Tecido linfóide
Tecido linfóide Defesa imunológica corporal Vírus, bactérias, partículas estranhas, células  Encapsulados – timo, baço e linfonodos Não-encapsulados – sistema linfóide difuso (SLD) e medula óssea
 
Órgãos linfóides Órgãos linfóides primários ou centrais Responsável pela formação e maturação dos linfócitos 1. Medula óssea (pre e pos-natal) - produzem linfócitos e tornam imunologicamente competentes os linfócitos B 2. Timo - tornam imunologicamente competentes os linfócitos T 3. Fígado fetal Órgãos linfóides secundários ou periféricos Responsável pela reação dos linfócitos a Ag 1. Tecido linfóide difuso - nódulos linfáticos ou folículos linfáticos 2. Linfonodos ou gânglios linfáticos 3. Baço 4. Medula ossea pos-natal
Timo Órgão linfóide primário encapsulado  Local de maturação dos linfócitos T Linfócitos imunologicamente não-comprometidos da medula óssea se diferenciam em células T maduras
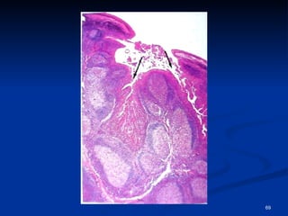
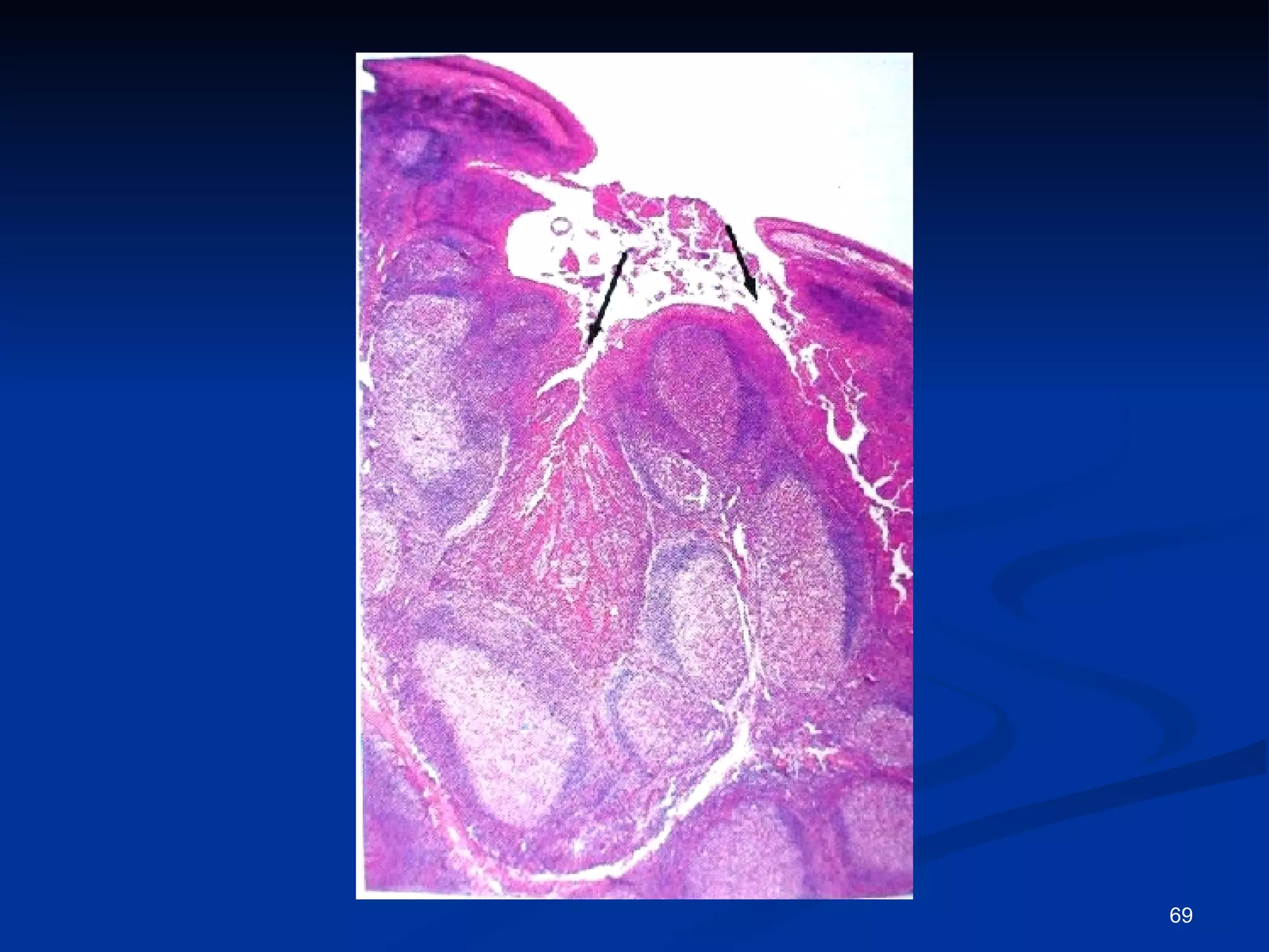
Timo Pequeno órgão encapsulado - dois lobos Mediastino superior - sobre os grandes vasos do coração  Nascimento 15 g Puberdade 30 g - involução inicia após a puberdade Idoso 15 g - atrofia e infiltrado por células adiposas
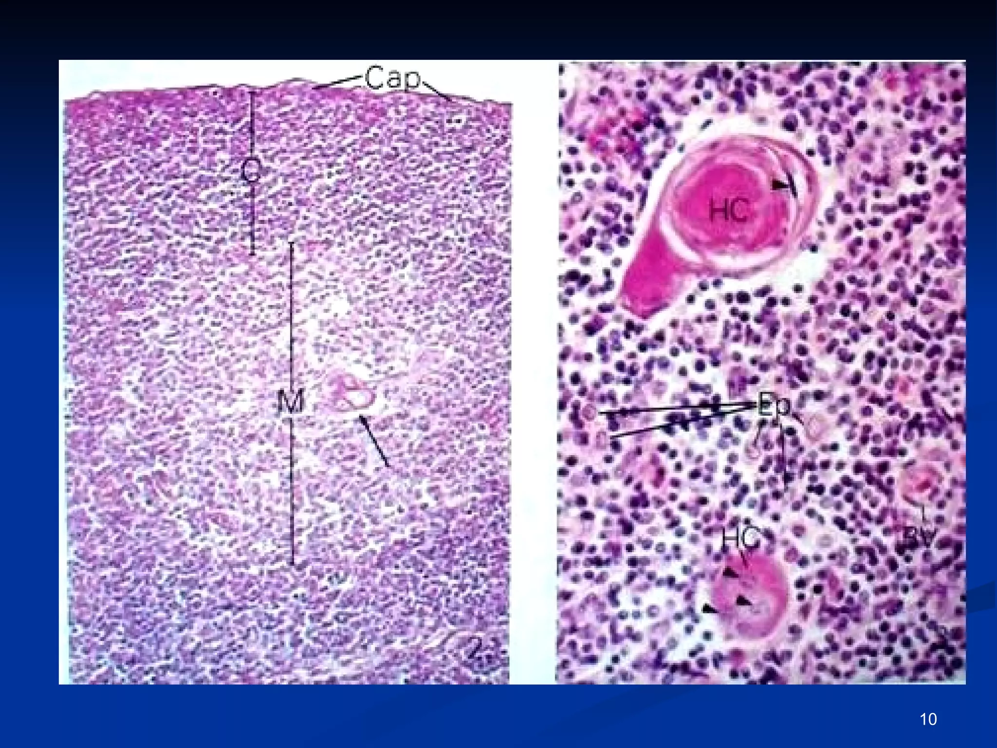
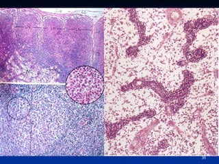
Cápsula - TC denso não-modelado, envia septos para os lobos, subdividindo-os em lóbulos Cada lóbulo contem: Córtex  - porção periférica mais corada  Medula  - porção central mais pálida
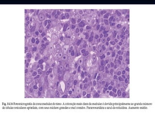
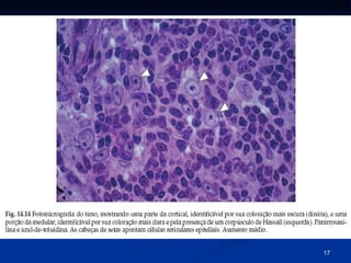
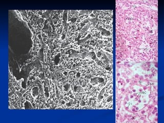
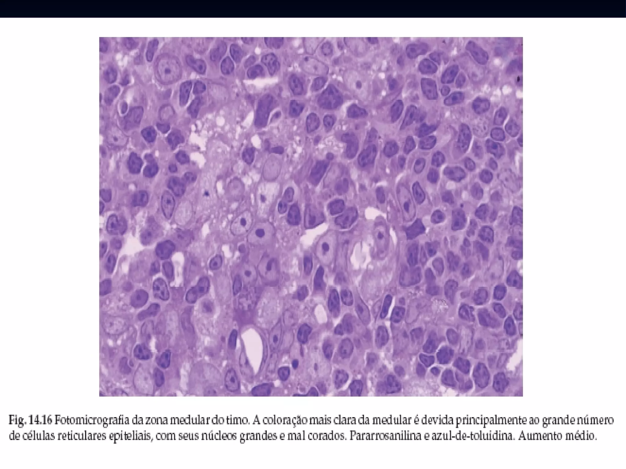
Timo Córtex   Altamente celular  Abundantes linfócitos T (timócitos) Seleção de linfócitos T imunocompetentes e eliminação dos linfócitos intolerantes  Medula   Corpúsculos de Hassall Poucos linfócitos Predomina células retículo-epiteliais Todos timócitos da medula são  imunocompetentes
 
 
Timo Células do timo Linfócitos T (timocito) – predomina no córtex Macrófagos – predomina no córtex Células retículo-epiteliais (CRE) – predomina na medula Não produzem fibras reticulares Forma o reticulo por uniões celulares – desmossomos e junções oclusivas
CRE Tipo I – córtex externo CRE Tipo II – citorreticulo do córtex  CRE Tipo III - junção cortico-medular CRE Tipo IV – junção cortiço-medular CRE Tipo V – citorretículo da medula CRE Tipo VI –   corpúsculos de Hassall
Timo CRE Tipo I Separam o córtex da cápsula e das trabéculas, envolvem os vasos do córtex.  Junções oclusivas que isolam córtex do restante do corpo CRE Tipo II  Prolongamentos longos subdivide o córtex em compartimentos de linfócitos CRE Tipo III Prolongamentos largos com junções oclusivas isolando o córtex da medula
 
Timo Corpúsculos tímicos de Hassall CRE Tipo VI - células grandes e pálidas que coalescentes em camadas concêntricas  Característicos do timo Local de morte dos linfócitos T na medula
Timo As CRE isolam os linfócitos do córtex impedindo o contato com Ag estranhos 98 % das células T em desenvolvimento morrem no córtex e são fagocitadas pelos macrófagos.  Células T sobreviventes entram na medula do timo como linfócitos T virgens, e logo são distribuídos para órgãos linfóides secundários através do sistema vascular
 
 
Suprimento vascular  Córtex –  barreira hematotímica  – impede o contato dos componentes do sangue com os linfócitos em maturação  Arteríola entram no timo pelas trabéculas, na junção corticomedular formam capilares contínuos  com lâmina basal espessa e revestidos por CRE tipo I Capilares desembocam nas vênulas da medula
Timo Linfócitos derivados da MO - imunoincompetentes Junção corticomedular do timo - capilares contínuos Córtex periférico – células em maturação Córtex profundo – células maduras Medula – células imunocompetentes virgens Veias que drenam o timo – circulação sistêmica Órgãos linfóides secundários
Timo Órgãos linfóides secundários Timo-dependentes  – contem células T  Zona paracortical dos linfonodos Bainhas periarteriais da polpa branca do baço  Periferia dos nódulos linfáticos das placas de Peyer e tonsilas Timo-independente  – contem células B Outros tecidos linfóides
Imunologia do timo Células T proliferam, maduram e adquirem marcadores de superfície – córtex  São testadas para reconhecer Ag próprios  Apoptose  Células que não reconhecem Ag próprios  Células que reconhecem como estranhos receptores de superfície celular próprios CRE produzem hormônios para a maturação dos linfócitos Timosina, timopoietina, timulina e fator tímico humoral CRE são responsáveis por testar os linfócitos – Ag na superfície
Linfonodos Gânglios linfáticos Estruturas em forma de rim, encapsuladas, pequenas (1mm – 2cm), interpostas no trajeto dos vasos linfáticos Filtra a linfa - remoção de bactérias e substâncias estranhas Mais numerosos no pescoço, axila, virilha, ao longo dos grandes vasos e nas cavidades do corpo
Linfonodos ou Gânglios linfáticos Superfície convexa - perfurada por vasos linfáticos aferentes com válvulas (entrada da linfa) Superfície côncava - hilo, artérias, veias e vasos linfáticos eferentes com válvulas (saída da linfa)
Linfonodos Células do linfonodo Células B – folículos linfáticos  Células T – paracórtex Plasmócitos – medula  Macrófagos, células reticulares e células foliculares dendríticas – córtex e medula (células apresentadoras de antígenos) Os linfócitos entra no linfonodo pelas vênulas de endotélio alto
Linfonodos Cortical (córtex) – periférica  Cortical superficial – abaixo da cápsula Seios subcapsulares e peritrabeculares Folículos (nódulos) linfáticos – condensação esférica de linfócitos Linfócitos B Cortical profunda (paracortical) Linfócitos T Ausência de folículos linfáticos  Medular – central  Cordões medulares  – linfócitos B, plasmócitos, macrófagos e células reticulares Seios medulares
Regiões do linfonodo: córtex, paracórtex e medula
Linfonodo Córtex Cápsula de TC não-modelado envia trabéculas para o interior do linfonodo, subdividindo o córtex em compartimentos Seios do linfonodo  – espaços dilatados revestidos por células reticulares estreladas semelhante ao endotélio – recebem a linfa Subcapsular - localizados abaixo da cápsula Paratrabeculares - correm paralelos às trabéculas  Medulares  Macrófagos, aderidos às células reticulares estreladas, fagocitam substâncias estranhas
Linfonodos Vasos linfáticos aferentes perfuram a cápsula na superfície convexa do linfonodo e despejam a linfa nos seios subcapsulares Estes seios são contínuos com os seios paratrabeculares que enviam a linfa para os seios medulares e daí para os vasos linfáticos eferentes
 
Linfonodo Nódulos linfóides primários   Agregados esféricos de linfócitos B (células B virgens e células B de memória) no córtex Nódulos linfóides secundários  Formados somente durante estimulo antigênico  Centro germinativo  Centro do nódulo linfático secundário corado mais claro – local de origem da célula B de memória e do plasmócito Coroa (manto)  Região periférica dos nódulos secundários – acúmulo de pequenos linfócitos migrados do seu local de origem (interior dos nódulos secundários)
 
Linfonodo Paracórtex ( entre a córtex e a medula) Zona timo-dependente do linfonodo - abriga célula T Células apresentadoras de Ag migram para esta região para apresentar às células T que se ativam e proliferam  Células T recém-formadas, migram para os seios medulares, deixam o linfonodo, e prosseguem para a área de atividade antigênica
Linfonodo Medula Constituída de seios medulares circundados pelos cordões medulares - linfócitos B, plasmócitos, células reticulares e macrófagos.  Linfócitos migram do córtex para os seios medulares – vasos linfáticos eferentes – circulação
 
 
 
Linfonodo Funções Filtrar a linfa - macrófagos nos seios linfáticos Locais de reconhecimento de Ag 1. APCs em contato com Ag migram para o linfonodo mais próximo e apresentam ao linfócito 2. Ag circulantes que chegam ao linfonodo são reconhecidos por células dendríticas foliculares e linfócitos Ag reconhecido por célula B – migração para o nódulo linfóide primário – proliferação – nódulo linfóide secundário – células B de memória e plasmócitos – região medular – cordões medulares
B aço Maior órgão linfóide do organismo - 150 g no adulto Intraperitoneal, no quadrante superior esquerdo da cavidade abdominal.  Possui uma superfície convexa e um lado côncavo, o hilo
B aço Cápsula  TC denso não-modelado fibroelástico  Circundada pelo peritônio visceral Mais espessa no hilo - artérias e fibras nervosas entram, veias e vasos linfáticos Interstício Trabéculas contendo vasos sanguíneos  Parênquima (polpa esplênica)  Capilares sinusoidais (seios venosos) Ao corte apresenta áreas cinzentas (polpa branca) rodeadas por áreas avermelhadas (poupa vermelha)
 
 
B aço Polpa branca Componentes: 1. Bainhas linfóides periarteriais contendo células T – circundando a artéria central 2. Nódulos linfóides contendo células B – circundando a ramificação da artéria central – arteríola central Nódulos linfóides podem apresentar centro germinativo indicando estimulo antigênico Zona marginal  Circunda a polpa branca separando da polpa vermelha Células T e B, macrófagos, células dendríticas
 
Polpa branca Agregado de células linfóides adjacente a artéria central Nódulo linfóide secundário com centro germinativo e manto
B aço Polpa vermelha Componentes: 1. Sinusóides (seios) esplênicos Macrófagos são abundantes na vizinhança do sinusóide 2. Cordões esplênicos de Billroth Malha de células reticulares contendo hemácias, linfócitos, plasmócitos, macrofágos e granulócitos Assemelha a uma esponja – os espaços na esponja são os sinusóides e o material entre os espaços da esponja, os cordões esplênicos
 
 
 
B aço Suprimento vascular  Artéria esplênica se ramifica à medida que entra na cápsula do baço  Ramos -  artérias trabeculares  – entram no baço pelas trabéculas  Abandonam as trabéculas -  artéria central da polpa branca  - são circundados por uma bainha de linfócitos T -  bainha linfóide periarterial   Na sua extremidade, a artéria central perde sua bainha e  subdivide em ramos curtos e paralelos -  artérias penicilares  - que entram na polpa vermelha Os sinusóides drenam para a veia pulpar que drena na veia trabecular, veia esplênica que desemboca na veia porta
 
 
B aço Circulação esplênica Circulação aberta O sangue passa pela poupa vermelha antes de entrar nos sinusóides  Circulação fechada   O sangue segue pelos capilares arteriais que se continua com o sinusóides
 
 
B aço Funções Proliferação de células T e B e formação de Ac  Filtro para o sangue - remover da circulação eritrócitos, plaquetas e neutrófilos envelhecidos ou anormais Hematopoiese fetal (fisiológico) e adulto (patológico)
 
Sistema linfóide difuso Tecido linfóide associado as mucosas (MALT) Infiltrado linfocitário não-encapsulado localizado -  folículos ou nódulos linfóides - na mucosa dos tratos gastrintestinal, respiratório e urinário.  Predomina células B rodeadas por células T e macrófagos Tecido linfóide associado a tubo digestivo ou ao intestino (GALT/IALT) Tecido Linfóide Associado ao Brônquio (BALT) Tosilas
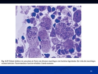
Sistema linfóide difuso Tecido linfóide associado a tubo digestivo (GALT) Placas de Peyer  Folículos linfóides no íleo Tecido Linfóide Associado ao Brônquio (BALT) Localizado nas paredes dos brônquios, especialmente nas regiões de bifurcação dos brônquios e bronquíolos.  O revestimento epitelial sobre estes nódulos linfóides modifica-se de simples cilíndrico (íleo) e pseudo-estratificado cilíndrico ciliado (brônquios) com células caliciformes para as  células M
Sistema linfóide difuso Os linfócitos são principalmente células B   e plasmócitos secretores de anticorpos - predomina a IgA IgA  -   secretada na luz intestinal - IgA secretória - resistente à digestão enzimática; proteção contra os agentes patogênicos antes de eles invadirem os tecidos IgG e IgM  - secretadas dentro da lâmina própria; proteção contra organismos que se esquivaram dos mecanismos protetores de superfície IgE  - mediadora da liberação de histamina pelos mastócitos presentes em grande número na lâmina própria
 
 
 
 
 
Tonsilas ou  Amídalas   Palatinas Faríngeas  Linguais Agregados encapsulados incompletos de nódulos linfóides que protegem a entrada da orofaringe Estão interpostas no caminho dos Ag aspirados e ingeridos Reagem aos Ag formando linfócitos e montando uma resposta imune
Tonsilas palatinas Bilaterais - localizadas no limite entre a cavidade oral e a orofaringe, entre as pregas palatoglossal e palatofaríngea Recoberta por epitélio estratificado pavimentoso não-queratinizado, que forma 10 a 12 criptas profundas. que se invaginam no parênquima da tonsila - contém células epiteliais descamadas, leucócitos mortos, bactérias e restos de comida Parênquima da tonsila é constituído por numerosos nódulos linfóides, muitos com centros germinativos, indicativos de formação de células B
 
 
 
Tonsila faríngea  Única - situada no teto da faringe nasal Em vez de criptas, possui pregas longitudinais rasas, chamadas dobras.  Revestida por epitélio pseudo-estratificado cilíndrico ciliado Parênquima constituído de nódulos linfóides, com centros germinativos ocasionais Quando inflamada - adenóide
Tonsilas linguais Múltiplas - situadas na superfície dorsal do terço posterior da língua Recobertas por epitélio estratificado pavimentoso não-queratinizado Cada tonsila possui uma cripta única, cuja base recebe os ductos das glândulas salivares seromucosas Parênquima constituído de nódulos linfóides, que freqüentemente possuem centros germinativos

tecido linfoide

  • 1.
  • 2.
    Tecido linfóide Defesaimunológica corporal Vírus, bactérias, partículas estranhas, células Encapsulados – timo, baço e linfonodos Não-encapsulados – sistema linfóide difuso (SLD) e medula óssea
  • 3.
  • 4.
    Órgãos linfóides Órgãoslinfóides primários ou centrais Responsável pela formação e maturação dos linfócitos 1. Medula óssea (pre e pos-natal) - produzem linfócitos e tornam imunologicamente competentes os linfócitos B 2. Timo - tornam imunologicamente competentes os linfócitos T 3. Fígado fetal Órgãos linfóides secundários ou periféricos Responsável pela reação dos linfócitos a Ag 1. Tecido linfóide difuso - nódulos linfáticos ou folículos linfáticos 2. Linfonodos ou gânglios linfáticos 3. Baço 4. Medula ossea pos-natal
  • 5.
    Timo Órgão linfóideprimário encapsulado Local de maturação dos linfócitos T Linfócitos imunologicamente não-comprometidos da medula óssea se diferenciam em células T maduras
  • 6.
    Timo Pequeno órgãoencapsulado - dois lobos Mediastino superior - sobre os grandes vasos do coração Nascimento 15 g Puberdade 30 g - involução inicia após a puberdade Idoso 15 g - atrofia e infiltrado por células adiposas
  • 7.
    Cápsula - TCdenso não-modelado, envia septos para os lobos, subdividindo-os em lóbulos Cada lóbulo contem: Córtex - porção periférica mais corada Medula - porção central mais pálida
  • 8.
    Timo Córtex Altamente celular Abundantes linfócitos T (timócitos) Seleção de linfócitos T imunocompetentes e eliminação dos linfócitos intolerantes Medula Corpúsculos de Hassall Poucos linfócitos Predomina células retículo-epiteliais Todos timócitos da medula são imunocompetentes
  • 9.
  • 10.
  • 11.
    Timo Células dotimo Linfócitos T (timocito) – predomina no córtex Macrófagos – predomina no córtex Células retículo-epiteliais (CRE) – predomina na medula Não produzem fibras reticulares Forma o reticulo por uniões celulares – desmossomos e junções oclusivas
  • 12.
    CRE Tipo I– córtex externo CRE Tipo II – citorreticulo do córtex CRE Tipo III - junção cortico-medular CRE Tipo IV – junção cortiço-medular CRE Tipo V – citorretículo da medula CRE Tipo VI – corpúsculos de Hassall
  • 13.
    Timo CRE TipoI Separam o córtex da cápsula e das trabéculas, envolvem os vasos do córtex. Junções oclusivas que isolam córtex do restante do corpo CRE Tipo II Prolongamentos longos subdivide o córtex em compartimentos de linfócitos CRE Tipo III Prolongamentos largos com junções oclusivas isolando o córtex da medula
  • 14.
  • 15.
    Timo Corpúsculos tímicosde Hassall CRE Tipo VI - células grandes e pálidas que coalescentes em camadas concêntricas Característicos do timo Local de morte dos linfócitos T na medula
  • 16.
    Timo As CREisolam os linfócitos do córtex impedindo o contato com Ag estranhos 98 % das células T em desenvolvimento morrem no córtex e são fagocitadas pelos macrófagos. Células T sobreviventes entram na medula do timo como linfócitos T virgens, e logo são distribuídos para órgãos linfóides secundários através do sistema vascular
  • 17.
  • 18.
  • 19.
    Suprimento vascular Córtex – barreira hematotímica – impede o contato dos componentes do sangue com os linfócitos em maturação Arteríola entram no timo pelas trabéculas, na junção corticomedular formam capilares contínuos com lâmina basal espessa e revestidos por CRE tipo I Capilares desembocam nas vênulas da medula
  • 20.
    Timo Linfócitos derivadosda MO - imunoincompetentes Junção corticomedular do timo - capilares contínuos Córtex periférico – células em maturação Córtex profundo – células maduras Medula – células imunocompetentes virgens Veias que drenam o timo – circulação sistêmica Órgãos linfóides secundários
  • 21.
    Timo Órgãos linfóidessecundários Timo-dependentes – contem células T Zona paracortical dos linfonodos Bainhas periarteriais da polpa branca do baço Periferia dos nódulos linfáticos das placas de Peyer e tonsilas Timo-independente – contem células B Outros tecidos linfóides
  • 22.
    Imunologia do timoCélulas T proliferam, maduram e adquirem marcadores de superfície – córtex São testadas para reconhecer Ag próprios Apoptose Células que não reconhecem Ag próprios Células que reconhecem como estranhos receptores de superfície celular próprios CRE produzem hormônios para a maturação dos linfócitos Timosina, timopoietina, timulina e fator tímico humoral CRE são responsáveis por testar os linfócitos – Ag na superfície
  • 23.
    Linfonodos Gânglios linfáticosEstruturas em forma de rim, encapsuladas, pequenas (1mm – 2cm), interpostas no trajeto dos vasos linfáticos Filtra a linfa - remoção de bactérias e substâncias estranhas Mais numerosos no pescoço, axila, virilha, ao longo dos grandes vasos e nas cavidades do corpo
  • 24.
    Linfonodos ou Gânglioslinfáticos Superfície convexa - perfurada por vasos linfáticos aferentes com válvulas (entrada da linfa) Superfície côncava - hilo, artérias, veias e vasos linfáticos eferentes com válvulas (saída da linfa)
  • 25.
    Linfonodos Células dolinfonodo Células B – folículos linfáticos Células T – paracórtex Plasmócitos – medula Macrófagos, células reticulares e células foliculares dendríticas – córtex e medula (células apresentadoras de antígenos) Os linfócitos entra no linfonodo pelas vênulas de endotélio alto
  • 26.
    Linfonodos Cortical (córtex)– periférica Cortical superficial – abaixo da cápsula Seios subcapsulares e peritrabeculares Folículos (nódulos) linfáticos – condensação esférica de linfócitos Linfócitos B Cortical profunda (paracortical) Linfócitos T Ausência de folículos linfáticos Medular – central Cordões medulares – linfócitos B, plasmócitos, macrófagos e células reticulares Seios medulares
  • 27.
    Regiões do linfonodo:córtex, paracórtex e medula
  • 28.
    Linfonodo Córtex Cápsulade TC não-modelado envia trabéculas para o interior do linfonodo, subdividindo o córtex em compartimentos Seios do linfonodo – espaços dilatados revestidos por células reticulares estreladas semelhante ao endotélio – recebem a linfa Subcapsular - localizados abaixo da cápsula Paratrabeculares - correm paralelos às trabéculas Medulares Macrófagos, aderidos às células reticulares estreladas, fagocitam substâncias estranhas
  • 29.
    Linfonodos Vasos linfáticosaferentes perfuram a cápsula na superfície convexa do linfonodo e despejam a linfa nos seios subcapsulares Estes seios são contínuos com os seios paratrabeculares que enviam a linfa para os seios medulares e daí para os vasos linfáticos eferentes
  • 30.
  • 31.
    Linfonodo Nódulos linfóidesprimários Agregados esféricos de linfócitos B (células B virgens e células B de memória) no córtex Nódulos linfóides secundários Formados somente durante estimulo antigênico Centro germinativo Centro do nódulo linfático secundário corado mais claro – local de origem da célula B de memória e do plasmócito Coroa (manto) Região periférica dos nódulos secundários – acúmulo de pequenos linfócitos migrados do seu local de origem (interior dos nódulos secundários)
  • 32.
  • 33.
    Linfonodo Paracórtex (entre a córtex e a medula) Zona timo-dependente do linfonodo - abriga célula T Células apresentadoras de Ag migram para esta região para apresentar às células T que se ativam e proliferam Células T recém-formadas, migram para os seios medulares, deixam o linfonodo, e prosseguem para a área de atividade antigênica
  • 34.
    Linfonodo Medula Constituídade seios medulares circundados pelos cordões medulares - linfócitos B, plasmócitos, células reticulares e macrófagos. Linfócitos migram do córtex para os seios medulares – vasos linfáticos eferentes – circulação
  • 35.
  • 36.
  • 37.
  • 38.
    Linfonodo Funções Filtrara linfa - macrófagos nos seios linfáticos Locais de reconhecimento de Ag 1. APCs em contato com Ag migram para o linfonodo mais próximo e apresentam ao linfócito 2. Ag circulantes que chegam ao linfonodo são reconhecidos por células dendríticas foliculares e linfócitos Ag reconhecido por célula B – migração para o nódulo linfóide primário – proliferação – nódulo linfóide secundário – células B de memória e plasmócitos – região medular – cordões medulares
  • 39.
    B aço Maiorórgão linfóide do organismo - 150 g no adulto Intraperitoneal, no quadrante superior esquerdo da cavidade abdominal. Possui uma superfície convexa e um lado côncavo, o hilo
  • 40.
    B aço Cápsula TC denso não-modelado fibroelástico Circundada pelo peritônio visceral Mais espessa no hilo - artérias e fibras nervosas entram, veias e vasos linfáticos Interstício Trabéculas contendo vasos sanguíneos Parênquima (polpa esplênica) Capilares sinusoidais (seios venosos) Ao corte apresenta áreas cinzentas (polpa branca) rodeadas por áreas avermelhadas (poupa vermelha)
  • 41.
  • 42.
  • 43.
    B aço Polpabranca Componentes: 1. Bainhas linfóides periarteriais contendo células T – circundando a artéria central 2. Nódulos linfóides contendo células B – circundando a ramificação da artéria central – arteríola central Nódulos linfóides podem apresentar centro germinativo indicando estimulo antigênico Zona marginal Circunda a polpa branca separando da polpa vermelha Células T e B, macrófagos, células dendríticas
  • 44.
  • 45.
    Polpa branca Agregadode células linfóides adjacente a artéria central Nódulo linfóide secundário com centro germinativo e manto
  • 46.
    B aço Polpavermelha Componentes: 1. Sinusóides (seios) esplênicos Macrófagos são abundantes na vizinhança do sinusóide 2. Cordões esplênicos de Billroth Malha de células reticulares contendo hemácias, linfócitos, plasmócitos, macrofágos e granulócitos Assemelha a uma esponja – os espaços na esponja são os sinusóides e o material entre os espaços da esponja, os cordões esplênicos
  • 47.
  • 48.
  • 49.
  • 50.
    B aço Suprimentovascular Artéria esplênica se ramifica à medida que entra na cápsula do baço Ramos - artérias trabeculares – entram no baço pelas trabéculas Abandonam as trabéculas - artéria central da polpa branca - são circundados por uma bainha de linfócitos T - bainha linfóide periarterial Na sua extremidade, a artéria central perde sua bainha e subdivide em ramos curtos e paralelos - artérias penicilares - que entram na polpa vermelha Os sinusóides drenam para a veia pulpar que drena na veia trabecular, veia esplênica que desemboca na veia porta
  • 51.
  • 52.
  • 53.
    B aço Circulaçãoesplênica Circulação aberta O sangue passa pela poupa vermelha antes de entrar nos sinusóides Circulação fechada O sangue segue pelos capilares arteriais que se continua com o sinusóides
  • 54.
  • 55.
  • 56.
    B aço FunçõesProliferação de células T e B e formação de Ac Filtro para o sangue - remover da circulação eritrócitos, plaquetas e neutrófilos envelhecidos ou anormais Hematopoiese fetal (fisiológico) e adulto (patológico)
  • 57.
  • 58.
    Sistema linfóide difusoTecido linfóide associado as mucosas (MALT) Infiltrado linfocitário não-encapsulado localizado - folículos ou nódulos linfóides - na mucosa dos tratos gastrintestinal, respiratório e urinário. Predomina células B rodeadas por células T e macrófagos Tecido linfóide associado a tubo digestivo ou ao intestino (GALT/IALT) Tecido Linfóide Associado ao Brônquio (BALT) Tosilas
  • 59.
    Sistema linfóide difusoTecido linfóide associado a tubo digestivo (GALT) Placas de Peyer Folículos linfóides no íleo Tecido Linfóide Associado ao Brônquio (BALT) Localizado nas paredes dos brônquios, especialmente nas regiões de bifurcação dos brônquios e bronquíolos. O revestimento epitelial sobre estes nódulos linfóides modifica-se de simples cilíndrico (íleo) e pseudo-estratificado cilíndrico ciliado (brônquios) com células caliciformes para as células M
  • 60.
    Sistema linfóide difusoOs linfócitos são principalmente células B e plasmócitos secretores de anticorpos - predomina a IgA IgA - secretada na luz intestinal - IgA secretória - resistente à digestão enzimática; proteção contra os agentes patogênicos antes de eles invadirem os tecidos IgG e IgM - secretadas dentro da lâmina própria; proteção contra organismos que se esquivaram dos mecanismos protetores de superfície IgE - mediadora da liberação de histamina pelos mastócitos presentes em grande número na lâmina própria
  • 61.
  • 62.
  • 63.
  • 64.
  • 65.
  • 66.
    Tonsilas ou Amídalas Palatinas Faríngeas Linguais Agregados encapsulados incompletos de nódulos linfóides que protegem a entrada da orofaringe Estão interpostas no caminho dos Ag aspirados e ingeridos Reagem aos Ag formando linfócitos e montando uma resposta imune
  • 67.
    Tonsilas palatinas Bilaterais- localizadas no limite entre a cavidade oral e a orofaringe, entre as pregas palatoglossal e palatofaríngea Recoberta por epitélio estratificado pavimentoso não-queratinizado, que forma 10 a 12 criptas profundas. que se invaginam no parênquima da tonsila - contém células epiteliais descamadas, leucócitos mortos, bactérias e restos de comida Parênquima da tonsila é constituído por numerosos nódulos linfóides, muitos com centros germinativos, indicativos de formação de células B
  • 68.
  • 69.
  • 70.
  • 71.
    Tonsila faríngea Única - situada no teto da faringe nasal Em vez de criptas, possui pregas longitudinais rasas, chamadas dobras. Revestida por epitélio pseudo-estratificado cilíndrico ciliado Parênquima constituído de nódulos linfóides, com centros germinativos ocasionais Quando inflamada - adenóide
  • 72.
    Tonsilas linguais Múltiplas- situadas na superfície dorsal do terço posterior da língua Recobertas por epitélio estratificado pavimentoso não-queratinizado Cada tonsila possui uma cripta única, cuja base recebe os ductos das glândulas salivares seromucosas Parênquima constituído de nódulos linfóides, que freqüentemente possuem centros germinativos