Discussão Clínica Aberta
ao Público
Tema:
Neurotoxoplasmose
Apresentação:
Iuri P. Santos
Prof. Antonio Borba
Caso Clínico
JF, masculino, 33 anos, solteiro, pardo, usuário
de crack e cocaína.
Foi encontrado em via pública, confuso e com
dificuldade para caminhar, sendo encaminhado
ao PA do HSC. Familiar relata que paciente
fugiu de clínica de reabilitação e desde então
morava na rua.
Caso Clínico
Ao exame físico apresentava desvio da
comissura labial à esquerda e perda da força à
esquerda. Sem mais particularidades no exame
físico.
Solicitado hemograma, eletrólitos, anti-HIV e
TC de crânio.
Caso Clínico
Hemograma: 6200 leucócitos (B:4; S:60; L:25)
Hb: 10 Ht: 30,9 Plaquetas: 210.000
Na: 136 K: 4,29 Uréia: 51 Creatinina: 0,85
HIV +
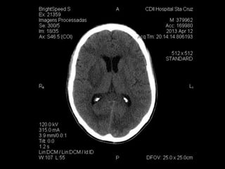
TC de crânio: lesões hipodensas esparsas em substância
branca, efeito de massa em região parietal esquerda.
HD: Neurotoxoplamose ou linfoma?
Paciente internado para investigação.
Caso Clínico
Iniciada terapia com:
- Pirimetamina 25mg/dia VO
- Ácido folínico
- Sulfadiazina 500mg 6/6h VO
Solicitada RNM de crânio, líquor, RX tórax,
ecocardio, prova tuberculínica, sorologia para
toxoplasmose, hepatites C e B e CMV.
Um semana depois...
Paciente sonolento, confuso, fraqueza
muscular generalizada, mais acentuada à
esquerda.
Sinal de Babinski presente bilateralmente.
Caso Clínico
Caso Clínico
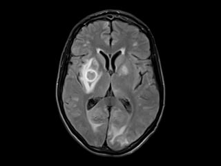
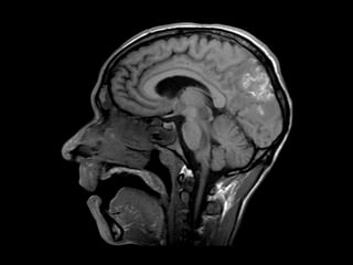
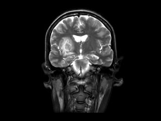
RNM de crânio: lesões multifocais supra e
infratentoriais sugestivas de processo
infeccioso/inflamatório relacionado à infecção
oportunista (neurotoxoplamose).
Demais exames sem alterações, incluindo líquor
e sorologia para toxo.
Caso Clínico
Paciente evolui bem e recebeu alta 28 dias
após internação com prescrição de terapia de
manutenção (piremetamina e sulfadiazina) mais
antirretrovirais.
Encaminhado para acompanhamento no
ambulatório de infectologia da UAA/HSC.
Neurotoxoplamose no paciente HIV
• Agente etiológico: Toxoplasma gondii.
• Lesão com efeito de massa mais comum nos
pacientes HIV + (2ª = LNH Primário de SNC).
• Clínica
- Cefaléia + febre + sinais neurológicos focais
(geralmente na ausência de sinais de irritação
meníngea).
- Convulsões e alterações no estado mental também
ocorrem.
Neurotoxoplamose no paciente HIV
• Diagnóstico
- Clínica + exames de imagem.
- Biópsia cerebral = diagnóstico definitivo
(Raramente Indicada)
- Anticorpos no soro ou no LCR não confirmam
o diagnóstico e a ausência não afasta.
- LCR é normal em até 30% dos pacientes.
Maior utilidade é afastar outras infecções
concomitantes (criptococose principalmente).
Neurotoxoplamose no paciente HIV
Diagnóstico diferencial
1. Linfoma Primário do SNC (Não Hodgkin)
2. Leucoencefalopatia Multifocal Progressiva
(LEMP)
3. Ventriculite por CMV
4. Tuberculoma
5. Criptococoma
6. Abscessos cerebrais (bactérias e Nocardia)
Neurotoxoplamose no paciente HIV
Diagnóstico diferencial
1. Linfoma Primário do SNC (Não Hodgkin)
2. Leucoencefalopatia Multifocal Progressiva
(LEMP)
3. Ventriculite por CMV
4. Tuberculoma
5. Criptococoma
6. Abscessos cerebrais (bactérias e Nocardia)
Neurotoxoplamose no paciente HIV
Linfoma
Neurotoxoplamose no paciente HIV
LEMP
Neurotoxoplamose no paciente HIV
Tuberculoma
Neurotoxoplamose no paciente HIV
Manejo
- O tratamento empírico.
- Resposta clínica é observada após 7-10 dias.
Resposta tomográfica com 2-3 semanas
- Nos pacientes sem resposta adequada [repetir
neuroimagem após 2 semanas – TAC ou RNM]
Neurotoxoplamose no paciente HIV
Opções de tratamento
- Tratamento por 4-6 semanas – a depender da
resposta clinico-tomográfica.
1) Sulfadiazina 100mg/kg/dia VO em doses de 6/6h
+ Pirimetamina 50mg/dia [dose de ataque] seguida de
25 mg/dia.
2) Clindamicina 600 mg EV de 6/6h + Pirimetamina 25
mg/dia (toxo ocular).
3) Dapsona 100 mg/dia + Pirimetamina 25-50 mg/dia
4) Claritromicina 1-2 g/dia ou Azitromicina 1,5 g/dia +
Pirimetamina 25 mg/dia
Obrigado!

Neurotoxoplasmose

  • 1.
    Discussão Clínica Aberta aoPúblico Tema: Neurotoxoplasmose Apresentação: Iuri P. Santos Prof. Antonio Borba
  • 2.
    Caso Clínico JF, masculino,33 anos, solteiro, pardo, usuário de crack e cocaína. Foi encontrado em via pública, confuso e com dificuldade para caminhar, sendo encaminhado ao PA do HSC. Familiar relata que paciente fugiu de clínica de reabilitação e desde então morava na rua.
  • 3.
    Caso Clínico Ao examefísico apresentava desvio da comissura labial à esquerda e perda da força à esquerda. Sem mais particularidades no exame físico. Solicitado hemograma, eletrólitos, anti-HIV e TC de crânio.
  • 4.
    Caso Clínico Hemograma: 6200leucócitos (B:4; S:60; L:25) Hb: 10 Ht: 30,9 Plaquetas: 210.000 Na: 136 K: 4,29 Uréia: 51 Creatinina: 0,85 HIV + TC de crânio: lesões hipodensas esparsas em substância branca, efeito de massa em região parietal esquerda. HD: Neurotoxoplamose ou linfoma? Paciente internado para investigação.
  • 5.
    Caso Clínico Iniciada terapiacom: - Pirimetamina 25mg/dia VO - Ácido folínico - Sulfadiazina 500mg 6/6h VO Solicitada RNM de crânio, líquor, RX tórax, ecocardio, prova tuberculínica, sorologia para toxoplasmose, hepatites C e B e CMV.
  • 6.
    Um semana depois... Pacientesonolento, confuso, fraqueza muscular generalizada, mais acentuada à esquerda. Sinal de Babinski presente bilateralmente. Caso Clínico
  • 7.
    Caso Clínico RNM decrânio: lesões multifocais supra e infratentoriais sugestivas de processo infeccioso/inflamatório relacionado à infecção oportunista (neurotoxoplamose). Demais exames sem alterações, incluindo líquor e sorologia para toxo.
  • 8.
    Caso Clínico Paciente evoluibem e recebeu alta 28 dias após internação com prescrição de terapia de manutenção (piremetamina e sulfadiazina) mais antirretrovirais. Encaminhado para acompanhamento no ambulatório de infectologia da UAA/HSC.
  • 13.
    Neurotoxoplamose no pacienteHIV • Agente etiológico: Toxoplasma gondii. • Lesão com efeito de massa mais comum nos pacientes HIV + (2ª = LNH Primário de SNC). • Clínica - Cefaléia + febre + sinais neurológicos focais (geralmente na ausência de sinais de irritação meníngea). - Convulsões e alterações no estado mental também ocorrem.
  • 14.
    Neurotoxoplamose no pacienteHIV • Diagnóstico - Clínica + exames de imagem. - Biópsia cerebral = diagnóstico definitivo (Raramente Indicada) - Anticorpos no soro ou no LCR não confirmam o diagnóstico e a ausência não afasta. - LCR é normal em até 30% dos pacientes. Maior utilidade é afastar outras infecções concomitantes (criptococose principalmente).
  • 15.
    Neurotoxoplamose no pacienteHIV Diagnóstico diferencial 1. Linfoma Primário do SNC (Não Hodgkin) 2. Leucoencefalopatia Multifocal Progressiva (LEMP) 3. Ventriculite por CMV 4. Tuberculoma 5. Criptococoma 6. Abscessos cerebrais (bactérias e Nocardia)
  • 16.
    Neurotoxoplamose no pacienteHIV Diagnóstico diferencial 1. Linfoma Primário do SNC (Não Hodgkin) 2. Leucoencefalopatia Multifocal Progressiva (LEMP) 3. Ventriculite por CMV 4. Tuberculoma 5. Criptococoma 6. Abscessos cerebrais (bactérias e Nocardia)
  • 17.
  • 18.
  • 19.
  • 20.
    Neurotoxoplamose no pacienteHIV Manejo - O tratamento empírico. - Resposta clínica é observada após 7-10 dias. Resposta tomográfica com 2-3 semanas - Nos pacientes sem resposta adequada [repetir neuroimagem após 2 semanas – TAC ou RNM]
  • 21.
    Neurotoxoplamose no pacienteHIV Opções de tratamento - Tratamento por 4-6 semanas – a depender da resposta clinico-tomográfica. 1) Sulfadiazina 100mg/kg/dia VO em doses de 6/6h + Pirimetamina 50mg/dia [dose de ataque] seguida de 25 mg/dia. 2) Clindamicina 600 mg EV de 6/6h + Pirimetamina 25 mg/dia (toxo ocular). 3) Dapsona 100 mg/dia + Pirimetamina 25-50 mg/dia 4) Claritromicina 1-2 g/dia ou Azitromicina 1,5 g/dia + Pirimetamina 25 mg/dia
  • 22.