NEURÔNIOS OU CÉLULAS NERVOSAS

 Células    especializadas do
  sistema nervoso que conduzem
  impulsos elétricos



     COMPOSIÇÃO DOS
        NEURÔNIOS
 Um axônio
 Um corpo celular
 Um ou mais dendritos
NEURÔNIOS OU CÉLULAS NERVOSAS

   Os dendritos e as
    células do corpo
constituem a substância
 cinzenta do cérebro e
  medula espinhal, e a
     quantidade de
 axônios mielinizados
constituem a substância
         branca.
DIVISÕES DO SISTEMA
                 NERVOSO CENTRAL
1- ENCÉFALO

 Ocupa a cavidade do crânio.


2- MEDULA ESPINHAL SÓLIDA

 Estende-se inferiormente a partir do
 cérebro e está protegida pela coluna
 vertebral óssea e termina na borda
 inferior de L1.
 Extensões de raízes nervosas da medula
 espinhal, entretanto, continuam para
 baixo até o primeiro segmento coccígeo.
 O     espaço    subaracnóide   continua
 descendo até a segunda vértebra sacral
 (S2).
ESTRUTURA DA MEDULA ESPINHAL




A medula espinhal vai apenas até a
  1ª ou 2ª vértebra lombar depois
torna-se a cauda eqüina constituída
        apenas por nervos.
MENINGES E ESPAÇOS MENÍNGEOS
       Aponeurose                  Calota
        Epcrânica                              Espaço
                    Pericrânio    Craniana   Subaracnóide
Pele
                                                            Duramáter



                    Díploe
                                                              Espaço
                                                             Subdural

                          Seio
                         Venoso

                                                            Aracnóide


                                                             Piamáter


                                                            Foice do
                                                            Cérebro
ENCÉFALO E CAPAS DA MEDULA ESPINHAL
                           (MENINGES)
 Tanto o encéfalo quanto à medula espinhal são envolvidos por três
    envoltórios ou membranas protetoras denominadas meninges.

DURA-MÁTER
  A mais externa e significa “mãe dura”. Camada forte e fibrosa que
   possui uma camada interna (juntam-se para formar a foice
   cerebral) e outra externa (adere-se à camada interna da calota
   craniana).

PIA-MÁTER
  A mais interna e significa “mãe delicada”. Muito fina e
   vascularizada, repousa junto ao cérebro (envolvendo-o
   totalmente) e a medula espinhal.

ARACNÓIDE
  Localizada entre a pia-máter e a dura-máter e significa . Sinonímia
   Aracnídea.
DIVISÕES DO ENCÉFALO

1- PROSENCÉFALO
 Cérebro      (TELENCÉFALO)
 Tálamo
 Hipotálamo   (DIENCÉFALO)




2- MESENCÉFALO

3- ROMBENCÉFALO               TRONCO CEREBRAL
 Ponte
 Bulbo
 Cerebelo
DIVISÕES DO ENCÉFALO
TRONCO CEREBRAL




Passa pelo forame magno até tornar-se em medula espinhal.
PROSENCÉFALO CÉREBRO

 Cada lado do cérebro é chamado de hemisfério cerebral
  (TELEENCÉFALO) e está dividido em cinco lobos (frontal, parietal,
  occipital, temporal e central ou ínsula).


 A camada superficial
  de todo o cérebro,
  com cerca de 2 a 4
  mm de espessura,
  logo      abaixo   da
  camada óssea do
  crânio é chamada de
  cortical cerebral.
PROSENCÉFALO CÉREBRO

 Cada lado do cérebro é chamado de hemisfério cerebral
  (TELEENCÉFALO) e está dividido em cinco lobos (frontal, parietal,
  occipital, temporal e central ou ínsula).


 A camada superficial
  de todo o cérebro,
  com cerca de 2 a 4
  mm de espessura,
  logo      abaixo   da
  camada óssea do
  crânio é chamada de
  cortical cerebral.
LOBOS CEREBRAIS

 Recebem o nome de
  acordo com a sua
  localização em relação
  aos ossos do crânio.

 São cinco os lobos:
  frontal,          temporal,
  parietal, occipital e o
  lobo da ínsula, que é o
  único    que      não   se
  relaciona com nenhum
  osso do crânio, pois está
  situado profundamente
  no sulco lateral.
LOBOS CEREBRAIS




Frontal          Temporal       Parietal




     Occipital              Ínsula
HEMISFÉRIOS CEREBRAIS
   (TELEENCÉFALO)
HEMISFÉRIOS CEREBRAIS
              (TELEENCÉFALO)
HEMISFÉRIO        Fissura Longitudinal   HEMISFÉRIO
ESQUERDO                                   DIREITO

  Giro Central
    Anterior
                                         Lobo Frontal


  Sulco Central


                                         Lobo Parietal

 Giro Central
  Posterior
                                         Lobo Occipital
HEMISFÉRIOS CEREBRAIS
                  (TELENCÉFALO)
 O cérebro é parcialmente separado por uma fissura longitudinal
  profunda . Esta fissura divide o cérebro em hemisférios cerebrais
  direito e esquerdo.

 A superfície de cada hemisfério cerebral é marcada por numerosos
  sulcos e circunvoluções, que são formados durante o rápido
  crescimento embrionário dessa porção do encéfalo. Cada
  circunvolução ou área elevada é chamada de giro. Dois desses
  giros que podem ser identificados em cortes seccionais por TC são
  o giro central anterior (pré-central) e o giro central posterior (pós-
  central). Um sulco é uma fenda rasa, e o sulco central, que divide
  os lobos frontal e parietal do cérebro, é um ponto de referência
  usado para identificar áreas sensoriais específicas do córtex.

 Um sulco mais profundo é chamado de fissura, como a fissura
  longitudinal profunda que separa os dois hemisférios.
HEMISFÉRIOS CEREBRAIS
                    (TELENCÉFALO)
  Cada hemisfério possui três pólos: frontal, occipital e temporal; e
três faces: súpero-lateral (convexa), medial (plana) e inferior ou base
 do cérebro (irregular), repousando nos andares anterior e médio da
        base do crânio e posteriormente na tenda do cerebelo.



       Polo
      Frontal




                                                          Polo
                                                         Occipital
                    Polo
                  Temporal
SULCOS


               Sulco
               Central
Giro                     Giro
 Pré-Central             Pós-Central




                                                  Sulco
                                                 Parieto-occipital

                                       Sulco
                                       Lateral
SULCOS
Em qualquer hemisfério os dois sulcos mais importantes
                são o sulco lateral e o sulco central.


 Sulco Lateral: separa o lobo frontal do lobo temporal e é
  subdivido em ascendente, anterior e posterior.


 Sulco Central: separa o lobo parietal do frontal. É ladeado por
  dois giros paralelos, um anterior, giro pré-cental, e outro
  posterior, giro pós-central e é subdivido em ascendente,
  anterior e posterior. As áreas situadas adiante do sulco central
  relaciona-se com a MOTRICIDADE, enquanto as situadas atrás
  destes relacionam-se com a SENSIBILIDADE.


 Sulco Parieto-occipital: separa o lobo parietal do occipital.
VENTRÍCULOS CEREBRAIS
             Corno Frontal             Corno Temporal
  VENTRÍCULO   Anterior                    Inferior        VENTRÍCULO
                              Parte
LATERAL DIREITO              Central                         LATERAL
                                         Corno Occipital    ESQUERDO
                                            Posterior




                                           Cada ventrículo é constituído de
                                           quatro partes, que são: um
                                           corpo e três projeções ou
                                           cornos, prolongamentos do
                                           corpo.
                                            Corno anterior ou frontal.
                                            Corno posterior ou occipital.
                                            Corno inferior ou temporal.
TERCEIRO VENTRÍCULO
 Cada ventrículo lateral conecta-se ao terceiro ventrículo através de um
  forame interventricular.
 Localizado logo abaixo do nível dos ventrículos laterais.
 No teto da parte posterior está localizada a glândula pineal.
 Possui a forma grosseira de um quadrado.




     Terceiro
    Ventrículo




                                                              Recesso da
                                                            Glândula Pineal
     Forame
 Interventricular
QUARTO VENTRÍCULO
        A cavidade do terceiro ventrículo conecta-se pósteroinferiormente ao
quarto ventrículo através de uma passagem chamada aqueduto cerebral.
         Em formato de diamante, conecta-se à cisterna cerebelomedular
(grande porção do espaço subaracnóide).
        De cada lado encontra-se o recesso lateral.



                                                          Aqueduto do Cérebro
                                                              (de Sylvius)

    Recesso Lateral

                                                               Quarto
                                                              Ventrículo



                                                              Abertura
     Abertura do                                              Mediana
   Recesso Lateral
CIRCULAÇÃO DO LÍQUIDO
  CEREBRO ESPINHAL

                  O LCE é normalmente fabricado
        dentro de cada ventrículo lateral (nos plexos
        coróides), e passa para o terceiro ventrículo
        através    dos    forames    interventriculares
        juntando-se      ao   produzido   no   terceiro
        ventrículo, em seguida atravessa o aqueduto
        do cérebro para juntar-se ao produzido no
        quarto ventrículo que através das aberturas
        mediana e lateral. Da cisterna cerebelo-
        medular (abaixo do cerebelo e atrás da
        medula oblonga) o líquido passa, em direção
        superior em torno do encéfalo e em direção
        inferior, em torno da medula espinhal.
CEREBELO
            Incisura Cerebral
                 Anterior




Vermis do
Cerebelo
            Incisura Cerebral
                Posterior
CEREBELO
 Última parte do cérebro e que ocupa a maior porção da fossa
  posterior e inferior do crânio.

 Coordena primariamente as importantes funções motoras do
  corpo, tais como: coordenação, postura e equilíbrio.

 Parecido com uma borboleta e consiste de dois hemisférios
  (direito e esquerdo) unidos por uma faixa mediana, estreita, o
  vermis.

 Incisura Cerebelar Anterior: larga e rasa, localizada na área
  superior da superfície anterior.

 Incisura Cerebelar Posterior: de localização inferior ao longo da
  superfície posterior e separa os hemisférios cerebelares.

 Foice Cerebelar: localizada dentro da incisura cerebelar posterior
  (é uma extensão da dura-máter).
NÚCLEOS DA BASE
NÚCLEO CAUDADO
       Possui um papel importante no sistema de aprendizado e
memória do cérebro.
       É uma massa alongada e bastante volumosa de substância
cinzenta; dispõe-se sagitalmente e tem a forma de uma hemielipse
aberta para a frente; relaciona-se em toda a sua extensão com os
ventrículos laterais. Sua extremidade anterior constitui a cabeça do
núcleo caudado, que proemina do assoalho do corno anterior do
ventrículo. Ela continua gradualmente com o corpo do núcleo
caudado, situado no assoalho da parte central do ventrículo lateral.
Este afina-se pouco a pouco para formar a cauda do núcleo
caudado, que é longa, delgada e fortemente arqueada, estendendo-
se até a extremidade anterior do corno inferior do ventrículo lateral.
       A cabeça do núcleo caudado funde-se com a parte anterior
do núcleo lentiforme.
NÚCLEO LENTIFORME

        Não aparece na superfície ventricular, situando-se
profundamente no interior do hemisfério. Medialmente relaciona-se
com a cápsula interna que o separa anteriormente da cabeça do
núcleo caudado e posteriormente do tálamo; lateralmente
relaciona-se com o córtex da ínsula, do qual é separado por
substância branca e pelo claustro.
       É dividido em putame e globo pálido por uma fina lâmina de
substância branca, a lâmina medular lateral. O putame situa-se
lateralmente e é maior que o globo pálido, que se dispõe
medialmente. Nas secções não coradas de cérebro, o globo pálido
tem uma coloração mais clara que o putame em virtude da
presença de fibras mielínicas que o atravessam. O globo pálido é
dividido por outra lâmina de substância branca, a lâmina medular
medial, em partes externa e interna.
CLAUSTRO
       É uma delgada calota de substância cinzenta situada entre
o córtex da ínsula e o núcleo lentiforme. Separa-se daquele por
uma fina lâmina branca, a cápsula extrema. Entre o claustro e o
núcleo lentiforme existe uma outra lâmina branca, a cápsula
externa.


               CORPO AMIGDALÓIDE
         É uma massa esferóide de substância cinzenta de cerca
 de 2 cm de diâmetro situada no pólo temporal do hemisfério
 cerebral, em relação com a cauda do núcleo caudado. Faz um
 discreta saliência no teto da parte terminal do corno inferior do
 ventrículo lateral.
NÚCLEOS CEREBRAIS
A divisão por lobos e sulcos é apenas didática, pois o cérebro funciona
  como um todo independente dos lobos, porém algumas áreas são
    específicas e bem localizadas, como indicadas na figura acima.
CÍRCULO OU POLÍGONO DE WILLIS
É um círculo de artérias que suprem o cérebro. Foi nomeado em
   homenagem a Thomas Willis (1621 – 1873), médico inglês.

 A. Cerebral
                                                A. Comunicante
Anterior Direita
                                                    Anterior
   A. Carótida
 Interna Direita                               A. Cerebral Anterior
                                                    Esquerda
  A. Cerebral
     Média                                     A. Carótida Interna
                                                   Esquerda
A. Comunicante
Posterior Direita                               A. Comunicante
                                               Posterior Esquerda
  A. Cerebral
Posterior Direita                                 A. Cerebral
                                               Posterior Esquerda
   A. Basilar
CIRCULAÇÃO SANGUÍNEA DO CÉREBRO


       O sangue chega ao cérebro através das artérias vertebrais e
das artérias carótidas internas, que se comunicam através do
polígono de Willis, este é uma anastomose arterial que fornece o
suprimento sangüíneo para os hemisférios cerebrais, sendo
formado pelas artérias cerebrais anteriores e posteriores, artérias
comunicantes anterior e posteriores e pela carótida interna.
CIRCULAÇÃO SANGUÍNEA DO CÉREBRO

COMPONENTES

  Artéria cerebral anterior (direita e esquerda).
  Artéria comunicante anterior.
  Artéria carótida interna (direita e esquerda).
  Artéria cerebral posterior (direita e esquerda).
  Artéria comunicante posterior (direita e esquerda).
CÍRCULO OU POLÍGONO DE WILLIS

    IMPORTÂNCIA FISIOLÓGICA

       O arranjo das artérias no
Polígono   de    Willis    cria uma
redundância na circulação cerebral.
Se uma parte do círculo estiver
bloqueada ou estreitada (estenose),
ou se uma das artérias que suprem o
polígono    está     estreitada  ou
bloqueada, o fluxo sanguíneo dos
outros vasos sanguíneos podem
muitas vezes preservar a perfusão
cerebral .
CÍRCULO OU POLÍGONO DE WILLIS
ESTUDO DO POLÍGONO DE WILLIS




 1 mm espessa X 1 mm incremento.

 Em média 100 ml de contraste, a 3ml/s.
A marcação vai da
  base do seio
esfenoidal ao topo
do corpo caloso.
FERNANDO DE NORONHA
Pontos cardinais para o diagnóstico




       Clínica
       Clínica




Labs
Labs                Imagem
                    Imagem
TC CRÂNIO AXIAL
PLANEJAMENTO DO EXAME

 Entrevista.

 Preparo do paciente.

 Exame propriamente dito.

 Processamento e documentação da imagem.

 Análise do exame.
ENTREVISTA

 Obter indicações que levam à indicação deste procedimento

 Devem ser coletados exames anteriores relacionados com a
  região de interesse.

 Informar ao paciente a finalidade do exame e de como deverá
  portar-se durante o mesmo.

 Obter informações sobre cirurgias e/ou tratamentos recentes.

 Exame contrastado, caberá ao paciente receber todas as
  informações quanto à ação desses produtos , riscos e efeitos
  colaterais adversos e as orientações cabíveis em cada caso.

 Orientar e tranqüilizar o paciente.
ANESTESIA E SEDAÇÃO
       Para realizar exames de boa qualidade são necessários o
posicionamento correto e a imobilidade do paciente.

      Há casos em que o paciente está impossibilitado de
cooperar e manter-se imóvel durante o exame:

   Pacientes pediátricos.

   Pacientes agitados.

   Pacientes com confusão mental.

   Pacientes com dor intensa.

   Pacientes com movimentos involuntários.

               Nestas situações é essencial a presença do
                 anestesiologista na sala de TC.
INDICAÇÕES PARA TC DE CRÂNIO


 AVC- Acidente Vascular Cerebral.

 AVCI- Acidente Vascular Cerebral Isquêmico.

 AVCH- Acidenta Vascular Cerebral Hemorrágico.

 Tumores.

 Malformações.
FILTROS PARA PARTES MOLES




       Têm sua utilização para estudar
partes    moles     anatômicas     (tecido
parenquimatoso, ou parênquima) e recebe
denominação de filtros para partes moles,
que poderá variar conforme o fabricante
do aparelho.
FILTRO DURO OU ÓSSEO
       É o filtro com maior nitidez e definição da imagem realçando
as bordas, margens ou estrutura anatômica.
       Utilizado para estruturas com grande densidade (osso).
Exemplos: crânio – suspeita de fraturas.
TCE: utilizar o filtro como rotina.
INDICAÇÕES AO USO DO
      CONTRATE IODADO VENOSO

 Acompanhamento de tumores.

 História clínica de metástase, convulsão, neoplasias,
  processo inflamatório infeccioso e mal formação vascular.

 Nas lesões da hipófise em que os níveis de prolactina
  estão elevados.
CONTRA-INDICAÇÕES AO USO
DO CONTRASTE IODADO VENOSO

 História de alergia ao iodo.
 Asma grave.
 Cardiopatia grave.
 Insuficiência renal.
 Nas fases iniciais de hemorragia e infarto.
 Em crianças sem preparo adequado.

 Nos exames de hipófise em que o nível de prolactina
   estiver abaixo de 2000 unidades.
POSICIONAMENTO DO PACIENTE
POSICIONAMENTO DO PACIENTE

 Mesa com suporte axial para crânio.

 Paciente em decúbito dorsal, o mais confortável possível.

 Imobilizar a cabeça.

 Colocar as mãos do paciente sobre o abdome ou ao lado
  do corpo.

 Utilizar a LOM como referência.

 Observar: simetria, altura e angulação da cabeça.
TOMOGRAFIA DE CRÂNIO

       Topograma (Scout View ou
        Surview): lateral
       Início dos cortes: abaixo do
        forame magno
        Final dos cortes: acima da
        convexidade cerebral
       Fossa posterior: 2 a 5 mm
        Região supratentorial: 7 a
        10 mm
        FOV: 22 cm. KV: 130. mA:
        170
        Tempo de exposição: 2
TOPOGRAMA
TOPOGRAMA
TOPOGRAMA
TOPOGRAMA
CORTE 1
CORTE 1


a) Órbita (observe a elevada densidade do cristalino
  na margem anterior do globo ocular)

b) Arco zigomático

c) Seio esfenoidal

d) Canal acústico externo

e) Processo mastóideo

f) Cerebelo

g) Protuberância occipital interna

h) Seios etmoidais
CORTE 2
CORTE 2


a) Globo ocular

b) Nervo óptico

c) Lobo temporal

d) Osso petroso temporal

e) Cerebelo

f) Seio esfenoidal

g) Musculatura ocular
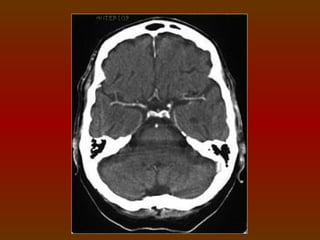
CORTE 3

a) Seios frontais

b) Goteira olfativa

c) Fossa hipofisária

d) Dorso selar

e) Tronco cerebral

f) Quarto ventrículo

g) Lobo temporal

h) Processo clinóide anterior
CORTE 4
CORTE 4

a) Seios frontais

b) Teto da órbita

c) Fissura inter-hemisférica (anterior)

d) Fissura silviana

e) Terceiro ventrículo

f) Mesencéfalo

g) Cisternas perimesencefálicas

h) Folia cerebelar
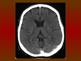
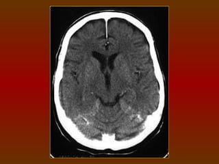
CORTE 5
CORTE 5


a) Lobo frontal

b) Corno frontal do ventrículo lateral

c) Fissura silviana

d) Terceiro ventrículo

e) Glândula pineal (calcificada)

f) Plexo coróide (calcificado)

g) Lobo occipital
CORTE 6
CORTE 6


a) Lobo frontal

b) Corno frontal do ventrículo lateral

c) Lobo parietal

d) Plexo coróide (calcificado)

e) Lobo occipital

f) Cápsula interna

g) Núcleo caudado
CORTE 7
CORTE 7


a) Lobo frontal

b) Corpo do ventrículo lateral

c) Lobo parietal

d) Lobo occipital

e) Giros

f) Sulcos
CORTE 8
CORTE 8


a) Fissura inter-hemisférica

b) Foice anterior do cérebro

c) Foice posterior do cérebro

d) Substância cinzenta

e) Substância branca
CORTE 9
CORTE 9



a) Foice cerebral

b) Sulcos

c) Giros
CORTE 10
CORTE 10




a) Sulcos

b) Foice cerebral

c) Circunvoluções
TC CRÂNIO AXIAL
COM JANELA ÓSSEA
Pirâmide da Aprendizagem




                       Palestras   5%
                                     10%
                   Leitura             20%
             Audiovisual                 30%
                                            50%
        Demonstrações                         75%
  Grupos de Discussão                           80%
   Praticar fazendo
Ensinar aos outros /
      Uso imediato

Snc 2º ano - 2012

  • 2.
    NEURÔNIOS OU CÉLULASNERVOSAS  Células especializadas do sistema nervoso que conduzem impulsos elétricos COMPOSIÇÃO DOS NEURÔNIOS  Um axônio  Um corpo celular  Um ou mais dendritos
  • 3.
    NEURÔNIOS OU CÉLULASNERVOSAS Os dendritos e as células do corpo constituem a substância cinzenta do cérebro e medula espinhal, e a quantidade de axônios mielinizados constituem a substância branca.
  • 4.
    DIVISÕES DO SISTEMA NERVOSO CENTRAL 1- ENCÉFALO Ocupa a cavidade do crânio. 2- MEDULA ESPINHAL SÓLIDA Estende-se inferiormente a partir do cérebro e está protegida pela coluna vertebral óssea e termina na borda inferior de L1. Extensões de raízes nervosas da medula espinhal, entretanto, continuam para baixo até o primeiro segmento coccígeo. O espaço subaracnóide continua descendo até a segunda vértebra sacral (S2).
  • 5.
    ESTRUTURA DA MEDULAESPINHAL A medula espinhal vai apenas até a 1ª ou 2ª vértebra lombar depois torna-se a cauda eqüina constituída apenas por nervos.
  • 6.
    MENINGES E ESPAÇOSMENÍNGEOS Aponeurose Calota Epcrânica Espaço Pericrânio Craniana Subaracnóide Pele Duramáter Díploe Espaço Subdural Seio Venoso Aracnóide Piamáter Foice do Cérebro
  • 7.
    ENCÉFALO E CAPASDA MEDULA ESPINHAL (MENINGES) Tanto o encéfalo quanto à medula espinhal são envolvidos por três envoltórios ou membranas protetoras denominadas meninges. DURA-MÁTER  A mais externa e significa “mãe dura”. Camada forte e fibrosa que possui uma camada interna (juntam-se para formar a foice cerebral) e outra externa (adere-se à camada interna da calota craniana). PIA-MÁTER  A mais interna e significa “mãe delicada”. Muito fina e vascularizada, repousa junto ao cérebro (envolvendo-o totalmente) e a medula espinhal. ARACNÓIDE  Localizada entre a pia-máter e a dura-máter e significa . Sinonímia Aracnídea.
  • 8.
    DIVISÕES DO ENCÉFALO 1-PROSENCÉFALO  Cérebro (TELENCÉFALO)  Tálamo  Hipotálamo (DIENCÉFALO) 2- MESENCÉFALO 3- ROMBENCÉFALO TRONCO CEREBRAL  Ponte  Bulbo  Cerebelo
  • 9.
  • 10.
    TRONCO CEREBRAL Passa peloforame magno até tornar-se em medula espinhal.
  • 12.
    PROSENCÉFALO CÉREBRO  Cadalado do cérebro é chamado de hemisfério cerebral (TELEENCÉFALO) e está dividido em cinco lobos (frontal, parietal, occipital, temporal e central ou ínsula).  A camada superficial de todo o cérebro, com cerca de 2 a 4 mm de espessura, logo abaixo da camada óssea do crânio é chamada de cortical cerebral.
  • 13.
    PROSENCÉFALO CÉREBRO  Cadalado do cérebro é chamado de hemisfério cerebral (TELEENCÉFALO) e está dividido em cinco lobos (frontal, parietal, occipital, temporal e central ou ínsula).  A camada superficial de todo o cérebro, com cerca de 2 a 4 mm de espessura, logo abaixo da camada óssea do crânio é chamada de cortical cerebral.
  • 14.
    LOBOS CEREBRAIS  Recebemo nome de acordo com a sua localização em relação aos ossos do crânio.  São cinco os lobos: frontal, temporal, parietal, occipital e o lobo da ínsula, que é o único que não se relaciona com nenhum osso do crânio, pois está situado profundamente no sulco lateral.
  • 15.
    LOBOS CEREBRAIS Frontal Temporal Parietal Occipital Ínsula
  • 16.
    HEMISFÉRIOS CEREBRAIS (TELEENCÉFALO)
  • 17.
    HEMISFÉRIOS CEREBRAIS (TELEENCÉFALO) HEMISFÉRIO Fissura Longitudinal HEMISFÉRIO ESQUERDO DIREITO Giro Central Anterior Lobo Frontal Sulco Central Lobo Parietal Giro Central Posterior Lobo Occipital
  • 18.
    HEMISFÉRIOS CEREBRAIS (TELENCÉFALO)  O cérebro é parcialmente separado por uma fissura longitudinal profunda . Esta fissura divide o cérebro em hemisférios cerebrais direito e esquerdo.  A superfície de cada hemisfério cerebral é marcada por numerosos sulcos e circunvoluções, que são formados durante o rápido crescimento embrionário dessa porção do encéfalo. Cada circunvolução ou área elevada é chamada de giro. Dois desses giros que podem ser identificados em cortes seccionais por TC são o giro central anterior (pré-central) e o giro central posterior (pós- central). Um sulco é uma fenda rasa, e o sulco central, que divide os lobos frontal e parietal do cérebro, é um ponto de referência usado para identificar áreas sensoriais específicas do córtex.  Um sulco mais profundo é chamado de fissura, como a fissura longitudinal profunda que separa os dois hemisférios.
  • 19.
    HEMISFÉRIOS CEREBRAIS (TELENCÉFALO) Cada hemisfério possui três pólos: frontal, occipital e temporal; e três faces: súpero-lateral (convexa), medial (plana) e inferior ou base do cérebro (irregular), repousando nos andares anterior e médio da base do crânio e posteriormente na tenda do cerebelo. Polo Frontal Polo Occipital Polo Temporal
  • 20.
    SULCOS Sulco Central Giro Giro Pré-Central Pós-Central Sulco Parieto-occipital Sulco Lateral
  • 21.
    SULCOS Em qualquer hemisférioos dois sulcos mais importantes são o sulco lateral e o sulco central.  Sulco Lateral: separa o lobo frontal do lobo temporal e é subdivido em ascendente, anterior e posterior.  Sulco Central: separa o lobo parietal do frontal. É ladeado por dois giros paralelos, um anterior, giro pré-cental, e outro posterior, giro pós-central e é subdivido em ascendente, anterior e posterior. As áreas situadas adiante do sulco central relaciona-se com a MOTRICIDADE, enquanto as situadas atrás destes relacionam-se com a SENSIBILIDADE.  Sulco Parieto-occipital: separa o lobo parietal do occipital.
  • 22.
    VENTRÍCULOS CEREBRAIS Corno Frontal Corno Temporal VENTRÍCULO Anterior Inferior VENTRÍCULO Parte LATERAL DIREITO Central LATERAL Corno Occipital ESQUERDO Posterior Cada ventrículo é constituído de quatro partes, que são: um corpo e três projeções ou cornos, prolongamentos do corpo.  Corno anterior ou frontal.  Corno posterior ou occipital.  Corno inferior ou temporal.
  • 23.
    TERCEIRO VENTRÍCULO  Cadaventrículo lateral conecta-se ao terceiro ventrículo através de um forame interventricular.  Localizado logo abaixo do nível dos ventrículos laterais.  No teto da parte posterior está localizada a glândula pineal.  Possui a forma grosseira de um quadrado. Terceiro Ventrículo Recesso da Glândula Pineal Forame Interventricular
  • 24.
    QUARTO VENTRÍCULO A cavidade do terceiro ventrículo conecta-se pósteroinferiormente ao quarto ventrículo através de uma passagem chamada aqueduto cerebral. Em formato de diamante, conecta-se à cisterna cerebelomedular (grande porção do espaço subaracnóide). De cada lado encontra-se o recesso lateral. Aqueduto do Cérebro (de Sylvius) Recesso Lateral Quarto Ventrículo Abertura Abertura do Mediana Recesso Lateral
  • 26.
    CIRCULAÇÃO DO LÍQUIDO CEREBRO ESPINHAL O LCE é normalmente fabricado dentro de cada ventrículo lateral (nos plexos coróides), e passa para o terceiro ventrículo através dos forames interventriculares juntando-se ao produzido no terceiro ventrículo, em seguida atravessa o aqueduto do cérebro para juntar-se ao produzido no quarto ventrículo que através das aberturas mediana e lateral. Da cisterna cerebelo- medular (abaixo do cerebelo e atrás da medula oblonga) o líquido passa, em direção superior em torno do encéfalo e em direção inferior, em torno da medula espinhal.
  • 27.
    CEREBELO Incisura Cerebral Anterior Vermis do Cerebelo Incisura Cerebral Posterior
  • 28.
    CEREBELO  Última partedo cérebro e que ocupa a maior porção da fossa posterior e inferior do crânio.  Coordena primariamente as importantes funções motoras do corpo, tais como: coordenação, postura e equilíbrio.  Parecido com uma borboleta e consiste de dois hemisférios (direito e esquerdo) unidos por uma faixa mediana, estreita, o vermis.  Incisura Cerebelar Anterior: larga e rasa, localizada na área superior da superfície anterior.  Incisura Cerebelar Posterior: de localização inferior ao longo da superfície posterior e separa os hemisférios cerebelares.  Foice Cerebelar: localizada dentro da incisura cerebelar posterior (é uma extensão da dura-máter).
  • 29.
  • 30.
    NÚCLEO CAUDADO Possui um papel importante no sistema de aprendizado e memória do cérebro. É uma massa alongada e bastante volumosa de substância cinzenta; dispõe-se sagitalmente e tem a forma de uma hemielipse aberta para a frente; relaciona-se em toda a sua extensão com os ventrículos laterais. Sua extremidade anterior constitui a cabeça do núcleo caudado, que proemina do assoalho do corno anterior do ventrículo. Ela continua gradualmente com o corpo do núcleo caudado, situado no assoalho da parte central do ventrículo lateral. Este afina-se pouco a pouco para formar a cauda do núcleo caudado, que é longa, delgada e fortemente arqueada, estendendo- se até a extremidade anterior do corno inferior do ventrículo lateral. A cabeça do núcleo caudado funde-se com a parte anterior do núcleo lentiforme.
  • 31.
    NÚCLEO LENTIFORME Não aparece na superfície ventricular, situando-se profundamente no interior do hemisfério. Medialmente relaciona-se com a cápsula interna que o separa anteriormente da cabeça do núcleo caudado e posteriormente do tálamo; lateralmente relaciona-se com o córtex da ínsula, do qual é separado por substância branca e pelo claustro. É dividido em putame e globo pálido por uma fina lâmina de substância branca, a lâmina medular lateral. O putame situa-se lateralmente e é maior que o globo pálido, que se dispõe medialmente. Nas secções não coradas de cérebro, o globo pálido tem uma coloração mais clara que o putame em virtude da presença de fibras mielínicas que o atravessam. O globo pálido é dividido por outra lâmina de substância branca, a lâmina medular medial, em partes externa e interna.
  • 32.
    CLAUSTRO É uma delgada calota de substância cinzenta situada entre o córtex da ínsula e o núcleo lentiforme. Separa-se daquele por uma fina lâmina branca, a cápsula extrema. Entre o claustro e o núcleo lentiforme existe uma outra lâmina branca, a cápsula externa. CORPO AMIGDALÓIDE É uma massa esferóide de substância cinzenta de cerca de 2 cm de diâmetro situada no pólo temporal do hemisfério cerebral, em relação com a cauda do núcleo caudado. Faz um discreta saliência no teto da parte terminal do corno inferior do ventrículo lateral.
  • 33.
  • 34.
    A divisão porlobos e sulcos é apenas didática, pois o cérebro funciona como um todo independente dos lobos, porém algumas áreas são específicas e bem localizadas, como indicadas na figura acima.
  • 35.
    CÍRCULO OU POLÍGONODE WILLIS É um círculo de artérias que suprem o cérebro. Foi nomeado em homenagem a Thomas Willis (1621 – 1873), médico inglês. A. Cerebral A. Comunicante Anterior Direita Anterior A. Carótida Interna Direita A. Cerebral Anterior Esquerda A. Cerebral Média A. Carótida Interna Esquerda A. Comunicante Posterior Direita A. Comunicante Posterior Esquerda A. Cerebral Posterior Direita A. Cerebral Posterior Esquerda A. Basilar
  • 36.
    CIRCULAÇÃO SANGUÍNEA DOCÉREBRO O sangue chega ao cérebro através das artérias vertebrais e das artérias carótidas internas, que se comunicam através do polígono de Willis, este é uma anastomose arterial que fornece o suprimento sangüíneo para os hemisférios cerebrais, sendo formado pelas artérias cerebrais anteriores e posteriores, artérias comunicantes anterior e posteriores e pela carótida interna.
  • 37.
    CIRCULAÇÃO SANGUÍNEA DOCÉREBRO COMPONENTES  Artéria cerebral anterior (direita e esquerda).  Artéria comunicante anterior.  Artéria carótida interna (direita e esquerda).  Artéria cerebral posterior (direita e esquerda).  Artéria comunicante posterior (direita e esquerda).
  • 38.
    CÍRCULO OU POLÍGONODE WILLIS IMPORTÂNCIA FISIOLÓGICA O arranjo das artérias no Polígono de Willis cria uma redundância na circulação cerebral. Se uma parte do círculo estiver bloqueada ou estreitada (estenose), ou se uma das artérias que suprem o polígono está estreitada ou bloqueada, o fluxo sanguíneo dos outros vasos sanguíneos podem muitas vezes preservar a perfusão cerebral .
  • 39.
  • 40.
    ESTUDO DO POLÍGONODE WILLIS  1 mm espessa X 1 mm incremento.  Em média 100 ml de contraste, a 3ml/s.
  • 41.
    A marcação vaida base do seio esfenoidal ao topo do corpo caloso.
  • 47.
  • 48.
    Pontos cardinais parao diagnóstico Clínica Clínica Labs Labs Imagem Imagem
  • 49.
  • 50.
    PLANEJAMENTO DO EXAME Entrevista.  Preparo do paciente.  Exame propriamente dito.  Processamento e documentação da imagem.  Análise do exame.
  • 51.
    ENTREVISTA  Obter indicaçõesque levam à indicação deste procedimento  Devem ser coletados exames anteriores relacionados com a região de interesse.  Informar ao paciente a finalidade do exame e de como deverá portar-se durante o mesmo.  Obter informações sobre cirurgias e/ou tratamentos recentes.  Exame contrastado, caberá ao paciente receber todas as informações quanto à ação desses produtos , riscos e efeitos colaterais adversos e as orientações cabíveis em cada caso.  Orientar e tranqüilizar o paciente.
  • 52.
    ANESTESIA E SEDAÇÃO Para realizar exames de boa qualidade são necessários o posicionamento correto e a imobilidade do paciente. Há casos em que o paciente está impossibilitado de cooperar e manter-se imóvel durante o exame:  Pacientes pediátricos.  Pacientes agitados.  Pacientes com confusão mental.  Pacientes com dor intensa.  Pacientes com movimentos involuntários. Nestas situações é essencial a presença do anestesiologista na sala de TC.
  • 53.
    INDICAÇÕES PARA TCDE CRÂNIO  AVC- Acidente Vascular Cerebral.  AVCI- Acidente Vascular Cerebral Isquêmico.  AVCH- Acidenta Vascular Cerebral Hemorrágico.  Tumores.  Malformações.
  • 54.
    FILTROS PARA PARTESMOLES Têm sua utilização para estudar partes moles anatômicas (tecido parenquimatoso, ou parênquima) e recebe denominação de filtros para partes moles, que poderá variar conforme o fabricante do aparelho.
  • 55.
    FILTRO DURO OUÓSSEO É o filtro com maior nitidez e definição da imagem realçando as bordas, margens ou estrutura anatômica. Utilizado para estruturas com grande densidade (osso). Exemplos: crânio – suspeita de fraturas. TCE: utilizar o filtro como rotina.
  • 56.
    INDICAÇÕES AO USODO CONTRATE IODADO VENOSO  Acompanhamento de tumores.  História clínica de metástase, convulsão, neoplasias, processo inflamatório infeccioso e mal formação vascular.  Nas lesões da hipófise em que os níveis de prolactina estão elevados.
  • 57.
    CONTRA-INDICAÇÕES AO USO DOCONTRASTE IODADO VENOSO  História de alergia ao iodo.  Asma grave.  Cardiopatia grave.  Insuficiência renal.  Nas fases iniciais de hemorragia e infarto.  Em crianças sem preparo adequado.  Nos exames de hipófise em que o nível de prolactina estiver abaixo de 2000 unidades.
  • 58.
  • 59.
    POSICIONAMENTO DO PACIENTE Mesa com suporte axial para crânio.  Paciente em decúbito dorsal, o mais confortável possível.  Imobilizar a cabeça.  Colocar as mãos do paciente sobre o abdome ou ao lado do corpo.  Utilizar a LOM como referência.  Observar: simetria, altura e angulação da cabeça.
  • 60.
    TOMOGRAFIA DE CRÂNIO  Topograma (Scout View ou Surview): lateral  Início dos cortes: abaixo do forame magno  Final dos cortes: acima da convexidade cerebral  Fossa posterior: 2 a 5 mm  Região supratentorial: 7 a 10 mm  FOV: 22 cm. KV: 130. mA: 170  Tempo de exposição: 2
  • 61.
  • 62.
  • 63.
  • 64.
  • 65.
  • 66.
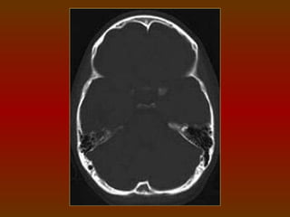
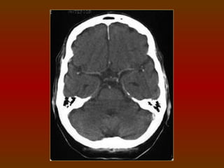
    CORTE 1 a) Órbita(observe a elevada densidade do cristalino na margem anterior do globo ocular) b) Arco zigomático c) Seio esfenoidal d) Canal acústico externo e) Processo mastóideo f) Cerebelo g) Protuberância occipital interna h) Seios etmoidais
  • 67.
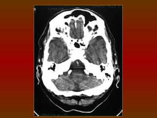
  • 68.
    CORTE 2 a) Globoocular b) Nervo óptico c) Lobo temporal d) Osso petroso temporal e) Cerebelo f) Seio esfenoidal g) Musculatura ocular
  • 70.
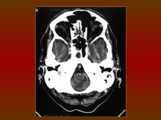
    CORTE 3 a) Seiosfrontais b) Goteira olfativa c) Fossa hipofisária d) Dorso selar e) Tronco cerebral f) Quarto ventrículo g) Lobo temporal h) Processo clinóide anterior
  • 71.
  • 72.
    CORTE 4 a) Seiosfrontais b) Teto da órbita c) Fissura inter-hemisférica (anterior) d) Fissura silviana e) Terceiro ventrículo f) Mesencéfalo g) Cisternas perimesencefálicas h) Folia cerebelar
  • 73.
  • 74.
    CORTE 5 a) Lobofrontal b) Corno frontal do ventrículo lateral c) Fissura silviana d) Terceiro ventrículo e) Glândula pineal (calcificada) f) Plexo coróide (calcificado) g) Lobo occipital
  • 75.
  • 76.
    CORTE 6 a) Lobofrontal b) Corno frontal do ventrículo lateral c) Lobo parietal d) Plexo coróide (calcificado) e) Lobo occipital f) Cápsula interna g) Núcleo caudado
  • 77.
  • 78.
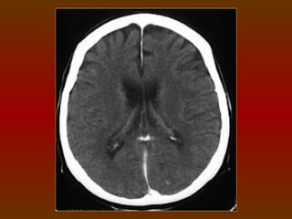
    CORTE 7 a) Lobofrontal b) Corpo do ventrículo lateral c) Lobo parietal d) Lobo occipital e) Giros f) Sulcos
  • 79.
  • 80.
    CORTE 8 a) Fissurainter-hemisférica b) Foice anterior do cérebro c) Foice posterior do cérebro d) Substância cinzenta e) Substância branca
  • 81.
  • 82.
    CORTE 9 a) Foicecerebral b) Sulcos c) Giros
  • 83.
  • 84.
    CORTE 10 a) Sulcos b)Foice cerebral c) Circunvoluções
  • 100.
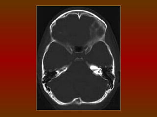
    TC CRÂNIO AXIAL COMJANELA ÓSSEA
  • 117.
    Pirâmide da Aprendizagem Palestras 5% 10% Leitura 20% Audiovisual 30% 50% Demonstrações 75% Grupos de Discussão 80% Praticar fazendo Ensinar aos outros / Uso imediato