SISTEMA LINFÁTICO ÓRGÃOS LINFÓIDES
CONCEITOS IMUNÓGENO  ANTÍGENO  ANTICORPO (IMUNOGLUBULINAS) EXS: IgA, IgD, IgM, IgE, IgG CITOCINAS  EXS: LINFOCINAS, QUIMIOTAXINAS, INTERLEUCINAS, MONOCINAS,INTÉRFERON....
MOLÉCULA DE IMUNOGLOBULINA IgA- secreções IgD e IgM-  receptores de LB IgE-receptor de mastócitos e basófilos IgG- abundante no plasma
INTRODUÇÃO SISTEMA ORGANIZADO PARA DEFESA DISTRIBUIÇÃO E POPULAÇÃO CELULAR MECANISMO DE AÇÃO IDENTIFICAM, NEUTRALIZAM E DESTROEM RESPOSTA IMUNITÁRIA
POPULAÇÃO CELULAR LINFÓCITOS T E B MACRÓFAGOS: C.A.A. e etc... CÉLULAS RETICULARES
ORIGEM E ATIVIDADE  DOS LINFÓCITOS
 
 
SISTEMA COMPLEMENTO Ligações dos anticorpos ao complemento Neutralização IMPEDE A LIGAÇÃO COM CÉLULAS DE DEFESA Aglutinação REDUÇÃO DE ANTÍGENOS LIVRES Opsonização FACILITAR A FAGOCITOSE Citotoxidade ATIVAÇÃO PELA LIGAÇÃO DO ANTÍGENO COM A CÉLULA DE DEFESA Ativação do complemento LIGAÇÃO DO ANTICORPO COM O COMPLEMENTO LISE DA BACTÉRIA V B T
RESPOSTA IMUNITÁRIA RESPOSTA HUMORAL RESPOSTA CELULAR
R. HUMORAL R. CELULAR LB P LT c LB LB Célula infectada Por vírus LBm LTcm MEMÓRIA
MHCs FACILITAM O TRABALHO DAS CÉLULAS DE DEFESA DUAS CLASSES: MHCI: ENDEREÇADO DIRETO À SUPERFÍCIE CELULAR  MHCII: ENDEREÇADO AOS LISOSSOMOS
SÍNTESE DOS MHCs POLIRRIBOSSOMAS RETÍCULO RUGOSO 2 VIAS: SUPERFÍCIE CELULAR MHCI  MHCII Direto para  LISOSSOMAS superfície   antígenos processados MHCI MHCII
 
 
 
 
DISTRIBUIÇÃO SISTEMA LINFÁTICO DIFUSO MALT  (TECIDO LINFÁTICO ASSOCIADO ÀS MUCOSAS) ÓRGÃOS LINFÁTICOS CAPSULADOS
 
MALT-Pulmão
ÓRGÃOS LINFÓIDES CENTRAIS OU PRIMÁRIOS :  TIMO E MEDULA ÓSSEA :  Produção de linfócitos PERIFÉRICOS OU SECUNDÁRIOS: LINFONODO, TONSILAS, NÓDULOS CONFLUENTES, BAÇO E NÓDULOS EM GERAL:   Proliferação de linfócitos e local da resposta imune
ANTÍGENOS  DAS MUCOSAS CÉLULAS M E RECIRCULAÇÃO
TIMO -ÓRGÃO CENTRAL  -LOCALIZAÇÃO:  Mediastino -DESENVOLVIMENTO, CRESCIMENTO E INVOLUÇÃO -ORIGEM EMBRIOLÓGICA DUPLA : MESODÉRMICA E ENDODÉRMICA - POPULAÇÃO DE LINFÓCITOS: 100% LT
 
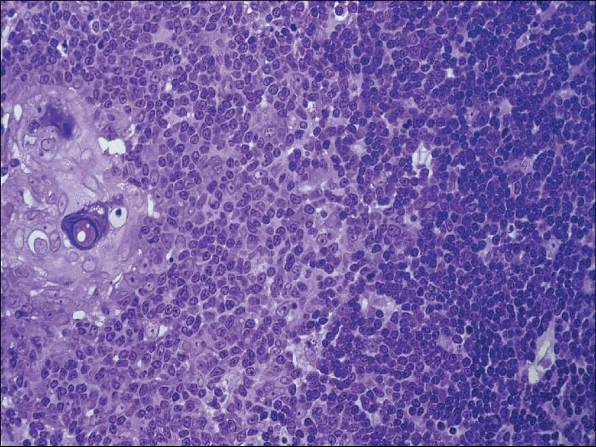
ESTRUTURA REDE DE SUSTENTAÇÃO EPITELIAL CÁPSULA  E SEPTOS INCOMPLETOS AUSÊNCIA DE NÓDULOS LINFÓIDES  DUAS REGIÕES: -REGIÃO CORTICAL -REGIÃO MEDULAR
 
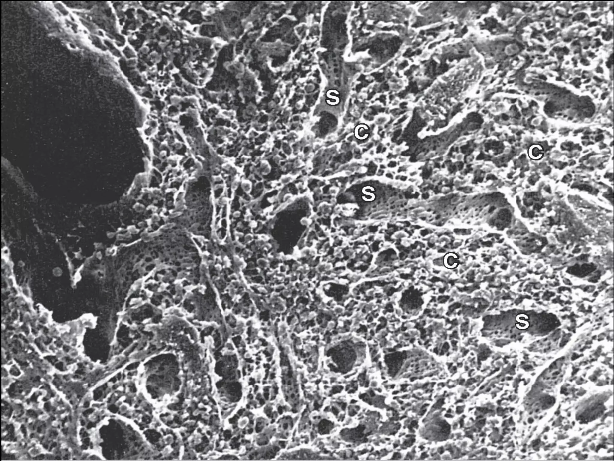
POPULAÇÃO CELULAR CÉLULAS RETICULARES  (6 tipos) LINFÓCITOS T MACRÓFAGOS
CÉLULAS RETICULARES SUPORTE -UNIDAS POR DESMOSSOMAS SÍNTESE DE FATORES DE CRESCIMENTO: -TIMOSINA -TIMULINA -TIMOPOETINA -FATOR TÍMICO HUMORAL
Linfócitos Célula Reticular Desmossomas Desmossomas
CORPÚSCULOS DE HASSAL ESTRUTURAS CARACTERÍSTICAS LOCALIZADOS  NA REGIÃO MEDULAR DEGENERAÇÃO DAS CÉLULAS RETICULARES  POSTERIOR CALCIFICAÇÃO
 
VASCULARIZAÇÃO REGIÃO CORTICAL ARTÉRIAS-ARTERÍOLAS CAPILARES CONTÍNUOS  (Presença da barreira hemato-tímica) JUNÇÃO CÓRTICO-MEDULAR REGIÃO MEDULAR CAPILARES  (Ausência barreira hemato-tímica) VÊNULAS-VEIAS VASOS LINFÁTICOS EFERENTES,  somente
HISTOFISIOLOGIA REGIÃO CORTICAL: PROLIFERAÇÃO E DIFERENCIAÇÃO ( 95% APOPTOSE) MIGRAÇÃO PARA OUTROS ÓRGÃOS E REGIÕES ESPECÍFICAS:  PLACAS DE PEYER, TONSILAS, LINFONODOS, BAÇO.... INFLUÊNCIA HORMONAL HIPÓFISE PRODUZ ACTH:  ►Estimula o córtex da Adrenal para produzir : GLICOCORTICÓIDES  ►Inibe a proliferação dos linfócitos HORMÔNIOS SEXUAIS: Involução tímica TIREÓIDE: Tiroxina  ►Aumenta a produção de timulina
O QUE GARANTE A EFICIÊNCIA DESTE SISTEMA? CITE ALGUNS MECANISMOS DE DEFESA DESENVOLVIDOS: -  A NÍVEL CELULAR A NÍVEL ESTRUTURAL, MICRO E MACRO ANATÔMICO QUAL A IMPORTÂNCIA DE CONHECER A ESTRUTURA HISTOLÓGICA DOS DIFERENTES TIPOS DE ÓRGÃOS LINFÓIDES? O QUÊ SIGNIFICA REGIÃO TIMODEPENDENTE? QUAL O PAPEL DAS CÉLULAS M NA DEFESA DAS MUCOSAS? QUAL A DIFERENÇA ENTRE CÉLULA DENDRÍTICA FOLICULAR E CÉLULA DENTRÍTICA? EXPLIQUE A CIRCULAÇÃO ESPLÊNICA ABERTA E FECHADA. CITE 3 CARACTERÍSTICAS HISTOFISIOLÓGICAS DE CADA UM DOS ÓRGÃOS LINFÁTICOS ESTUDADOS. RELACIONE O ....
LINFONODO PRINCIPAL FUNÇÃO: FILTRAR A LINFA TAMANHO E MORFOLOGIA VARIADA  DISTRIBUÍDOS NO TRAJETO DA LINFA
DISTRIBUIÇÃO DOS LINFONODOS
LINFONODOS SATÉLITES O fator mais importante na análise da evolução de um câncer localizado numa área restrita da mama, é a presença ou ausência de suas células em linfonodos da axila correspondente à mama doente. Inicialmente, é para estes gânglios que na sua grande maioria, o câncer de mama se dissemina.
TRAJETO DA LINFA
Vasos linfáticos aferentes Medula Válvula Nódulo Trabécula Capilares Córtex externo CÓRTEX INTERNO OU Vaso linfático eferente PARACORTICAL
Vênula de endotélio alto Recirculação de linfócitos
▼ P A R A C O R T I C A L
Córtex de um linfonodo- POPULAÇÃO
CÓRTEX
MEDULAR
SEIO MEDULAR
 
LINFONODOS Síndrome de Digeorge Agamaglobulinemia Imunodeficiência combinada Normal
SEIO SUBCAPSULAR MEDULAR CÓRTEX SEIO PERITRABECULAR PARACORTICAL
BAÇO
FUNÇÕES HEMOCATERESE DESTRUIÇÃO DE  PLAQUETAS ARMAZENA SANGUE FILTRA O SANGUE ORIGINA LINFÓCITOS PRODUZ ANTICORPOS
Baço
 
Macrófagos  FAGOCITOSE DE HEMÁCEAS
DECOMPOSIÇÃO DA HEMOGLOBINA PELOS MACRÓFAGOS BILIRRUBINA  FÍGADO  BILE FERRO -MACRÓFAGOS   ARMAZENAM: Ferritina -TRANSPORTE:TRANSFERRINA CÉLULAS COM RECEPTORES Ex: ERITROBLASTOS
ESTRUTURA HISTOLÓGICA POLPA ESPLÊNICA: Polpa Branca e Polpa Vermelha -POLPA BRANCA: BLPA  ( Bainha Linfócitos Periarteriolar)  + NÓDULOS LINFÓIDES -POLPA VERMELHA: CORDÕES CELULARES  ( CORDÕES DE BILLROTH)  + SINUSÓIDES
 
 
CIRCULAÇÃO DO SANGUE c irculção Aberta e Circulação Fechada ELIPSÓIDE ZONA MARGINAL
Sinusóides Esplênicos Circulação fechada Circulação aberta Cordões esplênicos
TONSILAS
CRÍPTA REVESTIMENTO ESTRATIFICADO PAVIMENTOSO NÓDULO LINFÓIDE

Sistema linfático

  • 1.
  • 2.
    CONCEITOS IMUNÓGENO ANTÍGENO ANTICORPO (IMUNOGLUBULINAS) EXS: IgA, IgD, IgM, IgE, IgG CITOCINAS EXS: LINFOCINAS, QUIMIOTAXINAS, INTERLEUCINAS, MONOCINAS,INTÉRFERON....
  • 3.
    MOLÉCULA DE IMUNOGLOBULINAIgA- secreções IgD e IgM- receptores de LB IgE-receptor de mastócitos e basófilos IgG- abundante no plasma
  • 4.
    INTRODUÇÃO SISTEMA ORGANIZADOPARA DEFESA DISTRIBUIÇÃO E POPULAÇÃO CELULAR MECANISMO DE AÇÃO IDENTIFICAM, NEUTRALIZAM E DESTROEM RESPOSTA IMUNITÁRIA
  • 5.
    POPULAÇÃO CELULAR LINFÓCITOST E B MACRÓFAGOS: C.A.A. e etc... CÉLULAS RETICULARES
  • 6.
    ORIGEM E ATIVIDADE DOS LINFÓCITOS
  • 7.
  • 8.
  • 9.
    SISTEMA COMPLEMENTO Ligaçõesdos anticorpos ao complemento Neutralização IMPEDE A LIGAÇÃO COM CÉLULAS DE DEFESA Aglutinação REDUÇÃO DE ANTÍGENOS LIVRES Opsonização FACILITAR A FAGOCITOSE Citotoxidade ATIVAÇÃO PELA LIGAÇÃO DO ANTÍGENO COM A CÉLULA DE DEFESA Ativação do complemento LIGAÇÃO DO ANTICORPO COM O COMPLEMENTO LISE DA BACTÉRIA V B T
  • 10.
    RESPOSTA IMUNITÁRIA RESPOSTAHUMORAL RESPOSTA CELULAR
  • 11.
    R. HUMORAL R.CELULAR LB P LT c LB LB Célula infectada Por vírus LBm LTcm MEMÓRIA
  • 12.
    MHCs FACILITAM OTRABALHO DAS CÉLULAS DE DEFESA DUAS CLASSES: MHCI: ENDEREÇADO DIRETO À SUPERFÍCIE CELULAR MHCII: ENDEREÇADO AOS LISOSSOMOS
  • 13.
    SÍNTESE DOS MHCsPOLIRRIBOSSOMAS RETÍCULO RUGOSO 2 VIAS: SUPERFÍCIE CELULAR MHCI MHCII Direto para LISOSSOMAS superfície antígenos processados MHCI MHCII
  • 14.
  • 15.
  • 16.
  • 17.
  • 18.
    DISTRIBUIÇÃO SISTEMA LINFÁTICODIFUSO MALT (TECIDO LINFÁTICO ASSOCIADO ÀS MUCOSAS) ÓRGÃOS LINFÁTICOS CAPSULADOS
  • 19.
  • 20.
  • 21.
    ÓRGÃOS LINFÓIDES CENTRAISOU PRIMÁRIOS : TIMO E MEDULA ÓSSEA : Produção de linfócitos PERIFÉRICOS OU SECUNDÁRIOS: LINFONODO, TONSILAS, NÓDULOS CONFLUENTES, BAÇO E NÓDULOS EM GERAL: Proliferação de linfócitos e local da resposta imune
  • 22.
    ANTÍGENOS DASMUCOSAS CÉLULAS M E RECIRCULAÇÃO
  • 23.
    TIMO -ÓRGÃO CENTRAL -LOCALIZAÇÃO: Mediastino -DESENVOLVIMENTO, CRESCIMENTO E INVOLUÇÃO -ORIGEM EMBRIOLÓGICA DUPLA : MESODÉRMICA E ENDODÉRMICA - POPULAÇÃO DE LINFÓCITOS: 100% LT
  • 24.
  • 25.
    ESTRUTURA REDE DESUSTENTAÇÃO EPITELIAL CÁPSULA E SEPTOS INCOMPLETOS AUSÊNCIA DE NÓDULOS LINFÓIDES DUAS REGIÕES: -REGIÃO CORTICAL -REGIÃO MEDULAR
  • 26.
  • 27.
    POPULAÇÃO CELULAR CÉLULASRETICULARES (6 tipos) LINFÓCITOS T MACRÓFAGOS
  • 28.
    CÉLULAS RETICULARES SUPORTE-UNIDAS POR DESMOSSOMAS SÍNTESE DE FATORES DE CRESCIMENTO: -TIMOSINA -TIMULINA -TIMOPOETINA -FATOR TÍMICO HUMORAL
  • 29.
    Linfócitos Célula ReticularDesmossomas Desmossomas
  • 30.
    CORPÚSCULOS DE HASSALESTRUTURAS CARACTERÍSTICAS LOCALIZADOS NA REGIÃO MEDULAR DEGENERAÇÃO DAS CÉLULAS RETICULARES POSTERIOR CALCIFICAÇÃO
  • 31.
  • 32.
    VASCULARIZAÇÃO REGIÃO CORTICALARTÉRIAS-ARTERÍOLAS CAPILARES CONTÍNUOS (Presença da barreira hemato-tímica) JUNÇÃO CÓRTICO-MEDULAR REGIÃO MEDULAR CAPILARES (Ausência barreira hemato-tímica) VÊNULAS-VEIAS VASOS LINFÁTICOS EFERENTES, somente
  • 33.
    HISTOFISIOLOGIA REGIÃO CORTICAL:PROLIFERAÇÃO E DIFERENCIAÇÃO ( 95% APOPTOSE) MIGRAÇÃO PARA OUTROS ÓRGÃOS E REGIÕES ESPECÍFICAS: PLACAS DE PEYER, TONSILAS, LINFONODOS, BAÇO.... INFLUÊNCIA HORMONAL HIPÓFISE PRODUZ ACTH: ►Estimula o córtex da Adrenal para produzir : GLICOCORTICÓIDES ►Inibe a proliferação dos linfócitos HORMÔNIOS SEXUAIS: Involução tímica TIREÓIDE: Tiroxina ►Aumenta a produção de timulina
  • 34.
    O QUE GARANTEA EFICIÊNCIA DESTE SISTEMA? CITE ALGUNS MECANISMOS DE DEFESA DESENVOLVIDOS: - A NÍVEL CELULAR A NÍVEL ESTRUTURAL, MICRO E MACRO ANATÔMICO QUAL A IMPORTÂNCIA DE CONHECER A ESTRUTURA HISTOLÓGICA DOS DIFERENTES TIPOS DE ÓRGÃOS LINFÓIDES? O QUÊ SIGNIFICA REGIÃO TIMODEPENDENTE? QUAL O PAPEL DAS CÉLULAS M NA DEFESA DAS MUCOSAS? QUAL A DIFERENÇA ENTRE CÉLULA DENDRÍTICA FOLICULAR E CÉLULA DENTRÍTICA? EXPLIQUE A CIRCULAÇÃO ESPLÊNICA ABERTA E FECHADA. CITE 3 CARACTERÍSTICAS HISTOFISIOLÓGICAS DE CADA UM DOS ÓRGÃOS LINFÁTICOS ESTUDADOS. RELACIONE O ....
  • 35.
    LINFONODO PRINCIPAL FUNÇÃO:FILTRAR A LINFA TAMANHO E MORFOLOGIA VARIADA DISTRIBUÍDOS NO TRAJETO DA LINFA
  • 36.
  • 37.
    LINFONODOS SATÉLITES Ofator mais importante na análise da evolução de um câncer localizado numa área restrita da mama, é a presença ou ausência de suas células em linfonodos da axila correspondente à mama doente. Inicialmente, é para estes gânglios que na sua grande maioria, o câncer de mama se dissemina.
  • 38.
  • 39.
    Vasos linfáticos aferentesMedula Válvula Nódulo Trabécula Capilares Córtex externo CÓRTEX INTERNO OU Vaso linfático eferente PARACORTICAL
  • 40.
    Vênula de endotélioalto Recirculação de linfócitos
  • 41.
    ▼ P AR A C O R T I C A L
  • 42.
    Córtex de umlinfonodo- POPULAÇÃO
  • 43.
  • 44.
  • 45.
  • 46.
  • 47.
    LINFONODOS Síndrome deDigeorge Agamaglobulinemia Imunodeficiência combinada Normal
  • 48.
    SEIO SUBCAPSULAR MEDULARCÓRTEX SEIO PERITRABECULAR PARACORTICAL
  • 49.
  • 50.
    FUNÇÕES HEMOCATERESE DESTRUIÇÃODE PLAQUETAS ARMAZENA SANGUE FILTRA O SANGUE ORIGINA LINFÓCITOS PRODUZ ANTICORPOS
  • 51.
  • 52.
  • 53.
  • 54.
    DECOMPOSIÇÃO DA HEMOGLOBINAPELOS MACRÓFAGOS BILIRRUBINA FÍGADO BILE FERRO -MACRÓFAGOS ARMAZENAM: Ferritina -TRANSPORTE:TRANSFERRINA CÉLULAS COM RECEPTORES Ex: ERITROBLASTOS
  • 55.
    ESTRUTURA HISTOLÓGICA POLPAESPLÊNICA: Polpa Branca e Polpa Vermelha -POLPA BRANCA: BLPA ( Bainha Linfócitos Periarteriolar) + NÓDULOS LINFÓIDES -POLPA VERMELHA: CORDÕES CELULARES ( CORDÕES DE BILLROTH) + SINUSÓIDES
  • 56.
  • 57.
  • 58.
    CIRCULAÇÃO DO SANGUEc irculção Aberta e Circulação Fechada ELIPSÓIDE ZONA MARGINAL
  • 59.
    Sinusóides Esplênicos Circulaçãofechada Circulação aberta Cordões esplênicos
  • 60.
  • 61.
    CRÍPTA REVESTIMENTO ESTRATIFICADOPAVIMENTOSO NÓDULO LINFÓIDE