As partes que compõe o artigo científico
Disciplina de Metodologia da Pesquisa em Saúde
           Curso de Odontologia UFPR




              Cassius Torres-Pereira
        Departamento de Estomatologia UFPR
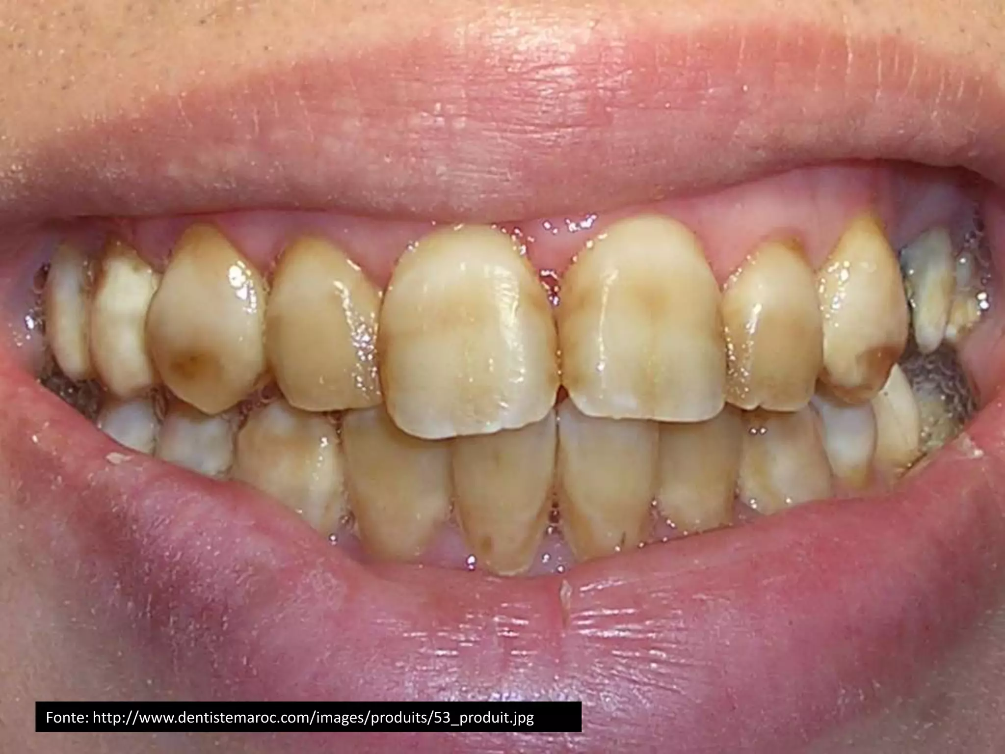
Fonte: http://www.dentistemaroc.com/images/produits/53_produit.jpg
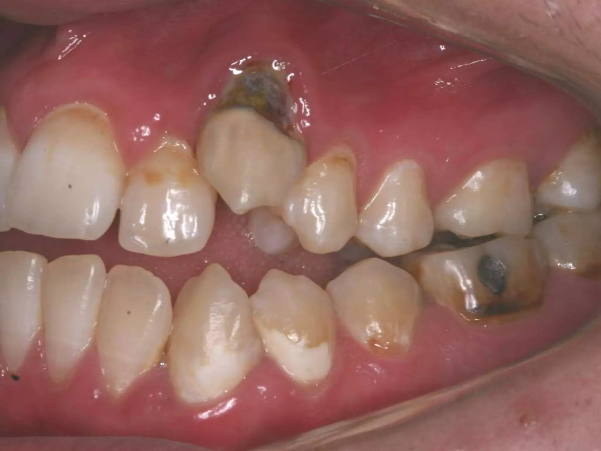
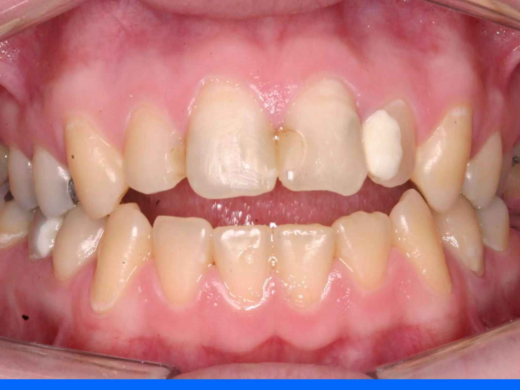
Qual é o problema de pesquisa?

  Qual é o desfecho clínico?

Qual é a variável dependente?
• Quais as variáveis independentes?

• Que tipo de variável mede o índice de
  Dean?

• O estudo é observacional ou experimental?
Ciência é indissociável da comunicação de seus
  resultados


• Resultados             Artigos Científicos
Estrutura do Artigo Científico

           • Título
          • Autoria
Estrutura do Artigo Científico
Estrutura do Artigo Científico
Estrutura do Artigo Científico
Estrutura do Artigo Científico
Estrutura do Artigo Científico
Estrutura do Artigo Científico

Título           Metodologia
Palavras-chave   Resultados
Resumo           Discussão
Introdução       Conclusão
Revisão da       Referências
 Literatura        Bibliográficas

Estrutura do relatório científico