SISTEMA RENAL
   Funções: Regulação da composição iônica do sangue Manutenção das osmolaridade do sangue Regulação do volume sanguínea Regulação da pressão arterial Regulação do pH do sangue Liberação de hormônios
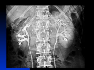
SISTEMA RENAL :     2 Rins    2 Ureteres   1 Bexiga urinária    1 Uretra
 
 
 
 
Néfron     Unidade funcional Função de filtragem do sangue, retorno de substancias úteis para o sangue, mantêm a homeostasia de sangue.    Cerca de 2 milhões nos dois rins        
Partes do Néfron Corpúsculo renal: onde o plasma é filtrado. Contem o Glomérulo e a cásula glomerular ( de Bowman) Tubulo renal: pelo qual passa o liquido filtrado.
NEFRONS   T úbulos contorcido proximal Alça de Henle Túbulo contorcido distal Túbulo coletor
 
  Função: Limpeza do plasma sanguíneo           2 mecanismos distintos:   - filtração de grande quantidade de plasma (125ml/min.) através das memb. glomerulares - processo de secreção (remoção pelas paredes dos    túbulos subst. do sangue para dentro dos túbulos)
 
Filtração Glomerular Membrana Glomerular Capilares do glomérulo + suas membranas = Memb. Glomerular Prolongamentos   digitiformes  entre células deixando espaço para a passagem de líquido
 
3 camadas: células endoteliais (próprio capilar) fenestras membrana basal (fibras colágenas) porosa células epiteliais (prolongamentos digitiformes)      Muito mais permeável a água e íons   que a M.C. típica
Dinâmica dos líquidos na Memb. Glomerular Pressão glomerular  = 60mmHg Pressão colóide = 32 mmHg Pressão cápsula de Bowmann  = 18mmHg Pressão colóide = 0 mmHg Pressão de entrada =  60 mmHg Pressão de Bloqueio = 32+ 18=  50 mmHg Pressão de filtração = 10 mmHg
APARELHO EXCRETOR TÚBULO CONTORCIDO DISTAL TÚBULO CONTORCIDO PROXIMAL REABSORÇÃO DE ÁGUA CONCENTRAÇÃO DE URINA REABSORÇÃO E SECREÇÃO URINA DUCTO COLETOR ALÇA DE HENLE VEIA FILTRAÇÃO CAPILARES GOMÉRULO ARTERÍOLA EFERENTE ARTERÍOLA AFERENTE CÁPSULA DE BOWMAN
Características do filtrado glomerular Ultrafiltrado do plasma = composição semelhante Grande porosidade membrana = passagem de todos os  constituintes do plasma Dificuldade de passagem, logo composição de PTN
 
Reabsorção   Tubular Cada dia = 180 litros de filtrado Cerca de 1,5 litros  (urina) Líquido reabsorvido espaço intersticiais capilares Transporte ativo ou passivo
Transporte ativo Contra a diferença de concentração Ex: glicose, aminoácidos, proteínas, ác. úrico e maioria íons reabsorção potente, quase nada sai pela urina eliminação de íons (importante equilíbrio osmótico) Células gastam até 90% de energia no transporte  
Transporte passivo (difusão) A favor da diferença de concentração epitélio tubular é muito poroso e permeável a pequenas moléculas Ex: Água (osmose) e alguns íons
Falta de Reabsorção de algumas substâncias Sem reabsorção com algumas substâncias indesejáveis Ex: Uréia, Creatinina, Ácido úrico, Fosfatos, Sulfatos e Nitratos Substâncias tóxicas não passam pelo tamanho dos poros
Secreção   Tubular Poucas substâncias são secretadas ativamente do sangue para o túbulo Mecanismos idênticos ao da reabsorção ativa (sentido inverso) Ex: íons potássio, hidrogênio, amônia, etc...,   medicamentos Importante na regulação das concentrações de íons nos líquidos corporais. Cerca de 1,5 litros  (urina)
Funcionamento anormal dos rins : Lesão renal diminui a capacidade de limpeza do sangue Normalmente causam excesso de produto final do metabolismo indesejado nos líquidos corpóreos
Bloqueio Renal Varias causas:  Envenenamento dos néfrons por metais pesados Entupimento dos túbulos renais  Destruição dos túbulos renais após choque circulatório Após bloqueio, concentrações de substâncias indesejáveis pode subir muito (dez ou mais vezes o valor normal) Líquidos podem ficar acidóticos (incapacidade de excreção de ácido) Desenvolver hipercaliemia (excesso de potássio nos líquidos corporais) Coma poucos dias, seguido de morte (8 a 14 dias) Tratamento com rim artificial
Concentração de  Na  elevada, provoca aumento de água no corpo por: secreção de hormônio antidiurético (ADH) – reter água estimulação da sede Grande quantidade de água = diluição do  Na - aumento sangue aumento pressão sanguínea excreção excesso de água com sais
Anormalidade Renais que produzem perda de néfrons Varias causas:  Infecção de rins (pielonefrite) Trauma  Anomalias congênitas do rim Venenos, doenças tóxicas ou bloqueio dos vasos  sanguíneos Perda de até 2/3 dos néfrons (sobrevivência) Adaptação do restante funcional dos néfrons Uremia (estado grave de intoxicação) Pode levar ao bloqueio renal Edema acentuado, acidose, coma e morte
Glomerulonefrite aguda e crônica ( inflamação nos glomérulos ) Doença inflamatória pela toxina de bactérias Normalmente ocorrem  +  2 semanas após infecção faringe grave Inflamação aguda, edemas e acúmulo de sangue Interrupção na filtração glomerular Aumento da pressão arterial Pode levar ao bloqueio renal Edema acentuado, acidose, coma e morte
Regulação dos rins na concentração dos constituintes do LEC : Mecanismos: Regulação na concentração de íons sódio Controle pela quantidade de água no corpo Cerca de 90% do LEC é formado de Sódio (+) a concentração de carga (+), controla os ânions (-) controlam a pressão osmótica dos líquidos
Regulação na concentração  de íons potássio - Concentração de  K  elevada, provoca feedback negativo: efeito direto do potássio em excesso sobre células renais provoca aumento de K nos capilares para os túbulos por  onde são eliminados  estímulo do córtex suprarenal a secreção de ALDOSTERONA estímulo do transporte de K para lúmen tubular
Regulação do equilíbrio ácido-básico   Regulação do hidrogênio: Concentração de  Hidrogênio  elevada (acidose) Concentração de  Hidrogênio  baixa (alcalose) - Controle por: tampões ácidos-básicos combinação com hidrogênio inativando-os ex: bicarbonato = ac. carbônico + íon bicarbonato estímulo da respiração eliminação de CO 2  do sangue aumento do hidrogênio na urina secreção pelos túbulos renais
Micção : Urina formada pelos néfrons é vazada na pelve renal para a bexiga pelos ureteres: Micção = esvaziamento da bexiga pela uretra Reflexo da micção
 
 
HORMÔNIO ANTIDIURÉTCO (ADH) - Túbulo distal e Túbulo coletor são pouco permeáveis á água Importância do ADH nestas regiões Secretado pela hipófise Controla a permeabilidade da água nos túbulos distal e coletor Muito hormônio = urina concentrada Pouco hormônio = urina diluída Importante regulador por Feedback dos íons sódio 
  HORMÔNIO ALDOSTERONA  Importante regulador por Feedback dos íons potássio Secretado pela supra renais Atua no túbulo distal e túbulo coletor (absorção de Na e eliminação de K) Aumento das enzimas de carreadores das células tubulares

Aula sistema renal

  • 1.
  • 2.
      Funções:Regulação da composição iônica do sangue Manutenção das osmolaridade do sangue Regulação do volume sanguínea Regulação da pressão arterial Regulação do pH do sangue Liberação de hormônios
  • 3.
    SISTEMA RENAL :    2 Rins    2 Ureteres   1 Bexiga urinária   1 Uretra
  • 4.
  • 5.
  • 6.
  • 7.
  • 8.
    Néfron    Unidade funcional Função de filtragem do sangue, retorno de substancias úteis para o sangue, mantêm a homeostasia de sangue.   Cerca de 2 milhões nos dois rins        
  • 9.
    Partes do NéfronCorpúsculo renal: onde o plasma é filtrado. Contem o Glomérulo e a cásula glomerular ( de Bowman) Tubulo renal: pelo qual passa o liquido filtrado.
  • 10.
    NEFRONS   Túbulos contorcido proximal Alça de Henle Túbulo contorcido distal Túbulo coletor
  • 11.
  • 12.
      Função: Limpezado plasma sanguíneo         2 mecanismos distintos: - filtração de grande quantidade de plasma (125ml/min.) através das memb. glomerulares - processo de secreção (remoção pelas paredes dos túbulos subst. do sangue para dentro dos túbulos)
  • 13.
  • 14.
    Filtração Glomerular MembranaGlomerular Capilares do glomérulo + suas membranas = Memb. Glomerular Prolongamentos digitiformes entre células deixando espaço para a passagem de líquido
  • 15.
  • 16.
    3 camadas: célulasendoteliais (próprio capilar) fenestras membrana basal (fibras colágenas) porosa células epiteliais (prolongamentos digitiformes)      Muito mais permeável a água e íons que a M.C. típica
  • 17.
    Dinâmica dos líquidosna Memb. Glomerular Pressão glomerular = 60mmHg Pressão colóide = 32 mmHg Pressão cápsula de Bowmann = 18mmHg Pressão colóide = 0 mmHg Pressão de entrada = 60 mmHg Pressão de Bloqueio = 32+ 18= 50 mmHg Pressão de filtração = 10 mmHg
  • 18.
    APARELHO EXCRETOR TÚBULOCONTORCIDO DISTAL TÚBULO CONTORCIDO PROXIMAL REABSORÇÃO DE ÁGUA CONCENTRAÇÃO DE URINA REABSORÇÃO E SECREÇÃO URINA DUCTO COLETOR ALÇA DE HENLE VEIA FILTRAÇÃO CAPILARES GOMÉRULO ARTERÍOLA EFERENTE ARTERÍOLA AFERENTE CÁPSULA DE BOWMAN
  • 19.
    Características do filtradoglomerular Ultrafiltrado do plasma = composição semelhante Grande porosidade membrana = passagem de todos os constituintes do plasma Dificuldade de passagem, logo composição de PTN
  • 20.
  • 21.
    Reabsorção Tubular Cada dia = 180 litros de filtrado Cerca de 1,5 litros (urina) Líquido reabsorvido espaço intersticiais capilares Transporte ativo ou passivo
  • 22.
    Transporte ativo Contraa diferença de concentração Ex: glicose, aminoácidos, proteínas, ác. úrico e maioria íons reabsorção potente, quase nada sai pela urina eliminação de íons (importante equilíbrio osmótico) Células gastam até 90% de energia no transporte  
  • 23.
    Transporte passivo (difusão)A favor da diferença de concentração epitélio tubular é muito poroso e permeável a pequenas moléculas Ex: Água (osmose) e alguns íons
  • 24.
    Falta de Reabsorçãode algumas substâncias Sem reabsorção com algumas substâncias indesejáveis Ex: Uréia, Creatinina, Ácido úrico, Fosfatos, Sulfatos e Nitratos Substâncias tóxicas não passam pelo tamanho dos poros
  • 25.
    Secreção Tubular Poucas substâncias são secretadas ativamente do sangue para o túbulo Mecanismos idênticos ao da reabsorção ativa (sentido inverso) Ex: íons potássio, hidrogênio, amônia, etc..., medicamentos Importante na regulação das concentrações de íons nos líquidos corporais. Cerca de 1,5 litros (urina)
  • 26.
    Funcionamento anormal dosrins : Lesão renal diminui a capacidade de limpeza do sangue Normalmente causam excesso de produto final do metabolismo indesejado nos líquidos corpóreos
  • 27.
    Bloqueio Renal Variascausas: Envenenamento dos néfrons por metais pesados Entupimento dos túbulos renais Destruição dos túbulos renais após choque circulatório Após bloqueio, concentrações de substâncias indesejáveis pode subir muito (dez ou mais vezes o valor normal) Líquidos podem ficar acidóticos (incapacidade de excreção de ácido) Desenvolver hipercaliemia (excesso de potássio nos líquidos corporais) Coma poucos dias, seguido de morte (8 a 14 dias) Tratamento com rim artificial
  • 28.
    Concentração de Na elevada, provoca aumento de água no corpo por: secreção de hormônio antidiurético (ADH) – reter água estimulação da sede Grande quantidade de água = diluição do Na - aumento sangue aumento pressão sanguínea excreção excesso de água com sais
  • 29.
    Anormalidade Renais queproduzem perda de néfrons Varias causas: Infecção de rins (pielonefrite) Trauma Anomalias congênitas do rim Venenos, doenças tóxicas ou bloqueio dos vasos sanguíneos Perda de até 2/3 dos néfrons (sobrevivência) Adaptação do restante funcional dos néfrons Uremia (estado grave de intoxicação) Pode levar ao bloqueio renal Edema acentuado, acidose, coma e morte
  • 30.
    Glomerulonefrite aguda ecrônica ( inflamação nos glomérulos ) Doença inflamatória pela toxina de bactérias Normalmente ocorrem + 2 semanas após infecção faringe grave Inflamação aguda, edemas e acúmulo de sangue Interrupção na filtração glomerular Aumento da pressão arterial Pode levar ao bloqueio renal Edema acentuado, acidose, coma e morte
  • 31.
    Regulação dos rinsna concentração dos constituintes do LEC : Mecanismos: Regulação na concentração de íons sódio Controle pela quantidade de água no corpo Cerca de 90% do LEC é formado de Sódio (+) a concentração de carga (+), controla os ânions (-) controlam a pressão osmótica dos líquidos
  • 32.
    Regulação na concentração de íons potássio - Concentração de K elevada, provoca feedback negativo: efeito direto do potássio em excesso sobre células renais provoca aumento de K nos capilares para os túbulos por onde são eliminados  estímulo do córtex suprarenal a secreção de ALDOSTERONA estímulo do transporte de K para lúmen tubular
  • 33.
    Regulação do equilíbrioácido-básico   Regulação do hidrogênio: Concentração de Hidrogênio elevada (acidose) Concentração de Hidrogênio baixa (alcalose) - Controle por: tampões ácidos-básicos combinação com hidrogênio inativando-os ex: bicarbonato = ac. carbônico + íon bicarbonato estímulo da respiração eliminação de CO 2 do sangue aumento do hidrogênio na urina secreção pelos túbulos renais
  • 34.
    Micção : Urinaformada pelos néfrons é vazada na pelve renal para a bexiga pelos ureteres: Micção = esvaziamento da bexiga pela uretra Reflexo da micção
  • 35.
  • 36.
  • 37.
    HORMÔNIO ANTIDIURÉTCO (ADH)- Túbulo distal e Túbulo coletor são pouco permeáveis á água Importância do ADH nestas regiões Secretado pela hipófise Controla a permeabilidade da água nos túbulos distal e coletor Muito hormônio = urina concentrada Pouco hormônio = urina diluída Importante regulador por Feedback dos íons sódio 
  • 38.
    HORMÔNIOALDOSTERONA Importante regulador por Feedback dos íons potássio Secretado pela supra renais Atua no túbulo distal e túbulo coletor (absorção de Na e eliminação de K) Aumento das enzimas de carreadores das células tubulares