RADIAÇÕES
Energia suficiente para arrancar elétrons de um átomo - produção de pares de íons. Partículas carregadas: Alfa, Beta, Prótons,  Elétrons  Partículas não carregadas: Nêutrons  Ondas eletromagnéticas: Gama, Raios X RADIAÇÕES IONIZANTES
Não possui energia suficiente para arrancar elétrons de um átomo  Ultravioleta ( UVA e UVB ), Infravermelho, Laser, Microondas, Luz visível. RADIAÇÕES NÃO IONIZANTES
Radiologia    Raios X
Descoberta W.C.Roentgen professor de Física da Universidade de Wurzburg na Alemanha descobriu o raio x em 5/12/1895   Wilhelm Conrad Roentgen Nasceu em 27 de março de 1845, em Lennep, Alemanha. Faleceu em 1923. Em 8 de novembro de 1895, Roentgen estava realizando experimentos com descargas elétricas em gases rarefeitos, quando descobriu os raios X. Em três semanas Roentgen investigou quase tudo que sabemos hoje sobre esta radiação, excetuando apenas o fenômeno da difração, que só foi descoberto por volta de 1912. Pela descoberta dos raios X, Roentgen ganhou o Prêmio Nobel de 1901.
Os raios X são produzidos quando elétrons em alta  velocidade, provenientes do filamento aquecido, chocam-se com o alvo (anodo).  Os raios X possuem propriedades que os tornam  extremamente úteis: * Enegrecem filme fotográfico * São radiações eletromagnéticas * Tornam-se “duros” (mais penetrantes) após passarem por filtros. * Produzem radiação secundária (dispersa) ao atravessar um corpo. * Propagam-se em linha reta e em todas as direções. * Propagam-se com a velocidade da luz (300.000 km/s)
Produção de raio x AMPOLA DE RAIOS X
Produção de raio x Radiação de freamento ou  “Bremsstrahlung” ,   Uma pequena fração dos elétrons incidentes no alvo se aproxima dos núcleos dos átomos que constituem o alvo . Eles podem perder de uma só vez uma fração considerável de sua energia emitindo um fóton de raio x
Imagens de radiografias
Atenuação de um feixe de radiação monocromática   A Atenuação obedece a uma lei exponencial
EQUIPAMENTOS DE RX
Filme Radiográfico
 
EQUIPAMENTOS DE RX DIGITAL
RX MÓVEL
FLUOROSCOPIA
Imagem em tempo real Dezenas de imagens por segundo Excelente resolução temporal Procedimentos Tracto gastro-intestinal Cirurgia Ortopédica, Urológica Angiografia (perna, coração, cerebral) Implantação de dispositivos cardíacos FLUOROSCOPIA
TOMOGRAFIA COMPUTADORIZADA
 
 
 
 
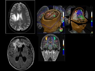
APARELHO DE RESONÂNCIA MAGNÉTICA
3 Teslas = 60.000 x campo magnético da Terra!
Imagem ponderada em T1
Imagem ponderada em T2
Contraste paramagnético
Alzheimer's disease   assymetric  atrophy of the right medial temporal  lobe
 
 
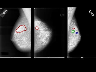
MAMOGRAFIA
 
 
MAMOGRAFIA
RESSONÂNCIA MAGNÉTICA DA MAMA
MEDICINA NUCLEAR A Medicina Nuclear é uma especialidade médica relacionada  à Radiologia que se ocupa das técnicas de imagem, diagnóstico  e terapêutica utilizando nuclídeos radioativos. A Medicina Nuclear está para a Fisiologia como a Radiologia  para a Anatomia".
A Medicina Nuclear permite observar o estado fisiológico  dos tecidos de forma não invasiva, através da marcação  de moléculas participantes nesses processos fisiológicos  com marcadores radioativos   que marcam sua localização  com a emissão de partículas detectáveis ou raios gama   Tipos de Radiofármacos Utilizados Um radiofármaco incorpora dois componentes: um radionuclídeo e um vetor fisiológico, isto é, uma  molécula orgânica com fixação preferencial em determinado  tecido ou órgão
CINTILOGRAFIA
ULTRASONOGRAFIA
* 3 to 1 MHz extended operating frequency range  *2D, Live 3D Echo, Color Doppler with 2D, biplane  and 3D  Adult and pediatric cardiology applications     *10 to 5 MHz extended frequency range  *Biplane (transverse and sagittal) Steerable pulsed Doppler,  Color Doppler, and imaging Endocavitary applications  including urology, endorectal and endovaginal  *Supports transrectal biopsy procedures
 
 
Proteção radiológica Dose absorvida  - 1950 unidade: Gray (Gy) (1Gy=100rad) D = E / M
Proteção radiológica Dose equivalente - 1990 H = D . W r Tipos de radiação e intervalos de energia w R Raios X e raios gama 1 Elétrons  1 Nêutros com energia <10 KeV 10-100KeV >100KeV a 2 MeV >2 MEV a 20 MeV >20 MeV   5 10 20 10 5 Particulas alfa  20
Fatores de tecido ou órgão Dose Efetiva unidade: sievert (Sv) (1 Sv = 100 rem)   H e  = H t  . W t Tecido ou órgão w T Tecido ou órgão w T Gônadas  0,20 Fígado 0,05 Medula óssea 0,12 Esôfago 0,05 Colo 0,12 Tireóide  0,05 Pulmão 0,12 Pele 0,01 Estômago 0,12 Superfície do osso 0,01 Bexiga 0,05 Restante  0,05 Mama 0,05 Soma total 1,00
Proteção radiológica Grandeza Limite de dose ocupacional Limite de dose para o público Dose efetiva 20 mSv/ano (média de 5 anos) 1mSv/ano Dose equivalente anual Cristalino do olho Pele Mãos e pés 150 mSv 150mSv 500mSv 15 m Sv 50 m Sv
Exame Dose  Raio X Tórax 0,03 mSv TC cabeça 2 mSv TC abdomen 10 mSv Urografia 4 mSv Intervenção 1 – 100 mSV
Dosímetros O dosímetro deverá ser usado na altura  do tórax por cima do avental plumbífero.
Proteção de Chumbo
Proteção de Chumbo
 
FIM

Imagenologia

  • 1.
  • 2.
    Energia suficiente paraarrancar elétrons de um átomo - produção de pares de íons. Partículas carregadas: Alfa, Beta, Prótons, Elétrons Partículas não carregadas: Nêutrons Ondas eletromagnéticas: Gama, Raios X RADIAÇÕES IONIZANTES
  • 3.
    Não possui energiasuficiente para arrancar elétrons de um átomo Ultravioleta ( UVA e UVB ), Infravermelho, Laser, Microondas, Luz visível. RADIAÇÕES NÃO IONIZANTES
  • 4.
    Radiologia Raios X
  • 5.
    Descoberta W.C.Roentgen professorde Física da Universidade de Wurzburg na Alemanha descobriu o raio x em 5/12/1895 Wilhelm Conrad Roentgen Nasceu em 27 de março de 1845, em Lennep, Alemanha. Faleceu em 1923. Em 8 de novembro de 1895, Roentgen estava realizando experimentos com descargas elétricas em gases rarefeitos, quando descobriu os raios X. Em três semanas Roentgen investigou quase tudo que sabemos hoje sobre esta radiação, excetuando apenas o fenômeno da difração, que só foi descoberto por volta de 1912. Pela descoberta dos raios X, Roentgen ganhou o Prêmio Nobel de 1901.
  • 6.
    Os raios Xsão produzidos quando elétrons em alta velocidade, provenientes do filamento aquecido, chocam-se com o alvo (anodo). Os raios X possuem propriedades que os tornam extremamente úteis: * Enegrecem filme fotográfico * São radiações eletromagnéticas * Tornam-se “duros” (mais penetrantes) após passarem por filtros. * Produzem radiação secundária (dispersa) ao atravessar um corpo. * Propagam-se em linha reta e em todas as direções. * Propagam-se com a velocidade da luz (300.000 km/s)
  • 7.
    Produção de raiox AMPOLA DE RAIOS X
  • 8.
    Produção de raiox Radiação de freamento ou “Bremsstrahlung” , Uma pequena fração dos elétrons incidentes no alvo se aproxima dos núcleos dos átomos que constituem o alvo . Eles podem perder de uma só vez uma fração considerável de sua energia emitindo um fóton de raio x
  • 9.
  • 10.
    Atenuação de umfeixe de radiação monocromática A Atenuação obedece a uma lei exponencial
  • 11.
  • 12.
  • 13.
  • 14.
  • 15.
  • 16.
  • 17.
    Imagem em temporeal Dezenas de imagens por segundo Excelente resolução temporal Procedimentos Tracto gastro-intestinal Cirurgia Ortopédica, Urológica Angiografia (perna, coração, cerebral) Implantação de dispositivos cardíacos FLUOROSCOPIA
  • 18.
  • 19.
  • 20.
  • 21.
  • 22.
  • 23.
  • 24.
    3 Teslas =60.000 x campo magnético da Terra!
  • 25.
  • 26.
  • 27.
  • 28.
    Alzheimer's disease assymetric atrophy of the right medial temporal lobe
  • 29.
  • 30.
  • 31.
  • 32.
  • 33.
  • 34.
  • 35.
  • 36.
    MEDICINA NUCLEAR AMedicina Nuclear é uma especialidade médica relacionada à Radiologia que se ocupa das técnicas de imagem, diagnóstico e terapêutica utilizando nuclídeos radioativos. A Medicina Nuclear está para a Fisiologia como a Radiologia para a Anatomia&quot;.
  • 37.
    A Medicina Nuclearpermite observar o estado fisiológico dos tecidos de forma não invasiva, através da marcação de moléculas participantes nesses processos fisiológicos com marcadores radioativos que marcam sua localização com a emissão de partículas detectáveis ou raios gama Tipos de Radiofármacos Utilizados Um radiofármaco incorpora dois componentes: um radionuclídeo e um vetor fisiológico, isto é, uma molécula orgânica com fixação preferencial em determinado tecido ou órgão
  • 38.
  • 39.
  • 40.
    * 3 to1 MHz extended operating frequency range *2D, Live 3D Echo, Color Doppler with 2D, biplane and 3D  Adult and pediatric cardiology applications   *10 to 5 MHz extended frequency range *Biplane (transverse and sagittal) Steerable pulsed Doppler, Color Doppler, and imaging Endocavitary applications including urology, endorectal and endovaginal *Supports transrectal biopsy procedures
  • 41.
  • 42.
  • 43.
    Proteção radiológica Doseabsorvida - 1950 unidade: Gray (Gy) (1Gy=100rad) D = E / M
  • 44.
    Proteção radiológica Doseequivalente - 1990 H = D . W r Tipos de radiação e intervalos de energia w R Raios X e raios gama 1 Elétrons 1 Nêutros com energia <10 KeV 10-100KeV >100KeV a 2 MeV >2 MEV a 20 MeV >20 MeV 5 10 20 10 5 Particulas alfa 20
  • 45.
    Fatores de tecidoou órgão Dose Efetiva unidade: sievert (Sv) (1 Sv = 100 rem) H e = H t . W t Tecido ou órgão w T Tecido ou órgão w T Gônadas 0,20 Fígado 0,05 Medula óssea 0,12 Esôfago 0,05 Colo 0,12 Tireóide 0,05 Pulmão 0,12 Pele 0,01 Estômago 0,12 Superfície do osso 0,01 Bexiga 0,05 Restante 0,05 Mama 0,05 Soma total 1,00
  • 46.
    Proteção radiológica GrandezaLimite de dose ocupacional Limite de dose para o público Dose efetiva 20 mSv/ano (média de 5 anos) 1mSv/ano Dose equivalente anual Cristalino do olho Pele Mãos e pés 150 mSv 150mSv 500mSv 15 m Sv 50 m Sv
  • 47.
    Exame Dose Raio X Tórax 0,03 mSv TC cabeça 2 mSv TC abdomen 10 mSv Urografia 4 mSv Intervenção 1 – 100 mSV
  • 48.
    Dosímetros O dosímetrodeverá ser usado na altura do tórax por cima do avental plumbífero.
  • 49.
  • 50.
  • 51.
  • 52.