www.playmagem.com.br
Dentre tantas modalidades de exames
radiológicos, o exame de tórax é um dos
exames radiológicos mais utilizados na área
médica, apesar de sua limitação em projetar
apenas a visão bidimensional de estruturas
tridimensionais. Tal frequência é resultado detridimensionais. Tal frequência é resultado de
seu baixo custo anexado à facilidade de
realização do procedimento e sua grande
disponibilidade.
www.playmagem.com.br
A anatomia do radiológica do tórax pode ser
classificada em três porções:
Caixa torácica
Sistema respiratório
Mediastino
www.playmagem.com.br
Caixa torácica
A caixa torácica é a estrutura que fornece
proteção aos órgãos vitais acondicionados no
tórax.
O arcabouço torácico é constituído por doze
pares de costelas que se unem anteriormentepares de costelas que se unem anteriormente
de forma indireta ao esterno,através das
cartilagens costais.
O esterno é formado por três partes: manúbrio,
corpo do esterno e processo xifóide.
A parte posterior do arcabouço torácico é
anexada às vértebras torácicas.
www.playmagem.com.br
01 – Esterno 01 – Incisura costal
02 – Clavícula 02 – Processo xifóide
03 – Escápula 03 – Corpo de esterno
04 – Coluna vertebral 04 – Ângulo esternal
05 – Cartilagem costal – cartilagem hialina 05 – Manúbrio
06 – Costelas 06 – Incisura jugular
6.1 - 01 à 07 = verdadeiras 07 – Incisura clavicular
6.2 - 08 à 10 = falsas
6.3 - 11 e 12 = flutuantes
www.playmagem.com.br
A – Arcos costais C – Costelas
C – Clavícula E - Esterno
E – Escápula
V – Vértebras
www.playmagem.com.br
Sistema respiratório
O sistema respiratório é constituído pela
laringe, traquéia, brônquios e pulmões.
A faringe não faz parte do sistema
respiratório propriamente dito, pois, serespiratório propriamente dito, pois, se
encontra anexada tanto ao sistema
digestório como respiratório.
www.playmagem.com.br
Laringe
A laringe é uma estrutura tubular localizada na
região anterior do pescoço, servindo de
passagem para o ar, sua margem superior
esta localizada aproximadamente a nível de
C3, e sua margem inferior situa-se a nível deC3, e sua margem inferior situa-se a nível de
C6, onde se conecta com a traquéia.
Sua estrutura básica é formada pela conexão
de cartilagem através de ligamentos que se
movimentam por músculos.
www.playmagem.com.br
1 – Epiglote
2 – Laringe
3 – Traquéia
www.playmagem.com.br
Traquéia
Traquéia é um tubo muscular fibroso em forma
de anéis, tais anéis impossibilita o colapso da
traquéia durante a respiração, devido sua
composição rígida.
Esta localizada anteriormente ao esôfago,Esta localizada anteriormente ao esôfago,
estendendo-se da junção final da laringe até
aproximadamente T4, T5. Nesta região há a
formação dos brônquios primários direito e
esquerdo.
www.playmagem.com.br
www.playmagem.com.br
Conseguinte à traquéia estão estruturados os
brônquios-fonte direito e esquerdo, cada qual
com suas características próprias, sendo
separados por uma bifurcação denominada
CARINA, tal bifurcação localiza-se
aproximadamente a nível de T5.
O brônquio-fonte direito possui menor
comprimento e maior diâmetro que ocomprimento e maior diâmetro que o
brônquio-fonte esquerdo e encontra-se mais
verticalizado. O brônquio-fonte direito da
origem a três brônquios secundários
enquanto o brônquio-fonte esquerdo resulta
na divisão de apenas dois brônquios-
secundários.
www.playmagem.com.br
Dos brônquios secundários se originam os
bronquíolos que se espalham por toda parte
de cada lobo pulmonar, cada um desses
bronquíolos terminam em sacos de ar
denominados alvéolos, onde ocorrerá a
troca gasosa com o sangue.
Após percorrer todo o trato respiratório o arApós percorrer todo o trato respiratório o ar
atinge os alvéolos que são envolvidos por
finas redes de vasos sanguíneos
denominados capilares, onde serão feitas as
trocas gasosas.
www.playmagem.com.br
1 – Traquéia
2 – Brônquio-fonte direito
3 – Carina
4 – Brônquio-fonte esquerdo
5 – Capilares
6 - Alvéolos
www.playmagem.com.br
Pulmões
Os pulmões são constituídos por uma
estrutura altamente elástica e esponjosa
denominada parênquima, o pulmão direito
possui três lobos: superior, médio e inferior,
separados por duas fissuras, horizontal eseparados por duas fissuras, horizontal e
oblíqua; enquanto o pulmão esquerdo é
constituído por dois lobos: superior e inferior,
separados por uma única fissura, fissura
oblíqua. Ambos estão contidos em uma
membrana de dupla parede denominada
pleura.
www.playmagem.com.br
1 – Lobo superior 4 – Lobo superior
2 – Lobo inferior 5 – Lobo inferior
3 – Lobo médio
www.playmagem.com.br
Cada lobo divide-se em lóbulos, todos contendo um
vaso linfático, uma vênula e um ramo de um
bronquíolo terminal.
1 – Apical 1 – Apical
2 – Posterior 2 – Posterior
3 – Anterior 3 – Anterior
4 – Lateral lingular sup. 4 – Lateral lingular sup.
5 – Medial lingular inf. 5 – Medial lingular inf.
7 – Medial 6 – Superior (apical)
8 – Anterior 7 – Medial
8 – Anterior
9 – Lateral
10 – Posteriorwww.playmagem.com.br
1 – Apical 1 – Apical
2 – Posterior 2 – Posterior
6 – Superior apical 3 – Anterior
9 – Lateral 5 – Medial lingular inf.
10 – Posterior 6 – Super apical
7 – Medial
8 – Anterior
9 – Lateral
10 - Posterior
www.playmagem.com.br
Segmento Apical LSDSegmento Apical LSDSegmento Apical LSDSegmento Apical LSD ---- S1S1S1S1
www.playmagem.com.br
Segmento Posterior LSDSegmento Posterior LSDSegmento Posterior LSDSegmento Posterior LSD ---- S2S2S2S2
www.playmagem.com.br
Segmento Anterior LSDSegmento Anterior LSDSegmento Anterior LSDSegmento Anterior LSD ---- S3S3S3S3
www.playmagem.com.br
Segmento Lateral LMSegmento Lateral LMSegmento Lateral LMSegmento Lateral LM ---- S4S4S4S4
www.playmagem.com.br
Segmento Medial LMSegmento Medial LMSegmento Medial LMSegmento Medial LM ---- S5S5S5S5
www.playmagem.com.br
Segmento Superior LIDSegmento Superior LIDSegmento Superior LIDSegmento Superior LID ---- S6S6S6S6
www.playmagem.com.br
Segmento Medial LIDSegmento Medial LIDSegmento Medial LIDSegmento Medial LID ---- S7S7S7S7
www.playmagem.com.br
Segmento Anterior LIDSegmento Anterior LIDSegmento Anterior LIDSegmento Anterior LID ---- S8S8S8S8
www.playmagem.com.br
Segmento Lateral LIDSegmento Lateral LIDSegmento Lateral LIDSegmento Lateral LID ---- S9S9S9S9
www.playmagem.com.br
Segmento Posterior LIDSegmento Posterior LIDSegmento Posterior LIDSegmento Posterior LID ---- S10S10S10S10
www.playmagem.com.br
Segmento ÁpicoSegmento ÁpicoSegmento ÁpicoSegmento Ápico----posterior LSEposterior LSEposterior LSEposterior LSE ----
S1+2S1+2S1+2S1+2
www.playmagem.com.br
Segmento Anterior LSESegmento Anterior LSESegmento Anterior LSESegmento Anterior LSE ---- S2S2S2S2
www.playmagem.com.br
Segmento Lingular SuperiorSegmento Lingular SuperiorSegmento Lingular SuperiorSegmento Lingular Superior ---- S4S4S4S4
www.playmagem.com.br
Segmento Lingular InferiorSegmento Lingular InferiorSegmento Lingular InferiorSegmento Lingular Inferior ---- S5S5S5S5
www.playmagem.com.br
Segmento Superior LIESegmento Superior LIESegmento Superior LIESegmento Superior LIE ---- S6S6S6S6
www.playmagem.com.br
Segmento ÂnteroSegmento ÂnteroSegmento ÂnteroSegmento Ântero----medial LIEmedial LIEmedial LIEmedial LIE ----
S7+8S7+8S7+8S7+8
www.playmagem.com.br
Segmento Lateral LIESegmento Lateral LIESegmento Lateral LIESegmento Lateral LIE ---- S9S9S9S9
www.playmagem.com.br
Segmento Posterior LIESegmento Posterior LIESegmento Posterior LIESegmento Posterior LIE ---- S10S10S10S10
www.playmagem.com.br
Mediastino
Mediastino é a porção média da cavidade
torácica, suas estruturas radiograficamente
importantes são:
Timo;
Coração e grandes vasos;
Traquéia e;
Esôfago.
www.playmagem.com.br
O timo é considerado um órgão temporário
devido sua redução contínua após a
puberdade, contribui para o funcionamento de
certos sistemas imunes do corpo.
O coração está contido dentro de um saco
denominado pericárdio, posteriormente ao
esterno entre a quinta e oitava vértebra
torácica. Os grandes vasos mediastinais são as
veias cavas superior e inferior, a aorta além dasveias cavas superior e inferior, a aorta além das
artéria e veias pulmonares .
A traquéia na região mediastinal se divide em
brônquios direito e esquerdo tendo a região
proximal do esôfago localizada posteriormente
à sua estrutura.
www.playmagem.com.br
Mediastino
1 – Arco aórtico
2 – Tronco pulmonar, seio do tronco pulmonar
3 – Veia cava superior
4 – Artérias e veias pulmonares
5 - coração
www.playmagem.com.br
1 – Traquéia
2 – Brônquio-fonte direito
3 – Brônquio-fonte esquerdo
4 – Artéria pulmonar esquerda
5 – Artéria interlobar direita
6 – Veia pulmonar inferior direita
8 – Arco aórtico
9 – Artéria pulmonar direita
10 – Veia ázigos
www.playmagem.com.br
As regiões radiograficamente importantes do
pulmão são:
Ápice
Carina
Base
DiafragmaDiafragma
Ângulo costofrênico
www.playmagem.com.br
Tórax PA
www.playmagem.com.br
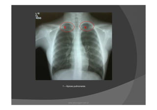
1 – Ápices pulmonares
www.playmagem.com.br
1 – Ápices pulmonares
2 - Carina
www.playmagem.com.br
1 – Ápices pulmonares
2 – Carina
3 – Bases pulmonares
www.playmagem.com.br
1 – Ápices pulmonares
2 – Carina
3 – Bases pulmonares
4 – Diafragma
www.playmagem.com.br
1 – Ápices pulmonares
2 – Carina
3 – bases pulmonares
4 – Diafragma
5 – Ângulos costofrênicos
www.playmagem.com.br
ImagensImagens
tomográficastomográficastomográficastomográficastomográficastomográficastomográficastomográficas dodotomográficastomográficastomográficastomográficastomográficastomográficastomográficastomográficas
tóraxtórax
www.playmagem.com.br
1 – Veia braquiocefálica direita
2 – Traquéia
3 – Esôfago
4 – Manúbrio
5 – Artéria subclávia esquerda
6 – Artéria carótida esquerda
7 – Tronco braquiocefálico
8 – Veia braquiocefálica esquerda
9 – Escápula
10 – Vértebra
www.playmagem.com.br
1 – Aorta ascendente
2 – Veia cava superior
3 – Veia ázigo
4 – Aorta descendente
5 – Artéria pulmonar principal
6 – esterno
7 – Artéria pulmonar esquerda
8 – Vértebra
www.playmagem.com.br
1 – Ventrículo direito
2 – Aurícula direita
3 – Esôfago
4 – Vértebra
5 – Aorta descendente
6 – Aurícula esquerda
7 – Ventrículo esquerdo
www.playmagem.com.br
FIMFIM
www.playmagem.com.br

Aula de torax

  • 1.
  • 2.
    Dentre tantas modalidadesde exames radiológicos, o exame de tórax é um dos exames radiológicos mais utilizados na área médica, apesar de sua limitação em projetar apenas a visão bidimensional de estruturas tridimensionais. Tal frequência é resultado detridimensionais. Tal frequência é resultado de seu baixo custo anexado à facilidade de realização do procedimento e sua grande disponibilidade. www.playmagem.com.br
  • 3.
    A anatomia doradiológica do tórax pode ser classificada em três porções: Caixa torácica Sistema respiratório Mediastino www.playmagem.com.br
  • 4.
    Caixa torácica A caixatorácica é a estrutura que fornece proteção aos órgãos vitais acondicionados no tórax. O arcabouço torácico é constituído por doze pares de costelas que se unem anteriormentepares de costelas que se unem anteriormente de forma indireta ao esterno,através das cartilagens costais. O esterno é formado por três partes: manúbrio, corpo do esterno e processo xifóide. A parte posterior do arcabouço torácico é anexada às vértebras torácicas. www.playmagem.com.br
  • 5.
    01 – Esterno01 – Incisura costal 02 – Clavícula 02 – Processo xifóide 03 – Escápula 03 – Corpo de esterno 04 – Coluna vertebral 04 – Ângulo esternal 05 – Cartilagem costal – cartilagem hialina 05 – Manúbrio 06 – Costelas 06 – Incisura jugular 6.1 - 01 à 07 = verdadeiras 07 – Incisura clavicular 6.2 - 08 à 10 = falsas 6.3 - 11 e 12 = flutuantes www.playmagem.com.br
  • 6.
    A – Arcoscostais C – Costelas C – Clavícula E - Esterno E – Escápula V – Vértebras www.playmagem.com.br
  • 7.
    Sistema respiratório O sistemarespiratório é constituído pela laringe, traquéia, brônquios e pulmões. A faringe não faz parte do sistema respiratório propriamente dito, pois, serespiratório propriamente dito, pois, se encontra anexada tanto ao sistema digestório como respiratório. www.playmagem.com.br
  • 8.
    Laringe A laringe éuma estrutura tubular localizada na região anterior do pescoço, servindo de passagem para o ar, sua margem superior esta localizada aproximadamente a nível de C3, e sua margem inferior situa-se a nível deC3, e sua margem inferior situa-se a nível de C6, onde se conecta com a traquéia. Sua estrutura básica é formada pela conexão de cartilagem através de ligamentos que se movimentam por músculos. www.playmagem.com.br
  • 9.
    1 – Epiglote 2– Laringe 3 – Traquéia www.playmagem.com.br
  • 10.
    Traquéia Traquéia é umtubo muscular fibroso em forma de anéis, tais anéis impossibilita o colapso da traquéia durante a respiração, devido sua composição rígida. Esta localizada anteriormente ao esôfago,Esta localizada anteriormente ao esôfago, estendendo-se da junção final da laringe até aproximadamente T4, T5. Nesta região há a formação dos brônquios primários direito e esquerdo. www.playmagem.com.br
  • 11.
  • 12.
    Conseguinte à traquéiaestão estruturados os brônquios-fonte direito e esquerdo, cada qual com suas características próprias, sendo separados por uma bifurcação denominada CARINA, tal bifurcação localiza-se aproximadamente a nível de T5. O brônquio-fonte direito possui menor comprimento e maior diâmetro que ocomprimento e maior diâmetro que o brônquio-fonte esquerdo e encontra-se mais verticalizado. O brônquio-fonte direito da origem a três brônquios secundários enquanto o brônquio-fonte esquerdo resulta na divisão de apenas dois brônquios- secundários. www.playmagem.com.br
  • 13.
    Dos brônquios secundáriosse originam os bronquíolos que se espalham por toda parte de cada lobo pulmonar, cada um desses bronquíolos terminam em sacos de ar denominados alvéolos, onde ocorrerá a troca gasosa com o sangue. Após percorrer todo o trato respiratório o arApós percorrer todo o trato respiratório o ar atinge os alvéolos que são envolvidos por finas redes de vasos sanguíneos denominados capilares, onde serão feitas as trocas gasosas. www.playmagem.com.br
  • 14.
    1 – Traquéia 2– Brônquio-fonte direito 3 – Carina 4 – Brônquio-fonte esquerdo 5 – Capilares 6 - Alvéolos www.playmagem.com.br
  • 15.
    Pulmões Os pulmões sãoconstituídos por uma estrutura altamente elástica e esponjosa denominada parênquima, o pulmão direito possui três lobos: superior, médio e inferior, separados por duas fissuras, horizontal eseparados por duas fissuras, horizontal e oblíqua; enquanto o pulmão esquerdo é constituído por dois lobos: superior e inferior, separados por uma única fissura, fissura oblíqua. Ambos estão contidos em uma membrana de dupla parede denominada pleura. www.playmagem.com.br
  • 16.
    1 – Lobosuperior 4 – Lobo superior 2 – Lobo inferior 5 – Lobo inferior 3 – Lobo médio www.playmagem.com.br
  • 17.
    Cada lobo divide-seem lóbulos, todos contendo um vaso linfático, uma vênula e um ramo de um bronquíolo terminal. 1 – Apical 1 – Apical 2 – Posterior 2 – Posterior 3 – Anterior 3 – Anterior 4 – Lateral lingular sup. 4 – Lateral lingular sup. 5 – Medial lingular inf. 5 – Medial lingular inf. 7 – Medial 6 – Superior (apical) 8 – Anterior 7 – Medial 8 – Anterior 9 – Lateral 10 – Posteriorwww.playmagem.com.br
  • 18.
    1 – Apical1 – Apical 2 – Posterior 2 – Posterior 6 – Superior apical 3 – Anterior 9 – Lateral 5 – Medial lingular inf. 10 – Posterior 6 – Super apical 7 – Medial 8 – Anterior 9 – Lateral 10 - Posterior www.playmagem.com.br
  • 19.
    Segmento Apical LSDSegmentoApical LSDSegmento Apical LSDSegmento Apical LSD ---- S1S1S1S1 www.playmagem.com.br
  • 20.
    Segmento Posterior LSDSegmentoPosterior LSDSegmento Posterior LSDSegmento Posterior LSD ---- S2S2S2S2 www.playmagem.com.br
  • 21.
    Segmento Anterior LSDSegmentoAnterior LSDSegmento Anterior LSDSegmento Anterior LSD ---- S3S3S3S3 www.playmagem.com.br
  • 22.
    Segmento Lateral LMSegmentoLateral LMSegmento Lateral LMSegmento Lateral LM ---- S4S4S4S4 www.playmagem.com.br
  • 23.
    Segmento Medial LMSegmentoMedial LMSegmento Medial LMSegmento Medial LM ---- S5S5S5S5 www.playmagem.com.br
  • 24.
    Segmento Superior LIDSegmentoSuperior LIDSegmento Superior LIDSegmento Superior LID ---- S6S6S6S6 www.playmagem.com.br
  • 25.
    Segmento Medial LIDSegmentoMedial LIDSegmento Medial LIDSegmento Medial LID ---- S7S7S7S7 www.playmagem.com.br
  • 26.
    Segmento Anterior LIDSegmentoAnterior LIDSegmento Anterior LIDSegmento Anterior LID ---- S8S8S8S8 www.playmagem.com.br
  • 27.
    Segmento Lateral LIDSegmentoLateral LIDSegmento Lateral LIDSegmento Lateral LID ---- S9S9S9S9 www.playmagem.com.br
  • 28.
    Segmento Posterior LIDSegmentoPosterior LIDSegmento Posterior LIDSegmento Posterior LID ---- S10S10S10S10 www.playmagem.com.br
  • 29.
    Segmento ÁpicoSegmento ÁpicoSegmentoÁpicoSegmento Ápico----posterior LSEposterior LSEposterior LSEposterior LSE ---- S1+2S1+2S1+2S1+2 www.playmagem.com.br
  • 30.
    Segmento Anterior LSESegmentoAnterior LSESegmento Anterior LSESegmento Anterior LSE ---- S2S2S2S2 www.playmagem.com.br
  • 31.
    Segmento Lingular SuperiorSegmentoLingular SuperiorSegmento Lingular SuperiorSegmento Lingular Superior ---- S4S4S4S4 www.playmagem.com.br
  • 32.
    Segmento Lingular InferiorSegmentoLingular InferiorSegmento Lingular InferiorSegmento Lingular Inferior ---- S5S5S5S5 www.playmagem.com.br
  • 33.
    Segmento Superior LIESegmentoSuperior LIESegmento Superior LIESegmento Superior LIE ---- S6S6S6S6 www.playmagem.com.br
  • 34.
    Segmento ÂnteroSegmento ÂnteroSegmentoÂnteroSegmento Ântero----medial LIEmedial LIEmedial LIEmedial LIE ---- S7+8S7+8S7+8S7+8 www.playmagem.com.br
  • 35.
    Segmento Lateral LIESegmentoLateral LIESegmento Lateral LIESegmento Lateral LIE ---- S9S9S9S9 www.playmagem.com.br
  • 36.
    Segmento Posterior LIESegmentoPosterior LIESegmento Posterior LIESegmento Posterior LIE ---- S10S10S10S10 www.playmagem.com.br
  • 37.
    Mediastino Mediastino é aporção média da cavidade torácica, suas estruturas radiograficamente importantes são: Timo; Coração e grandes vasos; Traquéia e; Esôfago. www.playmagem.com.br
  • 38.
    O timo éconsiderado um órgão temporário devido sua redução contínua após a puberdade, contribui para o funcionamento de certos sistemas imunes do corpo. O coração está contido dentro de um saco denominado pericárdio, posteriormente ao esterno entre a quinta e oitava vértebra torácica. Os grandes vasos mediastinais são as veias cavas superior e inferior, a aorta além dasveias cavas superior e inferior, a aorta além das artéria e veias pulmonares . A traquéia na região mediastinal se divide em brônquios direito e esquerdo tendo a região proximal do esôfago localizada posteriormente à sua estrutura. www.playmagem.com.br
  • 39.
    Mediastino 1 – Arcoaórtico 2 – Tronco pulmonar, seio do tronco pulmonar 3 – Veia cava superior 4 – Artérias e veias pulmonares 5 - coração www.playmagem.com.br
  • 40.
    1 – Traquéia 2– Brônquio-fonte direito 3 – Brônquio-fonte esquerdo 4 – Artéria pulmonar esquerda 5 – Artéria interlobar direita 6 – Veia pulmonar inferior direita 8 – Arco aórtico 9 – Artéria pulmonar direita 10 – Veia ázigos www.playmagem.com.br
  • 41.
    As regiões radiograficamenteimportantes do pulmão são: Ápice Carina Base DiafragmaDiafragma Ângulo costofrênico www.playmagem.com.br
  • 42.
  • 43.
    1 – Ápicespulmonares www.playmagem.com.br
  • 44.
    1 – Ápicespulmonares 2 - Carina www.playmagem.com.br
  • 45.
    1 – Ápicespulmonares 2 – Carina 3 – Bases pulmonares www.playmagem.com.br
  • 46.
    1 – Ápicespulmonares 2 – Carina 3 – Bases pulmonares 4 – Diafragma www.playmagem.com.br
  • 47.
    1 – Ápicespulmonares 2 – Carina 3 – bases pulmonares 4 – Diafragma 5 – Ângulos costofrênicos www.playmagem.com.br
  • 48.
  • 49.
    1 – Veiabraquiocefálica direita 2 – Traquéia 3 – Esôfago 4 – Manúbrio 5 – Artéria subclávia esquerda 6 – Artéria carótida esquerda 7 – Tronco braquiocefálico 8 – Veia braquiocefálica esquerda 9 – Escápula 10 – Vértebra www.playmagem.com.br
  • 50.
    1 – Aortaascendente 2 – Veia cava superior 3 – Veia ázigo 4 – Aorta descendente 5 – Artéria pulmonar principal 6 – esterno 7 – Artéria pulmonar esquerda 8 – Vértebra www.playmagem.com.br
  • 51.
    1 – Ventrículodireito 2 – Aurícula direita 3 – Esôfago 4 – Vértebra 5 – Aorta descendente 6 – Aurícula esquerda 7 – Ventrículo esquerdo www.playmagem.com.br
  • 52.