Monitoria de Histologia II
Leilane Raposo

Sistema Linfóide
Sistema Digestório
• Leilane Raposo
Monitoria de Histologia II
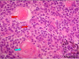
•   Qual o corte histológico?
•   Que região a seta verde aponta?
•   Que região a seta amarela aponta?
•   Que estrutura a seta azul aponta?
•   Que estrutura a seta roxa aponta?
•   Que estrutura a seta vermelha aponta?
•   Qual a coloração utilizada?


                                            • Leilane Raposo
• Leilane Raposo
Monitoria de Histologia II
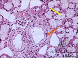
• Qual o corte histológico?
• Que estrutura a seta azul aponta?
• Que células a seta vermelha aponta?




                                        • Leilane Raposo
• Leilane Raposo
Monitoria de Histologia II
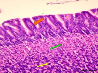
•   Qual o corte histológico?
•   Que região a seta laranja aponta?
•   Que região a seta roxa aponta?
•   Que estrutura a seta verde aponta? Que células
    estão presentes nessa estrutura?
•   Que estrutura a seta vermelha aponta? Que
    células estão presentes nessa estrutura?
•   Que estrutura a seta azul aponta?
•   Que estrutura a seta amarela aponta?
•   Qual a coloração utilizada?
                                           • Leilane Raposo
• Leilane Raposo
Monitoria de Histologia II
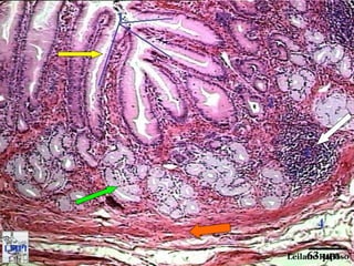
•   Qual o corte histológico?
•   Que região a seta laranja aponta?
•   Que região a seta roxa aponta?
•   Que estrutura a seta rosa aponta? Classifique o
    tecido.
•   Que estrutura a seta verde aponta?
•   Que estrutura a seta vermelha aponta?
•   Que estrutura a seta azul aponta?
•   Que estrutura a seta amarela aponta?
•   Qual a coloração utilizada?
                                            • Leilane Raposo
• Leilane Raposo
Monitoria de Histologia II
• Qual o corte histológico?
• Que estrutura a seta azul aponta? Que células
  estão presentes nessa estrutura?
• Que estrutura a seta amarela aponta? Que
  células estão presentes nessa estrutura?
• Qual a coloração utilizada?




                                         • Leilane Raposo
• Leilane Raposo
Monitoria de Histologia II
• Qual o corte histológico?
• Que região a seta azul aponta?
• Que região a seta vermelha aponta? Que estrutura
  essa seta aponta?
• Que estrutura a seta rosa aponta? Classifique o
  tecido.
• Que estrutura a seta verde aponta?
• Que estrutura a seta amarela aponta?
• Que estrutura a seta roxa aponta?
• Que estrutura a seta laranja aponta?
• Qual a coloração utilizada?
                                           • Leilane Raposo
• Leilane Raposo
Monitoria de Histologia II
• Qual o corte histológico?
• Qual a coloração utilizada?




                                • Leilane Raposo
Sistema Digestório




                     • Leilane Raposo
• Leilane Raposo
Monitoria de Histologia II
• Qual o corte histológico?
• Que estrutura a seta aponta?
• Qual a coloração utilizada?




                                 • Leilane Raposo
• Leilane Raposo
• Que estrutura a seta aponta?
• Qual a coloração?




                                 • Leilane Raposo
• Leilane Raposo
Monitoria de Histologia II
• Qual o corte histológico?
• Que estrutura a seta aponta?
• Qual a coloração utilizada?




                                 • Leilane Raposo
• Leilane Raposo
Monitoria de Histologia II
•   Qual o corte histológico?
•   Que estrutura a seta verde aponta?
•   Que estrutura a seta laranja aponta?
•   Que estrutura a seta roxa aponta?
•   Que estrutura a seta amarela aponta?
•   Que tecido a seta azul aponta?



                                           • Leilane Raposo
• Leilane Raposo
Monitoria de Histologia II
• Qual o corte histológico?
• Que estrutura as setas apontam? Qual sua
  função?




                                        • Leilane Raposo
• Leilane Raposo
Monitoria de Histologia II
• Identifique a estrutura apontada pela seta
  amarela.
• Identifique a estrutura apontada pela seta azul.
• Classifique o tecido apontado pela seta verde.
• Classifique o tecido apontado pela seta rosa.
• Classifique o tecido apontado pela seta laranja.
• Que corte histológico é esse?


                                          • Leilane Raposo
• Leilane Raposo
Monitoria de Histologia II
• Qual o corte histológico?
• Que camada é apontada pela seta laranja? Classifique o tecido apontado
  pela seta.
• Que camada é apontada pela seta amarela? Classifique o tecido apontado
  pela seta.
• Que camada é apontada pela seta rosa? Classifique o tecido apontado pela
  seta.
• Que camada é apontada pela seta verde? Classifique o tecido apontado pela
  seta.
• Que camada é apontada pela seta azul? Classifique o tecido apontado pela
  seta.
• Que camada é apontada pela seta roxa? Classifique o tecido apontado pela
  seta.
• Que camada é apontada pela seta branca? Classifique o tecido apontado
  pela seta.
• Que camada é apontada pela seta preta? Classifique o tecido apontado pela
  seta.

                                                             • Leilane Raposo
• Leilane Raposo
Monitoria de Histologia II
• Qual o corte histológico?
• Classifique o tecido e a camada apontados pela
  seta rosa.
• Classifique o tecido e a camada apontados pela
  seta verde.
• Classifique o tecido e a camada apontados pela
  seta roxa.


                                         • Leilane Raposo
• Leilane Raposo
Monitoria de Histologia II
• Classifique as camadas apontadas pelas setas.
• Qual o corte histológico?




                                         • Leilane Raposo
• Leilane Raposo
Monitoria de Histologia II
• Qual o corte histológico?
• Identifique a camada e a estrutura apontadas
  pela seta rosa.
• Identifique a camada apontada pela seta
  amarela.
• Identifique a camada apontada pela seta verde.




                                        • Leilane Raposo
• Leilane Raposo
Monitoria de Histologia II
• Qual a estrutura apontada pela seta laranja?
• Qual a célula apontada pela seta amarela? Qual
  sua função?
• Qual a célula apontada pela seta branca? Qual
  sua função?
• Qual a célula apontada pela seta verde? Qual sua
  função?


                                         • Leilane Raposo
• Leilane Raposo
Monitoria de Histologia II
• Qual a célula apontada pela seta amarela? Qual
  sua função?
• Qual a célula apontada pela seta laranja? Qual
  sua função?
• Qual a célula apontada pela seta verde? Qual sua
  função?




                                         • Leilane Raposo
• Leilane Raposo
Monitoria de Histologia II
• Qual o corte histológico?
• Identifique as camadas apontadas pelas setas.




                                         • Leilane Raposo
• Leilane Raposo
Monitoria de Histologia II
• Qual o corte histológico?
• Identifique a camada apontada pela seta
  amarela.
• Identifique a estrutura apontada pela seta verde.
  O que ela produz?
• Identifique a estrutura apontada pela seta
  branca
• Identifique a camada apontada pela seta laranja.

                                          • Leilane Raposo
• Leilane Raposo
Monitoria de Histologia II
• Qual o corte histológico?
• Identifique a camada apontada pela seta
  amarela.
• Identifique a estrutura apontada pela seta verde.
  O que ela produz?
• Identifique a estrutura apontada pela seta
  branca
• Identifique a camada apontada pela seta laranja.

                                          • Leilane Raposo
• Leilane Raposo
Monitoria de Histologia II
• Qual o corte histológico?
• Qual a estrutura apontada pela seta branca?
• Qual a célula apontada pela seta amarela? Qual
  sua função?
• Qual a célula apontada pela seta laranja? Qual
  sua função?
• Qual a célula apontada pela seta verde? Qual sua
  função?

                                         • Leilane Raposo
• Leilane Raposo
Monitoria de Histologia II
• Qual o corte histológico?
• Qual a estrutura apontada pela seta branca?
• Qual a célula apontada pela seta amarela? Qual
  sua função?
• Qual a célula apontada pela seta laranja? Qual
  sua função?
• Qual a célula apontada pela seta verde? Qual sua
  função?

                                         • Leilane Raposo
• Leilane Raposo
Monitoria de Histologia II
• Identifique a camada apontada pela seta branca.
• Qual a estrutura apontada pela seta verde? Qual
  sua função?
• Qual a camada apontada pela seta laranja?




                                        • Leilane Raposo
• Leilane Raposo
Monitoria de Histologia II
•   Identifique a camada apontada pela seta branca.
•   Qual a estrutura apontada pela seta verde?
•   Qual a camada apontada pela seta laranja?
•   Qual a camada apontada pela seta amarela?
•   Qual a camada apontada pela seta rosa?
•   Qual a camada apontada pela seta roxa?



                                          • Leilane Raposo
• Leilane Raposo
• Leilane Raposo
Monitoria de Histologia II
• Identifique a camada apontada pela seta
  amarela.
• Qual a estrutura apontada pela seta verde? Qual
  sua função?
• Qual a camada apontada pela seta azul?
• Qual o corte histológico?




                                         • Leilane Raposo
• Leilane Raposo
Monitoria de Histologia II
• Que tecido e que célula é apontado pela seta
  amarela?
• Identifique a estrutura apontada pela seta azul.
• Identifique a estrutura e a célula apontada pela
  seta verde.
• Identifique o corte histológico.




                                          • Leilane Raposo
• Leilane Raposo
Monitoria de Histologia II
•   Identifique o corte histológico.
•   As estrelas azuis identificam o que?
•   As estrelas verdes identificam o que?
•   Identifique a estrutura que a seta amarela
    aponta.
•   Identifique a estrutura que a seta branca aponta.
•   Identifique a estrutura que a seta verde aponta.
•   Identifique a estrutura que a seta azul aponta.
•   Identifique a estrutura que a seta laranja aponta.
•   Dê exemplos de onde encontrar esse tipo de
    tecido.
                                            • Leilane Raposo
• Leilane Raposo
Monitoria de Histologia II
• Identifique o corte histológico.
• Identifique a estrutura que a seta amarela
  aponta.
• Identifique a estrutura que a seta vermelha
  aponta.
• Identifique a estrutura que a seta azul aponta.
• Identifique a estrutura que a seta laranja aponta.




                                          • Leilane Raposo
• Leilane Raposo
Monitoria de Histologia II
• Identifique o corte histológico.
• Identifique a estrutura que a seta amarela
  aponta.
• Identifique a estrutura que a seta vermelha
  aponta.
• Identifique a estrutura que a seta azul aponta.
• Identifique a estrutura que a seta laranja aponta.




                                          • Leilane Raposo
• Leilane Raposo
Monitoria de Histologia II
• Identifique o corte histológico.
• Identifique a estrutura que a seta amarela
  aponta.
• Identifique a estrutura que a seta laranja aponta.




                                          • Leilane Raposo
• Leilane Raposo
Monitoria de Histologia II
•   Qual o corte histológico?
•   Qual a estrutura apontada pela seta amarela?
•   Qual a estrutura apontada pela seta vermelha?
•   Qual a estrutura apontada pela seta azul?
•   Qual a estrutura apontada pela seta verde?
•   Qual a estrutura apontada pela seta laranja?



                                          • Leilane Raposo
• Leilane Raposo
Monitoria de Histologia II
•   Qual o corte histológico?
•   Qual a estrutura delimitada pela linha azul?
•   Qual a estrutura apontada pela seta amarela?
•   Qual a estrutura apontada pela seta roxa?
•   Qual a estrutura apontada pela seta vermelha?
•   Qual a estrutura apontada pela seta verde?
•   Qual a estrutura apontada pela seta laranja?


                                          • Leilane Raposo
• Leilane Raposo
Monitoria de Histologia II
• Qual o corte histológico?
• Qual a estrutura apontada pela seta amarela?
• Qual a estrutura apontada pela seta vermelha?O
  que ela produz?
• Qual a estrutura apontada pela seta laranja?
• Qual a estrutura apontada pela seta azul? O que
  ela produz?


                                        • Leilane Raposo

Monitoria de histologia ii linfoide

  • 1.
    Monitoria de HistologiaII Leilane Raposo Sistema Linfóide Sistema Digestório
  • 2.
  • 3.
    Monitoria de HistologiaII • Qual o corte histológico? • Que região a seta verde aponta? • Que região a seta amarela aponta? • Que estrutura a seta azul aponta? • Que estrutura a seta roxa aponta? • Que estrutura a seta vermelha aponta? • Qual a coloração utilizada? • Leilane Raposo
  • 4.
  • 5.
    Monitoria de HistologiaII • Qual o corte histológico? • Que estrutura a seta azul aponta? • Que células a seta vermelha aponta? • Leilane Raposo
  • 6.
  • 7.
    Monitoria de HistologiaII • Qual o corte histológico? • Que região a seta laranja aponta? • Que região a seta roxa aponta? • Que estrutura a seta verde aponta? Que células estão presentes nessa estrutura? • Que estrutura a seta vermelha aponta? Que células estão presentes nessa estrutura? • Que estrutura a seta azul aponta? • Que estrutura a seta amarela aponta? • Qual a coloração utilizada? • Leilane Raposo
  • 8.
  • 9.
    Monitoria de HistologiaII • Qual o corte histológico? • Que região a seta laranja aponta? • Que região a seta roxa aponta? • Que estrutura a seta rosa aponta? Classifique o tecido. • Que estrutura a seta verde aponta? • Que estrutura a seta vermelha aponta? • Que estrutura a seta azul aponta? • Que estrutura a seta amarela aponta? • Qual a coloração utilizada? • Leilane Raposo
  • 10.
  • 11.
    Monitoria de HistologiaII • Qual o corte histológico? • Que estrutura a seta azul aponta? Que células estão presentes nessa estrutura? • Que estrutura a seta amarela aponta? Que células estão presentes nessa estrutura? • Qual a coloração utilizada? • Leilane Raposo
  • 12.
  • 13.
    Monitoria de HistologiaII • Qual o corte histológico? • Que região a seta azul aponta? • Que região a seta vermelha aponta? Que estrutura essa seta aponta? • Que estrutura a seta rosa aponta? Classifique o tecido. • Que estrutura a seta verde aponta? • Que estrutura a seta amarela aponta? • Que estrutura a seta roxa aponta? • Que estrutura a seta laranja aponta? • Qual a coloração utilizada? • Leilane Raposo
  • 14.
  • 15.
    Monitoria de HistologiaII • Qual o corte histológico? • Qual a coloração utilizada? • Leilane Raposo
  • 16.
    Sistema Digestório • Leilane Raposo
  • 17.
  • 18.
    Monitoria de HistologiaII • Qual o corte histológico? • Que estrutura a seta aponta? • Qual a coloração utilizada? • Leilane Raposo
  • 19.
  • 20.
    • Que estruturaa seta aponta? • Qual a coloração? • Leilane Raposo
  • 21.
  • 22.
    Monitoria de HistologiaII • Qual o corte histológico? • Que estrutura a seta aponta? • Qual a coloração utilizada? • Leilane Raposo
  • 23.
  • 24.
    Monitoria de HistologiaII • Qual o corte histológico? • Que estrutura a seta verde aponta? • Que estrutura a seta laranja aponta? • Que estrutura a seta roxa aponta? • Que estrutura a seta amarela aponta? • Que tecido a seta azul aponta? • Leilane Raposo
  • 25.
  • 26.
    Monitoria de HistologiaII • Qual o corte histológico? • Que estrutura as setas apontam? Qual sua função? • Leilane Raposo
  • 27.
  • 28.
    Monitoria de HistologiaII • Identifique a estrutura apontada pela seta amarela. • Identifique a estrutura apontada pela seta azul. • Classifique o tecido apontado pela seta verde. • Classifique o tecido apontado pela seta rosa. • Classifique o tecido apontado pela seta laranja. • Que corte histológico é esse? • Leilane Raposo
  • 29.
  • 30.
    Monitoria de HistologiaII • Qual o corte histológico? • Que camada é apontada pela seta laranja? Classifique o tecido apontado pela seta. • Que camada é apontada pela seta amarela? Classifique o tecido apontado pela seta. • Que camada é apontada pela seta rosa? Classifique o tecido apontado pela seta. • Que camada é apontada pela seta verde? Classifique o tecido apontado pela seta. • Que camada é apontada pela seta azul? Classifique o tecido apontado pela seta. • Que camada é apontada pela seta roxa? Classifique o tecido apontado pela seta. • Que camada é apontada pela seta branca? Classifique o tecido apontado pela seta. • Que camada é apontada pela seta preta? Classifique o tecido apontado pela seta. • Leilane Raposo
  • 31.
  • 32.
    Monitoria de HistologiaII • Qual o corte histológico? • Classifique o tecido e a camada apontados pela seta rosa. • Classifique o tecido e a camada apontados pela seta verde. • Classifique o tecido e a camada apontados pela seta roxa. • Leilane Raposo
  • 33.
  • 34.
    Monitoria de HistologiaII • Classifique as camadas apontadas pelas setas. • Qual o corte histológico? • Leilane Raposo
  • 35.
  • 36.
    Monitoria de HistologiaII • Qual o corte histológico? • Identifique a camada e a estrutura apontadas pela seta rosa. • Identifique a camada apontada pela seta amarela. • Identifique a camada apontada pela seta verde. • Leilane Raposo
  • 37.
  • 38.
    Monitoria de HistologiaII • Qual a estrutura apontada pela seta laranja? • Qual a célula apontada pela seta amarela? Qual sua função? • Qual a célula apontada pela seta branca? Qual sua função? • Qual a célula apontada pela seta verde? Qual sua função? • Leilane Raposo
  • 39.
  • 40.
    Monitoria de HistologiaII • Qual a célula apontada pela seta amarela? Qual sua função? • Qual a célula apontada pela seta laranja? Qual sua função? • Qual a célula apontada pela seta verde? Qual sua função? • Leilane Raposo
  • 41.
  • 42.
    Monitoria de HistologiaII • Qual o corte histológico? • Identifique as camadas apontadas pelas setas. • Leilane Raposo
  • 43.
  • 44.
    Monitoria de HistologiaII • Qual o corte histológico? • Identifique a camada apontada pela seta amarela. • Identifique a estrutura apontada pela seta verde. O que ela produz? • Identifique a estrutura apontada pela seta branca • Identifique a camada apontada pela seta laranja. • Leilane Raposo
  • 45.
  • 46.
    Monitoria de HistologiaII • Qual o corte histológico? • Identifique a camada apontada pela seta amarela. • Identifique a estrutura apontada pela seta verde. O que ela produz? • Identifique a estrutura apontada pela seta branca • Identifique a camada apontada pela seta laranja. • Leilane Raposo
  • 47.
  • 48.
    Monitoria de HistologiaII • Qual o corte histológico? • Qual a estrutura apontada pela seta branca? • Qual a célula apontada pela seta amarela? Qual sua função? • Qual a célula apontada pela seta laranja? Qual sua função? • Qual a célula apontada pela seta verde? Qual sua função? • Leilane Raposo
  • 49.
  • 50.
    Monitoria de HistologiaII • Qual o corte histológico? • Qual a estrutura apontada pela seta branca? • Qual a célula apontada pela seta amarela? Qual sua função? • Qual a célula apontada pela seta laranja? Qual sua função? • Qual a célula apontada pela seta verde? Qual sua função? • Leilane Raposo
  • 51.
  • 52.
    Monitoria de HistologiaII • Identifique a camada apontada pela seta branca. • Qual a estrutura apontada pela seta verde? Qual sua função? • Qual a camada apontada pela seta laranja? • Leilane Raposo
  • 53.
  • 54.
    Monitoria de HistologiaII • Identifique a camada apontada pela seta branca. • Qual a estrutura apontada pela seta verde? • Qual a camada apontada pela seta laranja? • Qual a camada apontada pela seta amarela? • Qual a camada apontada pela seta rosa? • Qual a camada apontada pela seta roxa? • Leilane Raposo
  • 55.
  • 56.
  • 57.
    Monitoria de HistologiaII • Identifique a camada apontada pela seta amarela. • Qual a estrutura apontada pela seta verde? Qual sua função? • Qual a camada apontada pela seta azul? • Qual o corte histológico? • Leilane Raposo
  • 58.
  • 59.
    Monitoria de HistologiaII • Que tecido e que célula é apontado pela seta amarela? • Identifique a estrutura apontada pela seta azul. • Identifique a estrutura e a célula apontada pela seta verde. • Identifique o corte histológico. • Leilane Raposo
  • 60.
  • 61.
    Monitoria de HistologiaII • Identifique o corte histológico. • As estrelas azuis identificam o que? • As estrelas verdes identificam o que? • Identifique a estrutura que a seta amarela aponta. • Identifique a estrutura que a seta branca aponta. • Identifique a estrutura que a seta verde aponta. • Identifique a estrutura que a seta azul aponta. • Identifique a estrutura que a seta laranja aponta. • Dê exemplos de onde encontrar esse tipo de tecido. • Leilane Raposo
  • 62.
  • 63.
    Monitoria de HistologiaII • Identifique o corte histológico. • Identifique a estrutura que a seta amarela aponta. • Identifique a estrutura que a seta vermelha aponta. • Identifique a estrutura que a seta azul aponta. • Identifique a estrutura que a seta laranja aponta. • Leilane Raposo
  • 64.
  • 65.
    Monitoria de HistologiaII • Identifique o corte histológico. • Identifique a estrutura que a seta amarela aponta. • Identifique a estrutura que a seta vermelha aponta. • Identifique a estrutura que a seta azul aponta. • Identifique a estrutura que a seta laranja aponta. • Leilane Raposo
  • 66.
  • 67.
    Monitoria de HistologiaII • Identifique o corte histológico. • Identifique a estrutura que a seta amarela aponta. • Identifique a estrutura que a seta laranja aponta. • Leilane Raposo
  • 68.
  • 69.
    Monitoria de HistologiaII • Qual o corte histológico? • Qual a estrutura apontada pela seta amarela? • Qual a estrutura apontada pela seta vermelha? • Qual a estrutura apontada pela seta azul? • Qual a estrutura apontada pela seta verde? • Qual a estrutura apontada pela seta laranja? • Leilane Raposo
  • 70.
  • 71.
    Monitoria de HistologiaII • Qual o corte histológico? • Qual a estrutura delimitada pela linha azul? • Qual a estrutura apontada pela seta amarela? • Qual a estrutura apontada pela seta roxa? • Qual a estrutura apontada pela seta vermelha? • Qual a estrutura apontada pela seta verde? • Qual a estrutura apontada pela seta laranja? • Leilane Raposo
  • 72.
  • 73.
    Monitoria de HistologiaII • Qual o corte histológico? • Qual a estrutura apontada pela seta amarela? • Qual a estrutura apontada pela seta vermelha?O que ela produz? • Qual a estrutura apontada pela seta laranja? • Qual a estrutura apontada pela seta azul? O que ela produz? • Leilane Raposo