Mini Curso de Anatomia Radiológica 
Exercícios 
Profª Renata Cristina
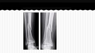
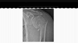
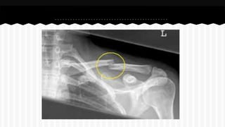
RESPONDA O NOME DO OSSO EM QUE 
SE ENCONTRA A (S) FRATURA (A).
Curso de anatomia radiológica exercicios
Curso de anatomia radiológica exercicios
Curso de anatomia radiológica exercicios
Curso de anatomia radiológica exercicios
Curso de anatomia radiológica exercicios
Curso de anatomia radiológica exercicios
Curso de anatomia radiológica exercicios
Curso de anatomia radiológica exercicios
Curso de anatomia radiológica exercicios
Curso de anatomia radiológica exercicios
Curso de anatomia radiológica exercicios
Curso de anatomia radiológica exercicios
Curso de anatomia radiológica exercicios
Curso de anatomia radiológica exercicios
Curso de anatomia radiológica exercicios
Curso de anatomia radiológica exercicios
Curso de anatomia radiológica exercicios
Curso de anatomia radiológica exercicios
Curso de anatomia radiológica exercicios
Curso de anatomia radiológica exercicios
Curso de anatomia radiológica exercicios
Curso de anatomia radiológica exercicios

Curso de anatomia radiológica exercicios