PROGNÓSTICO E RISCO EM ODONTOLOGIAULBRA – Cachoeira do SulDisciplina de Clínica Integral IIIProfessores: João B. Zanirato; Fernando  B.Ramirez;  Juliano Cardoso; Luis Henrique  M. Pinto
INTRODUÇÃODiagnósticoPrognósticoRiscoGDC, 2008
DIAGNÓSTICOEstá baseado na anamnese, exame clínico e/ou exames complementares;Visa a identificação (classificação) da doença do paciente;Diagnóstico presuntivo e final.GDC, 2008
AnamneseMotivo da consultaHistórico de saúde – doenças e medicamentosHábitos alimentares – consumo de açúcarHábitos de higiene bucalExposição a fluoretos – água potável, dentifrício, bochechos, tabletes, aplicação profissional, Medicação.ProfissãoNível sócio-econômico-culturalTempo ocorrido desde a última visita a dentistaPreocupação do paciente em relação a sua saúde oral
Exames necessários para obtenção do diagnósticoEXAME CLÍNICO EXTRA-BUCAL:Observação do pacientePropedêutica facial (cadeias ganglionares)Propedêutica da articulação têmporo-mandibularEXAME CLÍNICO INTRA-BUCAL:Exame das mucosas e glândulas salivaresExame periodontalExame dentárioEXAMES COMPLEMENTARES:Exame radiográficoTeste de sensibilidade pulparMedição do fluxo salivarExames de saúde geral
EXAME CLÍNICO INTRA-BUCALEXAME DENTÁRIO – identificação das alteraçõesCODIFICAÇÃO DE ACORDO COM PRONTUÁRIO0.  Superfície hígidaLesão cariosa ativa, sem cavidadeLesão cariosa inativa, sem cavidadeLesão cariosa ativa, com cavidadeLesão cariosa inativa, com cavidadeSuperfície restaurada, sem alteraçõesSuperfície restaurada, com alterações
Dente/prótese adaptadaDente/prótese desadaptadaIndicação de exodontiaDente ausente por exodontia cárieDente ausente por exodontia outro motivoMicrodontiaMacrodontia por fusãoMacrodontia por geminaçãoAbrasão Atrição Erosão
Exame Clínico Intra-oralMucosa oralPresença de placa e gengiviteExperiência anterior de cárieFluxo salivarExame das lesões de cárieTipo de lesão (ativa/inativa)Localização da lesãosuperfície lisa livresuperfície proximal Superfície oclusalSondagem?Radiografias interproximais e periapicais
BASES PARA O CORRETO DIAGNÓSTICOColeta de dados (anamnese + exame clínico + exames complementares) hoje em dia os médicos se baseiam muito nos exames complementaresConhecimento da etiopatogenia das doenças bucais se eu conhecer o processo da doença vou pedir ou não exame complementar e evitar custos desnecessários ao pacienteObservação sistemática dos sinais e sintomas das doenças com a experiência podemos reduzir nossa coleta de dados, mas cuidar para não tornar-nos negligentes. Nem sempre você verá tudo.GDC, 2008
PROGNÓSTICOÉ prever o curso provável e o resultado final da doença.É a base do clínico para explicar os riscos e benefícios ao paciente, para que este escolha um tipo de tratamento.As explicações devem estar baseadas no modelo atual de evidências científicas.GDC, 2008
RISCOFator de risco: “aspecto do comportamento pessoal ou do estilo de vida, uma característica adquirida ou congênita, que, com base na evidência epidemiológica, sabe-se estar associada às condições relacionadas a saúde”.Fator que aumenta a probabilidade da doença ocorrer e pode representar um alvo das intervenções terapêuticas (Thomaz e Mealey, 2005).GDC, 2008
SE TODAS DOENÇAS TIVESSEM O MESMO PROGNÓSTICO E NECESSITASSEM O MESMO TRATAMENTO, NÃO SERIA NECESSÁRIO O DIAGNÓSTICO e RISCO. Apenas presença ou ausência seria suficiente.GDC, 2008
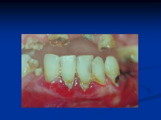
Cárie“A doença cárie é, provavelmente, a mais prevalente de todas as doenças bacterianas infecciosas que acometem o homem”Centro de Controle de Doenças (CDC) – Atlanta - USA
Retirado de: Newmann, Takei e Carranza, 2004
CÁRIEFATORETIOLÓGICOHOSPEDEIROMEIOLESÃO CARIOSATEMPOMALTZ E CARVALHO, 1997
PERIODONTITESFatores Ambientais e ComportamentaisPGE  e MMPAnticorpoDESAFIO  MICROBIANORESPOSTA DO HOSPEDEIROMETABOLISMO DO TEC. CONJ.CitocinasAntígenoFatores GenéticosPERDA DE INSERÇÃO CLÍNICAPage; Korman, 1997
EXAME CLÍNICO INTRA-BUCALLesão inicial de cárie (sem cavitação)
COROA: lesão branca com superfície opaca, rugosa
RAIZ: área de coloração amarelada e levemente amolecidaMÉTODOS DE DIAGNÓSTICOCÁRIEClínicoRadiográfico Teste salivar (fluxo, capacidade tampão)Microbiológico Dieta DOENÇA PERIODONTALSondagemRadiográficoMicrobiológico Análise do fluido gengivalTeste genéticoGDC, 2008
BASES BIOLÓGICAS DO DIAGNÓSTICOCÁRIEDOENÇA PERIODONTAL  Com o passar do tempo observou-se que cada caso é único e depende da variabilidade do hospedeiro e da virulência da microbiota.
 O que influi nas condições que podem aumentar ou diminuir sua expressão?Idade, raça, gênero, fatores sócio-econômicos, conhecimento, estresse, saliva, dieta, tipo debactérias, última visita ao dentista, fatores emocionais, fumo, doenças sistêmicas, higiene bucal, quantidade de doença prévia… GDC, 2008
BASES BIOLÓGICAS DO DIAGNÓSTICOCÁRIEEstudo de Vipeholm (1956)DOENÇA PERIODONTAL Estudo de gengivite experimental em humanos (Loe et al., 1965).Estudo de periodontite induzida em cães (Lindhe et al., 1975).Estudo dos plantadores de chá do Sri Lanka (Loe et al., 1986).
A META DO DIAGNÓSTICO É CLASSIFICAR DE MANEIRA BIOLÓGICA A DOENÇA, PARA ESTABELECER UM PLANO DE TRATAMENTO ADEQUADO E PLANEJAR UM PROGNÓSTICO REAL. QUAL A UTILIDADE DO DIAGNÓSTICO?Planos de saúde, convênios, laudos e comunicação entre colegasGDC, 2008
A resposta ao tratamento será adequada caso o diagnóstico tenha sido correto. O tratamento visa eliminar ou reduzir o agente etiológicoCaso não responda ao tratamento devo questionar o diagnóstico inicialO problema está quando o prognóstico da enfermidade é grave para a saúde do paciente!!!!!CONSIDERAÇÕESGDC, 2008
 EXEMPLOS
Retirado de: Newmann, Takei e Carranza, 2004
PROGNÓSTICOPrever o curso provável e os resultados de uma doença/tratamento.Auxilia o paciente escolher o tratamentoBasear a tomada de decisões em evidências científicas para o estabelecimento do prognóstico (conhecer a causa e o risco da doença)GDC, 2008
PROGNÓSTICOSe o tratamento for efetivo o prognóstico é bom!Se o agente causal não puder ser identificado, reduzido ou eliminado, resultados subotimizados serão alcançados e, nesse caso o prognóstico será menos favorável.GDC, 2008
APLICAÇÕES CLÍNICAS DO PROGNÓSTICONíveis de prognóstico: Dente, arcada ou toda dentiçãoIndivíduo, comunidade ou populaçãoA curto ou longo prazo:Imediato (período de até 5 anos)Mediato (mais de 5 anos) (Thomas e Mealey, 2005)Exemplo: SS não é um bom indicador de risco para PI ao nível do sítio (28%), entretanto o escore médio de SS, pós tratamento, pode ser indicativo de que o indivíduo venha a perder inserção em algum lugar da dentição (Lang et al., 1990).Observação semelhante se encontra com a Profundidade de Sondagem.GDC, 2008
RISCOTodas as pessoas são igualmente suscetíveis às doenças cárie e periodontal?A resposta ao tratamento é semelhante em todos os indivíduos?Qual a melhor maneira de avaliar a resposta ao tratamento? GDC, 2008
RISCO EM PERIODONTIAEstudo da história natural da doença periodontal:OBJETIVO: descrever a incidência e progressão da doença periodontal, em uma população nunca exposta a programas de prevenção e tratamento da doença.METODOLOGIA: 480 homens foram examinados em 1970 (14-30 anos)	Reexames em 1971, 73, 77, 82 e 85.	Índices avaliados: IG, PI, IPl e IC em 2 faces por dente.	2 examinadores treinados realizaram todos os exames.Loe et al., 1986
Estudo da história natural da doença periodontal:RESULTADOS: 	baseado na PI proximal e na perda dental foram identificados 3 grupos:     			- rápida progressão (menos de 21 anos c/ 4mm de PI em dois molares ou incisivos, menos de 30 anos c/ 8 dentes perdidos) RP (8%)			- progressão moderada (indivíduos em nenhuma das outras condições) PM (81%)			- sem progressão (PI não maior que 2mm nas faces mesiais) SP (11%)Loe et al., 1986
Estudo da história natural da doença periodontal:Loe et al., 1986
RESPOSTA À TERAPIA PERIODONTALLONGITUDINAL PERIODONTAL TISSUE ALTERATIONS DURING SUPPORTIVE THERAPY  (ROSLING et al., 2001) DOIS GRUPOS:1- suscetibilidade normal (n=225)2- alta suscetibilidade (n=109) Suscetibilidade como estabelecer??? Avaliação após 12 anos
NG 78%HSG 20%HSG 80%PERDA DENTÁRIAPercentual de pacientes com suscetibilidade normal (NG) e alta suscetibilidade (HSG) que perderam dentes durante os 12 anos de manutenção.                                                     % pacientesNúmero de dentes
PERDA DE INSERÇÃOMédias (DP) do aumento na perda de inserção ocorrida após 12 anos, em diferentes sítios, nos grupos de suscetibilidade normal (NG) e alta (HSG).
EFETIVIDADE DA TERAPIA PERIODONTALLONGITUDINAL PERIODONTAL TISSUE ALTERATIONS DURING SUPPORTIVE THERAPY  (ROSLING et al., 2001) CONCLUSÕES:pacientes com alta suscetibilidade a doença periodontal podem manter os níveis de inserção e altura óssea estáveis, desde que participem de um programa de manutenção; pacientes com suscetibilidade normal a DP previnem quase inteiramente a perda de inserção ao longo da manutenção;Pacientes com diferentes suscetibilidades à DP apresentam diferentes condições periodontais durante a manutenção.
EFETIVIDADE DO TRATAMENTO DA DOENÇA CÁRIEOn the prevention of caries and periodontal disease: results of 15-years in adults (Axelsson et al., 1991)Grupo 1 – 20 a 35 anosGrupo 2 – 36 a 50 anosGrupo 3 – 51 a 70 anos   ANO 1972                           1987375                            317Medidas preventivas:Nos dois primeiros anos fizeram reconsultas a cada 2 meses, depois passou para 3 meses  por mais quatro anos e nos outros nove anos variou entre 1 (65%) ,2 (30%), 3 a 6 (5%) vezes ao ano.
EFETIVIDADE DO TRATAMENTO DA DOENÇA CÁRIEOn the prevention of caries and periodontal disease: results of 15-years in adults (Axelsson et al., 1991)RESULTADOSDos 317 que retornaram para reavaliação, 165 (>50%) não desenvolveu nenhuma cárie; 88 tiveram uma cárie ao longo do tempo, 64 tiveram duas ou mais novas cáries e 2 indivíduos tiveram mais de 10 cáries.As cáries recorrentes foram muito mais prevalentes do que as novas lesões, nos três grupos.
EFETIVIDADE DO TRATAMENTO DA DOENÇA CÁRIEOnthepreventionof caries andperiodontaldisease: resultsof 15-years in adults(Axelssonet al., 1991)RESULTADOSDos 317 sujeitos que retornaram, 258 não perderam nenhum dente, enquanto 51 perderam de 1 a 4 dentes.Perdeu-se mais molares de que outros dentes.As causas das perdas foram: fratura radicular (64%), reabsorção radicular, cárie, traumatismo, abscesso periodontal e lesão endodôntica.
EFETIVIDADE DO TRATAMENTO DA DOENÇA CÁRIEOn the prevention of caries and periodontal disease: results of 15-years in adults (Axelsson et al., 1991)CONCLUSÕESA prevenção na recorrência das doenças cárie e periodontal dependem: da melhoria dos métodos de higiene bucal, do uso regular de dentifrícios fluoretados e das visitas repetidas ao consultório para efetiva limpeza dentária.
COMO AVALIAR A RESPOSTA AO TRATAMENTO?
RISCO A CÁRIEQuando se deve realizar a avaliação do risco de cárie?Como selecionar indivíduos de risco?Quais fatores devem ser considerados na estimativa de risco a cárie?Reduzir o risco de recidiva da doença, antes de iniciar o trabalho protético.GDC, 2008
RISCO A CÁRIEQuando se deve realizar a avaliação do risco de cárie?SEMPREGDC, 2008
RISCO A CÁRIEQuando se deve realizar a avaliação do risco de cárie?Como selecionar indivíduos de risco? SEMPREAqueles que apresentam atividade de cárie ou tiveram lesões no último anoGDC, 2008
RISCO A CÁRIEQuais fatores devem ser considerados na estimativa de risco? Quantidade de placa
 Tipo de bactéria
 Dieta
 Secreção salivar e capacidade tampão
 Fluoretos
Fatores socioeconômicos
Fatores de saúde geralGDC, 2008
RISCO A CÁRIEA avaliação do risco deve ser feita e discutida com o professor e depois com o paciente para que este entenda os fatores envolvidos na etiologia da doença cárie.GDC, 2008
RISCO EM PERIODONTIAQuais os fatores que podem estar associados à resposta geral dos pacientes ao tratamento periodontal?Como identificar pacientes ou sítios que irão apresentar progressão da perda de inserção?GDC, 2008
FATORES ASSOCIADOS A RESPOSTA GERAL DOS PACIENTES
FUMOMais de 200 trabalhos foram publicados nos últimos 4 anos sobre esse tópico.A resposta inflamatória gengival é suprimida em fumantes, aprox. 50%.Estudos de caso-controle demonstram que fumantes tem maior risco de ter periodontite    (2 a 9x mais). Tratamento periodontal apresenta menos sucesso nos fumantes.GDC, 2008
DIABETESEstá associado com maior prevalência e severidade de gengivite.Estudos epidemiológicos mostraram maior extensão e severidade da periodontite.Diabéticos não-controlados apresentam 2 a 4x mais risco de ter periodontite.GDC, 2008
HIVPesquisas epidemiológicas tem demonstrado maior perda óssea e de inserção em pacientes infectados pelo HIV.O efeito do HIV no prognóstico da periodontite crônica continua sem solução.Como o HIV afeta o prognóstico periodontal a longo prazo???GDC, 2008
OSTEOPOROSEExiste uma associação entre a osteoporose e a periodontite.Ronderos et al. (2000) observaram relação entre altos níveis de cálculo dental e baixa densidade mineral óssea com a DP. Maior PI e recessão do que mulheres com mesmo cálculo e densidade óssea normal.Pacientes com diagnóstico de osteoporose podem ter maior risco a perda de implantes osteointegrados.GDC, 2008
FATORES GENÉTICOS E FAMILIARESAgregação familiar da periodontite tende a ocorrer tanto na forma crônica quanto na agressiva (papel do comportamento e do meio ambiente!!!!)117 pares de gêmeos foram avaliados clinicamente (64 mono e 53 dizigóticos) e estimou-se que 50% da PC tem relação com a hereditariedade.GDC, 2008
FATORES GENÉTICOS E FAMILIARESÉ possível que paciente com forte histórico familiar de periodontite sejam mais suscetíveis a periodontite recorrente ou refratária.Estudos atuais de polimorfismo genético, buscam identificar um gene responsável pela progressão da Periodontite (IL-1; IL-6; FNT...)GDC, 2008
FATORES PSÍQUICOSOs fatores psicológicos podem estar associados com a periodontite pela alteração dos hábitos de higiene ou por modificações imunológicas.Castro et al. (2006) avaliaram 165 pacientes com e sem periodontite e não encontraram associação com estresse, ansiedade e depressão.A capacidade de enfrentamento pode ser mais importante que o estresse em si.GDC, 2008
COLABORAÇÃOA causa mais importante no sucesso da terapia periodontal é a qualidade da higiene, motivação e manutenção periódica dos pacientes.O IPV isoladamente é um pobre indicador da progressão da PI.Pacientes em manutenção perdem menos dentes e menos PI do que pacientes sem manutenção.GDC, 2008
COLABORAÇÃODentes com prognóstico questionável podem ser mantidos a longo prazo, quando houver manutenção adequada.Melhores preditores da atividade de doença são: SS, PS residual e perda de inserção inicial. GDC, 2008
ENVELHECIMENTOA PI e PO são mais prevalentes em pacientes mais velhos.Será que a idade é um fator de risco a periodontite??? Diferenças na cicatrização, em pacientes mais velhos, se devem ao envelhecimento ou a condições concomitantes (diabetes, medicamentos, doenças vasculares…).GDC, 2008

Prognóstico e risco em odontologia 2011

  • 1.
    PROGNÓSTICO E RISCOEM ODONTOLOGIAULBRA – Cachoeira do SulDisciplina de Clínica Integral IIIProfessores: João B. Zanirato; Fernando B.Ramirez; Juliano Cardoso; Luis Henrique M. Pinto
  • 2.
  • 3.
    DIAGNÓSTICOEstá baseado naanamnese, exame clínico e/ou exames complementares;Visa a identificação (classificação) da doença do paciente;Diagnóstico presuntivo e final.GDC, 2008
  • 4.
    AnamneseMotivo da consultaHistóricode saúde – doenças e medicamentosHábitos alimentares – consumo de açúcarHábitos de higiene bucalExposição a fluoretos – água potável, dentifrício, bochechos, tabletes, aplicação profissional, Medicação.ProfissãoNível sócio-econômico-culturalTempo ocorrido desde a última visita a dentistaPreocupação do paciente em relação a sua saúde oral
  • 5.
    Exames necessários paraobtenção do diagnósticoEXAME CLÍNICO EXTRA-BUCAL:Observação do pacientePropedêutica facial (cadeias ganglionares)Propedêutica da articulação têmporo-mandibularEXAME CLÍNICO INTRA-BUCAL:Exame das mucosas e glândulas salivaresExame periodontalExame dentárioEXAMES COMPLEMENTARES:Exame radiográficoTeste de sensibilidade pulparMedição do fluxo salivarExames de saúde geral
  • 6.
    EXAME CLÍNICO INTRA-BUCALEXAMEDENTÁRIO – identificação das alteraçõesCODIFICAÇÃO DE ACORDO COM PRONTUÁRIO0. Superfície hígidaLesão cariosa ativa, sem cavidadeLesão cariosa inativa, sem cavidadeLesão cariosa ativa, com cavidadeLesão cariosa inativa, com cavidadeSuperfície restaurada, sem alteraçõesSuperfície restaurada, com alterações
  • 7.
    Dente/prótese adaptadaDente/prótese desadaptadaIndicaçãode exodontiaDente ausente por exodontia cárieDente ausente por exodontia outro motivoMicrodontiaMacrodontia por fusãoMacrodontia por geminaçãoAbrasão Atrição Erosão
  • 8.
    Exame Clínico Intra-oralMucosaoralPresença de placa e gengiviteExperiência anterior de cárieFluxo salivarExame das lesões de cárieTipo de lesão (ativa/inativa)Localização da lesãosuperfície lisa livresuperfície proximal Superfície oclusalSondagem?Radiografias interproximais e periapicais
  • 9.
    BASES PARA OCORRETO DIAGNÓSTICOColeta de dados (anamnese + exame clínico + exames complementares) hoje em dia os médicos se baseiam muito nos exames complementaresConhecimento da etiopatogenia das doenças bucais se eu conhecer o processo da doença vou pedir ou não exame complementar e evitar custos desnecessários ao pacienteObservação sistemática dos sinais e sintomas das doenças com a experiência podemos reduzir nossa coleta de dados, mas cuidar para não tornar-nos negligentes. Nem sempre você verá tudo.GDC, 2008
  • 10.
    PROGNÓSTICOÉ prever ocurso provável e o resultado final da doença.É a base do clínico para explicar os riscos e benefícios ao paciente, para que este escolha um tipo de tratamento.As explicações devem estar baseadas no modelo atual de evidências científicas.GDC, 2008
  • 11.
    RISCOFator de risco:“aspecto do comportamento pessoal ou do estilo de vida, uma característica adquirida ou congênita, que, com base na evidência epidemiológica, sabe-se estar associada às condições relacionadas a saúde”.Fator que aumenta a probabilidade da doença ocorrer e pode representar um alvo das intervenções terapêuticas (Thomaz e Mealey, 2005).GDC, 2008
  • 12.
    SE TODAS DOENÇASTIVESSEM O MESMO PROGNÓSTICO E NECESSITASSEM O MESMO TRATAMENTO, NÃO SERIA NECESSÁRIO O DIAGNÓSTICO e RISCO. Apenas presença ou ausência seria suficiente.GDC, 2008
  • 13.
    Cárie“A doença cárieé, provavelmente, a mais prevalente de todas as doenças bacterianas infecciosas que acometem o homem”Centro de Controle de Doenças (CDC) – Atlanta - USA
  • 14.
    Retirado de: Newmann,Takei e Carranza, 2004
  • 16.
  • 17.
    PERIODONTITESFatores Ambientais eComportamentaisPGE e MMPAnticorpoDESAFIO MICROBIANORESPOSTA DO HOSPEDEIROMETABOLISMO DO TEC. CONJ.CitocinasAntígenoFatores GenéticosPERDA DE INSERÇÃO CLÍNICAPage; Korman, 1997
  • 18.
    EXAME CLÍNICO INTRA-BUCALLesãoinicial de cárie (sem cavitação)
  • 19.
    COROA: lesão brancacom superfície opaca, rugosa
  • 20.
    RAIZ: área decoloração amarelada e levemente amolecidaMÉTODOS DE DIAGNÓSTICOCÁRIEClínicoRadiográfico Teste salivar (fluxo, capacidade tampão)Microbiológico Dieta DOENÇA PERIODONTALSondagemRadiográficoMicrobiológico Análise do fluido gengivalTeste genéticoGDC, 2008
  • 22.
    BASES BIOLÓGICAS DODIAGNÓSTICOCÁRIEDOENÇA PERIODONTAL Com o passar do tempo observou-se que cada caso é único e depende da variabilidade do hospedeiro e da virulência da microbiota.
  • 23.
    O queinflui nas condições que podem aumentar ou diminuir sua expressão?Idade, raça, gênero, fatores sócio-econômicos, conhecimento, estresse, saliva, dieta, tipo debactérias, última visita ao dentista, fatores emocionais, fumo, doenças sistêmicas, higiene bucal, quantidade de doença prévia… GDC, 2008
  • 24.
    BASES BIOLÓGICAS DODIAGNÓSTICOCÁRIEEstudo de Vipeholm (1956)DOENÇA PERIODONTAL Estudo de gengivite experimental em humanos (Loe et al., 1965).Estudo de periodontite induzida em cães (Lindhe et al., 1975).Estudo dos plantadores de chá do Sri Lanka (Loe et al., 1986).
  • 27.
    A META DODIAGNÓSTICO É CLASSIFICAR DE MANEIRA BIOLÓGICA A DOENÇA, PARA ESTABELECER UM PLANO DE TRATAMENTO ADEQUADO E PLANEJAR UM PROGNÓSTICO REAL. QUAL A UTILIDADE DO DIAGNÓSTICO?Planos de saúde, convênios, laudos e comunicação entre colegasGDC, 2008
  • 28.
    A resposta aotratamento será adequada caso o diagnóstico tenha sido correto. O tratamento visa eliminar ou reduzir o agente etiológicoCaso não responda ao tratamento devo questionar o diagnóstico inicialO problema está quando o prognóstico da enfermidade é grave para a saúde do paciente!!!!!CONSIDERAÇÕESGDC, 2008
  • 29.
  • 30.
    Retirado de: Newmann,Takei e Carranza, 2004
  • 32.
    PROGNÓSTICOPrever o cursoprovável e os resultados de uma doença/tratamento.Auxilia o paciente escolher o tratamentoBasear a tomada de decisões em evidências científicas para o estabelecimento do prognóstico (conhecer a causa e o risco da doença)GDC, 2008
  • 33.
    PROGNÓSTICOSe o tratamentofor efetivo o prognóstico é bom!Se o agente causal não puder ser identificado, reduzido ou eliminado, resultados subotimizados serão alcançados e, nesse caso o prognóstico será menos favorável.GDC, 2008
  • 34.
    APLICAÇÕES CLÍNICAS DOPROGNÓSTICONíveis de prognóstico: Dente, arcada ou toda dentiçãoIndivíduo, comunidade ou populaçãoA curto ou longo prazo:Imediato (período de até 5 anos)Mediato (mais de 5 anos) (Thomas e Mealey, 2005)Exemplo: SS não é um bom indicador de risco para PI ao nível do sítio (28%), entretanto o escore médio de SS, pós tratamento, pode ser indicativo de que o indivíduo venha a perder inserção em algum lugar da dentição (Lang et al., 1990).Observação semelhante se encontra com a Profundidade de Sondagem.GDC, 2008
  • 35.
    RISCOTodas as pessoassão igualmente suscetíveis às doenças cárie e periodontal?A resposta ao tratamento é semelhante em todos os indivíduos?Qual a melhor maneira de avaliar a resposta ao tratamento? GDC, 2008
  • 36.
    RISCO EM PERIODONTIAEstudoda história natural da doença periodontal:OBJETIVO: descrever a incidência e progressão da doença periodontal, em uma população nunca exposta a programas de prevenção e tratamento da doença.METODOLOGIA: 480 homens foram examinados em 1970 (14-30 anos) Reexames em 1971, 73, 77, 82 e 85. Índices avaliados: IG, PI, IPl e IC em 2 faces por dente. 2 examinadores treinados realizaram todos os exames.Loe et al., 1986
  • 37.
    Estudo da histórianatural da doença periodontal:RESULTADOS: baseado na PI proximal e na perda dental foram identificados 3 grupos: - rápida progressão (menos de 21 anos c/ 4mm de PI em dois molares ou incisivos, menos de 30 anos c/ 8 dentes perdidos) RP (8%) - progressão moderada (indivíduos em nenhuma das outras condições) PM (81%) - sem progressão (PI não maior que 2mm nas faces mesiais) SP (11%)Loe et al., 1986
  • 38.
    Estudo da histórianatural da doença periodontal:Loe et al., 1986
  • 39.
    RESPOSTA À TERAPIAPERIODONTALLONGITUDINAL PERIODONTAL TISSUE ALTERATIONS DURING SUPPORTIVE THERAPY (ROSLING et al., 2001) DOIS GRUPOS:1- suscetibilidade normal (n=225)2- alta suscetibilidade (n=109) Suscetibilidade como estabelecer??? Avaliação após 12 anos
  • 40.
    NG 78%HSG 20%HSG80%PERDA DENTÁRIAPercentual de pacientes com suscetibilidade normal (NG) e alta suscetibilidade (HSG) que perderam dentes durante os 12 anos de manutenção. % pacientesNúmero de dentes
  • 41.
    PERDA DE INSERÇÃOMédias(DP) do aumento na perda de inserção ocorrida após 12 anos, em diferentes sítios, nos grupos de suscetibilidade normal (NG) e alta (HSG).
  • 42.
    EFETIVIDADE DA TERAPIAPERIODONTALLONGITUDINAL PERIODONTAL TISSUE ALTERATIONS DURING SUPPORTIVE THERAPY (ROSLING et al., 2001) CONCLUSÕES:pacientes com alta suscetibilidade a doença periodontal podem manter os níveis de inserção e altura óssea estáveis, desde que participem de um programa de manutenção; pacientes com suscetibilidade normal a DP previnem quase inteiramente a perda de inserção ao longo da manutenção;Pacientes com diferentes suscetibilidades à DP apresentam diferentes condições periodontais durante a manutenção.
  • 43.
    EFETIVIDADE DO TRATAMENTODA DOENÇA CÁRIEOn the prevention of caries and periodontal disease: results of 15-years in adults (Axelsson et al., 1991)Grupo 1 – 20 a 35 anosGrupo 2 – 36 a 50 anosGrupo 3 – 51 a 70 anos ANO 1972 1987375 317Medidas preventivas:Nos dois primeiros anos fizeram reconsultas a cada 2 meses, depois passou para 3 meses por mais quatro anos e nos outros nove anos variou entre 1 (65%) ,2 (30%), 3 a 6 (5%) vezes ao ano.
  • 44.
    EFETIVIDADE DO TRATAMENTODA DOENÇA CÁRIEOn the prevention of caries and periodontal disease: results of 15-years in adults (Axelsson et al., 1991)RESULTADOSDos 317 que retornaram para reavaliação, 165 (>50%) não desenvolveu nenhuma cárie; 88 tiveram uma cárie ao longo do tempo, 64 tiveram duas ou mais novas cáries e 2 indivíduos tiveram mais de 10 cáries.As cáries recorrentes foram muito mais prevalentes do que as novas lesões, nos três grupos.
  • 45.
    EFETIVIDADE DO TRATAMENTODA DOENÇA CÁRIEOnthepreventionof caries andperiodontaldisease: resultsof 15-years in adults(Axelssonet al., 1991)RESULTADOSDos 317 sujeitos que retornaram, 258 não perderam nenhum dente, enquanto 51 perderam de 1 a 4 dentes.Perdeu-se mais molares de que outros dentes.As causas das perdas foram: fratura radicular (64%), reabsorção radicular, cárie, traumatismo, abscesso periodontal e lesão endodôntica.
  • 46.
    EFETIVIDADE DO TRATAMENTODA DOENÇA CÁRIEOn the prevention of caries and periodontal disease: results of 15-years in adults (Axelsson et al., 1991)CONCLUSÕESA prevenção na recorrência das doenças cárie e periodontal dependem: da melhoria dos métodos de higiene bucal, do uso regular de dentifrícios fluoretados e das visitas repetidas ao consultório para efetiva limpeza dentária.
  • 47.
    COMO AVALIAR ARESPOSTA AO TRATAMENTO?
  • 48.
    RISCO A CÁRIEQuandose deve realizar a avaliação do risco de cárie?Como selecionar indivíduos de risco?Quais fatores devem ser considerados na estimativa de risco a cárie?Reduzir o risco de recidiva da doença, antes de iniciar o trabalho protético.GDC, 2008
  • 49.
    RISCO A CÁRIEQuandose deve realizar a avaliação do risco de cárie?SEMPREGDC, 2008
  • 50.
    RISCO A CÁRIEQuandose deve realizar a avaliação do risco de cárie?Como selecionar indivíduos de risco? SEMPREAqueles que apresentam atividade de cárie ou tiveram lesões no último anoGDC, 2008
  • 51.
    RISCO A CÁRIEQuaisfatores devem ser considerados na estimativa de risco? Quantidade de placa
  • 52.
    Tipo debactéria
  • 53.
  • 54.
    Secreção salivare capacidade tampão
  • 55.
  • 56.
  • 57.
    Fatores de saúdegeralGDC, 2008
  • 58.
    RISCO A CÁRIEAavaliação do risco deve ser feita e discutida com o professor e depois com o paciente para que este entenda os fatores envolvidos na etiologia da doença cárie.GDC, 2008
  • 59.
    RISCO EM PERIODONTIAQuaisos fatores que podem estar associados à resposta geral dos pacientes ao tratamento periodontal?Como identificar pacientes ou sítios que irão apresentar progressão da perda de inserção?GDC, 2008
  • 60.
    FATORES ASSOCIADOS ARESPOSTA GERAL DOS PACIENTES
  • 61.
    FUMOMais de 200trabalhos foram publicados nos últimos 4 anos sobre esse tópico.A resposta inflamatória gengival é suprimida em fumantes, aprox. 50%.Estudos de caso-controle demonstram que fumantes tem maior risco de ter periodontite (2 a 9x mais). Tratamento periodontal apresenta menos sucesso nos fumantes.GDC, 2008
  • 62.
    DIABETESEstá associado commaior prevalência e severidade de gengivite.Estudos epidemiológicos mostraram maior extensão e severidade da periodontite.Diabéticos não-controlados apresentam 2 a 4x mais risco de ter periodontite.GDC, 2008
  • 63.
    HIVPesquisas epidemiológicas temdemonstrado maior perda óssea e de inserção em pacientes infectados pelo HIV.O efeito do HIV no prognóstico da periodontite crônica continua sem solução.Como o HIV afeta o prognóstico periodontal a longo prazo???GDC, 2008
  • 64.
    OSTEOPOROSEExiste uma associaçãoentre a osteoporose e a periodontite.Ronderos et al. (2000) observaram relação entre altos níveis de cálculo dental e baixa densidade mineral óssea com a DP. Maior PI e recessão do que mulheres com mesmo cálculo e densidade óssea normal.Pacientes com diagnóstico de osteoporose podem ter maior risco a perda de implantes osteointegrados.GDC, 2008
  • 65.
    FATORES GENÉTICOS EFAMILIARESAgregação familiar da periodontite tende a ocorrer tanto na forma crônica quanto na agressiva (papel do comportamento e do meio ambiente!!!!)117 pares de gêmeos foram avaliados clinicamente (64 mono e 53 dizigóticos) e estimou-se que 50% da PC tem relação com a hereditariedade.GDC, 2008
  • 66.
    FATORES GENÉTICOS EFAMILIARESÉ possível que paciente com forte histórico familiar de periodontite sejam mais suscetíveis a periodontite recorrente ou refratária.Estudos atuais de polimorfismo genético, buscam identificar um gene responsável pela progressão da Periodontite (IL-1; IL-6; FNT...)GDC, 2008
  • 67.
    FATORES PSÍQUICOSOs fatorespsicológicos podem estar associados com a periodontite pela alteração dos hábitos de higiene ou por modificações imunológicas.Castro et al. (2006) avaliaram 165 pacientes com e sem periodontite e não encontraram associação com estresse, ansiedade e depressão.A capacidade de enfrentamento pode ser mais importante que o estresse em si.GDC, 2008
  • 68.
    COLABORAÇÃOA causa maisimportante no sucesso da terapia periodontal é a qualidade da higiene, motivação e manutenção periódica dos pacientes.O IPV isoladamente é um pobre indicador da progressão da PI.Pacientes em manutenção perdem menos dentes e menos PI do que pacientes sem manutenção.GDC, 2008
  • 69.
    COLABORAÇÃODentes com prognósticoquestionável podem ser mantidos a longo prazo, quando houver manutenção adequada.Melhores preditores da atividade de doença são: SS, PS residual e perda de inserção inicial. GDC, 2008
  • 70.
    ENVELHECIMENTOA PI ePO são mais prevalentes em pacientes mais velhos.Será que a idade é um fator de risco a periodontite??? Diferenças na cicatrização, em pacientes mais velhos, se devem ao envelhecimento ou a condições concomitantes (diabetes, medicamentos, doenças vasculares…).GDC, 2008