ORIGEM DA PALAVRA TOMOGRAFIA

Do Grego TOMUS = corte ou fatia
Do Português, GRAFIA = escrita, estudo


HISTÓRIA DA TOMOGRAFIA COMPUTADORIZADA
         No ano de 1967, iniciaram-se as 11pesquisas sobre reconhecimento de imagens e
técnicas de armazenamento de dados em um computador. Em 1971 foi realizado o
primeiro teste de um “Scanner” do crânio, num Hospital em Londres. A partir destes
dados os progressos foram rápidos.
O Scanner foi oficialmente apresentado em 1972 e a coleta de dados foi evoluindo por
várias gerações. Os inventores do Scanner-Tomógrafo foram A.M.Comark( um físico
norte americano) e Geoffrey Hounsfield( um engenheiro inglês).
Em 1973, a EMI (primeira empresa a fabricar o scanner), instalou os primeiros “scanners”
de crânio nos EUA, que mais tarde passariam a se chamar TOMÓGRAFOS
COMPUTADORIZADOS. Em 1974, os primeiros TCs para exame de corpo já estavam
em funcionamento, e em 1979, estes dois cientistas receberam o prêmio Nobel, pois este
invento tem importância comparada á descoberta dos Raios x.
A HISTÓRIA DE SIR GODFFREY HOUNSFIELD:




        Sua invenção foi um verdadeiro marco para a medicina diagnóstica. A criação da
TC teve dimensão semelhante para a medicina à descoberta dos Raios-x por WILLIAN
CONRAD ROENTGEN.
Tomografando a Técnica de Tomografar_______________________________________________________


HOUNSFIELD nasceu em Nottinghamshire, na Inglaterra, no dia 28 de agosto de 1919. Era
o caçula de cinco irmãos. Em setembro de 1939 ingressou como voluntário, na


Royal Air Force-RAF. Logo após a guerra, obteve uma bolsa para estudar engenharia
mecânica e elétrica na Casa Faraday, em Londres, tendo em seguida se juntado ao staff de
pesquisa da Eletric and Musical Instruments-EMI, em 1951.
          Em 1967 transferiu-se para o Laboratório Central de Pesquisas, da EMI. Neste
ano, durante uma caminhada, um dos seus prazeres, se perguntou:
-Será que existe um jeito, uma maneira de determinar o quê está dentro de uma caixa
fechada, fazendo-se leitura desta por todos os ângulos possíveis de análise
HOUNSFIELD imaginou que isso seria possível, em termos biológicos, colimando-se com
precisão um feixe de Raios-x. O desenvolvimento da tecnologia dos computadores e a
noção de que o crânio era uma espécie de caixa-preta, que poderia ser investigada e
interrogada com o uso de raios-x, forneceram as circunstâncias ideais para a sua descoberta.
          Em seus experimentos iniciais, usando uma fonte de radiação Gama, levou nove
dias para adquirir os dados e duas horas e meia para reconstruir a imagem na tela do
computador. Substituindo a fonte de Raios Gama por um tubo de Raios X, reduziu o tempo
de scan para nove horas. O princípio baseava-se na rotação-translação do tubo ao redor do
crânio.
          A EMI, nessa época, era uma empresa quase totalmente voltada para a fabricação
de discos e componentes eletrônicos e não tinha nenhuma experiência com equipamentos
radiológicos. Os Beatles, que gravavam na época para o selo EMI, foram os responsáveis
pelo apoio financeiro mais significativo para a companhia. O então Departamento de Saúde
foi procurado por Hounsfield e pelos radiologistas James Ambrose e Louis Kreel para
financiar, junto com a EMI, o desenvolvimento de um scanner para a cabeça.
          O radiologista Ambrose forneceu a orientação clínica necessária e também
conduziu o primeiro experimento, utilizando um protótipo de scanner de cabeça da EMI, o
Mark 1, em 1972. Logo depois, o Departamento de Saúde solicitaria mais três scanners. Em
1975, enfim, numa conferência internacional em Bermuda, Hounsfield anunciou um
scanner para o acesso a outras partes do corpo. Este pronunciamento foi recebido com
aplausos de pé, da seleta audiência.

                                Email: leonardosflor@gmail.com
                             Blog: http://leonardoflor.blogspot.com/
                                                                                               2
Tomografando a Técnica de Tomografar_______________________________________________________


Em 1972, Hounsfield ganhou o prêmio MacRobert, a mais alta condecoração do Reino
Unido dedicada a inovações científicas. Em 1975 foi eleito Fellow da Royal Society e
recebeu o prêmio Lasker, nos Estados Unidos da América. Em 1979, junto com Comarck,


recebeu o prêmio Nobel de Medicina. Em 1981 foi condecorado por Sua Excelência, a
Rainha da Inglaterra. Em 1994 foi eleito Honorary Fellow da Academia Real de
Engenharia. Depois de sua aposentadoria oficial em 1986, continuou a trabalhar como
cientista consultor da EMI e de vários departamentos de Hospitais da Inglaterra.
        “Hounsfield foi um homem que contribuiu enormemente, com o seu trabalho,
para o avanço da medicina e do radiodiagnóstico”


PRINCIPIOS BÁSICOS

Uma imagem de tomografia computadorizada (TC) é uma apresentação da anatomia de
uma fatia fina do corpo desenvolvida por múltiplas medidas de absorção de raios X, feita ao
redor da periferia do corpo. Ao contrário da tomografia linear, onde a imagem de corte fino
é criada mediante borramento da informação de regiões indesejadas, a imagem da TC é
construída matematicamente.
        São necessárias no mínimo 180 projeções diferentes para obter uma imagem
diagnosticamente útil.
EVOLUÇÃO DA TC

1º. Geração: Exigiam cerca de 7 minutos para reunir informações suficientes de cada corte.
Consistam de uma ampola de RX, que emitia feixes lineares de RX que eram captados por
um único detector.




                               Email: leonardosflor@gmail.com
                            Blog: http://leonardoflor.blogspot.com/
                                                                                              3
Tomografando a Técnica de Tomografar_______________________________________________________

2º. Geração: É utilizado o mesmo tipo de ampola de RX, com a diferença de emitir não um
único feixe, mais vários, e aumenta o número de detectores.




3º. Geração: Aumentaram os números de detectores e o tamanho de feixe, fa- zendo reduzir
ainda mais o tempo de exploração.




4º. Geração: Necessitam somente de 2 a 10 segundos por varredura. Os TC desta geração
possuem um anel de 600 ou mais detectores, que circundam completamente o paciente em
um circulo dentro do pórtico (GANTRY).
O tubo de raios-X faz um arco de 360 graus durante a coleta de dados. Durante movimento
contínuo, rápidas cargas são emitidas pelo tubo com ânodo rotatório.




                               Email: leonardosflor@gmail.com
                            Blog: http://leonardoflor.blogspot.com/
                                                                                              4
Tomografando a Técnica de Tomografar_______________________________________________________




TOMÓGRAFO HELICOIDAL (OU ESPIRAL)

Avanço da 4º. Geração: São conhecidos por espirais ou helicoidais, a ampola apresenta giro
contínuo sincronizado dos detectores.




Multislice: Possuem duas ou mais fileiras de detectores e fazem de 2 a 40 imagens por
segundo.
Os aparelhos de última geração chamados de Multislice. Estes são compostos por mais de
1000 detectores, com tempos de cortes baixíssimos, e resoluções de imagem aumentadas,
reduzindo os artefatos causados pelos movimentos respiratórios, peristaltismo e até
batimentos cardíacos.




                               Email: leonardosflor@gmail.com
                            Blog: http://leonardoflor.blogspot.com/
                                                                                              5
Tomografando a Técnica de Tomografar_______________________________________________________




SISTEMA TOMOGRÁFICO COMPUTADORIZADO
Esse sistema é composto de quatro unidades que são:

1-Unidade de Varredura:

*Mesa do paciente
*Gantry - onde fica situado o tubo de raios X e os detectores.




                                Email: leonardosflor@gmail.com
                             Blog: http://leonardoflor.blogspot.com/
                                                                                              6
Tomografando a Técnica de Tomografar_______________________________________________________


2-Unidade de Processamento:

*Computador - processa os dados enviados pela unidade de varredura.




3-Unidade de Exibição:

*Console do Operador - onde é feita a programação e o resultado do exame
(fotografia/documentação).




                               Email: leonardosflor@gmail.com
                            Blog: http://leonardoflor.blogspot.com/
                                                                                              7
Tomografando a Técnica de Tomografar_______________________________________________________


4-Unidade de Armazenamento:

*Sistema de Armazenamento - discos rígidos (memória), CDs, MODs ou outro
computador, se estiver em rede, e que armazenam os exames para serem revistos quando
necessário.




FONTE E DETECTOR DE COLIMAÇÃO

Nos tomográficos temos os pré-colimadores e os pós-colimadores. Os pré-colimadores
limitam a extensão do feixe de luz, reduzindo a radiação espalhada. São desenhados para
minimizar a divergência do feixe.

Já os pós-colimadores, ajudam a definir a espessura de corte e reduzem a radiação
espalhada que alcança os detectores.




                               Email: leonardosflor@gmail.com
                            Blog: http://leonardoflor.blogspot.com/
                                                                                              8
Tomografando a Técnica de Tomografar_______________________________________________________




DETECTORES:

Constituem-se em cristais de cintilação e câmaras de ionização, que permite quantificar as
medidas. Sua sensibilidade é extremamente maior que a película do filme radiográfico.




                               Email: leonardosflor@gmail.com
                            Blog: http://leonardoflor.blogspot.com/
                                                                                              9
Tomografando a Técnica de Tomografar_______________________________________________________


       PITCH

Representa a razão entre o deslocamento da mesa pela espessura do corte. Nas aquisições
das imagens helicoidais com pitch de 1 (1:1), observamos que a mesa se desloca na mesma
proporção da espessura do corte em cada revolução. Assim, se os cortes forem de 10 mm,
para cada imagem a mesa de deslocará 10 mm.
Se alterarmos a relação do pitch para 2:1, a mesa se deslocará numa distância equivalente
ao dobro da espessura do corte por resolução. Nessas circunstâncias podemos concluir que
o tempo necessário para a aquisição de 20 imagens será de 10 segundos, considerando-se
um tempo de resolução de 1 segundo.
Um fator importante a considerar nos casos de trabalho com pitch de relação maior que 1 é
a redução da quantidade de radiação por fatia de corte, o conhecido fator mAs. A redução
desse fator afeta diretamente a qualidade da imagem gerada, que poderá, dependendo das
condições em que foi obtida, se apresentar com exercível nível de ruído, inviabilizando o
seu aproveitamento para fins diagnósticos.


Pitch: Velocidade da mesa x rotação do tubo      colimação do feixe emitido



                      PITCH =       deslocamento da mesa
                                      espessura de corte

PIXEL

É o menor ponto de uma imagem.




                              Pixel


                               Email: leonardosflor@gmail.com
                            Blog: http://leonardoflor.blogspot.com/
                                                                                              10
Tomografando a Técnica de Tomografar_______________________________________________________


ELEMENTO VOLUME (VOXEL)

          Após a detecção de dados, a anatomia reconstruída parece ser composta de um
grande número de pequenos blocos alongados. Cada um destes pequenos blocos representa
um volume de tecido definido pela abertura do colimador.
Na linguagem da TC, cada bloco é denominado Elemento de Volume, que é abreviado por
VOXEL. Qualquer corte é composto de uma grande quantidade de VOXEL.




MATRIZ

É o número de linhas e colunas formadas pelos pixels da tela. Quanto maior o seu número,
melhor a definição da imagem. A matriz utilizada na tomografia é definida como quadrada,
logo o número de linhas será igual ao número de colunas, as matrizes mais comuns são:
128 x 128 = 16.384
256 x 256 = 65.536
512 x 512 = 262.144
1024 x 1024 = 1.048.576




                          A mais utilizada hoje é 512x512.


                               Email: leonardosflor@gmail.com
                            Blog: http://leonardoflor.blogspot.com/
                                                                                              11
Tomografando a Técnica de Tomografar_______________________________________________________


ARTEFATOS DE IMAGEM

São considerados artefatos quaisquer distúrbios na nitidez das imagens.


*Artefato de Anel - Pode ser causado por uma disfunção de qualquer detector causando
uma projeção errada ao longo do anel de dados. Se os detectores não são equivalentes ou
intercalibrados com precisão, a projeção posterior para cada anel de dados seria
ligeiramente diferente produzindo múltiplos anéis.
* Borramento - O mau alinhamento do tubo e detectores causará erro de posicionamento
dos valores calculados, pois os valores medidos estão ocorrendo em linhas diferentes
daquelas assumidas pelo algaritmo de re-
Construção. O resultado pode ser borramento ou também anel ou listras.
* Artefatos ligados ao Paciente - Os artefatos induzidos por movimento freqüentemente
são discretos. Estes artefatos geralmente tem aspecto de listra ou estrela e ocorre quando há
interfaces de alta ou baixa densidade,
por exemplo gás no intestino.Isso ocorre porque o movimento durante o processo de
medida faz com que as estruturas estejam em diferentes posições, quando são feitas
diferentes vistas,de forma que as projeções posteriores não se somam corretamente.
A presença de objetos que possuem atenuação excepcionalmente alta ou baixa pode criar
artefatos, por forçar os detectores a operar em uma região de resposta não-linear.


* EFEITO DE VOLUME PARCIAL:


Isto ocorre quando um mesmo corte apresentar estruturas com densidades muito diferentes
provocando um borramento da imagem.
Se ocorrer uma imagem anormal que pareça sofrer efeito de volume parcial, avalie a região
usando cortes finos anteriores e posteriores.




                                Email: leonardosflor@gmail.com
                             Blog: http://leonardoflor.blogspot.com/
                                                                                                12
Tomografando a Técnica de Tomografar_______________________________________________________


ESCALA DE HOUNSFIELD (HU):

É uma escala que vai do preto até o branco, variando tonalidades do cinza e sendo
interpretada numericamente. Essas tonalidades de cinza são adquiridas pela leitura que o
computador faz do valor de atenuação das diferentes estruturas, com diferentes densidades
da mesma. Para cada estrutura haverá um valor de atenuação, que estarão entre + 1000Hu
até –1000Hu passando


pelo zero (0). Estruturas que forem sólidas como osso compacto terá uma densidade em
torno de +1000Hu ,as líquidas terão a densidade 0(zero) e o ar –1000Hu.


Então podemos dizer que para cada estrutura há um valor de atenuação, e estes estarão
sempre entre +1000 HU até –1000HU passando pelo 0 (zero).


ESCALA DE HU:
-1000__________________________0________________________+_1000
AR                          ÁGUA                      SÓLIDO
EXEMPLOS DE DENSIDADE DAS ESTRUTURAS:

          Tecido                             TC                            Aspecto
            Ar                             -1.000                            Preto
         Pulmão                         -900 a -400                   Cinza escuro a preto
         Gordura                         -110 a -65                   Cinza escuro a preto
           Água                               0                         Escala de cinza
           Rim                               30                         Escala de cinza
      Sangue normal                        35 a 55                      Escala de cinza
     Sangue coagulado                        80                         Escala de cinza
    Substancia cinzenta                    30 a 40                      Escala de cinza
     Substancia branca                     35 a 45                      Escala de cinza
         Músculo                           40 a 60                      Escala de cinza
          Fígado                           50 a 85                      Escala de cinza
       Osso medular                      130 a 250                      Escala de cinza
       Osso cortical                    300 a 1.000                         Branco


Não existe um número especifico para cada material. Esse valor depende da estrutura de
que é feito o objeto e da energia inicial aplicada.



                               Email: leonardosflor@gmail.com
                            Blog: http://leonardoflor.blogspot.com/
                                                                                              13
Tomografando a Técnica de Tomografar_______________________________________________________

OBS: Conforme a escala de cinza diremos Hipodenso, Isodenso ou Hiperdenso.




Janela
Janelas são recursos computacionais que permitem após a obtenção das imagens as escala
de cinza possa ser estreitada ou alargada, facilitando a diferenciação entre certas estruturas
de acordo com a necessidade.
A janela é composta por dois elementos: o contraste (W – width ou largura) e a densidade
óptica (L – level ou centro). A largura da janela controla o contraste: uma janela ampla
indica mais números de TC que refletem uma escala longa e, portanto, menos contraste na
imagem, como o exemplo da janela pulmonar.




WC: 55                                 WC: 95                               WC: - 650
WW: 350                                WW: 350                              WW: 1200




                                Email: leonardosflor@gmail.com
                             Blog: http://leonardoflor.blogspot.com/
                                                                                                 14
Tomografando a Técnica de Tomografar_______________________________________________________


Outro fator é o centro da janela, também denominado nível, que controla a densidade da
imagem. Esse valor determina o número de TC que será o cinza central e os extremos da
largura da janela. Escolhe-se, normalmente, o tecido mais freqüentemente de uma
determinada pela maior estrutura anatômica que se encontra em estudo.

EX: No exame de Tórax mediastino devera corresponder a densidade média do coração.




                                                      Coração




No exame de Tórax parênquima devera corresponder a densidade media do pulmão.




                                                                Pulmão




No exame de abdome superior devera corresponder a densidade média do fígado.



                                            Fígado




                               Email: leonardosflor@gmail.com
                            Blog: http://leonardoflor.blogspot.com/
                                                                                              15
Tomografando a Técnica de Tomografar_______________________________________________________


Reconstrução das imagens

Utilizam-se métodos analíticos (retropojeção filtrada) e o método algébrico (ART –
Algebraic Reconstruction Techniques) que serão descritos a seguir:


Back projection (retroprojeção)

Caracteriza-se como o processo de projeção de perfis de atenuação para uma matriz. Ao
girar em torno de um objeto, o tubo adquire várias informações por corte em diversos
ângulos. Cada movimento do tubo produz uma curva relativa aos valores de atenuação do
objeto. A imagem final é a soma das retroprojeções de todas as projeções angulares.




                               Email: leonardosflor@gmail.com
                            Blog: http://leonardoflor.blogspot.com/
                                                                                              16
Tomografando a Técnica de Tomografar_______________________________________________________


Convolução Kernel (CK ou algoritmo ou curva matemática)

Representa o somatório de todos os cálculos CK + retroprojeção. Cada parte dessa curva
tem um valor de X e Y que serão transformados e acondicionados em forma de matriz. Os
dados brutos são provenientes dos detectores. Cada sistema tem algoritmos específicos para
reconstrução de cada estrutura do corpo, os quais devem ser respeitados pelo operador. Se o
operador tentar usar um algoritmo inadequado em determinada estrutura, a reconstrução
poderá perder muito em qualidade.


Resolução

O desempenho de um tomógrafo é medido pela resolução espacial e pela resolução de
densidade, que podem ser calculadas por meio de phantons destinados para essa avaliação.
A resolução, ou o grau de definição das imagens está relacionado com a matriz utilizada.
Quanto maior a matriz, melhor será a resolução, pois os pixels serão menores.


Resolução espacial (RE)

Resolução espacial – é a capacidade do sistema de distinguir dois pontos como separados e
distintos, controlado pelo voxel.




                                Email: leonardosflor@gmail.com
                             Blog: http://leonardoflor.blogspot.com/
                                                                                              17
Tomografando a Técnica de Tomografar_______________________________________________________


Fatores que influenciam a RE

Tamanho da matrix:
Quanto maior a matriz, maior a resolução, porque os pixels serão menores e, quanto menor
o pixel, maiores as chances de visualização de estruturas pequenas.


Tamanho da abertura dos detectores:
Próximo a cada arranjo de detectores há colimadores que limitam a radiação à área de
interesse. Quanto menor a abertura, mais aumenta a resolução, porém são necessárias doses
maiores para compensar a perda de fótons.


Espessura de corte ou slice:
A espessura do corte indica a porção examinada de tecido naquela exposição. Por isso.
Mediante o uso de colimadores na fonte, o feixe de fótons é restrito e uma espessura
determinada previamente.
Incremento:
O incremento é determinado pelo movimento da mesa durante a varredura.


Resolução de baixo contraste

Consistem na habilidade de se distinguirem pequenas diferenças de contraste entre duas
regiões adjacentes, sendo determinada por imagens obtidas de um phanton com orifícios de
diferentes tamanhos em material com pouca diferença densitometrica.
Os fatores determinantes são: dose de radiação, eficiência de detecção, ruído no sistema,
algoritmo etc. O aumento da radiação melhora a qualidade de imagem, o que implica
aumento da dose/paciente. Para evitar esse acontecimento é necessário melhorar o
desempenho do detector (eficiência de detecção) e reduzir o ruído do sistema de detecção.




                                  Email: leonardosflor@gmail.com
                               Blog: http://leonardoflor.blogspot.com/
                                                                                              18
Tomografando a Técnica de Tomografar_______________________________________________________




                                          PHANTONS



Resolução temporal (RT)

E caracterizada pela existência de dois parâmetros: tempo e índice de corte.
Ao realizar o exame em um paciente, o melhor é reduzir o tempo de corte o máximo
possível, evitando, assim, as interferências dos movimentos do corpo. O índice do corte é o
número de cortes que podem ser realizados por unidade de tempo.
Os dois parâmetros que caracterizam a RT sofrem influência de outros três elementos:
espaço, densidade e tempo.
No entanto, as resoluções de cada parâmetro são dependentes entre si. Com o aumento de
qualquer uma das resoluções, ocorre diminuição das outras. Assim, é importante aprender a
equilibrar as resoluções, estabilizando o sistema, e a promover alterações, de modo que
atenda as necessidades.



Informações Técnicas

São dados necessários para aquisição e reconstrução das imagens.
kV (quilovolts)
mAs (milliamperagem por seg.)
Slice (espessura do corte)
Incremento (intervalo de corte ou feed)
Tilt (angulação do gantry)
Fov (Field of view – campo de visão)


                                Email: leonardosflor@gmail.com
                             Blog: http://leonardoflor.blogspot.com/
                                                                                              19
Tomografando a Técnica de Tomografar_______________________________________________________


Matrix: que está diretamente relacionada ao pixel e voxel.
Mag: fator zoom – fator de ampliação
Coordenadas X e Y (reconstrução da imagem)
Extensão do estudo.


KV – Tensão aplicada ao tubo, pode variar de 40 a 120KV, dependendo do fabricante.


mAs – Corrente e tempo de exposição – em alguns aparelhos, o mAs pode variar de 100 a
800mA.


Slice (espessura de corte) – Consiste na abertura do diafragma do tubo, que determina a
espessura do corte de TC. Essa abertura acompanha a do detector.
O feixe de raios X é divergente, ao realizar – se por exemplo um corte de 10mm, o
colimador fecha-se em uma equivalência de 10mm, sendo o espaço entre os detectores
ajustado mecanicamente para compensar essa divergência.
Cortes muito finos aumentam o número de cortes sobre a mesma área e, com isso aumenta
os ruídos da imagem. Nos aparelhos multidetector esses artefatos são anulados por filtros e
a capacidade dos detectores.

Meios de Contraste

Contraste é um termo fotográfico ou, mais precisamente, no contexto atual, o termo
radiológico que denota a diferença de aspecto em qualquer imagem entre uma região
anatômica e outra, ou entre uma região de anormalidade e o tecido normal circundante. Este
último ás vezes é denominado “conspicuidade da lesão”. Na radiografia simples, a
resolução de contraste natural dos tecidos moles é ruim, sendo esse o motivo pelo qual
começaram a ser desenvolvidos inicialmente meios de contraste para uso oral e
intravascular.


A introdução da TC trouxe uma enorme vantagem em relação ás radiografias simples, no
que se refere á resolução do contraste de tecidos moles. Não obstante, mesmo a TC




                               Email: leonardosflor@gmail.com
                            Blog: http://leonardoflor.blogspot.com/
                                                                                              20
Tomografando a Técnica de Tomografar_______________________________________________________


beneficia-se no uso de contraste farmacológico artificiais pelas vias oral, retal e
intravascular.


Contraste intravascular são soluções injetáveis de materiais que absorvem raios-X. O fator
de absorção de raios X poderia, em princípio, corresponder a uma variedade de elementos,
mas o iodo é usado universalmente em todas as fórmulas comerciais. A química dos meios
de contraste já foi bem descrita e não será repetida aqui. Sucintamente, os meios de
contraste têm como base um anel triiodado. Os produtos comerciais apresentam diversas
fórmulas e concentrações. Não nos preocuparemos aqui com os efeitos farmacológicos que
também já foram bem descritos em outros locais, mas abordaremos exclusivamente sua
farmacocinética, pois é ela que dita a distribuição e a concentração corporal em qualquer
momento após a injeção e que, portanto, regula a contrastação.


Farmacocinética:

Todos os meios de contraste são moléculas pequenas que, conseqüentemente, cruzam com
bastante liberdade as membranas endoteliais, exceto as do cérebro, no qual a barreira
hematoencefálica impede essa ação. Os meios de contraste não penetram células em grau
significativo e, assim, distribuem – se no líquido extracelular, tanto no espaço intravascular
quanto no extravascular. As vezes são descritos como marcadores do espaço líquido
extracelular. São excretados exclusivamente pelos rins, por filtração glomerular passiva,
sem reabsorção ou secreção tubular ativa.


Fase arterial

Após uma injeção venosa periférica, o meio de contraste chega em cerca de 10 seg.
dependendo do débito cardíaco, á aorta e, daí, á artéria hepática. Uma vez que o fígado
normal só recebe cerca de 15% de sua irrigação sanguínea da artéria hepática, apresenta
uma contrastação sanguínea da artéria hepática, apresenta uma constratação modesta
durante esta fase.




                                Email: leonardosflor@gmail.com
                             Blog: http://leonardoflor.blogspot.com/
                                                                                                 21
Tomografando a Técnica de Tomografar_______________________________________________________




Por outro lado, tumores hepáticos derivam 85% de sua irrigação sanguinea da artéria
hepática e podem apresentar uma contrastação significativa, já nessa fase inicial. Na
verdade, alguns tumores especialmente vascularizados podem aparecer realçados de forma
mais brilhante do que o fígado normal nesse estagio.


Fase venosa

Quando o contraste atinge a artéria hepática, chegam também às artérias esplênica,
mesentérica superior e mesentérica inferior. Cerca de 10 seg. depois retorna via veias
esplênicas, mesentérica superior e inferior, para preencher a veia porta. Uma vez que o
fígado normal deriva cerca de 85% de sua irrigação sanguínea dessa veia, uma acentuada
contrastação hepática normal é observada nessa fase.




                               Email: leonardosflor@gmail.com
                            Blog: http://leonardoflor.blogspot.com/
                                                                                              22
Tomografando a Técnica de Tomografar_______________________________________________________




Incremento da mesa (intervalo de corte ou feed) – Consiste no espaço, em milímetros,
estabelecido mediante o deslocamento da mesa em relação a uma determinada região
anatômica. O deslocamento pode ser positivo ou negativo, para dentro ou para fora do
gantry.


Tilt (angulação do gantry) – Consiste na movimentação do gantry até a angulação
necessária para melhor obtenção da imagem, dependendo da área estudada e dos reparos
anatômicos dessa região.


Fov (Field of view – campo de visão) – O Fov é responsável pela determinação do tamanho
da área do objeto que será visualizado para estudo, é o diâmetro de visão mínimo de uma



                               Email: leonardosflor@gmail.com
                            Blog: http://leonardoflor.blogspot.com/
                                                                                              23
Tomografando a Técnica de Tomografar_______________________________________________________


imagem (cm ou mm), ou seja é a parte da matriz que será representada na tonalidade da tela
do monitor de vídeo.
A alteração do diâmetro do FOV irá alterar a área do pixel, pois seu valor é obtido pela
razão entre o FOV e a matriz.
EX:       Crânio – Fov: 25cm
          Corpo – Fov 35 a 42cm
Fator de zoom – MAG – fator de ampliação – Consiste no fator de ampliação que pode ser
aplicado a uma imagem. O fator normal de aquisição é de 1.0, podendo – se modificar a
imagem em até + ou – 10 vezes.


Coordenadas X e Y (reconstrução da imagem) – Os sistemas de TC usam como centro de
reconstrução original X = 0 e Y = 0, descrevendo a sua posição em centímetros com relação
à escala de tamanho do objeto que está sendo cortado.

                                    y




                                                               x
Extensão do estudo – Caracteriza – se pelo volume de interesse, que varia com relação à
extensão da área de estudo, modificando – se diretamente de acordo com o número de
cortes.


Exames

Depois de ter sido feito o registro do paciente e o posicionamento do mesmo, se começa o
exame pelo topograma, que é uma radiografia digitalizada da parte a ser estudada, para em
seguida passarmos para o tomograma, que é a parte que vamos definir nosso estudo, para
começarmos os cortes.


                                  Email: leonardosflor@gmail.com
                               Blog: http://leonardoflor.blogspot.com/
                                                                                              24
Tomografando a Técnica de Tomografar_______________________________________________________


* Topograma ou Escanograma

O Topograma é uma imagem seqüencial digital obtida por meio do movimento longitudinal
da mesa com o tubo fixo em determinada posição.
A imagem adquirida e semelhante a radiografia convencional porem e um programa de
localização de cortes, em que se marcam os limites superior e inferior das aquisições axiais.
Por meio dele determinamos, também, a que altura encontra-se o corte axial avaliado.




Tube position = Posição do tubo de raios-X
A.P. = Antero Posterior
Lateral = Perfil
P.A. = Póstero Anterior
KV
mAs
Lengt (mm) = Tamanho longitudinal do topograma:
128 mm // 256 mm // 512 mm // 1024 mm


Filtro

Recurso algoritmo usado nos processos de reconstrução das imagens, adequado para cada
tipo de estrutura anatômica em estudo (filtros moles e filtros duros).
Filtros moles - tem sua utilização para estudar partes anatômicas (tecido parenquimatoso,
ou parênquima) e recebe denominação de filtros para partes moles, poderá variar conforme
o fabricante do aparelho.


                                Email: leonardosflor@gmail.com
                             Blog: http://leonardoflor.blogspot.com/
                                                                                                25
Tomografando a Técnica de Tomografar_______________________________________________________




Filtros duros - filtro com maior nitidez e definição da imagem realçando as bordas,
margens ou estrutura anatômica, utilizado para estruturas com grande densidade (osso).




                               Email: leonardosflor@gmail.com
                            Blog: http://leonardoflor.blogspot.com/
                                                                                              26
Tomografando a Técnica de Tomografar_______________________________________________________


Exemplos de filtros utilizados

Algorithm ou filtro = Nos dá a definição da imagem
Smooth = algaritmo homogenizador, não dá muitos detalhes
Standard = algaritmo normal, lhe dá uma imagem real
Sharp = algaritmo ressaltador, aumenta o detalhe da imagem,
principalmente estruturas ósseas.



Crânio

Encéfalo – Ocupa a cavidade do crânio.


Medula espinhal sólida - Estende-se inferiormente a partir do cérebro              e   está
protegida   pela coluna vertebral óssea e termina na borda inferior de L1. Extensões de
raízes nervosas da medula espinhal, entretanto, continuam para baixo até o primeiro
segmento coccígeo. O espaço subaracnóide continua descendo até a segunda vértebra sacral
(S2).




Tanto o encéfalo quanto à medula espinhal são envolvidos por três envoltórios ou
membranas protetoras denominadas meninges.
   1. Dura – máter
   2. Pia – máter
   3. Aracnóide

                               Email: leonardosflor@gmail.com
                            Blog: http://leonardoflor.blogspot.com/
                                                                                              27
Tomografando a Técnica de Tomografar_______________________________________________________


Dura – máter a mais externa e significa “mãe dura”. Camada forte e fibrosa que possui
uma    camada    interna (juntam-se para formar a foice cerebral) e outra externa (adere-
se à camada interna da calota craniana).


Espaço epidural ou extra-dural é o espaço virtual entre o osso e a dura-máter. Numa TC,
um hematoma epidural ou extra-dural apresenta-se como uma coleção de sangue
entre a calota craniana e a dura-máter.




Pia – máter a mais interna e significa “mãe delicada”. Muito fina e vascularizada, repousa
junto ao cérebro (envolvendo-o totalmente) e a medula espinhal.
Região infra-parenquimatosa é o espaço virtual entre a pia-máter e a região interior do
cérebro. Numa TC, um        hematoma        infra-parenquimatoso apresenta-se   como   uma
coleção de sangue entre a a pia-máter e a região interior do cérebro.




                                                                           Hematoma infra
                                                                          parenquimatoso e
                                                                           interventricular




                                Email: leonardosflor@gmail.com
                             Blog: http://leonardoflor.blogspot.com/
                                                                                              28
Tomografando a Técnica de Tomografar_______________________________________________________


Aracnóide - localizada entre a pia-máter e a dura-máter e significa “mãe aranha”. Espaço
sub-dural é o espaço virtual entre a dura-máter e a aracnóide. Numa TC, um hematoma sub-
dural apresenta-se como uma coleção de sangue entre a dura-máter e a aracnóide.




Divisões do encéfalo

Prosencéfalo
Cérebro – (Telencéfalo)
Tálamo – (Diencéfalo)
Hipotálamo – (Diencéfalo)




                               Email: leonardosflor@gmail.com
                            Blog: http://leonardoflor.blogspot.com/
                                                                                              29
Tomografando a Técnica de Tomografar_______________________________________________________


Anatomia




                               Email: leonardosflor@gmail.com
                            Blog: http://leonardoflor.blogspot.com/
                                                                                              30
Tomografando a Técnica de Tomografar_______________________________________________________




                               Email: leonardosflor@gmail.com
                            Blog: http://leonardoflor.blogspot.com/
                                                                                              31
Tomografando a Técnica de Tomografar_______________________________________________________




Patologias

       Traumas (edema cerebral, hemorragia, hematoma extra ou subdural, hemorragia
       subaracnóidea)
       AVC (isquêmico ou hemorrágico).
       Tumor cerebral.


TC de Crânio - Exame que permite uma avaliação rápida na distinção das lesões.


Planejamento do exame

       Entrevista.
       Preparo do paciente.
       Exame propriamente dito.
       Processamento e documentação da imagem.
       Análise do exame.


Posicionamento do paciente

       Mesa com suporte axial para crânio.
       Paciente em decúbito dorsal, o mais confortável possível.


                                 Email: leonardosflor@gmail.com
                              Blog: http://leonardoflor.blogspot.com/
                                                                                              32
Tomografando a Técnica de Tomografar_______________________________________________________


       Imobilizar a cabeça.
       Colocar as mãos do paciente sobre o abdome ou ao lado do corpo.
       Observar: simetria, altura e angulação da cabeça.


Tompograma: perfil View angle: 90
Length: 130
KV: 120
mA: 30




Inicio dos cortes: abaixo do forame magno
Final dos cortes: acima da convexidade cerebral.


Protocolo

Helical
Thickness (slice): 1mm
Increment: 0.5mm
KV: 120
mAs: 200
Resolução: Standard
Colimação: 64x0.625
Pitch: 0.923
Rotação: 0.75
Filtro: Brain standard
Window: C: 40 / W: 80
Matrix: 512




                                 Email: leonardosflor@gmail.com
                              Blog: http://leonardoflor.blogspot.com/
                                                                                              33
Tomografando a Técnica de Tomografar_______________________________________________________


    Anatomia Seccional do
          crânio




                               Email: leonardosflor@gmail.com
                            Blog: http://leonardoflor.blogspot.com/
                                                                                              34
Tomografando a Técnica de Tomografar_______________________________________________________




                               Email: leonardosflor@gmail.com
                            Blog: http://leonardoflor.blogspot.com/
                                                                                              35
Tomografando a Técnica de Tomografar_______________________________________________________


Feed Direction: A direção em que a mesa avança.
IN: Entrando no Gantry (Cranio-caudal)
OUT: Saindo do Gantry (Caudo-cranial)


OBS: No caso de TCs Helicoidais:
Não fazer Spiral nos exames de crânio ou exames que tenham que angular o Gantry, pois o
padrão da imagem cai de qualidade.
Nos exames que não haja angulação, fazer Spiral sempre, pois economiza o tubo.


HEAD TC ( TC DE CRÂNIO)
Na TC de Crânio fazemos duas programações. A primeira é na base do crânio(região infra-
tentorial) e a segunda é no parênquima cerebral (região supra-tentorial), e a angulação ideal
é a supra-órbito-meatal (para fugir do cristalino).


Indicação: Qualquer processo patológico suspeito envolvendo o encéfalo, é indicado uma
tomografia computadoriza do crânio. A TCC praticamente eliminou a necessidade de
pneumografia cerebral. Houve ainda uma diminuição no número de angiografia cerebral e
cintilografia encefálicas.
Algumas indicações comuns: Suspeita de massas encefálicas; metástases encefálicas;
hemorragia intracraniana; aneurisma; abscesso; atrofia cerebral e anormalidades pós
traumáticas como: hematomas epidurais e subdurais, além de anormalidades adquiridas ou
congênitas.
Contra Indicação: Paciente que não pode ser transportado até o aparelho, devido a seu
quadro de saúde e gestantes com período inferior a 6 meses de gravidez. Tirando isto não
há contra indicação real à tomografia computadorizada.


Preparo do Paciente: Solicitar um jejum de no mínimo 04 horas para evitar complicações
associadas ao esvaziamento gástrico prematuro, durante a administração do contraste
venoso.




                                 Email: leonardosflor@gmail.com
                              Blog: http://leonardoflor.blogspot.com/
                                                                                                36
Tomografando a Técnica de Tomografar_______________________________________________________


TOMOGRAFIA DOS SEIOS DA FACE




O nariz, a parte superior da via respiratória, contém o órgão periférico do olfato, dividido
em narina direita e esquerda pelo septo nasal. Cada narina pode ser dividida em uma região
olfatória e uma região respiratória. As funções do nariz e das cavidades nasais são:
respiração, olfação, filtração de poeira, umidificação do ar inspirado, e recepção de
secreções dos seios paranasais e dos ductos nasolacrimais.




O ar que passa na região respiratória é aquecido e umedecido antes de atravessar o restante
da via respiratória superior até os pulmões.


                                Email: leonardosflor@gmail.com
                             Blog: http://leonardoflor.blogspot.com/
                                                                                               37
Tomografando a Técnica de Tomografar_______________________________________________________




   O septo nasal parcialmente ósseo e parcialmente cartilaginoso divide o nariz em duas
cavidades estreitas. A parte óssea do septo geralmente está localizada no plano mediano até
os 7 anos de idade; depois disso, com freqüência, desvia-se ligeiramente para um lado,
freqüentemente para a direita. O septo nasal possui três componentes principais: a lâmina
perpendicular do osso etmóide; o vômer; e a cartilagem do septo nasal. A lâmina
perpendicular, que forma a parte superior do septo, é muito fina e desce a partir da lâmina
crivosa do osso etmóide. O vômer, um osso fino e plano, forma a parte póstero-inferior do
septo; ele se articula com a lâmina perpendicular do etmóide e com a cartilagem do septo
nasal. As cavidades nasais, que têm por entrada as narinas, abrem-se na parte nasal da
faringe através das coanas. A túnica mucosa reveste toda a cavidade, exceto o vestíbulo. A
entrada para o vestíbulo do nariz é revestida por pele tanto no lado do septo quanto na
parede lateral.




                               Email: leonardosflor@gmail.com
                            Blog: http://leonardoflor.blogspot.com/
                                                                                              38
Tomografando a Técnica de Tomografar_______________________________________________________



Fossa Nasal e Cavidades Paranasais
       NARIZ
       Parte óssea – ossos nasais.
       Parte cartilaginosa.




   PARTE ÓSSEA OSSOS NASAIS


   O esqueleto ósseo do nariz é formado pelo osso frontal, ossos nasais e maxilares.
   Os pequenos e retangulares ossos nasais unem-se na linha mediana para formar o dorso
   do nariz. Os ossos nasais suportam flexíveis lâminas cartilagíneas que participam do
   arcabouço do nariz. Fraturas dos ossos nasais ou fragmentação das cartilagens
   associadas são lesões comuns da face. A cavidade nasal contém várias aberturas de
   drenagem, pelos quais o muco dos seios paranasais é drenado. Os seios paranasais
   compreendem os seios maxilares, frontal, etmoidal e o esfenoidal.




                                 Email: leonardosflor@gmail.com
                              Blog: http://leonardoflor.blogspot.com/
                                                                                              39
Tomografando a Técnica de Tomografar_______________________________________________________


   NARIZ (VISTA ÂNTERO-LATERAL)




   É uma protuberância situada no centro da face, sendo sua parte exterior denominada
   nariz externo e a escavação que apresenta interiormente conhecida por cavidade nasal.
   O nariz externo tem a forma de uma pirâmide triangular de base inferior e cuja face
   posterior se ajusta verticalmente no 1/3 médio da face.
   As faces laterais do nariz apresentam uma saliência semilunar que recebe o nome de asa
   do nariz. O ar entra no trato respiratório através de duas aberturas chamadas narinas.
   Em seguida, flui para as cavidades nasais, direita e esquerda que são revestidas por
   mucosa respiratória.
   O septo nasal separa essas duas cavidades. A cavidade nasal é a escavação que
   encontramos no interior do nariz, ela é subdividida em dois compartimentos um
   direito e outro esquerdo. Cada compartimento dispõe de um orifício anterior que é a
   narina e um posterior denominado coana. As coanas fazem a comunicação da
   cavidade nasal com a faringe




                               Email: leonardosflor@gmail.com
                            Blog: http://leonardoflor.blogspot.com/
                                                                                              40
Tomografando a Técnica de Tomografar_______________________________________________________



CONCHAS NASAIS (CORNETOS)


Concha nasal (ou sistema turbinado) é uma protuberância óssea na parede lateral da
fossa nasal. As conchas nasais estão localizadas lateralmente            nas    cavidades nasais,
curvando-se medialmente e para baixo em direção à via respiratória nasal.             Cada par é
composto por uma concha nasal de cada lado da cavidade nasal, divididas pelo septo
nasal. Os três pares, com seus componentes esquerdo e direito, são:


       Concha Nasal Superior: parte do osso etmóide.
       Concha Nasal Média: parte do osso etmóide.
       Concha Nasal Inferior: estende-se horizontalmente ao longo da parede lateral da
       cavidade nasal e consiste de uma lâmina de osso                esponjoso, curvada   em   si
       mesmo. Cada concha nasal inferior é considerada um par de ossos faciais já que elas
       surgem dos ossos maxilares e se projetam horizontalmente dentro da cavidade
       nasal.




Vamos estudar os seios paranasais para diagnosticar possíveis lesões como: sinusite;
poliposes; tumores ou más formações.


                               Email: leonardosflor@gmail.com
                            Blog: http://leonardoflor.blogspot.com/
                                                                                                     41
Tomografando a Técnica de Tomografar_______________________________________________________


As posições para este exame são:
 axial com cortes paralelos ao palato duro até o término do seio frontal.
 coronal com cortes perpendiculares ao plano infra-órbito-meatal até o término do seio
esfenoidal.



   SPN
              Cortes Coronais – Prono e Supino




TÉCNICA DE EXAME
Perpendicular ao palato duro.
Início na parede posterior do seio maxilar e término na margem anterior do seio frontal.
3 mm de espessura.
3 mm de intervalo.
Filtro para partes moles/ósseas.
Uso de contraste depende da indicação clínica.
Tompograma:
perfil View angle: 90
Length: 130
KV: 120
mA: 30




                               Email: leonardosflor@gmail.com
                            Blog: http://leonardoflor.blogspot.com/
                                                                                              42
Tomografando a Técnica de Tomografar_______________________________________________________


Posicionamento do paciente

       Mesa com suporte axial para crânio.
       Paciente em decúbito dorsal, o mais confortável possível.
       Imobilizar a cabeça.
       Colocar as mãos do paciente sobre o abdome ou ao lado do corpo.
       Observar: simetria, altura e angulação da cabeça.
Topograma:
perfil View angle: 90
Length: 130
KV: 120
mA: 30




Protocolo
Helical
Thickness (slice): 1mm
Increment: 0.5mm
KV: 120
mAs: 150
Resolução: High
Colimação: 64x0.625
Pitch: 0.923
Rotação: 0.75
Filtro: Y- Detail (YD)
Window: C: 300 / W: 3000
Matrix: 512
                                 Email: leonardosflor@gmail.com
                              Blog: http://leonardoflor.blogspot.com/
                                                                                              43
Tomografando a Técnica de Tomografar_______________________________________________________


INDICAÇÕES CLÍNICAS (SEM CONTRASTE)
    Sinusite;
    Desvio de septo nasal;
    Má formação;
    Osteomas (tumores benignos mais freqüentes dos seios paranasais);
    Encondroma (tumor benigno de cartilagem).
    Fraturas


INDICAÇÕES CLÍNICAS (COM CONTRASTE)
           Tumores.
           Metástases.
           Polipose.
           Cisto de retenção.


PREPARO PARA O EXAME
 Não é necessário, apenas realizar a higiene nasal.




Imagem 1
Corte axial. 1, Cavidade orbitária. 2, Seio frontal. 3, Osso esfenóide




                                Email: leonardosflor@gmail.com
                             Blog: http://leonardoflor.blogspot.com/
                                                                                              44
Tomografando a Técnica de Tomografar_______________________________________________________

Imagem 2 - Corte axial. 1, Globo ocular. 2, Septo nasal. 3, Células etmoidais. 4, Seios
esfenóidal. 5, Hipófise. 6, Dorso sellae.




Imagem 3
 Corte axial. 1, Globo ocular. 2, Septo nasal. 3, Células etmoidais. 4, Seios esfenóidal. 5,
Clivus.

Imagem 4
Corte axial. 1, Seio maxilar esquerdo. 2, Canal nasolacrimal. 3, Concha. 4, Septo nasal. 5,
Arco zigomático. 6, Processo condilar da mandíbula.




Imagem 5
Corte axial. 1, Concha. 2, Seio maxilar. 3, Asa lateral do processo pterigóideo. 4,
Nasofaringe. 5, Atlas (C1). 6, Fenda do palato ptérigo.

Imagem 6
Corte axial. 1, Seio maxilar. 2, Apófisis pterigoides,. 3, Nasofaringe. 4, Mandíbula. 5, Arco


                                                                                                45
anterior do atlas. 6, dente do áxis (Processo odontoide).

                                Email: leonardosflor@gmail.com
                             Blog: http://leonardoflor.blogspot.com/
Tomografando a Técnica de Tomografar_______________________________________________________

TOMOGRAFIA DO OUVIDO E MASTÓIDES




A orelha ou pavilhão é formada por uma lâmina de cartilagem elástica de formato
irregular, recoberta por uma fina camada de pele. Possui várias depressões e elevações,
sendo a concha a maior depressão. A margem elevada da orelha é chamada de hélice, e,
localizada logo abaixo da hélice se encontra a escafa ou fossa escafóide, que é uma longa
depressão que se encontra logo abaixo da hélice. Abaixo da escafa, se encontra uma
elevação chamada anti-hélice, que termina bifurcada em dois ramos, encontrando-se uma
fossa entre eles, chamada de fossa triangular ou navicular. O lóbulo é um apequena
porção de tecido mole que se encontra na região inferior do pavilhão. Localizados
superiormente ao lóbulo, encontram-se o trago e o anti-trago, o primeiro localizado logo
na abertura do meato acústico externo e o segundo, logo acima do lóbulo.

A função principal do pavilhão auditivo é coletar sons, agindo como um funil e
direcionando o som para o conduto auditivo. Outra função é a filtração do som, processo
este que ajuda a localizar a origem dos sons que chegam ao individuo. Além disso, no caso
dos humanos, o processo de filtração seleciona sons na faixa de freqüência da voz humana
facilitando o entendimento.




                                 Email: leonardosflor@gmail.com
                              Blog: http://leonardoflor.blogspot.com/
                                                                                              46
Tomografando a Técnica de Tomografar_______________________________________________________



Já o conduto auditivo externo tem a função de transmitir os sons captados pela orelha para
o tímpano além de servir de câmara de ressonância ampliando algumas freqüências de sons.
Ele é constituído por cartilagem no terço lateral e osso nos dois terços mediais.

As mastóides e ouvidos ficam situados na base do crânio, nos ossos temporais. Este exame
é indicado para: otite; neurinoma de acústico; otosclerose e colesteatoma.
As posições para este estudo são:
   Axial iniciando da porção petrosa da cóclea até a porção final do canal semi- circular
posterior.
   Coronal: começa na porção posterior da mandíbula até a porção final do canal semi-
circular posterior.
Cortes e incrementos finos (se possível, 1 mm).


Tompograma:
perfil View angle: 90
Length: 130
KV: 120
mA: 30




                                Email: leonardosflor@gmail.com
                             Blog: http://leonardoflor.blogspot.com/
                                                                                              47
Tomografando a Técnica de Tomografar_______________________________________________________


Protocolo
Helical
Thickness (slice): 0.67mm
Increment: 0.33mm
KV: 120
mAs: 600
Resolução: Ultra High
Colimação: 20x0.625
Pitch: 0.348
Rotação: 0.75 sec
Filtro: Y- Sharp (YE)
Window: C: 500 / W: 4000
Matrix: 768

CORTES AXIAIS DA MASTOIDE




                               Email: leonardosflor@gmail.com
                            Blog: http://leonardoflor.blogspot.com/
                                                                                              48
Tomografando a Técnica de Tomografar_______________________________________________________




                               Email: leonardosflor@gmail.com
                            Blog: http://leonardoflor.blogspot.com/
                                                                                              49
Tomografando a Técnica de Tomografar_______________________________________________________




                                     PLANO CORONAL




                               Email: leonardosflor@gmail.com
                            Blog: http://leonardoflor.blogspot.com/
                                                                                              50
Tomografando a Técnica de Tomografar_______________________________________________________




TOMOGRAFIA DA MANDÍBULA




Sua forma é semelhante a uma ferradura horizontal com abertura posterior (corpo), de cujas
extremidades livres saem dois prolongamentos (ramos).

Na parte posterior, há uma articulação sinovial, com os ossos temporais através do processo
condilar, alongado ortogonalmente ao plano medial; esta articulação designa-se
temporomandibular (ATM).

Cada lado contém, da extremidade anterior à posterior, oito alvéolos para a inserção dos
dentes, respectivamente: dois alvéolos para o engaste dos incisivos; um alvéolo canino,
bastante profundo; dois alvéolos pré-molares e dois ou três molares, dependendo da


                                                                                              51
formação ou não do terceiro molar ou dente siso. Ainda sobre a anatomia humana da
                               Email: leonardosflor@gmail.com
                            Blog: http://leonardoflor.blogspot.com/
Tomografando a Técnica de Tomografar_______________________________________________________


mandíbula humana nota-se a inserção de todos os músculos da mastigação, tendo como
principais o Masseter, o Músculo temporal e os pterigóides, medial e lateral.

Este exame é solicitado em caso de trauma, disfunção óssea ou tratamento odontológico.


TOMOGRAFIA DE ATM (Articulação TemporoMandibular)




A Articulação Temporomandibular (ATM) é uma pequena juntura localizada na frente do
ouvido, onde o crânio e a mandíbula se encontram. Essa articulação permite que a
mandíbula (arcada inferior) se mova.

As desordens da ATM não são tão incomuns e têm uma variedade de sinais e sintomas. Os
pacientes podem se queixar de dor de ouvido, dor de cabeça (cefaléia), limitação na
abertura bucal. Também podem relatar clique ou sons de crepiação dentro dessa juntura e
sentem dor quando abrem e fecham a boca. O que deve ser determinado, obviamente é a
causa. Mesmo o simples fato de ouvir um estalido dentro da ATM é sinal de que existe algo
errado; esse estalido não é normal, como se pensa!



                                Email: leonardosflor@gmail.com
                             Blog: http://leonardoflor.blogspot.com/
                                                                                              52
Tomografando a Técnica de Tomografar_______________________________________________________


As posições para este estudo são:
  axial iniciando da porção superior da ATM até a porção final do mento da mandíbula.
 coronal começa na ponta do mento até a porção posterior da mandíbu-la junto a ATM.


Este exame é solicitado em caso de luxação. É realizado em axial e coronal,sendo que na
posição axial deve ser feito com a boca aberta e fechada.
A marcação deve ser feita do início ao fim do côndilo da mandíbula.




Posicionamento do paciente

       Mesa com suporte axial para crânio.
       Paciente em decúbito dorsal, o mais confortável possível.
       Imobilizar a cabeça.
       Colocar as mãos do paciente sobre o abdome ou ao lado do corpo.
       Observar: simetria, altura e angulação da cabeça.


                                Email: leonardosflor@gmail.com
                             Blog: http://leonardoflor.blogspot.com/
                                                                                              53
Tomografando a Técnica de Tomografar_______________________________________________________


       Protocolo
       Helical
       Thickness (slice): 0.9mm
       Increment: 0.45mm
       KV: 120
       mAs: 150
       Resolução: Standard
       Colimação: 64x0.625
       Pitch: 0.64
       Rotação: 0.5 sec
       Filtro: Bone (D)
       Window: C: 300 / W: 3000
       Matrix: 512

Tompograma: perfil View angle: 90
Length: 130
KV: 120
mA: 30




Obs: o exame e realizado de duas etapas boca aberta e boca fechada.




                               Email: leonardosflor@gmail.com
                            Blog: http://leonardoflor.blogspot.com/
                                                                                              54
Tomografando a Técnica de Tomografar_______________________________________________________




                    RECONSTRUCOES CORONAL, SAGITAL E 3D




                               Email: leonardosflor@gmail.com
                            Blog: http://leonardoflor.blogspot.com/
                                                                                              55
Tomografando a Técnica de Tomografar_______________________________________________________


TOMOGRAFIA DE ÓRBITA




A órbita é uma cavidade do esqueleto da face em forma de pirâmide onde estão inseridos o
bulbo do olho, músculos, nervos, vasos e o aparelho lacrimal. A parede superior é formada
pelos ossos frontal e esfenóide; a parede medial pelo etmóide, esfenóide, lacrimal e frontal;
a parede inferior ou assoalho pela maxila, zigomático e palatino; a parede lateral pelo
processo frontal do zigomático e asa maior do esfenóide. O ápice da órbita fica no canal
óptico, formado pela asa menor do esfenóide.

A base que abre para a face possui quatro margens:

margem superior: osso frontal

margem inferior: ossos maxilar e zigomático

margem medial: ossos frontal, lacrimal e maxilar

margem lateral: ossos zigomático e frontal




                                Email: leonardosflor@gmail.com
                             Blog: http://leonardoflor.blogspot.com/
                                                                                                56
Tomografando a Técnica de Tomografar_______________________________________________________




As paredes medial e inferior são finas e podem ser fraturadas por golpe. O deslocamento
das paredes pode causar um tipo de lesão chamada "fratura por explosão", podendo
envolver os seios etmoidais e esfenoidais, em caso de fratura da parede medial, e o seio
maxilar, em caso de fratura da parede inferior. A parede superior é mais resistente, mas é
fina e um objeto pontiagudo pode penetrá-la, atingindo o lobo frontal do cérebro.

Uma fratura normalmente causa sangramento e, como consequência, aumento de pressão do
olho e exoftalmia. Estruturas adjacentes podem ser afetadas e causar sangramento no seio
maxilar, deslocamento dos dentes maxilares, fratura dos ossos nasais.

Realiza-se este exame em duas posições:
Axial - cortes paralelos ao cone orbitário, começando do teto da órbita até o assoalho da
órbita.
Coronal - perpendicular a linha órbito-meatal, começando da porção anterior da órbita até
o quiasma óptico.
OBS. Pedir ao paciente para manter os olhos fechados durante o exame.




                               Email: leonardosflor@gmail.com
                            Blog: http://leonardoflor.blogspot.com/
                                                                                              57
Tomografando a Técnica de Tomografar_______________________________________________________


       Protocolo
       Helical
       Thickness (slice): 0.9mm
       Increment: 0.45mm
       KV: 120
       mAs: 150
       Resolução: Standard
       Colimação: 64x0.625
       Pitch: 0.64
       Rotação: 0.5 sec
       Filtro: Bone (D)
       Window: C: 300 / W: 3000
       Matrix: 512

Tompograma: perfil View angle: 90
Length: 130
KV: 120
mA: 30




CORTES AXIAIS DAS ORBITAS




                               Email: leonardosflor@gmail.com
                            Blog: http://leonardoflor.blogspot.com/
                                                                                              58
Tomografando a Técnica de Tomografar_______________________________________________________




                               Email: leonardosflor@gmail.com
                            Blog: http://leonardoflor.blogspot.com/
                                                                                              59
Tomografando a Técnica de Tomografar_______________________________________________________




                                     PLANO CORONAL




                               Email: leonardosflor@gmail.com
                            Blog: http://leonardoflor.blogspot.com/
                                                                                              60
Tomografando a Técnica de Tomografar_______________________________________________________




                               Email: leonardosflor@gmail.com
                            Blog: http://leonardoflor.blogspot.com/
                                                                                              61
Tomografando a Técnica de Tomografar_______________________________________________________


TOMOGRAFIA DE SELA TURCICA OU HIPÓFISE




O QUE É HIPÓFISE?
É uma glândula localizada na base do cérebro logo atrás dos olhos, numa região chamada
sela túrcica. Além da prolactina, ela produz vários outros hormônios que estimulam o
crescimento, a contração do útero, o volume da urina e controla o funcionamento de outras
glândulas.
A prolactina é um hormônio produzido pela glândula hipófise, que estimula a produção de
leite pela mama no período da amamentação




                               Email: leonardosflor@gmail.com
                            Blog: http://leonardoflor.blogspot.com/
                                                                                              62
Tomografando a Técnica de Tomografar_______________________________________________________


Indicações Comuns:
   •   Investigação de doenças relacionadas a função hipofisária;
   •   Transtornos do hipotálamo;
   •   Defeitos do campo visual;
   •   Avaliação pós-operatória de adenomas de hipófise.


Este exame é feito em duas posições:
axial iniciando da base da sela até a superfície dos processos clinóides.
coronal corte perpendicular a linha órbito-meatal, começando do pro-
cesso clinóide anterior até o posterior.


Posicionamento da mesa com suporte axial;
Paciente em DD (Head First Sup);
Imobilizar a Cabeça;
Mãos ao lado do corpo;
Linha transversal paralela a órbita;
Linha sagital paralela ao plano sagital;
Linha coronal na altura do MAE.


Scout: Lateral
•Início dos Cortes: Anterior ao dorso da sela
•Término dos Cortes: Ultrapassar os
limites do seio esfenoidal
• Espessura dos Cortes
coronais: Helicoidal 2mm / 2mm.
Multislice 1mm / 0,5mm




                                 Email: leonardosflor@gmail.com
                              Blog: http://leonardoflor.blogspot.com/
                                                                                              63
Tomografando a Técnica de Tomografar_______________________________________________________


       Protocolo

       Helical
       Thickness (slice): 0.9mm
       Increment: 0.45mm
       KV: 120
       mAs: 150
       Resolução: Standard
       Colimação: 64x0.625
       Pitch: 0.64
       Rotação: 0.5 sec
       Filtro: Bone (D)
       Window: C: 300 / W: 3000
       Matrix: 512

Tompograma: perfil View angle: 90
Length: 130
KV: 120
mA: 30




                               Email: leonardosflor@gmail.com
                            Blog: http://leonardoflor.blogspot.com/
                                                                                              64
Tomografando a Técnica de Tomografar_______________________________________________________




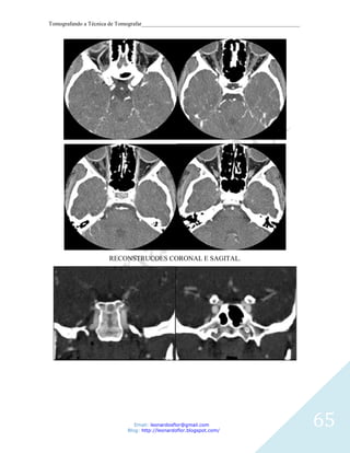
                     RECONSTRUCOES CORONAL E SAGITAL.




                               Email: leonardosflor@gmail.com
                            Blog: http://leonardoflor.blogspot.com/
                                                                                              65
Tomografando a Técnica de Tomografar_______________________________________________________




                               Email: leonardosflor@gmail.com
                            Blog: http://leonardoflor.blogspot.com/
                                                                                              66
Tomografando a Técnica de Tomografar_______________________________________________________


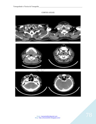
TOMOGRAFIA DO PESCOÇO
Exame que avalia as alterações em processos inflamatórios, infecciosos, traumáticos,
tumorais e vasculares de várias estruturas como língua, glândulas submandibulares, laringe,
hipofaringe, espaços, recessos, vasos e estruturas musculares de todo o pescoço, até a
entrada do tórax como podemos observar anteriormente.


ANATOMIA
O estudo da anatomia do pescoço pode ser entendido esquematicamente através de um
sistema de triângulos baseados em referenciais anatômicas de superfície. Desta maneira o
músculo esternocleidomastóideo divide o pescoço nos triângulos anterior e posterior. O
osso hióide divide o triângulo anterior nos compartimentos infra e supra-hióide. O ventre
anterior do músculo digástrico divide o compartimento supra-hióide em triângulos
submandibular e submentoniano. O ventre superior do músculo omohióide divide o
compartimento infra-hióide em triângulos carotídeo e muscular. Já o ventre inferior deste
músculo divide o triângulo posterior em triângulos subclávio e occipital. Cada um destes
triângulos contém diferentes estruturas anatômicas.


    TRIÂGULO                                         ESTRUTURAS ANATÔMICAS
    Submandibular                                    Glândula submandibular e linfonodos
    Submentoniano                                    Linfonodos
    Carotídeo                                        Artéria carótida e veia jugular, nervo vago
                                                     e linfonodos da cadeia jugular interna.
    Muscular                                         Laringe, hipofaringe, traquéia, esôfago,
                                                     tireóide, paratireóide e músculos infra-
                                                     hióideos.
    Occipital                                        Linfonodos e nervo espinhal acessório


    Subclávio                                        Artéria e veia subclávia, linfonodos, nervo
                                                     frênico e plexo braquial.




                               Email: leonardosflor@gmail.com
                            Blog: http://leonardoflor.blogspot.com/
                                                                                                   67
Tomografando a Técnica de Tomografar_______________________________________________________


Uma alternativa ao método dos triângulos cervicais é estudar a anatomia do pescoço através
dos espaços criados pela fáscia cervical profunda (FCP). Esta corresponde a camadas de
fáscia que contornam e envolvem a musculatura e demais estruturas desta região. Ela está
situada profundamente à fáscia cervical superficial e é formada por três camadas
(superficial, média e profunda), que dividem o pescoço em compartimentos ou espaços. O
conhecimento e o entendimento destes espaços são indispensáveis para o cirurgião e
também para o radiologista, uma vez que o diagnóstico diferencial entre as diversas
patologias é freqüentemente definido pelo espaço em que a lesão se localiza. Além disto,
existem comunicações entre diferentes espaços que nos permitem predizer possíveis vias de
disseminação de diversos processos patológicos.




Triângulos cervicais: A-submandibular, B-submentoniano; C-carotídeo; D-muscular; E-
occipital; F-subclávio.


ESPAÇO SUBLINGUAL: localiza-se no assoalho da boca e é definido pela mandíbula, osso
hióide e músculo milo-hióide. Comunica-se posteriormente com o espaço submandibular.
Lateralmente ao músculo gênio-glosso existe um plano gorduroso que contém o ducto da
glândula submandibular, glândula salivar sublingual, artéria e veia sublinguais, ramos
linguais de V3, nervo glossofaríngeo e nervo hipoglosso, músculo hioglosso e músculo
estiloglosso. O músculo hioglosso é o reparo cirúrgico que separa o ducto
submandibular situado mais superficialmente da artéria lingual mais profunda.



                               Email: leonardosflor@gmail.com
                            Blog: http://leonardoflor.blogspot.com/
                                                                                              68
Tomografando a Técnica de Tomografar_______________________________________________________


Lesões: Ca. do assoalho da boca e da língua, rânulas, dermóides e epidermóides,
hemangiomas e lingangiomas, abcessos, linfonodomegalias, cálculos e tumores de
glândulas salivares.




ESPAÇO BUCAL: não tem limites fasciais propriamente ditos. Contém a gordura bucal,
artéria e veia faciais, ducto parotídeo e músculo bucinador. Em geral é envolvido por
patologias do espaço mastigador. Localiza-se anteriormente ao músculo masséter. O ducto
parotídeo apresenta seu orifício de drenagem localizado na altura do segundo molar
superior, após atravessar o músculo bucinador.


ESPAÇO PAROTÍDEO: localiza-se póstero-lateralmente ao músculo masséter e contém a
glândula parótida, parte de seu ducto (ducto de Stensen), nervo facial, linfonodos
intraparotídeos e vasos, quais sejam a veia retromandibular e a artéria carótida externa. A
parótida pode ser dividida pelo nervo facial em lobos superficial e profundo, não havendo,
entretanto, uma real separação anatômica e/ou histológica entre estes lobos. A topografia do
nervo facial pode ser inferida pela identificação da veia retromandibular, uma vez que o
mesmo tem seu trajeto situado imediatamente lateral a este vaso. Ao contrário da glândula
submandibular, a parótida é encapsulada pela camada superficial da fáscia cervical
profunda tardiamente no desenvolvimento fetal. Este encapsulamento relativamente
retardado tem como consequência a permanência de tecido linfóide no espaço parotídeo,
que resultará na presença de linfonodos intraparotídeos. Estes são em número variável,
podendo chegar a 20. Os linfonodos intraparotídeos constituem pontos de drenagem de


                               Email: leonardosflor@gmail.com
                            Blog: http://leonardoflor.blogspot.com/
                                                                                               69
Tomografando a Técnica de Tomografar_______________________________________________________


primeira ordem do couro cabeludo e região facial profunda periparotídea. Com o passar dos
anos pode-se observar um progressivo aumento dos depósitos de gordura no parênquima
glandular, o que torna o contraste desta estrutura com as vizinhas mais evidente aos
métodos de imagem. Duas estruturas que frequentemente nos ajudam a definir que
determinada lesão está situada neste espaço são o ventre posterior do músculo digástrico
(forma uma parte da borda póstero-medial do espaço parotídeo) e o túnel estilo-
mandibular.
Lesões: cistos do primeiro arco branquial, hemangiomas, linfangiomas, abcessos,
linfonodomegalias, lesões inflamatórias e tumorais da glândula parótida, schwanoma do
nervo facial, lipomas.


ESPAÇO MASTIGADOR: este espaço estende-se da borda superior do músculo temporal
à borda inferior da mandíbula. Anteriormente a ele está o espaço bucal, posteriormente o
parotídeo e póstero-medialmente o espaço parafaríngeo. Os músculos da mastigação
constituem o maior volume deste espaço e, devido à extensa implantação dos mesmos na
base do crânio, processos inflamatórios e tumorais deste compartimento podem envolver e
disseminar-se para aquela região e mesmo para a fossa craniana e vice-e-versa. O forame
oval é também uma via de passagem entre estas regiões, uma vez que dá passagem ao ramo
mandibular do nervo trigêmeo. Dos músculos da mastigação somente o pterigóideo lateral
promove a abertura da boca. Ele consiste de dois ventres: o superior insere-se na cápsula da
ATM e cabeça mandibular (algumas fibras tendíneas atravessam a cápsula e se fixam na
borda anterior do disco interarticular), enquanto o inferior insere-se no colo da cabeça
mandibular. Contém o ramo e corpo da mandíbula, músculos pterigóideos medial e lateral,
masséter, temporal e nervo alveolar inferior (ramo de V3), ramos mastigatórios de V3,
artéria maxilar interna.
Lesões: hipertrofia massetérica, hemangiomas, linfangiomas, abcesso odontogênico,
osteomielite da mandíbula, schwanoma, sarcomas, linfoma, metástases para mandíbula e
carcinoma (disseminação perineural).




                               Email: leonardosflor@gmail.com
                            Blog: http://leonardoflor.blogspot.com/
                                                                                               70
Tomografando a Técnica de Tomografar_______________________________________________________


ESPAÇO CAROTÍDEO: estende-se da base do crânio ao arco aórtico. É envolvido pela
bainha carotídea, que é uma condensção das três camadas da fáscia cervical profunda.
Pode-se dividi-lo nos segmentos nasofaríngeo, orofaríngeo, cervical e mediastinal. Contém
as artérias carótidas, veia jugular interna, IX, X XI e XII pares cranianos na porção
nasofaríngea e linfonodos.
Lesões: tortuosidade da artéria carótida, celulite, abscesso, trombose da veia jugular,
paraganglioma, schwanoma, metástases (particularmente de carcinoma de células
escamosas), linfoma.


ESPAÇO MUCOSO-FARÍNGEO: a importância do estudo deste espaço vem do fato de
que a malignidade estatisticamente mais comum do trato aerodigestivo superior nele se
origina: o carcinoma de células escamosas. Este espaço é composto pelos tecidos situados
profundamente à camada média da fáscia cervical profunda (fáscia bucofaríngea).
Estende-se da base do crânio à cartilagem cricóide. Pode ser dividido em nasofaringe,
orofaringe e hipofaringe. Um plano que passa através dos palatos duro e mole separa a naso
da orofaringe e as pregas faringoepiglóticas e glossoepiglóticas separam a oro da
hipofaringe. A mucosa da nasofaringe é o epitélio colunar pseudoestratificado ciliado com
células caliciformes e a da orofaringe é o epitélio escamoso estratificado não queratinizado.
Próximo à base do crânio a fáscia bucofaríngea contorna os aspectos laterais e posterior da
fáscia faringobasilar, que é a aponeurose do músculo constritor superior. Esta fáscia
prende o músculo constritor superior e a faringe superior como um todo à base do crânio.
Apresenta uma falha lateralmente, chamada seio de Morgani, por onde passa a tuba
auditiva e o músculo elevador do véu palatino. Este seio é uma importante via de
disseminação de neoplasias da nasofaringe para o espaço parafaríngeo e regiões contíguas.
Contém o músculo constritor superior, de Passavant, constritor médio, constritor e elevador
do véu palatino, salpingofaríngeo, torus tubário, músculos palatoglosso e palatofaríngeo
(pilares tonsilares), estilofaríngeo, mucosa, anel de Waldeyer, glândulas salivares menores.
Lesões: hipertrofia linfóide, abscessos, tumores de glândulas salivares menores, carcinoma
de células escamosas, linfoma e cisto de Thornwaldt.




                                Email: leonardosflor@gmail.com
                             Blog: http://leonardoflor.blogspot.com/
                                                                                                71
Tomografando a Técnica de Tomografar_______________________________________________________


ESPAÇO PARAFARÍNGEO: é uma área de tecido gorduroso que ocupa uma localização
central no pescoço. Apesar de não estar contido em uma fáscia própria e abrigar poucas
estruturas esta área é um espaço crítico para o entendimento e localização de lesões dos
diversos espaços supra-hióides (figura 4). Estende-se da base do crânio, onde aparece como
o pequeno ponto de gordura medial aos forames oval e espinhoso, continuando-se
inferiormente até o corno superior do osso hióide. Seus limites são compostos pelas fáscias
dos espaços vizinhos, entretanto inferiormente comunica-se livremente com o espaço
submandibular. Contém gordura, ramos de V3. Ramos das artérias maxilar interna e
faringéia ascendente e plexo venoso faríngeo.




ESPAÇOS RETROFARÍNGEO, PRÉ-VERTEBRAL E PERIGOSO: a camada
profunda da fáscia cervical profunda se divide em duas lâminas, sendo uma anterior (fáscia
alar) e outra posterior (fáscia pré-vertebral). Esta última envolve a musculatura pré-
vertebral e paraespinhal, o nervo frênico e o plexo cervical, as vértebras, as artérias e veias
vertebrais e troncos do plexo braquial. Define, portanto, o espaço pré-vertebral, que se

                                Email: leonardosflor@gmail.com
                             Blog: http://leonardoflor.blogspot.com/
                                                                                                  72
Tomografando a Técnica de Tomografar_______________________________________________________


estende inferiormente até o cóccix. A fáscia alar tem origem na base do crânio, assim como
a pré-vertebral, e estende-se inferiormente formando as paredes posterior e laterais do
espaço retrofaríngeo, cuja parede anterior é formada pela fáscia bucofaríngea (camada
média da fáscia cervical profunda).




               TC em corte sagital evidenciando tumoração expansiva em cavum, com invasão retrofaríngea.
          TC em corte axial evidenciando destruição óssea,invasão retrocraniana e parede lateral do seio cavernoso.



O espaço potencial existente entre a fáscia alar e a fáscia pré-vertebral é o espaço perigoso.
O espaço retrofaríngeo estende-se da base do crânio ao mediastino superior, sendo seu
limite inferior a fusão das fáscias bucofaríngea e fáscia alar, que ocorre no nível de T3
(pode ocorrer no intervalo de C6 a T6). É uma via de disseminação potencial de lesões
cervicais para o mediastino. Contém gordura e linfonodos. Estes estão presentes na
porção supra-hióidea e são divididos em cadeias medial e laterais (gânglio de Rouvière).
Após a fusão com a fáscia bucofaríngea, descrita acima, a fáscia alar continua-se
inferiormente até o nível do diafragma. Portanto este é o limite inferior do espaço perigoso,
assim denominado pela possibilidade de servir de via de disseminação de infecções do
pescoço para o mediastino posterior, até o nível do diafragma. Do ponto de vista dos
métodos de imagem não é possível a visibilização das diferentes fáscias, portanto lesões
deste espaço apresentam-se de forma indistinta das lesões do espaço retrofaríngeo (no
compartimento infra-hióide este espaço pode ser denominado retrovisceral).




                                        Email: leonardosflor@gmail.com
                                     Blog: http://leonardoflor.blogspot.com/
                                                                                                                      73
Tomografando a Técnica de Tomografar_______________________________________________________


Lesões do espaço retrofaríngeo: linfonodomegalia, abscesso, celulite, lipoma, hemangioma,
linfoma, metástases, invasão direta por carcinoma de células escamosas.


Lesões do espaço pré-vertebral: osteomielite vertebral, cordoma, tumores vertebrais,
metástases, linfoma, invasão direta por carcinoma de células escamosas, tendinite do
músculo longus colli.




                               Email: leonardosflor@gmail.com
                            Blog: http://leonardoflor.blogspot.com/
                                                                                              74
Tomografando a Técnica de Tomografar_______________________________________________________


ESPAÇO VISCERAL: é exclusivamente infra-hióide e está contido pela camada média da
fáscia cervical profunda. Sua margem inferior é determinada por um plano que vai da
fúrcula esternal a T1. Inferiormente o componente visceral da camada média da FCP fixa-se
ao pericárdio, estabelecendo, portanto uma comunicação deste espaço com o mediastino
superior. Contém a tireóide e paratireóides, vasos tireodeanos inferiores, nervos laríngeos
recorrentes, esôfago, traquéia, linfonodos e laringe. Os linfonodos contidos no espaço
visceral pertencem ao grupo profundo de gânglios da cadeia cervical anterior, sendo
também chamados de justaviscerais ou paraesofageanos. Localizam-se lateralmente à
tireóide, traquéia e esôfago. A drenagem dos mesmos se faz inferiormente para os
linfonodos mediastinais. Portanto, linfonodomegalia metastática para estes linfonodos,
como ocorre, por exemplo, em tumores tireodeanos, têm grande tendência para extensão
mediastinal precoce. O mesmo já não acontece com os carcinomas de células escamosas da
cabeça e pescoço, uma vez que o envolvimento metastático ganglionar se dá primariamente
para linfonodos da cadeia cervical lateral, que não se comunicam diretamente com
linfonodos mediastinais.
Lesões: carcinoma de células escamosas da laringe, condrosarcoma de laringe, laringocele,
tumores e cistos de tireóide, bócio, adenomas de paratireóide, divertículo de Zenker,
carcinoma de esôfago, linfonodomegalia metastática, linfoma, abscesso, etc.


ESPAÇO CERVICAL POSTERIOR: localiza-se no aspecto póstero-lateral do pescoço,
estendendo-se desde a base do crânio até a clavícula. Separando este espaço do espaço pré-
vertebral está a camada profunda da fáscia cervical profunda. Superficialmente ele é
limitado pela fáscia cervical superficial. Anteriormente está separado do espaço carotídeo
pela bainha carotídea. Contém linfonodos da cadeia espinhal acessória, XI nervo craniano e
gordura, que é seu principal componente.
Lesões:    linfonodomegalia      metastática,     linfoma,      linfonodomegalia   inflamatória,
linfangioma, cisto branquial (III fenda), abscesso e lipoma.




                                 Email: leonardosflor@gmail.com
                              Blog: http://leonardoflor.blogspot.com/
                                                                                                   75
Tomografando a Técnica de Tomografar_______________________________________________________


ESPAÇO CERVICAL ANTERIOR: estende-se desde o osso hióide até a clavícula e está
preenchido por gordura. A fáscia visceral o separa do espaço visceral medialmente; a
camada superficial da fáscia cervical profunda limita o espaço ântero-lateralmente e a
bainha carotídea o limita posteriormente. O espaço submandibular está situado
superiormente, sem separação por planos fasciais.
Lesões: lipoma, cisto branquial, abscesso e linfangioma


TÉCNICA DE EXAME


O paciente é deitado na mesa de exames e lentamente será levado para o interior do gantry,
onde serão feitas as imagens da região cervical. É muito importante permanecer imóvel e
seguir as instruções do profissional que realizará o exame. O tempo de exame é variável,
podendo durar de 5 a 20 minutos.
Em relação ao preparo este exame requer um jejum absoluto (inclusive de água) de quatro
horas, cliente deve suspender, nas 48 horas que antecedem o exame e com o consentimento
do médico assistente, o uso de medicamentos que contenham a metformina (Dimefor®,
Glifage®, Glucoformin®, Glucovance® ou Starform®) e a fenformina (Debei®), que é
contraindicado nos exames com contraste iodado endovenoso. A suspensão dessas
medicações ainda precisa ser mantida por 48 horas após o exame.


Posicionamento do paciente
       Mesa com suporte axial para crânio.
       Paciente em decúbito dorsal, o mais confortável possível.
       Imobilizar a cabeça.
       Colocar as mãos do paciente ao lado do corpo.
       Observar: simetria, altura e angulação da cabeça.
       Começando do manúbrio ate a base do crânio.




                                 Email: leonardosflor@gmail.com
                              Blog: http://leonardoflor.blogspot.com/
                                                                                              76
Tomografando a Técnica de Tomografar_______________________________________________________


Tompograma: perfil View angle: Dual
Length: 130
KV: 120
mA: 30




                         .
Protocolo
Helical
Thickness (slice): 1mm
Increment: 0.5mm
KV: 120
mAs: 150
Resolução: Standart
Colimação: 64x0.625
Pitch: 0.923
Rotação: 0.75
Filtro: Standart
Window: C: 400 / W: 40
Matrix: 512




                                Email: leonardosflor@gmail.com
                             Blog: http://leonardoflor.blogspot.com/
                                                                                              77
Tomografando a Técnica de Tomografar_______________________________________________________


                                      CORTES AXIAIS




                               Email: leonardosflor@gmail.com
                            Blog: http://leonardoflor.blogspot.com/
                                                                                              78
Tomografando a Técnica de Tomografar_______________________________________________________


Reconstruções

Axial 2/2
Sagital e Coronal 3/3

           Sagital pós contraste                       Coronal pós contraste




                               Email: leonardosflor@gmail.com
                            Blog: http://leonardoflor.blogspot.com/
                                                                                              79
Tomografando a Técnica de Tomografar_______________________________________________________



         Torax



               Cartilage
                                                                                      Esterno:
                Costal
                                                                                       Manúbrio

           Arcos                                                                   Corpo
           Costais


                                                                                        Processo
           Segmento vertebral                                                            xifóide
               torácico




Traquéia

Pulmão




 Pleura                                                  F
 (Recesso pleural)                                        E
                                                         IG                              Seio Costofrênico




                                        Email: leonardosflor@gmail.com
                                     Blog: http://leonardoflor.blogspot.com/
                                                                                                       80
Tomografando a Técnica de Tomografar_______________________________________________________




     Recesso
costodiafragmático
da cavidade pleural

         O sistema respiratório consiste em partes do corpo através das quais o ar passa do nariz e da
         boca para o interior dos pulmões, possibilitando a troca gasosa entre o ar e a corrente
         sangüínea. Está dividido em 4 partes: laringe, traquéia, brônquios direito e esquerdo e
         pulmões. Seguindo da laringe para baixo temos a traquéia, que é a segunda divisão
         propriamente dita do sistema respiratório.




                                         Email: leonardosflor@gmail.com
                                      Blog: http://leonardoflor.blogspot.com/
                                                                                                         81
Tomografando a Técnica de Tomografar_______________________________________________________


É um tubo fibroso muscular com cerca de 20 anéis cartilaginosos em forma de C, que
mantém a via aérea aberta evitando que a traquéia colabe durante a inspiração.
Localizada anteriormente ao esôfago, da junção com a laringe ao nível de C6 até o nível de
T4 ou T5 onde se divide nos brônquios fonte direito e esquerdo.
Glândulas localizadas próximo ao sistema respiratório: tireóide, paratireóides e o timo.


Tireóide: localizadas anteriormente na região do pescoço logo abaixo da laringe. Bastante
radio - sensível. Armazena hormônios que ajudam na regulação do metabolismo corporal,
regulam o crescimento e o desenvolvimento do corpo e a ativação do SNC, principalmente
em crianças.


Paratireóides: localizadas nas superfícies posteriores dos lobos laterais da tireóide.
Normalmente duas, ligadas a cada lobo da tireóide. Armazenam e secretam certos
hormônios que ajudam em funções sangüíneas especiais, incluindo os níveis de cálcio
sérico.


Timo: localização distal à tireóide. Faz parte das estruturas do mediastino.


Brônquio direito é mais largo, mais curto, possui menor ângulo de divergência (25º
) em relação à traquéia distal e é menos abrupto à direita do que à esquerda. Possui
cerca de 2,5 cm de comprimento por 1,3 cm de largura. Divide-se em três brônquios
secundários (deste modo o pulmão direito possui três lobos) que se subdividem em
ramos menores os bronquíolos, que se espalham por t odas as partes de cada lobo e
terminam em sacos muito pequenos chamados alvéolos, onde são trocados o oxigênio e
o gás carbônico do sangue.
Qual a importância nesta diferença em forma e tamanho? Partículas de comidas e outros
corpos estranhos têm maior tendência a entrar e se alojar no brônquio direito.




                                Email: leonardosflor@gmail.com
                             Blog: http://leonardoflor.blogspot.com/
                                                                                              82
Tomografando a Técnica de Tomografar_______________________________________________________


Brônquio esquerdo possui ângulo de divergência com diâmetro 1,1 cm menor que o
direito   e    duas    vezes    mais     comprido      (5 cm). Divide-se   em   dois brônquios
secundários (o      pulmão     direito   possui    dois lobos) que se subdividem em ramos
menores       os    bronquíolos, que se espalham por todas as partes de cada lobo e
terminam       em     sacos    muito pequenos chamados alvéolos, onde são trocados o
oxigênio e o gás carbônico do sangue.


Carina: localizada ao nível de T5. Local onde os brônquios se dividem em direito e
esquerdo.




                                   Email: leonardosflor@gmail.com
                                Blog: http://leonardoflor.blogspot.com/
                                                                                                 83
Tomografando a Técnica de Tomografar_______________________________________________________


Patologias

       Lesões mediastinais
       Aneurismas
       Abscesso ou cisto
       Doença pericárdica
       Nódulo




                                               Lesões mediastinais




                                                      Aneurismas




                                                        Abscesso




                                                          Cistos




                                Email: leonardosflor@gmail.com
                             Blog: http://leonardoflor.blogspot.com/
                                                                                              84
Tomografando a Técnica de Tomografar_______________________________________________________




Para TC Convencional, o paciente e instruído a respirar antes de cada nova aquisição de
imagem, então suspender a respiração por alguns segundos.
Caso o paciente não consiga cooperar, o movimento diafragmático causará imagens
borradas com uma marcante perda de qualidade.


Posicionamento do paciente

   •   Paciente em decúbito dorsal com os braços para cima
   •   Feixe sagital alinhado a chanfradura esternal.
   •   Feixe transversal acima dos ápices pulmonares.
   •   Feixe coronal na altura da linha hemiaxilar.




                               Email: leonardosflor@gmail.com
                            Blog: http://leonardoflor.blogspot.com/
                                                                                              85
Tomografando a Técnica de Tomografar_______________________________________________________


Tompograma: AP View angle: 180
Length: 400
KV: 120
mA: 30




A varredura é planejada desde acima dos ápices até abaixo do diafragma, centrada na linha
média e na linha hemiaxilar


Protocolo

Helical
Thickness (slice): 1mm
Increment: 0.5mm
KV: 120
mAs: 200
Resolução: Standard
Colimação: 64x0.625
Pitch: 0.923
Rotação: 0.75
Filtro: Lung Enhacend (L)
Window: C: - 600 / W: 1600
Matrix: 512




                                 Email: leonardosflor@gmail.com
                              Blog: http://leonardoflor.blogspot.com/
                                                                                              86
Tomografando a Técnica de Tomografar_______________________________________________________




Imagem 1
1, Apófise (processo) coracóide. 2, Clavícula direita. 3, Artéria carótida comum direita. 4,
Tireóide. 5, Veia jugular interna esquerda. 6, Clavícula esquerda. 7, Veia subclávia
esquerda. 8, Cabeça do úmero esquerda. 9, Espinha da escápula. 10, Processo espinhoso.

Imagem 2
1, Cabeça do úmero direita. 2, Esôfago. 3, Traquéia. 4, Veia subclávia esquerda. 5, Espinha
da escápula. 6, Glenóide da escapula




Imagem 3
1, Pulmão direito. 2, Costela. 3, Esôfago. 4, Traquéia. 5, Veia braquiocefálica esquerda. 6,
Artéria carótida comum esquerda. 7, Veia axilar esquerda. 8, Pulmão esquerdo. 9, Processo
transverso. 10, Escápula.

Imagem 4
1, Pulmão direito. 2, Costela. 3, Traquéia. 4, Veia braquiocefálica esquerda. 5, tronco


                                                                                               87
braquiocefálico (também conhecido como artéria inominada). 6, Artéria carótida comum
esquerda. 7, Artéria subclávia esquerda. 8, Escápula. 9, Esôfago. 10, Processo espinhoso.
                                Email: leonardosflor@gmail.com
                             Blog: http://leonardoflor.blogspot.com/
Tomografando a Técnica de Tomografar_______________________________________________________




Imagem 5
1, Esôfago. 2, Costela. 3, Traquéia. 4, Veia cava superior. 5, tronco braquiocefálico
(também conhecido como artéria inominada). 6, Artéria carótida comum esquerda. 7, Aorta.
8, Escápula. 9, Canal vertebral.

Imagem 6
1, Pulmão direito. 2, Traquéia. 3, Veia cava superior. 4, Arco aórtico. 5, Pulmão esquerdo.
6, Escápula 7, Corpo vertebral 8, Costela.




Imagem 7
1, Pulmão direito. 2, Veia cava superior. 3, Aorta torácica ascendente. 4, Aorta torácica
descendente. 5, Costela. 6, Pulmão esquerdo. 7, Esôfago. 8, Traquéia

Imagem 8
1, Pulmão direito. 2, Veia pulmonar direita. 3, Veia cava superior. 4, Aorta torácica
ascendente. 5, Artéria pulmonar esquerda. 6, Veia pulmonar esquerda. 7, Pulmão esquerdo.
8, Escápula 9, Canal vertebral. 10, Costela.




                                Email: leonardosflor@gmail.com
                             Blog: http://leonardoflor.blogspot.com/
                                                                                              88
Tomografando a Técnica de Tomografar_______________________________________________________




Imagem 9
1, Artéria pulmonar direita. 2, Pulmão direito. 3, Veia cava superior. 4, Aorta torácica
ascendente. 5, Tronco pulmonar. 6, Veia pulmonar esquerda. 7, Artéria pulmonar esquerda.
8, Escápula. 9, Costela 10, Pulmão esquerdo.

Imagem 10
1, átrio direito. 2, Raiz da aorta. 3, Raiz do tronco pulmonar. 4, átrio esquerdo. 5, Aorta
torácica descendente.




Imagem 11
1, átrio direito. 2, Raiz da aorta. 3, Ventrículo direito. 4, átrio esquerdo. 5, Aorta torácica
descendente.

Imagem 12
1, Pulmão direito. 2, átrio direito. 3, Ventrículo direito. 4, Ventrículo esquerdo. 5, Pulmão
esquerdo. 6, Aorta torácica descendente.




                                 Email: leonardosflor@gmail.com
                              Blog: http://leonardoflor.blogspot.com/
                                                                                                  89
Tomografando a Técnica de Tomografar_______________________________________________________




Imagem 13
1, Esôfago 2, Pulmão direito. 3, Ventrículo direito. 4, Ventrículo esquerdo. 5, Pulmão
esquerdo. 6, Aorta torácica descendente. 7, Processo espinhoso.

Imagem 14
1, Pulmão direito. 2, Veia cava inferior. 3, Ventrículo direito. 4, Ventrículo esquerdo. 5,
Esôfago. 6, Pulmão esquerdo. 7, Aorta torácica descendente. 8, Canal vertebral




Imagem 15
1, Pulmão direito. 2, Fígado. 3, Veia cava inferior. 4, Ventrículo direito. 5, Ventrículo
esquerdo. 6, Esôfago. 7, Pulmão esquerdo. 8, Aorta torácica descendente. 9, Corpo
vertebral.

Imagem 16
1, Lobo inferior de pulmão direito. 2, Fígado. 3, Veia cava inferior. 4, Esôfago. 5, Pulmão
esquerdo 6, Aorta.




                                Email: leonardosflor@gmail.com
                             Blog: http://leonardoflor.blogspot.com/
                                                                                              90
Tomografando a Técnica de Tomografar_______________________________________________________




Imagem 17
1, Lobo inferior de pulmão direito. 2, Fígado. 3, Veia cava inferior. 4, Lobo inferior de
pulmão esquerdo. 5, Aorta.

Tomografia de Tórax em Alta Resolução (TCAR)
É feito em seqüencial, começando no ápice e terminando na base pulmonar. Fazer sempre
com apnéia. Em alguns casos fazer em inspiração e expiração.
É indicado em: Condensação; Aero-broncogramas; Tuberculose; Bronquiectasia; Enfisema
pulmonar e outros.
Usar KV e, MAS altos e slice fino




                                Email: leonardosflor@gmail.com
                             Blog: http://leonardoflor.blogspot.com/
                                                                                              91
Tomografando a Técnica de Tomografar_______________________________________________________




Imagem 1 ALTA RESOLUÇÃO
1, Brônquio do segmento apical do lobo superior direito. 2, divisão da traquéia em 2 ramos
direito e esquerdo dando origem aos 2 brônquios principais. 3, Lobo superior esquerdo. 4,
Lobo inferior esquerdo. Seta vermelha, Fissura obliqua (Grande fissura pulmonar).

Imagem 2 ALTA RESOLUÇÃO
1, Brônquio segmantar posterior (Lobo superior direito). 2, Brônquio segmantar antérieur
(Lobo superior direito). 3, Brônquio principal direito. 4, brônquio principal esquerdo. 5,
Lobo superior esquerdo. 6, Lobo inferior esquerdo. Seta vermelha, Fissura obliqua (Grande
fissura pulmonar).




Imagem 3
1, Brônquio Intermediário. 2, Linha de junção anterior. 3, brônquio principal esquerdo. 4,
Lobo superior esquerdo. 5, Lobo inferior esquerdo. Seta vermelha, Fissura obliqua (Grande
fissura pulmonar).



                               Email: leonardosflor@gmail.com
                            Blog: http://leonardoflor.blogspot.com/
                                                                                              92
Tomografando a Técnica de Tomografar_______________________________________________________

Imagem 4
1, Brônquio lobar inferior direito. 2, Lobo inferior direito. 3, Brônquio lobar médio direito.
4, Lóbulo médio direito. 5, Lobo superior direito. 6, Lobo superior esquerdo. 7, Lobo
inferior esquerdo. Seta branco, Fissura horizontal (Pequena scissure). Seta vermelha,
Fissura obliqua (Grande fissura pulmonar)




Reconstrução coronal 1
1, Traquéia. 2, brônquio principal esquerdo. 3, Brônquio principal direito. 4, Brônquio do
segmento apical do lobo superior direito. 5, Brônquio lobar inferior direito.
Seta vermelha, Fissura obliqua (Grande fissura pulmonar).

Reconstrução coronal 2
1, Traquéia. 2, Lobo superior direito. 3, Lóbulo médio direito. 4, Lobo inferior direito. 5,
Lobo superior esquerdo. 6, Lobo inferior esquerdo. seta preta, Fissura horizontal (Pequena
scissure). Seta vermelha, Fissura obliqua (Grande fissura pulmonar).




                                Email: leonardosflor@gmail.com
                             Blog: http://leonardoflor.blogspot.com/
                                                                                                 93
Tomografando a Técnica de Tomografar_______________________________________________________

TOMOGRAFIA DO ABDOMEN E PELVE




O Abdômen contém a maioria dos órgãos em forma de tubo do trato digestivo, assim como
outros órgãos sólidos. Os órgãos abdominais ocos incluem o estômago, o intestino delgado
e o cólon com seu apêndice vermiforme. Órgão como o fígado, a vesícula biliar, e o
pâncreas funcionam em associação próxima ao trato digestivo e se comunicam via dutos. O
baço, os rins e asglândula supra-renal também estão no abdômen, junto com muitos outros
vasos sanguíneos como a aorta e a veia cava inferior. Os anatomistas podem considerar a
bexiga urinária, útero, tuba uterina e óvarios tanto como órgãos abdominais ou pélvicos.
Finalmente, o abdômen contém uma membrana extensa chamada peritônio. Uma dobra de
peritônio pode cobrir completamente certos órgãos, ebora ela possa cobrir apenas umaldo
de órgãos que geralmente estão perto da parede abdominal. Estes órgãos os anatomistas
chamam de órgãos retroperitoniais.




                               Email: leonardosflor@gmail.com
                            Blog: http://leonardoflor.blogspot.com/
                                                                                              94
Tomografando a Técnica de Tomografar_______________________________________________________




O Trato digestório e os órgãos anexos constituem o sistema digestório. O trato digestório é
um tubo oco que se estende da cavidade bucal ao ânus, sendo também chamado de canal
alimentar ou trato gastrintestinal. As estruturas do trato digestório incluem: boca, faringe,
esôfago,    estômago,     intestino     delgado,      intestino        grosso,   reto   e   ânus.
O comprimento do trato gastrintestinal, medido no cadáver, é de cerca de 9m. Na pessoa
viva é menor porque os músculos ao longo das paredes dos órgãos do trato gastrintestinal
mantém o tônus.

Os órgãos digestório acessórios são os dentes, a língua, as glândulas salivares, o fígado,
vesícula biliar e o pâncreas. Os dentes auxiliam no rompimento físico do alimento e a
língua auxilia na mastigação e na deglutição. Os outros órgãos digestórios acessórios, nunca
entram em contato direto com o alimento. Produzem ou armazenam secreções que passam
para o trato gastrintestinal e auxiliam na decomposição química do alimento.
O trato gastro intestinal é um tubo longo e sinuoso de 10 a 12 metros de comprimento desde
a extremidade cefálica (cavidade oral) até a caudal (ânus).

FUNÇÕES

1- Destina-se ao aproveitamento pelo organismo, de substâncias estranhas ditas alimentares,
que asseguram a manutenção de seus processos vitais.




                                Email: leonardosflor@gmail.com
                             Blog: http://leonardoflor.blogspot.com/
                                                                                                    95
Tomografando a Técnica de Tomografar_______________________________________________________



2- Transformação mecânica e química das macromóléculas alimentares ingeridas
(proteínas, carbohidratos, etc.) em moléculas de tamanhos e formas adequadas para serem
absorvidas pelo intestino.

3- Transporte de alimentos digeridos, água e sais minerais da luz intestinal para os capilares
sangüíneos da mucosa do intestino.

4- Eliminação de resíduos alimentares não digeridos e não absorvidos juntamente com
restos de células descamadas da parte do trato gastro intestinal e substâncias secretadas na
luz do intestino.

Mastigação:Desintegração parcial dos alimentos, processo mecânico e químico.
Deglutição:Condução dos alimentos através da faringe para o esôfago.
Ingestão:Introdução do alimento no estômago.
Digestão:Desdobramento do alimento em moléculas mais simples.

Absorção: Processo realizado pelos intestinos.
Defecação: Eliminação de substâncias não digeridas do trato gastro intestinal.

O trato gastro intestinal apresenta diversos segmentos que sucessivamente são:
BOCA - FARINGE - ESÔFAGO - ESTÔMAGO - INTESTINO DELGADO - INTESTINO
GROSSO

Órgãos Anexos:

GLÂNDULAS PARÓTIDAS
GLÂNDULAS SUBMANDIBULARES
GLÂNDULAS SUBLINGUAIS
FÍGADO
PÂNCREAS




                                Email: leonardosflor@gmail.com
                             Blog: http://leonardoflor.blogspot.com/
                                                                                                 96
Tomografando a Técnica de Tomografar_______________________________________________________




O fígado é um órgão que atua como uma glândula do corpo humano e se localiza no
hipocôndrio direito, epigástrio e pequena porção do hipocôndrio esquerdo, sob o diafragma.
Seu peso aproximado é cerca de 2,250-2,500 kg no homem adulto e um pouco menos na
mulher. Em crianças é proporcionalmente maior, pois constitui 1/20 do peso total de um
recém nascido. Na primeira infância é um órgão tão grande, que pode ser sentido abaixo da
margem inferior das costelas, ao lado direito. Funciona como glândula exócrina, isto é,
libera secreções em sistema de canais que se abrem numa superfície externa. Atua também
como glândula endócrina, uma vez que também libera substâncias. Para o entendimento do
funcionamento dinâmico e complexo do fígado, podemos dizer que uma das suas principais
atividades é a formação e excreção da bile; as células hepáticas produzem em torno de 1,5 l
por dia, descarregando-a através do ducto hepático. A transformação de glicose em
glicogênio, e seu armazenamento, se dá nas células hepáticas. Ligada a este processo, há a
regulação e a organização de proteínas e gorduras em estruturas químicas utilizáveis pelo
organismo da concentração dos aminoácidos no sangue, que resulta na conversão de
glicose, esta utilizada pelo organismo no seu metabolismo. Neste mesmo processo, o sub-
produto resulta em uréia, eliminada pelo rim. Além disso, paralelamente existe a elaboração
da albumina, e do fibrinogênio.


                               Email: leonardosflor@gmail.com
                            Blog: http://leonardoflor.blogspot.com/
                                                                                              97
Tomografando a Técnica de Tomografar_______________________________________________________



O pâncreas        é uma glândula do sistema digestivo e endócrino. Ele é tanto exócrino

(secretando suco pancreático, que contém enzimas digestivas) quanto endócrino
(produzindo muitos hormônios importantes, como insulina, glucagon e somatostatina).
Sendo uma das glândulas retroperitoneais, ele é localizado posteriormente ao estômago e
está em associação próxima ao duodeno. É freqüentemente descrito como tendo três
regiões: a cabeça, corpo e a cauda. Podendo causar algo como infertilidade em gestantes.

O ducto pancreático (também chamado de ducto de Wirsung) percorre o comprimento do
pâncreas e termina na segunda porção do duodeno, na ampola de Vater (hepatopancreática).
O ducto biliar comum geralmente se une ao ducto pancreático neste ponto ou próximo dele.
Muitas pessoas também possuem um pequeno ducto acessório, o ducto de Santorini.




INTESTINO DELGADO

Características
No intestino delgado ocorre a parte mais importante da digestão e é absorvida a maior parte
dos nutrientes. O intestino delgado é um tubo com pouco mais de 6 m de comprimento por
4cm de diâmetro e pode ser dividido em três regiões: duodeno (cerca de 25 cm), jejuno
(cerca de 5 m) e íleo (cerca de 1,5 cm). A porção superior ou duodeno tem a forma de
ferradura e compreende o piloro, a abertura da parte inferior do estômago pela qual este
esvazia seu conteúdo no intestino.

                               Email: leonardosflor@gmail.com
                            Blog: http://leonardoflor.blogspot.com/
                                                                                              98
Tomografando a Técnica de Tomografar_______________________________________________________



Movimentos peristálticos: No intestino, as contrações rítmicas e os movimentos
peristálticos das paredes musculares, movimentam o alimento, ao mesmo tempo em que
este é atacado pela bílis, enzimas e outras secreções. Os nutrientes absorvidos pelos vasos
sanguíneos do intestino, passam ao fígado para serem distribuídos pelo resto do organismo.

SISTEMA URINÁRIO

O sistema urinário é constituído pelos órgãos uropoéticos, isto é, incumbidos de elaborar a
urina e armazená-la temporariamente até a oportunidade de ser eliminada para o exterior.
Na    urina   encontramos     ácido    úrico,    ureia,   sódio,    potássio,   bicarbonato,   etc.
Este aparelho pode ser dividido em órgãos secretores - que produzem a urina - e órgãos
excretores - que são encarregados de processar a drenagem da urina para fora do corpo.

Os órgãos urinários compreendem os rins (2), que produzem a urina, os ureteres (2) ou
ductos, que transportam a urina para a bexiga (1), onde fica retida por algum tempo, e a
uretra (1), através da qual é expelida do corpo.



Além dos rins, as estruturas restantes do sistema urinário funcionam como um encanamento
constituindo as vias do trato urinário. Essas estruturas – ureteres, bexiga e uretra – não
modificam a urina ao longo do caminho, ao contrário, elas armazenam e conduzem a urina
do rim para o meio externo.

Rim
Ureter
Bexiga
Uretra




                                 Email: leonardosflor@gmail.com
                              Blog: http://leonardoflor.blogspot.com/
                                                                                                      99
Tomografando a Técnica de Tomografar_______________________________________________________




RIM


Os rins são órgãos pares, em forma de grão de feijão, localizados logo acima da cintura,
entre o peritônio e a parede posterior do abdome. Sua coloração é vermelho-parda.

Os rins estão situados de cada lado da coluna vertebral, por diante da região superior da
parede posterior do abdome, estendendo-se entre a 11ª costela e o processo transverso da 3ª
vértebra lombar. São descritos como órgãos retroperiotoneais, por estarem posicionados por
trás do peritônio da cavidade abdominal.

Os rins são recobertos pelo peritônio e circundados por uma massa de gordura e de tecido
areolar frouxo. Cada rim tem cerca de 11,25cm de comprimento, 5 a 7,5cm de largura e um
pouco mais que 2,5cm de espessura. O esquerdo é um pouco mais comprido e mais estreito
do que o direito. O peso do rim do homem adulto varia entre 125 a 170g; na mulher adulta,
entre 115 a 155g. O rim direito normalmente situa-se ligeiramente abaixo do rim esquerdo
devido ao grande tamanho do lobo direito do fígado.



                               Email: leonardosflor@gmail.com
                            Blog: http://leonardoflor.blogspot.com/
                                                                                              100
Tomografando a Técnica de Tomografar_______________________________________________________



Na margem medial côncava de cada rim encontra-se uma fenda vertical – o HILO RENAL
– onde a artéria renal entra e a veia e a pelve renal deixam o seio renal. No hilo, a veia renal
está anterior à artéria renal, que está anterior à pelve renal. O hilo renal é a entrada para um
espaço dentro do rim. O seio renal, que é ocupado pela pelve renal, cálices, nervos, vasos
sangüíneos e linfáticos e uma variável quantidade de gordura.




Cada rim apresenta duas faces, duas bordas e duas extremidades.

FACES (2) - Anterior e Posterior. As duas são lisas, porém a anterior é mais abaulada e a
posterior mais plana.

BORDAS (2) - Medial (côncava) e Lateral (convexa).

EXTREMIDADES (2) - Superior (Glândula Supra-Renal) e Inferior (a nível de L3).

Rim - Faces, Bordas, Extremidades e Hilo Renal.




                                 Email: leonardosflor@gmail.com
                              Blog: http://leonardoflor.blogspot.com/
                                                                                                   101
Tomografando a Técnica de Tomografar_______________________________________________________




Anatomia Interna dos Rins

Em um corte frontal através do rim, são reveladas duas regiões distintas: uma área
avermelhada de textura lisa, chamada córtex renal e uma área marron-avermelhada
profunda, denominada medula renal. A medula consiste em 8-18 estruturas cuneiformes, as
pirâmides renais. A base (extremidade mais larga) de cada pirâmide olha o córtex, e seu
ápice (extremidade mais estreita), chamada papila renal, aponta para o hilo do rim. As
partes do córtex renal que se estendem entre as pirâmides renais são chamadas colunas
renais. Juntos, o córtex e as pirâmides renais da medula renal constituem a parte funcional,
ou parênquima do rim. No parênquima estão as unidades funcionais dos rins – cerca de 1
milhão de estruturas microscópicas chamadas NÉFRONS. A urina, formada pelos néfrons,
drena para os grandes ductos papilares, que se estendem ao longo das papilas renais das
pirâmides.




                               Email: leonardosflor@gmail.com
                            Blog: http://leonardoflor.blogspot.com/
                                                                                               102
Tomografando a Técnica de Tomografar_______________________________________________________




Os ductos drenam para estruturas chamadas cálices renais menor e maior. Cada rim tem 8-
18 cálices menores e 2-3 cálices maiores. O cálice renal menor recebe urina dos ductos
papilares de uma papila renal e a transporta até um cálice renal maior. Do cálice renal
maior, a urina drena para a grande cavidade chamada pelve renal e depois para fora, pelo
ureter, até a bexiga urinária. O hilo renal se expande em uma cavidade, no rim, chamada
seio renal.

Rim - Esquema da Anatomia Interna




                               Email: leonardosflor@gmail.com
                            Blog: http://leonardoflor.blogspot.com/
                                                                                              103
Tomografando a Técnica de Tomografar_______________________________________________________



Néfrons
O néfron é a unidade morfofuncional ou a unidade produtora de urina do rim. Cada rim
contém cerca de 1 milhão de néfrons. A forma do néfron é peculiar, inconfundível, e
admiravelmente adequada para sua função de produzir urina.

O néfron é formado por dois componentes principais: 1. Corpúsculo Renal: Cápsula
Glomerular (de Bowman); Glomérulo – rede de capilares sangüíneos enovelados dentro da
cápsula glomerular. 2. Túbulo Renal:

Túbulo contorcido proximal;
Alça do Néfron (de Henle);
Túbulo contorcido distal;
Túbulo coletor.
Néfron




                                Email: leonardosflor@gmail.com
                             Blog: http://leonardoflor.blogspot.com/
                                                                                              104
Tomografando a Técnica de Tomografar_______________________________________________________




Funções dos Rins:

Os rins realizam o trabalho principal do sistema urinário, com as outras partes do sistema
atuando, principalmente, como vias de passagem e áreas de armazenamento. Com a
filtração do sangue e a formação da urina, os rins contribuem para a homeostasia dos
líquidos do corpo de várias maneiras. As funções dos rins incluem:

Regulação    da   composição    iônica    do    sangue;Manutenção     da   osmolaridade   do
sangue;Regulação do volume sangüíneo;Regulação da pressão arterial;Regulação do pH do
sangue; Liberação de hormônios; Regulação do nível de glicose no sangue; Excreção de
resíduos e substâncias estranhas.Glândulas Supra-renais




                               Email: leonardosflor@gmail.com
                            Blog: http://leonardoflor.blogspot.com/
                                                                                               105
Tomografando a Técnica de Tomografar_______________________________________________________


As glândulas supra-renais (adrenais) estão localizadas entre as faces supero-mediais dos
rins e o diafragma. Cada glândula supra-renal, envolvida por uma cápsula fibrosa e um
coxim de gordura, possui duas partes: o córtex e a medula supra-renal, ambas produzindo
diferentes hormônios.

O córtex secreta hormônios essenciais à vida, enquanto que os hormônios medulares não
são essenciais para a vida. A medula da supra-renal pode ser removida, sem causar efeitos
que comprometem a vida.         A medula supra-renal secreta dois hormônios: epinefrina
(adrenalina) e norepinefrina. Já o córtex supra-renal secreta os esteróides.

URETER




São dois tubos que transportam a urina dos rins para a bexiga. Órgãos pouco calibrosos, os
ureteres têm menos de 6mm de diâmetro e 25 a 30cm de comprimento. Pelve renal é a
extremidade superior do ureter, localizada no interior do rim.




                                Email: leonardosflor@gmail.com
                             Blog: http://leonardoflor.blogspot.com/
                                                                                              106
Tomografando a Técnica de Tomografar_______________________________________________________


Descendo obliquamente para baixo e medialmente, o ureter percorre por diante da parede
posterior do abdome, penetrando em seguida na cavidade pélvina, abrindo-se no óstio do
ureter situado no assoalho da bexiga urinária.

Em virtude desse seu trajeto, distinguem-se duas partes do ureter: abdominal e pélvica. Os
ureteres são capazes de realizar contrações rítmicas denominadas peristaltismo. A urina se
move ao longo dos ureteres em resposta à gravidade e ao peristaltismo.

BEXIGA
A bexiga urinária funciona como um reservatório temporário para o armazenamento da
urina. Quando vazia, a bexiga está localizada inferiormente ao peritônio e posteriormente à
sínfise púbica: quando cheia, ela se eleva para a cavidade abdominal.

É um órgão muscular oco, elástico que, nos homens situa-se diretamente anterior ao reto e,
nas mulheres está à frente da vagina e abaixo do útero.

Quando a bexiga está cheia, sua superfície interna fica lisa. Uma área triangular na
superfície posterior da bexiga não exibe rugas. Esta área é chamada trígono da bexiga e é
sempre lisa. Este trígono é limitado por três vértices: os pontos de entrada dos dois ureteres
e o ponto de saída da uretra. O trígono é importante clinicamente, pois as infecções tendem
a persistir nessa área.

A saída da bexiga urinária contém o músculo esfíncter chamada esfíncter interno, que se
contrai involuntariamente, prevenindo o esvaziamento. Inferiormente ao músculo esfíncter,
envolvendo a parte superior da uretra, está o esfíncter externo, que controlado
voluntariamente, permitindo a resistência à necessidade de urinar.

A capacidade média da bexiga urinária é de 700 – 800ml; é menor nas mulheres porque o
útero ocupa o espaço imediatamente acima da bexiga.




                                Email: leonardosflor@gmail.com
                             Blog: http://leonardoflor.blogspot.com/
                                                                                                 107
Tomografando a Técnica de Tomografar_______________________________________________________


Bexiga Urinária Masculina




Bexiga Urinária Feminina




                               Email: leonardosflor@gmail.com
                            Blog: http://leonardoflor.blogspot.com/
                                                                                              108
Tomografando a Técnica de Tomografar_______________________________________________________



URETRA
A uretra é um tubo que conduz a urina da bexiga para o meio externo, sendo revestida por
mucosa que contém grande quantidade de glândulas secretoras de muco. A uretra se abre
para o exterior através do óstio externo da uretra.A uretra é diferente entre os dois sexos.

Uretra Masculina.

A uretra masculina estende-se do orifício uretral interno na bexiga urinária até o orifício
uretral externa na extremidade do pênis. Apresenta dupla curvatura no estado comum de
relaxamento do pênis. É dividida em três porções: a prostática, a membranácea e a
esponjosa, cujas as estruturas e relações são essencialmente diferentes. Na uretra masculina
existe uma abertura diminuta em forma de fenda, um ducto ejaculatório.




                               Email: leonardosflor@gmail.com
                            Blog: http://leonardoflor.blogspot.com/
                                                                                               109
Tomografando a Técnica de Tomografar_______________________________________________________



Uretra Feminina.

É um canal membranoso estreito estendendo-se da bexiga ao orifício externa no vestíbulo.
Está colocada dorsalmente à sínfise púbica, incluída na parede anterior da vagina, e de
direção oblíqua para baixo e para frente; é levemente curva, com a concavidade dirigida
para frente. Seu diâmetro, quando não dilatada, é de cerca de 6mm. Seu orifício externo fica
imediatamente na frente da abertura vaginal e cerca de 2,5cm dorsalmente à glande do
clitóris. Muitas e pequenas glândulas uretrais abrem-se na uretra. As maiores destas são as
glândulas parauretrais, cujos ductos desembocam exatamente dentro do óstio uretral.




As uretras masculinas e a femininas se diferem em seu trajeto. Na mulher, a uretra é curta
(3,8cm) e faz parte exclusivamente do sistema urinário. Seu óstio externo localiza-se
anteriormente à vagina e entre os lábios menores. Já no homem, a uretra faz parte dos
sistemas urinário e reprodutor. Medindo cerca de 20cm, é muito mais longa que a uretra
feminina. Quando a uretra masculina deixa a bexiga, ela passa através da próstata e se

                               Email: leonardosflor@gmail.com
                            Blog: http://leonardoflor.blogspot.com/
                                                                                               110
Tomografando a Técnica de Tomografar_______________________________________________________



estende ao longo do comprimento do pênis. Assim, a uretra masculina atua com duas
finalidades: conduz a urina e o esperma.




Na maioria das vezes a dor abdominal não indica nenhuma doença séria. A maior parte dos
casos são cólicas intestinais associados à alimentação gordurosa ou a intoxicações
alimentares. As dores de barriga leves, de curta duração ou que desaparecem após algumas
horas são normalmente causadas por dilatações do intestino por gases. Quadros de
ansiedade também podem causar dor abdominal de curta duração, também por aumentar o
conteúdo de gases nos intestinos. A dor abdominal preocupante é aquela que dura várias
horas, muitas vezes dias, que é de grande intensidade, incapacitante ou que está associada a
vômitos ou febre.

                    Principais causas de dor abdominal:

Gastrite e úlcera péptica:

A gastrite, a úlcera de estômago ou a úlcera de duodeno normalmente apresentam sintomas
semelhantes: uma dor em queimação na região superior do abdômen, principalmente no
epigástrio. Esse tipo de dor na barriga é chamado de dispepsia e costuma surgir quando o


                               Email: leonardosflor@gmail.com
                            Blog: http://leonardoflor.blogspot.com/
                                                                                               111
Tomografando a Técnica de Tomografar_______________________________________________________


estômago está vazio. A intensidade da dor é muito variável e não serve para distinguir a
úlcera de uma simples gastrite.
A presença de sangue nas fezes ou vômitos com sangue associados a um quadro de
dispepsia costumam indicar uma úlcera sangrante.



Colecistite e pedras na vesícula:

A simples presença de pedras na vesícula, chamada de colelitíase, não costuma causar
sintomas. A dor abdominal ocorre quando há uma obstrução do ducto de drenagem da
vesícula biliar por uma dessas pedras. Se a obstrução for prolongada, surge a colecistite,
inflamação da vesícula.

A dor de obstrução na vesícula é chamada de cólica biliar e é ser localizada no hipocôndrio
direito e epigástrio; é tipicamente uma cólica que surge logo após a ingestão de alimentos
gordurosos. A dor da cólica biliar pode irradiar-se para as costas e para o ombro direito.


Pancreatite aguda:

A inflamação do pâncreas, chamada de pancreatite aguda, normalmente ocorre em pessoas
que abusam de bebidas alcoólicas. A pancreatite aguda costuma surgir de 1 a 3 dias após
uma quadro de grande ingestão de álcool, apresentando-se como uma intensa dor em toda
região superior do abdômen, incluindo ambos hipocôndrios e epigástrio. A dor da
pancreatite aguda dura vários dias, costuma estar acompanhada de vômitos e piora após a
alimentação.


Hepatite aguda:

Hepatite é o termo usado para descrever a inflamação no fígado.As hepatites mais comuns
são aquelas causadas pelos vírus A, B ou C, porém, podem surgir por várias outras causas,
entre elas por intoxicação medicamentosa ou por álcool. A hepatite aguda costuma causar
uma dor mal definida no hipocôndrio direito e está geralmente associada a presença de
icterícia.


                               Email: leonardosflor@gmail.com
                            Blog: http://leonardoflor.blogspot.com/
                                                                                              112
Tomografando a Técnica de Tomografar_______________________________________________________


Apendicite:
A dor da apendicite costuma ser em crescendo e inicia-se difusamente, principalmente ao
redor do umbigo, indo se localizar no quadrante inferior direito do abdômen somente
quando se torna mais intensa. É comum haver febre e vômitos associados.


Diverticulite:

Um divertículo é uma pequena bolsa que se forma na parede do intestino grosso (cólon),
semelhante a um dedo de luva, normalmente em pessoas acima de 60 anos. A diverticulite é
a inflamação de um divertículo. A maioria dos divertículos que inflamam estão localizados
na porção descendente do cólon, localizado à esquerda no abdômen. Em 70% dos casos a
diverticulite se manisfesta como uma dor no quadrante inferior esquerdo do abdômen e em
pessoas acima de 60 anos. A dor dura vários dias e costuma vir acompanhada de febre.
Quando ocorre inflamação de um divertículo na parte ascendente do intestino grosso (à
direita), os sintomas são muito parecidos com os da apendicite.


Infecção intestinal e diarréia:

As infecções intestinais, sejam por bactérias ou por vírus, são causas comuns de dor
abdominal. A manifestação mais comum é cólica abdominal associado à diarréia.
Além das causas descritas acima, várias outras também podem causar dor abdominal ou
pélvica, entre elas:

- Menstruação
- Tumores dos órgãos abdominais ou pélvicos
- Obstrução intestinal
- Infarto e isquemia intestinal
- Parasitoses
- Aneurisma de aorta abdominal




                                 Email: leonardosflor@gmail.com
                              Blog: http://leonardoflor.blogspot.com/
                                                                                              113
Tomografando a Técnica de Tomografar_______________________________________________________


- Infecção urinária
- Hernias
- Cetoacidose diabética
- Doença de Crohn e retocolite ulcerativa
- Doenças do ovário
- Endometriose
- Gravidez ectópica
- Mioma uterino
- Abscesso hepático
- Anemia falciforme

Pedras nos rins:

O cálculo renal se manifesta como uma intensa dor na região lombar, unilateralmente.
Frequentemente se irradia para o abdômen, principalmente nos flancos. Se a pedra estiver
obstruindo o ureter já próximo a bexiga, a dor pode ser no hipogástrio ou na fossa ilíaca,
irradiando-se para a região escrotal.



Próstata

As funções da próstata, localização, doenças, alterações, inflamação, importância dos
exames de próstata.

Localização da próstata: órgão do sistema reprodutor masculino. A próstata é uma glândula
que se localiza próxima à uretra masculina. Ela está presente somente nos homens e possui
a função de produzir um líquido que se mistura aos espermatozóides produzidos nos
testículos e também a um outro líquido que vem das vesículas seminais, para então, formar
o sêmen.




                                Email: leonardosflor@gmail.com
                             Blog: http://leonardoflor.blogspot.com/
                                                                                              114
Tomografando a Técnica de Tomografar_______________________________________________________




Inflamação

Não é incomum a ocorrência de inflamação na próstata, e esta, pode ser aguda ou crônica.
Neste quadro, os principais sintomas são mal estar e descarga uretral.

Alterações:

A alteração mais freqüente que ocorre na próstata é o aumento crônico de seu tamanho
(hipertrofia). Este quadro ocorre mais comumente nos últimos anos de vida e vem
acompanhada de dificuldade para urinar e retenção de urina. Nos quadros mais graves é
necessário extraí-la através de procedimento cirúrgico.

Câncer de Próstata

Um outro problema que pode ocorrer na próstata, principalmente nos homens de idade mais
avançada, é câncer de próstata. Esta é uma doença bastante grave e que pode levar a óbito.
A prevenção ainda é a melhor medida para esta doença, para tanto, recomenda-se à
realização de exames periódicos a partir dos 40 anos de idade. Quando identificada em fase
inicial, as chances de cura são altas.




                                 Email: leonardosflor@gmail.com
                              Blog: http://leonardoflor.blogspot.com/
                                                                                              115
Tomografando a Técnica de Tomografar_______________________________________________________



OSSOS DO MEMBRO INFERIOR

O membro inferior tem função de sustentação do peso corporal, locomoção, tem a
capacidade de mover-se de um lugar para outro e manter o equilíbrio. Os membros
inferiores são conectados ao tronco pelo cíngulo do membro inferior (ossos do quadril e
sacro).

A base do esqueleto do membro inferior é formado pelos dois ossos do quadril, que são
unidos pela sínfise púbica e pelo sacro. O cíngulo do membro inferior e o sacro juntos
formam a PELVE ÓSSEA.




Os ossos dos membros inferiores podem ser divididos em quatro segmentos:

Cintura Pélvica - Ilíaco (Osso do Quadril)
Coxa - Fêmur e Patela
Perna - Tíbia e Fíbula
Pé - Ossos do Pé

Articulação do Quadril




                                Email: leonardosflor@gmail.com
                             Blog: http://leonardoflor.blogspot.com/
                                                                                              116
Tomografando a Técnica de Tomografar_______________________________________________________


É uma articulação do tipo esférica formada pela cabeça do fêmur e a cavidade do acetábulo.
Os ligamentos que formam essa articulação são:

Cápsula Articular - A cápsula articular é forte e espessa e envolve toda a articulação coxo-
femoral. É mais espessa nas regiões proximal e anterior da articulação, onde se requer
maior resistência. Posteriormente e distalmente é delgada e frouxa.

Ligamento Iliofemoral - É um feixe bastante resistente, situado anteriormente à articulação.
Está intimamente unido à cápsula e serve para reforçá-la.

Ligamento Pubofemoral - Insere-se na crista obturatória e no ramo superior da pube;
distalmente, funde-se com a cápsula e com a face profunda do feixe vertical do ligamento
iliofemoral.

Ligamento Isquiofemoral - Consiste de um feixe triangular de fibras resistentes, que nasce
no ísquio distal e posteriormente ao acetábulo e funde-se com as fibras circulares da
cápsula.

Ligamento da Cabeça do Fêmur - É um feixe triangular, um tanto achatado, inserindo-se no
ápice da fóvea da cabeça do fêmur e na incisura da cavidade do acetábulo. Tem pequena
função como ligamento e algumas vezes está ausente.

Orla Acetabular - É uma orla fibrocartilagínea inserida na margem do acetábulo, tornando
assim mais profunda essa cavidade. Ao mesmo tempo protege e nivela as desigualdades de
sua superfície, formando assim um círculo completo que circunda a cabeça do fêmur e
auxilia na contenção desta em seu lugar.

Ligamento Transverso do Acetábulo - É uma parte da orla acetabular, diferindo dessa por
não ter fibras cartilagíneas entre suas fibras. Consiste em fortes fibras achatadas que cruzam
a incisura acetabular.




                                Email: leonardosflor@gmail.com
                             Blog: http://leonardoflor.blogspot.com/
                                                                                                 117
Tomografando a Técnica de Tomografar_______________________________________________________



Vista Anterior das Estruturas Articulares do Quadril




                               Email: leonardosflor@gmail.com
                            Blog: http://leonardoflor.blogspot.com/
                                                                                              118
Tomografando a Técnica de Tomografar_______________________________________________________



Coluna Vertebral
Coluna vertebral: Sustenção ao corpo.

Também conhecida como espinha dorsal, a coluna vertebral é formada por ossos chamados
vértebras. É uma estrutura bastante flexível que dá movimento e sustentação ao corpo.

A coluna vertebral está ligada à medula espinhal finalizando-a e a protegendo. Ela é a
responsável pela sustentação da cabeça, fixação das costelas e os músculos do dorso. Suas
curvaturas são responsáveis pela força, sustentação e equilíbrio corporal.

A coluna vertebral de uma pessoa adulta é composta por 26 ossos e 33 vértebras, sendo 7
vértebras cervicais, 12 torácicas, 5 vértebras lombares, 1 sacro (formado por 5 vértebras
fusionadas) e 1 cóccix (formado por 4 vértebras fusionadas).

Dentre todas as vértebras, somente duas (o sacro e o cóccix) não se movimentam, as
vértebras restantes (cervicais, torácicas e lombares) são móveis.

Entre as vértebras há discos que formam articulações, que propiciam a movimentação da
coluna e a absorção de impactos.

Principais problemas que acometem a coluna vertebral:

Cifose: é um desvio exagerado da curvatura torácica que deixa a pessoa com as costas
arqueadas, tórax retraído e com projeção dos ombros para frente; Escoliose: Desvio lateral
da     coluna      vertebral,        geralmente         localizado        na   região   torácica;
Lordose: desvio que geralmente ocorre na região da bacia e que resulta numa curvatura
exagerada; Hérnia de disco: deslocamento do disco que se localiza entre as vértebras,
ocorre com maior freqüência na região lombar, pois esta, é a região da coluna que suporta
maior peso, além de ser a que apresenta maior curvatura; Artrose: popularmente conhecida
como bico de papagaio, é originada pelo atrito entre as vértebras.




                                   Email: leonardosflor@gmail.com
                                Blog: http://leonardoflor.blogspot.com/
                                                                                                    119
Tomografando a Técnica de Tomografar_______________________________________________________


       MEDULA ESPINHAL




Medula significa miolo e indica o que está dentro. Assim temos a medula espinhal dentro
dos ossos, mais precisamente dentro do canal vertebral. A medula espinhal é uma massa
cilindróide de tecido nervoso situada dentro do canal vertebral sem entretanto ocupa-lo
completamente. No homem adulto ela mede aproximadamente 45 cm sendo um pouco
menor na mulher.

Cranialmente a medula limita-se com o bulbo, aproximadamente ao nível do forame magno
do osso occipital. O limite caudal da medula tem importância clinica e no adulto situa-se
geralmente em L2. A medula termina afinando-se para formar um cone, o cone medular,
que continua com um delgado filamento meníngeo, o filamento terminal.




                               Email: leonardosflor@gmail.com
                            Blog: http://leonardoflor.blogspot.com/
                                                                                              120
Tomografando a Técnica de Tomografar_______________________________________________________



Forma e Estrutura da Medula




A medula apresenta forma aproximada de um cilindro, achatada no sentido antero-
posterior. Seu calibre não é uniforme, pois ela apresenta duas dilatações denominadas de
intumescência cervical e intumescência lombar. Estas intumescências medulares
correspondem às áreas em que fazem conexão com as grossas raízes nervosas que formam
o plexo braquial e lombossacral, destinados à inervação dos membros superiores e
inferiores respectivamente. A formação destas intumescências se deve pela maior
quantidade de neurônios e, portanto, de fibras nervosas que entram ou saem destas áreas. A
intumescência cervical estende-se dos segmentos C4 até T1 da medula espinhal e a
intumescência lombar (lombossacral) estende-se dos segmentos de T11 até L1 da medula
espinhal. A superfície da medula apresenta os seguintes sulcos longitudinais, que percorrem
em toda a sua extensão: o sulco mediano posterior, fissura mediana anterior, sulco lateral
anterior e o sulco lateral posterior. Na medula cervical existe ainda o sulco intermédio
posterior que se situa entre o sulco mediano posterior e o sulco lateral posterior e que se
continua em um septo intermédio posterior no interior do funículo posterior.



                               Email: leonardosflor@gmail.com
                            Blog: http://leonardoflor.blogspot.com/
                                                                                              121
Tomografando a Técnica de Tomografar_______________________________________________________



Nos sulcos lateral anterior e lateral posterior fazem conexão, respectivamente as raízes
ventrais e dorsais dos nervos espinhais.




Secções da Medula Vertebral em Todas as Suas Regiões.

Na medula, a substância cinzenta localiza-se por dentro da branca e apresenta a forma de
uma borboleta, ou de um "H". Nela distinguimos de cada lado, três colunas que aparecem
nos cortes como cornos e que são as colunas anterior, posterior e lateral. A coluna lateral só
aparece na medula torácica e parte da medula lombar. No centro da substância cinzenta
localiza-se o canal central da medula. A substância branca é formada por fibras, a maioria
delas mielínicas, que sobem e descem na medula e que podem ser agrupadas de cada lado
em três funículos ou cordões:

Funículo anterior: situado entre a fissura mediana anterior e o sulco lateral anterior.

Funículo lateral: situado entre os sulcos lateral anterior e o lateral posterior.

Funículo posterior: situado entre o sulco lateral posterior e o sulco mediano posterior, este
ultimo ligado a substancia cinzenta pelo septo mediano posterior.



                                 Email: leonardosflor@gmail.com
                              Blog: http://leonardoflor.blogspot.com/
                                                                                                 122
Tomografando a Técnica de Tomografar_______________________________________________________



Na parte cervical da medula o funículo posterior é dividido pelo sulco intermédio posterior
em fascículo grácil e fascículo cuneiforme.

Conexões com os nervos espinhais: Nos sulcos lateral anterior e lateral posterior fazem
conexão com pequenos filamentos nervosos denominados de filamentos radiculares, que se
unem para formar, respectivamente, as raízes ventrais e dorsais dos nervos espinhais. As
duas raízes se unem para formação dos nervos espinhais, ocorrendo à união em um ponto
situado distalmente ao gânglio espinhal que existe na raiz dorsal.

RAIZES NERVOSAS




Existem 31 pares de nervos espinhais aos quais correspondem 31 segmentos medulares
assim distribuídos: 8 cervicais, 12 torácicos, 5 lombares, 5 sacrais e 1 coccígeo.
Encontramos 8 pares de nervos cervicais e apenas 7 vértebras cervicais porque o primeiro
par de nervos espinhais sai entre o occipital e C1.




                                Email: leonardosflor@gmail.com
                             Blog: http://leonardoflor.blogspot.com/
                                                                                              123
Tomografando a Técnica de Tomografar_______________________________________________________



Relação das Raízes Nervosas com as Vértebras




Topografia da medula:




A um nível abaixo da segunda vértebra lombar encontramos apenas as menínges e as raízes
nervosas dos últimos nervos espinhais, que dispostas em torno do cone medular e filamento
terminal, constituem, em conjunto, a chamada cauda eqüina. Como as raízes nervosas
mantém suas relações com os respectivos forames intervertebrais, há um alongamento das

                               Email: leonardosflor@gmail.com
                            Blog: http://leonardoflor.blogspot.com/
                                                                                              124
Tomografando a Técnica de Tomografar_______________________________________________________



raízes e uma diminuição do ângulo que elas fazem com a medula. Estes fenômenos são
mais pronunciados na parte caudal da medula, levando a formação da cauda eqüina.




Cone                    Medular                         Filamento                 Terminal


Ainda como conseqüência da diferença de ritmos de crescimento entre a coluna e a medula,
temos o afastamento dos segmentos medulares das vértebras correspondentes. Assim, no
adulto, as vértebras T11 e T12 correspondem aos segmentos lombares. Para sabermos qual
o nível da medula cada vértebra corresponde, temos a seguinte regra: entre os níveis C2 e
T10, adicionamos o número dois ao processo espinhoso da vértebra e se tem o segmento
medular subjacente. Aos processos espinhosos de T11 e T12 correspondem os cinco
segmentos lombares, enquanto ao processo espinhoso de L1 corresponde aos cinco
segmentos sacrais.

Envoltório da medula:

A medula é envolvida por membranas fibrosas denominadas menínges, que são: dura-
máter, pia-máter e aracnóide. A dura-máter e a mais espessa e envolve toda a medula, como
se fosse uma luva, o saco dural. Cranialmente ela se continua na dura-máter craniana,
caudalmente ela se termina em um fundo-de-saco ao nível da vértebra S2. Prolongamentos
laterais da dura-máter embainham as raízes dos nervos espinhais, constituído um tecido
conjuntivo (epineuro), que envolve os nervos.




                               Email: leonardosflor@gmail.com
                            Blog: http://leonardoflor.blogspot.com/
                                                                                              125
Tomografando a Técnica de Tomografar_______________________________________________________



Envoltórios da Medula Espinhal




A aracnóide espinhal se dispõem entre a dura-máter e a pia-máter. Compreende um folheto
justaposto à dura-máter e um emaranhado de trabéculas aracnóideas, que unem este folheto
à pia-máter.    A pia-máter é a membrana mais delicada e mais interna. Ela adere
intimamente o tecido superficial da medula e penetra na fissura mediana anterior. Quando a
medula termina no cone medular, a pia-máter continua caudalmente, formando um
Filamento esbranquiçado denominado filamento terminal. Este filamento perfura o fundo-
do-saco dural e continua até o hiato sacral. Ao atravessar o saco dural, o filamento terminal
recebe vários prolongamentos da dura-máter e o conjunto passa a ser chamado de filamento
da dura-máter. Este, ao se inserir no periósteo da superfície dorsal do cóccix, constitui o
ligamento coccígeo. A pia-máter forma, de cada lado da medula, uma prega longitudinal
denominada ligamento denticulado, que se dispõem em um plano frontal ao longo de toda a
extensão da medula. A margem medial de cada ligamento continua com a pia-máter da face
lateral da medula ao longo de uma linha continua que se dispõe entre as raízes dorsais e



                                Email: leonardosflor@gmail.com
                             Blog: http://leonardoflor.blogspot.com/
                                                                                                126
Tomografando a Técnica de Tomografar_______________________________________________________



ventrais. A margem lateral apresenta cerca de 21 processos triangulares que se inserem
firmemente na aracnóide e na dura-máter em um ponto que se alteram com a emergência
dos nervos espinhais. Os dois ligamentos denticulados são elementos de fixação da medula
e importantes pontos de referencia em cirurgias deste órgão.




Entre as menínges existem espaços que são importantes para a parte clínica médica devido
às patologias que podem estar envolvidas com essas estruturas, tais como: hematoma
extradural, meningites etc. O espaço epidural, ou extradural, situa-se entre a dura-máter e o
periósteo do canal vertebral. Contém tecido adiposo e um grande número de veias que
constituem o plexo venoso vertebral interno. O espaço subdural, situado entre a dura-máter
e a aracnóide, é uma fenda estreita contendo uma pequena quantidade de líquido. O espaço
subaracnóideo contem uma quantidade razoavelmente grande de líquido cérebro-espinhal
ou líquor. Alguns autores ainda consideram um outro espaço denominado subpial,
localizado entre a pia-mater e o tecido nervoso.



                                Email: leonardosflor@gmail.com
                             Blog: http://leonardoflor.blogspot.com/
                                                                                                127
Tomografando a Técnica de Tomografar_______________________________________________________

Protocolo

View Angle: Dual
Kv: 120
mA: 30
Length: 200
Window: C 20 / W 1500

Helical
Thickness (slice): 1mm
Increment: 0.5mm
KV: 120
mAs/ Slice: 350
Resolução: Standard
Colimação: 64x0.625
Pitch: 0.393
Rotação: 1.0 sec
Filtro: Sharp (c)
Window: C: 60 / W: 300
Matrix: 512




                               Email: leonardosflor@gmail.com
                            Blog: http://leonardoflor.blogspot.com/
                                                                                              128
Tomografando a Técnica de Tomografar_______________________________________________________




                               Email: leonardosflor@gmail.com
                            Blog: http://leonardoflor.blogspot.com/
                                                                                              129
Tomografando a Técnica de Tomografar_______________________________________________________




                               Email: leonardosflor@gmail.com
                            Blog: http://leonardoflor.blogspot.com/
                                                                                              130
Tomografando a Técnica de Tomografar_______________________________________________________




                                COLUNA LOMBAR




                               Email: leonardosflor@gmail.com
                            Blog: http://leonardoflor.blogspot.com/
                                                                                              131
Tomografando a Técnica de Tomografar_______________________________________________________




                               Email: leonardosflor@gmail.com
                            Blog: http://leonardoflor.blogspot.com/
                                                                                              132
Tomografando a Técnica de Tomografar_______________________________________________________




                               Email: leonardosflor@gmail.com
                            Blog: http://leonardoflor.blogspot.com/
                                                                                              133
Tomografando a Técnica de Tomografar_______________________________________________________




Recon Sagital e Coronal.




                               Email: leonardosflor@gmail.com
                            Blog: http://leonardoflor.blogspot.com/
                                                                                              134
Tomografando a Técnica de Tomografar_______________________________________________________




                               Email: leonardosflor@gmail.com
                            Blog: http://leonardoflor.blogspot.com/
                                                                                              135
Tomografando a Técnica de Tomografar_______________________________________________________




TOMOGRAFIA DO OMBRO

O ombro é formado por três articulações:

Esternoclavicular
Acromioclavicular
Glenoumeral

Alguns autores ainda consideram outra articulação no complexo do ombro: a articulação
costo-escapular, entre as costelas e a escápula, muito importante na biomecânica fisiológica
do ombro.

Articulação Esternoclavicular:

Essa articulação é formada pela união da extremidade esternal na clavícula e o manúbrio
do esterno. Possui as seguintes estruturas articulares: Cápsula Articular - Circunda a
articulação e varia em espessura e resistência.

Ligamento Esternoclavicular Anterior - é um amplo feixe de fibras cobrindo a face anterior
da articulação.

Ligamento Esternoclavicular Posterior - é um análogo feixe de fibras que recobre a face
posterior da articulação.

Ligamento Interclavicular - é um feixe achatado que une as faces superiores das


                                                                                               136
extremidades esternais das clavículas.
                                Email: leonardosflor@gmail.com
                             Blog: http://leonardoflor.blogspot.com/
Tomografando a Técnica de Tomografar_______________________________________________________



Ligamento Costoclavicular - é pequeno, achatado e resistente. Está fixado na parte superior
e medial da cartilagem da primeira costela e face inferior da clavícula.

Disco Articular - é achatado e está interposto entre as superfícies articulares do esterno e
clavícula.

Articulação Acromioclavicular:

É uma articulação plana entre a extremidade acromial da clavícula e a borda medial do
acrômio. É formada pelas seguintes estruturas: Cápsula Articular - Envolve toda a
articulação acromio-clavicular.

Ligamento Acrômioclavicular - é constituido por fibras paralelas que estendem-se da
extremidade acromial da clavícula até o acrômio. Disco Articular - geralmente está ausente
nesta articulação.

Ligamento Coracoclavicular - une a clavícula ao processo coracóide da escápula. É formado
por     dois     ligamentos:        ligamento        trapezóide          e   ligamento   conóide.
Ainda podemos identificar mais dois ligamentos importantes no complexo do ombro: o
ligamento coracoacromial e o ligamento transverso superior.

Ligamento Coracoacromial - é um forte feixe triangular estendido entre o processo
coracóide e o acromio. É um ligamento importante para estabilização da cabeça do úmero
na cavidade glenóide, pois evita a elevação da mesma nos movimentos de abdução acima
dos 90 graus.

Ligamento Transverso Superior - é um fino fascículo achatado inserido no processo
coracóide e na incisura da escápula.

Articulação Gleno-umeral:

Esta é uma articulação esferóide multiaxial com três graus de liberdade. As faces articulares
são a cabeça hemisférica do úmero (convexa) e a cavidade glenóide da escápula (côncava).

A articulação gleno-umeral é formada pelas seguintes estruturas:


                                  Email: leonardosflor@gmail.com
                               Blog: http://leonardoflor.blogspot.com/
                                                                                                    137
Tomografando a Técnica de Tomografar_______________________________________________________



Cápsula Articular - Envolve toda a cavidade glenóide e a cabeça do úmero.
Ligamento Córaco-umeral - é um amplo feixe que fortalece a parte superior da cápsula.
Ligamentos Glenoumerais - são robustos espessamentos da cápsula articular sobre a parte
ventral da articulação. É constituído por três ligamentos:

Ligamento Glenoumeral Superior
Ligamento Glenoumeral Médio
Ligamento Glenoumeral Inferior

Ligamento Transverso do Úmero - é uma estreita lâmina de fibras curtas e transversais que
unem o tubérculo maior e o menor, mantendo o tendão longo do bíceps braquial no sulco
intertubercular. Lábio (Labrum) Glenoidal - é uma orla fibrocartilagínea inserida ao redor
da cavidade glenóide. Tem importante função na estabilização glenoumeral e quando
rompido proporciona uma instabilidade articular faciltando o deslocamento anterior ou
posterior do úmero (luxação).




                                Email: leonardosflor@gmail.com
                             Blog: http://leonardoflor.blogspot.com/
                                                                                              138
Tomografando a Técnica de Tomografar_______________________________________________________




TOMOGRAFIA DO JOELHO




                               Email: leonardosflor@gmail.com
                            Blog: http://leonardoflor.blogspot.com/
                                                                                              139
Tomografando a Técnica de Tomografar_______________________________________________________




O joelho é uma articulação do corpo humano e é formada pela extremidade distal do
fêmur, pela extremidade proximal da tíbia (e pela patela (rótula).

O joelho ainda possui ligamentos que estabilizam a articulação, auxiliados pelos meniscos
(interno ou medial e externo ou lateral), que estabilizam o joelho, e amortecem os impactos
sobre as cartilagens.

A chave para uma articulação de joelho saudável é a estabilidade da articulação. A
configuração óssea, os meniscos, os ligamentos, a cápsula e os músculos que cercam a
articulação do joelho produzem a sua estabilidade.

Os ligamentos são os estabilizadores primários para a translação anterior e posterior,
angulação vara e valga, e para a rotação interna e externa da articulação do joelho. O
ligamento cruzado anterior (LCA) é a restrição predominante ao deslocamento tibial
anterior, pois aceita 75% da força em extensão completa e um adicional de 10% (até 90.º)
de flexão do joelho. Com esses dados fica evidente que o LCA é o mais exigido no dia a dia
de uma pessoa saudável, que pratica esporte por lazer ou profissão.

Menisco

Os meniscos são elementos cartilaginosos presentes na articulação do joelho que servem
para proteger as extremidades dos ossos de se esfregam entre si e para efetivamente
aprofundar os soquetes tibiais dentro dos quais o fêmur se prende. Eles também possuem
papel na absorção de choque mecânico. Existem dois meniscos em cada joelho, o menisco
medial e o menisco lateral. Um deles ou ambos podem ser lesionados, quando o joelho é
rotado ou dobrado com força acima do normal, e ou sofre grande impacto.

Movimentos

O joelho permite os seguintes movimentos: flexão, extensão, assim como uma leve rotação
lateral e medial. O joelho também possui mecanismos especiais de travamento e
destravamento, relacionados ao movimento dos côndilos femorais no platô tibial.



                                Email: leonardosflor@gmail.com
                             Blog: http://leonardoflor.blogspot.com/
                                                                                              140
Tomografando a Técnica de Tomografar_______________________________________________________




A flexão é permitida até 120º quando o quadril está estendido, 140º quando o quadril está
flexionado e 160º quando o joelho é flexionado passivamente. A rotação medial é limitada
a 10º e a lateral a 30º . A rotação medial e lateral só ocorre com o joelho flexionado.

Lesão




                                Email: leonardosflor@gmail.com
                             Blog: http://leonardoflor.blogspot.com/
                                                                                              141
Tomografando a Técnica de Tomografar_______________________________________________________


Articulação do Joelho
A articulação do joelho pode ser descrita como um gínglimo ou articulação em dobradiça
(entre o fêmur e a tíbia) e plana (entre o fêmur e a patela).

Os ossos da articulação do joelho são unidos pelas seguintes estruturas:

Cápsula Articular - Consiste em uma membrana fibrosa, delgada mas resistente, reforçada
em quase toda sua extensão por ligamentos intimamente aderidos a ela. Abaixo do tendão
do quadríceps femoral a cápsula é representada apenas pela membrana sinovial.

Ligamento Patelar - É a porção central do tendão do quadríceps femoral que se continua da
patela até a tuberosidade da tíbia. É um forte feixe ligamentoso, achatado, com cerca de
8cm de comprimento. A face posterior do ligamento patelar está separada da membrana
sinovial por um grande coxim gorduroso infra-patelar e da tíbia por uma bolsa sinovial.

Ligamento Poplíteo Oblíquo - É um feixe fibroso, largo e achatado, formado por fascículos
separados uns dos outros. Forma parte do soalho da fossa poplítea.

Ligamento Poplíteo Arqueado - Forma um arco do côndilo lateral do fêmur à face posterior
da cápsula articular. Está unido ao processo estilóide da cabeça da fíbula por seis feixes
convergentes.

Ligamento Colateral Tibial - é um feixe membranáceo, largo e achatado que se prolonga
para parte posterior da articulação. Insere-se no côndilo medial do fêmur e no côndilo
medial da tíbia. É intimamente aderente ao menisco medial. Impede o movimento de
afastamento dos côndilos mediais do fêmur e tíbia (bocejo medial).

Ligamento Colateral Fibular - é um cordão fibroso, arredondado e forte, inserido no côndilo
lateral do fêmur e na cabeça da fíbula. Não se insere no menisco lateral. Impede o
movimento de afastamento dos côndilos laterais do fêmur e tíbia (bocejo lateral).

Ligamento Cruzado Anterior (LCA) - insere-se na eminência intercondilar da tíbia e vai se
fixar na face medial do côndilo lateral do fêmur. O LCA apresenta um suprimento
sangüíneo relativamente escasso. Impede o movimento de deslizamento anterior da tíbia ou



                                 Email: leonardosflor@gmail.com
                              Blog: http://leonardoflor.blogspot.com/
                                                                                              142
Tomografando a Técnica de Tomografar_______________________________________________________



deslizamento posterior do fêmur (Movimento de gaveta anterior), além da hipertensão do
joelho.

Ligamento Cruzado Posterior (LCP) - é mais robusto, porém mais curto e menos oblíquo
em sua direção quando comparado ao LCA. Insere-se na fossa intercondilar posterior da
tíbia e na extremidade posterior do menisco lateral e dirige-se para frente e medialmente,
para se fixar na parte anterior da face medial do côndilo medial do fêmur. O LCP é estirado
durante a flexão da articulação joelho. Impede o movimento de deslizamento posterior da
tíbia ou o deslocamento anterior do fêmur (Movimento de gaveta posterior).
Além dos ligamentos, o joelho possue também outra estrutura importantíssima na sua
estabilização, biomecânica e absorção de impactos: os meniscos.

Os meniscos são duas lâminas em forma de crescente que servem para tornar mais
profundas as superfícies das faces articulares da cabeça da tíbia que recebem os côndilos do
fêmur. Cada menisco cobre aproximadamente os dois terços periféricos da face articular
correspondente da tíbia.

Menisco Medial - é de forma quase semi-circular, um pouco alongado e mais largo
posteriormente. Sua extremidade anterior fixa-se na fossa intercondilar anterior da tíbia e a
posterior na fossa intercondilar posterior da tíbia.

Menisco Lateral - é quase circular e recobre uma extensão da face articular maior do que a
recoberta pelo menisco medial. Sua extremidade anterior fixa-se na eminência intercondilar
anterior da tíbia e a posterior na eminência intercondilar da tíbia.

Ligamento Transverso - une a margem anterior, convexa, do menisco lateral, à extremidade
anterior do menisco medial. As vezes está ausente.

Ligamentos Coronários - São porções da cápsula que unem a periferia dos meniscos com a
margem da cabeça da tíbia.

Distalmente à articulação do joelho e ainda nas porções proximais da fíbula e da tíbia,
encontramos outra articulação importante: a articulação tibio-fibular proximal. É uma
articulação deslizante entre o côndilo lateral da tíbia e a cabeça da fíbula. É formada por
uma cápsula articular e os ligamentos anterior e posterior.
                                 Email: leonardosflor@gmail.com
                              Blog: http://leonardoflor.blogspot.com/
                                                                                                143
Tomografando a Técnica de Tomografar_______________________________________________________



Cápsula Articular - Circunda a articulação e adere ao redor das margens das facetas
articulares da tíbia e fíbula.




Ligamento Anterior - Consiste de 2 ou 3 feixes chatos e largos que se dirigem obliquamente
da cabeça da fíbula para a parte anterior do côndilo lateral da tíbia.

Ligamento Posterior - É um feixe único, largo e espesso, que se dirige obliquamente para
cima, da parte posterior da cabeça da fíbula para a parte posterior do côndilo lateral da tíbia.

Vista Anterior das Estruturas Articulares do Joelho.




                                    Email: leonardosflor@gmail.com
                                 Blog: http://leonardoflor.blogspot.com/
                                                                                                   144
Tomografando a Técnica de Tomografar_______________________________________________________




                               Email: leonardosflor@gmail.com
                            Blog: http://leonardoflor.blogspot.com/
                                                                                              145
Tomografando a Técnica de Tomografar_______________________________________________________


TOMOGRAFIA DE EXTREMIDADES ( pés, joelho, tornozelo, punho, ombro, cotovelo e
etc..).
Em alguns casos deve-se fazer coronal e axial dependendo da estrutura, indicação clínica e
rotina do serviço.




                               Email: leonardosflor@gmail.com
                            Blog: http://leonardoflor.blogspot.com/
                                                                                              146
Tomografando a Técnica de Tomografar_______________________________________________________




                               Email: leonardosflor@gmail.com
                            Blog: http://leonardoflor.blogspot.com/
                                                                                              147
Tomografando a Técnica de Tomografar_______________________________________________________




                               Email: leonardosflor@gmail.com
                            Blog: http://leonardoflor.blogspot.com/
                                                                                              148
Tomografando a Técnica de Tomografar_______________________________________________________




FILMES PARA TOMOGRAFIA COMPUTADORIZADA:

Os filmes para TC são muito sensíveis e deve-se tomar cuidado ao manuseá-los, guardando-
os em local seco, em posição vertical, com pouca claridade e fora do alcance de qualquer
fonte de calor, de preferência dentro de uma câmara escura.
Deve-se atentar ao correto posicionamento destes filmes nos cassetes. Em geral são
colocados com o lado brilhante para baixo, sendo essa posição orientada pela disposição de
picotes na borda de um dos lados do filme que podem ser sentidos ao tato.Antes do
manuseio deve-se lavar e secar as mãos, para evitar a presença de digitais nos
filmes(artefato). É aconselhável ¨folhear¨ levemente as películas para se desfazer algum
eventual ponto de aderência,evitando que os filmes se enrosquem durante o processo de
revelação.


FOTOGRAFIA OU FOTO-DOCUMENTAÇÃO:

CÂMARA LASER MULTIFORMATO (DIGITAL OU ANALÓGICA)


Acoplada ao equipamento de TC, essa câmara permite a impressão em filmes radiográficos
das imagens adquiridas pelo tomógrafo. É semelhante a uma máquina fotográfica gravando
no filme um registro definitivo das imagens selecionadas no monitor. O filme já exposto é
transferido para o cassete, que é levado a uma processadora para revelação. Há vários
modelos de câmara laser, inclusive com sistema de revelação a seco(dry view).




                               Email: leonardosflor@gmail.com
                            Blog: http://leonardoflor.blogspot.com/
                                                                                              149
Tomografando a Técnica de Tomografar_______________________________________________________


                                     RADIOPROTEÇÃO




A radiação é algo que sempre fez parte de nossas vidas, como por exemplo, a radiação da
luz solar. De acordo com a dose de radiação recebida o seu efeito é diferente, podendo levar
até a morte instantânea ou apenas a assistência médica. Cada órgão também reage de forma
diferente de outro, tendo, assim, tolerâncias diferenciadas. As radiações também podem
provocar alterações significativas no desenvolvimento de mamíferos irradiados ainda no
útero. As radiações ionizantes são agentes mutagênicos, e em seres humanos é muito difícil
detectar essas alterações, mesmo que o índice da radiação seja muito grande.




                               Email: leonardosflor@gmail.com
                            Blog: http://leonardoflor.blogspot.com/
                                                                                               150
Tomografando a Técnica de Tomografar_______________________________________________________

                             FONTES DE RADIAÇÕES IONIZANTES


Radiações ionizantes por definição são todas aquelas com energia superior a 12,4 eV e que
são capazes de ionizar átomos. Durante toda a vida, os seres humanos estão expostos
diariamente aos efeitos das radiações ionizantes. Estas radiações podem ser de origem
natural ou artificial. As fontes naturais representam cerca de 70% da exposição, sendo o
restante, devido ás fontes artificiais.




             INTERAÇÃO DA RADIAÇÃO COM AS CÉLULAS

No processo de interação da radiação com a matéria ocorre transferência de energia, que
pode provocar ionização e excitação dos átomos e moléculas provocando modificação (ao
menos temporária) na estrutura das moléculas. O dano mais importante que ocorre é no
DNA. Os efeitos físico-químicos acontecem instantaneamente, entre 10-13 e 10-10
segundos e nada podemos fazer para controlá-los. Os efeitos biológicos acontecem em
intervalos de tempo que vão de minutos a anos. Consistem na resposta natural do
organismo a um agente agressor e não constituem necessariamente em doença.
Ex: redução de leucócitos.




                                  Email: leonardosflor@gmail.com
                               Blog: http://leonardoflor.blogspot.com/
                                                                                              151
Tomografando a Técnica de Tomografar_______________________________________________________


Os efeitos orgânicos são as doenças, e representam a incapacidade de recuperação do
organismo devido à freqüência ou quantidade dos efeitos biológicos. Ex: catarata, câncer
ou leucemia.


A exposição externa é resultante ao corpo, proveniente dos raios-x ou fontes radioativas. A
exposição interna resulta da entrada de material radioativo no organismo por inalação,
ingestão, ferimentos ou absorção pela pele. O tempo de manifestação dos efeitos causados
por estas exposições pode ser tardio, os quais se manifestam apos 60 dias, ou imediatos,
que ocorrem num período de poucas horas ate 60 dias. Quanto ao nível de dano, os efeitos
podem ser somáticos, que acontecem na própria pessoa irradiada ou hereditária, os quais se
manifestam na prole do individuo como resultado de danos causados nas células dos órgãos
reprodutores.


Os Efeitos biológicos das radiações ionizantes podem ser estocásticos ou
determinísticos, a principal diferença entre eles é que os efeitos estocásticos causam a
transformação celular enquanto que os determinísticos causam a morte celular.
Os efeitos estocásticos causam uma alteração aleatória no DNA de uma única célula que, no
entanto, continua a reproduzir-se, e levam a transformação celular.


Os efeitos hereditários são estocásticos, não apresentam limiar de dose, o dano pode
ser causado por uma dose mínima de radiação. O aumento da dose somente aumenta a
probabilidade e não a severidade do dano. A severidade é determinada pelo tipo e
localização do tumor ou pela anomalia resultante, no entanto o organismo apresenta
mecanismos de defesa muito eficientes, a maioria das transformações neoplásicas não
evolui para câncer, quando este mecanismo falha, apos um longo período de latência, o
câncer então aparece, no caso a leucemia entre 5-7 anos e os tumores sólidos 20 anos.
Os efeitos são cumulativos: quanto maior a dose, maior a probabilidade de ocorrência,
quando o dano ocorre em célula germinativa, efeitos hereditários podem ocorrer.




                               Email: leonardosflor@gmail.com
                            Blog: http://leonardoflor.blogspot.com/
                                                                                              152
Tomografando a Técnica de Tomografar_______________________________________________________



Os efeitos determinísticos levam a morte celular. Existe uma relação previsível entre
a dose e a dimensão do dano esperado, sendo que estes aparecem a partir de uma
determinada dose, a probabilidade de ocorrência e a severidade do dano estão diretamente


relacionadas com o aumento da dose, e as alterações são somáticas. Quando a destruição
celular não pode ser compensada, efeitos clínicos podem aparecer, se a dose estiver acima
do limiar. Por ex. 3-5 Guy eritema, 20 Guy necrose. Indivíduos diferentes apresentam
sensibilidade diferente e, portanto, limiares diferentes.


Exemplos de efeitos determinísticos são: leucopenia, náuseas, anemia, catarata, esterilidade,
hemorragia.


Dose absorvida de corpo         Principal dano que                 Tempo de vida apos a
inteiro (Gy)                    Contribui para a morte             exposicao (dias)
3-5                             Danos na medula ossea              30-60
5-15                            Danos gastrointestinais e          10-20
                                Pulmonares
> 15                            Danos no SNC                       1-5


PROPRIEDADES DOS SISTEMAS BIOLÓGICOS
Apesar de todos estes efeitos, o corpo humano apresenta o mecanismo da reversibilidade
que e responsável pelo reparo das células e é muito eficiente, mesmo danos mais profundos
são em geral, capazes de ser reparados ou compensados. A transmissividade é uma
propriedade não se aplicam aos sistemas biológicos, pois os danos biológicos não se
transmitem. O que pode ser transmitido é o efeito hereditário em células reprodutivas
danificadas. Existem fatores de influencia os quais são decisivos. Pessoas que receberam a
mesma dose podem não apresentar o mesmo dano. O efeito biológico é influenciado pela
idade, sexo e estado físico.




                                  Email: leonardosflor@gmail.com
                               Blog: http://leonardoflor.blogspot.com/
                                                                                                153
Tomografando a Técnica de Tomografar_______________________________________________________



PROTEÇÃO RADIOLÓGICA
O objetivo primário da proteção radiológica é fornecer um padrão apropriado de proteção
para o homem, sem limitar os benefícios criados pela aplicação das radiações ionizantes. A
proteção radiológica baseia-se em princípios fundamentais que devem ser sempre
observados.


       Justificação: o beneficio tem que ser tal que compense o detrimento, que e definido
        como sendo a relação entre a probabilidade de ocorrência e grau de gravidade do
        efeito.
       Otimização: o numero de pessoas expostas, as doses individuais e a probabilidade
        de ocorrência de efeitos nocivos devem ser tão baixas quantos razoavelmente
        exeqüíveis. (principio ALARA = As Low As Reasonably Achievable).
       Limitação de Dose: a dose individual de trabalhadores e indivíduos do publico não
        deve exceder os limites de dose recomendados excluindo-se as exposições medicas
        de pacientes.
        Prevenção de acidentes: todo esforço deve ser direcionado no sentido de estabelecer
        medidas rígidas para a prevenção de acidentes.
O Sistema de Proteção Radiológica consiste em evitar os efeitos determinísticos, uma vez
que existe um limiar de dose, manter as doses abaixo do limiar relevante e prevenir os
efeitos estocásticos fazendo uso de todos os recursos disponíveis de proteção radiológica.
Para efeito de segurança em proteção radiológica, considera-se que os efeitos biológicos
produzidos pelas radiações ionizantes sejam cumulativos.


Para a proteção radiológica de exposições externas considera-se:
· Distancia (1/r2). Quanto mais longe da fonte, melhor.
· Tempo. Quanto menos tempo perto da fonte, melhor.
· Blindagem. Quanto mais eficiente for à blindagem, melhor.
Regulamentado pela portaria 453: a sala de comando separada da sala de exames, sala
barita da porta revestida, vidro plumbífero, monitoração individual por dosímetro, luz de
aviso, aventais de chumbo, protetores de gônadas e tireóide que por finalidades:


                               Email: leonardosflor@gmail.com
                            Blog: http://leonardoflor.blogspot.com/
                                                                                              154
Tomografando a Técnica de Tomografar_______________________________________________________


   •      · Inibir exposição acidental
   •      · Inibir exposição ocupacional
   •      · Inibir doses desnecessárias nos pacientes


Na pratica qualquer atividade humana que possa resultar em exposição à radiação. As
exposições dos seres humanos a radiação classificam-se em:


Exposição medica de pessoa como parte de um tratamento ou diagnostico de indivíduos
ajudando a conter, ou amparar um paciente, ou de voluntários participantes de pesquisa
cientifica. Não ha limite de dose, esta é determinada pela necessidade medica no entanto
recomenda-se o uso de níveis de referencia.


          Exposição Ocupacional: E aquela ocorrida no ambiente de trabalho.
          Exposição do Publico São todas as outras.


A freqüência e a intensidade das exposições podem ser bem variadas e são exemplificadas
abaixo:
Exposição única radiografia convencional.
Exposição fracionada radioterapia (a exposição total necessária para a destruição da
neoplasia e fracionada em 10 ou mais sessões).
Exposição periódica originada da rotina de trabalho com materiais radioativos.
Exposição de corpo inteiro irradiadores de alimentos, acidentes nucleares.
Exposição parcial de acidentes, pessoa que manipula radionuclideos (exposição das mãos).
Exposição colimada radioterapia (o feixe e colimado a região do tumor) feixe intenso.
Esterilização e conservação de alimentos.
Feixe médio radiodiagnostica (alguns mG/incidência).
Feixe fraco radioatividade natural (1 mGy/ano).


IRRADIAÇÃO
A irradiação é originada por algum tipo de procedimento com raios X (em
radiodiagnostico) ou com feixes de elétrons ou raios γ em radioterapia. Neste caso, o

                                   Email: leonardosflor@gmail.com
                                Blog: http://leonardoflor.blogspot.com/
                                                                                              155
Tomografando a Técnica de Tomografar_______________________________________________________


paciente não se torna "radioativo" e, portanto não ha nenhum perigo de "contaminar" outras
pessoas ou o meio ambiente. Irradiações severas podem acontecer no caso de explosões de
usinas nucleares ou bombas atômicas. Nestas situações, o meio ambiente fica altamente
radioativo, mas não as pessoas.


AVALIAÇÃO DE DOSES INDIVIDUAIS
Para avaliar as doses de radiação num determinado ambiente são utilizados monitores de
área. Estes ficam em locais de fácil acesso e visualização e são acionados sempre que os
níveis de radiação ultrapassam os limites de segurança. Para a monitoração individual, são
encontrados vários tipos de equipamentos: filme dosimetrico, TLD (dosimetro termo-
luminescente), caneta dosimetrica e outros. O uso do dosimetro é geralmente obrigatório, a
não ser que a monitoração de área demonstre que não ha risco. Um dos tipos de dosimetro
individual mais utilizado é o dosimetro de tórax. Este deve sempre ser posicionado na parte
superior do tórax, é um dosimetro que registra a dose de corpo inteiro. No caso do uso de
avental de chumbo, o dosimetro deve ser posicionado sobre o avental. Neste caso, deve-se
avisar ao serviço de proteção radiológica que informara a empresa responsável pela
monitoração pessoal, que então aplicara o fator de correção adequado (1/10), para o calculo
da dose efetiva.
· Dosimetro de extremidade: pulseira, anel. Geralmente utilizado por profissionais que
lidam com fontes não seladas ou com equipamentos de fluoroscopia.


NÍVEIS DE REFERÊNCIA
· Nível de Registro: (0,2 mSv), (aplicado no programa de monitoração individual).
· Nível de Investigação: (1,2 mSv) valor acima do qual se justifica investigação. Relativo a
um só evento.
· Nível de Intervenção: (4,0 mSv) interfere com a cadeia normal de responsabilidades.
Interdição do serviço, afastamento do profissional para investigação.




                                Email: leonardosflor@gmail.com
                             Blog: http://leonardoflor.blogspot.com/
                                                                                               156
Tomografando a Técnica de Tomografar_______________________________________________________



LIMITES DE DOSES ANUAIS
Trabalhador Publico
· DOSE EFETIVA 20 mSv/ano* 1 mSv/ano**
*Valor médio por um período de 5 anos, não ultrapassando 50 mSv em um único ano.
**Em casos especiais, pode ser usado um limite maior desde que o valor médio não
Ultrapasse um mSv/ano.
· DOSE EQUIVALENTE
Cristalino 150 mSv/ano 15 mSv/ano
Pele 500 mSv/ano 50 mSv/ano
Extremidades 500 mSv/ano


RISCOS RELATIVOS
Chances de morrer em conseqüência de atividades comuns em nossa sociedade (1 em 1
milhão).
· Fumar 1,4 cigarros (câncer de pulmão)
· Passar 2 dias em Nova York (poluição do ar)
· Dirigir 65 km. em um carro (acidente)
· Voar 2500 milhas de avião (acidente)
· Praticar 6 minutos de canoagem
· Receber 0,1 msv de radiação (câncer)
No Brasil, recentemente, com a publicação da portaria: # 453 da SVS/MS “Diretrizes de
Proteção Radiológica em Radiodiagnóstico Médico e Odontológico” em 02/06/98, tornou-
se obrigatória a implantação de diversos aspectos relativos a qualidade dos Serviços
Radiológicos de Saúde dentre os quais, a implantação de um PGQ em toda instituição que
faca uso de radiações ionizantes. Esta portaria originou-se da constatação feita pelo
IRD/CNEN (Instituto de radioproteção e Dosimetria / Comissão Nacional de Energia
Nuclear) através de seus programas RXD e RXO, de que cerca de 80 % dos equipamentos
de radiodiagnostico no Brasil, encontravam-se fora dos padrões mínimos de qualidade. Esta
falta de controle de qualidade acarreta altas doses nos pacientes e custos elevados
provocados pelos altos índices de rejeição de radiografias.


                                Email: leonardosflor@gmail.com
                             Blog: http://leonardoflor.blogspot.com/
                                                                                              157
Tomografando a Técnica de Tomografar_______________________________________________________



TESTES DE CONTROLE DE QUALIDADE:
Os testes de controle de qualidade são parte importante do PGQ e devem ter periodicidade
adequada e ser feitos, no mínimo, de acordo com os intervalos estabelecidos na portaria #
453. No entanto, cada instituição deve estabelecer seus próprios protocolos, de acordo com
a idade e a taxa de uso dos equipamentos e as condições de manutenção dos mesmos.
Os testes de controle de qualidade permitem que se obtenham equipamentos estáveis e que
reproduzam o mesmo padrão de imagem para uma determinada técnica radiográfica.


A padronização da técnica radiográfica visa maximizar a qualidade da imagem. Os testes
obrigatórios são: KVp mA.s, camada semi-redutora, alinhamento do feixe central,
linearidade da taxa de exposição com mA.s, rendimento do tubo, reprodutibilidade da taxa
de exposição, reprodutibilidade do controle automático de exposição (AEC), tamanho do
ponto focal, integridade dos equipamentos de proteção individual, vedação das câmaras
escuras, exatidão do sistema de colimação, resolução de baixo e alto contraste em
fluoroscopia, contato tela-filme, alinhamento de grade, integridade de telas e chassis,
condições dos negatoscopios, índice de rejeição de radiografias, temperatura do sistema de
processamento, sensitometria do sistema de processamento e calibração, Constancia e
uniformidade dos números de tomografia computadorizada.


VESTIMENTAS DE PROTEÇÃO INDIVIDUAL (VPI)
Existem diversos tipos de vestimentas (figura 6) destinadas a proteger as pessoas contra os
efeitos das radiações ionizantes. Dentre as mais usadas, encontram-se os aventais de
chumbo (longos ou curtos), os protetores de tireóide e de gônadas, os óculos plumbiferos,
as luvas e as mangas protetoras. Estas vestimentas possuem especificações e equivalência
em chumbo que devem ser adequadas ao tipo de radiação „a qual se vai estar exposto. Alem
disso, pode-se também fazer uso de anteparos moveis de chumbo (biombos de chumbo).




                               Email: leonardosflor@gmail.com
                            Blog: http://leonardoflor.blogspot.com/
                                                                                              158
Tomografando a Técnica de Tomografar_______________________________________________________




Sempre que possível, deve-se utilizar as VPIs tanto no staff medico, quanto nos
acompanhantes quando estes são solicitados a conter ou confortar um paciente. Devem
também ser usadas pelos próprios pacientes a fim de evitar exposições desnecessárias de
regiões do corpo que não estão sendo radiografadas. Cuidados devem ser tomados quanto à
manipulação das VPIs. Os aventais de chumbo são especialmente frágeis e devem ser
manipulados cuidadosamente. Apos o uso, devem ser guardados em cabides apropriados ou
sempre na posição horizontal sem dobras. Os maus tratos podem causar fissuras e ate
mesmo o rompimento do lençol de chumbo, reduzindo o poder de proteção do mesmo e
conseqüentemente, sua vida util.


RADIOGRAFIA
· Radiografia de tórax PA = 0,03 mSv
· Radiografia de abdômen AP = 0,5 mSv
· Pelve AP = 0,2 mSv


FLUOROSCOPIA
· Enema de bário (contraste simples) = 3,1 mSv
· Angiografia cerebral = 3,5 mSv
                               Email: leonardosflor@gmail.com
                            Blog: http://leonardoflor.blogspot.com/
                                                                                              159
Tomografando a Técnica de Tomografar_______________________________________________________


· Angiografia coronariana = 18 mSv
· Colocação de stent coronariano = 50 mSv


MEDICINA NUCLEAR
· Screening ósseo (Tomografia computadorizada-99m) = 4,4 mSv
· Perfusão miocárdica (Tl-201) = 18 mSv


TOMOGRAFIA COMPUTADORIZADA
· Cabeça = 1,3 mSv
· Tórax = 5,5 mSv
· Pelve e abdômen = 8 mSv




                               Email: leonardosflor@gmail.com
                            Blog: http://leonardoflor.blogspot.com/
                                                                                              160
Tomografando a Técnica de Tomografar_______________________________________________________

PROTOCOLOS:

SEQUENCIAIS

ESTRUTURA          SLICE      FEED SLICE FEED/ROT: PITCH
Base de crânio: 03mm          03mm 03mm 03mm - 1.0




                  SLICE        FEED            SLICE          FEED/ROT: PITCH
   Base de crânio:   03mm           03mm             03mm              03mm      1.0
   Cerebro:           08mm          08mm             08mm               08mm     1.0
   S.da face(cor.):  02mm           03mm             02mm              4 mm      1.0
   S.da face(axial): 02mm           04mm             03mm              4.5mm     1.5
   Mastóides(cor/ax): 01mm          01mm             01mm              2.0mm     2.0
   Mandíbula:        03mm           03mm             03mm              4.5mm      1.5
   ATM(cor/ax):      02mm           02mm             02mm              3.0mm      1.5
   Órbitas(cor/ax): 02mm            02mm             02mm              3.0mm      1.5
   Pescoço:           05mm           05mm            05mm             8.0mm      1.6
   Tórax:            10mm           10mm             08mm              12mm       1.5
   Tórax(AR):         01mm           10mm              ----           ----       ---
   Abdomen:           10mm           10mm             05mm              9mm       1.8
   Pelve:              08mm          08mm             08mm              12mm      1.5
   Art.coxo-femural: 03mm            03mm             03mm              4.5mm     1.5
   Extremidades:       03mm          03mm             03mm              4.5mm     1.5
   Coluna cervical:    02mm           02mm            02mm               3.0mm    1.5
   Coluna torácica:    05mm           05mm            03mm               4.5mm    1.5
   Coluna lombar:      03mm          03mm             03mm               4.5mm    1.5
   Coluna trauma:      05mm           05mm            05mm              7.5mm     1.5


OBS1: Na TC de Crânio, Tórax AR e exames que necessitem de angulação do Gantry, fazer
seqüencial para reduzir artefatos.


OBS 2: Estes protocolos são sugeridos, de acordo com a capacidade técnica do
equipamento.




                                Email: leonardosflor@gmail.com
                             Blog: http://leonardoflor.blogspot.com/
                                                                                              161
Tomografando a Técnica de Tomografar_______________________________________________________


OBS3: Os protocolos de exames especiais (Angios e Coronária ), são vistos no decorrer do
curso, não havendo necessidade de citá-los nesta apostila.

Reconstruções:

MIP- Máxima intensidade de Pixel

          Angio Membros Inferiores                           Tórax




                                          3D




                                Email: leonardosflor@gmail.com
                             Blog: http://leonardoflor.blogspot.com/
                                                                                              162
Tomografando a Técnica de Tomografar_______________________________________________________


MPR- Reconstrução Multiplanar.




                  Sagital                                       Coronal




ALGUMAS REGRAS GERAIS:

   1- Em geral, os Tomógrafos podem trabalhar com pacientes até 180 KG;
   2- Ao ligar o aparelho pela manhã, ou após períodos prolongados de inatividades (6
       horas ou mais), é necessário fazer o warm-up (aquecimento) e calibração
       (alinhamento e energização dos detectores);
   3- Explicar ao paciente como é o exame e solicitar a sua colaboração, orientando-o
       devidamente;
   4- Deve-se solicitar ao paciente que retire os objetos metálicos como: colares, brincos,
       grampos de cabelo, presilhas, etc..;
   5- Checar se os pacientes que necessitam de contraste venoso estão em jejum;
   6- Após o posicionamento do paciente, certifique-se de que nenhum lençol ou cobertor
       fique em posição que dificulte a progressão da mesa durante o exame;
                               Email: leonardosflor@gmail.com
                            Blog: http://leonardoflor.blogspot.com/
                                                                                              163
Tomografando a Técnica de Tomografar_______________________________________________________


   7- No caso de qualquer reação alérgica ou extravasamento do contraste, deve-se
       interromper o exame e avisar ao Radiologista responsável imediatamente;
   8- Não há contra-indicação formal para o exame de TC, exceto as relacionadas ao uso
       de contraste iodado;
   9- Os protocolos e valores numéricos apresentados nesta apostila são apenas uma base
       de referência. Há uma grande variedade de rotinas de protocolos entre os vários
       Serviços de Radiologia no Brasil.




                                 Email: leonardosflor@gmail.com
                              Blog: http://leonardoflor.blogspot.com/
                                                                                              164

TOMOGRAFANDO A TÉCNICA DE TOMOGRAFAR

  • 1.
    ORIGEM DA PALAVRATOMOGRAFIA Do Grego TOMUS = corte ou fatia Do Português, GRAFIA = escrita, estudo HISTÓRIA DA TOMOGRAFIA COMPUTADORIZADA No ano de 1967, iniciaram-se as 11pesquisas sobre reconhecimento de imagens e técnicas de armazenamento de dados em um computador. Em 1971 foi realizado o primeiro teste de um “Scanner” do crânio, num Hospital em Londres. A partir destes dados os progressos foram rápidos. O Scanner foi oficialmente apresentado em 1972 e a coleta de dados foi evoluindo por várias gerações. Os inventores do Scanner-Tomógrafo foram A.M.Comark( um físico norte americano) e Geoffrey Hounsfield( um engenheiro inglês). Em 1973, a EMI (primeira empresa a fabricar o scanner), instalou os primeiros “scanners” de crânio nos EUA, que mais tarde passariam a se chamar TOMÓGRAFOS COMPUTADORIZADOS. Em 1974, os primeiros TCs para exame de corpo já estavam em funcionamento, e em 1979, estes dois cientistas receberam o prêmio Nobel, pois este invento tem importância comparada á descoberta dos Raios x. A HISTÓRIA DE SIR GODFFREY HOUNSFIELD: Sua invenção foi um verdadeiro marco para a medicina diagnóstica. A criação da TC teve dimensão semelhante para a medicina à descoberta dos Raios-x por WILLIAN CONRAD ROENTGEN.
  • 2.
    Tomografando a Técnicade Tomografar_______________________________________________________ HOUNSFIELD nasceu em Nottinghamshire, na Inglaterra, no dia 28 de agosto de 1919. Era o caçula de cinco irmãos. Em setembro de 1939 ingressou como voluntário, na Royal Air Force-RAF. Logo após a guerra, obteve uma bolsa para estudar engenharia mecânica e elétrica na Casa Faraday, em Londres, tendo em seguida se juntado ao staff de pesquisa da Eletric and Musical Instruments-EMI, em 1951. Em 1967 transferiu-se para o Laboratório Central de Pesquisas, da EMI. Neste ano, durante uma caminhada, um dos seus prazeres, se perguntou: -Será que existe um jeito, uma maneira de determinar o quê está dentro de uma caixa fechada, fazendo-se leitura desta por todos os ângulos possíveis de análise HOUNSFIELD imaginou que isso seria possível, em termos biológicos, colimando-se com precisão um feixe de Raios-x. O desenvolvimento da tecnologia dos computadores e a noção de que o crânio era uma espécie de caixa-preta, que poderia ser investigada e interrogada com o uso de raios-x, forneceram as circunstâncias ideais para a sua descoberta. Em seus experimentos iniciais, usando uma fonte de radiação Gama, levou nove dias para adquirir os dados e duas horas e meia para reconstruir a imagem na tela do computador. Substituindo a fonte de Raios Gama por um tubo de Raios X, reduziu o tempo de scan para nove horas. O princípio baseava-se na rotação-translação do tubo ao redor do crânio. A EMI, nessa época, era uma empresa quase totalmente voltada para a fabricação de discos e componentes eletrônicos e não tinha nenhuma experiência com equipamentos radiológicos. Os Beatles, que gravavam na época para o selo EMI, foram os responsáveis pelo apoio financeiro mais significativo para a companhia. O então Departamento de Saúde foi procurado por Hounsfield e pelos radiologistas James Ambrose e Louis Kreel para financiar, junto com a EMI, o desenvolvimento de um scanner para a cabeça. O radiologista Ambrose forneceu a orientação clínica necessária e também conduziu o primeiro experimento, utilizando um protótipo de scanner de cabeça da EMI, o Mark 1, em 1972. Logo depois, o Departamento de Saúde solicitaria mais três scanners. Em 1975, enfim, numa conferência internacional em Bermuda, Hounsfield anunciou um scanner para o acesso a outras partes do corpo. Este pronunciamento foi recebido com aplausos de pé, da seleta audiência. Email: leonardosflor@gmail.com Blog: http://leonardoflor.blogspot.com/ 2
  • 3.
    Tomografando a Técnicade Tomografar_______________________________________________________ Em 1972, Hounsfield ganhou o prêmio MacRobert, a mais alta condecoração do Reino Unido dedicada a inovações científicas. Em 1975 foi eleito Fellow da Royal Society e recebeu o prêmio Lasker, nos Estados Unidos da América. Em 1979, junto com Comarck, recebeu o prêmio Nobel de Medicina. Em 1981 foi condecorado por Sua Excelência, a Rainha da Inglaterra. Em 1994 foi eleito Honorary Fellow da Academia Real de Engenharia. Depois de sua aposentadoria oficial em 1986, continuou a trabalhar como cientista consultor da EMI e de vários departamentos de Hospitais da Inglaterra. “Hounsfield foi um homem que contribuiu enormemente, com o seu trabalho, para o avanço da medicina e do radiodiagnóstico” PRINCIPIOS BÁSICOS Uma imagem de tomografia computadorizada (TC) é uma apresentação da anatomia de uma fatia fina do corpo desenvolvida por múltiplas medidas de absorção de raios X, feita ao redor da periferia do corpo. Ao contrário da tomografia linear, onde a imagem de corte fino é criada mediante borramento da informação de regiões indesejadas, a imagem da TC é construída matematicamente. São necessárias no mínimo 180 projeções diferentes para obter uma imagem diagnosticamente útil. EVOLUÇÃO DA TC 1º. Geração: Exigiam cerca de 7 minutos para reunir informações suficientes de cada corte. Consistam de uma ampola de RX, que emitia feixes lineares de RX que eram captados por um único detector. Email: leonardosflor@gmail.com Blog: http://leonardoflor.blogspot.com/ 3
  • 4.
    Tomografando a Técnicade Tomografar_______________________________________________________ 2º. Geração: É utilizado o mesmo tipo de ampola de RX, com a diferença de emitir não um único feixe, mais vários, e aumenta o número de detectores. 3º. Geração: Aumentaram os números de detectores e o tamanho de feixe, fa- zendo reduzir ainda mais o tempo de exploração. 4º. Geração: Necessitam somente de 2 a 10 segundos por varredura. Os TC desta geração possuem um anel de 600 ou mais detectores, que circundam completamente o paciente em um circulo dentro do pórtico (GANTRY). O tubo de raios-X faz um arco de 360 graus durante a coleta de dados. Durante movimento contínuo, rápidas cargas são emitidas pelo tubo com ânodo rotatório. Email: leonardosflor@gmail.com Blog: http://leonardoflor.blogspot.com/ 4
  • 5.
    Tomografando a Técnicade Tomografar_______________________________________________________ TOMÓGRAFO HELICOIDAL (OU ESPIRAL) Avanço da 4º. Geração: São conhecidos por espirais ou helicoidais, a ampola apresenta giro contínuo sincronizado dos detectores. Multislice: Possuem duas ou mais fileiras de detectores e fazem de 2 a 40 imagens por segundo. Os aparelhos de última geração chamados de Multislice. Estes são compostos por mais de 1000 detectores, com tempos de cortes baixíssimos, e resoluções de imagem aumentadas, reduzindo os artefatos causados pelos movimentos respiratórios, peristaltismo e até batimentos cardíacos. Email: leonardosflor@gmail.com Blog: http://leonardoflor.blogspot.com/ 5
  • 6.
    Tomografando a Técnicade Tomografar_______________________________________________________ SISTEMA TOMOGRÁFICO COMPUTADORIZADO Esse sistema é composto de quatro unidades que são: 1-Unidade de Varredura: *Mesa do paciente *Gantry - onde fica situado o tubo de raios X e os detectores. Email: leonardosflor@gmail.com Blog: http://leonardoflor.blogspot.com/ 6
  • 7.
    Tomografando a Técnicade Tomografar_______________________________________________________ 2-Unidade de Processamento: *Computador - processa os dados enviados pela unidade de varredura. 3-Unidade de Exibição: *Console do Operador - onde é feita a programação e o resultado do exame (fotografia/documentação). Email: leonardosflor@gmail.com Blog: http://leonardoflor.blogspot.com/ 7
  • 8.
    Tomografando a Técnicade Tomografar_______________________________________________________ 4-Unidade de Armazenamento: *Sistema de Armazenamento - discos rígidos (memória), CDs, MODs ou outro computador, se estiver em rede, e que armazenam os exames para serem revistos quando necessário. FONTE E DETECTOR DE COLIMAÇÃO Nos tomográficos temos os pré-colimadores e os pós-colimadores. Os pré-colimadores limitam a extensão do feixe de luz, reduzindo a radiação espalhada. São desenhados para minimizar a divergência do feixe. Já os pós-colimadores, ajudam a definir a espessura de corte e reduzem a radiação espalhada que alcança os detectores. Email: leonardosflor@gmail.com Blog: http://leonardoflor.blogspot.com/ 8
  • 9.
    Tomografando a Técnicade Tomografar_______________________________________________________ DETECTORES: Constituem-se em cristais de cintilação e câmaras de ionização, que permite quantificar as medidas. Sua sensibilidade é extremamente maior que a película do filme radiográfico. Email: leonardosflor@gmail.com Blog: http://leonardoflor.blogspot.com/ 9
  • 10.
    Tomografando a Técnicade Tomografar_______________________________________________________ PITCH Representa a razão entre o deslocamento da mesa pela espessura do corte. Nas aquisições das imagens helicoidais com pitch de 1 (1:1), observamos que a mesa se desloca na mesma proporção da espessura do corte em cada revolução. Assim, se os cortes forem de 10 mm, para cada imagem a mesa de deslocará 10 mm. Se alterarmos a relação do pitch para 2:1, a mesa se deslocará numa distância equivalente ao dobro da espessura do corte por resolução. Nessas circunstâncias podemos concluir que o tempo necessário para a aquisição de 20 imagens será de 10 segundos, considerando-se um tempo de resolução de 1 segundo. Um fator importante a considerar nos casos de trabalho com pitch de relação maior que 1 é a redução da quantidade de radiação por fatia de corte, o conhecido fator mAs. A redução desse fator afeta diretamente a qualidade da imagem gerada, que poderá, dependendo das condições em que foi obtida, se apresentar com exercível nível de ruído, inviabilizando o seu aproveitamento para fins diagnósticos. Pitch: Velocidade da mesa x rotação do tubo colimação do feixe emitido PITCH = deslocamento da mesa espessura de corte PIXEL É o menor ponto de uma imagem. Pixel Email: leonardosflor@gmail.com Blog: http://leonardoflor.blogspot.com/ 10
  • 11.
    Tomografando a Técnicade Tomografar_______________________________________________________ ELEMENTO VOLUME (VOXEL) Após a detecção de dados, a anatomia reconstruída parece ser composta de um grande número de pequenos blocos alongados. Cada um destes pequenos blocos representa um volume de tecido definido pela abertura do colimador. Na linguagem da TC, cada bloco é denominado Elemento de Volume, que é abreviado por VOXEL. Qualquer corte é composto de uma grande quantidade de VOXEL. MATRIZ É o número de linhas e colunas formadas pelos pixels da tela. Quanto maior o seu número, melhor a definição da imagem. A matriz utilizada na tomografia é definida como quadrada, logo o número de linhas será igual ao número de colunas, as matrizes mais comuns são: 128 x 128 = 16.384 256 x 256 = 65.536 512 x 512 = 262.144 1024 x 1024 = 1.048.576 A mais utilizada hoje é 512x512. Email: leonardosflor@gmail.com Blog: http://leonardoflor.blogspot.com/ 11
  • 12.
    Tomografando a Técnicade Tomografar_______________________________________________________ ARTEFATOS DE IMAGEM São considerados artefatos quaisquer distúrbios na nitidez das imagens. *Artefato de Anel - Pode ser causado por uma disfunção de qualquer detector causando uma projeção errada ao longo do anel de dados. Se os detectores não são equivalentes ou intercalibrados com precisão, a projeção posterior para cada anel de dados seria ligeiramente diferente produzindo múltiplos anéis. * Borramento - O mau alinhamento do tubo e detectores causará erro de posicionamento dos valores calculados, pois os valores medidos estão ocorrendo em linhas diferentes daquelas assumidas pelo algaritmo de re- Construção. O resultado pode ser borramento ou também anel ou listras. * Artefatos ligados ao Paciente - Os artefatos induzidos por movimento freqüentemente são discretos. Estes artefatos geralmente tem aspecto de listra ou estrela e ocorre quando há interfaces de alta ou baixa densidade, por exemplo gás no intestino.Isso ocorre porque o movimento durante o processo de medida faz com que as estruturas estejam em diferentes posições, quando são feitas diferentes vistas,de forma que as projeções posteriores não se somam corretamente. A presença de objetos que possuem atenuação excepcionalmente alta ou baixa pode criar artefatos, por forçar os detectores a operar em uma região de resposta não-linear. * EFEITO DE VOLUME PARCIAL: Isto ocorre quando um mesmo corte apresentar estruturas com densidades muito diferentes provocando um borramento da imagem. Se ocorrer uma imagem anormal que pareça sofrer efeito de volume parcial, avalie a região usando cortes finos anteriores e posteriores. Email: leonardosflor@gmail.com Blog: http://leonardoflor.blogspot.com/ 12
  • 13.
    Tomografando a Técnicade Tomografar_______________________________________________________ ESCALA DE HOUNSFIELD (HU): É uma escala que vai do preto até o branco, variando tonalidades do cinza e sendo interpretada numericamente. Essas tonalidades de cinza são adquiridas pela leitura que o computador faz do valor de atenuação das diferentes estruturas, com diferentes densidades da mesma. Para cada estrutura haverá um valor de atenuação, que estarão entre + 1000Hu até –1000Hu passando pelo zero (0). Estruturas que forem sólidas como osso compacto terá uma densidade em torno de +1000Hu ,as líquidas terão a densidade 0(zero) e o ar –1000Hu. Então podemos dizer que para cada estrutura há um valor de atenuação, e estes estarão sempre entre +1000 HU até –1000HU passando pelo 0 (zero). ESCALA DE HU: -1000__________________________0________________________+_1000 AR ÁGUA SÓLIDO EXEMPLOS DE DENSIDADE DAS ESTRUTURAS: Tecido TC Aspecto Ar -1.000 Preto Pulmão -900 a -400 Cinza escuro a preto Gordura -110 a -65 Cinza escuro a preto Água 0 Escala de cinza Rim 30 Escala de cinza Sangue normal 35 a 55 Escala de cinza Sangue coagulado 80 Escala de cinza Substancia cinzenta 30 a 40 Escala de cinza Substancia branca 35 a 45 Escala de cinza Músculo 40 a 60 Escala de cinza Fígado 50 a 85 Escala de cinza Osso medular 130 a 250 Escala de cinza Osso cortical 300 a 1.000 Branco Não existe um número especifico para cada material. Esse valor depende da estrutura de que é feito o objeto e da energia inicial aplicada. Email: leonardosflor@gmail.com Blog: http://leonardoflor.blogspot.com/ 13
  • 14.
    Tomografando a Técnicade Tomografar_______________________________________________________ OBS: Conforme a escala de cinza diremos Hipodenso, Isodenso ou Hiperdenso. Janela Janelas são recursos computacionais que permitem após a obtenção das imagens as escala de cinza possa ser estreitada ou alargada, facilitando a diferenciação entre certas estruturas de acordo com a necessidade. A janela é composta por dois elementos: o contraste (W – width ou largura) e a densidade óptica (L – level ou centro). A largura da janela controla o contraste: uma janela ampla indica mais números de TC que refletem uma escala longa e, portanto, menos contraste na imagem, como o exemplo da janela pulmonar. WC: 55 WC: 95 WC: - 650 WW: 350 WW: 350 WW: 1200 Email: leonardosflor@gmail.com Blog: http://leonardoflor.blogspot.com/ 14
  • 15.
    Tomografando a Técnicade Tomografar_______________________________________________________ Outro fator é o centro da janela, também denominado nível, que controla a densidade da imagem. Esse valor determina o número de TC que será o cinza central e os extremos da largura da janela. Escolhe-se, normalmente, o tecido mais freqüentemente de uma determinada pela maior estrutura anatômica que se encontra em estudo. EX: No exame de Tórax mediastino devera corresponder a densidade média do coração. Coração No exame de Tórax parênquima devera corresponder a densidade media do pulmão. Pulmão No exame de abdome superior devera corresponder a densidade média do fígado. Fígado Email: leonardosflor@gmail.com Blog: http://leonardoflor.blogspot.com/ 15
  • 16.
    Tomografando a Técnicade Tomografar_______________________________________________________ Reconstrução das imagens Utilizam-se métodos analíticos (retropojeção filtrada) e o método algébrico (ART – Algebraic Reconstruction Techniques) que serão descritos a seguir: Back projection (retroprojeção) Caracteriza-se como o processo de projeção de perfis de atenuação para uma matriz. Ao girar em torno de um objeto, o tubo adquire várias informações por corte em diversos ângulos. Cada movimento do tubo produz uma curva relativa aos valores de atenuação do objeto. A imagem final é a soma das retroprojeções de todas as projeções angulares. Email: leonardosflor@gmail.com Blog: http://leonardoflor.blogspot.com/ 16
  • 17.
    Tomografando a Técnicade Tomografar_______________________________________________________ Convolução Kernel (CK ou algoritmo ou curva matemática) Representa o somatório de todos os cálculos CK + retroprojeção. Cada parte dessa curva tem um valor de X e Y que serão transformados e acondicionados em forma de matriz. Os dados brutos são provenientes dos detectores. Cada sistema tem algoritmos específicos para reconstrução de cada estrutura do corpo, os quais devem ser respeitados pelo operador. Se o operador tentar usar um algoritmo inadequado em determinada estrutura, a reconstrução poderá perder muito em qualidade. Resolução O desempenho de um tomógrafo é medido pela resolução espacial e pela resolução de densidade, que podem ser calculadas por meio de phantons destinados para essa avaliação. A resolução, ou o grau de definição das imagens está relacionado com a matriz utilizada. Quanto maior a matriz, melhor será a resolução, pois os pixels serão menores. Resolução espacial (RE) Resolução espacial – é a capacidade do sistema de distinguir dois pontos como separados e distintos, controlado pelo voxel. Email: leonardosflor@gmail.com Blog: http://leonardoflor.blogspot.com/ 17
  • 18.
    Tomografando a Técnicade Tomografar_______________________________________________________ Fatores que influenciam a RE Tamanho da matrix: Quanto maior a matriz, maior a resolução, porque os pixels serão menores e, quanto menor o pixel, maiores as chances de visualização de estruturas pequenas. Tamanho da abertura dos detectores: Próximo a cada arranjo de detectores há colimadores que limitam a radiação à área de interesse. Quanto menor a abertura, mais aumenta a resolução, porém são necessárias doses maiores para compensar a perda de fótons. Espessura de corte ou slice: A espessura do corte indica a porção examinada de tecido naquela exposição. Por isso. Mediante o uso de colimadores na fonte, o feixe de fótons é restrito e uma espessura determinada previamente. Incremento: O incremento é determinado pelo movimento da mesa durante a varredura. Resolução de baixo contraste Consistem na habilidade de se distinguirem pequenas diferenças de contraste entre duas regiões adjacentes, sendo determinada por imagens obtidas de um phanton com orifícios de diferentes tamanhos em material com pouca diferença densitometrica. Os fatores determinantes são: dose de radiação, eficiência de detecção, ruído no sistema, algoritmo etc. O aumento da radiação melhora a qualidade de imagem, o que implica aumento da dose/paciente. Para evitar esse acontecimento é necessário melhorar o desempenho do detector (eficiência de detecção) e reduzir o ruído do sistema de detecção. Email: leonardosflor@gmail.com Blog: http://leonardoflor.blogspot.com/ 18
  • 19.
    Tomografando a Técnicade Tomografar_______________________________________________________ PHANTONS Resolução temporal (RT) E caracterizada pela existência de dois parâmetros: tempo e índice de corte. Ao realizar o exame em um paciente, o melhor é reduzir o tempo de corte o máximo possível, evitando, assim, as interferências dos movimentos do corpo. O índice do corte é o número de cortes que podem ser realizados por unidade de tempo. Os dois parâmetros que caracterizam a RT sofrem influência de outros três elementos: espaço, densidade e tempo. No entanto, as resoluções de cada parâmetro são dependentes entre si. Com o aumento de qualquer uma das resoluções, ocorre diminuição das outras. Assim, é importante aprender a equilibrar as resoluções, estabilizando o sistema, e a promover alterações, de modo que atenda as necessidades. Informações Técnicas São dados necessários para aquisição e reconstrução das imagens. kV (quilovolts) mAs (milliamperagem por seg.) Slice (espessura do corte) Incremento (intervalo de corte ou feed) Tilt (angulação do gantry) Fov (Field of view – campo de visão) Email: leonardosflor@gmail.com Blog: http://leonardoflor.blogspot.com/ 19
  • 20.
    Tomografando a Técnicade Tomografar_______________________________________________________ Matrix: que está diretamente relacionada ao pixel e voxel. Mag: fator zoom – fator de ampliação Coordenadas X e Y (reconstrução da imagem) Extensão do estudo. KV – Tensão aplicada ao tubo, pode variar de 40 a 120KV, dependendo do fabricante. mAs – Corrente e tempo de exposição – em alguns aparelhos, o mAs pode variar de 100 a 800mA. Slice (espessura de corte) – Consiste na abertura do diafragma do tubo, que determina a espessura do corte de TC. Essa abertura acompanha a do detector. O feixe de raios X é divergente, ao realizar – se por exemplo um corte de 10mm, o colimador fecha-se em uma equivalência de 10mm, sendo o espaço entre os detectores ajustado mecanicamente para compensar essa divergência. Cortes muito finos aumentam o número de cortes sobre a mesma área e, com isso aumenta os ruídos da imagem. Nos aparelhos multidetector esses artefatos são anulados por filtros e a capacidade dos detectores. Meios de Contraste Contraste é um termo fotográfico ou, mais precisamente, no contexto atual, o termo radiológico que denota a diferença de aspecto em qualquer imagem entre uma região anatômica e outra, ou entre uma região de anormalidade e o tecido normal circundante. Este último ás vezes é denominado “conspicuidade da lesão”. Na radiografia simples, a resolução de contraste natural dos tecidos moles é ruim, sendo esse o motivo pelo qual começaram a ser desenvolvidos inicialmente meios de contraste para uso oral e intravascular. A introdução da TC trouxe uma enorme vantagem em relação ás radiografias simples, no que se refere á resolução do contraste de tecidos moles. Não obstante, mesmo a TC Email: leonardosflor@gmail.com Blog: http://leonardoflor.blogspot.com/ 20
  • 21.
    Tomografando a Técnicade Tomografar_______________________________________________________ beneficia-se no uso de contraste farmacológico artificiais pelas vias oral, retal e intravascular. Contraste intravascular são soluções injetáveis de materiais que absorvem raios-X. O fator de absorção de raios X poderia, em princípio, corresponder a uma variedade de elementos, mas o iodo é usado universalmente em todas as fórmulas comerciais. A química dos meios de contraste já foi bem descrita e não será repetida aqui. Sucintamente, os meios de contraste têm como base um anel triiodado. Os produtos comerciais apresentam diversas fórmulas e concentrações. Não nos preocuparemos aqui com os efeitos farmacológicos que também já foram bem descritos em outros locais, mas abordaremos exclusivamente sua farmacocinética, pois é ela que dita a distribuição e a concentração corporal em qualquer momento após a injeção e que, portanto, regula a contrastação. Farmacocinética: Todos os meios de contraste são moléculas pequenas que, conseqüentemente, cruzam com bastante liberdade as membranas endoteliais, exceto as do cérebro, no qual a barreira hematoencefálica impede essa ação. Os meios de contraste não penetram células em grau significativo e, assim, distribuem – se no líquido extracelular, tanto no espaço intravascular quanto no extravascular. As vezes são descritos como marcadores do espaço líquido extracelular. São excretados exclusivamente pelos rins, por filtração glomerular passiva, sem reabsorção ou secreção tubular ativa. Fase arterial Após uma injeção venosa periférica, o meio de contraste chega em cerca de 10 seg. dependendo do débito cardíaco, á aorta e, daí, á artéria hepática. Uma vez que o fígado normal só recebe cerca de 15% de sua irrigação sanguínea da artéria hepática, apresenta uma contrastação sanguínea da artéria hepática, apresenta uma constratação modesta durante esta fase. Email: leonardosflor@gmail.com Blog: http://leonardoflor.blogspot.com/ 21
  • 22.
    Tomografando a Técnicade Tomografar_______________________________________________________ Por outro lado, tumores hepáticos derivam 85% de sua irrigação sanguinea da artéria hepática e podem apresentar uma contrastação significativa, já nessa fase inicial. Na verdade, alguns tumores especialmente vascularizados podem aparecer realçados de forma mais brilhante do que o fígado normal nesse estagio. Fase venosa Quando o contraste atinge a artéria hepática, chegam também às artérias esplênica, mesentérica superior e mesentérica inferior. Cerca de 10 seg. depois retorna via veias esplênicas, mesentérica superior e inferior, para preencher a veia porta. Uma vez que o fígado normal deriva cerca de 85% de sua irrigação sanguínea dessa veia, uma acentuada contrastação hepática normal é observada nessa fase. Email: leonardosflor@gmail.com Blog: http://leonardoflor.blogspot.com/ 22
  • 23.
    Tomografando a Técnicade Tomografar_______________________________________________________ Incremento da mesa (intervalo de corte ou feed) – Consiste no espaço, em milímetros, estabelecido mediante o deslocamento da mesa em relação a uma determinada região anatômica. O deslocamento pode ser positivo ou negativo, para dentro ou para fora do gantry. Tilt (angulação do gantry) – Consiste na movimentação do gantry até a angulação necessária para melhor obtenção da imagem, dependendo da área estudada e dos reparos anatômicos dessa região. Fov (Field of view – campo de visão) – O Fov é responsável pela determinação do tamanho da área do objeto que será visualizado para estudo, é o diâmetro de visão mínimo de uma Email: leonardosflor@gmail.com Blog: http://leonardoflor.blogspot.com/ 23
  • 24.
    Tomografando a Técnicade Tomografar_______________________________________________________ imagem (cm ou mm), ou seja é a parte da matriz que será representada na tonalidade da tela do monitor de vídeo. A alteração do diâmetro do FOV irá alterar a área do pixel, pois seu valor é obtido pela razão entre o FOV e a matriz. EX: Crânio – Fov: 25cm Corpo – Fov 35 a 42cm Fator de zoom – MAG – fator de ampliação – Consiste no fator de ampliação que pode ser aplicado a uma imagem. O fator normal de aquisição é de 1.0, podendo – se modificar a imagem em até + ou – 10 vezes. Coordenadas X e Y (reconstrução da imagem) – Os sistemas de TC usam como centro de reconstrução original X = 0 e Y = 0, descrevendo a sua posição em centímetros com relação à escala de tamanho do objeto que está sendo cortado. y x Extensão do estudo – Caracteriza – se pelo volume de interesse, que varia com relação à extensão da área de estudo, modificando – se diretamente de acordo com o número de cortes. Exames Depois de ter sido feito o registro do paciente e o posicionamento do mesmo, se começa o exame pelo topograma, que é uma radiografia digitalizada da parte a ser estudada, para em seguida passarmos para o tomograma, que é a parte que vamos definir nosso estudo, para começarmos os cortes. Email: leonardosflor@gmail.com Blog: http://leonardoflor.blogspot.com/ 24
  • 25.
    Tomografando a Técnicade Tomografar_______________________________________________________ * Topograma ou Escanograma O Topograma é uma imagem seqüencial digital obtida por meio do movimento longitudinal da mesa com o tubo fixo em determinada posição. A imagem adquirida e semelhante a radiografia convencional porem e um programa de localização de cortes, em que se marcam os limites superior e inferior das aquisições axiais. Por meio dele determinamos, também, a que altura encontra-se o corte axial avaliado. Tube position = Posição do tubo de raios-X A.P. = Antero Posterior Lateral = Perfil P.A. = Póstero Anterior KV mAs Lengt (mm) = Tamanho longitudinal do topograma: 128 mm // 256 mm // 512 mm // 1024 mm Filtro Recurso algoritmo usado nos processos de reconstrução das imagens, adequado para cada tipo de estrutura anatômica em estudo (filtros moles e filtros duros). Filtros moles - tem sua utilização para estudar partes anatômicas (tecido parenquimatoso, ou parênquima) e recebe denominação de filtros para partes moles, poderá variar conforme o fabricante do aparelho. Email: leonardosflor@gmail.com Blog: http://leonardoflor.blogspot.com/ 25
  • 26.
    Tomografando a Técnicade Tomografar_______________________________________________________ Filtros duros - filtro com maior nitidez e definição da imagem realçando as bordas, margens ou estrutura anatômica, utilizado para estruturas com grande densidade (osso). Email: leonardosflor@gmail.com Blog: http://leonardoflor.blogspot.com/ 26
  • 27.
    Tomografando a Técnicade Tomografar_______________________________________________________ Exemplos de filtros utilizados Algorithm ou filtro = Nos dá a definição da imagem Smooth = algaritmo homogenizador, não dá muitos detalhes Standard = algaritmo normal, lhe dá uma imagem real Sharp = algaritmo ressaltador, aumenta o detalhe da imagem, principalmente estruturas ósseas. Crânio Encéfalo – Ocupa a cavidade do crânio. Medula espinhal sólida - Estende-se inferiormente a partir do cérebro e está protegida pela coluna vertebral óssea e termina na borda inferior de L1. Extensões de raízes nervosas da medula espinhal, entretanto, continuam para baixo até o primeiro segmento coccígeo. O espaço subaracnóide continua descendo até a segunda vértebra sacral (S2). Tanto o encéfalo quanto à medula espinhal são envolvidos por três envoltórios ou membranas protetoras denominadas meninges. 1. Dura – máter 2. Pia – máter 3. Aracnóide Email: leonardosflor@gmail.com Blog: http://leonardoflor.blogspot.com/ 27
  • 28.
    Tomografando a Técnicade Tomografar_______________________________________________________ Dura – máter a mais externa e significa “mãe dura”. Camada forte e fibrosa que possui uma camada interna (juntam-se para formar a foice cerebral) e outra externa (adere- se à camada interna da calota craniana). Espaço epidural ou extra-dural é o espaço virtual entre o osso e a dura-máter. Numa TC, um hematoma epidural ou extra-dural apresenta-se como uma coleção de sangue entre a calota craniana e a dura-máter. Pia – máter a mais interna e significa “mãe delicada”. Muito fina e vascularizada, repousa junto ao cérebro (envolvendo-o totalmente) e a medula espinhal. Região infra-parenquimatosa é o espaço virtual entre a pia-máter e a região interior do cérebro. Numa TC, um hematoma infra-parenquimatoso apresenta-se como uma coleção de sangue entre a a pia-máter e a região interior do cérebro. Hematoma infra parenquimatoso e interventricular Email: leonardosflor@gmail.com Blog: http://leonardoflor.blogspot.com/ 28
  • 29.
    Tomografando a Técnicade Tomografar_______________________________________________________ Aracnóide - localizada entre a pia-máter e a dura-máter e significa “mãe aranha”. Espaço sub-dural é o espaço virtual entre a dura-máter e a aracnóide. Numa TC, um hematoma sub- dural apresenta-se como uma coleção de sangue entre a dura-máter e a aracnóide. Divisões do encéfalo Prosencéfalo Cérebro – (Telencéfalo) Tálamo – (Diencéfalo) Hipotálamo – (Diencéfalo) Email: leonardosflor@gmail.com Blog: http://leonardoflor.blogspot.com/ 29
  • 30.
    Tomografando a Técnicade Tomografar_______________________________________________________ Anatomia Email: leonardosflor@gmail.com Blog: http://leonardoflor.blogspot.com/ 30
  • 31.
    Tomografando a Técnicade Tomografar_______________________________________________________ Email: leonardosflor@gmail.com Blog: http://leonardoflor.blogspot.com/ 31
  • 32.
    Tomografando a Técnicade Tomografar_______________________________________________________ Patologias Traumas (edema cerebral, hemorragia, hematoma extra ou subdural, hemorragia subaracnóidea) AVC (isquêmico ou hemorrágico). Tumor cerebral. TC de Crânio - Exame que permite uma avaliação rápida na distinção das lesões. Planejamento do exame Entrevista. Preparo do paciente. Exame propriamente dito. Processamento e documentação da imagem. Análise do exame. Posicionamento do paciente Mesa com suporte axial para crânio. Paciente em decúbito dorsal, o mais confortável possível. Email: leonardosflor@gmail.com Blog: http://leonardoflor.blogspot.com/ 32
  • 33.
    Tomografando a Técnicade Tomografar_______________________________________________________ Imobilizar a cabeça. Colocar as mãos do paciente sobre o abdome ou ao lado do corpo. Observar: simetria, altura e angulação da cabeça. Tompograma: perfil View angle: 90 Length: 130 KV: 120 mA: 30 Inicio dos cortes: abaixo do forame magno Final dos cortes: acima da convexidade cerebral. Protocolo Helical Thickness (slice): 1mm Increment: 0.5mm KV: 120 mAs: 200 Resolução: Standard Colimação: 64x0.625 Pitch: 0.923 Rotação: 0.75 Filtro: Brain standard Window: C: 40 / W: 80 Matrix: 512 Email: leonardosflor@gmail.com Blog: http://leonardoflor.blogspot.com/ 33
  • 34.
    Tomografando a Técnicade Tomografar_______________________________________________________ Anatomia Seccional do crânio Email: leonardosflor@gmail.com Blog: http://leonardoflor.blogspot.com/ 34
  • 35.
    Tomografando a Técnicade Tomografar_______________________________________________________ Email: leonardosflor@gmail.com Blog: http://leonardoflor.blogspot.com/ 35
  • 36.
    Tomografando a Técnicade Tomografar_______________________________________________________ Feed Direction: A direção em que a mesa avança. IN: Entrando no Gantry (Cranio-caudal) OUT: Saindo do Gantry (Caudo-cranial) OBS: No caso de TCs Helicoidais: Não fazer Spiral nos exames de crânio ou exames que tenham que angular o Gantry, pois o padrão da imagem cai de qualidade. Nos exames que não haja angulação, fazer Spiral sempre, pois economiza o tubo. HEAD TC ( TC DE CRÂNIO) Na TC de Crânio fazemos duas programações. A primeira é na base do crânio(região infra- tentorial) e a segunda é no parênquima cerebral (região supra-tentorial), e a angulação ideal é a supra-órbito-meatal (para fugir do cristalino). Indicação: Qualquer processo patológico suspeito envolvendo o encéfalo, é indicado uma tomografia computadoriza do crânio. A TCC praticamente eliminou a necessidade de pneumografia cerebral. Houve ainda uma diminuição no número de angiografia cerebral e cintilografia encefálicas. Algumas indicações comuns: Suspeita de massas encefálicas; metástases encefálicas; hemorragia intracraniana; aneurisma; abscesso; atrofia cerebral e anormalidades pós traumáticas como: hematomas epidurais e subdurais, além de anormalidades adquiridas ou congênitas. Contra Indicação: Paciente que não pode ser transportado até o aparelho, devido a seu quadro de saúde e gestantes com período inferior a 6 meses de gravidez. Tirando isto não há contra indicação real à tomografia computadorizada. Preparo do Paciente: Solicitar um jejum de no mínimo 04 horas para evitar complicações associadas ao esvaziamento gástrico prematuro, durante a administração do contraste venoso. Email: leonardosflor@gmail.com Blog: http://leonardoflor.blogspot.com/ 36
  • 37.
    Tomografando a Técnicade Tomografar_______________________________________________________ TOMOGRAFIA DOS SEIOS DA FACE O nariz, a parte superior da via respiratória, contém o órgão periférico do olfato, dividido em narina direita e esquerda pelo septo nasal. Cada narina pode ser dividida em uma região olfatória e uma região respiratória. As funções do nariz e das cavidades nasais são: respiração, olfação, filtração de poeira, umidificação do ar inspirado, e recepção de secreções dos seios paranasais e dos ductos nasolacrimais. O ar que passa na região respiratória é aquecido e umedecido antes de atravessar o restante da via respiratória superior até os pulmões. Email: leonardosflor@gmail.com Blog: http://leonardoflor.blogspot.com/ 37
  • 38.
    Tomografando a Técnicade Tomografar_______________________________________________________ O septo nasal parcialmente ósseo e parcialmente cartilaginoso divide o nariz em duas cavidades estreitas. A parte óssea do septo geralmente está localizada no plano mediano até os 7 anos de idade; depois disso, com freqüência, desvia-se ligeiramente para um lado, freqüentemente para a direita. O septo nasal possui três componentes principais: a lâmina perpendicular do osso etmóide; o vômer; e a cartilagem do septo nasal. A lâmina perpendicular, que forma a parte superior do septo, é muito fina e desce a partir da lâmina crivosa do osso etmóide. O vômer, um osso fino e plano, forma a parte póstero-inferior do septo; ele se articula com a lâmina perpendicular do etmóide e com a cartilagem do septo nasal. As cavidades nasais, que têm por entrada as narinas, abrem-se na parte nasal da faringe através das coanas. A túnica mucosa reveste toda a cavidade, exceto o vestíbulo. A entrada para o vestíbulo do nariz é revestida por pele tanto no lado do septo quanto na parede lateral. Email: leonardosflor@gmail.com Blog: http://leonardoflor.blogspot.com/ 38
  • 39.
    Tomografando a Técnicade Tomografar_______________________________________________________ Fossa Nasal e Cavidades Paranasais NARIZ Parte óssea – ossos nasais. Parte cartilaginosa. PARTE ÓSSEA OSSOS NASAIS O esqueleto ósseo do nariz é formado pelo osso frontal, ossos nasais e maxilares. Os pequenos e retangulares ossos nasais unem-se na linha mediana para formar o dorso do nariz. Os ossos nasais suportam flexíveis lâminas cartilagíneas que participam do arcabouço do nariz. Fraturas dos ossos nasais ou fragmentação das cartilagens associadas são lesões comuns da face. A cavidade nasal contém várias aberturas de drenagem, pelos quais o muco dos seios paranasais é drenado. Os seios paranasais compreendem os seios maxilares, frontal, etmoidal e o esfenoidal. Email: leonardosflor@gmail.com Blog: http://leonardoflor.blogspot.com/ 39
  • 40.
    Tomografando a Técnicade Tomografar_______________________________________________________ NARIZ (VISTA ÂNTERO-LATERAL) É uma protuberância situada no centro da face, sendo sua parte exterior denominada nariz externo e a escavação que apresenta interiormente conhecida por cavidade nasal. O nariz externo tem a forma de uma pirâmide triangular de base inferior e cuja face posterior se ajusta verticalmente no 1/3 médio da face. As faces laterais do nariz apresentam uma saliência semilunar que recebe o nome de asa do nariz. O ar entra no trato respiratório através de duas aberturas chamadas narinas. Em seguida, flui para as cavidades nasais, direita e esquerda que são revestidas por mucosa respiratória. O septo nasal separa essas duas cavidades. A cavidade nasal é a escavação que encontramos no interior do nariz, ela é subdividida em dois compartimentos um direito e outro esquerdo. Cada compartimento dispõe de um orifício anterior que é a narina e um posterior denominado coana. As coanas fazem a comunicação da cavidade nasal com a faringe Email: leonardosflor@gmail.com Blog: http://leonardoflor.blogspot.com/ 40
  • 41.
    Tomografando a Técnicade Tomografar_______________________________________________________ CONCHAS NASAIS (CORNETOS) Concha nasal (ou sistema turbinado) é uma protuberância óssea na parede lateral da fossa nasal. As conchas nasais estão localizadas lateralmente nas cavidades nasais, curvando-se medialmente e para baixo em direção à via respiratória nasal. Cada par é composto por uma concha nasal de cada lado da cavidade nasal, divididas pelo septo nasal. Os três pares, com seus componentes esquerdo e direito, são: Concha Nasal Superior: parte do osso etmóide. Concha Nasal Média: parte do osso etmóide. Concha Nasal Inferior: estende-se horizontalmente ao longo da parede lateral da cavidade nasal e consiste de uma lâmina de osso esponjoso, curvada em si mesmo. Cada concha nasal inferior é considerada um par de ossos faciais já que elas surgem dos ossos maxilares e se projetam horizontalmente dentro da cavidade nasal. Vamos estudar os seios paranasais para diagnosticar possíveis lesões como: sinusite; poliposes; tumores ou más formações. Email: leonardosflor@gmail.com Blog: http://leonardoflor.blogspot.com/ 41
  • 42.
    Tomografando a Técnicade Tomografar_______________________________________________________ As posições para este exame são: axial com cortes paralelos ao palato duro até o término do seio frontal. coronal com cortes perpendiculares ao plano infra-órbito-meatal até o término do seio esfenoidal. SPN Cortes Coronais – Prono e Supino TÉCNICA DE EXAME Perpendicular ao palato duro. Início na parede posterior do seio maxilar e término na margem anterior do seio frontal. 3 mm de espessura. 3 mm de intervalo. Filtro para partes moles/ósseas. Uso de contraste depende da indicação clínica. Tompograma: perfil View angle: 90 Length: 130 KV: 120 mA: 30 Email: leonardosflor@gmail.com Blog: http://leonardoflor.blogspot.com/ 42
  • 43.
    Tomografando a Técnicade Tomografar_______________________________________________________ Posicionamento do paciente Mesa com suporte axial para crânio. Paciente em decúbito dorsal, o mais confortável possível. Imobilizar a cabeça. Colocar as mãos do paciente sobre o abdome ou ao lado do corpo. Observar: simetria, altura e angulação da cabeça. Topograma: perfil View angle: 90 Length: 130 KV: 120 mA: 30 Protocolo Helical Thickness (slice): 1mm Increment: 0.5mm KV: 120 mAs: 150 Resolução: High Colimação: 64x0.625 Pitch: 0.923 Rotação: 0.75 Filtro: Y- Detail (YD) Window: C: 300 / W: 3000 Matrix: 512 Email: leonardosflor@gmail.com Blog: http://leonardoflor.blogspot.com/ 43
  • 44.
    Tomografando a Técnicade Tomografar_______________________________________________________ INDICAÇÕES CLÍNICAS (SEM CONTRASTE)  Sinusite;  Desvio de septo nasal;  Má formação;  Osteomas (tumores benignos mais freqüentes dos seios paranasais);  Encondroma (tumor benigno de cartilagem).  Fraturas INDICAÇÕES CLÍNICAS (COM CONTRASTE) Tumores. Metástases. Polipose. Cisto de retenção. PREPARO PARA O EXAME Não é necessário, apenas realizar a higiene nasal. Imagem 1 Corte axial. 1, Cavidade orbitária. 2, Seio frontal. 3, Osso esfenóide Email: leonardosflor@gmail.com Blog: http://leonardoflor.blogspot.com/ 44
  • 45.
    Tomografando a Técnicade Tomografar_______________________________________________________ Imagem 2 - Corte axial. 1, Globo ocular. 2, Septo nasal. 3, Células etmoidais. 4, Seios esfenóidal. 5, Hipófise. 6, Dorso sellae. Imagem 3 Corte axial. 1, Globo ocular. 2, Septo nasal. 3, Células etmoidais. 4, Seios esfenóidal. 5, Clivus. Imagem 4 Corte axial. 1, Seio maxilar esquerdo. 2, Canal nasolacrimal. 3, Concha. 4, Septo nasal. 5, Arco zigomático. 6, Processo condilar da mandíbula. Imagem 5 Corte axial. 1, Concha. 2, Seio maxilar. 3, Asa lateral do processo pterigóideo. 4, Nasofaringe. 5, Atlas (C1). 6, Fenda do palato ptérigo. Imagem 6 Corte axial. 1, Seio maxilar. 2, Apófisis pterigoides,. 3, Nasofaringe. 4, Mandíbula. 5, Arco 45 anterior do atlas. 6, dente do áxis (Processo odontoide). Email: leonardosflor@gmail.com Blog: http://leonardoflor.blogspot.com/
  • 46.
    Tomografando a Técnicade Tomografar_______________________________________________________ TOMOGRAFIA DO OUVIDO E MASTÓIDES A orelha ou pavilhão é formada por uma lâmina de cartilagem elástica de formato irregular, recoberta por uma fina camada de pele. Possui várias depressões e elevações, sendo a concha a maior depressão. A margem elevada da orelha é chamada de hélice, e, localizada logo abaixo da hélice se encontra a escafa ou fossa escafóide, que é uma longa depressão que se encontra logo abaixo da hélice. Abaixo da escafa, se encontra uma elevação chamada anti-hélice, que termina bifurcada em dois ramos, encontrando-se uma fossa entre eles, chamada de fossa triangular ou navicular. O lóbulo é um apequena porção de tecido mole que se encontra na região inferior do pavilhão. Localizados superiormente ao lóbulo, encontram-se o trago e o anti-trago, o primeiro localizado logo na abertura do meato acústico externo e o segundo, logo acima do lóbulo. A função principal do pavilhão auditivo é coletar sons, agindo como um funil e direcionando o som para o conduto auditivo. Outra função é a filtração do som, processo este que ajuda a localizar a origem dos sons que chegam ao individuo. Além disso, no caso dos humanos, o processo de filtração seleciona sons na faixa de freqüência da voz humana facilitando o entendimento. Email: leonardosflor@gmail.com Blog: http://leonardoflor.blogspot.com/ 46
  • 47.
    Tomografando a Técnicade Tomografar_______________________________________________________ Já o conduto auditivo externo tem a função de transmitir os sons captados pela orelha para o tímpano além de servir de câmara de ressonância ampliando algumas freqüências de sons. Ele é constituído por cartilagem no terço lateral e osso nos dois terços mediais. As mastóides e ouvidos ficam situados na base do crânio, nos ossos temporais. Este exame é indicado para: otite; neurinoma de acústico; otosclerose e colesteatoma. As posições para este estudo são: Axial iniciando da porção petrosa da cóclea até a porção final do canal semi- circular posterior. Coronal: começa na porção posterior da mandíbula até a porção final do canal semi- circular posterior. Cortes e incrementos finos (se possível, 1 mm). Tompograma: perfil View angle: 90 Length: 130 KV: 120 mA: 30 Email: leonardosflor@gmail.com Blog: http://leonardoflor.blogspot.com/ 47
  • 48.
    Tomografando a Técnicade Tomografar_______________________________________________________ Protocolo Helical Thickness (slice): 0.67mm Increment: 0.33mm KV: 120 mAs: 600 Resolução: Ultra High Colimação: 20x0.625 Pitch: 0.348 Rotação: 0.75 sec Filtro: Y- Sharp (YE) Window: C: 500 / W: 4000 Matrix: 768 CORTES AXIAIS DA MASTOIDE Email: leonardosflor@gmail.com Blog: http://leonardoflor.blogspot.com/ 48
  • 49.
    Tomografando a Técnicade Tomografar_______________________________________________________ Email: leonardosflor@gmail.com Blog: http://leonardoflor.blogspot.com/ 49
  • 50.
    Tomografando a Técnicade Tomografar_______________________________________________________ PLANO CORONAL Email: leonardosflor@gmail.com Blog: http://leonardoflor.blogspot.com/ 50
  • 51.
    Tomografando a Técnicade Tomografar_______________________________________________________ TOMOGRAFIA DA MANDÍBULA Sua forma é semelhante a uma ferradura horizontal com abertura posterior (corpo), de cujas extremidades livres saem dois prolongamentos (ramos). Na parte posterior, há uma articulação sinovial, com os ossos temporais através do processo condilar, alongado ortogonalmente ao plano medial; esta articulação designa-se temporomandibular (ATM). Cada lado contém, da extremidade anterior à posterior, oito alvéolos para a inserção dos dentes, respectivamente: dois alvéolos para o engaste dos incisivos; um alvéolo canino, bastante profundo; dois alvéolos pré-molares e dois ou três molares, dependendo da 51 formação ou não do terceiro molar ou dente siso. Ainda sobre a anatomia humana da Email: leonardosflor@gmail.com Blog: http://leonardoflor.blogspot.com/
  • 52.
    Tomografando a Técnicade Tomografar_______________________________________________________ mandíbula humana nota-se a inserção de todos os músculos da mastigação, tendo como principais o Masseter, o Músculo temporal e os pterigóides, medial e lateral. Este exame é solicitado em caso de trauma, disfunção óssea ou tratamento odontológico. TOMOGRAFIA DE ATM (Articulação TemporoMandibular) A Articulação Temporomandibular (ATM) é uma pequena juntura localizada na frente do ouvido, onde o crânio e a mandíbula se encontram. Essa articulação permite que a mandíbula (arcada inferior) se mova. As desordens da ATM não são tão incomuns e têm uma variedade de sinais e sintomas. Os pacientes podem se queixar de dor de ouvido, dor de cabeça (cefaléia), limitação na abertura bucal. Também podem relatar clique ou sons de crepiação dentro dessa juntura e sentem dor quando abrem e fecham a boca. O que deve ser determinado, obviamente é a causa. Mesmo o simples fato de ouvir um estalido dentro da ATM é sinal de que existe algo errado; esse estalido não é normal, como se pensa! Email: leonardosflor@gmail.com Blog: http://leonardoflor.blogspot.com/ 52
  • 53.
    Tomografando a Técnicade Tomografar_______________________________________________________ As posições para este estudo são: axial iniciando da porção superior da ATM até a porção final do mento da mandíbula. coronal começa na ponta do mento até a porção posterior da mandíbu-la junto a ATM. Este exame é solicitado em caso de luxação. É realizado em axial e coronal,sendo que na posição axial deve ser feito com a boca aberta e fechada. A marcação deve ser feita do início ao fim do côndilo da mandíbula. Posicionamento do paciente Mesa com suporte axial para crânio. Paciente em decúbito dorsal, o mais confortável possível. Imobilizar a cabeça. Colocar as mãos do paciente sobre o abdome ou ao lado do corpo. Observar: simetria, altura e angulação da cabeça. Email: leonardosflor@gmail.com Blog: http://leonardoflor.blogspot.com/ 53
  • 54.
    Tomografando a Técnicade Tomografar_______________________________________________________ Protocolo Helical Thickness (slice): 0.9mm Increment: 0.45mm KV: 120 mAs: 150 Resolução: Standard Colimação: 64x0.625 Pitch: 0.64 Rotação: 0.5 sec Filtro: Bone (D) Window: C: 300 / W: 3000 Matrix: 512 Tompograma: perfil View angle: 90 Length: 130 KV: 120 mA: 30 Obs: o exame e realizado de duas etapas boca aberta e boca fechada. Email: leonardosflor@gmail.com Blog: http://leonardoflor.blogspot.com/ 54
  • 55.
    Tomografando a Técnicade Tomografar_______________________________________________________ RECONSTRUCOES CORONAL, SAGITAL E 3D Email: leonardosflor@gmail.com Blog: http://leonardoflor.blogspot.com/ 55
  • 56.
    Tomografando a Técnicade Tomografar_______________________________________________________ TOMOGRAFIA DE ÓRBITA A órbita é uma cavidade do esqueleto da face em forma de pirâmide onde estão inseridos o bulbo do olho, músculos, nervos, vasos e o aparelho lacrimal. A parede superior é formada pelos ossos frontal e esfenóide; a parede medial pelo etmóide, esfenóide, lacrimal e frontal; a parede inferior ou assoalho pela maxila, zigomático e palatino; a parede lateral pelo processo frontal do zigomático e asa maior do esfenóide. O ápice da órbita fica no canal óptico, formado pela asa menor do esfenóide. A base que abre para a face possui quatro margens: margem superior: osso frontal margem inferior: ossos maxilar e zigomático margem medial: ossos frontal, lacrimal e maxilar margem lateral: ossos zigomático e frontal Email: leonardosflor@gmail.com Blog: http://leonardoflor.blogspot.com/ 56
  • 57.
    Tomografando a Técnicade Tomografar_______________________________________________________ As paredes medial e inferior são finas e podem ser fraturadas por golpe. O deslocamento das paredes pode causar um tipo de lesão chamada "fratura por explosão", podendo envolver os seios etmoidais e esfenoidais, em caso de fratura da parede medial, e o seio maxilar, em caso de fratura da parede inferior. A parede superior é mais resistente, mas é fina e um objeto pontiagudo pode penetrá-la, atingindo o lobo frontal do cérebro. Uma fratura normalmente causa sangramento e, como consequência, aumento de pressão do olho e exoftalmia. Estruturas adjacentes podem ser afetadas e causar sangramento no seio maxilar, deslocamento dos dentes maxilares, fratura dos ossos nasais. Realiza-se este exame em duas posições: Axial - cortes paralelos ao cone orbitário, começando do teto da órbita até o assoalho da órbita. Coronal - perpendicular a linha órbito-meatal, começando da porção anterior da órbita até o quiasma óptico. OBS. Pedir ao paciente para manter os olhos fechados durante o exame. Email: leonardosflor@gmail.com Blog: http://leonardoflor.blogspot.com/ 57
  • 58.
    Tomografando a Técnicade Tomografar_______________________________________________________ Protocolo Helical Thickness (slice): 0.9mm Increment: 0.45mm KV: 120 mAs: 150 Resolução: Standard Colimação: 64x0.625 Pitch: 0.64 Rotação: 0.5 sec Filtro: Bone (D) Window: C: 300 / W: 3000 Matrix: 512 Tompograma: perfil View angle: 90 Length: 130 KV: 120 mA: 30 CORTES AXIAIS DAS ORBITAS Email: leonardosflor@gmail.com Blog: http://leonardoflor.blogspot.com/ 58
  • 59.
    Tomografando a Técnicade Tomografar_______________________________________________________ Email: leonardosflor@gmail.com Blog: http://leonardoflor.blogspot.com/ 59
  • 60.
    Tomografando a Técnicade Tomografar_______________________________________________________ PLANO CORONAL Email: leonardosflor@gmail.com Blog: http://leonardoflor.blogspot.com/ 60
  • 61.
    Tomografando a Técnicade Tomografar_______________________________________________________ Email: leonardosflor@gmail.com Blog: http://leonardoflor.blogspot.com/ 61
  • 62.
    Tomografando a Técnicade Tomografar_______________________________________________________ TOMOGRAFIA DE SELA TURCICA OU HIPÓFISE O QUE É HIPÓFISE? É uma glândula localizada na base do cérebro logo atrás dos olhos, numa região chamada sela túrcica. Além da prolactina, ela produz vários outros hormônios que estimulam o crescimento, a contração do útero, o volume da urina e controla o funcionamento de outras glândulas. A prolactina é um hormônio produzido pela glândula hipófise, que estimula a produção de leite pela mama no período da amamentação Email: leonardosflor@gmail.com Blog: http://leonardoflor.blogspot.com/ 62
  • 63.
    Tomografando a Técnicade Tomografar_______________________________________________________ Indicações Comuns: • Investigação de doenças relacionadas a função hipofisária; • Transtornos do hipotálamo; • Defeitos do campo visual; • Avaliação pós-operatória de adenomas de hipófise. Este exame é feito em duas posições: axial iniciando da base da sela até a superfície dos processos clinóides. coronal corte perpendicular a linha órbito-meatal, começando do pro- cesso clinóide anterior até o posterior. Posicionamento da mesa com suporte axial; Paciente em DD (Head First Sup); Imobilizar a Cabeça; Mãos ao lado do corpo; Linha transversal paralela a órbita; Linha sagital paralela ao plano sagital; Linha coronal na altura do MAE. Scout: Lateral •Início dos Cortes: Anterior ao dorso da sela •Término dos Cortes: Ultrapassar os limites do seio esfenoidal • Espessura dos Cortes coronais: Helicoidal 2mm / 2mm. Multislice 1mm / 0,5mm Email: leonardosflor@gmail.com Blog: http://leonardoflor.blogspot.com/ 63
  • 64.
    Tomografando a Técnicade Tomografar_______________________________________________________ Protocolo Helical Thickness (slice): 0.9mm Increment: 0.45mm KV: 120 mAs: 150 Resolução: Standard Colimação: 64x0.625 Pitch: 0.64 Rotação: 0.5 sec Filtro: Bone (D) Window: C: 300 / W: 3000 Matrix: 512 Tompograma: perfil View angle: 90 Length: 130 KV: 120 mA: 30 Email: leonardosflor@gmail.com Blog: http://leonardoflor.blogspot.com/ 64
  • 65.
    Tomografando a Técnicade Tomografar_______________________________________________________ RECONSTRUCOES CORONAL E SAGITAL. Email: leonardosflor@gmail.com Blog: http://leonardoflor.blogspot.com/ 65
  • 66.
    Tomografando a Técnicade Tomografar_______________________________________________________ Email: leonardosflor@gmail.com Blog: http://leonardoflor.blogspot.com/ 66
  • 67.
    Tomografando a Técnicade Tomografar_______________________________________________________ TOMOGRAFIA DO PESCOÇO Exame que avalia as alterações em processos inflamatórios, infecciosos, traumáticos, tumorais e vasculares de várias estruturas como língua, glândulas submandibulares, laringe, hipofaringe, espaços, recessos, vasos e estruturas musculares de todo o pescoço, até a entrada do tórax como podemos observar anteriormente. ANATOMIA O estudo da anatomia do pescoço pode ser entendido esquematicamente através de um sistema de triângulos baseados em referenciais anatômicas de superfície. Desta maneira o músculo esternocleidomastóideo divide o pescoço nos triângulos anterior e posterior. O osso hióide divide o triângulo anterior nos compartimentos infra e supra-hióide. O ventre anterior do músculo digástrico divide o compartimento supra-hióide em triângulos submandibular e submentoniano. O ventre superior do músculo omohióide divide o compartimento infra-hióide em triângulos carotídeo e muscular. Já o ventre inferior deste músculo divide o triângulo posterior em triângulos subclávio e occipital. Cada um destes triângulos contém diferentes estruturas anatômicas. TRIÂGULO ESTRUTURAS ANATÔMICAS Submandibular Glândula submandibular e linfonodos Submentoniano Linfonodos Carotídeo Artéria carótida e veia jugular, nervo vago e linfonodos da cadeia jugular interna. Muscular Laringe, hipofaringe, traquéia, esôfago, tireóide, paratireóide e músculos infra- hióideos. Occipital Linfonodos e nervo espinhal acessório Subclávio Artéria e veia subclávia, linfonodos, nervo frênico e plexo braquial. Email: leonardosflor@gmail.com Blog: http://leonardoflor.blogspot.com/ 67
  • 68.
    Tomografando a Técnicade Tomografar_______________________________________________________ Uma alternativa ao método dos triângulos cervicais é estudar a anatomia do pescoço através dos espaços criados pela fáscia cervical profunda (FCP). Esta corresponde a camadas de fáscia que contornam e envolvem a musculatura e demais estruturas desta região. Ela está situada profundamente à fáscia cervical superficial e é formada por três camadas (superficial, média e profunda), que dividem o pescoço em compartimentos ou espaços. O conhecimento e o entendimento destes espaços são indispensáveis para o cirurgião e também para o radiologista, uma vez que o diagnóstico diferencial entre as diversas patologias é freqüentemente definido pelo espaço em que a lesão se localiza. Além disto, existem comunicações entre diferentes espaços que nos permitem predizer possíveis vias de disseminação de diversos processos patológicos. Triângulos cervicais: A-submandibular, B-submentoniano; C-carotídeo; D-muscular; E- occipital; F-subclávio. ESPAÇO SUBLINGUAL: localiza-se no assoalho da boca e é definido pela mandíbula, osso hióide e músculo milo-hióide. Comunica-se posteriormente com o espaço submandibular. Lateralmente ao músculo gênio-glosso existe um plano gorduroso que contém o ducto da glândula submandibular, glândula salivar sublingual, artéria e veia sublinguais, ramos linguais de V3, nervo glossofaríngeo e nervo hipoglosso, músculo hioglosso e músculo estiloglosso. O músculo hioglosso é o reparo cirúrgico que separa o ducto submandibular situado mais superficialmente da artéria lingual mais profunda. Email: leonardosflor@gmail.com Blog: http://leonardoflor.blogspot.com/ 68
  • 69.
    Tomografando a Técnicade Tomografar_______________________________________________________ Lesões: Ca. do assoalho da boca e da língua, rânulas, dermóides e epidermóides, hemangiomas e lingangiomas, abcessos, linfonodomegalias, cálculos e tumores de glândulas salivares. ESPAÇO BUCAL: não tem limites fasciais propriamente ditos. Contém a gordura bucal, artéria e veia faciais, ducto parotídeo e músculo bucinador. Em geral é envolvido por patologias do espaço mastigador. Localiza-se anteriormente ao músculo masséter. O ducto parotídeo apresenta seu orifício de drenagem localizado na altura do segundo molar superior, após atravessar o músculo bucinador. ESPAÇO PAROTÍDEO: localiza-se póstero-lateralmente ao músculo masséter e contém a glândula parótida, parte de seu ducto (ducto de Stensen), nervo facial, linfonodos intraparotídeos e vasos, quais sejam a veia retromandibular e a artéria carótida externa. A parótida pode ser dividida pelo nervo facial em lobos superficial e profundo, não havendo, entretanto, uma real separação anatômica e/ou histológica entre estes lobos. A topografia do nervo facial pode ser inferida pela identificação da veia retromandibular, uma vez que o mesmo tem seu trajeto situado imediatamente lateral a este vaso. Ao contrário da glândula submandibular, a parótida é encapsulada pela camada superficial da fáscia cervical profunda tardiamente no desenvolvimento fetal. Este encapsulamento relativamente retardado tem como consequência a permanência de tecido linfóide no espaço parotídeo, que resultará na presença de linfonodos intraparotídeos. Estes são em número variável, podendo chegar a 20. Os linfonodos intraparotídeos constituem pontos de drenagem de Email: leonardosflor@gmail.com Blog: http://leonardoflor.blogspot.com/ 69
  • 70.
    Tomografando a Técnicade Tomografar_______________________________________________________ primeira ordem do couro cabeludo e região facial profunda periparotídea. Com o passar dos anos pode-se observar um progressivo aumento dos depósitos de gordura no parênquima glandular, o que torna o contraste desta estrutura com as vizinhas mais evidente aos métodos de imagem. Duas estruturas que frequentemente nos ajudam a definir que determinada lesão está situada neste espaço são o ventre posterior do músculo digástrico (forma uma parte da borda póstero-medial do espaço parotídeo) e o túnel estilo- mandibular. Lesões: cistos do primeiro arco branquial, hemangiomas, linfangiomas, abcessos, linfonodomegalias, lesões inflamatórias e tumorais da glândula parótida, schwanoma do nervo facial, lipomas. ESPAÇO MASTIGADOR: este espaço estende-se da borda superior do músculo temporal à borda inferior da mandíbula. Anteriormente a ele está o espaço bucal, posteriormente o parotídeo e póstero-medialmente o espaço parafaríngeo. Os músculos da mastigação constituem o maior volume deste espaço e, devido à extensa implantação dos mesmos na base do crânio, processos inflamatórios e tumorais deste compartimento podem envolver e disseminar-se para aquela região e mesmo para a fossa craniana e vice-e-versa. O forame oval é também uma via de passagem entre estas regiões, uma vez que dá passagem ao ramo mandibular do nervo trigêmeo. Dos músculos da mastigação somente o pterigóideo lateral promove a abertura da boca. Ele consiste de dois ventres: o superior insere-se na cápsula da ATM e cabeça mandibular (algumas fibras tendíneas atravessam a cápsula e se fixam na borda anterior do disco interarticular), enquanto o inferior insere-se no colo da cabeça mandibular. Contém o ramo e corpo da mandíbula, músculos pterigóideos medial e lateral, masséter, temporal e nervo alveolar inferior (ramo de V3), ramos mastigatórios de V3, artéria maxilar interna. Lesões: hipertrofia massetérica, hemangiomas, linfangiomas, abcesso odontogênico, osteomielite da mandíbula, schwanoma, sarcomas, linfoma, metástases para mandíbula e carcinoma (disseminação perineural). Email: leonardosflor@gmail.com Blog: http://leonardoflor.blogspot.com/ 70
  • 71.
    Tomografando a Técnicade Tomografar_______________________________________________________ ESPAÇO CAROTÍDEO: estende-se da base do crânio ao arco aórtico. É envolvido pela bainha carotídea, que é uma condensção das três camadas da fáscia cervical profunda. Pode-se dividi-lo nos segmentos nasofaríngeo, orofaríngeo, cervical e mediastinal. Contém as artérias carótidas, veia jugular interna, IX, X XI e XII pares cranianos na porção nasofaríngea e linfonodos. Lesões: tortuosidade da artéria carótida, celulite, abscesso, trombose da veia jugular, paraganglioma, schwanoma, metástases (particularmente de carcinoma de células escamosas), linfoma. ESPAÇO MUCOSO-FARÍNGEO: a importância do estudo deste espaço vem do fato de que a malignidade estatisticamente mais comum do trato aerodigestivo superior nele se origina: o carcinoma de células escamosas. Este espaço é composto pelos tecidos situados profundamente à camada média da fáscia cervical profunda (fáscia bucofaríngea). Estende-se da base do crânio à cartilagem cricóide. Pode ser dividido em nasofaringe, orofaringe e hipofaringe. Um plano que passa através dos palatos duro e mole separa a naso da orofaringe e as pregas faringoepiglóticas e glossoepiglóticas separam a oro da hipofaringe. A mucosa da nasofaringe é o epitélio colunar pseudoestratificado ciliado com células caliciformes e a da orofaringe é o epitélio escamoso estratificado não queratinizado. Próximo à base do crânio a fáscia bucofaríngea contorna os aspectos laterais e posterior da fáscia faringobasilar, que é a aponeurose do músculo constritor superior. Esta fáscia prende o músculo constritor superior e a faringe superior como um todo à base do crânio. Apresenta uma falha lateralmente, chamada seio de Morgani, por onde passa a tuba auditiva e o músculo elevador do véu palatino. Este seio é uma importante via de disseminação de neoplasias da nasofaringe para o espaço parafaríngeo e regiões contíguas. Contém o músculo constritor superior, de Passavant, constritor médio, constritor e elevador do véu palatino, salpingofaríngeo, torus tubário, músculos palatoglosso e palatofaríngeo (pilares tonsilares), estilofaríngeo, mucosa, anel de Waldeyer, glândulas salivares menores. Lesões: hipertrofia linfóide, abscessos, tumores de glândulas salivares menores, carcinoma de células escamosas, linfoma e cisto de Thornwaldt. Email: leonardosflor@gmail.com Blog: http://leonardoflor.blogspot.com/ 71
  • 72.
    Tomografando a Técnicade Tomografar_______________________________________________________ ESPAÇO PARAFARÍNGEO: é uma área de tecido gorduroso que ocupa uma localização central no pescoço. Apesar de não estar contido em uma fáscia própria e abrigar poucas estruturas esta área é um espaço crítico para o entendimento e localização de lesões dos diversos espaços supra-hióides (figura 4). Estende-se da base do crânio, onde aparece como o pequeno ponto de gordura medial aos forames oval e espinhoso, continuando-se inferiormente até o corno superior do osso hióide. Seus limites são compostos pelas fáscias dos espaços vizinhos, entretanto inferiormente comunica-se livremente com o espaço submandibular. Contém gordura, ramos de V3. Ramos das artérias maxilar interna e faringéia ascendente e plexo venoso faríngeo. ESPAÇOS RETROFARÍNGEO, PRÉ-VERTEBRAL E PERIGOSO: a camada profunda da fáscia cervical profunda se divide em duas lâminas, sendo uma anterior (fáscia alar) e outra posterior (fáscia pré-vertebral). Esta última envolve a musculatura pré- vertebral e paraespinhal, o nervo frênico e o plexo cervical, as vértebras, as artérias e veias vertebrais e troncos do plexo braquial. Define, portanto, o espaço pré-vertebral, que se Email: leonardosflor@gmail.com Blog: http://leonardoflor.blogspot.com/ 72
  • 73.
    Tomografando a Técnicade Tomografar_______________________________________________________ estende inferiormente até o cóccix. A fáscia alar tem origem na base do crânio, assim como a pré-vertebral, e estende-se inferiormente formando as paredes posterior e laterais do espaço retrofaríngeo, cuja parede anterior é formada pela fáscia bucofaríngea (camada média da fáscia cervical profunda). TC em corte sagital evidenciando tumoração expansiva em cavum, com invasão retrofaríngea. TC em corte axial evidenciando destruição óssea,invasão retrocraniana e parede lateral do seio cavernoso. O espaço potencial existente entre a fáscia alar e a fáscia pré-vertebral é o espaço perigoso. O espaço retrofaríngeo estende-se da base do crânio ao mediastino superior, sendo seu limite inferior a fusão das fáscias bucofaríngea e fáscia alar, que ocorre no nível de T3 (pode ocorrer no intervalo de C6 a T6). É uma via de disseminação potencial de lesões cervicais para o mediastino. Contém gordura e linfonodos. Estes estão presentes na porção supra-hióidea e são divididos em cadeias medial e laterais (gânglio de Rouvière). Após a fusão com a fáscia bucofaríngea, descrita acima, a fáscia alar continua-se inferiormente até o nível do diafragma. Portanto este é o limite inferior do espaço perigoso, assim denominado pela possibilidade de servir de via de disseminação de infecções do pescoço para o mediastino posterior, até o nível do diafragma. Do ponto de vista dos métodos de imagem não é possível a visibilização das diferentes fáscias, portanto lesões deste espaço apresentam-se de forma indistinta das lesões do espaço retrofaríngeo (no compartimento infra-hióide este espaço pode ser denominado retrovisceral). Email: leonardosflor@gmail.com Blog: http://leonardoflor.blogspot.com/ 73
  • 74.
    Tomografando a Técnicade Tomografar_______________________________________________________ Lesões do espaço retrofaríngeo: linfonodomegalia, abscesso, celulite, lipoma, hemangioma, linfoma, metástases, invasão direta por carcinoma de células escamosas. Lesões do espaço pré-vertebral: osteomielite vertebral, cordoma, tumores vertebrais, metástases, linfoma, invasão direta por carcinoma de células escamosas, tendinite do músculo longus colli. Email: leonardosflor@gmail.com Blog: http://leonardoflor.blogspot.com/ 74
  • 75.
    Tomografando a Técnicade Tomografar_______________________________________________________ ESPAÇO VISCERAL: é exclusivamente infra-hióide e está contido pela camada média da fáscia cervical profunda. Sua margem inferior é determinada por um plano que vai da fúrcula esternal a T1. Inferiormente o componente visceral da camada média da FCP fixa-se ao pericárdio, estabelecendo, portanto uma comunicação deste espaço com o mediastino superior. Contém a tireóide e paratireóides, vasos tireodeanos inferiores, nervos laríngeos recorrentes, esôfago, traquéia, linfonodos e laringe. Os linfonodos contidos no espaço visceral pertencem ao grupo profundo de gânglios da cadeia cervical anterior, sendo também chamados de justaviscerais ou paraesofageanos. Localizam-se lateralmente à tireóide, traquéia e esôfago. A drenagem dos mesmos se faz inferiormente para os linfonodos mediastinais. Portanto, linfonodomegalia metastática para estes linfonodos, como ocorre, por exemplo, em tumores tireodeanos, têm grande tendência para extensão mediastinal precoce. O mesmo já não acontece com os carcinomas de células escamosas da cabeça e pescoço, uma vez que o envolvimento metastático ganglionar se dá primariamente para linfonodos da cadeia cervical lateral, que não se comunicam diretamente com linfonodos mediastinais. Lesões: carcinoma de células escamosas da laringe, condrosarcoma de laringe, laringocele, tumores e cistos de tireóide, bócio, adenomas de paratireóide, divertículo de Zenker, carcinoma de esôfago, linfonodomegalia metastática, linfoma, abscesso, etc. ESPAÇO CERVICAL POSTERIOR: localiza-se no aspecto póstero-lateral do pescoço, estendendo-se desde a base do crânio até a clavícula. Separando este espaço do espaço pré- vertebral está a camada profunda da fáscia cervical profunda. Superficialmente ele é limitado pela fáscia cervical superficial. Anteriormente está separado do espaço carotídeo pela bainha carotídea. Contém linfonodos da cadeia espinhal acessória, XI nervo craniano e gordura, que é seu principal componente. Lesões: linfonodomegalia metastática, linfoma, linfonodomegalia inflamatória, linfangioma, cisto branquial (III fenda), abscesso e lipoma. Email: leonardosflor@gmail.com Blog: http://leonardoflor.blogspot.com/ 75
  • 76.
    Tomografando a Técnicade Tomografar_______________________________________________________ ESPAÇO CERVICAL ANTERIOR: estende-se desde o osso hióide até a clavícula e está preenchido por gordura. A fáscia visceral o separa do espaço visceral medialmente; a camada superficial da fáscia cervical profunda limita o espaço ântero-lateralmente e a bainha carotídea o limita posteriormente. O espaço submandibular está situado superiormente, sem separação por planos fasciais. Lesões: lipoma, cisto branquial, abscesso e linfangioma TÉCNICA DE EXAME O paciente é deitado na mesa de exames e lentamente será levado para o interior do gantry, onde serão feitas as imagens da região cervical. É muito importante permanecer imóvel e seguir as instruções do profissional que realizará o exame. O tempo de exame é variável, podendo durar de 5 a 20 minutos. Em relação ao preparo este exame requer um jejum absoluto (inclusive de água) de quatro horas, cliente deve suspender, nas 48 horas que antecedem o exame e com o consentimento do médico assistente, o uso de medicamentos que contenham a metformina (Dimefor®, Glifage®, Glucoformin®, Glucovance® ou Starform®) e a fenformina (Debei®), que é contraindicado nos exames com contraste iodado endovenoso. A suspensão dessas medicações ainda precisa ser mantida por 48 horas após o exame. Posicionamento do paciente Mesa com suporte axial para crânio. Paciente em decúbito dorsal, o mais confortável possível. Imobilizar a cabeça. Colocar as mãos do paciente ao lado do corpo. Observar: simetria, altura e angulação da cabeça. Começando do manúbrio ate a base do crânio. Email: leonardosflor@gmail.com Blog: http://leonardoflor.blogspot.com/ 76
  • 77.
    Tomografando a Técnicade Tomografar_______________________________________________________ Tompograma: perfil View angle: Dual Length: 130 KV: 120 mA: 30 . Protocolo Helical Thickness (slice): 1mm Increment: 0.5mm KV: 120 mAs: 150 Resolução: Standart Colimação: 64x0.625 Pitch: 0.923 Rotação: 0.75 Filtro: Standart Window: C: 400 / W: 40 Matrix: 512 Email: leonardosflor@gmail.com Blog: http://leonardoflor.blogspot.com/ 77
  • 78.
    Tomografando a Técnicade Tomografar_______________________________________________________ CORTES AXIAIS Email: leonardosflor@gmail.com Blog: http://leonardoflor.blogspot.com/ 78
  • 79.
    Tomografando a Técnicade Tomografar_______________________________________________________ Reconstruções Axial 2/2 Sagital e Coronal 3/3 Sagital pós contraste Coronal pós contraste Email: leonardosflor@gmail.com Blog: http://leonardoflor.blogspot.com/ 79
  • 80.
    Tomografando a Técnicade Tomografar_______________________________________________________ Torax Cartilage Esterno: Costal Manúbrio Arcos Corpo Costais Processo Segmento vertebral xifóide torácico Traquéia Pulmão Pleura F (Recesso pleural) E IG Seio Costofrênico Email: leonardosflor@gmail.com Blog: http://leonardoflor.blogspot.com/ 80
  • 81.
    Tomografando a Técnicade Tomografar_______________________________________________________ Recesso costodiafragmático da cavidade pleural O sistema respiratório consiste em partes do corpo através das quais o ar passa do nariz e da boca para o interior dos pulmões, possibilitando a troca gasosa entre o ar e a corrente sangüínea. Está dividido em 4 partes: laringe, traquéia, brônquios direito e esquerdo e pulmões. Seguindo da laringe para baixo temos a traquéia, que é a segunda divisão propriamente dita do sistema respiratório. Email: leonardosflor@gmail.com Blog: http://leonardoflor.blogspot.com/ 81
  • 82.
    Tomografando a Técnicade Tomografar_______________________________________________________ É um tubo fibroso muscular com cerca de 20 anéis cartilaginosos em forma de C, que mantém a via aérea aberta evitando que a traquéia colabe durante a inspiração. Localizada anteriormente ao esôfago, da junção com a laringe ao nível de C6 até o nível de T4 ou T5 onde se divide nos brônquios fonte direito e esquerdo. Glândulas localizadas próximo ao sistema respiratório: tireóide, paratireóides e o timo. Tireóide: localizadas anteriormente na região do pescoço logo abaixo da laringe. Bastante radio - sensível. Armazena hormônios que ajudam na regulação do metabolismo corporal, regulam o crescimento e o desenvolvimento do corpo e a ativação do SNC, principalmente em crianças. Paratireóides: localizadas nas superfícies posteriores dos lobos laterais da tireóide. Normalmente duas, ligadas a cada lobo da tireóide. Armazenam e secretam certos hormônios que ajudam em funções sangüíneas especiais, incluindo os níveis de cálcio sérico. Timo: localização distal à tireóide. Faz parte das estruturas do mediastino. Brônquio direito é mais largo, mais curto, possui menor ângulo de divergência (25º ) em relação à traquéia distal e é menos abrupto à direita do que à esquerda. Possui cerca de 2,5 cm de comprimento por 1,3 cm de largura. Divide-se em três brônquios secundários (deste modo o pulmão direito possui três lobos) que se subdividem em ramos menores os bronquíolos, que se espalham por t odas as partes de cada lobo e terminam em sacos muito pequenos chamados alvéolos, onde são trocados o oxigênio e o gás carbônico do sangue. Qual a importância nesta diferença em forma e tamanho? Partículas de comidas e outros corpos estranhos têm maior tendência a entrar e se alojar no brônquio direito. Email: leonardosflor@gmail.com Blog: http://leonardoflor.blogspot.com/ 82
  • 83.
    Tomografando a Técnicade Tomografar_______________________________________________________ Brônquio esquerdo possui ângulo de divergência com diâmetro 1,1 cm menor que o direito e duas vezes mais comprido (5 cm). Divide-se em dois brônquios secundários (o pulmão direito possui dois lobos) que se subdividem em ramos menores os bronquíolos, que se espalham por todas as partes de cada lobo e terminam em sacos muito pequenos chamados alvéolos, onde são trocados o oxigênio e o gás carbônico do sangue. Carina: localizada ao nível de T5. Local onde os brônquios se dividem em direito e esquerdo. Email: leonardosflor@gmail.com Blog: http://leonardoflor.blogspot.com/ 83
  • 84.
    Tomografando a Técnicade Tomografar_______________________________________________________ Patologias Lesões mediastinais Aneurismas Abscesso ou cisto Doença pericárdica Nódulo Lesões mediastinais Aneurismas Abscesso Cistos Email: leonardosflor@gmail.com Blog: http://leonardoflor.blogspot.com/ 84
  • 85.
    Tomografando a Técnicade Tomografar_______________________________________________________ Para TC Convencional, o paciente e instruído a respirar antes de cada nova aquisição de imagem, então suspender a respiração por alguns segundos. Caso o paciente não consiga cooperar, o movimento diafragmático causará imagens borradas com uma marcante perda de qualidade. Posicionamento do paciente • Paciente em decúbito dorsal com os braços para cima • Feixe sagital alinhado a chanfradura esternal. • Feixe transversal acima dos ápices pulmonares. • Feixe coronal na altura da linha hemiaxilar. Email: leonardosflor@gmail.com Blog: http://leonardoflor.blogspot.com/ 85
  • 86.
    Tomografando a Técnicade Tomografar_______________________________________________________ Tompograma: AP View angle: 180 Length: 400 KV: 120 mA: 30 A varredura é planejada desde acima dos ápices até abaixo do diafragma, centrada na linha média e na linha hemiaxilar Protocolo Helical Thickness (slice): 1mm Increment: 0.5mm KV: 120 mAs: 200 Resolução: Standard Colimação: 64x0.625 Pitch: 0.923 Rotação: 0.75 Filtro: Lung Enhacend (L) Window: C: - 600 / W: 1600 Matrix: 512 Email: leonardosflor@gmail.com Blog: http://leonardoflor.blogspot.com/ 86
  • 87.
    Tomografando a Técnicade Tomografar_______________________________________________________ Imagem 1 1, Apófise (processo) coracóide. 2, Clavícula direita. 3, Artéria carótida comum direita. 4, Tireóide. 5, Veia jugular interna esquerda. 6, Clavícula esquerda. 7, Veia subclávia esquerda. 8, Cabeça do úmero esquerda. 9, Espinha da escápula. 10, Processo espinhoso. Imagem 2 1, Cabeça do úmero direita. 2, Esôfago. 3, Traquéia. 4, Veia subclávia esquerda. 5, Espinha da escápula. 6, Glenóide da escapula Imagem 3 1, Pulmão direito. 2, Costela. 3, Esôfago. 4, Traquéia. 5, Veia braquiocefálica esquerda. 6, Artéria carótida comum esquerda. 7, Veia axilar esquerda. 8, Pulmão esquerdo. 9, Processo transverso. 10, Escápula. Imagem 4 1, Pulmão direito. 2, Costela. 3, Traquéia. 4, Veia braquiocefálica esquerda. 5, tronco 87 braquiocefálico (também conhecido como artéria inominada). 6, Artéria carótida comum esquerda. 7, Artéria subclávia esquerda. 8, Escápula. 9, Esôfago. 10, Processo espinhoso. Email: leonardosflor@gmail.com Blog: http://leonardoflor.blogspot.com/
  • 88.
    Tomografando a Técnicade Tomografar_______________________________________________________ Imagem 5 1, Esôfago. 2, Costela. 3, Traquéia. 4, Veia cava superior. 5, tronco braquiocefálico (também conhecido como artéria inominada). 6, Artéria carótida comum esquerda. 7, Aorta. 8, Escápula. 9, Canal vertebral. Imagem 6 1, Pulmão direito. 2, Traquéia. 3, Veia cava superior. 4, Arco aórtico. 5, Pulmão esquerdo. 6, Escápula 7, Corpo vertebral 8, Costela. Imagem 7 1, Pulmão direito. 2, Veia cava superior. 3, Aorta torácica ascendente. 4, Aorta torácica descendente. 5, Costela. 6, Pulmão esquerdo. 7, Esôfago. 8, Traquéia Imagem 8 1, Pulmão direito. 2, Veia pulmonar direita. 3, Veia cava superior. 4, Aorta torácica ascendente. 5, Artéria pulmonar esquerda. 6, Veia pulmonar esquerda. 7, Pulmão esquerdo. 8, Escápula 9, Canal vertebral. 10, Costela. Email: leonardosflor@gmail.com Blog: http://leonardoflor.blogspot.com/ 88
  • 89.
    Tomografando a Técnicade Tomografar_______________________________________________________ Imagem 9 1, Artéria pulmonar direita. 2, Pulmão direito. 3, Veia cava superior. 4, Aorta torácica ascendente. 5, Tronco pulmonar. 6, Veia pulmonar esquerda. 7, Artéria pulmonar esquerda. 8, Escápula. 9, Costela 10, Pulmão esquerdo. Imagem 10 1, átrio direito. 2, Raiz da aorta. 3, Raiz do tronco pulmonar. 4, átrio esquerdo. 5, Aorta torácica descendente. Imagem 11 1, átrio direito. 2, Raiz da aorta. 3, Ventrículo direito. 4, átrio esquerdo. 5, Aorta torácica descendente. Imagem 12 1, Pulmão direito. 2, átrio direito. 3, Ventrículo direito. 4, Ventrículo esquerdo. 5, Pulmão esquerdo. 6, Aorta torácica descendente. Email: leonardosflor@gmail.com Blog: http://leonardoflor.blogspot.com/ 89
  • 90.
    Tomografando a Técnicade Tomografar_______________________________________________________ Imagem 13 1, Esôfago 2, Pulmão direito. 3, Ventrículo direito. 4, Ventrículo esquerdo. 5, Pulmão esquerdo. 6, Aorta torácica descendente. 7, Processo espinhoso. Imagem 14 1, Pulmão direito. 2, Veia cava inferior. 3, Ventrículo direito. 4, Ventrículo esquerdo. 5, Esôfago. 6, Pulmão esquerdo. 7, Aorta torácica descendente. 8, Canal vertebral Imagem 15 1, Pulmão direito. 2, Fígado. 3, Veia cava inferior. 4, Ventrículo direito. 5, Ventrículo esquerdo. 6, Esôfago. 7, Pulmão esquerdo. 8, Aorta torácica descendente. 9, Corpo vertebral. Imagem 16 1, Lobo inferior de pulmão direito. 2, Fígado. 3, Veia cava inferior. 4, Esôfago. 5, Pulmão esquerdo 6, Aorta. Email: leonardosflor@gmail.com Blog: http://leonardoflor.blogspot.com/ 90
  • 91.
    Tomografando a Técnicade Tomografar_______________________________________________________ Imagem 17 1, Lobo inferior de pulmão direito. 2, Fígado. 3, Veia cava inferior. 4, Lobo inferior de pulmão esquerdo. 5, Aorta. Tomografia de Tórax em Alta Resolução (TCAR) É feito em seqüencial, começando no ápice e terminando na base pulmonar. Fazer sempre com apnéia. Em alguns casos fazer em inspiração e expiração. É indicado em: Condensação; Aero-broncogramas; Tuberculose; Bronquiectasia; Enfisema pulmonar e outros. Usar KV e, MAS altos e slice fino Email: leonardosflor@gmail.com Blog: http://leonardoflor.blogspot.com/ 91
  • 92.
    Tomografando a Técnicade Tomografar_______________________________________________________ Imagem 1 ALTA RESOLUÇÃO 1, Brônquio do segmento apical do lobo superior direito. 2, divisão da traquéia em 2 ramos direito e esquerdo dando origem aos 2 brônquios principais. 3, Lobo superior esquerdo. 4, Lobo inferior esquerdo. Seta vermelha, Fissura obliqua (Grande fissura pulmonar). Imagem 2 ALTA RESOLUÇÃO 1, Brônquio segmantar posterior (Lobo superior direito). 2, Brônquio segmantar antérieur (Lobo superior direito). 3, Brônquio principal direito. 4, brônquio principal esquerdo. 5, Lobo superior esquerdo. 6, Lobo inferior esquerdo. Seta vermelha, Fissura obliqua (Grande fissura pulmonar). Imagem 3 1, Brônquio Intermediário. 2, Linha de junção anterior. 3, brônquio principal esquerdo. 4, Lobo superior esquerdo. 5, Lobo inferior esquerdo. Seta vermelha, Fissura obliqua (Grande fissura pulmonar). Email: leonardosflor@gmail.com Blog: http://leonardoflor.blogspot.com/ 92
  • 93.
    Tomografando a Técnicade Tomografar_______________________________________________________ Imagem 4 1, Brônquio lobar inferior direito. 2, Lobo inferior direito. 3, Brônquio lobar médio direito. 4, Lóbulo médio direito. 5, Lobo superior direito. 6, Lobo superior esquerdo. 7, Lobo inferior esquerdo. Seta branco, Fissura horizontal (Pequena scissure). Seta vermelha, Fissura obliqua (Grande fissura pulmonar) Reconstrução coronal 1 1, Traquéia. 2, brônquio principal esquerdo. 3, Brônquio principal direito. 4, Brônquio do segmento apical do lobo superior direito. 5, Brônquio lobar inferior direito. Seta vermelha, Fissura obliqua (Grande fissura pulmonar). Reconstrução coronal 2 1, Traquéia. 2, Lobo superior direito. 3, Lóbulo médio direito. 4, Lobo inferior direito. 5, Lobo superior esquerdo. 6, Lobo inferior esquerdo. seta preta, Fissura horizontal (Pequena scissure). Seta vermelha, Fissura obliqua (Grande fissura pulmonar). Email: leonardosflor@gmail.com Blog: http://leonardoflor.blogspot.com/ 93
  • 94.
    Tomografando a Técnicade Tomografar_______________________________________________________ TOMOGRAFIA DO ABDOMEN E PELVE O Abdômen contém a maioria dos órgãos em forma de tubo do trato digestivo, assim como outros órgãos sólidos. Os órgãos abdominais ocos incluem o estômago, o intestino delgado e o cólon com seu apêndice vermiforme. Órgão como o fígado, a vesícula biliar, e o pâncreas funcionam em associação próxima ao trato digestivo e se comunicam via dutos. O baço, os rins e asglândula supra-renal também estão no abdômen, junto com muitos outros vasos sanguíneos como a aorta e a veia cava inferior. Os anatomistas podem considerar a bexiga urinária, útero, tuba uterina e óvarios tanto como órgãos abdominais ou pélvicos. Finalmente, o abdômen contém uma membrana extensa chamada peritônio. Uma dobra de peritônio pode cobrir completamente certos órgãos, ebora ela possa cobrir apenas umaldo de órgãos que geralmente estão perto da parede abdominal. Estes órgãos os anatomistas chamam de órgãos retroperitoniais. Email: leonardosflor@gmail.com Blog: http://leonardoflor.blogspot.com/ 94
  • 95.
    Tomografando a Técnicade Tomografar_______________________________________________________ O Trato digestório e os órgãos anexos constituem o sistema digestório. O trato digestório é um tubo oco que se estende da cavidade bucal ao ânus, sendo também chamado de canal alimentar ou trato gastrintestinal. As estruturas do trato digestório incluem: boca, faringe, esôfago, estômago, intestino delgado, intestino grosso, reto e ânus. O comprimento do trato gastrintestinal, medido no cadáver, é de cerca de 9m. Na pessoa viva é menor porque os músculos ao longo das paredes dos órgãos do trato gastrintestinal mantém o tônus. Os órgãos digestório acessórios são os dentes, a língua, as glândulas salivares, o fígado, vesícula biliar e o pâncreas. Os dentes auxiliam no rompimento físico do alimento e a língua auxilia na mastigação e na deglutição. Os outros órgãos digestórios acessórios, nunca entram em contato direto com o alimento. Produzem ou armazenam secreções que passam para o trato gastrintestinal e auxiliam na decomposição química do alimento. O trato gastro intestinal é um tubo longo e sinuoso de 10 a 12 metros de comprimento desde a extremidade cefálica (cavidade oral) até a caudal (ânus). FUNÇÕES 1- Destina-se ao aproveitamento pelo organismo, de substâncias estranhas ditas alimentares, que asseguram a manutenção de seus processos vitais. Email: leonardosflor@gmail.com Blog: http://leonardoflor.blogspot.com/ 95
  • 96.
    Tomografando a Técnicade Tomografar_______________________________________________________ 2- Transformação mecânica e química das macromóléculas alimentares ingeridas (proteínas, carbohidratos, etc.) em moléculas de tamanhos e formas adequadas para serem absorvidas pelo intestino. 3- Transporte de alimentos digeridos, água e sais minerais da luz intestinal para os capilares sangüíneos da mucosa do intestino. 4- Eliminação de resíduos alimentares não digeridos e não absorvidos juntamente com restos de células descamadas da parte do trato gastro intestinal e substâncias secretadas na luz do intestino. Mastigação:Desintegração parcial dos alimentos, processo mecânico e químico. Deglutição:Condução dos alimentos através da faringe para o esôfago. Ingestão:Introdução do alimento no estômago. Digestão:Desdobramento do alimento em moléculas mais simples. Absorção: Processo realizado pelos intestinos. Defecação: Eliminação de substâncias não digeridas do trato gastro intestinal. O trato gastro intestinal apresenta diversos segmentos que sucessivamente são: BOCA - FARINGE - ESÔFAGO - ESTÔMAGO - INTESTINO DELGADO - INTESTINO GROSSO Órgãos Anexos: GLÂNDULAS PARÓTIDAS GLÂNDULAS SUBMANDIBULARES GLÂNDULAS SUBLINGUAIS FÍGADO PÂNCREAS Email: leonardosflor@gmail.com Blog: http://leonardoflor.blogspot.com/ 96
  • 97.
    Tomografando a Técnicade Tomografar_______________________________________________________ O fígado é um órgão que atua como uma glândula do corpo humano e se localiza no hipocôndrio direito, epigástrio e pequena porção do hipocôndrio esquerdo, sob o diafragma. Seu peso aproximado é cerca de 2,250-2,500 kg no homem adulto e um pouco menos na mulher. Em crianças é proporcionalmente maior, pois constitui 1/20 do peso total de um recém nascido. Na primeira infância é um órgão tão grande, que pode ser sentido abaixo da margem inferior das costelas, ao lado direito. Funciona como glândula exócrina, isto é, libera secreções em sistema de canais que se abrem numa superfície externa. Atua também como glândula endócrina, uma vez que também libera substâncias. Para o entendimento do funcionamento dinâmico e complexo do fígado, podemos dizer que uma das suas principais atividades é a formação e excreção da bile; as células hepáticas produzem em torno de 1,5 l por dia, descarregando-a através do ducto hepático. A transformação de glicose em glicogênio, e seu armazenamento, se dá nas células hepáticas. Ligada a este processo, há a regulação e a organização de proteínas e gorduras em estruturas químicas utilizáveis pelo organismo da concentração dos aminoácidos no sangue, que resulta na conversão de glicose, esta utilizada pelo organismo no seu metabolismo. Neste mesmo processo, o sub- produto resulta em uréia, eliminada pelo rim. Além disso, paralelamente existe a elaboração da albumina, e do fibrinogênio. Email: leonardosflor@gmail.com Blog: http://leonardoflor.blogspot.com/ 97
  • 98.
    Tomografando a Técnicade Tomografar_______________________________________________________ O pâncreas é uma glândula do sistema digestivo e endócrino. Ele é tanto exócrino (secretando suco pancreático, que contém enzimas digestivas) quanto endócrino (produzindo muitos hormônios importantes, como insulina, glucagon e somatostatina). Sendo uma das glândulas retroperitoneais, ele é localizado posteriormente ao estômago e está em associação próxima ao duodeno. É freqüentemente descrito como tendo três regiões: a cabeça, corpo e a cauda. Podendo causar algo como infertilidade em gestantes. O ducto pancreático (também chamado de ducto de Wirsung) percorre o comprimento do pâncreas e termina na segunda porção do duodeno, na ampola de Vater (hepatopancreática). O ducto biliar comum geralmente se une ao ducto pancreático neste ponto ou próximo dele. Muitas pessoas também possuem um pequeno ducto acessório, o ducto de Santorini. INTESTINO DELGADO Características No intestino delgado ocorre a parte mais importante da digestão e é absorvida a maior parte dos nutrientes. O intestino delgado é um tubo com pouco mais de 6 m de comprimento por 4cm de diâmetro e pode ser dividido em três regiões: duodeno (cerca de 25 cm), jejuno (cerca de 5 m) e íleo (cerca de 1,5 cm). A porção superior ou duodeno tem a forma de ferradura e compreende o piloro, a abertura da parte inferior do estômago pela qual este esvazia seu conteúdo no intestino. Email: leonardosflor@gmail.com Blog: http://leonardoflor.blogspot.com/ 98
  • 99.
    Tomografando a Técnicade Tomografar_______________________________________________________ Movimentos peristálticos: No intestino, as contrações rítmicas e os movimentos peristálticos das paredes musculares, movimentam o alimento, ao mesmo tempo em que este é atacado pela bílis, enzimas e outras secreções. Os nutrientes absorvidos pelos vasos sanguíneos do intestino, passam ao fígado para serem distribuídos pelo resto do organismo. SISTEMA URINÁRIO O sistema urinário é constituído pelos órgãos uropoéticos, isto é, incumbidos de elaborar a urina e armazená-la temporariamente até a oportunidade de ser eliminada para o exterior. Na urina encontramos ácido úrico, ureia, sódio, potássio, bicarbonato, etc. Este aparelho pode ser dividido em órgãos secretores - que produzem a urina - e órgãos excretores - que são encarregados de processar a drenagem da urina para fora do corpo. Os órgãos urinários compreendem os rins (2), que produzem a urina, os ureteres (2) ou ductos, que transportam a urina para a bexiga (1), onde fica retida por algum tempo, e a uretra (1), através da qual é expelida do corpo. Além dos rins, as estruturas restantes do sistema urinário funcionam como um encanamento constituindo as vias do trato urinário. Essas estruturas – ureteres, bexiga e uretra – não modificam a urina ao longo do caminho, ao contrário, elas armazenam e conduzem a urina do rim para o meio externo. Rim Ureter Bexiga Uretra Email: leonardosflor@gmail.com Blog: http://leonardoflor.blogspot.com/ 99
  • 100.
    Tomografando a Técnicade Tomografar_______________________________________________________ RIM Os rins são órgãos pares, em forma de grão de feijão, localizados logo acima da cintura, entre o peritônio e a parede posterior do abdome. Sua coloração é vermelho-parda. Os rins estão situados de cada lado da coluna vertebral, por diante da região superior da parede posterior do abdome, estendendo-se entre a 11ª costela e o processo transverso da 3ª vértebra lombar. São descritos como órgãos retroperiotoneais, por estarem posicionados por trás do peritônio da cavidade abdominal. Os rins são recobertos pelo peritônio e circundados por uma massa de gordura e de tecido areolar frouxo. Cada rim tem cerca de 11,25cm de comprimento, 5 a 7,5cm de largura e um pouco mais que 2,5cm de espessura. O esquerdo é um pouco mais comprido e mais estreito do que o direito. O peso do rim do homem adulto varia entre 125 a 170g; na mulher adulta, entre 115 a 155g. O rim direito normalmente situa-se ligeiramente abaixo do rim esquerdo devido ao grande tamanho do lobo direito do fígado. Email: leonardosflor@gmail.com Blog: http://leonardoflor.blogspot.com/ 100
  • 101.
    Tomografando a Técnicade Tomografar_______________________________________________________ Na margem medial côncava de cada rim encontra-se uma fenda vertical – o HILO RENAL – onde a artéria renal entra e a veia e a pelve renal deixam o seio renal. No hilo, a veia renal está anterior à artéria renal, que está anterior à pelve renal. O hilo renal é a entrada para um espaço dentro do rim. O seio renal, que é ocupado pela pelve renal, cálices, nervos, vasos sangüíneos e linfáticos e uma variável quantidade de gordura. Cada rim apresenta duas faces, duas bordas e duas extremidades. FACES (2) - Anterior e Posterior. As duas são lisas, porém a anterior é mais abaulada e a posterior mais plana. BORDAS (2) - Medial (côncava) e Lateral (convexa). EXTREMIDADES (2) - Superior (Glândula Supra-Renal) e Inferior (a nível de L3). Rim - Faces, Bordas, Extremidades e Hilo Renal. Email: leonardosflor@gmail.com Blog: http://leonardoflor.blogspot.com/ 101
  • 102.
    Tomografando a Técnicade Tomografar_______________________________________________________ Anatomia Interna dos Rins Em um corte frontal através do rim, são reveladas duas regiões distintas: uma área avermelhada de textura lisa, chamada córtex renal e uma área marron-avermelhada profunda, denominada medula renal. A medula consiste em 8-18 estruturas cuneiformes, as pirâmides renais. A base (extremidade mais larga) de cada pirâmide olha o córtex, e seu ápice (extremidade mais estreita), chamada papila renal, aponta para o hilo do rim. As partes do córtex renal que se estendem entre as pirâmides renais são chamadas colunas renais. Juntos, o córtex e as pirâmides renais da medula renal constituem a parte funcional, ou parênquima do rim. No parênquima estão as unidades funcionais dos rins – cerca de 1 milhão de estruturas microscópicas chamadas NÉFRONS. A urina, formada pelos néfrons, drena para os grandes ductos papilares, que se estendem ao longo das papilas renais das pirâmides. Email: leonardosflor@gmail.com Blog: http://leonardoflor.blogspot.com/ 102
  • 103.
    Tomografando a Técnicade Tomografar_______________________________________________________ Os ductos drenam para estruturas chamadas cálices renais menor e maior. Cada rim tem 8- 18 cálices menores e 2-3 cálices maiores. O cálice renal menor recebe urina dos ductos papilares de uma papila renal e a transporta até um cálice renal maior. Do cálice renal maior, a urina drena para a grande cavidade chamada pelve renal e depois para fora, pelo ureter, até a bexiga urinária. O hilo renal se expande em uma cavidade, no rim, chamada seio renal. Rim - Esquema da Anatomia Interna Email: leonardosflor@gmail.com Blog: http://leonardoflor.blogspot.com/ 103
  • 104.
    Tomografando a Técnicade Tomografar_______________________________________________________ Néfrons O néfron é a unidade morfofuncional ou a unidade produtora de urina do rim. Cada rim contém cerca de 1 milhão de néfrons. A forma do néfron é peculiar, inconfundível, e admiravelmente adequada para sua função de produzir urina. O néfron é formado por dois componentes principais: 1. Corpúsculo Renal: Cápsula Glomerular (de Bowman); Glomérulo – rede de capilares sangüíneos enovelados dentro da cápsula glomerular. 2. Túbulo Renal: Túbulo contorcido proximal; Alça do Néfron (de Henle); Túbulo contorcido distal; Túbulo coletor. Néfron Email: leonardosflor@gmail.com Blog: http://leonardoflor.blogspot.com/ 104
  • 105.
    Tomografando a Técnicade Tomografar_______________________________________________________ Funções dos Rins: Os rins realizam o trabalho principal do sistema urinário, com as outras partes do sistema atuando, principalmente, como vias de passagem e áreas de armazenamento. Com a filtração do sangue e a formação da urina, os rins contribuem para a homeostasia dos líquidos do corpo de várias maneiras. As funções dos rins incluem: Regulação da composição iônica do sangue;Manutenção da osmolaridade do sangue;Regulação do volume sangüíneo;Regulação da pressão arterial;Regulação do pH do sangue; Liberação de hormônios; Regulação do nível de glicose no sangue; Excreção de resíduos e substâncias estranhas.Glândulas Supra-renais Email: leonardosflor@gmail.com Blog: http://leonardoflor.blogspot.com/ 105
  • 106.
    Tomografando a Técnicade Tomografar_______________________________________________________ As glândulas supra-renais (adrenais) estão localizadas entre as faces supero-mediais dos rins e o diafragma. Cada glândula supra-renal, envolvida por uma cápsula fibrosa e um coxim de gordura, possui duas partes: o córtex e a medula supra-renal, ambas produzindo diferentes hormônios. O córtex secreta hormônios essenciais à vida, enquanto que os hormônios medulares não são essenciais para a vida. A medula da supra-renal pode ser removida, sem causar efeitos que comprometem a vida. A medula supra-renal secreta dois hormônios: epinefrina (adrenalina) e norepinefrina. Já o córtex supra-renal secreta os esteróides. URETER São dois tubos que transportam a urina dos rins para a bexiga. Órgãos pouco calibrosos, os ureteres têm menos de 6mm de diâmetro e 25 a 30cm de comprimento. Pelve renal é a extremidade superior do ureter, localizada no interior do rim. Email: leonardosflor@gmail.com Blog: http://leonardoflor.blogspot.com/ 106
  • 107.
    Tomografando a Técnicade Tomografar_______________________________________________________ Descendo obliquamente para baixo e medialmente, o ureter percorre por diante da parede posterior do abdome, penetrando em seguida na cavidade pélvina, abrindo-se no óstio do ureter situado no assoalho da bexiga urinária. Em virtude desse seu trajeto, distinguem-se duas partes do ureter: abdominal e pélvica. Os ureteres são capazes de realizar contrações rítmicas denominadas peristaltismo. A urina se move ao longo dos ureteres em resposta à gravidade e ao peristaltismo. BEXIGA A bexiga urinária funciona como um reservatório temporário para o armazenamento da urina. Quando vazia, a bexiga está localizada inferiormente ao peritônio e posteriormente à sínfise púbica: quando cheia, ela se eleva para a cavidade abdominal. É um órgão muscular oco, elástico que, nos homens situa-se diretamente anterior ao reto e, nas mulheres está à frente da vagina e abaixo do útero. Quando a bexiga está cheia, sua superfície interna fica lisa. Uma área triangular na superfície posterior da bexiga não exibe rugas. Esta área é chamada trígono da bexiga e é sempre lisa. Este trígono é limitado por três vértices: os pontos de entrada dos dois ureteres e o ponto de saída da uretra. O trígono é importante clinicamente, pois as infecções tendem a persistir nessa área. A saída da bexiga urinária contém o músculo esfíncter chamada esfíncter interno, que se contrai involuntariamente, prevenindo o esvaziamento. Inferiormente ao músculo esfíncter, envolvendo a parte superior da uretra, está o esfíncter externo, que controlado voluntariamente, permitindo a resistência à necessidade de urinar. A capacidade média da bexiga urinária é de 700 – 800ml; é menor nas mulheres porque o útero ocupa o espaço imediatamente acima da bexiga. Email: leonardosflor@gmail.com Blog: http://leonardoflor.blogspot.com/ 107
  • 108.
    Tomografando a Técnicade Tomografar_______________________________________________________ Bexiga Urinária Masculina Bexiga Urinária Feminina Email: leonardosflor@gmail.com Blog: http://leonardoflor.blogspot.com/ 108
  • 109.
    Tomografando a Técnicade Tomografar_______________________________________________________ URETRA A uretra é um tubo que conduz a urina da bexiga para o meio externo, sendo revestida por mucosa que contém grande quantidade de glândulas secretoras de muco. A uretra se abre para o exterior através do óstio externo da uretra.A uretra é diferente entre os dois sexos. Uretra Masculina. A uretra masculina estende-se do orifício uretral interno na bexiga urinária até o orifício uretral externa na extremidade do pênis. Apresenta dupla curvatura no estado comum de relaxamento do pênis. É dividida em três porções: a prostática, a membranácea e a esponjosa, cujas as estruturas e relações são essencialmente diferentes. Na uretra masculina existe uma abertura diminuta em forma de fenda, um ducto ejaculatório. Email: leonardosflor@gmail.com Blog: http://leonardoflor.blogspot.com/ 109
  • 110.
    Tomografando a Técnicade Tomografar_______________________________________________________ Uretra Feminina. É um canal membranoso estreito estendendo-se da bexiga ao orifício externa no vestíbulo. Está colocada dorsalmente à sínfise púbica, incluída na parede anterior da vagina, e de direção oblíqua para baixo e para frente; é levemente curva, com a concavidade dirigida para frente. Seu diâmetro, quando não dilatada, é de cerca de 6mm. Seu orifício externo fica imediatamente na frente da abertura vaginal e cerca de 2,5cm dorsalmente à glande do clitóris. Muitas e pequenas glândulas uretrais abrem-se na uretra. As maiores destas são as glândulas parauretrais, cujos ductos desembocam exatamente dentro do óstio uretral. As uretras masculinas e a femininas se diferem em seu trajeto. Na mulher, a uretra é curta (3,8cm) e faz parte exclusivamente do sistema urinário. Seu óstio externo localiza-se anteriormente à vagina e entre os lábios menores. Já no homem, a uretra faz parte dos sistemas urinário e reprodutor. Medindo cerca de 20cm, é muito mais longa que a uretra feminina. Quando a uretra masculina deixa a bexiga, ela passa através da próstata e se Email: leonardosflor@gmail.com Blog: http://leonardoflor.blogspot.com/ 110
  • 111.
    Tomografando a Técnicade Tomografar_______________________________________________________ estende ao longo do comprimento do pênis. Assim, a uretra masculina atua com duas finalidades: conduz a urina e o esperma. Na maioria das vezes a dor abdominal não indica nenhuma doença séria. A maior parte dos casos são cólicas intestinais associados à alimentação gordurosa ou a intoxicações alimentares. As dores de barriga leves, de curta duração ou que desaparecem após algumas horas são normalmente causadas por dilatações do intestino por gases. Quadros de ansiedade também podem causar dor abdominal de curta duração, também por aumentar o conteúdo de gases nos intestinos. A dor abdominal preocupante é aquela que dura várias horas, muitas vezes dias, que é de grande intensidade, incapacitante ou que está associada a vômitos ou febre. Principais causas de dor abdominal: Gastrite e úlcera péptica: A gastrite, a úlcera de estômago ou a úlcera de duodeno normalmente apresentam sintomas semelhantes: uma dor em queimação na região superior do abdômen, principalmente no epigástrio. Esse tipo de dor na barriga é chamado de dispepsia e costuma surgir quando o Email: leonardosflor@gmail.com Blog: http://leonardoflor.blogspot.com/ 111
  • 112.
    Tomografando a Técnicade Tomografar_______________________________________________________ estômago está vazio. A intensidade da dor é muito variável e não serve para distinguir a úlcera de uma simples gastrite. A presença de sangue nas fezes ou vômitos com sangue associados a um quadro de dispepsia costumam indicar uma úlcera sangrante. Colecistite e pedras na vesícula: A simples presença de pedras na vesícula, chamada de colelitíase, não costuma causar sintomas. A dor abdominal ocorre quando há uma obstrução do ducto de drenagem da vesícula biliar por uma dessas pedras. Se a obstrução for prolongada, surge a colecistite, inflamação da vesícula. A dor de obstrução na vesícula é chamada de cólica biliar e é ser localizada no hipocôndrio direito e epigástrio; é tipicamente uma cólica que surge logo após a ingestão de alimentos gordurosos. A dor da cólica biliar pode irradiar-se para as costas e para o ombro direito. Pancreatite aguda: A inflamação do pâncreas, chamada de pancreatite aguda, normalmente ocorre em pessoas que abusam de bebidas alcoólicas. A pancreatite aguda costuma surgir de 1 a 3 dias após uma quadro de grande ingestão de álcool, apresentando-se como uma intensa dor em toda região superior do abdômen, incluindo ambos hipocôndrios e epigástrio. A dor da pancreatite aguda dura vários dias, costuma estar acompanhada de vômitos e piora após a alimentação. Hepatite aguda: Hepatite é o termo usado para descrever a inflamação no fígado.As hepatites mais comuns são aquelas causadas pelos vírus A, B ou C, porém, podem surgir por várias outras causas, entre elas por intoxicação medicamentosa ou por álcool. A hepatite aguda costuma causar uma dor mal definida no hipocôndrio direito e está geralmente associada a presença de icterícia. Email: leonardosflor@gmail.com Blog: http://leonardoflor.blogspot.com/ 112
  • 113.
    Tomografando a Técnicade Tomografar_______________________________________________________ Apendicite: A dor da apendicite costuma ser em crescendo e inicia-se difusamente, principalmente ao redor do umbigo, indo se localizar no quadrante inferior direito do abdômen somente quando se torna mais intensa. É comum haver febre e vômitos associados. Diverticulite: Um divertículo é uma pequena bolsa que se forma na parede do intestino grosso (cólon), semelhante a um dedo de luva, normalmente em pessoas acima de 60 anos. A diverticulite é a inflamação de um divertículo. A maioria dos divertículos que inflamam estão localizados na porção descendente do cólon, localizado à esquerda no abdômen. Em 70% dos casos a diverticulite se manisfesta como uma dor no quadrante inferior esquerdo do abdômen e em pessoas acima de 60 anos. A dor dura vários dias e costuma vir acompanhada de febre. Quando ocorre inflamação de um divertículo na parte ascendente do intestino grosso (à direita), os sintomas são muito parecidos com os da apendicite. Infecção intestinal e diarréia: As infecções intestinais, sejam por bactérias ou por vírus, são causas comuns de dor abdominal. A manifestação mais comum é cólica abdominal associado à diarréia. Além das causas descritas acima, várias outras também podem causar dor abdominal ou pélvica, entre elas: - Menstruação - Tumores dos órgãos abdominais ou pélvicos - Obstrução intestinal - Infarto e isquemia intestinal - Parasitoses - Aneurisma de aorta abdominal Email: leonardosflor@gmail.com Blog: http://leonardoflor.blogspot.com/ 113
  • 114.
    Tomografando a Técnicade Tomografar_______________________________________________________ - Infecção urinária - Hernias - Cetoacidose diabética - Doença de Crohn e retocolite ulcerativa - Doenças do ovário - Endometriose - Gravidez ectópica - Mioma uterino - Abscesso hepático - Anemia falciforme Pedras nos rins: O cálculo renal se manifesta como uma intensa dor na região lombar, unilateralmente. Frequentemente se irradia para o abdômen, principalmente nos flancos. Se a pedra estiver obstruindo o ureter já próximo a bexiga, a dor pode ser no hipogástrio ou na fossa ilíaca, irradiando-se para a região escrotal. Próstata As funções da próstata, localização, doenças, alterações, inflamação, importância dos exames de próstata. Localização da próstata: órgão do sistema reprodutor masculino. A próstata é uma glândula que se localiza próxima à uretra masculina. Ela está presente somente nos homens e possui a função de produzir um líquido que se mistura aos espermatozóides produzidos nos testículos e também a um outro líquido que vem das vesículas seminais, para então, formar o sêmen. Email: leonardosflor@gmail.com Blog: http://leonardoflor.blogspot.com/ 114
  • 115.
    Tomografando a Técnicade Tomografar_______________________________________________________ Inflamação Não é incomum a ocorrência de inflamação na próstata, e esta, pode ser aguda ou crônica. Neste quadro, os principais sintomas são mal estar e descarga uretral. Alterações: A alteração mais freqüente que ocorre na próstata é o aumento crônico de seu tamanho (hipertrofia). Este quadro ocorre mais comumente nos últimos anos de vida e vem acompanhada de dificuldade para urinar e retenção de urina. Nos quadros mais graves é necessário extraí-la através de procedimento cirúrgico. Câncer de Próstata Um outro problema que pode ocorrer na próstata, principalmente nos homens de idade mais avançada, é câncer de próstata. Esta é uma doença bastante grave e que pode levar a óbito. A prevenção ainda é a melhor medida para esta doença, para tanto, recomenda-se à realização de exames periódicos a partir dos 40 anos de idade. Quando identificada em fase inicial, as chances de cura são altas. Email: leonardosflor@gmail.com Blog: http://leonardoflor.blogspot.com/ 115
  • 116.
    Tomografando a Técnicade Tomografar_______________________________________________________ OSSOS DO MEMBRO INFERIOR O membro inferior tem função de sustentação do peso corporal, locomoção, tem a capacidade de mover-se de um lugar para outro e manter o equilíbrio. Os membros inferiores são conectados ao tronco pelo cíngulo do membro inferior (ossos do quadril e sacro). A base do esqueleto do membro inferior é formado pelos dois ossos do quadril, que são unidos pela sínfise púbica e pelo sacro. O cíngulo do membro inferior e o sacro juntos formam a PELVE ÓSSEA. Os ossos dos membros inferiores podem ser divididos em quatro segmentos: Cintura Pélvica - Ilíaco (Osso do Quadril) Coxa - Fêmur e Patela Perna - Tíbia e Fíbula Pé - Ossos do Pé Articulação do Quadril Email: leonardosflor@gmail.com Blog: http://leonardoflor.blogspot.com/ 116
  • 117.
    Tomografando a Técnicade Tomografar_______________________________________________________ É uma articulação do tipo esférica formada pela cabeça do fêmur e a cavidade do acetábulo. Os ligamentos que formam essa articulação são: Cápsula Articular - A cápsula articular é forte e espessa e envolve toda a articulação coxo- femoral. É mais espessa nas regiões proximal e anterior da articulação, onde se requer maior resistência. Posteriormente e distalmente é delgada e frouxa. Ligamento Iliofemoral - É um feixe bastante resistente, situado anteriormente à articulação. Está intimamente unido à cápsula e serve para reforçá-la. Ligamento Pubofemoral - Insere-se na crista obturatória e no ramo superior da pube; distalmente, funde-se com a cápsula e com a face profunda do feixe vertical do ligamento iliofemoral. Ligamento Isquiofemoral - Consiste de um feixe triangular de fibras resistentes, que nasce no ísquio distal e posteriormente ao acetábulo e funde-se com as fibras circulares da cápsula. Ligamento da Cabeça do Fêmur - É um feixe triangular, um tanto achatado, inserindo-se no ápice da fóvea da cabeça do fêmur e na incisura da cavidade do acetábulo. Tem pequena função como ligamento e algumas vezes está ausente. Orla Acetabular - É uma orla fibrocartilagínea inserida na margem do acetábulo, tornando assim mais profunda essa cavidade. Ao mesmo tempo protege e nivela as desigualdades de sua superfície, formando assim um círculo completo que circunda a cabeça do fêmur e auxilia na contenção desta em seu lugar. Ligamento Transverso do Acetábulo - É uma parte da orla acetabular, diferindo dessa por não ter fibras cartilagíneas entre suas fibras. Consiste em fortes fibras achatadas que cruzam a incisura acetabular. Email: leonardosflor@gmail.com Blog: http://leonardoflor.blogspot.com/ 117
  • 118.
    Tomografando a Técnicade Tomografar_______________________________________________________ Vista Anterior das Estruturas Articulares do Quadril Email: leonardosflor@gmail.com Blog: http://leonardoflor.blogspot.com/ 118
  • 119.
    Tomografando a Técnicade Tomografar_______________________________________________________ Coluna Vertebral Coluna vertebral: Sustenção ao corpo. Também conhecida como espinha dorsal, a coluna vertebral é formada por ossos chamados vértebras. É uma estrutura bastante flexível que dá movimento e sustentação ao corpo. A coluna vertebral está ligada à medula espinhal finalizando-a e a protegendo. Ela é a responsável pela sustentação da cabeça, fixação das costelas e os músculos do dorso. Suas curvaturas são responsáveis pela força, sustentação e equilíbrio corporal. A coluna vertebral de uma pessoa adulta é composta por 26 ossos e 33 vértebras, sendo 7 vértebras cervicais, 12 torácicas, 5 vértebras lombares, 1 sacro (formado por 5 vértebras fusionadas) e 1 cóccix (formado por 4 vértebras fusionadas). Dentre todas as vértebras, somente duas (o sacro e o cóccix) não se movimentam, as vértebras restantes (cervicais, torácicas e lombares) são móveis. Entre as vértebras há discos que formam articulações, que propiciam a movimentação da coluna e a absorção de impactos. Principais problemas que acometem a coluna vertebral: Cifose: é um desvio exagerado da curvatura torácica que deixa a pessoa com as costas arqueadas, tórax retraído e com projeção dos ombros para frente; Escoliose: Desvio lateral da coluna vertebral, geralmente localizado na região torácica; Lordose: desvio que geralmente ocorre na região da bacia e que resulta numa curvatura exagerada; Hérnia de disco: deslocamento do disco que se localiza entre as vértebras, ocorre com maior freqüência na região lombar, pois esta, é a região da coluna que suporta maior peso, além de ser a que apresenta maior curvatura; Artrose: popularmente conhecida como bico de papagaio, é originada pelo atrito entre as vértebras. Email: leonardosflor@gmail.com Blog: http://leonardoflor.blogspot.com/ 119
  • 120.
    Tomografando a Técnicade Tomografar_______________________________________________________ MEDULA ESPINHAL Medula significa miolo e indica o que está dentro. Assim temos a medula espinhal dentro dos ossos, mais precisamente dentro do canal vertebral. A medula espinhal é uma massa cilindróide de tecido nervoso situada dentro do canal vertebral sem entretanto ocupa-lo completamente. No homem adulto ela mede aproximadamente 45 cm sendo um pouco menor na mulher. Cranialmente a medula limita-se com o bulbo, aproximadamente ao nível do forame magno do osso occipital. O limite caudal da medula tem importância clinica e no adulto situa-se geralmente em L2. A medula termina afinando-se para formar um cone, o cone medular, que continua com um delgado filamento meníngeo, o filamento terminal. Email: leonardosflor@gmail.com Blog: http://leonardoflor.blogspot.com/ 120
  • 121.
    Tomografando a Técnicade Tomografar_______________________________________________________ Forma e Estrutura da Medula A medula apresenta forma aproximada de um cilindro, achatada no sentido antero- posterior. Seu calibre não é uniforme, pois ela apresenta duas dilatações denominadas de intumescência cervical e intumescência lombar. Estas intumescências medulares correspondem às áreas em que fazem conexão com as grossas raízes nervosas que formam o plexo braquial e lombossacral, destinados à inervação dos membros superiores e inferiores respectivamente. A formação destas intumescências se deve pela maior quantidade de neurônios e, portanto, de fibras nervosas que entram ou saem destas áreas. A intumescência cervical estende-se dos segmentos C4 até T1 da medula espinhal e a intumescência lombar (lombossacral) estende-se dos segmentos de T11 até L1 da medula espinhal. A superfície da medula apresenta os seguintes sulcos longitudinais, que percorrem em toda a sua extensão: o sulco mediano posterior, fissura mediana anterior, sulco lateral anterior e o sulco lateral posterior. Na medula cervical existe ainda o sulco intermédio posterior que se situa entre o sulco mediano posterior e o sulco lateral posterior e que se continua em um septo intermédio posterior no interior do funículo posterior. Email: leonardosflor@gmail.com Blog: http://leonardoflor.blogspot.com/ 121
  • 122.
    Tomografando a Técnicade Tomografar_______________________________________________________ Nos sulcos lateral anterior e lateral posterior fazem conexão, respectivamente as raízes ventrais e dorsais dos nervos espinhais. Secções da Medula Vertebral em Todas as Suas Regiões. Na medula, a substância cinzenta localiza-se por dentro da branca e apresenta a forma de uma borboleta, ou de um "H". Nela distinguimos de cada lado, três colunas que aparecem nos cortes como cornos e que são as colunas anterior, posterior e lateral. A coluna lateral só aparece na medula torácica e parte da medula lombar. No centro da substância cinzenta localiza-se o canal central da medula. A substância branca é formada por fibras, a maioria delas mielínicas, que sobem e descem na medula e que podem ser agrupadas de cada lado em três funículos ou cordões: Funículo anterior: situado entre a fissura mediana anterior e o sulco lateral anterior. Funículo lateral: situado entre os sulcos lateral anterior e o lateral posterior. Funículo posterior: situado entre o sulco lateral posterior e o sulco mediano posterior, este ultimo ligado a substancia cinzenta pelo septo mediano posterior. Email: leonardosflor@gmail.com Blog: http://leonardoflor.blogspot.com/ 122
  • 123.
    Tomografando a Técnicade Tomografar_______________________________________________________ Na parte cervical da medula o funículo posterior é dividido pelo sulco intermédio posterior em fascículo grácil e fascículo cuneiforme. Conexões com os nervos espinhais: Nos sulcos lateral anterior e lateral posterior fazem conexão com pequenos filamentos nervosos denominados de filamentos radiculares, que se unem para formar, respectivamente, as raízes ventrais e dorsais dos nervos espinhais. As duas raízes se unem para formação dos nervos espinhais, ocorrendo à união em um ponto situado distalmente ao gânglio espinhal que existe na raiz dorsal. RAIZES NERVOSAS Existem 31 pares de nervos espinhais aos quais correspondem 31 segmentos medulares assim distribuídos: 8 cervicais, 12 torácicos, 5 lombares, 5 sacrais e 1 coccígeo. Encontramos 8 pares de nervos cervicais e apenas 7 vértebras cervicais porque o primeiro par de nervos espinhais sai entre o occipital e C1. Email: leonardosflor@gmail.com Blog: http://leonardoflor.blogspot.com/ 123
  • 124.
    Tomografando a Técnicade Tomografar_______________________________________________________ Relação das Raízes Nervosas com as Vértebras Topografia da medula: A um nível abaixo da segunda vértebra lombar encontramos apenas as menínges e as raízes nervosas dos últimos nervos espinhais, que dispostas em torno do cone medular e filamento terminal, constituem, em conjunto, a chamada cauda eqüina. Como as raízes nervosas mantém suas relações com os respectivos forames intervertebrais, há um alongamento das Email: leonardosflor@gmail.com Blog: http://leonardoflor.blogspot.com/ 124
  • 125.
    Tomografando a Técnicade Tomografar_______________________________________________________ raízes e uma diminuição do ângulo que elas fazem com a medula. Estes fenômenos são mais pronunciados na parte caudal da medula, levando a formação da cauda eqüina. Cone Medular Filamento Terminal Ainda como conseqüência da diferença de ritmos de crescimento entre a coluna e a medula, temos o afastamento dos segmentos medulares das vértebras correspondentes. Assim, no adulto, as vértebras T11 e T12 correspondem aos segmentos lombares. Para sabermos qual o nível da medula cada vértebra corresponde, temos a seguinte regra: entre os níveis C2 e T10, adicionamos o número dois ao processo espinhoso da vértebra e se tem o segmento medular subjacente. Aos processos espinhosos de T11 e T12 correspondem os cinco segmentos lombares, enquanto ao processo espinhoso de L1 corresponde aos cinco segmentos sacrais. Envoltório da medula: A medula é envolvida por membranas fibrosas denominadas menínges, que são: dura- máter, pia-máter e aracnóide. A dura-máter e a mais espessa e envolve toda a medula, como se fosse uma luva, o saco dural. Cranialmente ela se continua na dura-máter craniana, caudalmente ela se termina em um fundo-de-saco ao nível da vértebra S2. Prolongamentos laterais da dura-máter embainham as raízes dos nervos espinhais, constituído um tecido conjuntivo (epineuro), que envolve os nervos. Email: leonardosflor@gmail.com Blog: http://leonardoflor.blogspot.com/ 125
  • 126.
    Tomografando a Técnicade Tomografar_______________________________________________________ Envoltórios da Medula Espinhal A aracnóide espinhal se dispõem entre a dura-máter e a pia-máter. Compreende um folheto justaposto à dura-máter e um emaranhado de trabéculas aracnóideas, que unem este folheto à pia-máter. A pia-máter é a membrana mais delicada e mais interna. Ela adere intimamente o tecido superficial da medula e penetra na fissura mediana anterior. Quando a medula termina no cone medular, a pia-máter continua caudalmente, formando um Filamento esbranquiçado denominado filamento terminal. Este filamento perfura o fundo- do-saco dural e continua até o hiato sacral. Ao atravessar o saco dural, o filamento terminal recebe vários prolongamentos da dura-máter e o conjunto passa a ser chamado de filamento da dura-máter. Este, ao se inserir no periósteo da superfície dorsal do cóccix, constitui o ligamento coccígeo. A pia-máter forma, de cada lado da medula, uma prega longitudinal denominada ligamento denticulado, que se dispõem em um plano frontal ao longo de toda a extensão da medula. A margem medial de cada ligamento continua com a pia-máter da face lateral da medula ao longo de uma linha continua que se dispõe entre as raízes dorsais e Email: leonardosflor@gmail.com Blog: http://leonardoflor.blogspot.com/ 126
  • 127.
    Tomografando a Técnicade Tomografar_______________________________________________________ ventrais. A margem lateral apresenta cerca de 21 processos triangulares que se inserem firmemente na aracnóide e na dura-máter em um ponto que se alteram com a emergência dos nervos espinhais. Os dois ligamentos denticulados são elementos de fixação da medula e importantes pontos de referencia em cirurgias deste órgão. Entre as menínges existem espaços que são importantes para a parte clínica médica devido às patologias que podem estar envolvidas com essas estruturas, tais como: hematoma extradural, meningites etc. O espaço epidural, ou extradural, situa-se entre a dura-máter e o periósteo do canal vertebral. Contém tecido adiposo e um grande número de veias que constituem o plexo venoso vertebral interno. O espaço subdural, situado entre a dura-máter e a aracnóide, é uma fenda estreita contendo uma pequena quantidade de líquido. O espaço subaracnóideo contem uma quantidade razoavelmente grande de líquido cérebro-espinhal ou líquor. Alguns autores ainda consideram um outro espaço denominado subpial, localizado entre a pia-mater e o tecido nervoso. Email: leonardosflor@gmail.com Blog: http://leonardoflor.blogspot.com/ 127
  • 128.
    Tomografando a Técnicade Tomografar_______________________________________________________ Protocolo View Angle: Dual Kv: 120 mA: 30 Length: 200 Window: C 20 / W 1500 Helical Thickness (slice): 1mm Increment: 0.5mm KV: 120 mAs/ Slice: 350 Resolução: Standard Colimação: 64x0.625 Pitch: 0.393 Rotação: 1.0 sec Filtro: Sharp (c) Window: C: 60 / W: 300 Matrix: 512 Email: leonardosflor@gmail.com Blog: http://leonardoflor.blogspot.com/ 128
  • 129.
    Tomografando a Técnicade Tomografar_______________________________________________________ Email: leonardosflor@gmail.com Blog: http://leonardoflor.blogspot.com/ 129
  • 130.
    Tomografando a Técnicade Tomografar_______________________________________________________ Email: leonardosflor@gmail.com Blog: http://leonardoflor.blogspot.com/ 130
  • 131.
    Tomografando a Técnicade Tomografar_______________________________________________________ COLUNA LOMBAR Email: leonardosflor@gmail.com Blog: http://leonardoflor.blogspot.com/ 131
  • 132.
    Tomografando a Técnicade Tomografar_______________________________________________________ Email: leonardosflor@gmail.com Blog: http://leonardoflor.blogspot.com/ 132
  • 133.
    Tomografando a Técnicade Tomografar_______________________________________________________ Email: leonardosflor@gmail.com Blog: http://leonardoflor.blogspot.com/ 133
  • 134.
    Tomografando a Técnicade Tomografar_______________________________________________________ Recon Sagital e Coronal. Email: leonardosflor@gmail.com Blog: http://leonardoflor.blogspot.com/ 134
  • 135.
    Tomografando a Técnicade Tomografar_______________________________________________________ Email: leonardosflor@gmail.com Blog: http://leonardoflor.blogspot.com/ 135
  • 136.
    Tomografando a Técnicade Tomografar_______________________________________________________ TOMOGRAFIA DO OMBRO O ombro é formado por três articulações: Esternoclavicular Acromioclavicular Glenoumeral Alguns autores ainda consideram outra articulação no complexo do ombro: a articulação costo-escapular, entre as costelas e a escápula, muito importante na biomecânica fisiológica do ombro. Articulação Esternoclavicular: Essa articulação é formada pela união da extremidade esternal na clavícula e o manúbrio do esterno. Possui as seguintes estruturas articulares: Cápsula Articular - Circunda a articulação e varia em espessura e resistência. Ligamento Esternoclavicular Anterior - é um amplo feixe de fibras cobrindo a face anterior da articulação. Ligamento Esternoclavicular Posterior - é um análogo feixe de fibras que recobre a face posterior da articulação. Ligamento Interclavicular - é um feixe achatado que une as faces superiores das 136 extremidades esternais das clavículas. Email: leonardosflor@gmail.com Blog: http://leonardoflor.blogspot.com/
  • 137.
    Tomografando a Técnicade Tomografar_______________________________________________________ Ligamento Costoclavicular - é pequeno, achatado e resistente. Está fixado na parte superior e medial da cartilagem da primeira costela e face inferior da clavícula. Disco Articular - é achatado e está interposto entre as superfícies articulares do esterno e clavícula. Articulação Acromioclavicular: É uma articulação plana entre a extremidade acromial da clavícula e a borda medial do acrômio. É formada pelas seguintes estruturas: Cápsula Articular - Envolve toda a articulação acromio-clavicular. Ligamento Acrômioclavicular - é constituido por fibras paralelas que estendem-se da extremidade acromial da clavícula até o acrômio. Disco Articular - geralmente está ausente nesta articulação. Ligamento Coracoclavicular - une a clavícula ao processo coracóide da escápula. É formado por dois ligamentos: ligamento trapezóide e ligamento conóide. Ainda podemos identificar mais dois ligamentos importantes no complexo do ombro: o ligamento coracoacromial e o ligamento transverso superior. Ligamento Coracoacromial - é um forte feixe triangular estendido entre o processo coracóide e o acromio. É um ligamento importante para estabilização da cabeça do úmero na cavidade glenóide, pois evita a elevação da mesma nos movimentos de abdução acima dos 90 graus. Ligamento Transverso Superior - é um fino fascículo achatado inserido no processo coracóide e na incisura da escápula. Articulação Gleno-umeral: Esta é uma articulação esferóide multiaxial com três graus de liberdade. As faces articulares são a cabeça hemisférica do úmero (convexa) e a cavidade glenóide da escápula (côncava). A articulação gleno-umeral é formada pelas seguintes estruturas: Email: leonardosflor@gmail.com Blog: http://leonardoflor.blogspot.com/ 137
  • 138.
    Tomografando a Técnicade Tomografar_______________________________________________________ Cápsula Articular - Envolve toda a cavidade glenóide e a cabeça do úmero. Ligamento Córaco-umeral - é um amplo feixe que fortalece a parte superior da cápsula. Ligamentos Glenoumerais - são robustos espessamentos da cápsula articular sobre a parte ventral da articulação. É constituído por três ligamentos: Ligamento Glenoumeral Superior Ligamento Glenoumeral Médio Ligamento Glenoumeral Inferior Ligamento Transverso do Úmero - é uma estreita lâmina de fibras curtas e transversais que unem o tubérculo maior e o menor, mantendo o tendão longo do bíceps braquial no sulco intertubercular. Lábio (Labrum) Glenoidal - é uma orla fibrocartilagínea inserida ao redor da cavidade glenóide. Tem importante função na estabilização glenoumeral e quando rompido proporciona uma instabilidade articular faciltando o deslocamento anterior ou posterior do úmero (luxação). Email: leonardosflor@gmail.com Blog: http://leonardoflor.blogspot.com/ 138
  • 139.
    Tomografando a Técnicade Tomografar_______________________________________________________ TOMOGRAFIA DO JOELHO Email: leonardosflor@gmail.com Blog: http://leonardoflor.blogspot.com/ 139
  • 140.
    Tomografando a Técnicade Tomografar_______________________________________________________ O joelho é uma articulação do corpo humano e é formada pela extremidade distal do fêmur, pela extremidade proximal da tíbia (e pela patela (rótula). O joelho ainda possui ligamentos que estabilizam a articulação, auxiliados pelos meniscos (interno ou medial e externo ou lateral), que estabilizam o joelho, e amortecem os impactos sobre as cartilagens. A chave para uma articulação de joelho saudável é a estabilidade da articulação. A configuração óssea, os meniscos, os ligamentos, a cápsula e os músculos que cercam a articulação do joelho produzem a sua estabilidade. Os ligamentos são os estabilizadores primários para a translação anterior e posterior, angulação vara e valga, e para a rotação interna e externa da articulação do joelho. O ligamento cruzado anterior (LCA) é a restrição predominante ao deslocamento tibial anterior, pois aceita 75% da força em extensão completa e um adicional de 10% (até 90.º) de flexão do joelho. Com esses dados fica evidente que o LCA é o mais exigido no dia a dia de uma pessoa saudável, que pratica esporte por lazer ou profissão. Menisco Os meniscos são elementos cartilaginosos presentes na articulação do joelho que servem para proteger as extremidades dos ossos de se esfregam entre si e para efetivamente aprofundar os soquetes tibiais dentro dos quais o fêmur se prende. Eles também possuem papel na absorção de choque mecânico. Existem dois meniscos em cada joelho, o menisco medial e o menisco lateral. Um deles ou ambos podem ser lesionados, quando o joelho é rotado ou dobrado com força acima do normal, e ou sofre grande impacto. Movimentos O joelho permite os seguintes movimentos: flexão, extensão, assim como uma leve rotação lateral e medial. O joelho também possui mecanismos especiais de travamento e destravamento, relacionados ao movimento dos côndilos femorais no platô tibial. Email: leonardosflor@gmail.com Blog: http://leonardoflor.blogspot.com/ 140
  • 141.
    Tomografando a Técnicade Tomografar_______________________________________________________ A flexão é permitida até 120º quando o quadril está estendido, 140º quando o quadril está flexionado e 160º quando o joelho é flexionado passivamente. A rotação medial é limitada a 10º e a lateral a 30º . A rotação medial e lateral só ocorre com o joelho flexionado. Lesão Email: leonardosflor@gmail.com Blog: http://leonardoflor.blogspot.com/ 141
  • 142.
    Tomografando a Técnicade Tomografar_______________________________________________________ Articulação do Joelho A articulação do joelho pode ser descrita como um gínglimo ou articulação em dobradiça (entre o fêmur e a tíbia) e plana (entre o fêmur e a patela). Os ossos da articulação do joelho são unidos pelas seguintes estruturas: Cápsula Articular - Consiste em uma membrana fibrosa, delgada mas resistente, reforçada em quase toda sua extensão por ligamentos intimamente aderidos a ela. Abaixo do tendão do quadríceps femoral a cápsula é representada apenas pela membrana sinovial. Ligamento Patelar - É a porção central do tendão do quadríceps femoral que se continua da patela até a tuberosidade da tíbia. É um forte feixe ligamentoso, achatado, com cerca de 8cm de comprimento. A face posterior do ligamento patelar está separada da membrana sinovial por um grande coxim gorduroso infra-patelar e da tíbia por uma bolsa sinovial. Ligamento Poplíteo Oblíquo - É um feixe fibroso, largo e achatado, formado por fascículos separados uns dos outros. Forma parte do soalho da fossa poplítea. Ligamento Poplíteo Arqueado - Forma um arco do côndilo lateral do fêmur à face posterior da cápsula articular. Está unido ao processo estilóide da cabeça da fíbula por seis feixes convergentes. Ligamento Colateral Tibial - é um feixe membranáceo, largo e achatado que se prolonga para parte posterior da articulação. Insere-se no côndilo medial do fêmur e no côndilo medial da tíbia. É intimamente aderente ao menisco medial. Impede o movimento de afastamento dos côndilos mediais do fêmur e tíbia (bocejo medial). Ligamento Colateral Fibular - é um cordão fibroso, arredondado e forte, inserido no côndilo lateral do fêmur e na cabeça da fíbula. Não se insere no menisco lateral. Impede o movimento de afastamento dos côndilos laterais do fêmur e tíbia (bocejo lateral). Ligamento Cruzado Anterior (LCA) - insere-se na eminência intercondilar da tíbia e vai se fixar na face medial do côndilo lateral do fêmur. O LCA apresenta um suprimento sangüíneo relativamente escasso. Impede o movimento de deslizamento anterior da tíbia ou Email: leonardosflor@gmail.com Blog: http://leonardoflor.blogspot.com/ 142
  • 143.
    Tomografando a Técnicade Tomografar_______________________________________________________ deslizamento posterior do fêmur (Movimento de gaveta anterior), além da hipertensão do joelho. Ligamento Cruzado Posterior (LCP) - é mais robusto, porém mais curto e menos oblíquo em sua direção quando comparado ao LCA. Insere-se na fossa intercondilar posterior da tíbia e na extremidade posterior do menisco lateral e dirige-se para frente e medialmente, para se fixar na parte anterior da face medial do côndilo medial do fêmur. O LCP é estirado durante a flexão da articulação joelho. Impede o movimento de deslizamento posterior da tíbia ou o deslocamento anterior do fêmur (Movimento de gaveta posterior). Além dos ligamentos, o joelho possue também outra estrutura importantíssima na sua estabilização, biomecânica e absorção de impactos: os meniscos. Os meniscos são duas lâminas em forma de crescente que servem para tornar mais profundas as superfícies das faces articulares da cabeça da tíbia que recebem os côndilos do fêmur. Cada menisco cobre aproximadamente os dois terços periféricos da face articular correspondente da tíbia. Menisco Medial - é de forma quase semi-circular, um pouco alongado e mais largo posteriormente. Sua extremidade anterior fixa-se na fossa intercondilar anterior da tíbia e a posterior na fossa intercondilar posterior da tíbia. Menisco Lateral - é quase circular e recobre uma extensão da face articular maior do que a recoberta pelo menisco medial. Sua extremidade anterior fixa-se na eminência intercondilar anterior da tíbia e a posterior na eminência intercondilar da tíbia. Ligamento Transverso - une a margem anterior, convexa, do menisco lateral, à extremidade anterior do menisco medial. As vezes está ausente. Ligamentos Coronários - São porções da cápsula que unem a periferia dos meniscos com a margem da cabeça da tíbia. Distalmente à articulação do joelho e ainda nas porções proximais da fíbula e da tíbia, encontramos outra articulação importante: a articulação tibio-fibular proximal. É uma articulação deslizante entre o côndilo lateral da tíbia e a cabeça da fíbula. É formada por uma cápsula articular e os ligamentos anterior e posterior. Email: leonardosflor@gmail.com Blog: http://leonardoflor.blogspot.com/ 143
  • 144.
    Tomografando a Técnicade Tomografar_______________________________________________________ Cápsula Articular - Circunda a articulação e adere ao redor das margens das facetas articulares da tíbia e fíbula. Ligamento Anterior - Consiste de 2 ou 3 feixes chatos e largos que se dirigem obliquamente da cabeça da fíbula para a parte anterior do côndilo lateral da tíbia. Ligamento Posterior - É um feixe único, largo e espesso, que se dirige obliquamente para cima, da parte posterior da cabeça da fíbula para a parte posterior do côndilo lateral da tíbia. Vista Anterior das Estruturas Articulares do Joelho. Email: leonardosflor@gmail.com Blog: http://leonardoflor.blogspot.com/ 144
  • 145.
    Tomografando a Técnicade Tomografar_______________________________________________________ Email: leonardosflor@gmail.com Blog: http://leonardoflor.blogspot.com/ 145
  • 146.
    Tomografando a Técnicade Tomografar_______________________________________________________ TOMOGRAFIA DE EXTREMIDADES ( pés, joelho, tornozelo, punho, ombro, cotovelo e etc..). Em alguns casos deve-se fazer coronal e axial dependendo da estrutura, indicação clínica e rotina do serviço. Email: leonardosflor@gmail.com Blog: http://leonardoflor.blogspot.com/ 146
  • 147.
    Tomografando a Técnicade Tomografar_______________________________________________________ Email: leonardosflor@gmail.com Blog: http://leonardoflor.blogspot.com/ 147
  • 148.
    Tomografando a Técnicade Tomografar_______________________________________________________ Email: leonardosflor@gmail.com Blog: http://leonardoflor.blogspot.com/ 148
  • 149.
    Tomografando a Técnicade Tomografar_______________________________________________________ FILMES PARA TOMOGRAFIA COMPUTADORIZADA: Os filmes para TC são muito sensíveis e deve-se tomar cuidado ao manuseá-los, guardando- os em local seco, em posição vertical, com pouca claridade e fora do alcance de qualquer fonte de calor, de preferência dentro de uma câmara escura. Deve-se atentar ao correto posicionamento destes filmes nos cassetes. Em geral são colocados com o lado brilhante para baixo, sendo essa posição orientada pela disposição de picotes na borda de um dos lados do filme que podem ser sentidos ao tato.Antes do manuseio deve-se lavar e secar as mãos, para evitar a presença de digitais nos filmes(artefato). É aconselhável ¨folhear¨ levemente as películas para se desfazer algum eventual ponto de aderência,evitando que os filmes se enrosquem durante o processo de revelação. FOTOGRAFIA OU FOTO-DOCUMENTAÇÃO: CÂMARA LASER MULTIFORMATO (DIGITAL OU ANALÓGICA) Acoplada ao equipamento de TC, essa câmara permite a impressão em filmes radiográficos das imagens adquiridas pelo tomógrafo. É semelhante a uma máquina fotográfica gravando no filme um registro definitivo das imagens selecionadas no monitor. O filme já exposto é transferido para o cassete, que é levado a uma processadora para revelação. Há vários modelos de câmara laser, inclusive com sistema de revelação a seco(dry view). Email: leonardosflor@gmail.com Blog: http://leonardoflor.blogspot.com/ 149
  • 150.
    Tomografando a Técnicade Tomografar_______________________________________________________ RADIOPROTEÇÃO A radiação é algo que sempre fez parte de nossas vidas, como por exemplo, a radiação da luz solar. De acordo com a dose de radiação recebida o seu efeito é diferente, podendo levar até a morte instantânea ou apenas a assistência médica. Cada órgão também reage de forma diferente de outro, tendo, assim, tolerâncias diferenciadas. As radiações também podem provocar alterações significativas no desenvolvimento de mamíferos irradiados ainda no útero. As radiações ionizantes são agentes mutagênicos, e em seres humanos é muito difícil detectar essas alterações, mesmo que o índice da radiação seja muito grande. Email: leonardosflor@gmail.com Blog: http://leonardoflor.blogspot.com/ 150
  • 151.
    Tomografando a Técnicade Tomografar_______________________________________________________ FONTES DE RADIAÇÕES IONIZANTES Radiações ionizantes por definição são todas aquelas com energia superior a 12,4 eV e que são capazes de ionizar átomos. Durante toda a vida, os seres humanos estão expostos diariamente aos efeitos das radiações ionizantes. Estas radiações podem ser de origem natural ou artificial. As fontes naturais representam cerca de 70% da exposição, sendo o restante, devido ás fontes artificiais. INTERAÇÃO DA RADIAÇÃO COM AS CÉLULAS No processo de interação da radiação com a matéria ocorre transferência de energia, que pode provocar ionização e excitação dos átomos e moléculas provocando modificação (ao menos temporária) na estrutura das moléculas. O dano mais importante que ocorre é no DNA. Os efeitos físico-químicos acontecem instantaneamente, entre 10-13 e 10-10 segundos e nada podemos fazer para controlá-los. Os efeitos biológicos acontecem em intervalos de tempo que vão de minutos a anos. Consistem na resposta natural do organismo a um agente agressor e não constituem necessariamente em doença. Ex: redução de leucócitos. Email: leonardosflor@gmail.com Blog: http://leonardoflor.blogspot.com/ 151
  • 152.
    Tomografando a Técnicade Tomografar_______________________________________________________ Os efeitos orgânicos são as doenças, e representam a incapacidade de recuperação do organismo devido à freqüência ou quantidade dos efeitos biológicos. Ex: catarata, câncer ou leucemia. A exposição externa é resultante ao corpo, proveniente dos raios-x ou fontes radioativas. A exposição interna resulta da entrada de material radioativo no organismo por inalação, ingestão, ferimentos ou absorção pela pele. O tempo de manifestação dos efeitos causados por estas exposições pode ser tardio, os quais se manifestam apos 60 dias, ou imediatos, que ocorrem num período de poucas horas ate 60 dias. Quanto ao nível de dano, os efeitos podem ser somáticos, que acontecem na própria pessoa irradiada ou hereditária, os quais se manifestam na prole do individuo como resultado de danos causados nas células dos órgãos reprodutores. Os Efeitos biológicos das radiações ionizantes podem ser estocásticos ou determinísticos, a principal diferença entre eles é que os efeitos estocásticos causam a transformação celular enquanto que os determinísticos causam a morte celular. Os efeitos estocásticos causam uma alteração aleatória no DNA de uma única célula que, no entanto, continua a reproduzir-se, e levam a transformação celular. Os efeitos hereditários são estocásticos, não apresentam limiar de dose, o dano pode ser causado por uma dose mínima de radiação. O aumento da dose somente aumenta a probabilidade e não a severidade do dano. A severidade é determinada pelo tipo e localização do tumor ou pela anomalia resultante, no entanto o organismo apresenta mecanismos de defesa muito eficientes, a maioria das transformações neoplásicas não evolui para câncer, quando este mecanismo falha, apos um longo período de latência, o câncer então aparece, no caso a leucemia entre 5-7 anos e os tumores sólidos 20 anos. Os efeitos são cumulativos: quanto maior a dose, maior a probabilidade de ocorrência, quando o dano ocorre em célula germinativa, efeitos hereditários podem ocorrer. Email: leonardosflor@gmail.com Blog: http://leonardoflor.blogspot.com/ 152
  • 153.
    Tomografando a Técnicade Tomografar_______________________________________________________ Os efeitos determinísticos levam a morte celular. Existe uma relação previsível entre a dose e a dimensão do dano esperado, sendo que estes aparecem a partir de uma determinada dose, a probabilidade de ocorrência e a severidade do dano estão diretamente relacionadas com o aumento da dose, e as alterações são somáticas. Quando a destruição celular não pode ser compensada, efeitos clínicos podem aparecer, se a dose estiver acima do limiar. Por ex. 3-5 Guy eritema, 20 Guy necrose. Indivíduos diferentes apresentam sensibilidade diferente e, portanto, limiares diferentes. Exemplos de efeitos determinísticos são: leucopenia, náuseas, anemia, catarata, esterilidade, hemorragia. Dose absorvida de corpo Principal dano que Tempo de vida apos a inteiro (Gy) Contribui para a morte exposicao (dias) 3-5 Danos na medula ossea 30-60 5-15 Danos gastrointestinais e 10-20 Pulmonares > 15 Danos no SNC 1-5 PROPRIEDADES DOS SISTEMAS BIOLÓGICOS Apesar de todos estes efeitos, o corpo humano apresenta o mecanismo da reversibilidade que e responsável pelo reparo das células e é muito eficiente, mesmo danos mais profundos são em geral, capazes de ser reparados ou compensados. A transmissividade é uma propriedade não se aplicam aos sistemas biológicos, pois os danos biológicos não se transmitem. O que pode ser transmitido é o efeito hereditário em células reprodutivas danificadas. Existem fatores de influencia os quais são decisivos. Pessoas que receberam a mesma dose podem não apresentar o mesmo dano. O efeito biológico é influenciado pela idade, sexo e estado físico. Email: leonardosflor@gmail.com Blog: http://leonardoflor.blogspot.com/ 153
  • 154.
    Tomografando a Técnicade Tomografar_______________________________________________________ PROTEÇÃO RADIOLÓGICA O objetivo primário da proteção radiológica é fornecer um padrão apropriado de proteção para o homem, sem limitar os benefícios criados pela aplicação das radiações ionizantes. A proteção radiológica baseia-se em princípios fundamentais que devem ser sempre observados. Justificação: o beneficio tem que ser tal que compense o detrimento, que e definido como sendo a relação entre a probabilidade de ocorrência e grau de gravidade do efeito. Otimização: o numero de pessoas expostas, as doses individuais e a probabilidade de ocorrência de efeitos nocivos devem ser tão baixas quantos razoavelmente exeqüíveis. (principio ALARA = As Low As Reasonably Achievable). Limitação de Dose: a dose individual de trabalhadores e indivíduos do publico não deve exceder os limites de dose recomendados excluindo-se as exposições medicas de pacientes. Prevenção de acidentes: todo esforço deve ser direcionado no sentido de estabelecer medidas rígidas para a prevenção de acidentes. O Sistema de Proteção Radiológica consiste em evitar os efeitos determinísticos, uma vez que existe um limiar de dose, manter as doses abaixo do limiar relevante e prevenir os efeitos estocásticos fazendo uso de todos os recursos disponíveis de proteção radiológica. Para efeito de segurança em proteção radiológica, considera-se que os efeitos biológicos produzidos pelas radiações ionizantes sejam cumulativos. Para a proteção radiológica de exposições externas considera-se: · Distancia (1/r2). Quanto mais longe da fonte, melhor. · Tempo. Quanto menos tempo perto da fonte, melhor. · Blindagem. Quanto mais eficiente for à blindagem, melhor. Regulamentado pela portaria 453: a sala de comando separada da sala de exames, sala barita da porta revestida, vidro plumbífero, monitoração individual por dosímetro, luz de aviso, aventais de chumbo, protetores de gônadas e tireóide que por finalidades: Email: leonardosflor@gmail.com Blog: http://leonardoflor.blogspot.com/ 154
  • 155.
    Tomografando a Técnicade Tomografar_______________________________________________________ • · Inibir exposição acidental • · Inibir exposição ocupacional • · Inibir doses desnecessárias nos pacientes Na pratica qualquer atividade humana que possa resultar em exposição à radiação. As exposições dos seres humanos a radiação classificam-se em: Exposição medica de pessoa como parte de um tratamento ou diagnostico de indivíduos ajudando a conter, ou amparar um paciente, ou de voluntários participantes de pesquisa cientifica. Não ha limite de dose, esta é determinada pela necessidade medica no entanto recomenda-se o uso de níveis de referencia. Exposição Ocupacional: E aquela ocorrida no ambiente de trabalho. Exposição do Publico São todas as outras. A freqüência e a intensidade das exposições podem ser bem variadas e são exemplificadas abaixo: Exposição única radiografia convencional. Exposição fracionada radioterapia (a exposição total necessária para a destruição da neoplasia e fracionada em 10 ou mais sessões). Exposição periódica originada da rotina de trabalho com materiais radioativos. Exposição de corpo inteiro irradiadores de alimentos, acidentes nucleares. Exposição parcial de acidentes, pessoa que manipula radionuclideos (exposição das mãos). Exposição colimada radioterapia (o feixe e colimado a região do tumor) feixe intenso. Esterilização e conservação de alimentos. Feixe médio radiodiagnostica (alguns mG/incidência). Feixe fraco radioatividade natural (1 mGy/ano). IRRADIAÇÃO A irradiação é originada por algum tipo de procedimento com raios X (em radiodiagnostico) ou com feixes de elétrons ou raios γ em radioterapia. Neste caso, o Email: leonardosflor@gmail.com Blog: http://leonardoflor.blogspot.com/ 155
  • 156.
    Tomografando a Técnicade Tomografar_______________________________________________________ paciente não se torna "radioativo" e, portanto não ha nenhum perigo de "contaminar" outras pessoas ou o meio ambiente. Irradiações severas podem acontecer no caso de explosões de usinas nucleares ou bombas atômicas. Nestas situações, o meio ambiente fica altamente radioativo, mas não as pessoas. AVALIAÇÃO DE DOSES INDIVIDUAIS Para avaliar as doses de radiação num determinado ambiente são utilizados monitores de área. Estes ficam em locais de fácil acesso e visualização e são acionados sempre que os níveis de radiação ultrapassam os limites de segurança. Para a monitoração individual, são encontrados vários tipos de equipamentos: filme dosimetrico, TLD (dosimetro termo- luminescente), caneta dosimetrica e outros. O uso do dosimetro é geralmente obrigatório, a não ser que a monitoração de área demonstre que não ha risco. Um dos tipos de dosimetro individual mais utilizado é o dosimetro de tórax. Este deve sempre ser posicionado na parte superior do tórax, é um dosimetro que registra a dose de corpo inteiro. No caso do uso de avental de chumbo, o dosimetro deve ser posicionado sobre o avental. Neste caso, deve-se avisar ao serviço de proteção radiológica que informara a empresa responsável pela monitoração pessoal, que então aplicara o fator de correção adequado (1/10), para o calculo da dose efetiva. · Dosimetro de extremidade: pulseira, anel. Geralmente utilizado por profissionais que lidam com fontes não seladas ou com equipamentos de fluoroscopia. NÍVEIS DE REFERÊNCIA · Nível de Registro: (0,2 mSv), (aplicado no programa de monitoração individual). · Nível de Investigação: (1,2 mSv) valor acima do qual se justifica investigação. Relativo a um só evento. · Nível de Intervenção: (4,0 mSv) interfere com a cadeia normal de responsabilidades. Interdição do serviço, afastamento do profissional para investigação. Email: leonardosflor@gmail.com Blog: http://leonardoflor.blogspot.com/ 156
  • 157.
    Tomografando a Técnicade Tomografar_______________________________________________________ LIMITES DE DOSES ANUAIS Trabalhador Publico · DOSE EFETIVA 20 mSv/ano* 1 mSv/ano** *Valor médio por um período de 5 anos, não ultrapassando 50 mSv em um único ano. **Em casos especiais, pode ser usado um limite maior desde que o valor médio não Ultrapasse um mSv/ano. · DOSE EQUIVALENTE Cristalino 150 mSv/ano 15 mSv/ano Pele 500 mSv/ano 50 mSv/ano Extremidades 500 mSv/ano RISCOS RELATIVOS Chances de morrer em conseqüência de atividades comuns em nossa sociedade (1 em 1 milhão). · Fumar 1,4 cigarros (câncer de pulmão) · Passar 2 dias em Nova York (poluição do ar) · Dirigir 65 km. em um carro (acidente) · Voar 2500 milhas de avião (acidente) · Praticar 6 minutos de canoagem · Receber 0,1 msv de radiação (câncer) No Brasil, recentemente, com a publicação da portaria: # 453 da SVS/MS “Diretrizes de Proteção Radiológica em Radiodiagnóstico Médico e Odontológico” em 02/06/98, tornou- se obrigatória a implantação de diversos aspectos relativos a qualidade dos Serviços Radiológicos de Saúde dentre os quais, a implantação de um PGQ em toda instituição que faca uso de radiações ionizantes. Esta portaria originou-se da constatação feita pelo IRD/CNEN (Instituto de radioproteção e Dosimetria / Comissão Nacional de Energia Nuclear) através de seus programas RXD e RXO, de que cerca de 80 % dos equipamentos de radiodiagnostico no Brasil, encontravam-se fora dos padrões mínimos de qualidade. Esta falta de controle de qualidade acarreta altas doses nos pacientes e custos elevados provocados pelos altos índices de rejeição de radiografias. Email: leonardosflor@gmail.com Blog: http://leonardoflor.blogspot.com/ 157
  • 158.
    Tomografando a Técnicade Tomografar_______________________________________________________ TESTES DE CONTROLE DE QUALIDADE: Os testes de controle de qualidade são parte importante do PGQ e devem ter periodicidade adequada e ser feitos, no mínimo, de acordo com os intervalos estabelecidos na portaria # 453. No entanto, cada instituição deve estabelecer seus próprios protocolos, de acordo com a idade e a taxa de uso dos equipamentos e as condições de manutenção dos mesmos. Os testes de controle de qualidade permitem que se obtenham equipamentos estáveis e que reproduzam o mesmo padrão de imagem para uma determinada técnica radiográfica. A padronização da técnica radiográfica visa maximizar a qualidade da imagem. Os testes obrigatórios são: KVp mA.s, camada semi-redutora, alinhamento do feixe central, linearidade da taxa de exposição com mA.s, rendimento do tubo, reprodutibilidade da taxa de exposição, reprodutibilidade do controle automático de exposição (AEC), tamanho do ponto focal, integridade dos equipamentos de proteção individual, vedação das câmaras escuras, exatidão do sistema de colimação, resolução de baixo e alto contraste em fluoroscopia, contato tela-filme, alinhamento de grade, integridade de telas e chassis, condições dos negatoscopios, índice de rejeição de radiografias, temperatura do sistema de processamento, sensitometria do sistema de processamento e calibração, Constancia e uniformidade dos números de tomografia computadorizada. VESTIMENTAS DE PROTEÇÃO INDIVIDUAL (VPI) Existem diversos tipos de vestimentas (figura 6) destinadas a proteger as pessoas contra os efeitos das radiações ionizantes. Dentre as mais usadas, encontram-se os aventais de chumbo (longos ou curtos), os protetores de tireóide e de gônadas, os óculos plumbiferos, as luvas e as mangas protetoras. Estas vestimentas possuem especificações e equivalência em chumbo que devem ser adequadas ao tipo de radiação „a qual se vai estar exposto. Alem disso, pode-se também fazer uso de anteparos moveis de chumbo (biombos de chumbo). Email: leonardosflor@gmail.com Blog: http://leonardoflor.blogspot.com/ 158
  • 159.
    Tomografando a Técnicade Tomografar_______________________________________________________ Sempre que possível, deve-se utilizar as VPIs tanto no staff medico, quanto nos acompanhantes quando estes são solicitados a conter ou confortar um paciente. Devem também ser usadas pelos próprios pacientes a fim de evitar exposições desnecessárias de regiões do corpo que não estão sendo radiografadas. Cuidados devem ser tomados quanto à manipulação das VPIs. Os aventais de chumbo são especialmente frágeis e devem ser manipulados cuidadosamente. Apos o uso, devem ser guardados em cabides apropriados ou sempre na posição horizontal sem dobras. Os maus tratos podem causar fissuras e ate mesmo o rompimento do lençol de chumbo, reduzindo o poder de proteção do mesmo e conseqüentemente, sua vida util. RADIOGRAFIA · Radiografia de tórax PA = 0,03 mSv · Radiografia de abdômen AP = 0,5 mSv · Pelve AP = 0,2 mSv FLUOROSCOPIA · Enema de bário (contraste simples) = 3,1 mSv · Angiografia cerebral = 3,5 mSv Email: leonardosflor@gmail.com Blog: http://leonardoflor.blogspot.com/ 159
  • 160.
    Tomografando a Técnicade Tomografar_______________________________________________________ · Angiografia coronariana = 18 mSv · Colocação de stent coronariano = 50 mSv MEDICINA NUCLEAR · Screening ósseo (Tomografia computadorizada-99m) = 4,4 mSv · Perfusão miocárdica (Tl-201) = 18 mSv TOMOGRAFIA COMPUTADORIZADA · Cabeça = 1,3 mSv · Tórax = 5,5 mSv · Pelve e abdômen = 8 mSv Email: leonardosflor@gmail.com Blog: http://leonardoflor.blogspot.com/ 160
  • 161.
    Tomografando a Técnicade Tomografar_______________________________________________________ PROTOCOLOS: SEQUENCIAIS ESTRUTURA SLICE FEED SLICE FEED/ROT: PITCH Base de crânio: 03mm 03mm 03mm 03mm - 1.0 SLICE FEED SLICE FEED/ROT: PITCH  Base de crânio: 03mm 03mm 03mm 03mm 1.0  Cerebro: 08mm 08mm 08mm 08mm 1.0  S.da face(cor.): 02mm 03mm 02mm 4 mm 1.0  S.da face(axial): 02mm 04mm 03mm 4.5mm 1.5  Mastóides(cor/ax): 01mm 01mm 01mm 2.0mm 2.0  Mandíbula: 03mm 03mm 03mm 4.5mm 1.5  ATM(cor/ax): 02mm 02mm 02mm 3.0mm 1.5  Órbitas(cor/ax): 02mm 02mm 02mm 3.0mm 1.5  Pescoço: 05mm 05mm 05mm 8.0mm 1.6  Tórax: 10mm 10mm 08mm 12mm 1.5  Tórax(AR): 01mm 10mm ---- ---- ---  Abdomen: 10mm 10mm 05mm 9mm 1.8  Pelve: 08mm 08mm 08mm 12mm 1.5  Art.coxo-femural: 03mm 03mm 03mm 4.5mm 1.5  Extremidades: 03mm 03mm 03mm 4.5mm 1.5  Coluna cervical: 02mm 02mm 02mm 3.0mm 1.5  Coluna torácica: 05mm 05mm 03mm 4.5mm 1.5  Coluna lombar: 03mm 03mm 03mm 4.5mm 1.5  Coluna trauma: 05mm 05mm 05mm 7.5mm 1.5 OBS1: Na TC de Crânio, Tórax AR e exames que necessitem de angulação do Gantry, fazer seqüencial para reduzir artefatos. OBS 2: Estes protocolos são sugeridos, de acordo com a capacidade técnica do equipamento. Email: leonardosflor@gmail.com Blog: http://leonardoflor.blogspot.com/ 161
  • 162.
    Tomografando a Técnicade Tomografar_______________________________________________________ OBS3: Os protocolos de exames especiais (Angios e Coronária ), são vistos no decorrer do curso, não havendo necessidade de citá-los nesta apostila. Reconstruções: MIP- Máxima intensidade de Pixel Angio Membros Inferiores Tórax 3D Email: leonardosflor@gmail.com Blog: http://leonardoflor.blogspot.com/ 162
  • 163.
    Tomografando a Técnicade Tomografar_______________________________________________________ MPR- Reconstrução Multiplanar. Sagital Coronal ALGUMAS REGRAS GERAIS: 1- Em geral, os Tomógrafos podem trabalhar com pacientes até 180 KG; 2- Ao ligar o aparelho pela manhã, ou após períodos prolongados de inatividades (6 horas ou mais), é necessário fazer o warm-up (aquecimento) e calibração (alinhamento e energização dos detectores); 3- Explicar ao paciente como é o exame e solicitar a sua colaboração, orientando-o devidamente; 4- Deve-se solicitar ao paciente que retire os objetos metálicos como: colares, brincos, grampos de cabelo, presilhas, etc..; 5- Checar se os pacientes que necessitam de contraste venoso estão em jejum; 6- Após o posicionamento do paciente, certifique-se de que nenhum lençol ou cobertor fique em posição que dificulte a progressão da mesa durante o exame; Email: leonardosflor@gmail.com Blog: http://leonardoflor.blogspot.com/ 163
  • 164.
    Tomografando a Técnicade Tomografar_______________________________________________________ 7- No caso de qualquer reação alérgica ou extravasamento do contraste, deve-se interromper o exame e avisar ao Radiologista responsável imediatamente; 8- Não há contra-indicação formal para o exame de TC, exceto as relacionadas ao uso de contraste iodado; 9- Os protocolos e valores numéricos apresentados nesta apostila são apenas uma base de referência. Há uma grande variedade de rotinas de protocolos entre os vários Serviços de Radiologia no Brasil. Email: leonardosflor@gmail.com Blog: http://leonardoflor.blogspot.com/ 164