HCN
Departamento de Medicina
Estagio Integral
Manifestações neurológicas do
HIV/SIDA
Autor: Sebastião Moisés- Medico Estagiario
Tutor: Dr Ernesto Guarda- Medico Neurologista
Introdução
As manifestações neurológicas em pacientes
infectados pelo vírus da imunodeficiência humana
(HIV) podem ser encontradas nas diversas fases da
doença, desde o período de contaminação até
estágios mais avançados de imunossupressão
Em cerca de 10%-20% dos casos, a manifestação
inicial da infecção pelo HIV é uma complicação
neurológica, acontecendo tanto por ação direta do
vírus como por infecções oportunistas
As manifestações neurológicas que se expressam no
SNC incluem mudancas do nivel de consciencia, da
funcao cognitiva , cefaleia e alteracao do humor.
Topografia das lesões no Sistema
Nervoso
• Lesões ocupando
massa= quadro focal
• Leses do SNC sem
quadro focal
• Mielopatia vacular;
• Mielite transversa;
• Defice nutricional;
• Neuropatia (dano do HIV,
Infeções oportunistas,
defices nutricionais,
toxemia)
Principais Manifestações Neurologicas
no HIV
Quadro focal
• Toxoplasmose do SNC
• Linfoma primario do SNC
• Leucoencefalopatia
multifocal progressive
• Tuberculoma cerebral
• Aspergiloma;
Criptococcoma
• Sifilis meningovascular
• Abcesso
• AVC
Quadro sem sinais focais
• Demencia associada ao HIV
• Encefalites fungicas
(Criptococose)
• Encefalites virais(CMV, Herps
Virus);
• Encefalites bacterianas
(bacterias atipicas, TB, MAC)
• Meningite asseptica pelo HIV
Tabela1: relação entre o cd4 e algumas
doenças
Etiologias
Contagem de CD4 (células/mL)
> 200 < 200 < 100
Meningite pelo HIV X X X
Meningite bacteriana ou viral X X X
Neurossífilis X X X
Neurotuberculose X X X
Demência relacionada ao HIV X X
Meningite criptocócica X X
Toxoplasmose cerebral X X
Mielopatia vacuolar relacionada
ao HIV X X
Polineuropatia sensitiva distal X X
Encefalite por citomegalovírus X
Linfoma primário do SNC X
Leucoencefalopatia multifocal
progressiva X
Manifestações neurologicas do HIV
Causas
Infecciosas: -
Bacterianas: Neurosífilis, Meningites Bacterianas,
Meningite Tuberculosa
Virais: CMV, Herpes, JC vírus
Fungicas: Meningite Por Criptococcus
Protozoario: Malaria, Toxoplasmose SNC
Neoplasicas: Linfoma primario do sitema nervoso.
Efeitoscolaterais dos ARVs
Na pratica pode-se dividir as condições neurológicas
do paciente com HIV em 3 grupos:
1. Aquelas que produzem um quadro clínico que
cursa com afectação parenquimatosa sem sinais
focais (sindrome confusional, demência,
transtornos psiquiátricos..)
2. Aquelas que produzem um quadro clínico que
cursa com afectação parenquimatosa com sinais
focais
3. Aquelas que produzem um quadro neurológico
que cursa com sinais meníngeos
Manifestações neurológicas
com sinais focais
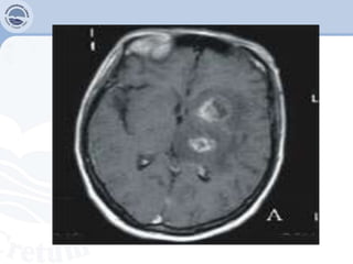
Toxoplasmose (T. Gondii)
 Resulta de reactivação parasitaria anterior.
 CD4<200cel/mm³+ ausência de profilaxia
Diagnóstico
 Clínico: confusão mental, convulsões, hemiplegia e hemiparesia.
80% esta localizada, e 20% encefálica.
 Imagilogico: TAC e RMN
 Sorológico: IgG anti-toxoplasmose no sangue e LCR.
Tratamento
 1ª: sulfadiazina(100mg/kg/d de 6/6h) + pirimetamina(100mg/d e
50mg/d no d1 e d2respectivamente)+ ac. folinico(15mg du);
 2ª:CTZ(50/100mg/kg/d em 2 ou 4 tomas) com ou sem
pirimetamina em 4 semanas;
 3ª dapsona(100mg/d) + pirimetamina.
 Profilaxia: terapêuticas reduzindo as doses a metade.
Meningite tuberculosa
Diagnóstico
 Clínico: alteração do nível de consciência e de comportamento,
sinais neurologicos focais, convulsões, febre prolongada, tosse,
sudorese nocturna.
 citoquímica do LCR: linfocitose, glicorraquia diminuída e elevação
de proteínas.
 Baciloscopia no LCR com sensibilidade baixa
 Cultura para BK: sensibilidade de 25-86%
 ADA (Adenosina Deaminase): sensibilidade de 60 a 100% no LCR.
Tratamento
 Prednisolona 1mg/kg/dia ou dexametasona 1 a 2mg/kg/dia, por 4- 6
sem.
 1. Fase Intensiva: 2 meses de tratamento diário com dose fixa
combinada 4DFC/d + Estreptomicina 10mg/kg/dia IM.
 2. Fase de Manutenção: 4 meses fixa combinada 2DFC/d: isoniazida
e rifampicina.
Leucoencefalopatia Multifocal
progressiva(LMP)
• Poliomavirus , adquirido primariamente na infância.
Activa se na imunossupressao.
• Quadro clínico: perda do campo visual, paresias,
alteracoes de marcha, alterações cognitivas e
convulsoes (20%).
Diagnostico: lesao focal sem realce no TAC.
• PCR do jc- virus no LCR positivo >99%.
• Com PCR do JC-Virus no LCR Negativo >27%.
Tratamento
• O tratamento recomendavel é o TARV. E o SIR é
frequente nas primeiras semanas.
• Existem beneficios não comprovados no
tratamento com interferon gamma e IL2.
s
Manifestações neurológicas com
sinais meningeos e sem sinais
focais
Criptococose
 Resulta da difusão de uma infecção pulmonar para as meninges e
encéfalo.
Diagnóstico
 clínico: cefaleia intensa, febre, alteração do nível de consciência,
confusão mental. hipertensão intracraneana em mais de 50%.
 Teste de aglutinação em látex de LCR: detecção do antígeno
específico (93% especificidade).
 isolamento do fungo no LCR em tinta de china.
 hemocultura e cultura do fungo no LCR.
Tratamento
 1ª: Tratamento de ataque: Anfotericina B 0,7 mg/kg/dia+ 500ml
de soro glicosado ou fisiológico de 6/6h + Flucitosina
100mg/kg/dia 6/6h, durante 2 sem. Fazer hidratação prévia.
 Manutenção: Fluconazol 400-800mg/dia, por 8-10 semanas.
Criptococose
2ª Opção: Tratamento de ataque: Fluconazol 400mg
12/12h, VO ou EV por 4 semanas. Monitorizar a
função hepática.
Manutenção: Fluconazol 400mg/dia por 8 a 10
semanas.
Grávidas: é Anfotericina B, já que os anti-fúngicos
azólicos (Fluconazol, itraconazol, ketoconazol) são
contra-indicados no primeiro trimestre da gestação
devido ao risco de teratogenicidade.
• Profilaxia secundária:é obrigatória recidiva 100%
fluconazol 200mg/dia ate 6 meses sem
sintomatologia. Cd4 maior de 200cel.
Neurosífilis
 Prevalência ˃ no HIV, independentemente do valor do
CD4.
Diagnóstico
 Clínica: cefaleia, rigidez de nuca, fotofobia,
comprometimento de nervos cranianos VII e VIII, afasia,
convulsões e sintomas neuropsiquiátricos.
 LCR com leucocitose e linfocitose;
 VDRL ou RPR do líquor positivo: baixa sensibilidade e
alta especificidade
Tratamento
 P. cristalina: 3 a 4 milhões de unidades, EV4/4h/d por 10
a 14 dias.
Meningite bacteriana
diagnóstico
• Clínica: Início agudo, febre alta, cefaléia e presença de
sinais meníngeos (rigidez de nuca), podendo evoluir para
a forma severa, com coma, convulsão e púrpura.
• Antecedentes: sinusite, otite, pneumonias, mastoidite e
endocardite.
• citoquimica do LCR, cultura do LCR
Agentes mais freqüentes
• Meningococos, Pneumococos, Haemophilus e Gram
negativos (principalmente nos
• diabéticos), em casos de imudeprimidos graves
considerar listeria monocytogeneses.
Cont.
Tratamento: duração de 10 a 14 dias
1ª. Opção: Ampicilina (3g EV 6/6h) +
Cloranfenicol (1g EV 6/6h)
2ª. Opção: Penicilina G cristalina 4 milhões EV
4/4h + Cloranfenicol (1g EV 6/6h)
3ª. Opção: Ceftriaxona 2g EV 12/12h
Nas grávidas: está indicado a Ceftriaxona 2g EV
12/12h. No caso de não estar disponível,
usar Ampicilina (4g EV 6/6h).
Diagnostico diferencial
(cel/ml) predominio Glicose
(mg/dl)
Proteinas
(mg/dl)
Pressao (mm de
H20)
Normal 0 -5 linfomonócitos 45-85 15-45 70-200
M.bacterian
a
200-20.000 neutrófilos <40 <150 ↑↑↑
M.viral 10-2.000 linfomonócitos Normal < 100 Normal a ↑
M.tuberculo
sa
100-1000 linfomonócitos <40 >150 ↑↑↑
Neurosífilis 25-2.000 linfomonócitos Normal ou
baixa
>50 Normal a ↑
Toxoplasmos
e
<200 linfomonócitos normal >50 Normal a
↑↑↑
M.Criptococ
os
Aumentada linfomonócitos Normal ou
baixa
>50 Normal a
↑↑↑
MENINGITES/ENCEFALITES VIRAIS
1. Encefalite por herpes simples-HSV
Manifesta-se por cefaleia, febre e convulsões
Nos imunocompetentes tem uma evolução fulminante
Nos doentes com HIV tem um início insidioso e uma
evolução crónica
A encefalite herpética é muito agressiva, causando
efectivamente necrose do encéfalo, por vezes extensa
e fatal. A localização preferencial é no lobo temporal,
uni ou bilateral. O lobo afectado torna-se edemaciado
e hiperemiado, podendo a lesão simular um enfarto ou
abcesso.
Meningoencefalite por zooster-HZV
Geralmente apresenta-se acompanhada de
paralisias dos nervos cranianos, mielite,
leucoencefalopatia, ependimite ou
vasculite cerebral que leva a AIT (acidente
isquémico transitório) ou AVCs, e resulta
do envolvimento dos pequenos vasos.
Pode ou não estar associada a uma erupção
vesicular disseminada, bem como ocorrer
antes ou depois deste.
3) Meningite por CMV
Apresenta-se com o quadro clínico de demência,
ventriculoencefalite ou poliradiculomielopatia
ascendente.
• Pacientes com demência normalmente
apresentam letargia, confusão e febre,
mimetizando a demência pelo HIV;
• A ventriculoencefalite tem um curso mais agudo,
com sinais neurológicos focais, podendo ocorrer
paralisia dos nervos cranianos e nistagmo, e
rápida progressão.
• Poliradiculomielopatia pelo CMV apresenta-se
com um quadro similar ao Guillain-Barré.
Diagnostico
• Apesar dos doentes apresentarem um LCR com
uma predominância linfocitária e uma elevação
moderada das proteínas, a elevada incidência de
anomalias do LCR em doentes HIV
independentemente da sintomatologia faz com que
o diagnóstico de meningite viral seja de exclusão.
• O PCR do LCR para os diferentes vírus ajuda ao
diagnóstico.
Tratamento
Etiologia Tratamento
Encefalite por
HSV
• Aciclovir 10mg/kg 8/8h IV por 14 a 21
dias
Meningoence
falite
por HZV
• Aciclovir 10 mg/kg 8/8 h IV
• Foscarnet 40 mg/kg IV 8/8 h ou 60
mg/kg IV 12/12 h por 14 a 26 dias
Meningite por
CMV
• Ganciclovir (5mg/kg 2xdia IV, 14 dias e
após 5mg/kg 1xdia IV) + Foscarnet
(60mg/kg 8/8h IV ou 90mg/kg 12/12h IV
por 14 dias e após, 90-120mg/kg 1xdia
IV;
• Manutenção: Foscarnet IV+valaciclovir
DEMÊNCIA ASSOCIADAAO HIV
Prevalência
• Tem vindo a aumentar devido à maior sobrevida dos
doentes HIV+.
• Aproximadamente 10% dos pacientes com HIV avançado
(CD4 <2 200 cél/mm3)
• 30 a 37% no geral: dificuldades de concentração,
esquecimento
•Nem a incidência nem a prevalência diminuíram com o
TARV
Factores de risco
• Pode aparecer como primeira manifestação clínica do
HIV, mas geralmente apresenta-se tardiamente: CD4 < 200
cél/ mm3 – risco aumenta progressivamente com a
diminuição de CD4 ,Hgb ↓, Idade ↑
• Previo consumo de álcool e/ou droga.
Manifestações clínicas
No início da doença a avaliação do estado
mental é habitualmente normal.
Os sintomas desenvolvem-se de forma
subaguda em semanas a meses:
• Anomalia das funções motoras: Andar
instável, Incordenação motora, Tremor,
Fraqueza nas pernas (mais que nos braços),
Incapacidade de escrever, Alterações do
comportamento: Isolamento social, Apatia,
• Alterações da personalidade, Agitação,
Alucinações
Mielopatia pelos HIV
• Mielite transversa- inflamacao e infarto
medular, levando a disfuncao sensitive e
motora ascendente e brusca com
disfuncao dos esfinteres;
• Defices nutricionais: vitaminas do
complex B(Encefalopatia de wernick-
korsakoff, neuropatia periferica)
Mielopatia Vacular
• Afecao medular frequente, debido a
degeneracao esponjosa e vacuolizacao
intramielinica da medula fr na regiao toraxica
A anatomía patológica evidencia vacuolizacao
simétrica a nivel da sustancia branca dos
cordoes espinhais.
• Clinicamente se caracteriza por paraparesia
espástica lentamente progresiva, sem nivel
sensitivo definido, ataxia e transtornos
esfinterianos.
• A perda da sensibilidade é de tipo
cordonal posterior com alteracao da
sensibilidade propioceptiva e vibratoria.
• O transtorno pode coexistir com a
demencia o que torna difícil estabelecer
clinicamente se as manifestacoes sao por
compromisso medular ou encefálico. A
resposta ao tratamento antirretroviral é
generalmente pobre.
NEUROPATIA
 Predominantemente neuropatia sensorial, de forma distal, simétrica
e ascendente, sintomas: parestesias, dor, sensação de queimadura
nas extremidades, formigueiro nos dedos e plantas dos pés,
impossibilitando de calçar sapatos e cobrir com os lençóis, perda de
sensibilidade.
 Apenas nas fases mais avançadas pode apresentar-se uma
diminuição da força muscular. Os reflexos estão afectados desde o
início da sintomatologia. Prevalente em estado avançado de doença
(CD4 baixo e carga viral alta).
Etiologias: Deficiência nutricional (Vitamina
B6 e B12), Álcool, Toxicidade
medicamentosa: Isoniazida, Estavudina,
Vincristina, Didanosina, Diabetes, Infecciosas:
HIV, CMV, HTLV 1
Diagnóstico
• Clínico
• Exame físico: neuropatia distal simétrica e
ascendente, diminuição da sensibilidade a dor
e ao toque, diminuição dos reflexos e
modificação da marcha
NEUROPATIA
Tratamento
 Piridoxina: 50mg VO 3xdia
 Vitamina B12: 1mg IM 3xsemana durante 2
semanas
 Amitriptilina: 25 a 75mg VO a noite (até
200mg/dia): iniciar com 12,5mg à noite e ir
aumentando progressivamente.
 Carbamazepina: começar com 100mg 1 a 2xdia,
aumentando-se progressivamente até obter
resposta clínica. Máximo de 1200mg/dia
Reacção adversa aos ARV
• Efavirenz: pode desencadear: tonturas,
problemas de memória, insónia e sonhos
anormais (pesadelos) e por vezes assustadores,
que normalmente começam poucos dias após o
início do tratamento; Pode produzir ansiedade,
depressão e psicose.
• No geral, estes efeitos desaparecem
espontaneamente depois de 2-4 semanas de
tratamento e são menos frequentes no doente que
toma o EFV à noite e em jejum.
Medicamentos Reacções adversas
Estavudina Neuropatia periférica (dor,
dormência ou formigueiro
nos pés/pernas)
Zidovudina, abacavir,
estavudina
Cefaleia
Zidovudina e efavirenz Insónia
Efavirenz Dificuldades para pensar,
confusão, problemas de
concentração, depressão,
psicose
Conclusão
O início da terapia anti-retroviral reduz o risco das
manifestacoes neurologicas do HIV
As manifestações neurológicas podem dever-se ao
próprio vírus HIV ou à imunossupressão
ocasionada pela redução da contagem de linfócitos
T CD4
A incidência de demência relacionada ao HIV
diminuiu após a instituição do TARV, embora
ainda seja uma causa de grande morbidade, cursa
com alterações cognitivas, comportamentais e
motoras, que se desenvolvem em meses, de
maneira insidiosa
A neurotoxoplasmose e a neurocriptococose são as
principais infecções oportunistas no paciente com
SIDA.
O diagnóstico da Toxoplasmose é sugerido pela
tomografia (ou preferivelmente, por RM), enquanto o
da criptococose é feito pela análise do líquor.
Todas as complicações neurológicas relacionadas à
sífilis podem se desenvolver em pacientes com HIV
No paciente com quadro neurológico focal (ataxia,
alteração comportamental, distúrbios motores ou
sensitivos), em geral sem febre, deve-se pensar em
LEMP (infecção pelo Vírus JC, de evolução
insidiosa, em meses) e no Linfoma do SNC
(associada ao EBV, de evolução em semanas-meses).
Referências bibliográficas
 Protocolo do MISAU TARV adultos ITECH.MR
 www.slideshare.net/gueste361c62/hiv-e-manifestaes-neurolgicas
 www.famema.br/.../manifestacoesneurologicasempacientesHIVnoP
S.pdf
 www.medicinanet.com.br › revisoes
 www.scielo.br/pdf/anp/v49n2/08.pdf
 https://www.yumpu.com/.../manifestacoes-neurologicas-em-
paciente-hiv-sida
 www.ensinoadistancia.edu.mz/.../AVALIAÇÃO%20E%20MANEJO
%20
 pt.wikipedia.org/wiki/V%C3%ADrus_da_imunodefici%C3%AAncia
_humana
FIM

Manifestacoes neurologicas do VIH

  • 1.
    HCN Departamento de Medicina EstagioIntegral Manifestações neurológicas do HIV/SIDA Autor: Sebastião Moisés- Medico Estagiario Tutor: Dr Ernesto Guarda- Medico Neurologista
  • 2.
    Introdução As manifestações neurológicasem pacientes infectados pelo vírus da imunodeficiência humana (HIV) podem ser encontradas nas diversas fases da doença, desde o período de contaminação até estágios mais avançados de imunossupressão Em cerca de 10%-20% dos casos, a manifestação inicial da infecção pelo HIV é uma complicação neurológica, acontecendo tanto por ação direta do vírus como por infecções oportunistas As manifestações neurológicas que se expressam no SNC incluem mudancas do nivel de consciencia, da funcao cognitiva , cefaleia e alteracao do humor.
  • 3.
    Topografia das lesõesno Sistema Nervoso • Lesões ocupando massa= quadro focal • Leses do SNC sem quadro focal • Mielopatia vacular; • Mielite transversa; • Defice nutricional; • Neuropatia (dano do HIV, Infeções oportunistas, defices nutricionais, toxemia)
  • 4.
    Principais Manifestações Neurologicas noHIV Quadro focal • Toxoplasmose do SNC • Linfoma primario do SNC • Leucoencefalopatia multifocal progressive • Tuberculoma cerebral • Aspergiloma; Criptococcoma • Sifilis meningovascular • Abcesso • AVC Quadro sem sinais focais • Demencia associada ao HIV • Encefalites fungicas (Criptococose) • Encefalites virais(CMV, Herps Virus); • Encefalites bacterianas (bacterias atipicas, TB, MAC) • Meningite asseptica pelo HIV
  • 5.
    Tabela1: relação entreo cd4 e algumas doenças Etiologias Contagem de CD4 (células/mL) > 200 < 200 < 100 Meningite pelo HIV X X X Meningite bacteriana ou viral X X X Neurossífilis X X X Neurotuberculose X X X Demência relacionada ao HIV X X Meningite criptocócica X X Toxoplasmose cerebral X X Mielopatia vacuolar relacionada ao HIV X X Polineuropatia sensitiva distal X X Encefalite por citomegalovírus X Linfoma primário do SNC X Leucoencefalopatia multifocal progressiva X
  • 6.
    Manifestações neurologicas doHIV Causas Infecciosas: - Bacterianas: Neurosífilis, Meningites Bacterianas, Meningite Tuberculosa Virais: CMV, Herpes, JC vírus Fungicas: Meningite Por Criptococcus Protozoario: Malaria, Toxoplasmose SNC Neoplasicas: Linfoma primario do sitema nervoso. Efeitoscolaterais dos ARVs
  • 7.
    Na pratica pode-sedividir as condições neurológicas do paciente com HIV em 3 grupos: 1. Aquelas que produzem um quadro clínico que cursa com afectação parenquimatosa sem sinais focais (sindrome confusional, demência, transtornos psiquiátricos..) 2. Aquelas que produzem um quadro clínico que cursa com afectação parenquimatosa com sinais focais 3. Aquelas que produzem um quadro neurológico que cursa com sinais meníngeos
  • 8.
  • 9.
    Toxoplasmose (T. Gondii) Resulta de reactivação parasitaria anterior.  CD4<200cel/mm³+ ausência de profilaxia Diagnóstico  Clínico: confusão mental, convulsões, hemiplegia e hemiparesia. 80% esta localizada, e 20% encefálica.  Imagilogico: TAC e RMN  Sorológico: IgG anti-toxoplasmose no sangue e LCR. Tratamento  1ª: sulfadiazina(100mg/kg/d de 6/6h) + pirimetamina(100mg/d e 50mg/d no d1 e d2respectivamente)+ ac. folinico(15mg du);  2ª:CTZ(50/100mg/kg/d em 2 ou 4 tomas) com ou sem pirimetamina em 4 semanas;  3ª dapsona(100mg/d) + pirimetamina.  Profilaxia: terapêuticas reduzindo as doses a metade.
  • 11.
    Meningite tuberculosa Diagnóstico  Clínico:alteração do nível de consciência e de comportamento, sinais neurologicos focais, convulsões, febre prolongada, tosse, sudorese nocturna.  citoquímica do LCR: linfocitose, glicorraquia diminuída e elevação de proteínas.  Baciloscopia no LCR com sensibilidade baixa  Cultura para BK: sensibilidade de 25-86%  ADA (Adenosina Deaminase): sensibilidade de 60 a 100% no LCR. Tratamento  Prednisolona 1mg/kg/dia ou dexametasona 1 a 2mg/kg/dia, por 4- 6 sem.  1. Fase Intensiva: 2 meses de tratamento diário com dose fixa combinada 4DFC/d + Estreptomicina 10mg/kg/dia IM.  2. Fase de Manutenção: 4 meses fixa combinada 2DFC/d: isoniazida e rifampicina.
  • 13.
    Leucoencefalopatia Multifocal progressiva(LMP) • Poliomavirus, adquirido primariamente na infância. Activa se na imunossupressao. • Quadro clínico: perda do campo visual, paresias, alteracoes de marcha, alterações cognitivas e convulsoes (20%). Diagnostico: lesao focal sem realce no TAC. • PCR do jc- virus no LCR positivo >99%. • Com PCR do JC-Virus no LCR Negativo >27%.
  • 14.
    Tratamento • O tratamentorecomendavel é o TARV. E o SIR é frequente nas primeiras semanas. • Existem beneficios não comprovados no tratamento com interferon gamma e IL2.
  • 15.
  • 16.
    Manifestações neurológicas com sinaismeningeos e sem sinais focais
  • 17.
    Criptococose  Resulta dadifusão de uma infecção pulmonar para as meninges e encéfalo. Diagnóstico  clínico: cefaleia intensa, febre, alteração do nível de consciência, confusão mental. hipertensão intracraneana em mais de 50%.  Teste de aglutinação em látex de LCR: detecção do antígeno específico (93% especificidade).  isolamento do fungo no LCR em tinta de china.  hemocultura e cultura do fungo no LCR. Tratamento  1ª: Tratamento de ataque: Anfotericina B 0,7 mg/kg/dia+ 500ml de soro glicosado ou fisiológico de 6/6h + Flucitosina 100mg/kg/dia 6/6h, durante 2 sem. Fazer hidratação prévia.  Manutenção: Fluconazol 400-800mg/dia, por 8-10 semanas.
  • 18.
    Criptococose 2ª Opção: Tratamentode ataque: Fluconazol 400mg 12/12h, VO ou EV por 4 semanas. Monitorizar a função hepática. Manutenção: Fluconazol 400mg/dia por 8 a 10 semanas. Grávidas: é Anfotericina B, já que os anti-fúngicos azólicos (Fluconazol, itraconazol, ketoconazol) são contra-indicados no primeiro trimestre da gestação devido ao risco de teratogenicidade. • Profilaxia secundária:é obrigatória recidiva 100% fluconazol 200mg/dia ate 6 meses sem sintomatologia. Cd4 maior de 200cel.
  • 20.
    Neurosífilis  Prevalência ˃no HIV, independentemente do valor do CD4. Diagnóstico  Clínica: cefaleia, rigidez de nuca, fotofobia, comprometimento de nervos cranianos VII e VIII, afasia, convulsões e sintomas neuropsiquiátricos.  LCR com leucocitose e linfocitose;  VDRL ou RPR do líquor positivo: baixa sensibilidade e alta especificidade Tratamento  P. cristalina: 3 a 4 milhões de unidades, EV4/4h/d por 10 a 14 dias.
  • 21.
    Meningite bacteriana diagnóstico • Clínica:Início agudo, febre alta, cefaléia e presença de sinais meníngeos (rigidez de nuca), podendo evoluir para a forma severa, com coma, convulsão e púrpura. • Antecedentes: sinusite, otite, pneumonias, mastoidite e endocardite. • citoquimica do LCR, cultura do LCR Agentes mais freqüentes • Meningococos, Pneumococos, Haemophilus e Gram negativos (principalmente nos • diabéticos), em casos de imudeprimidos graves considerar listeria monocytogeneses.
  • 22.
    Cont. Tratamento: duração de10 a 14 dias 1ª. Opção: Ampicilina (3g EV 6/6h) + Cloranfenicol (1g EV 6/6h) 2ª. Opção: Penicilina G cristalina 4 milhões EV 4/4h + Cloranfenicol (1g EV 6/6h) 3ª. Opção: Ceftriaxona 2g EV 12/12h Nas grávidas: está indicado a Ceftriaxona 2g EV 12/12h. No caso de não estar disponível, usar Ampicilina (4g EV 6/6h).
  • 23.
    Diagnostico diferencial (cel/ml) predominioGlicose (mg/dl) Proteinas (mg/dl) Pressao (mm de H20) Normal 0 -5 linfomonócitos 45-85 15-45 70-200 M.bacterian a 200-20.000 neutrófilos <40 <150 ↑↑↑ M.viral 10-2.000 linfomonócitos Normal < 100 Normal a ↑ M.tuberculo sa 100-1000 linfomonócitos <40 >150 ↑↑↑ Neurosífilis 25-2.000 linfomonócitos Normal ou baixa >50 Normal a ↑ Toxoplasmos e <200 linfomonócitos normal >50 Normal a ↑↑↑ M.Criptococ os Aumentada linfomonócitos Normal ou baixa >50 Normal a ↑↑↑
  • 25.
    MENINGITES/ENCEFALITES VIRAIS 1. Encefalitepor herpes simples-HSV Manifesta-se por cefaleia, febre e convulsões Nos imunocompetentes tem uma evolução fulminante Nos doentes com HIV tem um início insidioso e uma evolução crónica A encefalite herpética é muito agressiva, causando efectivamente necrose do encéfalo, por vezes extensa e fatal. A localização preferencial é no lobo temporal, uni ou bilateral. O lobo afectado torna-se edemaciado e hiperemiado, podendo a lesão simular um enfarto ou abcesso.
  • 26.
    Meningoencefalite por zooster-HZV Geralmenteapresenta-se acompanhada de paralisias dos nervos cranianos, mielite, leucoencefalopatia, ependimite ou vasculite cerebral que leva a AIT (acidente isquémico transitório) ou AVCs, e resulta do envolvimento dos pequenos vasos. Pode ou não estar associada a uma erupção vesicular disseminada, bem como ocorrer antes ou depois deste.
  • 27.
    3) Meningite porCMV Apresenta-se com o quadro clínico de demência, ventriculoencefalite ou poliradiculomielopatia ascendente. • Pacientes com demência normalmente apresentam letargia, confusão e febre, mimetizando a demência pelo HIV; • A ventriculoencefalite tem um curso mais agudo, com sinais neurológicos focais, podendo ocorrer paralisia dos nervos cranianos e nistagmo, e rápida progressão. • Poliradiculomielopatia pelo CMV apresenta-se com um quadro similar ao Guillain-Barré.
  • 28.
    Diagnostico • Apesar dosdoentes apresentarem um LCR com uma predominância linfocitária e uma elevação moderada das proteínas, a elevada incidência de anomalias do LCR em doentes HIV independentemente da sintomatologia faz com que o diagnóstico de meningite viral seja de exclusão. • O PCR do LCR para os diferentes vírus ajuda ao diagnóstico.
  • 29.
    Tratamento Etiologia Tratamento Encefalite por HSV •Aciclovir 10mg/kg 8/8h IV por 14 a 21 dias Meningoence falite por HZV • Aciclovir 10 mg/kg 8/8 h IV • Foscarnet 40 mg/kg IV 8/8 h ou 60 mg/kg IV 12/12 h por 14 a 26 dias Meningite por CMV • Ganciclovir (5mg/kg 2xdia IV, 14 dias e após 5mg/kg 1xdia IV) + Foscarnet (60mg/kg 8/8h IV ou 90mg/kg 12/12h IV por 14 dias e após, 90-120mg/kg 1xdia IV; • Manutenção: Foscarnet IV+valaciclovir
  • 30.
    DEMÊNCIA ASSOCIADAAO HIV Prevalência •Tem vindo a aumentar devido à maior sobrevida dos doentes HIV+. • Aproximadamente 10% dos pacientes com HIV avançado (CD4 <2 200 cél/mm3) • 30 a 37% no geral: dificuldades de concentração, esquecimento •Nem a incidência nem a prevalência diminuíram com o TARV Factores de risco • Pode aparecer como primeira manifestação clínica do HIV, mas geralmente apresenta-se tardiamente: CD4 < 200 cél/ mm3 – risco aumenta progressivamente com a diminuição de CD4 ,Hgb ↓, Idade ↑ • Previo consumo de álcool e/ou droga.
  • 31.
    Manifestações clínicas No inícioda doença a avaliação do estado mental é habitualmente normal. Os sintomas desenvolvem-se de forma subaguda em semanas a meses: • Anomalia das funções motoras: Andar instável, Incordenação motora, Tremor, Fraqueza nas pernas (mais que nos braços), Incapacidade de escrever, Alterações do comportamento: Isolamento social, Apatia, • Alterações da personalidade, Agitação, Alucinações
  • 33.
    Mielopatia pelos HIV •Mielite transversa- inflamacao e infarto medular, levando a disfuncao sensitive e motora ascendente e brusca com disfuncao dos esfinteres; • Defices nutricionais: vitaminas do complex B(Encefalopatia de wernick- korsakoff, neuropatia periferica)
  • 34.
    Mielopatia Vacular • Afecaomedular frequente, debido a degeneracao esponjosa e vacuolizacao intramielinica da medula fr na regiao toraxica A anatomía patológica evidencia vacuolizacao simétrica a nivel da sustancia branca dos cordoes espinhais. • Clinicamente se caracteriza por paraparesia espástica lentamente progresiva, sem nivel sensitivo definido, ataxia e transtornos esfinterianos.
  • 35.
    • A perdada sensibilidade é de tipo cordonal posterior com alteracao da sensibilidade propioceptiva e vibratoria. • O transtorno pode coexistir com a demencia o que torna difícil estabelecer clinicamente se as manifestacoes sao por compromisso medular ou encefálico. A resposta ao tratamento antirretroviral é generalmente pobre.
  • 36.
    NEUROPATIA  Predominantemente neuropatiasensorial, de forma distal, simétrica e ascendente, sintomas: parestesias, dor, sensação de queimadura nas extremidades, formigueiro nos dedos e plantas dos pés, impossibilitando de calçar sapatos e cobrir com os lençóis, perda de sensibilidade.  Apenas nas fases mais avançadas pode apresentar-se uma diminuição da força muscular. Os reflexos estão afectados desde o início da sintomatologia. Prevalente em estado avançado de doença (CD4 baixo e carga viral alta).
  • 37.
    Etiologias: Deficiência nutricional(Vitamina B6 e B12), Álcool, Toxicidade medicamentosa: Isoniazida, Estavudina, Vincristina, Didanosina, Diabetes, Infecciosas: HIV, CMV, HTLV 1 Diagnóstico • Clínico • Exame físico: neuropatia distal simétrica e ascendente, diminuição da sensibilidade a dor e ao toque, diminuição dos reflexos e modificação da marcha
  • 38.
    NEUROPATIA Tratamento  Piridoxina: 50mgVO 3xdia  Vitamina B12: 1mg IM 3xsemana durante 2 semanas  Amitriptilina: 25 a 75mg VO a noite (até 200mg/dia): iniciar com 12,5mg à noite e ir aumentando progressivamente.  Carbamazepina: começar com 100mg 1 a 2xdia, aumentando-se progressivamente até obter resposta clínica. Máximo de 1200mg/dia
  • 39.
    Reacção adversa aosARV • Efavirenz: pode desencadear: tonturas, problemas de memória, insónia e sonhos anormais (pesadelos) e por vezes assustadores, que normalmente começam poucos dias após o início do tratamento; Pode produzir ansiedade, depressão e psicose. • No geral, estes efeitos desaparecem espontaneamente depois de 2-4 semanas de tratamento e são menos frequentes no doente que toma o EFV à noite e em jejum.
  • 40.
    Medicamentos Reacções adversas EstavudinaNeuropatia periférica (dor, dormência ou formigueiro nos pés/pernas) Zidovudina, abacavir, estavudina Cefaleia Zidovudina e efavirenz Insónia Efavirenz Dificuldades para pensar, confusão, problemas de concentração, depressão, psicose
  • 41.
    Conclusão O início daterapia anti-retroviral reduz o risco das manifestacoes neurologicas do HIV As manifestações neurológicas podem dever-se ao próprio vírus HIV ou à imunossupressão ocasionada pela redução da contagem de linfócitos T CD4 A incidência de demência relacionada ao HIV diminuiu após a instituição do TARV, embora ainda seja uma causa de grande morbidade, cursa com alterações cognitivas, comportamentais e motoras, que se desenvolvem em meses, de maneira insidiosa
  • 42.
    A neurotoxoplasmose ea neurocriptococose são as principais infecções oportunistas no paciente com SIDA. O diagnóstico da Toxoplasmose é sugerido pela tomografia (ou preferivelmente, por RM), enquanto o da criptococose é feito pela análise do líquor. Todas as complicações neurológicas relacionadas à sífilis podem se desenvolver em pacientes com HIV No paciente com quadro neurológico focal (ataxia, alteração comportamental, distúrbios motores ou sensitivos), em geral sem febre, deve-se pensar em LEMP (infecção pelo Vírus JC, de evolução insidiosa, em meses) e no Linfoma do SNC (associada ao EBV, de evolução em semanas-meses).
  • 43.
    Referências bibliográficas  Protocolodo MISAU TARV adultos ITECH.MR  www.slideshare.net/gueste361c62/hiv-e-manifestaes-neurolgicas  www.famema.br/.../manifestacoesneurologicasempacientesHIVnoP S.pdf  www.medicinanet.com.br › revisoes  www.scielo.br/pdf/anp/v49n2/08.pdf  https://www.yumpu.com/.../manifestacoes-neurologicas-em- paciente-hiv-sida  www.ensinoadistancia.edu.mz/.../AVALIAÇÃO%20E%20MANEJO %20  pt.wikipedia.org/wiki/V%C3%ADrus_da_imunodefici%C3%AAncia _humana
  • 44.