VITAMINAS
VITAMINAS MAIS IMPORTANTES
VITAMINAS
 Nutrientes reguladores de funções fisiológicas
 Vitamina é, na realidade, qualquer substância orgânica que não
consegue ser produzida por uma determinada espécie e que são
necessárias ao organismo.
 São necessárias em pequeníssimas quantidades para manter o bom
funcionamento do organismo  são COFATORES ENZIMÁTICOS
 Ligam-se às enzimas inativas (apoenzimas), transformando-as em
enzimas ativas (holoenzimas)
NECESSIDADE DIÁRIA DE ALGUMAS
VITAMINAS
Vitamina Necessidade diária em
miligramas
A 0,8
B1 (tiamina) 1,4
B2 (riboflavina) 1,6
B3 (niacina) 18
B6 (piridoxina) 2
B9 (ácido fólico) 0,2*
B12 0,001
C 60
D 0,005
E 10
K 0,08
* Para gestantes, o médico poderá recomendar uma quantidade maior
DESCOBERTA DAS VITAMINAS
 Época das grandes navegações
 Dieta pobre dos marinheiros, baseada em biscoitos secos e carne salgada
 Após algumas semanas  fraqueza, hemorragias, desatenção e até
mortes
 Poucos dias em terra firme, alimentando-se de frutas e verduras frescas
 sintomas rapidamente desapareciam
DESCOBERTA DAS VITAMINAS
 Escorbuto: doença comum entre os marinheiros
 Sangramentos nasais e nas gengivas
 Ingestão de laranja e limão para evitá-lo
 Lei da marinha inglesa: obrigatória a ingestão dessas frutas
 Hoje sabe-se que o escorbuto é causado pela deficiência de vitamina
C ou ácido ascórbico
DESCOBERTA DAS VITAMINAS
 Beribéri: doença comum em navios chineses e japoneses  “Não
posso, não posso!!”
 Fraqueza para levantar-se do leito  enfraquecimento da
musculatura que pode levar a total paralisia
 Prevenção pela simples ingestão de vegetais, carnes, leite e arroz
integral, alimentos que contém a vitamina B1 ou tiamina
TERMO VITAMINA
 Como a vitamina B1 ou tiamina é uma substância do grupo
das aminas (grupamento NH2) e evitava o beribéri, ela era
chamada de “amina vital”.
 Mais tarde foram descobertas outras substâncias nutricionais
orgânicas que, em pequenas quantidades, eram necessárias ao
organismo, mas que não eram aminas.
 O termo “vitamina” já estava consagrado e seu uso foi mantido
para todas essas substâncias.
FONTES DE VITAMINAS
 As fontes naturais são os alimentos.
 Podem também ser utilizadas na forma de medicamentos
prescritos por médicos para eliminar deficiências
vitamínicas, geralmente causadas por uma dieta pobre
ou desbalanceada.
 “Vitamina se compra na feira, não na farmácia”
CUIDADOS COM OS ALIMENTOS
 Para não perder seu valor vitamínico é preciso ter alguns cuidados:
 Algumas vitaminas são facilmente destruídas pelo calor ou pela
exposição ao oxigênio.
 Alimentos crus ou levemente cozidos em água ou vapor preservam o
conteúdo vitamínico, sendo seu consumo recomendado.
 Frutas, verduras e vegetais para saladas só devem ser cortados no
momento de serem servidos, para evitar a oxidação de suas vitaminas
pelo ar.
 As doenças causadas por falta de vitaminas são chamadas
AVITAMINOSES e são classificadas como doenças carenciais.
CLASSIFICAÇÃO DAS VITAMINAS
 Hidrossolúveis:
 Normalmente de origem vegetal (exceto a B12)
 Dissolvem-se na água.
 São pouco armazenadas no organismo e seu excesso é eliminado pela
urina
 Ingestão diária acaba sendo necessária.
 Vitamina C e Vitaminas do Complexo B
CLASSIFICAÇÃO DAS VITAMINAS
 Lipossolúveis:
 Normalmente de origem animal
 Dissolvem-se nos lipídios
 Seu excesso é armazenado no tecido adiposo e no fígado  pode
provocar problemas se em excesso (hipervitaminose)
 Não são necessárias diariamente por serem acumuladas
 Vitaminas A, D, E e K
VITAMINA A OU RETINOL
 Lipossolúvel
 Funções no organismo:
 Mantém saudáveis a pele e as mucosas  proteção contra infecções
 Desenvolvimento da retina  bom funcionamento da visão
 Avitaminose (carência)
 Infecções recorrentes
 Cegueira noturna e xeroftalmia (olhos secos)  podem levar à
cegueira definitiva
 Principais fontes:
 Vegetais amarelos contém β-caroteno que será convertido em
vitamina A no fígado
 Fígado, manteiga e gema de ovo contém a vitamina A pronta
IMPORTÂNCIA DO RETINOL OU
VITAMINA A
Desenvolvimento da visão
Mantém saudáveis a pele e as mucosas
Desenvolvimento dos ossos e dentes
VITAMINA B1 OU TIAMINA
 Hidrossolúvel
 Funções:
 Auxilia na respiração celular  conversão de glicose em energia
 Mantém o tônus muscular e o bom funcionamento do sistema nervoso
 Avitaminose (carência)
 Beribéri
 Perda do apetite
 Fadiga muscular
 Principais fontes:
 Cereais integrais, pinhão
 Feijão, Leite
 Fígado, peixe
 Carnes magras, pão
FUNÇÕES DA TIAMINA OU
VITAMINA B1
• Conversão de energia nas
células
• Mantém saudáveis o
sistema nervoso e
cardiovascular
• Mantém o tônus muscular
VITAMINA B2 OU RIBOFLAVINA
 Hidrossolúvel
 Funções no organismo:
 Auxilia na respiração celular
 Mantém a tonalidade saudável da pele
 Atua na coordenação nervosa e na produção de células sanguíneas
 Avitaminose (carência)
 Ruptura da mucosa da boca, lábios, língua e bochechas
 Inflamação da conjuntiva ocular
 Principais fontes:
 Carnes magras
 Ovos, Leite
 Fígado
 Vegetais em folha
FUNÇÕES DA RIBOFLAVINA OU
VITAMINA B2
Pele saudável
Produção de células sanguíneas
Também auxilia na respiração
celular
VITAMINA B3 OU NIACINA
 Hidrossolúvel
 Funções no organismo:
 Mantém o tônus muscular e o bom funcionamento do sistema digestório
 Atua na coordenação nervosa
 Avitaminose (carência)  PELAGRA
 Fraqueza
 Nervosismo extremo
 Distúrbios digestivos (diarréias)
 Feridas na pele
 Principais fontes:
 Carnes magras
 Ovos, Leite
 Fígado
FUNÇÕES DA NIACINA OU
VITAMINA B3
Pele saudável
Sistema digestório saudável
Sistema nervoso saudável
Também auxilia na respiração
celular
VITAMINA B6 OU PIRIDOXINA
 Hidrossolúvel
 Funções no organismo:
 Atua na respiração celular
 Mantém as funções nervosas
 Auxilia na formação das hemácias
 Avitaminose (carência)
 Doenças de pele
 Extrema apatia
 Distúrbios nervosos
 Principais fontes:
 Cereais integrais, pão
 Fígado
 Leite, Ovo
 Carnes magras, peixes
FUNÇÕES DA PIRIDOXINA OU
VITAMINA B6
• Atua na respiração celular
•Manutenção da função
cerebral
• Formação de hemácias
• Digestão de proteínas
• Síntese de anticorpos
VITAMINA B9 OU ÁCIDO FÓLICO
 Hidrossolúvel
 Funções no organismo:
 Síntese das bases do DNA
 Multiplicação celular  importante na gravidez
 Avitaminose (carência)
 Esterilidade masculina
 Mal formação fetal  espinha bífida
 Obrigatório adição na farinha de trigo
 Principais fontes:
 Vegetais em folha e frutas
 Cereais integrais
 Frutos do mar
 Produção por bactérias da flora intestinal
FUNÇÕES DO ÁCIDO FÓLICO OU
VITAMINA B9
Aumenta a
produção de
hemácias
Auxilia na síntese do DNA e
multiplicação celular
Auxilia na digestão e
utilização das proteínas
FALTA DE ÁCIDO FÓLICO NA GRAVIDEZ
Importante para
evitar a espinha
bífida ou
mielomeningocele
VITAMINA B12 OU CIANOCOBALAMINA
 Hidrossolúvel
 Funções no organismo:
 Renovação celular
 Maturação das hemácias
 Síntese de nucleotídeos
 Avitaminose (carência)
 Anemia perniciosa  poucas hemácias
 Distúrbios nervosos
 Principais fontes: origem animal somente
 Carne, frutos do mar
 Ovo
 Leite e derivados
FUNÇÕES DA CIANOCOBALAMIDA OU
VITAMINA B12
Cérebro
Medula
Espinhal
Maturação das
hemácias
• Renovação celular
• Maturação das hemácias
• Bom funcionamento do
sistema nervoso central
VITAMINA C OU ÁCIDO ASCÓRBICO
 Hidrossolúvel
 Funções no organismo:
 Mantém a integridade dos vasos sanguíneos e auxilia na formação de
colágeno  manutenção da pele e gengivas
 Previne infecções (discutível)
 Avitaminose (carência)
 Escorbuto
 Insônia e nervosismo em crianças; cansaço e apatia em adultos
 Alterações gengivais e dentárias
 Dores nas articulações
 Principais fontes:
 Laranja, limão, goiaba, acerola, kiwi, tomate, caju, morango...
 Couve e Repolho
FUNÇÕES DO ÁCIDO ASCÓRBICO OU
VITAMINA C
• Auxilia no sistema
imunológico
• Mantém saudáveis e
íntegros os vasos sanguíneos
• Conserva saudáveis os
tecidos conjuntivos por
produção de colágeno
• Auxilia na absorção de
ferro
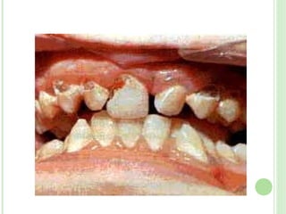
ESCORBUTO  DEFICIÊNCIA DE
VITAMINA C
• Anemia
• Hematomas
• Sangramento nas
gengivas
• Dentes “amolecidos”
VITAMINA D OU CALCIFEROL
 Lipossolúvel
 Não é encontrada pronta nos alimentos. A pré-vitamina D é convertida
em vitamina D por ação da radiação solar  Importante tomar sol na
infância
 Funções no organismo:
 Facilita a absorção de cálcio e fósforo no intestino  formação correta de ossos e
dentes
 Avitaminose (carência)
 Raquitismo  ossos fracos e mal formados
 Principais fontes da pré-vitamina D:
 Óleo de fígado de bacalhau
 Fígado, Leite
 Gema de ovo, cereais
 ALIMENTOS RICOS EM GORDURA
FUNÇÕES DO CALCIFEROL OU
VITAMINA D
Aumenta a absorção de
cálcio e fósforo para a
formação dos ossos e
dos dentes
RAQUITISMO  DEFICIÊNCIA DE
VITAMINA D
A deficiência de calciferol ou a falta
de exposição ao sol leva à pouca
absorção de cálcio  mal formação
dos ossos
VITAMINA E OU TOCOFEROL
 Lipossolúvel
 Funções no organismo:
 Promove a fertilidade e previne o aborto  importante na gravidez
 Antioxidante: atua na remoção de radicais livres do oxigênio, que causam
o envelhecimento precoce, doenças do coração e outros problemas.
 Avitaminose (carência)  difícil de ocorrer
 Esterilidade masculina
 Aborto
 Principais fontes:
 Milho, nozes, abacate
 Leite
 Alface e outras folhas, azeitona
 Óleos de amendoim e de germe de trigo, margarina
FUNÇÕES DO TOCOFEROL OU
VITAMINA E
Protege células e tecidos de danos
derivados da oxidação
Aumenta a formação de hemácias e a
utilização da vitamina k
Mantém saudável o sistema
cardiovascular
VITAMINA K OU FILOQUINONA
 Lipossolúvel
 Funções no organismo:
 Coagulação sanguínea
 Avitaminose (carência)
 Hemorragias recorrentes
 Principais fontes:
 Vegetais em folha
 Tomate
 Amêndoas e castanhas
 Produzida por bactérias da flora intestinal
FUNÇÃO DA FILOQUINONA OU
VITAMINA K
Auxilia na
coagulação
sanguínea,
evitando assim
hemorragias

Vitaminas (1)

  • 1.
  • 2.
  • 3.
    VITAMINAS  Nutrientes reguladoresde funções fisiológicas  Vitamina é, na realidade, qualquer substância orgânica que não consegue ser produzida por uma determinada espécie e que são necessárias ao organismo.  São necessárias em pequeníssimas quantidades para manter o bom funcionamento do organismo  são COFATORES ENZIMÁTICOS  Ligam-se às enzimas inativas (apoenzimas), transformando-as em enzimas ativas (holoenzimas)
  • 4.
    NECESSIDADE DIÁRIA DEALGUMAS VITAMINAS Vitamina Necessidade diária em miligramas A 0,8 B1 (tiamina) 1,4 B2 (riboflavina) 1,6 B3 (niacina) 18 B6 (piridoxina) 2 B9 (ácido fólico) 0,2* B12 0,001 C 60 D 0,005 E 10 K 0,08 * Para gestantes, o médico poderá recomendar uma quantidade maior
  • 5.
    DESCOBERTA DAS VITAMINAS Época das grandes navegações  Dieta pobre dos marinheiros, baseada em biscoitos secos e carne salgada  Após algumas semanas  fraqueza, hemorragias, desatenção e até mortes  Poucos dias em terra firme, alimentando-se de frutas e verduras frescas  sintomas rapidamente desapareciam
  • 6.
    DESCOBERTA DAS VITAMINAS Escorbuto: doença comum entre os marinheiros  Sangramentos nasais e nas gengivas  Ingestão de laranja e limão para evitá-lo  Lei da marinha inglesa: obrigatória a ingestão dessas frutas  Hoje sabe-se que o escorbuto é causado pela deficiência de vitamina C ou ácido ascórbico
  • 7.
    DESCOBERTA DAS VITAMINAS Beribéri: doença comum em navios chineses e japoneses  “Não posso, não posso!!”  Fraqueza para levantar-se do leito  enfraquecimento da musculatura que pode levar a total paralisia  Prevenção pela simples ingestão de vegetais, carnes, leite e arroz integral, alimentos que contém a vitamina B1 ou tiamina
  • 8.
    TERMO VITAMINA  Comoa vitamina B1 ou tiamina é uma substância do grupo das aminas (grupamento NH2) e evitava o beribéri, ela era chamada de “amina vital”.  Mais tarde foram descobertas outras substâncias nutricionais orgânicas que, em pequenas quantidades, eram necessárias ao organismo, mas que não eram aminas.  O termo “vitamina” já estava consagrado e seu uso foi mantido para todas essas substâncias.
  • 9.
    FONTES DE VITAMINAS As fontes naturais são os alimentos.  Podem também ser utilizadas na forma de medicamentos prescritos por médicos para eliminar deficiências vitamínicas, geralmente causadas por uma dieta pobre ou desbalanceada.  “Vitamina se compra na feira, não na farmácia”
  • 10.
    CUIDADOS COM OSALIMENTOS  Para não perder seu valor vitamínico é preciso ter alguns cuidados:  Algumas vitaminas são facilmente destruídas pelo calor ou pela exposição ao oxigênio.  Alimentos crus ou levemente cozidos em água ou vapor preservam o conteúdo vitamínico, sendo seu consumo recomendado.  Frutas, verduras e vegetais para saladas só devem ser cortados no momento de serem servidos, para evitar a oxidação de suas vitaminas pelo ar.  As doenças causadas por falta de vitaminas são chamadas AVITAMINOSES e são classificadas como doenças carenciais.
  • 11.
    CLASSIFICAÇÃO DAS VITAMINAS Hidrossolúveis:  Normalmente de origem vegetal (exceto a B12)  Dissolvem-se na água.  São pouco armazenadas no organismo e seu excesso é eliminado pela urina  Ingestão diária acaba sendo necessária.  Vitamina C e Vitaminas do Complexo B
  • 12.
    CLASSIFICAÇÃO DAS VITAMINAS Lipossolúveis:  Normalmente de origem animal  Dissolvem-se nos lipídios  Seu excesso é armazenado no tecido adiposo e no fígado  pode provocar problemas se em excesso (hipervitaminose)  Não são necessárias diariamente por serem acumuladas  Vitaminas A, D, E e K
  • 13.
    VITAMINA A OURETINOL  Lipossolúvel  Funções no organismo:  Mantém saudáveis a pele e as mucosas  proteção contra infecções  Desenvolvimento da retina  bom funcionamento da visão  Avitaminose (carência)  Infecções recorrentes  Cegueira noturna e xeroftalmia (olhos secos)  podem levar à cegueira definitiva  Principais fontes:  Vegetais amarelos contém β-caroteno que será convertido em vitamina A no fígado  Fígado, manteiga e gema de ovo contém a vitamina A pronta
  • 15.
    IMPORTÂNCIA DO RETINOLOU VITAMINA A Desenvolvimento da visão Mantém saudáveis a pele e as mucosas Desenvolvimento dos ossos e dentes
  • 17.
    VITAMINA B1 OUTIAMINA  Hidrossolúvel  Funções:  Auxilia na respiração celular  conversão de glicose em energia  Mantém o tônus muscular e o bom funcionamento do sistema nervoso  Avitaminose (carência)  Beribéri  Perda do apetite  Fadiga muscular  Principais fontes:  Cereais integrais, pinhão  Feijão, Leite  Fígado, peixe  Carnes magras, pão
  • 18.
    FUNÇÕES DA TIAMINAOU VITAMINA B1 • Conversão de energia nas células • Mantém saudáveis o sistema nervoso e cardiovascular • Mantém o tônus muscular
  • 21.
    VITAMINA B2 OURIBOFLAVINA  Hidrossolúvel  Funções no organismo:  Auxilia na respiração celular  Mantém a tonalidade saudável da pele  Atua na coordenação nervosa e na produção de células sanguíneas  Avitaminose (carência)  Ruptura da mucosa da boca, lábios, língua e bochechas  Inflamação da conjuntiva ocular  Principais fontes:  Carnes magras  Ovos, Leite  Fígado  Vegetais em folha
  • 22.
    FUNÇÕES DA RIBOFLAVINAOU VITAMINA B2 Pele saudável Produção de células sanguíneas Também auxilia na respiração celular
  • 23.
    VITAMINA B3 OUNIACINA  Hidrossolúvel  Funções no organismo:  Mantém o tônus muscular e o bom funcionamento do sistema digestório  Atua na coordenação nervosa  Avitaminose (carência)  PELAGRA  Fraqueza  Nervosismo extremo  Distúrbios digestivos (diarréias)  Feridas na pele  Principais fontes:  Carnes magras  Ovos, Leite  Fígado
  • 24.
    FUNÇÕES DA NIACINAOU VITAMINA B3 Pele saudável Sistema digestório saudável Sistema nervoso saudável Também auxilia na respiração celular
  • 25.
    VITAMINA B6 OUPIRIDOXINA  Hidrossolúvel  Funções no organismo:  Atua na respiração celular  Mantém as funções nervosas  Auxilia na formação das hemácias  Avitaminose (carência)  Doenças de pele  Extrema apatia  Distúrbios nervosos  Principais fontes:  Cereais integrais, pão  Fígado  Leite, Ovo  Carnes magras, peixes
  • 26.
    FUNÇÕES DA PIRIDOXINAOU VITAMINA B6 • Atua na respiração celular •Manutenção da função cerebral • Formação de hemácias • Digestão de proteínas • Síntese de anticorpos
  • 27.
    VITAMINA B9 OUÁCIDO FÓLICO  Hidrossolúvel  Funções no organismo:  Síntese das bases do DNA  Multiplicação celular  importante na gravidez  Avitaminose (carência)  Esterilidade masculina  Mal formação fetal  espinha bífida  Obrigatório adição na farinha de trigo  Principais fontes:  Vegetais em folha e frutas  Cereais integrais  Frutos do mar  Produção por bactérias da flora intestinal
  • 28.
    FUNÇÕES DO ÁCIDOFÓLICO OU VITAMINA B9 Aumenta a produção de hemácias Auxilia na síntese do DNA e multiplicação celular Auxilia na digestão e utilização das proteínas
  • 29.
    FALTA DE ÁCIDOFÓLICO NA GRAVIDEZ Importante para evitar a espinha bífida ou mielomeningocele
  • 31.
    VITAMINA B12 OUCIANOCOBALAMINA  Hidrossolúvel  Funções no organismo:  Renovação celular  Maturação das hemácias  Síntese de nucleotídeos  Avitaminose (carência)  Anemia perniciosa  poucas hemácias  Distúrbios nervosos  Principais fontes: origem animal somente  Carne, frutos do mar  Ovo  Leite e derivados
  • 32.
    FUNÇÕES DA CIANOCOBALAMIDAOU VITAMINA B12 Cérebro Medula Espinhal Maturação das hemácias • Renovação celular • Maturação das hemácias • Bom funcionamento do sistema nervoso central
  • 33.
    VITAMINA C OUÁCIDO ASCÓRBICO  Hidrossolúvel  Funções no organismo:  Mantém a integridade dos vasos sanguíneos e auxilia na formação de colágeno  manutenção da pele e gengivas  Previne infecções (discutível)  Avitaminose (carência)  Escorbuto  Insônia e nervosismo em crianças; cansaço e apatia em adultos  Alterações gengivais e dentárias  Dores nas articulações  Principais fontes:  Laranja, limão, goiaba, acerola, kiwi, tomate, caju, morango...  Couve e Repolho
  • 34.
    FUNÇÕES DO ÁCIDOASCÓRBICO OU VITAMINA C • Auxilia no sistema imunológico • Mantém saudáveis e íntegros os vasos sanguíneos • Conserva saudáveis os tecidos conjuntivos por produção de colágeno • Auxilia na absorção de ferro
  • 35.
    ESCORBUTO  DEFICIÊNCIADE VITAMINA C • Anemia • Hematomas • Sangramento nas gengivas • Dentes “amolecidos”
  • 38.
    VITAMINA D OUCALCIFEROL  Lipossolúvel  Não é encontrada pronta nos alimentos. A pré-vitamina D é convertida em vitamina D por ação da radiação solar  Importante tomar sol na infância  Funções no organismo:  Facilita a absorção de cálcio e fósforo no intestino  formação correta de ossos e dentes  Avitaminose (carência)  Raquitismo  ossos fracos e mal formados  Principais fontes da pré-vitamina D:  Óleo de fígado de bacalhau  Fígado, Leite  Gema de ovo, cereais  ALIMENTOS RICOS EM GORDURA
  • 39.
    FUNÇÕES DO CALCIFEROLOU VITAMINA D Aumenta a absorção de cálcio e fósforo para a formação dos ossos e dos dentes
  • 40.
    RAQUITISMO  DEFICIÊNCIADE VITAMINA D A deficiência de calciferol ou a falta de exposição ao sol leva à pouca absorção de cálcio  mal formação dos ossos
  • 41.
    VITAMINA E OUTOCOFEROL  Lipossolúvel  Funções no organismo:  Promove a fertilidade e previne o aborto  importante na gravidez  Antioxidante: atua na remoção de radicais livres do oxigênio, que causam o envelhecimento precoce, doenças do coração e outros problemas.  Avitaminose (carência)  difícil de ocorrer  Esterilidade masculina  Aborto  Principais fontes:  Milho, nozes, abacate  Leite  Alface e outras folhas, azeitona  Óleos de amendoim e de germe de trigo, margarina
  • 42.
    FUNÇÕES DO TOCOFEROLOU VITAMINA E Protege células e tecidos de danos derivados da oxidação Aumenta a formação de hemácias e a utilização da vitamina k Mantém saudável o sistema cardiovascular
  • 43.
    VITAMINA K OUFILOQUINONA  Lipossolúvel  Funções no organismo:  Coagulação sanguínea  Avitaminose (carência)  Hemorragias recorrentes  Principais fontes:  Vegetais em folha  Tomate  Amêndoas e castanhas  Produzida por bactérias da flora intestinal
  • 44.
    FUNÇÃO DA FILOQUINONAOU VITAMINA K Auxilia na coagulação sanguínea, evitando assim hemorragias