Dr. Emanuel R. Dantas
Como Obter Imagens do Ombro
 Bobinas / Posição do Paciente:
 Bobina: Superfície (imagens detalhadas com alta
resolução).
 Posicionamento do paciente: decúbito dorsal, com o
braço a seu lado em posição neutra ou em leve rotação
externa.
 Orientação da Imagem:
 FOV (12 cm)
 Espessura do corte: 3 mm.
 São necessárias imagens nos 3 planos:
○ Oblíqua coronal (paralelo ao tendão do supra-espinhal);
○ Oblíqua sagital (paralela à superfície articular da glenóide);
○ Axial (do ápice do acrômio até a base da articulação glenoumeral).
Dr. Emanuel R. Dantas
Como Obter Imagens do Ombro
 Seqüências de Pulso padrão:
 Oblíquas: ponderada em T1, T2* e T2 com
saturação de gordura
 Axial T2*
 Sagital T2*
Dr. Emanuel R. Dantas
Tendões – Anatomia Normal
 Tendões:
 O manguito rotatório é considerado tipicamente
como composto por 4 tendões:
○ Supra-espinhal
○ Infraespinal
○ Subescapular
○ Redondo menor
 Obs.: Não há bainhas sinoviais ou paratendões
circunjacentes envolvendo os tendões do manguito
rotatório.
Dr. Emanuel R. Dantas
Tendões – Anatomia Normal
 Tendão do supra-espinhal:
 Corre entre a superfície inferior do acrômio e o ápice
da cabeça do úmero.
 Insere-se no ápice da tuberosidade maior do úmero.
Dr. Emanuel R. Dantas
Normal
supraspinatus
tendon. FSE T2
coronal oblique
image of the
shoulder. The cigar-
shaped
supraspinatus
muscle runs
horizontally. The
musculotendinous
junction is located
just lateral to the
acromioclavicular
joint. The tendon
(arrows) is located
between the
acromion and the
humerus, attaches to
the top of the greater
tuberosity, and is low
signal. Note the
broad footprint of the
tendon insertion onto
the greater tuberosity
(arrowheads). A,
acromion; C, clavicle.
Dr. Emanuel R. Dantas
Tendões – Anatomia Normal
 Tendões do Infra-espinhal e redondo menor:
 Localizados posteriormente com inserção na
tuberosidade maior.
 Tendão do infra-espinhal: pode ser visualizado
cursando obliquamente em um ângulo de 45 graus,
fixando-se posteriormente a tuberosidade maior do
úmero.
Dr. Emanuel R. Dantas
Normal
infraspinatus
tendon. T2*
coronal oblique
image of the
shoulder. The
low signal
infraspinatus
tendon runs
obliquely
(arrows) in a
craniocaudal
direction,
attaching to the
posterior and
superior aspect
of the greater
tuberosity of
the humerus.
Dr. Emanuel R. Dantas
Tendões – Anatomia Normal
 Tendão da cabeça longa do bíceps:
 Visto em cortes mais anteriores através do
ombro
 Origem no lábio superior (a âncora do bíceps),
e corre inferiormente dentro do sulco bicipital.
Dr. Emanuel R. Dantas
A, T2* coronal oblique
image of the shoulder. The
long head of the biceps
tendon (arrowheads) runs
vertically in the bicipital
groove and attaches to the
superior labrum (the biceps-
labral anchor). The biceps is
located far anterior in the
shoulder and runs
underneath the
supraspinatus tendon.
Dr. Emanuel R. Dantas
FSE T2 coronal
oblique image of the
shoulder. A far
anterior image shows
the biceps as it exits
the bicipital groove
and extends through
the joint to insert
onto the superior
labrum (black arrow).
The anterior edge of
the supraspinatus
tendon can be seen
inserting onto the
greater tuberosity just
lateral to the bicipital
groove (white arrow).
Dr. Emanuel R. Dantas
Tendões – Anatomia Normal
 Músculo subescapular:
 Corre anteriormente ao ombro, e seu tendão se fixa à
tuberosidade menor.
 Imagens Axiais: melhor demonstra a extensão do
músculo subescapular e do seu tendão.
 Obs.:
○ 1. Sua fixação se mistura com o ligamento transverso.
○ 2. Ligamento transverso: liga as tuberosidades menor e maior,
mantendo o tendão da cabeça longa do bíceps no sulco
bicipital.
○ 3. Nas imagens sagitais, o espaço entre o tendão do
supraespinhal e o tendão subescapular é conhecido como
intervalo dos rotadores.
Dr. Emanuel R. Dantas
Normal subscapularis
tendon. T2* axial image
of the shoulder. The
subscapularis tendon
(arrowheads) runs
anterior to the shoulder
beneath the coracoid
process and blends with
the transverse humeral
ligament (solid arrow)
that spans the bicipital
groove and holds the
biceps tendon (open
arrow) in place.
Dr. Emanuel R. Dantas
Dr. Emanuel R. Dantas
Arco Coracoacromial –
Anatomia Normal
 Limitado por:
 Cabeça do úmero posteriormente
 Acrômio superiormente
 Processo coracóide e ligamento coracoacromial intercorrente
anteriormente.
 Localizados dentro do arco coracoacromial, encontram-
se, de cima para baixo:
 Bolsa subacromial / subdeltóide
 Músculo supra-espinhal e seu tendão,
 Tendão da cabeça longa do bíceps.
 Importância: Qualquer coisa que diminua o espaço
dentro do arco coracoacromial pode levar a sintomas
compressivos.
Dr. Emanuel R. Dantas
Coracoacromial arch. Diagram of the coracoacromial arch in the sagittal plane. The tendons of
the rotator cuff with their surrounding muscles are arranged around the humeral head. The
biceps tendon is inferior to the supraspinatus tendon. The coracoacromial ligament forms the
anterior margin of the arch. Ac, acromion; Cl, clavicle; Co, coracoid process.
Dr. Emanuel R. Dantas
Arco Coracoacromial –
Anatomia Normal
 Ligamento coracoacromial:
 Visualizado nas imagens obliquas sagitais, como faixa
retesada e delgada, com baixa intensidade em todas
seqüências de pulso.
 Articulação acromioclavicular:
 É lisa na sua superfície inferior, com ambos os ossos
correndo em um plano horizontal regular.
 A superfície inferior do acrômio deve ser lisa e sem
esporões.
Dr. Emanuel R. Dantas
Coracoacromial arch;
type I acromion. T1
sagittal oblique image
of the shoulder. The
coracoacromial
ligament (open arrow)
anterior to the
shoulder is a taut, low
signal band between its
attachments on the
acromion (A) and the
coracoid process (C).
The muscles and
tendons of the rotator
cuff and the long head
of the biceps, are seen
well in cross section.
The undersurface of
the acromion is flat
(type I acromion).
Dr. Emanuel R. Dantas
Normal
acromiohumeral
interval. T1 coronal
oblique image of the
shoulder. There is a
normal orientation of
the acromion (A) with
the clavicle (C), with a
flat undersurface
oriented horizontally.
The intact fat plane
(arrowheads) between
the acromioclavicular
joint and the underlying
supraspinatus tendon
indicates no signs of
impingement. The linear
low signal (arrow) on
the undersurface of the
acromion is the deltoid
tendon
slip/coracoacromial
ligament attachment,
and not a subacromial
spur.
Dr. Emanuel R. Dantas
Arco Coracoacromial –
Anatomia Normal
 Bolsa subacromial / subdeltóidea:
 Um plano de gordura em forma de bumerangue
circundando a bolsa subacromial / subdeltóidea é
evidente entre a articulação acromioclavicular e o
músculo supraespinhal.
 A bursa subacromial / subdeltóide normalmente é
evidente apenas porque é delineada por gordura.
 Ela não deve conter líquido, ou apenas uma
quantidade muito pequena.
Dr. Emanuel R. Dantas
Subacromial/subdeltoi
d bursal fat; low-lying
acromion. A, T1
coronal oblique image
of the shoulder. The
boomerang-shaped,
thin, high signal fat
(arrowheads) is
associated with the
subacromial/subdeltoi
d bursa. The fat of the
bursa may appear
normal on T1W
images, even in the
presence of bursitis.
The acromion (A) is
low-lying compared
with the clavicle (C),
which predisposes to
impingement
syndrome
Dr. Emanuel R. Dantas
Fast T2 with fat
suppression coronal
oblique image of the
shoulder. There is a
small amount of fluid in
the
subacromial/subdeltoid
bursa (arrowhead) from
bursitis.
Dr. Emanuel R. Dantas
Compressão do Ombro
 Definição:
 Qualquer condição que limite o espaço dentro do
arco coracoacromial pode comprimir as seguintes
as estruturas que compõem o arco
coracoacromial:
○ Bursa subacromial,
○ Tendão do supra-espinhal
○ Tendão da cabeça longa do bíceps.
Dr. Emanuel R. Dantas
Compressão do Ombro
 Causas:
 Configuração anormal do acrômio anterior
 Inclinação anterior do acrômio para baixo
 Acrômio em situação baixa;
 Inclinação ínfero-lateral do acrômio
 Osso acromial
Dr. Emanuel R. Dantas
Compressão do Ombro
 Configuração Acromial:
 Tipo I: Superfície plana
 Tipo II: Superfície inferior côncava
 Tipo III: Gancho anterior, estreitando o espaço
entre o acrômio e o úmero.
 Tipo IV: Superfície inferior convexa
Dr. Emanuel R. Dantas
Dr. Emanuel R. Dantas
Low-lying; the
acromion is
inferior to the
distal clavicle
Dr. Emanuel R. Dantas
Compressão do Ombro
 Declive do Acrômio:
 Normal: face lateral do acrômio com orientação
quase horizontal nas imagens oblíquas sagitais.
 Inclinação ou declive ínfero-lateral:
○ Ocorre quando a porção mais lateral do acrômio é
inclinada inferiormente em relação à clavícula.
○ Aumento o risco de compressão por trauma
mecânico ao tendão distal do supra-espinhal.
Dr. Emanuel R. Dantas
Acromial slope:
inferolateral tilt.
T1 coronal oblique
image of the
shoulder. The
acromion (A) tilts
inferiorly relative
to the horizontal
clavicle (C). This
narrows the space
between the
humeral head and
the acromion
where the
supraspinatus
tendon and the
subacromial/subde
ltoid bursa exist,
increasing the risk
of impingement
Dr. Emanuel R. Dantas
Compressão do Ombro
 Osso Acromial:
 Def.:
○ Centro acessório de ossificação do acrômio, que se
funde normalmente por volta de 25 anos de idade.
○ Osso Acromial:
 Osso acromial não fundido (visto em 15% da população
após 25 anos)
 Sua presença está associada a uma incidência aumentada
de compressão e lacerações do manguito rotatório,
presumivelmente porque o osso é móvel → redução do
espaço no arco coracoacromial com o movimento.
Dr. Emanuel R. Dantas
Os acromiale. T2* axial
image of the shoulder. A
cut through the level of
the acromioclavicular
joint shows a separate os
acromiale (OA) that did
not fuse in this patient.
This predisposes to
impingement. There are
degenerative, high signal
cysts between the os and
the adjacent scapula.
Dr. Emanuel R. Dantas
Lacerações, Degeneração e
Luxação dos Tendões
 Tendão Supra-Espinhal – Degeneração e
Lacerações Parciais do Tendão:
 Duas entidades geralmente indistingüíveis uma da outra
em imagens ponderadas em T1.
 Aparência MR:
○ Regiões focais ou difusas de intensidade de sinal
intradinosa intermediária, definindo-se o termo tendinose ou
tendinopatia para descrever ambas as alterações.
○ Se essas áreas mantêm a mesma intensidade de sinal que
o músculo em imagens T2 → mais compatíveis com
degeneração do tendão
○ Se essas áreas se tornam de alta intensidade de sinal,
como líquido em imagens ponderadas em T2 → mais
compatíveis com lacerações parciais do tendão.
Dr. Emanuel R. Dantas
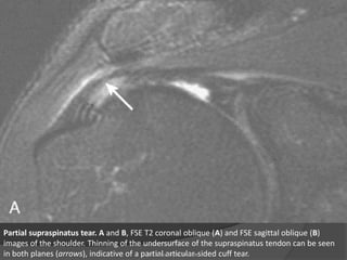
Partial supraspinatus tear. A and B, FSE T2 coronal oblique (A) and FSE sagittal oblique (B)
images of the shoulder. Thinning of the undersurface of the supraspinatus tendon can be seen
in both planes (arrows), indicative of a partial articular-sided cuff tear.
Dr. Emanuel R. Dantas
Lacerações, Degeneração e
Luxação dos Tendões
 Lacerações de Espessura Total:
 Aparência MR:
○ Descontinuidade do tendão com líquido de alta
intensidade de sinal atravessando o intervalo entre
os fragmentos do tendão da superfície articular para
a superfície da bolsa do tendão em seqüências
ponderadas em T2.
○ A atrofia muscular é vista como intensidade de sinal
alta dentro do músculo em imagens T1.
Dr. Emanuel R. Dantas
FSE T2 oblique
coronal image
of the
shoulder. A
full-thickness
gap is seen in
the
supraspinatus
tendon
(arrow) at the
critical zone.
Dr. Emanuel R. Dantas
Lacerações, Degeneração e
Luxação dos Tendões
 Cabeça Longa do Bíceps – Lacerações:
 Encontra-se associado a lacerações do tendão do
supra-espinhal em 7% dos casos.
 Geralmente ocorre na zona de compressão
imediatamente proximal ao sulco bicipital e em
indivíduos mais velhos.
 O fragmento distal do tendão e o músculo podem
se retrair distalmente, e um sulco bicipital vazio
pode ser demonstrado em imagens axiais.
Dr. Emanuel R. Dantas
Biceps tendon
tear. T2* axial
image of the
shoulder. The
bicipital
groove (arrow)
is empty,
without
evidence of
the oval, low
signal long
head of the
biceps tendon,
indicating a
complete
rupture
Dr. Emanuel R. Dantas
Lacerações, Degeneração e
Luxação dos Tendões
 Cabeça Longa do Bíceps – Luxação:
 Ligamento umeral transverso:
○ Liga as tuberosidades maior e menor do úmero, mantendo
o tendão da cabeça longa do bíceps no lugar.
○ Necessário romper-se para haver luxação ou subluxação
do tendão da cabeça longa do bíceps.
 Na luxação → deslocamento medial do tendão para
dentro da articulação → laceração do tendão do
subescapular.
Dr. Emanuel R. Dantas
Dislocated biceps
tendon. A, T1 fat-
suppressed axial
shoulder MR arthrogram.
The bicipital groove is
empty. The biceps
tendon (arrowhead) is
located over the anterior
glenohumeral joint and
posterior to the
subscapularis tendon
(arrow), which has been
avulsed from its
attachment to the lesser
tuberosity of the
humerus
Dr. Emanuel R. Dantas
T1 fat-suppressed
coronal oblique
shoulder MR
arthrogram. The biceps
tendon (arrowheads) is
dislocated medially
overlying the shoulder
joint.
Dr. Emanuel R. Dantas
Lacerações, Degeneração e
Luxação dos Tendões
 Infra-Espinhal:
 Lacerações do tendão do infra-espinhal podem ser
vistas após:
○ Trauma agudo;
○ Em associação com lacerações maciças do tendão do supra-
espinhal;
○ Compressão posterior do ombro.
 Compressão Póstero-superior:
○ Refere-se à compressão do tendão do supra-espinhal e do infra-
espinhal em movimentos tais como arremesso.
○ Afeta também o lábio póstero-superior e a cabeça do úmero no
ponto de impacto com a glenóide póstero-superior.
Dr. Emanuel R. Dantas
Infraspinatus
tendon tear. T2*
coronal oblique
image of the
shoulder. The end
of the torn
infraspinatus
tendon (arrow) is
seen retracted
inferomedially to
its normal
attachment to the
posterolateral
humerus.
Dr. Emanuel R. Dantas
Lacerações, Degeneração e
Luxação dos Tendões
 Infra-Espinhal:
 Compressão póstero-superior – Achados à RM:
○ Cistos degenerativos na face posterior da cabeça do
úmero, próximo à inserção do tendão do infra-espinhal
○ Desgaste, lacerações parciais ou completas do tendão
do infra-espinhal ou do tendão do supra-espinhal
○ Desgaste ou lacerações do lábio da glenóide posterior
Dr. Emanuel R. Dantas
Posterior
impingement. A, T1
fat-suppressed
coronal oblique
shoulder MR
arthrogram. There
is a large cyst in the
posterolateral
humeral head
(arrowhead) that is
filled with contrast
material at the site
of impaction
between the
humeral head and
posterior labrum
during overhead
movements. There
is incomplete fat
suppression in this
image, with fat
remaining high
signal laterally
Dr. Emanuel R. Dantas
Lacerações, Degeneração e
Luxação dos Tendões
 Subescapular:
 Causa de lesão do tendão do subescapular:
○ Luxação anterior do ombro
○ Lacerações maciças do manguito rotatório
○ Luxações do tendão do bíceps.
○ Compressão subcoracóide → casos de espaços
estreitados entre o coracóide e o úmero.
Dr. Emanuel R. Dantas
Lacerações, Degeneração e
Luxação dos Tendões
 Subescapular:
 Lacerações – Aparência - MR:
○ Descontinuidade do tendão,
○ Meio de contraste entrando na substância do tendão
(artrografia)
○ Sinal anormal dentro da substância do tendão;
○ Posição alterada do tendão.
○ Obs.: As alterações no curso do tendão da cabeça
longa do bíceps (subluxação ou luxação) geralmente
estão associadas a lacerações do tendão do
subescapular.
Dr. Emanuel R. Dantas
Subscapularis
tendon tears;
subcoracoid
impingement.
A, T1 fat-
suppressed axial
shoulder MR
arthrogram. The
subscapularis
has been
detached from
the lesser
tuberosity
(arrowhead).
The biceps
tendon is
subluxed
medially from
the bicipital
groove. Contrast
material covers
the lesser
tuberosity.
Dr. Emanuel R. Dantas
Dr. Emanuel R. Dantas
T1 fat-suppressed
axial shoulder MR
arthrogram (different
patient than in A).
The coracoid
process (C) was
excessively long in
this patient, causing
narrowing of the
space between it
and the humerus
(subcoracoid
impingement). This
is associated with
tears of the
subscapularis
tendon, as was
evident in this case
(arrow). The tendon
is thickened,
longitudinally split,
and filled with
contrast material.
Dr. Emanuel R. Dantas
Lacerações Maciças do
Manguito Rotador
 Instabilidade:
 É a principal alteração afetando o ombro depois da
compressão.
 Def: reflete à subluxação ou à luxação da articulação
glenoumeral, que pode ter origem traumática ou não.
 Tipos de Instabilidade:
○ Anterior: mais comum
○ Posterior
○ Multidirecional
○ Superior
Dr. Emanuel R. Dantas
Anatomia Relacionada à
Instabilidade
 Ligamentos glenoumerais:
 Representam espessamentos da parte anterior da
cápsula articular.
 Os 3 ligamentos são: superior, médio e inferior
 Eles se estendem da face anterior da glenóide até
a tuberosidade menor do úmero.
Dr. Emanuel R. Dantas
Anatomia Relacionada à
Instabilidade
 Ligamentos glenoumerais:
 Aparência à RM:
○ Superior:
 Visto ao nível do processo coracóide em imagens axiais por RM, corre paralelo
com essa estrutura óssea.
○ Médio:
 Visto ao nível, e imediatamente inferior ao no nível, da ponta do processo
coracóide em cortes axiais;
 Localiza-se profundamente ao tendão do subescapular e adjacente ao lábio
inferior, onde pode simular um fragmento lacerado do lábio.
○ Inferior:
 Visto em imagens axiais através da face inferior da glenóide, fixando-se aos
lábios anterior e posterior.
 É o principal estabilizados do ombro.
 Composto de uma faixa anterior e outra posterior, com uma bolsa ou recesso
entre elas.
Dr. Emanuel R. Dantas
Normal superior,
middle, and
inferior
glenohumeral
ligaments. A,
Diagram of the
superior, middle,
and inferior
glenohumeral
ligaments (SGHL,
MGHL, and IGHL)
en face from a
coronal
perspective,
forming the Z
configuration. The
coracohumeral
ligament (CHL)
and long head of
the biceps tendon
(LHBT) also are
shown.
Dr. Emanuel R. Dantas
Normal
glenohumeral
ligaments. A, T1
fat-suppressed
axial shoulder MR
arthrogram. The
low signal
superior
glenohumeral
ligament (solid
arrow) parallels
the coracoid
process (C) from
the capsule to
attach to the
superior aspect of
the anterior
labrum. The
biceps tendon
(open arrow) also
passes through
the superior joint
to anchor to the
superior labrum.
Dr. Emanuel R. Dantas
B, T1 fat-
suppressed axial
shoulder MR
arthrogram. The
linear, low signal
middle
glenohumeral
ligament
(arrowhead) is
located just
anterior to the
anterior labrum
at the level of
the
subscapularis
tendon. It may
mimic a torn
labrum.
Dr. Emanuel R. Dantas
T1 fat-
suppressed
axial shoulder
MR
arthrogram.
The anterior
and posterior
limbs of the
inferior
glenohumeral
ligaments
(arrowheads)
extend from
the humerus to
the anterior
and posterior
glenoid labrum
in the inferior
shoulder joint.
Dr. Emanuel R. Dantas
Anatomia Relacionada à
Instabilidade
 Ligamentos glenoumerais:
 Ligamentos glenoumerais lacerados, espessados
ou ausentes são uma manifestação de
instabilidade.
 Ligamento inferior:
○ É o mais importante estabilizador da articulação
glenoumeral,
○ É o mais freqüentemente afetado pela instabilidade.
○ A avulsão do ligamento glenoumeral inferior:
 Pode resultar de luxação do ombro
 Está freqüentemente associada com uma laceração do
tendão do subescapular.
Dr. Emanuel R. Dantas
T1 fat-suppressed
sagittal oblique
shoulder MR
arthrogram (different
patient than in A).
The anterior limb of
the inferior
glenohumeral
ligament (open
arrow) is avulsed
from its humeral
attachment, is
thickened, and is
drooping inferiorly
(compare with
normal
posteroinferior
glenohumeral
ligament
[arrowhead]). The
patient had several
prior dislocations.
Dr. Emanuel R. Dantas
Anatomia Relacionada à
Instabilidade
 Lábio:
 Def.: É uma dobra redundante da cápsula articular
constituída de tecido fibrocartilaginoso que se fixa ao
bordo da glenóide da cápsula.
 Função: aprofundar a fossa glenóide e é o sítio de
fixação do tendão da cabeça longa do bíceps e dos
ligamentos glenoumerais.
 Os ligamentos glenoumerais, juntamente com o
lábio, constituem o complexo lábio-ligamentar.
Dr. Emanuel R. Dantas
Anatomia Relacionada à
Instabilidade
 Lábio:
 Aparência MR:
○ Lábio: baixa intensidade de sinal em todas as
seqüências de pulso.
○ Cuidado → com freqüência há sinal de alta
intensidade separando o lábio da glenóide →
interposição de cartilagem hialina (normal).
○ As porções anterior e posterior do lábio: melhor
visualizadas em imagens axiais,
○ Lábio superior: melhor demonstrado em imagens
oblíquas coronais.
○ Lembre-se: qualquer variação ou interposição de
cartilagem segue o contorno da glenóide
Dr. Emanuel R. Dantas
Normal superior
labrum. T2* coronal
oblique image of the
shoulder. The superior
labrum (arrowhead) is
seen best in this plane.
The biceps tendon is
seen in continuity with
the labrum, where it
forms its anchor. There
is undercutting of
hyaline cartilage on the
glenoid deep to the
labrum, which creates
linear high signal
(arrow) that is normal
and must not be
misinterpreted as a
labral detachment. A
portion of the labrum is
clearly attached to the
osseous glenoid.
Dr. Emanuel R. Dantas
Normal anterior
and posterior
glenoid labrum. A,
T1 fat-suppressed
axial shoulder MR
arthrogram. The
anterior labrum
(solid arrow) and
posterior labrum
(open arrow) have a
triangular, low signal
appearance. The
middle
glenohumeral
ligament
(arrowhead) is seen
anterior to the
anterior labrum.
Dr. Emanuel R. Dantas
T1 fat-suppressed
axial shoulder MR
arthrogram (different
patient than in A).
The anterior labrum
is triangular (solid
white arrow), but the
posterior labrum is
rounded (open
arrow), which is one
of several normal
variations in labral
configuration.
Dr. Emanuel R. Dantas
Anatomia Relacionada à
Instabilidade
 Lábio - Critérios RM para diagnóstico de
uma alteração labial:
 Alta intensidade de sinal linear dentro da
substância do lábio.
 Esmagamento: Alta intensidade de sinal difusa
do lábio.
 Lábio ausente ou anormalmente pequeno
 Descolamento do lábio a partir do bordo da
glenóide, com alta intensidade de sinal entre o
lábio e a glenóide.
Dr. Emanuel R. Dantas
Anatomia Relacionada à
Instabilidade
 Lábio - Lesão de Bankart:
 Lesão mais comum depois da luxação anterior da
articulação glenoumeral.
 Def.: Descolamento do lábio ântero-inferior (com
ou sem lacerações labiais) a partir da glenóide,
com uma laceração do periósteo escapular
anterior.
 Pode ou não estar associada a uma fratura da
glenóide ântero-inferior.
Dr. Emanuel R. Dantas
Bankart lesions. A,
T1 fat-suppressed
axial shoulder MR
arthrogram. The
anteroinferior
labrum is detached
from the glenoid
(arrowhead) and is
irregular in shape
and high signal from
tears. There is no
linear periosteum
seen attached to the
labrum because it
has been torn. The
flat posterolateral
humerus in the
lower portion of the
joint is normal and
not from a Hill-
Sachs impaction
fracture
Dr. Emanuel R. Dantas
Anatomia Relacionada à
Instabilidade
 Ossos:
 Defeito de Hill-Sachs:
○ Fratura impactada na face póstero-lateral da cabeça do
úmero decorrente de luxação anterior.
 Fratura de Bankart Invertida:
○ Fratura impactada da face ântero-medial da cabeça do
úmero e da face posterior da glenóide decorrente de
luxação posterior.
Dr. Emanuel R. Dantas
Hill-Sachs fracture. A, T1 fat-suppressed axial shoulder
MR arthrogram. The first cut through the top of the
humeral head is normal, with the head completely round
in configuration. B, Same sequence as in A, one cut
lower. The second cut through the humeral head also
should show it as a round structure, but the posterolateral
aspect is flattened (black arrowhead) from a Hill-Sachs
impaction fracture as the result of an anterior dislocation.
There also is a superior labral anterior and posterior
(SLAP) lesion with separation of the labrum from the
superior glenoid (white arrowheads). The posterior
humerus normally becomes flattened inferior to the first
two cuts through the humeral head and must not be
mistaken for a Hill-Sachs impaction fracture. C, T1
coronal oblique image of the shoulder (different patient
than in A and B). A large Hill-Sachs impaction fracture is
evident (arrow) in the posterolateral humeral head.
Dr. Emanuel R. Dantas
Anatomia Relacionada à
Instabilidade
 Cápsula:
 Lesão de Bennet:
○ Lesão por avulsão capsular posterior extra-articular
associada a uma lesão do lábio posterior.
○ Causa: tração da faixa posterior do ligamento
glenoumeral inferior durante a fase de desaceleração
do arremesso.
○ Aparência Radiológica:
 Um crescente mineralização pode ser identificado em uma
incidência radiográfica.
 À RM, aparece como uma faixa de baixa intensidade de sinal
posterior ao lábio posterior em imagens axiais.
Dr. Emanuel R. Dantas
Bennett lesion. T2* axial
image of the shoulder.
There is thickening and
low signal (calcification) in
the posterior
capsule/posterior limb of
the inferior glenohumeral
ligament (arrowheads).
The adjacent posterior
labrum (arrow) is normal.
This is a traction injury to
the capsule from the
deceleration phase of
pitching. Linear
calcification was present
on an axillary view
radiograph.
Dr. Emanuel R. Dantas
Lesões Labiais Não
Relacionadas a Instabilidade
 Cistos Paralabiais:
 Ocorrem próximo ao lábio da glenóide, são
semelhantes aos cistos ganglions, geralmente estão
associados com lacerações labiais e podem estar ou
não associados a instabilidade.
 Os cistos podem estar localizados em qualquer lugar,
mas são vistos mais amiúde póstero-superiormente
em associação a uma laceração labial posterior.
 Eles se formam quando há extravasamento de
líquido articular através da laceração labial, e, se
houver um fenômeno de válvulo, o líquido se
acumulará. Dr. Emanuel R. Dantas
Lesões Labiais Não
Relacionadas a Instabilidade
 Cistos Paralabiais:
 A água é reabsorvida do cisto, com a
permanência de um material proteináceo
espesso.
 As imagens por RM mostram uma massa
redonda ou oval multiloculada de baixa
intensidade de sinal em T1 e alta
intensidade em T2.
Dr. Emanuel R. Dantas
Paralabral
cysts. A,
T2* axial
image of
the
shoulder.
There are
several
high signal
round
structures
(arrowhead
s) posterior
to the
glenoid with
septations
between
them,
typical of
labral cysts
Dr. Emanuel R. Dantas
Alterações Diversas das
Cápsulas, Bolsas e Tendões
 Capsulite Adesiva ou Ombro Congelado:
 Def.: Processo inflamatório que causa retração
capsular progressiva.
 Causa: Trauma, imobilização, hemiplegia, DM e
doença dos discos cervicais são os fatores
predisponentes mais comuns.
 Clínica: dor em repouso, à noite e durante o
movimento.
 O processo é autolimitado e geralmente dura
de 12-18 meses.
Dr. Emanuel R. Dantas
Alterações Diversas das
Cápsulas, Bolsas e Tendões
 Capsulite Adesiva:
 Diagnóstico:
○ Artrografia:
 capacidade articular diminuída, geralmente de menos de 7 mL;
 Pequenos recessos capsulares
 Aparência serrilhada das fixações capsulares
○ RM:
 Papel limitado: espessamento da cápsula acima de 4 mm.
Dr. Emanuel R. Dantas
Alterações Diversas das
Cápsulas, Bolsas e Tendões
 Cistos Sinoviais:
 Podem ocorrem em diferentes articulações (no ombro →
tendem a ser grandes).
 Causas: como conseqüência da AR, de lacerações
maciças do manguito rotatório ou na vigência de uma
artropatia neuropática.
 Características de RM:
○ Demonstração da comunicação da massa (cisto) com a articulação
do ombro e que tem baixa intensidade em T1 e alta intensidade em
T2.
○ Com a injeção de contraste, apenas a periferia da massa sofre
realce, demonstrando uma margem delgada sem paredes
irregulares ou espessadas.
Dr. Emanuel R. Dantas
Synovial cyst
secondary to a
massive rotator cuff
tear. T2* coronal image
of the shoulder. This
MRI study was done to
evaluate a presumed
sarcoma that was
palpable above the
shoulder. There is a
large, round high signal
mass (arrow) that is in
direct communication
with the
acromioclavicular joint
(arrowhead). There is
absence of the
supraspinatus tendon
on this cut from a tear
(subscapularis and
infraspinatus tendons
were torn on other
images). There also is
glenohumeral
degenerative joint
disease.
Dr. Emanuel R. Dantas
Alterações Diversas das
Cápsulas, Bolsas e Tendões
 Bursite Subcoracóide:
 Estrutura anatômica normal, localizada anteriormente
ao músculo subescapular e seu tendão,
 Comunica-se com o recesso glenoumeral ou com o
recesso subescapular da articulação do ombro →
derrame articular → bursite?
 Em 20% dos pacientes, ela se comunica com a bolsa
subacromial / subdeltóide.
Dr. Emanuel R. Dantas
Alterações Diversas das
Cápsulas, Bolsas e Tendões
 Bursite Subcoracóide:
 RM:
○ É identificada apenas se inflamada e preenchida com
líquido ou sinovite.
○ Localizada inferiormente ao processo coracóide e
anteriormente ao músculo subescapular, mais bem
visto em imagens sagitais oblíquas.
Dr. Emanuel R. Dantas
Subcoracoid bursa and
subscapularis recess.
A, T1 fat-suppressed
sagittal oblique shoulder
MR arthrogram. The
shoulder joint was
injected with contrast
material, which filled the
subacromial/subdeltoid
bursa (straight arrow)
owing to a rotator cuff
tear. The subacromial
bursa communicates with
the subcoracoid bursa
(curved arrow) in this
patient, allowing filling of
the bursa with contrast
material. The subcoracoid
bursa is located inferior to
the coracoid process (C)
and anterior to the
subscapularis
tendon/muscle (SSC).
Dr. Emanuel R. Dantas

Ombro - RM - Resumao.pdf

  • 1.
  • 2.
    Como Obter Imagensdo Ombro  Bobinas / Posição do Paciente:  Bobina: Superfície (imagens detalhadas com alta resolução).  Posicionamento do paciente: decúbito dorsal, com o braço a seu lado em posição neutra ou em leve rotação externa.  Orientação da Imagem:  FOV (12 cm)  Espessura do corte: 3 mm.  São necessárias imagens nos 3 planos: ○ Oblíqua coronal (paralelo ao tendão do supra-espinhal); ○ Oblíqua sagital (paralela à superfície articular da glenóide); ○ Axial (do ápice do acrômio até a base da articulação glenoumeral). Dr. Emanuel R. Dantas
  • 3.
    Como Obter Imagensdo Ombro  Seqüências de Pulso padrão:  Oblíquas: ponderada em T1, T2* e T2 com saturação de gordura  Axial T2*  Sagital T2* Dr. Emanuel R. Dantas
  • 4.
    Tendões – AnatomiaNormal  Tendões:  O manguito rotatório é considerado tipicamente como composto por 4 tendões: ○ Supra-espinhal ○ Infraespinal ○ Subescapular ○ Redondo menor  Obs.: Não há bainhas sinoviais ou paratendões circunjacentes envolvendo os tendões do manguito rotatório. Dr. Emanuel R. Dantas
  • 5.
    Tendões – AnatomiaNormal  Tendão do supra-espinhal:  Corre entre a superfície inferior do acrômio e o ápice da cabeça do úmero.  Insere-se no ápice da tuberosidade maior do úmero. Dr. Emanuel R. Dantas
  • 6.
    Normal supraspinatus tendon. FSE T2 coronaloblique image of the shoulder. The cigar- shaped supraspinatus muscle runs horizontally. The musculotendinous junction is located just lateral to the acromioclavicular joint. The tendon (arrows) is located between the acromion and the humerus, attaches to the top of the greater tuberosity, and is low signal. Note the broad footprint of the tendon insertion onto the greater tuberosity (arrowheads). A, acromion; C, clavicle. Dr. Emanuel R. Dantas
  • 7.
    Tendões – AnatomiaNormal  Tendões do Infra-espinhal e redondo menor:  Localizados posteriormente com inserção na tuberosidade maior.  Tendão do infra-espinhal: pode ser visualizado cursando obliquamente em um ângulo de 45 graus, fixando-se posteriormente a tuberosidade maior do úmero. Dr. Emanuel R. Dantas
  • 8.
    Normal infraspinatus tendon. T2* coronal oblique imageof the shoulder. The low signal infraspinatus tendon runs obliquely (arrows) in a craniocaudal direction, attaching to the posterior and superior aspect of the greater tuberosity of the humerus. Dr. Emanuel R. Dantas
  • 9.
    Tendões – AnatomiaNormal  Tendão da cabeça longa do bíceps:  Visto em cortes mais anteriores através do ombro  Origem no lábio superior (a âncora do bíceps), e corre inferiormente dentro do sulco bicipital. Dr. Emanuel R. Dantas
  • 10.
    A, T2* coronaloblique image of the shoulder. The long head of the biceps tendon (arrowheads) runs vertically in the bicipital groove and attaches to the superior labrum (the biceps- labral anchor). The biceps is located far anterior in the shoulder and runs underneath the supraspinatus tendon. Dr. Emanuel R. Dantas
  • 11.
    FSE T2 coronal obliqueimage of the shoulder. A far anterior image shows the biceps as it exits the bicipital groove and extends through the joint to insert onto the superior labrum (black arrow). The anterior edge of the supraspinatus tendon can be seen inserting onto the greater tuberosity just lateral to the bicipital groove (white arrow). Dr. Emanuel R. Dantas
  • 12.
    Tendões – AnatomiaNormal  Músculo subescapular:  Corre anteriormente ao ombro, e seu tendão se fixa à tuberosidade menor.  Imagens Axiais: melhor demonstra a extensão do músculo subescapular e do seu tendão.  Obs.: ○ 1. Sua fixação se mistura com o ligamento transverso. ○ 2. Ligamento transverso: liga as tuberosidades menor e maior, mantendo o tendão da cabeça longa do bíceps no sulco bicipital. ○ 3. Nas imagens sagitais, o espaço entre o tendão do supraespinhal e o tendão subescapular é conhecido como intervalo dos rotadores. Dr. Emanuel R. Dantas
  • 13.
    Normal subscapularis tendon. T2*axial image of the shoulder. The subscapularis tendon (arrowheads) runs anterior to the shoulder beneath the coracoid process and blends with the transverse humeral ligament (solid arrow) that spans the bicipital groove and holds the biceps tendon (open arrow) in place. Dr. Emanuel R. Dantas
  • 14.
  • 15.
    Arco Coracoacromial – AnatomiaNormal  Limitado por:  Cabeça do úmero posteriormente  Acrômio superiormente  Processo coracóide e ligamento coracoacromial intercorrente anteriormente.  Localizados dentro do arco coracoacromial, encontram- se, de cima para baixo:  Bolsa subacromial / subdeltóide  Músculo supra-espinhal e seu tendão,  Tendão da cabeça longa do bíceps.  Importância: Qualquer coisa que diminua o espaço dentro do arco coracoacromial pode levar a sintomas compressivos. Dr. Emanuel R. Dantas
  • 16.
    Coracoacromial arch. Diagramof the coracoacromial arch in the sagittal plane. The tendons of the rotator cuff with their surrounding muscles are arranged around the humeral head. The biceps tendon is inferior to the supraspinatus tendon. The coracoacromial ligament forms the anterior margin of the arch. Ac, acromion; Cl, clavicle; Co, coracoid process. Dr. Emanuel R. Dantas
  • 17.
    Arco Coracoacromial – AnatomiaNormal  Ligamento coracoacromial:  Visualizado nas imagens obliquas sagitais, como faixa retesada e delgada, com baixa intensidade em todas seqüências de pulso.  Articulação acromioclavicular:  É lisa na sua superfície inferior, com ambos os ossos correndo em um plano horizontal regular.  A superfície inferior do acrômio deve ser lisa e sem esporões. Dr. Emanuel R. Dantas
  • 18.
    Coracoacromial arch; type Iacromion. T1 sagittal oblique image of the shoulder. The coracoacromial ligament (open arrow) anterior to the shoulder is a taut, low signal band between its attachments on the acromion (A) and the coracoid process (C). The muscles and tendons of the rotator cuff and the long head of the biceps, are seen well in cross section. The undersurface of the acromion is flat (type I acromion). Dr. Emanuel R. Dantas
  • 19.
    Normal acromiohumeral interval. T1 coronal obliqueimage of the shoulder. There is a normal orientation of the acromion (A) with the clavicle (C), with a flat undersurface oriented horizontally. The intact fat plane (arrowheads) between the acromioclavicular joint and the underlying supraspinatus tendon indicates no signs of impingement. The linear low signal (arrow) on the undersurface of the acromion is the deltoid tendon slip/coracoacromial ligament attachment, and not a subacromial spur. Dr. Emanuel R. Dantas
  • 20.
    Arco Coracoacromial – AnatomiaNormal  Bolsa subacromial / subdeltóidea:  Um plano de gordura em forma de bumerangue circundando a bolsa subacromial / subdeltóidea é evidente entre a articulação acromioclavicular e o músculo supraespinhal.  A bursa subacromial / subdeltóide normalmente é evidente apenas porque é delineada por gordura.  Ela não deve conter líquido, ou apenas uma quantidade muito pequena. Dr. Emanuel R. Dantas
  • 21.
    Subacromial/subdeltoi d bursal fat;low-lying acromion. A, T1 coronal oblique image of the shoulder. The boomerang-shaped, thin, high signal fat (arrowheads) is associated with the subacromial/subdeltoi d bursa. The fat of the bursa may appear normal on T1W images, even in the presence of bursitis. The acromion (A) is low-lying compared with the clavicle (C), which predisposes to impingement syndrome Dr. Emanuel R. Dantas
  • 22.
    Fast T2 withfat suppression coronal oblique image of the shoulder. There is a small amount of fluid in the subacromial/subdeltoid bursa (arrowhead) from bursitis. Dr. Emanuel R. Dantas
  • 23.
    Compressão do Ombro Definição:  Qualquer condição que limite o espaço dentro do arco coracoacromial pode comprimir as seguintes as estruturas que compõem o arco coracoacromial: ○ Bursa subacromial, ○ Tendão do supra-espinhal ○ Tendão da cabeça longa do bíceps. Dr. Emanuel R. Dantas
  • 24.
    Compressão do Ombro Causas:  Configuração anormal do acrômio anterior  Inclinação anterior do acrômio para baixo  Acrômio em situação baixa;  Inclinação ínfero-lateral do acrômio  Osso acromial Dr. Emanuel R. Dantas
  • 25.
    Compressão do Ombro Configuração Acromial:  Tipo I: Superfície plana  Tipo II: Superfície inferior côncava  Tipo III: Gancho anterior, estreitando o espaço entre o acrômio e o úmero.  Tipo IV: Superfície inferior convexa Dr. Emanuel R. Dantas
  • 26.
  • 27.
    Low-lying; the acromion is inferiorto the distal clavicle Dr. Emanuel R. Dantas
  • 28.
    Compressão do Ombro Declive do Acrômio:  Normal: face lateral do acrômio com orientação quase horizontal nas imagens oblíquas sagitais.  Inclinação ou declive ínfero-lateral: ○ Ocorre quando a porção mais lateral do acrômio é inclinada inferiormente em relação à clavícula. ○ Aumento o risco de compressão por trauma mecânico ao tendão distal do supra-espinhal. Dr. Emanuel R. Dantas
  • 29.
    Acromial slope: inferolateral tilt. T1coronal oblique image of the shoulder. The acromion (A) tilts inferiorly relative to the horizontal clavicle (C). This narrows the space between the humeral head and the acromion where the supraspinatus tendon and the subacromial/subde ltoid bursa exist, increasing the risk of impingement Dr. Emanuel R. Dantas
  • 30.
    Compressão do Ombro Osso Acromial:  Def.: ○ Centro acessório de ossificação do acrômio, que se funde normalmente por volta de 25 anos de idade. ○ Osso Acromial:  Osso acromial não fundido (visto em 15% da população após 25 anos)  Sua presença está associada a uma incidência aumentada de compressão e lacerações do manguito rotatório, presumivelmente porque o osso é móvel → redução do espaço no arco coracoacromial com o movimento. Dr. Emanuel R. Dantas
  • 31.
    Os acromiale. T2*axial image of the shoulder. A cut through the level of the acromioclavicular joint shows a separate os acromiale (OA) that did not fuse in this patient. This predisposes to impingement. There are degenerative, high signal cysts between the os and the adjacent scapula. Dr. Emanuel R. Dantas
  • 32.
    Lacerações, Degeneração e Luxaçãodos Tendões  Tendão Supra-Espinhal – Degeneração e Lacerações Parciais do Tendão:  Duas entidades geralmente indistingüíveis uma da outra em imagens ponderadas em T1.  Aparência MR: ○ Regiões focais ou difusas de intensidade de sinal intradinosa intermediária, definindo-se o termo tendinose ou tendinopatia para descrever ambas as alterações. ○ Se essas áreas mantêm a mesma intensidade de sinal que o músculo em imagens T2 → mais compatíveis com degeneração do tendão ○ Se essas áreas se tornam de alta intensidade de sinal, como líquido em imagens ponderadas em T2 → mais compatíveis com lacerações parciais do tendão. Dr. Emanuel R. Dantas
  • 33.
    Partial supraspinatus tear.A and B, FSE T2 coronal oblique (A) and FSE sagittal oblique (B) images of the shoulder. Thinning of the undersurface of the supraspinatus tendon can be seen in both planes (arrows), indicative of a partial articular-sided cuff tear. Dr. Emanuel R. Dantas
  • 34.
    Lacerações, Degeneração e Luxaçãodos Tendões  Lacerações de Espessura Total:  Aparência MR: ○ Descontinuidade do tendão com líquido de alta intensidade de sinal atravessando o intervalo entre os fragmentos do tendão da superfície articular para a superfície da bolsa do tendão em seqüências ponderadas em T2. ○ A atrofia muscular é vista como intensidade de sinal alta dentro do músculo em imagens T1. Dr. Emanuel R. Dantas
  • 35.
    FSE T2 oblique coronalimage of the shoulder. A full-thickness gap is seen in the supraspinatus tendon (arrow) at the critical zone. Dr. Emanuel R. Dantas
  • 36.
    Lacerações, Degeneração e Luxaçãodos Tendões  Cabeça Longa do Bíceps – Lacerações:  Encontra-se associado a lacerações do tendão do supra-espinhal em 7% dos casos.  Geralmente ocorre na zona de compressão imediatamente proximal ao sulco bicipital e em indivíduos mais velhos.  O fragmento distal do tendão e o músculo podem se retrair distalmente, e um sulco bicipital vazio pode ser demonstrado em imagens axiais. Dr. Emanuel R. Dantas
  • 37.
    Biceps tendon tear. T2*axial image of the shoulder. The bicipital groove (arrow) is empty, without evidence of the oval, low signal long head of the biceps tendon, indicating a complete rupture Dr. Emanuel R. Dantas
  • 38.
    Lacerações, Degeneração e Luxaçãodos Tendões  Cabeça Longa do Bíceps – Luxação:  Ligamento umeral transverso: ○ Liga as tuberosidades maior e menor do úmero, mantendo o tendão da cabeça longa do bíceps no lugar. ○ Necessário romper-se para haver luxação ou subluxação do tendão da cabeça longa do bíceps.  Na luxação → deslocamento medial do tendão para dentro da articulação → laceração do tendão do subescapular. Dr. Emanuel R. Dantas
  • 39.
    Dislocated biceps tendon. A,T1 fat- suppressed axial shoulder MR arthrogram. The bicipital groove is empty. The biceps tendon (arrowhead) is located over the anterior glenohumeral joint and posterior to the subscapularis tendon (arrow), which has been avulsed from its attachment to the lesser tuberosity of the humerus Dr. Emanuel R. Dantas
  • 40.
    T1 fat-suppressed coronal oblique shoulderMR arthrogram. The biceps tendon (arrowheads) is dislocated medially overlying the shoulder joint. Dr. Emanuel R. Dantas
  • 41.
    Lacerações, Degeneração e Luxaçãodos Tendões  Infra-Espinhal:  Lacerações do tendão do infra-espinhal podem ser vistas após: ○ Trauma agudo; ○ Em associação com lacerações maciças do tendão do supra- espinhal; ○ Compressão posterior do ombro.  Compressão Póstero-superior: ○ Refere-se à compressão do tendão do supra-espinhal e do infra- espinhal em movimentos tais como arremesso. ○ Afeta também o lábio póstero-superior e a cabeça do úmero no ponto de impacto com a glenóide póstero-superior. Dr. Emanuel R. Dantas
  • 42.
    Infraspinatus tendon tear. T2* coronaloblique image of the shoulder. The end of the torn infraspinatus tendon (arrow) is seen retracted inferomedially to its normal attachment to the posterolateral humerus. Dr. Emanuel R. Dantas
  • 43.
    Lacerações, Degeneração e Luxaçãodos Tendões  Infra-Espinhal:  Compressão póstero-superior – Achados à RM: ○ Cistos degenerativos na face posterior da cabeça do úmero, próximo à inserção do tendão do infra-espinhal ○ Desgaste, lacerações parciais ou completas do tendão do infra-espinhal ou do tendão do supra-espinhal ○ Desgaste ou lacerações do lábio da glenóide posterior Dr. Emanuel R. Dantas
  • 44.
    Posterior impingement. A, T1 fat-suppressed coronaloblique shoulder MR arthrogram. There is a large cyst in the posterolateral humeral head (arrowhead) that is filled with contrast material at the site of impaction between the humeral head and posterior labrum during overhead movements. There is incomplete fat suppression in this image, with fat remaining high signal laterally Dr. Emanuel R. Dantas
  • 45.
    Lacerações, Degeneração e Luxaçãodos Tendões  Subescapular:  Causa de lesão do tendão do subescapular: ○ Luxação anterior do ombro ○ Lacerações maciças do manguito rotatório ○ Luxações do tendão do bíceps. ○ Compressão subcoracóide → casos de espaços estreitados entre o coracóide e o úmero. Dr. Emanuel R. Dantas
  • 46.
    Lacerações, Degeneração e Luxaçãodos Tendões  Subescapular:  Lacerações – Aparência - MR: ○ Descontinuidade do tendão, ○ Meio de contraste entrando na substância do tendão (artrografia) ○ Sinal anormal dentro da substância do tendão; ○ Posição alterada do tendão. ○ Obs.: As alterações no curso do tendão da cabeça longa do bíceps (subluxação ou luxação) geralmente estão associadas a lacerações do tendão do subescapular. Dr. Emanuel R. Dantas
  • 47.
    Subscapularis tendon tears; subcoracoid impingement. A, T1fat- suppressed axial shoulder MR arthrogram. The subscapularis has been detached from the lesser tuberosity (arrowhead). The biceps tendon is subluxed medially from the bicipital groove. Contrast material covers the lesser tuberosity. Dr. Emanuel R. Dantas
  • 48.
  • 49.
    T1 fat-suppressed axial shoulderMR arthrogram (different patient than in A). The coracoid process (C) was excessively long in this patient, causing narrowing of the space between it and the humerus (subcoracoid impingement). This is associated with tears of the subscapularis tendon, as was evident in this case (arrow). The tendon is thickened, longitudinally split, and filled with contrast material. Dr. Emanuel R. Dantas
  • 50.
    Lacerações Maciças do ManguitoRotador  Instabilidade:  É a principal alteração afetando o ombro depois da compressão.  Def: reflete à subluxação ou à luxação da articulação glenoumeral, que pode ter origem traumática ou não.  Tipos de Instabilidade: ○ Anterior: mais comum ○ Posterior ○ Multidirecional ○ Superior Dr. Emanuel R. Dantas
  • 51.
    Anatomia Relacionada à Instabilidade Ligamentos glenoumerais:  Representam espessamentos da parte anterior da cápsula articular.  Os 3 ligamentos são: superior, médio e inferior  Eles se estendem da face anterior da glenóide até a tuberosidade menor do úmero. Dr. Emanuel R. Dantas
  • 52.
    Anatomia Relacionada à Instabilidade Ligamentos glenoumerais:  Aparência à RM: ○ Superior:  Visto ao nível do processo coracóide em imagens axiais por RM, corre paralelo com essa estrutura óssea. ○ Médio:  Visto ao nível, e imediatamente inferior ao no nível, da ponta do processo coracóide em cortes axiais;  Localiza-se profundamente ao tendão do subescapular e adjacente ao lábio inferior, onde pode simular um fragmento lacerado do lábio. ○ Inferior:  Visto em imagens axiais através da face inferior da glenóide, fixando-se aos lábios anterior e posterior.  É o principal estabilizados do ombro.  Composto de uma faixa anterior e outra posterior, com uma bolsa ou recesso entre elas. Dr. Emanuel R. Dantas
  • 53.
    Normal superior, middle, and inferior glenohumeral ligaments.A, Diagram of the superior, middle, and inferior glenohumeral ligaments (SGHL, MGHL, and IGHL) en face from a coronal perspective, forming the Z configuration. The coracohumeral ligament (CHL) and long head of the biceps tendon (LHBT) also are shown. Dr. Emanuel R. Dantas
  • 54.
    Normal glenohumeral ligaments. A, T1 fat-suppressed axialshoulder MR arthrogram. The low signal superior glenohumeral ligament (solid arrow) parallels the coracoid process (C) from the capsule to attach to the superior aspect of the anterior labrum. The biceps tendon (open arrow) also passes through the superior joint to anchor to the superior labrum. Dr. Emanuel R. Dantas
  • 55.
    B, T1 fat- suppressedaxial shoulder MR arthrogram. The linear, low signal middle glenohumeral ligament (arrowhead) is located just anterior to the anterior labrum at the level of the subscapularis tendon. It may mimic a torn labrum. Dr. Emanuel R. Dantas
  • 56.
    T1 fat- suppressed axial shoulder MR arthrogram. Theanterior and posterior limbs of the inferior glenohumeral ligaments (arrowheads) extend from the humerus to the anterior and posterior glenoid labrum in the inferior shoulder joint. Dr. Emanuel R. Dantas
  • 57.
    Anatomia Relacionada à Instabilidade Ligamentos glenoumerais:  Ligamentos glenoumerais lacerados, espessados ou ausentes são uma manifestação de instabilidade.  Ligamento inferior: ○ É o mais importante estabilizador da articulação glenoumeral, ○ É o mais freqüentemente afetado pela instabilidade. ○ A avulsão do ligamento glenoumeral inferior:  Pode resultar de luxação do ombro  Está freqüentemente associada com uma laceração do tendão do subescapular. Dr. Emanuel R. Dantas
  • 58.
    T1 fat-suppressed sagittal oblique shoulderMR arthrogram (different patient than in A). The anterior limb of the inferior glenohumeral ligament (open arrow) is avulsed from its humeral attachment, is thickened, and is drooping inferiorly (compare with normal posteroinferior glenohumeral ligament [arrowhead]). The patient had several prior dislocations. Dr. Emanuel R. Dantas
  • 59.
    Anatomia Relacionada à Instabilidade Lábio:  Def.: É uma dobra redundante da cápsula articular constituída de tecido fibrocartilaginoso que se fixa ao bordo da glenóide da cápsula.  Função: aprofundar a fossa glenóide e é o sítio de fixação do tendão da cabeça longa do bíceps e dos ligamentos glenoumerais.  Os ligamentos glenoumerais, juntamente com o lábio, constituem o complexo lábio-ligamentar. Dr. Emanuel R. Dantas
  • 60.
    Anatomia Relacionada à Instabilidade Lábio:  Aparência MR: ○ Lábio: baixa intensidade de sinal em todas as seqüências de pulso. ○ Cuidado → com freqüência há sinal de alta intensidade separando o lábio da glenóide → interposição de cartilagem hialina (normal). ○ As porções anterior e posterior do lábio: melhor visualizadas em imagens axiais, ○ Lábio superior: melhor demonstrado em imagens oblíquas coronais. ○ Lembre-se: qualquer variação ou interposição de cartilagem segue o contorno da glenóide Dr. Emanuel R. Dantas
  • 61.
    Normal superior labrum. T2*coronal oblique image of the shoulder. The superior labrum (arrowhead) is seen best in this plane. The biceps tendon is seen in continuity with the labrum, where it forms its anchor. There is undercutting of hyaline cartilage on the glenoid deep to the labrum, which creates linear high signal (arrow) that is normal and must not be misinterpreted as a labral detachment. A portion of the labrum is clearly attached to the osseous glenoid. Dr. Emanuel R. Dantas
  • 62.
    Normal anterior and posterior glenoidlabrum. A, T1 fat-suppressed axial shoulder MR arthrogram. The anterior labrum (solid arrow) and posterior labrum (open arrow) have a triangular, low signal appearance. The middle glenohumeral ligament (arrowhead) is seen anterior to the anterior labrum. Dr. Emanuel R. Dantas
  • 63.
    T1 fat-suppressed axial shoulderMR arthrogram (different patient than in A). The anterior labrum is triangular (solid white arrow), but the posterior labrum is rounded (open arrow), which is one of several normal variations in labral configuration. Dr. Emanuel R. Dantas
  • 64.
    Anatomia Relacionada à Instabilidade Lábio - Critérios RM para diagnóstico de uma alteração labial:  Alta intensidade de sinal linear dentro da substância do lábio.  Esmagamento: Alta intensidade de sinal difusa do lábio.  Lábio ausente ou anormalmente pequeno  Descolamento do lábio a partir do bordo da glenóide, com alta intensidade de sinal entre o lábio e a glenóide. Dr. Emanuel R. Dantas
  • 65.
    Anatomia Relacionada à Instabilidade Lábio - Lesão de Bankart:  Lesão mais comum depois da luxação anterior da articulação glenoumeral.  Def.: Descolamento do lábio ântero-inferior (com ou sem lacerações labiais) a partir da glenóide, com uma laceração do periósteo escapular anterior.  Pode ou não estar associada a uma fratura da glenóide ântero-inferior. Dr. Emanuel R. Dantas
  • 66.
    Bankart lesions. A, T1fat-suppressed axial shoulder MR arthrogram. The anteroinferior labrum is detached from the glenoid (arrowhead) and is irregular in shape and high signal from tears. There is no linear periosteum seen attached to the labrum because it has been torn. The flat posterolateral humerus in the lower portion of the joint is normal and not from a Hill- Sachs impaction fracture Dr. Emanuel R. Dantas
  • 67.
    Anatomia Relacionada à Instabilidade Ossos:  Defeito de Hill-Sachs: ○ Fratura impactada na face póstero-lateral da cabeça do úmero decorrente de luxação anterior.  Fratura de Bankart Invertida: ○ Fratura impactada da face ântero-medial da cabeça do úmero e da face posterior da glenóide decorrente de luxação posterior. Dr. Emanuel R. Dantas
  • 68.
    Hill-Sachs fracture. A,T1 fat-suppressed axial shoulder MR arthrogram. The first cut through the top of the humeral head is normal, with the head completely round in configuration. B, Same sequence as in A, one cut lower. The second cut through the humeral head also should show it as a round structure, but the posterolateral aspect is flattened (black arrowhead) from a Hill-Sachs impaction fracture as the result of an anterior dislocation. There also is a superior labral anterior and posterior (SLAP) lesion with separation of the labrum from the superior glenoid (white arrowheads). The posterior humerus normally becomes flattened inferior to the first two cuts through the humeral head and must not be mistaken for a Hill-Sachs impaction fracture. C, T1 coronal oblique image of the shoulder (different patient than in A and B). A large Hill-Sachs impaction fracture is evident (arrow) in the posterolateral humeral head. Dr. Emanuel R. Dantas
  • 69.
    Anatomia Relacionada à Instabilidade Cápsula:  Lesão de Bennet: ○ Lesão por avulsão capsular posterior extra-articular associada a uma lesão do lábio posterior. ○ Causa: tração da faixa posterior do ligamento glenoumeral inferior durante a fase de desaceleração do arremesso. ○ Aparência Radiológica:  Um crescente mineralização pode ser identificado em uma incidência radiográfica.  À RM, aparece como uma faixa de baixa intensidade de sinal posterior ao lábio posterior em imagens axiais. Dr. Emanuel R. Dantas
  • 70.
    Bennett lesion. T2*axial image of the shoulder. There is thickening and low signal (calcification) in the posterior capsule/posterior limb of the inferior glenohumeral ligament (arrowheads). The adjacent posterior labrum (arrow) is normal. This is a traction injury to the capsule from the deceleration phase of pitching. Linear calcification was present on an axillary view radiograph. Dr. Emanuel R. Dantas
  • 71.
    Lesões Labiais Não Relacionadasa Instabilidade  Cistos Paralabiais:  Ocorrem próximo ao lábio da glenóide, são semelhantes aos cistos ganglions, geralmente estão associados com lacerações labiais e podem estar ou não associados a instabilidade.  Os cistos podem estar localizados em qualquer lugar, mas são vistos mais amiúde póstero-superiormente em associação a uma laceração labial posterior.  Eles se formam quando há extravasamento de líquido articular através da laceração labial, e, se houver um fenômeno de válvulo, o líquido se acumulará. Dr. Emanuel R. Dantas
  • 72.
    Lesões Labiais Não Relacionadasa Instabilidade  Cistos Paralabiais:  A água é reabsorvida do cisto, com a permanência de um material proteináceo espesso.  As imagens por RM mostram uma massa redonda ou oval multiloculada de baixa intensidade de sinal em T1 e alta intensidade em T2. Dr. Emanuel R. Dantas
  • 73.
    Paralabral cysts. A, T2* axial imageof the shoulder. There are several high signal round structures (arrowhead s) posterior to the glenoid with septations between them, typical of labral cysts Dr. Emanuel R. Dantas
  • 74.
    Alterações Diversas das Cápsulas,Bolsas e Tendões  Capsulite Adesiva ou Ombro Congelado:  Def.: Processo inflamatório que causa retração capsular progressiva.  Causa: Trauma, imobilização, hemiplegia, DM e doença dos discos cervicais são os fatores predisponentes mais comuns.  Clínica: dor em repouso, à noite e durante o movimento.  O processo é autolimitado e geralmente dura de 12-18 meses. Dr. Emanuel R. Dantas
  • 75.
    Alterações Diversas das Cápsulas,Bolsas e Tendões  Capsulite Adesiva:  Diagnóstico: ○ Artrografia:  capacidade articular diminuída, geralmente de menos de 7 mL;  Pequenos recessos capsulares  Aparência serrilhada das fixações capsulares ○ RM:  Papel limitado: espessamento da cápsula acima de 4 mm. Dr. Emanuel R. Dantas
  • 76.
    Alterações Diversas das Cápsulas,Bolsas e Tendões  Cistos Sinoviais:  Podem ocorrem em diferentes articulações (no ombro → tendem a ser grandes).  Causas: como conseqüência da AR, de lacerações maciças do manguito rotatório ou na vigência de uma artropatia neuropática.  Características de RM: ○ Demonstração da comunicação da massa (cisto) com a articulação do ombro e que tem baixa intensidade em T1 e alta intensidade em T2. ○ Com a injeção de contraste, apenas a periferia da massa sofre realce, demonstrando uma margem delgada sem paredes irregulares ou espessadas. Dr. Emanuel R. Dantas
  • 77.
    Synovial cyst secondary toa massive rotator cuff tear. T2* coronal image of the shoulder. This MRI study was done to evaluate a presumed sarcoma that was palpable above the shoulder. There is a large, round high signal mass (arrow) that is in direct communication with the acromioclavicular joint (arrowhead). There is absence of the supraspinatus tendon on this cut from a tear (subscapularis and infraspinatus tendons were torn on other images). There also is glenohumeral degenerative joint disease. Dr. Emanuel R. Dantas
  • 78.
    Alterações Diversas das Cápsulas,Bolsas e Tendões  Bursite Subcoracóide:  Estrutura anatômica normal, localizada anteriormente ao músculo subescapular e seu tendão,  Comunica-se com o recesso glenoumeral ou com o recesso subescapular da articulação do ombro → derrame articular → bursite?  Em 20% dos pacientes, ela se comunica com a bolsa subacromial / subdeltóide. Dr. Emanuel R. Dantas
  • 79.
    Alterações Diversas das Cápsulas,Bolsas e Tendões  Bursite Subcoracóide:  RM: ○ É identificada apenas se inflamada e preenchida com líquido ou sinovite. ○ Localizada inferiormente ao processo coracóide e anteriormente ao músculo subescapular, mais bem visto em imagens sagitais oblíquas. Dr. Emanuel R. Dantas
  • 80.
    Subcoracoid bursa and subscapularisrecess. A, T1 fat-suppressed sagittal oblique shoulder MR arthrogram. The shoulder joint was injected with contrast material, which filled the subacromial/subdeltoid bursa (straight arrow) owing to a rotator cuff tear. The subacromial bursa communicates with the subcoracoid bursa (curved arrow) in this patient, allowing filling of the bursa with contrast material. The subcoracoid bursa is located inferior to the coracoid process (C) and anterior to the subscapularis tendon/muscle (SSC). Dr. Emanuel R. Dantas