Sangue
Características Tecido conjuntivo especializado: matriz extracelular no estado líquido, e flui em um compartimento Sangue    fluido vermelho, viscoso, levemente alcalino. Responsável por aproximadamente 7% do peso corporal Volume total de sangue de um adulto:  6 litros
Função Transporte de: Coagulação Gases, nutrientes e excretas Moléculas reguladoras Regulação do pH e osmose Manutenção da temperatura do corpo Proteção contra elementos estranhos Células do sistema imune
Constituição elementos figurados plasma sangüíneo 91% água 9% = proteínas, eletrólitos, gorduras, glicose, hormônios, etc... linfócito neutrófilo eosinófilo hemácias ou eritrócitos leucócitos basófilo monócito plaquetas ou trombócitos
soro coágulo (elementos figurados + rede de fibrina) anticoagulante
Composition of Blood
Hematócrito Baixo Ht -> redução de hemácias: anemia Homem: 40% a 54% Mulher: 35% a 45% Criança: 36% a 44% Recém-nascido: 44% a 62%
Plasma Componentes % Água 91-92 Ptns (albumina, globulinas, fibrinogênio) 7-8 Outros solutos: - Eletrólitos (Na + , K + , Ca 2+ , Mg 2+ , Cl - , HCO3 - , PO4 3- , ...) - Substâncias nitrogenadas não protéicas (uréia, creatinina, ácido úrico,...) - Nutrientes (glicose, lipídios, aminoácidos) - Gases sanguíneos (dióxido de carbono, nitrogênio,...) - Substâncias reguladoras (hormônios, enzimas) 1-2
Plasma - Proteínas   Albumina: metade das ptns do plasma. Exerce gradiente de concentração entre sangue e líquido extracelular. Extravasamento de albumina    acúmulo de líquido nos tecidos: edema Globulinas: imunoglobulinas (anticorpos) e não imunoglobulinas (ajuda a manter pressão osmótica e transportadora de diversas substâncias – cobre, ferro, Hb) Fibrinogênio: fibrinogênio solúvel transforma-se em fibrina (coagulação)
Maturação de Precursores Eritrocíticos reticulócito Sangue periférico Medula óssea Proeritroblasto Eritroblasto basófilo Eritroblasto policromatófilo Eritroblasto ortocromático eritrócito
 
Hemácias   Apresenta-se como disco de formato  bicôncavo     proporciona á célula grande área de superfície, em relação ao seu volume, aumentando capacidade de troca gasosa Eritrócitos maduros     anucleados e não possuem organelas Vida média: 100 a 120 dias. Membranas tornam-se frágeis    removidos da circulação Principal função: conter a  hemoglobina     pigmento encarregado do transporte de gases respiratórios (O 2  e CO 2 ) para todos os tecidos
Hemácias Hemoglobina: proteína formada através da combinação de 4 moléculas (radicais heme) com uma proteína (globina).  Radical heme     complexo metálico contendo ferro, responsável pela cor (pigmento). Oxigênio se ligará ao ferro da hemoglobina.  Globina     proteína incolor formada por dois pares de cadeias polipeptídicas Elementos do citoesqueleto mantém a forma do disco bicôncavo da hemácia. Defeitos nos componentes do citoesqueleto    células de forma anômalas.  Esferocitose hereditária     hemácias frágeis    transportam menos oxigênio     anemia
Hemácia 7,5 μ m 2 μ m
Hemácia HbA : 96% total. 2 cadeias  α  e 2 cadeias  β HbA 2 : 1,5 a 3% total.  2 cadeias  α  e 2 cadeias  δ HbF : <1% total.  2 cadeias  α  e 2 Ɣ
Hemácia
Anemia falciforme O aminoácido ácido glutâmico é substituído por outro aminoácido chamado valina. Esta substituição de aminoácidos é que causa o fenômeno de afoiçamento.  Nas hemácias dos pacientes com Anemia Falciforme 90% das hemoglobinas são hemoglobinas S.  - Quando as moléculas da hemoglobina S deixam os pulmões carreando o oxigênio, elas são enviadas ao acaso, como a hemoglobina A mas assim que o oxigênio é liberado por essas hemácias com hemoglobina S, suas moléculas se agrupam, tomando uma forma gelatinosa, formando filamentos que alongam e distorcem a membrana da hemácia dando a ela uma forma irregular e afoiçada.
Anemia falciforme
Grupos sangüíneos
Grupos sangüíneos
Grupos sangüíneos Doação de sangue
Grupos sangüíneos Doação de sangue Doação de hemácias O A B AB
Grupos sangüíneos O A B AB Doação de sangue Doação de plasma
 
Fator Rh Doação de sangue Doação de plasma Rh - Rh +
Fator Rh Doação de sangue Gravidez Rh - Rh +
Defesa do organismo Vida média: circulantes    6 a 8 horas; tecidos    2 a 3 dias Adulto normal: entre 6.000 e 10.000 leucócitos por mm 3  de sangue Os leucócitos  não tem função no interior da corrente sanguínea , utilizando-a como  meio de transporte  de uma para outra região do corpo. Alcançando seu destino, abandonam a corrente sanguínea por  diapedese  e entram nos espaços de tecido conjuntivo para desempenhar suas funções Classificados em:  granulócitos  (contém grânulos específicos no citoplasma) e  agranulócitos  (não apresentam grânulos específicos citoplasmáticos) Leucócitos
Distensão sangüínea
Distensão sangüínea Corantes:   eosina  –  azul de metileno  –  azures de metileno   (mistura de Romanowsky)
Formato do núcleo Presença ou não de grânulos mononucleares ou agranulares polimorfonucleares ou granulares linfócito monócito neutrófilo eosinófilo basófilo Leucócitos Elemento figurado Dimensões Quantidade Eritrócitos 6,5 a 8µm 3,9-5,5 milhões/µL na mulher 4,1-6,0 milhões/µL no homem Leucócitos 6.000-10.000/µL Neutrófilo 12 - 15µm 60-70% Eosinófilo 12 - 15µm 2-4% Basófilo 12 - 16µm 0-1% Linfócito 6 - 18µm 20-30% Monócito 12 - 20µm 3-8% Plaquetas 2 - 4µm 200.000-400.000/µL
Célula-fonte multipotentes (auto-renováveis) CFU-S (precursores das  células mielóides) CFU-L (precursores das  células linfóides) eritrócito granulócito monócito plaqueta linfócito T linfócito B elementos  funcionais Células progenitoras em diferenciação
Maturação de Precursores Granulocíticos Formas em bastão Sangue periférico Medula óssea Mieloblasto Pró-mielócito Mielócito Metamielócito Granulócitos maduros neutrófilo eosinófilo basófilo Fase de Proliferação
Hematopoiesis
Neutrófilo Neutrófilos:  Núcleo formado por 2-5 lóbulos ligados entre si por pontes de cromatina. Capaz de realizar fagocitose nos tecidos.
Neutrófilo
Neutrófilo Grânulos específicos : contêm diversas enzimas (colagenase IV,...) e lisozima Grânulos azurófilos : são lisossomos e contém mieloperoxidase (ajuda na produção de hipoclorito – bactericida) e defensinas (análogos a anticorpos) Grânulos terciários:  metaloproteinases (facilitar migração pelo t. conjuntivo)
 
Neutrófilo
Eosinófilo Eosinófilos:  Núcleo bilobulado. Granulações ovóides que se coram pela eosina. Presença em parasitoses e alergias. Grânulos específicos : contêm histaminase, colagenase, ... MBP (ptn básica maior), ECP (ptn catiônica dos eosinófilos) e EPO (peroxidase de eosinófilos): efeito citotóxico em protozoários e helmintos Grânulos azurófilos : são lisossomos
Eosinófilo
Basófilo Basófilos:  Núcleo geralmente em forma da letra S. Grande quantidade de grânulos Grânulos específicos : contêm histamina, heparina, heparansulfato, leucotrienos (constrição prolongada de músculo liso) Grânulos azurófilos : são lisossomos
Maturação dos Precursores Monócitos Monócito Sangue periférico Medula óssea Monoblasto Pró-monócito
Monócito Monócitos:  Núcleo em forma de rim. Precursor de macrófago
Linfócito Linfócitos:  Núcleo esférico. Escasso citoplasma. Linfócitos B (diferenciação em plasmócitos    anticorpos). Linfócitos T (destruição de células infectadas por vírus. Sinalização)
Linfócito Tipos de linfócitos Linfócitos T Linfócitos B
Linfócito Tipos de linfócitos Linfócitos T citotóxico Linfócitos T auxiliar – “T helper” Linfócitos T assassino – “T killer” Linfócitos T Linfócitos B
Linfócito Tipos de linfócitos Linfócitos T citotóxico  (“T killer”) Linfócitos T auxiliar  “ T helper” Linfócito B
Linfócito Tipos de linfócitos Linfócitos T citotóxico  (“T killer”) Linfócitos T auxiliar  “ T helper” Linfócito B Linfócito T supressor
Linfócito Linfócito B Linfócito B anticorpos Linfócitos T citotóxico  (“T killer”)
Linfócito Resposta imunológica base celular    linfócito T humoral    linfócito B    plasmócito Linfócito B Linfócito B anticorpos Linfócitos T citotóxico  (“T killer”)
 
Vacinas - Vacinação patógeno linfócito B ativado = célula de memória linfócito B anticorpo
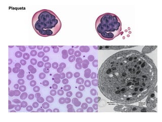
Não são células. São pequenos fragmentos celulares, formados a partir de uma célula gigante, denominada  megacariócito , residente na medula óssea Entre  250.000  e  400.000  por mm 3  de sangue Função: promove  coagulação  do sangue e auxilia na reparação da parede de vasos sanguíneos, evitando perda de sangue. Coagulação : mecanismo protetor necessário ao estado líquido do sangue, que estanca seu fluxo em caso de lesão na árvore vascular Plaquetas
Plaqueta
Plaqueta
 
 
Célula endotelial protrombina circulante trombina Plaqueta ativada tromboplastina plaquetária fibrinogênio fibrina + elementos figurados Coágulo liberação de trombosplatina tissular  pelo endotélio liberação de endotelina  (vaso constrictor) ADP Ativação plaquetária lesão ácido aracdônico  (membrana) tromboxano A 2 (vasoconstrictor) Agregação plaquetária aderência ao colágeno subendotelial
 

Tec Sanguineo

  • 1.
  • 2.
    Características Tecido conjuntivoespecializado: matriz extracelular no estado líquido, e flui em um compartimento Sangue  fluido vermelho, viscoso, levemente alcalino. Responsável por aproximadamente 7% do peso corporal Volume total de sangue de um adulto: 6 litros
  • 3.
    Função Transporte de:Coagulação Gases, nutrientes e excretas Moléculas reguladoras Regulação do pH e osmose Manutenção da temperatura do corpo Proteção contra elementos estranhos Células do sistema imune
  • 4.
    Constituição elementos figuradosplasma sangüíneo 91% água 9% = proteínas, eletrólitos, gorduras, glicose, hormônios, etc... linfócito neutrófilo eosinófilo hemácias ou eritrócitos leucócitos basófilo monócito plaquetas ou trombócitos
  • 5.
    soro coágulo (elementosfigurados + rede de fibrina) anticoagulante
  • 6.
  • 7.
    Hematócrito Baixo Ht-> redução de hemácias: anemia Homem: 40% a 54% Mulher: 35% a 45% Criança: 36% a 44% Recém-nascido: 44% a 62%
  • 8.
    Plasma Componentes %Água 91-92 Ptns (albumina, globulinas, fibrinogênio) 7-8 Outros solutos: - Eletrólitos (Na + , K + , Ca 2+ , Mg 2+ , Cl - , HCO3 - , PO4 3- , ...) - Substâncias nitrogenadas não protéicas (uréia, creatinina, ácido úrico,...) - Nutrientes (glicose, lipídios, aminoácidos) - Gases sanguíneos (dióxido de carbono, nitrogênio,...) - Substâncias reguladoras (hormônios, enzimas) 1-2
  • 9.
    Plasma - Proteínas  Albumina: metade das ptns do plasma. Exerce gradiente de concentração entre sangue e líquido extracelular. Extravasamento de albumina  acúmulo de líquido nos tecidos: edema Globulinas: imunoglobulinas (anticorpos) e não imunoglobulinas (ajuda a manter pressão osmótica e transportadora de diversas substâncias – cobre, ferro, Hb) Fibrinogênio: fibrinogênio solúvel transforma-se em fibrina (coagulação)
  • 10.
    Maturação de PrecursoresEritrocíticos reticulócito Sangue periférico Medula óssea Proeritroblasto Eritroblasto basófilo Eritroblasto policromatófilo Eritroblasto ortocromático eritrócito
  • 11.
  • 12.
    Hemácias   Apresenta-secomo disco de formato bicôncavo  proporciona á célula grande área de superfície, em relação ao seu volume, aumentando capacidade de troca gasosa Eritrócitos maduros  anucleados e não possuem organelas Vida média: 100 a 120 dias. Membranas tornam-se frágeis  removidos da circulação Principal função: conter a hemoglobina  pigmento encarregado do transporte de gases respiratórios (O 2 e CO 2 ) para todos os tecidos
  • 13.
    Hemácias Hemoglobina: proteínaformada através da combinação de 4 moléculas (radicais heme) com uma proteína (globina). Radical heme  complexo metálico contendo ferro, responsável pela cor (pigmento). Oxigênio se ligará ao ferro da hemoglobina. Globina  proteína incolor formada por dois pares de cadeias polipeptídicas Elementos do citoesqueleto mantém a forma do disco bicôncavo da hemácia. Defeitos nos componentes do citoesqueleto  células de forma anômalas. Esferocitose hereditária  hemácias frágeis  transportam menos oxigênio  anemia
  • 14.
  • 15.
    Hemácia HbA :96% total. 2 cadeias α e 2 cadeias β HbA 2 : 1,5 a 3% total. 2 cadeias α e 2 cadeias δ HbF : <1% total. 2 cadeias α e 2 Ɣ
  • 16.
  • 17.
    Anemia falciforme Oaminoácido ácido glutâmico é substituído por outro aminoácido chamado valina. Esta substituição de aminoácidos é que causa o fenômeno de afoiçamento. Nas hemácias dos pacientes com Anemia Falciforme 90% das hemoglobinas são hemoglobinas S. - Quando as moléculas da hemoglobina S deixam os pulmões carreando o oxigênio, elas são enviadas ao acaso, como a hemoglobina A mas assim que o oxigênio é liberado por essas hemácias com hemoglobina S, suas moléculas se agrupam, tomando uma forma gelatinosa, formando filamentos que alongam e distorcem a membrana da hemácia dando a ela uma forma irregular e afoiçada.
  • 18.
  • 19.
  • 20.
  • 21.
  • 22.
    Grupos sangüíneos Doaçãode sangue Doação de hemácias O A B AB
  • 23.
    Grupos sangüíneos OA B AB Doação de sangue Doação de plasma
  • 24.
  • 25.
    Fator Rh Doaçãode sangue Doação de plasma Rh - Rh +
  • 26.
    Fator Rh Doaçãode sangue Gravidez Rh - Rh +
  • 27.
    Defesa do organismoVida média: circulantes  6 a 8 horas; tecidos  2 a 3 dias Adulto normal: entre 6.000 e 10.000 leucócitos por mm 3 de sangue Os leucócitos não tem função no interior da corrente sanguínea , utilizando-a como meio de transporte de uma para outra região do corpo. Alcançando seu destino, abandonam a corrente sanguínea por diapedese e entram nos espaços de tecido conjuntivo para desempenhar suas funções Classificados em: granulócitos (contém grânulos específicos no citoplasma) e agranulócitos (não apresentam grânulos específicos citoplasmáticos) Leucócitos
  • 28.
  • 29.
    Distensão sangüínea Corantes: eosina – azul de metileno – azures de metileno (mistura de Romanowsky)
  • 30.
    Formato do núcleoPresença ou não de grânulos mononucleares ou agranulares polimorfonucleares ou granulares linfócito monócito neutrófilo eosinófilo basófilo Leucócitos Elemento figurado Dimensões Quantidade Eritrócitos 6,5 a 8µm 3,9-5,5 milhões/µL na mulher 4,1-6,0 milhões/µL no homem Leucócitos 6.000-10.000/µL Neutrófilo 12 - 15µm 60-70% Eosinófilo 12 - 15µm 2-4% Basófilo 12 - 16µm 0-1% Linfócito 6 - 18µm 20-30% Monócito 12 - 20µm 3-8% Plaquetas 2 - 4µm 200.000-400.000/µL
  • 31.
    Célula-fonte multipotentes (auto-renováveis)CFU-S (precursores das células mielóides) CFU-L (precursores das células linfóides) eritrócito granulócito monócito plaqueta linfócito T linfócito B elementos funcionais Células progenitoras em diferenciação
  • 32.
    Maturação de PrecursoresGranulocíticos Formas em bastão Sangue periférico Medula óssea Mieloblasto Pró-mielócito Mielócito Metamielócito Granulócitos maduros neutrófilo eosinófilo basófilo Fase de Proliferação
  • 33.
  • 34.
    Neutrófilo Neutrófilos: Núcleo formado por 2-5 lóbulos ligados entre si por pontes de cromatina. Capaz de realizar fagocitose nos tecidos.
  • 35.
  • 36.
    Neutrófilo Grânulos específicos: contêm diversas enzimas (colagenase IV,...) e lisozima Grânulos azurófilos : são lisossomos e contém mieloperoxidase (ajuda na produção de hipoclorito – bactericida) e defensinas (análogos a anticorpos) Grânulos terciários: metaloproteinases (facilitar migração pelo t. conjuntivo)
  • 37.
  • 38.
  • 39.
    Eosinófilo Eosinófilos: Núcleo bilobulado. Granulações ovóides que se coram pela eosina. Presença em parasitoses e alergias. Grânulos específicos : contêm histaminase, colagenase, ... MBP (ptn básica maior), ECP (ptn catiônica dos eosinófilos) e EPO (peroxidase de eosinófilos): efeito citotóxico em protozoários e helmintos Grânulos azurófilos : são lisossomos
  • 40.
  • 41.
    Basófilo Basófilos: Núcleo geralmente em forma da letra S. Grande quantidade de grânulos Grânulos específicos : contêm histamina, heparina, heparansulfato, leucotrienos (constrição prolongada de músculo liso) Grânulos azurófilos : são lisossomos
  • 42.
    Maturação dos PrecursoresMonócitos Monócito Sangue periférico Medula óssea Monoblasto Pró-monócito
  • 43.
    Monócito Monócitos: Núcleo em forma de rim. Precursor de macrófago
  • 44.
    Linfócito Linfócitos: Núcleo esférico. Escasso citoplasma. Linfócitos B (diferenciação em plasmócitos  anticorpos). Linfócitos T (destruição de células infectadas por vírus. Sinalização)
  • 45.
    Linfócito Tipos delinfócitos Linfócitos T Linfócitos B
  • 46.
    Linfócito Tipos delinfócitos Linfócitos T citotóxico Linfócitos T auxiliar – “T helper” Linfócitos T assassino – “T killer” Linfócitos T Linfócitos B
  • 47.
    Linfócito Tipos delinfócitos Linfócitos T citotóxico (“T killer”) Linfócitos T auxiliar “ T helper” Linfócito B
  • 48.
    Linfócito Tipos delinfócitos Linfócitos T citotóxico (“T killer”) Linfócitos T auxiliar “ T helper” Linfócito B Linfócito T supressor
  • 49.
    Linfócito Linfócito BLinfócito B anticorpos Linfócitos T citotóxico (“T killer”)
  • 50.
    Linfócito Resposta imunológicabase celular  linfócito T humoral  linfócito B  plasmócito Linfócito B Linfócito B anticorpos Linfócitos T citotóxico (“T killer”)
  • 51.
  • 52.
    Vacinas - Vacinaçãopatógeno linfócito B ativado = célula de memória linfócito B anticorpo
  • 53.
    Não são células.São pequenos fragmentos celulares, formados a partir de uma célula gigante, denominada megacariócito , residente na medula óssea Entre 250.000 e 400.000 por mm 3 de sangue Função: promove coagulação do sangue e auxilia na reparação da parede de vasos sanguíneos, evitando perda de sangue. Coagulação : mecanismo protetor necessário ao estado líquido do sangue, que estanca seu fluxo em caso de lesão na árvore vascular Plaquetas
  • 54.
  • 55.
  • 56.
  • 57.
  • 58.
    Célula endotelial protrombinacirculante trombina Plaqueta ativada tromboplastina plaquetária fibrinogênio fibrina + elementos figurados Coágulo liberação de trombosplatina tissular pelo endotélio liberação de endotelina (vaso constrictor) ADP Ativação plaquetária lesão ácido aracdônico (membrana) tromboxano A 2 (vasoconstrictor) Agregação plaquetária aderência ao colágeno subendotelial
  • 59.