Leucócitos e Leucemias
Maturação da série branca
Maturação da série branca
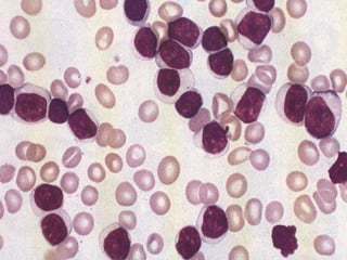
   Mieloblasto: é a célula m, possui dois ou mais
    nucléolos, núcleo com  mais imatura. Mede cerca de 15 a 18
    cromatina frouxa. Citoplasma escasso, basofílico, podendo
    apresentar grânulos e bastonetes de Auer. Podem indicar no
    hemograma leucemia mielóide, síndrome mielodisplásica ou
    reação                                         leucemóide.
    Promielócitos: maior que o mieloblasto, citoplasma basófilo
    com muitos grânulos primários, zona de Golgi
    evidente, núcleo com cromatina frouxa e nucléolo visível.
    Mielócitos: citoplasma acidófilo, poucos grânulos, ausência
    do      nucléolo,     cromatina      mais      condensada.
Maturação da série branca
   Metamielócitos: poucos grânulos primários, núcleo
    achatado, cromatina condensada, grânulos
    secundários.
    Bastonetes: citoplasma acidófilo, núcleo alongado e
    curvo. Aumento na sua quantidade indica infecção.
    Segmentados: citoplasma acidófilo, núcleo
    segmentado, cromatina condensada, núcleo com dois
    a cinco lóbulos. Aumento na quantidade de
    neutrófilos indica infecção
   Gênese dos Neutrófilos na medula óssea: MB (mieloblasto), PM
    (promielócito), M (mielócito), MM (metamielócito), BT (bastonete), SG
    (segmentado).
Grânulos
   Primários – visualizados no promielócito e
    mielócito (inespecíficos) contém MPO
    catalisa    a   produção   de  hipoclorito
    (bactericida)
   Secundários – a partir do metamielócito,
    contém lactoferrina quelante do ferro
    indisponibilizando-o para o crescimento
    bacteriano.
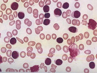
Alterações reacionais
   Neutrofilia
   Neutropenia
   Desvio à esquerda
   Desvio à direita
   Linfocitose (linfócitos atípicos – linfócitos T
    ativados) /mononucleose infecciosa
    /coqueluche
   Linfopenia
Alterações reacionais
   Infecção bacteriana
   Infecções virais
   Tuberculose
   Eosinofilia reacional
   Reações leucemóides(linfóide e mielóide)
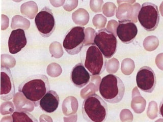
Reação Leucemóide (RL)
   Resposta intensa (leucocitose acima de 50.000
    leuc/microlitros)
   Pode ser confundido com LMC
   Diferenciar – eosinofilia, basofilia e plaquetose
    falam     a    favor    da    LMC,      granulações
    tóxicas,    corpúsculo     de    Dohle,    vacúolos
    citoplasmáticos e plaquetopenia RL.
   Fosfatase alcalina aumenta nos processo infecciosos
    e inflamatórios.
Alterações da Série Branca
   Hiperssegmentação
   Granulações tóxicas – granulações primárias em
    metamielócitos e neutrófilos.
   Corpúsculo de Dohle – visualização do Retículo
    endoplasmático rugoso.
   May Hegglin - trombocitopenia familiar associada a
    inclusões, plaquetas gigantes, granulações acinzentadas
   Chediak Higashi – Lisossomos gigantes e grânulos
    grandes, leucopenia
   Peuger Huet – Benigna
   Anomalia de Alder Reilly – mucopolissacaridose, inclusões
    alaranjadas
Anomalia de Pelger-Huet
Anomalia de Pelger-Huet
Chediak Higashi
Chediak Higashi
May-Hegglin
Neoplasia
   Proliferação celular que não obedece aos
    controles de crescimento.
   Infiltrativa: ocorre perda ou modificação de
    função.
   Ocasionada, geralmente por estímulos
    desconhecidos, que afetam determinada
    linhagem celular (clonal).
Leucemia
   Neoplasias malignas que
    afetam células precursoras
    hemopoéticas      e     se
    localizam originalmente na
    medula óssea
Causas
   Etiologia: geralmente desconhecida
   Hereditários
   Fatores genéticos ALTERAÇÕES CROMOSSÔMICAS
    Radiação ionizante (u.v., raios X,etc)
   Radiação não ionizante
   Exposição ocupacional
   Substâncias químicas (benzeno e seus derivados, agentes
    alquilantes,etc )
   Vírus (HTLV-1, Epstein-Barr)
   Secundárias a outras doenças?
Fatores genéticos

   SÍNDROME DE DOWN (trissomia do 21,
    LMA megacariocítica
   SÍNDROME DE KLINEFELTER´S (XXY)
   SÍNDROME DE BLOOM´S (LLA,LMA)
   ATAXIA-TALIANGIECTASIA (LLA)
   SÍNDROME DE FANCONI (LMA)
Síndrome de Down
SÍNDROME DE KLINEFELTER´S
ATAXIA-TALANGIECTASIA
SÍNDROME DE FANCONI
   A síndrome de Fanconi é uma tubulopatia
    renal proximal complexa rara na qual se
    observa distúrbio na reabsorção de
    glicose, aminoácidos, fosfato, bicarbonato e
    potássio,       além       de       proteinúria
    tubular, deficiente concentração urinária e
    distúrbios no processo de acidificação.
BIOLOGIA DA CÉLULA TUMORAL

   Geralmente Clonalidade
   Independência de controle de proliferação
    e,ou na apoptose
   Instabilidade gênica
   Capacidade de infiltração e metástase
   Capacidade de alterar a membrana basal
   Independe de microambiente específico
INTRODUÇÃO:
   A Leucemia aguda é uma doença neoplásica do
    tecido     hematopoético,    caracterizada    pela
    proliferação anormal das células progenitoras que
    perdem a capacidade de maturação e/ou
    diferenciação.
EPIDEMIOLOGIA
   Aproximadamente 31.500 casos/ano (EUA)
   Relação homem/mulher 1.28:1.
   LMA: 32% dos casos
   LLC: 26% dos casos
   LMC: 15% dos casos
   LLA: 11% dos casos
   Não classificadas: o restante.
RECURSOS DIAGNÓSTICO

HEMATOLÓGICO
 Hemograma
 Mielograma
 Biópsia de medula óssea
 Citoquímica/imunohistoquímica (MPO, SB,PAS)
 Imunofenotipagem (Citometria de fluxo, anticorpos)
 Citogenética (Cultura de células, Cariótipo)
 Biologia molecular
SINAIS E SINTOMAS MAIS FREQUENTES

   Palidez
   Cansaço
   Anorexia
   Perda de peso
   Febre
   Hemorragia
   Hepatomegalia
   Esplenomegalia
   Adenopatia
Classificação geral das Leucemias
   LMA
   LMC
   LLA
   LLC
CLASSIFICAÇÃO F.A.B. P/ LMA
   LMA-M0   INDIFERENCIADA
   LMA-M1   SEM MATURAÇÃO
   LMA-M2   COM MATURAÇÃO
   LMA-M3   PROMIELOCÍTICA
   LMA-M4   MIELOMONOCÍTICA
   LMA-M5   MONOCÍTICA
   LMA-M6   ERITRÓIDE
   LMA-M7   MEGACARIOCÍTICA
Classificação FAB P/ LLA
Linfóides
 L1: células regulares, homogêneas;

 L2: células mais heterogêneas;

 L3: células de citoplasma
  basófilo, vacuolado, correspondendo à
  morfologia do Linfoma de Burkitt
LEUCEMIA MIELÓIDE
     AGUDA
     ( LMA )
INTRODUÇÃO – LMA:
   10.000 novos casos/ano e 7.000 mortes/ano

   Representa 80% das leucemias agudas em adultos

   A incidência aumenta com a idade, atingindo um pico na
    sexta década de vida

   Não existe um fator genético associado
SINTOMAS:
   Insuficiência medular
   Anemia
   Trombocitopenia
   Neutropenia
   Dores abdominais
   Dores articulares
DIAGNÓSTICO:
   Hemograma (aspecto morfológico)
   Punção de medula óssea
   Biópsia de medula óssea
   Provas citoquimicas
   Imunofenotipagem
   Citogenética
DIAGNÓSTICO LMA:
   Hemograma = presença de blastos
   Leucocitose (50.000/mm³), Anemia e
    trombocitopenia
   Bastonetes de auer
   Medula óssea > 20% mieloblastos
   Provas citoquimicas específicas
   Imunofenotipagem
   Citogenética
PROVAS CITOQUIMICAS:
   Mieloperoxidase
   Sudam black
   Anae
   Anae – fluoreto de sódio
   Azul de toluidina
   PAS
MPO - Mieloperoxidase
   Presente nos grânulos primários dos
    precursores dos neutrófilos;
   A reação é positiva em blastos de origem
    mielóide com alguma evidência de
    maturação, nos promielócitos e mielócitos.
   A MPO (SB) é importante na caracterização
    do Mieloblasto e uma prova positiva faz o
    diagnóstico de LMA.
MIELOPEROXIDAE +
MIELOPEROXIDASE +
IMUNOFENOTIPAGEM:
   A presença de antígenos de superfície nas células
    hematopoéticas tem um papel importante na
    identificação e classificação da linhagem e estado
    maturativo destas células.

   A imunofenotipagem foi um grande avanço como
    auxílio diagnóstico e prognóstico e também no
    tratamento de inúmeras doenças hematológicas.
CITOGENÉTICA:
   O estudo das alterações cromossômicas nas
    leucemias é fundamental para se definir
    condutas     terapêuticas  e    avaliações
    prognósticas da doença
LEUCEMIA MIELÓIDE AGUDA-LMA

CLASSIFICAÇÃO              CITOGENÉTICA         PROGNÓSTICO


LMA-M0
LMA-M1 (sem maturação)     t(9;22), inv(3)      Ruim
LMA-M2 (com maturação)     t(8;21)              Misto
LMA-M3 (promielocítica)    t(15;17)             Bom
LMA-M3 microgranular       t(11:17), t(5;17)
LMA-M4(mielomonocítica)    inv 16               Bom
LMA-M5 (monocítica)        t(11)(q23)           Bom
M5a                        del(11)(q23)         Ruim?
M5b
LMA-M6 (eritroleucemia)    5, 5q-, -7, 7q-      Ruim
LMA-M7 (megacariocítica)   t(1;22) (crianças)   Ruim
LMA-M0
LMA-M0
LMA-M1
LMA-M1
LMA-M1
LMA-M1
LMA-M1
LMA-M1
LMA-M1
LMA-M2
   Prevalência 32%
   BLASTOS COM MATURAÇÃO (grânulos)
   Bastonetes de auer +
   Mpo +
   Imunofenotipagem: cd13;33 + cd14;15 +
   T(8;21) foi a primeira translocação identificada no
    câncer humano (1972)
   Comprometimento eosinofílico
LMA-M2
LMA-M2 (eosinofílica)
LMA-M3
   Prevalência 12%
   Promielócitos leucêmicos, “faggot cell”
   Variante microgranular
   Aspecto morfológico
   Imunofenotipagem:
    Hla-dr - cd34;15 - cd13 + (100%)
   CITOGENÉTICA: t(15;17)
LMA-M3
LMA-M3
LMA-M3
LMA-M3 (variante)
LMA-M3 (variante)
LMA-M4
   Prevalência 23%
   Blastos mielóides / monocitóides
   Linhagem monocitóide < 20% m.O.
   Anae +
   Imunofenotipagem: cd34 + (difícil)
   CITOGENÉTICA: VARIANTE lma-m4eo
    Inv(16) – (aberrante cd2)
   Comprometimento snc
LMA-M4
LMA-M4
LMA-M4
LMA-M5
   Prevalência 06%
   Linhagem monocitóide > 80% m.O.
   Subtipo a: sem maturação
   Subtipo b: com maturação
   Anae +
   Imunofenotipagem:
    Cd33 + cd13 fraco cd34;117 - cd14;64 ++
   Comprometimento em snc
LMA-M5
LMA-M5A
LMA-M5B
LMA-M6
   Prevalência 04%
   Medula óssea:
    > 50% precursores eritróides
    > 30% mieloblastos (cne)
   Imunofenotipagem:
    Cd71 +       glicoforina +
LMA-M6
LMA-M7
   Prevalência 02%
   Morfologicamente de difícil diferenciação
   Imunofenotipagem:
    Cd41 +       cd61 +
LMA-M7
LEUCEMIA MIELÓIDE
    CRÔNICA
     ( LMC )
INTRODUÇÃO:
   É uma doença mieloproliferativa clonal resultante da
    transformação maligna de uma célula-tronco
    hematopoética pluripotente, que envolve as
    linhagens
    mielóide, eritróide, megacariocítica, linfócitos B e as
    vezes linfócitos T.
EPIDEMIOLOGIA:
   Afeta adultos jovens mas a maior incidência
    da doença ocorre entre a 5a e 6a década da
    vida.
   Predominância masculina de 1,4:1
DIAGNÓSTICO:
   Leucocitose > 100.000/mm³
   Trombocitose > 600.000/mm³
   Anemia
   Neutrofilia com todas as formas maturativas
    mas com predomínio de mielócitos a
    segmentados.
   Basofilia
CITOGENÉTICA:
•   90-95% DOS PACIENTES COM LMC TÊM A T(9;22)
    CLÁSSICA.

•   2-10% DOS CASOS TÊM UMA TRANSLOCAÇÃO
    VARIANTE ENVOLVENDO O 9Q34 E O 22Q11 COM
    UM TERCEIRO OU MAIS CROMOSSOMOS.

•   PACIENTES COM A TRANSLOCAÇÃO CLÁSSICA E
    VARIANTE       SÃO      CLÍNICA       E
    HEMATOLOGICAMENTE SEMELHANTES.
FASES DA DOENÇA:
   FASE      CRÔNICA:       FASE
    INICIAL, COM EXPANSÃO CLONAL
    MIELÓIDE,       APRESENTANDO
    LEUCOCITOSE COM TODAS AS
    FASES DE MATURAÇÃO.
   DURAÇÃO DE 3-4 ANOS.
   BLASTOS NA MEDULA ÓSSEA: <10%
FASE CRÔNICA;
FASE CRÔNICA:
FASE CRÔNICA:
FASES DA DOENÇA:
   Fase acelerada: progressiva parada de
    maturação celular; aumento de resistência à
    terapia e evolução citogenética clonal.
   ≥10% blastos na medula óssea ou sangue
    periférico;
   ≥20% blastos + promielócitos na M.O ou S.P;
    ≥20% basófilos + eosinófilos no sp.
FASE ACELERADA:
FASES DA DOENÇA:
   Crise blastica : 50% dos casos são blastos
    mielóides; 30% blastos linfóides (pré-b) e 10% de
    blastos eritróides; está associada a um mau
    prognóstico, com sobrevida de 3-6 meses, e é
    caracterizada pela presença de >30% de blastos na
    medula óssea ou no sangue periférico ou por
    infiltrado extramedular de células leucêmicas
FASE BLÁSTICA:
FASE BLÁSTICA:
LEUCEMIA LINFÓIDE
     AGUDA
     ( LLA )
INTRODUÇÃO:
   A leucemia aguda é uma doença neoplásica do
    tecido     hematopoético,    caracterizada    pela
    proliferação anormal das células progenitoras que
    perdem a capacidade de maturação e/ou
    diferenciação.
INTRODUÇÃO:
   Classificada F.A.B. Em L1, L2 e L3
   80% leucemias em crianças (2 a 5 anos)
   Prevalência cor branca e sexo masculino
SINTOMAS:
   Insuficiência medular
   Anemia
   Trombocitopenia
   Neutropenia
   Dores abdominais
   Dores articulares
DIAGNÓSTICO:
   Hemograma (aspecto morfológico)
   Punção de medula óssea
   Biópsia de medula óssea
   Provas citoquimicas
   Imunofenotipagem
   Citogenética
DIAGNÓSTICO LLA:
   Hemograma = presença de blastos
   Leucocitose (50.000/mm³), Anemia e
    trombocitopenia
   Medula óssea > 20% linfoblastos
   Provas citoquimicas específicas
   Imunofenotipagem
   Citogenética
CITOQUIMICA:
   PAS
   Fosfatase ácida
   Fosfatase ácida – tartarato
   Verde metil pironina
IMUNOFENOTIPAGEM:
   A presença de antígenos de superfície nas células
    hematopoéticas tem um papel importante na
    identificação e classificação da linhagem e estado
    maturativo destas células.

   A imunofenotipagem foi um grande avanço como
    auxílio diagnóstico e prognóstico e também no
    tratamento de inúmeras doenças hematológicas.
IMUNOFENOTIPAGEM:
   LINHAGEM B
   HLA-DR +      TDt + CD10;19 +
   LLA-B precursoras:
      sem marcadores de imunoglobulina
   LLA-B pré-B:
      imunoglobulina de cadeia pesada IgM
   LLA-B maduras:
      imunoglobulina de superfície
IMUNOFENOTIPAGEM:
   LINHAGEM T
   MARCADORES:
      TDt
      CD1;2;3;5;7
      CD2 É O MAIS SENSÍVEL
      CD3 e 7 OS MAIS ESPECÍFICOS
      CD4 e CD8 + TDt +
CITOGENÉTICA:
   Quase 60% dos pacientes com LLA têm
    aberrações citogenéticas detectadas
    microscopicamente.
   Esta percentagem é muito maior quando são
    consideradas as translocações críticas, como a
    t(12;21).
CITOGENÉTICA:
   ABERRAÇÕES CROMOSSÔMICAS
    NUMÉRICAS:


    HIPERDIPLOIDIA (>50 CROMOSSOMOS):
      25% NA LLA INFANTIL
      6% NA LLA DE ADULTO

    HIPODIPLOIDIA (<46 CROMOSSOMOS):
       5% TANTO NA LLA INFANTIL COMO NO ADULTO
LEUCEMIA LINFÓIDE AGUDA
   LLA-L1   BLASTOS HOMOGÊNEOS

   LLA-L2   BLASTOS HETEROGÊNEOS

   LLA-L3   BLASTOS COM CITOPLASMA
             BASÓFILO E VACUOLIZADO
LEUCEMIA LINFÓIDE AGUDA
         CRIANÇAS   ADULTOS
LLA-L1   85%        35%

LLA-L2   14%        60%

LLA-L3   1%         5%
LLA-L1
LLA-L1
LLA-L2
LLA-L2
LLA-L3
LEUCEMIA LINFOCÍTICA
     CRÔNICA
       ( LLC )
INTRODUÇÃO:
   A LLC é uma neoplasia hematológica
    caracterizada pela proliferação e acúmulo de
    linfócitos maduros no sangue periférico.

   A grande maioria dos casos envolvendo a
    proliferação do clone de células b.
INTRODUÇÃO:
   AFETA PACIENTES ACIME DE 50 ANOS

   EM 50% DOS CASOS EXISTE ABERRAÇÃO
    CROMOSSÔMICA (TRISSOMIA 12)
PROLINFOCÍTICA:
   DIFERENCIAÇÃO:
      > 50% PROLINFÓCITOS
      CD22 +
      CD5 -
HAIRY CELL
   DIFERENCIAÇÃO MORFOLÓGICA.
   CITOQUIMICA:
      FOSFATASE ÁCIDA – TARTARATO
   IMUNOFENOTIPAGEM:
      CD19;20 +
      HLA-DR +
      CD5 -
Hemoglobinopatias

   Doenças hereditárias causadas por diminuição
    ou anomalia da síntese de globina

   Afetam cerca de 7% da população mundial
Hemoglobina
   Proteína formada por 4 cadeias globínicas
    ligada a um grupamento heme que possui
    ferro e que transporta oxigênio.
ANEMIA FALCIFORME

               “Anemia Drepanocítica”

Anormalidade molecular       Hb S (∝2β2 6Glu Val)
       Rigidez da membrana do eritrócito
       Viscosidade do sangue
     Desidratacão por K+ e Ca+2 no eritrócito
Eritrócitos perdem a
flexibilidade necessária para    Membrana dos eritrócitos se alterão
   atravessar os capilares      (pegajosas) e se aderem ao endotélio
                                              dos vasos:

                                   •Vasooclusão
                                   microvascular
                                   •Hemólise
                                   prematura
Hemoglobina
   Adulto – 3 tipos de Hb
                  Hb A         Hb F        Hb A2
Estrutura          α2β2         α2γ2         α2   2
Normal (%)        96-98       0,5 - 0,8    1,5 - 3,2




   Genes que codificam as cadeias globínicas se
    encontram nos cromossomos 16 e 11
Síndromes falciformes
   Herança do gene da β-globina S (de Sickle =
    foice)
   Padrões de herança:
       Homozigótica: Hb SS (anemia falciforme)
       Heterozigótica: Hb AS (traço falciforme)
       Associado a outras variantes: Hb SC, Hb SD, Hb
        S/Tal β, Hb S/Tal α
Síndromes falciformes
   Fisiopatologia
       Substituição na posição 6 da cadeia β de um ácido
        glutâmico por uma valina, causando profundas alterações
        na estabilidade e solubilidade da hemoglobina
       A Hb S é insolúvel e forma cristais quando exposta a
        baixa tensão de O2
       A Hb desoxigenada polimeriza (gel semi-sólido) – a
        célula adquire forma de foice, suscetível à hemólise
       Os eritrócitos deformados podem ocluir a microcirculação
        e também grandes vasos.
Síndromes falciformes
   Consequências:
       Anemia hemolítica crônica
       Lesão crônica de órgãos e tecidos
       Crises vaso-oclusivas dolorosas
Anemia falciforme (Hb SS)
   Manifestações clínicas:
       Assintomática até ± 6 meses de idade
       Anemia hemolítica grave, pontuada por crises a
        partir dos 6 meses
       Crises vaso-oclusivas frequentes e precipitadas
        por infecção, acidose, desidratação, frio e
        desoxigenação, podendo levar a infarto em vários
        órgãos, incluindo ossos (síndrome pé-
        mão), pulmões, baço, cérebro e medula.
Anemia falciforme
    Crise de sequestro visceral – hepato e
     esplenomegalia, com exacerbação da anemia e
     necessidade de transfusão. A esplenectomia pode
     ser necessária
    Crises aplásticas – resultado de infecção por
     parvovírus
    Crises megaloblásticas – por deficiência de folato
    Crises hemolíticas – queda da Hb e aumento de
     reticulócitos – acompanham crises dolorosas.
Anemia falciforme
   Lesões crônica dos órgãos
       Crescimento e desenvolvimento alterados
       Doença dos ossos e articulações
       Manifestações
        cardiovasculares, pulmonares, hepatobiliares, gen
        itourinárias
       Síndrome nefrótica
       Priapismo
       Manifestações oculares
       Ulcerações por estase vascular e isquemia local
Anemia falciforme
   Achados laboratoriais:
       Hemograma:
           Hb entre 6 e 9 g/dL
           Eritrócitos normocrômicos e normocíticos, tendendo a
            microcitose
           HCT entre 20 e 30%
           Leucocitose: entre 12.000 e 15.000 com neutrofilia
           Plaquetas geralmente >440.000
Anemia falciforme
   Achados laboratoriais:
       VSG baixo (diferente das outras anemias!!)
       Microscopia:
           Hemácias falciformes
           Céls em alvo
           Policromatofilia
           Corpos de Howell-Jolly (atrofia esplênica)
Anemia falciforme
Anemia falciforme
Anemia falciforme
Anemia falciforme
   Diagnóstico:
       Eletroforese de Hb
       HPLC de Hb
       Testes de solubilidade
       Hemograma completo
       PCR
Anemia falciforme
   Tratamento:
       Medidas preventivas – evitar
        frio, infecções, desidratação, anoxia
       Ácido fólico
       Higiene e boa nutrição
       Controle da dor
       Transfusão sanguínea somente em anemia mto grave
       Hidroxiuréia (aumenta Hb F)
Traço falciforme (Hb AS)
   Paciente sem anemia e eritrócitos normais
   Hematúria é o sintoma mais comum
   A Hb S varia de 25 a 45% da Hb total
   Diagnóstico importante para aconselhamento
    genético
Anomalias da hemoglobina
   Resultam de:
       Síntese de hemoglobina anormal
       Diminuição da velocidade de síntese das cadeias normais
        α ou β
Epidemiologia
   Doenças genéticas mais comuns
   Ocorrem nas regiões tropicais e subtropicais
   Algumas relacionadas com proteção contra
    malária
   β-talassemia no mediterrâneo
   α-talassemia no extremo oriente
Hemoglobinopatias
   Quantitativas
       Talassemias – deficiência na síntese de cadeias
        globínicas
   Qualitativas
       Hemoglobinas anormais (variantes) – alteração
        estrutural na cadeia globínica
   PHHF
       Persistência hereditária da hemoglobina fetal
Talassemias
   Deficiência parcial ou total de cadeias α ou β
   Consequências:
       Redução da síntese de Hb normal
       Desequilíbrio entre produção das cadeias globínicas
Síndromes α-talassêmicas
    Doença da Hb H ou Talassemia α Maior – 3
     deleções (α-/--)
        Anemia microcítica, hipocrômica, moderadamente
         severa (Hb 7-11 g/dL)
        Inclusões (Hb H, corpúsculo de heinz)
        Cels alvo
        Esplenomegalia
        Hb H 10-20% (precipitado nos eritrócitos)
        Hb A2 diminuída
Síndromes α-talassêmicas
Síndromes α-talassêmicas
   Traços talassêmicos α – são causados por perda de 1
    ou 2 genes (αα/-- ou α-/α- ou αα/α-)
       Em geral NÃO se associam a anemia, embora tenham
        VCM e HCM baixo e ERI acima de 5,5 milhões
       Maioria assintomáticos
       Hb H < 2%
Síndromes α-talassêmicas
   Diagnóstico:
       Observação eritrócitos
       Determinação hematimétrica
       Reticulócitos
       Pesquisa de corpúsculos Heinz
       Pesquisa de inclusões de Hb H (corante
        supravital)
       Eletroforese de Hb
       Análise familiar
Síndromes α-talassêmicas
   Portador silencioso (αα/α-)

   Traço talassêmico alfa (α-/α-) ou (αα/--)

   Doença da Hb H (α-/--)

   Hidropsia fetal (--/--) = incompatível com a
    vida!!!!!!!!
Síndromes β-talassêmicas
   β -talassemia maior ou Anemia de Cooley
     Mais de 200 defeitos genéticos detectados
     Chance de ocorrência em filhos de pai e mãe
       portadores = 1:4
     Genótipos: β0 (sem síntese de cadeia), β+(síntese
       pequena e insuficiente)
     Excesso de cadeias α precipita nas hemácias 
       eritropoese ineficaz e intensa hemólise. Quanto
       mais cadeias α, mais grave a anemia.
     Cadeias γ ajudam
Síndromes β-talassêmicas
   Características clínicas:
       Anemia grave 3 a 4 meses após o nascimento – nível de
        Hb entre 2-3 g/dL
       Hepatoesplenomegalia – resultado da destruição excessiva
        de eritrócitos, eritropoese extramedular e sobrecarga de
        ferro
       Expansão óssea (fácies talassêmica e fios de escova) com
        tendência a fraturas – intensa hiperplasia eritróide
       Paciente depende de transfusões sanguíneas
       Sobrecarga de ferro (transfusões e absorção da dieta) que
        necessita de quelação (na falta desta morte em 20-30
        anos)
Síndromes β-talassêmicas
Síndromes β-talassêmicas
Síndromes β-talassêmicas
   Diagnóstico laboratorial
       Hemograma:
           Hb, VCM, HCM 
            reticulócitos e eritroblastos
           Céls em alvo
           Pontilhado basófilo
           Corpos de Howell Jolly
       Biópsia medular
Síndromes β-talassêmicas
Síndromes β-talassêmicas
Síndromes β-talassêmicas
   Diagnóstico laboratorial:
       Eletroforese de hemoglobina – total ausência ou
        grande diminuição de Hb A, quase 100% de Hb F
       Cromatografia líquida para hemoglobinas
       Avaliação de ferro:
           Sérico, Ferritina, TIBC
           Ressonância
           Biópsia hepática
           Testes funcionais cardíacos, hepáticos e de órgãos
            endócrinos
Síndromes β-talassêmicas
Síndromes β-talassêmicas
   Tratamento:
       Transfusões – 2 a 3 unidades a cada 4 a 6 semanas
       Ácido fólico para reposição
       Quelantes de ferro
       Vitamina C (aumenta excreção de ferro produzida pelos
        quelantes)
       Esplenectomia pode ser necessária para diminuir a
        necessidade de transfusões
       Reposição hormonal
       Imunização para HBV
       Transplante de medula com 80% de sucesso
Síndromes β-talassêmicas
   Traço β-talassêmico ou Talassemia β
    Menor
       Anomalia comum, geralmente assintomática
       Quadro hematológico: VCM e HCM baixos, ERI
        alto e Hb 10-12 g/dL
       Hb A2 > 3,5%
       HbF normal ou pouco elevada
       Necessidade de aconselhamento pré-natal
Síndromes β-talassêmicas
   Talassemia intermediária
       Gravidade moderada – Hb 7 a 10 g/dL
       Sem necessidade de transfusão

Leucócitos e Leucemias

  • 1.
  • 2.
  • 4.
    Maturação da sériebranca  Mieloblasto: é a célula m, possui dois ou mais nucléolos, núcleo com mais imatura. Mede cerca de 15 a 18 cromatina frouxa. Citoplasma escasso, basofílico, podendo apresentar grânulos e bastonetes de Auer. Podem indicar no hemograma leucemia mielóide, síndrome mielodisplásica ou reação leucemóide. Promielócitos: maior que o mieloblasto, citoplasma basófilo com muitos grânulos primários, zona de Golgi evidente, núcleo com cromatina frouxa e nucléolo visível. Mielócitos: citoplasma acidófilo, poucos grânulos, ausência do nucléolo, cromatina mais condensada.
  • 5.
    Maturação da sériebranca  Metamielócitos: poucos grânulos primários, núcleo achatado, cromatina condensada, grânulos secundários. Bastonetes: citoplasma acidófilo, núcleo alongado e curvo. Aumento na sua quantidade indica infecção. Segmentados: citoplasma acidófilo, núcleo segmentado, cromatina condensada, núcleo com dois a cinco lóbulos. Aumento na quantidade de neutrófilos indica infecção
  • 6.
    Gênese dos Neutrófilos na medula óssea: MB (mieloblasto), PM (promielócito), M (mielócito), MM (metamielócito), BT (bastonete), SG (segmentado).
  • 7.
    Grânulos  Primários – visualizados no promielócito e mielócito (inespecíficos) contém MPO catalisa a produção de hipoclorito (bactericida)  Secundários – a partir do metamielócito, contém lactoferrina quelante do ferro indisponibilizando-o para o crescimento bacteriano.
  • 9.
    Alterações reacionais  Neutrofilia  Neutropenia  Desvio à esquerda  Desvio à direita  Linfocitose (linfócitos atípicos – linfócitos T ativados) /mononucleose infecciosa /coqueluche  Linfopenia
  • 10.
    Alterações reacionais  Infecção bacteriana  Infecções virais  Tuberculose  Eosinofilia reacional  Reações leucemóides(linfóide e mielóide)
  • 14.
    Reação Leucemóide (RL)  Resposta intensa (leucocitose acima de 50.000 leuc/microlitros)  Pode ser confundido com LMC  Diferenciar – eosinofilia, basofilia e plaquetose falam a favor da LMC, granulações tóxicas, corpúsculo de Dohle, vacúolos citoplasmáticos e plaquetopenia RL.  Fosfatase alcalina aumenta nos processo infecciosos e inflamatórios.
  • 15.
    Alterações da SérieBranca  Hiperssegmentação  Granulações tóxicas – granulações primárias em metamielócitos e neutrófilos.  Corpúsculo de Dohle – visualização do Retículo endoplasmático rugoso.  May Hegglin - trombocitopenia familiar associada a inclusões, plaquetas gigantes, granulações acinzentadas  Chediak Higashi – Lisossomos gigantes e grânulos grandes, leucopenia  Peuger Huet – Benigna  Anomalia de Alder Reilly – mucopolissacaridose, inclusões alaranjadas
  • 16.
  • 17.
  • 18.
  • 19.
  • 20.
  • 21.
    Neoplasia  Proliferação celular que não obedece aos controles de crescimento.  Infiltrativa: ocorre perda ou modificação de função.  Ocasionada, geralmente por estímulos desconhecidos, que afetam determinada linhagem celular (clonal).
  • 22.
    Leucemia  Neoplasias malignas que afetam células precursoras hemopoéticas e se localizam originalmente na medula óssea
  • 23.
    Causas  Etiologia: geralmente desconhecida  Hereditários  Fatores genéticos ALTERAÇÕES CROMOSSÔMICAS Radiação ionizante (u.v., raios X,etc)  Radiação não ionizante  Exposição ocupacional  Substâncias químicas (benzeno e seus derivados, agentes alquilantes,etc )  Vírus (HTLV-1, Epstein-Barr)  Secundárias a outras doenças?
  • 24.
    Fatores genéticos  SÍNDROME DE DOWN (trissomia do 21, LMA megacariocítica  SÍNDROME DE KLINEFELTER´S (XXY)  SÍNDROME DE BLOOM´S (LLA,LMA)  ATAXIA-TALIANGIECTASIA (LLA)  SÍNDROME DE FANCONI (LMA)
  • 25.
  • 26.
  • 27.
  • 28.
    SÍNDROME DE FANCONI  A síndrome de Fanconi é uma tubulopatia renal proximal complexa rara na qual se observa distúrbio na reabsorção de glicose, aminoácidos, fosfato, bicarbonato e potássio, além de proteinúria tubular, deficiente concentração urinária e distúrbios no processo de acidificação.
  • 29.
    BIOLOGIA DA CÉLULATUMORAL  Geralmente Clonalidade  Independência de controle de proliferação e,ou na apoptose  Instabilidade gênica  Capacidade de infiltração e metástase  Capacidade de alterar a membrana basal  Independe de microambiente específico
  • 30.
    INTRODUÇÃO:  A Leucemia aguda é uma doença neoplásica do tecido hematopoético, caracterizada pela proliferação anormal das células progenitoras que perdem a capacidade de maturação e/ou diferenciação.
  • 31.
    EPIDEMIOLOGIA  Aproximadamente 31.500 casos/ano (EUA)  Relação homem/mulher 1.28:1.  LMA: 32% dos casos  LLC: 26% dos casos  LMC: 15% dos casos  LLA: 11% dos casos  Não classificadas: o restante.
  • 32.
    RECURSOS DIAGNÓSTICO HEMATOLÓGICO  Hemograma Mielograma  Biópsia de medula óssea  Citoquímica/imunohistoquímica (MPO, SB,PAS)  Imunofenotipagem (Citometria de fluxo, anticorpos)  Citogenética (Cultura de células, Cariótipo)  Biologia molecular
  • 35.
    SINAIS E SINTOMASMAIS FREQUENTES  Palidez  Cansaço  Anorexia  Perda de peso  Febre  Hemorragia  Hepatomegalia  Esplenomegalia  Adenopatia
  • 36.
    Classificação geral dasLeucemias  LMA  LMC  LLA  LLC
  • 37.
    CLASSIFICAÇÃO F.A.B. P/LMA  LMA-M0 INDIFERENCIADA  LMA-M1 SEM MATURAÇÃO  LMA-M2 COM MATURAÇÃO  LMA-M3 PROMIELOCÍTICA  LMA-M4 MIELOMONOCÍTICA  LMA-M5 MONOCÍTICA  LMA-M6 ERITRÓIDE  LMA-M7 MEGACARIOCÍTICA
  • 38.
    Classificação FAB P/LLA Linfóides  L1: células regulares, homogêneas;  L2: células mais heterogêneas;  L3: células de citoplasma basófilo, vacuolado, correspondendo à morfologia do Linfoma de Burkitt
  • 39.
    LEUCEMIA MIELÓIDE AGUDA ( LMA )
  • 40.
    INTRODUÇÃO – LMA:  10.000 novos casos/ano e 7.000 mortes/ano  Representa 80% das leucemias agudas em adultos  A incidência aumenta com a idade, atingindo um pico na sexta década de vida  Não existe um fator genético associado
  • 41.
    SINTOMAS:  Insuficiência medular  Anemia  Trombocitopenia  Neutropenia  Dores abdominais  Dores articulares
  • 42.
    DIAGNÓSTICO:  Hemograma (aspecto morfológico)  Punção de medula óssea  Biópsia de medula óssea  Provas citoquimicas  Imunofenotipagem  Citogenética
  • 43.
    DIAGNÓSTICO LMA:  Hemograma = presença de blastos  Leucocitose (50.000/mm³), Anemia e trombocitopenia  Bastonetes de auer  Medula óssea > 20% mieloblastos  Provas citoquimicas específicas  Imunofenotipagem  Citogenética
  • 44.
    PROVAS CITOQUIMICAS:  Mieloperoxidase  Sudam black  Anae  Anae – fluoreto de sódio  Azul de toluidina  PAS
  • 45.
    MPO - Mieloperoxidase  Presente nos grânulos primários dos precursores dos neutrófilos;  A reação é positiva em blastos de origem mielóide com alguma evidência de maturação, nos promielócitos e mielócitos.  A MPO (SB) é importante na caracterização do Mieloblasto e uma prova positiva faz o diagnóstico de LMA.
  • 46.
  • 47.
  • 48.
    IMUNOFENOTIPAGEM:  A presença de antígenos de superfície nas células hematopoéticas tem um papel importante na identificação e classificação da linhagem e estado maturativo destas células.  A imunofenotipagem foi um grande avanço como auxílio diagnóstico e prognóstico e também no tratamento de inúmeras doenças hematológicas.
  • 49.
    CITOGENÉTICA:  O estudo das alterações cromossômicas nas leucemias é fundamental para se definir condutas terapêuticas e avaliações prognósticas da doença
  • 50.
    LEUCEMIA MIELÓIDE AGUDA-LMA CLASSIFICAÇÃO CITOGENÉTICA PROGNÓSTICO LMA-M0 LMA-M1 (sem maturação) t(9;22), inv(3) Ruim LMA-M2 (com maturação) t(8;21) Misto LMA-M3 (promielocítica) t(15;17) Bom LMA-M3 microgranular t(11:17), t(5;17) LMA-M4(mielomonocítica) inv 16 Bom LMA-M5 (monocítica) t(11)(q23) Bom M5a del(11)(q23) Ruim? M5b LMA-M6 (eritroleucemia) 5, 5q-, -7, 7q- Ruim LMA-M7 (megacariocítica) t(1;22) (crianças) Ruim
  • 51.
  • 52.
  • 53.
  • 54.
  • 55.
  • 56.
  • 57.
  • 58.
  • 59.
  • 60.
    LMA-M2  Prevalência 32%  BLASTOS COM MATURAÇÃO (grânulos)  Bastonetes de auer +  Mpo +  Imunofenotipagem: cd13;33 + cd14;15 +  T(8;21) foi a primeira translocação identificada no câncer humano (1972)  Comprometimento eosinofílico
  • 61.
  • 62.
  • 63.
    LMA-M3  Prevalência 12%  Promielócitos leucêmicos, “faggot cell”  Variante microgranular  Aspecto morfológico  Imunofenotipagem: Hla-dr - cd34;15 - cd13 + (100%)  CITOGENÉTICA: t(15;17)
  • 64.
  • 65.
  • 66.
  • 67.
  • 68.
  • 69.
    LMA-M4  Prevalência 23%  Blastos mielóides / monocitóides  Linhagem monocitóide < 20% m.O.  Anae +  Imunofenotipagem: cd34 + (difícil)  CITOGENÉTICA: VARIANTE lma-m4eo Inv(16) – (aberrante cd2)  Comprometimento snc
  • 70.
  • 71.
  • 72.
  • 73.
    LMA-M5  Prevalência 06%  Linhagem monocitóide > 80% m.O.  Subtipo a: sem maturação  Subtipo b: com maturação  Anae +  Imunofenotipagem: Cd33 + cd13 fraco cd34;117 - cd14;64 ++  Comprometimento em snc
  • 74.
  • 75.
  • 76.
  • 77.
    LMA-M6  Prevalência 04%  Medula óssea: > 50% precursores eritróides > 30% mieloblastos (cne)  Imunofenotipagem: Cd71 + glicoforina +
  • 78.
  • 79.
    LMA-M7  Prevalência 02%  Morfologicamente de difícil diferenciação  Imunofenotipagem: Cd41 + cd61 +
  • 80.
  • 81.
    LEUCEMIA MIELÓIDE CRÔNICA ( LMC )
  • 82.
    INTRODUÇÃO:  É uma doença mieloproliferativa clonal resultante da transformação maligna de uma célula-tronco hematopoética pluripotente, que envolve as linhagens mielóide, eritróide, megacariocítica, linfócitos B e as vezes linfócitos T.
  • 83.
    EPIDEMIOLOGIA:  Afeta adultos jovens mas a maior incidência da doença ocorre entre a 5a e 6a década da vida.  Predominância masculina de 1,4:1
  • 84.
    DIAGNÓSTICO:  Leucocitose > 100.000/mm³  Trombocitose > 600.000/mm³  Anemia  Neutrofilia com todas as formas maturativas mas com predomínio de mielócitos a segmentados.  Basofilia
  • 85.
    CITOGENÉTICA: • 90-95% DOS PACIENTES COM LMC TÊM A T(9;22) CLÁSSICA. • 2-10% DOS CASOS TÊM UMA TRANSLOCAÇÃO VARIANTE ENVOLVENDO O 9Q34 E O 22Q11 COM UM TERCEIRO OU MAIS CROMOSSOMOS. • PACIENTES COM A TRANSLOCAÇÃO CLÁSSICA E VARIANTE SÃO CLÍNICA E HEMATOLOGICAMENTE SEMELHANTES.
  • 87.
    FASES DA DOENÇA:  FASE CRÔNICA: FASE INICIAL, COM EXPANSÃO CLONAL MIELÓIDE, APRESENTANDO LEUCOCITOSE COM TODAS AS FASES DE MATURAÇÃO.  DURAÇÃO DE 3-4 ANOS.  BLASTOS NA MEDULA ÓSSEA: <10%
  • 88.
  • 89.
  • 90.
  • 91.
    FASES DA DOENÇA:  Fase acelerada: progressiva parada de maturação celular; aumento de resistência à terapia e evolução citogenética clonal.  ≥10% blastos na medula óssea ou sangue periférico;  ≥20% blastos + promielócitos na M.O ou S.P;  ≥20% basófilos + eosinófilos no sp.
  • 92.
  • 93.
    FASES DA DOENÇA:  Crise blastica : 50% dos casos são blastos mielóides; 30% blastos linfóides (pré-b) e 10% de blastos eritróides; está associada a um mau prognóstico, com sobrevida de 3-6 meses, e é caracterizada pela presença de >30% de blastos na medula óssea ou no sangue periférico ou por infiltrado extramedular de células leucêmicas
  • 94.
  • 95.
  • 96.
    LEUCEMIA LINFÓIDE AGUDA ( LLA )
  • 97.
    INTRODUÇÃO:  A leucemia aguda é uma doença neoplásica do tecido hematopoético, caracterizada pela proliferação anormal das células progenitoras que perdem a capacidade de maturação e/ou diferenciação.
  • 98.
    INTRODUÇÃO:  Classificada F.A.B. Em L1, L2 e L3  80% leucemias em crianças (2 a 5 anos)  Prevalência cor branca e sexo masculino
  • 99.
    SINTOMAS:  Insuficiência medular  Anemia  Trombocitopenia  Neutropenia  Dores abdominais  Dores articulares
  • 100.
    DIAGNÓSTICO:  Hemograma (aspecto morfológico)  Punção de medula óssea  Biópsia de medula óssea  Provas citoquimicas  Imunofenotipagem  Citogenética
  • 101.
    DIAGNÓSTICO LLA:  Hemograma = presença de blastos  Leucocitose (50.000/mm³), Anemia e trombocitopenia  Medula óssea > 20% linfoblastos  Provas citoquimicas específicas  Imunofenotipagem  Citogenética
  • 102.
    CITOQUIMICA:  PAS  Fosfatase ácida  Fosfatase ácida – tartarato  Verde metil pironina
  • 103.
    IMUNOFENOTIPAGEM:  A presença de antígenos de superfície nas células hematopoéticas tem um papel importante na identificação e classificação da linhagem e estado maturativo destas células.  A imunofenotipagem foi um grande avanço como auxílio diagnóstico e prognóstico e também no tratamento de inúmeras doenças hematológicas.
  • 105.
    IMUNOFENOTIPAGEM:  LINHAGEM B  HLA-DR + TDt + CD10;19 +  LLA-B precursoras: sem marcadores de imunoglobulina  LLA-B pré-B: imunoglobulina de cadeia pesada IgM  LLA-B maduras: imunoglobulina de superfície
  • 106.
    IMUNOFENOTIPAGEM:  LINHAGEM T  MARCADORES: TDt CD1;2;3;5;7 CD2 É O MAIS SENSÍVEL CD3 e 7 OS MAIS ESPECÍFICOS CD4 e CD8 + TDt +
  • 107.
    CITOGENÉTICA:  Quase 60% dos pacientes com LLA têm aberrações citogenéticas detectadas microscopicamente.  Esta percentagem é muito maior quando são consideradas as translocações críticas, como a t(12;21).
  • 108.
    CITOGENÉTICA:  ABERRAÇÕES CROMOSSÔMICAS NUMÉRICAS: HIPERDIPLOIDIA (>50 CROMOSSOMOS): 25% NA LLA INFANTIL 6% NA LLA DE ADULTO HIPODIPLOIDIA (<46 CROMOSSOMOS): 5% TANTO NA LLA INFANTIL COMO NO ADULTO
  • 109.
    LEUCEMIA LINFÓIDE AGUDA  LLA-L1 BLASTOS HOMOGÊNEOS  LLA-L2 BLASTOS HETEROGÊNEOS  LLA-L3 BLASTOS COM CITOPLASMA BASÓFILO E VACUOLIZADO
  • 110.
    LEUCEMIA LINFÓIDE AGUDA CRIANÇAS ADULTOS LLA-L1 85% 35% LLA-L2 14% 60% LLA-L3 1% 5%
  • 111.
  • 112.
  • 113.
  • 114.
  • 115.
  • 116.
    LEUCEMIA LINFOCÍTICA CRÔNICA ( LLC )
  • 117.
    INTRODUÇÃO:  A LLC é uma neoplasia hematológica caracterizada pela proliferação e acúmulo de linfócitos maduros no sangue periférico.  A grande maioria dos casos envolvendo a proliferação do clone de células b.
  • 118.
    INTRODUÇÃO:  AFETA PACIENTES ACIME DE 50 ANOS  EM 50% DOS CASOS EXISTE ABERRAÇÃO CROMOSSÔMICA (TRISSOMIA 12)
  • 122.
    PROLINFOCÍTICA:  DIFERENCIAÇÃO: > 50% PROLINFÓCITOS CD22 + CD5 -
  • 126.
    HAIRY CELL  DIFERENCIAÇÃO MORFOLÓGICA.  CITOQUIMICA: FOSFATASE ÁCIDA – TARTARATO  IMUNOFENOTIPAGEM: CD19;20 + HLA-DR + CD5 -
  • 129.
    Hemoglobinopatias  Doenças hereditárias causadas por diminuição ou anomalia da síntese de globina  Afetam cerca de 7% da população mundial
  • 130.
    Hemoglobina  Proteína formada por 4 cadeias globínicas ligada a um grupamento heme que possui ferro e que transporta oxigênio.
  • 131.
    ANEMIA FALCIFORME “Anemia Drepanocítica” Anormalidade molecular Hb S (∝2β2 6Glu Val) Rigidez da membrana do eritrócito Viscosidade do sangue Desidratacão por K+ e Ca+2 no eritrócito
  • 132.
    Eritrócitos perdem a flexibilidadenecessária para Membrana dos eritrócitos se alterão atravessar os capilares (pegajosas) e se aderem ao endotélio dos vasos: •Vasooclusão microvascular •Hemólise prematura
  • 133.
    Hemoglobina  Adulto – 3 tipos de Hb Hb A Hb F Hb A2 Estrutura α2β2 α2γ2 α2 2 Normal (%) 96-98 0,5 - 0,8 1,5 - 3,2  Genes que codificam as cadeias globínicas se encontram nos cromossomos 16 e 11
  • 134.
    Síndromes falciformes  Herança do gene da β-globina S (de Sickle = foice)  Padrões de herança:  Homozigótica: Hb SS (anemia falciforme)  Heterozigótica: Hb AS (traço falciforme)  Associado a outras variantes: Hb SC, Hb SD, Hb S/Tal β, Hb S/Tal α
  • 135.
    Síndromes falciformes  Fisiopatologia  Substituição na posição 6 da cadeia β de um ácido glutâmico por uma valina, causando profundas alterações na estabilidade e solubilidade da hemoglobina  A Hb S é insolúvel e forma cristais quando exposta a baixa tensão de O2  A Hb desoxigenada polimeriza (gel semi-sólido) – a célula adquire forma de foice, suscetível à hemólise  Os eritrócitos deformados podem ocluir a microcirculação e também grandes vasos.
  • 136.
    Síndromes falciformes  Consequências:  Anemia hemolítica crônica  Lesão crônica de órgãos e tecidos  Crises vaso-oclusivas dolorosas
  • 137.
    Anemia falciforme (HbSS)  Manifestações clínicas:  Assintomática até ± 6 meses de idade  Anemia hemolítica grave, pontuada por crises a partir dos 6 meses  Crises vaso-oclusivas frequentes e precipitadas por infecção, acidose, desidratação, frio e desoxigenação, podendo levar a infarto em vários órgãos, incluindo ossos (síndrome pé- mão), pulmões, baço, cérebro e medula.
  • 138.
    Anemia falciforme  Crise de sequestro visceral – hepato e esplenomegalia, com exacerbação da anemia e necessidade de transfusão. A esplenectomia pode ser necessária  Crises aplásticas – resultado de infecção por parvovírus  Crises megaloblásticas – por deficiência de folato  Crises hemolíticas – queda da Hb e aumento de reticulócitos – acompanham crises dolorosas.
  • 139.
    Anemia falciforme  Lesões crônica dos órgãos  Crescimento e desenvolvimento alterados  Doença dos ossos e articulações  Manifestações cardiovasculares, pulmonares, hepatobiliares, gen itourinárias  Síndrome nefrótica  Priapismo  Manifestações oculares  Ulcerações por estase vascular e isquemia local
  • 141.
    Anemia falciforme  Achados laboratoriais:  Hemograma:  Hb entre 6 e 9 g/dL  Eritrócitos normocrômicos e normocíticos, tendendo a microcitose  HCT entre 20 e 30%  Leucocitose: entre 12.000 e 15.000 com neutrofilia  Plaquetas geralmente >440.000
  • 142.
    Anemia falciforme  Achados laboratoriais:  VSG baixo (diferente das outras anemias!!)  Microscopia:  Hemácias falciformes  Céls em alvo  Policromatofilia  Corpos de Howell-Jolly (atrofia esplênica)
  • 143.
  • 144.
  • 145.
  • 146.
    Anemia falciforme  Diagnóstico:  Eletroforese de Hb  HPLC de Hb  Testes de solubilidade  Hemograma completo  PCR
  • 147.
    Anemia falciforme  Tratamento:  Medidas preventivas – evitar frio, infecções, desidratação, anoxia  Ácido fólico  Higiene e boa nutrição  Controle da dor  Transfusão sanguínea somente em anemia mto grave  Hidroxiuréia (aumenta Hb F)
  • 148.
    Traço falciforme (HbAS)  Paciente sem anemia e eritrócitos normais  Hematúria é o sintoma mais comum  A Hb S varia de 25 a 45% da Hb total  Diagnóstico importante para aconselhamento genético
  • 149.
    Anomalias da hemoglobina  Resultam de:  Síntese de hemoglobina anormal  Diminuição da velocidade de síntese das cadeias normais α ou β
  • 150.
    Epidemiologia  Doenças genéticas mais comuns  Ocorrem nas regiões tropicais e subtropicais  Algumas relacionadas com proteção contra malária  β-talassemia no mediterrâneo  α-talassemia no extremo oriente
  • 151.
    Hemoglobinopatias  Quantitativas  Talassemias – deficiência na síntese de cadeias globínicas  Qualitativas  Hemoglobinas anormais (variantes) – alteração estrutural na cadeia globínica  PHHF  Persistência hereditária da hemoglobina fetal
  • 152.
    Talassemias  Deficiência parcial ou total de cadeias α ou β  Consequências:  Redução da síntese de Hb normal  Desequilíbrio entre produção das cadeias globínicas
  • 153.
    Síndromes α-talassêmicas  Doença da Hb H ou Talassemia α Maior – 3 deleções (α-/--)  Anemia microcítica, hipocrômica, moderadamente severa (Hb 7-11 g/dL)  Inclusões (Hb H, corpúsculo de heinz)  Cels alvo  Esplenomegalia  Hb H 10-20% (precipitado nos eritrócitos)  Hb A2 diminuída
  • 154.
  • 155.
    Síndromes α-talassêmicas  Traços talassêmicos α – são causados por perda de 1 ou 2 genes (αα/-- ou α-/α- ou αα/α-)  Em geral NÃO se associam a anemia, embora tenham VCM e HCM baixo e ERI acima de 5,5 milhões  Maioria assintomáticos  Hb H < 2%
  • 156.
    Síndromes α-talassêmicas  Diagnóstico:  Observação eritrócitos  Determinação hematimétrica  Reticulócitos  Pesquisa de corpúsculos Heinz  Pesquisa de inclusões de Hb H (corante supravital)  Eletroforese de Hb  Análise familiar
  • 157.
    Síndromes α-talassêmicas  Portador silencioso (αα/α-)  Traço talassêmico alfa (α-/α-) ou (αα/--)  Doença da Hb H (α-/--)  Hidropsia fetal (--/--) = incompatível com a vida!!!!!!!!
  • 158.
    Síndromes β-talassêmicas  β -talassemia maior ou Anemia de Cooley  Mais de 200 defeitos genéticos detectados  Chance de ocorrência em filhos de pai e mãe portadores = 1:4  Genótipos: β0 (sem síntese de cadeia), β+(síntese pequena e insuficiente)  Excesso de cadeias α precipita nas hemácias  eritropoese ineficaz e intensa hemólise. Quanto mais cadeias α, mais grave a anemia.  Cadeias γ ajudam
  • 159.
    Síndromes β-talassêmicas  Características clínicas:  Anemia grave 3 a 4 meses após o nascimento – nível de Hb entre 2-3 g/dL  Hepatoesplenomegalia – resultado da destruição excessiva de eritrócitos, eritropoese extramedular e sobrecarga de ferro  Expansão óssea (fácies talassêmica e fios de escova) com tendência a fraturas – intensa hiperplasia eritróide  Paciente depende de transfusões sanguíneas  Sobrecarga de ferro (transfusões e absorção da dieta) que necessita de quelação (na falta desta morte em 20-30 anos)
  • 160.
  • 161.
  • 162.
    Síndromes β-talassêmicas  Diagnóstico laboratorial  Hemograma:  Hb, VCM, HCM    reticulócitos e eritroblastos  Céls em alvo  Pontilhado basófilo  Corpos de Howell Jolly  Biópsia medular
  • 163.
  • 164.
  • 165.
    Síndromes β-talassêmicas  Diagnóstico laboratorial:  Eletroforese de hemoglobina – total ausência ou grande diminuição de Hb A, quase 100% de Hb F  Cromatografia líquida para hemoglobinas  Avaliação de ferro:  Sérico, Ferritina, TIBC  Ressonância  Biópsia hepática  Testes funcionais cardíacos, hepáticos e de órgãos endócrinos
  • 166.
  • 167.
    Síndromes β-talassêmicas  Tratamento:  Transfusões – 2 a 3 unidades a cada 4 a 6 semanas  Ácido fólico para reposição  Quelantes de ferro  Vitamina C (aumenta excreção de ferro produzida pelos quelantes)  Esplenectomia pode ser necessária para diminuir a necessidade de transfusões  Reposição hormonal  Imunização para HBV  Transplante de medula com 80% de sucesso
  • 168.
    Síndromes β-talassêmicas  Traço β-talassêmico ou Talassemia β Menor  Anomalia comum, geralmente assintomática  Quadro hematológico: VCM e HCM baixos, ERI alto e Hb 10-12 g/dL  Hb A2 > 3,5%  HbF normal ou pouco elevada  Necessidade de aconselhamento pré-natal
  • 169.
    Síndromes β-talassêmicas  Talassemia intermediária  Gravidade moderada – Hb 7 a 10 g/dL  Sem necessidade de transfusão