LÍQUORLÍQUOR
Fluido aquoso e incolor também chamado de líquido
encefálo-raquidiano.
Ocupa os ventrículos encefálicos, o canal central da
medula, e o espaço subaracnóideo.
Principal função: proteção mecânica (“gelatina” dentro de
“bacia” com “água” presa por prolongamentos meninges
aracnóides) – coxim líquido e estojo ósseo(amortecimento).
Função imunológica (proteção contra infecções).
LÍQUORLÍQUOR
CAVIDADES VENTRICULARES
LÍQUORLÍQUOR
CARACTERÍSTICAS CITOLÓGICAS E
FÍSICO-QUÍMICAS DO LÍQUOR
 Menos proteínas que no plasma;
 Mais cloretos;
 Volume de 100 a 150 cm³;
Taxa de produção: 21 ml/h
 Absorção: Granulações aracnóides
 Renova-se completamente a cada 8 horas;
 Pressão de 5 a 20 cm de água;
 Zero a 4 leucócitos por mm³.
LÍQUORLÍQUOR
FORMAÇÃO, ABSORÇÃO E CIRCULAÇÃO DO LÍQUOR
LÍQUORLÍQUOR
FORMAÇÃO, ABSORÇÃO E CIRCULAÇÃO DO LÍQUOR
 Plexos coróides ventriculares (maior parte nos
ventrículos laterais);
 Dos ventrículos passa para o espaço
subaracnóideo;
 Absorvido nas granulações subracnóideas no seio
sagital superior (chegando à circulação)
LÍQUORLÍQUOR
ESQUEMA – CIRCULAÇÃO DO LÍQUOR
Líquor
Barreiras Encefálicas
- Conceito:
Dispositivos que impedem ou dificultam a passagem de substância do
sangue para o tecido nervoso, do sangue para o líquor ou do líquor para o
tecido nervoso.
- Características:
a. nem sempre há impedimento completo da passagem de uma
substância.
b. o fenômeno de barreira não é geral para todas as substâncias.
c. a barreira líquor-encefálica é mais fraca e as diferenças entre as
barreiras hemoencefálica e hemoliquórica são mais qualitativas.
d. impedem ou dificultam a passagem de agentes tóxicos para o cérebro.
sangue→ líquor
sangue→ tecido
nervoso
líquor→ tecido nervoso
-dispositivos→ impedem/
dificultam
-passagem de substâncias/
medicamentos –
Certas áreas – ausência da barreira
hematoencefálica
-Corpo pineal
- neuro-hipófise
-Plexos coróides
Permeabilidade { barreira hemoencefálica→ varia{ diferentes áreas{ SNC
- desenvolvimento fetal/ recém-nascidos→ barreiro hemoencefálica{ mais
fraca
vários processos patológicos, como certas infecções e
traumatismos, podem levar a uma “ruptura” mais ou menos
completa da barreira.
Verificou-se também que a permeabilidade da barreira
hemoencefálica aumenta quando em contato com soluções
hipertônicas, por exemplo, a uréia
barreira hemoliquórica
barreira líquor-encefálica
barreira hemoencefálica
SANGUE LÍQUOR
TECIDO NERVOSO
- Fatores de variação da permeabilidade:
. patologias como infecções e traumatismos podem diminuir a eficácia
da barreira.
. soluções hipertônicas como a uréia aumentam a permeabilidade da
barreira.
. a barreira apresenta permeabilidade variável dependendo da área.
- Localização anatômica da barreira:
. Neuróplio e o capilar cerebral – espaço existente no SNC – entre os
vasos e corpos de neurônios e células da glia
elementos{ barreira
encefálica
- neurópilo
- espaço entre vasos e corpos de
neurônios e gliócitos
- impede{ passagem{ substâncias
- capilar cerebral
- formado
- endotélio
- membrana basal
- pés vasculares dos astrócitos
- endotélio cerebral
- unido→ junções
íntimas
ausência→
fenestrações
- não é contrátil
Barreira Hemoencefálica (Hematoencefálica)
 Constituição
 Características do capilar do tecido nervoso
 Importância Clínica
 Diferença na penetração de substância
 “Ruptura” da barreira
 Áreas do encéfalo sem barreira
- Pineal, neuro-hipófise, plexos coróides
- Localização anatômica da barreira:
. epitélio ependimário dos plexos coróides.
Função:
impedem a passagem de macromoléculas
formação
- Plexos coróides
- Necessidade de um suprimento permanente de O2 e Glicose
- Impossibilidade de um metabolismo anaeróbico
- Perda de consciência com a parada por mais de 7 seg. do fluxo
sanguíneo
- Lesões irreversíveis após 5 min. sem fluxo sanguíneo .
- O neocórtex é lesado antes do paleo e arquicórtex. O sistema nervoso
supra-segmentar antes do segmentar.
- Por min. o fluxo sanguíneo no cérebro é aproximadamente igual ao seu
próprio peso
- Fatores que determinam a Resistência Cérebro – Vascular
a. Pressão intra-craniana:
b. Condição da parede vascular:
c. Viscosidade do sangue
d. Calibre dos vasos
OBS: Fibras do SN Autônomo que se distribuem na parede das
arteríolas cerebrais.
- Fator humoral: CO2, função vasodilatadora, dilata o calibre
vascular
- O fluxo sanguíneo é maior nas regiões ricas em sinapses:
substância cinzenta.
- Fluxo varia de acordo com estado funcional e também com
as áreas corticais.
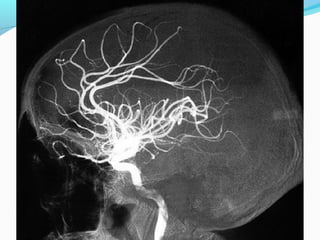
-O encéfalo é irrigado basicamente por dois sistemas:
- carotídeo
- vertebral
- Essas artéria formam o Polígono de Willis de onde partem as principais
artérias para a vascularização cerebral.
-- Artérias finas como veias propensas a hemorragias
- Túnica média com menos fibras musculares
- Túnica elástica interna mais espessa e tortuosa: amortece a pulsação
arterial.
- Penetra na cavidade craniana pelo canal carotídeo do osso
temporal
- Atravessa o Seio Cavernoso e forma o Sifão Carotídeo
-Divide-se nos ramos terminais:
- artérias cerebrais média
- acompanha o sulco lateral
- artérias cerebrais anterior
- acompanha o sulco acima do corpo caloso
- Possui também os seguintes ramos:
a. Artéria Oftálmica
b. Artéria Comunicante
c. Artéria Corióidea Anterior
- Direita e Esquerda que se destacam das Artérias
Subclávias
- Sobem no pescoço dentro dos Forames Transversos das
Vértebras Cervicais.
- Penetram no Forame Magno ao atravessarem a membrana
Atlanto-Occipital, Dura-Máter e Aracnóide.
- Fundem-se para formar a Artéria Basilar
- As Vertebrais originam também as Artéria Espinhais
Posterior e Anterior além das Cerebelares Inferiores
Posteriores
- A Artéria Basilar bifurca-se nas Artérias Cerebrais
Posteriores Direita e Esquerda
- Ramos da Basilar:
a. Artéria Cerebelar Superior
b. Artéria Cerebelar Inferior Anterior
c. Artéria do Labirinto
Artéria carótidaArtéria carótida
internainterna
Artéria vertebralArtéria vertebral
Artéria cerebral anteriorArtéria comunicante anterior
Artéria cerebral média
Artéria carótida interna
Artéria comunicante posterior
Artéria cerebral posterior
Artéria cerebelar superior
Artéria basilar
Artéria cerebelar inferior anterior
Artéria cerebelar inferior posterior Artéria vertebral
Artéria cerebral médiaArtéria cerebral média
Artéria cerebral anteriorArtéria cerebral anterior
Artéria cerebralArtéria cerebral
posteriorposterior
. A obstrução dessas Artérias Cerebrais Anteriores causa
paralisias e diminuição da sensibilidade do membro inferior do lado
oposto
b. Artéria Cerebral Média
. Ramo principal da Artéria Carótida Interna
. Percorre o Sulco Lateral em toda sua extensão
. Vasculariza a maior parte da face súpero- lateral
. A obstrução da A. Cerebral Média causa paralisias,
diminuição da sensibilidade do lado oposto e distúrbios da
linguagem
c. Artéria Cerebral Posterior
. Ramos de bifurcação da Artéria Basilar
. Dirigem-se para trás e contornam o Pedúnculo Cerebral
. Irriga a parte inferior do lobo temporal até o occipital
. Sua obstrução causa cegueira em parte do campo visual
Artéria cerebelar superiorArtéria cerebelar superior
Artéria cerebelarArtéria cerebelar
inferior anteriorinferior anterior
Artéria cerebelarArtéria cerebelar
inferior posteriorinferior posterior
- As veias do cérebro não acompanham as artérias
- São maiores e mais calibrosas
- Drenam para os seios da Dura-Máter até as Veias Jugulares Internas
- Possuem paredes finas e desprovidas de musculatura
- A regulação da circulação venosa se faz por:
a. Aspiração da cavidade torácica
b. Força da gravidade
c. Pulsação das artérias
- Circulação lenta devido o leito venoso ser maior que o arterial
- A pressão venosa no encéfalo é baixa.
- Divididas em dois sistemas:
a. Venoso Superficial:
. Veias superficiais superiores
. Veias superficiais inferiores
b. Venoso Profundo:
. Veia principal: Veia Magna ou de Galeno
HEMATOMAS EXTRADURAIS E SUBDURAIS
HEMATOMAS SUBDURAIS
Ruptura de uma veia cerebral- sangue
se espalha no liquor- punção lombar
HEMATOMAS EXTRADURAIS ruptura
de vasos – resulta em acúmulo de
sangue nas meninges
HÉRNIAS INTERCRANIANAS
HÉRNIAS DO ÚNCUS- aumento da
pressão – rápida perda da
consciencia
HÉRNIAS DAS TONSILAS
(AMÍGDALAS) – processo
expansivo na fossa posterior- tumor
Distrofia Muscular de Duchene (DMD)
Ocorre em meninos, e os
primeiros sinais de fraqueza
muscular surgem assim que
começam a caminhar, ao redor
dos três aos cinco anos de
idade.
É um distúrbio genético de
caráter recessivo ligado ao
cromossomo X, tendo
incidência de 1,9 a 3,4 casos por
100.000 habitantes.
É um distúrbio comum do sistema nervoso caracterizado
por manchas café-com-leite e tumores cutâneos
fibromatosos.
O gene é clinicamente
observado em praticamente
todas as pessoas (penetrância
completa).
Cerca de metade dos casos de
NF1 resulta de uma mutação
nova e no probando parece ser
um gene mutante novo, pois seus
pais e avós não são afetado
Neurofibromatose de Von Recklinghausen (NF1)
É uma doença neurodegenerativa
caracterizada por movimentos involuntários
e demência progressiva.
O aparecimento da doença se dá entre os 30-50 anos de
idade sendo 38 a idade média de aparecimento.
É autossômica dominante, causada pela expansão do
trinucleotídeo CAG no gene que codifica a proteína
huntingtina, localizado no cromossomo 4 (4p16.3).
Doença de Huntington (DHq)
DELEÇÃO
CROMOSSOMO 5
Peso Baixo ao nascer
Deficiência mental
Microcefalia
Face Arredondada
Choro como o miado do gato.
Cri du chat
normal
40 casos relatados
Retardamento mental severo
Anormalidades cerebrais
Convulsões
Poxa...
Já acabou???
 O segredo não está na novidade, mas sim na forma comoO segredo não está na novidade, mas sim na forma como
ela se revela para cada um ....ela se revela para cada um ....

A vascularização , liquor e barreiras

  • 2.
    LÍQUORLÍQUOR Fluido aquoso eincolor também chamado de líquido encefálo-raquidiano. Ocupa os ventrículos encefálicos, o canal central da medula, e o espaço subaracnóideo. Principal função: proteção mecânica (“gelatina” dentro de “bacia” com “água” presa por prolongamentos meninges aracnóides) – coxim líquido e estojo ósseo(amortecimento). Função imunológica (proteção contra infecções).
  • 3.
  • 4.
    LÍQUORLÍQUOR CARACTERÍSTICAS CITOLÓGICAS E FÍSICO-QUÍMICASDO LÍQUOR  Menos proteínas que no plasma;  Mais cloretos;  Volume de 100 a 150 cm³; Taxa de produção: 21 ml/h  Absorção: Granulações aracnóides  Renova-se completamente a cada 8 horas;  Pressão de 5 a 20 cm de água;  Zero a 4 leucócitos por mm³.
  • 5.
  • 6.
    LÍQUORLÍQUOR FORMAÇÃO, ABSORÇÃO ECIRCULAÇÃO DO LÍQUOR  Plexos coróides ventriculares (maior parte nos ventrículos laterais);  Dos ventrículos passa para o espaço subaracnóideo;  Absorvido nas granulações subracnóideas no seio sagital superior (chegando à circulação)
  • 7.
  • 8.
  • 9.
  • 10.
    - Conceito: Dispositivos queimpedem ou dificultam a passagem de substância do sangue para o tecido nervoso, do sangue para o líquor ou do líquor para o tecido nervoso. - Características: a. nem sempre há impedimento completo da passagem de uma substância. b. o fenômeno de barreira não é geral para todas as substâncias. c. a barreira líquor-encefálica é mais fraca e as diferenças entre as barreiras hemoencefálica e hemoliquórica são mais qualitativas. d. impedem ou dificultam a passagem de agentes tóxicos para o cérebro.
  • 11.
    sangue→ líquor sangue→ tecido nervoso líquor→tecido nervoso -dispositivos→ impedem/ dificultam -passagem de substâncias/ medicamentos –
  • 12.
    Certas áreas –ausência da barreira hematoencefálica -Corpo pineal - neuro-hipófise -Plexos coróides Permeabilidade { barreira hemoencefálica→ varia{ diferentes áreas{ SNC - desenvolvimento fetal/ recém-nascidos→ barreiro hemoencefálica{ mais fraca vários processos patológicos, como certas infecções e traumatismos, podem levar a uma “ruptura” mais ou menos completa da barreira. Verificou-se também que a permeabilidade da barreira hemoencefálica aumenta quando em contato com soluções hipertônicas, por exemplo, a uréia
  • 13.
    barreira hemoliquórica barreira líquor-encefálica barreirahemoencefálica SANGUE LÍQUOR TECIDO NERVOSO
  • 14.
    - Fatores devariação da permeabilidade: . patologias como infecções e traumatismos podem diminuir a eficácia da barreira. . soluções hipertônicas como a uréia aumentam a permeabilidade da barreira. . a barreira apresenta permeabilidade variável dependendo da área. - Localização anatômica da barreira: . Neuróplio e o capilar cerebral – espaço existente no SNC – entre os vasos e corpos de neurônios e células da glia
  • 15.
    elementos{ barreira encefálica - neurópilo -espaço entre vasos e corpos de neurônios e gliócitos - impede{ passagem{ substâncias - capilar cerebral - formado - endotélio - membrana basal - pés vasculares dos astrócitos - endotélio cerebral - unido→ junções íntimas ausência→ fenestrações - não é contrátil
  • 16.
    Barreira Hemoencefálica (Hematoencefálica) Constituição  Características do capilar do tecido nervoso  Importância Clínica  Diferença na penetração de substância  “Ruptura” da barreira  Áreas do encéfalo sem barreira - Pineal, neuro-hipófise, plexos coróides
  • 17.
    - Localização anatômicada barreira: . epitélio ependimário dos plexos coróides. Função: impedem a passagem de macromoléculas formação - Plexos coróides
  • 19.
    - Necessidade deum suprimento permanente de O2 e Glicose - Impossibilidade de um metabolismo anaeróbico - Perda de consciência com a parada por mais de 7 seg. do fluxo sanguíneo - Lesões irreversíveis após 5 min. sem fluxo sanguíneo . - O neocórtex é lesado antes do paleo e arquicórtex. O sistema nervoso supra-segmentar antes do segmentar.
  • 20.
    - Por min.o fluxo sanguíneo no cérebro é aproximadamente igual ao seu próprio peso - Fatores que determinam a Resistência Cérebro – Vascular a. Pressão intra-craniana: b. Condição da parede vascular: c. Viscosidade do sangue d. Calibre dos vasos OBS: Fibras do SN Autônomo que se distribuem na parede das arteríolas cerebrais.
  • 21.
    - Fator humoral:CO2, função vasodilatadora, dilata o calibre vascular - O fluxo sanguíneo é maior nas regiões ricas em sinapses: substância cinzenta. - Fluxo varia de acordo com estado funcional e também com as áreas corticais.
  • 22.
    -O encéfalo éirrigado basicamente por dois sistemas: - carotídeo - vertebral - Essas artéria formam o Polígono de Willis de onde partem as principais artérias para a vascularização cerebral. -- Artérias finas como veias propensas a hemorragias - Túnica média com menos fibras musculares - Túnica elástica interna mais espessa e tortuosa: amortece a pulsação arterial.
  • 23.
    - Penetra nacavidade craniana pelo canal carotídeo do osso temporal - Atravessa o Seio Cavernoso e forma o Sifão Carotídeo -Divide-se nos ramos terminais: - artérias cerebrais média - acompanha o sulco lateral - artérias cerebrais anterior - acompanha o sulco acima do corpo caloso
  • 24.
    - Possui tambémos seguintes ramos: a. Artéria Oftálmica b. Artéria Comunicante c. Artéria Corióidea Anterior
  • 28.
    - Direita eEsquerda que se destacam das Artérias Subclávias - Sobem no pescoço dentro dos Forames Transversos das Vértebras Cervicais. - Penetram no Forame Magno ao atravessarem a membrana Atlanto-Occipital, Dura-Máter e Aracnóide. - Fundem-se para formar a Artéria Basilar - As Vertebrais originam também as Artéria Espinhais Posterior e Anterior além das Cerebelares Inferiores Posteriores
  • 29.
    - A ArtériaBasilar bifurca-se nas Artérias Cerebrais Posteriores Direita e Esquerda - Ramos da Basilar: a. Artéria Cerebelar Superior b. Artéria Cerebelar Inferior Anterior c. Artéria do Labirinto
  • 30.
  • 34.
    Artéria cerebral anteriorArtériacomunicante anterior Artéria cerebral média Artéria carótida interna Artéria comunicante posterior Artéria cerebral posterior Artéria cerebelar superior Artéria basilar Artéria cerebelar inferior anterior Artéria cerebelar inferior posterior Artéria vertebral
  • 35.
  • 36.
    Artéria cerebral anteriorArtériacerebral anterior Artéria cerebralArtéria cerebral posteriorposterior
  • 37.
    . A obstruçãodessas Artérias Cerebrais Anteriores causa paralisias e diminuição da sensibilidade do membro inferior do lado oposto
  • 38.
    b. Artéria CerebralMédia . Ramo principal da Artéria Carótida Interna . Percorre o Sulco Lateral em toda sua extensão . Vasculariza a maior parte da face súpero- lateral . A obstrução da A. Cerebral Média causa paralisias, diminuição da sensibilidade do lado oposto e distúrbios da linguagem
  • 39.
    c. Artéria CerebralPosterior . Ramos de bifurcação da Artéria Basilar . Dirigem-se para trás e contornam o Pedúnculo Cerebral . Irriga a parte inferior do lobo temporal até o occipital . Sua obstrução causa cegueira em parte do campo visual
  • 40.
    Artéria cerebelar superiorArtériacerebelar superior Artéria cerebelarArtéria cerebelar inferior anteriorinferior anterior Artéria cerebelarArtéria cerebelar inferior posteriorinferior posterior
  • 41.
    - As veiasdo cérebro não acompanham as artérias - São maiores e mais calibrosas - Drenam para os seios da Dura-Máter até as Veias Jugulares Internas - Possuem paredes finas e desprovidas de musculatura - A regulação da circulação venosa se faz por: a. Aspiração da cavidade torácica b. Força da gravidade c. Pulsação das artérias - Circulação lenta devido o leito venoso ser maior que o arterial - A pressão venosa no encéfalo é baixa.
  • 42.
    - Divididas emdois sistemas: a. Venoso Superficial: . Veias superficiais superiores . Veias superficiais inferiores b. Venoso Profundo: . Veia principal: Veia Magna ou de Galeno
  • 44.
    HEMATOMAS EXTRADURAIS ESUBDURAIS HEMATOMAS SUBDURAIS Ruptura de uma veia cerebral- sangue se espalha no liquor- punção lombar HEMATOMAS EXTRADURAIS ruptura de vasos – resulta em acúmulo de sangue nas meninges
  • 45.
    HÉRNIAS INTERCRANIANAS HÉRNIAS DOÚNCUS- aumento da pressão – rápida perda da consciencia HÉRNIAS DAS TONSILAS (AMÍGDALAS) – processo expansivo na fossa posterior- tumor
  • 46.
    Distrofia Muscular deDuchene (DMD) Ocorre em meninos, e os primeiros sinais de fraqueza muscular surgem assim que começam a caminhar, ao redor dos três aos cinco anos de idade. É um distúrbio genético de caráter recessivo ligado ao cromossomo X, tendo incidência de 1,9 a 3,4 casos por 100.000 habitantes.
  • 47.
    É um distúrbiocomum do sistema nervoso caracterizado por manchas café-com-leite e tumores cutâneos fibromatosos. O gene é clinicamente observado em praticamente todas as pessoas (penetrância completa). Cerca de metade dos casos de NF1 resulta de uma mutação nova e no probando parece ser um gene mutante novo, pois seus pais e avós não são afetado Neurofibromatose de Von Recklinghausen (NF1)
  • 48.
    É uma doençaneurodegenerativa caracterizada por movimentos involuntários e demência progressiva. O aparecimento da doença se dá entre os 30-50 anos de idade sendo 38 a idade média de aparecimento. É autossômica dominante, causada pela expansão do trinucleotídeo CAG no gene que codifica a proteína huntingtina, localizado no cromossomo 4 (4p16.3). Doença de Huntington (DHq)
  • 49.
    DELEÇÃO CROMOSSOMO 5 Peso Baixoao nascer Deficiência mental Microcefalia Face Arredondada Choro como o miado do gato.
  • 50.
  • 51.
    40 casos relatados Retardamentomental severo Anormalidades cerebrais Convulsões
  • 52.
    Poxa... Já acabou???  Osegredo não está na novidade, mas sim na forma comoO segredo não está na novidade, mas sim na forma como ela se revela para cada um ....ela se revela para cada um ....