INTRODUÇÃO À RAGIOLOGIA
SIMPLES DO TÓRAX
Dante L. Escuissato
RADIOGRAFIAS DO TÓRAX
• INCIDÊNCIAS:
–FRONTAL (PA)
–PERFIL
TÓRAX
RADIOGRAFIAS
• AS RADIOGRAFIAS APRESENTAM “4”
DENSIDADES BÁSICAS:
– AR: traquéia, pulmões, estômago, cólon
– GORDURA: planos adiposos
– ÁGUA: coração, aorta, músculos, fígado, baço
– OSSO: córtex óssea
– OUTROS MÉTODOS (TC, RM, US) >>> MAIOR
AMPLITUDE DE DIFERENCIAÇÃO DE ESTRUTURAS
– US >>> LIMITAÇÕES >>> AR e OSSO
DIAFRAGMA
• SEPARAÇÃO ENTRE
TÓRAX E ABDÔMEN
• DUAS HEMI-CÚPULAS
• DIAFRAGMA DIREITO
MAIS ALTO
PULMÃO
DIR.
PULMÃO
ESQ.
MEDIASTINO
CORAÇÃO
FÍGADO ESTÔMAGO
DIAFRAGMA
DIREITO
ESQUERDO
CORAÇÃO
DIAFRAGMA
PLEURAS E ESPAÇOS
PLEURAIS
• NORMALMENTE, É POSSÍVEL VER OS ESPAÇOS
PLEURAIS NAS RADIOGRAFIAS DO TÓRAX?
• RESPOSTA: NÃO
LEMBRAR:
ESPAÇOS PLEURAIS TÊM TRÊS DIMENSÕES
ENVOLVEM OS PULMÕES E SE ESTENDEM PELAS FISSURAS
Que ocorre nas lesões
pleurais?
• Acúmulo de AR >>>
pneumotórax
• Acúmulo de líquido
>>> transudato e
exsudato
• Proliferação celular
>>> neoplasias,
processo inflamatórios
e infecciosos
LESÕES PLEURAIS:
IMAGEM
• RX, US, TC, RM >>> MOSTRAM LESÕES
PLEURAIS
• COMO SE APRESENTAM AS LESÕES
PLEURAIS?
• PNEUMOTÓRAX >>> ACÚMULO DE AR
• DERRAMES E PROLIFERAÇÕES CELULARES
>>> DENSIDADE DE PARTES MOLES (ÁGUA)
PNEUMOTÓRAX
PULMÃOP
AR
AR
PULMÃO
PARCIALMENTE
COLABADO
DERRAME PLEURAL
OPACIDADE
NA BASE
HEMITÓRAX
LESÃO PLEURAL
NÃO TEM PADRÃO
DE LÍQUIDO LIVRE
ALTERAÇÕES
ENVOLVENDO OS
PULMÕES
O QUE FAZER?
IMAGEM: TC
OUTROS EXAMES: US, RM
HEMITÓRAX
ESQUERDO
NORMAL
PULMÃO AERADO
PLEURA E ESPAÇO
PLEURAL NÃO-VISÍVEIS
TC MOSTRA DENSIDADES QUE RX NÃO MOSTRA
TECIDOS E ÓRGÃOS NORMAIS
(VER CORAÇÃO E MÚSCULOS)
HEMITÓRAX DIREITO ANORMAL
DERRAME
PLEURAL
NÓDULOS PLEURAIS = INFILTRAÇÃO POR NEOPLASIAATELECTASIA POR COMPRESSÃO
DO LOBO INFERIOR DIREITO
M M
CORAÇÃO
DERRAME PLEURAL
BILATERAL
US MOSTRA:
DERRAME À DIREITA
ACUMULA-SE NAS PORÇÕES
LATERAIS DO HEMITÓRAX
CONCLUSÃO:
DERRAME PLEURAL
SEPTADO
SEPTOS
LOJAS COM ECOS
HETEROGÊNEOS
IMAGEM DO PULMÃO
• DAS ESTRUTURAS PULMONARES, QUAIS
PODEM SER VISTAS NOS EXAMES DE TÓRAX
(RADIOGRAFIAS E TOMOGRAFIAS)?
– ARTÉRIAS E VEIAS PULMONARES
– BRÔNQUIOS DE MAIOR CALIBRE
– ALGUNS SEPTOS INTERLOBULARES (TC)
– DEMAIS ESTRUTURAS ESTÃO ABAIXO DA
RESOLUÇÃO DOS EXAMES DE IMAGEM
OPACIDADES
LINEARES = VASOS
ESTRUTURAS
DO MEDIASTINO E
DA PAREDE
TORÁCICA SE
SOBREPÕEM
AOS PULMÕES
XX
X
X
HILOS PULMONARES
• QUAIS ESTRUTURAS COMPÕEM OS HILOS
PULMONARES?
– VASOS PULMONARES
– BRÔNQUIOS
– LINFONODOS E VASOS LINFÁTICOS
APD
APE
HILOS PULMONARES:
ESQUERDO MAIS
ALTO QUE
DIREITO
DOENÇAS PULMONARES
• INFECÇÕES
• NEOPLASIAS
• DOENÇA PULMONAR OBSTRUTIVA CRÔNICA
• LESÕES DIFUSAS PULMONARES
• LESÕES DE GRANDES E PEQUENAS VIAS
AÉREAS
• LESÕES VASCULARES
• DOENÇAS CONGÊNICAS
• ANOMALIAS DO DESENVOLVIMENTO
???????
DOENÇAS
X
PADRÕES
DE IMAGEM
(RX – TC)
PADRÃO ALVEOLAR
• O QUE OCORRE?
– AR DOS ALVÉOLOS SUBSTITUÍDO POR
OUTRO MATERIAL (LÍQUIDO, PROCESSO
INFLAMATÓRIO / INFECCIOSO, NEOPLASIA)
– DENSIDADE DE AR >>> DENSIDADE DE ÁGUA
– IMAGEM:
• DESAPARECEM: VASOS E CONTORNOS
DO DIAFRAGMA E MEDIASTINO
• APARECE: BRONCOGRAMAS AÉREOS (AR
NO INTERIOR DOS BRÔNQUIOS)
PADRÃO ALVEOLAR
A
B
A
B
PULMÃO NORMAL PADRÃO ALVEOLAR
SINAL DA SILHUETA
PULMÃO PULMÃO
MEDIASTINO
Broncogramas
aéreos
Margens
Consolidações
Sinal da silhueta
BRONCOGRAMAS
AÉREOS
OPACIDADE
BASE PULMONAR
DIREITA
SINAL DA
SILHUETA?
POR QUÊ O CONTORNO
DIREITO DO CORAÇÃO
É VISÍVEL?
DIAFRAGMA
DIREITO
INDEFINIDO
RESPOSTA: DENSIDADE DE AR
DO PULMÃO ADJACENTE AO
CORAÇÃO
INCIDÊNCIA PA E PERFIL
RADIOGRAFIAS TÊM APENAS 2 DIMENSÕES
INCIDÊNCIAS ORTOGONAIS PERMITEM
LOCALIZAR MAIS FACILMENTE AS LESÕES
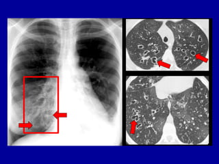
LOBO INFERIOR
DIREITO
ATELECTASIA
• DEFINIÇÃO: PERDA DE VOLUME DE SEGMENTO,
LOBO OU DE TODO UM PULMÃO
• CAUSAS: OBSTRUÇÃO BRÔNQUICA,
COMPRESSÃO, PASSIVA (PNEUMOTÓRAX),
RESTRITIVA (FIBROSE), POR ALTERAÇÃO DE
SURFACTANTE
ATELECTASIA
PULMÃO PULMÃO
MEDIASTINOVASOS
BRONCOGRAMAS
AÉREOS
ATELECTASIA SEM
BRONCOGRAMA AÉREO =
OBSTRUÇÃO BRÔNQUICA?
BRONCOBRAMAS AÉREOS
PULMÃO DIREITO < ESQUERDO
OPACIDADE DE PULMÃO DIREITO
(LOBO SUPERIOR)
DESVIO CISSURAL
NÓDULOS PULMONARES
PULMÃO PULMÃO
MEDIASTINO
Até 3cm =
NÓDULO
>3cm =
MASSA
RX: NÓDULO PULMONAR
SOLITÁRIO: INDICADA
“TC” PARA SUA AVALIAÇÃO
MASSA PULMONAR
MASSA?
LEMBRAR DE NEOPLASIA
QUAL MÉTODO DE IMAGEM
FAZER A SEGUIR?
TOMOGRAFIA COMPUTADORIZADA
NEOPLASIAS
RX = DIAGNÓSTICO
TC = ESTADIAMENTO
NÓDULOS PULMONARES
PULMÃO PULMÃO
MEDIASTINO
MÚLTIPLOS NÓDULOS:
-NEOPLASIA METASTÁTICA
-PROCESSOS INFECCIOSOS
(GRANULOMAS, EMBOLIA SÉPTICA)
RADIOGRAFIAS SIMPLES
TOMOGRAFIA COMPUTADORIZADA:
-ESTADIAMENTO DE NEOPLASIAS
MÚLTIPLOS NÓDULOS
METÁSTASES DE
SARCOMA
DOENÇAS DIFUSAS
PULMONARES
• RADIOGRAFIAS: TEM LIMITAÇÕES PARA A
CARACTERIZAÇÃO DESTAS LESÕES
• TC DE ALTA RESOLUÇÃO:
– DIAGNÓSTICO DIFERENCIAL
– CONTROLE EVOLUTIVO
– DEFINIR LOCAIS PARA BIÓPSIA
RADIOGRAFIA:
INFILTRADO RETICULAR
NA BASE E PERIFERIA
PULMONAR
PADRÃO
RETICULAR
PADRÃO
NODULAR
LESÕES
HIPERTRANSPARENTES
• RADIOGRAFIAS: AVALIAÇÃO LIMITADA
• TCAR:
– TIPO DE LESÃO: ENFISEMA, DOENÇA DE
PEQUENAS VIAS AÉREAS, ETC.
– EXTENSÃO DAS LESÕES
AUMENTO DE VOLUME
DOS PULMÕES
RETIFICAÇÃO DO
DIAFRAGMA
TRANSPARÊNCIA DO
PARÊNQUIMA
 HILOS PULMONARES
 VASOS PULMONARES
ENFISEMA PULMONAR
RX: SINAIS INDIRETOS
BOLHA
ENFISEMA PARA-SEPTAL ENFISEMA CENTROLOBULAR
BRONQUIECTASIAS
• DEFINIÇÃO: DILATAÇÃO BRÔNQUICA
IRREVERSÍVEL
• RX: INESPECÍFICO
• TCAR:
– DIAGNÓSTICO
– EXTENSÃO
RADIOGRAFIAS
CONTRASTE ENTRE
PULMÃO E MEDIASTINO
CONTORNOS
MEDIASTINAIS
DENSIDADES:
ÁGUA, AR,
GORDURA
LESÕES MEDIASTINAIS
• LESÕES CONGÊNITAS
• PROCESSOS INFLAMATÓRIOS E INFECCIOSOS
• LESÕES DEGENERATIVAS
• NEOPLASIAS PRIMÁRIAS E METASTÁTICAS
• LESÕES VASCULARES
RADIOGRAFIAS
• QUAIS ALTERAÇÕES PODEM SER VISTAS NAS
RADIOGRAFIAS DE TÓRAX NAS LESÕES
MEDIASTINAIS?
– ALTERAÇÕES DOS CONTORNOS DO
MEDIASTINO
– DESVIO DA TRAQUEIA E BRÔNQUIOS
– DENSIDADES ANORMAIS (CALCIFICAÇÕES,
COLEÇÕES AÉREAS ANORMAIS)
LESÃO EXPANSIVA MEDIASTINAL
MASSA MEDIASTINAL
ALTERAÇÕES DOS CONTORNOS
DESVIO DA TRAQUEIA
TC:
MASSA MEDIASTINAL
CALCIFICAÇÕES
BÓCIO MERGULHANTE
MASSA MEDIASTINAL
LINFONODOMEGALIAS
LINFOMA
MASSA PARAVERTEBRAL
DIREITA
TUMOR NEUROGÊNICO
MASSA PULMONAR
ESQUERDA
NEOPLASIA PULMONAR
EXTENSÃO PARA O
MEDIASTINO?
TC = ESTADIAMENTO
MASSA PULMONAR
INVASÃO MEDIASTINAL
ARTÉRIA PULMONAR
ENVOLVIDA
BFE ENVOLVIDO
LINFONODOMEGALIAS
LESÕES MEDIASTINAIS
• MEDIASTINO ANTERIOR:
– LESÕES DA TIREÓIDE, TIMOMA, TERATOMA, LIFOMA
– 4 “T” (TERRÍVEL LINFOMA)
• MEDIASTINO MÉDIO:
– LINFONODOMEGALIAS, CISTOS CONGÊNITOS,
DOENÇAS DE VIAS AÉREAS, ESÔFAGO, AORTA
• MEDIASTINO POSTERIOR:
– LESÕES NEUROGÊNICAS (90%)
RADIOGRAFIAS DO TÓRAX
• MÉTODO BARATO
• DISPONIBILIDADE
• FACILIDADE PARA REALIZAÇÃO
• RADIOGRAFIAS + CORRELAÇÃO CLÍNICA =
SUFICIENTE PARA A TOMADA DE DECISÕES NA
MAIOR PARTE DOS CASOS DE DOENÇAS
PULMONARES.
Cnap2012 d19 dante_escuissato

Cnap2012 d19 dante_escuissato