Avaliação de resposta e seguimento
dos tumores sólidos.
Liziane S. Ferreira – R3 Radiologia e Diagnóstico por Imagem
Introdução
 20% dos exames oncológicos são seguimento.
 A imagem serve como marcador substituto à
sobrevida.
 RECIST – Response criteria in Solid Tumors (2000-
2009).
 Mensuração unidimensional
 Mensuração de dimensões mínimas da lesão
 Número máximo de lesões a se mensurar
 Instruções de uso dos métodos de imagem
RECIST
 1. Mensurabilidade das lesões
 Mensuráveis x não-mensuráveis.
 Lesões mensuráveis
 Tumores
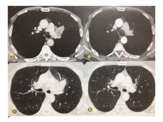
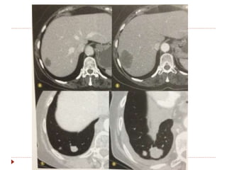
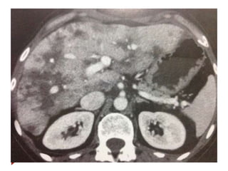
 Tamanho mínimo de 10 mm (com TC com 5 mm de corte).
 Possibilidade de medida acurada.
 Linfonodos
 Menor eixo com 15 ou mais mm.
 Lesões não-mensuráveis
 Tamanhos menores que os definidos.
 Lesões infiltrativas, mal-definidas
 Ascite – derrrame pericárdico – derrame pleural
 Carcinomatose leptomeníngea.
 Linfangite pulmonar
 Visceromegalias
 Lesões ósseas sem componente de partes moles.
RECIST
 Exames de imagem
 Exame inicial (Baseline)
 Pré-tratamento, o mais próximo possível do início do tto – máx 4
semanas.
 Seleção do método
 Mesmo método em todas as avaliaçoes.
 TC é escolha.
 RM pode ser utilizada
 US – baixa reprodutibilidade.
 TC
 10 mm – ou o dobro da espessura do corte, com cortes contíguos.
 Parametros técnicos mantidos nas avaliações (volume contraste,
corte, reconstrução, ...).
 Fase portal para abdome é suficiente.
 Arterial em HC, tu neuroendócrinos.
 Reações alergicas – TC sem cont ou RM
 EDA, Laparoscopia, marcadores, podem ser utilizados para
confirmação de resposta completa.
RECIST
 Definição das lesões-alvo
 Deve haver pelo menos uma lesão mensurável.
 Definir as lesões-alvo, que serão mensuradas em todas as avaliações
(mensuração de carga tumoral).
 Máx 2 lesões por órgão, e máx de 5 lesões ao todo.
 Se houver mais que 5, selecionar as maiores, representando os diversos órgãos.
 Lesões sólidas são preferíveis.
 Considerar a soma dos diâmetros das lesões (maior eixo tumores e menor para
lnds).
 Medidas realizadas no plano de aquisicão da imagem, não de reconstruções.
 Lesões não-alvo podem ter descrição genérica.
RECIST
 Critérios de resposta
 Comparação dos exames pós-tratamento com o exame
baseline.
 Lesões-alvo
 Resposta completa
 Desaparecimento de todas as lesões.
 LND patologicos devem ter reduzido a menos de 10mm
 Lesões residuais x fibrocicatricial  PET CT/ biópsia.
 Resposta parcial
 Redução de pelo menos 30% da soma dos diâmetros das lesões-alvo.
 Progressão de doença
 Aumento de pelo menos 20% da soma dos diâmetros das lesões-alvo.
 Doença estável
 Sem mudança suficiente para se encaixar em outra classificação.
RECIST
 Critérios de resposta
 Linfonodos
 Mesmo quando estiverem menores de 10mm serão contabilizados na soma das lesões-
alvo.
 Lesões muito pequenas para mensuração
 Se muito pequenas para mensuração, serão consideradas com 5mm.
 Lesões fragmentadas ou coalescentes
 Medir os diâmetros dos fragmentos das lesões. Se coalescente, medir o diâmetro da nova
lesão.
 Lesões não-alvo
 Resposta completa / progressão da doença / ausência de resposta completa ou progressão
da doença.
 Lesões ósseas
 Novas lesões indicam progressão da doença.
 Lesões cicatriciais podem ficar escleróticas na TC e hipercaptantes na Cintilografia.
 Lesão nova
 Progressão da doença.
Avaliação da resposta global
 Considera:
 Resposta calculada da soma das lesões-alvo.
 Resposta qualitativa das lesões não-alvo.
 Lesões novas.
 Tempo para controle pós-tto: varia com o tto (6-8
semanas).
 Exames sequenciais – confirmação da resposta/
tempo livre de progressão de doença.
RECIST
 Limitações
 O critério morfológico não contempla mudança de textura
de lesão (escavação, necrose, ...)
 Diferenciação de lesão residual/cicatricial.
 Não permite avaliar lesões tratadas com radiofrequencia /
crioablasão, com área tratada maior que o tumor.
Avaliação de resposta com PET-CT
 Utilizar sempre o mesmo aparelho.
 SUV (standart uptake value).
 Diferencia tumor viável de necrose/fibrose.
 PERSIST 1.0
 Validade perante o RECIST: lesões novas
(confirmadas com TC) e não valor de captação.
v
Outros critérios modificadores do RECIST
 Alguns tumores especiais já consideram densidade e
padrão de realce.
 Mesoteliomas
 Medida dificultada pela curvatura da parede torácica.
 Medir perpendicular a parede, em 2 locais, cada um em 3 níveis =
soma das 6 medidas. Preferir porção superior do tõrax.
 GIST
 Boa resposta = redução de 10% dimensões e 15% da atenuação
na TC.
 Progressão = lesões novas, aumento tamanho 20% ou não
mudança de densidade.
 Hepatocarcinomas
 Se tratados com embolização, radiofrequencia ou crioablação
resposta se não houver realce periférico pelo contraste na TC ou
RM.
Novos métodos para avaliação de resposta
 Uso de drogas citostáticas melhoram sobrevida sem
alterar tamanho tumoral.
 Perfusão
 Difusão
 Espectroscopia
Avaliação de resposta e seguimento dos tumores sólidos

Avaliação de resposta e seguimento dos tumores sólidos

  • 1.
    Avaliação de respostae seguimento dos tumores sólidos. Liziane S. Ferreira – R3 Radiologia e Diagnóstico por Imagem
  • 2.
    Introdução  20% dosexames oncológicos são seguimento.  A imagem serve como marcador substituto à sobrevida.  RECIST – Response criteria in Solid Tumors (2000- 2009).  Mensuração unidimensional  Mensuração de dimensões mínimas da lesão  Número máximo de lesões a se mensurar  Instruções de uso dos métodos de imagem
  • 3.
    RECIST  1. Mensurabilidadedas lesões  Mensuráveis x não-mensuráveis.  Lesões mensuráveis  Tumores  Tamanho mínimo de 10 mm (com TC com 5 mm de corte).  Possibilidade de medida acurada.  Linfonodos  Menor eixo com 15 ou mais mm.  Lesões não-mensuráveis  Tamanhos menores que os definidos.  Lesões infiltrativas, mal-definidas  Ascite – derrrame pericárdico – derrame pleural  Carcinomatose leptomeníngea.  Linfangite pulmonar  Visceromegalias  Lesões ósseas sem componente de partes moles.
  • 7.
    RECIST  Exames deimagem  Exame inicial (Baseline)  Pré-tratamento, o mais próximo possível do início do tto – máx 4 semanas.  Seleção do método  Mesmo método em todas as avaliaçoes.  TC é escolha.  RM pode ser utilizada  US – baixa reprodutibilidade.  TC  10 mm – ou o dobro da espessura do corte, com cortes contíguos.  Parametros técnicos mantidos nas avaliações (volume contraste, corte, reconstrução, ...).  Fase portal para abdome é suficiente.  Arterial em HC, tu neuroendócrinos.  Reações alergicas – TC sem cont ou RM  EDA, Laparoscopia, marcadores, podem ser utilizados para confirmação de resposta completa.
  • 8.
    RECIST  Definição daslesões-alvo  Deve haver pelo menos uma lesão mensurável.  Definir as lesões-alvo, que serão mensuradas em todas as avaliações (mensuração de carga tumoral).  Máx 2 lesões por órgão, e máx de 5 lesões ao todo.  Se houver mais que 5, selecionar as maiores, representando os diversos órgãos.  Lesões sólidas são preferíveis.  Considerar a soma dos diâmetros das lesões (maior eixo tumores e menor para lnds).  Medidas realizadas no plano de aquisicão da imagem, não de reconstruções.  Lesões não-alvo podem ter descrição genérica.
  • 9.
    RECIST  Critérios deresposta  Comparação dos exames pós-tratamento com o exame baseline.  Lesões-alvo  Resposta completa  Desaparecimento de todas as lesões.  LND patologicos devem ter reduzido a menos de 10mm  Lesões residuais x fibrocicatricial  PET CT/ biópsia.  Resposta parcial  Redução de pelo menos 30% da soma dos diâmetros das lesões-alvo.  Progressão de doença  Aumento de pelo menos 20% da soma dos diâmetros das lesões-alvo.  Doença estável  Sem mudança suficiente para se encaixar em outra classificação.
  • 13.
    RECIST  Critérios deresposta  Linfonodos  Mesmo quando estiverem menores de 10mm serão contabilizados na soma das lesões- alvo.  Lesões muito pequenas para mensuração  Se muito pequenas para mensuração, serão consideradas com 5mm.  Lesões fragmentadas ou coalescentes  Medir os diâmetros dos fragmentos das lesões. Se coalescente, medir o diâmetro da nova lesão.  Lesões não-alvo  Resposta completa / progressão da doença / ausência de resposta completa ou progressão da doença.  Lesões ósseas  Novas lesões indicam progressão da doença.  Lesões cicatriciais podem ficar escleróticas na TC e hipercaptantes na Cintilografia.  Lesão nova  Progressão da doença.
  • 16.
    Avaliação da respostaglobal  Considera:  Resposta calculada da soma das lesões-alvo.  Resposta qualitativa das lesões não-alvo.  Lesões novas.  Tempo para controle pós-tto: varia com o tto (6-8 semanas).  Exames sequenciais – confirmação da resposta/ tempo livre de progressão de doença.
  • 18.
    RECIST  Limitações  Ocritério morfológico não contempla mudança de textura de lesão (escavação, necrose, ...)  Diferenciação de lesão residual/cicatricial.  Não permite avaliar lesões tratadas com radiofrequencia / crioablasão, com área tratada maior que o tumor.
  • 20.
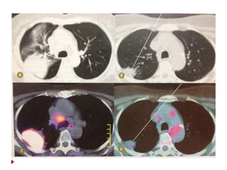
    Avaliação de respostacom PET-CT  Utilizar sempre o mesmo aparelho.  SUV (standart uptake value).  Diferencia tumor viável de necrose/fibrose.  PERSIST 1.0  Validade perante o RECIST: lesões novas (confirmadas com TC) e não valor de captação.
  • 21.
  • 24.
    Outros critérios modificadoresdo RECIST  Alguns tumores especiais já consideram densidade e padrão de realce.  Mesoteliomas  Medida dificultada pela curvatura da parede torácica.  Medir perpendicular a parede, em 2 locais, cada um em 3 níveis = soma das 6 medidas. Preferir porção superior do tõrax.  GIST  Boa resposta = redução de 10% dimensões e 15% da atenuação na TC.  Progressão = lesões novas, aumento tamanho 20% ou não mudança de densidade.  Hepatocarcinomas  Se tratados com embolização, radiofrequencia ou crioablação resposta se não houver realce periférico pelo contraste na TC ou RM.
  • 26.
    Novos métodos paraavaliação de resposta  Uso de drogas citostáticas melhoram sobrevida sem alterar tamanho tumoral.  Perfusão  Difusão  Espectroscopia