Morfologia e função
  dos leucócitos
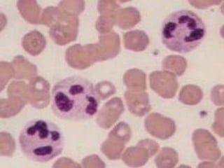
Neutrófilos (granulócitos)
  12 µm diâmetro
  Núcleo multilobulado
  Citoplasma acidófilo
  Granulações citoplasmásticas
Neutrófilos (granulócitos)

 Meia-vida: 7 a 8 horas no sangue
 Defesa orgânica: fagocitose
 Granulações: fosfatase alcalina,
 peroxidase
 Processos infecciosos: vacúolos,
 granulações tóxicas e
 corpúsculos de Dohle
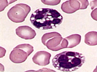
Granulações tóxicas
  neutrófilos
 Característica:    Presença de grânulos
com coloração azurófila
Origem:    maturação     incompleta    do
neutrófilo associada    à liberação    na
corrente sangüínea
Corpúsculos de Döhle

 Características: Corpúsculos azuis-claros na
 periferia do citoplasma
  Origem: Inclusões de RNA
Vacúolos citoplasmáticos

Características:  Estruturas   circulares
sem coloração distribuídas no citoplasma
Origem: Resultante da fusão de grânulos
com vacúolo fagocitário.
Fagocitose




             1.   Quimiotaxia
             2.   Aderência
             3.   Ingestão
             4.   Digestão
Neutrófilos


    Valor dos achados:


 Neutrofilia: infecções sistêmicas,
  infecções agudas (apendicite) –
  DESVIO A ESQUERDA


 Neutropenia: rubéola, gripe,
  mononucleose, medicação
Neutrófilos
Eosinófilos
Granulações: fosfatase,
 peroxidase, histamina

Cristalóide: ação tóxica

Receptores para imunoglobulinas

Circulação: 8 horas – migram para
 pele, mucosa brônquica e
 intestinal.
Eosinófilos


    Valor dos achados:


  Eosinofilia: doenças alérgicas, de
   pele e parasitoses


  Eosinopenia: processos infecciosos
   agudos, corticóides
Basófilos




  Coloração púrpura e histamina
  0-1% no sangue
  Reações alérgicas
  Fc da IgE – degranulação
  Reações anafiláticas, urticária,
  broncoconstriçao
Basófilos




     Basofilia: reações alérgicas,
     Leucemia Mielóide Crônica
Agranulócitos - linfócitos
                       Produtores de
                       anticorpos;
                       Citoplasma azul
                       pálido, núcleo
                       grande
                       São as principais
                       células do sistema
                       imunológico.
                       Atuam em
                       infecções virais.
Agranulócitos - linfócitos

   Linfócitos T: 75%
   Imunidade celular
   Subgrupos:
   Linfócitos T auxiliares: CD4. Contato
   com Macrófago. Produção de
   INTERLEUCINAS
   Linfócitos T supressores: CD8. Braço
   efetor
   Linfócitos “natural killer”: ataque de
   células tumorais
Agranulócitos - linfócitos

  Linfócitos B: 15%
  Imunidade humoral
  Síntese de anticorpos –
  plasmócito

Resposta Imune
 Linfócitos T auxiliares – Int 2 –
 plasmócito
 Células de memória
Agranulócitos - linfócitos

    Valor dos achados:

  Linfocitose: Infecções virais
    respiratórias, mononucleose,
    hepatites virais

  Linfocitopenia: estresse agudo –
    trauma, queimadura, corticóides,
    AIDS, alcoolismo
Agranulócitos – monócitos
                       Monócitos são
                       móveis e são
                       precursores dos
                       macrófagos;
                       Permanecem pouco
                       tempo na
                       circulação;
                       Respondem à
                       estímulos
      Monócito         quimiotáticos;
                       São células
                       apresentadoras de
                       antígenos (APC).
Agranulócitos – monócitos



     Valor dos achados:


   Monocitose: Infecções crônicas –
    tuberculose, sífilis, Lúpus e
    artrite reumatóide
Alterações dos leucócitos
          Processos agudos

 3 fases:
Neutrofilia com Desvio a esquerda
 escalonado (Bt-Mtm-M-Pm)
Eosinopenia
Monocitose e Linfocitose
Reação leucemóide X leucemia
            Aumento exagerado dos GB
                   Leucemóide        Leucemia

GB                 30. A 60.000 mm   20 a 500.000 mm

Neut.              Desvio esquerda   Desvio esquerda nao
                   escalonado        escalonado


Eosino e Baso      Diminuídos        Elevados

SVE                Normal            Anemia

Plaquetas          Aumentadas        Plaquetas gigantes
Alterações dos leucócitos
      Processos Crônicos

Evolução lenta
Neutrofilia, sem desvio
Eosinófilos normais
Monocitose
Linfocitose
Classificação dos leucócitos
                   Granulócitos (apresentam grânulos no                Agranulócitos (não apresentam grânulos
                               citoplasma)                                         no citoplasma)

                                                                                                           
 
                                                               
                                  Eosinófilo
                                                                  B
                                                                              
                                                                                                
                                                                                 Linfócito
                                                                                                                 M
                 Neutrófilo                          asófilo                                         onócito

                                                                        Linfócitos T auxiliares
                                                                        orientam os linfócitos B
                                  Fagocitar
                                                                             na produção de
                                   apenas
                                                                        anticorpos; linfócitos T
                                   alguns
                                                                      citotóxicos que produzem
                                 elementos.
                                                                      substâncias que mudam a
                                     Em
                                                     Liberar              permeabilidade das
                 Fagocitar        doenças
                                                   heparina e           bactérias ou de células    Fagocitar
                elementos       alérgicas ou
                                                   histamina           cancerosas, provocando      bactérias,
    Função      estranhos       provocadas
                                                  liberada em                  sua morte.           vírus e
                    ao               por
                                                   processos               Linfócitos B, que        fungos
                organismo         parasitas
                                                    alérgicos          formarão os plasmócitos
                                 intestinais
                                                                      do tecido conjuntivo, são
                                há aumento
                                                                         os responsáveis pela
                                 do número
                                                                        produção de anticorpos
                                   dessas
                                                                        específicos no combate
                                   células
                                                                            imunológico aos
                                                                         antígenos invasores.

Nº aproximado   4.800 (60 a                                                                         480 (3 a
                                240 (2 a 4%)         80(1%)                2.400 (20 a 30%)

Morfologia leucocitos

  • 1.
    Morfologia e função dos leucócitos
  • 2.
    Neutrófilos (granulócitos) 12 µm diâmetro Núcleo multilobulado Citoplasma acidófilo Granulações citoplasmásticas
  • 4.
    Neutrófilos (granulócitos) Meia-vida:7 a 8 horas no sangue Defesa orgânica: fagocitose Granulações: fosfatase alcalina, peroxidase Processos infecciosos: vacúolos, granulações tóxicas e corpúsculos de Dohle
  • 5.
    Granulações tóxicas neutrófilos  Característica:    Presença de grânulos com coloração azurófila Origem: maturação incompleta do neutrófilo associada à liberação na corrente sangüínea
  • 7.
    Corpúsculos de Döhle Características: Corpúsculos azuis-claros na periferia do citoplasma Origem: Inclusões de RNA
  • 9.
    Vacúolos citoplasmáticos Características: Estruturas circulares sem coloração distribuídas no citoplasma Origem: Resultante da fusão de grânulos com vacúolo fagocitário.
  • 12.
    Fagocitose 1. Quimiotaxia 2. Aderência 3. Ingestão 4. Digestão
  • 19.
    Neutrófilos Valor dos achados: Neutrofilia: infecções sistêmicas, infecções agudas (apendicite) – DESVIO A ESQUERDA Neutropenia: rubéola, gripe, mononucleose, medicação
  • 20.
  • 21.
    Eosinófilos Granulações: fosfatase, peroxidase,histamina Cristalóide: ação tóxica Receptores para imunoglobulinas Circulação: 8 horas – migram para pele, mucosa brônquica e intestinal.
  • 23.
    Eosinófilos Valor dos achados: Eosinofilia: doenças alérgicas, de pele e parasitoses Eosinopenia: processos infecciosos agudos, corticóides
  • 24.
    Basófilos Coloraçãopúrpura e histamina 0-1% no sangue Reações alérgicas Fc da IgE – degranulação Reações anafiláticas, urticária, broncoconstriçao
  • 26.
    Basófilos Basofilia: reações alérgicas, Leucemia Mielóide Crônica
  • 27.
    Agranulócitos - linfócitos Produtores de anticorpos; Citoplasma azul pálido, núcleo grande São as principais células do sistema imunológico. Atuam em infecções virais.
  • 29.
    Agranulócitos - linfócitos Linfócitos T: 75% Imunidade celular Subgrupos: Linfócitos T auxiliares: CD4. Contato com Macrófago. Produção de INTERLEUCINAS Linfócitos T supressores: CD8. Braço efetor Linfócitos “natural killer”: ataque de células tumorais
  • 30.
    Agranulócitos - linfócitos Linfócitos B: 15% Imunidade humoral Síntese de anticorpos – plasmócito Resposta Imune Linfócitos T auxiliares – Int 2 – plasmócito Células de memória
  • 31.
    Agranulócitos - linfócitos Valor dos achados: Linfocitose: Infecções virais respiratórias, mononucleose, hepatites virais Linfocitopenia: estresse agudo – trauma, queimadura, corticóides, AIDS, alcoolismo
  • 32.
    Agranulócitos – monócitos Monócitos são móveis e são precursores dos macrófagos; Permanecem pouco tempo na circulação; Respondem à estímulos Monócito quimiotáticos; São células apresentadoras de antígenos (APC).
  • 34.
    Agranulócitos – monócitos Valor dos achados: Monocitose: Infecções crônicas – tuberculose, sífilis, Lúpus e artrite reumatóide
  • 35.
    Alterações dos leucócitos Processos agudos 3 fases: Neutrofilia com Desvio a esquerda escalonado (Bt-Mtm-M-Pm) Eosinopenia Monocitose e Linfocitose
  • 36.
    Reação leucemóide Xleucemia Aumento exagerado dos GB Leucemóide Leucemia GB 30. A 60.000 mm 20 a 500.000 mm Neut. Desvio esquerda Desvio esquerda nao escalonado escalonado Eosino e Baso Diminuídos Elevados SVE Normal Anemia Plaquetas Aumentadas Plaquetas gigantes
  • 37.
    Alterações dos leucócitos Processos Crônicos Evolução lenta Neutrofilia, sem desvio Eosinófilos normais Monocitose Linfocitose
  • 38.
    Classificação dos leucócitos Granulócitos (apresentam grânulos no Agranulócitos (não apresentam grânulos citoplasma) no citoplasma)                                                            Eosinófilo B                         Linfócito            M Neutrófilo asófilo onócito Linfócitos T auxiliares orientam os linfócitos B Fagocitar na produção de apenas anticorpos; linfócitos T alguns citotóxicos que produzem elementos. substâncias que mudam a Em Liberar permeabilidade das Fagocitar doenças heparina e bactérias ou de células Fagocitar elementos alérgicas ou histamina cancerosas, provocando bactérias, Função estranhos provocadas liberada em sua morte. vírus e ao por processos Linfócitos B, que fungos organismo parasitas alérgicos formarão os plasmócitos intestinais do tecido conjuntivo, são há aumento os responsáveis pela do número produção de anticorpos dessas específicos no combate células imunológico aos antígenos invasores. Nº aproximado 4.800 (60 a 480 (3 a 240 (2 a 4%) 80(1%) 2.400 (20 a 30%)