Caso Clínico- Urologia
Camila Joau
Priscilla Liberato
Renata Lima
Ricardo Liborio
Rodrigo Tavares
Vanessa Boeira
Caso Clínico
• Paciente do sexo masculino, 47 anos. Há 2 anos
  passou a apresentar dificuldade para iniciar a
  micção associado a jato urinário fraco. O quadro
  clínico evoluiu para uma retenção urinária,
  quando chegou á emergência.
• Toque Retal: próstata lisa, firbroelástica,
  aumentada em 2 vezes.
Priscilla Liberato
Classificação:
• Causa
Congênita X Adquirida
• Duração
Aguda X Crônica
• Grau
Parcial X Completo
• Nível
Trato urinário superior X Inferior
Classificação:
Causas adquiridas:
• Constrição uretral sec. à infecção ou lesão;
• HPB ou CA de próstata;
• Cálculo ureteral;
• Tumor vesical;
• Nódulos metastáticos de CA de próstata
• Gravidez
• Disfunção neurogênica da bexiga
Patogênese:




•Compensação: Hipertrofia da parede da bexiga e Divertículo
•Descompensação: resíduo de até 500 ml
Patogênese:




•Alteração do parênquima renal: Compressão + Atrofia isquêmica

•Recuperação: 4 semanas
Achados Clínicos:
• Fase de compensação:
Urgência urinária; Polaciúria; Redução da força e
 calibre do jato urinário; Hesitação; Dor no flanco;
 Hematúria etc

• Fase de descompensação:
Polaciúria progressiva; Hesitação significativa;
 interrupção do jato; Retenção urinária completa
(1 a 3 L)
Exames Complementares
• Sangue: Leucocitose; Relação U/Cr elevada
• Rx: cálculo ureteral, metástase tumoral
• Urografia excretora: grau de dilatação e ponto da
  estenose
• Toque retal: aumento da próstata
• Us: grau da hidronefrose
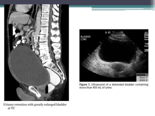
Urinary retention with greatly enlarged bladder
   at TC
Camila Joau
Avaliação
•   História prévia de retenção
•   Câncer de próstata
•   Cirurgia
•   Radiação
•   Trauma pélvico

•   Hematúria
•   Disúria
•   Febre
•   Dor lombar
•   Sintomas neurológicos
•   Erupção cutânea

• Medicações em uso.
O exame físico deve incluir:
• Palpação abdominal - A bexiga pode ser palpável, tanto no
  exame abdominal ou retal.

• Palpação suprapúbica profunda - Provocará desconforto

• Toque retal - Em homens e mulheres
  ▫ Avaliar massas, impactação fecal, tônus ​do esfíncter retal.
  ▫ Exame de próstata normal não exclui BPH como causa da obstrução.

• Exame ginecológico

• Avaliação neurológica - Avaliação de força, sensibilidade,
  reflexos e tônus ​muscular.
Manejo Inicial – R.U.A.
    • Descompressão imediata e completa
      da bexiga.
         ▫ Cateterismo uretral
         ▫ Cateterismo suprapúbico



    Contraindicação para cateterismo uretral:
    • Cirurgia urológica recente (ex: prostatectomia
      radical ou reconstrução uretral)

    Complicações:
    • Hematúria, hipotensão e diurese pós obstrutiva


SELIUS B A, SUBEDI R. American Family Physician, 2008 ; Vol 77, No 5
DESGRANDCHAMPS F, DE LA TAILLE A, DOUBLET J D. BJU Int 2006;
97:727.
Cateter vesical de demora




Cateter vesical de alívio
Cateterismo suprapúbico
• Menos infecção do trato urinário

• Menor desconforto

• Avaliar a capacidade do paciente para eliminar urina antes de
  remover o cateter

• Evita dilatação do colo da bexiga e da uretra
   ▫   Portanto, previne incontinência urinária devido a uma disfunção do
       esfíncter.

• Evita o risco de estenose de uretra posterior

• Preferível em pacientes, especialmente mulheres, que requerem longo
  prazo de drenagem da bexiga


No entanto:
   ▫   Risco aumentado de complicações associadas com a colocação
       (perfuração do intestino, infecção da ferida)



                                            THOMAS K et al. Prostate Cancer and Prostatic Diseases, 2004; 7, 32-37
                                            SELIUS B A, SUBEDI R. American Family Physician, 2008 ; Vol 77, No 5
Tratamento Farmacológico
Alfa bloqueadores (Alfuzosina; Tansulosina):
• Alívio da obstrução mecânica associada com HPB por
  relaxamento da musculatura lisa do colo vesical, cápsula
  e estroma prostático.


Inibidores da 5-alfa redutase                              (Finasterida;
  Dutasteride):
• Bloqueio seletivo da      conversão            de       testosterona
  a dihidrotestosterona.
• Diminui incidência de retenção urinária aguda em
  homens com HPB;
• NÃO têm um papel na forma aguda
  ▫ Necessária maior duração para redução no tamanho da
    próstata.
                             SELIUS B A, SUBEDI R. American Family Physician, 2008 ; Vol 77, No 5
                             THOMAS K et al. Prostate Cancer and Prostatic Diseases, 2004; 7, 32-37
Após tratamento inicial
• Maioria seguimento ambulatorial.
• Paciente deve ser instruído no manejo do cateter.
• Antibiótico profilaxia não é indicada.


Indicações para internação:
• Sepse (urosépticos)

• Obstrução relacionada a malignidade ou compressão medular.



• “A conduta definitiva da retenção urinária dependerá da etiologia de
  base, podendo incluir tratamento cirúrgico e farmacológico.”

                                  SELIUS B A, SUBEDI R. American Family Physician, 2008 ; Vol 77, No 5
Renata Lima
Hiperplasia Prostática Benigna
• Anatomia da próstata




                                                         Tanagho, Emil A., Urologia Geral de
                                                 Smith

      Moore, Keith L., Anatomia orientada para
Hiperplasia Prostática Benigna
• Prevalência

  - 8% em homens de 31 a 40 anos
  - 40 a 50% em homens de 51 a 60 anos
  - 80% aos 80 anos
                                   Uptodate: Epidemiology and pathogenesis of BPH


• Fatores de risco

  - Idade
  - Presença dos testículos
  - História familiar
  - Negros
Hiperplasia Prostática Benigna
• Patogênese
                                    5-alfa-redutase


 - Célula epitelial: Testosterona                     DHT

 - Proliferação do epitélio glandular

 - Produção de fatores de crescimento pelo estroma
Hiperplasia Prostática Benigna
• Fenômenos fisiopatológicos

                        Mecânica: Compressão
  - Obstrução Uretral
                         Dinâmica: Contração de fibras
                         musculares com receptores alfa-
                         adrenérgicos
 - Hipertrofia do músculo detrusor da bexiga

 - Estímulos neuronais anormais
Hiperplasia Prostática Benigna
• Manifestações Clínicas

 -Jato urinário fraco, esforço miccional,
 hesitância, esvaziamento incompleto,
 gotejamento pós miccional

 - Urgência, polaciúria, noctúria
Hiperplasia Prostática Benigna
• International Prostatic Symptoms Score (IPSS)
   - Classificar sintomas
   - Direcionar o tratamento
   - Avaliar a eficácia
   - 7 sintomas avaliados quanto à intensidade
           • 0 a 7: sintomas leves
           • 8 a 19: sintomas moderados
           • 20 a 35: sintomas graves
Hiperplasia Prostática Benigna
• Complicações

 - Retenção urinária aguda
 - Infecção urinária e prostatite
 - Litíase Vesical
 - Falência do Detrusor
 - Insuficiência renal
 - Hematúria
Ricardo Liborio
Estratégia diagnóstica adequada
         História clínica detalhada

                 Toque retal

            Exames laboratoriais

 Ultrassonografia transabdominal
Urofluxometria
História clínica
• Idade
• Evolução
• Sintomas obstrutivos ou de esvaziamento:
Hesitação
Intermitência miccional
Jato urinário fraco
Resíduo vesical
• Irritativos ou de armazenamento:
Polaciúria
Urgência
Nictúria
História clínica
Deve-se também investigar:
• Febre
• Sintomas neurológicos
• Hematúria
• Trauma uretral
• Instrumentação urinária
• História de DST
• Uso de medicamentos anticolinérgicos ou
  simpatomiméticos
Toque retal
• Aumento simétrico do volume prostático

• Consistência fibroelástica

• Sulco interlobular preservado
Toque retal
Afastam o diagnóstico de HPB:

• Nódulos endurecidos

• Tônus do esfincter anal reduzido
Exames laboratoriais
• Exame de urina

• Ureia e creatinina

• PSA – Normal ou pouco elevado
Diagnóstico diferencial
Predomínio de sintomas irritativos ou de
  armazenamento:
• Bexiga do idoso
• Doenças neurológicas do SNC – AVC, Demência,
  Parkinson, tumores
• Outras doenças urológicas – Infecção urinária,
  prostatite infecciosa, cálculos vesicais,
  neoplasias invasivas
Diagnóstico diferencial
Predomínio de sintomas obstrutivos ou de
  esvaziamento:
• Estenose uretral

• Obstrução funcional do colo vesical

• Bexiga neurogênica – Diabetes, desnutrição,
  alcoolismo
Diagnóstico diferencial
Sintomas mistos:

• Afecções da medula – Trauma, hérnia de disco,
  tumorações
Vanessa Boeira
Rodrigo Tavares
Objetivos
1. Avaliar manifestações clínicas do paciente
2. Corrigir alterações relacionadas ao
   crescimento prostático
 ▫ Sintomas leves (I-PSS<8): acompanhamento
   anual
 ▫ Sintomas moderados a severos (I-PSS>8):
   inicialmente conduzidos com terapia
   medicamentosa
 ▫ Pacientes mais severos (I-PSS>19) evoluem com
   procedimento cirúrgico em 30% dos casos
Tratamento clínico
• Orientação e monitoração anual
• Utilizada na maioria dos portadores de HPB
• Melhora sintomática espontânea é da ordem de
  42-45%
Alfabloqueadores
• Bloqueio dos receptores alfa-1-adrenérgicos no
  músculo liso
  ▫ estroma prostático, na uretra e no colo vesical
• Relaxa a musculatura e diminui a resistência do
  fluxo urinário
• Alguns atuam induzindo apoptose celular prostática
• Melhora clínica já nos primeiros dias de tratamento
• Diminuição de 30-40% nos sintomas de
  esvaziamento
• Melhora de 16-25% no fluxo urinário máximo
Alfabloqueadores
Alfabloqueadores
• Indicação:
  ▫ Pouca influência do tamanho da próstata ou do valor
    do PSA
  ▫ Pacientes de próstata de pequeno volume que
    necessitam rápido alívio dos sintomas
  ▫ Sintomáticos sem indicação cirúrgica
  ▫ Com indicação, que não aceitam operar
  ▫ Com contraindicação para cirurgia
  ▫ Que aguarda a cirurgia
  ▫ Profilaxia de retenção urinária em pcts submetidos a
    cirurgias intercorrentes
Alfabloqueadores
    α – 1 de longa ação
        Doxazosina                 2,4 ou 8 mg/ dia

       α -1 A seletivo
        Tansulosina                  04- 0,8 mg/dia
         Alfuzosina                    10 mg/dia




  Efeitos colaterais:
     hipotensão ortostática, tonturas, cefaleia e fraqueza

  Seletivo:
     reduz efeito de hipotensão postural, porém pode desencadear
        ejaculação retrógrada
Alfabloqueadores
 Contra-indicações

• Absolutas:
  ▫ Insuficiência renal pós-renal e/ou resíduo vesical elevado
    causado por HPB
  ▫ Pacientes com história de hipotensão postural ou
    hipersensibilidade à droga

• Relativas
  ▫ Doença cerebrovascular
  ▫ História de síncope
  ▫ Retenção urinária aguda repetida ou infecção urinária
    recorrente devidas à HPB
Inibidores da 5-AR

• Enzima que converte a testosterona em sua forma mais
  potente, a di-hidrotestosterona (DHT)
    ▫ Tipo 1: fígado, pele, folículos pilosos, glândula sebácea e próstata
      em pequena quantidade
    ▫ Tipo2: masculinização do feto e próstata em maior quantidade

• Finasterida: tipo2
• Dutatesrida: tipos 1 e 2

•   Diminuição de 70-90% dos níveis intraprostáticos de DHT
•   Reduz volume ~20%
•   Reduz PSA ~50%
•   Melhora sintomática, reduz risco de cirurgia e progressão
    clínica da doença
Inibidores da 5-AR
       Finasterida              5 mg/dia
       Dutasterida              0,5mg/ dia




   Efeito colateral    Tipo2:            Tipos 1 e 2:
                       Finasterida       Dutasterida
   Disfunção erétil    3 a 4%            1 a 6%
   Diminuição da       4 a 5%            4%
   libido
   Ejaculação tardia   4 a 5%            1 a 2%
   Ginecomastia        -                 1 a 2%
Terapia combinada

• Terapia hormonal: componente estático
• Alfabloqueadores: obstrução dinâmica
• Atua nos dois componentes obstrutivos da HPB,
  alterando a história natural da doença
• Benefícios em pcts com próstata volumosa na
  USG transretal (>30ml) e LUTS moderados a
  severos
 O uso da terapia combinada é segura a longo prazo e reduz o risco de
  progressão clínica da HPB de maneira mais significativa que a terapia
  feita com cada droga separadamente

 A terapia combinada, assim como o uso único de finasterida,
  reduziram o risco de retenção urinária aguda e a necessidade de
  terapia invasiva
Fitoterápicos
• Fruto do saw palmetto (Serenoa repens), casca
  de Pygeum africanum, raiz da Echinacea
  porpurea e Hypoxis rooper
• Propriedades antiandrogênicas, anti-
  inflamatórias e antiproliferativas
• Poucos estudos , bastante heterogêneos
• Não recomendado pela SBU
Tratamento Minimamente Invasivo

• Uso de novas técnicas:
 ▫   menor tempo cirúrgico;
 ▫   menor permanência hospitalar;
 ▫   menores taxas de complicações;
 ▫   menor custo
Stents uretrais
• Introdução de stents por via endoscópica na uretra
  prostática
• Temporários e definitivos
• Recoberto por urotélio em 4-6 meses
• Indicação:
  ▫ pcts sem condições para procedimento anestésico e
    cirúrgico
 Pouco utilizados
 Alto custo
 Resultados transitórios
Termoterapia transuretral por
microondas (TMUT)
• Aquecimento da próstata acima de 450 C com cateter
  transuretral, formando necrose de coagulação
• Destrói o tecido em excesso
• Anestesia local ou sedação endovenosa
• Melhora no I-PSS e no fluxo urinário
• Não é efetiva como a RTUP
Ablação transuretral por agulha
(TUNA)
• Utiliza-se um gerador de radiofrequência e um endoscópio
  ▫ Liberação de calor no interior da próstata através da penetração
    por agulhas
  ▫ Formação de áreas de necrose de coagulação no tecido prostático
  ▫ Após reabsorção da necrose ocorre melhora dos sintomas
    obstrutivos
Ablação transuretral por agulha
(TUNA)
• Indicação:
 ▫ pcts com score de sintomas moderados, próstatas
   menores que 40g e lobos laterais proeminentes
Não há necessidade de internação
pode ser feito com sedação endovenosa e
 anestesia local
Complicações:
  retenção urinária, hematúria, frequência e
  urgência que persistem por até 2 semanas
Ablação prostática por Holmium laser
(HoLAP)
• Holium laser: vaporiza a água dos tecidos e tem
  boa propriedade hemostática
• Pode ser utilizado em pctes em uso de
  anticoagulantes
Desvantagens:
 tempos cirúrgico longo, falta de material para
  estudo anatomopatológico, sintomas irritativos
  prolongados no pós-operatório
Alto custo de manutenção do aparelho
Tratamento cirúrgico
•   Experiência do cirurgião
•   Condições clínicas do paciente
•   Disponibilidades existentes
•   Principais indicações cirúrgicas:
    ▫   Retenção urinária persistente
    ▫   Infecções urinárias de repetição
    ▫   Uretero-hidronefrose
    ▫   Insuficiência renal devido a HPB
    ▫   Falha do tratamento medicamentoso
    ▫   Hematúria macroscópica recorrente de origem prostática
    ▫   Cálculo vesical devido a HPB
    ▫    Divertículos vesicais associados a infecção recorrente ou
        disfunção vesical
Incisão transuretral da próstata (ITUP)
 • Incisão que se estende do trígono vesical justa-
   meatal e termina no veromontanum prostático,
   em profundidade até a gordura retrovesical e
   prostática, seccionando o colo vesical
Incisão transuretral da próstata (ITUP)
• Fácil execução, rápida recuperação e resultados
  superponíveis a RTUP
• Indicação:
  ▫ pacientes jovens, sintomatologia de moderada a
    severa e próstata de pequeno tamanho (<30g)
• Baixa morbidade
  ▫ menor sangramento, menores problemas de
    ejaculação e menor tempo de cateterismo
• Taxa de retratamento após 5 anos é menor que
  15%
Ressecção transuretral da próstata
(RTUP)
• Bastante utilizada, técnica-padrão no tratamento
  de HPB nos últimos 30 anos
• Redução do numero de procedimentos devido a
  aplicação de novas técnicas e tratamento
  farmacológico eficaz
• Maior conhecimento sobre complicações e
  limitações
• Deve ser aplicada a próstatas inferiores a 6og,
  mas a execução é operador-dependente
Ressecção transuretral da próstata
(RTUP)
Ressecção transuretral da próstata
(RTUP)
• Excelente expectativa de melhora sintomática do I-PSS
  (85-90%) e do fluxo urinário (150%)

• Complicações intra e peri-operatórias:
  ▫ Risco de hemorragia e necessidade de transfusão 4%
  ▫ Síndrome pós RTUP ou intoxicação hídrica:
     absorção intravascular de líquido de irrigação hiposmolar
      provocando hiponatremia, hipercalemia, hemólise, convulsões
      e coma
• Complicações pós-cirúrgicas
  ▫ Disfunção erétil, ejaculação retrógrada, incontinência
    urinária, estenose uretral ou de colo vesical

• Taxa de retratamento de 7-12% em 8 anos
Ressecção transuretral da próstata
(RTUP)
Prostatectomia aberta
• Incisão abdominal infra-umbilical e enucleação
  do adenoma por via transvesical suprapúbica ou
  por via retropúbica (técnica de Millin)
Prostatectomia aberta
• Reservada para próstatas maiores que 80g
 Melhores resultados a longo prazo
  ▫ Parâmetros clínicos (95%) ; no fluxo urinário (200%),
    além de menor taxa de re-intervenção (2%)
 Invasivo
   3-5% precisam de transfusões, necessita permanência
    hospitalar prolongada e longo período de inatividade
• Aumento da indicação nos últimos anos
  ▫ O tratamento clínico posterga a cirurgia, acarretando
    operações em próstatas cada vez maiores
Bibliografia
• Nardozza, Zerati, Reis, UROLOGIA FUNDAMENTAL,
  Sociedade Brasileira de Urologia
• Projeto Diretrizes- Hiperplasia Prostática Benigna; SBU 2006
• McConnell e col. The Long-Term Effect of Doxazosin,
  Finasteride, and Combination Therapy on the Clinical
  Progression of Benign Prostatic Hyperplasia; NEJM 2003
• AUA Guideline on the Management of Benign Prostatic
  Hyperplasia: Diagnosis and Treatment Recommendations-
  2003 American Urological Association Education and
  Research,
• http://www.uroclinicacuritiba.com.br/prostata.htm;
  acessado em 13 de março de 2012
Obrigado!

Caso clínico urologia

  • 1.
    Caso Clínico- Urologia CamilaJoau Priscilla Liberato Renata Lima Ricardo Liborio Rodrigo Tavares Vanessa Boeira
  • 2.
    Caso Clínico • Pacientedo sexo masculino, 47 anos. Há 2 anos passou a apresentar dificuldade para iniciar a micção associado a jato urinário fraco. O quadro clínico evoluiu para uma retenção urinária, quando chegou á emergência. • Toque Retal: próstata lisa, firbroelástica, aumentada em 2 vezes.
  • 3.
  • 4.
    Classificação: • Causa Congênita XAdquirida • Duração Aguda X Crônica • Grau Parcial X Completo • Nível Trato urinário superior X Inferior
  • 5.
    Classificação: Causas adquiridas: • Constriçãouretral sec. à infecção ou lesão; • HPB ou CA de próstata; • Cálculo ureteral; • Tumor vesical; • Nódulos metastáticos de CA de próstata • Gravidez • Disfunção neurogênica da bexiga
  • 6.
    Patogênese: •Compensação: Hipertrofia daparede da bexiga e Divertículo •Descompensação: resíduo de até 500 ml
  • 7.
    Patogênese: •Alteração do parênquimarenal: Compressão + Atrofia isquêmica •Recuperação: 4 semanas
  • 8.
    Achados Clínicos: • Fasede compensação: Urgência urinária; Polaciúria; Redução da força e calibre do jato urinário; Hesitação; Dor no flanco; Hematúria etc • Fase de descompensação: Polaciúria progressiva; Hesitação significativa; interrupção do jato; Retenção urinária completa (1 a 3 L)
  • 9.
    Exames Complementares • Sangue:Leucocitose; Relação U/Cr elevada • Rx: cálculo ureteral, metástase tumoral • Urografia excretora: grau de dilatação e ponto da estenose • Toque retal: aumento da próstata • Us: grau da hidronefrose
  • 10.
    Urinary retention withgreatly enlarged bladder at TC
  • 11.
  • 12.
    Avaliação • História prévia de retenção • Câncer de próstata • Cirurgia • Radiação • Trauma pélvico • Hematúria • Disúria • Febre • Dor lombar • Sintomas neurológicos • Erupção cutânea • Medicações em uso.
  • 13.
    O exame físicodeve incluir: • Palpação abdominal - A bexiga pode ser palpável, tanto no exame abdominal ou retal. • Palpação suprapúbica profunda - Provocará desconforto • Toque retal - Em homens e mulheres ▫ Avaliar massas, impactação fecal, tônus ​do esfíncter retal. ▫ Exame de próstata normal não exclui BPH como causa da obstrução. • Exame ginecológico • Avaliação neurológica - Avaliação de força, sensibilidade, reflexos e tônus ​muscular.
  • 14.
    Manejo Inicial –R.U.A. • Descompressão imediata e completa da bexiga. ▫ Cateterismo uretral ▫ Cateterismo suprapúbico Contraindicação para cateterismo uretral: • Cirurgia urológica recente (ex: prostatectomia radical ou reconstrução uretral) Complicações: • Hematúria, hipotensão e diurese pós obstrutiva SELIUS B A, SUBEDI R. American Family Physician, 2008 ; Vol 77, No 5 DESGRANDCHAMPS F, DE LA TAILLE A, DOUBLET J D. BJU Int 2006; 97:727.
  • 15.
    Cateter vesical dedemora Cateter vesical de alívio
  • 16.
    Cateterismo suprapúbico • Menosinfecção do trato urinário • Menor desconforto • Avaliar a capacidade do paciente para eliminar urina antes de remover o cateter • Evita dilatação do colo da bexiga e da uretra ▫ Portanto, previne incontinência urinária devido a uma disfunção do esfíncter. • Evita o risco de estenose de uretra posterior • Preferível em pacientes, especialmente mulheres, que requerem longo prazo de drenagem da bexiga No entanto: ▫ Risco aumentado de complicações associadas com a colocação (perfuração do intestino, infecção da ferida) THOMAS K et al. Prostate Cancer and Prostatic Diseases, 2004; 7, 32-37 SELIUS B A, SUBEDI R. American Family Physician, 2008 ; Vol 77, No 5
  • 17.
    Tratamento Farmacológico Alfa bloqueadores(Alfuzosina; Tansulosina): • Alívio da obstrução mecânica associada com HPB por relaxamento da musculatura lisa do colo vesical, cápsula e estroma prostático. Inibidores da 5-alfa redutase (Finasterida; Dutasteride): • Bloqueio seletivo da conversão de testosterona a dihidrotestosterona. • Diminui incidência de retenção urinária aguda em homens com HPB; • NÃO têm um papel na forma aguda ▫ Necessária maior duração para redução no tamanho da próstata. SELIUS B A, SUBEDI R. American Family Physician, 2008 ; Vol 77, No 5 THOMAS K et al. Prostate Cancer and Prostatic Diseases, 2004; 7, 32-37
  • 18.
    Após tratamento inicial •Maioria seguimento ambulatorial. • Paciente deve ser instruído no manejo do cateter. • Antibiótico profilaxia não é indicada. Indicações para internação: • Sepse (urosépticos) • Obstrução relacionada a malignidade ou compressão medular. • “A conduta definitiva da retenção urinária dependerá da etiologia de base, podendo incluir tratamento cirúrgico e farmacológico.” SELIUS B A, SUBEDI R. American Family Physician, 2008 ; Vol 77, No 5
  • 19.
  • 20.
    Hiperplasia Prostática Benigna •Anatomia da próstata Tanagho, Emil A., Urologia Geral de Smith Moore, Keith L., Anatomia orientada para
  • 21.
    Hiperplasia Prostática Benigna •Prevalência - 8% em homens de 31 a 40 anos - 40 a 50% em homens de 51 a 60 anos - 80% aos 80 anos Uptodate: Epidemiology and pathogenesis of BPH • Fatores de risco - Idade - Presença dos testículos - História familiar - Negros
  • 22.
    Hiperplasia Prostática Benigna •Patogênese 5-alfa-redutase - Célula epitelial: Testosterona DHT - Proliferação do epitélio glandular - Produção de fatores de crescimento pelo estroma
  • 23.
    Hiperplasia Prostática Benigna •Fenômenos fisiopatológicos Mecânica: Compressão - Obstrução Uretral Dinâmica: Contração de fibras musculares com receptores alfa- adrenérgicos - Hipertrofia do músculo detrusor da bexiga - Estímulos neuronais anormais
  • 24.
    Hiperplasia Prostática Benigna •Manifestações Clínicas -Jato urinário fraco, esforço miccional, hesitância, esvaziamento incompleto, gotejamento pós miccional - Urgência, polaciúria, noctúria
  • 25.
    Hiperplasia Prostática Benigna •International Prostatic Symptoms Score (IPSS) - Classificar sintomas - Direcionar o tratamento - Avaliar a eficácia - 7 sintomas avaliados quanto à intensidade • 0 a 7: sintomas leves • 8 a 19: sintomas moderados • 20 a 35: sintomas graves
  • 26.
    Hiperplasia Prostática Benigna •Complicações - Retenção urinária aguda - Infecção urinária e prostatite - Litíase Vesical - Falência do Detrusor - Insuficiência renal - Hematúria
  • 27.
  • 28.
    Estratégia diagnóstica adequada História clínica detalhada Toque retal Exames laboratoriais  Ultrassonografia transabdominal Urofluxometria
  • 29.
    História clínica • Idade •Evolução • Sintomas obstrutivos ou de esvaziamento: Hesitação Intermitência miccional Jato urinário fraco Resíduo vesical • Irritativos ou de armazenamento: Polaciúria Urgência Nictúria
  • 30.
    História clínica Deve-se tambéminvestigar: • Febre • Sintomas neurológicos • Hematúria • Trauma uretral • Instrumentação urinária • História de DST • Uso de medicamentos anticolinérgicos ou simpatomiméticos
  • 31.
    Toque retal • Aumentosimétrico do volume prostático • Consistência fibroelástica • Sulco interlobular preservado
  • 32.
    Toque retal Afastam odiagnóstico de HPB: • Nódulos endurecidos • Tônus do esfincter anal reduzido
  • 33.
    Exames laboratoriais • Examede urina • Ureia e creatinina • PSA – Normal ou pouco elevado
  • 34.
    Diagnóstico diferencial Predomínio desintomas irritativos ou de armazenamento: • Bexiga do idoso • Doenças neurológicas do SNC – AVC, Demência, Parkinson, tumores • Outras doenças urológicas – Infecção urinária, prostatite infecciosa, cálculos vesicais, neoplasias invasivas
  • 35.
    Diagnóstico diferencial Predomínio desintomas obstrutivos ou de esvaziamento: • Estenose uretral • Obstrução funcional do colo vesical • Bexiga neurogênica – Diabetes, desnutrição, alcoolismo
  • 36.
    Diagnóstico diferencial Sintomas mistos: •Afecções da medula – Trauma, hérnia de disco, tumorações
  • 37.
  • 38.
    Objetivos 1. Avaliar manifestaçõesclínicas do paciente 2. Corrigir alterações relacionadas ao crescimento prostático ▫ Sintomas leves (I-PSS<8): acompanhamento anual ▫ Sintomas moderados a severos (I-PSS>8): inicialmente conduzidos com terapia medicamentosa ▫ Pacientes mais severos (I-PSS>19) evoluem com procedimento cirúrgico em 30% dos casos
  • 41.
    Tratamento clínico • Orientaçãoe monitoração anual • Utilizada na maioria dos portadores de HPB • Melhora sintomática espontânea é da ordem de 42-45%
  • 42.
    Alfabloqueadores • Bloqueio dosreceptores alfa-1-adrenérgicos no músculo liso ▫ estroma prostático, na uretra e no colo vesical • Relaxa a musculatura e diminui a resistência do fluxo urinário • Alguns atuam induzindo apoptose celular prostática • Melhora clínica já nos primeiros dias de tratamento • Diminuição de 30-40% nos sintomas de esvaziamento • Melhora de 16-25% no fluxo urinário máximo
  • 43.
  • 44.
    Alfabloqueadores • Indicação: ▫ Pouca influência do tamanho da próstata ou do valor do PSA ▫ Pacientes de próstata de pequeno volume que necessitam rápido alívio dos sintomas ▫ Sintomáticos sem indicação cirúrgica ▫ Com indicação, que não aceitam operar ▫ Com contraindicação para cirurgia ▫ Que aguarda a cirurgia ▫ Profilaxia de retenção urinária em pcts submetidos a cirurgias intercorrentes
  • 45.
    Alfabloqueadores α – 1 de longa ação Doxazosina 2,4 ou 8 mg/ dia α -1 A seletivo Tansulosina 04- 0,8 mg/dia Alfuzosina 10 mg/dia  Efeitos colaterais:  hipotensão ortostática, tonturas, cefaleia e fraqueza  Seletivo:  reduz efeito de hipotensão postural, porém pode desencadear ejaculação retrógrada
  • 46.
    Alfabloqueadores  Contra-indicações • Absolutas: ▫ Insuficiência renal pós-renal e/ou resíduo vesical elevado causado por HPB ▫ Pacientes com história de hipotensão postural ou hipersensibilidade à droga • Relativas ▫ Doença cerebrovascular ▫ História de síncope ▫ Retenção urinária aguda repetida ou infecção urinária recorrente devidas à HPB
  • 47.
    Inibidores da 5-AR •Enzima que converte a testosterona em sua forma mais potente, a di-hidrotestosterona (DHT) ▫ Tipo 1: fígado, pele, folículos pilosos, glândula sebácea e próstata em pequena quantidade ▫ Tipo2: masculinização do feto e próstata em maior quantidade • Finasterida: tipo2 • Dutatesrida: tipos 1 e 2 • Diminuição de 70-90% dos níveis intraprostáticos de DHT • Reduz volume ~20% • Reduz PSA ~50% • Melhora sintomática, reduz risco de cirurgia e progressão clínica da doença
  • 48.
    Inibidores da 5-AR Finasterida 5 mg/dia Dutasterida 0,5mg/ dia Efeito colateral Tipo2: Tipos 1 e 2: Finasterida Dutasterida Disfunção erétil 3 a 4% 1 a 6% Diminuição da 4 a 5% 4% libido Ejaculação tardia 4 a 5% 1 a 2% Ginecomastia - 1 a 2%
  • 49.
    Terapia combinada • Terapiahormonal: componente estático • Alfabloqueadores: obstrução dinâmica • Atua nos dois componentes obstrutivos da HPB, alterando a história natural da doença • Benefícios em pcts com próstata volumosa na USG transretal (>30ml) e LUTS moderados a severos
  • 50.
     O usoda terapia combinada é segura a longo prazo e reduz o risco de progressão clínica da HPB de maneira mais significativa que a terapia feita com cada droga separadamente  A terapia combinada, assim como o uso único de finasterida, reduziram o risco de retenção urinária aguda e a necessidade de terapia invasiva
  • 51.
    Fitoterápicos • Fruto dosaw palmetto (Serenoa repens), casca de Pygeum africanum, raiz da Echinacea porpurea e Hypoxis rooper • Propriedades antiandrogênicas, anti- inflamatórias e antiproliferativas • Poucos estudos , bastante heterogêneos • Não recomendado pela SBU
  • 52.
    Tratamento Minimamente Invasivo •Uso de novas técnicas: ▫ menor tempo cirúrgico; ▫ menor permanência hospitalar; ▫ menores taxas de complicações; ▫ menor custo
  • 53.
    Stents uretrais • Introduçãode stents por via endoscópica na uretra prostática • Temporários e definitivos • Recoberto por urotélio em 4-6 meses • Indicação: ▫ pcts sem condições para procedimento anestésico e cirúrgico  Pouco utilizados  Alto custo  Resultados transitórios
  • 54.
    Termoterapia transuretral por microondas(TMUT) • Aquecimento da próstata acima de 450 C com cateter transuretral, formando necrose de coagulação • Destrói o tecido em excesso • Anestesia local ou sedação endovenosa • Melhora no I-PSS e no fluxo urinário • Não é efetiva como a RTUP
  • 55.
    Ablação transuretral poragulha (TUNA) • Utiliza-se um gerador de radiofrequência e um endoscópio ▫ Liberação de calor no interior da próstata através da penetração por agulhas ▫ Formação de áreas de necrose de coagulação no tecido prostático ▫ Após reabsorção da necrose ocorre melhora dos sintomas obstrutivos
  • 56.
    Ablação transuretral poragulha (TUNA) • Indicação: ▫ pcts com score de sintomas moderados, próstatas menores que 40g e lobos laterais proeminentes Não há necessidade de internação pode ser feito com sedação endovenosa e anestesia local Complicações:  retenção urinária, hematúria, frequência e urgência que persistem por até 2 semanas
  • 57.
    Ablação prostática porHolmium laser (HoLAP) • Holium laser: vaporiza a água dos tecidos e tem boa propriedade hemostática • Pode ser utilizado em pctes em uso de anticoagulantes Desvantagens: tempos cirúrgico longo, falta de material para estudo anatomopatológico, sintomas irritativos prolongados no pós-operatório Alto custo de manutenção do aparelho
  • 58.
    Tratamento cirúrgico • Experiência do cirurgião • Condições clínicas do paciente • Disponibilidades existentes • Principais indicações cirúrgicas: ▫ Retenção urinária persistente ▫ Infecções urinárias de repetição ▫ Uretero-hidronefrose ▫ Insuficiência renal devido a HPB ▫ Falha do tratamento medicamentoso ▫ Hematúria macroscópica recorrente de origem prostática ▫ Cálculo vesical devido a HPB ▫ Divertículos vesicais associados a infecção recorrente ou disfunção vesical
  • 59.
    Incisão transuretral dapróstata (ITUP) • Incisão que se estende do trígono vesical justa- meatal e termina no veromontanum prostático, em profundidade até a gordura retrovesical e prostática, seccionando o colo vesical
  • 60.
    Incisão transuretral dapróstata (ITUP) • Fácil execução, rápida recuperação e resultados superponíveis a RTUP • Indicação: ▫ pacientes jovens, sintomatologia de moderada a severa e próstata de pequeno tamanho (<30g) • Baixa morbidade ▫ menor sangramento, menores problemas de ejaculação e menor tempo de cateterismo • Taxa de retratamento após 5 anos é menor que 15%
  • 61.
    Ressecção transuretral dapróstata (RTUP) • Bastante utilizada, técnica-padrão no tratamento de HPB nos últimos 30 anos • Redução do numero de procedimentos devido a aplicação de novas técnicas e tratamento farmacológico eficaz • Maior conhecimento sobre complicações e limitações • Deve ser aplicada a próstatas inferiores a 6og, mas a execução é operador-dependente
  • 62.
  • 63.
    Ressecção transuretral dapróstata (RTUP) • Excelente expectativa de melhora sintomática do I-PSS (85-90%) e do fluxo urinário (150%) • Complicações intra e peri-operatórias: ▫ Risco de hemorragia e necessidade de transfusão 4% ▫ Síndrome pós RTUP ou intoxicação hídrica:  absorção intravascular de líquido de irrigação hiposmolar provocando hiponatremia, hipercalemia, hemólise, convulsões e coma • Complicações pós-cirúrgicas ▫ Disfunção erétil, ejaculação retrógrada, incontinência urinária, estenose uretral ou de colo vesical • Taxa de retratamento de 7-12% em 8 anos
  • 64.
  • 65.
    Prostatectomia aberta • Incisãoabdominal infra-umbilical e enucleação do adenoma por via transvesical suprapúbica ou por via retropúbica (técnica de Millin)
  • 66.
    Prostatectomia aberta • Reservadapara próstatas maiores que 80g  Melhores resultados a longo prazo ▫ Parâmetros clínicos (95%) ; no fluxo urinário (200%), além de menor taxa de re-intervenção (2%)  Invasivo  3-5% precisam de transfusões, necessita permanência hospitalar prolongada e longo período de inatividade • Aumento da indicação nos últimos anos ▫ O tratamento clínico posterga a cirurgia, acarretando operações em próstatas cada vez maiores
  • 67.
    Bibliografia • Nardozza, Zerati,Reis, UROLOGIA FUNDAMENTAL, Sociedade Brasileira de Urologia • Projeto Diretrizes- Hiperplasia Prostática Benigna; SBU 2006 • McConnell e col. The Long-Term Effect of Doxazosin, Finasteride, and Combination Therapy on the Clinical Progression of Benign Prostatic Hyperplasia; NEJM 2003 • AUA Guideline on the Management of Benign Prostatic Hyperplasia: Diagnosis and Treatment Recommendations- 2003 American Urological Association Education and Research, • http://www.uroclinicacuritiba.com.br/prostata.htm; acessado em 13 de março de 2012
  • 68.