14/03/12
1
Rafael Celestino de Souza
Conceito, Manifestações e Abordagem
23
CROMOSSOMOS
DO PAI
23
CROMOSSOMOS
DA MÃE
BEBÊ – 46
CROMOSSOMOS
14/03/12
2
14/03/12
3
A Síndrome de Down ou trissomia do
c r o m o s s o m o 2 1 é o d i s t ú r b i o
cromossômico mais comum.
(Down, 1866; Fischer-Brandies et al, 1986; Silva, 2000; Siqueira, 2005).
Histórico
•  1866 - John Langdon Haydon Down
•  1930 - Jenkins e Penrose – alteração cromossômica
•  1934 - Waardenburg e Bleyer – não disjunção cromossômica
•  1959 – Lejeune – trissomia do 21
•  1960 e 1961 – Polani e Clark – translocação e mosaicismo
•  1968 - o primeiro diagnóstico pré-natal
•  1983 em diante - AFP, HCG, estriol-não conjugado, outros
(Down, 1866; Fischer-Brandies et al, 1986; Yang, 2002; Pimentel, 2003;).
14/03/12
4
Síndrome e Origem
•  Idade materna avançada
–  risco acima dos 45 anos
•  Anomalias uterinas e placentárias
•  Aberrações cromossômicas
(Mustacchi e Rozone, 1990; Rogers et al, 1996; Jorde et al, 2000).
Epidemiologia
•  A freqüência cumulativa de nascimentos com trissomia
do 21, 18, 13 é menor que 1%
•  A taxa de nascimentos vivos com Síndrome de Down é
de 1:700
•  De acordo com a idade materna:
–  20-24 anos - 1:1400
–  acima de 35 anos - 1:350
–  acima de 45 anos - 1:25
(Mustacchi e Rozone, 1990; Rogers et al, 1996; Jorde et al, 2000).
14/03/12
5
Epidemiologia Brasil
•  No Brasil, 1:650 nascimentos
•  60,5 mil crianças portadoras
•  0,2% da população infantil
•  8 mil/nascimentos por ano
•  Totalizando - 300 mil SD
(Viera et al., 2005)
Aspectos Genéticos
•  Tipos de comprometimento cromossômico:
–  Trissomia Simples
–  Translocação
–  Mosaicismo
(Mustacchi, 1990; Desai, 1997; Pilcher, 1998; Yang et al, 2002; Buckley e Sacks, 2007)
14/03/12
6
Etiologia – Trissomia
simples
•  95% dos casos de SD (47,XX,+21; 47,XY,+21)
•  Frequentes em progênies de idade avançada:
90% erros na divisão meiótica e mecanismos de não-disjunção
•  Não-disjunção do cromossomo 21 - gameta com 24
cromossomos
•  Fatores ambientais e/ou externos relacionados
–  drogas e vírus
(Mustacchi, 1990; Desai, 1997; Pilcher, 1998; Yang et al, 2002; Buckley e Sacks, 2007)
•  5% - cromossomos de origem paterna: eventos não-
disjuncionais na meiose II mais frequentes (2x)
(Mustacchi, 1990; Desai, 1997; Pilcher, 1998; Yang et al, 2002; Buckley e Sacks, 2007)
14/03/12
7
Etiologia - Traslocação
•  3-4% dos casos de SD t(14;21) ou t(14q21q)
•  Cromossomo 21 fusionado a um cromossomo acrocêntrico
•  Geralmente o braço longo do cromossomo 21 se une com o
cromossomo 14
•  Número de cromossomos normal, porém há triplicação do
material do cromossomo 21
(Mustacchi, 1990; Desai, 1997; Pilcher, 1998; Yang et al, 2002; Buckley e Sacks, 2007)
Etiologia - Moisacismo
•  1-2% dos casos de SD (47,+21)
•  2 ou + populações de células que diferem no seu
conteúdo cromossômico
•  Não-disjunção ou atraso anafásico durante as divisões
mitóticas embrionárias
(Mustacchi, 1990; Desai, 1997; Pilcher, 1998; Yang et al, 2002; Buckley e Sacks, 2007)
14/03/12
8
Aspectos Clínicos
•  Características fetais mais prevalentes:
–  linha siamesa palmar
–  45% hipotonia muscular
–  clinodactilia
–  defeitos cardíacos septais
–  feto de menor tamanho
–  espessamento nucal
–  fácies não patognomônica
(Marciano et al, 1986; Mustacchi e Rozone, 1990; Regezi e Sciubba, 1991)
AspectosClínicos
•  pescoço, pé e mãos são largos e curtos
•  40% - cardiopatia congênita
•  3 a 7,5% - defeitos no tubo digestivos
•  deficiência no sistema imune
•  maior risco de desenvolver leucemia
(Kivivuori et al, 1996; Roizen et al, 1993; Desai, 1997; Pilcher, 1998; Lange, 2000;
Roisen e Patterson, 2003; Siqueira, 2005; Martins, 2008; Trotta, 2009).
14/03/12
9
AspectosClínicos
•  nariz pequeno e ponte nasal achatada
•  face achatada
•  olhos pequenos e amendoados
•  orelhas displásicas e baixa implantação
(Kivivuori et al, 1996; Roizen et al, 1993; Desai, 1997; Pilcher, 1998; Lange, 2000;
Roisen e Patterson, 2003; Siqueira, 2005; Martins, 2008; Trotta, 2009).
AspectosClínicos
•  fissura palpebral oblíqua
•  prega epicântica larga
•  estrabismo
•  movimento involuntário do globo ocular
•  comprometimento intelectual
(Moreira, El-hani e Gusmão, 2000;; Berthold et al., 2004; Miranda, 2006)
14/03/12
10
Aspectos Clínicos
•  Tendência ao sobrepeso/obesidade na primeira infância:
–  96% homens
–  71% mulheres
•  32 % - hipotiroidismo:
–  hipodesenvolvimento ósseo
–  hipodesenvolvimento dentário
–  atraso de erupção dental
(Kivivuori et al, 1996; Roizen et al, 1993; Desai, 1997; Pilcher, 1998; Lange, 2000;
Roisen e Patterson, 2003; Siqueira, 2005; Martins, 2008; Trotta, 2009).
14/03/12
11
5 MESES 52 ANOS
14/03/12
12
Alterações Cardíacas
•  Doença Cardíaca Congênita
–  prevalência de malformações entre 16 e 62%
–  defeitos mais comuns: alterações atrioventriculares com
disfunção septal, Tetralogia de Fallot
–  Se não tratados têm mortalidade em torno de 50%
–  Paciente adulto: morbidadades por hipertensão pulmonar
e falência do coração direito
(Desai, 1997; Alves et al., 2004; Trotta, 2009).
Malformação Átrio-ventricular congênita na
S. de Down
14/03/12
13
Alterações Gastrointestinais
•  Atresia duodenal (2 a 5%)
•  Doença de Hirschsprung (2%) evolui para enterocolite
•  Onfalocele, pâncreas em anel, malformação anorretal
•  Constipação com origem na hipotonia colônica e fatores
dietéticos
(Laroca et al, 1998; Alves et al, 2004).
Outras Alterações
•  Oftalmológicas – prevalência 60%
–  catarata congênita, estrabismo, glaucoma e erros
refracionários maiores
–  manchas de Brushfield
–  pobre acuidade visual
•  Auditivas – prevalência 40 a 75%
–  malformação das estruturas do ouvido médio
–  infecções comuns por malformação anatômica dos
dutos
(Roizen et al, 1993; Desai, 1997; Pilcher, 1998; Lange, 2000; Roisen e Patterson, 2003; Martins, 2008).
14/03/12
14
Outras Alterações
•  Doença de Alzheimer
–  Genes localizados no cromossomo 21
–  Proteína precursor de peptídeo amilóide (APP)
–  Após 35 anos
–  Diagnosticável aos 60 anos
(Roizen et al, 1993; Desai, 1997; Pilcher, 1998; Lange, 2000; Roisen e Patterson, 2003; Martins, 2008).
Sistema Imune em
Geral
Suceptibilidade aumentada à infecção
Morbimortalidade
•  Ausência de imunodeficiência franca, mas com
sistema defectivo
•  Microcitose e leucopenia já na vida fetal
(Rosas e Morales, 2004; Guaré e Sabbagh-Haddad, 2007; Almeida, 2008)
14/03/12
15
Imunidade Celular
•  do timo com menos córtex e depleção de timócitos
•  expansão defeituosa de precursores de células T e
células NK defeituosas o que leva a um pool celular
incompleto e resposta celular anormal
•  níveis de fitohemaglutinina e IL’s
•  capacidade proliferativa em resposta a antígenos e
mitógenos
(Myers et al, 1991; Roizen et al, 1993; Lange, 2000; Trotta, 2009).
Imunidade Humoral
•  Menos afetada do que a imunidade celular
•  A resposta de anticorpos a vários antígenos e proteínas
virais é pobre
•  A prevalência de HbsAg em Down é maior que na
população em geral, respondem menos à vacina contra
HBV
(Myers et al, 1991; Roizen et al, 1993; Lange, 2000; Trotta, 2009).
14/03/12
16
Imunidade Inespecífica
•  O número de polimorfonucleares é normal
•  Deficiência na quimiotaxia dos neutrófilos, baixa atividade
bactericida e fagocitose
Opsonização deficiente:
•  Ocorre superexpressão do gene (superóxido dismutase 1), o
que leva a um de ânions e eliminação de bactérias
(Myers et al, 1991; Roizen et al, 1993; Lange, 2000; Trotta, 2009).
Manifestações Orais
•  Hipotonia dos lábios, língua e bochechas
•  Fissura na língua e nos cantos dos lábios
•  Macroglossia relativa
•  Hipodesenvolvimento do maxilar e hipofunção da mandíbula
•  Palato ogival
•  A boca permanece aberta (conforto) - consequentemente a
respiração é bucal
(Marciano et al, 1986; Maia, 1997).
14/03/12
17
Manifestações Orais
•  Dentes com mineralização completa, mas variando o padrão
de erupção
•  Anomalias dentárias 5x maior - decíduos e permanentes
•  Hipodontia ou oligodontia
•  Geminação e fusão de dentes
•  Incisivos centrais em meia lua
•  Incisivos laterais conóides
•  Hipocalcificação dentária
•  Maloclusão dentária
•  Instabilidade da ATM
(Lopez-Perez, 2002; Oliveira et al, 2007; 2008; Oredugba e Akindaomi, 2008)
14/03/12
18
Manifestações Orais
•  Doenças bucais - baixa imunidade da SD
•  Deficiência imunológica: contagem de linfócitos T e
deficiência de quimiotaxia
•  Suceptibilidade a processos infecciosos –
Candidíase.
(Rosas e Morales, 2004; Guaré e Sabbagh-Haddad, 2007; Almeida, 2008).
Doença Periodontal
•  Quimiotaxia deficiente dos neutrófilos - maior perda de osso
alveolar
•  Linfócitos T maduros - progressão da doença periodontal
•  Superexpressão da enzima superóxido-dismutase 1 (SOD 1)
- 50% a 150% níveis elevados
•  PMN - drástica redução de superóxidos - diminuindo a
capacidade das células agir contra microorganismos que
necessitam de superóxidos para destruição
(Barr-Agholme, 1998; Mustacchi e Peres, 2000).
14/03/12
19
Doença Periodontal
•  Padrão de periodontite agressiva
•  Periodontopatógenos - colonização precoce
•  Fibroblastos gengivais + estimulados LPS de aa expressam
mais COX-2, o que induz à produção de PGE2, cuja
concentração se mostram elevadas no fluido gengival
(Cichon et al, 1998; Amano et al, 2008; Cavalcante, 2009, Souza, 2011)
Doença Periodontal
•  Má-oclusão e o apinhamento dental – fatores que facilitam a
colonização
•  Alterações salivares:
–  redução ou alteração do fluxo salivar
–  xerostomia
(Cichon et al, 1998; Amano et al, 2008; Cavalcante, 2009)
36
14/03/12
20
Comprometimento da coordenação motora fina e do
desenvolvimento cognitivo
Problemas mecânicos nos procedimentos da higiene bucal
Deficiente controle do biofilme dentário
(Linossier et al, 2002, 2008; Souza, 2011 )
Índice de Placa, Risco de cárie
e SM
14/03/12
21
•  Alto índice de placa
•  Alto CPO
•  Risco de cárie relativamente alto
•  Contagem Streptococos mutans sem alteração
(Souza, 2011)
Índice de Placa, Risco de cárie
e SM
14/03/12
22
•  Fluxo Salivar acentuadamente diminuído
•  Capacidade tampão moderada ou alta
•  pH salivar alto
•  Xerostomia
(Souza, 2011)
Saliva do Síndrome de Down
•  Determinado pela relação entre o volume coletado pelo
tempo de 5 minutos. A velocidade de secreção salivar
será demonstrada em mililitros por minuto (ml/min).
•  Goma de Parafina
•  Posição supina e confortavél
•  Desprezar a saliva dos primeiros 30 segundos
•  Normal entre 1,6 e 2,3 ml/min.
•  Intermediário (moderado) entre 1,0 e 1,5 ml/min.
•  Baixo (severo) - Menor que 1,0 ml/min.
Teste Dentobuff – Fluxo Salivar
14/03/12
23
—  Utiliza-se a saliva coletada para mensuração do fluxo salivar
—  1,0 ml de saliva a um flaconete pertencente ao kit, contendo uma
solução ácida
—  + 4 gotas do indicador disponível no kit, o flaconete é devidamente
tampado e agita-se a mistura por 10 segundos
—  Então será feita a análise, comparando com a escala colorimétrica
pertencente ao kit, obtendo o resultado do pH salivar
Teste Dentobuff – Capacidade
Tampão
—  Capacidade tampão baixa – menor 4,5
—  Capacidade tampão moderada – entre 4,5 e 5,5
—  Capacidade tampão normal – maior 5,5
Dos indivíduos cuja coleta salivar for inferior a 1,0 ml o exame foi
realizado com a quantidade de saliva disponível no copo graduado.
14/03/12
24
Teste Merck – pH
14/03/12
25
Apresentação clínica
•  CHORO – 1º manifestação, significa a expressão
que transcende a verbalização.
•  REJEIÇÃO – acontece nos casos em que o paciente
recebe uma atenção por conta dos familiares sem
limites, agradando e recompensando as ações.
•  AGRESSÃO – Reflexos involuntários ou
voluntários, expressão da sua vontade, podem ser
físicos ou verbais, acompanhados de crise
convulsiva ou confusão mental.
Sem contenção
Contenção Física
Ativa
Contenção Física
Passiva
• Falar, mostrar e fazer
• Comunicação não verbal
• Controle de voz
• Reforço positivo
• Distração
• Modelagem
• Técnica joelho com joelho
• Criança sob o colo da mãe
• Mãe ao lado
• Posição corpo-a-corpo
• Mãe sentada em sela
• Cadeirinhas
• Pedi Wrap
• Macri
• Mape
• Easy Babe
14/03/12
26
Protocolo de Atendimento preventivo
•  Bochecho diário/semanal com fluoreto de sódio a 0.05% ou 0,2%
•  Aplicações tópicas dirigidas de verniz com flúor
•  Testes microbianos com contagem de streptococos mutans
•  Monitoramento químico com clorexidina ou fluoreto estanhoso
•  Motivação para rigorosa higiene bucal a pacientes e responsáveis
(audiovisual, macromodelo e treinamento)
•  Visitação periódica ao Cirurgião-Dentista com profilaxias de
manutenção (quinzenal e mensal)
Protocolo de Atendimento preventivo
•  Selantes nas superfícies oclusais
•  Diagnóstico precoce das lesões cariosas incipientes e pronto
atendimento
•  Remineralização das manchas brancas
•  Exames radiográficos sequenciados - pesquisa de cárie interproximal.
14/03/12
27
Medicamentos de Rotina
De acordo com a pesquisa as principais classes de
medicamentos utilizadas pelos portadores de síndrome
de Down são:
40% Antipsicóticos
20% Antidepressivos
20% Antiepiléticos
20% Anticonvulsivantes
Medicamentos de Rotina
Antipsicóticos
Clonazepam, Risperidona, Haloperidol, Gardenal
20% Antidepressivos
Rivotril,
20% Antiepiléticos
Fenitoína, Valproato, Carbamazepina, Fenobarbital
20% Anticonvulsivantes
Olcadin, Carbamazepina
14/03/12
28
Orientação de
Higiene Bucal
14/03/12
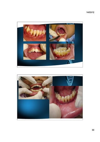
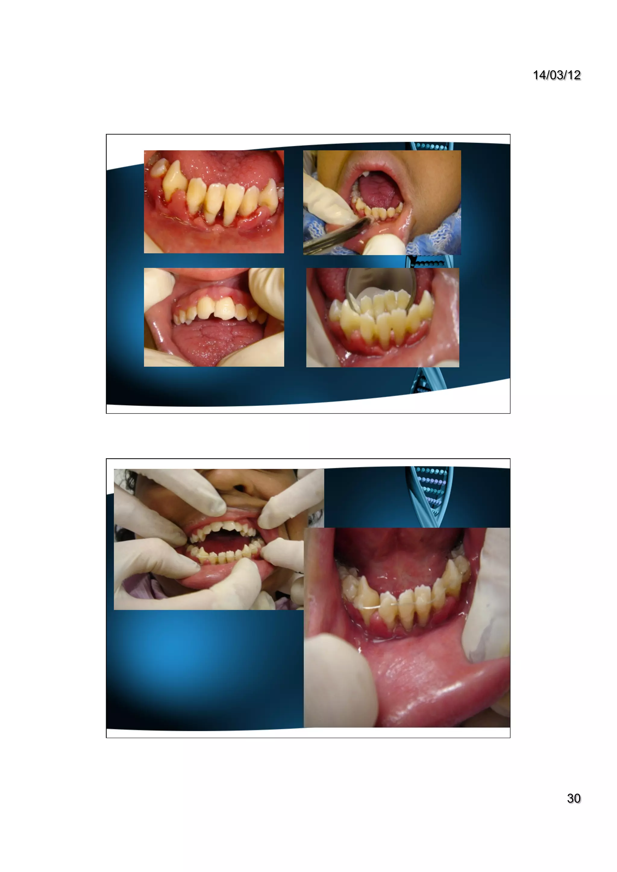
29
14/03/12
30

Sindrome de down - Aula Graduação

  • 1.
    14/03/12 1 Rafael Celestino deSouza Conceito, Manifestações e Abordagem 23 CROMOSSOMOS DO PAI 23 CROMOSSOMOS DA MÃE BEBÊ – 46 CROMOSSOMOS
  • 2.
  • 3.
    14/03/12 3 A Síndrome deDown ou trissomia do c r o m o s s o m o 2 1 é o d i s t ú r b i o cromossômico mais comum. (Down, 1866; Fischer-Brandies et al, 1986; Silva, 2000; Siqueira, 2005). Histórico •  1866 - John Langdon Haydon Down •  1930 - Jenkins e Penrose – alteração cromossômica •  1934 - Waardenburg e Bleyer – não disjunção cromossômica •  1959 – Lejeune – trissomia do 21 •  1960 e 1961 – Polani e Clark – translocação e mosaicismo •  1968 - o primeiro diagnóstico pré-natal •  1983 em diante - AFP, HCG, estriol-não conjugado, outros (Down, 1866; Fischer-Brandies et al, 1986; Yang, 2002; Pimentel, 2003;).
  • 4.
    14/03/12 4 Síndrome e Origem • Idade materna avançada –  risco acima dos 45 anos •  Anomalias uterinas e placentárias •  Aberrações cromossômicas (Mustacchi e Rozone, 1990; Rogers et al, 1996; Jorde et al, 2000). Epidemiologia •  A freqüência cumulativa de nascimentos com trissomia do 21, 18, 13 é menor que 1% •  A taxa de nascimentos vivos com Síndrome de Down é de 1:700 •  De acordo com a idade materna: –  20-24 anos - 1:1400 –  acima de 35 anos - 1:350 –  acima de 45 anos - 1:25 (Mustacchi e Rozone, 1990; Rogers et al, 1996; Jorde et al, 2000).
  • 5.
    14/03/12 5 Epidemiologia Brasil •  NoBrasil, 1:650 nascimentos •  60,5 mil crianças portadoras •  0,2% da população infantil •  8 mil/nascimentos por ano •  Totalizando - 300 mil SD (Viera et al., 2005) Aspectos Genéticos •  Tipos de comprometimento cromossômico: –  Trissomia Simples –  Translocação –  Mosaicismo (Mustacchi, 1990; Desai, 1997; Pilcher, 1998; Yang et al, 2002; Buckley e Sacks, 2007)
  • 6.
    14/03/12 6 Etiologia – Trissomia simples • 95% dos casos de SD (47,XX,+21; 47,XY,+21) •  Frequentes em progênies de idade avançada: 90% erros na divisão meiótica e mecanismos de não-disjunção •  Não-disjunção do cromossomo 21 - gameta com 24 cromossomos •  Fatores ambientais e/ou externos relacionados –  drogas e vírus (Mustacchi, 1990; Desai, 1997; Pilcher, 1998; Yang et al, 2002; Buckley e Sacks, 2007) •  5% - cromossomos de origem paterna: eventos não- disjuncionais na meiose II mais frequentes (2x) (Mustacchi, 1990; Desai, 1997; Pilcher, 1998; Yang et al, 2002; Buckley e Sacks, 2007)
  • 7.
    14/03/12 7 Etiologia - Traslocação • 3-4% dos casos de SD t(14;21) ou t(14q21q) •  Cromossomo 21 fusionado a um cromossomo acrocêntrico •  Geralmente o braço longo do cromossomo 21 se une com o cromossomo 14 •  Número de cromossomos normal, porém há triplicação do material do cromossomo 21 (Mustacchi, 1990; Desai, 1997; Pilcher, 1998; Yang et al, 2002; Buckley e Sacks, 2007) Etiologia - Moisacismo •  1-2% dos casos de SD (47,+21) •  2 ou + populações de células que diferem no seu conteúdo cromossômico •  Não-disjunção ou atraso anafásico durante as divisões mitóticas embrionárias (Mustacchi, 1990; Desai, 1997; Pilcher, 1998; Yang et al, 2002; Buckley e Sacks, 2007)
  • 8.
    14/03/12 8 Aspectos Clínicos •  Característicasfetais mais prevalentes: –  linha siamesa palmar –  45% hipotonia muscular –  clinodactilia –  defeitos cardíacos septais –  feto de menor tamanho –  espessamento nucal –  fácies não patognomônica (Marciano et al, 1986; Mustacchi e Rozone, 1990; Regezi e Sciubba, 1991) AspectosClínicos •  pescoço, pé e mãos são largos e curtos •  40% - cardiopatia congênita •  3 a 7,5% - defeitos no tubo digestivos •  deficiência no sistema imune •  maior risco de desenvolver leucemia (Kivivuori et al, 1996; Roizen et al, 1993; Desai, 1997; Pilcher, 1998; Lange, 2000; Roisen e Patterson, 2003; Siqueira, 2005; Martins, 2008; Trotta, 2009).
  • 9.
    14/03/12 9 AspectosClínicos •  nariz pequenoe ponte nasal achatada •  face achatada •  olhos pequenos e amendoados •  orelhas displásicas e baixa implantação (Kivivuori et al, 1996; Roizen et al, 1993; Desai, 1997; Pilcher, 1998; Lange, 2000; Roisen e Patterson, 2003; Siqueira, 2005; Martins, 2008; Trotta, 2009). AspectosClínicos •  fissura palpebral oblíqua •  prega epicântica larga •  estrabismo •  movimento involuntário do globo ocular •  comprometimento intelectual (Moreira, El-hani e Gusmão, 2000;; Berthold et al., 2004; Miranda, 2006)
  • 10.
    14/03/12 10 Aspectos Clínicos •  Tendênciaao sobrepeso/obesidade na primeira infância: –  96% homens –  71% mulheres •  32 % - hipotiroidismo: –  hipodesenvolvimento ósseo –  hipodesenvolvimento dentário –  atraso de erupção dental (Kivivuori et al, 1996; Roizen et al, 1993; Desai, 1997; Pilcher, 1998; Lange, 2000; Roisen e Patterson, 2003; Siqueira, 2005; Martins, 2008; Trotta, 2009).
  • 11.
  • 12.
    14/03/12 12 Alterações Cardíacas •  DoençaCardíaca Congênita –  prevalência de malformações entre 16 e 62% –  defeitos mais comuns: alterações atrioventriculares com disfunção septal, Tetralogia de Fallot –  Se não tratados têm mortalidade em torno de 50% –  Paciente adulto: morbidadades por hipertensão pulmonar e falência do coração direito (Desai, 1997; Alves et al., 2004; Trotta, 2009). Malformação Átrio-ventricular congênita na S. de Down
  • 13.
    14/03/12 13 Alterações Gastrointestinais •  Atresiaduodenal (2 a 5%) •  Doença de Hirschsprung (2%) evolui para enterocolite •  Onfalocele, pâncreas em anel, malformação anorretal •  Constipação com origem na hipotonia colônica e fatores dietéticos (Laroca et al, 1998; Alves et al, 2004). Outras Alterações •  Oftalmológicas – prevalência 60% –  catarata congênita, estrabismo, glaucoma e erros refracionários maiores –  manchas de Brushfield –  pobre acuidade visual •  Auditivas – prevalência 40 a 75% –  malformação das estruturas do ouvido médio –  infecções comuns por malformação anatômica dos dutos (Roizen et al, 1993; Desai, 1997; Pilcher, 1998; Lange, 2000; Roisen e Patterson, 2003; Martins, 2008).
  • 14.
    14/03/12 14 Outras Alterações •  Doençade Alzheimer –  Genes localizados no cromossomo 21 –  Proteína precursor de peptídeo amilóide (APP) –  Após 35 anos –  Diagnosticável aos 60 anos (Roizen et al, 1993; Desai, 1997; Pilcher, 1998; Lange, 2000; Roisen e Patterson, 2003; Martins, 2008). Sistema Imune em Geral Suceptibilidade aumentada à infecção Morbimortalidade •  Ausência de imunodeficiência franca, mas com sistema defectivo •  Microcitose e leucopenia já na vida fetal (Rosas e Morales, 2004; Guaré e Sabbagh-Haddad, 2007; Almeida, 2008)
  • 15.
    14/03/12 15 Imunidade Celular •  dotimo com menos córtex e depleção de timócitos •  expansão defeituosa de precursores de células T e células NK defeituosas o que leva a um pool celular incompleto e resposta celular anormal •  níveis de fitohemaglutinina e IL’s •  capacidade proliferativa em resposta a antígenos e mitógenos (Myers et al, 1991; Roizen et al, 1993; Lange, 2000; Trotta, 2009). Imunidade Humoral •  Menos afetada do que a imunidade celular •  A resposta de anticorpos a vários antígenos e proteínas virais é pobre •  A prevalência de HbsAg em Down é maior que na população em geral, respondem menos à vacina contra HBV (Myers et al, 1991; Roizen et al, 1993; Lange, 2000; Trotta, 2009).
  • 16.
    14/03/12 16 Imunidade Inespecífica •  Onúmero de polimorfonucleares é normal •  Deficiência na quimiotaxia dos neutrófilos, baixa atividade bactericida e fagocitose Opsonização deficiente: •  Ocorre superexpressão do gene (superóxido dismutase 1), o que leva a um de ânions e eliminação de bactérias (Myers et al, 1991; Roizen et al, 1993; Lange, 2000; Trotta, 2009). Manifestações Orais •  Hipotonia dos lábios, língua e bochechas •  Fissura na língua e nos cantos dos lábios •  Macroglossia relativa •  Hipodesenvolvimento do maxilar e hipofunção da mandíbula •  Palato ogival •  A boca permanece aberta (conforto) - consequentemente a respiração é bucal (Marciano et al, 1986; Maia, 1997).
  • 17.
    14/03/12 17 Manifestações Orais •  Dentescom mineralização completa, mas variando o padrão de erupção •  Anomalias dentárias 5x maior - decíduos e permanentes •  Hipodontia ou oligodontia •  Geminação e fusão de dentes •  Incisivos centrais em meia lua •  Incisivos laterais conóides •  Hipocalcificação dentária •  Maloclusão dentária •  Instabilidade da ATM (Lopez-Perez, 2002; Oliveira et al, 2007; 2008; Oredugba e Akindaomi, 2008)
  • 18.
    14/03/12 18 Manifestações Orais •  Doençasbucais - baixa imunidade da SD •  Deficiência imunológica: contagem de linfócitos T e deficiência de quimiotaxia •  Suceptibilidade a processos infecciosos – Candidíase. (Rosas e Morales, 2004; Guaré e Sabbagh-Haddad, 2007; Almeida, 2008). Doença Periodontal •  Quimiotaxia deficiente dos neutrófilos - maior perda de osso alveolar •  Linfócitos T maduros - progressão da doença periodontal •  Superexpressão da enzima superóxido-dismutase 1 (SOD 1) - 50% a 150% níveis elevados •  PMN - drástica redução de superóxidos - diminuindo a capacidade das células agir contra microorganismos que necessitam de superóxidos para destruição (Barr-Agholme, 1998; Mustacchi e Peres, 2000).
  • 19.
    14/03/12 19 Doença Periodontal •  Padrãode periodontite agressiva •  Periodontopatógenos - colonização precoce •  Fibroblastos gengivais + estimulados LPS de aa expressam mais COX-2, o que induz à produção de PGE2, cuja concentração se mostram elevadas no fluido gengival (Cichon et al, 1998; Amano et al, 2008; Cavalcante, 2009, Souza, 2011) Doença Periodontal •  Má-oclusão e o apinhamento dental – fatores que facilitam a colonização •  Alterações salivares: –  redução ou alteração do fluxo salivar –  xerostomia (Cichon et al, 1998; Amano et al, 2008; Cavalcante, 2009) 36
  • 20.
    14/03/12 20 Comprometimento da coordenaçãomotora fina e do desenvolvimento cognitivo Problemas mecânicos nos procedimentos da higiene bucal Deficiente controle do biofilme dentário (Linossier et al, 2002, 2008; Souza, 2011 ) Índice de Placa, Risco de cárie e SM
  • 21.
    14/03/12 21 •  Alto índicede placa •  Alto CPO •  Risco de cárie relativamente alto •  Contagem Streptococos mutans sem alteração (Souza, 2011) Índice de Placa, Risco de cárie e SM
  • 22.
    14/03/12 22 •  Fluxo Salivaracentuadamente diminuído •  Capacidade tampão moderada ou alta •  pH salivar alto •  Xerostomia (Souza, 2011) Saliva do Síndrome de Down •  Determinado pela relação entre o volume coletado pelo tempo de 5 minutos. A velocidade de secreção salivar será demonstrada em mililitros por minuto (ml/min). •  Goma de Parafina •  Posição supina e confortavél •  Desprezar a saliva dos primeiros 30 segundos •  Normal entre 1,6 e 2,3 ml/min. •  Intermediário (moderado) entre 1,0 e 1,5 ml/min. •  Baixo (severo) - Menor que 1,0 ml/min. Teste Dentobuff – Fluxo Salivar
  • 23.
    14/03/12 23 —  Utiliza-se asaliva coletada para mensuração do fluxo salivar —  1,0 ml de saliva a um flaconete pertencente ao kit, contendo uma solução ácida —  + 4 gotas do indicador disponível no kit, o flaconete é devidamente tampado e agita-se a mistura por 10 segundos —  Então será feita a análise, comparando com a escala colorimétrica pertencente ao kit, obtendo o resultado do pH salivar Teste Dentobuff – Capacidade Tampão —  Capacidade tampão baixa – menor 4,5 —  Capacidade tampão moderada – entre 4,5 e 5,5 —  Capacidade tampão normal – maior 5,5 Dos indivíduos cuja coleta salivar for inferior a 1,0 ml o exame foi realizado com a quantidade de saliva disponível no copo graduado.
  • 24.
  • 25.
    14/03/12 25 Apresentação clínica •  CHORO– 1º manifestação, significa a expressão que transcende a verbalização. •  REJEIÇÃO – acontece nos casos em que o paciente recebe uma atenção por conta dos familiares sem limites, agradando e recompensando as ações. •  AGRESSÃO – Reflexos involuntários ou voluntários, expressão da sua vontade, podem ser físicos ou verbais, acompanhados de crise convulsiva ou confusão mental. Sem contenção Contenção Física Ativa Contenção Física Passiva • Falar, mostrar e fazer • Comunicação não verbal • Controle de voz • Reforço positivo • Distração • Modelagem • Técnica joelho com joelho • Criança sob o colo da mãe • Mãe ao lado • Posição corpo-a-corpo • Mãe sentada em sela • Cadeirinhas • Pedi Wrap • Macri • Mape • Easy Babe
  • 26.
    14/03/12 26 Protocolo de Atendimentopreventivo •  Bochecho diário/semanal com fluoreto de sódio a 0.05% ou 0,2% •  Aplicações tópicas dirigidas de verniz com flúor •  Testes microbianos com contagem de streptococos mutans •  Monitoramento químico com clorexidina ou fluoreto estanhoso •  Motivação para rigorosa higiene bucal a pacientes e responsáveis (audiovisual, macromodelo e treinamento) •  Visitação periódica ao Cirurgião-Dentista com profilaxias de manutenção (quinzenal e mensal) Protocolo de Atendimento preventivo •  Selantes nas superfícies oclusais •  Diagnóstico precoce das lesões cariosas incipientes e pronto atendimento •  Remineralização das manchas brancas •  Exames radiográficos sequenciados - pesquisa de cárie interproximal.
  • 27.
    14/03/12 27 Medicamentos de Rotina Deacordo com a pesquisa as principais classes de medicamentos utilizadas pelos portadores de síndrome de Down são: 40% Antipsicóticos 20% Antidepressivos 20% Antiepiléticos 20% Anticonvulsivantes Medicamentos de Rotina Antipsicóticos Clonazepam, Risperidona, Haloperidol, Gardenal 20% Antidepressivos Rivotril, 20% Antiepiléticos Fenitoína, Valproato, Carbamazepina, Fenobarbital 20% Anticonvulsivantes Olcadin, Carbamazepina
  • 28.
  • 29.
  • 30.