Dr. Ricardo Sales dos Santos Médico  –  Universidade Federal da Bahia (1995) Cirurgia do Tórax & Endoscopia  –  UNICAMP (1999) UNIFESP (2001) Cirurgia Minimamente Invasiva, Transplante Pulmonar e Robótica  –  EUA (2002 a 2009) Coordenador, Cirurgia Torácica Minimamente Invasiva  Câncer de Pulmão  Sim , tem cura !
No Brasil, mais de 27,000 pessoas são diagnosticadas com câncer de pulmão por ano ESSE COMBATE É GRANDE ! Câncer de pulmão  Sim , tem cura !
POR ONDE VOU ?  PLANEJAMENTO  COMO VOU ?  TÁTICA  SE VOU  =  DECISÃO  RESULTADO  =  VITÓRIA  CURA   Câncer de Pulmão  Sim , tem cura !
NÃO FUME !   CURA ANTECIPADA  9 EM CADA 10 PESSOAS COM CÂNCER DE PULMÃO NÃO TERIAM ESSE RISCO  Câncer de pulmão  Sim , tem cura ! Por onde vou ?  Fumante Não Fumante
Câncer de pulmão  Sim , tem cura! COMO VOU ?  PARE DE FUMAR ! REALIZE ACOMPANHAMENTO MÉDICO Mas já sou fumante há muito tempo !!!
Câncer de pulmão  Sim , tem cura !  COMO ?  Fumantes  - Sintomas de dor no peito , mudança da tosse , perda de peso, sangramento.. devem ser estudados pelo médico criteriosamente
Tomografia detecta câncer de pulmão melhor do que Raios-X 20% redução na mortalidade  Estudo foi feito com 50 mil fumantes ISTOÉ Online |  05.Nov.10  Câncer de pulmão  Sim , tem cura! COMO ?
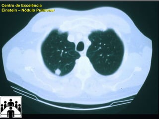
Paciente Centro de Excelência Einstein  –  Nódulo Pulmonar
Cirurgias do Pulmão
Cirurgias do Pulmão
Cirurgias do Tórax
Cirurgias do Tórax  EQUIPE MULTIPROFISSIONAL EINSTEIN &  Centro de Cirurgia Torácica Minimamente Invasiva  Sr. Sebastião Sr. Joaquim Sra. Teresa Sr. C e lso  Pacientes operados com a Robótica - Tumores do Tórax –   Primeiros pacientes tratados na América Latina
Dia Nacional de Combate ao Câncer Programa Einstein  Cardiologia
Com o uso de TODAS as armas que dispomos na Oncologia e Cirurgia Torácica Oncológica  –  Mínima ou Maximamente Invasivas VAMOS A LUTA  ! Câncer de pulmão  Sim , tem cura !
Curar algumas vezes, aliviar muitas vezes , consolar sempre   Câncer de pulmão  Sim , tem cura !   LIDERES DA SAÚDE E PACIENTES JUNTOS, NA BUSCA DA DECISÃO CORRETA  AVANÇAR NO COMBATE  RETROCEDER JAMAIS !    … nada tenho a oferecer-vos, senão sangue, sacrifícios, suor e lágrimas… sem a vitória não há sobrevivência”   Winston Churchill , 1940

Câncer de Pulmão tem cura !

  • 1.
    Dr. Ricardo Salesdos Santos Médico – Universidade Federal da Bahia (1995) Cirurgia do Tórax & Endoscopia – UNICAMP (1999) UNIFESP (2001) Cirurgia Minimamente Invasiva, Transplante Pulmonar e Robótica – EUA (2002 a 2009) Coordenador, Cirurgia Torácica Minimamente Invasiva Câncer de Pulmão Sim , tem cura !
  • 2.
    No Brasil, maisde 27,000 pessoas são diagnosticadas com câncer de pulmão por ano ESSE COMBATE É GRANDE ! Câncer de pulmão Sim , tem cura !
  • 3.
    POR ONDE VOU? PLANEJAMENTO COMO VOU ? TÁTICA SE VOU = DECISÃO RESULTADO = VITÓRIA CURA Câncer de Pulmão Sim , tem cura !
  • 4.
    NÃO FUME ! CURA ANTECIPADA 9 EM CADA 10 PESSOAS COM CÂNCER DE PULMÃO NÃO TERIAM ESSE RISCO Câncer de pulmão Sim , tem cura ! Por onde vou ? Fumante Não Fumante
  • 5.
    Câncer de pulmão Sim , tem cura! COMO VOU ? PARE DE FUMAR ! REALIZE ACOMPANHAMENTO MÉDICO Mas já sou fumante há muito tempo !!!
  • 6.
    Câncer de pulmão Sim , tem cura ! COMO ? Fumantes - Sintomas de dor no peito , mudança da tosse , perda de peso, sangramento.. devem ser estudados pelo médico criteriosamente
  • 7.
    Tomografia detecta câncerde pulmão melhor do que Raios-X 20% redução na mortalidade Estudo foi feito com 50 mil fumantes ISTOÉ Online |  05.Nov.10 Câncer de pulmão Sim , tem cura! COMO ?
  • 8.
    Paciente Centro deExcelência Einstein – Nódulo Pulmonar
  • 9.
  • 10.
  • 11.
  • 12.
    Cirurgias do Tórax EQUIPE MULTIPROFISSIONAL EINSTEIN & Centro de Cirurgia Torácica Minimamente Invasiva Sr. Sebastião Sr. Joaquim Sra. Teresa Sr. C e lso Pacientes operados com a Robótica - Tumores do Tórax – Primeiros pacientes tratados na América Latina
  • 13.
    Dia Nacional deCombate ao Câncer Programa Einstein Cardiologia
  • 14.
    Com o usode TODAS as armas que dispomos na Oncologia e Cirurgia Torácica Oncológica – Mínima ou Maximamente Invasivas VAMOS A LUTA ! Câncer de pulmão Sim , tem cura !
  • 15.
    Curar algumas vezes,aliviar muitas vezes , consolar sempre Câncer de pulmão Sim , tem cura ! LIDERES DA SAÚDE E PACIENTES JUNTOS, NA BUSCA DA DECISÃO CORRETA AVANÇAR NO COMBATE RETROCEDER JAMAIS ! … nada tenho a oferecer-vos, senão sangue, sacrifícios, suor e lágrimas… sem a vitória não há sobrevivência” Winston Churchill , 1940

Notas do Editor

  • #10 The routine operations in thoracic surgery are READ … This procedure is performed in association with Lymphnode samplinf or systematic dissection for an accurate staging and posterior RX planning.