Hemopoese. Linhagem mielóide.
                                    CFU - Eos                                   Eosinófilo
                                                                                Eosinó

Stem cell
                                    CFU - Mast/Bas                               Basófilo
                                                                                 Basó




                                                             CFU - G             Neutrófilo
                                                                                 Neutró

                                    CFU - GM

  CFU-GEMM
  CFU-
                                                              CFU - M                Monócito
                                                                                     Monó



                                        BFU - E               CFU - E                Hemácias
                                                                                     Hemá




                                    BFU - Meg                 CFU - Meg              Plaquetas




Hemopoese. Linhagem mielóide.


      CFU - G




        Mieloblastos


                       Pró-mielócitos


                                             Mielócitos

                                                          Metamielócitos
                                                                           Bastões           Granulócitos
Hemopoese. Linhagem linfóide.
                                                                Lifócito T
                                                                Lifó
                                                                Citotóxico
                                                                Citotó
                                                                   CD8
Stem cell                  Pró-
                           Pró
                         Timócito
                         Timó               Timócito
                                            Timó                Linfócito T
                                                                Linfó
                                                                  Helper
                                             Timo                  CD4
            Progenitor
             Linfóide
             Linfó




                                                               Célula B
Progenitor B         Pré-B
                     Pré            Pré-B
                                    Pré             Célula B   memória
                                                               memó
                    precoce


                                       Órgão Linfóide
                                        rgã Linfó               Plasmócito
                                                                Plasmó
                                        Secundário
                                        Secundá
Trombocitopoese.
                                          Controle Humoral.
 SF

      IL-3
      IL-
                 IL-11
                 IL-
                         TPO




CFU-GEMM
CFU-         BFU-Meg
             BFU-        CFU-Meg
                         CFU-      Megacarioblasto   Megacariócito
                                                     Megacarió       Plaquetas
Neoplasias Hematológicas.




                            Marcos Fleury
                                UFRJ
Neoplasias Hematológicas.
• São doenças causadas pela proliferação descontrolada de células hematológicas
      doenç                 proliferação                  cé      hematoló
malignas ou incapacidade da medula de produzir a quantidade de células
                                                                 cé
adequada.

• Podem ser estudadas através da microscopia ótica, colorações especiais,
                       atravé                         colorações
reações imunológicas (citometria), técnicas citogenéticas (cariotipagem), e PCR.
reações imunoló                    té       citogené

• A medula óssea é a principal afetada nestas enfermidades e seu exame é
necessário para o diagnóstico.
necessá           diagnó




Neoplasias Hematológicas.




     Normal                         Neoplasia                         Óbito

                                       QT
Neoplasias Hematológicas.
        • Remissão hematológica – ausência de doença à inspeção citológica (baixa
          Remissã hematoló        ausê        doenç    inspeção citoló
        sensibilidade).

        • Carga tumoral – quantidade de células malignas num dado momento da
                                        cé
        doença.
        doenç

            Sintomatologia quando o clone maligno atinge de 1011 a 1012 células.

            Sem tratamento → 1013 células – incompatível com a vida.
                                            incompatí

        • Doença residual – vigilância imunológica.
          Doenç             vigilâ     imunoló

        • Imunodeficiências e transplantes – risco de desenvolvimento de neoplasias
          Imunodeficiê
        de células B (50X).
           cé




  Neoplasias Hematológicas.
  1013                                                               Morte
  1012                                                               Detecção clínica
                                                                     Detecção clí

  1010                                                               Remissão hematológica
                                                                     Remissã hematoló
                                                                     Remissão citogenética
                                                                     Remissã citogené
5 x 108                                                              Remissão imunológica
                                                                     Remissã imunoló
                                                                     (citometria)
  106                                                                Remissão molecular
                                                                     Remissã
                                                                     (PCR)




                                                                              (Zago MA, 2001)
Neoplasias Hematológicas.
 Detecção de Doença Residual Mínima
 Detecção    Doenç           Mí


 • Morfologia - ↓ sensibilidade (1cel/100), ↑ especificidade. Falso negativo.

 • Imunofenotipagem – marcadores peculiares (1 cel/ 10.000) com 3
 marcadores (1cel/100.000).

 • Citogenética - ↑ especificidade (ex. cromossomo Ph), baixa sensibilidade
   Citogené
 (1cel/100).

 • Hibridização in situ Fluorescente (Fish) – sonda + fluorocromo.
   Hibridização

 • PCR - ↑ sensibilidade (1 cel/106). Localiza alterações cromossomiais ou
                                               alterações
 seqüências anormais
 seqüências




 Neoplasias Hematológicas.
                                                                       Neoplasia
                               Oncogene

                     Proliferação
Normal
                                Anti-
                              oncogene

                    Diferenciação




                               Regulador
                              da apoptose
                   Apoptose

                                             Oncogenes – Crescimento celular
                                             Anti-oncogenes – Supressores de tumor
Neoplasias Hematológicas.
↑ leucócitos malignos
      (MO e SP)



                                                        Infiltração de órgãos
                         Fisiopatologia das
Substâncias                  Leucemias                       Fígado, baço,
 inibidoras
                                                        linfonodos, meninges
                                                           pele e testículos
              Inibição
                física
                                Insuficiência medular

                                      Anemia
                                    Neutropenia
                                  Trombocitopenia




Neoplasias Hematológicas.
       Apresentação
       Apresentação                       Leucemias          Leucemias
                                           Agudas             Crônicas
                                                              Crô

       Início
       Iní                                 Agudo              Insidioso
       Curso clínico
              clí                         Semanas               Anos
       Idade                               Todas               Adultos
       Leucometria                        N,A ou D                A
       Celularidade                        Blastos            Maduras
       Neutropenia                        Presente            Ausente
       Anemia                             Presente            Presente
       Plaquetas                         Diminuídas
                                         Diminuí               N ou A
       Organomegalia                      Discreta             Severa
Neoplasias Hematológicas:
 Classificação.

                                       Neoplasias
                                      Hematológicas




  Leucemias            Síndromes                  Síndromes             Síndromes
   Agudas          Mielo-proliferativas        Mielo-displásicas    Linfo-proliferativas




 Leucemias agudas.
• As leucemias agudas resultam de uma proliferação clonal de células imaturas, com pouca ou
                                      proliferação           cé
nenhuma maturação na medula óssea (blastos).
          maturação

• De acordo com o grupo FAB, a presença de mais
                               presenç
de 25% de blastos na MO é considerado como
critério diagnóstico de LA.
crité diagnó

• Antígenos determinantes CD13, CD33, CD117 e
  Antí
mieloperoxidase.

• Anormalidades citogenéticas caracterizam alguns
                citogené
dos subtipos.

• A classificação é feita pela morfologia, citoquímica,
    classificação                          citoquí
citogenética e imunofenotipagem.
citogené
Leucemias agudas.
Significado da leucemia aguda em adulto.


• É uma urgência hematológica.
        urgê     hematoló

• É fatal em semanas sem tratatmento.

• Alta taxa de mortalidade durante a quimioterapia.

• A notificação deve ser feita imediatamente se houver suspeita da doença.
    notificação                                                    doenç




Leucemia linfoblástica aguda.
• Representa cerca de 75% das leucemias em crianças.
                                           crianç

• Os linfoblastos são 2 a 3 vezes maiores que os linfócitos com citoplasma
                  sã                             linfó
escasso de coloração azul-pálida, cromatina densa, uniforme e nucléolo pouco
            coloração azul-                                     nuclé
aparente.
LLA: Classificação FAB
             L1                   L2                   L3

Tamanho      pequeno.             pequeno.             grande.

Núcleo       regular, com ou      irregular,           regular,oval
             sem endentação.
                  endentação.     endentado.           ou redondo.

Cromatina    fina ou em grumos.   fina.                homogênea.
                                                       homogê

Nucléolo
Nuclé        invisível.
             invisí               1 ou 2 visíveis.
                                         visí          1 ou 2 visíveis.
                                                              visí

Citoplasma   escasso, levemente   moderado,            hiperbasófilo e
                                                       hiperbasó
             azulado.             levemente azulado.   vacuolizado.




 Leucemia linfoblástica aguda. L1
Leucemia linfoblástica aguda. L1




Leucemia linfoblástica aguda. L2
Leucemia linfoblástica aguda. L2




Leucemia linfoblástica aguda. L3
Leucemia linfoblástica aguda. L3




LLA: Classificação imunológica.


                         L1    L2    L3

  Célula Pré-B precoce
         Pré             90%   10%   0%

  Célula Pré-B
         Pré             90%   10%   0%

  Célula B               10%   15%   75%

  Célula T               95%   5%    0%
LLA: Aspectos clínicos.

               Cansaço
               Cansaç                              92%

               Dor óssea ou articular              79%

               Febre sem infecção
                         infecção                  71%

               Perda de peso                       66%

               Púrpura                             51%

               Infecção
               Infecção                            17%




LLA: Aspectos laboratoriais.
Anemia normocrômica
       normocrô                         Ht < 30%         65%
e normocítica.
  normocí                               Ht > 30%         35%

Plaquetas.                              < 50             62%
(x109/L)                                50 -150          30%
                                        >150             8%

Leucometria                             < 10             40%
(x 109/L)                               10 - 49          34%
                                        50 - 99          15%
                                        >100             11%

Granulócitos
Granuló                                 <1               73%
(x 109/L)                               1-2              9%
                                        >2               18%
LLA: Diferenciação linfóide.

• Linhagem B - 80 a 85% dos casos.

• Linhagem T – 15 % dos casos.

• Importância terapêutica no reconhecimento de leucemias derivadas de
  Importâ     terapê
precursores B ou linfócitos B ou T maduros.
                 linfó

• Citogenética e genética molecular – análise do cariótipo evidenciando
  Citogené       gené                 aná         carió
alterações estruturais em 80 % dos casos (inversões, deleções e
alterações                                 (inversõ     deleções
translocações)
translocações)




Leucemia mieloblástica aguda.
                                              Morfologia.

                                              • Blastos com
                                              características mielóides,
                                              caracterí       mieló
                                              alguns exibindo bastonetes
                                              de Auer.
Leucemia mieloblástica aguda.
Classificação morfológica dos blastos mielóides.
Classificação morfoló                 mieló

Blastos Tipo I – Apresentam pouca diferenciação, sem
                                  diferenciação,
granulações citoplasmáticas.
granulações citoplasmá



Blastos Tipo II – Alguma diferenciação
                         diferenciação
presente; pequena quantidade de
granulações citoplasmáticas.
granulações citoplasmá




Blastos Tipo III – Células bem diferenciadas apresentando
evidente granulação no citoplasma.
         granulação




LMA: Classificação FAB.
Classificação
Classificação                   % de casos         Prognóstico
                                                   Prognó

M0 - Mínima diferenciação
            diferenciação       5%                 Ruim

M1 - Sem maturação
         maturação              15%                Médio

M2 - Com maturação
         maturação              25%                Bom

M3 – Promielocítica
     Promielocí                 15%                Muito bom

M4 - Mielomonocítica
     Mielomonocí                20%                Médio

M5 - Monocítica
     Monocí                     10%                Médio

M6 – Eritroleucemia             5%                 Ruim

M7 – Megacarioblástica
     Megacarioblá               5%                 Ruim
Leucemia mieloblástica aguda.

                   Stem cell




                   CFU-GEMM
                   CFU-                 LMA M4
                                                    LMA M1, M2

                               LMA M7
  BFU-E
  BFU-                                           CFU-GM
                                                 CFU-

                                                          LMA M5
          LMA M6   CFU-Meg
                   CFU-
                                                 LMA M3


                                        CFU-G
                                        CFU-
  CFU-E
  CFU-                                                    CFU-M
                                                          CFU-




LMA: Peroxidase positiva.
Leucemia mieloblástica aguda. M0
M0 - Mínima diferenciação
            diferenciação

                                • ≥ 30% das células nucleadas são blastos Tipo I.
                                            cé                sã
                                • < 3% dos blastos são MP / SB positivos.
                                                   sã
                                • 20% dos blastos são positivos para antígenos
                                                  sã                 antí
                                mielóides e negativos para Ag linfóides.
                                mieló                         linfó




Leucemia mieloblástica aguda. M1
M1 – Sem maturação
         maturação

• ≥ 30% das células nucleadas são blastos Tipo I e Tipo II
            cé                sã
• ≥ 90% das células não eritróides são blastos.
            cé      nã eritró      sã
• ≥ 3% dos blastos são positivos para SB / MP.
                   sã
Leucemia mieloblástica aguda. M2
M2 – Com maturação
         maturação
• ≥ 30% das células nucleadas são blastos Tipo
            cé                sã
I e Tipo II
• < 90% das células não eritróides são blastos.
            cé      nã eritró      sã
• ≥ 10% das células não eritróides são
             cé     nã eritró      sã
promielócitos ou granulócitos mais maduros.
promieló         granuló




                                               • < 20% das células não eritróides
                                                            cé     nã eritró
                                               são da linhagem monocítica.
                                                               monocí
                                               • > 85% das células leucêmicas são
                                                             cé     leucê     sã
                                               positivas para SB / MP.




Leucemia mieloblástica aguda. M3
M3 - Promielocítica hipergranular
     Promielocí
 • ≥ 30% dos blastos são promielócitos hipergranulares.
                     sã promieló
 • Bastonetes de Auer isolados ou múltiplos.
                                  mú
 • > 85% das células leucêmicas são positivas para SB / MP.
             cé      leucê      sã
Leucemia mieloblástica aguda. M3V
M3V - Promielocítica microgranular
      Promielocí
• ≥ 30% dos blastos são promielócitos microgranulares.
                    sã promieló
• Bastonetes de Auer são raros.
                     sã
• > 85% das células leucêmicas são SB / MP (+).
            cé      leucê      sã




Leucemia mieloblástica aguda. M3V


MPO




                                                  Sudan Black
Leucemia mieloblástica aguda. M4
M4 - Mielomonocítica
     Mielomonocí                                               • ≥ 30% das células nucleadas são blastos
                                                                            cé               sã
                                                               Tipo I e Tipo II.
                                                               • ≥ 30% de mieloblastos, promielócitos,
                                                                                         promieló
                                                               mielócitos e granulócitos mais maduros.
                                                               mieló        granuló
                                                               • < 80% das células não eritróides são
                                                                            cé     nã eritró      sã
                                                               monoblastos, promonócitos ou monócitos.
                                                                            promonó           monó




• > 20% dos blastos são SB / MP
                    sã
(+).
• > 20% dos blastos são αNAE e
                    sã
αNBE (+).




Leucemia mieloblástica aguda. M4
M4 - Citoquímica
     Citoquí

 • Coloração laranja – αNBE –
   Coloração
 monoblasto.
 • Coloração azul - CAE – Mieloblasto.
   Coloração


                                                                 Cloracetato + α naftil butirato esterase


                    Cloracetato + α naftil butirato esterase




                                                                                                            Cloracetato + α naftil butirato esterase
Leucemia mieloblástica aguda. M4
 Cloracetato + α naftil butirato esterase




Leucemia mieloblástica aguda. M4E
M4E – Mielomonocítica com eosinofilia
      Mielomonocí
• Igual a M4 com eosinofilia anormal.
• Eosinófilos com grandes grânulos basofílicos anormais CAE (+).
  Eosinó                  grâ      basofí
Leucemia mieloblástica aguda. M5A
M5A - Monocítica
      Monocí                            • ≥ 30% das células nucleadas são blastos.
                                                    cé                sã
                                        • ≥ 80% das células não eritróides são
                                                    cé      nã eritró      sã
                                        monoblastos, promonócitos ou monócitos.
                                                     promonó           monó
                                        • ≥ 80% das células monocíticas são
                                                     cé     monocí      sã
                                        monoblastos.
                                        • < 20% das células leucêmicas são CAE (+)
                                                    cé      leucê      sã




• ≥ 80% das células leucêmicas são
            cé      leucê      sã
αNAE e αNBE (+).




Leucemia mieloblástica aguda. M5B
M5B – Monocítica Diferenciada
      Monocí

 • ≥ 30% das células nucleadas são blastos.
             cé                sã
 • ≥ 80% das células não eritróides são
             cé      nã eritró      sã
 monoblastos, promonócitos ou monócitos.
              promonó           monó
 • < 80% das células monocíticas são
              cé     monocí      sã
 monoblastos.




                                       • < 20% das células leucêmicas são CAE (+)
                                                   cé      leucê      sã
                                       • ≥ 80% das células leucêmicas são αNAE e
                                                   cé      leucê      sã
                                       αNBE (+).
Leucemia mieloblástica aguda. M5B




                                                   Cloracetato + α naftil butirato esterase




Leucemia mieloblástica aguda. M6
M6 - Eritroleucemia
• ≥ 50% das células nucleadas são eritroblastos.
            cé                sã
• ≥ 30% das células não eritróides são blastos.
            cé      nã eritró      sã
• Muitas células precursoras são PAS (+).
         cé                  sã
Leucemia mieloblástica aguda. M6




                                          PAS




Leucemia mieloblástica aguda. M7
M7 - Megacarioblástica
     Megacarioblá

•≥30% das células nucleadas são
            cé                 sã
megacarioblastos ou células leucêmicas.
                    cé      leucê
• Glicoptns I b ou II b / III a (+)
(imunocitoquímica).
(imunocitoquí
Leucemia mieloblástica aguda. M7




                                                           CD 41




LMA: Aspectos Clínicos
• Cansaço na quase totalidade dos pacientes.
  Cansaç
• Dor óssea ou articular em até 20% dos pacientes
                            até
• Febre sem infecção em 20% dos casos
            infecção
• Mais da metade dos pacientes apresentam perda de peso.
• Manifestações hemorrágicas em mais de 50% dos casos.
  Manifestações hemorrá
• A infecção é uma intercorrência freqüente
    infecção       intercorrê     freqü
• A sobrevida é de cerca de 50% independente da forma de
tratamento, QT ou TMO.
LMA: Aspectos Laboratoriais
• Anemia normocrômica e normocítica em mais de 90% dos casos.
          normocrô      normocí
• Reticulocitopenia.
• Presença de eritroblastos.
  Presenç
• Trombocitopenia → plaquetas < 50 x 109/L em mais da metade dos
pacientes.
• Macroplaquetas.
• Plaquetas hipogranulares (hipofuncionais).
• Leucometria normal em cerca de metade dos pacientes.
• Leucócitos acima de 100 x 109/L em 20% dos pacientes.
  Leucó
• Mais de 50% dos pacientes com menos de 1 x 109/L granulócitos.
                                                   granuló
• Mieloblastos quase sempre presentes; raros em pacientes
leucopênicos.
leucopê




Imunofenotipagem
 • Determinação da linhagem - mielóide x linfóide.
   Determinação               mieló      linfó

 • Distinção entre LLA T x LLA B.
   Distinção

 • Detecção de leucemias de linhagens mistas.
   Detecção

 • Prognóstico baseado na expressão de um determinado marcador.
   Prognó                 expressã

O diagnóstico depende do no de células expressando um determinado marcador.
  diagnó                       cé

      CD 10 +                   CD 10 +                     CD 10 +
       < 5%                   de 20 a 30 %                   > 60%


        MO                          LLA                  Púrpura
       Normal                                        trombocitopênica
                                                     trombocitopê
Imunofenotipagem
Mais do que o percentual de expressão de um marcador, devemos considerar a
                            expressã
composição do fenótipo.
composição     fenó




                       CD 34      Células hematopoéticas imaturas.
                                          hematopoé


                           CD 4       Células T.



                       CD 56          Células NK.




Prognóstico
Na infância
   infâ


• 75 a 90% alcançam a remissão após a indução embora a aplasia profunda seja
           alcanç     remissã apó     indução
necessária.
necessá
• Cerca de 50% apresentam 5 anos de sobrevida livre de doença.
                                                       doenç
• Com a remissão o TMO deve ser considerado – 60 –70% atingindo a remissão a
        remissã                                                   remissã
longo prazo ou cura.
• Leucometria > 100 x 103/ml representa pior prognóstico.
                                             prognó
• LMA M3 – hemorragias durante a indução.
                                 indução.
Prognóstico
Adultos


• De 60 a 70% alcançam a remissão ( pior acima de 60 anos).
              alcanç     remissã
• Pacientes idosos não toleram o tratamento.
                   nã
• O exame citogenético é chave para o prognóstico.
          citogené                    prognó
• A remissão é menos frequente na LMA pós SMD ou QT.
    remissã                           pó
• O TMO deve ser considerado.
• Os períodos de remissão são mais curtos que nas crianças.
     perí        remissã sã                       crianç
• Cerca de 15 a 25% sobreviverão por 3 anos e podem alcançar a cura.
                    sobreviverã                     alcanç
• LMA M3 – remissão em 70 a 90% dos casos.
           remissã




Síndromes mieloproliferativas
• As SMP se originam de uma proliferação clonal das “stem cell” na medula óssea.
                            proliferação                  cell”

• A “stem cell” pode amadurecer seguindo uma ou mais linhagem celular ( mielóide,
           cell”                                                        mieló
eritróide ou megacariocitária ).
eritró       megacariocitá

• São de curso crônico e a classificação é feita segundo a linhagem predominante
               crô         classificação
na qual a maturação ocorre.
          maturação
                                    Síndromes
                               Mielo-proliferativas
                               Mielo-




     Leucemia         Trombocitemia            Policitemia       Metaplasia
      Mielóide
      Mieló              Essencial                Vera            Mielóide
                                                                  Mieló
      Crônica
      Crô                                                        Agnogênica
                                                                 Agnogê
Leucemia Mielóide Crônica.
Morfologia

• Aumento dos basófilos, neutrófilos,
               basó      neutró
plaquetas e precursores mielóides.
                        mieló
• Cromossomo Filadélfia t(9;22)
               Filadé




                                        Leukos haima




Leucemia Mielóide Crônica.
Leucemia Mielóide Crônica.
Incidência – 4500 casos / ano.
Incidê
  Incidência
  Incidê




                                   Idade                        NCI, 2006.




Leucemia Mielóide Crônica.
Cromossomo Philadelphia

                                 • BCR-ABL → Tirosino-cinase alongada.
                                   BCR-      Tirosino-

                                 • Regulação da divisão celular.
                                   Regulação    divisã


                                 FISH – Fluorescence in situ hybridization.




                                      Normal         Anormal
Leucemia Mielóide Crônica.
Fase crônica
     crô


• O diagnóstico acontece geralmente nesta
    diagnó
fase.
• Sintomatologia discreta – a maturação
                              maturação
celular ocorre.
• Não ocorrem sangramentos ou infecções.
                              infecções.
• Anemia discreta ou inexistente.
• Leucocitose com neutrófilos em todas as
                  neutró
fases de maturação.
         maturação.
• Basofilia relativa e absoluta.
• Hiperplaquetemia com macroplaquetas.




Leucemia Mielóide Crônica.
 Fase acelerada.

 • Perda da resposta ao tratamento.

 • A anemia se instala ou progride.

 • A leucometria pode diminuir ou aumentar.

 • Plaquetopenia.

 • Aumento do número de blastos.
              nú
Leucemia Mielóide Crônica.
Crise blástica
      blá

• Aumento dos blastos no SP e na MO.

• Diminuição de plaquetas, neutrófilos e
  Diminuição               neutró
hemácias.
hemá

• Sangramentos, infecções e anemia.
                infecções

• Dor óssea e esplenomegalia.

• Similar em sinais e sintomas a uma LA.




Trombocitemia essencial.
Aspectos clínicos
         clí
• Episódios hemorrágicos (4%) – GI,
  Episó     hemorrá
hematomas e petéquias.
            peté
• Tromboses (20%) – tromboflebites e
TVP.
• Dores de cabeça.
           cabeç
• Tonteiras.
• Sintomas visuais.
• Deficiências auditivas.
  Deficiê                                  Aumento do número de
                                                        nú
                                           plaquetas, presença
                                                      presenç
                                           de plaquetas grandes e
                                           agregados plaquetários.
                                                      plaquetá
Trombocitemia essencial.
Aspectos laboratoriais / critério diagnóstico.
                         crité diagnó

• Trombocitose consistente- plaquetas >
               consistente-
1000x 109/l.
• Hiperplasia do setor megacariocitário.
                       megacariocitá
• Descartar SMD.
• Ferro sérico e ferritina normais. (PV)
        sé
• Anemia discreta.
• Leucocitose < 20 x 109/l.
• Neutrofilia com desvio à esquerda.
• Eosinofilia e basofilia.
• Descartat trombocitose reativa.




Policitemia Vera.
Sintomatologia

Mais frequentes                        Menos frequentes


• Dispnéia.
  Dispné                               • Dores de cabeça.
                                                   cabeç
• Cansaço.
  Cansaç                               • Tonteiras.
• Vermelhidão da pele (rosto).
  Vermelhidã                           • Distúrbios visuais.
                                         Distú
• Prurido.                             • Hemorragia cutâneo-mucosa.
                                                       cutâ neo-
• Esplenomegalia.                      • Hepatomegalia.
• Perda de peso.                       • Episódios trombóticos.
                                         Episó      trombó
Policitemia Vera.
Aspectos laboratoriais


• Hemoglobina              18 a 24 g/dl
• Hemácias
  Hemá                     7 a 10 x 1012/l
• Hematócrito
  Hemató                   70 a 92%
• Leucometria              25 a 50 x 109/l
• Plaquetas                500 a 1000 x109/l
• Reticulócitos
  Reticuló                 Normais
                                               Poiquilocitose, anisocitose, presença de
                                                                            presenç
                                               precursores eritróides,
                                                            eritró
• Anisocitose                                  aumento de neutrófilos, basófilos e plaquetas.
                                                            neutró       basó
                                               Aumento do número de hemácias.
                                                            nú           hemá
• Policromatofilia – Ponteado basófilo.
                              basó
• Aumento relativo e absoluto da série mielóide.
                                 sé mieló




Metaplasia Mielóide Agnogênica.
Características Clínicas
Caracterí       Clí


• Anemia.
• Esplenomegalia.
• Hepatomegalia.
• Leucocitose.
• Trombocitose.
• Perda de peso.
• Sangramentos.
Metaplasia Mielóide Agnogênica.
Aspectos laboratoriais


• Anemia - Hb < 10g/dl.
• Normocromia e normocitose.
• Hemácias em lágrima.
  Hemá        lá
• Policromatofilia – aumento de
reticulócitos.
reticuló
• Eritroblastos.
• Eosinofilia e basofilia.
• Células granulocíticas jovens.
          granulocí
• Trombocitose com plaquetas grandes. Presença de precursores mielóides e
                                      Presenç                 mieló
                                          eritróides, hemácias em lágrima e fibrose
                                          eritró      hemá        lá
                                          medular.




Síndromes Linfoproliferativas.
 • As SLP são originadas de uma proliferação clonal de linfócitos
          sã                    proliferação           linfó
 anormais.

 • A proliferação de linfócitos pode ocorrer em qualquer parte do corpo,
     proliferação    linfó
 entretanto, é mais comum na MO, linfonodos, baço ou trato
                                                baç
 gastro-intestinal.
 gastro-

 • A morfologia dos linfócitos é característica do sítio onde ocorre a
                    linfó        caracterí         sí
  proliferação.
  proliferação.
Síndromes Linfoproliferativas.


                                   Síndromes
                               Linfo-proliferativas
                               Linfo-




  Leucemia         Mieloma         Leucemia             Linfoma           Hairy
   Linfóide
   Linfó           Múltiplo           Pró-
                                      Pró             Leucemizado          Cell
   Crônica
   Crô                             Linfocítica
                                   Linfocí                              Leukemia




 Mieloma Múltiplo.

• É uma neoplasia de células plasmáticas B
                     cé      plasmá
que produzem uma imunoglobulina
monoclonal.

• Acomete pessoas com idade média de 65
                            mé
anos (80%) embora possa ocorrer ocasionalmente
na segunda década de vida.
           dé

• A exposição à radiação e a infecção por
    exposição radiação       infecção
vírus HHV-8 estão associadas a um aumento na incidência de mieloma.
      HHV- estã                              incidê

• A sintomatologia é heterogênea e depende basicamente da intensidade
                     heterogê
da doença.
   doenç
Mieloma Múltiplo.
   Incidência
   Incidê




                                     Idade                       NCI, 2006.




Mieloma Múltiplo.
Aspectos Clínicos
         Clí

•Dor óssea causada por compressão vertebral e fraturas (osteopenia)
                       compressã

• Lesões líticas causadas por um aumento da atividade osteoclástica e uma
  Lesõ lí                                             osteoclá
aparente inibição dos osteoblastos.
          inibição

• Infecções recorrentes devido a deficiências na imunidade celular.
  Infecções                      deficiê

• Nefropatia causada pelo esgotamento da capacidade de absorção
                                                       absorção
tubular de cadeias leves ou hipercalcemia.

• Hiperviscosidade sanguínea , sangramentos e trombose.
                   sanguí
Mieloma Múltiplo.
Características laboratoriais
Caracterí

• Infiltração medular de plasmócitos com reflexos no sangue periférico. O número
  Infiltração            plasmó                             perifé        nú
de plasmócitos tende a aumentar com a evolução da doença.
    plasmó                              evolução     doenç

• Anemia normocrômica e normocítica
          normocrô      normocí
e rouleaux.

• A trombocitopenia não é significativa.
                    nã

• Hipercalcemia.

• Niveis de LDH, β2-microglobulina e
                 β2-
PC Reativa monitoram o crescimento
do tumor.




Mieloma Múltiplo.
Características laboratoriais
Caracterí

• Secreção de Ig monoclonal detectável por imunoeletroforese (IgG – 60%,
  Secreção                   detectá
IgA – 20% , cadeias leves - 20%)




             Normal                                  Mieloma
Mieloma Múltiplo.
                    Plasmócitos
                    Plasmó

                    • Núcleo excêntrico, oval
                             excê
                     ou redondo.

                    • Citoplasma abundante,
                    azul intenso, levemente
                    granulado.

                    • Sistema de Golgi evidente.




Mieloma Múltiplo.
Tricoleucemia.
Aspectos Clínicos e Laboratoriais.
         Clí

• Os pacientes geralmente apresentam uma tríade de sintomas:
                                             trí
pancitopenia, esplenomegalia e tricoleucócitos circulantes.
                               tricoleucó

• Fadiga, fraqueza, e infecções oportunistas.
                      infecções

• Cerca de 50% dos pacientes apresentam pancitopenia e a outra
metade uma combinação de citopenias: anemia e/ou neutropenia
             combinação
(<500 / µl) e/ou trombocitopenia.

• Alterações da função hepática em 20% dos pacientes.
  Alterações    função hepá




Tricoleucemia.
                                                Morfologia
                                                • Núcleo oval ou redondo,
                                                dobrado ou até bilobulado.
                                                           até
                                                • Nucléolos evidentes.
                                                  Nuclé
                                                • Citoplasma abundante com
                                                projeções citoplasmáticas.
                                                projeções citoplasmá
Linfoma leucemizado.
Aspectos Clínicos e Laboratoriais
         Clí

• O envolvimento medular nos linfomas é
pequena.

• Os linfomas denominados” indolentes”
              denominados” indolentes”
são os que apresentam maior
expressão periférica.
expressã perifé

• Anemia e reticulocitose podem estar
presentes associadas a anemia
Hemolítica autoimune (Coombs +).
Hemolí

• A trombocitopenia está relacionada a
                      está
infiltração medular,
infiltração
hiperesplenismo ou destruição autoimune.
                     destruição




Leucemia Pró-linfocítica.
• É uma variante sub-aguda da LLC na qual a metade das células
                  sub-                                    cé
leucêmicas circulantes são linfócitos grandes denominados pró-
leucê                  sã linfó                           pró
linfócitos.
linfó

• Pode haver envolvimento de linfonodos produzindo um padrão de
                                                      padrã
infiltração pseudonodular que é distinto da LLC.
infiltração

• Em 80% dos casos os pró-linfócitos são células B e os 20% restantes
                      pró linfó      sã cé
células T.
Leucemia Pró-linfocítica.
Aspectos clínicos.
         clí

• Cerca de 50% dos pacientes têm mais de 70 anos ao diagnóstico.
                              tê                     diagnó
• Fadiga, fraqueza, perda de peso e sangramentos.
• A esplenomegalia é observada em 2/3 dos pacientes.

Aspectos laboratoriais.

• Leucometria maior que 100.000 / µl em ¾ dos pacientes.
• Anemia normocrômica e normocítica.
         normocrô       normocí
• Contagem de plaquetas abaixo de 100.000 / µl.




Leucemia Pró-linfocítica.




                                              Núcleo irregular, cromatina delicada,
                                              nucléolo evidente.
                                              nuclé
Leucemia Linfocítica Crônica.
• É uma doença neoplásica caracterizada pelo acúmulo de
           doenç neoplá                       acú
linfócitos B maduros (CD5+) no sangue periférico, na medula
linfó                                 perifé
óssea e nos tecidos linfóides.
                    linfó

• 50% dos pacientes exibem em suas células alterações
                                    cé     alterações
cromossomiais das quais a del 13q14-23.1 é a mais freqüente.
                              13q14-              freqü

• Sua incidência aumenta com a idade e é cerca de 3 vezes maior
      incidê
em homens.

• A LLC representa cerca de 30% de todas as leucemias.




Leucemia Linfocítica Crônica.
Características clínicas
Caracterí       clí

• 90% dos pacientes têm mais de 50 anos.
                    tê
• 25% dos pacientes são assintomáticos ao diagnóstico.
                    sã assintomá          diagnó
• Linfadenopatia e linfocitose absoluta.
• Cansaço aos esforços, fadiga e indisposição.
  Cansaç      esforç             indisposição.
• Exacerbação das doenças características da idade
  Exacerbação     doenç caracterí
• Esplenomegalia em 50% dos pacientes.
• As citopenias têm origem principalmente na infiltração medular
                tê                           infiltração
e na expressão intermitente de auto-anticorpos.
     expressã                  auto-
Leucemia Linfocítica Crônica.
Estágio da doença
Está       doenç

• Aumento dos linfócitos no SP e na MO.
              linfó
• Tamanho e distribuição dos linfonodos.
            distribuição
• Tamanho do baço.
             baç
• Intensidade da anemia e da trombocitopenia.
• A expressão de CD38 indica uma doença mais invasiva.
    expressã                     doenç
• Aumento de B2-microglobulina indica maior extensão da doença.
             B2-                            extensã     doenç




Leucemia Linfocítica Crônica.
Aspectos laboratoriais

• Linfocitose monoclonal superior a 5000 / µl.
• Ao diagnóstico a linfocitose geralmente ultrapassa os 10000 / µl.
     diagnó
• Linfócitos de morfologia aparentemente normal, podendo exibir
  Linfó
nucléolo.
nuclé
• Presença de restos nucleares – fragilidade mecânica.
  Presenç                                    mecâ
• Anemia normocrômica e normocítica em 15% dos pacientes.
         normocrô       normocí
• Teste de Coombs positivo em 20% dos pacientes devido a
presença de auto-anticorpos (IgG anti-hemácias).
presenç     auto-                anti- hemá
• Trombocitopenia.
Leucemia Linfocítica Crônica.




Síndromes Mielodisplásicas.
Definição.
Definição.
São causadas por um defeito adquirido no DNA de um ou, mais
provavelmente, vários cromossomos do progenitor hemopoético (stem cell
               vá                               hemopoé
multipotente), podendo evoluir para uma leucemia mieloblástica aguda.
                                                 mieloblá


Etiologia.
Agentes químicos (benzeno), radiação / radioterapia, quimioterapia (agentes
        quí                 radiação
alquilantes).
Síndromes Mielodisplásicas.
• As SMD resultam da falência da MO na produção do número adequado de
                     falê              produção    nú
células circulantes.

• A falência da MO é o resultado de um dano genético adquirido. As
    falê                                     gené
anormalidades citogenéticas podem ser freqüentemente observadas.
                citogené               freqü

• Nas SMD podem ser observadas
alterações nas linhagens granulocítica,
alterações                granulocí
eritrocítica e/ou megacariocítica.
eritrocí          megacariocí




Síndromes Mielodisplásicas.
Classificação FAB
Classificação




                 - Anemia refratária.
                          refratá
                 - Anemia refratária com sideroblastos.
                          refratá
SMD              - Anemia refratária com excesso de blastos.
                          refratá
                 - Anemia refratária com excesso de blastos em diferenciação.
                          refratá                              diferenciação.
                 - Leucemia mielo-monocítica crônica.
                            mielo- monocí    crô
Síndromes Mielodisplásicas.
Aspectos Laboratoriais


• Anemia normocítica ou macrocítica.
         normocí        macrocí
• Poiquilocitose com macro-ovalócitos, hemácias em lágrima.
                     macro- ovaló      hemá        lá
• Ponteado basófilo, corpúsculos de Howell-Jolly e eritroblastos.
           basó      corpú          Howell-
• Contagem de reticulócitos normal ou baixa.
              reticuló
• Trombocitopenia ou trombocitose com macroplaquetas.
• Linfocitopenia, anomalia de Pelger-Huët.
                              Pelger- Huë
• Medula óssea hipercelular.




Síndromes Mielodisplásicas.
Aspectos Laboratoriais

• Anemia em 90 % dos casos.

• Pancitopenia em 50 % dos casos.

• Anemia e trombocitopenia em 25
% dos casos.

• Anemia e neutropenia em 10 %
dos casos.
Síndromes Mielodisplásicas.
Anemia Refratária
       Refratá

• 1/3 das SMD.
• Não progressiva por anos ou décadas.
                              dé
• Pancitopenia (Hm + Leuc ou
Hm + Leuc + Plaq.)




Síndromes Mielodisplásicas.
Anemia Refratária Sideroblástica.
       Refratá Sideroblá

• Anemia refratária com defeito na síntese
         refratá                   sí
do heme.
• Presença de sideroblastos em anel.
  Presenç
• Sideroblastos → precursores eritróides
                              eritró
apresentando acúmulo de ferro
             acú
mitocondrial.
• Eritropoese ineficaz.
• Níveis aumentados de ferro tecidual.
• Microcitose e hipocromia em graus
variados.
• Dupla população eritrocitária.
        população eritrocitá
Síndromes Mielodisplásicas.
Anemia refratária com excesso de blastos.
       refratá

• Anemia associada a presença de
                     presenç
blastos na MO.
• Pancitopenia em graus variados.
• Leucemia mielóide com poucos blastos
            mieló




Síndromes Mielodisplásicas.
Anemia refratária com excesso de blastos.
       refratá
**
Síndromes Mielodisplásicas.
Anemia refratária com blastos em transformação.
       refratá                   transformação.

Neoplasias

  • 1.
    Hemopoese. Linhagem mielóide. CFU - Eos Eosinófilo Eosinó Stem cell CFU - Mast/Bas Basófilo Basó CFU - G Neutrófilo Neutró CFU - GM CFU-GEMM CFU- CFU - M Monócito Monó BFU - E CFU - E Hemácias Hemá BFU - Meg CFU - Meg Plaquetas Hemopoese. Linhagem mielóide. CFU - G Mieloblastos Pró-mielócitos Mielócitos Metamielócitos Bastões Granulócitos
  • 4.
    Hemopoese. Linhagem linfóide. Lifócito T Lifó Citotóxico Citotó CD8 Stem cell Pró- Pró Timócito Timó Timócito Timó Linfócito T Linfó Helper Timo CD4 Progenitor Linfóide Linfó Célula B Progenitor B Pré-B Pré Pré-B Pré Célula B memória memó precoce Órgão Linfóide rgã Linfó Plasmócito Plasmó Secundário Secundá
  • 6.
    Trombocitopoese. Controle Humoral. SF IL-3 IL- IL-11 IL- TPO CFU-GEMM CFU- BFU-Meg BFU- CFU-Meg CFU- Megacarioblasto Megacariócito Megacarió Plaquetas
  • 7.
    Neoplasias Hematológicas. Marcos Fleury UFRJ
  • 8.
    Neoplasias Hematológicas. • Sãodoenças causadas pela proliferação descontrolada de células hematológicas doenç proliferação cé hematoló malignas ou incapacidade da medula de produzir a quantidade de células cé adequada. • Podem ser estudadas através da microscopia ótica, colorações especiais, atravé colorações reações imunológicas (citometria), técnicas citogenéticas (cariotipagem), e PCR. reações imunoló té citogené • A medula óssea é a principal afetada nestas enfermidades e seu exame é necessário para o diagnóstico. necessá diagnó Neoplasias Hematológicas. Normal Neoplasia Óbito QT
  • 9.
    Neoplasias Hematológicas. • Remissão hematológica – ausência de doença à inspeção citológica (baixa Remissã hematoló ausê doenç inspeção citoló sensibilidade). • Carga tumoral – quantidade de células malignas num dado momento da cé doença. doenç Sintomatologia quando o clone maligno atinge de 1011 a 1012 células. Sem tratamento → 1013 células – incompatível com a vida. incompatí • Doença residual – vigilância imunológica. Doenç vigilâ imunoló • Imunodeficiências e transplantes – risco de desenvolvimento de neoplasias Imunodeficiê de células B (50X). cé Neoplasias Hematológicas. 1013 Morte 1012 Detecção clínica Detecção clí 1010 Remissão hematológica Remissã hematoló Remissão citogenética Remissã citogené 5 x 108 Remissão imunológica Remissã imunoló (citometria) 106 Remissão molecular Remissã (PCR) (Zago MA, 2001)
  • 10.
    Neoplasias Hematológicas. Detecçãode Doença Residual Mínima Detecção Doenç Mí • Morfologia - ↓ sensibilidade (1cel/100), ↑ especificidade. Falso negativo. • Imunofenotipagem – marcadores peculiares (1 cel/ 10.000) com 3 marcadores (1cel/100.000). • Citogenética - ↑ especificidade (ex. cromossomo Ph), baixa sensibilidade Citogené (1cel/100). • Hibridização in situ Fluorescente (Fish) – sonda + fluorocromo. Hibridização • PCR - ↑ sensibilidade (1 cel/106). Localiza alterações cromossomiais ou alterações seqüências anormais seqüências Neoplasias Hematológicas. Neoplasia Oncogene Proliferação Normal Anti- oncogene Diferenciação Regulador da apoptose Apoptose Oncogenes – Crescimento celular Anti-oncogenes – Supressores de tumor
  • 11.
    Neoplasias Hematológicas. ↑ leucócitosmalignos (MO e SP) Infiltração de órgãos Fisiopatologia das Substâncias Leucemias Fígado, baço, inibidoras linfonodos, meninges pele e testículos Inibição física Insuficiência medular Anemia Neutropenia Trombocitopenia Neoplasias Hematológicas. Apresentação Apresentação Leucemias Leucemias Agudas Crônicas Crô Início Iní Agudo Insidioso Curso clínico clí Semanas Anos Idade Todas Adultos Leucometria N,A ou D A Celularidade Blastos Maduras Neutropenia Presente Ausente Anemia Presente Presente Plaquetas Diminuídas Diminuí N ou A Organomegalia Discreta Severa
  • 12.
    Neoplasias Hematológicas: Classificação. Neoplasias Hematológicas Leucemias Síndromes Síndromes Síndromes Agudas Mielo-proliferativas Mielo-displásicas Linfo-proliferativas Leucemias agudas. • As leucemias agudas resultam de uma proliferação clonal de células imaturas, com pouca ou proliferação cé nenhuma maturação na medula óssea (blastos). maturação • De acordo com o grupo FAB, a presença de mais presenç de 25% de blastos na MO é considerado como critério diagnóstico de LA. crité diagnó • Antígenos determinantes CD13, CD33, CD117 e Antí mieloperoxidase. • Anormalidades citogenéticas caracterizam alguns citogené dos subtipos. • A classificação é feita pela morfologia, citoquímica, classificação citoquí citogenética e imunofenotipagem. citogené
  • 13.
    Leucemias agudas. Significado daleucemia aguda em adulto. • É uma urgência hematológica. urgê hematoló • É fatal em semanas sem tratatmento. • Alta taxa de mortalidade durante a quimioterapia. • A notificação deve ser feita imediatamente se houver suspeita da doença. notificação doenç Leucemia linfoblástica aguda. • Representa cerca de 75% das leucemias em crianças. crianç • Os linfoblastos são 2 a 3 vezes maiores que os linfócitos com citoplasma sã linfó escasso de coloração azul-pálida, cromatina densa, uniforme e nucléolo pouco coloração azul- nuclé aparente.
  • 14.
    LLA: Classificação FAB L1 L2 L3 Tamanho pequeno. pequeno. grande. Núcleo regular, com ou irregular, regular,oval sem endentação. endentação. endentado. ou redondo. Cromatina fina ou em grumos. fina. homogênea. homogê Nucléolo Nuclé invisível. invisí 1 ou 2 visíveis. visí 1 ou 2 visíveis. visí Citoplasma escasso, levemente moderado, hiperbasófilo e hiperbasó azulado. levemente azulado. vacuolizado. Leucemia linfoblástica aguda. L1
  • 15.
    Leucemia linfoblástica aguda.L1 Leucemia linfoblástica aguda. L2
  • 16.
    Leucemia linfoblástica aguda.L2 Leucemia linfoblástica aguda. L3
  • 17.
    Leucemia linfoblástica aguda.L3 LLA: Classificação imunológica. L1 L2 L3 Célula Pré-B precoce Pré 90% 10% 0% Célula Pré-B Pré 90% 10% 0% Célula B 10% 15% 75% Célula T 95% 5% 0%
  • 18.
    LLA: Aspectos clínicos. Cansaço Cansaç 92% Dor óssea ou articular 79% Febre sem infecção infecção 71% Perda de peso 66% Púrpura 51% Infecção Infecção 17% LLA: Aspectos laboratoriais. Anemia normocrômica normocrô Ht < 30% 65% e normocítica. normocí Ht > 30% 35% Plaquetas. < 50 62% (x109/L) 50 -150 30% >150 8% Leucometria < 10 40% (x 109/L) 10 - 49 34% 50 - 99 15% >100 11% Granulócitos Granuló <1 73% (x 109/L) 1-2 9% >2 18%
  • 19.
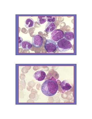
    LLA: Diferenciação linfóide. •Linhagem B - 80 a 85% dos casos. • Linhagem T – 15 % dos casos. • Importância terapêutica no reconhecimento de leucemias derivadas de Importâ terapê precursores B ou linfócitos B ou T maduros. linfó • Citogenética e genética molecular – análise do cariótipo evidenciando Citogené gené aná carió alterações estruturais em 80 % dos casos (inversões, deleções e alterações (inversõ deleções translocações) translocações) Leucemia mieloblástica aguda. Morfologia. • Blastos com características mielóides, caracterí mieló alguns exibindo bastonetes de Auer.
  • 20.
    Leucemia mieloblástica aguda. Classificaçãomorfológica dos blastos mielóides. Classificação morfoló mieló Blastos Tipo I – Apresentam pouca diferenciação, sem diferenciação, granulações citoplasmáticas. granulações citoplasmá Blastos Tipo II – Alguma diferenciação diferenciação presente; pequena quantidade de granulações citoplasmáticas. granulações citoplasmá Blastos Tipo III – Células bem diferenciadas apresentando evidente granulação no citoplasma. granulação LMA: Classificação FAB. Classificação Classificação % de casos Prognóstico Prognó M0 - Mínima diferenciação diferenciação 5% Ruim M1 - Sem maturação maturação 15% Médio M2 - Com maturação maturação 25% Bom M3 – Promielocítica Promielocí 15% Muito bom M4 - Mielomonocítica Mielomonocí 20% Médio M5 - Monocítica Monocí 10% Médio M6 – Eritroleucemia 5% Ruim M7 – Megacarioblástica Megacarioblá 5% Ruim
  • 21.
    Leucemia mieloblástica aguda. Stem cell CFU-GEMM CFU- LMA M4 LMA M1, M2 LMA M7 BFU-E BFU- CFU-GM CFU- LMA M5 LMA M6 CFU-Meg CFU- LMA M3 CFU-G CFU- CFU-E CFU- CFU-M CFU- LMA: Peroxidase positiva.
  • 22.
    Leucemia mieloblástica aguda.M0 M0 - Mínima diferenciação diferenciação • ≥ 30% das células nucleadas são blastos Tipo I. cé sã • < 3% dos blastos são MP / SB positivos. sã • 20% dos blastos são positivos para antígenos sã antí mielóides e negativos para Ag linfóides. mieló linfó Leucemia mieloblástica aguda. M1 M1 – Sem maturação maturação • ≥ 30% das células nucleadas são blastos Tipo I e Tipo II cé sã • ≥ 90% das células não eritróides são blastos. cé nã eritró sã • ≥ 3% dos blastos são positivos para SB / MP. sã
  • 23.
    Leucemia mieloblástica aguda.M2 M2 – Com maturação maturação • ≥ 30% das células nucleadas são blastos Tipo cé sã I e Tipo II • < 90% das células não eritróides são blastos. cé nã eritró sã • ≥ 10% das células não eritróides são cé nã eritró sã promielócitos ou granulócitos mais maduros. promieló granuló • < 20% das células não eritróides cé nã eritró são da linhagem monocítica. monocí • > 85% das células leucêmicas são cé leucê sã positivas para SB / MP. Leucemia mieloblástica aguda. M3 M3 - Promielocítica hipergranular Promielocí • ≥ 30% dos blastos são promielócitos hipergranulares. sã promieló • Bastonetes de Auer isolados ou múltiplos. mú • > 85% das células leucêmicas são positivas para SB / MP. cé leucê sã
  • 24.
    Leucemia mieloblástica aguda.M3V M3V - Promielocítica microgranular Promielocí • ≥ 30% dos blastos são promielócitos microgranulares. sã promieló • Bastonetes de Auer são raros. sã • > 85% das células leucêmicas são SB / MP (+). cé leucê sã Leucemia mieloblástica aguda. M3V MPO Sudan Black
  • 25.
    Leucemia mieloblástica aguda.M4 M4 - Mielomonocítica Mielomonocí • ≥ 30% das células nucleadas são blastos cé sã Tipo I e Tipo II. • ≥ 30% de mieloblastos, promielócitos, promieló mielócitos e granulócitos mais maduros. mieló granuló • < 80% das células não eritróides são cé nã eritró sã monoblastos, promonócitos ou monócitos. promonó monó • > 20% dos blastos são SB / MP sã (+). • > 20% dos blastos são αNAE e sã αNBE (+). Leucemia mieloblástica aguda. M4 M4 - Citoquímica Citoquí • Coloração laranja – αNBE – Coloração monoblasto. • Coloração azul - CAE – Mieloblasto. Coloração Cloracetato + α naftil butirato esterase Cloracetato + α naftil butirato esterase Cloracetato + α naftil butirato esterase
  • 26.
    Leucemia mieloblástica aguda.M4 Cloracetato + α naftil butirato esterase Leucemia mieloblástica aguda. M4E M4E – Mielomonocítica com eosinofilia Mielomonocí • Igual a M4 com eosinofilia anormal. • Eosinófilos com grandes grânulos basofílicos anormais CAE (+). Eosinó grâ basofí
  • 27.
    Leucemia mieloblástica aguda.M5A M5A - Monocítica Monocí • ≥ 30% das células nucleadas são blastos. cé sã • ≥ 80% das células não eritróides são cé nã eritró sã monoblastos, promonócitos ou monócitos. promonó monó • ≥ 80% das células monocíticas são cé monocí sã monoblastos. • < 20% das células leucêmicas são CAE (+) cé leucê sã • ≥ 80% das células leucêmicas são cé leucê sã αNAE e αNBE (+). Leucemia mieloblástica aguda. M5B M5B – Monocítica Diferenciada Monocí • ≥ 30% das células nucleadas são blastos. cé sã • ≥ 80% das células não eritróides são cé nã eritró sã monoblastos, promonócitos ou monócitos. promonó monó • < 80% das células monocíticas são cé monocí sã monoblastos. • < 20% das células leucêmicas são CAE (+) cé leucê sã • ≥ 80% das células leucêmicas são αNAE e cé leucê sã αNBE (+).
  • 28.
    Leucemia mieloblástica aguda.M5B Cloracetato + α naftil butirato esterase Leucemia mieloblástica aguda. M6 M6 - Eritroleucemia • ≥ 50% das células nucleadas são eritroblastos. cé sã • ≥ 30% das células não eritróides são blastos. cé nã eritró sã • Muitas células precursoras são PAS (+). cé sã
  • 29.
    Leucemia mieloblástica aguda.M6 PAS Leucemia mieloblástica aguda. M7 M7 - Megacarioblástica Megacarioblá •≥30% das células nucleadas são cé sã megacarioblastos ou células leucêmicas. cé leucê • Glicoptns I b ou II b / III a (+) (imunocitoquímica). (imunocitoquí
  • 30.
    Leucemia mieloblástica aguda.M7 CD 41 LMA: Aspectos Clínicos • Cansaço na quase totalidade dos pacientes. Cansaç • Dor óssea ou articular em até 20% dos pacientes até • Febre sem infecção em 20% dos casos infecção • Mais da metade dos pacientes apresentam perda de peso. • Manifestações hemorrágicas em mais de 50% dos casos. Manifestações hemorrá • A infecção é uma intercorrência freqüente infecção intercorrê freqü • A sobrevida é de cerca de 50% independente da forma de tratamento, QT ou TMO.
  • 31.
    LMA: Aspectos Laboratoriais •Anemia normocrômica e normocítica em mais de 90% dos casos. normocrô normocí • Reticulocitopenia. • Presença de eritroblastos. Presenç • Trombocitopenia → plaquetas < 50 x 109/L em mais da metade dos pacientes. • Macroplaquetas. • Plaquetas hipogranulares (hipofuncionais). • Leucometria normal em cerca de metade dos pacientes. • Leucócitos acima de 100 x 109/L em 20% dos pacientes. Leucó • Mais de 50% dos pacientes com menos de 1 x 109/L granulócitos. granuló • Mieloblastos quase sempre presentes; raros em pacientes leucopênicos. leucopê Imunofenotipagem • Determinação da linhagem - mielóide x linfóide. Determinação mieló linfó • Distinção entre LLA T x LLA B. Distinção • Detecção de leucemias de linhagens mistas. Detecção • Prognóstico baseado na expressão de um determinado marcador. Prognó expressã O diagnóstico depende do no de células expressando um determinado marcador. diagnó cé CD 10 + CD 10 + CD 10 + < 5% de 20 a 30 % > 60% MO LLA Púrpura Normal trombocitopênica trombocitopê
  • 32.
    Imunofenotipagem Mais do queo percentual de expressão de um marcador, devemos considerar a expressã composição do fenótipo. composição fenó CD 34 Células hematopoéticas imaturas. hematopoé CD 4 Células T. CD 56 Células NK. Prognóstico Na infância infâ • 75 a 90% alcançam a remissão após a indução embora a aplasia profunda seja alcanç remissã apó indução necessária. necessá • Cerca de 50% apresentam 5 anos de sobrevida livre de doença. doenç • Com a remissão o TMO deve ser considerado – 60 –70% atingindo a remissão a remissã remissã longo prazo ou cura. • Leucometria > 100 x 103/ml representa pior prognóstico. prognó • LMA M3 – hemorragias durante a indução. indução.
  • 33.
    Prognóstico Adultos • De 60a 70% alcançam a remissão ( pior acima de 60 anos). alcanç remissã • Pacientes idosos não toleram o tratamento. nã • O exame citogenético é chave para o prognóstico. citogené prognó • A remissão é menos frequente na LMA pós SMD ou QT. remissã pó • O TMO deve ser considerado. • Os períodos de remissão são mais curtos que nas crianças. perí remissã sã crianç • Cerca de 15 a 25% sobreviverão por 3 anos e podem alcançar a cura. sobreviverã alcanç • LMA M3 – remissão em 70 a 90% dos casos. remissã Síndromes mieloproliferativas • As SMP se originam de uma proliferação clonal das “stem cell” na medula óssea. proliferação cell” • A “stem cell” pode amadurecer seguindo uma ou mais linhagem celular ( mielóide, cell” mieló eritróide ou megacariocitária ). eritró megacariocitá • São de curso crônico e a classificação é feita segundo a linhagem predominante crô classificação na qual a maturação ocorre. maturação Síndromes Mielo-proliferativas Mielo- Leucemia Trombocitemia Policitemia Metaplasia Mielóide Mieló Essencial Vera Mielóide Mieló Crônica Crô Agnogênica Agnogê
  • 34.
    Leucemia Mielóide Crônica. Morfologia •Aumento dos basófilos, neutrófilos, basó neutró plaquetas e precursores mielóides. mieló • Cromossomo Filadélfia t(9;22) Filadé Leukos haima Leucemia Mielóide Crônica.
  • 35.
    Leucemia Mielóide Crônica. Incidência– 4500 casos / ano. Incidê Incidência Incidê Idade NCI, 2006. Leucemia Mielóide Crônica. Cromossomo Philadelphia • BCR-ABL → Tirosino-cinase alongada. BCR- Tirosino- • Regulação da divisão celular. Regulação divisã FISH – Fluorescence in situ hybridization. Normal Anormal
  • 36.
    Leucemia Mielóide Crônica. Fasecrônica crô • O diagnóstico acontece geralmente nesta diagnó fase. • Sintomatologia discreta – a maturação maturação celular ocorre. • Não ocorrem sangramentos ou infecções. infecções. • Anemia discreta ou inexistente. • Leucocitose com neutrófilos em todas as neutró fases de maturação. maturação. • Basofilia relativa e absoluta. • Hiperplaquetemia com macroplaquetas. Leucemia Mielóide Crônica. Fase acelerada. • Perda da resposta ao tratamento. • A anemia se instala ou progride. • A leucometria pode diminuir ou aumentar. • Plaquetopenia. • Aumento do número de blastos. nú
  • 37.
    Leucemia Mielóide Crônica. Criseblástica blá • Aumento dos blastos no SP e na MO. • Diminuição de plaquetas, neutrófilos e Diminuição neutró hemácias. hemá • Sangramentos, infecções e anemia. infecções • Dor óssea e esplenomegalia. • Similar em sinais e sintomas a uma LA. Trombocitemia essencial. Aspectos clínicos clí • Episódios hemorrágicos (4%) – GI, Episó hemorrá hematomas e petéquias. peté • Tromboses (20%) – tromboflebites e TVP. • Dores de cabeça. cabeç • Tonteiras. • Sintomas visuais. • Deficiências auditivas. Deficiê Aumento do número de nú plaquetas, presença presenç de plaquetas grandes e agregados plaquetários. plaquetá
  • 38.
    Trombocitemia essencial. Aspectos laboratoriais/ critério diagnóstico. crité diagnó • Trombocitose consistente- plaquetas > consistente- 1000x 109/l. • Hiperplasia do setor megacariocitário. megacariocitá • Descartar SMD. • Ferro sérico e ferritina normais. (PV) sé • Anemia discreta. • Leucocitose < 20 x 109/l. • Neutrofilia com desvio à esquerda. • Eosinofilia e basofilia. • Descartat trombocitose reativa. Policitemia Vera. Sintomatologia Mais frequentes Menos frequentes • Dispnéia. Dispné • Dores de cabeça. cabeç • Cansaço. Cansaç • Tonteiras. • Vermelhidão da pele (rosto). Vermelhidã • Distúrbios visuais. Distú • Prurido. • Hemorragia cutâneo-mucosa. cutâ neo- • Esplenomegalia. • Hepatomegalia. • Perda de peso. • Episódios trombóticos. Episó trombó
  • 39.
    Policitemia Vera. Aspectos laboratoriais •Hemoglobina 18 a 24 g/dl • Hemácias Hemá 7 a 10 x 1012/l • Hematócrito Hemató 70 a 92% • Leucometria 25 a 50 x 109/l • Plaquetas 500 a 1000 x109/l • Reticulócitos Reticuló Normais Poiquilocitose, anisocitose, presença de presenç precursores eritróides, eritró • Anisocitose aumento de neutrófilos, basófilos e plaquetas. neutró basó Aumento do número de hemácias. nú hemá • Policromatofilia – Ponteado basófilo. basó • Aumento relativo e absoluto da série mielóide. sé mieló Metaplasia Mielóide Agnogênica. Características Clínicas Caracterí Clí • Anemia. • Esplenomegalia. • Hepatomegalia. • Leucocitose. • Trombocitose. • Perda de peso. • Sangramentos.
  • 40.
    Metaplasia Mielóide Agnogênica. Aspectoslaboratoriais • Anemia - Hb < 10g/dl. • Normocromia e normocitose. • Hemácias em lágrima. Hemá lá • Policromatofilia – aumento de reticulócitos. reticuló • Eritroblastos. • Eosinofilia e basofilia. • Células granulocíticas jovens. granulocí • Trombocitose com plaquetas grandes. Presença de precursores mielóides e Presenç mieló eritróides, hemácias em lágrima e fibrose eritró hemá lá medular. Síndromes Linfoproliferativas. • As SLP são originadas de uma proliferação clonal de linfócitos sã proliferação linfó anormais. • A proliferação de linfócitos pode ocorrer em qualquer parte do corpo, proliferação linfó entretanto, é mais comum na MO, linfonodos, baço ou trato baç gastro-intestinal. gastro- • A morfologia dos linfócitos é característica do sítio onde ocorre a linfó caracterí sí proliferação. proliferação.
  • 41.
    Síndromes Linfoproliferativas. Síndromes Linfo-proliferativas Linfo- Leucemia Mieloma Leucemia Linfoma Hairy Linfóide Linfó Múltiplo Pró- Pró Leucemizado Cell Crônica Crô Linfocítica Linfocí Leukemia Mieloma Múltiplo. • É uma neoplasia de células plasmáticas B cé plasmá que produzem uma imunoglobulina monoclonal. • Acomete pessoas com idade média de 65 mé anos (80%) embora possa ocorrer ocasionalmente na segunda década de vida. dé • A exposição à radiação e a infecção por exposição radiação infecção vírus HHV-8 estão associadas a um aumento na incidência de mieloma. HHV- estã incidê • A sintomatologia é heterogênea e depende basicamente da intensidade heterogê da doença. doenç
  • 42.
    Mieloma Múltiplo. Incidência Incidê Idade NCI, 2006. Mieloma Múltiplo. Aspectos Clínicos Clí •Dor óssea causada por compressão vertebral e fraturas (osteopenia) compressã • Lesões líticas causadas por um aumento da atividade osteoclástica e uma Lesõ lí osteoclá aparente inibição dos osteoblastos. inibição • Infecções recorrentes devido a deficiências na imunidade celular. Infecções deficiê • Nefropatia causada pelo esgotamento da capacidade de absorção absorção tubular de cadeias leves ou hipercalcemia. • Hiperviscosidade sanguínea , sangramentos e trombose. sanguí
  • 43.
    Mieloma Múltiplo. Características laboratoriais Caracterí •Infiltração medular de plasmócitos com reflexos no sangue periférico. O número Infiltração plasmó perifé nú de plasmócitos tende a aumentar com a evolução da doença. plasmó evolução doenç • Anemia normocrômica e normocítica normocrô normocí e rouleaux. • A trombocitopenia não é significativa. nã • Hipercalcemia. • Niveis de LDH, β2-microglobulina e β2- PC Reativa monitoram o crescimento do tumor. Mieloma Múltiplo. Características laboratoriais Caracterí • Secreção de Ig monoclonal detectável por imunoeletroforese (IgG – 60%, Secreção detectá IgA – 20% , cadeias leves - 20%) Normal Mieloma
  • 44.
    Mieloma Múltiplo. Plasmócitos Plasmó • Núcleo excêntrico, oval excê ou redondo. • Citoplasma abundante, azul intenso, levemente granulado. • Sistema de Golgi evidente. Mieloma Múltiplo.
  • 45.
    Tricoleucemia. Aspectos Clínicos eLaboratoriais. Clí • Os pacientes geralmente apresentam uma tríade de sintomas: trí pancitopenia, esplenomegalia e tricoleucócitos circulantes. tricoleucó • Fadiga, fraqueza, e infecções oportunistas. infecções • Cerca de 50% dos pacientes apresentam pancitopenia e a outra metade uma combinação de citopenias: anemia e/ou neutropenia combinação (<500 / µl) e/ou trombocitopenia. • Alterações da função hepática em 20% dos pacientes. Alterações função hepá Tricoleucemia. Morfologia • Núcleo oval ou redondo, dobrado ou até bilobulado. até • Nucléolos evidentes. Nuclé • Citoplasma abundante com projeções citoplasmáticas. projeções citoplasmá
  • 46.
    Linfoma leucemizado. Aspectos Clínicose Laboratoriais Clí • O envolvimento medular nos linfomas é pequena. • Os linfomas denominados” indolentes” denominados” indolentes” são os que apresentam maior expressão periférica. expressã perifé • Anemia e reticulocitose podem estar presentes associadas a anemia Hemolítica autoimune (Coombs +). Hemolí • A trombocitopenia está relacionada a está infiltração medular, infiltração hiperesplenismo ou destruição autoimune. destruição Leucemia Pró-linfocítica. • É uma variante sub-aguda da LLC na qual a metade das células sub- cé leucêmicas circulantes são linfócitos grandes denominados pró- leucê sã linfó pró linfócitos. linfó • Pode haver envolvimento de linfonodos produzindo um padrão de padrã infiltração pseudonodular que é distinto da LLC. infiltração • Em 80% dos casos os pró-linfócitos são células B e os 20% restantes pró linfó sã cé células T.
  • 47.
    Leucemia Pró-linfocítica. Aspectos clínicos. clí • Cerca de 50% dos pacientes têm mais de 70 anos ao diagnóstico. tê diagnó • Fadiga, fraqueza, perda de peso e sangramentos. • A esplenomegalia é observada em 2/3 dos pacientes. Aspectos laboratoriais. • Leucometria maior que 100.000 / µl em ¾ dos pacientes. • Anemia normocrômica e normocítica. normocrô normocí • Contagem de plaquetas abaixo de 100.000 / µl. Leucemia Pró-linfocítica. Núcleo irregular, cromatina delicada, nucléolo evidente. nuclé
  • 48.
    Leucemia Linfocítica Crônica. •É uma doença neoplásica caracterizada pelo acúmulo de doenç neoplá acú linfócitos B maduros (CD5+) no sangue periférico, na medula linfó perifé óssea e nos tecidos linfóides. linfó • 50% dos pacientes exibem em suas células alterações cé alterações cromossomiais das quais a del 13q14-23.1 é a mais freqüente. 13q14- freqü • Sua incidência aumenta com a idade e é cerca de 3 vezes maior incidê em homens. • A LLC representa cerca de 30% de todas as leucemias. Leucemia Linfocítica Crônica. Características clínicas Caracterí clí • 90% dos pacientes têm mais de 50 anos. tê • 25% dos pacientes são assintomáticos ao diagnóstico. sã assintomá diagnó • Linfadenopatia e linfocitose absoluta. • Cansaço aos esforços, fadiga e indisposição. Cansaç esforç indisposição. • Exacerbação das doenças características da idade Exacerbação doenç caracterí • Esplenomegalia em 50% dos pacientes. • As citopenias têm origem principalmente na infiltração medular tê infiltração e na expressão intermitente de auto-anticorpos. expressã auto-
  • 49.
    Leucemia Linfocítica Crônica. Estágioda doença Está doenç • Aumento dos linfócitos no SP e na MO. linfó • Tamanho e distribuição dos linfonodos. distribuição • Tamanho do baço. baç • Intensidade da anemia e da trombocitopenia. • A expressão de CD38 indica uma doença mais invasiva. expressã doenç • Aumento de B2-microglobulina indica maior extensão da doença. B2- extensã doenç Leucemia Linfocítica Crônica. Aspectos laboratoriais • Linfocitose monoclonal superior a 5000 / µl. • Ao diagnóstico a linfocitose geralmente ultrapassa os 10000 / µl. diagnó • Linfócitos de morfologia aparentemente normal, podendo exibir Linfó nucléolo. nuclé • Presença de restos nucleares – fragilidade mecânica. Presenç mecâ • Anemia normocrômica e normocítica em 15% dos pacientes. normocrô normocí • Teste de Coombs positivo em 20% dos pacientes devido a presença de auto-anticorpos (IgG anti-hemácias). presenç auto- anti- hemá • Trombocitopenia.
  • 50.
    Leucemia Linfocítica Crônica. SíndromesMielodisplásicas. Definição. Definição. São causadas por um defeito adquirido no DNA de um ou, mais provavelmente, vários cromossomos do progenitor hemopoético (stem cell vá hemopoé multipotente), podendo evoluir para uma leucemia mieloblástica aguda. mieloblá Etiologia. Agentes químicos (benzeno), radiação / radioterapia, quimioterapia (agentes quí radiação alquilantes).
  • 51.
    Síndromes Mielodisplásicas. • AsSMD resultam da falência da MO na produção do número adequado de falê produção nú células circulantes. • A falência da MO é o resultado de um dano genético adquirido. As falê gené anormalidades citogenéticas podem ser freqüentemente observadas. citogené freqü • Nas SMD podem ser observadas alterações nas linhagens granulocítica, alterações granulocí eritrocítica e/ou megacariocítica. eritrocí megacariocí Síndromes Mielodisplásicas. Classificação FAB Classificação - Anemia refratária. refratá - Anemia refratária com sideroblastos. refratá SMD - Anemia refratária com excesso de blastos. refratá - Anemia refratária com excesso de blastos em diferenciação. refratá diferenciação. - Leucemia mielo-monocítica crônica. mielo- monocí crô
  • 52.
    Síndromes Mielodisplásicas. Aspectos Laboratoriais •Anemia normocítica ou macrocítica. normocí macrocí • Poiquilocitose com macro-ovalócitos, hemácias em lágrima. macro- ovaló hemá lá • Ponteado basófilo, corpúsculos de Howell-Jolly e eritroblastos. basó corpú Howell- • Contagem de reticulócitos normal ou baixa. reticuló • Trombocitopenia ou trombocitose com macroplaquetas. • Linfocitopenia, anomalia de Pelger-Huët. Pelger- Huë • Medula óssea hipercelular. Síndromes Mielodisplásicas. Aspectos Laboratoriais • Anemia em 90 % dos casos. • Pancitopenia em 50 % dos casos. • Anemia e trombocitopenia em 25 % dos casos. • Anemia e neutropenia em 10 % dos casos.
  • 53.
    Síndromes Mielodisplásicas. Anemia Refratária Refratá • 1/3 das SMD. • Não progressiva por anos ou décadas. dé • Pancitopenia (Hm + Leuc ou Hm + Leuc + Plaq.) Síndromes Mielodisplásicas. Anemia Refratária Sideroblástica. Refratá Sideroblá • Anemia refratária com defeito na síntese refratá sí do heme. • Presença de sideroblastos em anel. Presenç • Sideroblastos → precursores eritróides eritró apresentando acúmulo de ferro acú mitocondrial. • Eritropoese ineficaz. • Níveis aumentados de ferro tecidual. • Microcitose e hipocromia em graus variados. • Dupla população eritrocitária. população eritrocitá
  • 54.
    Síndromes Mielodisplásicas. Anemia refratáriacom excesso de blastos. refratá • Anemia associada a presença de presenç blastos na MO. • Pancitopenia em graus variados. • Leucemia mielóide com poucos blastos mieló Síndromes Mielodisplásicas. Anemia refratária com excesso de blastos. refratá
  • 55.
    ** Síndromes Mielodisplásicas. Anemia refratáriacom blastos em transformação. refratá transformação.