Introdução à Metodologia da
       Pesquisa em Saúde


       Cassius Torres-Pereira
 Departamento de Estomatologia UFPR
O Conhecimento Científico
     na Área de Saúde


      Cassius Torres-Pereira
Departamento de Estomatologia UFPR
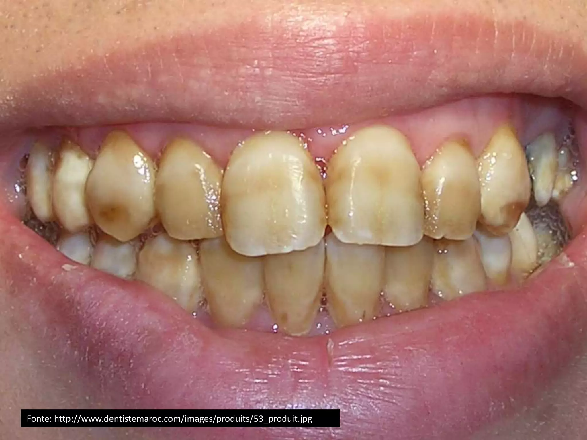
A estória dos dentes manchados...
Fonte: http://www.dentistemaroc.com/images/produits/53_produit.jpg
1901 - 1931




              http://www.cs-ds.org/history.asp
http://www.cs-ds.org/history.asp#fluoride
A misteriosa doença da Califórnia...
Gaetan Dugas – o
   comissário
http://www.fiocruz.br/~ccs/glossario/colera_p.htm
Quem produz o conhecimento científico?




             Cassius Torres-Pereira
       Departamento de Estomatologia UFPR
Modernização do método
Revisando sobre o
      conhecimento científico....

•   Conhecimento em si é o objetivo primordial
•   Não admite a autoridade
•   Racional, Verificável
•   Analítico
•   Claro e preciso
Revisando sobre o
      conhecimento científico....

•   Sistemático e acumulativo
•   Falível, sujeito à correção e reformulação
•   Explicativo
•   Preditivo
•   Comunicável
www.odontopesquisa.blogspot.com
Ambiente Virtual de Aprendizado
    http://moodle.ufpr.br
Nome de Login: vc escolhe!
• Senha: changeme
• Código do curso: QUALIS
Aula introdutória ME028
Aula introdutória ME028

Aula introdutória ME028