Dra. Lilianny Medeiros
Pereira
Resistencia
Vascular
Maturidade
bioquímica
Líquido
Intra
pulmonar
Infecção?
Síndrome
Aspirativa?
Maturidade
estrutural
DISTÚRBIOS RESPIRATÓRIOS NO
PERIODO NEONATAL
1. Doença da Membrana Hialina.
2. Taquipnéia Transitória do Recém-
Nascido.
3. Síndrome de Aspiração Meconial.
4. Pneumonia Intra-útero.
 Se falta a hipótese diagnóstica...
?
Desc Resp
Desc Resp
D
esc
R
esp
Desc
Resp
?? ?
CONSIDERAÇÕES NA FORMULAÇÃO DE
HIPÓTESES DIAGNÓSTICAS
 Antecedentes maternos,
 Condições e tipo de parto,
 Características do RN,
 Época do aparecimento do DR e sua
evolução,
 Exame clínico e laboratorial.
TAQUIPNÉIA TRANSITÓRIA DO RN
 CONCEITO: Desconforto respiratório precoce, de
moderada intensidade e com evolução benigna.
 INCIDÊNCIA: 1 a 2% dos nascidos vivos. Mais
freqüente nos recém-nascidos a termo ou nos
prematuros próximo ao termo.
TAQUIPNÉIA TRANSITÓRIA DO RN
 FISIOPATOLOGIA: Edema pulmonar transitório
que resulta da reabsorção retardada do líquido
pulmonar fetal pelo sistema linfático.
 QUADRO CLÍNICO: Taquipnéia nas primeiras
horas de vida, gemidos expiratórios e retrações
intercostais discretas, batimentos de asa de nariz
e cianose não pronunciada. A ausculta pulmonar
é normal e raramente necessitam de FiO2 > 40%
para manter uma oxigenação sistêmica
adequada. O processo é autolimitado, com
resolução, na maioria das vezes, em 24 a 72h.
FATORES DE RISCO: Parto cesárea; parto
prematuro; administração à parturiente de
grandes quantidades de líquidos via EV;
sedação materna excessiva; clampeamento
tardio do cordão; asfixia fetal;
macrossomia; sexo masculino.
TAQUIPNÉIA TRANSITÓRIA DO RN
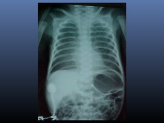
 ACHADOS RADIOLÓGICOS
Hiperinsuflação
Discreta cardiomegalia
Estrias peri-hilares
Edema dos septos inter-lobares
Infiltrados alveolares, traduzindo edema alveolar
Mínimo derrame pleural no seio costofrênico.
♦ Essas imagens são características de “edema”do
pulmão.
 DIAGNÓSTICO DIFERENCIAL:
• Aspiração de líquido meconial;
• Pneumonia septicemia;
• Cardiopatia congênita cianótica;
• Doença de membranas hialinas;
• Hiperventilação pós-hipóxia.
 CONDUTA:
• Aquecimento;
• Líquidos e eletrólitos (evitar sobrecarga hídrica)
• Oxigênio;
• Monitorização;
• Alimentação.
 COMPLICAÇÕES: muito raras. Nas formas graves pode ocorrer
pneumomediastino, pelo esforço respiratório, ou pneumotórax,
espontâneo ou iatrogênico.
SÍNDROME DO PULMÃO ÚMIDO
 Decorrente de uma demora da reabsorção do
líquido intra-alveolar, nestes casos mais
intensa, pois ocorre em RN pré-termo.
 Sinais clínicos: taquipnéia, gemência, TIC e
BAN.
 Suporte ventilatório: CPAP ou VM c/ PEEP
entre 5 a 6 mmHg
Síndrome de Aspiração de Mecônio
 Conceito: Caracteriza-se pela presença de mecônio
nas cordas vocais, desconforto respiratório e
evidência radiológica de aspiração.
 Incidência: A doença é mais frequente em RN a
termo, pós-termo e naqueles com retardo do
crescimento intra-uterino. Ocorre entre 7 e 20% de
todos os nascimentos. Nos RN de mães com líquido
amniótico meconizado, ocorre SAM em cerca de
35% dos casos.
 Etiopatogenia e Fisopatologia
Síndrome de Aspiração de
Mecônio
Fisiopatologia
•Sind. de sufocação
•Atelectasias
•Pneumotórax
•Pneumonite
•Pneumonia
•HPPN
Síndrome de Aspiração de
Mecônio
 Quadro clínico: Desconforto respiratório de
grau variável logo após o nascimento
(dispnéia, taquipnéia, tiragem intercostal e
subcostal, batimentos de asa do nariz,
cianose e gemidos). Pode-se observar
hiperinsuflação do tórax com aumento do
diâmetro ântero-posterior.
Síndrome de Aspiração de
Mecônio
 Achados radiológicos:
Quadros leves:
Infiltrados em formas de estrias.
Pequenos nódulos
Hiperinsuflação pulmonar
Quadros moderados e graves:
Infiltrações nodulares grosseiras e
difusas.
Áreas de hiperinsuflação alternadas
com áreas de atelectasia.
Conduta
 Após o nascimento
• Receber o RN em campo aquecido, colocá-lo sob fonte de
calor radiante e realizar avaliação rápida da conduta.
• Se RN deprimido: apnéia, depressão respiratória, FC <
100bpm, hipotonia. Intubar a traquéia para aspiração de
mecônio das vias aéreas (mecônio fino ou espesso).
• Se RN vigoroso: aspirar bem boca e narinas. Se a criança é
ativa e vigorosa, não se recomenda intubar a traquéia,
independente se o mecônio é fino ou espesso.
• Quando o RN necessitar de VPP: iniciar após retirada da
maior quantidade possível de mecônio das vias aéreas.
• Realizar lavagem gástrica para esvaziamento do
estômago. O líquido amniótico deglutido funciona como
fator irritante predispondo a vômitos e risco de nova
aspiração.
Conduta
 Berçário
 Aquecimento
 Oxigenioterapia
 Suporte hidroeletrolítico e hemodinâmico
 Nutrição
 Antibioticoterapia
 Sedação
 Monitorização
 Fisioterapia respiratória
Síndrome de Aspiração de
Mecônio
Complicações mais freqüentes
HPPN
Infecção
Relacionadas à asfixia
Pneumotórax
RN com desconforto respiratório
OBRIGADA!
Ai, cansei!!!!

3.patologias respiratórias do rn

  • 1.
  • 2.
  • 3.
    DISTÚRBIOS RESPIRATÓRIOS NO PERIODONEONATAL 1. Doença da Membrana Hialina. 2. Taquipnéia Transitória do Recém- Nascido. 3. Síndrome de Aspiração Meconial. 4. Pneumonia Intra-útero.
  • 4.
     Se faltaa hipótese diagnóstica... ? Desc Resp Desc Resp D esc R esp Desc Resp ?? ?
  • 5.
    CONSIDERAÇÕES NA FORMULAÇÃODE HIPÓTESES DIAGNÓSTICAS  Antecedentes maternos,  Condições e tipo de parto,  Características do RN,  Época do aparecimento do DR e sua evolução,  Exame clínico e laboratorial.
  • 7.
    TAQUIPNÉIA TRANSITÓRIA DORN  CONCEITO: Desconforto respiratório precoce, de moderada intensidade e com evolução benigna.  INCIDÊNCIA: 1 a 2% dos nascidos vivos. Mais freqüente nos recém-nascidos a termo ou nos prematuros próximo ao termo.
  • 9.
    TAQUIPNÉIA TRANSITÓRIA DORN  FISIOPATOLOGIA: Edema pulmonar transitório que resulta da reabsorção retardada do líquido pulmonar fetal pelo sistema linfático.  QUADRO CLÍNICO: Taquipnéia nas primeiras horas de vida, gemidos expiratórios e retrações intercostais discretas, batimentos de asa de nariz e cianose não pronunciada. A ausculta pulmonar é normal e raramente necessitam de FiO2 > 40% para manter uma oxigenação sistêmica adequada. O processo é autolimitado, com resolução, na maioria das vezes, em 24 a 72h.
  • 10.
    FATORES DE RISCO:Parto cesárea; parto prematuro; administração à parturiente de grandes quantidades de líquidos via EV; sedação materna excessiva; clampeamento tardio do cordão; asfixia fetal; macrossomia; sexo masculino.
  • 11.
    TAQUIPNÉIA TRANSITÓRIA DORN  ACHADOS RADIOLÓGICOS Hiperinsuflação Discreta cardiomegalia Estrias peri-hilares Edema dos septos inter-lobares Infiltrados alveolares, traduzindo edema alveolar Mínimo derrame pleural no seio costofrênico. ♦ Essas imagens são características de “edema”do pulmão.
  • 13.
     DIAGNÓSTICO DIFERENCIAL: •Aspiração de líquido meconial; • Pneumonia septicemia; • Cardiopatia congênita cianótica; • Doença de membranas hialinas; • Hiperventilação pós-hipóxia.  CONDUTA: • Aquecimento; • Líquidos e eletrólitos (evitar sobrecarga hídrica) • Oxigênio; • Monitorização; • Alimentação.  COMPLICAÇÕES: muito raras. Nas formas graves pode ocorrer pneumomediastino, pelo esforço respiratório, ou pneumotórax, espontâneo ou iatrogênico.
  • 14.
    SÍNDROME DO PULMÃOÚMIDO  Decorrente de uma demora da reabsorção do líquido intra-alveolar, nestes casos mais intensa, pois ocorre em RN pré-termo.  Sinais clínicos: taquipnéia, gemência, TIC e BAN.  Suporte ventilatório: CPAP ou VM c/ PEEP entre 5 a 6 mmHg
  • 19.
    Síndrome de Aspiraçãode Mecônio  Conceito: Caracteriza-se pela presença de mecônio nas cordas vocais, desconforto respiratório e evidência radiológica de aspiração.  Incidência: A doença é mais frequente em RN a termo, pós-termo e naqueles com retardo do crescimento intra-uterino. Ocorre entre 7 e 20% de todos os nascimentos. Nos RN de mães com líquido amniótico meconizado, ocorre SAM em cerca de 35% dos casos.  Etiopatogenia e Fisopatologia
  • 21.
    Síndrome de Aspiraçãode Mecônio Fisiopatologia •Sind. de sufocação •Atelectasias •Pneumotórax •Pneumonite •Pneumonia •HPPN
  • 22.
    Síndrome de Aspiraçãode Mecônio  Quadro clínico: Desconforto respiratório de grau variável logo após o nascimento (dispnéia, taquipnéia, tiragem intercostal e subcostal, batimentos de asa do nariz, cianose e gemidos). Pode-se observar hiperinsuflação do tórax com aumento do diâmetro ântero-posterior.
  • 23.
    Síndrome de Aspiraçãode Mecônio  Achados radiológicos: Quadros leves: Infiltrados em formas de estrias. Pequenos nódulos Hiperinsuflação pulmonar Quadros moderados e graves: Infiltrações nodulares grosseiras e difusas. Áreas de hiperinsuflação alternadas com áreas de atelectasia.
  • 26.
    Conduta  Após onascimento • Receber o RN em campo aquecido, colocá-lo sob fonte de calor radiante e realizar avaliação rápida da conduta. • Se RN deprimido: apnéia, depressão respiratória, FC < 100bpm, hipotonia. Intubar a traquéia para aspiração de mecônio das vias aéreas (mecônio fino ou espesso). • Se RN vigoroso: aspirar bem boca e narinas. Se a criança é ativa e vigorosa, não se recomenda intubar a traquéia, independente se o mecônio é fino ou espesso. • Quando o RN necessitar de VPP: iniciar após retirada da maior quantidade possível de mecônio das vias aéreas. • Realizar lavagem gástrica para esvaziamento do estômago. O líquido amniótico deglutido funciona como fator irritante predispondo a vômitos e risco de nova aspiração.
  • 27.
    Conduta  Berçário  Aquecimento Oxigenioterapia  Suporte hidroeletrolítico e hemodinâmico  Nutrição  Antibioticoterapia  Sedação  Monitorização  Fisioterapia respiratória
  • 28.
    Síndrome de Aspiraçãode Mecônio Complicações mais freqüentes HPPN Infecção Relacionadas à asfixia Pneumotórax
  • 29.
    RN com desconfortorespiratório
  • 31.