Sistema Urinário
 
 
 
 
 
 
 
 
 
 
 
 
 
 
 
 
Sistema urinário Rins  Ureteres  Bexiga urinária Uretra
Córtex  – região externa Marrom e granular Medula  – região interna Pirâmides renais  – 6 a 12 Base orientada ao córtex – limite córtex-medular Ápice (papila renal) – orientada ao hilo. Perfurado por aberturas dos ductos de Bellini – área crivosa (semelhança a peneira). Rim
Pirâmides renais   Base  Limite córtex-medular Ápice (papila renal)  Aberturas dos ductos de Bellini – área crivosa
Papila renal com  aberturas dos ductos de Bellini – área crivosa  Envia urina da pirâmide renal para o cálice renal
Cálice menor  - estrutura semelhante a um copo envolvendo o ápice da pirâmide renal  Cálice maior  – união de 2 a 3 cálices menores vizinhos 3 a 4 cálices maiores se abrem na pelve renal (porção  extendida do ureter)
Unidade funcional do rim   modifica o fluido que passa em seu interior urina é o produto final Estrutura epitelial delimitada por lamina basal (que a separa do escasso TC renal), enovelada. Túbulo urinífero
Regiões do túbulo urinífero Néfron Túbulo coletor  Diversos néfrons são drenado por um único túbulo coletor Múltiplos túbulos coletores se unem na região medular profunda – formam os ductos de Bellini – perfuram a papila renal na área crivosa
Néfron 1. Corpúsculo  renal  Filtra o fluido vindo da circulação – produz o ultrafiltrado. 2.  Porção tubular  Túbulo proximal, alça de Henle, túbulo distal. Modifica o filtrado do corpúsculo renal para formar a urina. 1.Corpúsculo renal 2. Túbulo contorcido proximal 3. Túbulo reto proximal 4. Ramo delgado descendente 5.Ramo delgado ascendente 6. Ramo espesso ascendente 7. Mácula densa 8. Túbulo contorcido  9, 10, 11 e 12. Túbulo coletor
 
Corpúsculo  renal (de Malpighi) Extremidade proximal dilatada, em forma de bolsa, do néfron Componentes 1. Cápsula de Bowman  2. Glomérulo   3. Espaço de Bowman  (espaço urinário)
Corpúsculo  renal (de Malpighi) Cápsula de Bowman   Folheto visceral da cápsula de Bowman   Células epiteliais modificadas chamadas  podócitos Folheto parietal da cápsula de Bowman   Camada única de células epiteliais pavimentosas sobre uma lamina basal
Cápsula de Bowman
Corpúsculo  renal (de Malpighi) Glomérulo   Tufo de capilares invaginado dentro da cápsula de Bowman Glomérulo esta em contato intimo com o folheto visceral da cápsula de Bowman composta pelos podócitos
Corpúsculo  renal (de Malpighi) Pólo vascular  Região por onde entram os vasos que irrigam o espaço de Bowman. Pólo urinário  Região que drena o espaço de Bowman (continua com o túbulo proximal)
Glomérulo Leito capilar arterial Arteríola aferente   Irriga o glomérulo. Arteríola eferente  Drena o glomérulo. Maior resistência ao fluxo sanguíneo – eleva a pressão capilar glomerular.
Glomérulo Conjunto de capilares fenestrados – fenestras grandes, sem diafragma, com lamina basal – formando alças anastomosadas
Células mesangiais  Células mesangiais extraglomerulares Localizadas no pólo vascular
Células mesangiais  Células mesangiais intraglomerulares Localizadas no interior do corpúsculo renal Substitui o TC peri-corpúsculo renal Envolvidas pela lamina basal do capilar glomerular
Células mesangiais  Células mesangiais intraglomerulares 1. Fagocitose da lamina basal glomerular.  2. Contractibilidade – receptores para ATII – reduz o fluxo de sangue renal. 3. Suporte físico ao glomérulo – junto com os podócitos e lamina basal glomerular.
Glomérulo Lamina basal glomerular Lamina basal fundida - e nvolve os capilares glomerulares. Lamina densa  – camada intermediária. Colágeno tipo IV. Laminas raras  – em ambos lados da lamina densa. Laminina, fibronectina e heparan-sulfato. SÍNTESE – Podócitos e células endoteliais dos capilares glomerulares ABSORÇÃO – Células mesangiais intraglomerulares
Glomérulo Lamina basal glomerular Lamina densa Laminas raras  (lúcidas)  Lamina rara interna   Entre o endotélio e a lamina densa Lamina rara externa   Entre a lamina densa e o folheto visceral da cápsula de Bowman.
Corpúsculo renal Membrana basal glomerular
Cápsula  de Bowman Folheto visceral Células epiteliais modificadas  podócitos Apoiados sobre a lamina rara externa
Prolongamentos citoplasmáticos longos semelhantes a tentáculos acompanhando o eixo maior dos capilares -  prolongamentos primários  - dão  prolongamentos secundários  ( pedicelos ) que envolvem o capilar deixando fendas -  fendas de filtração  (20 -40 nm de largura)
 
fendas de filtração  (20 -40 nm de largura)
Pólo vascular – sangue – fluido  Poro endotelial – lamina basal – fendas de filtração = BARREIRA DE FILTRAÇÃO Espaço de Bowman (ultrafiltrado glomerular – contem moléculas com diâmetro < 4nm)  Pólo urinário – túbulo proximal… Processo de filtração
 
Túbulo  proximal 1. Túbulo contorcido proximal ( pars convoluta) 2. Porção reta do túbulo proximal  ( pars reta , segmento descendente espesso da alça de Henle) Absorvem 80% do Na, Cl e H2O e toda glicose, aa e proteínas presentes no ultrafiltrado e transporta para o estroma renal 2. Túbulo proximal contorcido 3. Túbulo proximal reto
Epitélio cúbico simples com microvilus apoiado sobre uma lamina basal
 
Alça de Henle 1. Segmento descendente delgado  Liga a porção reta do túbulo proximal a alça de Henle. Muito permeável a H2O. Alça de Henle  Liga os segmentos delgados. Segmento ascendente delgado  Liga a alça de Henle ao túbulo distal. Moderadamente permeável a H2O. 4. Ramo delgado descendente 5.Ramo delgado ascendente Alça de Henle
Células pavimentosas Alça de Henle
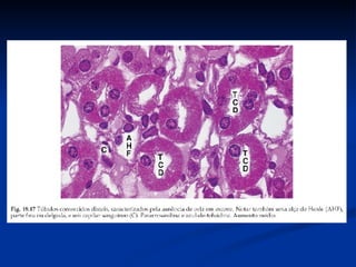
Túbulo distal Porção reta  ( pars recta  ou segmento espesso ascendente da alça de Henle) Impermeável a H2O e uréia. Permeável ao Na e Cl – bomba se Na (retirando os solutos da luz do tubo) Síntese de proteína de Tamm-Horsfall. Macula densa  Região próxima ao corpúsculo renal – interposta entre as arteríola aferente e eferente. A meio caminho entre a  pars reta  e  pars convoluta. 6. Ramo espesso ascendente 7. Mácula densa 8. Túbulo contorcido distal
Túbulo distal Porção contorcida distal  ( pars convoluta  ou túbulo contorcido distal) Impermeável a água e uréia. Possui bomba de Na-K-ATPase – troca Na por K em resposta a aldosterona absorve Na e Cl e elimina K e H). Drenam no túbulo coletor. 6. Ramo espesso ascendente 7. Mácula densa 8. Túbulo contorcido distal
Células cúbicas baixas Túbulo distal
Macula densa do túbulo distal. Células justaglomerulares Células musculares lisas modificadas localizadas na túnica media da arteríola aferente. Contem grânulos com renina Células mesangiais extraglomerulares Ocupa o espaço entre – macula densa, arteríola aferente e eferente e o pólo vascular do corpúsculo renal. Aparelho justaglomerular
Macula densa do túbulo distal Células cilíndricas ao invés de cubóide Osmoreceptores Reagem a um aumento no teor de sódio presente no ultrafiltrado que segue em direção ao túbulo distal
Células justaglomerulares Contem grânulos com renina Mecanorreceptores  - sensíveis à distensão - libera renina se a pressão sangüínea estiver baixa
Sistema renina-angiotencina-aldosterona
Túbulos coletores Transporta o ultrafiltrado e o modificam -  nefron ate as papilas renais. Impermeável a H2O na ausência de ADH. Regiões  Cortical  Medular Papilar
Túbulos coletores Porção cortical 1. Células principais Sensíveis ao ADH. 2. Células intercalares Tipo A – transporta H para o lúmen. Tipo B – absorve H e secreta HCO3. Porção medular Células principais. Porção papilar  (ductos de Bellini) Formado da confluência de vários túbulos coletores medulares. Abrem na área crivosa da papila renal lançando a urina no cálice menor.
Células cubóides principais e células intercalares apoiadas sobre lamina basal
CIRCULACAO RENAL SUPRIMENTO ARTERIAL 20% do volume se sangue/minuto – arterial renal – ramo da aorta abdominal. Filtração glomerular - 125ml/minuto. Em 24 horas são filtrados 180 litros para formar de 1 a 1,5 litros de urina, o que demonstra a enorme capacidade de reabsorção dos túbulos renais. O líquido reabsorvido nos túbulos passa para o interstício e daí para os capilares peritubulares que são porosos O filtrado glomerular possui a mesma composição do plasma, exceto em relação às proteínas.
Artéria renal – no hilo ramifica em 5 artérias segmentares que irriga individualmente cada segmento renal – ramificam em artérias interlobares – artérias arqueadas na junção corticomedular (sobre a base da pirâmide renal)– ascende no córtex dando as artérias interlobulares – da muitos ramos, arteríola glomerular aferente.
SUPRIMENTO VENOSO Arteríola eferente – capilares peritubulares – vasos retos (formato em grampo de cabelo acompanham e envolvem a alça de Henle e o túbulo coletor (essencial na [ ] da urina) – veias arqueadas – veias interlobares  - veia renal – veia cava inferior. Vasos retos responsáveis pelo suprimento da medula renal. As veias seguem paralelamente o trajeto do sistema arterial.  Eritropoietina – síntese no endotélio da arteríola eferente.
 
VIAS EXCRETORAS Cálices maiores e menores. Pelve renal. Ureter. Bexiga urinaria. Uretra.
Calices e pelve renal Cálice menor   Recebe a urina da papila renal do ápice de cada pirâmide renal através dos ductos de Bellini. Cálice maior 3 – 4 câmaras maiores. Cada um recebe urina de 2 a 4 cálices menores. Pelve renal  Porção expandida do ureter recebe urina dos cálices maiores. Epitélio de transição – barreira lúmen-interstício. Lamina própria. Músculo liso – impulsiona a urina.
Ureter   Conduzem a urina dos rins para a bexiga urinaria – efeito contráctil (peristalse) e não gravitacional.  3 – 4 mm de diâmetro com 25 a 30 cm de comprimento. Perfura a porção posterior da base vesical. Prega mucosa na transição ureter-bexiga – valva – impede o refluxo vesico-ureteral.
Ureter Mucosa Epitélio de transição – 3 a 4 camadas de células apoiada na lamina própria de TC frouxo.  Muscular Músculo liso  1/3 próximal – longitudinal interna e circular externa. 1/3 distal – longitudinal interna e externa e circular media. Adventícia TC fibroso. Fusão – proximal com a cápsula renal e distal com o TC vesical.
Bexiga urinária Órgão de armazenamento – urina. Trigono vesical  Região triangular na base da bexiga sem dobras mucosa. Ápices – orifícios ureterais. Base – orifício uretral.
Bexiga urinária Mucosa Epitélio de transição – forma dobras mucosa em repouso. Lamina própria com glândulas mucosas apenas na abertura da uretra – lubrifica a uretra. Muscular Longitudinais interna -  músculo Detrusor   Circular media – espessa – forma o esfíncter interno da uretra. Longitudinal externa – delgada. Adventícia  – TC fibroso, elástico e adiposo.
Uretra Estrutura tubular única. Homem - 15 a 20 cm. Mulher - 4 – 5 cm de comprimento. 5 – 6 mm de diâmetro Esfíncter externo da uretra – músculo esquelético do períneo – controle voluntário. Glândulas mucosas de Littré – na lamina própria em toda extensão da uretra.
Uretra Epitélio de transição – próximo a bexiga. Estratificado pavimentoso não-queratinizado –  restante.

Sistema Urinario

  • 1.
  • 2.
  • 3.
  • 4.
  • 5.
  • 6.
  • 7.
  • 8.
  • 9.
  • 10.
  • 11.
  • 12.
  • 13.
  • 14.
  • 15.
  • 16.
  • 17.
  • 18.
    Sistema urinário Rins Ureteres Bexiga urinária Uretra
  • 19.
    Córtex –região externa Marrom e granular Medula – região interna Pirâmides renais – 6 a 12 Base orientada ao córtex – limite córtex-medular Ápice (papila renal) – orientada ao hilo. Perfurado por aberturas dos ductos de Bellini – área crivosa (semelhança a peneira). Rim
  • 20.
    Pirâmides renais Base Limite córtex-medular Ápice (papila renal) Aberturas dos ductos de Bellini – área crivosa
  • 21.
    Papila renal com aberturas dos ductos de Bellini – área crivosa Envia urina da pirâmide renal para o cálice renal
  • 22.
    Cálice menor - estrutura semelhante a um copo envolvendo o ápice da pirâmide renal Cálice maior – união de 2 a 3 cálices menores vizinhos 3 a 4 cálices maiores se abrem na pelve renal (porção extendida do ureter)
  • 23.
    Unidade funcional dorim modifica o fluido que passa em seu interior urina é o produto final Estrutura epitelial delimitada por lamina basal (que a separa do escasso TC renal), enovelada. Túbulo urinífero
  • 24.
    Regiões do túbulourinífero Néfron Túbulo coletor Diversos néfrons são drenado por um único túbulo coletor Múltiplos túbulos coletores se unem na região medular profunda – formam os ductos de Bellini – perfuram a papila renal na área crivosa
  • 25.
    Néfron 1. Corpúsculo renal Filtra o fluido vindo da circulação – produz o ultrafiltrado. 2. Porção tubular Túbulo proximal, alça de Henle, túbulo distal. Modifica o filtrado do corpúsculo renal para formar a urina. 1.Corpúsculo renal 2. Túbulo contorcido proximal 3. Túbulo reto proximal 4. Ramo delgado descendente 5.Ramo delgado ascendente 6. Ramo espesso ascendente 7. Mácula densa 8. Túbulo contorcido 9, 10, 11 e 12. Túbulo coletor
  • 26.
  • 27.
    Corpúsculo renal(de Malpighi) Extremidade proximal dilatada, em forma de bolsa, do néfron Componentes 1. Cápsula de Bowman 2. Glomérulo 3. Espaço de Bowman (espaço urinário)
  • 28.
    Corpúsculo renal(de Malpighi) Cápsula de Bowman Folheto visceral da cápsula de Bowman Células epiteliais modificadas chamadas podócitos Folheto parietal da cápsula de Bowman Camada única de células epiteliais pavimentosas sobre uma lamina basal
  • 29.
  • 30.
    Corpúsculo renal(de Malpighi) Glomérulo Tufo de capilares invaginado dentro da cápsula de Bowman Glomérulo esta em contato intimo com o folheto visceral da cápsula de Bowman composta pelos podócitos
  • 31.
    Corpúsculo renal(de Malpighi) Pólo vascular Região por onde entram os vasos que irrigam o espaço de Bowman. Pólo urinário Região que drena o espaço de Bowman (continua com o túbulo proximal)
  • 32.
    Glomérulo Leito capilararterial Arteríola aferente Irriga o glomérulo. Arteríola eferente Drena o glomérulo. Maior resistência ao fluxo sanguíneo – eleva a pressão capilar glomerular.
  • 33.
    Glomérulo Conjunto decapilares fenestrados – fenestras grandes, sem diafragma, com lamina basal – formando alças anastomosadas
  • 34.
    Células mesangiais Células mesangiais extraglomerulares Localizadas no pólo vascular
  • 35.
    Células mesangiais Células mesangiais intraglomerulares Localizadas no interior do corpúsculo renal Substitui o TC peri-corpúsculo renal Envolvidas pela lamina basal do capilar glomerular
  • 36.
    Células mesangiais Células mesangiais intraglomerulares 1. Fagocitose da lamina basal glomerular. 2. Contractibilidade – receptores para ATII – reduz o fluxo de sangue renal. 3. Suporte físico ao glomérulo – junto com os podócitos e lamina basal glomerular.
  • 37.
    Glomérulo Lamina basalglomerular Lamina basal fundida - e nvolve os capilares glomerulares. Lamina densa – camada intermediária. Colágeno tipo IV. Laminas raras – em ambos lados da lamina densa. Laminina, fibronectina e heparan-sulfato. SÍNTESE – Podócitos e células endoteliais dos capilares glomerulares ABSORÇÃO – Células mesangiais intraglomerulares
  • 38.
    Glomérulo Lamina basalglomerular Lamina densa Laminas raras (lúcidas) Lamina rara interna Entre o endotélio e a lamina densa Lamina rara externa Entre a lamina densa e o folheto visceral da cápsula de Bowman.
  • 39.
  • 40.
    Cápsula deBowman Folheto visceral Células epiteliais modificadas podócitos Apoiados sobre a lamina rara externa
  • 41.
    Prolongamentos citoplasmáticos longossemelhantes a tentáculos acompanhando o eixo maior dos capilares - prolongamentos primários - dão prolongamentos secundários ( pedicelos ) que envolvem o capilar deixando fendas - fendas de filtração (20 -40 nm de largura)
  • 42.
  • 43.
    fendas de filtração (20 -40 nm de largura)
  • 44.
    Pólo vascular –sangue – fluido Poro endotelial – lamina basal – fendas de filtração = BARREIRA DE FILTRAÇÃO Espaço de Bowman (ultrafiltrado glomerular – contem moléculas com diâmetro < 4nm) Pólo urinário – túbulo proximal… Processo de filtração
  • 45.
  • 46.
    Túbulo proximal1. Túbulo contorcido proximal ( pars convoluta) 2. Porção reta do túbulo proximal ( pars reta , segmento descendente espesso da alça de Henle) Absorvem 80% do Na, Cl e H2O e toda glicose, aa e proteínas presentes no ultrafiltrado e transporta para o estroma renal 2. Túbulo proximal contorcido 3. Túbulo proximal reto
  • 47.
    Epitélio cúbico simplescom microvilus apoiado sobre uma lamina basal
  • 48.
  • 49.
    Alça de Henle1. Segmento descendente delgado Liga a porção reta do túbulo proximal a alça de Henle. Muito permeável a H2O. Alça de Henle Liga os segmentos delgados. Segmento ascendente delgado Liga a alça de Henle ao túbulo distal. Moderadamente permeável a H2O. 4. Ramo delgado descendente 5.Ramo delgado ascendente Alça de Henle
  • 50.
  • 51.
    Túbulo distal Porçãoreta ( pars recta ou segmento espesso ascendente da alça de Henle) Impermeável a H2O e uréia. Permeável ao Na e Cl – bomba se Na (retirando os solutos da luz do tubo) Síntese de proteína de Tamm-Horsfall. Macula densa Região próxima ao corpúsculo renal – interposta entre as arteríola aferente e eferente. A meio caminho entre a pars reta e pars convoluta. 6. Ramo espesso ascendente 7. Mácula densa 8. Túbulo contorcido distal
  • 52.
    Túbulo distal Porçãocontorcida distal ( pars convoluta ou túbulo contorcido distal) Impermeável a água e uréia. Possui bomba de Na-K-ATPase – troca Na por K em resposta a aldosterona absorve Na e Cl e elimina K e H). Drenam no túbulo coletor. 6. Ramo espesso ascendente 7. Mácula densa 8. Túbulo contorcido distal
  • 53.
  • 54.
    Macula densa dotúbulo distal. Células justaglomerulares Células musculares lisas modificadas localizadas na túnica media da arteríola aferente. Contem grânulos com renina Células mesangiais extraglomerulares Ocupa o espaço entre – macula densa, arteríola aferente e eferente e o pólo vascular do corpúsculo renal. Aparelho justaglomerular
  • 55.
    Macula densa dotúbulo distal Células cilíndricas ao invés de cubóide Osmoreceptores Reagem a um aumento no teor de sódio presente no ultrafiltrado que segue em direção ao túbulo distal
  • 56.
    Células justaglomerulares Contemgrânulos com renina Mecanorreceptores - sensíveis à distensão - libera renina se a pressão sangüínea estiver baixa
  • 57.
  • 58.
    Túbulos coletores Transportao ultrafiltrado e o modificam - nefron ate as papilas renais. Impermeável a H2O na ausência de ADH. Regiões Cortical Medular Papilar
  • 59.
    Túbulos coletores Porçãocortical 1. Células principais Sensíveis ao ADH. 2. Células intercalares Tipo A – transporta H para o lúmen. Tipo B – absorve H e secreta HCO3. Porção medular Células principais. Porção papilar (ductos de Bellini) Formado da confluência de vários túbulos coletores medulares. Abrem na área crivosa da papila renal lançando a urina no cálice menor.
  • 60.
    Células cubóides principaise células intercalares apoiadas sobre lamina basal
  • 61.
    CIRCULACAO RENAL SUPRIMENTOARTERIAL 20% do volume se sangue/minuto – arterial renal – ramo da aorta abdominal. Filtração glomerular - 125ml/minuto. Em 24 horas são filtrados 180 litros para formar de 1 a 1,5 litros de urina, o que demonstra a enorme capacidade de reabsorção dos túbulos renais. O líquido reabsorvido nos túbulos passa para o interstício e daí para os capilares peritubulares que são porosos O filtrado glomerular possui a mesma composição do plasma, exceto em relação às proteínas.
  • 62.
    Artéria renal –no hilo ramifica em 5 artérias segmentares que irriga individualmente cada segmento renal – ramificam em artérias interlobares – artérias arqueadas na junção corticomedular (sobre a base da pirâmide renal)– ascende no córtex dando as artérias interlobulares – da muitos ramos, arteríola glomerular aferente.
  • 63.
    SUPRIMENTO VENOSO Arteríolaeferente – capilares peritubulares – vasos retos (formato em grampo de cabelo acompanham e envolvem a alça de Henle e o túbulo coletor (essencial na [ ] da urina) – veias arqueadas – veias interlobares - veia renal – veia cava inferior. Vasos retos responsáveis pelo suprimento da medula renal. As veias seguem paralelamente o trajeto do sistema arterial. Eritropoietina – síntese no endotélio da arteríola eferente.
  • 64.
  • 65.
    VIAS EXCRETORAS Cálicesmaiores e menores. Pelve renal. Ureter. Bexiga urinaria. Uretra.
  • 66.
    Calices e pelverenal Cálice menor Recebe a urina da papila renal do ápice de cada pirâmide renal através dos ductos de Bellini. Cálice maior 3 – 4 câmaras maiores. Cada um recebe urina de 2 a 4 cálices menores. Pelve renal Porção expandida do ureter recebe urina dos cálices maiores. Epitélio de transição – barreira lúmen-interstício. Lamina própria. Músculo liso – impulsiona a urina.
  • 67.
    Ureter Conduzem a urina dos rins para a bexiga urinaria – efeito contráctil (peristalse) e não gravitacional. 3 – 4 mm de diâmetro com 25 a 30 cm de comprimento. Perfura a porção posterior da base vesical. Prega mucosa na transição ureter-bexiga – valva – impede o refluxo vesico-ureteral.
  • 68.
    Ureter Mucosa Epitéliode transição – 3 a 4 camadas de células apoiada na lamina própria de TC frouxo. Muscular Músculo liso 1/3 próximal – longitudinal interna e circular externa. 1/3 distal – longitudinal interna e externa e circular media. Adventícia TC fibroso. Fusão – proximal com a cápsula renal e distal com o TC vesical.
  • 69.
    Bexiga urinária Órgãode armazenamento – urina. Trigono vesical Região triangular na base da bexiga sem dobras mucosa. Ápices – orifícios ureterais. Base – orifício uretral.
  • 70.
    Bexiga urinária MucosaEpitélio de transição – forma dobras mucosa em repouso. Lamina própria com glândulas mucosas apenas na abertura da uretra – lubrifica a uretra. Muscular Longitudinais interna - músculo Detrusor Circular media – espessa – forma o esfíncter interno da uretra. Longitudinal externa – delgada. Adventícia – TC fibroso, elástico e adiposo.
  • 71.
    Uretra Estrutura tubularúnica. Homem - 15 a 20 cm. Mulher - 4 – 5 cm de comprimento. 5 – 6 mm de diâmetro Esfíncter externo da uretra – músculo esquelético do períneo – controle voluntário. Glândulas mucosas de Littré – na lamina própria em toda extensão da uretra.
  • 72.
    Uretra Epitélio detransição – próximo a bexiga. Estratificado pavimentoso não-queratinizado – restante.