados são variáveis; avalição
inicial pode não revelar dificuldade respiratória;
observar presença de retalho costal móvel.
 TRATAMENTO:
 Suporte ventilatório;
 Oximetria de pulso e capnografia;
 Reanimação volêmica  cautelosa ( edema) 
comprometimento da ventilação e a oxigenação.
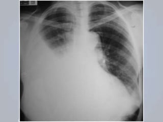
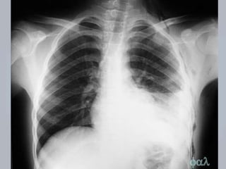
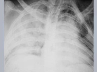
PNEUMOTÓRAX
 20% das lesões torácicas graves;
ABERTO
- Pneumotórax +
defeito na parede
torácica (entrada e
saída de ar);
SIMPLES
- Ar no espaço
pleural;
( ar  colabamento);
HIPERTENSIVO
- Ar continua a entrar e
é aprisionado no
espaço pleural  
pressão intratorácica
(desvio do mediastino,
 retorno venoso e
comprometimento da
função circulatória).
PNEUMOTÓRAX SIMPLES
 Ar no espaço pleural ( ar  colabamento);
 AVALIAÇÃO: dor torácica e sinais de disfunção
respiratória.
 EXAME FÍSICO:  M.V. - Timpanismo na percussão.
 TRATAMENTO:
 O2 suplementar;
 Acesso IV (caso CHOQUE);
 Oximetria de pulso e capnografia;
 Decúbito semissentado (conforto);
 Transporte rápido;
 Tratamento precoce (Simples  Hipertensivo).
PNEUMOTÓRAX ABERTO
 Comunicação entre o ar ambiente e o espaço
pleural;
 Inspiração: entrada de ar (pressão negativa) a
medida que os músculos se contraem;
 “Ferimento torácico soprante”;
  lesão:  a resistência ao fluxo;
 Ventilação eficaz inibida colapso do pulmão e
fluxo de ar preferencial;
 Mecanismos: arma de fogo, explosivos, arma
branca, empalamentos e trauma contuso.
PNEUMOTÓRAX ABERTO
 AVALIAÇÃO: insuficiência respiratória evidente;
ansioso e taquipneico; pulso radial, fino e rápido;
Ferimento na parede torácica com ruídos audíveis
de aspiração durante a inspiração com
borbulhamento durante expiração.
 TRATAMENTO:
 Selamento do defeito (Bandagem oclusiva) e adm de
O2 suplementar;
 Lesão subjacente no pulmão: extravasamento de ar por
duas fontes;
 Caso necessário: entubação endotraqueal e a
ventilação com pressão positiva.
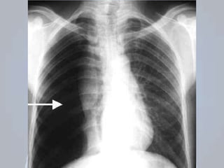
PNEUMOTÓRAX HIPERTENSIVO
 Emergência com risco de morte;
  risco: fratura de costelas, pneumotórax, ventilação +;
Entrada de ar
P
. intratorácica ELEVADA;
Comprometimento ventilatório/ retorno venoso ao coração;
 Troca gasosa  Débito cardíaco
CHOQUE
Desvio do mediastino
PNEUMOTÓRAX HIPERTENSIVO
AVALIAÇÃO: Apreensão e desconforto; Dor
torácica e dificuldade na respiração; Piora: agitação
crescente e sofrimento respiratório; Casos graves:
cianose e apneia;
 ACHADOS CLÁSSICOS: desvio traqueal,  M.V,
percussão timpânica;
 OUTROS ACHADOS: Turgência venosa jugular,
crepitação da parede torácica e cianose; Taquicardia e
taquipneia ( Pressão) culminando em hipotensão e
choque descompensado.
PNEUMOTÓRAX HIPERTENSIVO
 TRATAMENTO:
 Prioridade: Descompressão;
1. Piora do desconforto respiratório ou dificuldade da
ventilação com bolsa-valva-máscara;
2. Ausência ou redução unilateral dos sonos respiratórios;
3. Choque descompensado (pressão arterial sistólica <90
mmHg).
 Transporte rápido; adm de O2; ventilação positiva (apenas em
hipóxia e se não responder a suplementação de O2).
PNEUMOTÓRAX HIPERTENSIVO
 DESCOMPRESSÃO:
 REMOÇÃO DA BANDAGEM OCLUSIVA: permite a
descompressão do pneumotórax (saída de ar);
 DESCOMPRESSÃO COM AGULHA: permite que o ar escape;
• Inserção da agulha no 2º ou 3º espaço intercostal na linha
hemiclavicular;
• A agulha e o cateter devem ser introduzidos até surgir um
jato de ar e não, deve ultrapassar esse ponto.
• Após descompressão, o cateter é fixado ao tórax para evitar
seu deslocamento.
• Converte um pneumotórax hipertensivo em simples;
• Colocação incorreta (localização ou profundidade): causar
lesões em pulmões, coração ou grandes vasos.
 TORACOSTOMIA (TUBO TORÁCICO): procedimento cirúrgico.
• Não inseridos no ambiente pré-hospitalar (tempo,
complicações, infecções e treinamento).
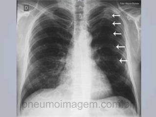
HEMOTÓRAX
 Presença de sangue no espaço pleural;
 Representa fonte de perda sanguínea importante;
 Mesmos mecanismos do pneumotórax;
Origem: parede da musculatura torácica, vasos
intercostais, parênquima pulmonar, vasos
pulmonares ou grandes vasos do tórax;
HEMOTÓRAX
AVALIAÇÃO: desconforto; dor torácica e a dispneia;
Sinais de choque: taquicardia, taquipneia, confusão,
palidez e hipotensão.
EXAME FÍSICO: sons respiratórios são diminuídos
ou ausentes; percussão é abafada;
PNEUMOTÓRAX + HEMOTÓRAX: probabilidade de
comprometimento cardiorrespiratório;
HEMOTÓRAX
 TRATAMENTO:
 Observação constante;
 Adm de O2 com auxílio de ventilação, se necessário,
bolsa-valva-máscara ou entubação endotraqueal;
 Acesso IV: reposição volêmica
 Transporte rápido (intervenção cirúrgica);
CONTUSÃO CARDÍACA
 Causa mais frequente de lesão cardíaca;
“Desaceleração, incidente automobilístico com impacto
frontal”;
 Pressão dentro dos ventrículos  contusão cardíaca,
lesão valvular e ruptura cardíaca;
CONTUSÃO CARDÍACA
 CONTUSÃO CARDÍACA: + comum; causa arritmias;
Miocárdio lesionado a contratilidade do coração poderá
ser prejudicada e o débito cardíaco cairá, causando
choque cardiogênico (adm. de líquidos piora o quadro).
 RUPTURA VALVULAR: presença de graus variáveis de
choque com sinais e sintomas de ICC (taquipneia,
estertores e sopro).
 RUPTURA CARDÍACA CONTUSA: menos de 1%; maioria
morre no local (exsanguinação e tamponamento cardíaco).
CONTUSÃO CARDÍACA
 AVALIAÇÃO: Avaliar o mecanismo do trauma; Dor torácica
ou falta de ar; Arritmias (palpitações);
 ACHADOS FÍSICOS PREOCUPANTES: Contusões ou
crepitação sobre o esterno e instabilidade esternal;
Afundamento do esterno (respiração paradoxal). Ruptura
valvular: sopro rude sobre o precórdio + sinais de ICC
aguda (hipotensão, turgência jugular e sons respiratórios
anormais).
ECG: taquicardia, extra-sístoles ventriculares, outras
alterações do ritmo cardíaco ou elevação do segmento ST.
CONTUSÃO CARDÍACA
 TRATAMENTO:
 Avaliação correta;
 Adm O2 em  concentração;
 Acesso venoso  reposição volêmica;
 Monitor cardíaco  detectar arritmias e elevações de
onda ST;
 Arritmia  farmacologia antiarrítmica protocolizada
(Amiodarona).
 Suporte ventilatório.
TAMPONAMENTO CARDÍACO
 “Ocorre quando um ferimento cardíaco permite acumulo
agudo de fluído entre o saco pericárdico e o coração”;
 Saco pericárdico: tecido fibroso inelástico;
Ferimento cardíaco
Extravasamento e acúmulo de líquido no pericárdio
( Pressão no interior)
Impede o retorno venoso e  débito cardíaco e da Pa
Atividade elétrica sem pulso (AESP)
TAMPONAMENTO CARDÍACO
 Arma branca: pode penetrar uma das câmaras cardíacas
ou apenas lacerar o miocárdio  hemorragia no saco
pericárdico;
 Arma de fogo: o dano ao coração é tão grave, o pericárdio
não consegue conter hemorragia (rápida exsanguinação);
 “Presente até prova em contrário”.
TAMPONAMENTO CARDÍACO
 AVALIAÇÃO: Tríade de Beck - (1) bulhas cardíacas
abafadas ou distantes; (2) turgência jugular; (3)
hipotensão; Pulso paradoxal;
 TRATAMENTO:
 Reconhecimento para preparação hospitalar;
 Adm. O2  [ ], obter acesso venoso e reposição volêmica;
 Pcte hipotenso entubação endotraqueal e ventilação +;
 Transporte rápido e monitorado (procedimentos cirúrgicos);
 Tto definitivo: liberação do tamponamento e o reparo da
lesão cardíaca;
 Pericardiocentese: ganho de tempo;  risco.
COMOÇÃO CARDÍACA
 “Impacto aparentemente inócuo na porção anterior do
tórax produz uma parada cardíaca súbita.”
Súbita parada cardíaca
Impacto penetrante
relativamente pequeno
no précordio que ocorre
em uma porção
eletricamente vulnerável
do ciclo cardíaco
Arritmia
Vasoespasmo das
coronárias pode ter papel
em seu desenvolvimento
COMOÇÃO CARDÍACA
 AVALIAÇÃO: parada cardiorrespiratória; contusões sobre
esterno; Fibrilação ventricular é o ritmo mais comum;
 TRATAMENTO:
 RCP;
 Tto similar às paradas cardíacas (infarto do miocárdio);
 Desfibrilação rápida (FV);
 Prognóstico ruim (sobrevida de 15% ou menos);
 Contole da via aérea e acesso venoso;
 Epinefrina e antiarrítmicos (protocolo).
Entre 1975 e 2001, mais de 60 jogadores de beisebol e softball morreram dessa
maneira.
A má notícia é que não parece haver um fator de predisposição. Qualquer pessoa
atingida no peito da maneira exatamente errada pode sofrer um ataque.
A boa notícia é que as vítimas podem ser salvas por uma ação rápida com um
desfibrilador. Infelizmente, a demora para obter ajuda é freqüente, e somente 16%
das vítimas estudadas sobreviveram.
RUPTURA TRAUMÁTICA DE AORTA
 “Resulta de mecanismos de desaceleração/ aceleração de
uma força significativa”;
 Mecanismos: colisões automobilísticas em alta velocidade
com impacto frontal e quedas de grandes alturas nas quais
o doente cai na horizontal;
 Clássica localização: imediatamente distal à saída da
artéria subclávia esquerda;
RUPTURA TRAUMÁTICA DE AORTA
 AVALIAÇÃO:  índice de suspeita;  evidências externas;
avaliar condições da via aérea e da ventilação;
 EXAME FÍSICO: ausculta e palpação cuidadosas. (Pulso
mais forte direito/pulso mais forte MS);
 DIAGNÓSTICO: Raio X (alargamento do mediastino);
aortografia; TC; ecocardiografia transesofágica.
RUPTURA TRAUMÁTICA DE AORTA
 TRATAMENTO:
 Adm. O2  [ ];
 Acesso venoso;
 Informar o hospital;
 Controle da pressão arterial (betabloqueadores) 
bom prognóstico das lesões;
 Reposição volêmica criteriosa (paradoxo).
RUPTURA TRAQUEOBRÔNQUICA
 Incomum e alto potencial letal;
 Trauma penetrante e trauma fechado (lesão contusa de
alta energia);
 AVALIAÇÃO: insuficiência respiratória, pálido e sudoreico;
Utilização dos ms. acessórios da respiração, roncos e
batimentos de asa do nariz; Presença de enfisema
subcutâneo extenso (tórax e pescoço), desvio da traqueia.
 ventilação,  saturação O2. Hipotensão e hemoptise;
RUPTURA TRAQUEOBRÔNQUICA
 TRATAMENTO:
 Adm. O2 suplementar e assistência ventilatória
criteriosa;
 Monitoramento de sinais de progressão ao
pneumotórax hipertensivo (descompressão com
agulha);
 Evitar entubação seletiva do brônquio principal (difícil
realização e piora da lesão).
ASFIXIA TRAUMÁTICA
 Comprometimento do retorno venoso da cabeça e do
pescoço  Coloração azulada;
 Mecanismo:  acentuado e abrupto da pressão torácica
por esmagamento do tronco  sangue expulso pelo
coração entrando nas veias pela direção retrógada;
 Vênulas subcutâneas e pequenos capilares se rompem 
cor arroxeada;
ASFIXIA TRAUMÁTICA
 AVALIAÇÃO: pletora e lesões adicionais (pneumotórax,
hemotórax, contusão cardíaca e pulmonar, etc);
 TRATAMENTO:
 Adm. O2  [ ];
 Acesso venoso;
 Suporte ventilatório criterioso;
 Coloração: desaparece em uma semana.
RUPTURA DE DIAFRAGMA
 Não apresentam por si só problemas agudos, mas devem
ser reparadas em função do risco de herniação e
estrangulamento do conteúdo abdominal.
 Mecanismo: aplicação de força suficiente a ponto de
aumentar agudamente a pressão abdominal de forma
abrupta e suficiente para romper o diafragma.
 Pode originar: disfunção respiratória, fratura das costelas,
hemotórax e pneumotórax;
 Pode ocorrer lesões de órgãos abdominais  são forçados
através da laceração diafragmática até a cavidade pleural.
RUPTURA DE DIAFRAGMA
 AVALIAÇÃO: esforço respiratório agudo, ansioso,
taquipneico, pálido. Pode apresentar contusões da parede
torácica, crepitação óssea ou enfisema subcutâneo.
 EXAME FÍSICO: M.V. diminuído ou ruídos hidroaéreos
auscultados sobre o tórax. Abdome escavado (herniação
de conteúdo abdominal).
 TRATAMENTO:
 Reconhecimento imediato;
 O2 suplementar  e suporte ventilatório.
OBRIGADO!

traumatorcico.pptx

  • 1.
  • 2.
    INTRODUÇÃO Trauma torácico mecanismos penetrantes; Maioria dos tratamentos  contusos e intervenções relativamente simples; Lesões significativas (órgãos envolvidos na manutenção da oxigenação, ventilação e oferta de oxigênio); Morbidades significativas: • Hipóxia; • Hipercapnia; • Acidose; • Choque.
  • 3.
  • 5.
  • 8.
    FISIOPATOLOGIA LESÃO PENETRANTE: Penetração doar (Pressão e  Resistência); Rompimento da aderência entre as membranas pleurais PNEUMOTÓRAX; Colabamento (impedimento de ventilação eficaz). Respiração superficial  Estimulação do centro respiratório   esforço respiratório
  • 9.
    FISIOPATOLOGIA LESÃO PENETRANTE:  Entradade ar (sem saída)  PNEUMOTÓRAX hipertensivo  impede a respiração   Retorno venoso  CHOQUE;  Deslocamento mediastino  Retorno venoso   PA  Distensão da veia jugular . ***Desvio de traqueia***  Ferimentos penetrantes  hemorragia (HEMOTÓRAX)  não visível/ visível  CHOQUE e  Capacidade respiratória;  Ferimentos pulmonares  hemorragias  sangue nos alvéolos   ventilação e oxigenação;
  • 10.
    FISIOPATOLOGIA LESÃO CONTUSA: Aplicada naparede torácica  órgãos torácicos (pulmões)  hemorragia   ventilação e oxigenação; Lesão da pleura parietal  ar no espaço pleural  PNEUMOTÓRAX (hipertensivo);  Fratura de costelas  laceração pulmonar  PNEUMOTÓRAX E HEMOTÓRAX; Grandes vasos (aorta)  Hemorragia catastrófica.
  • 11.
    AVALIAÇÃO  Coleta dahistória e realização do exame físico;  SINTOMAS;  ALERGIAS E OS ANOS DE VIDA DO PACIENTE;  MEDICAÇÕES;  PASSADO MÉDICO;  LÍQUIDOS E ÚLTIMA ALIMENTAÇÃO;  AMBIENTE DO TRAUMA;  Mecanismo do trauma?***
  • 12.
    AVALIAÇÃO EXAME FÍSICO  OBSERVAÇÃO: DOENTE CIANOSE (HIPÓXIA) FREQUÊNCIA VENTILATÓRIA E DIFICULDADE RESPIRATÓRIA APREENSIV OOU TONTURA (CHOQUE) PALIDEZ CUTÂNEA E SUDORESE (CHOQUE) DESVIO DE TRAQUEIA VEIAS JUGULARES DISTENDIDAS SIMETRIA DO TÓRAX E LESÕES
  • 13.
    AVALIAÇÃO EXAME FÍSICO  INSPEÇÃO:Assimetria  AUSCULTA: Diminuição do murmúrio vesicular unilateral  Pneumotórax ou hemotórax;  Sons respiratórios anormais  crepitações;  Sons cardíacos abafados e sopros.  PALPAÇÃO:  Pesquisa de pontos dolorosos, crepitação (óssea ou e segmento instável da enfisema subcutâneo) parede torácica;  PERCUSSÃO:  Som abafado (contusão pulmonar ou hemotórax) e timpânica (pneumotórax).
  • 14.
    AVALIAÇÃO EXAME FÍSICO  OXIMETRIADE PULSO; CAPNOGRAFIA: análise do nível de CO2 no ar expirado e monitorar estado geral do doente e respostas ao tratamento.
  • 15.
    FRATURAS DE COSTELAS Comuns;  Grande quantidade de energia;  Face lateral das costelas 4 a 8 (finas e menos protegidas);  Lesionar músculo, pulmões (contusão pulmonar e pneumotórax) e vasos sanguíneos (ruptura traumática da aorta);  Costelas inferiores: lesões intra- abdominais(esplênicas e hepáticas) CHOQUE;
  • 16.
    FRATURAS DE COSTELAS AVALIAÇÃO: poucos sintomas; dor torácica e dispneia, dificuldade de respiração, sensibilidade da parede torácica e crepitação.  Sinais vitais (frequência ventilatória e profundidade da respiração) – oximetria e capnografia;  TRATAMENTO:  Inicial: alívio da dor (analgesia com pequenas doses de narcóticos IV);  Manter respiração profunda e tossir;  Evitar imobilização de costelas com bandagem firme ou atadura;  Se necessário: adm. de O2 e assistência vent.
  • 19.
    TÓRAX INSTÁVEL  2ou + costelas adjacentes fraturadas em pelo menos dois lugares;  Segmento  não apresenta mais continuidade;  Comprometimento da troca gasosa  Contusão pulmonar;  Comprometimento da ventilação  movimento paradoxo do segmento contundido durante a respiração;
  • 21.
    TÓRAX INSTÁVEL  AVALIAÇÃO:Dor mais intensa (sofrimento);  frequência ventilatória; hipóxia; movimento paradoxal pode não ser evidente ou fácil identificado; sensibilidade e crepitação óssea; Palpação pode ser observada;  TRATAMENTO:  Alívio da dor;  Suporte ventilatório (+ importante) e monitoramento;  Oximetria de pulso  hipóxia;  Estabilização do segmento são contraindicados.
  • 23.
    CONTUSÃO PULMONAR  Laceraçãoou rompimento  mec. contusos ou penetrantes;  Sangue nos alvéolos e entre eles  dificuldade na troca gasosa;  Complicação comum e potencialmente letal;  AVALIAÇÃO: os achados são variáveis; avalição inicial pode não revelar dificuldade respiratória; observar presença de retalho costal móvel.  TRATAMENTO:  Suporte ventilatório;  Oximetria de pulso e capnografia;  Reanimação volêmica  cautelosa ( edema)  comprometimento da ventilação e a oxigenação.
  • 26.
    PNEUMOTÓRAX  20% daslesões torácicas graves; ABERTO - Pneumotórax + defeito na parede torácica (entrada e saída de ar); SIMPLES - Ar no espaço pleural; ( ar  colabamento); HIPERTENSIVO - Ar continua a entrar e é aprisionado no espaço pleural   pressão intratorácica (desvio do mediastino,  retorno venoso e comprometimento da função circulatória).
  • 27.
    PNEUMOTÓRAX SIMPLES  Arno espaço pleural ( ar  colabamento);  AVALIAÇÃO: dor torácica e sinais de disfunção respiratória.  EXAME FÍSICO:  M.V. - Timpanismo na percussão.  TRATAMENTO:  O2 suplementar;  Acesso IV (caso CHOQUE);  Oximetria de pulso e capnografia;  Decúbito semissentado (conforto);  Transporte rápido;  Tratamento precoce (Simples  Hipertensivo).
  • 29.
    PNEUMOTÓRAX ABERTO  Comunicaçãoentre o ar ambiente e o espaço pleural;  Inspiração: entrada de ar (pressão negativa) a medida que os músculos se contraem;  “Ferimento torácico soprante”;   lesão:  a resistência ao fluxo;  Ventilação eficaz inibida colapso do pulmão e fluxo de ar preferencial;  Mecanismos: arma de fogo, explosivos, arma branca, empalamentos e trauma contuso.
  • 31.
    PNEUMOTÓRAX ABERTO  AVALIAÇÃO:insuficiência respiratória evidente; ansioso e taquipneico; pulso radial, fino e rápido; Ferimento na parede torácica com ruídos audíveis de aspiração durante a inspiração com borbulhamento durante expiração.  TRATAMENTO:  Selamento do defeito (Bandagem oclusiva) e adm de O2 suplementar;  Lesão subjacente no pulmão: extravasamento de ar por duas fontes;  Caso necessário: entubação endotraqueal e a ventilação com pressão positiva.
  • 35.
    PNEUMOTÓRAX HIPERTENSIVO  Emergênciacom risco de morte;   risco: fratura de costelas, pneumotórax, ventilação +; Entrada de ar P . intratorácica ELEVADA; Comprometimento ventilatório/ retorno venoso ao coração;  Troca gasosa  Débito cardíaco CHOQUE Desvio do mediastino
  • 37.
    PNEUMOTÓRAX HIPERTENSIVO AVALIAÇÃO: Apreensãoe desconforto; Dor torácica e dificuldade na respiração; Piora: agitação crescente e sofrimento respiratório; Casos graves: cianose e apneia;  ACHADOS CLÁSSICOS: desvio traqueal,  M.V, percussão timpânica;  OUTROS ACHADOS: Turgência venosa jugular, crepitação da parede torácica e cianose; Taquicardia e taquipneia ( Pressão) culminando em hipotensão e choque descompensado.
  • 39.
    PNEUMOTÓRAX HIPERTENSIVO  TRATAMENTO: Prioridade: Descompressão; 1. Piora do desconforto respiratório ou dificuldade da ventilação com bolsa-valva-máscara; 2. Ausência ou redução unilateral dos sonos respiratórios; 3. Choque descompensado (pressão arterial sistólica <90 mmHg).  Transporte rápido; adm de O2; ventilação positiva (apenas em hipóxia e se não responder a suplementação de O2).
  • 40.
    PNEUMOTÓRAX HIPERTENSIVO  DESCOMPRESSÃO: REMOÇÃO DA BANDAGEM OCLUSIVA: permite a descompressão do pneumotórax (saída de ar);  DESCOMPRESSÃO COM AGULHA: permite que o ar escape; • Inserção da agulha no 2º ou 3º espaço intercostal na linha hemiclavicular; • A agulha e o cateter devem ser introduzidos até surgir um jato de ar e não, deve ultrapassar esse ponto. • Após descompressão, o cateter é fixado ao tórax para evitar seu deslocamento. • Converte um pneumotórax hipertensivo em simples; • Colocação incorreta (localização ou profundidade): causar lesões em pulmões, coração ou grandes vasos.  TORACOSTOMIA (TUBO TORÁCICO): procedimento cirúrgico. • Não inseridos no ambiente pré-hospitalar (tempo, complicações, infecções e treinamento).
  • 44.
    HEMOTÓRAX  Presença desangue no espaço pleural;  Representa fonte de perda sanguínea importante;  Mesmos mecanismos do pneumotórax; Origem: parede da musculatura torácica, vasos intercostais, parênquima pulmonar, vasos pulmonares ou grandes vasos do tórax;
  • 46.
    HEMOTÓRAX AVALIAÇÃO: desconforto; dortorácica e a dispneia; Sinais de choque: taquicardia, taquipneia, confusão, palidez e hipotensão. EXAME FÍSICO: sons respiratórios são diminuídos ou ausentes; percussão é abafada; PNEUMOTÓRAX + HEMOTÓRAX: probabilidade de comprometimento cardiorrespiratório;
  • 47.
    HEMOTÓRAX  TRATAMENTO:  Observaçãoconstante;  Adm de O2 com auxílio de ventilação, se necessário, bolsa-valva-máscara ou entubação endotraqueal;  Acesso IV: reposição volêmica  Transporte rápido (intervenção cirúrgica);
  • 50.
    CONTUSÃO CARDÍACA  Causamais frequente de lesão cardíaca; “Desaceleração, incidente automobilístico com impacto frontal”;  Pressão dentro dos ventrículos  contusão cardíaca, lesão valvular e ruptura cardíaca;
  • 52.
    CONTUSÃO CARDÍACA  CONTUSÃOCARDÍACA: + comum; causa arritmias; Miocárdio lesionado a contratilidade do coração poderá ser prejudicada e o débito cardíaco cairá, causando choque cardiogênico (adm. de líquidos piora o quadro).  RUPTURA VALVULAR: presença de graus variáveis de choque com sinais e sintomas de ICC (taquipneia, estertores e sopro).  RUPTURA CARDÍACA CONTUSA: menos de 1%; maioria morre no local (exsanguinação e tamponamento cardíaco).
  • 54.
    CONTUSÃO CARDÍACA  AVALIAÇÃO:Avaliar o mecanismo do trauma; Dor torácica ou falta de ar; Arritmias (palpitações);  ACHADOS FÍSICOS PREOCUPANTES: Contusões ou crepitação sobre o esterno e instabilidade esternal; Afundamento do esterno (respiração paradoxal). Ruptura valvular: sopro rude sobre o precórdio + sinais de ICC aguda (hipotensão, turgência jugular e sons respiratórios anormais). ECG: taquicardia, extra-sístoles ventriculares, outras alterações do ritmo cardíaco ou elevação do segmento ST.
  • 55.
    CONTUSÃO CARDÍACA  TRATAMENTO: Avaliação correta;  Adm O2 em  concentração;  Acesso venoso  reposição volêmica;  Monitor cardíaco  detectar arritmias e elevações de onda ST;  Arritmia  farmacologia antiarrítmica protocolizada (Amiodarona).  Suporte ventilatório.
  • 57.
    TAMPONAMENTO CARDÍACO  “Ocorrequando um ferimento cardíaco permite acumulo agudo de fluído entre o saco pericárdico e o coração”;  Saco pericárdico: tecido fibroso inelástico; Ferimento cardíaco Extravasamento e acúmulo de líquido no pericárdio ( Pressão no interior) Impede o retorno venoso e  débito cardíaco e da Pa Atividade elétrica sem pulso (AESP)
  • 59.
    TAMPONAMENTO CARDÍACO  Armabranca: pode penetrar uma das câmaras cardíacas ou apenas lacerar o miocárdio  hemorragia no saco pericárdico;  Arma de fogo: o dano ao coração é tão grave, o pericárdio não consegue conter hemorragia (rápida exsanguinação);  “Presente até prova em contrário”.
  • 61.
    TAMPONAMENTO CARDÍACO  AVALIAÇÃO:Tríade de Beck - (1) bulhas cardíacas abafadas ou distantes; (2) turgência jugular; (3) hipotensão; Pulso paradoxal;  TRATAMENTO:  Reconhecimento para preparação hospitalar;  Adm. O2  [ ], obter acesso venoso e reposição volêmica;  Pcte hipotenso entubação endotraqueal e ventilação +;  Transporte rápido e monitorado (procedimentos cirúrgicos);  Tto definitivo: liberação do tamponamento e o reparo da lesão cardíaca;  Pericardiocentese: ganho de tempo;  risco.
  • 62.
    COMOÇÃO CARDÍACA  “Impactoaparentemente inócuo na porção anterior do tórax produz uma parada cardíaca súbita.” Súbita parada cardíaca Impacto penetrante relativamente pequeno no précordio que ocorre em uma porção eletricamente vulnerável do ciclo cardíaco Arritmia Vasoespasmo das coronárias pode ter papel em seu desenvolvimento
  • 63.
    COMOÇÃO CARDÍACA  AVALIAÇÃO:parada cardiorrespiratória; contusões sobre esterno; Fibrilação ventricular é o ritmo mais comum;  TRATAMENTO:  RCP;  Tto similar às paradas cardíacas (infarto do miocárdio);  Desfibrilação rápida (FV);  Prognóstico ruim (sobrevida de 15% ou menos);  Contole da via aérea e acesso venoso;  Epinefrina e antiarrítmicos (protocolo).
  • 64.
    Entre 1975 e2001, mais de 60 jogadores de beisebol e softball morreram dessa maneira. A má notícia é que não parece haver um fator de predisposição. Qualquer pessoa atingida no peito da maneira exatamente errada pode sofrer um ataque. A boa notícia é que as vítimas podem ser salvas por uma ação rápida com um desfibrilador. Infelizmente, a demora para obter ajuda é freqüente, e somente 16% das vítimas estudadas sobreviveram.
  • 65.
    RUPTURA TRAUMÁTICA DEAORTA  “Resulta de mecanismos de desaceleração/ aceleração de uma força significativa”;  Mecanismos: colisões automobilísticas em alta velocidade com impacto frontal e quedas de grandes alturas nas quais o doente cai na horizontal;  Clássica localização: imediatamente distal à saída da artéria subclávia esquerda;
  • 68.
    RUPTURA TRAUMÁTICA DEAORTA  AVALIAÇÃO:  índice de suspeita;  evidências externas; avaliar condições da via aérea e da ventilação;  EXAME FÍSICO: ausculta e palpação cuidadosas. (Pulso mais forte direito/pulso mais forte MS);  DIAGNÓSTICO: Raio X (alargamento do mediastino); aortografia; TC; ecocardiografia transesofágica.
  • 70.
    RUPTURA TRAUMÁTICA DEAORTA  TRATAMENTO:  Adm. O2  [ ];  Acesso venoso;  Informar o hospital;  Controle da pressão arterial (betabloqueadores)  bom prognóstico das lesões;  Reposição volêmica criteriosa (paradoxo).
  • 71.
    RUPTURA TRAQUEOBRÔNQUICA  Incomume alto potencial letal;  Trauma penetrante e trauma fechado (lesão contusa de alta energia);  AVALIAÇÃO: insuficiência respiratória, pálido e sudoreico; Utilização dos ms. acessórios da respiração, roncos e batimentos de asa do nariz; Presença de enfisema subcutâneo extenso (tórax e pescoço), desvio da traqueia.  ventilação,  saturação O2. Hipotensão e hemoptise;
  • 73.
    RUPTURA TRAQUEOBRÔNQUICA  TRATAMENTO: Adm. O2 suplementar e assistência ventilatória criteriosa;  Monitoramento de sinais de progressão ao pneumotórax hipertensivo (descompressão com agulha);  Evitar entubação seletiva do brônquio principal (difícil realização e piora da lesão).
  • 75.
    ASFIXIA TRAUMÁTICA  Comprometimentodo retorno venoso da cabeça e do pescoço  Coloração azulada;  Mecanismo:  acentuado e abrupto da pressão torácica por esmagamento do tronco  sangue expulso pelo coração entrando nas veias pela direção retrógada;  Vênulas subcutâneas e pequenos capilares se rompem  cor arroxeada;
  • 76.
    ASFIXIA TRAUMÁTICA  AVALIAÇÃO:pletora e lesões adicionais (pneumotórax, hemotórax, contusão cardíaca e pulmonar, etc);  TRATAMENTO:  Adm. O2  [ ];  Acesso venoso;  Suporte ventilatório criterioso;  Coloração: desaparece em uma semana.
  • 78.
    RUPTURA DE DIAFRAGMA Não apresentam por si só problemas agudos, mas devem ser reparadas em função do risco de herniação e estrangulamento do conteúdo abdominal.  Mecanismo: aplicação de força suficiente a ponto de aumentar agudamente a pressão abdominal de forma abrupta e suficiente para romper o diafragma.  Pode originar: disfunção respiratória, fratura das costelas, hemotórax e pneumotórax;  Pode ocorrer lesões de órgãos abdominais  são forçados através da laceração diafragmática até a cavidade pleural.
  • 80.
    RUPTURA DE DIAFRAGMA AVALIAÇÃO: esforço respiratório agudo, ansioso, taquipneico, pálido. Pode apresentar contusões da parede torácica, crepitação óssea ou enfisema subcutâneo.  EXAME FÍSICO: M.V. diminuído ou ruídos hidroaéreos auscultados sobre o tórax. Abdome escavado (herniação de conteúdo abdominal).  TRATAMENTO:  Reconhecimento imediato;  O2 suplementar  e suporte ventilatório.
  • 81.