HISTOLOGIA DO
SISTEMA URINÁRIO
Universidade Federal Rural do Semi-Árido
Departamento de Ciências Animais
Disciplina: Histologia e Embriologia Animal
Aluna: Lara Candice Costa de Morais
1
FUNÇÕES GERAIS
Homeostase;
Filtrar o sangue;
 Remover os produtos residuais;
 Recuperar os metabólitos úteis;
Armazenar os resíduos e transportá-
los para o exterior. 2
CONSTITUIÇÃO
Componentes do Sistema Urinário
 Rins
 Ureteres
 Bexiga
 Uretra 3
4
RINS - FUNÇÕES
5
Filtração sanguínea;
 Conservação dos metabólitos essenciais;
 Secreção dos produtos residuais.
Controlam o equilíbrio ácido-básico;
Órgão endócrino – eritropoetina e
renina.
RINS-ESTRUTURAMACROSCÓPICA
• Regiões:
1. Córtex
2. Medula
• Segmentos:
1. Pirâmide
2. Papila
(área
crivosa)
3. Cálice
Menor
4. Cálice
Maior
5. Pelve
Renal
6
7
a – Córtex
b - Medula
NÉFRONS
 Estruturas formadas por:
 Corpúsculo Renal;
 Túbulo contorcido
proximal;
 Alça de Henle;
 Túbulo contorcido distal.
Obs.: Túbulos coletores. 8
RINS-ESTRUTURAMICROSCÓPICA
• Córtex
• Néfrons
• Ductos
coletores
• Medula
• Ductos
coletores
9
RINS - HISTOLOGIA
Revestimento externo: cápsula
fibrosa (tecido conjuntivo denso)
 Fibras colágenas e fibroblastos
Tecido conjuntivo frouxo
liga cápsula ao
parênquima. 10
NÉFRONS - HISTOLOGIA
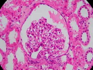
Glomérulo;
 Arteríolas aferente e eferente
ramificadas.
Cápsula de Bowman;
 Folheto parietal  tecido epitelial
simples pavimentoso.
 Folheto visceral  tecido epitelial
simples pavimentoso (podócitos). 11
12
NÉFRONS - HISTOLOGIA
Podócitos
 Células do folheto visceral;
 Tecido epitelial simples pavimentoso;
 Aderidas à membrana
basal dos capilares
glomerulares.
13
14
15
NÉFRONS - HISTOLOGIA
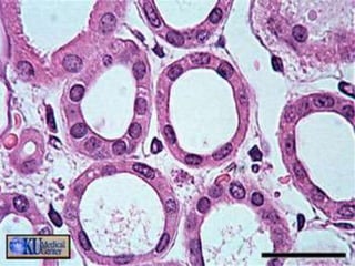
Túbulos contorcidos proximais:
 Tecido epitelial simples cúbico;
 Arredondados ou ovóides;
 Quatro a seis núcleos por célula;
 Mitocôndrias  aspecto granular.
 Borda interna  Microvilos
16
17
NÉFRONS - HISTOLOGIA
Alça de Henle:
 Epitélio simples
pavimentoso;
 Lâmina basal delgada;
 Células achatadas e
núcleos lenticulares;
 Prolongamentos celulares
e microvilos. 18
19
20
NÉFRONS - HISTOLOGIA
Túbulos contorcidos distais:
 Epitélio simples cúbico;
 Células menores e menos eosinófilas);
 Mais curtos que os proximais;
 Estriações basais.
21
22
23
TÚBULOS COLETORES -
HISTOLOGIA
Túbulos coletores arqueados
Túbulo coletor reto
Tecido epitelial simples cúbico;
Membrana basal delgada;
24
TÚBULOS COLETORES -
HISTOLOGIA
Grande lúmen;
Citoplasma palidamente corado;
Poucas organelas.
25
TÚBULOS COLETORES -
HISTOLOGIA
Núcleo central arredondado;
Ausência de projeções intercelulares
ou invaginações;
26
27
28
URETERES E BEXIGA - HISTOLOGIA
Ureteres – conduzem a urina dos
rins à bexiga;
Bexiga – armazena urina;
Formados por quatro camadas:
 Urotélio (epitélio de transição):
Reveste o lúmen;
Ureter  duas ou três camadas.
Bexiga  cinco a sete camadas.
Impermeável à água e íons. 29
URETERES E BEXIGA - HISTOLOGIA
 Lâmina própria:
Tecido conjuntivo frouxo;
 Túnica muscular:
Tecido muscular liso;
 Túnica adventícia:
Tecido conjuntivo frouxo;
Nervos e plexos autônomos;
Vasos sanguíneos e linfáticos.
30
31
32
33
URETRA - HISTOLOGIA
Revestimento interno:
 Epitélio de Transição e Epitélio
estratificado cilíndrico.
 Epitélio estratificado cilíndrico;
 Epitélio estratificado pavimentoso
não-queratinizado.
Lâmina própria (plexo venoso);
Túnica muscular;
34
35
REFERÊNCIAS BIBLIOGRÁFICAS
 OVALLE, Willian K. & NAHIRNEY, Patrick C.
Bases da Histologia. Editora Elsevier. São Paulo,
2008.
 BANKS, Willian J. Histologia Veterinária Aplicada.
Editora Manole Ltda. São Paulo, 1991.
 AMABIS, José Mariano & MARTHO, Gilberto R.
Biologia dos Organismos, vol 2. Editora Moderna,
2004.
36
36
D
Ú
V
I
D
A
S
?

Histologia do sistema urinário

  • 1.
    HISTOLOGIA DO SISTEMA URINÁRIO UniversidadeFederal Rural do Semi-Árido Departamento de Ciências Animais Disciplina: Histologia e Embriologia Animal Aluna: Lara Candice Costa de Morais 1
  • 2.
    FUNÇÕES GERAIS Homeostase; Filtrar osangue;  Remover os produtos residuais;  Recuperar os metabólitos úteis; Armazenar os resíduos e transportá- los para o exterior. 2
  • 3.
    CONSTITUIÇÃO Componentes do SistemaUrinário  Rins  Ureteres  Bexiga  Uretra 3
  • 4.
  • 5.
    RINS - FUNÇÕES 5 Filtraçãosanguínea;  Conservação dos metabólitos essenciais;  Secreção dos produtos residuais. Controlam o equilíbrio ácido-básico; Órgão endócrino – eritropoetina e renina.
  • 6.
    RINS-ESTRUTURAMACROSCÓPICA • Regiões: 1. Córtex 2.Medula • Segmentos: 1. Pirâmide 2. Papila (área crivosa) 3. Cálice Menor 4. Cálice Maior 5. Pelve Renal 6
  • 7.
  • 8.
    NÉFRONS  Estruturas formadaspor:  Corpúsculo Renal;  Túbulo contorcido proximal;  Alça de Henle;  Túbulo contorcido distal. Obs.: Túbulos coletores. 8
  • 9.
    RINS-ESTRUTURAMICROSCÓPICA • Córtex • Néfrons •Ductos coletores • Medula • Ductos coletores 9
  • 10.
    RINS - HISTOLOGIA Revestimentoexterno: cápsula fibrosa (tecido conjuntivo denso)  Fibras colágenas e fibroblastos Tecido conjuntivo frouxo liga cápsula ao parênquima. 10
  • 11.
    NÉFRONS - HISTOLOGIA Glomérulo; Arteríolas aferente e eferente ramificadas. Cápsula de Bowman;  Folheto parietal  tecido epitelial simples pavimentoso.  Folheto visceral  tecido epitelial simples pavimentoso (podócitos). 11
  • 12.
  • 13.
    NÉFRONS - HISTOLOGIA Podócitos Células do folheto visceral;  Tecido epitelial simples pavimentoso;  Aderidas à membrana basal dos capilares glomerulares. 13
  • 14.
  • 15.
  • 16.
    NÉFRONS - HISTOLOGIA Túbuloscontorcidos proximais:  Tecido epitelial simples cúbico;  Arredondados ou ovóides;  Quatro a seis núcleos por célula;  Mitocôndrias  aspecto granular.  Borda interna  Microvilos 16
  • 17.
  • 18.
    NÉFRONS - HISTOLOGIA Alçade Henle:  Epitélio simples pavimentoso;  Lâmina basal delgada;  Células achatadas e núcleos lenticulares;  Prolongamentos celulares e microvilos. 18
  • 19.
  • 20.
  • 21.
    NÉFRONS - HISTOLOGIA Túbuloscontorcidos distais:  Epitélio simples cúbico;  Células menores e menos eosinófilas);  Mais curtos que os proximais;  Estriações basais. 21
  • 22.
  • 23.
  • 24.
    TÚBULOS COLETORES - HISTOLOGIA Túbuloscoletores arqueados Túbulo coletor reto Tecido epitelial simples cúbico; Membrana basal delgada; 24
  • 25.
    TÚBULOS COLETORES - HISTOLOGIA Grandelúmen; Citoplasma palidamente corado; Poucas organelas. 25
  • 26.
    TÚBULOS COLETORES - HISTOLOGIA Núcleocentral arredondado; Ausência de projeções intercelulares ou invaginações; 26
  • 27.
  • 28.
  • 29.
    URETERES E BEXIGA- HISTOLOGIA Ureteres – conduzem a urina dos rins à bexiga; Bexiga – armazena urina; Formados por quatro camadas:  Urotélio (epitélio de transição): Reveste o lúmen; Ureter  duas ou três camadas. Bexiga  cinco a sete camadas. Impermeável à água e íons. 29
  • 30.
    URETERES E BEXIGA- HISTOLOGIA  Lâmina própria: Tecido conjuntivo frouxo;  Túnica muscular: Tecido muscular liso;  Túnica adventícia: Tecido conjuntivo frouxo; Nervos e plexos autônomos; Vasos sanguíneos e linfáticos. 30
  • 31.
  • 32.
  • 33.
  • 34.
    URETRA - HISTOLOGIA Revestimentointerno:  Epitélio de Transição e Epitélio estratificado cilíndrico.  Epitélio estratificado cilíndrico;  Epitélio estratificado pavimentoso não-queratinizado. Lâmina própria (plexo venoso); Túnica muscular; 34
  • 35.
  • 36.
    REFERÊNCIAS BIBLIOGRÁFICAS  OVALLE,Willian K. & NAHIRNEY, Patrick C. Bases da Histologia. Editora Elsevier. São Paulo, 2008.  BANKS, Willian J. Histologia Veterinária Aplicada. Editora Manole Ltda. São Paulo, 1991.  AMABIS, José Mariano & MARTHO, Gilberto R. Biologia dos Organismos, vol 2. Editora Moderna, 2004. 36
  • 37.