TOMOGRAFIA
COMPUTADORIZADA
O QUE É TOMOGRAFIA ( TC)
•
A TC é um tipo especial de procedimento com raios X
que envolve a medição da atenuação dos raios x.
 A maioria dos cortes de TC são axiais ou transversais.
 Para cada fatia, o tubo de radiação gira em torno do
paciente para obter uma espessura de corte pré-
selecionada.
A maioria dos sistemas de TC emprega o desenho de
rotação contínua e “feixe em leque”.
•
TOMOGRAFIA
O Tomógrafo é o aparelho utilizado no exame
de tomografia computadorizada.
Sua estrutura habitual é formada por:
GANTRY
• Basicamente, é o corpo do aparelho de TC. No
Gantry estão: o tubo de raio x e o conjunto de
detectores. Através do Gantry é possível
controlar a Kv e mA, ou seja, a tensão e
corrente elétrica da ampola de raio x. Além
disso, através do Gantry, é possível ter a
interação dos comandos do painel de controle
com o sistema e botões controladores da mesa
do tomógrafo.
TUBOS DE RAIO X
A princípio, tem o funcionamento similar ao que
é utilizado nos aparelhos convencionais de raio x. Contudo,
em aparelhos de tomografia computadorizada, os tubos de
raio x funcionam em movimento contínuo.
DETECTORES (OU SENSORES)
• Que são responsáveis pela captação
da radiação produzida pela ampola e que
ultrapassa o paciente. Portanto, transformando
essa informação em sinal elétrico que pode ser
digitalizado e lido pelo computador.
MESAS
 Mesa de exame, que é o local onde o paciente fica
posicionado.
 Mesa de comando, onde se encontram o monitor
para planejamento dos exames e processamento das
imagens, e o sistema de comunicação com o
paciente. A mesa de comando também é responsável
pelo envio de informações para o aparelho, além de
ser utilizada para tratamento e documentação das
imagens adquiridas.
BOMBA INJETORA (OPCIONAL)
Que fica ao lado do paciente,
controlada pelo aparelho de TC. É
responsável por administrar o contraste no
paciente de acordo com o protocolo de cada
exame, variando o tempo e velocidade.
•
HISTÓRIA DA TOMOGRAFIA
Ela foi inventada pelo engenheiro eletrônico
britânico Sir Godfrey Newbold Hounsfield, em
1972, e descrita no Congresso Britânico do
Instituto de Radiologia. Por isso, o nome Escala
Hounsfield: que é uma escala utilizada em
tomografia computadorizada para distinção dos
tons de cinza ao avaliar cada estrutura anatômica
(falaremos disso adiante).
A primeira utilização operacional de um
tomógrafo computadorizado no mundo foi em
Atkinson Morley Hospital, em Londres, berço dos
estudos de Hounsfield. Além disso, o primeiro
equipamento de TC, só permitia a avaliação do
metabolismo cerebral ou de tumores do cérebro.
No Brasil, o primeiro
aparelho de tomografia
computadorizada foi
instalado no Hospital
Beneficência Portuguesa,
em São Paulo, no ano de
1977. A primeira avaliação
foi realizada em uma
mulher de 41 anos, com
um tumor no lobo frontal
esquerdo.
GERAÇÕES DA TC
• Os aparelhos de tomografia computadorizada
• Aparelhos de primeira geração. ...
• Aparelhos de segunda geração. ...
• Aparelhos de terceira geração. ...
• Aparelhos de quarta geração. ...
• Aparelhos helicoidais. ...
• Os tomógrafos da Quinta Geração apresentam algumas
vantagens em relação aos outros tomógrafos como:
• Aparelhos multislice.
PRIMEIRA GERAÇÃO
• Surgiu em 1972. Era um procedimento
extremamente demorado, visto que exigia
aproximados 5 minutos para reunir informações
suficientes de cada corte. Ou seja, após a primeira
varredura, o tubo sofria uma rotação de grau para
iniciar uma nova varredura. Assim, sucessivamente
por 180 vezes.
PRIMEIRA GERAÇÃO
SEGUNDA GERAÇÃO
 O tubo de raios x emitia um feixe em forma
de leque.
 Aproximadamente 30 detectores.
 Tempo de corte: 20 a 60 segundos
 A qualidade da imagem ainda era muito ruim.
SEGUNDA GERAÇÃO
TERCEIRA GERAÇÃO
 Um conj. de detectores que formam um arco móvel.
 Rotação tubo- detectores 360° ◦ Tempo de corte: entre 3 e
10 s.
 O tubo descreve uma volta completa em torno do paciente,
com a ampola emitindo raios x que, após atravessarem o
corpo do paciente, são captados pelos detectores.
 A mesa avança mais um pouco, repetindo-se o processo. ◦
Melhoria na qualidade da imagem gerada.
QUARTA GERAÇÃO
 Feixe de radiação em leque
 Anel de detectores (1.200 a 4.800)
cobrindo em 360° o paciente, mas fixo.
 Redução da possibilidade de artefatos.
 Somente o tubo de raios x gira 360°
 Tempo de corte: 1 a 8 segundos
QUARTA GERAÇÃO
QUINTA GERAÇÃO
 O tubo de raios X tem mov. espiral e ao mesmo tempo
ocorre mov. da mesa.
 exame pode ser realizado em único episódio de apneia.
 Melhora na qualidade de imagens e no rendimento
diagnóstico.
 Os equipamentos helicoidais descrevem uma hélice em
torno do paciente.
 TC convencional x TC helicoidal.
QUINTA GERAÇÃO
TC MULTICORTES
 Possuem mais de uma fileira de detectores.
 Para cada volta completa do tubo de raios x, mais de
um corte é gerado simultaneamente.
 Podem possuir 2,4,8,16,32,64,128,256 e até 320
canais.
 Há um modelo, que conta com dois tubos de raios x e
dois detectores de 64 canais cada.
 É possível até mensurar a passagem do sangue pelos
tecidos (estudo da perfusão).
MULTISLICE
SALA DE EXAME
FAN BEAN E CONE BEAN
•
• A TC é classificada de acordo com o formato
do feixe de raios X utilizado: tomografia computadorizada de
feixe em leque (Tomografia Computadorizada Fan Beam) e
tomografia computadorizada volumétrica de feixe cônico
(Tomografia Computadorizada Cone Beam), que é a que
utilizamos na Odontologia.
Nos scanners FAN BEAM, uma fonte de raios X e um
detector de estado sólido são montados em um pórtico
rotativo. Os dados são adquiridos através de um feixe em
forma de leque estreito e os raios X transmitidos através do
paciente. O paciente é fotografado fatia por fatia, geralmente
no plano axial, e a interpretação das imagens é alcançada pelo
empilhamento das fatias para obter múltiplas representações
em 2D. Em resumo: a TCFB produz imagens em fatias e os
cortes são posteriormente reunidos na ordem e orientação
corretas para a construção do volume.
A técnica CONE BEAM faz uma varredura, com
uma única rotação de uma fonte de raios X. Um pistão
sensor de raios X, fixo por um braço, gira em torno da
cabeça do paciente de forma a adquirir muitas
projeções simples ou base de imagens. Ou seja: em
uma exposição única com o uso de um feixe em forma
de cone, rotacionando em 360 graus, obtém-se uma
imagem tridimensional do paciente na tela do
computador, imagem que pode ser trabalhada,
segmentada e analisada em qualquer plano ou
incidência.
TOMOGRAFIA DA BOCA ( DENTES)
TOMOGRAFIA DOS PETS
TOMOGRAFIA DE MUNIAS
MUITO OBRIGADO!

LPS TOMOGRAFIA-COMPUTADORIZADA.pptx joelho e pe

  • 1.
  • 2.
    O QUE ÉTOMOGRAFIA ( TC) • A TC é um tipo especial de procedimento com raios X que envolve a medição da atenuação dos raios x.  A maioria dos cortes de TC são axiais ou transversais.  Para cada fatia, o tubo de radiação gira em torno do paciente para obter uma espessura de corte pré- selecionada. A maioria dos sistemas de TC emprega o desenho de rotação contínua e “feixe em leque”. •
  • 4.
    TOMOGRAFIA O Tomógrafo éo aparelho utilizado no exame de tomografia computadorizada. Sua estrutura habitual é formada por:
  • 5.
    GANTRY • Basicamente, éo corpo do aparelho de TC. No Gantry estão: o tubo de raio x e o conjunto de detectores. Através do Gantry é possível controlar a Kv e mA, ou seja, a tensão e corrente elétrica da ampola de raio x. Além disso, através do Gantry, é possível ter a interação dos comandos do painel de controle com o sistema e botões controladores da mesa do tomógrafo.
  • 6.
    TUBOS DE RAIOX A princípio, tem o funcionamento similar ao que é utilizado nos aparelhos convencionais de raio x. Contudo, em aparelhos de tomografia computadorizada, os tubos de raio x funcionam em movimento contínuo.
  • 7.
    DETECTORES (OU SENSORES) •Que são responsáveis pela captação da radiação produzida pela ampola e que ultrapassa o paciente. Portanto, transformando essa informação em sinal elétrico que pode ser digitalizado e lido pelo computador.
  • 8.
    MESAS  Mesa deexame, que é o local onde o paciente fica posicionado.  Mesa de comando, onde se encontram o monitor para planejamento dos exames e processamento das imagens, e o sistema de comunicação com o paciente. A mesa de comando também é responsável pelo envio de informações para o aparelho, além de ser utilizada para tratamento e documentação das imagens adquiridas.
  • 9.
    BOMBA INJETORA (OPCIONAL) Quefica ao lado do paciente, controlada pelo aparelho de TC. É responsável por administrar o contraste no paciente de acordo com o protocolo de cada exame, variando o tempo e velocidade. •
  • 13.
  • 14.
    Ela foi inventadapelo engenheiro eletrônico britânico Sir Godfrey Newbold Hounsfield, em 1972, e descrita no Congresso Britânico do Instituto de Radiologia. Por isso, o nome Escala Hounsfield: que é uma escala utilizada em tomografia computadorizada para distinção dos tons de cinza ao avaliar cada estrutura anatômica (falaremos disso adiante).
  • 15.
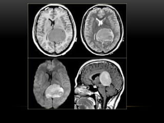
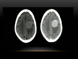
    A primeira utilizaçãooperacional de um tomógrafo computadorizado no mundo foi em Atkinson Morley Hospital, em Londres, berço dos estudos de Hounsfield. Além disso, o primeiro equipamento de TC, só permitia a avaliação do metabolismo cerebral ou de tumores do cérebro.
  • 16.
    No Brasil, oprimeiro aparelho de tomografia computadorizada foi instalado no Hospital Beneficência Portuguesa, em São Paulo, no ano de 1977. A primeira avaliação foi realizada em uma mulher de 41 anos, com um tumor no lobo frontal esquerdo.
  • 19.
    GERAÇÕES DA TC •Os aparelhos de tomografia computadorizada • Aparelhos de primeira geração. ... • Aparelhos de segunda geração. ... • Aparelhos de terceira geração. ... • Aparelhos de quarta geração. ... • Aparelhos helicoidais. ... • Os tomógrafos da Quinta Geração apresentam algumas vantagens em relação aos outros tomógrafos como: • Aparelhos multislice.
  • 22.
    PRIMEIRA GERAÇÃO • Surgiuem 1972. Era um procedimento extremamente demorado, visto que exigia aproximados 5 minutos para reunir informações suficientes de cada corte. Ou seja, após a primeira varredura, o tubo sofria uma rotação de grau para iniciar uma nova varredura. Assim, sucessivamente por 180 vezes.
  • 23.
  • 25.
    SEGUNDA GERAÇÃO  Otubo de raios x emitia um feixe em forma de leque.  Aproximadamente 30 detectores.  Tempo de corte: 20 a 60 segundos  A qualidade da imagem ainda era muito ruim.
  • 26.
  • 27.
    TERCEIRA GERAÇÃO  Umconj. de detectores que formam um arco móvel.  Rotação tubo- detectores 360° ◦ Tempo de corte: entre 3 e 10 s.  O tubo descreve uma volta completa em torno do paciente, com a ampola emitindo raios x que, após atravessarem o corpo do paciente, são captados pelos detectores.  A mesa avança mais um pouco, repetindo-se o processo. ◦ Melhoria na qualidade da imagem gerada.
  • 29.
    QUARTA GERAÇÃO  Feixede radiação em leque  Anel de detectores (1.200 a 4.800) cobrindo em 360° o paciente, mas fixo.  Redução da possibilidade de artefatos.  Somente o tubo de raios x gira 360°  Tempo de corte: 1 a 8 segundos
  • 30.
  • 31.
    QUINTA GERAÇÃO  Otubo de raios X tem mov. espiral e ao mesmo tempo ocorre mov. da mesa.  exame pode ser realizado em único episódio de apneia.  Melhora na qualidade de imagens e no rendimento diagnóstico.  Os equipamentos helicoidais descrevem uma hélice em torno do paciente.  TC convencional x TC helicoidal.
  • 32.
  • 33.
    TC MULTICORTES  Possuemmais de uma fileira de detectores.  Para cada volta completa do tubo de raios x, mais de um corte é gerado simultaneamente.  Podem possuir 2,4,8,16,32,64,128,256 e até 320 canais.  Há um modelo, que conta com dois tubos de raios x e dois detectores de 64 canais cada.  É possível até mensurar a passagem do sangue pelos tecidos (estudo da perfusão).
  • 34.
  • 35.
  • 44.
    FAN BEAN ECONE BEAN • • A TC é classificada de acordo com o formato do feixe de raios X utilizado: tomografia computadorizada de feixe em leque (Tomografia Computadorizada Fan Beam) e tomografia computadorizada volumétrica de feixe cônico (Tomografia Computadorizada Cone Beam), que é a que utilizamos na Odontologia.
  • 45.
    Nos scanners FANBEAM, uma fonte de raios X e um detector de estado sólido são montados em um pórtico rotativo. Os dados são adquiridos através de um feixe em forma de leque estreito e os raios X transmitidos através do paciente. O paciente é fotografado fatia por fatia, geralmente no plano axial, e a interpretação das imagens é alcançada pelo empilhamento das fatias para obter múltiplas representações em 2D. Em resumo: a TCFB produz imagens em fatias e os cortes são posteriormente reunidos na ordem e orientação corretas para a construção do volume.
  • 46.
    A técnica CONEBEAM faz uma varredura, com uma única rotação de uma fonte de raios X. Um pistão sensor de raios X, fixo por um braço, gira em torno da cabeça do paciente de forma a adquirir muitas projeções simples ou base de imagens. Ou seja: em uma exposição única com o uso de um feixe em forma de cone, rotacionando em 360 graus, obtém-se uma imagem tridimensional do paciente na tela do computador, imagem que pode ser trabalhada, segmentada e analisada em qualquer plano ou incidência.
  • 49.
  • 56.
  • 60.
  • 63.