Marcelo Madureira Montroni – A1
Drª Carolina B. M. Salazar – Preceptora
2013
Uretra Masculina:
Uretra anterior e posterior
Anterior:
- Peniana
- Bulbar
(A porção anterior da uretra vai do meato externo até a porção inferior
do diafragma urogenital, através do corpo esponjoso)
Posterior:
- Membranosa (termina no diafragma urogenital)
- Prostática (utrículo, lateral ductos ejaculatórios)
Imaging of Urethral Disease: A Pictorial Review
Akira Kawashima, MD ● Carl M. Sandler, MD2 ● Neil F. Wasserman,
MD ● Andrew J. LeRoy, MD ● Bernard F. King, Jr, MD ● Stanford M.
Goldman, MD
Uretra Feminina
4 cm de comprimento
Meato interno e meato externo
Imaging of Urethral Disease: A Pictorial Review
Akira Kawashima, MD ● Carl M. Sandler, MD2 ● Neil F. Wasserman,
MD ● Andrew J. LeRoy, MD ● Bernard F. King, Jr, MD ● Stanford M.
Goldman, MD
Material necessário:
Pinça de Brodney – dispositivo fixado à glande
Contraste iodado
Seringa de 20 ml
Soro Fisiológico
Sonda uretral
Contraste (protocolo UMDI) Homem:
Oblíqua direita 20 ml contraste
Oblíqua esquerda 20 ml contraste
S.F 0,9% 250 ml + 60 ml contraste = 350 ml
total
Sequência do exame
Radiografia simples AP - filme 24x30
Radiografia oblíqua D e E - filme 35x35
Radiografia de pequeno enchimento vesical – filme 24x30
Radiografia de médio enchimento vesical – filme 24x30
Radiografia de grande enchimento vesical – filme 24x30
Pesquisa de refluxo vesicoureteral - 35x43
Radiografia durante micção AP – filme 35x35
Radiografia durante micção oblíqua D – filme 35x35
Radiografia pós-micção – filme 24x30.
Contraste (protocolo UMDI) Mulher:
Sonda vesical
Não realiza incidências oblíquas iniciais
S.F 0,9% 250 ml + 60 ml contraste = 310 ml
total
Contraste (protocolo UMDI) Criança:
Até 10 anos não é necessário pinça
Sonda vesical
100 ml S.F + 60 ml contraste = 160 ml
Sequência do exame:
 Posição em AP
 Passar a sonda vesical;
 Injeção do meio de contraste;
 Radiografia de pequeno enchimento vesical – filme 24x30;
 Radiografia de médio enchimento vesical – filme 24x30;
 Radiografia de grande enchimento vesical – filme 24x30;
 Pesquisa de refluxo vesicoureteral - 35x43
 Radiografia miccional AP - 35x35
 Radiografia miccional Oblíqua -35x35
 Radiografia pós- micional -24x30
Primeiro exame indicado nas causas abaixo:
Refluxo vesicoureteral
Ureterocele
Válvula de uretra posterior
Estenose de uretra
Trauma de uretra
Fístulas
Outras: Tuberculose uretral, condiloma acuminado,
estenose actínica
Refluxo da bexiga para trato urinário superior
Anormalidade de maturação da junção vesicoureteral
Pode estar associada a outras anomalias, como válvula de
uretra posterior ou duplicação completa do trato urinário
Mecanismo valvular
UCG: graduação do refluxo
Vesicoureteral Reflux and Reflux Nephropathy
Willian Carlos Nahas, Anuar Ibrahim Mitre, Sami Arap, Gilberto Menezes de Góes
Fernbach et al. RadioGraphics 2000; 20:155–168.
Refluxo 1º: O retorno de urina da bexiga para o uréter, conseqüência de uma
anomalia congênita da junção ureterovesical.
Hipoplasia de musculatura trigonal associada à diminuição do comprimento
do ureter submucoso
Refluxo 2º: é conseqüente à patologia obstrutiva intravesical, à disfunção
neuromuscular da bexiga ou outras anomalias, como válvula da uretra
posterior e ITU
Refluxo Ativo:o refluxo durante a micção
Refluxo Passivo: presente na fase de enchimento vesical
Vesicoureteral Reflux and Reflux Nephropathy
Willian Carlos Nahas, Anuar Ibrahim Mitre, Sami Arap, Gilberto Menezes de Góes
Refluxo vesicoureteral, Projeto Diretrizes, 2006.
Fernbach et al. RadioGraphics 2000; 20:155–168
Berrocal et al. RadioGraphics 2002; 22:1139–1164.
Berrocal et al. RadioGraphics 2002; 22:1139–1164.
Fernbach et al. RadioGraphics 2000; 20:155–168.
-Cicatriz fibrosa
-Uretrografia miccional é o principal método de imagem
-A avaliação radiológica ajuda a definir a estenose
-Causas:
inflamatórias
infecciosas
traumáticas
congênita.
-Estenoses iatrogênicas ocorrem geralmente na região
bulbomembranosa.
-Lesões iatrogênicas na uretra prostática por manipulação cirurgica
na próstata
Kawashima et al. RadioGraphics 2004; 24:S195–S216.
Dilatação cística do
segmento intravesical
do ureter
Intravesical ou ectópica
(no colo vesical ou na
uretra)
Mais do lado esquerdo
Anomalies of the Distal Ureter, Bladder, and
Urethra in Children:Embryologic,
Radiologic,and Pathologic Features.
Teresa Berrocal, MD, PhD ● PedroLopez-Pereira, MD
● AntoniaArjonilla, MD ● Julia Gutierrez, MD
Lesão obstrutiva congênita da
uretra mais frequente
Estrutura membranosa,
localizada na mucosa do
assoalho da porção
prostática da uretra
masculina
A válvula obstrui o fluxo
urinário provocando
dilatação e alongamento da
uretra prostática
Refluxo vesicoureteral
secundário está presente
em 40% a 66%
Posterior urethral valves
Dr Abhilash Sandhvala and Radwiski et al
Estreitamento congênito
por fechamento parcial
ou total da junção
ureteropiélica
Frequentemente cursa
com hidronefrose
antenatal
1:1500 recém-nascidos
2 vezes mais meninos
5 a 15% bilateral
Ureteropelvic Junction Obstruction
Author: Michael Grasso III, MD; Chief Editor: Bradley Fields
Schwartz, DO, FACS
Fernbach et al. RadioGraphics 2000; 20:155–168
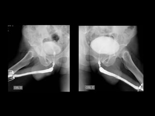
Uretra anterior
Sangramento meatal, cerca de 50% dos traumas
Uretra posterior
Força compressiva extrínseca (trauma automobilístico)
4 a 14% fraturas pélvicas
20% laceração da bexiga
Colapinto e McCallum 1977
I: ruptura dos ligamentos puboprostáticos
II: uretra membranosa lesada acima do diafragma
urogenital
III: lesão uretra membranosa com extensão a uretra
bulbar proximal, com laceração do diafragma
urogenital
Mais comum
Laceração uretra membranosa II e III, deslocamento da
bexiga para fora da cavidade pélvica
Goldman 1997
IV: laceração uretral verdadeira (Cirúrgico)
 4,6% mulheres fratura pélvica por acidente
automobilístico
IVa: lesão não estende para o colo vesical (Não
cirúrgico )
V: lesão por compressão na uretra bulbar e corpo
esponjoso comprimidos pelo ossos púbicos
Ruptura dos ligamentos puboprostáticos com
estiramento da uretra posterior
Kawashima et al. RadioGraphics 2004; 24:S195–S216.
Uretra membranosa lesada acima do diafragma urogenital
Kawashima et al. RadioGraphics 2004; 24:S195–S216.
Lesão de uretra membranosa e bulbar proximal, com laceração do diafragma urogenital
Kawashima et al. RadioGraphics 2004; 24:S195–S216.
Lesão do colo vesical
Kawashima et al. RadioGraphics 2004; 24:S195–S216.
Lesão diafragma pélvico
Kawashima et al. RadioGraphics 2004; 24:S195–S216.
Lesão proximal da uretra bulbar
Kawashima et al. RadioGraphics 2004; 24:S195–S216.

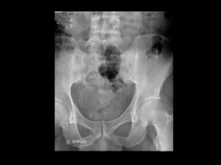
Uretrocistografia Miccional e Retrógrada

  • 1.
    Marcelo Madureira Montroni– A1 Drª Carolina B. M. Salazar – Preceptora 2013
  • 2.
    Uretra Masculina: Uretra anteriore posterior Anterior: - Peniana - Bulbar (A porção anterior da uretra vai do meato externo até a porção inferior do diafragma urogenital, através do corpo esponjoso) Posterior: - Membranosa (termina no diafragma urogenital) - Prostática (utrículo, lateral ductos ejaculatórios) Imaging of Urethral Disease: A Pictorial Review Akira Kawashima, MD ● Carl M. Sandler, MD2 ● Neil F. Wasserman, MD ● Andrew J. LeRoy, MD ● Bernard F. King, Jr, MD ● Stanford M. Goldman, MD
  • 3.
    Uretra Feminina 4 cmde comprimento Meato interno e meato externo Imaging of Urethral Disease: A Pictorial Review Akira Kawashima, MD ● Carl M. Sandler, MD2 ● Neil F. Wasserman, MD ● Andrew J. LeRoy, MD ● Bernard F. King, Jr, MD ● Stanford M. Goldman, MD
  • 7.
    Material necessário: Pinça deBrodney – dispositivo fixado à glande Contraste iodado Seringa de 20 ml Soro Fisiológico Sonda uretral
  • 8.
    Contraste (protocolo UMDI)Homem: Oblíqua direita 20 ml contraste Oblíqua esquerda 20 ml contraste S.F 0,9% 250 ml + 60 ml contraste = 350 ml total
  • 9.
    Sequência do exame Radiografiasimples AP - filme 24x30 Radiografia oblíqua D e E - filme 35x35 Radiografia de pequeno enchimento vesical – filme 24x30 Radiografia de médio enchimento vesical – filme 24x30 Radiografia de grande enchimento vesical – filme 24x30 Pesquisa de refluxo vesicoureteral - 35x43 Radiografia durante micção AP – filme 35x35 Radiografia durante micção oblíqua D – filme 35x35 Radiografia pós-micção – filme 24x30.
  • 14.
    Contraste (protocolo UMDI)Mulher: Sonda vesical Não realiza incidências oblíquas iniciais S.F 0,9% 250 ml + 60 ml contraste = 310 ml total
  • 15.
    Contraste (protocolo UMDI)Criança: Até 10 anos não é necessário pinça Sonda vesical 100 ml S.F + 60 ml contraste = 160 ml
  • 16.
    Sequência do exame: Posição em AP  Passar a sonda vesical;  Injeção do meio de contraste;  Radiografia de pequeno enchimento vesical – filme 24x30;  Radiografia de médio enchimento vesical – filme 24x30;  Radiografia de grande enchimento vesical – filme 24x30;  Pesquisa de refluxo vesicoureteral - 35x43  Radiografia miccional AP - 35x35  Radiografia miccional Oblíqua -35x35  Radiografia pós- micional -24x30
  • 17.
    Primeiro exame indicadonas causas abaixo: Refluxo vesicoureteral Ureterocele Válvula de uretra posterior Estenose de uretra Trauma de uretra Fístulas Outras: Tuberculose uretral, condiloma acuminado, estenose actínica
  • 18.
    Refluxo da bexigapara trato urinário superior Anormalidade de maturação da junção vesicoureteral Pode estar associada a outras anomalias, como válvula de uretra posterior ou duplicação completa do trato urinário Mecanismo valvular UCG: graduação do refluxo Vesicoureteral Reflux and Reflux Nephropathy Willian Carlos Nahas, Anuar Ibrahim Mitre, Sami Arap, Gilberto Menezes de Góes Fernbach et al. RadioGraphics 2000; 20:155–168.
  • 19.
    Refluxo 1º: Oretorno de urina da bexiga para o uréter, conseqüência de uma anomalia congênita da junção ureterovesical. Hipoplasia de musculatura trigonal associada à diminuição do comprimento do ureter submucoso Refluxo 2º: é conseqüente à patologia obstrutiva intravesical, à disfunção neuromuscular da bexiga ou outras anomalias, como válvula da uretra posterior e ITU Refluxo Ativo:o refluxo durante a micção Refluxo Passivo: presente na fase de enchimento vesical Vesicoureteral Reflux and Reflux Nephropathy Willian Carlos Nahas, Anuar Ibrahim Mitre, Sami Arap, Gilberto Menezes de Góes
  • 20.
  • 22.
    Fernbach et al.RadioGraphics 2000; 20:155–168
  • 23.
    Berrocal et al.RadioGraphics 2002; 22:1139–1164.
  • 24.
    Berrocal et al.RadioGraphics 2002; 22:1139–1164. Fernbach et al. RadioGraphics 2000; 20:155–168.
  • 25.
    -Cicatriz fibrosa -Uretrografia miccionalé o principal método de imagem -A avaliação radiológica ajuda a definir a estenose -Causas: inflamatórias infecciosas traumáticas congênita. -Estenoses iatrogênicas ocorrem geralmente na região bulbomembranosa. -Lesões iatrogênicas na uretra prostática por manipulação cirurgica na próstata
  • 26.
    Kawashima et al.RadioGraphics 2004; 24:S195–S216.
  • 27.
    Dilatação cística do segmentointravesical do ureter Intravesical ou ectópica (no colo vesical ou na uretra) Mais do lado esquerdo Anomalies of the Distal Ureter, Bladder, and Urethra in Children:Embryologic, Radiologic,and Pathologic Features. Teresa Berrocal, MD, PhD ● PedroLopez-Pereira, MD ● AntoniaArjonilla, MD ● Julia Gutierrez, MD
  • 28.
    Lesão obstrutiva congênitada uretra mais frequente Estrutura membranosa, localizada na mucosa do assoalho da porção prostática da uretra masculina A válvula obstrui o fluxo urinário provocando dilatação e alongamento da uretra prostática Refluxo vesicoureteral secundário está presente em 40% a 66% Posterior urethral valves Dr Abhilash Sandhvala and Radwiski et al
  • 29.
    Estreitamento congênito por fechamentoparcial ou total da junção ureteropiélica Frequentemente cursa com hidronefrose antenatal 1:1500 recém-nascidos 2 vezes mais meninos 5 a 15% bilateral Ureteropelvic Junction Obstruction Author: Michael Grasso III, MD; Chief Editor: Bradley Fields Schwartz, DO, FACS Fernbach et al. RadioGraphics 2000; 20:155–168
  • 30.
    Uretra anterior Sangramento meatal,cerca de 50% dos traumas Uretra posterior Força compressiva extrínseca (trauma automobilístico) 4 a 14% fraturas pélvicas 20% laceração da bexiga
  • 31.
    Colapinto e McCallum1977 I: ruptura dos ligamentos puboprostáticos II: uretra membranosa lesada acima do diafragma urogenital III: lesão uretra membranosa com extensão a uretra bulbar proximal, com laceração do diafragma urogenital Mais comum Laceração uretra membranosa II e III, deslocamento da bexiga para fora da cavidade pélvica
  • 32.
    Goldman 1997 IV: laceraçãouretral verdadeira (Cirúrgico)  4,6% mulheres fratura pélvica por acidente automobilístico IVa: lesão não estende para o colo vesical (Não cirúrgico ) V: lesão por compressão na uretra bulbar e corpo esponjoso comprimidos pelo ossos púbicos
  • 33.
    Ruptura dos ligamentospuboprostáticos com estiramento da uretra posterior Kawashima et al. RadioGraphics 2004; 24:S195–S216.
  • 34.
    Uretra membranosa lesadaacima do diafragma urogenital Kawashima et al. RadioGraphics 2004; 24:S195–S216.
  • 35.
    Lesão de uretramembranosa e bulbar proximal, com laceração do diafragma urogenital Kawashima et al. RadioGraphics 2004; 24:S195–S216.
  • 36.
    Lesão do colovesical Kawashima et al. RadioGraphics 2004; 24:S195–S216.
  • 37.
    Lesão diafragma pélvico Kawashimaet al. RadioGraphics 2004; 24:S195–S216.
  • 38.
    Lesão proximal dauretra bulbar Kawashima et al. RadioGraphics 2004; 24:S195–S216.

Notas do Editor

  • #3 A uretra masculina tem cerca de 18 cm de comprimento e consiste em porção anterior e porção posterior, cada uma dessas porções subdividas em duas partes. A porção anterior da uretra é dividida em uretra peniana e uretra bulbar. A porção anterior da uretra vai do meato externo até a porção inferior do diafragma urogenital, através do corpo esponjoso. Termina na fossa do bulbo da uretra , assumindo uma forma cônica na junção bulbomenbranosa. A porção peniana começa na glande peniana formando a fossa navicular. A uretra posterior é dividida na porção menbranosa e prostática. A uretra menbranosa tem de 1-1,5 cm de comprimento e termina no diafragma urogenital. A porção prostática tem 3,5 cm de comprimento. O utrículo fica no centro do verumontanum na uretra prostática. Lateralmente ao utrículo ficam os ductos ejaculatórios.
  • #4 A uretra feminina tem 4 cm de comprimento e vai do colo vesical até o vestibulo, aonde forma o meato externo entre os lábios menores. A parte proximal da parede da uretra é formada por músculo liso. A porção mais distal da uretra é composta de músculo estriado e penetra no colo vesical. A porção mais baixa da uretra está em intima relação com a parede anterior da vagina e envolvida pela mesma musculatura.
  • #27 Figure 18. Gonococcal urethral stricture. Retrograde urethrogram reveals a segment of irregular, beaded narrowing in the distal bulbous urethra with opacification of the left Cowper duct (arrow).
  • #31 Suspeita de trauma uretral: Contra-indicação para cateterização da uretra, realizar uretrografia retrógrada primeiro Trauma uretral confirmado: Punção suprapúbica
  • #32 Tipo I: alongamento uretra prostática. Tipo II: (extravasamento não se extende para o peritônio) Tipo III: extravasamento se extende para o peritônio pela laceração do diafragma urogenital, seuela incontinência devido ao dano do esfincter
  • #33 Difícil distinguir entre IV e IVa
  • #37 Figure 7. Type IV urethral injury from blunt trauma. (a) Retrograde urethrogram reveals extraperitoneal periurethral contrast material extravasation at the bladder neck (arrow). The bladder is pear shaped, indicative of perivesical hematoma. Diastasis of the pubic symphysis was diagnosed. (b) Drawing illustrates type IV urethral injury.
  • #38 Figure 9. Bladder neck urethral injury (type IV) in a 23-year-old woman. (a) Cystogram shows extraperitoneal contrast material extravasation (arrow) that extends from the bladder neck to the left underneath the balloon of a Foley catheter. (b) Cystogram obtained 2 minutes later shows progressive extraperitoneal contrast material extravasation.
  • #39 Figure 10. Anterior urethral injury following blunt trauma (type V urethral injury). (a) Retrograde urethrogram demonstrates complete disruption of the proximal bulbous urethra with extensive venous intravasation. (b) Drawing illustrates type V urethral injury.