LEUCEMIAS



Prof. Dra. Maria Regina A. Azevedo
        mraao@uol.com.br
LEUCEMIAS - HISTÓRICO


1845 – Bennet / Virchow (“sangue branco”)




1877 – Paul Ehrlich – classificação

      - LEUCEMIAS AGUDAS (blastos)
      - LEUCEMIAS CRÔNICAS (céls.diferenciadas)
LEUCEMIAS - HISTÓRICO

1976 – F.A.B. Classificação morfológica
              Provas citoquímicas




1980 – Diferentes métodos diagnósticos
          - estudo citogenético
          - marcadores celulares (imunofenotipagem)
          - microscopia eletrônica
          - biologia molecular
Etiologia - Oncogenes
v-oncogenes => transformação malígna

c-oncogenes (proto oncogenes)  reguladores do ciclo cel.

                       - fosforilação
                      - sinais intracelulares via GTP
                      - controle da expressão genes RNA
                      - duplicação do DNA




Ex: c-abl (tirosina quinase) – LMC; c-ras (GDP / GTP) – LMA
    c-myc (ligação DNA – transcrição) – Linfoma Burkitt
Proto-oncogenes
LEUCEMIAS - CONCEITO


   Distúrbio genético:

=> expressão anormal de proto oncogenes
                 ↓
   proliferação de células malígnas
                           Progressão malígna
LEUCEMIAS – FATORES DE RISCO


 AMBIENTAIS                      DO HOSPEDEIRO


Radiação Ionizante           Anormalidades cromossômicas
Agentes Químicos                Hereditariedade
Retrovírus (HTLVI/II, HIV)      Imunodeficiência
                               Disfunção crônica M.O.
LEUCEMIAS - FISIOPATOLOGIA

Alterações genéticas adquiridas (numéricas ou estruturais)
               ↓
Expressão anormal dos proto oncogenes
               ↓
Perda de controle do ciclo cel (proliferação lenta e indefinida)
               ↓
Transformação malígna – dominância clonal
              ↓
            Neoplasia
HEMATOPOESE
LEUCEMIAS - CLASSIFICAÇÃO

                 Leucemia Mielóide Aguda – LMA
Agudas

“blastos”
                 Leucemia Linfóide Aguda - LLA


                 Leucemia Mielóde Crônica - LMC
Crônicas

“céls maduras”
                 Leucemia Linfóide Crônica - LLC
LEUCEMIAS AGUDAS
Presença de “ BLASTOS ”




LMA                             LLA
LEUCEMIAS AGUDAS
               CLASSIFICAÇÃO F.A.B.

LEUCEMIA MIELÓIDE AGUDA - LMA:
   (mieloblastos)

M0 – mieloblastos agranulares, CF com marc. Mielóides

M1 – mieloblastos sem maturação (90%) > 3% MPO + Bt. Auer

M2 – 30 a 90% mieloblastos, monocitos < 20%, Bt. Auer

M3 – predomínio promielócitos, Bt. Auer

M4 - > 30% blastos com > 20% comp. monocítico

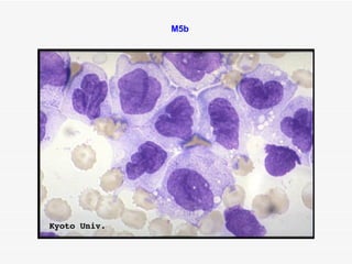
M5 - > 80% comp. monocíticos imaturos (M5a) ou #(M5b)

M6 - > 50% eritroblastos, > 3% blastos não eritróides

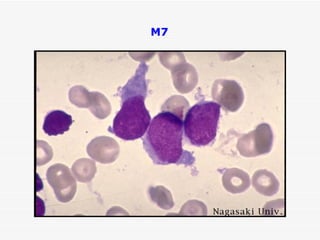
M7 - > 30% megacarioblastos
CLASSIFICAÇÃO OMS (2001)
LEUCEMIAS AGUDAS – CLASSIFICAÇÃO F.A.B.



LEUCEMIA LINFÓIDE AGUDA - LLA: (linfoblastos)



L1 – linfoblastos pequenos e uniformes

L2 – linfoblastos grandes e pleomórficos

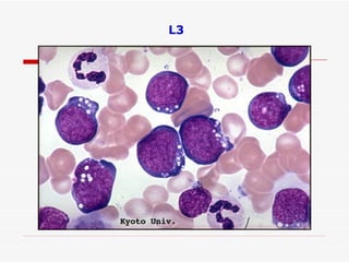
L3 – linfoblastos com mais basofilia e vacúolos (tipo Burkitt)
DIAGNÓSTICO LABORATORIAL – L.A



Hemograma



Mielograma



Testes Complementares

  -   citoquímica, citogenética, imunofenotipagem, BM
CASO CLÍNICO
                Homem, 35 anos apresentando febre
                 
                Hemograma
                GV            2.70 x 10[12]/L
                Hb            9.9 g/dL
   ANEMIA       Ht            28.7 %
                VCM          106.3 fL
                HCM           36.9 pg
                CHCM          34.8 g/dL
                 
                GB           9.9 x 10[9]/L
                  Neutrófilos        4 %
                  Linfócitos         16
NEUTROPENIA       Monócitos          1
                  Eosinófilos        0
                  Basófilos          0
                  Blastos            79

PLAQUETOPENIA   Plaquetas      50 x 10[9]/L
MIELOGRAMA


> 20% de Blastos na M.O
PROVAS CITOQUÍMICAS


PRINCÍPIO:
Demonstração de enzimas/proteinas específicas nos
   leucócitos

APLICAÇÃO:

   Diferenciação de blastos
   Caracterização das LLC
   Diferenciação entre infecção grave e leucemia
PROVAS CITOQUÍMICAS – L. AGUDAS

                                       LMA         LLA
Mieloperoxidase (gr. Azurófila)       + (- M0)      _
benzidina

Sudan Black                           + (- M0)      _


PAS (glicogênio)                      - (+ M6)      +
G* => aldeído + Base Shiff


Esterase (ANAE)                       - (+M4/M5)    _
(Não específica)

TdT
(terminal deoxinucleotidil transf.)      -          +
ANÁLISE CITOGENÉTICA

-   Estudo dos cromossomos na metáfase através da
     inibição do fuso mitótico ( S.P. ou M.O. )



ALTERAÇÕES CROMOSSÔMICAS:
-   Numéricas ( monossomia, trissomia )
-   Estruturais ( translocação, deleção, inversões )

APLICAÇÃO:
-   Prognóstico e resposta terapêutica das L.A
-   Etiologia e fisiopatologia das leucemias
-   Detecção de doença residual mínima
ANÁLISE CITOGENÉTICA
ANORMALIDADES CROMOSSÔMICAS


LMC – t (9, 22) – cr. Philadelphia (bcr/abl ) – 99%

LMA – t (8, 21) – 15 a 20% dos casos ( M2 )
        t (15, 17) – 90% dos casos ( M3 )
        inv (16) – 15% dos casos (M4 + eosinofilia)

LLA – t (4, 11) – leucemia congênita/bifenotípica
      t (9, 22) - adultos com LLA
      t (1, 19) – LLA pré B em crianças

LLC – trissomia cr 12 ( linhagem B )
        t (14, 19) – linfócitos pequenos
IMUNOFENOTIPAGEM (marcadores)

PRINCÍPIO:

 “Anticorpos monoclonais” para detecção de Ag:
- receptores de membrana, mIg / cIg, enzimas nucleares (TdT)

APLICAÇÃO:

   Diferenciação entre linfócitos B, T e subtipos
   Identificação de blastos das diferentes linhagens
   Prognóstico e tratamento das LLA, LLC e L. bifenotípicas
   Maturação celular, doença residual
Imunofenotipagem


Leucemias Agudas

Painel Primário

Anticorpos         Linhagem
MPO/CD13/CD33      Mielóide
CD79a/CD19/CD22c   Linfóide B
CD3c/CD7/CD2/CD5   Linfóide T
MÉTODOS DE ESTUDO:

Suspensão de células viáveis (Ag membrana) – CF

Imunocitoquímica – secções teciduais e esfregaços – IF

                  Citômetro de fluxo
LEUCEMIAS AGUDAS



  “LEUCEMIA MIELÓIDE AGUDA”

         Tipo celular predominante:

mieloblasto M0, M1, M2   (peroxidase +, CD33+)
promielócito M3          (peroxidase +)
monoblasto M4 e M5       (esterase +)
eritroblasto M6          (PAS +)
megacarioblasto M7       (CD41+)
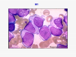
M1
M1 PEROXIDASE +
M2
M3
M3 PEROXIDASE+
M4
M4 ESTERASE +
M5a
M5b
M6
M6   PAS+
M7
M7 GPIIbIIIa +
LEUCEMIA LINFÓIDE AGUDA

Tipo celular predominante - linfoblasto
L1
L2
LLA Peroxidase -
L3
Diagnóstico e conduta terapêutica na L.A
LEUCEMIAS CRÔNICAS
LEUCEMIAS CRÔNICAS

LINFÓIDES - LLC: (classificação imunológica)


   CÉLULAS B                          CÉLULAS T

LLC ( linfócitos, +comum)      LGL ( linfócitos granulares)
LPL- B (prolinfócitos)         LPL -T ( prolinfócitos )
Tricoleucemia (Hairy cells)    ATLL – HTLV (flower cells)
Linfomas não Hodgkin em fase   Sínd. de Sézary (nc clivado)
leucêmica
LEUCEMIA LINFÓIDE CRÔNICA

HEMOGRAMA

Leucocitose com linfocitose (linfócitos maduros, atipias)
Fragilidade celular (manchas de Grumpet)
Anemia (AHAI)
Plaquetopenia


MIELOGRAMA
Infiltração de linfócitos
LLC (manchas de Grumpet)
Leucemia Pró Linfocítica
Linfócitos Granulares
Hairy cell - Tricoleucemia
Linfócitos Clivados (Sezary)
LEUCEMIA MIELÓIDE CRÔNICA
            “Distúrbios mieloproliferativos”

1. Leucemia Mielóide Crônica (LMC)

14% das leucemias

Hiperplasia mielóide, hiperleucocitose, neutrofilia,
basofilia, desvio a esquerda, esplenomegalia
Presença de cromossomo Filadelfia (bcr-abl)
Curso trifásico (fase crônica, fase acelerada e crise
blástica)
LMC : hiperleucocitose em SP - DE
LMC – desvio a esquerda
MIELOGRAMA - LMC
Citogenética LMC - t(9,22)
LMC - t(9,22) → bcr-abl
Hibridização “in situ”
                             FISH
                             bcr-abl
FISH - normal
TRATAMENTO – INIBIDOR DA TIROSINA QUINASE
Mielofibrose
TRATAMENTO



- Quimioterapia

- Radioterapia

- Transplante de medula óssea
 1891: uso da medula como forma terapêutica (uso oral);

 1945: após Hiroshima – estudos intensificados;

 1964: esclarecido o sistema HLA;

 1972: 1º transplante de MO alogênico.
TMO


CTH: células-tronco do tecido hematopoético
     > origina todas as células (gv,gb,plaquetas)
     > marcador fenotípico: CD34+
     > alta capacidade proliferativa




    COLETADAS            INFUNDIDAS RECEPTOR
     (doador)                   (paciente)
REGIME DE CONDICIONAMENTO:


- Caracterizado por altas doses de quimioterapia
 e/ou radioterapia.
- Objetivos:
 > efeito imunossupressor
 > efeito tumoricida
 > baixa toxicidade
TIPOS DE TRANSPLANTE:



QUANTO A FONTE DAS CÉLULAS:


- Cordão Umbilical




- Sangue Periférico (aferese)
-Medula Óssea (punção)
TMO: Presente e futuro




- BRASIL: 2,5 transplantes medula/milhão de hab./ano.
   Países desenvolvidos: 7 a 10.
   Limitações: custo e ↓ disponibilidade de doadores
   Tempo de espera: 1 ano.



- Alternativa: uso de sangue do cordão umbilical (SCUP)
     menos imunoreativas: < complicações.
Ninguém é tão pequeno que não possa ensinar...




             ...Nem tão grande que não possa aprender
                                                 Voltaire

Leucemias

  • 1.
    LEUCEMIAS Prof. Dra. MariaRegina A. Azevedo mraao@uol.com.br
  • 2.
    LEUCEMIAS - HISTÓRICO 1845– Bennet / Virchow (“sangue branco”) 1877 – Paul Ehrlich – classificação - LEUCEMIAS AGUDAS (blastos) - LEUCEMIAS CRÔNICAS (céls.diferenciadas)
  • 3.
    LEUCEMIAS - HISTÓRICO 1976– F.A.B. Classificação morfológica Provas citoquímicas 1980 – Diferentes métodos diagnósticos - estudo citogenético - marcadores celulares (imunofenotipagem) - microscopia eletrônica - biologia molecular
  • 4.
    Etiologia - Oncogenes v-oncogenes=> transformação malígna c-oncogenes (proto oncogenes)  reguladores do ciclo cel. - fosforilação - sinais intracelulares via GTP - controle da expressão genes RNA - duplicação do DNA Ex: c-abl (tirosina quinase) – LMC; c-ras (GDP / GTP) – LMA c-myc (ligação DNA – transcrição) – Linfoma Burkitt
  • 5.
  • 6.
    LEUCEMIAS - CONCEITO  Distúrbio genético: => expressão anormal de proto oncogenes ↓ proliferação de células malígnas Progressão malígna
  • 7.
    LEUCEMIAS – FATORESDE RISCO AMBIENTAIS DO HOSPEDEIRO Radiação Ionizante Anormalidades cromossômicas Agentes Químicos Hereditariedade Retrovírus (HTLVI/II, HIV) Imunodeficiência Disfunção crônica M.O.
  • 8.
    LEUCEMIAS - FISIOPATOLOGIA Alteraçõesgenéticas adquiridas (numéricas ou estruturais) ↓ Expressão anormal dos proto oncogenes ↓ Perda de controle do ciclo cel (proliferação lenta e indefinida) ↓ Transformação malígna – dominância clonal ↓ Neoplasia
  • 9.
  • 10.
    LEUCEMIAS - CLASSIFICAÇÃO Leucemia Mielóide Aguda – LMA Agudas “blastos” Leucemia Linfóide Aguda - LLA Leucemia Mielóde Crônica - LMC Crônicas “céls maduras” Leucemia Linfóide Crônica - LLC
  • 11.
  • 12.
    Presença de “BLASTOS ” LMA LLA
  • 13.
    LEUCEMIAS AGUDAS CLASSIFICAÇÃO F.A.B. LEUCEMIA MIELÓIDE AGUDA - LMA: (mieloblastos) M0 – mieloblastos agranulares, CF com marc. Mielóides M1 – mieloblastos sem maturação (90%) > 3% MPO + Bt. Auer M2 – 30 a 90% mieloblastos, monocitos < 20%, Bt. Auer M3 – predomínio promielócitos, Bt. Auer M4 - > 30% blastos com > 20% comp. monocítico M5 - > 80% comp. monocíticos imaturos (M5a) ou #(M5b) M6 - > 50% eritroblastos, > 3% blastos não eritróides M7 - > 30% megacarioblastos
  • 15.
  • 16.
    LEUCEMIAS AGUDAS –CLASSIFICAÇÃO F.A.B. LEUCEMIA LINFÓIDE AGUDA - LLA: (linfoblastos) L1 – linfoblastos pequenos e uniformes L2 – linfoblastos grandes e pleomórficos L3 – linfoblastos com mais basofilia e vacúolos (tipo Burkitt)
  • 17.
    DIAGNÓSTICO LABORATORIAL –L.A Hemograma Mielograma Testes Complementares - citoquímica, citogenética, imunofenotipagem, BM
  • 18.
    CASO CLÍNICO Homem, 35 anos apresentando febre   Hemograma GV 2.70 x 10[12]/L Hb 9.9 g/dL ANEMIA Ht 28.7 % VCM 106.3 fL HCM 36.9 pg CHCM 34.8 g/dL   GB 9.9 x 10[9]/L Neutrófilos 4 % Linfócitos 16 NEUTROPENIA Monócitos 1 Eosinófilos 0 Basófilos 0 Blastos 79 PLAQUETOPENIA Plaquetas 50 x 10[9]/L
  • 19.
    MIELOGRAMA > 20% deBlastos na M.O
  • 20.
    PROVAS CITOQUÍMICAS PRINCÍPIO: Demonstração deenzimas/proteinas específicas nos leucócitos APLICAÇÃO:  Diferenciação de blastos  Caracterização das LLC  Diferenciação entre infecção grave e leucemia
  • 21.
    PROVAS CITOQUÍMICAS –L. AGUDAS LMA LLA Mieloperoxidase (gr. Azurófila) + (- M0) _ benzidina Sudan Black + (- M0) _ PAS (glicogênio) - (+ M6) + G* => aldeído + Base Shiff Esterase (ANAE) - (+M4/M5) _ (Não específica) TdT (terminal deoxinucleotidil transf.) - +
  • 22.
    ANÁLISE CITOGENÉTICA - Estudo dos cromossomos na metáfase através da inibição do fuso mitótico ( S.P. ou M.O. ) ALTERAÇÕES CROMOSSÔMICAS: - Numéricas ( monossomia, trissomia ) - Estruturais ( translocação, deleção, inversões ) APLICAÇÃO: - Prognóstico e resposta terapêutica das L.A - Etiologia e fisiopatologia das leucemias - Detecção de doença residual mínima
  • 23.
  • 24.
    ANORMALIDADES CROMOSSÔMICAS LMC –t (9, 22) – cr. Philadelphia (bcr/abl ) – 99% LMA – t (8, 21) – 15 a 20% dos casos ( M2 ) t (15, 17) – 90% dos casos ( M3 ) inv (16) – 15% dos casos (M4 + eosinofilia) LLA – t (4, 11) – leucemia congênita/bifenotípica t (9, 22) - adultos com LLA t (1, 19) – LLA pré B em crianças LLC – trissomia cr 12 ( linhagem B ) t (14, 19) – linfócitos pequenos
  • 25.
    IMUNOFENOTIPAGEM (marcadores) PRINCÍPIO: “Anticorposmonoclonais” para detecção de Ag: - receptores de membrana, mIg / cIg, enzimas nucleares (TdT) APLICAÇÃO:  Diferenciação entre linfócitos B, T e subtipos  Identificação de blastos das diferentes linhagens  Prognóstico e tratamento das LLA, LLC e L. bifenotípicas  Maturação celular, doença residual
  • 26.
    Imunofenotipagem Leucemias Agudas Painel Primário Anticorpos Linhagem MPO/CD13/CD33 Mielóide CD79a/CD19/CD22c Linfóide B CD3c/CD7/CD2/CD5 Linfóide T
  • 27.
    MÉTODOS DE ESTUDO: Suspensãode células viáveis (Ag membrana) – CF Imunocitoquímica – secções teciduais e esfregaços – IF Citômetro de fluxo
  • 28.
    LEUCEMIAS AGUDAS “LEUCEMIA MIELÓIDE AGUDA” Tipo celular predominante: mieloblasto M0, M1, M2 (peroxidase +, CD33+) promielócito M3 (peroxidase +) monoblasto M4 e M5 (esterase +) eritroblasto M6 (PAS +) megacarioblasto M7 (CD41+)
  • 29.
  • 30.
  • 31.
  • 32.
  • 33.
  • 34.
  • 35.
  • 36.
  • 37.
  • 38.
  • 39.
    M6 PAS+
  • 40.
  • 41.
  • 42.
    LEUCEMIA LINFÓIDE AGUDA Tipocelular predominante - linfoblasto
  • 43.
  • 44.
  • 45.
  • 46.
  • 47.
    Diagnóstico e condutaterapêutica na L.A
  • 48.
  • 49.
    LEUCEMIAS CRÔNICAS LINFÓIDES -LLC: (classificação imunológica) CÉLULAS B CÉLULAS T LLC ( linfócitos, +comum) LGL ( linfócitos granulares) LPL- B (prolinfócitos) LPL -T ( prolinfócitos ) Tricoleucemia (Hairy cells) ATLL – HTLV (flower cells) Linfomas não Hodgkin em fase Sínd. de Sézary (nc clivado) leucêmica
  • 50.
    LEUCEMIA LINFÓIDE CRÔNICA HEMOGRAMA Leucocitosecom linfocitose (linfócitos maduros, atipias) Fragilidade celular (manchas de Grumpet) Anemia (AHAI) Plaquetopenia MIELOGRAMA Infiltração de linfócitos
  • 51.
  • 52.
  • 53.
  • 54.
    Hairy cell -Tricoleucemia
  • 55.
  • 56.
    LEUCEMIA MIELÓIDE CRÔNICA “Distúrbios mieloproliferativos” 1. Leucemia Mielóide Crônica (LMC) 14% das leucemias Hiperplasia mielóide, hiperleucocitose, neutrofilia, basofilia, desvio a esquerda, esplenomegalia Presença de cromossomo Filadelfia (bcr-abl) Curso trifásico (fase crônica, fase acelerada e crise blástica)
  • 57.
  • 58.
    LMC – desvioa esquerda
  • 59.
  • 60.
  • 61.
    LMC - t(9,22)→ bcr-abl
  • 62.
    Hibridização “in situ” FISH bcr-abl FISH - normal
  • 63.
    TRATAMENTO – INIBIDORDA TIROSINA QUINASE
  • 64.
  • 65.
    TRATAMENTO - Quimioterapia - Radioterapia -Transplante de medula óssea 1891: uso da medula como forma terapêutica (uso oral); 1945: após Hiroshima – estudos intensificados; 1964: esclarecido o sistema HLA; 1972: 1º transplante de MO alogênico.
  • 66.
    TMO CTH: células-tronco dotecido hematopoético > origina todas as células (gv,gb,plaquetas) > marcador fenotípico: CD34+ > alta capacidade proliferativa COLETADAS INFUNDIDAS RECEPTOR (doador) (paciente)
  • 67.
    REGIME DE CONDICIONAMENTO: -Caracterizado por altas doses de quimioterapia e/ou radioterapia. - Objetivos: > efeito imunossupressor > efeito tumoricida > baixa toxicidade
  • 68.
    TIPOS DE TRANSPLANTE: QUANTOA FONTE DAS CÉLULAS: - Cordão Umbilical - Sangue Periférico (aferese)
  • 69.
  • 70.
    TMO: Presente efuturo - BRASIL: 2,5 transplantes medula/milhão de hab./ano.  Países desenvolvidos: 7 a 10.  Limitações: custo e ↓ disponibilidade de doadores  Tempo de espera: 1 ano. - Alternativa: uso de sangue do cordão umbilical (SCUP) menos imunoreativas: < complicações.
  • 71.
    Ninguém é tãopequeno que não possa ensinar... ...Nem tão grande que não possa aprender Voltaire