Seminário: PÂNCREAS
    14/07/2011
MR2 ROBERTO CORRÊA
PÂNCREAS


 “Estou cansada de toda essa bobagem sobre a
beleza estar à flor da pele. O que é que você quer
         afinal, um pâncreas adorável? ”

                    Jean Kerr
PÂNCREAS
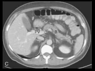
           Órgão exócrino e endócrino
 Mede aproximadamente 15 cm de comprimento
Relação anatômica com estômago, duodeno, cólon
                       e baço
São possíveis variações consideráveis no tamanho,
                forma e localização
    Situa-se no espaço pararrenal anterior do
                   retroperitônio
  Divide-se em cabeça, processo uncinado, colo,
                   corpo e cauda
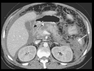
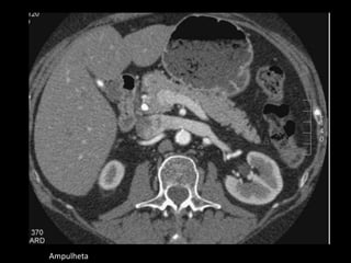
PÂNCREAS-FORMA

      Mais comum: pâncreas afinando-se
              gradativamente;
      Pâncreas em forma de ampulheta;

 Em alguns pacientes, a flexura esplênica está
posterior à cauda e está no hilo do baço; nesses
  casos, a cauda e o baço estão parcialmente
                peritonializados.
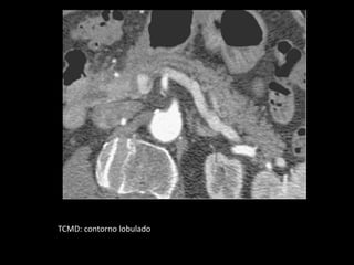
Ampulheta
TCMD: contorno lobulado
PÂNCREAS-TAMANHO

      Melhores medidas por Kreel e Sandin
             Cabeça: 23 ± 3 mm;
              Colo: 19 ± 2,5 mm;
              Corpo: 20 ± 3 mm;
             Cauda: 15 ± 2,5 mm;

      Medidas no US tendem a ser menores;
A glândula diminui com a idade, mas razão cabeça
              e corpo é constante.
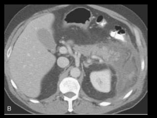
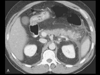
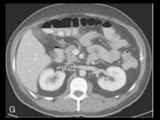
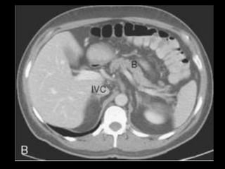
PÂNCREAS-DENSIDADE
Pâncreas não intensificado por contraste:
Densidade igual à do tecido mole: 30-50 HU;
Aumenta para 100-150 HU com contraste;
Intensificação homogênea da glândula normal é
um sinal útil para afastar necrose na pancreatite;
Algumas      condições      patológicas   produzem
infiltração adiposa e atrofia: fibrose cística e
pancreatite crônica;
O pâncreas não tem cápsula fibrosa e seu contorno
pode ser regular ou lobulado.
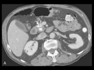
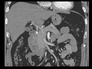
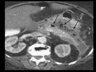
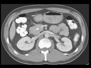
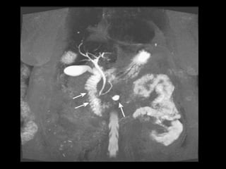
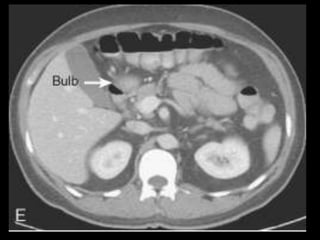
PÂNCREAS-SISTEMA DUCTAL
O ducto pancreático principal(WIRSUNG) é formado
pela fusão do ducto dorsal no corpo e na cauda com o
ducto ventral no processo uncinado, que se une ao
ducto biliar comum na ampola de Vater e desemboca
no duodeno pela papila maior.

Essa é a principal via de drenagem em 91%.

Todo o ducto pancreático pode ser visualizado num
único plano com as reformatações curvas produzidas
com os aparelhos de TCMD.
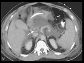
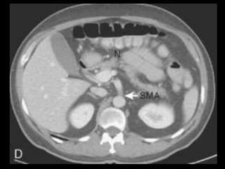
PÂNCREAS-SISTEMA DUCTAL

O ducto pancreático acessório(SANTORINI) está
localizado na parte superior(cabeça) do pâncreas,
é mais horizontal que ducto de Wirsung e drena
proximalmente à papila maior na papila menor.

Está presente em 44 % das pessoas.

Essa é a principal via de drenagem em 9%.
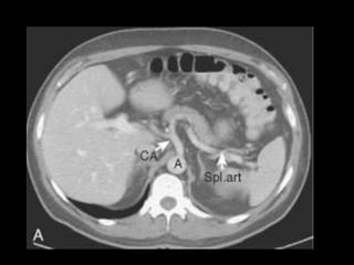
PÂNCREAS-VASOS

               AORTA
          TRONCO CELÍACO
        MESENTÉRICA SUPERIOR
             ESPLÊNICA

PANCREÁTICA DORSAL, MAGNA E TRANSVERSA
    PANCREATICODUODENAIS SUP E INF

              VEIA PORTA
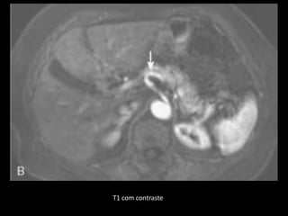
ANATOMIA RM NORMAL

   Depende da sequência de pulsos escolhida;
  T1: sinal mais forte que tecidos não adiposos,
como o fígado e os músculos, devido ao conteúdo
                 proteico aquoso.
      T1 com supressão de gordura: ↑sinal;
   T2: ligeiramente hiperintenso em relação ao
                     músculo;
 T2 com supressão de gordura: contraste com a
            gordura adjacente é mínimo.
T1 com supressão de gordura
T1 com contraste
T1 em fase e fora de fase
T2: ducto pancreático
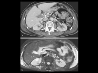
ANATOMIA RM NORMAL

GRE T1 em fase: hiperintenso devido ao conteúdo
                     adiposo;
          Fora de fase: queda do sinal;
  T1 com contraste: realce intenso e eliminação
                      rápida;
O DPP é visualizado como uma estrutura de sinal
             forte em T2 e na CPRM.
 Os ramos laterais não são vistos à RM ou CPRM;
                 Uso de secretina
Anomalias congênitas do pâncreas

            Pâncreas bífido
           Pâncreas anular;
      Agenesia do pâncreas dorsal;
   Lobulações da cabeça do pâncreas;
          Pâncreas ectópico;
    Lipomatose pancreática Irregular.
Pâncreas bífido

  Mais comum variante congênita do pâncreas,
     encontrada em 5% a 14% da população;
 Caracteriza-se pela não fusão dos ductos dorsal e
       ventral, que drenam separadamente;
      Drenagem predominante pelos ductos
      dorsais(Santorini) para a papila menor.
O espectro de sintomas clínicos é amplo, variando
de assintomático a dores abdominais leves e a uma
 pancreatite aguda, aguda recorrente ou crônica.
Pâncreas bífido
A CPER tem sido tradicionalmente considerada o
 padrão ouro para o diagnóstico dessa condição;
  Canulação da papila maior: ducto ventral mais
 curto que o normal(1 a 4 cm), não cruza a linha
   média e conserva a sua ramificação normal;
   Canulação da papila menor: sistema dorsal
permeável drenando o colo, o corpo e a cauda do
                   pâncreas;
            CPRM: 73% de acurácia;
    TCMD: pode ser diagnóstica com o uso de
          reconstruções multiplanares.
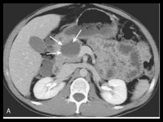
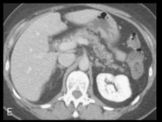
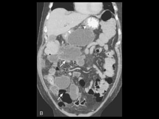
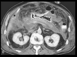
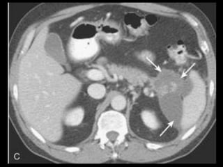
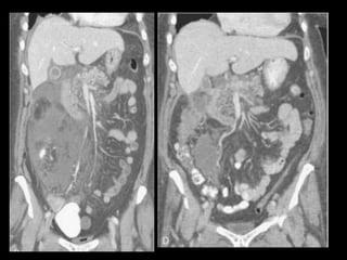
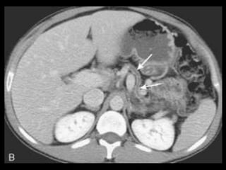
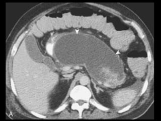
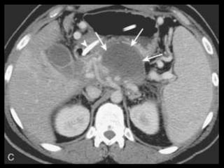
Pâncreas anular

            Rara anomalia congênita
         1 em cada 20.000 nascimentos
     Caracteriza-se por uma parte de tecido
pancreático, em continuidade com a cabeça, que
 circunscreve parcial ou totalmente o duodeno;
Circunda habitualmente a 2ª. porção(74%) e em
         menor proporção a 1ª. (21%);
 Associa-se comumente a anomalias duodenais
       como atresia, estenose ou atrofia.
Pâncreas anular

   Até 36% tem pâncreas bífido concomitante;
Suspeita-se que o pâncreas anular ocorra devido à
persistência do broto pancreático ventral esquerdo
  ou da não rotação do broto pancreático ventral
                      direito;
  Geralmente diagnosticado na infância devido à
            obstrução gastrointestinal;
Pode ser diagnosticado na idade adulta: obstrução,
   úlcera péptica ou, mais comum, pancreatite.
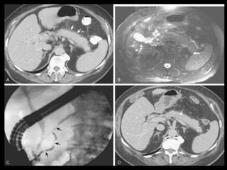
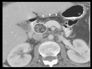
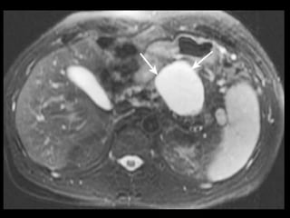
Pâncreas anular
  A CPER mostra um ducto pancreático aberrante
              circundando o duodeno.
    O local de drenagem desse ducto é variável;
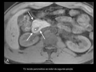
    A RM e a TCMD mostram tecido pancreático
circundando o duodeno, que conserva a densidade
    e a intensidade de sinal do pâncreas normal
remanescente, tanto no exame basal como após a
             administração de contraste.
 Imagens T1 com supressão de gordura são úteis.
 Diferenciação com neo pancreática ou duodenal.
T1: tecido pancreático ao redor da segunda porção
CPRM: compressão extrínseca
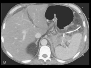
Agenesia do pâncreas dorsal
A agenesia completa do pâncreas é uma anomalia
 congênita associada a outras malformações e não
              é compatível com a vida.
  A agenesia do pâncreas ventral é extremamente
              rara(1 caso na literatura);
      Agenesia do pâncreas dorsal: 20 casos!!!
   Na forma completa estão ausentes o corpo e a
cauda e todo sistema dorsal de ductos, incluindo a
          papila menor e o ducto acessório.
   Associa-se à síndrome de poliesplenia, rotação
  intestinal anômala e a síndrome de heterotaxia.
Agenesia do pâncreas dorsal
          Diagnóstico diferencial com:
      Câncer pancreático com atrofia distal
 Diminuição normal associada ao envelhecimento

 Ducto dorsal de tamanho normal à CPRM: afasta
            agenesia do ducto dorsal;

Agenesia parcial: ddx com PAI, pancreatite dorsal
crônica no pâncreas bífido e atrofia secundária à
pancreatite do corpo do órgão.
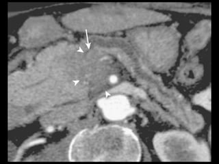
Lobulações da cabeça do pâncreas

  Alterações do contorno da cabeça e do colo do
pâncreas, compostas de tecido pancreático normal
      Pode ser associado ao pâncreas bífido
Lobulações discretas na cabeça com mais de 1 cm
 de dimensão máxima foram encontradas em 35%
                da população geral
           Não causa sintomas clínicos
    Sua importância: podem ser erroneamente
          interpretadas como neoplasia
Lobulações da cabeça do pâncreas
     A RM e a TCMD mostram densidade e a
  intensidade de sinal do pâncreas normais das
 lobulações, tanto no exame basal como após a
   administração de contraste, acompanhando
   paralelamente as características do pâncreas
                      normal
As margens são bem definidas e não há sinais de
 infiltração de estruturas ao redor, dilatação de
    ductos biliares ou circundamento vascular.
   Classificadas em 3 tipos em relação à artéria
     gastroduodenal ou pancreaticoduodenal
Pâncreas Ectópico

Tecido pancreático ectópico pode ser encontrado
em diferentes partes do TGI, mais comumente nos
segmentos proximais e no divertículo de Meckel.

Esse tecido pode ser responsável por sintomas
clínicos relacionados à secreção de enzimas
pancreáticas.

Não é fácil fazer o diagnóstico.
Lipomatose pancreática Irregular

Embora não seja uma variante congênita, essa
entidade pode ser confundida com condições mais
graves.
A infiltração gordurosa do pâncreas é a alteração
histológica mais comumente observada.
Em geral, esse é um processo relacionado à idade
que causa uma redução no tamanho do pâncreas e
torna mais evidente sua estrutura lobular.
A FC e o DM se associam a uma substituição
adiposa aumentada do pâncreas.
Lipomatose pancreática Irregular

Quando a substituição adiposa é focal ou distribui-
se de modo não uniforme pelo órgão, a condição é
denominada lipomatose pancreática irregular.
Classifica-se em 4 tipos
Diagnóstico diferencial com agenesia pancreática
dorsal e uma massa pancreática.
A região peribiliar poupada e um sistema de
ductos pancreáticos normalmente desenvolvidos à
CPRM permitem o diagnóstico correto.
Protocolos de aquisição de imagens

A TCMD pancreática bifásica é considerada como a
técnica mais sensível tanto para a detecção como
para a classificação do estágio do adenocarcinoma
                    pancreático;
A TCMD pancreática bifásica consiste em uma fase
do parênquima pancreático(FP) e uma fase venosa
                    portal(FVP);
    Fase portal: ↓ sensibilidade para T, mas ↑
        sensibilidade para invasão vascular.
Protocolos de aquisição de imagens
  Os retardos de exame para a FP e a FVP podem ser
               fixos ou individualizados;
               Na primeira abordagem:
Retardo de exame de 40 e de 70 segundo para a FP e a
                 FVP respectivamente.
         Preferência: retardo individualizado.
TCMD de 16 ou 64: 150 ml de contraste, razão de fluxo
 de 8 ml/ s, 500 ml de água 20-30 min antes e 250 ml
            imediatamente antes do exame;
      Fase sem contraste: detectar calcificações e
  determinar claramente a localização e extensão do
                       pâncreas.
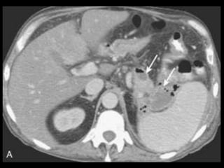
PANCREATITE AGUDA
     Processo inflamatório agudo seguido da
restauração completa da normalidade estrutural e
 funcional depois que o ataque remite, desde que
 nenhuma parte do pâncreas tenha sido destruída
                    por necrose.
 Causas mais comuns: coledocolitíase e etilismo.
   Outras causas: trauma, pós CPER, transtornos
   metabólicos(hiperlipidemia, hipercalcemia),
   drogas(azatioprina, sulfonamidas), tumores e
      anomalias congênitas(pâncreas bífido).
PANCREATITE AGUDA



              Classificação:
1. Pancreatite aguda leve (edematosa ou
                intersticial);
2. Pancreatite aguda grave(necrosante).
PANCREATITE AGUDA LEVE
Doença autolimitada com disfunção inexistente ou
mínima do órgão, sem nenhuma complicação, com
 rápida resposta à terapia médica conservadora
apropriada e pronta resolução das manifestações
  clínicas e das anormalidade laboratoriais, com
       recuperação sem maiores problemas.

Exame de imagem: para detectar coledocolitíase;

  TC indicada se não houver resposta em 48-72
                     horas;
PANCREATITE AGUDA LEVE
                  Achados na TC
  Glândula normal ou minimamente aumentada;
    Atenuação baixa ou heterogênea, devido ao
    edema intersticial, e um contorno irregular;
  Tecido adiposo peripancreático pode se mostrar
     normal ou indistinto devido à inflamação;
É comum o envolvimento difuso, mas podem haver
                   formas focais;
    Após contraste: intensificação uniforme da
     glândula devido à rede capilar intacta com
                   vasodilatação.
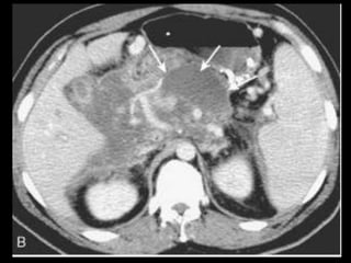
PANCREATITE AGUDA GRAVE
     Ocorre em 20-30% dos pacientes com PA;
Caracteriza-se por evolução protraída, insuficiência
    de múltiplos órgãos e necrose pancreática;
Necrose pode ser difusa ou esparsa, superficial ou
    profunda, e pode afetar qualquer parte do
                     pâncreas;
 A necrose ocorre logo de início, em 24-48 horas,
    ela permanece estável, com raras exceções.
    Os resultados TC são melhores indicadores
 prognósticos que sistemas de escores numéricos,
devido a sua maior sensibilidade e especificidade.
PANCREATITE AGUDA GRAVE
   A administração de contraste IV é essencial,
especialmente em pacientes com PA grave, para
 visualizar o pâncreas, diferenciar a glândula de
     coleções líquidas adjacentes e do tecido
  inflamatório peripancreático e demonstrar a
               necrose pancreática.
 Áreas focais ou difusas de realce diminuídas ou
 ausente à TC contrastada dinâmica constituem
          áreas de isquemia ou necrose.
TC tem precisão geral de 87% com S e E de 100%
para necrose extensa e 50% com áreas menores.
Complicações da PA



1. Coleções líquidas agudas
  2. Abscesso pancreático
        3. Necrose
      4. Hemorragia
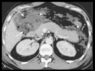
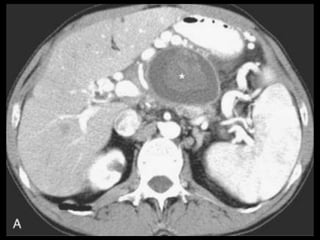
Coleções líquidas agudas
      Ocorrem em cerca de 40% dos casos;
   Podem ser em torno da glândula ou extra-
                  pancreático;
 Carecem de cápsula e são confinadas ao espaço
        anatômico onde se encontram;
 Podem dissecar para outros locais: mediastino,
pararrenal posterior, órgãos sólidos ou parede de
                 alça intestinal.
Coleções líquidas agudas- TC
                Hipodensas
               Mal definidas
     Sem cápsula ou parede reconhecível

   Resolução espontânea em 50% dos casos;
   Complicações: dor, infecção secundária e
                  hemorragia;
São passíveis de drenagem percutânea caso não
      regridam ou se tornem infectadas.
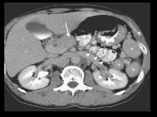
Pseudocistos
 Coleções encapsuladas e uniloculadas de líquido
 pancreático e material necrosado e proteináceo;
 São necessárias 4 semanas ou mais para que um
pseudocisto evolua de uma coleção líquida aguda;
Mais comumente peripancreáticos, mas podem ser
       observados no mediastino e na pelve;
      Importância do contraste oral positivo;
         Metade dos pseudocistos regride
                espontaneamente;
               Sintomas dependem
Pseudocistos-TC
Coleção líquida redonda ou oval, com uma parede
fina ou espessa, que apresenta intensificação pelo
                     contraste;
 RM: lesão uniloculada bem definida, hipointensa
           em T1 e hiperintensa em T2;
  Bolhas de gás: infecção, fístula ou à cistostomia
                      interna;
  Hemorragia aguda dentro do cisto: hiperdensa
  Estenose ou oclusão venosa, com formação de
          varizes ou pseudoaneurismas.
Pseudocistos- complicações
             Obstrução biliar
             Obstrução do TGI
       Invasão do baço ou do fígado
           Ruptura no peritônio

  Pseudocistos < 5 cm: podem se resolver
espontaneamente e devem ser monitorados
Pseudocistos > 5 cm, em expansão, causando
   fortes dores ou obstruindo: drenagem
Abscesso pancreático
Coleções intra-abdominais de pus circunscritas;
     Formam-se 4 semanas ou mais após PA;
  Origem da infecção: hematógena ou linfática;
 TC: coleção focal de atenuação baixa, com uma
   parede relativamente espessa e contendo
         frequentemente bolhas de gás;
As bolhas de gás não são específicas de infecção;
Diagnóstico final depende da condição clínica do
    paciente e da confirmação por aspiração.
Necrose pancreática
O tecido pancreático ou peripancreático pode se
                 tornar infectado;
     O processo pode ser focal e mínimo ou
               disseminado e grave;
    Pode ocorrer de início ou tardiamente e é
  reconhecido por bolhas de gás ou bolsões no
    interior das áreas de necrose(pancreatite
                  enfisematosa).
A TC é sensível na detecção até mesmo da menor
                quantidade de gás.
Necrose pancreática
    Quando o tecido necrosado pancreático ou
  peripancreático não contém gás, a infecção não
pode ser diagnosticada pela TC, a não ser que seja
          feita uma aspiração percutânea;
É importante distinguir o abscesso de uma necrose
   infectada, porque a mortalidade da necrose é
   quase o dobro da mortalidade do abscesso e a
  terapia específica de cada condição é diferente;
     A aspiração com agulha é crucial, porque a
aparência TC de uma zona de necrose infectada de
   atenuação baixa pode ser similar ao abscesso.
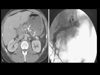
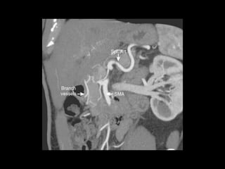
Hemorragia
Geralmente uma consequência tardia, devido a um
     vazamento difuso do tecido de granulação
inflamado ou às lesões vasculares produzidas pelas
   enzimas pancreáticas ativadas e extravazadas.
    Artéria esplênica e seus ramos e artérias das
            arcadas pancreaticoduodenais.
     TC: líquido com alta atenuação na cavidade
   peritoneal ou no retroperitônio, numa coleção
      líquida preexistente ou num pseudocisto;
    Tratamento: angiografia de emergência, com
                 embolização seletiva.
Pancreatite Crônica
     Transtorno fibroinflamatório progressivo
  caracterizado por dor abdominal ou lombar(ou
   ambas) intermitentes ou contínuas, devido à
  persistência de danos estruturais após ter sido
            eliminada a causa primária;
   Esses danos acarretam perda do parênquima
pancreático, insuficiência funcional e complicações
     como estreitamento biliar, pseudocisto e
                pseudoaneurisma.
Pancreatite Crônica



          Classificação
1. Pancreatite crônica calcificante;
2. Pancreatite crônica obstrutiva;
    3. Pancreatite autoimune.
1. Pancreatite crônica calcificante
   Caracteriza-se por destruição acinar e fibrose
  perilobular, com células inflamatórias agudas e
                      crônicas;
Clínica: surtos recorrentes de dor abdominal e pela
   formação eventual de cálculos intraductais na
                  maioria dos casos;
          Fatores causais: etilismo e tabaco;
   Há formas hereditárias, tropicais, idiopáticas e
     senis(essa última com frequência indolor).
2. Pancreatite crônica obstrutiva

 Nessa forma, a obstrução persistente do ducto
    pancreático devido a um tumor ou a uma
estreitamento ductal pós-inflamatório acarreta a
           atrofia do pâncreas distal;
 Embora com frequência indolor, manifesta-se
            ocasionalmente por PA;
Geralmente não são vistos cálculos intraductais.
3. Pancreatite autoimune
Processo inflamatório linfoplasmocitário sistêmico
     envolvendo o pâncreas e outros órgãos;
Descrita pela primeira vez em 1961(Sarles e cols);
        “Esclerose inflamatória primária”
     Aumento da IgG( especialmente IgG 4);
              Associação de PAI com:
  Sjögren, colangite esclerosante primária, CBP,
             colite ulcerativa e o LES;
            Resposta boa a esteroides
       Pode mimetizar uma lesão maligna
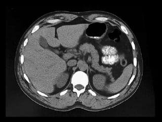
Pancreatite Crônica
 TC: dilatação e estreitamentos ductais irregulares,
atrofia do parênquima e calcificações pancreáticas;
    Dilatação é frequente, mas não é específica:
        carcinomas pancreáticos e ampulares;
 Um ducto uniforme e dilatado, com uma razão do
    diâmetro do ducto para o diâmetro total da
 glândula superior a 0,5 é sugestivo de carcinoma.
    Cálculos ou calcificações pancreáticas são as
 manifestações na TC mais específicas da PC e não
      se encontram em associação à obstrução
                     neoplásica.
Pancreatite Crônica
 Embora a história clínica, calcificações na massa,
 cálculos ductais e ramos laterais ductais dilatados
  possam ajudar a diferenciar as massas benignas
    das malignas, isso pode não ocorrer sempre,
porque uma pancreatite obstrutiva aguda e crônica
    pode preceder um carcinoma demonstrável;
 Uma fibrose pancreática simples, sem inflamação
  ou destruição do parênquima, pode ocorrer em
  associação ao envelhecimento, ao etilismo e ao
   tabagismo. Clinicamente silenciosa e deve ser
         distinguida da pancreatite crônica.
Pâncreas 2011
Pâncreas 2011
Pâncreas 2011
Pâncreas 2011
Pâncreas 2011

Pâncreas 2011

  • 1.
    Seminário: PÂNCREAS 14/07/2011 MR2 ROBERTO CORRÊA
  • 2.
    PÂNCREAS “Estou cansadade toda essa bobagem sobre a beleza estar à flor da pele. O que é que você quer afinal, um pâncreas adorável? ” Jean Kerr
  • 3.
    PÂNCREAS Órgão exócrino e endócrino Mede aproximadamente 15 cm de comprimento Relação anatômica com estômago, duodeno, cólon e baço São possíveis variações consideráveis no tamanho, forma e localização Situa-se no espaço pararrenal anterior do retroperitônio Divide-se em cabeça, processo uncinado, colo, corpo e cauda
  • 10.
    PÂNCREAS-FORMA Mais comum: pâncreas afinando-se gradativamente; Pâncreas em forma de ampulheta; Em alguns pacientes, a flexura esplênica está posterior à cauda e está no hilo do baço; nesses casos, a cauda e o baço estão parcialmente peritonializados.
  • 12.
  • 14.
  • 15.
    PÂNCREAS-TAMANHO Melhores medidas por Kreel e Sandin Cabeça: 23 ± 3 mm; Colo: 19 ± 2,5 mm; Corpo: 20 ± 3 mm; Cauda: 15 ± 2,5 mm; Medidas no US tendem a ser menores; A glândula diminui com a idade, mas razão cabeça e corpo é constante.
  • 16.
    PÂNCREAS-DENSIDADE Pâncreas não intensificadopor contraste: Densidade igual à do tecido mole: 30-50 HU; Aumenta para 100-150 HU com contraste; Intensificação homogênea da glândula normal é um sinal útil para afastar necrose na pancreatite; Algumas condições patológicas produzem infiltração adiposa e atrofia: fibrose cística e pancreatite crônica; O pâncreas não tem cápsula fibrosa e seu contorno pode ser regular ou lobulado.
  • 17.
    PÂNCREAS-SISTEMA DUCTAL O ductopancreático principal(WIRSUNG) é formado pela fusão do ducto dorsal no corpo e na cauda com o ducto ventral no processo uncinado, que se une ao ducto biliar comum na ampola de Vater e desemboca no duodeno pela papila maior. Essa é a principal via de drenagem em 91%. Todo o ducto pancreático pode ser visualizado num único plano com as reformatações curvas produzidas com os aparelhos de TCMD.
  • 18.
    PÂNCREAS-SISTEMA DUCTAL O ductopancreático acessório(SANTORINI) está localizado na parte superior(cabeça) do pâncreas, é mais horizontal que ducto de Wirsung e drena proximalmente à papila maior na papila menor. Está presente em 44 % das pessoas. Essa é a principal via de drenagem em 9%.
  • 20.
    PÂNCREAS-VASOS AORTA TRONCO CELÍACO MESENTÉRICA SUPERIOR ESPLÊNICA PANCREÁTICA DORSAL, MAGNA E TRANSVERSA PANCREATICODUODENAIS SUP E INF VEIA PORTA
  • 33.
    ANATOMIA RM NORMAL Depende da sequência de pulsos escolhida; T1: sinal mais forte que tecidos não adiposos, como o fígado e os músculos, devido ao conteúdo proteico aquoso. T1 com supressão de gordura: ↑sinal; T2: ligeiramente hiperintenso em relação ao músculo; T2 com supressão de gordura: contraste com a gordura adjacente é mínimo.
  • 34.
  • 35.
  • 36.
    T1 em fasee fora de fase
  • 37.
  • 38.
    ANATOMIA RM NORMAL GRET1 em fase: hiperintenso devido ao conteúdo adiposo; Fora de fase: queda do sinal; T1 com contraste: realce intenso e eliminação rápida; O DPP é visualizado como uma estrutura de sinal forte em T2 e na CPRM. Os ramos laterais não são vistos à RM ou CPRM; Uso de secretina
  • 39.
    Anomalias congênitas dopâncreas Pâncreas bífido Pâncreas anular; Agenesia do pâncreas dorsal; Lobulações da cabeça do pâncreas; Pâncreas ectópico; Lipomatose pancreática Irregular.
  • 40.
    Pâncreas bífido Mais comum variante congênita do pâncreas, encontrada em 5% a 14% da população; Caracteriza-se pela não fusão dos ductos dorsal e ventral, que drenam separadamente; Drenagem predominante pelos ductos dorsais(Santorini) para a papila menor. O espectro de sintomas clínicos é amplo, variando de assintomático a dores abdominais leves e a uma pancreatite aguda, aguda recorrente ou crônica.
  • 41.
    Pâncreas bífido A CPERtem sido tradicionalmente considerada o padrão ouro para o diagnóstico dessa condição; Canulação da papila maior: ducto ventral mais curto que o normal(1 a 4 cm), não cruza a linha média e conserva a sua ramificação normal; Canulação da papila menor: sistema dorsal permeável drenando o colo, o corpo e a cauda do pâncreas; CPRM: 73% de acurácia; TCMD: pode ser diagnóstica com o uso de reconstruções multiplanares.
  • 44.
    Pâncreas anular Rara anomalia congênita 1 em cada 20.000 nascimentos Caracteriza-se por uma parte de tecido pancreático, em continuidade com a cabeça, que circunscreve parcial ou totalmente o duodeno; Circunda habitualmente a 2ª. porção(74%) e em menor proporção a 1ª. (21%); Associa-se comumente a anomalias duodenais como atresia, estenose ou atrofia.
  • 45.
    Pâncreas anular Até 36% tem pâncreas bífido concomitante; Suspeita-se que o pâncreas anular ocorra devido à persistência do broto pancreático ventral esquerdo ou da não rotação do broto pancreático ventral direito; Geralmente diagnosticado na infância devido à obstrução gastrointestinal; Pode ser diagnosticado na idade adulta: obstrução, úlcera péptica ou, mais comum, pancreatite.
  • 46.
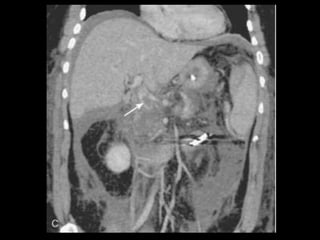
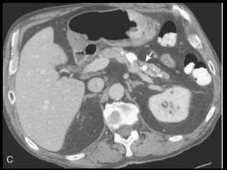
    Pâncreas anular A CPER mostra um ducto pancreático aberrante circundando o duodeno. O local de drenagem desse ducto é variável; A RM e a TCMD mostram tecido pancreático circundando o duodeno, que conserva a densidade e a intensidade de sinal do pâncreas normal remanescente, tanto no exame basal como após a administração de contraste. Imagens T1 com supressão de gordura são úteis. Diferenciação com neo pancreática ou duodenal.
  • 47.
    T1: tecido pancreáticoao redor da segunda porção
  • 48.
  • 50.
    Agenesia do pâncreasdorsal A agenesia completa do pâncreas é uma anomalia congênita associada a outras malformações e não é compatível com a vida. A agenesia do pâncreas ventral é extremamente rara(1 caso na literatura); Agenesia do pâncreas dorsal: 20 casos!!! Na forma completa estão ausentes o corpo e a cauda e todo sistema dorsal de ductos, incluindo a papila menor e o ducto acessório. Associa-se à síndrome de poliesplenia, rotação intestinal anômala e a síndrome de heterotaxia.
  • 51.
    Agenesia do pâncreasdorsal Diagnóstico diferencial com: Câncer pancreático com atrofia distal Diminuição normal associada ao envelhecimento Ducto dorsal de tamanho normal à CPRM: afasta agenesia do ducto dorsal; Agenesia parcial: ddx com PAI, pancreatite dorsal crônica no pâncreas bífido e atrofia secundária à pancreatite do corpo do órgão.
  • 53.
    Lobulações da cabeçado pâncreas Alterações do contorno da cabeça e do colo do pâncreas, compostas de tecido pancreático normal Pode ser associado ao pâncreas bífido Lobulações discretas na cabeça com mais de 1 cm de dimensão máxima foram encontradas em 35% da população geral Não causa sintomas clínicos Sua importância: podem ser erroneamente interpretadas como neoplasia
  • 54.
    Lobulações da cabeçado pâncreas A RM e a TCMD mostram densidade e a intensidade de sinal do pâncreas normais das lobulações, tanto no exame basal como após a administração de contraste, acompanhando paralelamente as características do pâncreas normal As margens são bem definidas e não há sinais de infiltração de estruturas ao redor, dilatação de ductos biliares ou circundamento vascular. Classificadas em 3 tipos em relação à artéria gastroduodenal ou pancreaticoduodenal
  • 56.
    Pâncreas Ectópico Tecido pancreáticoectópico pode ser encontrado em diferentes partes do TGI, mais comumente nos segmentos proximais e no divertículo de Meckel. Esse tecido pode ser responsável por sintomas clínicos relacionados à secreção de enzimas pancreáticas. Não é fácil fazer o diagnóstico.
  • 57.
    Lipomatose pancreática Irregular Emboranão seja uma variante congênita, essa entidade pode ser confundida com condições mais graves. A infiltração gordurosa do pâncreas é a alteração histológica mais comumente observada. Em geral, esse é um processo relacionado à idade que causa uma redução no tamanho do pâncreas e torna mais evidente sua estrutura lobular. A FC e o DM se associam a uma substituição adiposa aumentada do pâncreas.
  • 58.
    Lipomatose pancreática Irregular Quandoa substituição adiposa é focal ou distribui- se de modo não uniforme pelo órgão, a condição é denominada lipomatose pancreática irregular. Classifica-se em 4 tipos Diagnóstico diferencial com agenesia pancreática dorsal e uma massa pancreática. A região peribiliar poupada e um sistema de ductos pancreáticos normalmente desenvolvidos à CPRM permitem o diagnóstico correto.
  • 60.
    Protocolos de aquisiçãode imagens A TCMD pancreática bifásica é considerada como a técnica mais sensível tanto para a detecção como para a classificação do estágio do adenocarcinoma pancreático; A TCMD pancreática bifásica consiste em uma fase do parênquima pancreático(FP) e uma fase venosa portal(FVP); Fase portal: ↓ sensibilidade para T, mas ↑ sensibilidade para invasão vascular.
  • 61.
    Protocolos de aquisiçãode imagens Os retardos de exame para a FP e a FVP podem ser fixos ou individualizados; Na primeira abordagem: Retardo de exame de 40 e de 70 segundo para a FP e a FVP respectivamente. Preferência: retardo individualizado. TCMD de 16 ou 64: 150 ml de contraste, razão de fluxo de 8 ml/ s, 500 ml de água 20-30 min antes e 250 ml imediatamente antes do exame; Fase sem contraste: detectar calcificações e determinar claramente a localização e extensão do pâncreas.
  • 67.
    PANCREATITE AGUDA Processo inflamatório agudo seguido da restauração completa da normalidade estrutural e funcional depois que o ataque remite, desde que nenhuma parte do pâncreas tenha sido destruída por necrose. Causas mais comuns: coledocolitíase e etilismo. Outras causas: trauma, pós CPER, transtornos metabólicos(hiperlipidemia, hipercalcemia), drogas(azatioprina, sulfonamidas), tumores e anomalias congênitas(pâncreas bífido).
  • 68.
    PANCREATITE AGUDA Classificação: 1. Pancreatite aguda leve (edematosa ou intersticial); 2. Pancreatite aguda grave(necrosante).
  • 69.
    PANCREATITE AGUDA LEVE Doençaautolimitada com disfunção inexistente ou mínima do órgão, sem nenhuma complicação, com rápida resposta à terapia médica conservadora apropriada e pronta resolução das manifestações clínicas e das anormalidade laboratoriais, com recuperação sem maiores problemas. Exame de imagem: para detectar coledocolitíase; TC indicada se não houver resposta em 48-72 horas;
  • 70.
    PANCREATITE AGUDA LEVE Achados na TC Glândula normal ou minimamente aumentada; Atenuação baixa ou heterogênea, devido ao edema intersticial, e um contorno irregular; Tecido adiposo peripancreático pode se mostrar normal ou indistinto devido à inflamação; É comum o envolvimento difuso, mas podem haver formas focais; Após contraste: intensificação uniforme da glândula devido à rede capilar intacta com vasodilatação.
  • 78.
    PANCREATITE AGUDA GRAVE Ocorre em 20-30% dos pacientes com PA; Caracteriza-se por evolução protraída, insuficiência de múltiplos órgãos e necrose pancreática; Necrose pode ser difusa ou esparsa, superficial ou profunda, e pode afetar qualquer parte do pâncreas; A necrose ocorre logo de início, em 24-48 horas, ela permanece estável, com raras exceções. Os resultados TC são melhores indicadores prognósticos que sistemas de escores numéricos, devido a sua maior sensibilidade e especificidade.
  • 79.
    PANCREATITE AGUDA GRAVE A administração de contraste IV é essencial, especialmente em pacientes com PA grave, para visualizar o pâncreas, diferenciar a glândula de coleções líquidas adjacentes e do tecido inflamatório peripancreático e demonstrar a necrose pancreática. Áreas focais ou difusas de realce diminuídas ou ausente à TC contrastada dinâmica constituem áreas de isquemia ou necrose. TC tem precisão geral de 87% com S e E de 100% para necrose extensa e 50% com áreas menores.
  • 85.
    Complicações da PA 1.Coleções líquidas agudas 2. Abscesso pancreático 3. Necrose 4. Hemorragia
  • 86.
    Coleções líquidas agudas Ocorrem em cerca de 40% dos casos; Podem ser em torno da glândula ou extra- pancreático; Carecem de cápsula e são confinadas ao espaço anatômico onde se encontram; Podem dissecar para outros locais: mediastino, pararrenal posterior, órgãos sólidos ou parede de alça intestinal.
  • 87.
    Coleções líquidas agudas-TC Hipodensas Mal definidas Sem cápsula ou parede reconhecível Resolução espontânea em 50% dos casos; Complicações: dor, infecção secundária e hemorragia; São passíveis de drenagem percutânea caso não regridam ou se tornem infectadas.
  • 90.
    Pseudocistos Coleções encapsuladase uniloculadas de líquido pancreático e material necrosado e proteináceo; São necessárias 4 semanas ou mais para que um pseudocisto evolua de uma coleção líquida aguda; Mais comumente peripancreáticos, mas podem ser observados no mediastino e na pelve; Importância do contraste oral positivo; Metade dos pseudocistos regride espontaneamente; Sintomas dependem
  • 91.
    Pseudocistos-TC Coleção líquida redondaou oval, com uma parede fina ou espessa, que apresenta intensificação pelo contraste; RM: lesão uniloculada bem definida, hipointensa em T1 e hiperintensa em T2; Bolhas de gás: infecção, fístula ou à cistostomia interna; Hemorragia aguda dentro do cisto: hiperdensa Estenose ou oclusão venosa, com formação de varizes ou pseudoaneurismas.
  • 99.
    Pseudocistos- complicações Obstrução biliar Obstrução do TGI Invasão do baço ou do fígado Ruptura no peritônio Pseudocistos < 5 cm: podem se resolver espontaneamente e devem ser monitorados Pseudocistos > 5 cm, em expansão, causando fortes dores ou obstruindo: drenagem
  • 103.
    Abscesso pancreático Coleções intra-abdominaisde pus circunscritas; Formam-se 4 semanas ou mais após PA; Origem da infecção: hematógena ou linfática; TC: coleção focal de atenuação baixa, com uma parede relativamente espessa e contendo frequentemente bolhas de gás; As bolhas de gás não são específicas de infecção; Diagnóstico final depende da condição clínica do paciente e da confirmação por aspiração.
  • 106.
    Necrose pancreática O tecidopancreático ou peripancreático pode se tornar infectado; O processo pode ser focal e mínimo ou disseminado e grave; Pode ocorrer de início ou tardiamente e é reconhecido por bolhas de gás ou bolsões no interior das áreas de necrose(pancreatite enfisematosa). A TC é sensível na detecção até mesmo da menor quantidade de gás.
  • 107.
    Necrose pancreática Quando o tecido necrosado pancreático ou peripancreático não contém gás, a infecção não pode ser diagnosticada pela TC, a não ser que seja feita uma aspiração percutânea; É importante distinguir o abscesso de uma necrose infectada, porque a mortalidade da necrose é quase o dobro da mortalidade do abscesso e a terapia específica de cada condição é diferente; A aspiração com agulha é crucial, porque a aparência TC de uma zona de necrose infectada de atenuação baixa pode ser similar ao abscesso.
  • 112.
    Hemorragia Geralmente uma consequênciatardia, devido a um vazamento difuso do tecido de granulação inflamado ou às lesões vasculares produzidas pelas enzimas pancreáticas ativadas e extravazadas. Artéria esplênica e seus ramos e artérias das arcadas pancreaticoduodenais. TC: líquido com alta atenuação na cavidade peritoneal ou no retroperitônio, numa coleção líquida preexistente ou num pseudocisto; Tratamento: angiografia de emergência, com embolização seletiva.
  • 113.
    Pancreatite Crônica Transtorno fibroinflamatório progressivo caracterizado por dor abdominal ou lombar(ou ambas) intermitentes ou contínuas, devido à persistência de danos estruturais após ter sido eliminada a causa primária; Esses danos acarretam perda do parênquima pancreático, insuficiência funcional e complicações como estreitamento biliar, pseudocisto e pseudoaneurisma.
  • 114.
    Pancreatite Crônica Classificação 1. Pancreatite crônica calcificante; 2. Pancreatite crônica obstrutiva; 3. Pancreatite autoimune.
  • 115.
    1. Pancreatite crônicacalcificante Caracteriza-se por destruição acinar e fibrose perilobular, com células inflamatórias agudas e crônicas; Clínica: surtos recorrentes de dor abdominal e pela formação eventual de cálculos intraductais na maioria dos casos; Fatores causais: etilismo e tabaco; Há formas hereditárias, tropicais, idiopáticas e senis(essa última com frequência indolor).
  • 121.
    2. Pancreatite crônicaobstrutiva Nessa forma, a obstrução persistente do ducto pancreático devido a um tumor ou a uma estreitamento ductal pós-inflamatório acarreta a atrofia do pâncreas distal; Embora com frequência indolor, manifesta-se ocasionalmente por PA; Geralmente não são vistos cálculos intraductais.
  • 123.
    3. Pancreatite autoimune Processoinflamatório linfoplasmocitário sistêmico envolvendo o pâncreas e outros órgãos; Descrita pela primeira vez em 1961(Sarles e cols); “Esclerose inflamatória primária” Aumento da IgG( especialmente IgG 4); Associação de PAI com: Sjögren, colangite esclerosante primária, CBP, colite ulcerativa e o LES; Resposta boa a esteroides Pode mimetizar uma lesão maligna
  • 125.
    Pancreatite Crônica TC:dilatação e estreitamentos ductais irregulares, atrofia do parênquima e calcificações pancreáticas; Dilatação é frequente, mas não é específica: carcinomas pancreáticos e ampulares; Um ducto uniforme e dilatado, com uma razão do diâmetro do ducto para o diâmetro total da glândula superior a 0,5 é sugestivo de carcinoma. Cálculos ou calcificações pancreáticas são as manifestações na TC mais específicas da PC e não se encontram em associação à obstrução neoplásica.
  • 126.
    Pancreatite Crônica Emboraa história clínica, calcificações na massa, cálculos ductais e ramos laterais ductais dilatados possam ajudar a diferenciar as massas benignas das malignas, isso pode não ocorrer sempre, porque uma pancreatite obstrutiva aguda e crônica pode preceder um carcinoma demonstrável; Uma fibrose pancreática simples, sem inflamação ou destruição do parênquima, pode ocorrer em associação ao envelhecimento, ao etilismo e ao tabagismo. Clinicamente silenciosa e deve ser distinguida da pancreatite crônica.