FÍGADO
• FUNÇÕES:
• SÍNTESE PROTEICA – ex: albumina, fibrinogênio, lipoproteínas
• SECREÇÃO DE BILE –
• ACÚMULO DE METABÓLITOS – gorduras e glicogênio
• FUNÇÃO METABÓLICA –
• DESTOXIFICAÇÃO E NEUTRALIZAÇÃO
Circulação Porta-Hepática
LÓBULO HEPÁTICO
1
1 VCL – Veia centro lobular
1
VCL
DB
AHVH
Cápsula Tec. Conj.
VCL
Pâncreas
FUNÇÕES:
PÂNCREAS ENDÓCRINO – ILHOTAS DE LANGERHANS
Células Alfa – Produção de GLUCAGON
Células Beta – Produção de INSULINA
PÂNCREAS EXÓCRINO – Ácinos Serosos
Produção de Enzimas e Proenzimas digestivas (ex:
tripsinogênio, lipase, amilase)
PÂNCREAS
PÂNCREAS
Lóbulo pancreático
2
Ilhota pancreática Ácinos serosos
12
1. Ácinos pancreáticos – pâncreas exócrino
2. Ilhotas de Langerhans - pâncreas endócrino
Epitélio Glandular
Conceito: Glândulas
Classificação: Unicelular ou Pluricelular (Multicelular)
Origem: epitélio de revestimento
Epitélio Glandular
Epitélio Glandular
• Classificação das Glândulas Multicelulares
(quanto a forma de secreção):
- Exócrinas
- Endócrinas – Cordonais
- Vesiculares
Epitélio Glandular
- Endócrinas
Vesicular Cordonal
• Glândula endócrina vesicular
Epitélio Glandular
Classificação das Glândulas Exócrinas:
1. Quanto ao número de ductos: simples e composta
2. Quanto ao formato do adenômero: tubular e acinar
3. Quanto ao número de adenômeros: ramificada e não-
ramificada
4. Quanto a forma de secreção: merócrina, apócrina e holócrina
5. Tipo de secreção: Serosa, mucosa ou seromucosa (mista)
• Glândulas Simples
• Tubular Reta – ex. glândulas intestinais
• Tubular Enovelada – ex. gl. sudorípara
• Tubular Ramificada – ex. gl. Mucosa do intestino
• Alveolar Ramificada – ex. gl sebácea
• Glândulas Compostas
• Tubular Composta – ex. gl. Salivar
• Alveolar Composta – ex. Pâncreas
• Tubuloalveolar Composta – ex. gl. Salivar, mamária
1. Ácino seroso
2. Ducto da glândula
3. Tecido conjuntivo – septo conjuntivo
1
2
3
Lâm. DMS140 – Material Parótida - Fígado / Pâncreas e Gl. Salivar
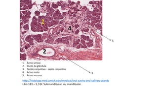
1. Ácino seroso
2. Ducto da glândula
3. Tecido conjuntivo – septo conjuntivo
4. Ácino misto
5. Ácino mucoso
1
3
2
4
5
http://histology.med.umich.edu/medical/oral-cavity-and-salivary-glands
Lâm 183 – 1 / Gl. Submandibular ou mandibular.
1. Ácino seroso
2. Ducto da glândula
3. Tecido conjuntivo – septo conjuntivo
4. Ácino misto
5. Ácino mucoso
1
3
2
4
5
http://histology.med.umich.edu/medical/oral-cavity-and-salivary-glands
Lâm 183 – 1 / Gl. Sublingual

Fígado e pancreas histo