OSSO TEMPORAL
 Radiologia e Diagnóstico por Imagem
     R2 Izabela Cristina de Souza
          R2 Rodrigo Ferrari
ANATOMIA
ANATOMIA

• CANAL AUDITIVO
• Porção cartilaginosa
• Porção óssea (2/3)
ANATOMIA
• CAVIDADE TIMPÂNICA
• Paredes:
    –   Teto tegmentar
    –   Assoalho (jugular)
    –   Parede lateral (membranácea)
    –   Parede medial (labiríntica)
    –   Parede anterior (carótica)
    –   Parede posterior (mastóidea)
•   Tuba auditiva (ant)
•   Antro mastóideo (post-sup)
•   Ossículos da audição
•   Músculos estapédio e tensor do tímpano
•   Corda do tímpano (ramo do N. VII)
ANATOMIA
•   CAVIDADE TIMPÂNICA
•   Martelo
•   Bigorna
•   Estribo
•   Janela oval
•   Janela redonda
•   Músculo tensor do tímpano
•   Músculo estapédio
ANATOMIA




Modelos tridimensionais
ANATOMIA
• ORELHA INTERNA
• Labirinto ósseo
   – Cóclea
        • Modíolo
        • Grande curva basilar
   – Vestíbulo
   – Canais semicirculares (ant, pot e lat)
• Labirinto membranáceo
   –   Endolinfa / Perilinfa
   –   Vestibular: utrículo e sáculo
   –   Ductos semicirculares                  CÓCLEA
   –   Ducto coclear
ANATOMIA
      Secções Axiais: Caudais a Cefálicas
• Nível hipotimpânico:
   – Porção mais abaixo da cavidade timpânica
   – Ant-Med: tuba auditiva
                                                 L   M
   – Canal Musc. Tensor do tímpano: paralelo à
     tuba
   – Imagens:
      • Canal carotídeo
                          Boneco de neve
      • Fossa jugular
      • Abertura da tuba auditiva
      • Fissura petro-occipital
      • ATM
      • Porção descendente do NVII
ANATOMIA
Secções Axiais: Caudais a Cefálicas

• Nível Timpânico:
   – Canal auditivo externo
   – Canal carotídeo
   – Aqueduto coclear
   – Processo longo do martelo
ANATOMIA
     Secções Axiais: Caudais a Cefálicas

• Nível mediotimpânico:
   – Porção central da cavidade timpânica
   – Limitada lateralmente pelo escudo
     (esporão) e pela membrana timpânica
   – Imagens:
       • Membrana timpânica
       • Processo longo do martelo
       • Aqueduto colcear
ANATOMIA
      Secções Axiais: Caudais a Cefálicas
• Nível do Canal Auditivo Interno e Epitímpano:
   – Epitímpano forma a porção superior da
     orelha média
   – Porções maciças do martelo e a bigorna
   – Ligado ao antro mastóideo (aditus ad
     antrum).
   – Cabeça redonda do martelo + bigorna
     (articulação incudomaleolar)
   – Estapédio: arco sobre a janela oval
   – Canal auditivo interno
ANATOMIA
      Secções Axiais: Caudais a Cefálicas

• Nível do Canal Semicircular Lateral:
   – Canal semicircular
   – Aqueduto vestibular
   – Ducto endolinfático (RM)
   – Antro mastoide (promontório)
   – Células da mastoide
   – TC: canal semicircular posterior e sua
     ampola
ANATOMIA
• Nível Timpânico Anterior Coronal:
ANATOMIA
• Nível Mediotimpânico Coronal:
ANATOMIA
• Nível da Janela Oval Coronal:
ANATOMIA
• Nível da Orelha Média Posterior Coronal:
ANATOMIA
• Nível do Forame Jugular Coronal:
ANATOMIA
TÉCNICAS DE IMAGEM
• TC e RM são complementares.
• TC de alta resolução:
   – Avaliar anatomia
   – Estruturas ósseas
   – Espaços aéreos
• RM:
   – Fluido cerebroespinhal
   – Cérebro
   – Nervos cranianos
   – Vasos sanguíneos
• Radiografia convencional
   – Controles pós-operatórios (implantes cocleares)
TÉCNICAS DE IMAGEM
• TC de alta resolução:
   – 0,5 – 1mm
   – Contraste não é essencial para avaliação (se processo
     infeccioso ou neo)
   – Adquirir as imagens com FOV aberto  fechado em cada
     ouvido
   – Axial / Coronal / Sagital
   – Projeção de Stenvers (oblíquo longitudinal):
      • fraturas e espiras da cóclea


   – Imagens tridimensionais
MALFORMAÇÕES CONGÊNITAS
• Distúrbios neurossensoriais
• Distúrbios de condução
• Avaliar o canal do nervo facial cuidadosamente.
   – Dentro do assoalho da orelha média ou atravessando a janela
     oval.
• Malformações do labirinto membranoso  TC normal.

• ANORMALIDADES DOS OSSÍCULOS
   – Fusão do martelo e da bigorna à parede epitimpânica lateral
   – Anquilose do colo do martelo na placa atrésica.
   – Deformidades no processo longo da bigorna.
MALFORMAÇÕES CONGÊNITAS
•   MICROTIA:
•   Atresia ou ausência da orelha externa.
•   Estreitamento ou agenesia do canal auditivo ósseo externo.
•   Associada a anomalias da orelha média.
     – Síndromes (Pierre Robin, Goldenhar)
MALFORMAÇÕES CONGÊNITAS
• DEFORMIDADE DE MICHEL
• 3ª semana embriológica.
• Ausência total de desenvolvimento da orelha interna.

•   CAVIDADE COMUM
•   4ª semana.
•   Cavidade labiríntica simples.
•   Sem presença de vestíbulo, cóclea ou canais semicirculares.
MALFORMAÇÕES CONGÊNITAS
• MALFORMAÇÃO DE MONDINI
• 7ª semana.
• Ausência, hipoplasia ou presença de apenas uma espira
  rudimentar da cóclea.
• Geralmente bilateral e associado a dilatação do aqueduto
  vestibular.




                                Projeção de Stenvers
MALFORMAÇÕES CONGÊNITAS
• GRANDE AQUEDUTO VESTIBULAR
• 5-8as semanas.
• Dilatação do aqueduto vestibular e do saco
endolinfático.
• Evento isolado
ANOMALIAS VASCULARES
• Carótida intratimpânica ectópica




• Anomalias da veia e do bulbo jugular
LESÕES INFLAMATÓRIAS
• OTITE MÉDIA AGUDA E SUBAGUDA
• Opacificação da orelha média.
• Mastoidite: opacificação ou níveis de fluido nas células aéreas da
  mastoide.
• Otite média serosa ≠ otite purulenta.
• Otite média subaguda: espessamento focal ou difuso da mucosa.
• RM: sugere complicações intracranianas (abscesso epidural,
  empiema subdural, trombose do seio sigmoide)
LESÕES INFLAMATÓRIAS
• OTITE MÉDIA AGUDA E SUBAGUDA
LESÕES INFLAMATÓRIAS
• OTITE MÉDIA CRÔNICA E MASTOIDITE CRÔNICA
• Formação de tecido de granulação  obscurece margens dos
  conteúdos da orelha média.
• Timpanoesclerose  calcificações da membrana timpânica, dos
  ligamentos, dos ossículos e da mucosa.
• Membrana timpânica retraída.
• Células da mastoide pouco desenvolvidas.
LESÕES INFLAMATÓRIAS
• OTITE MÉDIA CRÔNICA E MASTOIDITE CRÔNICA
LESÕES INFLAMATÓRIAS
• OTITE MÉDIA CRÔNICA E MASTOIDITE CRÔNICA
LESÕES INFLAMATÓRIAS
                       COLESTEATOMA
• Perfuração crônica da membrana timpânica;

• Maioria ocorre no segmento da pars flacida;

• Expandam-se para o antro/mesotímpano,            causando
  deslocamento medial dos ossículos;

• TC – formação tecidual no ouvido médio, associada à
  destruição óssea (do escudo, dos ossículos e do tegumento
  timpânico);

• Difícil diferenciar OMC de colesteatoma na TC;
LESÕES INFLAMATÓRIAS
• RM – não diferencia colesteatoma de outras lesões
  inflamatórias;

• Se colesteatoma > 5 mm – imagens ponderadas de difusão
  com sinal hiperintenso;

• Pode ocorrem paralisia facial e erosão do canal facial;

• Raro fístulas para o labirinto, expansão para cápsula óptica ou
  fossa craniana média;
LESÕES INFLAMATÓRIAS
           OTITE EXTERNA MALIGNA (necrozante)

• Infecção por Pseudomonas;

• Idosos, imunodeprimidos, diabéticos;

• Pode cursar com destruição óssea e acometer os tecidos
  moles adjacentes, inclusive a naso/orofaringe (fissuras de
  Santorini);

• Acometimento intracraniano (meningite, osteomielite dos
  ossos do crânio)
TC/RM

• Espessamento dos tecidos moles do CAE; formação tecidual
  no ouvido médio e mastóide;

• Extensão para tecidos moles adjacentes e destruição óssea
  associada;

• Pode realce pelo contraste com múltiplos abscessos focais;
LESÕES INFLAMATÓRIAS
           ABSCESSO INTRACRANIANO OTOGÊNICO

• Tem origem nos processo inflamatórios do temporal;

• Localização epidural, lobo temporal e cerebelo;

• Apicite petrosa – TC – destruição óssea do ápice petroso; RM
  - hiperintensa T1, sinal misto em T2 com contraste;

• Pctes com lesões do ápice petroso cursam com a sind. de
  Gradenigo (paresia do abducente e neuralgia do trigêmeo);
• Colesteatomas – podem acometer a fossa craniana média e
  posterior;
• TC/RM – elevação e realce da dura-máter com extensão de
  pus para o espaço epidural;
NEOPLASIAS BENIGNAS
                  OSTEOMAS E EXOSTOSES

• Tumores benignos mais comuns do osso temporal;

• Osteomas – surgem no processo mastóide, na bigorna e no
  CAI;

• Exostoses – massas ósseas multinodulares de ambos os canais
  auditivos externos; associação com exposição prolongada a
  água fria (nadadores);

• TC – áreas de ossos densos;
NEOPLASIAS BENIGNAS
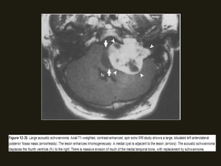
                 SCHWANOMAS ACÚSTICOS

• Tumores benignos do VIII PC ocorrem no CAI/ângulo
  cerebelopontino, surgindo na junção das células da glia com
  as de Schwann; Associação com neurofibromatose tipo 2;

• Sintomas dependem da localização do tumor (há compressão
  dos nervos coclear e vestibular (CAI) – zumbido, diminuição
  acuidade auditiva;

• RM método de escolha (nervo espessado e com realce pelo
  contraste; podem ser císticos;); diferencia schwanomas
  pequenos dos nervos normais;
NEOPLASIAS BENIGNAS

• Podem ser massas pequenos ou grandes;

• Grandes – distorção da fossa posterior; hérnia de tronco,
  hidrocefalia e compressão do IV ventrículo;

• TC alta resolução – mostras alterações ósseas do CAI, porus
  acusticus e cápsula óptica; Assimetria dos CAI > 2mm sugere
  MASSA!!
NEOPLASIAS BENIGNAS
                     SCHANOMAS DOS NERVOS FACIAIS

• Mais comuns no gânglio geniculado, labirinto e segmentos timpânicos;

• Sintomas – diminuição da acuidade auditiva, paralisia facial...

• RM – lesão isointensa T1 e iso/hiperintensa em T2;

• TC – erosões ósseas da porção antero-superior do CAI e do gânglio
  geniculado são sugestivas;

• Pode disseminação extracanicular – massa tumoral localizada além do
  canal do nervo facial, na área supralabiríntica, orelha média, mastóide,
  parótida;
NEOPLASIAS BENIGNAS
                       MENINGIOMAS

• Raros no osso temporal; maioria ocorre no osso petroso
  posterior; pode no ângulo cerebelopontino;

• RM – lesõs isointensas, com realce na fase com contraste;
  comum espessamento com realce que corresponde a dura-
  mater (cauda dural);

• TC – lesões calcificadas, podem simular exostoses e raramente
  acometem o CAI;
NEOPLASIAS BENIGNAS
                    PARAGANGLIOMAS

• Ocorrem no VIIII e X PC; tumores mais comuns do ouvido
  médio, e o segundo mais comum do osso temporal;

• São vasculares com crescimento lento; surgem de células
  quimiorreceptoras;

• Histologia de feocromocitoma; secretam catecolaminas em
  10% casos;

• Multicêntricos – 10%, comportamento variável (benignos,
  malignos, mas ambos localmente agressivos;
NEOPLASIAS BENIGNAS
• Nomenclatura de acordo com a localização;

• Tumores do glomus (bulbo jugular);

• Tumores da orelha média (glomus tympanicum);

• No corpo carotídeo;

• No glânglio do nervo vago (glomus vagale);

• Sintomas dependem da localização;
NEOPLASIAS BENIGNAS
       Tumores da orelha média (glomus tympanicum):



• Surgem no promontório coclear, afetam a orelha média e a
  mastóide;



• TC – formação tecidual homogênea no promontório coclear
  sem destruição óssea, com realce pelo contraste
NEOPLASIAS BENIGNAS
                  Tumores do glomus jugular

• TC – destruição óssea na separação da fossa jugular e do
  hipotímpano;
•
• A invasão infra-labiríntica pode destruir as porções horizontal
  e vertical do canal carotídeo;

• Comum o tumor disseminar-se para o pescoço pelo sistema
  jugular;
NEOPLASIAS BENIGNAS
                    CISTOS EPIDERMÓIDES

• São massas de restos ectodérmicos embriônicos; podem
  surgir em qlq parte do osso temporal;

• CAE – keratosis obturans;

• CAI – erosão óssea;

• São lesões expansivas císticas, bem definidas com contornos
  nítidos;
CISTOS EPIDERMÓIDES



• RM – hipointenso T1 e hiper T2, sem realce pelo contraste;
  Difusão – hiperintenso;



• TC – hipodenso; pode simular cisto aracnóide; as lesões
  podem ser sólidas e calcificadas;
NEOPLASIAS BENIGNAS
                      HEMANGIOMAS

• Mais comuns no glânglio geniculado, mas podem ocorrer no
  CAI;

• TC – lesão de esclerose mista, com erosão do canal do nervo
  facial; pode ter calcificações;
NEOPLASIAS MALIGNAS
• São incomuns no osso temporal;

• Mais frequente – carcinoma de células escamosas;

• Origina-se no epitélio do CAE, CAI ou da mastóide;

• Pode extender-se para parótida e articulação temporo-
  mandibular;

• Mtx e disseminação linfática são raras;
• TC – erosão óssea por uma massa de tecido mole das paredes
  do CAE ou CAI;

• Adenocarcinomas – achados iguais ao carcinomas de células
  escamosas, porém mtx para os linfonodos é mto comum;
• RABDOMIOSSARCOMAS – neoplasia mais comum em
  crianças; altamente agressiva;

• TC – massa de tecidos moles no CAI, causando destruição
  óssea;
• Tumores    malignos    que      acometem      o     temporal
  secundariamente – nasofaringe, pele e glândulas salivares;



• Metástases – lesões osteolíticas (mama, pulmão, TGI,
  rins)/osteoblásticas (prostata);
FRATURAS
                     LONGITUDINAIS
• Ocorrem no eixo longitudinal da pirâmide petrosa; podem
  estender-se para porção escamosa e para a cavidade
  timpânica;
• Cursam com perda auditiva, paralisia facial;
FRATURAS
                        TRANSVERSAIS

• 20% casos;



• Atravessam o osso temporal de posterior para anterior;



• Causam disfunção labiríntica e “ouvido morto” se o traço de
  fratura atravessar o vestíbulo, canais semicirculares ou a
  cóclea; Pode paralisia facial;
BIBLIOGRAFIA
• CT and MRI of the Whole Body. John R. Haaga

• Clinically Oriented Anatomy, 5th Edition. Moore, Keith L.; Dalley, Arthur F.

• Applied Radiological Anatomy for Medical Students. PAUL BUTLER; ADAM
  W. M. MITCHELL; HAROLD ELLIS.

• Atlas de Anatomia Humana. NETTER, Frank H. 2.ed.

Tc osso temporal 1

  • 1.
    OSSO TEMPORAL Radiologiae Diagnóstico por Imagem R2 Izabela Cristina de Souza R2 Rodrigo Ferrari
  • 2.
  • 3.
    ANATOMIA • CANAL AUDITIVO •Porção cartilaginosa • Porção óssea (2/3)
  • 4.
    ANATOMIA • CAVIDADE TIMPÂNICA •Paredes: – Teto tegmentar – Assoalho (jugular) – Parede lateral (membranácea) – Parede medial (labiríntica) – Parede anterior (carótica) – Parede posterior (mastóidea) • Tuba auditiva (ant) • Antro mastóideo (post-sup) • Ossículos da audição • Músculos estapédio e tensor do tímpano • Corda do tímpano (ramo do N. VII)
  • 5.
    ANATOMIA • CAVIDADE TIMPÂNICA • Martelo • Bigorna • Estribo • Janela oval • Janela redonda • Músculo tensor do tímpano • Músculo estapédio
  • 6.
  • 7.
    ANATOMIA • ORELHA INTERNA •Labirinto ósseo – Cóclea • Modíolo • Grande curva basilar – Vestíbulo – Canais semicirculares (ant, pot e lat) • Labirinto membranáceo – Endolinfa / Perilinfa – Vestibular: utrículo e sáculo – Ductos semicirculares CÓCLEA – Ducto coclear
  • 8.
    ANATOMIA Secções Axiais: Caudais a Cefálicas • Nível hipotimpânico: – Porção mais abaixo da cavidade timpânica – Ant-Med: tuba auditiva L M – Canal Musc. Tensor do tímpano: paralelo à tuba – Imagens: • Canal carotídeo Boneco de neve • Fossa jugular • Abertura da tuba auditiva • Fissura petro-occipital • ATM • Porção descendente do NVII
  • 9.
    ANATOMIA Secções Axiais: Caudaisa Cefálicas • Nível Timpânico: – Canal auditivo externo – Canal carotídeo – Aqueduto coclear – Processo longo do martelo
  • 10.
    ANATOMIA Secções Axiais: Caudais a Cefálicas • Nível mediotimpânico: – Porção central da cavidade timpânica – Limitada lateralmente pelo escudo (esporão) e pela membrana timpânica – Imagens: • Membrana timpânica • Processo longo do martelo • Aqueduto colcear
  • 11.
    ANATOMIA Secções Axiais: Caudais a Cefálicas • Nível do Canal Auditivo Interno e Epitímpano: – Epitímpano forma a porção superior da orelha média – Porções maciças do martelo e a bigorna – Ligado ao antro mastóideo (aditus ad antrum). – Cabeça redonda do martelo + bigorna (articulação incudomaleolar) – Estapédio: arco sobre a janela oval – Canal auditivo interno
  • 12.
    ANATOMIA Secções Axiais: Caudais a Cefálicas • Nível do Canal Semicircular Lateral: – Canal semicircular – Aqueduto vestibular – Ducto endolinfático (RM) – Antro mastoide (promontório) – Células da mastoide – TC: canal semicircular posterior e sua ampola
  • 13.
  • 14.
  • 15.
    ANATOMIA • Nível daJanela Oval Coronal:
  • 16.
    ANATOMIA • Nível daOrelha Média Posterior Coronal:
  • 17.
    ANATOMIA • Nível doForame Jugular Coronal:
  • 18.
  • 19.
    TÉCNICAS DE IMAGEM •TC e RM são complementares. • TC de alta resolução: – Avaliar anatomia – Estruturas ósseas – Espaços aéreos • RM: – Fluido cerebroespinhal – Cérebro – Nervos cranianos – Vasos sanguíneos • Radiografia convencional – Controles pós-operatórios (implantes cocleares)
  • 20.
    TÉCNICAS DE IMAGEM •TC de alta resolução: – 0,5 – 1mm – Contraste não é essencial para avaliação (se processo infeccioso ou neo) – Adquirir as imagens com FOV aberto  fechado em cada ouvido – Axial / Coronal / Sagital – Projeção de Stenvers (oblíquo longitudinal): • fraturas e espiras da cóclea – Imagens tridimensionais
  • 21.
    MALFORMAÇÕES CONGÊNITAS • Distúrbiosneurossensoriais • Distúrbios de condução • Avaliar o canal do nervo facial cuidadosamente. – Dentro do assoalho da orelha média ou atravessando a janela oval. • Malformações do labirinto membranoso  TC normal. • ANORMALIDADES DOS OSSÍCULOS – Fusão do martelo e da bigorna à parede epitimpânica lateral – Anquilose do colo do martelo na placa atrésica. – Deformidades no processo longo da bigorna.
  • 22.
    MALFORMAÇÕES CONGÊNITAS • MICROTIA: • Atresia ou ausência da orelha externa. • Estreitamento ou agenesia do canal auditivo ósseo externo. • Associada a anomalias da orelha média. – Síndromes (Pierre Robin, Goldenhar)
  • 23.
    MALFORMAÇÕES CONGÊNITAS • DEFORMIDADEDE MICHEL • 3ª semana embriológica. • Ausência total de desenvolvimento da orelha interna. • CAVIDADE COMUM • 4ª semana. • Cavidade labiríntica simples. • Sem presença de vestíbulo, cóclea ou canais semicirculares.
  • 24.
    MALFORMAÇÕES CONGÊNITAS • MALFORMAÇÃODE MONDINI • 7ª semana. • Ausência, hipoplasia ou presença de apenas uma espira rudimentar da cóclea. • Geralmente bilateral e associado a dilatação do aqueduto vestibular. Projeção de Stenvers
  • 25.
    MALFORMAÇÕES CONGÊNITAS • GRANDEAQUEDUTO VESTIBULAR • 5-8as semanas. • Dilatação do aqueduto vestibular e do saco endolinfático. • Evento isolado
  • 26.
    ANOMALIAS VASCULARES • Carótidaintratimpânica ectópica • Anomalias da veia e do bulbo jugular
  • 27.
    LESÕES INFLAMATÓRIAS • OTITEMÉDIA AGUDA E SUBAGUDA • Opacificação da orelha média. • Mastoidite: opacificação ou níveis de fluido nas células aéreas da mastoide. • Otite média serosa ≠ otite purulenta. • Otite média subaguda: espessamento focal ou difuso da mucosa. • RM: sugere complicações intracranianas (abscesso epidural, empiema subdural, trombose do seio sigmoide)
  • 28.
    LESÕES INFLAMATÓRIAS • OTITEMÉDIA AGUDA E SUBAGUDA
  • 29.
    LESÕES INFLAMATÓRIAS • OTITEMÉDIA CRÔNICA E MASTOIDITE CRÔNICA • Formação de tecido de granulação  obscurece margens dos conteúdos da orelha média. • Timpanoesclerose  calcificações da membrana timpânica, dos ligamentos, dos ossículos e da mucosa. • Membrana timpânica retraída. • Células da mastoide pouco desenvolvidas.
  • 30.
    LESÕES INFLAMATÓRIAS • OTITEMÉDIA CRÔNICA E MASTOIDITE CRÔNICA
  • 31.
    LESÕES INFLAMATÓRIAS • OTITEMÉDIA CRÔNICA E MASTOIDITE CRÔNICA
  • 32.
    LESÕES INFLAMATÓRIAS COLESTEATOMA • Perfuração crônica da membrana timpânica; • Maioria ocorre no segmento da pars flacida; • Expandam-se para o antro/mesotímpano, causando deslocamento medial dos ossículos; • TC – formação tecidual no ouvido médio, associada à destruição óssea (do escudo, dos ossículos e do tegumento timpânico); • Difícil diferenciar OMC de colesteatoma na TC;
  • 33.
    LESÕES INFLAMATÓRIAS • RM– não diferencia colesteatoma de outras lesões inflamatórias; • Se colesteatoma > 5 mm – imagens ponderadas de difusão com sinal hiperintenso; • Pode ocorrem paralisia facial e erosão do canal facial; • Raro fístulas para o labirinto, expansão para cápsula óptica ou fossa craniana média;
  • 36.
    LESÕES INFLAMATÓRIAS OTITE EXTERNA MALIGNA (necrozante) • Infecção por Pseudomonas; • Idosos, imunodeprimidos, diabéticos; • Pode cursar com destruição óssea e acometer os tecidos moles adjacentes, inclusive a naso/orofaringe (fissuras de Santorini); • Acometimento intracraniano (meningite, osteomielite dos ossos do crânio)
  • 37.
    TC/RM • Espessamento dostecidos moles do CAE; formação tecidual no ouvido médio e mastóide; • Extensão para tecidos moles adjacentes e destruição óssea associada; • Pode realce pelo contraste com múltiplos abscessos focais;
  • 39.
    LESÕES INFLAMATÓRIAS ABSCESSO INTRACRANIANO OTOGÊNICO • Tem origem nos processo inflamatórios do temporal; • Localização epidural, lobo temporal e cerebelo; • Apicite petrosa – TC – destruição óssea do ápice petroso; RM - hiperintensa T1, sinal misto em T2 com contraste; • Pctes com lesões do ápice petroso cursam com a sind. de Gradenigo (paresia do abducente e neuralgia do trigêmeo);
  • 40.
    • Colesteatomas –podem acometer a fossa craniana média e posterior; • TC/RM – elevação e realce da dura-máter com extensão de pus para o espaço epidural;
  • 41.
    NEOPLASIAS BENIGNAS OSTEOMAS E EXOSTOSES • Tumores benignos mais comuns do osso temporal; • Osteomas – surgem no processo mastóide, na bigorna e no CAI; • Exostoses – massas ósseas multinodulares de ambos os canais auditivos externos; associação com exposição prolongada a água fria (nadadores); • TC – áreas de ossos densos;
  • 43.
    NEOPLASIAS BENIGNAS SCHWANOMAS ACÚSTICOS • Tumores benignos do VIII PC ocorrem no CAI/ângulo cerebelopontino, surgindo na junção das células da glia com as de Schwann; Associação com neurofibromatose tipo 2; • Sintomas dependem da localização do tumor (há compressão dos nervos coclear e vestibular (CAI) – zumbido, diminuição acuidade auditiva; • RM método de escolha (nervo espessado e com realce pelo contraste; podem ser císticos;); diferencia schwanomas pequenos dos nervos normais;
  • 44.
    NEOPLASIAS BENIGNAS • Podemser massas pequenos ou grandes; • Grandes – distorção da fossa posterior; hérnia de tronco, hidrocefalia e compressão do IV ventrículo; • TC alta resolução – mostras alterações ósseas do CAI, porus acusticus e cápsula óptica; Assimetria dos CAI > 2mm sugere MASSA!!
  • 49.
    NEOPLASIAS BENIGNAS SCHANOMAS DOS NERVOS FACIAIS • Mais comuns no gânglio geniculado, labirinto e segmentos timpânicos; • Sintomas – diminuição da acuidade auditiva, paralisia facial... • RM – lesão isointensa T1 e iso/hiperintensa em T2; • TC – erosões ósseas da porção antero-superior do CAI e do gânglio geniculado são sugestivas; • Pode disseminação extracanicular – massa tumoral localizada além do canal do nervo facial, na área supralabiríntica, orelha média, mastóide, parótida;
  • 51.
    NEOPLASIAS BENIGNAS MENINGIOMAS • Raros no osso temporal; maioria ocorre no osso petroso posterior; pode no ângulo cerebelopontino; • RM – lesõs isointensas, com realce na fase com contraste; comum espessamento com realce que corresponde a dura- mater (cauda dural); • TC – lesões calcificadas, podem simular exostoses e raramente acometem o CAI;
  • 53.
    NEOPLASIAS BENIGNAS PARAGANGLIOMAS • Ocorrem no VIIII e X PC; tumores mais comuns do ouvido médio, e o segundo mais comum do osso temporal; • São vasculares com crescimento lento; surgem de células quimiorreceptoras; • Histologia de feocromocitoma; secretam catecolaminas em 10% casos; • Multicêntricos – 10%, comportamento variável (benignos, malignos, mas ambos localmente agressivos;
  • 54.
    NEOPLASIAS BENIGNAS • Nomenclaturade acordo com a localização; • Tumores do glomus (bulbo jugular); • Tumores da orelha média (glomus tympanicum); • No corpo carotídeo; • No glânglio do nervo vago (glomus vagale); • Sintomas dependem da localização;
  • 55.
    NEOPLASIAS BENIGNAS Tumores da orelha média (glomus tympanicum): • Surgem no promontório coclear, afetam a orelha média e a mastóide; • TC – formação tecidual homogênea no promontório coclear sem destruição óssea, com realce pelo contraste
  • 57.
    NEOPLASIAS BENIGNAS Tumores do glomus jugular • TC – destruição óssea na separação da fossa jugular e do hipotímpano; • • A invasão infra-labiríntica pode destruir as porções horizontal e vertical do canal carotídeo; • Comum o tumor disseminar-se para o pescoço pelo sistema jugular;
  • 59.
    NEOPLASIAS BENIGNAS CISTOS EPIDERMÓIDES • São massas de restos ectodérmicos embriônicos; podem surgir em qlq parte do osso temporal; • CAE – keratosis obturans; • CAI – erosão óssea; • São lesões expansivas císticas, bem definidas com contornos nítidos;
  • 60.
    CISTOS EPIDERMÓIDES • RM– hipointenso T1 e hiper T2, sem realce pelo contraste; Difusão – hiperintenso; • TC – hipodenso; pode simular cisto aracnóide; as lesões podem ser sólidas e calcificadas;
  • 63.
    NEOPLASIAS BENIGNAS HEMANGIOMAS • Mais comuns no glânglio geniculado, mas podem ocorrer no CAI; • TC – lesão de esclerose mista, com erosão do canal do nervo facial; pode ter calcificações;
  • 65.
    NEOPLASIAS MALIGNAS • Sãoincomuns no osso temporal; • Mais frequente – carcinoma de células escamosas; • Origina-se no epitélio do CAE, CAI ou da mastóide; • Pode extender-se para parótida e articulação temporo- mandibular; • Mtx e disseminação linfática são raras;
  • 66.
    • TC –erosão óssea por uma massa de tecido mole das paredes do CAE ou CAI; • Adenocarcinomas – achados iguais ao carcinomas de células escamosas, porém mtx para os linfonodos é mto comum;
  • 67.
    • RABDOMIOSSARCOMAS –neoplasia mais comum em crianças; altamente agressiva; • TC – massa de tecidos moles no CAI, causando destruição óssea;
  • 68.
    • Tumores malignos que acometem o temporal secundariamente – nasofaringe, pele e glândulas salivares; • Metástases – lesões osteolíticas (mama, pulmão, TGI, rins)/osteoblásticas (prostata);
  • 69.
    FRATURAS LONGITUDINAIS • Ocorrem no eixo longitudinal da pirâmide petrosa; podem estender-se para porção escamosa e para a cavidade timpânica; • Cursam com perda auditiva, paralisia facial;
  • 70.
    FRATURAS TRANSVERSAIS • 20% casos; • Atravessam o osso temporal de posterior para anterior; • Causam disfunção labiríntica e “ouvido morto” se o traço de fratura atravessar o vestíbulo, canais semicirculares ou a cóclea; Pode paralisia facial;
  • 72.
    BIBLIOGRAFIA • CT andMRI of the Whole Body. John R. Haaga • Clinically Oriented Anatomy, 5th Edition. Moore, Keith L.; Dalley, Arthur F. • Applied Radiological Anatomy for Medical Students. PAUL BUTLER; ADAM W. M. MITCHELL; HAROLD ELLIS. • Atlas de Anatomia Humana. NETTER, Frank H. 2.ed.