Wagner Iared
 Anatomia do desfiladeiro cervicotorácico
 Conceito da síndrome do desfiladeiro
 Classificação e manifestações clínicas
 Causas
 Diagnóstico diferencial
 Alguns testes clínicos
 Técnica do exame US Doppler
 Critérios diagnósticos ao US Doppler
 Desfiladeiro cervicotorácico
 Triângulo dos escalenos
 Espaço costoclavicular
 Espaço retropeitoral menor
 Artéria subclávia
 Veia subclávia
 Troncos do plexo braquial
Demondion X, et al. J Ultrasound Med. 2006 Feb;25(2):217-24.
 Peet et. al 1956
 Quadro clínico atribuído à compressão do
 Plexo braquial (95%)
 Vascular (5%)
 Artéria subclávia (1%)
* Viés de recrutamento
 3 a 80 casos / 1.000 habitantes
 Predomínio no sexo feminino (4:1)
 20 – 50 anos
Foley JM, et.al. Toxins 4:1223-1235, 2012
Peet PM, et. al. Mayo Clin Proc 31:281-7, 1956.
Huang JH, et. al. Neurosurgery 55:897-903, 2004
Demondion X, et al. RadioGraphics. 2006;26:1735-50
 S.D.T. Arterial
 S.D.T. Venosa
 S.D.T. Neurogênica
 1% dos casos
 Quadro clínico
 Isquemia digital
 Claudicação do MS
 Parestesias
 Dor
 Palidez
 Redução da temperatura da mão
 Possibilidade de desenvolver
 Aneurisma
 Trombose
 Emissão de embolos
 Causa comum
 Costela cervical
 Tratamento geralmente cirúrgico
 Remoção da costela anômala
 Reconstrução do segmento arterial
 Cerca de 4% dos casos
 Quadro clínico
 Edema
 Veias superficiais ectasiadas (colaterais)
 Palidez
 Cianose
 Parestesias
 Obstrução da veia subclávia
 Geralmente secundária a trombose
 Lesão intimal por compressões repetitivas
 Tratamento
 Trombolítico - fase aguda
 Remoção da costela anômala
 Angioplastia de estenose residual
 Bypass
 95% dos casos
 Quadro clínico
 Dor , entorpecimento e parestesias
 Pescoço, ombro, braço, antebraço e mão
 Parestesias em todos os dedos, com predomínio no
4º e 5º, e face medial do antebraço
 Piora dos sintomas com elevação do membro
superio e posturas de alongamento do braço
 Sensibilidade dos mm. escalenos e espaço
subcoracóide
 Sinal de Tinel no triângulo dos escalenos
 Tratamento
 Reeducação postural
 Orientação ergonômica
 Fisioterapia
 Exercícios de alongamento
 Biofeedback
 Injeção de toxina botulínica nos mm. escalenos
 Cirurgia
 Escalenectomia
 Ressecção da primeira costela
 Tenotomia do peitoral menor
Francisco MC, et. al. Rev Bras Reumatol 46(5):353-5, 2006
 Costela cervical
 Processo transverso de C7 longo
 Banda fibrosa entre os músculos escalenos
 Músculo supranumerário (m. subclávio
póstico; m. escaleno mínimo)
 Anomalia da inserção muscular
 Calo ósseo (fratura de clavícula)
 Fibrose (processo cicatricial)
 Outras
 Hérnia de disco cervical
 Espondiloartrose cervical (doença facetária)
 Malignidades (tumor de Pancoast, tumores locais,
tumores da medula espinhal)
 Compressões do nervo mediano ou ulnar
 Lesão do manguito rotador
 Fibromialgia
 Neuropatia periférica de membros superiores
 Vasculite
 Doença de Reynaud
 Testes clínicos
 Estudos eletrofisiológicos
 Diagnóstico por imagem
 Testes clínicos
 Manobras (Adson, Wright, CC, Roos)
 Estudos eletrofisiológicos
 Eletromiografia, Potencial evocado
 Diagnóstico por imagem
 RX, TC, RM, Angio, US Doppler
 Testes clínicos
 Manobra de Adson
 Manobra costoclavicular
 Manobra de Wright
 Manobra de Roos
 Testes clínicos
 Manobra de Adson
 Manobra costoclavicular
 Manobra de Wright
 Manobra de Roos
 Testes clínicos
 Manobra de Adson
 Manobra costoclavicular
 Manobra de Wright
 Manobra de Roos
 Testes clínicos
 Manobra de Adson
 Manobra costoclavicular
 Manobra de Wright
 Manobra de Roos
 Testes clínicos
 Manobra de Adson
 Manobra costoclavicular
 Manobra de Wright
 Manobra de Roos
 Diagnóstico por imagem
 Radiografia Convencional
 Tomografia Computadorizada
 Ressonância Magnética
 Arteriografia
 Venografia
 US Doppler
 Diagnóstico por imagem
 Radiografia Convencional
 Tomografia Computadorizada
 Ressonância Magnética
 Arteriografia
 Venografia
 US Doppler
 Repouso
 Sala com temperatura estável (19 – 24oC)
 Posição supina
 Posição sentada ou ortostática
 Transdutor linear (7 – 12 MHz)
 Paciente em decúbito
 Avaliação morfológica
 Padrão espectral
 Velocidades basais ao longo do trajeto arterial
 Pesquisa de trombose venosa
 Pesquisa da síndrome
 Paciente sentado ou em pé
 Realizar manobras
 Adson e Adson modificado
 Inspiração profunda e rotação ipsilateral e contralateral
da cabeça, com abdução do braço
 Adson modificado com Wright
 Inspiração profunda e rotação contralateral da cabeça
com braço em abdução máxima
 Costoclavicular
 Ombros para trás e para baixo em inspiração profunda
Demondion X, et al. J Ultrasound Med. 2006 Feb;25(2):217-24.
 É importante completar o exame com posição
específica, indicada pelo paciente, que
desencadeie seus sintomas
 Aumento das velocidades de fluxo na artéria
subclávia durante a realização das manobras
provocativas
 > 2,5 vezes a velocidade basal
 Redução significativa das velocidades ou
abolição do fluxo nas artérias distais durante as
manobras provocativas
Cortesia do DR. PETER C. FRANÇOLIN
Cortesia do DR. PETER C. FRANÇOLIN
Cortesia do DR. PETER C. FRANÇOLIN
Cortesia do DR. PETER C. FRANÇOLIN
Síndrome de Paget-Schroetter
 Anatomia
 Triângulo dos escalenos, espaço costoclavicular e
espaço retropeitoral menor
 Causas
 Costela cervical, processo transverso longo de C7,
banda fibrosa, calo ósseo, etc.
 Técnica do exame ultrassonográfico
 Manobra de Adson modificada, hiperabdução
 Critérios de diagnóstico ao US Doppler
 Aumento da velocidade de fluxo, redução/abolição
do fluxo
 Pesquisar trombose venosa

Ultrassonografia na Síndrome do desfiladeiro

  • 1.
  • 2.
     Anatomia dodesfiladeiro cervicotorácico  Conceito da síndrome do desfiladeiro  Classificação e manifestações clínicas  Causas  Diagnóstico diferencial  Alguns testes clínicos  Técnica do exame US Doppler  Critérios diagnósticos ao US Doppler
  • 3.
     Desfiladeiro cervicotorácico Triângulo dos escalenos  Espaço costoclavicular  Espaço retropeitoral menor  Artéria subclávia  Veia subclávia  Troncos do plexo braquial Demondion X, et al. J Ultrasound Med. 2006 Feb;25(2):217-24.
  • 8.
     Peet et.al 1956  Quadro clínico atribuído à compressão do  Plexo braquial (95%)  Vascular (5%)  Artéria subclávia (1%) * Viés de recrutamento  3 a 80 casos / 1.000 habitantes  Predomínio no sexo feminino (4:1)  20 – 50 anos Foley JM, et.al. Toxins 4:1223-1235, 2012 Peet PM, et. al. Mayo Clin Proc 31:281-7, 1956. Huang JH, et. al. Neurosurgery 55:897-903, 2004 Demondion X, et al. RadioGraphics. 2006;26:1735-50
  • 9.
     S.D.T. Arterial S.D.T. Venosa  S.D.T. Neurogênica
  • 10.
     1% doscasos  Quadro clínico  Isquemia digital  Claudicação do MS  Parestesias  Dor  Palidez  Redução da temperatura da mão
  • 11.
     Possibilidade dedesenvolver  Aneurisma  Trombose  Emissão de embolos  Causa comum  Costela cervical  Tratamento geralmente cirúrgico  Remoção da costela anômala  Reconstrução do segmento arterial
  • 12.
     Cerca de4% dos casos  Quadro clínico  Edema  Veias superficiais ectasiadas (colaterais)  Palidez  Cianose  Parestesias
  • 13.
     Obstrução daveia subclávia  Geralmente secundária a trombose  Lesão intimal por compressões repetitivas  Tratamento  Trombolítico - fase aguda  Remoção da costela anômala  Angioplastia de estenose residual  Bypass
  • 14.
     95% doscasos  Quadro clínico  Dor , entorpecimento e parestesias  Pescoço, ombro, braço, antebraço e mão  Parestesias em todos os dedos, com predomínio no 4º e 5º, e face medial do antebraço  Piora dos sintomas com elevação do membro superio e posturas de alongamento do braço  Sensibilidade dos mm. escalenos e espaço subcoracóide  Sinal de Tinel no triângulo dos escalenos
  • 15.
     Tratamento  Reeducaçãopostural  Orientação ergonômica  Fisioterapia  Exercícios de alongamento  Biofeedback  Injeção de toxina botulínica nos mm. escalenos  Cirurgia  Escalenectomia  Ressecção da primeira costela  Tenotomia do peitoral menor
  • 16.
    Francisco MC, et.al. Rev Bras Reumatol 46(5):353-5, 2006
  • 17.
     Costela cervical Processo transverso de C7 longo  Banda fibrosa entre os músculos escalenos  Músculo supranumerário (m. subclávio póstico; m. escaleno mínimo)  Anomalia da inserção muscular  Calo ósseo (fratura de clavícula)  Fibrose (processo cicatricial)  Outras
  • 20.
     Hérnia dedisco cervical  Espondiloartrose cervical (doença facetária)  Malignidades (tumor de Pancoast, tumores locais, tumores da medula espinhal)  Compressões do nervo mediano ou ulnar  Lesão do manguito rotador  Fibromialgia  Neuropatia periférica de membros superiores  Vasculite  Doença de Reynaud
  • 21.
     Testes clínicos Estudos eletrofisiológicos  Diagnóstico por imagem
  • 22.
     Testes clínicos Manobras (Adson, Wright, CC, Roos)  Estudos eletrofisiológicos  Eletromiografia, Potencial evocado  Diagnóstico por imagem  RX, TC, RM, Angio, US Doppler
  • 23.
     Testes clínicos Manobra de Adson  Manobra costoclavicular  Manobra de Wright  Manobra de Roos
  • 24.
     Testes clínicos Manobra de Adson  Manobra costoclavicular  Manobra de Wright  Manobra de Roos
  • 25.
     Testes clínicos Manobra de Adson  Manobra costoclavicular  Manobra de Wright  Manobra de Roos
  • 26.
     Testes clínicos Manobra de Adson  Manobra costoclavicular  Manobra de Wright  Manobra de Roos
  • 28.
     Testes clínicos Manobra de Adson  Manobra costoclavicular  Manobra de Wright  Manobra de Roos
  • 29.
     Diagnóstico porimagem  Radiografia Convencional  Tomografia Computadorizada  Ressonância Magnética  Arteriografia  Venografia  US Doppler
  • 30.
     Diagnóstico porimagem  Radiografia Convencional  Tomografia Computadorizada  Ressonância Magnética  Arteriografia  Venografia  US Doppler
  • 31.
     Repouso  Salacom temperatura estável (19 – 24oC)  Posição supina  Posição sentada ou ortostática  Transdutor linear (7 – 12 MHz)
  • 32.
     Paciente emdecúbito  Avaliação morfológica  Padrão espectral  Velocidades basais ao longo do trajeto arterial  Pesquisa de trombose venosa  Pesquisa da síndrome  Paciente sentado ou em pé  Realizar manobras
  • 33.
     Adson eAdson modificado  Inspiração profunda e rotação ipsilateral e contralateral da cabeça, com abdução do braço  Adson modificado com Wright  Inspiração profunda e rotação contralateral da cabeça com braço em abdução máxima  Costoclavicular  Ombros para trás e para baixo em inspiração profunda
  • 34.
    Demondion X, etal. J Ultrasound Med. 2006 Feb;25(2):217-24.
  • 35.
     É importantecompletar o exame com posição específica, indicada pelo paciente, que desencadeie seus sintomas
  • 36.
     Aumento dasvelocidades de fluxo na artéria subclávia durante a realização das manobras provocativas  > 2,5 vezes a velocidade basal  Redução significativa das velocidades ou abolição do fluxo nas artérias distais durante as manobras provocativas
  • 41.
    Cortesia do DR.PETER C. FRANÇOLIN
  • 42.
    Cortesia do DR.PETER C. FRANÇOLIN
  • 43.
    Cortesia do DR.PETER C. FRANÇOLIN
  • 44.
    Cortesia do DR.PETER C. FRANÇOLIN
  • 49.
  • 50.
     Anatomia  Triângulodos escalenos, espaço costoclavicular e espaço retropeitoral menor  Causas  Costela cervical, processo transverso longo de C7, banda fibrosa, calo ósseo, etc.  Técnica do exame ultrassonográfico  Manobra de Adson modificada, hiperabdução  Critérios de diagnóstico ao US Doppler  Aumento da velocidade de fluxo, redução/abolição do fluxo  Pesquisar trombose venosa

Notas do Editor

  • #5 Escaleno Anterior Origem: tubérculos anteriores dos processos transversos da 3ª, 4ª, 5ª e 6ª vértebras cervicais Inserção: borda interna da 1ª costela Escaleno Médio Origem: processos tranversos da 2ª,3ª,4ª,5ª,6ª e 7ª vértebras cervicais Inserção: 1ª costela, por meio de um tendão largo.
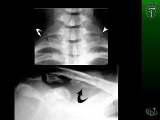
  • #19 - Cervical plain radiograph of a 27-year-old woman shows both a cervical rib (arrow) and an elongated C7 transverse process (arrowhead). - Excessive callus of the clavicle in a 36-year-old patient with neurologic TOS. Anteroposterior plain radiograph of the clavicle
  • #20 - Scalenus minimus muscle in a 35-year-old woman with neurologic TOS. Sagittal gross anatomic section(a)and sagittal T1-weighted MR image(b)show a scalenus minimus muscle (straight arrow), which passes between the C8 nerve root (arrowhead) and subclavian artery (curved arrow).
  • #28 Effect of arm elevation on the costoclavicular space in an asymptomatic subject. Sagittal T1-weighted MR images obtained with the arm alongside the body(a)and after arm elevation (b)show narrowing of the costoclavicular space.