Conceitos básicos de neuropsicologia para entendimento das “necessidades especiais” Paulo Pedro P. R. Costa [email_address] FAMEC   Psicologia das  necessidades especiais (Segunda parte)
Sistema nervoso central sua organização e subdivisões Mapeamento cerebral, localização de funções mentais superiores Bases biológicas da inteligência e funções cognitivas Etiologia orgânica do Autismo, Psicose e Retardo mental Deficiência intelectual Jean Marc Gaspard Itard (1775-1838).  Traite des maladies de l’oreille et de l’audition. Paris: Mequignon-Marvis, 1821. Pai com bócio e filho cretino Bailarger e Krishaber, 1879
Um modelo de relação entre o cérebro a cognição ou ativdade intelectual deve levar em conta uma série de alterações morfológicas, funcionais e/ou exclusivamente bioquímicas das diversas formas de lesão cerebral e/ou erros inatos do metabolismo, determinados genéticamente, capazes de causar o dano associado às patologias classificadas como “Retardo mental” (CID 10ª Rev. F70...) com e sem alterações do comportamento, o que se situa na ordem de milhares de causas distintas já identificadas. Naturalmente, não se considera aqui que os aspectos genéticos e neurológicos são os únicos fatores causais de tais transtornos contudo não se pode ignorar sua relevância e possível associação à outros transtornos invasivos de desenvolvimento a exemplo do autismo e psicose infantil, bem como os mecanismos fisiopatológicos das demências, na medida em que esses agravos se caracterizam como grave alteração das fuções mentais superiores em especial a inteligência e cognição, nesse último caso.
O násio é a intersecção do frontal e dois ossos nasais dos humanos crânio. O ínion é a projeção mais proeminente do osso occipital na  parte posterioinferior do crânio  http://www.alivelearn.net/?cat=6&paged=4   É necessário a compreensão do significado das bio-imagens
Ganglio Plexo braquial Divisões/ Organização do Sistema  Nervoso O sistema nervoso autônomo e o somático / sensorial.
É necessário uma razoável  compreensão da neuroanatomia  Digital Anatomist Project, Dept. Biological Structure, University of Washington, Seattle. http://www9.biostr.washington.edu/da.html H. Esquerdo H. Direito
Visão: anterior / posterior, medial direito Digital Anatomist Project, Dept. Biological Structure, University of Washington, Seattle. http://www9.biostr.washington.edu/da.html Hipocampo
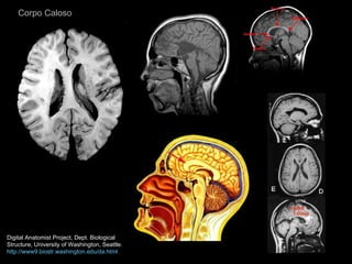
Corpo Caloso Digital Anatomist Project, Dept. Biological Structure, University of Washington, Seattle. http://www9.biostr.washington.edu/da.html
AGENESIS CORPUS CALLOSUM http://www.pathology.vcu.edu/WirSelfInst/neuro_medStudents/devdis.html
Anatomopatologia das demências Hybrid Medical
A integração dos  possíveis módulos e/ou  centros da organização do sistema nervoso Sciam; Visible Human Project  NLM; Stock Fotos
Raiva, fúria, cólera Alegria (surpresa) Alerta, preocupação, expectativa Tristeza (melancolia) Mêdo (temor, pavor) EMOÇÃO http://www.crystalinks.com/reptilianbrain.html http://www.kheper.net/topics/intelligence/MacLean.htm
Pliszka,Steven R. Neurociência para o clínico de saúde mental. Porto Alegre, Artemed, 2004
Atrofia Frontal (D. N. Pick)
 
A fala motora se “localiza” nas zonas posteriores do terceiro giro frontal esquerdo. Paul Broca, 1861 BIC McGil
Carl Wernicke 1873, relacionou o terço posterior do giro temporal superior esquerdo com a função da fala sensorial. http://thebrain.mcgill.ca/
Geshwind N. 1979 Scentific American AREA DE  WERNICKE Pronunciando uma palavra  escrita CORTEX MOTOR Pronunciando uma palavra  ouvida
FALA  -  ESCRITA CORTEX TEMPORO PARIETAL CODIFICAÇÃO FONOLÓGICA ENTRADA AUDITIVA CORTEX ESTRIADO CODIFICAÇÃO VISUAL ENTRADA VISUAL COTEX FRONTAL  ANT – INF E ASSOCIAÇÃO SEMÂNTICA PALAVRA FALADA PALAVRA  ESCRITA LESIONADA  NA AFASIA DE BROCA LESIONADA  NA AFASIA DE WERNICKE 5 5a 4 4a 6 7 3 Wernicke – Geshwind Modificado p/ E. Kandel DISARTRIA   CORTEX MOTOR SAÍDA MOTORA SAÍDA ÁREA PRÉ – MOTORA F PROGAMAÇÃO MOTORA COD. ARTICULATÓRIA PROCESSAMENTO SAÍDA
Um procedimento para identificar regiões preferencialmente ativadas pela atenção às relações semânticas e fonológicas utilizando ressonância magnética funcional – imagens de Kathleen B. et al. Neuropsychologia 41 (2003) 293–303
Sim, compreendo. Ontem, quando eu estava lá em cima, ele já disse, e eu queria, eu lhe disse, não é isso, a data, não inteiramente, não aquela... Na afasia de Wernicke o sujeto mostra um domínio completo de tudo o que é articulação, organização, subordinação e estruturação da frase, mas ele fica sempre ao lado do que quer dizer. P.250 ...(por Roman Jakobson) as afasias devem ser revistas à luz da oposição por um lado,  entre  as relações de similaridade ou de substituição, ou de escolha, e também as de seleção ou de concorrência, em suma, de tudo que é da ordem do sinônimo  [metáfora]  , e, por outro lado as relações de contigüidade, de alimento, de articulação significante, de coordenação sintática.  [metonímia].  Nessa perspectiva a oposição clássica das afasias sensorias  [Wernicke]  e motoras  [Broca]  de há muito já criticada, se coordena de forma surpreendente. P.250 Não é do mecanismo da afasia que se trata no caso da psicose, é de uma certa relação com o outro como faltante, deficiente. É a partir da relação do sujeito com o significante e com o outro, com os diferentes estágios da alteridade, o outro imaginário e o Outro simbólico, que poderemos articular esta intrusão, esta progressiva ocupação psicológica do significante que se chama psicose. P.252 Afasia de Wernicke / Psicose Lacan, 1988
Teoria da comunicação Neuropsicanálise  “Falar é falar-se”  O sujeito falante é o destinador e o destinatário de sua propria mensagem, visto que é capaz de ao mesmo tempo emitir uma mensagem decifrando-a  e em princípio não emite nada que não possa decifrar.  Kristeva, (História da linguagem) FORCLUSÃO (verwerfung) barramento supressão negação PSICOSE http://thebrain.mcgill.ca/   Mapping Brain Changes in Schizophrenia.  (MRI scans),  Thompson PM TRANSMISSOR CODIFICADOR CANAL DECODIFICADOR RECEPTOR RUÍDO DESTINADOR MENSAGEM DESTINATÁRIO
Post-mortem estudos e técnicas de imagem recentemente desenvolvido ajudaram a identificar algumas das principais áreas do cérebro implicadas no autismo. As áreas incluem o córtex, cerebelo cerebral e o lobo temporal - em especial a amígdala. O transtorno pode resultar na falha da ação conjunta  de várias únidades modulares do cérebro  Autism. Brain Brief May 06  SciAm O tronco cerabral dos portadores de autismo é mais curto que o normal, implicando em alterações dos núcleos dos nervos facial hipoglossoentre outras estruturas alteradas DESTINADOR MENSAGEM DESTINATÁRIO FORCLUSÃO (verwerfung) barramento supressão negação PSICOSE
Represenções do cortex senorial e motor
 
 
Frenologia, mapeamento, localização  de função cerebral (ações,  sensações e comportamentos) Positron Emission Tomography  (PET) brain scan
1. Hemisfério esquerdo:  Interpretação, síntese e expressão da fala e símbolos.  Reduzida capacidade de falar, escrever, ler, compreender  materialidade verbal, dificuldade em iniciar a ação.  2. Hemisfério direito:  Interpretação, síntese e expressão de conceitos espaciais.  Prejudicado o reconhecimento de faces ou familiaridade com os objetos, dificuldades acompanhar ritmos e música, dificuldade de copiar desenhos, dificuldade com as tarefas de construção e montagem de objetos, desorientação espacial, dificuldade de discriminação de cor, percepção de profundidade prejudicada, falta de persistência e capacidade previsão do resultado de ações (futuro), problemas com exploração visual de varredura (scanning), reduzido a capacidade de percepção de tempo e tempo de reação.  3. Indeterminado:  Sintomas mostram nenhuma correlação com o local ou o grau da lesão:  Fadiga, espanto (perplexidade, insegurança) distração.  Problemas com a  memória de longo prazo, (geralmente depois de apenas danos generalizados no cortex).  Seqüelas psicológicas - negação, raiva, irritabilidade, ansiedade, depressão, problemas com a auto-estima. Frank McDonald Townsville General Hospital, Queensland, Australia.
Localização cerebral Mapa de Broodman Lent, 2004
Coordenação da atividade física Imaginação Planejamento, Emoção, Julgamento Antecipação  e Verbos Memória de sons Visão Memória  visual Processamento  Mutisensorial  de informação Controle voluntário  de movimentos Informação tactil Dor  Pressão Posição Movimento Temperatura Nomeação  (substantivos) Adaptação de imagem de: Cardoso, Silvia H. Brain&Mind. Center for Biomedical Information
http://hiddentalents.org/brain/113-left.html
1. Hemisfério esquerdo:  Interpretação, síntese e expressão da fala e símbolos. Pensamento analítico, prático; Lógica; Matemática; Raciocínio científico   2. Hemisfério direito:  Interpretação, síntese e expressão de conceitos espaciais. Pensamento holístico;Criatividade; Intuição; Arte (Design), e Música http://brainmind.com/BrainLecture2.html
http://cwx.prenhall.com/bookbind/pubbooks/morris5/   - Psychology: an Introduction    Charles G. Morris & Albert A. Maisto - Mercedes Benz (propaganda)
Jogando Vídeo Game   http://www.ece.uvic.ca/~pzeman/3dgamebrain.htm   http://hiddentalents.org/brain/113-right.html#body   SciAm
2 . Hemisfério direito:  Interpretação, síntese e expressão de conceitos espaciais.  Prejudicado o reconhecimento de faces ou familiaridade com os objetos, dificuldades acompanhar ritmos e música, dificuldade de copiar desenhos, dificuldade com as tarefas de construção e montagem de objetos, desorientação espacial, dificuldade de discriminação de cor, percepção de profundidade prejudicada, falta de persistência e capacidade previsão do resultado de ações (futuro), problemas com exploração visual de varredura (scanning), reduzido a capacidade de percepção de tempo e tempo de reação.
Visão geral dos transtornos de aprendizagem e comunicação (transtornos dedo desenvolvimento) com localização no  cérebro esquerdo Combinação do transtorno da  l inguagem expressiva com dificuldades de linguagem receptiva: incapacidade de perceber diferenças em sons, misturando sons para fazer palavras, recordar o significado das palavras e para ligar frases para fazer sentenças compreensíveis. Compreende a língua falada bem, segue comandos, mas não consegue expressar pensamentos em palavras: vocabulário limitado, comete erros de tempo, dificuldade em recordar palavras ou produzir frases de extensão e complexidade adequadas à idade.  A compreensão da linguagem oral e da fala é grosseiramente normal, a leitura (e geralmente a escrita) é prejudicada.Não consegue decifrar sons das letras ou decodificar (saídas de som) palavras escritas. Problemas com o processamento de estímulos visuais que rapidamente se trocam? Os próprios sons são articulados fragilmente. A substituição do som é comum (R por L), omissão de consoantes ("arro" por "carro").  Perturbação da fala caracterizada por repetições e prolongamentos de sons e palavras, palavras quebradas, tensão física excessiva na produção' de palavras. Habilidades de linguagem expressiva e receptiva adequadas (a pessoa pode escrever ou cantar sem dificuldade).  Transtorno misto da linguagem receptivo- expressiva Transtorno de linguagem expressiva Transtorno de leitura Transtorno fonológico Gagueira
Visão geral dos transtornos de aprendizagem e comunicação (transtornos dedo desenvolvimento) com localização no  cérebro direito In: Pliszka,Steven R. Neurociência para o clínico de saúde mental. Porto Alegre, Artemed, 2004  Variação extrema da DANV,   déficits severos na intenção comunicativa, linguagem   intacta que não pode ser utilizada para o discurso social normal . Constelação de traços envolvendo habilidades sociais frágeis ,  reconhecimento ruim de expressões faciais ,  modulação pobre do afeto, habilidades matemáticas ruins em relação às verbais, coordenação motora ruim ,  habilidades visuoespaciais prejudicadas.  Capacidade matemática abaixo da esperada para o QI .  Um conjunto heterogêneo de problemas pode estar presente: dificuldade com operações aritméticas simples (adição ,  subtração), dificuldade de reconhecer lugar, conceber unidades de medida ,  problemas com a noção de número (1.000 é muito maior do 10), incapacidade de utilizar símbolos como na álgebra . Situa-se na curva normal da capacidade matemática. Transtorno de Asperger?  Dificuldade de aprendizagem não-verbal (DANV)  Transtorno matemático
INTELIGÊNCIA & APRENDIZAGEM
Espectro Primata *   Em gramas  equivale à 1360 g homem e  1250 na mulher. Sendo < 900g  a microcefalia verdadeira e  > 1800 g a macrocefalia Cebóides  (Novo mundo) 45 - 112 Velho mundo,  Cercopitecos, Rhesus, Babuíno     60 - 200 Gibão 97.5 Orangotango 416 Chimpanzé 400 Gorila 550 Ramapithecus   Australopithecus 700 - 800 Homo erectus 860 Homem de Java 900 H. de Pequim (Sinanthropus) 1075 - 1250 Homo neandertal 1500 Primatas Volume do cérebro em C 3 Homo sapiens sapiens 1350 *
M MEMÓRIA P ATENÇÃO G (RACIOCÍNIO) W  – Capacidade de manejar agilmente significantes (fala) V  – Raciocínio verbal. Nível semântico da atividade verbal N   – Raciocínio númerico R   – Lógica (dedução / indução) Ss  – Habilidade espacial Sm  – Habilidade mecânica Fator G & Habilidades Multimodais Thurstone, Thorndike, Mira y Lopez Modificado de Seminério, Franco Lo Presti. Infraestrutura e sistêmica da cognição humana: fatores ou liguagens. Arq. Bras. Psic., RJ 32 (1): 536-544 jan/mar. 1980 Verbal - Social Simbólico - Abstrato Espacial - Concreto W N Ss V R Sm
M MEMÓRIA P ATENÇÃO Hipocampo / Sistema Reticular Ativador Allen Rat Brain Atlas
A proposição de Inteligências Múltiplas por HOWARD GARDNER Esse autor desenvolveu os seguintes critérios entre as dezenas de possibilidades de classificar os fatores constituintes da inteligência ou habilidades humanas: Potencial prejuízo com dano cerebral A exemplo das capacidades lingüísticas no AVC Existência de gênios, ou indivíduos eminentes com habilidades especiais Onde se pode observar tal capacidade isolada ou prejudicada Um conjunto de operações identificável  A música, por exemplo consiste da sensibilidade de uma pessoa para melodia,  harmonia, ritmo, timbre e estrutura musical.  Uma história de desenvolvimento distintiva para cada indivíduo, junto com uma natureza definível de desempenho especialista.  É possível identificar os passos para atingir tais perícias Uma história evolutiva e plausibilidade evolutiva.  A exemplo das formas de inteligência espacial em mamíferos ou inteligência musical em pássaros.  Testabilidade A exemplo dos testes psicológicos Distições psicométricas Susceptíveis de confirmação e re-testagem com múltiplos instrumentos Suscetibilidade para ser codificada em um sistema de símbolos.  Códigos como idioma, aritmética, mapas e expressão lógica, entre outros.
Howard Gardner identificou as seguintes inteligências: 1. Lógico-matemática  - a capacidade de confrontar e avaliar objetos e abstrações, discernindo as suas relações e princípios subjacentes. Possuem esta caracaterística matemáticos, cientistas e filósofos como Stanislaw Ulam, Alfred North Whitehead, Henri Poincaré, Albert Einstein, Marie Curie, entre outros. 2. Linguística  - caracteriza-se por um domínio e gosto especial pelos idiomas e pelas palavras e por um desejo em os explorar. É predominante em poetas, escritores, e linguistas, como T. S. Eliot, Noam Chomsky, e W. H. Auden. 3. Musical  - identificável pela habilidade para compor e executar padrões musicais, executando pedaços de ouvido, em termos de ritmo e timbre, mas também escutando-os e discernindo-os. Pode estar associada a outras inteligências, como a lingüística, espacial ou corporal-cinestésica. É predominante em compositores, maestros, músicos, críticos de música como por exemplo, Ludwig van Beethoven, Leonard Bernstein, Midori, John Coltrane, Mozart. 4. Espacial  - expressa-se pela capacidade de compreender o mundo visual com precisão, permitindo transformar, modificar percepções e recriar experiências visuais até mesmo sem estímulos físicos. É predominante em arquitetos, artistas, escultores, cartógrafos, navegadores e jogadores de xadrez, como por exemplo Michelangelo, Frank Lloyd Wright, Garry Kasparov, Louise Nevelson, Helen Frankenthaler.
5. Corporal-cinestésica  - traduz-se na maior capacidade de controlar e orquestrar movimentos do corpo. É predominante entre atores e aqueles que praticam a dança ou os esportes, como por exemplo Marcel Marceau, Martha Graham, Michael Jordan, Pelé. Intrapessoal - expressa na capacidade de se conhecer, estando mais desenvolvida em escritores, psicoterapeutas e conselheiros, como por exemplo, Sigmund Freud. 6. Interpessoal  - expressa pela habilidade de entender as intenções, motivações e desejos dos outros. Encontra-se mais desenvolvida em políticos, religiosos e professores, como por exemplo o Mahatma Gandhi. 7. Naturalista  - traduz-se na sensibilidade para compreender e organizar os objetos, fenômenos e padrões da natureza, como reconhecer e classificar plantas, animais, minerais, incluindo rochas e gramíneas e toda a variedade de fauna, flora, meio-ambiente e seus componentes. É característica de paisagistas, arquitetos e mateiros, por exemplo. São exemplos deste tipo de inteligência Charles Darwin, Rachel Carson, John James Audubon, Thomas Henry Huxley. 8. Existencial  - investigada no terreno ainda do &quot;possível&quot;, carece de maiores evidências. Abrange a capacidade de refletir e ponderar sobre questões fundamentais da existência. Seria característica de líderes espirituais e de pensadores filosóficos como por exemplo Jean-Paul Sartre, Søren A. Kierkegaard, Maya Angelou, Paul Erdös, Frida Kahlo, Alvin Ailey, Margaret Mead, o Dalai Lama, Charles Darwin ou Joni Mitchell.
Distinguir:   Velocidade de aprendizagem Capacidade de atenção Inibição comportamental Nootrópicos (smart drugs) Efeitos de estimulantes Fadiga (efeito sedativo)
Alimento Estimulo incondicionado Condicionamento Clássico Alimento Luz Tempo óptimo  de ocorrência simultânea Salivação Resposta incondicionado Salivação Aprendizagem é a transferência do  poder reflexogênico e a força do hábito Luz Salivação
Aprendizagem instrumental é a mudança no desempenho que resulta da experiência. (discriminação e generalização seletiva) LUZ Resposta C Resposta B Resposta A Alimento LUZ Resposta B Alimento Aprendizagem Instrumental Burrhus Frederic Skinner (1904 — 1990)
 
FAIXA QI (Quociente de Inteligência)   Desvio à esquerda na área  da Curva Normal     Retardo Mental Grave     F72     20 – 40     Retardo Mental Moderado     F71     35-49   Retardo Mental Leve        F70       50 - 69     Estupor Coma Vida vegetativa   < 25 Profundo 25 - 40 Severo / Custodial 25 - 40 Moderado / Educável 40 - 55 Leve / Treinável 55 - 70 Educável 70 - 90 Limitrofe 90 - 120 Normal 120 -130 Eminente > 130 Genios
 
Arrinencefalia Porencefalia Hidrannencefalia Meningoencefalocele Microcefalia verdadeira (< 900 g) Megaencefalia Agiria, lisencefalia e paquigiria Micropoligiria e ulegiria Estado marmóreo (hipermielinização) Agenesia de corpo caloso Ageneseia de cerebelo Malformação de Arnold Chiari (hidrocefalia) Malformações da medula espinhal Robins; Cotran, 2000 Anencefalia e outras maformações  maiores do encéfalo  e sistema nervoso
Esquizencefalia Tipo I que se caracteriza pela presença de lábios fechados, ou seja, com as duas corticais justapostas;  Tipo II que apresenta lábios abertos, estando a fenda preenchida por líquido cefalorraquidiano.  Amaral, 2001  Encefalomalácia; Porencefalia Low, Cristiane et al.
Esquizencefalia Esquizencefalia de lábios abertos (fenda longitudinal no hemisfério cerebral) E, com polimicrogiria heterotopias de substância cinzenta na porção profunda da fenda. Ausência do septo pelúcido. Tronco e cerebelo de morfologia normal.  Obs:  As malformações decorrem de lesão cerebral, geralmente de origem vascular, na fase de proliferação/migração (13ª a 24ª semanas de gestação). As heterotopias de substância cinzenta na porção profunda da fenda correspondem a neurônios que não migraram porque houve destruição das células da glia que guiam a migração. Não se trata de deficiência do processo de migração. O que houve foi a destruição do caminho que os neurônios seguiriam para formar o córtex.   Neuroimagem – Estudo de casos http://anatpat.unicamp.br/rpgneominis.html   caracteriza-se por fendas, que se estendem da superfície pial até a ependimária com as bordas revestidas por substância cinzenta.
Hidrocefalia
Microcefalia Neurofibromatose Síndrome de Von Recklinghouse
é um conjunto de características específicas: hipotonia, face com perfil achatado, crânio braquicéfalo, olhos amendoados ou fissuras palpebrais oblíquas, língua protrusa, pescoço curto, prega palmar transversal única, entre outros; e não uma doença.  Síndrome de Down
Menor tamanho de desenvolvimento das circunvoluções sendo que ao sétimo mês de vida fetal. Além dessa lentidão há células que desaparecem A deficiência mental é explicada pela lesão difusa e superficial dos hemisférios cerebrais, a pobreza e inércia das conexões corticais  Observations on an Ethnic Classification of Idiots  by J. Langdon H. Down, M.D., London ( John Langdon Haydon Down, 1828-1896 ) London Hospital Reports, 3:259-262, 1866
Pacientes de Down freqüentemente têm um cérebro com uma característica de proporções &quot;quadradas“. A forma e a anomalia mostrado na figura abaixo que ilustra a superfície lateral de um cérebro de portador da síndrome de Down. É caracterizada pelo tamanho reduzido do  giro temporal superior   http://www.pathology.vcu.edu/WirSelfInst/neuro_medStudents/devdis.html A criança não é capaz de eliminar do seu foco de atenção os estímulos acidentais, isto é o que parece ser para Luria o ponto crucial da dificuldade de aprendizagem da criança.  Como ela cansa facilmente a fadiga das conexões corticais não permitem que a atenção Se mantenha durante muito tempo
X frágil Síndrome de Cornélia de Lange Síndrome Cri du chat ou 5p-p (deleção do braço menor (p) do cromossomo 5)  Síndrome de Tai Sachs
http://www.evangelicosnews.com.br/tag/alzheimer/ Alzheimer brain
Bibliografia Astrup C. Psiquiatria pavloviana, a reflexologia atual na prática psiquiátrica. RJ/SP Livraria Atheneu,1979 Amaral J.G P. et al Esquizencefalia. Arq Neuropsiquiatr 2001;59(2-A):244-249 Freitas Júnior, O. Pavlov, vida e obra, RJ, Paz e Terra, 1976 Geshwind Normn. Especializaciones del cerebro humano. Investigacion y Ciencia (textos da Scientific American) n. 38 (128-138), Es. 1979 Lacan, Jacques. Metáfora e metonímia (I): “As gerbe n’´tait point avare, ni haineuse” in: Lacan J. O seminário, livro 3, as psicoses. RJ Zahar, 1988 Lent, Roberto. Cem bilhões de neurônios: conceitos fundamentais de neurociência. SP, Atheneu,2004 Low, Cristiane et al. Early destructive lesions in the developing brain: clinical and electrographic correlates. Arq. Neuro-Psiquiatr. [online]. 2007, vol.65, n.2b Luria, A. R. Fundamentos de neuropsicologia. SP, EDUSP, RJ, Livros Tecn. Cient., 1981 Machado, Angelo. Neuroanatomia funcional. SP, Atheneu, 1974 McDonald, Frank ~ Consultation-Liaison Psychologist at Townsville General Hospital, Queensland, Australia.  Web Page ~ a collection of psychological articles, links and images. -http://www.users.bigpond.com./fmcdonald/index.html Robins S.L; Cotran, R.S.  Patologia Estrutural e Funcional RJ, Guanabara Koogan, 2000 Pliszka,Steven R. Neurociência para o clínico de saúde mental. Porto Alegre, Artemed, 2004  Skiner, B.F. Sobre o behaviorismo. SP, Cultrix, 2006 Skiner, B.F. Ciência e comportamento humano. SP Martinds Fontes, 2003 Gardner, Howard. Estruturas da mente: A teoria das inteligências múltiplas. SP, ARTEMED, 1994 Seminério, Franco Lo Presti. Infraestrutura e sistêmica da cognição humana: fatores ou liguagens. Arq. Bras. Psic., RJ 32 (1): 536-544 jan/mar. 1980 White, Annie. Schizophrenia Does Not Shrink Brains – Antipsychotics Do: JAMA Study -http://healthfreedoms.org/2011/03/21/schizophrenia-does-not-shrink-brains-antipsychotics-do-jama-study/
Ilustrações Scientific American http://brainmuseum.org/ http://brainmind.com/ Revista Veja /http://www.shutterstock.com/ Bear, Mark F. Neurociências, RGS, Artmed, 2002 Digital Anatomist Project,  http://www9.biostr.washington.edu/da.html Kathleen B. et al. Neuropsychologia 41 (2003) 293–303 Schizoprenic Brain - http://www.loni.ucla.edu/~thompson/PsyTimes2002R.html Autism. Brain Brief May 06 lyt2 - Society for Neuroscience  http://www.sfn.org/index.aspx?pagename=brainBriefings_autismInChildren  http://despertaremsons.blogspot.com/2009/08/acordes-na-cabeca.html http://www.fmrib.ox.ac.uk/Members/kate/lpike/normal-brain-development-during-adolescence/ Cardoso, Silvia H. Brain&Mind. Center for Biomedical Information -http://www.cerebromente.org.br/ Allen Institute -http://www.brain-map.org/ SRA -http://fundacionannavazquez.wordpress.com/2007/09/06/  Homunculus of Brain Images: Image Of Brain Homunculus - http://connect.in.com/ Além de imagens de autoria não identificada de procedência em várias fontes repetidas através do Google Images. Trabalho educativo sem fins comercias.  Caso algum autor sentir-se prejudicado por utilização de imagens sem referência. Favor comunicar-se comigo: costapppr@gmail.com

2-neuropsi-deficiencias-c-basicos

  • 1.
    Conceitos básicos deneuropsicologia para entendimento das “necessidades especiais” Paulo Pedro P. R. Costa [email_address] FAMEC Psicologia das necessidades especiais (Segunda parte)
  • 2.
    Sistema nervoso centralsua organização e subdivisões Mapeamento cerebral, localização de funções mentais superiores Bases biológicas da inteligência e funções cognitivas Etiologia orgânica do Autismo, Psicose e Retardo mental Deficiência intelectual Jean Marc Gaspard Itard (1775-1838). Traite des maladies de l’oreille et de l’audition. Paris: Mequignon-Marvis, 1821. Pai com bócio e filho cretino Bailarger e Krishaber, 1879
  • 3.
    Um modelo derelação entre o cérebro a cognição ou ativdade intelectual deve levar em conta uma série de alterações morfológicas, funcionais e/ou exclusivamente bioquímicas das diversas formas de lesão cerebral e/ou erros inatos do metabolismo, determinados genéticamente, capazes de causar o dano associado às patologias classificadas como “Retardo mental” (CID 10ª Rev. F70...) com e sem alterações do comportamento, o que se situa na ordem de milhares de causas distintas já identificadas. Naturalmente, não se considera aqui que os aspectos genéticos e neurológicos são os únicos fatores causais de tais transtornos contudo não se pode ignorar sua relevância e possível associação à outros transtornos invasivos de desenvolvimento a exemplo do autismo e psicose infantil, bem como os mecanismos fisiopatológicos das demências, na medida em que esses agravos se caracterizam como grave alteração das fuções mentais superiores em especial a inteligência e cognição, nesse último caso.
  • 4.
    O násio éa intersecção do frontal e dois ossos nasais dos humanos crânio. O ínion é a projeção mais proeminente do osso occipital na parte posterioinferior do crânio http://www.alivelearn.net/?cat=6&paged=4 É necessário a compreensão do significado das bio-imagens
  • 5.
    Ganglio Plexo braquialDivisões/ Organização do Sistema Nervoso O sistema nervoso autônomo e o somático / sensorial.
  • 6.
    É necessário umarazoável compreensão da neuroanatomia Digital Anatomist Project, Dept. Biological Structure, University of Washington, Seattle. http://www9.biostr.washington.edu/da.html H. Esquerdo H. Direito
  • 7.
    Visão: anterior /posterior, medial direito Digital Anatomist Project, Dept. Biological Structure, University of Washington, Seattle. http://www9.biostr.washington.edu/da.html Hipocampo
  • 8.
    Corpo Caloso DigitalAnatomist Project, Dept. Biological Structure, University of Washington, Seattle. http://www9.biostr.washington.edu/da.html
  • 9.
    AGENESIS CORPUS CALLOSUMhttp://www.pathology.vcu.edu/WirSelfInst/neuro_medStudents/devdis.html
  • 10.
  • 11.
    A integração dos possíveis módulos e/ou centros da organização do sistema nervoso Sciam; Visible Human Project  NLM; Stock Fotos
  • 12.
    Raiva, fúria, cóleraAlegria (surpresa) Alerta, preocupação, expectativa Tristeza (melancolia) Mêdo (temor, pavor) EMOÇÃO http://www.crystalinks.com/reptilianbrain.html http://www.kheper.net/topics/intelligence/MacLean.htm
  • 13.
    Pliszka,Steven R. Neurociênciapara o clínico de saúde mental. Porto Alegre, Artemed, 2004
  • 14.
  • 15.
  • 16.
    A fala motorase “localiza” nas zonas posteriores do terceiro giro frontal esquerdo. Paul Broca, 1861 BIC McGil
  • 17.
    Carl Wernicke 1873,relacionou o terço posterior do giro temporal superior esquerdo com a função da fala sensorial. http://thebrain.mcgill.ca/
  • 18.
    Geshwind N. 1979Scentific American AREA DE WERNICKE Pronunciando uma palavra escrita CORTEX MOTOR Pronunciando uma palavra ouvida
  • 19.
    FALA - ESCRITA CORTEX TEMPORO PARIETAL CODIFICAÇÃO FONOLÓGICA ENTRADA AUDITIVA CORTEX ESTRIADO CODIFICAÇÃO VISUAL ENTRADA VISUAL COTEX FRONTAL ANT – INF E ASSOCIAÇÃO SEMÂNTICA PALAVRA FALADA PALAVRA ESCRITA LESIONADA NA AFASIA DE BROCA LESIONADA NA AFASIA DE WERNICKE 5 5a 4 4a 6 7 3 Wernicke – Geshwind Modificado p/ E. Kandel DISARTRIA CORTEX MOTOR SAÍDA MOTORA SAÍDA ÁREA PRÉ – MOTORA F PROGAMAÇÃO MOTORA COD. ARTICULATÓRIA PROCESSAMENTO SAÍDA
  • 20.
    Um procedimento paraidentificar regiões preferencialmente ativadas pela atenção às relações semânticas e fonológicas utilizando ressonância magnética funcional – imagens de Kathleen B. et al. Neuropsychologia 41 (2003) 293–303
  • 21.
    Sim, compreendo. Ontem,quando eu estava lá em cima, ele já disse, e eu queria, eu lhe disse, não é isso, a data, não inteiramente, não aquela... Na afasia de Wernicke o sujeto mostra um domínio completo de tudo o que é articulação, organização, subordinação e estruturação da frase, mas ele fica sempre ao lado do que quer dizer. P.250 ...(por Roman Jakobson) as afasias devem ser revistas à luz da oposição por um lado, entre as relações de similaridade ou de substituição, ou de escolha, e também as de seleção ou de concorrência, em suma, de tudo que é da ordem do sinônimo [metáfora] , e, por outro lado as relações de contigüidade, de alimento, de articulação significante, de coordenação sintática. [metonímia]. Nessa perspectiva a oposição clássica das afasias sensorias [Wernicke] e motoras [Broca] de há muito já criticada, se coordena de forma surpreendente. P.250 Não é do mecanismo da afasia que se trata no caso da psicose, é de uma certa relação com o outro como faltante, deficiente. É a partir da relação do sujeito com o significante e com o outro, com os diferentes estágios da alteridade, o outro imaginário e o Outro simbólico, que poderemos articular esta intrusão, esta progressiva ocupação psicológica do significante que se chama psicose. P.252 Afasia de Wernicke / Psicose Lacan, 1988
  • 22.
    Teoria da comunicaçãoNeuropsicanálise “Falar é falar-se” O sujeito falante é o destinador e o destinatário de sua propria mensagem, visto que é capaz de ao mesmo tempo emitir uma mensagem decifrando-a e em princípio não emite nada que não possa decifrar. Kristeva, (História da linguagem) FORCLUSÃO (verwerfung) barramento supressão negação PSICOSE http://thebrain.mcgill.ca/ Mapping Brain Changes in Schizophrenia. (MRI scans), Thompson PM TRANSMISSOR CODIFICADOR CANAL DECODIFICADOR RECEPTOR RUÍDO DESTINADOR MENSAGEM DESTINATÁRIO
  • 23.
    Post-mortem estudos etécnicas de imagem recentemente desenvolvido ajudaram a identificar algumas das principais áreas do cérebro implicadas no autismo. As áreas incluem o córtex, cerebelo cerebral e o lobo temporal - em especial a amígdala. O transtorno pode resultar na falha da ação conjunta de várias únidades modulares do cérebro Autism. Brain Brief May 06 SciAm O tronco cerabral dos portadores de autismo é mais curto que o normal, implicando em alterações dos núcleos dos nervos facial hipoglossoentre outras estruturas alteradas DESTINADOR MENSAGEM DESTINATÁRIO FORCLUSÃO (verwerfung) barramento supressão negação PSICOSE
  • 24.
    Represenções do cortexsenorial e motor
  • 25.
  • 26.
  • 27.
    Frenologia, mapeamento, localização de função cerebral (ações, sensações e comportamentos) Positron Emission Tomography (PET) brain scan
  • 28.
    1. Hemisfério esquerdo: Interpretação, síntese e expressão da fala e símbolos. Reduzida capacidade de falar, escrever, ler, compreender materialidade verbal, dificuldade em iniciar a ação. 2. Hemisfério direito: Interpretação, síntese e expressão de conceitos espaciais. Prejudicado o reconhecimento de faces ou familiaridade com os objetos, dificuldades acompanhar ritmos e música, dificuldade de copiar desenhos, dificuldade com as tarefas de construção e montagem de objetos, desorientação espacial, dificuldade de discriminação de cor, percepção de profundidade prejudicada, falta de persistência e capacidade previsão do resultado de ações (futuro), problemas com exploração visual de varredura (scanning), reduzido a capacidade de percepção de tempo e tempo de reação. 3. Indeterminado: Sintomas mostram nenhuma correlação com o local ou o grau da lesão: Fadiga, espanto (perplexidade, insegurança) distração. Problemas com a memória de longo prazo, (geralmente depois de apenas danos generalizados no cortex). Seqüelas psicológicas - negação, raiva, irritabilidade, ansiedade, depressão, problemas com a auto-estima. Frank McDonald Townsville General Hospital, Queensland, Australia.
  • 29.
    Localização cerebral Mapade Broodman Lent, 2004
  • 30.
    Coordenação da atividadefísica Imaginação Planejamento, Emoção, Julgamento Antecipação e Verbos Memória de sons Visão Memória visual Processamento Mutisensorial de informação Controle voluntário de movimentos Informação tactil Dor Pressão Posição Movimento Temperatura Nomeação (substantivos) Adaptação de imagem de: Cardoso, Silvia H. Brain&Mind. Center for Biomedical Information
  • 31.
  • 32.
    1. Hemisfério esquerdo: Interpretação, síntese e expressão da fala e símbolos. Pensamento analítico, prático; Lógica; Matemática; Raciocínio científico 2. Hemisfério direito: Interpretação, síntese e expressão de conceitos espaciais. Pensamento holístico;Criatividade; Intuição; Arte (Design), e Música http://brainmind.com/BrainLecture2.html
  • 33.
    http://cwx.prenhall.com/bookbind/pubbooks/morris5/ - Psychology: an Introduction  Charles G. Morris & Albert A. Maisto - Mercedes Benz (propaganda)
  • 34.
    Jogando Vídeo Game http://www.ece.uvic.ca/~pzeman/3dgamebrain.htm http://hiddentalents.org/brain/113-right.html#body SciAm
  • 35.
    2 . Hemisfériodireito: Interpretação, síntese e expressão de conceitos espaciais. Prejudicado o reconhecimento de faces ou familiaridade com os objetos, dificuldades acompanhar ritmos e música, dificuldade de copiar desenhos, dificuldade com as tarefas de construção e montagem de objetos, desorientação espacial, dificuldade de discriminação de cor, percepção de profundidade prejudicada, falta de persistência e capacidade previsão do resultado de ações (futuro), problemas com exploração visual de varredura (scanning), reduzido a capacidade de percepção de tempo e tempo de reação.
  • 36.
    Visão geral dostranstornos de aprendizagem e comunicação (transtornos dedo desenvolvimento) com localização no cérebro esquerdo Combinação do transtorno da l inguagem expressiva com dificuldades de linguagem receptiva: incapacidade de perceber diferenças em sons, misturando sons para fazer palavras, recordar o significado das palavras e para ligar frases para fazer sentenças compreensíveis. Compreende a língua falada bem, segue comandos, mas não consegue expressar pensamentos em palavras: vocabulário limitado, comete erros de tempo, dificuldade em recordar palavras ou produzir frases de extensão e complexidade adequadas à idade. A compreensão da linguagem oral e da fala é grosseiramente normal, a leitura (e geralmente a escrita) é prejudicada.Não consegue decifrar sons das letras ou decodificar (saídas de som) palavras escritas. Problemas com o processamento de estímulos visuais que rapidamente se trocam? Os próprios sons são articulados fragilmente. A substituição do som é comum (R por L), omissão de consoantes (&quot;arro&quot; por &quot;carro&quot;). Perturbação da fala caracterizada por repetições e prolongamentos de sons e palavras, palavras quebradas, tensão física excessiva na produção' de palavras. Habilidades de linguagem expressiva e receptiva adequadas (a pessoa pode escrever ou cantar sem dificuldade). Transtorno misto da linguagem receptivo- expressiva Transtorno de linguagem expressiva Transtorno de leitura Transtorno fonológico Gagueira
  • 37.
    Visão geral dostranstornos de aprendizagem e comunicação (transtornos dedo desenvolvimento) com localização no cérebro direito In: Pliszka,Steven R. Neurociência para o clínico de saúde mental. Porto Alegre, Artemed, 2004 Variação extrema da DANV, déficits severos na intenção comunicativa, linguagem intacta que não pode ser utilizada para o discurso social normal . Constelação de traços envolvendo habilidades sociais frágeis , reconhecimento ruim de expressões faciais , modulação pobre do afeto, habilidades matemáticas ruins em relação às verbais, coordenação motora ruim , habilidades visuoespaciais prejudicadas. Capacidade matemática abaixo da esperada para o QI . Um conjunto heterogêneo de problemas pode estar presente: dificuldade com operações aritméticas simples (adição , subtração), dificuldade de reconhecer lugar, conceber unidades de medida , problemas com a noção de número (1.000 é muito maior do 10), incapacidade de utilizar símbolos como na álgebra . Situa-se na curva normal da capacidade matemática. Transtorno de Asperger? Dificuldade de aprendizagem não-verbal (DANV) Transtorno matemático
  • 38.
  • 39.
    Espectro Primata * Em gramas equivale à 1360 g homem e 1250 na mulher. Sendo < 900g a microcefalia verdadeira e > 1800 g a macrocefalia Cebóides (Novo mundo) 45 - 112 Velho mundo, Cercopitecos, Rhesus, Babuíno   60 - 200 Gibão 97.5 Orangotango 416 Chimpanzé 400 Gorila 550 Ramapithecus   Australopithecus 700 - 800 Homo erectus 860 Homem de Java 900 H. de Pequim (Sinanthropus) 1075 - 1250 Homo neandertal 1500 Primatas Volume do cérebro em C 3 Homo sapiens sapiens 1350 *
  • 40.
    M MEMÓRIA PATENÇÃO G (RACIOCÍNIO) W – Capacidade de manejar agilmente significantes (fala) V – Raciocínio verbal. Nível semântico da atividade verbal N – Raciocínio númerico R – Lógica (dedução / indução) Ss – Habilidade espacial Sm – Habilidade mecânica Fator G & Habilidades Multimodais Thurstone, Thorndike, Mira y Lopez Modificado de Seminério, Franco Lo Presti. Infraestrutura e sistêmica da cognição humana: fatores ou liguagens. Arq. Bras. Psic., RJ 32 (1): 536-544 jan/mar. 1980 Verbal - Social Simbólico - Abstrato Espacial - Concreto W N Ss V R Sm
  • 41.
    M MEMÓRIA PATENÇÃO Hipocampo / Sistema Reticular Ativador Allen Rat Brain Atlas
  • 42.
    A proposição deInteligências Múltiplas por HOWARD GARDNER Esse autor desenvolveu os seguintes critérios entre as dezenas de possibilidades de classificar os fatores constituintes da inteligência ou habilidades humanas: Potencial prejuízo com dano cerebral A exemplo das capacidades lingüísticas no AVC Existência de gênios, ou indivíduos eminentes com habilidades especiais Onde se pode observar tal capacidade isolada ou prejudicada Um conjunto de operações identificável A música, por exemplo consiste da sensibilidade de uma pessoa para melodia, harmonia, ritmo, timbre e estrutura musical. Uma história de desenvolvimento distintiva para cada indivíduo, junto com uma natureza definível de desempenho especialista. É possível identificar os passos para atingir tais perícias Uma história evolutiva e plausibilidade evolutiva. A exemplo das formas de inteligência espacial em mamíferos ou inteligência musical em pássaros. Testabilidade A exemplo dos testes psicológicos Distições psicométricas Susceptíveis de confirmação e re-testagem com múltiplos instrumentos Suscetibilidade para ser codificada em um sistema de símbolos. Códigos como idioma, aritmética, mapas e expressão lógica, entre outros.
  • 43.
    Howard Gardner identificouas seguintes inteligências: 1. Lógico-matemática - a capacidade de confrontar e avaliar objetos e abstrações, discernindo as suas relações e princípios subjacentes. Possuem esta caracaterística matemáticos, cientistas e filósofos como Stanislaw Ulam, Alfred North Whitehead, Henri Poincaré, Albert Einstein, Marie Curie, entre outros. 2. Linguística - caracteriza-se por um domínio e gosto especial pelos idiomas e pelas palavras e por um desejo em os explorar. É predominante em poetas, escritores, e linguistas, como T. S. Eliot, Noam Chomsky, e W. H. Auden. 3. Musical - identificável pela habilidade para compor e executar padrões musicais, executando pedaços de ouvido, em termos de ritmo e timbre, mas também escutando-os e discernindo-os. Pode estar associada a outras inteligências, como a lingüística, espacial ou corporal-cinestésica. É predominante em compositores, maestros, músicos, críticos de música como por exemplo, Ludwig van Beethoven, Leonard Bernstein, Midori, John Coltrane, Mozart. 4. Espacial - expressa-se pela capacidade de compreender o mundo visual com precisão, permitindo transformar, modificar percepções e recriar experiências visuais até mesmo sem estímulos físicos. É predominante em arquitetos, artistas, escultores, cartógrafos, navegadores e jogadores de xadrez, como por exemplo Michelangelo, Frank Lloyd Wright, Garry Kasparov, Louise Nevelson, Helen Frankenthaler.
  • 44.
    5. Corporal-cinestésica - traduz-se na maior capacidade de controlar e orquestrar movimentos do corpo. É predominante entre atores e aqueles que praticam a dança ou os esportes, como por exemplo Marcel Marceau, Martha Graham, Michael Jordan, Pelé. Intrapessoal - expressa na capacidade de se conhecer, estando mais desenvolvida em escritores, psicoterapeutas e conselheiros, como por exemplo, Sigmund Freud. 6. Interpessoal - expressa pela habilidade de entender as intenções, motivações e desejos dos outros. Encontra-se mais desenvolvida em políticos, religiosos e professores, como por exemplo o Mahatma Gandhi. 7. Naturalista - traduz-se na sensibilidade para compreender e organizar os objetos, fenômenos e padrões da natureza, como reconhecer e classificar plantas, animais, minerais, incluindo rochas e gramíneas e toda a variedade de fauna, flora, meio-ambiente e seus componentes. É característica de paisagistas, arquitetos e mateiros, por exemplo. São exemplos deste tipo de inteligência Charles Darwin, Rachel Carson, John James Audubon, Thomas Henry Huxley. 8. Existencial - investigada no terreno ainda do &quot;possível&quot;, carece de maiores evidências. Abrange a capacidade de refletir e ponderar sobre questões fundamentais da existência. Seria característica de líderes espirituais e de pensadores filosóficos como por exemplo Jean-Paul Sartre, Søren A. Kierkegaard, Maya Angelou, Paul Erdös, Frida Kahlo, Alvin Ailey, Margaret Mead, o Dalai Lama, Charles Darwin ou Joni Mitchell.
  • 45.
    Distinguir: Velocidade de aprendizagem Capacidade de atenção Inibição comportamental Nootrópicos (smart drugs) Efeitos de estimulantes Fadiga (efeito sedativo)
  • 46.
    Alimento Estimulo incondicionadoCondicionamento Clássico Alimento Luz Tempo óptimo de ocorrência simultânea Salivação Resposta incondicionado Salivação Aprendizagem é a transferência do poder reflexogênico e a força do hábito Luz Salivação
  • 47.
    Aprendizagem instrumental éa mudança no desempenho que resulta da experiência. (discriminação e generalização seletiva) LUZ Resposta C Resposta B Resposta A Alimento LUZ Resposta B Alimento Aprendizagem Instrumental Burrhus Frederic Skinner (1904 — 1990)
  • 48.
  • 49.
    FAIXA QI (Quocientede Inteligência) Desvio à esquerda na área da Curva Normal     Retardo Mental Grave     F72     20 – 40     Retardo Mental Moderado     F71     35-49   Retardo Mental Leve       F70       50 - 69     Estupor Coma Vida vegetativa   < 25 Profundo 25 - 40 Severo / Custodial 25 - 40 Moderado / Educável 40 - 55 Leve / Treinável 55 - 70 Educável 70 - 90 Limitrofe 90 - 120 Normal 120 -130 Eminente > 130 Genios
  • 50.
  • 51.
    Arrinencefalia Porencefalia HidrannencefaliaMeningoencefalocele Microcefalia verdadeira (< 900 g) Megaencefalia Agiria, lisencefalia e paquigiria Micropoligiria e ulegiria Estado marmóreo (hipermielinização) Agenesia de corpo caloso Ageneseia de cerebelo Malformação de Arnold Chiari (hidrocefalia) Malformações da medula espinhal Robins; Cotran, 2000 Anencefalia e outras maformações maiores do encéfalo e sistema nervoso
  • 52.
    Esquizencefalia Tipo Ique se caracteriza pela presença de lábios fechados, ou seja, com as duas corticais justapostas; Tipo II que apresenta lábios abertos, estando a fenda preenchida por líquido cefalorraquidiano. Amaral, 2001 Encefalomalácia; Porencefalia Low, Cristiane et al.
  • 53.
    Esquizencefalia Esquizencefalia delábios abertos (fenda longitudinal no hemisfério cerebral) E, com polimicrogiria heterotopias de substância cinzenta na porção profunda da fenda. Ausência do septo pelúcido. Tronco e cerebelo de morfologia normal. Obs: As malformações decorrem de lesão cerebral, geralmente de origem vascular, na fase de proliferação/migração (13ª a 24ª semanas de gestação). As heterotopias de substância cinzenta na porção profunda da fenda correspondem a neurônios que não migraram porque houve destruição das células da glia que guiam a migração. Não se trata de deficiência do processo de migração. O que houve foi a destruição do caminho que os neurônios seguiriam para formar o córtex. Neuroimagem – Estudo de casos http://anatpat.unicamp.br/rpgneominis.html caracteriza-se por fendas, que se estendem da superfície pial até a ependimária com as bordas revestidas por substância cinzenta.
  • 54.
  • 55.
  • 56.
    é um conjuntode características específicas: hipotonia, face com perfil achatado, crânio braquicéfalo, olhos amendoados ou fissuras palpebrais oblíquas, língua protrusa, pescoço curto, prega palmar transversal única, entre outros; e não uma doença. Síndrome de Down
  • 57.
    Menor tamanho dedesenvolvimento das circunvoluções sendo que ao sétimo mês de vida fetal. Além dessa lentidão há células que desaparecem A deficiência mental é explicada pela lesão difusa e superficial dos hemisférios cerebrais, a pobreza e inércia das conexões corticais Observations on an Ethnic Classification of Idiots by J. Langdon H. Down, M.D., London ( John Langdon Haydon Down, 1828-1896 ) London Hospital Reports, 3:259-262, 1866
  • 58.
    Pacientes de Downfreqüentemente têm um cérebro com uma característica de proporções &quot;quadradas“. A forma e a anomalia mostrado na figura abaixo que ilustra a superfície lateral de um cérebro de portador da síndrome de Down. É caracterizada pelo tamanho reduzido do giro temporal superior http://www.pathology.vcu.edu/WirSelfInst/neuro_medStudents/devdis.html A criança não é capaz de eliminar do seu foco de atenção os estímulos acidentais, isto é o que parece ser para Luria o ponto crucial da dificuldade de aprendizagem da criança. Como ela cansa facilmente a fadiga das conexões corticais não permitem que a atenção Se mantenha durante muito tempo
  • 59.
    X frágil Síndromede Cornélia de Lange Síndrome Cri du chat ou 5p-p (deleção do braço menor (p) do cromossomo 5) Síndrome de Tai Sachs
  • 60.
  • 61.
    Bibliografia Astrup C.Psiquiatria pavloviana, a reflexologia atual na prática psiquiátrica. RJ/SP Livraria Atheneu,1979 Amaral J.G P. et al Esquizencefalia. Arq Neuropsiquiatr 2001;59(2-A):244-249 Freitas Júnior, O. Pavlov, vida e obra, RJ, Paz e Terra, 1976 Geshwind Normn. Especializaciones del cerebro humano. Investigacion y Ciencia (textos da Scientific American) n. 38 (128-138), Es. 1979 Lacan, Jacques. Metáfora e metonímia (I): “As gerbe n’´tait point avare, ni haineuse” in: Lacan J. O seminário, livro 3, as psicoses. RJ Zahar, 1988 Lent, Roberto. Cem bilhões de neurônios: conceitos fundamentais de neurociência. SP, Atheneu,2004 Low, Cristiane et al. Early destructive lesions in the developing brain: clinical and electrographic correlates. Arq. Neuro-Psiquiatr. [online]. 2007, vol.65, n.2b Luria, A. R. Fundamentos de neuropsicologia. SP, EDUSP, RJ, Livros Tecn. Cient., 1981 Machado, Angelo. Neuroanatomia funcional. SP, Atheneu, 1974 McDonald, Frank ~ Consultation-Liaison Psychologist at Townsville General Hospital, Queensland, Australia. Web Page ~ a collection of psychological articles, links and images. -http://www.users.bigpond.com./fmcdonald/index.html Robins S.L; Cotran, R.S. Patologia Estrutural e Funcional RJ, Guanabara Koogan, 2000 Pliszka,Steven R. Neurociência para o clínico de saúde mental. Porto Alegre, Artemed, 2004 Skiner, B.F. Sobre o behaviorismo. SP, Cultrix, 2006 Skiner, B.F. Ciência e comportamento humano. SP Martinds Fontes, 2003 Gardner, Howard. Estruturas da mente: A teoria das inteligências múltiplas. SP, ARTEMED, 1994 Seminério, Franco Lo Presti. Infraestrutura e sistêmica da cognição humana: fatores ou liguagens. Arq. Bras. Psic., RJ 32 (1): 536-544 jan/mar. 1980 White, Annie. Schizophrenia Does Not Shrink Brains – Antipsychotics Do: JAMA Study -http://healthfreedoms.org/2011/03/21/schizophrenia-does-not-shrink-brains-antipsychotics-do-jama-study/
  • 62.
    Ilustrações Scientific Americanhttp://brainmuseum.org/ http://brainmind.com/ Revista Veja /http://www.shutterstock.com/ Bear, Mark F. Neurociências, RGS, Artmed, 2002 Digital Anatomist Project, http://www9.biostr.washington.edu/da.html Kathleen B. et al. Neuropsychologia 41 (2003) 293–303 Schizoprenic Brain - http://www.loni.ucla.edu/~thompson/PsyTimes2002R.html Autism. Brain Brief May 06 lyt2 - Society for Neuroscience http://www.sfn.org/index.aspx?pagename=brainBriefings_autismInChildren http://despertaremsons.blogspot.com/2009/08/acordes-na-cabeca.html http://www.fmrib.ox.ac.uk/Members/kate/lpike/normal-brain-development-during-adolescence/ Cardoso, Silvia H. Brain&Mind. Center for Biomedical Information -http://www.cerebromente.org.br/ Allen Institute -http://www.brain-map.org/ SRA -http://fundacionannavazquez.wordpress.com/2007/09/06/ Homunculus of Brain Images: Image Of Brain Homunculus - http://connect.in.com/ Além de imagens de autoria não identificada de procedência em várias fontes repetidas através do Google Images. Trabalho educativo sem fins comercias. Caso algum autor sentir-se prejudicado por utilização de imagens sem referência. Favor comunicar-se comigo: costapppr@gmail.com