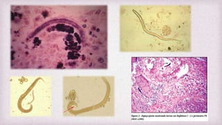
Strongyloides stercoralis
Uniasselvi Fameblu II
Disciplina: Relação parasita e hospedeiro
Docente: Isabel Machado
Acadêmica: Beatriz Henkels
Biomedicina – Noturno – 2º Semestre
Dados do parasito
 Reino: Animalia
 Filo: Aschelminthes
 Classe: Nematoda
 Ordem: Rhabditorida
 Família: Strongyloididae
 Espécie:Strongyloides stercoralis
Características gerais
 Pequenos nematódeos de vida livre
 Causa parasitismo intestinal grave
em imunossuprimidos
 Habitat: criptas da mucosa
duodenal e porção superior do
jejuno.
 Fêmea partenogenética mede cerca
de 2 a 3 mm de tamanho
 Doença: ESTRONGILOIDÍASE
Manifestações clínicas
 Em caso de infecções leves, tende a ser assintomático
 Os casos sintomáticos apresentam inicialmente alterações cutâneas com pontos
eritematosos (nos lugares de penetração das larvas) acompanhadas de prurido, edema
local e urticária
 A migração da larva pelos pulmões pode causar tosse, febre e broncopneumonia,
eosinofilia elevada.
 As manifestações intestinais são: diarreia, dor abdominal, constipação, anorexia, náuseas,
vômitos e dor epigástrica que pode simular quadro de úlcera péptica.
 Nos casos de hiperinfecção ocorrem quadros diarreicos graves que podem causar
desnutrição, desidratação, síndrome de má absorção e perda de peso.
 Em imunodeprimidos a doença pode desenvolver-se de forma severa, com disseminação
larvária a múltiplos órgãos (estrongiloidíase severa)
Ciclo biológico
Transmissão
 Penetração cutânea das larvas
filarióides infectantes
 Ingestão de água ou alimentos
contaminados
 Auto-infecção
Diagnóstico laboratorial
 Exame parasitológico de fezes
 Sorologia
Profilaxia
 Tratamento dos indivíduos parasitados
 Uso de calçados
 Higiene alimentar e pessoal
 Cuidado com contaminação do solo
Tratamento
 Tiabendazol
 Cambendazol
 Albendazol
 Ivermectina
Referências
 http://www.parasitologiaclinica.ufsc.br/index.php/info/conteudo/doencas/helmintoses/estrongiloidiase/
acesso em 01/06/2014
 http://www.mdsaude.com/2013/08/estrongiloidiase.html
acesso em 01/06/2014
 NEVES, D. P. Parasitologia Humana. Editora Atheneu.
acesso em 01/06/2014
 Slides de nematelmintos intestinais (Prof. Archangelo P. Fernandes e Profa. Alessandra Barone)
acesso em 01/06/2014
Slides de nematódeos – infecção muco-cutânea
acesso em 01/06/2014

Strongyloides stercoralis

  • 1.
    Strongyloides stercoralis Uniasselvi FamebluII Disciplina: Relação parasita e hospedeiro Docente: Isabel Machado Acadêmica: Beatriz Henkels Biomedicina – Noturno – 2º Semestre
  • 2.
    Dados do parasito Reino: Animalia  Filo: Aschelminthes  Classe: Nematoda  Ordem: Rhabditorida  Família: Strongyloididae  Espécie:Strongyloides stercoralis
  • 3.
    Características gerais  Pequenosnematódeos de vida livre  Causa parasitismo intestinal grave em imunossuprimidos  Habitat: criptas da mucosa duodenal e porção superior do jejuno.  Fêmea partenogenética mede cerca de 2 a 3 mm de tamanho  Doença: ESTRONGILOIDÍASE
  • 5.
    Manifestações clínicas  Emcaso de infecções leves, tende a ser assintomático  Os casos sintomáticos apresentam inicialmente alterações cutâneas com pontos eritematosos (nos lugares de penetração das larvas) acompanhadas de prurido, edema local e urticária  A migração da larva pelos pulmões pode causar tosse, febre e broncopneumonia, eosinofilia elevada.  As manifestações intestinais são: diarreia, dor abdominal, constipação, anorexia, náuseas, vômitos e dor epigástrica que pode simular quadro de úlcera péptica.  Nos casos de hiperinfecção ocorrem quadros diarreicos graves que podem causar desnutrição, desidratação, síndrome de má absorção e perda de peso.  Em imunodeprimidos a doença pode desenvolver-se de forma severa, com disseminação larvária a múltiplos órgãos (estrongiloidíase severa)
  • 6.
  • 9.
    Transmissão  Penetração cutâneadas larvas filarióides infectantes  Ingestão de água ou alimentos contaminados  Auto-infecção Diagnóstico laboratorial  Exame parasitológico de fezes  Sorologia Profilaxia  Tratamento dos indivíduos parasitados  Uso de calçados  Higiene alimentar e pessoal  Cuidado com contaminação do solo
  • 10.
  • 13.
    Referências  http://www.parasitologiaclinica.ufsc.br/index.php/info/conteudo/doencas/helmintoses/estrongiloidiase/ acesso em01/06/2014  http://www.mdsaude.com/2013/08/estrongiloidiase.html acesso em 01/06/2014  NEVES, D. P. Parasitologia Humana. Editora Atheneu. acesso em 01/06/2014  Slides de nematelmintos intestinais (Prof. Archangelo P. Fernandes e Profa. Alessandra Barone) acesso em 01/06/2014 Slides de nematódeos – infecção muco-cutânea acesso em 01/06/2014