Curso Preparatório para Concursos  Estomatologia Cassius Torres-Pereira Departamento de Estomatologia UFPR Doutor em Estomatologia PUC-RS Consultor em Estomatologia para o  Ministério da Saúde
Concurso Público da Prefeitura Municipal de Curitiba Edital 03/2009 São classificados como lesões malignas: A) Sarcomas, melanomas, nevo e carcinomas. B) Sarcoma, eritroplasias, líquen plano e leucoplasias. C) Líquen plano, ceratose actínia, carcinoma e eritroplasias. D) Tumores de glândulas salivares, leucoplasias e líquen plano. E) Eritroplasias, nevo, melanoma e leucoplasias.
Concurso Público da Prefeitura Municipal de Curitiba Edital 03/2009 São doenças sistêmicas que podem se apresentar com manifestações bucais do tipo gengivite descamativa: A) Pênfigo vulgar e eritema multiforme. B) Histoplasmose e candidíase. C) Herpes bucal recorrente e varicela zoster. D) Infecções estreptocócicas e  neissuria gonohoeae. E) Granuloma piogênico e reação do tipo corpo estranho.
Concurso Público da Prefeitura Municipal de Curitiba Edital 03/2009 Qual é o tratamento apropriado para uma paciente de 15 anos com uma gengivite influenciada pelo uso de medicamento  Dilantin e que apresenta, além de aumento gengival, pseudobolsas periodontais e acúmulo exagerado de biofilme dental? A) Controle profissional do biofilme dental. B) Gengivectomia e osteoplastia. C) Cirurgia a retalho de Wildman modificado. D) Controle profissional do biofilme dental e gengivectomia. E) Gengivectomia.
PREFEITURA MUNICIPAL DE LONDRINA N º 0 2 3 / 2 0 0 9  Preencha as lacunas abaixo e, em seguida, assinale a alternativa correta.A aparência de dente “rosado” é  um sinal patognomônico de _____________ e o  tratamento é_____________. (A) traumatismo dental / pulpotomia (B) traumatismo dental / pulpectomia (C) reabsorção radicular interna / pulpectomia (D) reabsorção radicular interna / exodontia (E) manchamento por tetraciclinas / clareamento
PREFEITURA MUNICIPAL DE LONDRINA N º 0 2 3 / 2 0 0 9  De acordo com o Instituto Nacional do Câncer (INCA), o câncer de boca é uma denominação que inclui os cânceres de lábio e de cavidade oral (mucosa bucal, gengivas, palato duro, língua oral e assoalho da boca). O principal sintoma deste tipo de câncer (A) é o aparecimento de feridas na boca que não cicatrizam em uma semana. (B) são ulcerações superficiais dolorosas. (C) são ulcerações superficiais não dolorosas. (D) consiste em dificuldade para falar, mastigar e engolir. (E) é dor e presença de linfadenomegalia cervical.
PREFEITURA MUNICIPAL DE LONDRINA N º 0 2 3 / 2 0 0 9  Na infecção pelo HIV podem ocorrer alterações nos exames laboratoriais,  sendo a plaquetopenia um achado comum (Ministério da Saúde.  Recomendações  para Terapia anti-retroviral em Adultos Infectados pelo  HIV. 2008). Complete as lacunas da assertiva a seguir e, em seguida, assinale  a alternativa correta. A contagem normal de plaquetas deve estar entre _______ / mm3 sendo que o tempo de sangramento considerado normal é  em torno de _______minutos. (A) 50.000 – 80.000 / 5 – 10 (B) 30.000 – 80.000 / 2 – 3 (C) 100.000 – 400.000 / 5 – 10 (D) 30.000 – 50.000 / 2 – 3 (E) 80.000 – 100.000 / 2 – 3
PREFEITURA MUNICIPAL DE BOMBINHAS ESTADO DE SANTA CATARINA E D I T A L N º 0 0 1 / 2 0 0 9 O tempo mínimo que se deve esperar após realizar extrações dentárias para que se possa iniciar a radioterapia é de (A) 7 a 14 dias, mas se possível aguardar 3 semanas. (B) 30 dias. (C) 60 dias. (D) 90 dias. (E) 180 dias.
Segundo o Instituto Nacional do Câncer, cerca de 3(três) mil pessoas morrem vítimas de câncer bucal no Brasil por ano. Assinale a alternativa NÃO apresenta um dos principais fatores de risco para o câncer de boca. (A) Fumo. (B) Má higiene bucal. (C) Má alimentação. (D) Deficiência imunológica. (E) Exposição à radiação solar.
Câncer de Boca e o  Ministério da Saúde   Política Nacional de Saúde Bucal Coordenação Nacional de Saúde Bucal/DAB/SAS/MS
Política Nacional de Saúde Bucal 6. AMPLIAÇÃO E QUALIFICAÇÃO DA  ATENÇÃO BÁSICA À atenção básica compete assumir a responsabilidade pela detecção das necessidades, providenciar os encaminhamentos requeridos em cada caso e monitorar a evolução da reabilitação, bem como acompanhar e manter a reabilitação no período pós-tratamento. Considerando a complexidade dos problemas que demandam à rede de atenção básica e a necessidade de buscar-se continuamente formas de ampliar a oferta e qualidade dos serviços prestados, recomenda-se a organização e desenvolvimento de ações de: 6.1.  Prevenção e controle do câncer bucal realizar rotineiramente  exames preventivos  para detecção precoce do câncer bucal, garantindo-se a continuidade da atenção, em todos os níveis de complexidade, mediante negociação e pactuação com representantes das três esferas de governo. oferecer oportunidades  de  identificação de lesões bucais  (busca ativa) seja em visitas domiciliares ou em momentos de campanhas específicas (por exemplo: vacinação de idosos); acompanhar casos suspeitos e confirmados através da definição e, se necessário, criação de um  serviço de referência, garantindo-se o tratamento e reabilitação . estabelecer  parcerias  para a prevenção, diagnóstico, tratamento e recuperação do câncer bucal com Universidades e outras organizações.
  Brasília/DF, 29 de julho a 1º de agosto de 2004 Cerca de 90 mil participantes diretos nas etapas municipal, estadual e nacional Votado integralmente pelos 883 delegados eleitos
Serviço Mínimo Ofertado nos Centros de Especialidades Odontológicas do Brasil Sorridente Portaria/GM nº 599, de 23 de março de 2006 Cirurgia Oral Menor; Atendimento a pacientes com necessidades especiais; Estomatologia com ênfase na prevenção e detecção  do câncer bucal; Periodontia;  Endodontia.
Dentistas da Rede Pública de Florianópolis  Garbin,2007
Dentistas da Rede Pública de Florianópolis  Garbin,2007
 
 
 
 
07 - A ressecção cirúrgica do tumor e a radioterapia são opções freqüentemente utilizadas no tratamento do paciente com câncer de boca. Os efeitos colaterais da radioterapia no complexo maxilo-mandibular são: a) Osterradionecrose, cárie induzida pela radiação e mielossupressão. b) Cárie induzida pela radiação, mucosite e mielossupressão. c) Osterradionecrose, cárie induzida pela radiação e mucosite. d) Mucosite, mielossupressão e perda do paladar. e) Perda do paladar, mucosite e mielossupressão.
Complicações da terapia anti-câncer   Cirurgia Radioterapia Quimioterapia
Tratamento dentário e estomatológico do paciente com câncer de boca Adequação do  meio bucal no pré-cirúrgico, radioterápico e quimioterápico Acompanhamento e tratamento das lesões bucais e dentárias surgidas durante o manejo do câncer bucal Acompanhamento e tratamento das lesões bucais e dentárias surgidas após o tratamento do câncer
 
 
 
 
 
 
 
 
Tratamento dentário e estomatológico do paciente com câncer de boca Magalhães,MHCG. et al, 2002 31 pacientes irradiados 90,32%   não receberam tratamento odontológico prévio 83,88%   não receberam informações sobre complicações bucais  da radioterapia 77,41%   não receberam orientações sobre os cuidados com a  saúde bucal
Tratamento dentário e estomatológico do paciente com câncer de boca Toljanic et al. 2002 relataram que 51% de 334 pacientes irradiados, falharam em submeter-se ao acompanhamento periódico da saúde bucal no intervalo de 1 ano seguinte à irradiação.
 
 
 
 
 
 
 
 
08 - O  carcinoma  epidermóide  representa aproximadamente  90%  dos  cânceres  de  boca. Ele  é  encontrado  com maior freqüência em algumas regiões da boca, como: a) Mucosa jugal, gengiva e palato duro. b) Lábio, mucosa jugal e palato duro. c) Assoalho de boca, língua e gengiva. d) Língua, gengiva e mucosa jugal. e) Lábio, língua e assoalho de boca.
 
 
 
 
 
Epidemiologia Brasil Estimativa de 10.635 novos casos em 2003 Estimativa de 3.245 óbitos em 2003  4,25% das mortes por câncer 6 a  causa mortis por câncer em homens 8 a  causa mortis por câncer em mulheres (INCA, 2003)
Epidemiologia Paraná – Câncer Bucal 3 o   Estado com maior mortalidade proporcional por câncer de boca 11,8  casos para cada 100.000 homens 2,38  casos para cada 100.000 mulheres (Instituto Nacional do Câncer, 2003)
Epidemiologia PR: Incidência e Mortalidade por Câncer Estimativa 2003 (Instituto Nacional do Câncer, 2003) PR PR CWB CWB Novos Óbitos Novos  Óbitos Inc/Mort Homens 560 230 110 40 5 / 6 Mulheres 120 50 20 10 10 o  / 10 o Total 680 280 130 50
Epidemiologia Hospital Erasto Gaertner – 1990 a 1999 9,7%  de todos os casos de câncer no sul do país Câncer de boca:  10,4%  de todos os tumores em  homens   1,6%  de todos os tumores em  mulheres (LIGA PARANAENSE DE COMBATE AO CÂNCER, 2001)
Epidemiologia Hospital Erasto Gaertner – 1990 a 1999 Tipo histológico mais comum:  carcinoma espinocelular  (céls. escamosas, epidermóide) 70,4%  dos casos na faixa etária acima de 50 anos (LIGA PARANAENSE DE COMBATE AO CÂNCER, 2001)
Epidemiologia Hospital Erasto Gaertner – 1990 a 1999 Câncer de boca – localização (LIGA PARANAENSE DE COMBATE AO CÂNCER, 2001) Homens Mulheres Língua 35,6 31,7 Lábio 29 24,6 Assoalho da boca 15 13,1 Palato 6,9 11,5 Gengiva 2,9 4,9 Outros 10,5 14,2
Epidemiologia Hospital Mario Penna – Belo Horizonte Dados socioeconômicos do paciente com Ca de Boca 44,8%  dos pacientes analfabetos 58,9%  dos pacientes com renda inferior a 1 salário mínimo (Abdo, E.N.  et   al. , 2002 )
Estadiamento 53,4%  Estadio III/IV na admissão I – Sobrevida de  79,5%  II – Sobrevida de  59,7%  III  - Sobrevida de  46,3%   IV  - Sobrevida de  21,6%   (sobrevida em 5 anos) (LIGA PARANAENSE DE COMBATE AO CÂNCER, 2001)
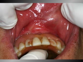
24 - M.N., 10 anos de idade, compareceu ao consultório odontológico com queixa de “feridas na boca”. Na anamnese relatou indisposição há uma semana,  com dores de cabeça e  febre.  Logo em seguida sua gengiva aumentou de  tamanho, começando a sangrar. Ao exame clínico encontramos úlceras rasas, circulares, com halo eritematoso, muito sensíveis, espalhadas por toda a mucosa bucal. Frente a esse quadro clínico, a alternativa correta frente ao diagnóstico é: a) Úlceração aftosa recorrente. b) Gengivoestomatite herpética primária. c) Herpes recorrente. d) Gengivite ulcerativa necrosante aguda. e) Estomatite alérgica por contato.
 
 
 
 
 
 
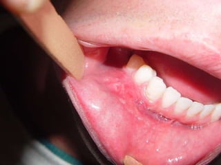
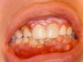
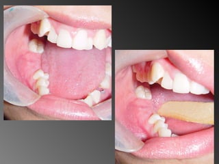
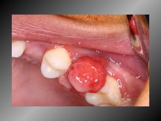
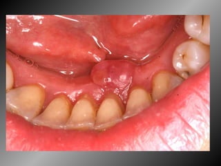
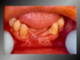
25 -  L.C.S., sexo masculino, 18 anos de idade, se apresentou com queixa de aumento de volume na gengiva entre os dentes 23  e  24.  Pelo  exame  clínico,  constatamos  a  presença  de  um  nódulo  séssil,  de  contornos  irregulares,  coloração  avermelhada, com sangramento abundante ao mínimo toque e evolução de 1 ano. O paciente apresentava higiene bucal precária com presença de placa bacteriana e tártaro. Com base no quadro clínico, o diagnóstico é: a) Fibroma e granuloma piogênico. b) Granuloma piogênico e hiperplasia fibrosa inflamatória. c) Lesão periférica (granuloma) de células gigantes e fibroma. d) Granuloma piogênico e lesão periférica (granuloma) de células gigantes. e) Hiperplasia fibrosa inflamatória e fibroma.
 
 
 
 
 
 
 
 
 
 
 
 
 
 
Granuloma Piogênico Lesão Nodular Séssil ou pediculada Avermelhada ou vinhosa Sangramento espontâneo e áreas de micro-ulceração superficial
Granuloma Piogênico Lesões nodulares de coloração avermelhada ou vinhosa Provavelmente uma reação inflamatória exagerada ao trauma menor Crescimento rápido, às vezes sangramento espontâneo Ocorre em qualquer idade mas parece mais freqüente em adultos jovens e adolescentes  Localização mais comum: gengiva (NEVILLE,2001)
Granuloma Piogênico Lesões mais antigas, são menos vasculares e mais fibrosas Papila interdental e regiões anteriores são áreas preferenciais, principalmente por vestibular (BORK,1996)
 
 
 
 
 
 
 
 
Granuloma Periférico de Células Gigantes Lesões nodulares de coloração avermelhada ou vinhosa Provavelmente uma reação inflamatória exagerada ao trauma menor Crescimento rápido, às vezes sangramento espontâneo Ocorre em qualquer idade mas parece mais freqüente em homens antes dos 16 anos de idade a após esta faixa torna-se duas vezes mais freqüente em mulheres Localização mais comum: gengiva
Granuloma Periférico de Células Gigantes
Granuloma (Lesão) Periférico de Células Gigantes A excisão cirúrgica deve ser antecedida de exame radiográfico, pois lesão não completamente removida e/ou com infiltração óssea, pode recorrer
 
 
 
 
 
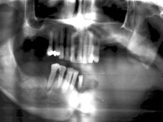
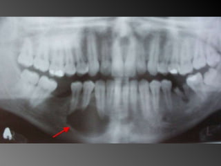
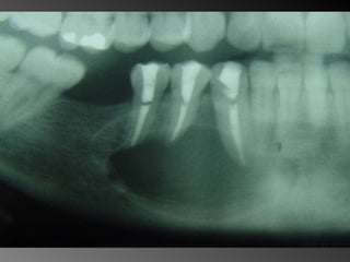
26 - Paciente do sexo feminino, 30 anos de idade, se apresentou com aumento de volume no corpo da mandíbula, região dos dentes 45, 46 e 47, assintomático e com evolução de aproximadamente 1 ano. Pelo exame clínico constatamos expansão óssea e deslocamento dos dentes 45 e 46 de suas posições normais. Através de radiografia panorâmica observamos uma imagem radiográfica multilocular onde as trabéculas ósseas se encontravam perpendicularmente umas às outras e em outras regiões com aspecto de bolha de sabão. Com base no quadro clínico, o diagnóstico é: a) Ceratocisto e mixoma odontogênico. b) Odontoma composto e ameloblastoma. c) Mixoma odontogênico e ameloblastoma. d) Mixoma odontogênico e odontoma composto. e) Ameloblastoma e ceratocisto.
Tumores de Origem Odontogênica Classificação quanto à origem: Epitelial Mesenquimal Mista Classificação quanto ao comportamento biológico: Benignos  Malignos (OMS, 1992)
Odontogênese
Tumores Odontogênicos de Origem Epitelial Benignos Ameloblastoma Tumor Odontogênico Escamoso Tumor Odontogênico Epitelial Calcificante Tumor Odontogênico de Células Claras Malignos Ameloblastoma Maligno Carcinoma intra-ósseo (OMS, 1992)
Ameloblastoma Freqüência: -1% de todos os cistos e tumores dos maxilares - Maior ocorrência entre a segunda e a quinta décadas de  Vida (picos entre 35 e 45)  -80% ocorrem na mandíbula -Área de molares inferiores, ramo ascendente de  mandíbula.  -Na maxila: molares superiores, seios maxilares e assoalho  da fossa nasal  (TOMMASI e FERNANDES, 2002)
 
 
 
 
 
Padrão de Ameloblastoma Unicístico
 
 
 
 
Tumores Odontogênicos de Origem Mesenquimal Benignos Mixoma Fibroma odontogênico Cementoblastoma benigno
Mixoma Freqüência:  -Segunda e terceira década de vida -Atinge pouco mais a maxila que a mandíbula (região posterior + frequente)
 
 
 
 
Exame complementares Radiografia Panorâmica; Radiografia Oculsal; Teste de Vitalidade; Punção Exploratória; Biópsia incisional.
 
 
Teste de Vitalidade Dente 43: Negativo  Dentes 42,44 e 45:  Positivo.
 
 
 
 
 
 
 
 
Aspecto Histopatológico Fonte Allan Giovanini Lâmina 1
Lâmina 2 Fonte Allan Giovanini
Tumores Odontogênicos de Origem Mista Benignos Fibroma ameloblástico Odontoameloblastoma Tumor Odontogênico Adenomatóide Odontoma complexo e composto Malignos Fibrossarcoma ameloblástico Fibro-odontossarcoma ameloblástico (OMS, 1992)
 
 
 
 
 
20 dentículos
 
 
 
 
 
 
 
 
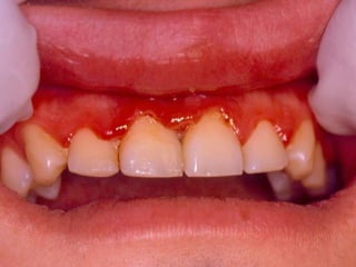
27 - Paciente  com  25  anos  de  idade,  sexo  masculino,  se  queixa  de  dor  na  gengiva,  mau  hálito,  gosto  metálico  e  sangramento. Clinicamente observa-se necrose e ulceração interproximal e pseudomembrana fibrinosa. O diagnóstico é: a) Gengivoestomatite herpética. b) Gengivite descamativa. c) Periodontite juvenil. d) Estomatite aftosa recorrente. e) Gengivite ulcerativa necrosante aguda.
28 - Paciente apresenta-se ao consultório com alterações gengivais.  Ao final  dessa primeira visita,  sai  com as seguintes instruções: –  Evitar tabaco, álcool e condimentos. –  Fazer bochechos com 1 copo de água quente misturada em quantidades iguais com peróxido de hidrogênio a 3% a cada 2 horas e/ou duas vezes ao dia com solução de clorexidina a 0,12%. –  Exercer as atividades usuais, porém evitar exercícios físicos ou exposições prolongadas ao sol. –  Escovar  delicadamente os dentes para  remoção de resíduos com dentifrício suave.  Bochechos de clorexidina poderão também ser úteis no controle de placa.
Frente a essas instruções, pode-se depreender que ele é portador de: a) Gengivoestomatite herpética aguda. b) Pericoronarite aguda. c) Abscesso periodontal crônico. d) Abscesso gengival. e) Gengivite necrosante ulcerativa aguda.
 
 
 
31 - Nos pacientes portadores de Síndrome da  Imunodeficiência Adquirida  (AIDS),  podem ser  observadas  lesões bucais como: a) Candidíase bucal, sarcoma de Kaposi, linfoma não Hodgkin, leucoplasia pilosa e GUNA. b) Candidíase bucal, síndrome de Sjogren, sarcoma de Kaposi, leucoplasia e GUNA. c) Sarcoma de Kaposi, leucoplasia pilosa, líquen plano, candidíase bucal e GUNA. d) Candidíase bucal, líquen plano, leucoplasia, GUNA e sarcoma de Kaposi. e) Candidíase bucal, sarcoma de Kaposi, líquen plano, síndrome de Sjogren e GUNA.
Manifestações Bucais da AIDS Lesões fortemente associadas com a AIDS Lesões menos freqüentemente associadas à AIDS Lesões vistas em pacientes com AIDS (EC Clearinghouse, 1992)
Manifestações Bucais da AIDS ( Patton  et al .,2002)
Manifestações Bucais da AIDS ( Patton  et al .,2002)
Manifestações Bucais da AIDS ( Patton  et al .,2002)
Manifestações Bucais da AIDS (Patton  et al .,2002) Apesar das diferenças em métodos e limitações de alguns estudos, as lesões que parecem mais prevalentes no paciente HIV positivo são a  candidíase pseudomembranosa e a leucoplasia pilosa
Manifestações Bucais da AIDS (Shiboski  et al .,2001) O padrão de ocorrência de lesões associadas com o HIV parece diferir entre crianças e adultos. As lesões mais comuns nas crianças são a  candidíase  (maior prevalência que em adultos) e o  aumento de volume parotídeo , enquanto a leucoplasia pilosa raramente é verificada
Manifestações Bucais da AIDS ( Patton  et al .,2002)
Manifestações Bucais da AIDS ( Patton  et al .,2002)
Manifestações Bucais da AIDS ( Patton  et al .,2002)
Manifestações Bucais da AIDS Poucos estudos abordam a questão da manifestações bucais na AIDS na adolescência Candidíase 6% (+ comum) Leucoplasia pilosa <1% Nenhum caso de aumento parotídeo Lesões bucais associadas com presença de mais de 5.000 cópias virais/ml (Shiboski  et al .,2001)
Manifestações Bucais da AIDS 56,4%  das manifestações bucais de origem fúngica (candidíases pseudomembranosa , eritematosa, hiperplásica e queilite angular) 21%  de manifestações bacterianas (gengivite, GUNA e PUNA) 9,7%  manifestações virais (herpes, leucoplasia pilosa, zoster, molusco contagioso) 10,5%  outras (aftas, pigmerntação por AZT, eritema gengival linear) 2,4%  neoplasias (sarcoma de Kaposi e Linfoma não Hodgkin
Manifestações Bucais da AIDS (Ramos-Gomez,2002) Lesões bucais são um dos indicadores precoces da progressão da infecção pelo HIV. Dada a facilidade de exame clínico, tais lesões devem servir de parâmetro no diagnóstico e na prevenção  da AIDS
Manifestações Bucais da AIDS Médicos diagnosticaram  75%  das candidíases pseudomembranosas,  58%  das candidíases eritematosas e  40%  das leucoplasias pilosas quando comparados aos dentistas (Hilton  et al ., 2001)
32 - Paciente do sexo masculino,  55 anos de  idade,  fumante (30 cigarros por dia) e alcoólatra.  A mucosa do palato duro apresenta lesão avermelhada que se estende para o palato mole e pilar amigdaliano, sem sintomatologia dolorosa, sem ulceração e com evolução de aproximadamente 6 meses. Pelo exposto, a hipótese correta de diagnóstico é: a) Líquen plano erosivo. b) Leucoplasia. c) Candidíase aguda atrófica. d) Eritroplasia. e) Estomatite nicotínica.
33 - Paciente do sexo masculino,  60 anos de  idade,  polonês,  agricultor,  apresenta o  lábio  inferior com a superfície  fina, atrófica em muitas áreas e com margens do vermelhão do lábio mal definido. Esse aspecto clínico é característico da: a) Queilite actínica. b) Queilite angular. c) Macroqueilia. d) Queilite glandular. e) Queilite granulomatosa.
34 - No exame preventivo do câncer de boca, o cirurgião dentista deve observar as lesões com potencial de malignização como: a) Estomatite nicotínica, líquen plano e leucoedema. b) Líquen plano, leucoplasia e queilite actínica. c) Leucoedema, leucoplasia e estomatite nicotínica. d) Leucoplasia, nevo branco esponjoso e líquen plano. e) Queilite actínica, nevo branco esponjoso e estomatite nicotínica.
Fatores Causais Tabagismo Etilismo Exposição Solar
 
 
Estratégias de Prevenção do Câncer Bucal Controle dos fatores de risco conhecidos Identificação de lesões com potencial de malignização
Lesões com Potencial de Malignização Queilite actínica Leucoplasia Eritroplasia Líquen Plano?
 
 
Prof Cleto Piazzetta   Diagnóstico Bucal UFPR
 
Caso 3
 
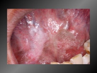
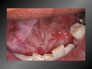
Detalhando... Sexo masculino, melanoderma, solteiro, 45 anos Lesão branca embaixo da língua ,com ardência ao uso de colutório, 10 anos de evolução. Relata uso infreqüente de dipirona para cefaléia. Cirurgias para pterígio e cisto testicular Fumante há 30 anos, 1 maço/dia
 
Citologia Prof. Allan Giovanini – Patologista Bucal – UnicenP/UFPR
Histologia Prof. Allan Giovanini – Patologista Bucal – UnicenP/UFPR
Histologia Prof. Allan Giovanini – Patologista Bucal – UnicenP/UFPR
 
 
 
www.slideshare.net/cassiust
 
Disciplina de Estomatologia UFPR www.estomatologia.ufpr.br  Cassius Torres-Pereira Departamento de Estomatologia UFPR

Preparatório Concurso Odonto Estomatologia

  • 1.
    Curso Preparatório paraConcursos Estomatologia Cassius Torres-Pereira Departamento de Estomatologia UFPR Doutor em Estomatologia PUC-RS Consultor em Estomatologia para o Ministério da Saúde
  • 2.
    Concurso Público daPrefeitura Municipal de Curitiba Edital 03/2009 São classificados como lesões malignas: A) Sarcomas, melanomas, nevo e carcinomas. B) Sarcoma, eritroplasias, líquen plano e leucoplasias. C) Líquen plano, ceratose actínia, carcinoma e eritroplasias. D) Tumores de glândulas salivares, leucoplasias e líquen plano. E) Eritroplasias, nevo, melanoma e leucoplasias.
  • 3.
    Concurso Público daPrefeitura Municipal de Curitiba Edital 03/2009 São doenças sistêmicas que podem se apresentar com manifestações bucais do tipo gengivite descamativa: A) Pênfigo vulgar e eritema multiforme. B) Histoplasmose e candidíase. C) Herpes bucal recorrente e varicela zoster. D) Infecções estreptocócicas e neissuria gonohoeae. E) Granuloma piogênico e reação do tipo corpo estranho.
  • 4.
    Concurso Público daPrefeitura Municipal de Curitiba Edital 03/2009 Qual é o tratamento apropriado para uma paciente de 15 anos com uma gengivite influenciada pelo uso de medicamento Dilantin e que apresenta, além de aumento gengival, pseudobolsas periodontais e acúmulo exagerado de biofilme dental? A) Controle profissional do biofilme dental. B) Gengivectomia e osteoplastia. C) Cirurgia a retalho de Wildman modificado. D) Controle profissional do biofilme dental e gengivectomia. E) Gengivectomia.
  • 5.
    PREFEITURA MUNICIPAL DELONDRINA N º 0 2 3 / 2 0 0 9 Preencha as lacunas abaixo e, em seguida, assinale a alternativa correta.A aparência de dente “rosado” é um sinal patognomônico de _____________ e o tratamento é_____________. (A) traumatismo dental / pulpotomia (B) traumatismo dental / pulpectomia (C) reabsorção radicular interna / pulpectomia (D) reabsorção radicular interna / exodontia (E) manchamento por tetraciclinas / clareamento
  • 6.
    PREFEITURA MUNICIPAL DELONDRINA N º 0 2 3 / 2 0 0 9 De acordo com o Instituto Nacional do Câncer (INCA), o câncer de boca é uma denominação que inclui os cânceres de lábio e de cavidade oral (mucosa bucal, gengivas, palato duro, língua oral e assoalho da boca). O principal sintoma deste tipo de câncer (A) é o aparecimento de feridas na boca que não cicatrizam em uma semana. (B) são ulcerações superficiais dolorosas. (C) são ulcerações superficiais não dolorosas. (D) consiste em dificuldade para falar, mastigar e engolir. (E) é dor e presença de linfadenomegalia cervical.
  • 7.
    PREFEITURA MUNICIPAL DELONDRINA N º 0 2 3 / 2 0 0 9 Na infecção pelo HIV podem ocorrer alterações nos exames laboratoriais, sendo a plaquetopenia um achado comum (Ministério da Saúde. Recomendações para Terapia anti-retroviral em Adultos Infectados pelo HIV. 2008). Complete as lacunas da assertiva a seguir e, em seguida, assinale a alternativa correta. A contagem normal de plaquetas deve estar entre _______ / mm3 sendo que o tempo de sangramento considerado normal é em torno de _______minutos. (A) 50.000 – 80.000 / 5 – 10 (B) 30.000 – 80.000 / 2 – 3 (C) 100.000 – 400.000 / 5 – 10 (D) 30.000 – 50.000 / 2 – 3 (E) 80.000 – 100.000 / 2 – 3
  • 8.
    PREFEITURA MUNICIPAL DEBOMBINHAS ESTADO DE SANTA CATARINA E D I T A L N º 0 0 1 / 2 0 0 9 O tempo mínimo que se deve esperar após realizar extrações dentárias para que se possa iniciar a radioterapia é de (A) 7 a 14 dias, mas se possível aguardar 3 semanas. (B) 30 dias. (C) 60 dias. (D) 90 dias. (E) 180 dias.
  • 9.
    Segundo o InstitutoNacional do Câncer, cerca de 3(três) mil pessoas morrem vítimas de câncer bucal no Brasil por ano. Assinale a alternativa NÃO apresenta um dos principais fatores de risco para o câncer de boca. (A) Fumo. (B) Má higiene bucal. (C) Má alimentação. (D) Deficiência imunológica. (E) Exposição à radiação solar.
  • 10.
    Câncer de Bocae o Ministério da Saúde Política Nacional de Saúde Bucal Coordenação Nacional de Saúde Bucal/DAB/SAS/MS
  • 11.
    Política Nacional deSaúde Bucal 6. AMPLIAÇÃO E QUALIFICAÇÃO DA ATENÇÃO BÁSICA À atenção básica compete assumir a responsabilidade pela detecção das necessidades, providenciar os encaminhamentos requeridos em cada caso e monitorar a evolução da reabilitação, bem como acompanhar e manter a reabilitação no período pós-tratamento. Considerando a complexidade dos problemas que demandam à rede de atenção básica e a necessidade de buscar-se continuamente formas de ampliar a oferta e qualidade dos serviços prestados, recomenda-se a organização e desenvolvimento de ações de: 6.1. Prevenção e controle do câncer bucal realizar rotineiramente exames preventivos para detecção precoce do câncer bucal, garantindo-se a continuidade da atenção, em todos os níveis de complexidade, mediante negociação e pactuação com representantes das três esferas de governo. oferecer oportunidades de identificação de lesões bucais (busca ativa) seja em visitas domiciliares ou em momentos de campanhas específicas (por exemplo: vacinação de idosos); acompanhar casos suspeitos e confirmados através da definição e, se necessário, criação de um serviço de referência, garantindo-se o tratamento e reabilitação . estabelecer parcerias para a prevenção, diagnóstico, tratamento e recuperação do câncer bucal com Universidades e outras organizações.
  • 12.
    Brasília/DF,29 de julho a 1º de agosto de 2004 Cerca de 90 mil participantes diretos nas etapas municipal, estadual e nacional Votado integralmente pelos 883 delegados eleitos
  • 13.
    Serviço Mínimo Ofertadonos Centros de Especialidades Odontológicas do Brasil Sorridente Portaria/GM nº 599, de 23 de março de 2006 Cirurgia Oral Menor; Atendimento a pacientes com necessidades especiais; Estomatologia com ênfase na prevenção e detecção do câncer bucal; Periodontia; Endodontia.
  • 14.
    Dentistas da RedePública de Florianópolis Garbin,2007
  • 15.
    Dentistas da RedePública de Florianópolis Garbin,2007
  • 16.
  • 17.
  • 18.
  • 19.
  • 20.
    07 - Aressecção cirúrgica do tumor e a radioterapia são opções freqüentemente utilizadas no tratamento do paciente com câncer de boca. Os efeitos colaterais da radioterapia no complexo maxilo-mandibular são: a) Osterradionecrose, cárie induzida pela radiação e mielossupressão. b) Cárie induzida pela radiação, mucosite e mielossupressão. c) Osterradionecrose, cárie induzida pela radiação e mucosite. d) Mucosite, mielossupressão e perda do paladar. e) Perda do paladar, mucosite e mielossupressão.
  • 21.
    Complicações da terapiaanti-câncer Cirurgia Radioterapia Quimioterapia
  • 22.
    Tratamento dentário eestomatológico do paciente com câncer de boca Adequação do meio bucal no pré-cirúrgico, radioterápico e quimioterápico Acompanhamento e tratamento das lesões bucais e dentárias surgidas durante o manejo do câncer bucal Acompanhamento e tratamento das lesões bucais e dentárias surgidas após o tratamento do câncer
  • 23.
  • 24.
  • 25.
  • 26.
  • 27.
  • 28.
  • 29.
  • 30.
  • 31.
    Tratamento dentário eestomatológico do paciente com câncer de boca Magalhães,MHCG. et al, 2002 31 pacientes irradiados 90,32% não receberam tratamento odontológico prévio 83,88% não receberam informações sobre complicações bucais da radioterapia 77,41% não receberam orientações sobre os cuidados com a saúde bucal
  • 32.
    Tratamento dentário eestomatológico do paciente com câncer de boca Toljanic et al. 2002 relataram que 51% de 334 pacientes irradiados, falharam em submeter-se ao acompanhamento periódico da saúde bucal no intervalo de 1 ano seguinte à irradiação.
  • 33.
  • 34.
  • 35.
  • 36.
  • 37.
  • 38.
  • 39.
  • 40.
  • 41.
    08 - O carcinoma epidermóide representa aproximadamente 90% dos cânceres de boca. Ele é encontrado com maior freqüência em algumas regiões da boca, como: a) Mucosa jugal, gengiva e palato duro. b) Lábio, mucosa jugal e palato duro. c) Assoalho de boca, língua e gengiva. d) Língua, gengiva e mucosa jugal. e) Lábio, língua e assoalho de boca.
  • 42.
  • 43.
  • 44.
  • 45.
  • 46.
  • 47.
    Epidemiologia Brasil Estimativade 10.635 novos casos em 2003 Estimativa de 3.245 óbitos em 2003 4,25% das mortes por câncer 6 a causa mortis por câncer em homens 8 a causa mortis por câncer em mulheres (INCA, 2003)
  • 48.
    Epidemiologia Paraná –Câncer Bucal 3 o Estado com maior mortalidade proporcional por câncer de boca 11,8 casos para cada 100.000 homens 2,38 casos para cada 100.000 mulheres (Instituto Nacional do Câncer, 2003)
  • 49.
    Epidemiologia PR: Incidênciae Mortalidade por Câncer Estimativa 2003 (Instituto Nacional do Câncer, 2003) PR PR CWB CWB Novos Óbitos Novos Óbitos Inc/Mort Homens 560 230 110 40 5 / 6 Mulheres 120 50 20 10 10 o / 10 o Total 680 280 130 50
  • 50.
    Epidemiologia Hospital ErastoGaertner – 1990 a 1999 9,7% de todos os casos de câncer no sul do país Câncer de boca: 10,4% de todos os tumores em homens 1,6% de todos os tumores em mulheres (LIGA PARANAENSE DE COMBATE AO CÂNCER, 2001)
  • 51.
    Epidemiologia Hospital ErastoGaertner – 1990 a 1999 Tipo histológico mais comum: carcinoma espinocelular (céls. escamosas, epidermóide) 70,4% dos casos na faixa etária acima de 50 anos (LIGA PARANAENSE DE COMBATE AO CÂNCER, 2001)
  • 52.
    Epidemiologia Hospital ErastoGaertner – 1990 a 1999 Câncer de boca – localização (LIGA PARANAENSE DE COMBATE AO CÂNCER, 2001) Homens Mulheres Língua 35,6 31,7 Lábio 29 24,6 Assoalho da boca 15 13,1 Palato 6,9 11,5 Gengiva 2,9 4,9 Outros 10,5 14,2
  • 53.
    Epidemiologia Hospital MarioPenna – Belo Horizonte Dados socioeconômicos do paciente com Ca de Boca 44,8% dos pacientes analfabetos 58,9% dos pacientes com renda inferior a 1 salário mínimo (Abdo, E.N. et al. , 2002 )
  • 54.
    Estadiamento 53,4% Estadio III/IV na admissão I – Sobrevida de 79,5% II – Sobrevida de 59,7% III - Sobrevida de 46,3% IV - Sobrevida de 21,6% (sobrevida em 5 anos) (LIGA PARANAENSE DE COMBATE AO CÂNCER, 2001)
  • 55.
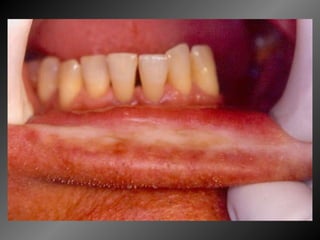
    24 - M.N.,10 anos de idade, compareceu ao consultório odontológico com queixa de “feridas na boca”. Na anamnese relatou indisposição há uma semana, com dores de cabeça e febre. Logo em seguida sua gengiva aumentou de tamanho, começando a sangrar. Ao exame clínico encontramos úlceras rasas, circulares, com halo eritematoso, muito sensíveis, espalhadas por toda a mucosa bucal. Frente a esse quadro clínico, a alternativa correta frente ao diagnóstico é: a) Úlceração aftosa recorrente. b) Gengivoestomatite herpética primária. c) Herpes recorrente. d) Gengivite ulcerativa necrosante aguda. e) Estomatite alérgica por contato.
  • 56.
  • 57.
  • 58.
  • 59.
  • 60.
  • 61.
  • 62.
    25 - L.C.S., sexo masculino, 18 anos de idade, se apresentou com queixa de aumento de volume na gengiva entre os dentes 23 e 24. Pelo exame clínico, constatamos a presença de um nódulo séssil, de contornos irregulares, coloração avermelhada, com sangramento abundante ao mínimo toque e evolução de 1 ano. O paciente apresentava higiene bucal precária com presença de placa bacteriana e tártaro. Com base no quadro clínico, o diagnóstico é: a) Fibroma e granuloma piogênico. b) Granuloma piogênico e hiperplasia fibrosa inflamatória. c) Lesão periférica (granuloma) de células gigantes e fibroma. d) Granuloma piogênico e lesão periférica (granuloma) de células gigantes. e) Hiperplasia fibrosa inflamatória e fibroma.
  • 63.
  • 64.
  • 65.
  • 66.
  • 67.
  • 68.
  • 69.
  • 70.
  • 71.
  • 72.
  • 73.
  • 74.
  • 75.
  • 76.
  • 77.
    Granuloma Piogênico LesãoNodular Séssil ou pediculada Avermelhada ou vinhosa Sangramento espontâneo e áreas de micro-ulceração superficial
  • 78.
    Granuloma Piogênico Lesõesnodulares de coloração avermelhada ou vinhosa Provavelmente uma reação inflamatória exagerada ao trauma menor Crescimento rápido, às vezes sangramento espontâneo Ocorre em qualquer idade mas parece mais freqüente em adultos jovens e adolescentes Localização mais comum: gengiva (NEVILLE,2001)
  • 79.
    Granuloma Piogênico Lesõesmais antigas, são menos vasculares e mais fibrosas Papila interdental e regiões anteriores são áreas preferenciais, principalmente por vestibular (BORK,1996)
  • 80.
  • 81.
  • 82.
  • 83.
  • 84.
  • 85.
  • 86.
  • 87.
  • 88.
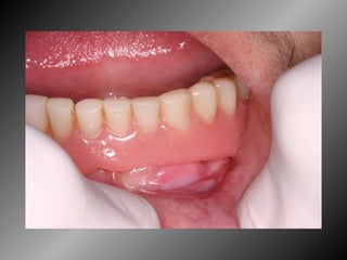
    Granuloma Periférico deCélulas Gigantes Lesões nodulares de coloração avermelhada ou vinhosa Provavelmente uma reação inflamatória exagerada ao trauma menor Crescimento rápido, às vezes sangramento espontâneo Ocorre em qualquer idade mas parece mais freqüente em homens antes dos 16 anos de idade a após esta faixa torna-se duas vezes mais freqüente em mulheres Localização mais comum: gengiva
  • 89.
    Granuloma Periférico deCélulas Gigantes
  • 90.
    Granuloma (Lesão) Periféricode Células Gigantes A excisão cirúrgica deve ser antecedida de exame radiográfico, pois lesão não completamente removida e/ou com infiltração óssea, pode recorrer
  • 91.
  • 92.
  • 93.
  • 94.
  • 95.
  • 96.
    26 - Pacientedo sexo feminino, 30 anos de idade, se apresentou com aumento de volume no corpo da mandíbula, região dos dentes 45, 46 e 47, assintomático e com evolução de aproximadamente 1 ano. Pelo exame clínico constatamos expansão óssea e deslocamento dos dentes 45 e 46 de suas posições normais. Através de radiografia panorâmica observamos uma imagem radiográfica multilocular onde as trabéculas ósseas se encontravam perpendicularmente umas às outras e em outras regiões com aspecto de bolha de sabão. Com base no quadro clínico, o diagnóstico é: a) Ceratocisto e mixoma odontogênico. b) Odontoma composto e ameloblastoma. c) Mixoma odontogênico e ameloblastoma. d) Mixoma odontogênico e odontoma composto. e) Ameloblastoma e ceratocisto.
  • 97.
    Tumores de OrigemOdontogênica Classificação quanto à origem: Epitelial Mesenquimal Mista Classificação quanto ao comportamento biológico: Benignos Malignos (OMS, 1992)
  • 98.
  • 99.
    Tumores Odontogênicos deOrigem Epitelial Benignos Ameloblastoma Tumor Odontogênico Escamoso Tumor Odontogênico Epitelial Calcificante Tumor Odontogênico de Células Claras Malignos Ameloblastoma Maligno Carcinoma intra-ósseo (OMS, 1992)
  • 100.
    Ameloblastoma Freqüência: -1%de todos os cistos e tumores dos maxilares - Maior ocorrência entre a segunda e a quinta décadas de Vida (picos entre 35 e 45) -80% ocorrem na mandíbula -Área de molares inferiores, ramo ascendente de mandíbula. -Na maxila: molares superiores, seios maxilares e assoalho da fossa nasal (TOMMASI e FERNANDES, 2002)
  • 101.
  • 102.
  • 103.
  • 104.
  • 105.
  • 106.
  • 107.
  • 108.
  • 109.
  • 110.
  • 111.
    Tumores Odontogênicos deOrigem Mesenquimal Benignos Mixoma Fibroma odontogênico Cementoblastoma benigno
  • 112.
    Mixoma Freqüência: -Segunda e terceira década de vida -Atinge pouco mais a maxila que a mandíbula (região posterior + frequente)
  • 113.
  • 114.
  • 115.
  • 116.
  • 117.
    Exame complementares RadiografiaPanorâmica; Radiografia Oculsal; Teste de Vitalidade; Punção Exploratória; Biópsia incisional.
  • 118.
  • 119.
  • 120.
    Teste de VitalidadeDente 43: Negativo Dentes 42,44 e 45: Positivo.
  • 121.
  • 122.
  • 123.
  • 124.
  • 125.
  • 126.
  • 127.
  • 128.
  • 129.
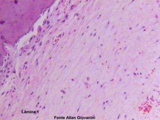
    Aspecto Histopatológico FonteAllan Giovanini Lâmina 1
  • 130.
    Lâmina 2 FonteAllan Giovanini
  • 131.
    Tumores Odontogênicos deOrigem Mista Benignos Fibroma ameloblástico Odontoameloblastoma Tumor Odontogênico Adenomatóide Odontoma complexo e composto Malignos Fibrossarcoma ameloblástico Fibro-odontossarcoma ameloblástico (OMS, 1992)
  • 132.
  • 133.
  • 134.
  • 135.
  • 136.
  • 137.
  • 138.
  • 139.
  • 140.
  • 141.
  • 142.
  • 143.
  • 144.
  • 145.
  • 146.
    27 - Paciente com 25 anos de idade, sexo masculino, se queixa de dor na gengiva, mau hálito, gosto metálico e sangramento. Clinicamente observa-se necrose e ulceração interproximal e pseudomembrana fibrinosa. O diagnóstico é: a) Gengivoestomatite herpética. b) Gengivite descamativa. c) Periodontite juvenil. d) Estomatite aftosa recorrente. e) Gengivite ulcerativa necrosante aguda.
  • 147.
    28 - Pacienteapresenta-se ao consultório com alterações gengivais. Ao final dessa primeira visita, sai com as seguintes instruções: – Evitar tabaco, álcool e condimentos. – Fazer bochechos com 1 copo de água quente misturada em quantidades iguais com peróxido de hidrogênio a 3% a cada 2 horas e/ou duas vezes ao dia com solução de clorexidina a 0,12%. – Exercer as atividades usuais, porém evitar exercícios físicos ou exposições prolongadas ao sol. – Escovar delicadamente os dentes para remoção de resíduos com dentifrício suave. Bochechos de clorexidina poderão também ser úteis no controle de placa.
  • 148.
    Frente a essasinstruções, pode-se depreender que ele é portador de: a) Gengivoestomatite herpética aguda. b) Pericoronarite aguda. c) Abscesso periodontal crônico. d) Abscesso gengival. e) Gengivite necrosante ulcerativa aguda.
  • 149.
  • 150.
  • 151.
  • 152.
    31 - Nospacientes portadores de Síndrome da Imunodeficiência Adquirida (AIDS), podem ser observadas lesões bucais como: a) Candidíase bucal, sarcoma de Kaposi, linfoma não Hodgkin, leucoplasia pilosa e GUNA. b) Candidíase bucal, síndrome de Sjogren, sarcoma de Kaposi, leucoplasia e GUNA. c) Sarcoma de Kaposi, leucoplasia pilosa, líquen plano, candidíase bucal e GUNA. d) Candidíase bucal, líquen plano, leucoplasia, GUNA e sarcoma de Kaposi. e) Candidíase bucal, sarcoma de Kaposi, líquen plano, síndrome de Sjogren e GUNA.
  • 153.
    Manifestações Bucais daAIDS Lesões fortemente associadas com a AIDS Lesões menos freqüentemente associadas à AIDS Lesões vistas em pacientes com AIDS (EC Clearinghouse, 1992)
  • 154.
    Manifestações Bucais daAIDS ( Patton et al .,2002)
  • 155.
    Manifestações Bucais daAIDS ( Patton et al .,2002)
  • 156.
    Manifestações Bucais daAIDS ( Patton et al .,2002)
  • 157.
    Manifestações Bucais daAIDS (Patton et al .,2002) Apesar das diferenças em métodos e limitações de alguns estudos, as lesões que parecem mais prevalentes no paciente HIV positivo são a candidíase pseudomembranosa e a leucoplasia pilosa
  • 158.
    Manifestações Bucais daAIDS (Shiboski et al .,2001) O padrão de ocorrência de lesões associadas com o HIV parece diferir entre crianças e adultos. As lesões mais comuns nas crianças são a candidíase (maior prevalência que em adultos) e o aumento de volume parotídeo , enquanto a leucoplasia pilosa raramente é verificada
  • 159.
    Manifestações Bucais daAIDS ( Patton et al .,2002)
  • 160.
    Manifestações Bucais daAIDS ( Patton et al .,2002)
  • 161.
    Manifestações Bucais daAIDS ( Patton et al .,2002)
  • 162.
    Manifestações Bucais daAIDS Poucos estudos abordam a questão da manifestações bucais na AIDS na adolescência Candidíase 6% (+ comum) Leucoplasia pilosa <1% Nenhum caso de aumento parotídeo Lesões bucais associadas com presença de mais de 5.000 cópias virais/ml (Shiboski et al .,2001)
  • 163.
    Manifestações Bucais daAIDS 56,4% das manifestações bucais de origem fúngica (candidíases pseudomembranosa , eritematosa, hiperplásica e queilite angular) 21% de manifestações bacterianas (gengivite, GUNA e PUNA) 9,7% manifestações virais (herpes, leucoplasia pilosa, zoster, molusco contagioso) 10,5% outras (aftas, pigmerntação por AZT, eritema gengival linear) 2,4% neoplasias (sarcoma de Kaposi e Linfoma não Hodgkin
  • 164.
    Manifestações Bucais daAIDS (Ramos-Gomez,2002) Lesões bucais são um dos indicadores precoces da progressão da infecção pelo HIV. Dada a facilidade de exame clínico, tais lesões devem servir de parâmetro no diagnóstico e na prevenção da AIDS
  • 165.
    Manifestações Bucais daAIDS Médicos diagnosticaram 75% das candidíases pseudomembranosas, 58% das candidíases eritematosas e 40% das leucoplasias pilosas quando comparados aos dentistas (Hilton et al ., 2001)
  • 166.
    32 - Pacientedo sexo masculino, 55 anos de idade, fumante (30 cigarros por dia) e alcoólatra. A mucosa do palato duro apresenta lesão avermelhada que se estende para o palato mole e pilar amigdaliano, sem sintomatologia dolorosa, sem ulceração e com evolução de aproximadamente 6 meses. Pelo exposto, a hipótese correta de diagnóstico é: a) Líquen plano erosivo. b) Leucoplasia. c) Candidíase aguda atrófica. d) Eritroplasia. e) Estomatite nicotínica.
  • 167.
    33 - Pacientedo sexo masculino, 60 anos de idade, polonês, agricultor, apresenta o lábio inferior com a superfície fina, atrófica em muitas áreas e com margens do vermelhão do lábio mal definido. Esse aspecto clínico é característico da: a) Queilite actínica. b) Queilite angular. c) Macroqueilia. d) Queilite glandular. e) Queilite granulomatosa.
  • 168.
    34 - Noexame preventivo do câncer de boca, o cirurgião dentista deve observar as lesões com potencial de malignização como: a) Estomatite nicotínica, líquen plano e leucoedema. b) Líquen plano, leucoplasia e queilite actínica. c) Leucoedema, leucoplasia e estomatite nicotínica. d) Leucoplasia, nevo branco esponjoso e líquen plano. e) Queilite actínica, nevo branco esponjoso e estomatite nicotínica.
  • 169.
    Fatores Causais TabagismoEtilismo Exposição Solar
  • 170.
  • 171.
  • 172.
    Estratégias de Prevençãodo Câncer Bucal Controle dos fatores de risco conhecidos Identificação de lesões com potencial de malignização
  • 173.
    Lesões com Potencialde Malignização Queilite actínica Leucoplasia Eritroplasia Líquen Plano?
  • 174.
  • 175.
  • 176.
    Prof Cleto Piazzetta Diagnóstico Bucal UFPR
  • 177.
  • 178.
  • 179.
  • 180.
    Detalhando... Sexo masculino,melanoderma, solteiro, 45 anos Lesão branca embaixo da língua ,com ardência ao uso de colutório, 10 anos de evolução. Relata uso infreqüente de dipirona para cefaléia. Cirurgias para pterígio e cisto testicular Fumante há 30 anos, 1 maço/dia
  • 181.
  • 182.
    Citologia Prof. AllanGiovanini – Patologista Bucal – UnicenP/UFPR
  • 183.
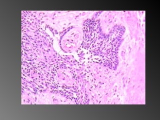
    Histologia Prof. AllanGiovanini – Patologista Bucal – UnicenP/UFPR
  • 184.
    Histologia Prof. AllanGiovanini – Patologista Bucal – UnicenP/UFPR
  • 185.
  • 186.
  • 187.
  • 188.
  • 189.
  • 190.
    Disciplina de EstomatologiaUFPR www.estomatologia.ufpr.br Cassius Torres-Pereira Departamento de Estomatologia UFPR

Notas do Editor

  • #130 Fonte professor Allan Giovanini