Radiologia de Tórax Básica
para Clínicos na
Tuberculose
Jorge Eduardo Pio
Secretaria Municipal de Saúde e Defesa Civil
Gerencia de Pneumologia Sanitária
Date
Basic Radiology for the TB Clinician
Objetivos: Ao final desta apresentação os
participantes devem ser capazes de:
 Analizar a qualidade de uma radiografia usando
critérios simples;
 Identificar anatomia básica normal de uma
radiografia nas incidencias PA e Perfil;
 Reconhecer os padrões radiológicos de doença
e descreve- los usando a terminologia
apropriada;
 Descrever os padrões típicos e atípicos da
apresentação radiológica da tuberculose
pulmonar.
Resumo:
 Aspectos técnicos da
radiografia de tórax
 Abordagem
sistematizada da
“leitura” da radiografia
 Anatomia radiológica
básica
 Padrões de doença
 Manifestações
radiológicas de
tuberculose
Basic Radiology for the TB Clinician
Chest Radiography: Basic Principles
O mais Negro
ar
gordura
tecido mole
cálcio
osso
contraste radiológico
metal
O mais Claro
Transmissão Máxima
do Raio- X
(tecido menos denso)
Absorção Máxima
do Raio - X
(tecido mais denso)
 Foton de Raio-X: Transmitido / absorvido / refletido
 Absorçã de Raio-X depende de:
• Fluxo de energia (constante)
• Densidade do tecido
Porque nós vemos o que
vemos:
 Estruturas são visíveis em
uma radiografia devido a
justaposição de duas
estruturas de diferentes
densidades.
 criando uma interface
 Sinal da Silueta
Perda de uma interface
esperada
 Nenhuma borda entre duas
estruturas pode ser vista
quando a densidade destas
são similares
Differential X-Ray Absorption
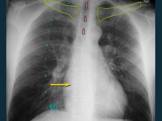
Silhouette Sign: RLL PneumoniaSinal da Silueta : Pneumonia LID
Assess CXR Technical Quality
 Esforço inspiratório
• 9 – 10 costelas posteriores
 Penetração
• Espaço do disco intervertebral torácico
apenas visível
 Posicionamento / rotação
• Extremidade medial das clavículas
equidistantes ao processo espinhoso
10
1
2
3
4
5
6
7
8
9
Inspiratory Effort
Baixos Volumes Pulmonares Inspiração completa
Superexposição Exposição adequada
Exposure
Superexposição Exposição adequada
Rodado (Oblíquo)
Basic Radiology for the TB Clinician
Resumo:
 Aspectos técnicos da
radiografia de tórax
 Abordagem sistematizada
da “leitura” da radiografia
 Anatomia radiológica
básica
 Padrões de doença
 Manifestações radiológicas
de tuberculose
Approach to Reading a CXR
 Seja Sistemático
 Pulmões
 Superficies pleurais
 Contorno do
mediastino e
coração
 Ossos e tecidos
moles
 Abdômen
Faça uma segunda olhada
 Ápices
 Áreas retrocardiaca (esquerda e
direita)
 Regiões hilares
 Região abaixo do diafragma
TB Apical
TB Apical
Opacidade Retrocardiaca Esquerda
Nódulo Atrás do Diafragma
Basic Radiology for the TB Clinician
Resumo:
 Aspectos técnicos da
radiografia de tórax
 Abordagem
sistematizada da “leitura”
da radiografia
 Anatomia radiológica
básica
 Padrões de doença
 Manifestações
radiológicas de
tuberculose
Basic CXR Anatomy
Incidência em PA e Perfil
 Coração
 Aorta
 Artérias
pulmonares
 Vias aéreas
 Arco aórtico
 Artéria pulmonar
direita
 Artéria pulmonar
esquerda
 Traquéia &
brônquios
Basic Radiology for the TB Clinician
Resumo:
 Aspectos técnicos da
radiografia de tórax
 Abordagem
sistematizada da “leitura”
da radiografia
 Anatomia radiológica
básica
 Padrões de doença
 Manifestações
radiogáficas de TB
Chest Radiographic Patterns of Disease
 Consolidação / opacidade do espaço
aereo
 Opacidade intersticial
 Nódulos e massas
 Lifodenopatia
 Cistos e cavidades
 Anormalidades pleurais
 Causado por preenchimento do álveolo
com líquido, pus, sangue, células (tumor),
etc.
 Pode ser difuso, ou isolado a segmentos
ou lobos pulmonares
 Pode estar associado a broncograma
aéreo (brônquios cheios de ar em meio a
um pulmão opacificado)
Consolidação /Opacidade de Espaço
Aéreo
LUL Pneumonia
Opacidade Intersticial
 Doença localizada no interstício pulmonar, i.e.,
o septo alveolar e tecido conjuntivo que apoiam
os alvéolos
 Sinais cardinais:
• Linhas e/ou reticulação
• Pequenos nódulos bem definidos
 Padrão miliar
 DDX: Edema pulmonar, doenças pulmonares
intersticial (ex. fibrose pulmonar idiopática),
sarcoidose, infecção, tumor (linfangite
carcinomatosa), etc.
Interstitial Opacity: Lines
Interstitial Opacity: Lines & Reticulation
 Nódulo: discreta lesão pulmonar, bem
definida, opacidade quase circular 0.2 - 3 cm
 Massa: maior que 3 cm
 Procure descrevar as quesitos:
• Solitário ou múltiplo
• Tamanho
• Características da borda
• Presença or ausencia de calcificação
• Localização
Nódulos e Massas
Bem-Definida Calcificação
Mal-Definida Massa
Linfadenopatia (LAN)
 Termos Especificos :
• Alargamento Mediastinal
• Alargamento Hilar
 Evite usar termos como:
• Hilo proeminente
É importante conhecer o aspecto “normal”
para reconhecer o que for “ anormal”
 Janela hilar
inferior (hilar
direita e/ou
subcarinal)
 Hilar esquerda
 Subcarinal
Linfoadenopatia
Paratraqueal direita & Bilateral LAN
Hilar Direita LAN
Hilar Direita LAN
*
Subcarinal LAN
Janela Aortico Pulmonar LAN
Cistos & Cavidades
 Espaços Anormais no parênquima pulmonar
(“buracos”), preenchidos com ar e/ou líquido,
com uma parede apenas definivel (>1 mm)
• Cistos: congenitos ou adquiridos
• Cavidades: causadas por necrose tissular,
(inflamatorio e/ou neoplasico)
 Caracterize:
• Espessura da parede na porção mais fina
• Superfície interna
• Presença / absence de nivel hidroaéreo
• Número e localização
TB or Not TB? Cistos and Cavidades
A
“Homem ,45 anos
com tosse e perda
de peso”.
Existem
achados
radiográficos
sugestivos
de doença
benigna ou
maligna?
C
D
B
TB or Not TB? Cysts and Cavities
Existem achados radiograficos que sugerem
diagnósticos de doença benigna ou maligna?
 Cistos benignos : parede com espessura
uniforme , 1mm, superfície interna lisa (ex.
PCP)
 Cavidades Benignas :
espessura máxima da
parede  4 mm
superfície interna pouco
irregular(ex TB)
 CavIdades Malignas:
espessura máxima da parede 16
mm superfície interna Irregular
 Derrame
• De apagamento de
seio costofrênico a
massivo
 Espessamento
 Massa
 Ar
 Calcificação
Pleural Disease: Basic Patterns
Pleural Effusion
Post TB Pleural Calcification
Plombage with Lucite balls
Basic Radiology for the TB Clinician
Overview:
 Technical aspects of
chest radiography
 Systematic approach
to reading CXR
 Basic CXR anatomy
 Patterns of disease
 Radiographic
manifestations of TB
“Typical Pattern”:
Post-primary TB
 Distribution
• Apical / posterior segments
of upper lobes
• Superior segments of lower
lobes
• Isolated anterior segment
involvement unusual for
M.tb (think M. avium
complex)
Can this be TB?
“Padrão típico”: TB Pós-Primaria
Padrões de doença
• Consolidação de espaço aéreo
• Cavitação, nódulo cavitado
• Diseminação brônquica
• Miliar
• Broncostenose
• Tuberculoma
• Derrame Pleural
(empiema mais provavel em
doença pós-primaria)
“Atypical pattern”:
Primary TB
 Distribution : any lobe involved
(slight lower lobe
predominance)
 Air-space consolidation
 Cavitation is uncommon (<10%)
 Adenopathy is common
(esp. children and HIV),
predilection for right side
 Miliary pattern
 Pleural effusions
Can this be TB?
Can this be TB? Miliary TB
TB Pattern
“Typical”
(Post-Primary)
“Atypical”
(Primary)
Infiltrate 85% upper
Upper : Lower
60 : 40
Usually upper in
children
Cavitation Common Uncommon
Adenopathy Uncommon
Children common
Adults ~30%
Unilateral > bilateral
Effusion May be present May be present
Radiographic Patterns: Pulmonary TB
Early HIV
(CD4>200)
Advanced HIV
(CD4<200)
Pattern
“Typical”
(Post-primary)
“Atypical”
(Primary)
Infiltrate Upper lobes
Lower lobes, multiple
sites, or miliary
Cavitation Common Uncommon
Adenopathy Uncommon Common
Effusion Uncommon More common
CXR Pattern: Early vs. Advanced HIV
“Old / healed” TB
 Ca++ granuloma - Ghon lesion
 Ca++ granuloma and hilar node
calcification - Ranke complex
 Apical pleural thickening
 Fibrosis and volume loss
Can this be TB?
Basic Radiology for the TB Clinician
Summary:
 Remember: Technical quality
can significantly impact your
CXR interpretation
 Develop a systematic
approach (use every time!)
 Practice identifying normal
CXR anatomy
 Important to characterize and describe lesions—this
can help with your differential diagnosis
 Whether typical or atypical
 TB can always fool you!

Chest radiology 2009 traducao

  • 1.
    Radiologia de TóraxBásica para Clínicos na Tuberculose Jorge Eduardo Pio Secretaria Municipal de Saúde e Defesa Civil Gerencia de Pneumologia Sanitária Date
  • 2.
    Basic Radiology forthe TB Clinician Objetivos: Ao final desta apresentação os participantes devem ser capazes de:  Analizar a qualidade de uma radiografia usando critérios simples;  Identificar anatomia básica normal de uma radiografia nas incidencias PA e Perfil;  Reconhecer os padrões radiológicos de doença e descreve- los usando a terminologia apropriada;  Descrever os padrões típicos e atípicos da apresentação radiológica da tuberculose pulmonar.
  • 3.
    Resumo:  Aspectos técnicosda radiografia de tórax  Abordagem sistematizada da “leitura” da radiografia  Anatomia radiológica básica  Padrões de doença  Manifestações radiológicas de tuberculose Basic Radiology for the TB Clinician
  • 4.
    Chest Radiography: BasicPrinciples O mais Negro ar gordura tecido mole cálcio osso contraste radiológico metal O mais Claro Transmissão Máxima do Raio- X (tecido menos denso) Absorção Máxima do Raio - X (tecido mais denso)  Foton de Raio-X: Transmitido / absorvido / refletido  Absorçã de Raio-X depende de: • Fluxo de energia (constante) • Densidade do tecido
  • 5.
    Porque nós vemoso que vemos:  Estruturas são visíveis em uma radiografia devido a justaposição de duas estruturas de diferentes densidades.  criando uma interface  Sinal da Silueta Perda de uma interface esperada  Nenhuma borda entre duas estruturas pode ser vista quando a densidade destas são similares Differential X-Ray Absorption
  • 6.
    Silhouette Sign: RLLPneumoniaSinal da Silueta : Pneumonia LID
  • 7.
    Assess CXR TechnicalQuality  Esforço inspiratório • 9 – 10 costelas posteriores  Penetração • Espaço do disco intervertebral torácico apenas visível  Posicionamento / rotação • Extremidade medial das clavículas equidistantes ao processo espinhoso
  • 8.
  • 9.
    Inspiratory Effort Baixos VolumesPulmonares Inspiração completa
  • 10.
  • 11.
  • 12.
  • 13.
    Basic Radiology forthe TB Clinician Resumo:  Aspectos técnicos da radiografia de tórax  Abordagem sistematizada da “leitura” da radiografia  Anatomia radiológica básica  Padrões de doença  Manifestações radiológicas de tuberculose
  • 14.
    Approach to Readinga CXR  Seja Sistemático  Pulmões  Superficies pleurais  Contorno do mediastino e coração  Ossos e tecidos moles  Abdômen
  • 15.
    Faça uma segundaolhada  Ápices  Áreas retrocardiaca (esquerda e direita)  Regiões hilares  Região abaixo do diafragma
  • 16.
  • 17.
  • 18.
  • 19.
  • 20.
    Basic Radiology forthe TB Clinician Resumo:  Aspectos técnicos da radiografia de tórax  Abordagem sistematizada da “leitura” da radiografia  Anatomia radiológica básica  Padrões de doença  Manifestações radiológicas de tuberculose
  • 21.
    Basic CXR Anatomy Incidênciaem PA e Perfil  Coração  Aorta  Artérias pulmonares  Vias aéreas
  • 23.
     Arco aórtico Artéria pulmonar direita  Artéria pulmonar esquerda  Traquéia & brônquios
  • 24.
    Basic Radiology forthe TB Clinician Resumo:  Aspectos técnicos da radiografia de tórax  Abordagem sistematizada da “leitura” da radiografia  Anatomia radiológica básica  Padrões de doença  Manifestações radiogáficas de TB
  • 25.
    Chest Radiographic Patternsof Disease  Consolidação / opacidade do espaço aereo  Opacidade intersticial  Nódulos e massas  Lifodenopatia  Cistos e cavidades  Anormalidades pleurais
  • 26.
     Causado porpreenchimento do álveolo com líquido, pus, sangue, células (tumor), etc.  Pode ser difuso, ou isolado a segmentos ou lobos pulmonares  Pode estar associado a broncograma aéreo (brônquios cheios de ar em meio a um pulmão opacificado) Consolidação /Opacidade de Espaço Aéreo
  • 27.
  • 28.
    Opacidade Intersticial  Doençalocalizada no interstício pulmonar, i.e., o septo alveolar e tecido conjuntivo que apoiam os alvéolos  Sinais cardinais: • Linhas e/ou reticulação • Pequenos nódulos bem definidos  Padrão miliar  DDX: Edema pulmonar, doenças pulmonares intersticial (ex. fibrose pulmonar idiopática), sarcoidose, infecção, tumor (linfangite carcinomatosa), etc.
  • 29.
  • 30.
  • 31.
     Nódulo: discretalesão pulmonar, bem definida, opacidade quase circular 0.2 - 3 cm  Massa: maior que 3 cm  Procure descrevar as quesitos: • Solitário ou múltiplo • Tamanho • Características da borda • Presença or ausencia de calcificação • Localização Nódulos e Massas
  • 32.
  • 33.
    Linfadenopatia (LAN)  TermosEspecificos : • Alargamento Mediastinal • Alargamento Hilar  Evite usar termos como: • Hilo proeminente É importante conhecer o aspecto “normal” para reconhecer o que for “ anormal”
  • 35.
     Janela hilar inferior(hilar direita e/ou subcarinal)  Hilar esquerda  Subcarinal Linfoadenopatia
  • 36.
  • 37.
  • 38.
  • 39.
  • 40.
  • 41.
    Cistos & Cavidades Espaços Anormais no parênquima pulmonar (“buracos”), preenchidos com ar e/ou líquido, com uma parede apenas definivel (>1 mm) • Cistos: congenitos ou adquiridos • Cavidades: causadas por necrose tissular, (inflamatorio e/ou neoplasico)  Caracterize: • Espessura da parede na porção mais fina • Superfície interna • Presença / absence de nivel hidroaéreo • Número e localização
  • 42.
    TB or NotTB? Cistos and Cavidades A “Homem ,45 anos com tosse e perda de peso”. Existem achados radiográficos sugestivos de doença benigna ou maligna? C D B
  • 43.
    TB or NotTB? Cysts and Cavities Existem achados radiograficos que sugerem diagnósticos de doença benigna ou maligna?  Cistos benignos : parede com espessura uniforme , 1mm, superfície interna lisa (ex. PCP)  Cavidades Benignas : espessura máxima da parede  4 mm superfície interna pouco irregular(ex TB)  CavIdades Malignas: espessura máxima da parede 16 mm superfície interna Irregular
  • 44.
     Derrame • Deapagamento de seio costofrênico a massivo  Espessamento  Massa  Ar  Calcificação Pleural Disease: Basic Patterns
  • 45.
  • 46.
    Post TB PleuralCalcification
  • 47.
  • 48.
    Basic Radiology forthe TB Clinician Overview:  Technical aspects of chest radiography  Systematic approach to reading CXR  Basic CXR anatomy  Patterns of disease  Radiographic manifestations of TB
  • 49.
    “Typical Pattern”: Post-primary TB Distribution • Apical / posterior segments of upper lobes • Superior segments of lower lobes • Isolated anterior segment involvement unusual for M.tb (think M. avium complex) Can this be TB?
  • 50.
    “Padrão típico”: TBPós-Primaria Padrões de doença • Consolidação de espaço aéreo • Cavitação, nódulo cavitado • Diseminação brônquica • Miliar • Broncostenose • Tuberculoma • Derrame Pleural (empiema mais provavel em doença pós-primaria)
  • 51.
    “Atypical pattern”: Primary TB Distribution : any lobe involved (slight lower lobe predominance)  Air-space consolidation  Cavitation is uncommon (<10%)  Adenopathy is common (esp. children and HIV), predilection for right side  Miliary pattern  Pleural effusions Can this be TB?
  • 52.
    Can this beTB? Miliary TB
  • 53.
    TB Pattern “Typical” (Post-Primary) “Atypical” (Primary) Infiltrate 85%upper Upper : Lower 60 : 40 Usually upper in children Cavitation Common Uncommon Adenopathy Uncommon Children common Adults ~30% Unilateral > bilateral Effusion May be present May be present Radiographic Patterns: Pulmonary TB
  • 54.
    Early HIV (CD4>200) Advanced HIV (CD4<200) Pattern “Typical” (Post-primary) “Atypical” (Primary) InfiltrateUpper lobes Lower lobes, multiple sites, or miliary Cavitation Common Uncommon Adenopathy Uncommon Common Effusion Uncommon More common CXR Pattern: Early vs. Advanced HIV
  • 55.
    “Old / healed”TB  Ca++ granuloma - Ghon lesion  Ca++ granuloma and hilar node calcification - Ranke complex  Apical pleural thickening  Fibrosis and volume loss Can this be TB?
  • 56.
    Basic Radiology forthe TB Clinician Summary:  Remember: Technical quality can significantly impact your CXR interpretation  Develop a systematic approach (use every time!)  Practice identifying normal CXR anatomy  Important to characterize and describe lesions—this can help with your differential diagnosis  Whether typical or atypical  TB can always fool you!