Síndrome de
CHÉDIAK-HIGASHI
Dr Francismar Prestes Leal (CRM/PR 18829)
Médico Hematologista (UFSM/UNIFESP)
Professor Uningá/Maringá/PR
Novembro/2013
© L. A. Burden 2005
Síndrome de Chédiak-Higashi (SCH)
• Descrita inicialmente por Beguez Cesar (1943),
Steinbrinck (48), Chédiak (52) e Higashi (1954)
• Inicialmente, caracterizada como uma desordem na
qual neutrófilos, monócitos e linfócitos tinham
grânulos (ou inclusões) gigantes no citoplasma
• Hoje, sabe-se que é uma síndrome com disfunção
celular, caracterizada por fusão aumentada de
vesículas/grânulos do citoplasma de uma grande
variedade de células, de diversos tecidos/órgãos
Síndrome de Chédiak-Higashi (SCH)
• Doença hereditária (autossômica recessiva), mais
frequente em filhos de pais consanguíneos e talvez
menos frequente em negros (subdiagnóstico?)
• Rara (<500 casos publicados nos últimos 20 anos)
• Caracterizada clinicamente por albinismo parcial
(oculocutâneo), infecções (piogênicas) de
repetição, sangramentos (em pele e mucosas),
neuropatia (geralmente periférica) e tendência de
evolução para uma fase acelerada (linfoma-símile)
Síndrome de Chédiak-Higashi (SCH)
• O gene CHS1/LYST (1q42-43) codifica uma
proteína (chamada de “regulador do tráfego
lisossomal”) que regularia a síntese, o transporte e
a fusão de grânulos/vesículas citoplasmáticos
• A SCH/CHS decorre de mutações no gene CHS1,
que levam à suposta codificação de proteínas
anormais (CHS1) e, consequentemente, defeitos
(maior fusão) de vesículas/grânulos de vários
tipos de células (tecidos/órgãos)
Síndrome de Chédiak-Higashi (SCH)
• Vesícula citoplasmática: pequeno saco, formado
no citoplasma das células a partir de membranas
celulares pré-existentes (bicamada lipídica), que
armazena, transporta, digere ou secreta estruturas
(moléculas, organelas, corpos estranhos etc.)
• Grânulo citoplasmático: qualquer partícula visível
em MO (termo comumente usado para descrever
uma vesícula secretora; mas pode ser de pigmento)
• Ou seja, vesículas e grânulos podem ser sinônimos
Síndrome de Chédiak-Higashi (SCH)
Síndrome de Chédiak-Higashi (SCH)

http://www.nature.com/labinvest/journal/v80/n5/fig_tab/378
Síndrome de Chédiak-Higashi (SCH)

G – grânulos densos; V- vesículas translúcidas; R- retículo
endoplasmático rugoso ; N – núcleo; Nu – nucléolo;
(Granulócito; 22.000x) Moura WL, 1997
Síndrome de Chédiak-Higashi (SCH)
• A anomalia de CH resulta em vesículas/grânulos
grosseiramente aumentados e disfuncionais,
vistas na citologia habitual (Romanovsky) como
grânulos azurofílicos ou purpúricos gigantes e
coalescentes, principalmente em granulócitos
• Estas inclusões também podem ser vistas em
monócitos, linfócitos, plaquetas, fibroblastos,
melanócitos (pele/fâneros), células neurais, renais,
hepáticas, adrenais, gástricas e outras células
Síndrome de Chédiak-Higashi (SCH)
• Estes grânulos anormais são “específicos” da
SCH e sua presença em granulócitos do sangue e
da medula óssea é a base para o diagnóstico
• Embora a fisiopatogenia da SCH seja ainda pouco
entendida, alterações de membrana são evidentes
• Na SCH, as membranas celulares são mais fluidas,
o que pode reduzir a expressão de receptores e a
interação de microtúbulos com lisossomos, com
menor resposta quimiotática dos leucócitos
Síndrome de Chédiak-Higashi (SCH)
• Problemas na fusão de fagossomos e lisossomos
resultariam em menor atividade microbicida dos
leucócitos, mormente granulócitos e monócitos
• Células NK (com deficiência de perforina) também
têm uma profunda redução da atividade citotóxica
• Há formação de melanossomos gigantes, que
resultam em diluição pigmentar (albinismo parcial)
de pele, fâneros íris e retina (fundo do olho)
Síndrome de Chédiak-Higashi (SCH)
Síndrome de Chédiak-Higashi (SCH)
• Para possível classificação ou diferenciação de
tratamento e prognóstico, há pelo menos duas
apresentações clínicas:
– Precoce (neonato/criança)
– Tardia (adolescente/adulto)
• Dentro destas:
– Fase crônica
– Fase acelerada
Síndrome de Chédiak-Higashi (SCH)
• Cerca de 85% dos pacientes com a forma precoce
desenvolvem uma fase acelerada (infiltração
linfoistiocítica do fígado, baço, linfonodos e medula
óssea, que resulta em hepatoesplenomegalia,
linfonodomegalia e pancitopenia - adinamia, febre,
infecções, hemorragias, icterícia, RNC etc.)
• Sem um TCTH/TMO (transplante de células tronco
hemopoéticas/medula óssea), a maioria destes
pacientes morre na primeira década de vida
Síndrome de Chédiak-Higashi (SCH)
• A forma tardia costuma ser menos agressiva
clinicamente e o comprometimento neurológico
pode ser a característica mais marcante
• Neste grupo, neuropatia progressiva é frequente,
mormente periférica, axonal e/ou desmielinizante,
com alterações sensoriais e/ou fraqueza muscular
• A neuropatia pode ser central, com convulsões,
ataxia cerebelar, comprometimento cognitivo etc.
Síndrome de Chédiak-Higashi (SCH)
• Infecções são a principal causa de morte e os
agentes mais comuns são vírus e espécies de
estafilococos, estreptococos e hemófilos (HiB)

(7 pacientes) Carnide EG et al. Rev Paul Med 1998;116(6):1873
Síndrome de Chédiak-Higashi (SCH)
• Apresentação clínica habitual (pelo menos um)
– Albinismo oculocutâneo parcial (agregação
anormal de melanina em melanócitos, originando
melanossomos gigantes)
• Íris acinzentada, azulada ou acastanhada;
retina hipopigmentada; fotofobia, menor
acuidade visual, nistagmo; hipopigmentação
cutânea (variável); Pelos/cabelos
acinzentados/prateados, com brilho metálico
Síndrome de Chédiak-Higashi (SCH)

http://eyewiki.aao.org/Albinism
Coloração prateada dos cabelos e hipopigmentação cutânea

Síndrome de Chédiak-Higashi (SCH)

Fantinato GT, et al. An Bras Dermatol 2011;86(5):1029
Síndrome de Chédiak-Higashi (SCH)

http://www.ijtrichology.com/viewimage.asp?img=IntJTrichol_20
Síndrome de Chédiak-Higashi (SCH)
• Apresentação clínica habitual (pelo menos um)
– Infecções bacterianas/piogênicas recorrentes
e/ou graves, na pele, orofaringe (periodontite),
vias aéreas, com resposta mais lenta aos
antibióticos; podem ocorrer infecções fúngicas ou
virais (EBV, CMV, HIV, vírus herpes etc.)
– Os agentes mais comuns são Staphylococcus
aureus e diversas espécies de Estreoptococos
Síndrome de Chédiak-Higashi (SCH)

http://www.lookfordiagnosis.com/mesh_info.php?term=Pneum
Síndrome de Chédiak-Higashi (SCH)
• Apresentação clínica habitual (pelo menos um)
– Sangramentos, em pele e mucosas, de leves a
moderados; graves na “fase acelerada”
– Ocorre principalmente por um defeito na
quimiotaxia (disfunção) e na síntese de
plaquetas (trombocitopenia; fase acelerada)
– A tendência ao sangramento somada à
imunodeficiência pode causar alveolite,
culminando com perda dentária precoce
Síndrome de Chédiak-Higashi (SCH)
http://www.portalocupacional.com.br/portal/materias/2/28/724
Síndrome de Chédiak-Higashi (SCH)
• Apresentação clínica habitual (pelo menos um)
– Manifestações neurológicas (centrais e/ou
periféricas), com neurodegeneração progressiva
– Presentes em até metade dos casos, no final
da infância ou no início da vida adulta
– Mesmo em pacientes submetidos a um TMO,
efetivo contra as outras manifestações da SCH,
a neuropatia (e o albinismo) costuma persistir
Síndrome de Chédiak-Higashi (SCH)
• Apresentação clínica habitual (pelo menos um)
– As principais manifestações neurológicas são:
• Anormalidades no equilíbrio/Ataxia
• Tremores/Parkinsonismo
• Neuropatia periférica e/ou de pares cranianos
• Redução de reflexos tendinosos profundos
• Piora da atividade cognitiva global
• Outras neuropatias motoras, sensitivas ou
autonômicas
Síndrome de Chédiak-Higashi (SCH)
• Apresentação clínica habitual (pelo menos um)
– Durante a fase acelerada é comum a presença
de convulsões e distúrbios comportamentais
– A fisiopatologia envolve a presença de inclusões
citoplasmáticas densas em células neurais,
como astrócito, célula de Schwan ou gânglio
posterior
– Em necrópsia/exames de imagem nota-se atrofia
cerebral difusa, principalmente em lobo temporal
Síndrome de Chédiak-Higashi (SCH)
• Apresentação clínica habitual (pelo menos um)
– Fase acelerada
• Pode ocorrer em qualquer idade
• Linfoproliferação em fígado, baço, LN e MO
• Hepatoesplenomegalia e/ou adenomegalia
• Pancitopenia (ou citopenias isoladas)
• Febre, infecções, hemorragias, cansaço
• Similar: síndrome hemofagocítica “viral” (EBV)
Síndrome de Chédiak-Higashi
• Diagnóstico
– A meta é realizar o diagnóstico precoce
– A maioria dos diagnósticos é feita aos 5-6 anos
– Diagnóstico pré-natal: pesquisa de “células de
Chédiak-Higashi” em células de vilosidades
coriônicas (cultura) e/ou no sangue periférico dos
pais (heterozigotos); fosfatase ácida (+) nos
lisossomos fetais pode confirmar a doença
Síndrome de Chédiak-Higashi
• Diagnóstico
– Laboratório
• Extensão corada do sangue periférico
(Romanowsky) ou da medula óssea (MGG)
– Grânulos/inclusões gigantes (2-4nm) no
citoplasma de leucócitos (blastos, prómielócitos, mielócitos, PMN, monócitos,
linfócitos) ou plaquetas (patognomônico)
Esfregaço de sangue periférico demonstrando
leucócito com grânulos gigantes intracitoplasmáticos

Síndrome de Chédiak-Higashi

Fantinato GT, et al. An Bras Dermatol 2011;86(5):1029
Chédiak-Higashi Sindrome giant azurophilic granules in
peripheral blood. A- Eosinophil; B- Lymphocyte; CNeutrophil; D- Monocyte

Azambuja AP et al. Rev Bras Hematol Hemoter.
2011;33(4):315
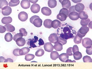
Síndrome de Chédiak-Higashi

Antunes H et al. Lancet 2013;382:1514
Síndrome de Chédiak-Higashi

Antunes H et al. Lancet 2013;382:1514
Síndrome de Chédiak-Higashi

Antunes H et al. Lancet 2013;382:1514
Síndrome de Chédiak-Higashi
• Diagnóstico
– Laboratório
• Grânulos/inclusões gigantes, peroxidasepositivos, no citoplasma de melanócitos
(melanossomos gigantes na amostra de pele;
grandes grânulos de pigmento nas hastes de
pelos/cabelos), hepatócitos, células tubulares
renais, pneumócitos, neurônios, outras células
Grânulos de pigmentos agrupados/salpicados num cabelo

Síndrome de Chédiak-Higashi

Fantinato GT, et al. An Bras Dermatol 2011;86(5):1029
Síndrome de Chédiak-Higashi

Cabelo, MO (x100)

Cabelo, MO com luz
polarizada (x40)

Valente NYS et al. Clinics 2006;61(4):327
Síndrome de Chédiak-Higashi
• Diagnóstico
– Laboratório (outros)
• Citopenias (neutropenia) ou presença de
blastos no hemograma (fase acelerada)
• Coagulopatia (tempos de coagulação e de
sangramento prolongados; fase acelerada)
• Hepatopatia (fase acelerada)
• Hiper/Hipogamaglobulinemia etc.
Síndrome de Chédiak-Higashi
• Diagnóstico
– Outros exames
• Radiografias orais: perda do osso alveolar
• Microscopia eletrônica: confirmam defeitos
de granulação (pele, mucosa oral, cabelo etc.)
• TC/RNM: atrofia cerebral/medula espinhal
• Mutação do gene CHS1 (1q42-43)?
• Outros, para diagnóstico diferencial
Síndrome de Chédiak-Higashi

http://www.clinicateles.pt/Implante%20-%20Periodontia%20(6).htm
Síndrome de Chédiak-Higashi

Morrone K, Wang Y, Huizing M, Sutton E, White JG, Gahl WA,
Moody K - Case Rep Med (2010); Microscopia eletrônica
Síndrome de Chédiak-Higashi
• Diagnóstico diferencial
– Outras causas de albinismo, associadas a
infecções (orais, pioderma gangrenoso etc.)
• Síndromes de Griscelli-Prunieras, Elejalde,
Cross, Hermansky-Pudlak etc.
– Outras imunodeficiências (SIDA, DGC etc.) e/ou
hemopatias (neutropenias, linfomas, leucemias)
Síndrome de Chédiak-Higashi
• Manejo/Tratamento
– Interconsultas
• Hematologista (diagnóstico, inclusive
diferencial, e tratamento, inclusive TMO)
• Neurologista (se neuropatia presente)
• Oftalmologista (perda visual etc.)
• Infectologista (auxílio na terapia antinfecciosa)
• Outros (cirurgiões etc.)
Síndrome de Chédiak-Higashi
• Manejo/Tratamento
– Transplante de células tronco (TMO) de
doador HLA-compatível é o tratamento de
escolha, principalmente na fase precoce da
doença ou após controle da fase acelerada
– O TMO é a única opção de cura da SCH:
melhora a imunodeficiência e “previne” a fase
acelerada, mas não melhora a neuropatia ou o
albinismo; sem TMO, a morte é mais precoce
Síndrome de Chédiak-Higashi
• Manejo/Tratamento
– A SCH, mormente na fase acelerada, pode ser
controlada com: Ig (0,4g/kg/dia, 5 dias); drogas
microtubulíticas/quimioterápicas (vincristina,
vimblastina, metotrexato, ciclofosfamida,
ciclosporina A, etoposídeo, dexametasona,
prednisona, colchicina – isoladas ou em
associação); aciclovir
– Interferon/IL-2: restaura (in vitro) função das NK
Síndrome de Chédiak-Higashi
• Manejo/Tratamento
– Drogas
• Imunoglobulina intravenosa (alta dose)
– Bloqueia receptores Fc dos macrófagos
– Reduz resposta inflamatória, inclusive INFgama, do complemento e linfócitos B/T
– Neutraliza anticorpos antimielina,
promovendo remielinização
Síndrome de Chédiak-Higashi
• Manejo/Tratamento
– Drogas
• Vincristina/Vimblastina
– Inibem crescimento/proliferação celular
(fase acelerada)
• Colchicina
– Reduz motilidade leucocitária e fagocitose
(fase acelerada)
Síndrome de Chédiak-Higashi
• Manejo/Tratamento
– Vitamina C (até 2g/dia): controverso? – Usar!
– Orientação nutricional (para imunodeficiência)
– Tratar infecções agressivamente
– Drenar abscessos rapidamente
– Evitar antiplaquetário/coagulante (hemorragias)
– Evitar procedimento invasivo ou manejar
plaquetopatia/sangramentos se necessário
Síndrome de Chédiak-Higashi
• Manejo/Prevenção
– Esplenectomia: fase acelerada não responsiva à
outras medidas terapêuticas (melhora sobrevida
e quimiotaxia dos neutrófilos)
– Medidas de higiene/proteção, vacinação contra
germes capsulados, profilaxia com antibióticos?
– Aconselhamento genético das famílias com
casos comprovados
Síndrome de Chédiak-Higashi
• Prognóstico
– Morte precoce (<10 anos) por sangramento ou
infecção (respiratórias/cutâneas); poucos
pacientes vivem >20-30 anos
– Quanto maior a idade, maior a chance de
aceleração (linfoproliferação)?
– Depende também do diagnóstico precoce e do
manejo/tratamento adequado
Síndrome de Chédiak-Higashi
•

Fontes
– Willians Hematology, Seventh Edition, 2006;932-35
– Chédiak-Higashi Syndrome: emedicine/medscape reviews
– Carnide EMG et al. Chédiak-Higashi syndrome: presentation of
seven cases. Rev Paul Med 1998;116(6):1873-8
– Colla VA et al. Síndrome de Chediak-Higashi: Relato de Caso e
Revisão da Literatura. Rev Bras Alerg Imunopatol 1998;21(3):83-90
– Freitas GR et al. Seizures in Chédiak-Higashi syndrome: case report.
Arq Neuropsiquiatr 1999;57(2-B):495-7
– Azambuja AP et al. Four case of Chédiak-Higashi syndrome. Rev
Bras Hematol Hemoter 2011;33(4):315-22
Obrigado!

Síndrome de Chédiak-Higashi

  • 1.
    Síndrome de CHÉDIAK-HIGASHI Dr FrancismarPrestes Leal (CRM/PR 18829) Médico Hematologista (UFSM/UNIFESP) Professor Uningá/Maringá/PR Novembro/2013 © L. A. Burden 2005
  • 2.
    Síndrome de Chédiak-Higashi(SCH) • Descrita inicialmente por Beguez Cesar (1943), Steinbrinck (48), Chédiak (52) e Higashi (1954) • Inicialmente, caracterizada como uma desordem na qual neutrófilos, monócitos e linfócitos tinham grânulos (ou inclusões) gigantes no citoplasma • Hoje, sabe-se que é uma síndrome com disfunção celular, caracterizada por fusão aumentada de vesículas/grânulos do citoplasma de uma grande variedade de células, de diversos tecidos/órgãos
  • 3.
    Síndrome de Chédiak-Higashi(SCH) • Doença hereditária (autossômica recessiva), mais frequente em filhos de pais consanguíneos e talvez menos frequente em negros (subdiagnóstico?) • Rara (<500 casos publicados nos últimos 20 anos) • Caracterizada clinicamente por albinismo parcial (oculocutâneo), infecções (piogênicas) de repetição, sangramentos (em pele e mucosas), neuropatia (geralmente periférica) e tendência de evolução para uma fase acelerada (linfoma-símile)
  • 4.
    Síndrome de Chédiak-Higashi(SCH) • O gene CHS1/LYST (1q42-43) codifica uma proteína (chamada de “regulador do tráfego lisossomal”) que regularia a síntese, o transporte e a fusão de grânulos/vesículas citoplasmáticos • A SCH/CHS decorre de mutações no gene CHS1, que levam à suposta codificação de proteínas anormais (CHS1) e, consequentemente, defeitos (maior fusão) de vesículas/grânulos de vários tipos de células (tecidos/órgãos)
  • 5.
    Síndrome de Chédiak-Higashi(SCH) • Vesícula citoplasmática: pequeno saco, formado no citoplasma das células a partir de membranas celulares pré-existentes (bicamada lipídica), que armazena, transporta, digere ou secreta estruturas (moléculas, organelas, corpos estranhos etc.) • Grânulo citoplasmático: qualquer partícula visível em MO (termo comumente usado para descrever uma vesícula secretora; mas pode ser de pigmento) • Ou seja, vesículas e grânulos podem ser sinônimos
  • 6.
  • 7.
    Síndrome de Chédiak-Higashi(SCH) http://www.nature.com/labinvest/journal/v80/n5/fig_tab/378
  • 8.
    Síndrome de Chédiak-Higashi(SCH) G – grânulos densos; V- vesículas translúcidas; R- retículo endoplasmático rugoso ; N – núcleo; Nu – nucléolo; (Granulócito; 22.000x) Moura WL, 1997
  • 9.
    Síndrome de Chédiak-Higashi(SCH) • A anomalia de CH resulta em vesículas/grânulos grosseiramente aumentados e disfuncionais, vistas na citologia habitual (Romanovsky) como grânulos azurofílicos ou purpúricos gigantes e coalescentes, principalmente em granulócitos • Estas inclusões também podem ser vistas em monócitos, linfócitos, plaquetas, fibroblastos, melanócitos (pele/fâneros), células neurais, renais, hepáticas, adrenais, gástricas e outras células
  • 10.
    Síndrome de Chédiak-Higashi(SCH) • Estes grânulos anormais são “específicos” da SCH e sua presença em granulócitos do sangue e da medula óssea é a base para o diagnóstico • Embora a fisiopatogenia da SCH seja ainda pouco entendida, alterações de membrana são evidentes • Na SCH, as membranas celulares são mais fluidas, o que pode reduzir a expressão de receptores e a interação de microtúbulos com lisossomos, com menor resposta quimiotática dos leucócitos
  • 11.
    Síndrome de Chédiak-Higashi(SCH) • Problemas na fusão de fagossomos e lisossomos resultariam em menor atividade microbicida dos leucócitos, mormente granulócitos e monócitos • Células NK (com deficiência de perforina) também têm uma profunda redução da atividade citotóxica • Há formação de melanossomos gigantes, que resultam em diluição pigmentar (albinismo parcial) de pele, fâneros íris e retina (fundo do olho)
  • 12.
  • 13.
    Síndrome de Chédiak-Higashi(SCH) • Para possível classificação ou diferenciação de tratamento e prognóstico, há pelo menos duas apresentações clínicas: – Precoce (neonato/criança) – Tardia (adolescente/adulto) • Dentro destas: – Fase crônica – Fase acelerada
  • 14.
    Síndrome de Chédiak-Higashi(SCH) • Cerca de 85% dos pacientes com a forma precoce desenvolvem uma fase acelerada (infiltração linfoistiocítica do fígado, baço, linfonodos e medula óssea, que resulta em hepatoesplenomegalia, linfonodomegalia e pancitopenia - adinamia, febre, infecções, hemorragias, icterícia, RNC etc.) • Sem um TCTH/TMO (transplante de células tronco hemopoéticas/medula óssea), a maioria destes pacientes morre na primeira década de vida
  • 15.
    Síndrome de Chédiak-Higashi(SCH) • A forma tardia costuma ser menos agressiva clinicamente e o comprometimento neurológico pode ser a característica mais marcante • Neste grupo, neuropatia progressiva é frequente, mormente periférica, axonal e/ou desmielinizante, com alterações sensoriais e/ou fraqueza muscular • A neuropatia pode ser central, com convulsões, ataxia cerebelar, comprometimento cognitivo etc.
  • 16.
    Síndrome de Chédiak-Higashi(SCH) • Infecções são a principal causa de morte e os agentes mais comuns são vírus e espécies de estafilococos, estreptococos e hemófilos (HiB) (7 pacientes) Carnide EG et al. Rev Paul Med 1998;116(6):1873
  • 17.
    Síndrome de Chédiak-Higashi(SCH) • Apresentação clínica habitual (pelo menos um) – Albinismo oculocutâneo parcial (agregação anormal de melanina em melanócitos, originando melanossomos gigantes) • Íris acinzentada, azulada ou acastanhada; retina hipopigmentada; fotofobia, menor acuidade visual, nistagmo; hipopigmentação cutânea (variável); Pelos/cabelos acinzentados/prateados, com brilho metálico
  • 18.
    Síndrome de Chédiak-Higashi(SCH) http://eyewiki.aao.org/Albinism
  • 19.
    Coloração prateada doscabelos e hipopigmentação cutânea Síndrome de Chédiak-Higashi (SCH) Fantinato GT, et al. An Bras Dermatol 2011;86(5):1029
  • 20.
    Síndrome de Chédiak-Higashi(SCH) http://www.ijtrichology.com/viewimage.asp?img=IntJTrichol_20
  • 21.
    Síndrome de Chédiak-Higashi(SCH) • Apresentação clínica habitual (pelo menos um) – Infecções bacterianas/piogênicas recorrentes e/ou graves, na pele, orofaringe (periodontite), vias aéreas, com resposta mais lenta aos antibióticos; podem ocorrer infecções fúngicas ou virais (EBV, CMV, HIV, vírus herpes etc.) – Os agentes mais comuns são Staphylococcus aureus e diversas espécies de Estreoptococos
  • 22.
    Síndrome de Chédiak-Higashi(SCH) http://www.lookfordiagnosis.com/mesh_info.php?term=Pneum
  • 23.
    Síndrome de Chédiak-Higashi(SCH) • Apresentação clínica habitual (pelo menos um) – Sangramentos, em pele e mucosas, de leves a moderados; graves na “fase acelerada” – Ocorre principalmente por um defeito na quimiotaxia (disfunção) e na síntese de plaquetas (trombocitopenia; fase acelerada) – A tendência ao sangramento somada à imunodeficiência pode causar alveolite, culminando com perda dentária precoce
  • 24.
    Síndrome de Chédiak-Higashi(SCH) http://www.portalocupacional.com.br/portal/materias/2/28/724
  • 25.
    Síndrome de Chédiak-Higashi(SCH) • Apresentação clínica habitual (pelo menos um) – Manifestações neurológicas (centrais e/ou periféricas), com neurodegeneração progressiva – Presentes em até metade dos casos, no final da infância ou no início da vida adulta – Mesmo em pacientes submetidos a um TMO, efetivo contra as outras manifestações da SCH, a neuropatia (e o albinismo) costuma persistir
  • 26.
    Síndrome de Chédiak-Higashi(SCH) • Apresentação clínica habitual (pelo menos um) – As principais manifestações neurológicas são: • Anormalidades no equilíbrio/Ataxia • Tremores/Parkinsonismo • Neuropatia periférica e/ou de pares cranianos • Redução de reflexos tendinosos profundos • Piora da atividade cognitiva global • Outras neuropatias motoras, sensitivas ou autonômicas
  • 27.
    Síndrome de Chédiak-Higashi(SCH) • Apresentação clínica habitual (pelo menos um) – Durante a fase acelerada é comum a presença de convulsões e distúrbios comportamentais – A fisiopatologia envolve a presença de inclusões citoplasmáticas densas em células neurais, como astrócito, célula de Schwan ou gânglio posterior – Em necrópsia/exames de imagem nota-se atrofia cerebral difusa, principalmente em lobo temporal
  • 28.
    Síndrome de Chédiak-Higashi(SCH) • Apresentação clínica habitual (pelo menos um) – Fase acelerada • Pode ocorrer em qualquer idade • Linfoproliferação em fígado, baço, LN e MO • Hepatoesplenomegalia e/ou adenomegalia • Pancitopenia (ou citopenias isoladas) • Febre, infecções, hemorragias, cansaço • Similar: síndrome hemofagocítica “viral” (EBV)
  • 29.
    Síndrome de Chédiak-Higashi •Diagnóstico – A meta é realizar o diagnóstico precoce – A maioria dos diagnósticos é feita aos 5-6 anos – Diagnóstico pré-natal: pesquisa de “células de Chédiak-Higashi” em células de vilosidades coriônicas (cultura) e/ou no sangue periférico dos pais (heterozigotos); fosfatase ácida (+) nos lisossomos fetais pode confirmar a doença
  • 30.
    Síndrome de Chédiak-Higashi •Diagnóstico – Laboratório • Extensão corada do sangue periférico (Romanowsky) ou da medula óssea (MGG) – Grânulos/inclusões gigantes (2-4nm) no citoplasma de leucócitos (blastos, prómielócitos, mielócitos, PMN, monócitos, linfócitos) ou plaquetas (patognomônico)
  • 31.
    Esfregaço de sangueperiférico demonstrando leucócito com grânulos gigantes intracitoplasmáticos Síndrome de Chédiak-Higashi Fantinato GT, et al. An Bras Dermatol 2011;86(5):1029
  • 32.
    Chédiak-Higashi Sindrome giantazurophilic granules in peripheral blood. A- Eosinophil; B- Lymphocyte; CNeutrophil; D- Monocyte Azambuja AP et al. Rev Bras Hematol Hemoter. 2011;33(4):315
  • 33.
    Síndrome de Chédiak-Higashi AntunesH et al. Lancet 2013;382:1514
  • 34.
    Síndrome de Chédiak-Higashi AntunesH et al. Lancet 2013;382:1514
  • 35.
    Síndrome de Chédiak-Higashi AntunesH et al. Lancet 2013;382:1514
  • 36.
    Síndrome de Chédiak-Higashi •Diagnóstico – Laboratório • Grânulos/inclusões gigantes, peroxidasepositivos, no citoplasma de melanócitos (melanossomos gigantes na amostra de pele; grandes grânulos de pigmento nas hastes de pelos/cabelos), hepatócitos, células tubulares renais, pneumócitos, neurônios, outras células
  • 37.
    Grânulos de pigmentosagrupados/salpicados num cabelo Síndrome de Chédiak-Higashi Fantinato GT, et al. An Bras Dermatol 2011;86(5):1029
  • 38.
    Síndrome de Chédiak-Higashi Cabelo,MO (x100) Cabelo, MO com luz polarizada (x40) Valente NYS et al. Clinics 2006;61(4):327
  • 39.
    Síndrome de Chédiak-Higashi •Diagnóstico – Laboratório (outros) • Citopenias (neutropenia) ou presença de blastos no hemograma (fase acelerada) • Coagulopatia (tempos de coagulação e de sangramento prolongados; fase acelerada) • Hepatopatia (fase acelerada) • Hiper/Hipogamaglobulinemia etc.
  • 40.
    Síndrome de Chédiak-Higashi •Diagnóstico – Outros exames • Radiografias orais: perda do osso alveolar • Microscopia eletrônica: confirmam defeitos de granulação (pele, mucosa oral, cabelo etc.) • TC/RNM: atrofia cerebral/medula espinhal • Mutação do gene CHS1 (1q42-43)? • Outros, para diagnóstico diferencial
  • 41.
  • 42.
    Síndrome de Chédiak-Higashi MorroneK, Wang Y, Huizing M, Sutton E, White JG, Gahl WA, Moody K - Case Rep Med (2010); Microscopia eletrônica
  • 43.
    Síndrome de Chédiak-Higashi •Diagnóstico diferencial – Outras causas de albinismo, associadas a infecções (orais, pioderma gangrenoso etc.) • Síndromes de Griscelli-Prunieras, Elejalde, Cross, Hermansky-Pudlak etc. – Outras imunodeficiências (SIDA, DGC etc.) e/ou hemopatias (neutropenias, linfomas, leucemias)
  • 44.
    Síndrome de Chédiak-Higashi •Manejo/Tratamento – Interconsultas • Hematologista (diagnóstico, inclusive diferencial, e tratamento, inclusive TMO) • Neurologista (se neuropatia presente) • Oftalmologista (perda visual etc.) • Infectologista (auxílio na terapia antinfecciosa) • Outros (cirurgiões etc.)
  • 45.
    Síndrome de Chédiak-Higashi •Manejo/Tratamento – Transplante de células tronco (TMO) de doador HLA-compatível é o tratamento de escolha, principalmente na fase precoce da doença ou após controle da fase acelerada – O TMO é a única opção de cura da SCH: melhora a imunodeficiência e “previne” a fase acelerada, mas não melhora a neuropatia ou o albinismo; sem TMO, a morte é mais precoce
  • 46.
    Síndrome de Chédiak-Higashi •Manejo/Tratamento – A SCH, mormente na fase acelerada, pode ser controlada com: Ig (0,4g/kg/dia, 5 dias); drogas microtubulíticas/quimioterápicas (vincristina, vimblastina, metotrexato, ciclofosfamida, ciclosporina A, etoposídeo, dexametasona, prednisona, colchicina – isoladas ou em associação); aciclovir – Interferon/IL-2: restaura (in vitro) função das NK
  • 47.
    Síndrome de Chédiak-Higashi •Manejo/Tratamento – Drogas • Imunoglobulina intravenosa (alta dose) – Bloqueia receptores Fc dos macrófagos – Reduz resposta inflamatória, inclusive INFgama, do complemento e linfócitos B/T – Neutraliza anticorpos antimielina, promovendo remielinização
  • 48.
    Síndrome de Chédiak-Higashi •Manejo/Tratamento – Drogas • Vincristina/Vimblastina – Inibem crescimento/proliferação celular (fase acelerada) • Colchicina – Reduz motilidade leucocitária e fagocitose (fase acelerada)
  • 49.
    Síndrome de Chédiak-Higashi •Manejo/Tratamento – Vitamina C (até 2g/dia): controverso? – Usar! – Orientação nutricional (para imunodeficiência) – Tratar infecções agressivamente – Drenar abscessos rapidamente – Evitar antiplaquetário/coagulante (hemorragias) – Evitar procedimento invasivo ou manejar plaquetopatia/sangramentos se necessário
  • 50.
    Síndrome de Chédiak-Higashi •Manejo/Prevenção – Esplenectomia: fase acelerada não responsiva à outras medidas terapêuticas (melhora sobrevida e quimiotaxia dos neutrófilos) – Medidas de higiene/proteção, vacinação contra germes capsulados, profilaxia com antibióticos? – Aconselhamento genético das famílias com casos comprovados
  • 51.
    Síndrome de Chédiak-Higashi •Prognóstico – Morte precoce (<10 anos) por sangramento ou infecção (respiratórias/cutâneas); poucos pacientes vivem >20-30 anos – Quanto maior a idade, maior a chance de aceleração (linfoproliferação)? – Depende também do diagnóstico precoce e do manejo/tratamento adequado
  • 52.
    Síndrome de Chédiak-Higashi • Fontes –Willians Hematology, Seventh Edition, 2006;932-35 – Chédiak-Higashi Syndrome: emedicine/medscape reviews – Carnide EMG et al. Chédiak-Higashi syndrome: presentation of seven cases. Rev Paul Med 1998;116(6):1873-8 – Colla VA et al. Síndrome de Chediak-Higashi: Relato de Caso e Revisão da Literatura. Rev Bras Alerg Imunopatol 1998;21(3):83-90 – Freitas GR et al. Seizures in Chédiak-Higashi syndrome: case report. Arq Neuropsiquiatr 1999;57(2-B):495-7 – Azambuja AP et al. Four case of Chédiak-Higashi syndrome. Rev Bras Hematol Hemoter 2011;33(4):315-22
  • 53.