TUMORES
ODONTOGÊNICOS
Sérgio Martorelli
Tumores Odontogênicos
■ Originam-se dos elementos epiteliais e/ou
mesenquimais do sistema de formação dos
dentes
■ 1 % dos tumores do organismo
■ 10-20 % dos tumores bucais
■ Exclusivos dos maxilares
Tumores Odontogênicos
■ Conceito de Indução na Odontogênesis
– Conjunto de interações que se estabelecem entre o epitelio e o
ectomesênquima odontogênico durante a formação dental normal
e que dará lugar à diferenciação e desenvolvimento morfológico
correto do germe dental.
Tumores Odontogênicos
Epitelio Mesênquima
Mesênquima subjacente
Lámina dental
Preameloblastos Dif. Odontoblastos
Predentina-dentina
Dif. Ameloblastos
Esmalte
Tumores Odontogénicos
■ Clasificação
»Tumores do Epitélio Odontogênico
»Tumores Odontogênicos Mistos
»Tumores do Ectomesenquima
Odontogênico
Tumores Odontogênicos
■ Tumores do Epitélio Odontogênico
– Ameloblastoma
» Ameloblastoma Maligno
» Carcinoma Ameloblástico
– Carcinoma Odontogênico de Células Claras
– Tumor Odontogênico Adenomatoide
– Tumor Odontogênico Epitelial Calcificante
(tumor de Pindborg)
– Tumor Odontogênico Escamoso
Tumores Odontogênicos
■ Tumores Odontogênicos Mistos
Fibroma Ameloblástico
Fibro-odontoma ameloblástico
Fibrossarcoma ameloblástico
Odontoameloblastoma
Odontoma Composto
Odontoma Complexo
Tumores Odontogênicos
■ Tumores do Ectomesênquima
Odontogênicos
– Fibroma odontogênico
– Tumor Odontogênico de Células
Granulares
– Mixoma Odontogênico
– Cementoblastoma.
Tumores do Epitélio
Odontogênico
AMELOBLASTOMA
Tumores Odontogénicos
■ Ameloblastoma
– Mais comum das neoplasias odontogênicas após os
odontomas;
– Neoplasia benigna mas localmente invasiva;
– Origem Órgão do esmalte
– Freqüência 1 % dos tumores e cistos maxilares
– Histología Plexiforme, folicular.
– Idade e localização 20-50 anos - Ang mand 80%
– Clínica Assint, crescimento lento, progressivo e
indolor.
– Radiología bolha de sabão, unilocular, sólido.
– Tratamento Ressecção com 1 cm de margem
– Evolução 10-50% recidivas
AMELOBLASTOMA
■ Outras características
– Associado a infecções latentes, dificuldade de erupcção do 3º
molar.
– 15 % asociado a dente incluso (st <30 años)
■ Clínica
– Expansão sem romper tegumentos externos
– Adelgaçamento e expansões das corticais ósseas
– Existe cápsula em 50 % dos casos
AMELOBLASTOMA
■ Padrões
– Ameloblastoma intra-ósseo multicistico ou sólido
convencional – 86% dos casos
– Unicístico 13% dos casos
– Periférico 1% dos casos
» Neville, 2016
AMELOBLASTOMA
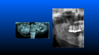
■ Ameloblastoma intra-ósseo
multicistico ou sólido convencional
–Aspecto radiográfico
»Lesão radiolucida em forma de bolhas de
sabão multilocular (loculações grandes)
ou favo de mel (loculações pequenas)
associado ou não a um dente incluso;
AMELOBLASTOMA
■ Ameloblastoma intra-ósseo multicistico
ou sólido convencional
– Caracteristicas histopatológicas
»Mais comum os padrões folicular e plexiforme
■ Menos comum o acantomatoso de celulas
granulares, desmoplásico e de celulas basais.
AMELOBLASTOMA
■ Ameloblastoma intra-ósseo multicistico ou
sólido convencional
– Padrão Folicular
» As ilhas de epitélio lembram o epitélio do orgão do esmalte em um
estroma de tecido conjuntivo fibroso maduro.;
» Os ninhos de epitélio possuem uma área central constituída de
celulas arranjadas frouxamente lembrando o reticulo estrelado do
órgão do esmalte;
» Porção central circundada por uma camada unica de celulas
colunares alongadas semelhantes a ameloblastos.
» Por vezes presença de formações císticas.
AMELOBLASTOMA
■ Ameloblastoma intra-ósseo multicistico
ou sólido convencional
– Padrão Plexiforme
» Longos cordões ou placas de epitélio odontogênico
anastomosados, circundados por celulas colunares ou
cubicas semelhantes a ameloblastos envolvendo celulas
epiteliais arranjadas mais frouxamente;
» Formações cisticas raras nessa forma.
AMELOBLASTOMA
■ Ameloblastoma intra-ósseo multicistico
ou sólido convencional
– Padrão Acantomatoso
» Presença de extensa metaplasia escamosa, muitas vezes
associada com formação de ceratina nas porções
centrais das ilhas epiteliais.
AMELOBLASTOMA
■ Ameloblastoma intra-ósseo multicistico
ou sólido convencional
– Padrão de celulas granulares
» Apresentam transformação de grupos de células
epiteliais em celulas granulares (citoplasma abundante,
contendo grânulos eosinofilicos que lembram
lisossomos.
AMELOBLASTOMA
■ Ameloblastoma intra-ósseo multicistico
ou sólido convencional
– Padrão Desmoplásico
» Pequenas ilhas e cordões de epitélio odontogênico em
um estroma densamente colagenizado
AMELOBLASTOMA
■ Ameloblastoma intra-ósseo multicistico
ou sólido convencional
– Padrão de células basais
» É o tipo menos comum;
» Ninhos de celulas basais uniformes, histologicamente
semelhante ao carcinoma de celulas basais da pele.
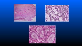
(Fotomicrografias dos padrões histológicos. (A) Padrão folicular (H/E - 200x);
(B) Padrão acantomatoso (H/E - 200x); (C) Padrão plexiforme (H/E - 100x); (D)
Padrão desmoplásico (H/E - 100x); (E) Padrão de células granulares (H/E - 200x);
(F) Padrão de células basais (H/E - 200x).
AMELOBLASTOMA
■ Padrão Unicístico
– Aspecto Clínico
» Assintomática, muito embora as maiores podem ser dolorosas;
» Acometem mais a região posterior da mandíbula;
AMELOBLASTOMA
■ Padrão Unicístico
– Aspecto radiográfico
» Aspecto semelhante a um cisto dentígero, de modo que muitas vezes o
diagnóstico só é firmado com o exame histopatológico
AMELOBLASTOMA
■ Padrão Unicístico
– Aspecto histopatológico
» Luminal
■ Parede fibrosa de um cisto com um limitandte consituido parcial
ou totalpmente de epitelio ameloblástico;
» Intraluminal
■ Um ou mais nodulos do ameloblastoma projetam-se do liitante
cistico para a luz do cisto
» Plexiformes
■ o nódulo do tumor que se projeta para o lumen apresenta um
padrão semelhante ao do amelo solido plexiforme
» Mural
■ A parede fibrosa do cisto está infiltrada por ameloblastoma típico
folicular ou plexiforme.
AMELOBLASTOMA
■ Ameloblastoma Periférico (extra-ósseo)
– Aspecto clínico
» Lesão da mucosa alveolar ou da gengiva,
pedunculado ou séssil, não ulcerada e indolor.;
– Aspecto Histopatológico
» ilhas de epitélio ameloblástico que ocupam a lâmina
própria abaixo do epitélio da superficie.
AMELOBLASTOMA
■ Diagnóstico diferencial
– Cisto dentígero, Carcinoma Epídermoide, Carcinoma Intra-ósseo,
Tumor odontogênico epitelial calcificante, Mixomas, Fibromas,
querubismo, Tumor odontogênico adenomatóide, Granuloma de
células gigantes, etc.
AMELOBLASTOMA
■ Tratamento e perspectiva de recidiva
– Ameloblastoma sólido e multicístico:
» Ressecção segmentar do osso com 1-2 cm de margem de
segurança.
» Recidiva 9-45 %
– Periférico
» Enucleação e ressecção do periosteo vizinho
» Recidivas 16 %
– Unicístico
» Enucleação e curetagem + osteotomia periférica, cryocirurgia ou
solução de Carnoy
» Recidiva 20-35% %
AMELOBLASTOMA
MALIGNO E
CARCINOMA
AMELOBLÁSTICO
Ameloblastoma Maligno e Carcinoma
Ameloblástico
■ Raramente os ameloblastomas apresentam coportamento maligno ostensivo com
desenvolvimento de metástases;
■ Ocorrem em menos de 1%
■ Ameloblastoma maligno
– Tumor que mostra caracteristicas histopatologicas de ameloblastoma no tumor primario e no
tumor metastático;
■ Carcinoma ameloblástico
– Ameloblastoma que tenha caracteristicas celulares de malignidade no tumor
primário na recorrência ou em qualquer metastase.
Ameloblastoma Maligno e Carcinoma
Ameloblástico
■ Características clínicas
– Metastases encontradas em pulmão e nódulos linfáticos
■ Caracteristicas radiográficas
– Lesões agressivas com margens mal definidas e destruição
cortical
■ Características histopatológicas
– Aspecto de ameloblastoma com as características celulares de
malignidade
CARCINOMA
ODONTOGÊNICO DE
CELULAS CLARAS
(Tumor Odontogênico de Células
Claras)
Carcinoma odontogênico de celulas claras
■ Características clínicas
– Tumor raro, apenas 20 casos publicados. Há poucas informações de suas caracteristicas
clinicas. Expansão do osso e dor ou assintomáticos
■ Caracteristicas radiográficas
– Lesões radiolúcidas uni ou multilocular com margens mal definidas e destruição cortical
■ Características histopatológicas
– Ninho de celulas epiteliais de vários tamanhos com citoplasma claro ou ligeiramente
eosinofílico.
■ Tratamento
– Cirúrgico radical. Podem ocorrer metástases.
TUMOR
ODONTOGÊNICO
ADENOMATÓIDE
TUMOR ODONTOGÉNICO
ADENOMATOIDE
– Tumor benigno epitelial sem inducción com o
tecido conjuntivo (alguns autores falam de
componente mesnquimal odontogênico)
– Sao pequenos, não excedendo na maioria das
vezes 3 cms no seu > diâmetro.
■ Epidemiología
– Freqüência: 2,9 a 6,8 %
– Tipos: Periférico (3%), Central (97%)
– Idade: de 10 a 30 años
– Sexo: mulheres
TUMOR ODONTOGÉNICO
ADENOMATOIDE
■ Outras características
– 71 % asociado a dente incluso
■ Clínica
– Tumefação em zona anterior do max sup
– Não invasivo.;Crecimento lento
– Às vezes doloroso.
– Não promovem reabsorção radicular, porém sem deslocamento
dental.
TUMOR ODONTOGÉNICO
ADENOMATOIDE
■ Radiologia
– Imagem radiolúcida, à veczs existen calcificaciones
espalhadas.
– Tamanho de3 1-3 cm
■ Diagnóstico diferencial
– Cisto folicular, cisto globulomaxilar, T.o. epit. calc, fib
odont, ameloblastoma, fib cementificante, fib gingival,
granuloma central de células gigantes e cisto ósseo
aneurismático
■ Tratamento e recidiva
– Enucleação. – raríssimas recidivas
TUMOR
ODONTOGÊNICO
EPITELIAL
CALCIFICANTE
(TUMOR DE PINDBORG)
Tumor Odontogênico Epitelial Calcificante
(Tumor de Pindborg)
■ Características clínicas
– Tumor raro, menos de 200 casos publicados. Tumefação indolor, de crescimento lento.
■ Caracteristicas radiográficas
– Defeito radiotransparente unilocular ou multilocular. As margens do defeito se mostram festonadas.
Podem ser lesões radiolúcidas com estruturas calcificadas de densidade e tamanho variado, associada
ou não a dente impactado.
■ Características histopatológicas
– Presença de discretas ilhas poliedricas de citoplasma eosinófilo e pontes intercelulares. Presença de
material amilóide eosinófilo amorfo. Diversas calcificações são observadas, imersas num estroma
fibroso.
■ Tratamento
– Cirúrgico conservador, pórém com margem estreita do osso adjacente.
TUMOR
ODONTOGÊNICO
ESCAMOSO
Tumor Odontogênico Escamoso
■ Características clínicas
– Tumor raro, benigno, intra-ósseo ou periférico, originário da lamina dentaria ou dos restos epiteliais
de malassez.
■ Caracteristicas radiográficas
– Lesão radiolúcida triangular, lateralmente as raizes dos dentes, sugerindo perda óssea vertical
decorrente de provlema periodontal, não excedendo 1,5 cm no seu > diâmetro.
■ Características histopatológicas
– Presença de ilhas de diversas formas de epitelio escamoso com aspecto inofensivo, num estroma de
tecido conjuntivo maduro.
■ Tratamento
– Cirúrgico conservador ou curetagem.
Tumores
Odontogênicos Mistos
Fibroma
Ameloblástico
Fibroma Ameloblástico
■ Características clínicas
– Tumor misto verdadeiro;
– Raro; podem ser na verdade o estágio inicial do desenvolvimento de um odontoma;
– Gênero masculino mais afetado, região posterior da mandibula; tu pequenos
assintomáticos, os maiores associados a deformidades;
■ Caracteristicas radiográficas
– Lesão radiolúcida, uni (lesões menores) ou multilocular, margens bem
definidas, associadas ou náo a escleroses.
■ Características histopatológicas
– Massa sólida de tecido mole com superficie lisa. Cápsula presente ou
ausente. O tumor é constituído de tecido mesenquimal rico em células
lembrando a papila dentária primitiva junto com a proliferação de epitelio
odontogênico. A porção mesenquimal é composta por celulas ovoides e
estreladas em uma matriz frouxa. Pouca formação de colágeno.
■ Tratamento
– Cirúrgico conservador ou mais agressivo para lesões recidivantes
Fibro-odontoma
Ameloblástico
Fibro-odontoma Ameloblástico
■ Características clínicas
– Semelhante ao fibroma ameloblastico, mas contendo também esmalte e dentina;
– Ocorrem com mais freqüência nasregiões posteriores dos ossos maxilares, sem
predileção por sexo. Dificil distinguir do odontoma.
– Caracteristicas radiográficas
– Lesão radiolúcida, uni (lesões menores) ou multilocular, raramente,
contendo quantidades variáveis de material calcificado com
radiodensidade de estrutura dentária aglomeradas ou isoladas, associada
ou não a um dente incluso.
■ Características histopatológicas
– Identico ao fibroma ameloblastico. Os elementos calcificantes consistem em focos
de formação de esmalte e dentina em intima relação com as estruturas epiteliais
■ Tratamento
– Cirúrgico conservador por curetagem, de rara recorrência.
Fibrossarcoma
Ameloblástico
Fibrossarcoma Ameloblástico
■ Características clínicas
– Correspondente maligno do fibroma ameloblastico,;
– 80% ocorrem na mandibula.;
– Dor e tumefação associadas com um crescimento clinicamente rápido.
– Caracteristicas radiográficas
– Lesão radiolúcida , mal definida, sugerindo um processo maligno.
■ Características histopatológicas
– Componente epitelial semelhante ao do fibroma ameloblástico, embora menos
frequente que o apresentado no fibroma amelobl[ástico tipico. O epitelio tem
aspecto benigno, sem atipia celular. A porção mesenquimal do tumor é altamente
celular e mostra hipercromatismo e, muitas vezes, celulas pleomórficas bizarras.
Várias mitoses são observadas.
■ Tratamento
– Cirúrgico radical.
Odontoameloblastoma
Odontoameloblastoma
■ Características clínicas
– Tumor raro, possui um componente ameloblastomatoso com
elementos semelhantes ao odontoma.
– Caracteristicas radiográficas
– Lesão radiolúcida com areas calcificadas, com raddiopacidade de
estrutura dentária semelhantes a dentes ou massa única como o odontoma
complexo.
■ Características histopatológicas
– São complexas. A porção epitelial tem caracteristica de um ameloblastoma do tipo
folicular ou plexiforme entremeado a uma matriz de tecido dentário imaturo ou
maduro, sob a formna de dentes rudimentares semelhante ao odontoma composto
ou massa aglomerada de esmalte, dentina e cemento, como no odontoma complexo.
■ Tratamento
– Cirúrgico conservador e radical nas recidivas.
Odontomas
Tumores Odontogênicos
■ Odontomas complexos e compostos
– Freqüência 50 % dos T.Odontog.
– Localização Mol-mand (Complexo)
Ant-max (Composto)
– Clínica Pouca deformidad,e tumefação no rebordo, Retenção
de dentes.
– Radiología Lesão radiolúcida associada a área radiopaca + o
– semelhante a dentículos (O. composto) ou massa opaca (O.
complexo).
– Tratamiento Enucleação - rara recidiva
Tumores do Ectomesenquima
Odontogênico
Tumores do Ectomesenquima Odontogênico
■ T.O. de origem mesenquimal
–Fibroma Odontogénico
–Mixoma Odontogénico
–Cementoblastoma Benigno
FIBROMA ODONTOGÊNICO
■ Neoplasia fibroblástica com epitelio
odontogênico inativo
■ Tumor benigno mesodérmico;
■ Podem ser central ou periférico
■ Epidemiología
– Freqüência: 2,3 a 4,5 %
– Idade: de 30 a 70 años
– Sexo: sem predileção
FIBROMA ODONTOGÉNICO
■ Clínica
– Tumefação e mobilidade dentaria
■ Radiología
– Radiolucidez (padrão unilocular) ou mixto
(multilocular).
FIBROMA ODONTOGÊNICO
■ Diagnóstico diferencial
– Fibroma ameloblástico
– Folículo dental hiperplásico
■ Tratamento e recidiva
– Enucleação completa
– Sem recidiva
Tumor Odontogênico de Celulas
Granulares
Tumor Odontogênico de Celulas Granulares
■ Lesão rara; 20 casos documentados;
■ Ocorrem na mandibula, na região de PMs e
Ms;
■ Assintomaticos , radiograficamente
apresenta-se como área radiolucida bem
delimitada, uni ou multiloculada com
calcificações.
(A) Aspecto clinico
(B) ]TC demonstrando expansão e erosão da
cortical vestibular e matrial calcificado.
(C) Fotomicrografia exibindo as cordas
epiteliais odontogênicas, células granulares e
cemento calcificado.
(D) Celulas colunares do epitelio odontogênico
e celulas granulares polygonais com
citoplasma finamente eosinofilico e localização
excêntrica do núcleo.
(E) Células granulares cells PAS-positiva
(Periodic Acid-Shif).
(F) e (G) Immunohistoquimica.
Tumores Odontogénicos
■ Mixoma
– Iedad 10-20 anos
– Localización Mol-mand
– Radiología Lesão radiolúcida unilocular ou bolhas de sabão
– Tratamento Resecção agressiva em bloco
Mixoma Odontogenico
■ Caracteristicas clinicas
– O mixoma odontogênico é uma neoplasia mesenquimal benigna com provável origem
relacionada ao ectomesênquima de um dente em desenvolvimento.;
– Acometem pacientes segunda e terceira décadas;
– A região posterior da mandíbula é a mais afetada;
– Crescimento lento e pode levar ao deslocamento de dentes e expansão das tábuas corticais.;
– Nas fases iniciais de desenvolvimento, é assintomático, o que dificulta o diagnóstico e,
consequentemente, retarda o seu tratamento.;
– A ausência de tratamento pode causar mobilidade dentária e parestesia, nos casos avançados.
Mixoma Odontogenico
■ Caracteristicas radiográficas
– imagem radiolúcida (uni ou multilocular), com limites, por vezes,
indefinidos.;
– Quando multilocular, assemelha-se a “teia-de-aranha”, pois
apresentam septos de tecido ósseo dispostos em ângulos retos.;
– A ausência deste sinal não exclui a hipótese do diagnóstico de
mixoma.
Mixoma Odontogenico
■ Caracteristicas Histopatológicas
– É caracterizado pela presença de células estreladas em um
estroma abundante em mucopolissacarídeos ácidos. Muitas
dessas células têm características ultra-estruturais semelhantes
aos miofibroblastos, o que sustentaria a hipótese de origem
mesenquimal da lesão.
Mixoma Odontogenico
■ Caracteristicas radiográficas
– imagem radiolúcida (uni ou multilocular), com limites, por vezes,
indefinidos.;
– Quando multilocular, assemelha-se a “teia-de-aranha”, pois
apresentam septos de tecido ósseo dispostos em ângulos retos.;
– A ausência deste sinal não exclui a hipótese do diagnóstico de
mixoma.
Tumores Odontogénicos
■ Cementoblastoma benigno ou Cementoma
– Idade Adolescentes
– Localização Prem. inferiores
– Clínica Assimetría, Dor (61%)
– Radiología Lesão circunscrita, pseudocística (zona externa
radiolúcida, interna radiopaca)
– Tratamiento Enucleação do tumor e exodontia do dente
envolvido, quando indicada.
FIM

TUMORES odontogênicos.pdf

  • 1.
  • 2.
    Tumores Odontogênicos ■ Originam-sedos elementos epiteliais e/ou mesenquimais do sistema de formação dos dentes ■ 1 % dos tumores do organismo ■ 10-20 % dos tumores bucais ■ Exclusivos dos maxilares
  • 3.
    Tumores Odontogênicos ■ Conceitode Indução na Odontogênesis – Conjunto de interações que se estabelecem entre o epitelio e o ectomesênquima odontogênico durante a formação dental normal e que dará lugar à diferenciação e desenvolvimento morfológico correto do germe dental.
  • 4.
    Tumores Odontogênicos Epitelio Mesênquima Mesênquimasubjacente Lámina dental Preameloblastos Dif. Odontoblastos Predentina-dentina Dif. Ameloblastos Esmalte
  • 5.
    Tumores Odontogénicos ■ Clasificação »Tumoresdo Epitélio Odontogênico »Tumores Odontogênicos Mistos »Tumores do Ectomesenquima Odontogênico
  • 6.
    Tumores Odontogênicos ■ Tumoresdo Epitélio Odontogênico – Ameloblastoma » Ameloblastoma Maligno » Carcinoma Ameloblástico – Carcinoma Odontogênico de Células Claras – Tumor Odontogênico Adenomatoide – Tumor Odontogênico Epitelial Calcificante (tumor de Pindborg) – Tumor Odontogênico Escamoso
  • 7.
    Tumores Odontogênicos ■ TumoresOdontogênicos Mistos Fibroma Ameloblástico Fibro-odontoma ameloblástico Fibrossarcoma ameloblástico Odontoameloblastoma Odontoma Composto Odontoma Complexo
  • 8.
    Tumores Odontogênicos ■ Tumoresdo Ectomesênquima Odontogênicos – Fibroma odontogênico – Tumor Odontogênico de Células Granulares – Mixoma Odontogênico – Cementoblastoma.
  • 9.
  • 10.
  • 11.
    Tumores Odontogénicos ■ Ameloblastoma –Mais comum das neoplasias odontogênicas após os odontomas; – Neoplasia benigna mas localmente invasiva; – Origem Órgão do esmalte – Freqüência 1 % dos tumores e cistos maxilares – Histología Plexiforme, folicular. – Idade e localização 20-50 anos - Ang mand 80% – Clínica Assint, crescimento lento, progressivo e indolor. – Radiología bolha de sabão, unilocular, sólido. – Tratamento Ressecção com 1 cm de margem – Evolução 10-50% recidivas
  • 12.
    AMELOBLASTOMA ■ Outras características –Associado a infecções latentes, dificuldade de erupcção do 3º molar. – 15 % asociado a dente incluso (st <30 años) ■ Clínica – Expansão sem romper tegumentos externos – Adelgaçamento e expansões das corticais ósseas – Existe cápsula em 50 % dos casos
  • 16.
    AMELOBLASTOMA ■ Padrões – Ameloblastomaintra-ósseo multicistico ou sólido convencional – 86% dos casos – Unicístico 13% dos casos – Periférico 1% dos casos » Neville, 2016
  • 17.
    AMELOBLASTOMA ■ Ameloblastoma intra-ósseo multicisticoou sólido convencional –Aspecto radiográfico »Lesão radiolucida em forma de bolhas de sabão multilocular (loculações grandes) ou favo de mel (loculações pequenas) associado ou não a um dente incluso;
  • 22.
    AMELOBLASTOMA ■ Ameloblastoma intra-ósseomulticistico ou sólido convencional – Caracteristicas histopatológicas »Mais comum os padrões folicular e plexiforme ■ Menos comum o acantomatoso de celulas granulares, desmoplásico e de celulas basais.
  • 23.
    AMELOBLASTOMA ■ Ameloblastoma intra-ósseomulticistico ou sólido convencional – Padrão Folicular » As ilhas de epitélio lembram o epitélio do orgão do esmalte em um estroma de tecido conjuntivo fibroso maduro.; » Os ninhos de epitélio possuem uma área central constituída de celulas arranjadas frouxamente lembrando o reticulo estrelado do órgão do esmalte; » Porção central circundada por uma camada unica de celulas colunares alongadas semelhantes a ameloblastos. » Por vezes presença de formações císticas.
  • 27.
    AMELOBLASTOMA ■ Ameloblastoma intra-ósseomulticistico ou sólido convencional – Padrão Plexiforme » Longos cordões ou placas de epitélio odontogênico anastomosados, circundados por celulas colunares ou cubicas semelhantes a ameloblastos envolvendo celulas epiteliais arranjadas mais frouxamente; » Formações cisticas raras nessa forma.
  • 28.
    AMELOBLASTOMA ■ Ameloblastoma intra-ósseomulticistico ou sólido convencional – Padrão Acantomatoso » Presença de extensa metaplasia escamosa, muitas vezes associada com formação de ceratina nas porções centrais das ilhas epiteliais.
  • 29.
    AMELOBLASTOMA ■ Ameloblastoma intra-ósseomulticistico ou sólido convencional – Padrão de celulas granulares » Apresentam transformação de grupos de células epiteliais em celulas granulares (citoplasma abundante, contendo grânulos eosinofilicos que lembram lisossomos.
  • 30.
    AMELOBLASTOMA ■ Ameloblastoma intra-ósseomulticistico ou sólido convencional – Padrão Desmoplásico » Pequenas ilhas e cordões de epitélio odontogênico em um estroma densamente colagenizado
  • 31.
    AMELOBLASTOMA ■ Ameloblastoma intra-ósseomulticistico ou sólido convencional – Padrão de células basais » É o tipo menos comum; » Ninhos de celulas basais uniformes, histologicamente semelhante ao carcinoma de celulas basais da pele.
  • 33.
    (Fotomicrografias dos padrõeshistológicos. (A) Padrão folicular (H/E - 200x); (B) Padrão acantomatoso (H/E - 200x); (C) Padrão plexiforme (H/E - 100x); (D) Padrão desmoplásico (H/E - 100x); (E) Padrão de células granulares (H/E - 200x); (F) Padrão de células basais (H/E - 200x).
  • 34.
    AMELOBLASTOMA ■ Padrão Unicístico –Aspecto Clínico » Assintomática, muito embora as maiores podem ser dolorosas; » Acometem mais a região posterior da mandíbula;
  • 35.
    AMELOBLASTOMA ■ Padrão Unicístico –Aspecto radiográfico » Aspecto semelhante a um cisto dentígero, de modo que muitas vezes o diagnóstico só é firmado com o exame histopatológico
  • 37.
    AMELOBLASTOMA ■ Padrão Unicístico –Aspecto histopatológico » Luminal ■ Parede fibrosa de um cisto com um limitandte consituido parcial ou totalpmente de epitelio ameloblástico; » Intraluminal ■ Um ou mais nodulos do ameloblastoma projetam-se do liitante cistico para a luz do cisto » Plexiformes ■ o nódulo do tumor que se projeta para o lumen apresenta um padrão semelhante ao do amelo solido plexiforme » Mural ■ A parede fibrosa do cisto está infiltrada por ameloblastoma típico folicular ou plexiforme.
  • 39.
    AMELOBLASTOMA ■ Ameloblastoma Periférico(extra-ósseo) – Aspecto clínico » Lesão da mucosa alveolar ou da gengiva, pedunculado ou séssil, não ulcerada e indolor.; – Aspecto Histopatológico » ilhas de epitélio ameloblástico que ocupam a lâmina própria abaixo do epitélio da superficie.
  • 40.
    AMELOBLASTOMA ■ Diagnóstico diferencial –Cisto dentígero, Carcinoma Epídermoide, Carcinoma Intra-ósseo, Tumor odontogênico epitelial calcificante, Mixomas, Fibromas, querubismo, Tumor odontogênico adenomatóide, Granuloma de células gigantes, etc.
  • 41.
    AMELOBLASTOMA ■ Tratamento eperspectiva de recidiva – Ameloblastoma sólido e multicístico: » Ressecção segmentar do osso com 1-2 cm de margem de segurança. » Recidiva 9-45 % – Periférico » Enucleação e ressecção do periosteo vizinho » Recidivas 16 % – Unicístico » Enucleação e curetagem + osteotomia periférica, cryocirurgia ou solução de Carnoy » Recidiva 20-35% %
  • 42.
  • 43.
    Ameloblastoma Maligno eCarcinoma Ameloblástico ■ Raramente os ameloblastomas apresentam coportamento maligno ostensivo com desenvolvimento de metástases; ■ Ocorrem em menos de 1% ■ Ameloblastoma maligno – Tumor que mostra caracteristicas histopatologicas de ameloblastoma no tumor primario e no tumor metastático; ■ Carcinoma ameloblástico – Ameloblastoma que tenha caracteristicas celulares de malignidade no tumor primário na recorrência ou em qualquer metastase.
  • 44.
    Ameloblastoma Maligno eCarcinoma Ameloblástico ■ Características clínicas – Metastases encontradas em pulmão e nódulos linfáticos ■ Caracteristicas radiográficas – Lesões agressivas com margens mal definidas e destruição cortical ■ Características histopatológicas – Aspecto de ameloblastoma com as características celulares de malignidade
  • 47.
    CARCINOMA ODONTOGÊNICO DE CELULAS CLARAS (TumorOdontogênico de Células Claras)
  • 48.
    Carcinoma odontogênico decelulas claras ■ Características clínicas – Tumor raro, apenas 20 casos publicados. Há poucas informações de suas caracteristicas clinicas. Expansão do osso e dor ou assintomáticos ■ Caracteristicas radiográficas – Lesões radiolúcidas uni ou multilocular com margens mal definidas e destruição cortical ■ Características histopatológicas – Ninho de celulas epiteliais de vários tamanhos com citoplasma claro ou ligeiramente eosinofílico. ■ Tratamento – Cirúrgico radical. Podem ocorrer metástases.
  • 50.
  • 51.
    TUMOR ODONTOGÉNICO ADENOMATOIDE – Tumorbenigno epitelial sem inducción com o tecido conjuntivo (alguns autores falam de componente mesnquimal odontogênico) – Sao pequenos, não excedendo na maioria das vezes 3 cms no seu > diâmetro. ■ Epidemiología – Freqüência: 2,9 a 6,8 % – Tipos: Periférico (3%), Central (97%) – Idade: de 10 a 30 años – Sexo: mulheres
  • 52.
    TUMOR ODONTOGÉNICO ADENOMATOIDE ■ Outrascaracterísticas – 71 % asociado a dente incluso ■ Clínica – Tumefação em zona anterior do max sup – Não invasivo.;Crecimento lento – Às vezes doloroso. – Não promovem reabsorção radicular, porém sem deslocamento dental.
  • 53.
    TUMOR ODONTOGÉNICO ADENOMATOIDE ■ Radiologia –Imagem radiolúcida, à veczs existen calcificaciones espalhadas. – Tamanho de3 1-3 cm ■ Diagnóstico diferencial – Cisto folicular, cisto globulomaxilar, T.o. epit. calc, fib odont, ameloblastoma, fib cementificante, fib gingival, granuloma central de células gigantes e cisto ósseo aneurismático ■ Tratamento e recidiva – Enucleação. – raríssimas recidivas
  • 55.
  • 56.
    Tumor Odontogênico EpitelialCalcificante (Tumor de Pindborg) ■ Características clínicas – Tumor raro, menos de 200 casos publicados. Tumefação indolor, de crescimento lento. ■ Caracteristicas radiográficas – Defeito radiotransparente unilocular ou multilocular. As margens do defeito se mostram festonadas. Podem ser lesões radiolúcidas com estruturas calcificadas de densidade e tamanho variado, associada ou não a dente impactado. ■ Características histopatológicas – Presença de discretas ilhas poliedricas de citoplasma eosinófilo e pontes intercelulares. Presença de material amilóide eosinófilo amorfo. Diversas calcificações são observadas, imersas num estroma fibroso. ■ Tratamento – Cirúrgico conservador, pórém com margem estreita do osso adjacente.
  • 60.
  • 61.
    Tumor Odontogênico Escamoso ■Características clínicas – Tumor raro, benigno, intra-ósseo ou periférico, originário da lamina dentaria ou dos restos epiteliais de malassez. ■ Caracteristicas radiográficas – Lesão radiolúcida triangular, lateralmente as raizes dos dentes, sugerindo perda óssea vertical decorrente de provlema periodontal, não excedendo 1,5 cm no seu > diâmetro. ■ Características histopatológicas – Presença de ilhas de diversas formas de epitelio escamoso com aspecto inofensivo, num estroma de tecido conjuntivo maduro. ■ Tratamento – Cirúrgico conservador ou curetagem.
  • 62.
  • 63.
  • 64.
    Fibroma Ameloblástico ■ Característicasclínicas – Tumor misto verdadeiro; – Raro; podem ser na verdade o estágio inicial do desenvolvimento de um odontoma; – Gênero masculino mais afetado, região posterior da mandibula; tu pequenos assintomáticos, os maiores associados a deformidades; ■ Caracteristicas radiográficas – Lesão radiolúcida, uni (lesões menores) ou multilocular, margens bem definidas, associadas ou náo a escleroses. ■ Características histopatológicas – Massa sólida de tecido mole com superficie lisa. Cápsula presente ou ausente. O tumor é constituído de tecido mesenquimal rico em células lembrando a papila dentária primitiva junto com a proliferação de epitelio odontogênico. A porção mesenquimal é composta por celulas ovoides e estreladas em uma matriz frouxa. Pouca formação de colágeno. ■ Tratamento – Cirúrgico conservador ou mais agressivo para lesões recidivantes
  • 68.
  • 69.
    Fibro-odontoma Ameloblástico ■ Característicasclínicas – Semelhante ao fibroma ameloblastico, mas contendo também esmalte e dentina; – Ocorrem com mais freqüência nasregiões posteriores dos ossos maxilares, sem predileção por sexo. Dificil distinguir do odontoma. – Caracteristicas radiográficas – Lesão radiolúcida, uni (lesões menores) ou multilocular, raramente, contendo quantidades variáveis de material calcificado com radiodensidade de estrutura dentária aglomeradas ou isoladas, associada ou não a um dente incluso. ■ Características histopatológicas – Identico ao fibroma ameloblastico. Os elementos calcificantes consistem em focos de formação de esmalte e dentina em intima relação com as estruturas epiteliais ■ Tratamento – Cirúrgico conservador por curetagem, de rara recorrência.
  • 70.
  • 71.
    Fibrossarcoma Ameloblástico ■ Característicasclínicas – Correspondente maligno do fibroma ameloblastico,; – 80% ocorrem na mandibula.; – Dor e tumefação associadas com um crescimento clinicamente rápido. – Caracteristicas radiográficas – Lesão radiolúcida , mal definida, sugerindo um processo maligno. ■ Características histopatológicas – Componente epitelial semelhante ao do fibroma ameloblástico, embora menos frequente que o apresentado no fibroma amelobl[ástico tipico. O epitelio tem aspecto benigno, sem atipia celular. A porção mesenquimal do tumor é altamente celular e mostra hipercromatismo e, muitas vezes, celulas pleomórficas bizarras. Várias mitoses são observadas. ■ Tratamento – Cirúrgico radical.
  • 72.
  • 73.
    Odontoameloblastoma ■ Características clínicas –Tumor raro, possui um componente ameloblastomatoso com elementos semelhantes ao odontoma. – Caracteristicas radiográficas – Lesão radiolúcida com areas calcificadas, com raddiopacidade de estrutura dentária semelhantes a dentes ou massa única como o odontoma complexo. ■ Características histopatológicas – São complexas. A porção epitelial tem caracteristica de um ameloblastoma do tipo folicular ou plexiforme entremeado a uma matriz de tecido dentário imaturo ou maduro, sob a formna de dentes rudimentares semelhante ao odontoma composto ou massa aglomerada de esmalte, dentina e cemento, como no odontoma complexo. ■ Tratamento – Cirúrgico conservador e radical nas recidivas.
  • 74.
  • 75.
    Tumores Odontogênicos ■ Odontomascomplexos e compostos – Freqüência 50 % dos T.Odontog. – Localização Mol-mand (Complexo) Ant-max (Composto) – Clínica Pouca deformidad,e tumefação no rebordo, Retenção de dentes. – Radiología Lesão radiolúcida associada a área radiopaca + o – semelhante a dentículos (O. composto) ou massa opaca (O. complexo). – Tratamiento Enucleação - rara recidiva
  • 78.
  • 79.
    Tumores do EctomesenquimaOdontogênico ■ T.O. de origem mesenquimal –Fibroma Odontogénico –Mixoma Odontogénico –Cementoblastoma Benigno
  • 80.
    FIBROMA ODONTOGÊNICO ■ Neoplasiafibroblástica com epitelio odontogênico inativo ■ Tumor benigno mesodérmico; ■ Podem ser central ou periférico ■ Epidemiología – Freqüência: 2,3 a 4,5 % – Idade: de 30 a 70 años – Sexo: sem predileção
  • 81.
    FIBROMA ODONTOGÉNICO ■ Clínica –Tumefação e mobilidade dentaria ■ Radiología – Radiolucidez (padrão unilocular) ou mixto (multilocular).
  • 82.
    FIBROMA ODONTOGÊNICO ■ Diagnósticodiferencial – Fibroma ameloblástico – Folículo dental hiperplásico ■ Tratamento e recidiva – Enucleação completa – Sem recidiva
  • 83.
    Tumor Odontogênico deCelulas Granulares
  • 84.
    Tumor Odontogênico deCelulas Granulares ■ Lesão rara; 20 casos documentados; ■ Ocorrem na mandibula, na região de PMs e Ms; ■ Assintomaticos , radiograficamente apresenta-se como área radiolucida bem delimitada, uni ou multiloculada com calcificações.
  • 85.
    (A) Aspecto clinico (B)]TC demonstrando expansão e erosão da cortical vestibular e matrial calcificado. (C) Fotomicrografia exibindo as cordas epiteliais odontogênicas, células granulares e cemento calcificado. (D) Celulas colunares do epitelio odontogênico e celulas granulares polygonais com citoplasma finamente eosinofilico e localização excêntrica do núcleo. (E) Células granulares cells PAS-positiva (Periodic Acid-Shif). (F) e (G) Immunohistoquimica.
  • 86.
    Tumores Odontogénicos ■ Mixoma –Iedad 10-20 anos – Localización Mol-mand – Radiología Lesão radiolúcida unilocular ou bolhas de sabão – Tratamento Resecção agressiva em bloco
  • 87.
    Mixoma Odontogenico ■ Caracteristicasclinicas – O mixoma odontogênico é uma neoplasia mesenquimal benigna com provável origem relacionada ao ectomesênquima de um dente em desenvolvimento.; – Acometem pacientes segunda e terceira décadas; – A região posterior da mandíbula é a mais afetada; – Crescimento lento e pode levar ao deslocamento de dentes e expansão das tábuas corticais.; – Nas fases iniciais de desenvolvimento, é assintomático, o que dificulta o diagnóstico e, consequentemente, retarda o seu tratamento.; – A ausência de tratamento pode causar mobilidade dentária e parestesia, nos casos avançados.
  • 88.
    Mixoma Odontogenico ■ Caracteristicasradiográficas – imagem radiolúcida (uni ou multilocular), com limites, por vezes, indefinidos.; – Quando multilocular, assemelha-se a “teia-de-aranha”, pois apresentam septos de tecido ósseo dispostos em ângulos retos.; – A ausência deste sinal não exclui a hipótese do diagnóstico de mixoma.
  • 89.
    Mixoma Odontogenico ■ CaracteristicasHistopatológicas – É caracterizado pela presença de células estreladas em um estroma abundante em mucopolissacarídeos ácidos. Muitas dessas células têm características ultra-estruturais semelhantes aos miofibroblastos, o que sustentaria a hipótese de origem mesenquimal da lesão.
  • 90.
    Mixoma Odontogenico ■ Caracteristicasradiográficas – imagem radiolúcida (uni ou multilocular), com limites, por vezes, indefinidos.; – Quando multilocular, assemelha-se a “teia-de-aranha”, pois apresentam septos de tecido ósseo dispostos em ângulos retos.; – A ausência deste sinal não exclui a hipótese do diagnóstico de mixoma.
  • 93.
    Tumores Odontogénicos ■ Cementoblastomabenigno ou Cementoma – Idade Adolescentes – Localização Prem. inferiores – Clínica Assimetría, Dor (61%) – Radiología Lesão circunscrita, pseudocística (zona externa radiolúcida, interna radiopaca) – Tratamiento Enucleação do tumor e exodontia do dente envolvido, quando indicada.
  • 94.