RESSONÂNCIA MAGNÉTICA:
Uma Abordagem Completa
Profa. Ma. Dra. Ariela Mauller
O Que é a Ressonância Magnética?
A ressonância magnética (RM) é uma técnica de
imagem médica não invasiva que utiliza campos
magnéticos e ondas de rádio para produzir imagens
detalhadas de órgãos, tecidos e estruturas do corpo. Ao
contrário dos raios-X ou da tomografia
computadorizada (TC), a RM não utiliza radiação
ionizante, tornando-se uma opção mais segura para
diversos pacientes, incluindo crianças e gestantes.
A RM baseia-se no princípio da ressonância nuclear
magnética, que ocorre quando os núcleos de átomos
de hidrogênio no corpo são expostos a um campo
magnético externo e ondas de rádio. A forma como os
núcleos reagem a essas ondas de rádio permite a
criação de imagens que revelam diferenças sutis nos
tecidos do corpo, permitindo a detecção de
anormalidades que podem ser difíceis de visualizar com
outras técnicas de imagem.
Um Passeio Pela História da RM
1
1945
Felix Bloch e Edward Purcell, da
Universidade de Stanford e Universidade
de Harvard, respectivamente, descobrem o
momento do campo magnético, abrindo
caminho para o desenvolvimento da
ressonância magnética nuclear.
2
1970s
Paul Lauterbur (EUA) e Peter
Mansfield (Reino Unido) são
pioneiros na aplicação da RM para
imagens médicas. Suas pesquisas
revolucionaram o diagnóstico
médico, permitindo visualizar o
interior do corpo de forma não
3
1980s
A RM se torna uma ferramenta de diagnóstico
amplamente utilizada em hospitais e clínicas, com
avanços tecnológicos impulsionando a qualidade
das imagens e a capacidade de detecção de
condições médicas complexas.
4
Presente
A RM continua a evoluir, com novas técnicas e
tecnologias sendo desenvolvidas para aprimorar a
precisão, resolução e aplicações da técnica,
impulsionando o diagnóstico e tratamento médico.
Os Fundamentos da RM
O Papel do Hidrogênio
A RM se baseia na detecção de átomos de hidrogênio,
que são abundantes no corpo humano. Os núcleos
desses átomos possuem um spin, o que significa que
eles atuam como pequenos ímãs.
A Influência do Campo Magnético
Quando um corpo é colocado em um campo magnético
forte, os núcleos de hidrogênio se alinham com esse
campo. Essa orientação é perturbada por ondas de
rádio, que provocam a ressonância dos núcleos.
Não se usa radiação ionizante, mas
um potente campo
magnético.
O maior e mais importante
componente da ressonância
magnética é o magneto.
Por que a RM utiliza o átomo de hidrogênio ?
Abundância no corpo humano;
Possuir um momento magnético alto.
Estrutura do Hidrogênio.
1 próton em seu núcleo (+)
Não possui neutrons
1 elétron em sua elétrosfera(-)
O Magneto: O Coração da RM
Supercondutores
Os magnetos supercondutores são
os mais poderosos,
proporcionando imagens de alta
qualidade. São refrigerados a
temperaturas extremamente
baixas usando hélio líquido. Sua
alta capacidade de gerar campos
magnéticos é ideal para exames
complexos.
Resistivos
Os magnetos resistivos são mais
simples e menos potentes,
geralmente usados em
equipamentos de campo aberto.
São mais acessíveis, mas produzem
imagens de menor qualidade e são
limitados para alguns exames
específicos.
Permanentes
Os magnetos permanentes são os
menos potentes e são usados em
equipamentos de baixo custo. São
usados principalmente para
exames de extremidades, como
mãos e pés, e não são apropriados
para exames mais complexos.
O magneto da ressonância magnética (RM) é o componente central do
aparelho que gera um campo magnético extremamente forte e uniforme,
essencial para realizar o exame de RM. Esse campo magnético alinha os
prótons (principalmente de hidrogênio, encontrados em abundância na água
e gordura do corpo humano), permitindo que sejam manipulados e
detectados pelos sinais gerados.
Como a RM Produz Imagens
O Sinal da RM
A forma como os núcleos de hidrogênio reagem às
ondas de rádio é captada por bobinas detectoras,
gerando um sinal que é processado para criar imagens.
O sinal varia de acordo com a densidade de hidrogênio
e as propriedades dos tecidos.
A Importância do Contraste
Para diferenciar os tecidos, a RM utiliza contrastes, que
são substâncias que alteram o sinal dos tecidos em que
são injetadas, tornando algumas estruturas mais
visíveis e facilitando o diagnóstico de doenças.
Quando o paciente é posicionado no
interior do magneto (B0), os prótons de
hidrogênio irão se orientar de acordo com
a direção do campo aplicado
O Processo de Aquisição de Imagens
1 1. Preparo do Paciente
O paciente é solicitado a remover objetos metálicos que podem interferir com o campo magnético. Ele é então posicionado na maca do
equipamento.
2 2. Aplicação do Campo Magnético
O magneto é ligado, gerando um campo magnético forte que alinha os núcleos de hidrogênio no corpo.
3 3. Pulso de Radiofrequência (RF)
Ondas de rádio são aplicadas ao paciente, causando a ressonância dos núcleos de hidrogênio e perturba a orientação dos núcleos.
4 4. Aquisição do Sinal
Quando o pulso de RF é desligado, os núcleos voltam à sua orientação original, emitindo um sinal que é detectado por bobinas receptoras.
5 5. Processamento do Sinal
O sinal captado é processado por um computador para gerar imagens detalhadas dos tecidos e órgãos.
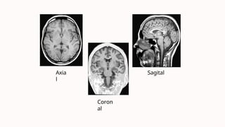
Planos de Corte em RM
Axial
O plano axial é
perpendicular à coluna
vertebral, como fatias
horizontais do corpo. É
usado para visualizar o
cérebro, a medula espinhal,
o abdome e outras
estruturas.
Sagital
O plano sagital divide o
corpo em direita e
esquerda, como fatias
verticais. É usado para
visualizar o cérebro, a
medula espinhal, o crânio e
a coluna vertebral.
Coronal
O plano coronal divide o corpo em anterior e posterior, como
fatias frontais. É usado para visualizar o cérebro, o rosto, o
peito e o abdômen.
Axia
l
Coron
al
Sagital
A Importância do Contraste
O Que é Contraste?
O contraste é uma substância que é injetada no
paciente durante o exame de RM para melhorar a
qualidade da imagem e destacar certas estruturas ou
lesões.
Como o Contraste Funciona?
O contraste é composto de gadolínio, um elemento
químico que aumenta o sinal de certos tecidos,
tornando-os mais visíveis nas imagens de RM. Ele é
geralmente administrado por via intravenosa.
O tipo de contraste utilizado na RM é o gadolínio que
não utiliza iodo. Portanto, seu poder de causar
alergias é muito baixo, desprezível quando
comparado ao do iodo. (utilizado na TC).
Comparando RM e Tomografia
Computadorizada (TC)
Característica RM TC
Radiação Não utiliza radiação
ionizante
Utiliza radiação ionizante
Contraste Contraste à base de
gadolínio
Contraste à base de iodo
Planos de Corte Axial, sagital, coronal Principalmente axial
Tecidos Moles Excelente visualização
de tecidos moles
Menor contraste de
tecidos moles
Ossos Menor contraste de ossos Excelente visualização
de ossos
Custos Geralmente mais caro Geralmente mais
acessível
Termos utilizados em RM :
Ausência
Hipo sinal
Iso-sinal
Hiper sinal
RM
Aplicações da RM na Medicina
Neurologia
Diagnostica doenças como
tumores cerebrais, derrames,
esclerose múltipla e outras
condições neurológicas.
Ortopedia
Avalia lesões
musculoesqueléticas, como
fraturas, rupturas de
ligamentos, tendinite e outros
problemas nas articulações.
Cardiologia
Estuda o coração e os vasos
sanguíneos, detectando
problemas como doenças
cardíacas, aneurismas e
outras condições.
Oncologia
Auxilia no diagnóstico e
estadiamento do câncer,
monitorando a resposta ao
tratamento e avaliando a
presença de metástases.
Vantagens da RM
Alta Resolução de Imagem
A RM oferece imagens
detalhadas de tecidos moles,
permitindo a detecção de
lesões e anormalidades com
grande precisão.
Segurança
A RM é um procedimento não
invasivo que não utiliza
radiação ionizante, tornando-a
segura para pacientes de
todas as idades, incluindo
crianças e gestantes.
Versatilidade
A RM é utilizada em uma
ampla gama de especialidades
médicas, permitindo a
detecção de uma variedade de
condições de saúde.
Multiplanar
A RM permite obter imagens
em múltiplos planos (axial,
coronal, sagital) sem
necessidade de reposicionar o
paciente.
Contra-indicações para a RM
1 1. Marca-passo Cardíaco
O campo magnético intenso
pode interferir no
funcionamento do marca-
passo cardíaco, colocando o
paciente em risco.
2 2. Clipes para
Aneurismas Cerebrais
Clipes metálicos podem
aquecer e se mover no campo
magnético, causando danos
cerebrais.
3 3. Implantes Cocleares
Implantes cocleares também
podem ser afetados pelo
campo magnético, causando
danos à audição.
4 4. Ferimentos por Arma de Fogo
Fragmentos de metal podem se mover no campo
magnético, causando danos e complicações.
5 5. Algumas Próteses Metálicas Específicas
Alguns tipos de próteses metálicas podem ser
incompatíveis com a RM, dependendo do material
e da localização.
Desvantagens da RM
1 1. Custo Elevado
O custo dos equipamentos de
RM e dos exames é alto,
tornando-os menos acessíveis
em alguns casos.
2 2. Claustrofobia
A RM é realizada em um tubo
estreito, o que pode causar
desconforto para pessoas
com claustrofobia.
3 3. Impossibilidade de
Movimento
O paciente precisa ficar imóvel
durante o exame, o que pode
ser difícil para crianças ou
pessoas com dificuldades de
movimentação.
4 4. Artefatos Metálicos
Objetos metálicos podem causar distorções nas
imagens, dificultando o diagnóstico preciso.
5 5. Tempo de Exame
O tempo de duração do exame pode variar, mas
pode ser longo, o que pode causar desconforto
para o paciente.
Preparo para o Exame de RM
1 1. Questionário Detalhado
O paciente deve responder a um questionário detalhado
sobre sua saúde e histórico médico, incluindo a presença de
implantes metálicos, alergias e medicamentos.
2 2. Remoção de Objetos Metálicos
O paciente deve remover todos os objetos metálicos, como
joias, relógios, celulares, carteiras, chaves e próteses
dentárias removíveis.
3 3. Roupas Adequadas
O paciente deve usar roupas confortáveis e sem fechos
metálicos, como um avental de tecido. O hospital
geralmente fornece roupas apropriadas para o exame.
4 4. Orientações Específicas
O médico ou técnico de RM fornecerá orientações
específicas para o exame, como a necessidade de jejum ou
de administrar medicamentos antes do exame.
O Que Acontece Durante o Exame de RM?
Posição do Paciente
O paciente deita-se em uma maca
que é deslizada para dentro do
tubo do equipamento de RM. Uma
bobina é posicionada na região do
corpo que será examinada.
O Som da RM
Durante o exame, o paciente ouvirá
sons de batidas fortes, que são
produzidos pelos campos
magnéticos e ondas de rádio.
Comunicação com o Técnico
O técnico de RM está em constante
comunicação com o paciente
através de um interfone,
monitorando o procedimento e
respondendo a quaisquer dúvidas.
Lidando com a Claustrofobia
RM de Campo Aberto
Para pacientes com
claustrofobia, existe a
opção de realizar o exame
em um equipamento de
RM de campo aberto, que
possui um tubo mais
amplo e aberto.
Sedativos
Em alguns casos, o
médico pode prescrever
um sedativo leve para
aliviar o desconforto e a
ansiedade durante o
exame.
Anestesia
Em casos de claustrofobia severa, a anestesia pode ser
considerada, mas deve ser avaliada pelo médico.
O Fenômeno da Ressonância Magnética
O Spin Nuclear
O núcleo de um átomo possui um spin, que é um
momento angular intrínseco que o faz se comportar
como um pequeno ímã.
A Importância do Hidrogênio
Os átomos de hidrogênio, abundantes no corpo
humano, possuem um spin nuclear que os torna
particularmente sensíveis aos campos magnéticos
externos.
-RM é baseada na atividade
eletromagnética do núcleo
atômico
-Tem um giro líquido, porque
eles são ímpares e os spins
de seus prótons e nêutrons
não se anulam
-Cada núcleo rota em torno
do seu próprio eixo, e todo
corpo carregado
eletricamente,quando em
movimento, induz campo
magnetico
A obtenção da imagem por ressonância magnética a partir do hidrogênio se deve ao
fato de este elemento estar amplamente distribuído nos tecidos biológicos e por
suas características em responder a campos magnéticos externos como se fosse um
pequeno ímã. A obtenção de imagens a partir de outros elementos, como o fósforo,
o flúor e o sódio, também é possível, no entanto a baixa constituição desses
elementos no corpo humano inviabiliza o seu uso.
-Aplica-se campo magnetico externo (Bo), provoca oscilaçao do nucleo  precessão
-Cada elemento quimico que possua Spin e for colocado sob campo magnetico 
precessão
-Frequencia de precessão é propria de cada elemento, diretamente proporcional à
força do campo magnetico
-Em fase: mesmo ritmo, mesma velocidade e na mesma posicao em determinado
momento do tempo
Física da RM
RESSONÂNCIA
✕ As ondas de rádio afetam os núcleos em
precessão, significa que, à medida que o
núcleo roda, o campo magnético parece
ter efeito máximo em "empurrar" o
núcleo para longe do campo magnético
estático exatamente no tempo
apropriado.
A Equação de Larmor
ω0 = γB0
A frequência de precessão, ω0, é diretamente proporcional ao
campo magnético externo, B0, e à razão giromagnética, γ, que é
uma constante característica de cada núcleo atômico.
Clique para editar o formato do
texto do título
Bobina
M
Bateria
+ -

Pulso de RF
Quando o
interruptor é
acionado, a bobina
gera a onda
eletromagnética.
A onda
eletromagnética é
uma perturbação
que se propaga no
espaço, composta
por campos elétricos
e magnéticos
oscilantes
perpendicularmente
entre si.
Clique para editar o formato do
texto do título
O movimento de precessão pode ser entendido como uma distorção do spin
nuclear em resultado da ação do campo magnético externo.
O núcleo do hidrogênio altera o seu movimento giratório de uma “linha” para um
”cone” sobre o próprio eixo.
Esse movimento é denominado precessão, e pode ser comparado ao movimento
giratório de um pião no momento em que este começa a perder a sua força
(cambaleio).
MOVIMENTO DE PRECESSÃO
Clique para editar o formato do
texto do título
Clique para editar o formato do
texto do título
Se aplicarmos um campo externo ao material paramagnético, seus spins se
alinham a Bo:
– Paralelos:
• Menor energia
• Maior quantidade (em geral)
– Antiparalelos:
• Maior energia
Se aplicarmos um campo externo ao material paramagnético, seus spins se
alinham a Bo:
–Paralelos:
•Menor energia
•Maior quantidade (em geral)
–Antiparalelos:
•Maior energia
O Movimento de Precessão
O movimento de precessão é um giro cômico do núcleo do átomo
de hidrogênio em torno do eixo do campo magnético externo. Essa
precessão é influenciada pela força do campo magnético e pela
razão giromagnética do núcleo.
Alinhamento dos Spins
Sem Campo Magnético
Quando o campo magnético externo não está presente,
os spins dos núcleos de hidrogênio estão orientados
aleatoriamente.
Com Campo Magnético
Quando o campo magnético externo é aplicado, os
spins se alinham paralelamente ou antiparalelamente
ao campo magnético.
O Vetor de Magnetização
O vetor de magnetização é a soma vetorial de todos os momentos
magnéticos dos núcleos de hidrogênio no corpo. Essa
magnetização resultante é o sinal que é detectado pelos
equipamentos de RM.
O Pulso de Radiofrequência
(RF)
O pulso de RF é uma onda eletromagnética que é aplicada ao
paciente durante o exame de RM. Ele é usado para perturbar o
alinhamento dos spins dos núcleos de hidrogênio e faz com que
eles precessem em fase.
•Tecidos diferentes  diferentes valores T1, T2
•Gordura: recuperação T1 mais curto (mais rápido) e declínio T2 mais curto
• X
•Água: recuperação T1 e declínio T2 relativamente longos
•Declínio T2 : dependente do heterogeneidade do meio magnético / muito
rapidamente em gordura e água
•Recuperação T1
• Núcleos liberam energia para o meio ambiente
• Recuperação de 63% da magnetização longitudinal
•Decaimento T2
• Interação do núcleos entre si (spin-spin)
• Perda de 37% da manetização transversal
•Declínio de Indução Livre (Free Induction Decay)
• Pulso de RF desligado  corrente elétrica na bobina recebtora diminui até cessar
O Sinal da RM
A precessão em fase dos núcleos de hidrogênio induz uma corrente
elétrica em uma bobina receptora, que é o sinal detectado pelos
equipamentos de RM. Esse sinal é usado para gerar as imagens de
RM.
✕ Os eixos de coordenadas (x, y e z) e o vetor
que representa o momento magnético de
um próton de hidrogênio realizando o
movimento de precessão em torno do eixo
z. O eixo z, ou longitudinal, representa a
direção de aplicação do campo magnético
principal (B0).
O plano xy é chamado de plano transversal.
✕ Spins irão se alinhar paralelamente e ante-
paralelamente à Bo ocorrendo um
cancelamento mútuo do vetor momento
magnético.
✕ Um componente de magnetização
resultante M0 irá surgir alinhada ao eixo
longitudinal.
RETORNO DA MAGNETIZAÇÃO
LONGITUDINAL (MZ) AO ALINHAMENTO.
✕ O tempo necessário para a magnetização longitudinal recuperar 63% do seu
valor inicial é chamado de tempo 1 ou simplesmente T1.
DECAIMENTO DA MAGNETIZAÇÃO
TRANSVERSAL – TEMPO T2
✕ O tempo necessário que a magnetização
no plano transversal atinja 37% do seu
valor inicial é chamado de T2.
Relaxamento T1 e T2
Relaxamento T1
O relaxamento T1 é o tempo que os núcleos de
hidrogênio levam para retornar ao seu estado de
equilíbrio após a aplicação do pulso de RF. É
caracterizado pelo retorno da magnetização
longitudinal.
Relaxamento T2
O relaxamento T2 é o tempo que os núcleos de
hidrogênio levam para perder a sua fase de precessão
após o pulso de RF. É caracterizado pelo decaimento da
magnetização transversal.
Imagens Ponderadas em T1
e T2
As imagens de RM podem ser ponderadas em T1 ou T2 para realçar
diferentes características dos tecidos. As imagens T1-ponderadas
mostram os tecidos ricos em gordura em tons mais brilhantes,
enquanto as imagens T2-ponderadas mostram os tecidos ricos em
água em tons mais brilhantes.
•Tempo de Repetição (TR): entre cada pulso de RF
•Tempo de Eco (TE): entre o pulso de RF e o pico de eco detectado
(sinal na bobina)
• TR  recuperação T1 (afeta contraste na ponderação T1)
• TE  declínio T2 (afeta contraste na ponderação T2)
• TR longo e TE curto: ponderação Densidade de Prótons  DP
Física da RM
Clique para editar o formato do
texto do título
relaxamento T1 leva à recuperação da magnetização
longitudinal, devido à dissipação de energia para o
retículo circundante.
O declínio T2 é causado pela troca de
energia entre núcleos vizinhos. A troca
de energia é causada pela interação
dos campos magnéticos de cada
núcleo com seu vizinho. É
freqüentemente denominada
relaxamento spin e acarreta o declínio
ou perda da magnetização transversa
Clique para editar o formato do
texto do título
O relaxamento T2 leva à perda da
magnetização transversa devido a interações
entre os campos magnéticos de núcleos
adjacentes.
Sequências de Pulso em RM
As sequências de pulso são programas que determinam a ordem e
o tempo de aplicação dos pulsos de RF e dos gradientes de campo
magnético durante o exame de RM. Cada sequência de pulso
produz imagens com características específicas, adequadas para
diferentes aplicações.
Gradientes de Campo
Magnético
Os gradientes de campo magnético são usados para criar variações
no campo magnético principal. Essas variações afetam a frequência
de precessão dos núcleos de hidrogênio, permitindo a localização
espacial dos sinais da RM.
Reconstrução de Imagens
O sinal da RM é processado por um computador para gerar
imagens. Esse processo envolve a transformação dos dados do
sinal em uma representação espacial, usando algoritmos
matemáticos complexos. O resultado é uma imagem detalhada dos
tecidos e órgãos.
Aplicações Avançadas da RM
Ressonância Magnética Funcional (fMRI)
A fMRI mede a atividade cerebral, detectando
alterações no fluxo sanguíneo em diferentes
regiões do cérebro. É usada para estudar funções
cognitivas, como memória, linguagem e emoção.
Difusão e Perfusão
Técnicas de RM de difusão e perfusão medem o
movimento de moléculas de água e o fluxo
sanguíneo nos tecidos. São usadas para detectar e
caracterizar lesões isquêmicas, como derrames.
Espectroscopia de Ressonância Magnética
(MRS)
A MRS analisa a composição química dos tecidos,
detectando diferentes metabólitos. É usada para
estudar o metabolismo e para diagnosticar
doenças como tumores e doenças metabólicas.
Magnetoencefalografia (MEG)
A MEG mede a atividade elétrica no cérebro,
detectando os campos magnéticos gerados pela
atividade neuronal. É usada para estudar funções
cognitivas e para diagnosticar doenças
neurológicas.
O Futuro da RM
Melhor Resolução e
Sensibilidade
O desenvolvimento de novas
tecnologias e técnicas está
aprimorando a resolução e a
sensibilidade dos exames de RM,
permitindo a detecção de
detalhes mais finos e a
visualização de estruturas
menores.
Avanços em Processamento
de Imagens
Algoritmos avançados de
processamento de imagens
estão melhorando a qualidade
das imagens, reduzindo o ruído e
realçando o contraste.
Integração com Outras
Tecnologias
A RM está sendo integrada com
outras tecnologias de imagem e
de tratamento, como a cirurgia
robótica e a terapia guiada por
imagem.
Novas Aplicações
A RM está sendo usada em novas
áreas, como pesquisa em
neurociência, estudo de doenças
genéticas e desenvolvimento de
novos medicamentos.
Aplicações da RM em Diferentes
Especialidades
Neurologia
Diagnostica doenças como tumores
cerebrais, derrames, esclerose múltipla,
doença de Alzheimer, epilepsia e outras
condições neurológicas.
Cardiologia
Estuda o coração e os vasos
sanguíneos, detectando problemas
como doenças cardíacas, aneurismas,
cardiomiopatia e outras condições.
Ortopedia
Avalia lesões musculoesqueléticas,
como fraturas, rupturas de ligamentos,
tendinite, osteoartrite e outros
problemas nas articulações.
Gastroenterologia
Diagnostica doenças do trato digestivo,
como doenças inflamatórias intestinais,
tumores, doença de Crohn e outras
condições.
RM no Diagnóstico de Tumores
Detecção Precoce
A RM é uma ferramenta poderosa para a detecção
precoce de tumores em diversos órgãos, como cérebro,
pulmão, fígado e outros.
Estadiamento e Monitoramento
A RM auxilia no estadiamento do tumor, determinando
seu tamanho, localização e se ele se espalhou para
outros órgãos. É também utilizada para monitorar a
resposta ao tratamento.
RM no Diagnóstico de Doenças
Neurológicas
Derrames
A RM é um exame essencial para
o diagnóstico rápido e preciso de
derrames, permitindo a
identificação da área afetada e a
avaliação do dano cerebral.
Esclerose Múltipla
A RM é utilizada para detectar as
lesões características da
esclerose múltipla, monitorando
a progressão da doença e
avaliando a resposta ao
tratamento.
Doença de Alzheimer
A RM ajuda a avaliar o tamanho
e a estrutura do cérebro,
detectando alterações
associadas à doença de
Alzheimer.
Epilepsia
A RM pode ajudar a identificar
áreas do cérebro que estão
causando as crises epilépticas,
fornecendo informações
importantes para o tratamento.
RM no Diagnóstico de Doenças
Musculoesqueléticas
Lesões Ligamentares
A RM permite visualizar os
ligamentos, tendões e músculos,
detectando rupturas,
estiramentos e outras lesões.
Osteoartrite
A RM auxilia no diagnóstico e
monitoramento da osteoartrite,
mostrando o desgaste da
cartilagem e a formação de
esporões ósseos.
Doença de Lyme
A RM pode detectar a presença
de inflamação e edema nas
articulações, que são sintomas
comuns da doença de Lyme.
Tumores Ósseos
A RM pode detectar tumores
ósseos, mesmo em estágios
iniciais, fornecendo informações
importantes para o tratamento.
RM no Diagnóstico de Doenças Cardíacas
Doenças Coronárias
A RM do coração ajuda a identificar o bloqueio das artérias
coronárias, que podem causar ataques cardíacos.
Cardiomiopatia
A RM pode detectar alterações no músculo cardíaco,
incluindo cardiomiopatia, que é uma doença do músculo
cardíaco.
Aneurismas
A RM pode detectar aneurismas, que são dilatações anormais
nas paredes dos vasos sanguíneos.
Doenças das Valvas Cardíacas
A RM pode avaliar o funcionamento das valvas cardíacas,
detectando problemas como estreitamento ou prolapso das
valvas.
RM no Diagnóstico de
Doenças do Trato Digestivo
Doença de Crohn
A RM ajuda a diagnosticar e
monitorar a doença de
Crohn, mostrando a
inflamação e as alterações
no intestino.
Colite Ulcerativa
A RM pode detectar a
inflamação e as ulcerações
no intestino grosso,
sintomas comuns da colite
ulcerativa.
Tumores do Trato
Digestivo
A RM é útil para detectar
tumores no esôfago,
estômago, intestino delgado
e intestino grosso.
Doenças do Fígado
A RM pode detectar doenças
do fígado, como cirrose,
esteatose hepática e
tumores.
RM no Diagnóstico de Doenças
dos Rins
Cistos Renais
A RM pode detectar cistos
renais, que são bolsas cheias
de líquido nos rins.
Tumores Renais
A RM pode detectar tumores
renais, incluindo tumores
malignos e benignos.
Doença Renal Policística
A RM é útil para diagnosticar e
monitorar a doença renal
policística, uma condição que
causa o crescimento de
múltiplos cistos nos rins.
Insuficiência Renal
A RM pode ajudar a avaliar o
tamanho e a função dos rins,
auxiliando no diagnóstico de
insuficiência renal.
RM no Diagnóstico de
Doenças dos Órgãos Genitais
Endometriose
A RM é usada para detectar
a endometriose, uma
condição em que o tecido
endometrial cresce fora do
útero.
Tumores dos Órgãos
Genitais
A RM pode detectar tumores
nos ovários, útero, próstata
e testículos.
Infertilidade
A RM pode avaliar a
estrutura e a função dos
órgãos reprodutivos,
ajudando a diagnosticar a
infertilidade.
Doenças da Próstata
A RM é útil para detectar
câncer de próstata e outras
doenças da próstata.
RM no Diagnóstico de Doenças
do Sistema Nervoso Central
Hérnia de Disco
A RM é um exame fundamental
para a identificação de hérnias
de disco, mostrando a
compressão da raiz nervosa.
Estreitamento do Canal
Vertebral
A RM pode detectar
estreitamento do canal
vertebral, que pode comprimir
a medula espinhal e os nervos.
Escoliose
A RM ajuda a avaliar a
curvatura anormal da coluna
vertebral, conhecida como
escoliose.
Tumores da Medula Espinhal
A RM pode detectar tumores na
medula espinhal, que podem
causar dor, fraqueza e outros
sintomas.
RM no Diagnóstico de Doenças do Sistema Nervoso Periférico
Síndrome do Túnel do Carpo
A RM pode detectar compressão do nervo mediano no túnel do
carpo, que causa dor, dormência e formigamento na mão.
Síndrome do Desfiladeiro Torácico
A RM ajuda a identificar a compressão dos nervos e vasos
sanguíneos na região do desfiladeiro torácico, que causa dor,
dormência e fraqueza no braço.
Nervura Cervical
A RM pode detectar compressão de nervos cervicais, que causa
dor, dormência e fraqueza no braço e na mão.
Neuropatia Periférica
A RM pode ajudar a avaliar a extensão e a localização da
neuropatia periférica, que é uma doença que afeta os nervos
periféricos.
RM no Diagnóstico de Doenças
dos Seios da Mama
Câncer de Mama
A RM é uma ferramenta
importante para o diagnóstico
precoce do câncer de mama,
especialmente em mulheres
com alto risco.
Fibroadenomas
A RM pode ajudar a
diferenciar fibroadenomas,
que são tumores benignos, de
outros tipos de lesões
mamárias.
Cistos Mamários
A RM pode detectar cistos
mamários, que são bolsas
cheias de líquido que
geralmente são benignas.
Inflamação Mamária
A RM pode detectar
inflamação mamária, que
pode ser causada por infecção
ou outras condições.
RM no Diagnóstico de
Doenças dos Órgãos da
Pelve
Câncer de Ovário
A RM ajuda a detectar
câncer de ovário em
estágios iniciais, quando
as chances de cura são
maiores.
Câncer de Útero
A RM pode detectar
câncer de útero, incluindo
câncer endometrial e
câncer cervical.
Câncer de Próstata
A RM é utilizada para a
detecção precoce do
câncer de próstata e para
o estadiamento da
doença.
Doenças da Bexiga
A RM pode detectar
tumores na bexiga e
outras doenças da bexiga.
RM no Diagnóstico de Doenças do Cérebro
Doenças Cerebrovasculares
A RM é uma ferramenta essencial para o diagnóstico de
doenças cerebrovasculares, como derrames e
aneurismas.
Traumatismo Cranioencefálico
A RM pode detectar lesões no cérebro causadas por
traumatismo cranioencefálico.
Tumores Cerebrais
A RM é um exame fundamental para a detecção precoce
de tumores cerebrais.
Doenças Desmielinizantes
A RM é utilizada para diagnosticar doenças
desmielinizantes, como a esclerose múltipla.
RM no Diagnóstico de
Doenças do Olho
Glaucoma
A RM pode ajudar a
detectar o glaucoma, uma
doença que causa danos
ao nervo óptico.
Tumores do Olho
A RM pode detectar
tumores no olho,
incluindo tumores da
retina e do nervo óptico.
Doenças da Retina
A RM pode ajudar a
diagnosticar doenças da
retina, como a retinopatia
diabética.
Doenças do Nervo
Óptico
A RM pode detectar
doenças do nervo óptico,
como a neurite óptica.
RM no Diagnóstico de
Doenças do Orelho
Tumores do Orelho
A RM pode detectar
tumores no ouvido
interno e no ouvido
médio.
Doenças do Orelho
Interno
A RM pode ajudar a
diagnosticar doenças do
ouvido interno, como a
doença de Ménière.
Doenças do Nervo Auditivo
A RM pode detectar doenças do nervo auditivo, como a
neuroma acústico.
RM no Diagnóstico de
Doenças do Pescoço
Tumores do Pescoço
A RM pode detectar tumores
no pescoço, incluindo
tumores da tireoide,
glândulas paratireoides e
linfonodos.
Doenças da Tireoide
A RM pode ajudar a avaliar a
tireoide, detectando nódulos
e outras alterações.
Doenças das Glândulas
Paratireoides
A RM pode detectar doenças
das glândulas paratireoides,
que regulam o cálcio no
sangue.
Doenças dos
Linfonodos do Pescoço
A RM pode ajudar a avaliar
os linfonodos do pescoço,
detectando inflamação ou
outras alterações.
RM no Diagnóstico de
Doenças do Tórax
Câncer de Pulmão
A RM é um exame
importante para a
detecção precoce do
câncer de pulmão,
especialmente em
fumantes.
Doenças do Mediastino
A RM pode detectar
doenças no mediastino, a
região entre os pulmões,
como tumores e
inflamação.
Doenças da Parede
Torácica
A RM pode detectar
doenças da parede
torácica, como tumores e
infecções.
Doenças do Timo
A RM pode ajudar a avaliar
o timo, um órgão
imunológico localizado no
tórax.
RM no Diagnóstico de
Doenças do Abdômen
Tumores do Abdômen
A RM é útil para detectar
tumores no fígado,
pâncreas, rins, baço e
outros órgãos do
abdômen.
Doenças do Fígado
A RM ajuda a diagnosticar
doenças do fígado, como
cirrose, esteatose hepática
e tumores.
Doenças do Pâncreas
A RM pode detectar
inflamação do pâncreas,
conhecida como
pancreatite, e tumores
pancreáticos.
Doenças do Baço
A RM pode detectar
doenças do baço, como
esplenomegalia e
tumores.
RM no Diagnóstico de
Doenças da Pelve
Doenças do Útero
A RM ajuda a diagnosticar
doenças do útero, como
miomas, pólipos e câncer
endometrial.
Doenças dos Ovários
A RM pode detectar cistos
ovarianos, tumores
ovarianos e outras
doenças ovarianas.
Doenças da Bexiga
A RM pode ajudar a
diagnosticar doenças da
bexiga, como tumores e
cálculos.
Doenças da Próstata
A RM é utilizada para o
diagnóstico precoce do
câncer de próstata e para
o estadiamento da
doença.
RM no Diagnóstico de Doenças
do Aparelho Locomotor
Lesões Ligamentares
A RM é um exame
fundamental para o
diagnóstico de lesões
ligamentares, como rupturas
e estiramentos.
Lesões Meniscais
A RM ajuda a identificar
lesões meniscais, que são
lesões na cartilagem do
joelho.
Artrite
A RM pode detectar a artrite
em estágios iniciais e
monitorar sua progressão.
Doenças do Ombro
A RM é utilizada para
diagnosticar doenças do
ombro, como tendinite, rotura
do manguito rotador e
instabilidade.
RM no Diagnóstico de Doenças
da Coluna Vertebral
Hérnia de Disco
A RM é um exame essencial
para o diagnóstico de hérnias
de disco, mostrando a
compressão da raiz nervosa.
Estreitamento do Canal
Vertebral
A RM pode detectar
estreitamento do canal
vertebral, que pode comprimir
a medula espinhal e os nervos.
Espondilólise e
Espondilolistese
A RM ajuda a diagnosticar
espondilólise, uma fratura na
parte posterior do osso
vertebral, e espondilolistese,
um deslizamento de uma
vértebra sobre a outra.
Tumores da Coluna
Vertebral
A RM pode detectar tumores na
coluna vertebral, que podem
causar dor, fraqueza e outros
sintomas.
RM no Diagnóstico de Doenças
dos Membros
Fraturas
A RM pode detectar fraturas
ósseas, especialmente em
áreas difíceis de visualizar
com raios-X.
Lesões Musculares
A RM ajuda a identificar
lesões musculares, como
estiramentos, rupturas e
tendinite.
Doenças do Punho
A RM pode detectar doenças
do punho, como síndrome do
túnel do carpo, tendinite de
De Quervain e osteoartrite.
Doenças do Tornozelo e Pé
A RM é útil para diagnosticar
doenças do tornozelo e pé,
como entorses, fraturas de
estresse e tendinite de
Aquiles.
RM no Diagnóstico de Doenças
da Cabeça e Pescoço
Tumores da Cabeça e
Pescoço
A RM é uma ferramenta
importante para a detecção
precoce de tumores da
cabeça e pescoço.
Doenças dos Seios da
Face
A RM pode ajudar a
diagnosticar doenças dos
seios da face, como sinusite e
tumores.
Doenças da Glândula
Parótida
A RM pode detectar doenças
da glândula parótida, que
produz saliva.
Doenças dos Linfonodos
do Pescoço
A RM ajuda a avaliar os
linfonodos do pescoço,
detectando inflamação ou
outras alterações.
RM no Diagnóstico de Doenças do Abdômen e Pelve
Tumores do Abdômen e Pelve
A RM é uma ferramenta poderosa para a detecção precoce de
tumores no abdômen e na pelve.
Doenças do Fígado
A RM pode detectar doenças do fígado, como cirrose,
esteatose hepática e tumores.
Doenças do Pâncreas
A RM pode detectar inflamação do pâncreas, conhecida como
pancreatite, e tumores pancreáticos.
Doenças dos Rins
A RM é utilizada para diagnosticar doenças renais, como
cistos renais, tumores renais e doença renal policística.
Doenças do Baço
A RM pode detectar doenças do baço, como esplenomegalia e
tumores.
Doenças do Intestino
A RM pode ajudar a diagnosticar doenças do intestino, como
a doença de Crohn e a colite ulcerativa.
Doenças da Bexiga
A RM pode detectar tumores na bexiga e outras doenças da
bexiga.
Doenças da Próstata
A RM é utilizada para o diagnóstico precoce do câncer de
próstata e para o estadiamento da doença.
RM no Diagnóstico de Doenças do Sistema Respiratório
Câncer de Pulmão
A RM é um exame importante para a detecção precoce do
câncer de pulmão, especialmente em fumantes.
Doenças Pulmonares Intersticiais
A RM ajuda a diagnosticar doenças pulmonares intersticiais,
como a fibrose pulmonar.
Pneumonia
A RM pode detectar a pneumonia, mostrando a inflamação
nos pulmões.
Embolia Pulmonar
A RM pode detectar embolias pulmonares, que são coágulos
sanguíneos que bloqueiam as artérias pulmonares.
RM no Diagnóstico de Doenças do
Sistema Circulatório
Doenças Coronárias
A RM do coração ajuda a
identificar o bloqueio das
artérias coronárias, que podem
causar ataques cardíacos.
Cardiomiopatia
A RM pode detectar alterações
no músculo cardíaco, incluindo
cardiomiopatia, que é uma
doença do músculo cardíaco.
Aneurismas
A RM pode detectar aneurismas,
que são dilatações anormais nas
paredes dos vasos sanguíneos.
Doenças das Valvas
Cardíacas
A RM pode avaliar o
funcionamento das valvas
cardíacas, detectando problemas
como estreitamento ou prolapso
das valvas.
RM no Diagnóstico de
Doenças do Sistema
Urinário
Doenças Renais
A RM é utilizada para
diagnosticar doenças
renais, como cistos renais,
tumores renais e doença
renal policística.
Doenças da Bexiga
A RM pode detectar
tumores na bexiga e
outras doenças da bexiga.
Doenças da Próstata
A RM é utilizada para o diagnóstico precoce do câncer de
próstata e para o estadiamento da doença.
RM no Diagnóstico de
Doenças do Sistema
Reprodutivo
Doenças do Útero
A RM ajuda a diagnosticar
doenças do útero, como
miomas, pólipos e câncer
endometrial.
Doenças dos Ovários
A RM pode detectar cistos
ovarianos, tumores
ovarianos e outras
doenças ovarianas.
Infertilidade
A RM pode avaliar a estrutura e a função dos órgãos
reprodutivos, ajudando a diagnosticar a infertilidade.
JÁ DEU, QUE DIA COMEÇA AS
FÉRIAS?
Obrigada!
Introdução à Ressonância
Magnética
A ressonância magnética (RM) é uma técnica de imagem médica
que utiliza um campo magnético potente e ondas de rádio para
criar imagens detalhadas do interior do corpo.
Dra Ariela Mauller
Física da RM: Um Olhar Aprofundado
A RM baseia-se no princípio da ressonância magnética
nuclear, onde núcleos atômicos, principalmente de
átomos de hidrogênio, são alinhados em um campo
magnético forte.
Quando um pulso de radiofrequência (RF) é aplicado,
esses núcleos absorvem energia e passam para um
estado de maior energia. Ao cessar o pulso de RF, os
núcleos liberam essa energia, produzindo um sinal que
é detectado pelas bobinas do scanner.
Magnetização Longitudinal (Mz) e Transversal
(Mxy)
O alinhamento dos núcleos no campo magnético cria
uma magnetização longitudinal (Mz) ao longo do eixo
do campo magnético.
O pulso de RF desloca esses núcleos para um estado de
maior energia, fazendo com que a magnetização se
mova para o plano transversal (Mxy).
Relaxamento T1 e T2
Recuperação T1
Após o pulso de RF, os núcleos perdem energia e
retornam ao estado de menor energia, recuperando a
magnetização longitudinal (Mz).
Decaimento T2
Os núcleos também interagem entre si, causando um
declínio na magnetização transversal (Mxy), conhecido
como decaimento T2.
Tempo de Relaxamento T1
O tempo de relaxamento T1 é o tempo que leva para a magnetização longitudinal recuperar 63% do seu valor inicial.
O T1 varia entre os tecidos, com tecidos ricos em gordura tendo um T1 mais curto e tecidos ricos em água tendo um
T1 mais longo.
Tempo de Relaxamento T2
O tempo de relaxamento T2 é o tempo que leva para a
magnetização transversal decair para 37% do seu valor inicial. O T2
também varia entre os tecidos, com tecidos ricos em água tendo
um T2 mais longo e tecidos ricos em gordura tendo um T2 mais
curto.
Tempo de Repetição (TR) e Tempo de Eco (TE)
Tempo de Repetição (TR)
O TR é o tempo entre dois pulsos de RF consecutivos.
Ele influencia o contraste das imagens de acordo com o
T1.
Tempo de Eco (TE)
O TE é o tempo entre o pulso de RF e a detecção do eco
do sinal. Ele influencia o contraste das imagens de
acordo com o T2.
Ponderação T1, T2 e
Densidade de Prótons (DP)
1 Ponderação T1
Imagens de ponderação
T1 usam TRs curtos e TEs
curtos, enfatizando a
diferença de T1 entre os
tecidos.
2 Ponderação T2
Imagens de ponderação
T2 usam TRs longos e TEs
longos, enfatizando a
diferença de T2 entre os
tecidos.
3 Ponderação DP
Imagens de ponderação DP usam TRs longos e TEs curtos,
enfatizando a diferença de densidade de prótons entre os
tecidos.
Como os Diferentes Tipos de Tecidos
Aparentam nas Imagens de RM
TIPO DE TECIDO T1 T2 DP
Osso Cortical Escura Escura Escura
Medula Óssea
Vermelha
Cinza Clara Cinza Escura Cinza Clara
Ar Escura Escura Escura
Gordura Brilhante Escura Brilhante
Substância Branca
do Encéfalo
Cinza Clara Cinza Escura Cinza Clara
Substância Cinzenta
do Encéfalo
Cinza Escura Cinza Clara Cinza Escura
LCR/Água Escura Brilhante Brilhante
Músculos Cinza Escura Cinza Escura Cinza Escura
Vasos Escura Escura Escura
Ponderação T1: Anatomia
Imagens de ponderação T1 são frequentemente utilizadas para
avaliar a anatomia do corpo, pois proporcionam um bom contraste
entre os diferentes tecidos.
Ponderação T2: Patologia
Imagens de ponderação T2 são frequentemente utilizadas para
detectar patologias, pois podem mostrar edema, inflamação e
outras alterações teciduais.
Sequências de Pulso: Abordagens para Criar Imagens
Spin-Eco (SE)
Uma técnica clássica que produz imagens de alta qualidade,
ideal para diferenciar tecidos moles.
Turbo Spin Echo (TSE)
Uma variação do SE que oferece aquisição mais rápida, ideal
para reduzir o tempo do exame.
Gradient Echo (GRE)
Utiliza gradientes de campo magnético, mais rápido que SE,
mas mais suscetível a artefatos.
Echo Planar Imaging (EPI)
Extremamente rápido, ideal para imagens funcionais de RM
(fMRI) e difusão.
Sequência Spin-Eco (SE): Uma Abordagem
Clássica
A sequência SE utiliza pulsos de RF de 90 graus e 180 graus para obter um sinal de eco após a aplicação do pulso de
180 graus.
Parâmetros de TR e TE na Sequência SE
SEQUÊNCIA TR TE
T1 250-700 10-25
T2 > 2000 > 60
DP > 2000 10-25
Sequência Turbo Spin Echo
(TSE): Aquisição Mais Rápida
A TSE utiliza múltiplos pulsos de 180 graus, permitindo a aquisição
de vários ecos em uma sequência, resultando em uma aquisição
mais rápida.
Sequência Gradiente-Eco
(GRE): Rápida e Sensível à
Susceptibilidade Magnética
A GRE utiliza gradientes de campo magnético para produzir ecos e
obter imagens de forma mais rápida que a SE. No entanto, é mais
suscetível a artefatos de suscetibilidade magnética.
Sequência Echo Planar
Imaging (EPI): Aquisição
Ultra-Rápida
A EPI é uma técnica de aquisição extremamente rápida, ideal para
imagens funcionais e de difusão, onde é crucial capturar imagens
rapidamente.
A Importância da Compensação de
Heterogeneidade de Campo Magnético
A heterogeneidade do campo magnético pode causar distorções nas imagens de RM, especialmente em áreas
próximas a implantes metálicos. Sequências como SE são mais resistentes a esses artefatos do que a GRE.
Aplicações de Sequências
de Pulso: Escolhendo a
Melhor Opção
A escolha da sequência de pulso depende da aplicação específica,
como a necessidade de alta qualidade da imagem, velocidade de
aquisição ou sensibilidade a artefatos.
Artefatos de
Susceptibilidade Magnética:
Um Desafio nas Imagens de
RM
Artefatos de susceptibilidade magnética são distorções no sinal de
RM que ocorrem perto de materiais com alta susceptibilidade
magnética, como metais. Essas distorções podem dificultar a
interpretação das imagens.
Entendendo o Espaço "K": A
Base da Imagem de RM
O espaço K é um conceito abstrato que representa o domínio da
frequência espacial, onde as informações sobre o sinal de RM são
armazenadas durante a aquisição da imagem.
O Processo de Codificação
do Sinal: Da Aquisição ao
Espaço "K"
As informações obtidas no processo de codificação espacial são
enviadas para o espaço K, onde são armazenadas em forma de
uma matriz de dados, antes de serem transformadas em uma
imagem.
Reconstrução da Imagem:
Transformando Dados do
Espaço "K" em uma Imagem
Uma transformada matemática é aplicada aos dados no espaço K
para gerar a imagem final, que é uma representação bidimensional
da anatomia do corpo.
Gradientes: Moldando o
Campo Magnético para
Seleção de Cortes
Os gradientes são campos magnéticos que variam linearmente ao
longo de cada eixo do scanner, permitindo a seleção de cortes
específicos e a codificação espacial do sinal.
O Gradiente Seletivo (Gz): Definindo a Espessura
do Corte
O gradiente seletivo, aplicado ao longo do eixo Z, define a espessura do corte a ser adquirido, selecionando uma fatia
específica do corpo.
Gradiente de Fase (Gy) e
Gradiente de Frequência
(Gx): Codificação Espacial do
Sinal
Os gradientes de fase (Gy) e de frequência (Gx) são aplicados para
codificar o sinal em cada ponto dentro do corte selecionado,
permitindo a localização espacial precisa dos sinais.
Eixos do Sistema de RM:
Definindo a Orientação do
Corte
O sistema de RM possui três eixos principais: Z (longitudinal), Y
(vertical) e X (horizontal), que são utilizados para definir a
orientação do corte a ser adquirido.
Cortes Axial, Sagital e Coronal:
Abrangendo a Anatomia em
Diferentes Planos
1 Corte Axial
Corte perpendicular ao eixo Z,
mostrando a anatomia em um
plano horizontal, paralelo ao
plano cranial e podal.
2 Corte Sagital
Corte perpendicular ao eixo Y,
mostrando a anatomia em um
plano vertical, paralelo aos
planos laterais, dividindo o
corpo em metades direita e
esquerda.
3 Corte Coronal
Corte perpendicular ao eixo X, mostrando a anatomia em um plano
vertical, paralelo aos planos ventral e dorsal, separando os planos
ventral e dorsal.
A Importância da Saturação
de Gordura: Melhorando o
Contraste
A saturação de gordura é uma técnica que suprime o sinal de
gordura, melhorando o contraste entre outros tecidos, como o
tecido muscular e o tecido cerebral.
Contraste em T1: Gordura
Brilhante, Água Escura
Em imagens de ponderação T1, a gordura tem um sinal alto e a
água tem um sinal baixo, tornando a gordura mais brilhante e a
água mais escura.
Contraste em T2: Água
Brilhante, Gordura Escura
Em imagens de ponderação T2, a água tem um sinal alto e a
gordura tem um sinal baixo, tornando a água mais brilhante e a
gordura mais escura.
Contraste em Densidade de
Prótons (DP): Refletindo a
Concentração de
Hidrogênio
Em imagens de ponderação DP, o sinal é proporcional à densidade
de prótons, ou seja, à concentração de átomos de hidrogênio.
Áreas com alto conteúdo de água terão sinal alto.
A Utilização da RM na
Diagnóstico de Doenças:
Desvendando os Mistérios
do Corpo
A RM é um método de imagem fundamental no diagnóstico de
uma ampla gama de doenças, incluindo tumores, doenças
neurológicas, doenças musculoesqueléticas e outras condições.
Vantagens da RM: Um Olhar
Aprofundado na Anatomia
1 Detalhes Sem
Precedentes
A RM fornece imagens de
alta resolução, revelando
detalhes complexos da
anatomia interna.
2 Sem Radiação
Ionizante
A RM não utiliza radiação
ionizante, tornando-a
segura para exames
frequentes.
3 Várias Ponderações
A flexibilidade em termos de ponderações T1, T2 e DP
permite a otimização do contraste para diferentes
aplicações.
Desvantagens da RM:
Limitantes e Considerações
1 Custo Elevado
A RM é uma técnica
relativamente cara, o que
pode limitar o acesso para
alguns pacientes.
2 Tempo de Exame Longo
Os exames de RM podem
durar de 30 minutos a mais de
uma hora, o que pode ser
desconfortável para alguns
pacientes.
3 Contraindicações
A RM tem contraindicações
para pacientes com
dispositivos metálicos
implantados, como marca-
passos e implantes cocleares.
4 Claustrofobia
O ambiente fechado do
scanner pode causar
claustrofobia em alguns
pacientes.
O Futuro da RM: Avanços e Novas Aplicações
A RM continua a evoluir com avanços tecnológicos, como técnicas de aquisição mais rápidas e maior resolução,
abrindo caminho para novas aplicações e diagnósticos mais precisos.
Considerações Éticas:
Privacidade do Paciente e
Uso Responsável da
Tecnologia
É fundamental abordar os aspectos éticos da RM, como a
privacidade do paciente, o uso responsável da tecnologia e a
necessidade de uma comunicação clara e transparente.
A RM: Uma Ferramenta
Indispensável na Prática
Clínica
A RM é uma ferramenta valiosa na prática clínica, permitindo o
diagnóstico preciso de diversas doenças e o acompanhamento da
resposta ao tratamento.
Conclusão: Explorando os Limites da Imagem
Médica
A ressonância magnética é uma técnica de imagem médica que revolucionou o diagnóstico e tratamento de doenças,
proporcionando um olhar sem precedentes dentro do corpo humano.
Perguntas? Tire Suas Dúvidas
Estamos à disposição para responder a qualquer dúvida que você
possa ter sobre a ressonância magnética.
Introdução à Ressonância Magnética Nuclear
(RMN)
A ressonância magnética nuclear (RMN) é a base da ressonância magnética médica, uma técnica que utiliza um
campo magnético potente e ondas de rádio para gerar imagens detalhadas do interior do corpo.
Os Núcleos Atômicos: A
Base da RMN
A RMN se concentra nos núcleos atômicos, especificamente nos
prótons, que possuem uma propriedade chamada spin, que os faz
se comportar como pequenos ímãs.
O Campo Magnético:
Alinhando os Spins
Quando um paciente é colocado dentro do scanner de RM, ele é
submetido a um campo magnético potente, o que faz com que os
spins dos prótons se alinhem com o campo.
O Pulso de Radiofrequência
(RF): Criando Ressonância
Um pulso de RF é então aplicado, com uma frequência específica
que coincide com a frequência de ressonância dos prótons. Esse
pulso faz com que os spins dos prótons absorvam energia e
passem para um estado de maior energia.
O Sinal de RM: Detectado
após o Pulso de RF
Após o pulso de RF ser desligado, os spins dos prótons retornam ao
seu estado de menor energia, liberando a energia absorvida na
forma de um sinal que é detectado pelas bobinas do scanner.
A Importância da
Frequência de Ressonância
A frequência de ressonância depende do ambiente magnético local
em que os núcleos se encontram. Essa diferença de frequência é
explorada na RM para diferenciar tecidos com composições
químicas distintas.
Processamento do Sinal: Da Detecção à Imagem
O sinal detectado pelas bobinas do scanner é processado e convertido em uma imagem.
Fatores que Influenciam o
Sinal de RM
1 Tipo de Tecido
Diferentes tecidos têm
diferentes concentrações
de prótons e ambientes
magnéticos, o que
influencia o sinal de RM.
2 Força do Campo
Magnético
A intensidade do campo
magnético influencia a
força do sinal de RM.
Campos mais fortes
produzem imagens mais
detalhadas.
3 Sequência de Pulso
As diferentes sequências de pulso utilizadas na RM
influenciam o contraste e a qualidade das imagens.
Aplicações da RMN: Além da
Imagem Médica
A RMN não se limita à imagem médica. Ela também é uma técnica
poderosa utilizada em pesquisa científica, química, física e outros
campos para estudar a estrutura e dinâmica de moléculas.
Avanços na RMN: Melhorias e Novas Aplicações
A RMN continua a evoluir, com novas tecnologias e técnicas sendo desenvolvidas para melhorar a qualidade das
imagens, aumentar a velocidade de aquisição e ampliar as aplicações da técnica.
A Importância da
Compreensão da RMN
A compreensão dos princípios básicos da RMN é essencial para
profissionais da saúde que interpretam imagens de RM e para
estudantes de medicina que desejam se aprofundar no campo da
imagem médica.
O Papel da RMN na Saúde:
Um Olhar para o Futuro
A RMN desempenha um papel cada vez mais importante na área da
saúde, auxiliando no diagnóstico, tratamento e acompanhamento
de uma ampla gama de doenças.
Compreendendo a RMN:
Abrindo Novos Caminhos
na Ciência
A RMN continua a ser uma ferramenta poderosa em pesquisa
científica, abrindo caminho para novas descobertas e avanços em
diversos campos.
Considerações Éticas: O Uso
Responsável da Tecnologia
É crucial garantir o uso ético e responsável da RMN, considerando a
privacidade do paciente, a segurança da tecnologia e o acesso
equitativo ao tratamento.
A RMN: Transformando a
Imagem Médica
A ressonância magnética nuclear revolucionou a imagem médica,
permitindo um olhar sem precedentes dentro do corpo humano.
Desafios e Oportunidades:
O Futuro da RMN
Apesar dos avanços, a RMN ainda enfrenta desafios como a
necessidade de otimizar a velocidade de aquisição, reduzir o custo
da técnica e ampliar o acesso a essa tecnologia inovadora.
Explorando o Potencial:
Avanços em Pesquisa e
Aplicações
A pesquisa em RMN continua a avançar, com novas aplicações
sendo descobertas, como a utilização da RMN para o estudo de
células e tecidos vivos, a detecção precoce de doenças e o
desenvolvimento de novas terapias.
A RMN: Uma Janela para o Corpo Humano
A ressonância magnética nuclear é uma tecnologia poderosa que abriu uma nova janela para o interior do corpo
humano, permitindo a visualização de detalhes intrincados e a compreensão de processos complexos da vida.
Vetores de Magnetização
Efetiva (VME) e Técnicas de
Ressonância Magnética
Este guia aborda conceitos importantes relacionados aos Vetores
de Magnetização Efetiva (VME) e suas aplicações em diferentes
técnicas de ressonância magnética. A compreensão dos VME é
fundamental para a interpretação de imagens de RM e a detecção
de diversas condições médicas.
por Ariela Mauller
Vetores de Magnetização Efetiva (VME): Uma
Introdução
Definição
O termo "Vetores de Magnetização Efetiva" (VME)
descreve o estado coletivo dos vetores de
magnetização em um tecido após a aplicação de pulsos
de radiofrequência (RF). Essencialmente, representa o
resultado da soma das contribuições individuais de
cada próton no tecido.
Importância
Os VME são cruciais na ressonância magnética porque
influenciam diretamente o sinal detectado. Esse sinal,
por sua vez, define a qualidade e o contraste da
imagem. O alinhamento e o movimento dos VME
durante o processo de RM são fatores-chave para a
obtenção de informações precisas sobre os tecidos.
Pulso de 180°: Inversão do VME
O Papel do Pulso de 180°
Um pulso de RF de 180° é aplicado para inverter os
vetores de magnetização dos prótons em relação ao
campo magnético externo. Essa inversão é
fundamental para a realização de técnicas de RM como
a FLAIR e o STIR.
VME após a Inversão
Após o pulso de 180°, os vetores de magnetização dos
prótons, inicialmente alinhados com o campo
magnético, se invertem. O VME, que representa a soma
vetorial dos prótons, também se inverte, mudando sua
direção e magnitude.
Relaxamento do VME: Retorno ao Equilíbrio
O Processo de Relaxamento
Após a aplicação do pulso de 180°, o campo de RF é
desligado. Os vetores de magnetização dos prótons
começam a relaxar, retornando à sua orientação inicial,
alinhada com o campo magnético externo. Esse
processo de relaxamento é essencial para a formação
do sinal de RM.
Tempo de Relaxamento
Existem dois principais tempos de relaxamento: T1 e T2.
T1 representa o tempo que leva para os prótons se re-
alinhar com o campo magnético, enquanto T2
representa o tempo que leva para a perda de coerência
entre os spins. Esses tempos são características
específicas de cada tecido e influenciam o contraste na
imagem de RM.
Pulso de 90°: Alinhamento no Plano Transversal
Ponto Nulo
O "ponto nulo" ocorre quando o VME de uma
substância cruza o plano transversal, resultando em um
sinal mínimo ou nulo. Esse ponto é crucial para a
realização de técnicas de RM como o FLAIR.
Ação do Pulso de 90°
Para detectar o sinal, um pulso de 90° é aplicado no
ponto nulo. Esse pulso alinha o VME restante no plano
transversal, permitindo a detecção do sinal por meio de
uma antena receptora.
Sequência Spin Echo (SE): Coleta de Dados
A Sequência Spin Echo
A sequência Spin Echo é um dos métodos mais comuns
para coletar dados em RM. Ela envolve a aplicação de
pulsos de RF específicos para gerar ecos de spins que
são usados para construir a imagem.
Utilização Após a Recuperação por Inversão
A sequência SE é frequentemente utilizada após a
recuperação por inversão (como na técnica FLAIR) para
coletar dados e criar imagens que destacam diferenças
de contraste entre os tecidos.
Tempo de Inversão (TI): Controla o Contraste da
Imagem
Definição
O tempo de inversão (TI) é o intervalo de tempo entre o
pulso de 180° e o pulso de 90° na sequência de RM. O
TI é um parâmetro crucial para a definição do contraste
da imagem.
Ajustando o Contraste
A escolha do TI determina quais tecidos serão
suprimidos ou realçados na imagem. Um TI curto
suprime tecidos com tempo de relaxamento T1 curto,
enquanto um TI longo suprime tecidos com tempo de
relaxamento T1 longo.
FLAIR: Suprimindo o Sinal do LCR
Princípio da Técnica FLAIR
A sequência FLAIR (Fluid Attenuated Inversion
Recovery), uma variação da sequência T2, é utilizada
para suprimir o sinal do líquido cefalorraquidiano (LCR),
tornando mais fácil identificar lesões próximas aos
ventrículos ou outras áreas ricas em LCR.
Aplicações da FLAIR
A técnica FLAIR é particularmente útil na identificação
de lesões na substância branca, como aquelas
observadas em doenças desmielinizantes, bem como
na detecção de edemas, infartos e outras
anormalidades que podem não ser visíveis em outras
sequências.
FLAIR vs. T2: Uma Comparação Detalhada
FLAIR
A sequência FLAIR suprime o sinal do LCR, permitindo a
visualização de lesões que poderiam ser obscurecidas
pelo brilho do líquido nas imagens T2 convencionais.
T2
Na imagem ponderada em T2, líquidos (como o LCR)
aparecem brilhantes, e as lesões na substância branca
também tendem a se destacar devido ao seu alto teor
de água.
FLAIR: Vantagens e Aplicações Clínicas
Características da FLAIR
A sequência FLAIR é uma variação da sequência T2 que
suprime o sinal do LCR, permitindo uma melhor
visualização de lesões próximas aos ventrículos ou
outras áreas ricas em LCR.
Aplicações Clínicas
A FLAIR é especialmente útil para detectar lesões na
substância branca, edemas, infartos e outras
anormalidades em áreas próximas aos ventrículos ou
espaços ricos em LCR.
T1: Anatomia Cerebral e Detalhes
Características da T1
As imagens ponderadas em T1 apresentam o tecido
cerebral de maneira mais anatômica e detalhada, com
uma excelente resolução espacial. Diferentemente do
T2, o líquido (LCR) aparece escuro, e a substância
branca é mais brilhante que a substância cinzenta.
Aplicações Clínicas
A T1 é frequentemente usada para estudar a anatomia
cerebral, identificar lesões com contraste (como
tumores que captam contraste) e para exames pós-
contraste onde agentes de contraste como o gadolínio
são usados.
FLAIR vs. T1: Uma Comparação Completa
FLAIR
A FLAIR é mais focada em destacar lesões em áreas
onde há líquido, ao suprimir o sinal do LCR. É ideal para
detectar lesões em áreas próximas ao líquido
cefalorraquidiano.
T1
A T1, por outro lado, é utilizada para oferecer uma visão
clara e detalhada da anatomia cerebral, sendo a escolha
preferida para estudos anatômicos e avaliação de
lesões após a administração de contraste.
FLAIR: Uma Visão Geral
1 Uso em Exames de
Crânio
A sequência FLAIR é uma
técnica de ressonância
magnética utilizada
principalmente em
exames do crânio.
2 Suprimindo o Sinal do
Líquido
A FLAIR é uma variação
da sequência T2, porém
com um tempo de
inversão (TI) longo, o que
faz com que o líquido
cefalorraquidiano (LCR)
apareça preto na imagem
(sem sinal).
3 Pulso de Inversão
A técnica FLAIR utiliza um pulso de inversão para saturar o
sinal do LCR, permitindo que as lesões na substância branca
se destaquem mais claramente.
FLAIR: Destacando Lesões
Cerebrais
1 Lesões Cerebrais
Imagens de lesão no
parênquima cerebral
serão evidenciadas no
FLAIR.
2 Importância no
Estudo do Encéfalo
A sequência FLAIR é
considerada a mais
importante no estudo do
encéfalo, pois facilita a
visualização de lesões e
anormalidades.
FLAIR e T2: Uma Comparação Visual
FLAIR
A sequência FLAIR suprime o sinal do LCR, permitindo a
visualização de lesões que poderiam ser obscurecidas
pelo brilho do líquido nas imagens T2 convencionais.
T2
Na imagem ponderada em T2, líquidos (como o LCR)
aparecem brilhantes, e as lesões na substância branca
também tendem a se destacar devido ao seu alto teor
de água.
FLAIR e T1: Uma Análise Comparativa
FLAIR
A sequência FLAIR é ideal para detectar lesões em áreas
próximas ao líquido cefalorraquidiano.
T1
A T1 é utilizada para oferecer uma visão clara e
detalhada da anatomia cerebral, sendo a escolha
preferida para estudos anatômicos e avaliação de
lesões após a administração de contraste.
STIR: Suprimindo o Sinal da
Gordura
1 Tempo de Inversão
Curto
A técnica STIR (Short T1
Inversion Recovery)
utiliza um tempo de
inversão (TI) muito baixo,
fazendo com que a
gordura não dê sinal na
imagem.
2 Aplicações em
Musculoesquelético
A STIR é excelente para o
estudo
musculoesquelético, pois
evidencia muito bem as
lesões com edemas e
inflamações.
STIR: Aplicações em
Imagens
Musculoesqueléticas
1 Imagens de Ombro
A STIR é utilizada para
avaliar a presença de
tendinite, ruptura do
manguito rotador, bursite
e outros problemas no
ombro.
2 Imagens de Joelho
A STIR é útil para
identificar edemas no
menisco, ligamentos
cruzados, e outros
problemas no joelho.
3 Imagens de Coluna
A STIR é usada para detectar herniações discais, estenoses,
e inflamação na medula espinhal.
SPIR ou FAT-SAT:
Suprimindo o Sinal da
Gordura
1 Suprimindo o Sinal
da Gordura
A técnica SPIR (Spectral
Presaturation with
Inversion Recovery) ou
FAT-SAT (Fat Saturation)
suprime o sinal da
gordura utilizando a
présaturação espectral
com IR.
2 Base da Técnica
Essa técnica baseia-se na
diferença de frequência
entre a água e a gordura.
A água e a gordura são
lidas em tempos
diferentes, permitindo a
anulação do sinal da
gordura.
SPIR ou FAT-SAT: Vantagens e
Limitações
1 Qualidade da Imagem
A técnica SPIR ou FAT-SAT
proporciona imagens de
alta qualidade com melhor
contraste entre tecidos.
2 Utilização na Rotina
Pós-Contraste
A técnica SPIR ou FAT-SAT é
frequentemente usada na
rotina pós-contraste, pois
permite uma melhor
visualização de lesões com
contraste.
3 Susceptibilidade a Erros
A técnica é suscetível a erros de gordurasaturação,
especialmente em casos de inomogeneidade do campo
magnético.
Sequência de Pulsos FLAIR:
Analisando Detalhes
1 Recuperação por
Inversão
Convencional
A técnica FLAIR (Fluid
Attenuated Inversion
Recovery) é baseada na
recuperação por inversão
convencional.
2 Anulação do Sinal do
LCR
O objetivo principal da
FLAIR é anular o sinal do
LCR, permitindo a
visualização de lesões
hiperintensas.
3 Delineamento de Lesões
A FLAIR facilita o delineamento de lesões que se encontram
em contato com sulcos ou ventrículos, áreas que
normalmente contém LCR.
Sequência de Pulsos FLAIR: Desvendando o
Mecanismo
Recuperação por Inversão Convencional
A técnica FLAIR (Fluid Attenuated Inversion Recovery) é
baseada na recuperação por inversão convencional.
Pulsos de Inversão
A sequência FLAIR utiliza um pulso de inversão (180°)
seguido de um tempo de inversão (TI) para saturar o
sinal do LCR.
FLAIR vs. Fast SE: Uma Comparação de Eficácia
Fast SE
A sequência Fast SE (Fast Spin Echo) é uma técnica
rápida de aquisição de imagens, mas pode ter menor
contraste para visualizar lesões, especialmente aquelas
próximas ao LCR.
FLAIR
A FLAIR é mais sensível para detectar lesões na
substância branca, especialmente aquelas que se
encontram próximas aos ventrículos ou outras áreas
ricas em LCR.
STIR: Suprimindo o Sinal da
Gordura
1 Tempo de Inversão
Curto
A técnica STIR (Short T1
Inversion Recovery)
utiliza um tempo de
inversão (TI) muito baixo,
fazendo com que a
gordura não dê sinal na
imagem.
2 Detecção de Edema
da Medula Óssea
A STIR é uma técnica de
ressonância magnética
sensível para detectar
edema da medula óssea,
que pode ser um
indicador de fratura
oculta.
STIR: Analisando o Mecanismo da Sequência
Recuperação por Inversão Convencional
A técnica STIR (Short T1 Inversion Recovery) é baseada
na recuperação por inversão convencional.
Pulsos de Inversão
A STIR utiliza um pulso de inversão (180°) seguido de
um tempo de inversão (TI) curto, geralmente de 140
ms, para suprimir o sinal da gordura.
STIR: Detectando Edema da Medula Óssea
Edema da Medula Óssea
A STIR é especialmente útil para detectar edema da
medula óssea, que pode ser um indicador de fratura
oculta ou outras lesões.
Visualização de Lesões
A STIR é capaz de destacar lesões com edema ou
inflamação, facilitando o diagnóstico de diversas
condições musculoesqueléticas.
STIR: Comparando com outras Sequências
T1 (Fast SE)
A sequência T1 é útil para avaliar a anatomia óssea e
tecidual.
STIR
A STIR é mais sensível para detectar edema da medula
óssea e inflamação, o que pode não ser tão evidente
nas imagens T1.
STIR: Aplicações em
Diagnóstico
1 Fraturas Ocultas
A STIR é uma técnica
valiosa para detectar
fraturas ocultas,
especialmente aquelas
que não são visíveis em
raio-x convencionais.
2 Inflamação e Edema
A STIR é muito útil para
avaliar a presença de
inflamação e edema em
tecidos moles,
ligamentos e tendões.
3 Doenças Reumáticas
A STIR é utilizada para diagnosticar e monitorar doenças
reumáticas, como a artrite reumatóide.
STIR: Aplicações em
Diagnóstico
Musculoesquelético
1 Lesões Ligamentares
A STIR é usada para
avaliar a presença de
lesões ligamentares,
como ruptura do
ligamento cruzado
anterior.
2 Lesões Tendinosas
A STIR é útil para
detectar tendinite,
ruptura do manguito
rotador, e outras lesões
tendinosas.
3 Doenças Osteocondrais
A STIR é utilizada para diagnosticar e monitorar doenças
osteocondrais, como a osteonecrose.
STIR: Uma Técnica Essencial em Diagnóstico
1 Imagens de Coluna
A STIR é utilizada para avaliar
a presença de hérnias de
disco, estenoses, e outras
patologias da coluna
vertebral.
2 Imagens de Joelho
A STIR é útil para identificar
edemas no menisco,
ligamentos cruzados, e outros
problemas no joelho.
3 Imagens de Ombro
A STIR é utilizada para avaliar
a presença de tendinite,
ruptura do manguito rotador,
bursite e outros problemas no
ombro.
Qualidade da Imagem em Ressonância Magnética
Relação Sinal-Ruído (RSR)
A qualidade da imagem em ressonância magnética
pode ser medida pela Relação Sinal-Ruído (RSR).
Importância da RSR
Quanto maior o valor da RSR, menor será a influência
dos fatores que contribuem para a degradação da
imagem.
Ruído na Imagem de RM:
Compreendendo a
Degradação
1 O que é Ruído
O ruído se caracteriza
pela formação da
imagem "granulada" que
se sobrepõe à imagem
real do objeto,
dificultando a sua
visualização.
2 Impacto na Qualidade
Imagens com baixos
valores de RSR são
pobres em detalhes, por
isso, estamos
constantemente
preocupados com os
parâmetros que possam
elevar esta relação.
Fatores que Influenciam a Relação Sinal-Ruído
(RSR)
1 Campo Magnético
Quanto maior o campo
magnético (B0), maior a RSR.
2 Sensibilidade da Bobina
Bobinas de RM com maior
sensibilidade captam mais
sinal, aumentando a RSR.
3 Movimento do Paciente
O movimento do paciente
durante a aquisição de
imagens reduz a RSR.
Campo Magnético (B0): Impacto na RSR
Alinhamento dos Prótons
Quanto maior o campo magnético, maior a quantidade
de núcleos de hidrogênios que se alinharão com o
campo.
Sinal de RM
Com mais hidrogênios "disponíveis", haverá um ganho
proporcional no sinal gerado pelo paciente.
Imagem Eco-Planar (EPI):
Uma Técnica de Aquisição
Rápida
1 Aquisição de Dados
Rápida
Em EPI, um único eco é
usado para adquirir
dados de todas as linhas
de k-Space em um único
TR.
2 Gradientes
Codificadores
Os gradientes
codificadores de fase e
frequência são
ligados/desligados
rapidamente.
EPI: Vantagens e Desvantagens
Vantagens
A EPI é uma técnica rápida que minimiza artefatos de
movimento e proporciona maior contraste.
Desvantagens
A EPI é mais suscetível a distorções causadas por
inomogeneidades do campo magnético.
EPI-SE: Combinação de EPI e
Spin Echo
1 Aquisição Rápida
A EPI-SE combina as
vantagens da técnica EPI
(aquisição rápida) com a
qualidade da sequência
Spin Echo.
2 Aplicações
A EPI-SE é uma técnica de
escolha para a Difusão e
EPI-GRE (Gradient Echo).
Vantagens do EPI:
Abrangendo Diversas
Aplicações
1 Aquisição Rápida
O EPI permite a coleta de
uma imagem completa
em frações de segundo.
2 Redução de Artefatos
de Movimento
Como as imagens são
capturadas rapidamente,
há menos risco de
artefatos causados pelo
movimento do paciente.
Desvantagens do EPI:
Considerando Limitações
1 Susceptibilidade a
Artefatos
A técnica é mais
suscetível a distorções
causadas por variações
no campo magnético,
especialmente em
regiões com transições
abruptas de diferentes
materiais.
2 Menor Resolução
Espacial
Comparado a outras
técnicas de RM, o EPI
pode ter resolução
espacial inferior, o que
significa que as imagens
podem ser menos
detalhadas.
EPI: Aplicações Clínicas
1 Imagens Funcionais
(fMRI)
O EPI é a técnica mais
comum usada na
ressonância magnética
funcional (fMRI), que
mapeia a atividade cerebral
detectando mudanças no
fluxo sanguíneo.
2 Difusão (DWI)
A DWI é uma técnica que
medem a difusão das
moléculas de água nos
tecidos, sendo
particularmente útil na
detecção precoce de
acidentes vasculares
cerebrais (AVCs).
3 Perfusão (PWI)
Em estudos de perfusão, o EPI é usado para avaliar o fluxo
sanguíneo em órgãos, especialmente no cérebro, ajudando no
diagnóstico de condições como tumores ou isquemia.
Imagens de Mãos e Pés: Analisando Detalhes
Anatômicos
Mão Esquerda Pé Esquerdo Mão Direita Pé Direito
Sequência de Difusão: Medindo o Movimento da
Água
1 Dois Pulsos de Gradiente
A sequência de difusão utiliza dois pulsos de
gradiente aplicados para avaliar o movimento de
água nos tecidos.
2 Interpretação do Sinal
Se não houver movimento de spins entre os
pulsos, o sinal será forte (hipersinal). Se houver
movimento, o sinal será fraco (hipossinal).
Difusão: Aplicações Clínicas
1 Diagnóstico de AVE
Recente
A sequência de difusão é
fundamental no
diagnóstico de AVE
(acidente vascular
cerebral) recente.
2 Avaliação da Difusão
da Água
A sequência de difusão
mede a movimentação
da água nos tecidos, que
é influenciada pela
estrutura celular e pelas
condições do tecido.
Sequência de Difusão:
Desvendando o Mecanismo
1 Alteração de Fase
O primeiro pulso de
gradiente altera as fases
dos spins, ou seja, eles
deixam de estar todos
alinhados da mesma
forma.
2 Re-alinhamento dos
Spins
O segundo pulso de
gradiente tenta
"desfazer" essa alteração
de fase, alinhando
novamente os spins.
Difusão: O Movimento da Água nos Tecidos
1 Difusão da Água
Moléculas de água se
movimentam e difundem no
interior das células, no
citoplasma, nas organelas e
no espaço entre as células.
2 Restrição do Movimento
O movimento da água no
interior das células é restrito
devido às colisões com outras
moléculas.
3 Difusão no Líquido
Cefalorraquidiano (LCR)
No LCR, a água se movimenta
livremente, pois não há
elementos que restrinjam seu
movimento.
Difusão: Interpretando o Sinal
1 Hipossinal
Se ocorrer movimento de
spins entre os pulsos, os
prótons não são afetados
pelos gradientes,
resultando em
hipossinal.
2 Hipersinal
Se nenhum movimento
de spin ocorrer entre as
aplicações dos pulsos de
gradiente, o primeiro
gradiente defasa e o
segundo refasa os
núcleos, resultando em
hipersinal.
Mapa de ADC: Quantificando a Difusão da Água
1 Coeficiente de Difusão
Aparente (ADC)
O Mapa de ADC (Coeficiente
de Difusão Aparente) é uma
medida quantitativa da
difusão da água nos tecidos.
2 Difusão Restrita
Em tecidos com difusão
restrita, o ADC será baixo
(hipossinal).
3 Difusão Livre
Em tecidos com difusão livre,
o ADC será alto (hipersinal).
Mapa de ADC: Aplicações
Clínicas
1 AVE Agudo
Em um AVE agudo, o DWI
mostrará hiperssinal e o
mapa de ADC mostrará
hipossinal.
2 AVE Subagudo
Em um AVE subagudo, o
DWI mostrará hiperssinal
leve e o mapa de ADC
mostrará hiperssinal
moderado.
3 AVE Antigo
Em um AVE antigo, o DWI mostrará hipossinal e o mapa de
ADC mostrará hiperssinal.
Mapa de ADC: Cálculo e
Interpretação
1 Imagens DWI
As imagens DWI são
usadas para medir a
difusão da água nos
tecidos.
2 Cálculo do ADC
A máquina de RM calcula
o ADC usando os dados
das imagens DWI.
3 Interpretação do Mapa de ADC
Cada ponto no mapa de ADC representa o grau de difusão
da água naquela região específica do tecido.
Difusão: Influência da
Microestrutura Tecidual
1 Tecido Normal
Em tecidos normais, as
moléculas de água se
difundem livremente,
resultando em alto ADC.
2 Aumento de
Celularidade
O aumento de
celularidade diminui o
espaço intercelular,
restringindo a difusão e
diminuindo o ADC.
3 Edema Intracelular
O edema intracelular (edema citotóxico) diminui o espaço
intersticial e restringe a difusão da água, diminuindo o ADC.
Sequência de Difusão: Desvendando o Mecanismo
Pulsos de Gradiente
A sequência de difusão utiliza dois pulsos de gradiente
aplicados para avaliar o movimento de água nos
tecidos.
Interpretação do Sinal
Se não houver movimento de spins entre os pulsos, o
sinal será forte (hipersinal). Se houver movimento, o
sinal será fraco (hipossinal).
FLAIR e Difusão: Diagnóstico de AVC Múltiplos
FLAIR
A sequência FLAIR é capaz de identificar áreas afetadas
por AVC.
Difusão e Mapa de ADC
A sequência de difusão e o mapa de ADC permitem
determinar a idade dos AVCs, diferenciando AVCs
recentes, subagudos e antigos.
Difusão: Detalhando as Aplicações Clínicas
Diagnóstico Precoce de AVE
A difusão é uma técnica sensível para detectar AVE em
estágio inicial, quando as lesões podem ser reversíveis.
Avaliação da Difusão da Água
A sequência de difusão mede a movimentação da água
nos tecidos, que é influenciada pela estrutura celular e
pelas condições do tecido.
Perfusão: Medindo o Fluxo
Sanguíneo Cerebral
1 Aquisição em EPI
A sequência de perfusão
é adquirida em EPI.
2 Detecção de
Isquemia Cerebral
A perfusão é usada para
visualizar áreas de menor
aporte sanguíneo em
casos de isquemia
cerebral.
3 Trombólise
A perfusão é importante para identificar lesões que podem
ser reversíveis e permitir a trombólise posterior.
Perfusão: Desvendando o
Processo Isquêmico
1 Fase Inicial da
Isquemia
A perfusão é sensível
para detectar áreas com
baixa perfusão cerebral
na fase inicial da
isquemia.
2 Monitoramento da
Isquemia
A perfusão permite o
monitoramento da
evolução da isquemia
cerebral.
Perfusão: Avaliação da
Estenose Carotídea
1 Estenose Carotídea
A perfusão é utilizada
para avaliar a presença
de estenose carotídea.
2 Redução do Fluxo
Sanguíneo
A perfusão detecta áreas
com redução do fluxo
sanguíneo, indicando a
presença de estenose.
Sequências In-Phase e Out-
of-Phase: Detectando
Gordura Microscópica
1 Gordura Microscópica
As sequências In-Phase e
Out-of-Phase são usadas
para detectar gordura
microscópica.
2 Frequências de
Precessão
Os núcleos de hidrogênio
da gordura e da água
precessam em diferentes
frequências.
3 Anulação do Sinal
Se gordura microscópica estiver presente, o sinal será
anulado nas imagens Out-of-Phase.
Sequências In-Phase e Out-
of-Phase: Aplicações
Clínicas
1 Diferenciando
Adenomas e
Carcinomas Adrenais
As sequências In-Phase e
Out-of-Phase são úteis
para diferenciar
adenomas adrenais de
carcinomas adrenais.
2 Avaliação de Tumores
Essas sequências podem
ajudar a caracterizar
tumores e determinar
seu conteúdo de
gordura.
Fundamentos da Ressonância Magnética: Uma
Visão Geral
1 Transmissão de Energia
de RF
A máquina de RM emite
pulsos de radiofrequência que
são direcionados aos prótons
(geralmente os núcleos de
hidrogénio no corpo).
2 Absorção de Energia
Os prótons absorvem essa
energia e entram em
"ressonância", ou seja, vibram
na mesma frequência.
3 Reemissão de Energia
Após um tempo, esses
prótons retornam ao seu
estado original, emitindo a
energia absorvida.
4 Captação dos Sinais
Antenas especiais na máquina captam esses sinais
emitidos pelos prótons.
5 Processamento e Criação da Imagem
A máquina processa esses sinais para criar
imagens detalhadas das estruturas internas do
corpo.
Resumo: Técnicas de RM e Aplicações
1 T1
A sequência T1 é ideal para avaliar
a anatomia cerebral, identificar
lesões com contraste e para
exames pós-contraste.
2 T2
A sequência T2 destaca o líquido
com brilho intenso e é útil para
detectar lesões que apresentam
aumento de água.
3 FLAIR
A FLAIR suprime o sinal do LCR,
permitindo a visualização de
lesões próximas aos ventrículos
ou outras áreas ricas em LCR.
4 STIR
A STIR suprime o sinal da gordura,
sendo útil para detectar edema da
medula óssea, inflamações e
outras patologias.
5 Difusão
A sequência de difusão é
fundamental no diagnóstico de
AVE recente e na avaliação do
movimento da água nos tecidos.
6 Perfusão
A perfusão é utilizada para
visualizar áreas de menor aporte
sanguíneo, especialmente em
casos de isquemia cerebral.
7 In-Phase e Out-of-Phase
As sequências In-Phase e Out-of-Phase são usadas para detectar gordura microscópica e diferenciar tecidos com
diferentes conteúdos de gordura.

Aula 1 e Aula 2.pptxaula1aula2aula1aula2á

  • 1.
    RESSONÂNCIA MAGNÉTICA: Uma AbordagemCompleta Profa. Ma. Dra. Ariela Mauller
  • 2.
    O Que éa Ressonância Magnética? A ressonância magnética (RM) é uma técnica de imagem médica não invasiva que utiliza campos magnéticos e ondas de rádio para produzir imagens detalhadas de órgãos, tecidos e estruturas do corpo. Ao contrário dos raios-X ou da tomografia computadorizada (TC), a RM não utiliza radiação ionizante, tornando-se uma opção mais segura para diversos pacientes, incluindo crianças e gestantes. A RM baseia-se no princípio da ressonância nuclear magnética, que ocorre quando os núcleos de átomos de hidrogênio no corpo são expostos a um campo magnético externo e ondas de rádio. A forma como os núcleos reagem a essas ondas de rádio permite a criação de imagens que revelam diferenças sutis nos tecidos do corpo, permitindo a detecção de anormalidades que podem ser difíceis de visualizar com outras técnicas de imagem.
  • 3.
    Um Passeio PelaHistória da RM 1 1945 Felix Bloch e Edward Purcell, da Universidade de Stanford e Universidade de Harvard, respectivamente, descobrem o momento do campo magnético, abrindo caminho para o desenvolvimento da ressonância magnética nuclear. 2 1970s Paul Lauterbur (EUA) e Peter Mansfield (Reino Unido) são pioneiros na aplicação da RM para imagens médicas. Suas pesquisas revolucionaram o diagnóstico médico, permitindo visualizar o interior do corpo de forma não 3 1980s A RM se torna uma ferramenta de diagnóstico amplamente utilizada em hospitais e clínicas, com avanços tecnológicos impulsionando a qualidade das imagens e a capacidade de detecção de condições médicas complexas. 4 Presente A RM continua a evoluir, com novas técnicas e tecnologias sendo desenvolvidas para aprimorar a precisão, resolução e aplicações da técnica, impulsionando o diagnóstico e tratamento médico.
  • 4.
    Os Fundamentos daRM O Papel do Hidrogênio A RM se baseia na detecção de átomos de hidrogênio, que são abundantes no corpo humano. Os núcleos desses átomos possuem um spin, o que significa que eles atuam como pequenos ímãs. A Influência do Campo Magnético Quando um corpo é colocado em um campo magnético forte, os núcleos de hidrogênio se alinham com esse campo. Essa orientação é perturbada por ondas de rádio, que provocam a ressonância dos núcleos. Não se usa radiação ionizante, mas um potente campo magnético. O maior e mais importante componente da ressonância magnética é o magneto. Por que a RM utiliza o átomo de hidrogênio ? Abundância no corpo humano; Possuir um momento magnético alto. Estrutura do Hidrogênio. 1 próton em seu núcleo (+) Não possui neutrons 1 elétron em sua elétrosfera(-)
  • 5.
    O Magneto: OCoração da RM Supercondutores Os magnetos supercondutores são os mais poderosos, proporcionando imagens de alta qualidade. São refrigerados a temperaturas extremamente baixas usando hélio líquido. Sua alta capacidade de gerar campos magnéticos é ideal para exames complexos. Resistivos Os magnetos resistivos são mais simples e menos potentes, geralmente usados em equipamentos de campo aberto. São mais acessíveis, mas produzem imagens de menor qualidade e são limitados para alguns exames específicos. Permanentes Os magnetos permanentes são os menos potentes e são usados em equipamentos de baixo custo. São usados principalmente para exames de extremidades, como mãos e pés, e não são apropriados para exames mais complexos. O magneto da ressonância magnética (RM) é o componente central do aparelho que gera um campo magnético extremamente forte e uniforme, essencial para realizar o exame de RM. Esse campo magnético alinha os prótons (principalmente de hidrogênio, encontrados em abundância na água e gordura do corpo humano), permitindo que sejam manipulados e detectados pelos sinais gerados.
  • 6.
    Como a RMProduz Imagens O Sinal da RM A forma como os núcleos de hidrogênio reagem às ondas de rádio é captada por bobinas detectoras, gerando um sinal que é processado para criar imagens. O sinal varia de acordo com a densidade de hidrogênio e as propriedades dos tecidos. A Importância do Contraste Para diferenciar os tecidos, a RM utiliza contrastes, que são substâncias que alteram o sinal dos tecidos em que são injetadas, tornando algumas estruturas mais visíveis e facilitando o diagnóstico de doenças. Quando o paciente é posicionado no interior do magneto (B0), os prótons de hidrogênio irão se orientar de acordo com a direção do campo aplicado
  • 7.
    O Processo deAquisição de Imagens 1 1. Preparo do Paciente O paciente é solicitado a remover objetos metálicos que podem interferir com o campo magnético. Ele é então posicionado na maca do equipamento. 2 2. Aplicação do Campo Magnético O magneto é ligado, gerando um campo magnético forte que alinha os núcleos de hidrogênio no corpo. 3 3. Pulso de Radiofrequência (RF) Ondas de rádio são aplicadas ao paciente, causando a ressonância dos núcleos de hidrogênio e perturba a orientação dos núcleos. 4 4. Aquisição do Sinal Quando o pulso de RF é desligado, os núcleos voltam à sua orientação original, emitindo um sinal que é detectado por bobinas receptoras. 5 5. Processamento do Sinal O sinal captado é processado por um computador para gerar imagens detalhadas dos tecidos e órgãos.
  • 8.
    Planos de Corteem RM Axial O plano axial é perpendicular à coluna vertebral, como fatias horizontais do corpo. É usado para visualizar o cérebro, a medula espinhal, o abdome e outras estruturas. Sagital O plano sagital divide o corpo em direita e esquerda, como fatias verticais. É usado para visualizar o cérebro, a medula espinhal, o crânio e a coluna vertebral. Coronal O plano coronal divide o corpo em anterior e posterior, como fatias frontais. É usado para visualizar o cérebro, o rosto, o peito e o abdômen.
  • 9.
  • 10.
    A Importância doContraste O Que é Contraste? O contraste é uma substância que é injetada no paciente durante o exame de RM para melhorar a qualidade da imagem e destacar certas estruturas ou lesões. Como o Contraste Funciona? O contraste é composto de gadolínio, um elemento químico que aumenta o sinal de certos tecidos, tornando-os mais visíveis nas imagens de RM. Ele é geralmente administrado por via intravenosa. O tipo de contraste utilizado na RM é o gadolínio que não utiliza iodo. Portanto, seu poder de causar alergias é muito baixo, desprezível quando comparado ao do iodo. (utilizado na TC).
  • 11.
    Comparando RM eTomografia Computadorizada (TC) Característica RM TC Radiação Não utiliza radiação ionizante Utiliza radiação ionizante Contraste Contraste à base de gadolínio Contraste à base de iodo Planos de Corte Axial, sagital, coronal Principalmente axial Tecidos Moles Excelente visualização de tecidos moles Menor contraste de tecidos moles Ossos Menor contraste de ossos Excelente visualização de ossos Custos Geralmente mais caro Geralmente mais acessível
  • 12.
    Termos utilizados emRM : Ausência Hipo sinal Iso-sinal Hiper sinal RM
  • 13.
    Aplicações da RMna Medicina Neurologia Diagnostica doenças como tumores cerebrais, derrames, esclerose múltipla e outras condições neurológicas. Ortopedia Avalia lesões musculoesqueléticas, como fraturas, rupturas de ligamentos, tendinite e outros problemas nas articulações. Cardiologia Estuda o coração e os vasos sanguíneos, detectando problemas como doenças cardíacas, aneurismas e outras condições. Oncologia Auxilia no diagnóstico e estadiamento do câncer, monitorando a resposta ao tratamento e avaliando a presença de metástases.
  • 14.
    Vantagens da RM AltaResolução de Imagem A RM oferece imagens detalhadas de tecidos moles, permitindo a detecção de lesões e anormalidades com grande precisão. Segurança A RM é um procedimento não invasivo que não utiliza radiação ionizante, tornando-a segura para pacientes de todas as idades, incluindo crianças e gestantes. Versatilidade A RM é utilizada em uma ampla gama de especialidades médicas, permitindo a detecção de uma variedade de condições de saúde. Multiplanar A RM permite obter imagens em múltiplos planos (axial, coronal, sagital) sem necessidade de reposicionar o paciente.
  • 15.
    Contra-indicações para aRM 1 1. Marca-passo Cardíaco O campo magnético intenso pode interferir no funcionamento do marca- passo cardíaco, colocando o paciente em risco. 2 2. Clipes para Aneurismas Cerebrais Clipes metálicos podem aquecer e se mover no campo magnético, causando danos cerebrais. 3 3. Implantes Cocleares Implantes cocleares também podem ser afetados pelo campo magnético, causando danos à audição. 4 4. Ferimentos por Arma de Fogo Fragmentos de metal podem se mover no campo magnético, causando danos e complicações. 5 5. Algumas Próteses Metálicas Específicas Alguns tipos de próteses metálicas podem ser incompatíveis com a RM, dependendo do material e da localização.
  • 16.
    Desvantagens da RM 11. Custo Elevado O custo dos equipamentos de RM e dos exames é alto, tornando-os menos acessíveis em alguns casos. 2 2. Claustrofobia A RM é realizada em um tubo estreito, o que pode causar desconforto para pessoas com claustrofobia. 3 3. Impossibilidade de Movimento O paciente precisa ficar imóvel durante o exame, o que pode ser difícil para crianças ou pessoas com dificuldades de movimentação. 4 4. Artefatos Metálicos Objetos metálicos podem causar distorções nas imagens, dificultando o diagnóstico preciso. 5 5. Tempo de Exame O tempo de duração do exame pode variar, mas pode ser longo, o que pode causar desconforto para o paciente.
  • 17.
    Preparo para oExame de RM 1 1. Questionário Detalhado O paciente deve responder a um questionário detalhado sobre sua saúde e histórico médico, incluindo a presença de implantes metálicos, alergias e medicamentos. 2 2. Remoção de Objetos Metálicos O paciente deve remover todos os objetos metálicos, como joias, relógios, celulares, carteiras, chaves e próteses dentárias removíveis. 3 3. Roupas Adequadas O paciente deve usar roupas confortáveis e sem fechos metálicos, como um avental de tecido. O hospital geralmente fornece roupas apropriadas para o exame. 4 4. Orientações Específicas O médico ou técnico de RM fornecerá orientações específicas para o exame, como a necessidade de jejum ou de administrar medicamentos antes do exame.
  • 19.
    O Que AconteceDurante o Exame de RM? Posição do Paciente O paciente deita-se em uma maca que é deslizada para dentro do tubo do equipamento de RM. Uma bobina é posicionada na região do corpo que será examinada. O Som da RM Durante o exame, o paciente ouvirá sons de batidas fortes, que são produzidos pelos campos magnéticos e ondas de rádio. Comunicação com o Técnico O técnico de RM está em constante comunicação com o paciente através de um interfone, monitorando o procedimento e respondendo a quaisquer dúvidas.
  • 20.
    Lidando com aClaustrofobia RM de Campo Aberto Para pacientes com claustrofobia, existe a opção de realizar o exame em um equipamento de RM de campo aberto, que possui um tubo mais amplo e aberto. Sedativos Em alguns casos, o médico pode prescrever um sedativo leve para aliviar o desconforto e a ansiedade durante o exame. Anestesia Em casos de claustrofobia severa, a anestesia pode ser considerada, mas deve ser avaliada pelo médico.
  • 21.
    O Fenômeno daRessonância Magnética O Spin Nuclear O núcleo de um átomo possui um spin, que é um momento angular intrínseco que o faz se comportar como um pequeno ímã. A Importância do Hidrogênio Os átomos de hidrogênio, abundantes no corpo humano, possuem um spin nuclear que os torna particularmente sensíveis aos campos magnéticos externos. -RM é baseada na atividade eletromagnética do núcleo atômico -Tem um giro líquido, porque eles são ímpares e os spins de seus prótons e nêutrons não se anulam -Cada núcleo rota em torno do seu próprio eixo, e todo corpo carregado eletricamente,quando em movimento, induz campo magnetico
  • 22.
    A obtenção daimagem por ressonância magnética a partir do hidrogênio se deve ao fato de este elemento estar amplamente distribuído nos tecidos biológicos e por suas características em responder a campos magnéticos externos como se fosse um pequeno ímã. A obtenção de imagens a partir de outros elementos, como o fósforo, o flúor e o sódio, também é possível, no entanto a baixa constituição desses elementos no corpo humano inviabiliza o seu uso.
  • 23.
    -Aplica-se campo magneticoexterno (Bo), provoca oscilaçao do nucleo  precessão -Cada elemento quimico que possua Spin e for colocado sob campo magnetico  precessão -Frequencia de precessão é propria de cada elemento, diretamente proporcional à força do campo magnetico -Em fase: mesmo ritmo, mesma velocidade e na mesma posicao em determinado momento do tempo Física da RM
  • 24.
    RESSONÂNCIA ✕ As ondasde rádio afetam os núcleos em precessão, significa que, à medida que o núcleo roda, o campo magnético parece ter efeito máximo em "empurrar" o núcleo para longe do campo magnético estático exatamente no tempo apropriado.
  • 25.
    A Equação deLarmor ω0 = γB0 A frequência de precessão, ω0, é diretamente proporcional ao campo magnético externo, B0, e à razão giromagnética, γ, que é uma constante característica de cada núcleo atômico.
  • 26.
    Clique para editaro formato do texto do título Bobina M Bateria + -  Pulso de RF Quando o interruptor é acionado, a bobina gera a onda eletromagnética. A onda eletromagnética é uma perturbação que se propaga no espaço, composta por campos elétricos e magnéticos oscilantes perpendicularmente entre si.
  • 27.
    Clique para editaro formato do texto do título
  • 28.
    O movimento deprecessão pode ser entendido como uma distorção do spin nuclear em resultado da ação do campo magnético externo. O núcleo do hidrogênio altera o seu movimento giratório de uma “linha” para um ”cone” sobre o próprio eixo. Esse movimento é denominado precessão, e pode ser comparado ao movimento giratório de um pião no momento em que este começa a perder a sua força (cambaleio). MOVIMENTO DE PRECESSÃO
  • 29.
    Clique para editaro formato do texto do título
  • 30.
    Clique para editaro formato do texto do título Se aplicarmos um campo externo ao material paramagnético, seus spins se alinham a Bo: – Paralelos: • Menor energia • Maior quantidade (em geral) – Antiparalelos: • Maior energia Se aplicarmos um campo externo ao material paramagnético, seus spins se alinham a Bo: –Paralelos: •Menor energia •Maior quantidade (em geral) –Antiparalelos: •Maior energia
  • 31.
    O Movimento dePrecessão O movimento de precessão é um giro cômico do núcleo do átomo de hidrogênio em torno do eixo do campo magnético externo. Essa precessão é influenciada pela força do campo magnético e pela razão giromagnética do núcleo.
  • 32.
    Alinhamento dos Spins SemCampo Magnético Quando o campo magnético externo não está presente, os spins dos núcleos de hidrogênio estão orientados aleatoriamente. Com Campo Magnético Quando o campo magnético externo é aplicado, os spins se alinham paralelamente ou antiparalelamente ao campo magnético.
  • 33.
    O Vetor deMagnetização O vetor de magnetização é a soma vetorial de todos os momentos magnéticos dos núcleos de hidrogênio no corpo. Essa magnetização resultante é o sinal que é detectado pelos equipamentos de RM.
  • 34.
    O Pulso deRadiofrequência (RF) O pulso de RF é uma onda eletromagnética que é aplicada ao paciente durante o exame de RM. Ele é usado para perturbar o alinhamento dos spins dos núcleos de hidrogênio e faz com que eles precessem em fase. •Tecidos diferentes  diferentes valores T1, T2 •Gordura: recuperação T1 mais curto (mais rápido) e declínio T2 mais curto • X •Água: recuperação T1 e declínio T2 relativamente longos •Declínio T2 : dependente do heterogeneidade do meio magnético / muito rapidamente em gordura e água
  • 35.
    •Recuperação T1 • Núcleosliberam energia para o meio ambiente • Recuperação de 63% da magnetização longitudinal •Decaimento T2 • Interação do núcleos entre si (spin-spin) • Perda de 37% da manetização transversal •Declínio de Indução Livre (Free Induction Decay) • Pulso de RF desligado  corrente elétrica na bobina recebtora diminui até cessar
  • 36.
    O Sinal daRM A precessão em fase dos núcleos de hidrogênio induz uma corrente elétrica em uma bobina receptora, que é o sinal detectado pelos equipamentos de RM. Esse sinal é usado para gerar as imagens de RM.
  • 37.
    ✕ Os eixosde coordenadas (x, y e z) e o vetor que representa o momento magnético de um próton de hidrogênio realizando o movimento de precessão em torno do eixo z. O eixo z, ou longitudinal, representa a direção de aplicação do campo magnético principal (B0). O plano xy é chamado de plano transversal.
  • 38.
    ✕ Spins irãose alinhar paralelamente e ante- paralelamente à Bo ocorrendo um cancelamento mútuo do vetor momento magnético. ✕ Um componente de magnetização resultante M0 irá surgir alinhada ao eixo longitudinal.
  • 39.
    RETORNO DA MAGNETIZAÇÃO LONGITUDINAL(MZ) AO ALINHAMENTO. ✕ O tempo necessário para a magnetização longitudinal recuperar 63% do seu valor inicial é chamado de tempo 1 ou simplesmente T1.
  • 40.
    DECAIMENTO DA MAGNETIZAÇÃO TRANSVERSAL– TEMPO T2 ✕ O tempo necessário que a magnetização no plano transversal atinja 37% do seu valor inicial é chamado de T2.
  • 41.
    Relaxamento T1 eT2 Relaxamento T1 O relaxamento T1 é o tempo que os núcleos de hidrogênio levam para retornar ao seu estado de equilíbrio após a aplicação do pulso de RF. É caracterizado pelo retorno da magnetização longitudinal. Relaxamento T2 O relaxamento T2 é o tempo que os núcleos de hidrogênio levam para perder a sua fase de precessão após o pulso de RF. É caracterizado pelo decaimento da magnetização transversal.
  • 42.
    Imagens Ponderadas emT1 e T2 As imagens de RM podem ser ponderadas em T1 ou T2 para realçar diferentes características dos tecidos. As imagens T1-ponderadas mostram os tecidos ricos em gordura em tons mais brilhantes, enquanto as imagens T2-ponderadas mostram os tecidos ricos em água em tons mais brilhantes.
  • 43.
    •Tempo de Repetição(TR): entre cada pulso de RF •Tempo de Eco (TE): entre o pulso de RF e o pico de eco detectado (sinal na bobina) • TR  recuperação T1 (afeta contraste na ponderação T1) • TE  declínio T2 (afeta contraste na ponderação T2) • TR longo e TE curto: ponderação Densidade de Prótons  DP Física da RM
  • 44.
    Clique para editaro formato do texto do título relaxamento T1 leva à recuperação da magnetização longitudinal, devido à dissipação de energia para o retículo circundante.
  • 45.
    O declínio T2é causado pela troca de energia entre núcleos vizinhos. A troca de energia é causada pela interação dos campos magnéticos de cada núcleo com seu vizinho. É freqüentemente denominada relaxamento spin e acarreta o declínio ou perda da magnetização transversa
  • 46.
    Clique para editaro formato do texto do título O relaxamento T2 leva à perda da magnetização transversa devido a interações entre os campos magnéticos de núcleos adjacentes.
  • 51.
    Sequências de Pulsoem RM As sequências de pulso são programas que determinam a ordem e o tempo de aplicação dos pulsos de RF e dos gradientes de campo magnético durante o exame de RM. Cada sequência de pulso produz imagens com características específicas, adequadas para diferentes aplicações.
  • 52.
    Gradientes de Campo Magnético Osgradientes de campo magnético são usados para criar variações no campo magnético principal. Essas variações afetam a frequência de precessão dos núcleos de hidrogênio, permitindo a localização espacial dos sinais da RM.
  • 53.
    Reconstrução de Imagens Osinal da RM é processado por um computador para gerar imagens. Esse processo envolve a transformação dos dados do sinal em uma representação espacial, usando algoritmos matemáticos complexos. O resultado é uma imagem detalhada dos tecidos e órgãos.
  • 54.
    Aplicações Avançadas daRM Ressonância Magnética Funcional (fMRI) A fMRI mede a atividade cerebral, detectando alterações no fluxo sanguíneo em diferentes regiões do cérebro. É usada para estudar funções cognitivas, como memória, linguagem e emoção. Difusão e Perfusão Técnicas de RM de difusão e perfusão medem o movimento de moléculas de água e o fluxo sanguíneo nos tecidos. São usadas para detectar e caracterizar lesões isquêmicas, como derrames. Espectroscopia de Ressonância Magnética (MRS) A MRS analisa a composição química dos tecidos, detectando diferentes metabólitos. É usada para estudar o metabolismo e para diagnosticar doenças como tumores e doenças metabólicas. Magnetoencefalografia (MEG) A MEG mede a atividade elétrica no cérebro, detectando os campos magnéticos gerados pela atividade neuronal. É usada para estudar funções cognitivas e para diagnosticar doenças neurológicas.
  • 55.
    O Futuro daRM Melhor Resolução e Sensibilidade O desenvolvimento de novas tecnologias e técnicas está aprimorando a resolução e a sensibilidade dos exames de RM, permitindo a detecção de detalhes mais finos e a visualização de estruturas menores. Avanços em Processamento de Imagens Algoritmos avançados de processamento de imagens estão melhorando a qualidade das imagens, reduzindo o ruído e realçando o contraste. Integração com Outras Tecnologias A RM está sendo integrada com outras tecnologias de imagem e de tratamento, como a cirurgia robótica e a terapia guiada por imagem. Novas Aplicações A RM está sendo usada em novas áreas, como pesquisa em neurociência, estudo de doenças genéticas e desenvolvimento de novos medicamentos.
  • 56.
    Aplicações da RMem Diferentes Especialidades Neurologia Diagnostica doenças como tumores cerebrais, derrames, esclerose múltipla, doença de Alzheimer, epilepsia e outras condições neurológicas. Cardiologia Estuda o coração e os vasos sanguíneos, detectando problemas como doenças cardíacas, aneurismas, cardiomiopatia e outras condições. Ortopedia Avalia lesões musculoesqueléticas, como fraturas, rupturas de ligamentos, tendinite, osteoartrite e outros problemas nas articulações. Gastroenterologia Diagnostica doenças do trato digestivo, como doenças inflamatórias intestinais, tumores, doença de Crohn e outras condições.
  • 57.
    RM no Diagnósticode Tumores Detecção Precoce A RM é uma ferramenta poderosa para a detecção precoce de tumores em diversos órgãos, como cérebro, pulmão, fígado e outros. Estadiamento e Monitoramento A RM auxilia no estadiamento do tumor, determinando seu tamanho, localização e se ele se espalhou para outros órgãos. É também utilizada para monitorar a resposta ao tratamento.
  • 58.
    RM no Diagnósticode Doenças Neurológicas Derrames A RM é um exame essencial para o diagnóstico rápido e preciso de derrames, permitindo a identificação da área afetada e a avaliação do dano cerebral. Esclerose Múltipla A RM é utilizada para detectar as lesões características da esclerose múltipla, monitorando a progressão da doença e avaliando a resposta ao tratamento. Doença de Alzheimer A RM ajuda a avaliar o tamanho e a estrutura do cérebro, detectando alterações associadas à doença de Alzheimer. Epilepsia A RM pode ajudar a identificar áreas do cérebro que estão causando as crises epilépticas, fornecendo informações importantes para o tratamento.
  • 59.
    RM no Diagnósticode Doenças Musculoesqueléticas Lesões Ligamentares A RM permite visualizar os ligamentos, tendões e músculos, detectando rupturas, estiramentos e outras lesões. Osteoartrite A RM auxilia no diagnóstico e monitoramento da osteoartrite, mostrando o desgaste da cartilagem e a formação de esporões ósseos. Doença de Lyme A RM pode detectar a presença de inflamação e edema nas articulações, que são sintomas comuns da doença de Lyme. Tumores Ósseos A RM pode detectar tumores ósseos, mesmo em estágios iniciais, fornecendo informações importantes para o tratamento.
  • 60.
    RM no Diagnósticode Doenças Cardíacas Doenças Coronárias A RM do coração ajuda a identificar o bloqueio das artérias coronárias, que podem causar ataques cardíacos. Cardiomiopatia A RM pode detectar alterações no músculo cardíaco, incluindo cardiomiopatia, que é uma doença do músculo cardíaco. Aneurismas A RM pode detectar aneurismas, que são dilatações anormais nas paredes dos vasos sanguíneos. Doenças das Valvas Cardíacas A RM pode avaliar o funcionamento das valvas cardíacas, detectando problemas como estreitamento ou prolapso das valvas.
  • 61.
    RM no Diagnósticode Doenças do Trato Digestivo Doença de Crohn A RM ajuda a diagnosticar e monitorar a doença de Crohn, mostrando a inflamação e as alterações no intestino. Colite Ulcerativa A RM pode detectar a inflamação e as ulcerações no intestino grosso, sintomas comuns da colite ulcerativa. Tumores do Trato Digestivo A RM é útil para detectar tumores no esôfago, estômago, intestino delgado e intestino grosso. Doenças do Fígado A RM pode detectar doenças do fígado, como cirrose, esteatose hepática e tumores.
  • 62.
    RM no Diagnósticode Doenças dos Rins Cistos Renais A RM pode detectar cistos renais, que são bolsas cheias de líquido nos rins. Tumores Renais A RM pode detectar tumores renais, incluindo tumores malignos e benignos. Doença Renal Policística A RM é útil para diagnosticar e monitorar a doença renal policística, uma condição que causa o crescimento de múltiplos cistos nos rins. Insuficiência Renal A RM pode ajudar a avaliar o tamanho e a função dos rins, auxiliando no diagnóstico de insuficiência renal.
  • 63.
    RM no Diagnósticode Doenças dos Órgãos Genitais Endometriose A RM é usada para detectar a endometriose, uma condição em que o tecido endometrial cresce fora do útero. Tumores dos Órgãos Genitais A RM pode detectar tumores nos ovários, útero, próstata e testículos. Infertilidade A RM pode avaliar a estrutura e a função dos órgãos reprodutivos, ajudando a diagnosticar a infertilidade. Doenças da Próstata A RM é útil para detectar câncer de próstata e outras doenças da próstata.
  • 64.
    RM no Diagnósticode Doenças do Sistema Nervoso Central Hérnia de Disco A RM é um exame fundamental para a identificação de hérnias de disco, mostrando a compressão da raiz nervosa. Estreitamento do Canal Vertebral A RM pode detectar estreitamento do canal vertebral, que pode comprimir a medula espinhal e os nervos. Escoliose A RM ajuda a avaliar a curvatura anormal da coluna vertebral, conhecida como escoliose. Tumores da Medula Espinhal A RM pode detectar tumores na medula espinhal, que podem causar dor, fraqueza e outros sintomas.
  • 65.
    RM no Diagnósticode Doenças do Sistema Nervoso Periférico Síndrome do Túnel do Carpo A RM pode detectar compressão do nervo mediano no túnel do carpo, que causa dor, dormência e formigamento na mão. Síndrome do Desfiladeiro Torácico A RM ajuda a identificar a compressão dos nervos e vasos sanguíneos na região do desfiladeiro torácico, que causa dor, dormência e fraqueza no braço. Nervura Cervical A RM pode detectar compressão de nervos cervicais, que causa dor, dormência e fraqueza no braço e na mão. Neuropatia Periférica A RM pode ajudar a avaliar a extensão e a localização da neuropatia periférica, que é uma doença que afeta os nervos periféricos.
  • 66.
    RM no Diagnósticode Doenças dos Seios da Mama Câncer de Mama A RM é uma ferramenta importante para o diagnóstico precoce do câncer de mama, especialmente em mulheres com alto risco. Fibroadenomas A RM pode ajudar a diferenciar fibroadenomas, que são tumores benignos, de outros tipos de lesões mamárias. Cistos Mamários A RM pode detectar cistos mamários, que são bolsas cheias de líquido que geralmente são benignas. Inflamação Mamária A RM pode detectar inflamação mamária, que pode ser causada por infecção ou outras condições.
  • 67.
    RM no Diagnósticode Doenças dos Órgãos da Pelve Câncer de Ovário A RM ajuda a detectar câncer de ovário em estágios iniciais, quando as chances de cura são maiores. Câncer de Útero A RM pode detectar câncer de útero, incluindo câncer endometrial e câncer cervical. Câncer de Próstata A RM é utilizada para a detecção precoce do câncer de próstata e para o estadiamento da doença. Doenças da Bexiga A RM pode detectar tumores na bexiga e outras doenças da bexiga.
  • 68.
    RM no Diagnósticode Doenças do Cérebro Doenças Cerebrovasculares A RM é uma ferramenta essencial para o diagnóstico de doenças cerebrovasculares, como derrames e aneurismas. Traumatismo Cranioencefálico A RM pode detectar lesões no cérebro causadas por traumatismo cranioencefálico. Tumores Cerebrais A RM é um exame fundamental para a detecção precoce de tumores cerebrais. Doenças Desmielinizantes A RM é utilizada para diagnosticar doenças desmielinizantes, como a esclerose múltipla.
  • 69.
    RM no Diagnósticode Doenças do Olho Glaucoma A RM pode ajudar a detectar o glaucoma, uma doença que causa danos ao nervo óptico. Tumores do Olho A RM pode detectar tumores no olho, incluindo tumores da retina e do nervo óptico. Doenças da Retina A RM pode ajudar a diagnosticar doenças da retina, como a retinopatia diabética. Doenças do Nervo Óptico A RM pode detectar doenças do nervo óptico, como a neurite óptica.
  • 70.
    RM no Diagnósticode Doenças do Orelho Tumores do Orelho A RM pode detectar tumores no ouvido interno e no ouvido médio. Doenças do Orelho Interno A RM pode ajudar a diagnosticar doenças do ouvido interno, como a doença de Ménière. Doenças do Nervo Auditivo A RM pode detectar doenças do nervo auditivo, como a neuroma acústico.
  • 71.
    RM no Diagnósticode Doenças do Pescoço Tumores do Pescoço A RM pode detectar tumores no pescoço, incluindo tumores da tireoide, glândulas paratireoides e linfonodos. Doenças da Tireoide A RM pode ajudar a avaliar a tireoide, detectando nódulos e outras alterações. Doenças das Glândulas Paratireoides A RM pode detectar doenças das glândulas paratireoides, que regulam o cálcio no sangue. Doenças dos Linfonodos do Pescoço A RM pode ajudar a avaliar os linfonodos do pescoço, detectando inflamação ou outras alterações.
  • 72.
    RM no Diagnósticode Doenças do Tórax Câncer de Pulmão A RM é um exame importante para a detecção precoce do câncer de pulmão, especialmente em fumantes. Doenças do Mediastino A RM pode detectar doenças no mediastino, a região entre os pulmões, como tumores e inflamação. Doenças da Parede Torácica A RM pode detectar doenças da parede torácica, como tumores e infecções. Doenças do Timo A RM pode ajudar a avaliar o timo, um órgão imunológico localizado no tórax.
  • 73.
    RM no Diagnósticode Doenças do Abdômen Tumores do Abdômen A RM é útil para detectar tumores no fígado, pâncreas, rins, baço e outros órgãos do abdômen. Doenças do Fígado A RM ajuda a diagnosticar doenças do fígado, como cirrose, esteatose hepática e tumores. Doenças do Pâncreas A RM pode detectar inflamação do pâncreas, conhecida como pancreatite, e tumores pancreáticos. Doenças do Baço A RM pode detectar doenças do baço, como esplenomegalia e tumores.
  • 74.
    RM no Diagnósticode Doenças da Pelve Doenças do Útero A RM ajuda a diagnosticar doenças do útero, como miomas, pólipos e câncer endometrial. Doenças dos Ovários A RM pode detectar cistos ovarianos, tumores ovarianos e outras doenças ovarianas. Doenças da Bexiga A RM pode ajudar a diagnosticar doenças da bexiga, como tumores e cálculos. Doenças da Próstata A RM é utilizada para o diagnóstico precoce do câncer de próstata e para o estadiamento da doença.
  • 75.
    RM no Diagnósticode Doenças do Aparelho Locomotor Lesões Ligamentares A RM é um exame fundamental para o diagnóstico de lesões ligamentares, como rupturas e estiramentos. Lesões Meniscais A RM ajuda a identificar lesões meniscais, que são lesões na cartilagem do joelho. Artrite A RM pode detectar a artrite em estágios iniciais e monitorar sua progressão. Doenças do Ombro A RM é utilizada para diagnosticar doenças do ombro, como tendinite, rotura do manguito rotador e instabilidade.
  • 76.
    RM no Diagnósticode Doenças da Coluna Vertebral Hérnia de Disco A RM é um exame essencial para o diagnóstico de hérnias de disco, mostrando a compressão da raiz nervosa. Estreitamento do Canal Vertebral A RM pode detectar estreitamento do canal vertebral, que pode comprimir a medula espinhal e os nervos. Espondilólise e Espondilolistese A RM ajuda a diagnosticar espondilólise, uma fratura na parte posterior do osso vertebral, e espondilolistese, um deslizamento de uma vértebra sobre a outra. Tumores da Coluna Vertebral A RM pode detectar tumores na coluna vertebral, que podem causar dor, fraqueza e outros sintomas.
  • 77.
    RM no Diagnósticode Doenças dos Membros Fraturas A RM pode detectar fraturas ósseas, especialmente em áreas difíceis de visualizar com raios-X. Lesões Musculares A RM ajuda a identificar lesões musculares, como estiramentos, rupturas e tendinite. Doenças do Punho A RM pode detectar doenças do punho, como síndrome do túnel do carpo, tendinite de De Quervain e osteoartrite. Doenças do Tornozelo e Pé A RM é útil para diagnosticar doenças do tornozelo e pé, como entorses, fraturas de estresse e tendinite de Aquiles.
  • 78.
    RM no Diagnósticode Doenças da Cabeça e Pescoço Tumores da Cabeça e Pescoço A RM é uma ferramenta importante para a detecção precoce de tumores da cabeça e pescoço. Doenças dos Seios da Face A RM pode ajudar a diagnosticar doenças dos seios da face, como sinusite e tumores. Doenças da Glândula Parótida A RM pode detectar doenças da glândula parótida, que produz saliva. Doenças dos Linfonodos do Pescoço A RM ajuda a avaliar os linfonodos do pescoço, detectando inflamação ou outras alterações.
  • 79.
    RM no Diagnósticode Doenças do Abdômen e Pelve Tumores do Abdômen e Pelve A RM é uma ferramenta poderosa para a detecção precoce de tumores no abdômen e na pelve. Doenças do Fígado A RM pode detectar doenças do fígado, como cirrose, esteatose hepática e tumores. Doenças do Pâncreas A RM pode detectar inflamação do pâncreas, conhecida como pancreatite, e tumores pancreáticos. Doenças dos Rins A RM é utilizada para diagnosticar doenças renais, como cistos renais, tumores renais e doença renal policística. Doenças do Baço A RM pode detectar doenças do baço, como esplenomegalia e tumores. Doenças do Intestino A RM pode ajudar a diagnosticar doenças do intestino, como a doença de Crohn e a colite ulcerativa. Doenças da Bexiga A RM pode detectar tumores na bexiga e outras doenças da bexiga. Doenças da Próstata A RM é utilizada para o diagnóstico precoce do câncer de próstata e para o estadiamento da doença.
  • 80.
    RM no Diagnósticode Doenças do Sistema Respiratório Câncer de Pulmão A RM é um exame importante para a detecção precoce do câncer de pulmão, especialmente em fumantes. Doenças Pulmonares Intersticiais A RM ajuda a diagnosticar doenças pulmonares intersticiais, como a fibrose pulmonar. Pneumonia A RM pode detectar a pneumonia, mostrando a inflamação nos pulmões. Embolia Pulmonar A RM pode detectar embolias pulmonares, que são coágulos sanguíneos que bloqueiam as artérias pulmonares.
  • 81.
    RM no Diagnósticode Doenças do Sistema Circulatório Doenças Coronárias A RM do coração ajuda a identificar o bloqueio das artérias coronárias, que podem causar ataques cardíacos. Cardiomiopatia A RM pode detectar alterações no músculo cardíaco, incluindo cardiomiopatia, que é uma doença do músculo cardíaco. Aneurismas A RM pode detectar aneurismas, que são dilatações anormais nas paredes dos vasos sanguíneos. Doenças das Valvas Cardíacas A RM pode avaliar o funcionamento das valvas cardíacas, detectando problemas como estreitamento ou prolapso das valvas.
  • 82.
    RM no Diagnósticode Doenças do Sistema Urinário Doenças Renais A RM é utilizada para diagnosticar doenças renais, como cistos renais, tumores renais e doença renal policística. Doenças da Bexiga A RM pode detectar tumores na bexiga e outras doenças da bexiga. Doenças da Próstata A RM é utilizada para o diagnóstico precoce do câncer de próstata e para o estadiamento da doença.
  • 83.
    RM no Diagnósticode Doenças do Sistema Reprodutivo Doenças do Útero A RM ajuda a diagnosticar doenças do útero, como miomas, pólipos e câncer endometrial. Doenças dos Ovários A RM pode detectar cistos ovarianos, tumores ovarianos e outras doenças ovarianas. Infertilidade A RM pode avaliar a estrutura e a função dos órgãos reprodutivos, ajudando a diagnosticar a infertilidade.
  • 84.
    JÁ DEU, QUEDIA COMEÇA AS FÉRIAS? Obrigada!
  • 85.
    Introdução à Ressonância Magnética Aressonância magnética (RM) é uma técnica de imagem médica que utiliza um campo magnético potente e ondas de rádio para criar imagens detalhadas do interior do corpo. Dra Ariela Mauller
  • 86.
    Física da RM:Um Olhar Aprofundado A RM baseia-se no princípio da ressonância magnética nuclear, onde núcleos atômicos, principalmente de átomos de hidrogênio, são alinhados em um campo magnético forte. Quando um pulso de radiofrequência (RF) é aplicado, esses núcleos absorvem energia e passam para um estado de maior energia. Ao cessar o pulso de RF, os núcleos liberam essa energia, produzindo um sinal que é detectado pelas bobinas do scanner.
  • 87.
    Magnetização Longitudinal (Mz)e Transversal (Mxy) O alinhamento dos núcleos no campo magnético cria uma magnetização longitudinal (Mz) ao longo do eixo do campo magnético. O pulso de RF desloca esses núcleos para um estado de maior energia, fazendo com que a magnetização se mova para o plano transversal (Mxy).
  • 88.
    Relaxamento T1 eT2 Recuperação T1 Após o pulso de RF, os núcleos perdem energia e retornam ao estado de menor energia, recuperando a magnetização longitudinal (Mz). Decaimento T2 Os núcleos também interagem entre si, causando um declínio na magnetização transversal (Mxy), conhecido como decaimento T2.
  • 89.
    Tempo de RelaxamentoT1 O tempo de relaxamento T1 é o tempo que leva para a magnetização longitudinal recuperar 63% do seu valor inicial. O T1 varia entre os tecidos, com tecidos ricos em gordura tendo um T1 mais curto e tecidos ricos em água tendo um T1 mais longo.
  • 90.
    Tempo de RelaxamentoT2 O tempo de relaxamento T2 é o tempo que leva para a magnetização transversal decair para 37% do seu valor inicial. O T2 também varia entre os tecidos, com tecidos ricos em água tendo um T2 mais longo e tecidos ricos em gordura tendo um T2 mais curto.
  • 91.
    Tempo de Repetição(TR) e Tempo de Eco (TE) Tempo de Repetição (TR) O TR é o tempo entre dois pulsos de RF consecutivos. Ele influencia o contraste das imagens de acordo com o T1. Tempo de Eco (TE) O TE é o tempo entre o pulso de RF e a detecção do eco do sinal. Ele influencia o contraste das imagens de acordo com o T2.
  • 92.
    Ponderação T1, T2e Densidade de Prótons (DP) 1 Ponderação T1 Imagens de ponderação T1 usam TRs curtos e TEs curtos, enfatizando a diferença de T1 entre os tecidos. 2 Ponderação T2 Imagens de ponderação T2 usam TRs longos e TEs longos, enfatizando a diferença de T2 entre os tecidos. 3 Ponderação DP Imagens de ponderação DP usam TRs longos e TEs curtos, enfatizando a diferença de densidade de prótons entre os tecidos.
  • 93.
    Como os DiferentesTipos de Tecidos Aparentam nas Imagens de RM TIPO DE TECIDO T1 T2 DP Osso Cortical Escura Escura Escura Medula Óssea Vermelha Cinza Clara Cinza Escura Cinza Clara Ar Escura Escura Escura Gordura Brilhante Escura Brilhante Substância Branca do Encéfalo Cinza Clara Cinza Escura Cinza Clara Substância Cinzenta do Encéfalo Cinza Escura Cinza Clara Cinza Escura LCR/Água Escura Brilhante Brilhante Músculos Cinza Escura Cinza Escura Cinza Escura Vasos Escura Escura Escura
  • 94.
    Ponderação T1: Anatomia Imagensde ponderação T1 são frequentemente utilizadas para avaliar a anatomia do corpo, pois proporcionam um bom contraste entre os diferentes tecidos.
  • 95.
    Ponderação T2: Patologia Imagensde ponderação T2 são frequentemente utilizadas para detectar patologias, pois podem mostrar edema, inflamação e outras alterações teciduais.
  • 96.
    Sequências de Pulso:Abordagens para Criar Imagens Spin-Eco (SE) Uma técnica clássica que produz imagens de alta qualidade, ideal para diferenciar tecidos moles. Turbo Spin Echo (TSE) Uma variação do SE que oferece aquisição mais rápida, ideal para reduzir o tempo do exame. Gradient Echo (GRE) Utiliza gradientes de campo magnético, mais rápido que SE, mas mais suscetível a artefatos. Echo Planar Imaging (EPI) Extremamente rápido, ideal para imagens funcionais de RM (fMRI) e difusão.
  • 97.
    Sequência Spin-Eco (SE):Uma Abordagem Clássica A sequência SE utiliza pulsos de RF de 90 graus e 180 graus para obter um sinal de eco após a aplicação do pulso de 180 graus.
  • 98.
    Parâmetros de TRe TE na Sequência SE SEQUÊNCIA TR TE T1 250-700 10-25 T2 > 2000 > 60 DP > 2000 10-25
  • 99.
    Sequência Turbo SpinEcho (TSE): Aquisição Mais Rápida A TSE utiliza múltiplos pulsos de 180 graus, permitindo a aquisição de vários ecos em uma sequência, resultando em uma aquisição mais rápida.
  • 100.
    Sequência Gradiente-Eco (GRE): Rápidae Sensível à Susceptibilidade Magnética A GRE utiliza gradientes de campo magnético para produzir ecos e obter imagens de forma mais rápida que a SE. No entanto, é mais suscetível a artefatos de suscetibilidade magnética.
  • 101.
    Sequência Echo Planar Imaging(EPI): Aquisição Ultra-Rápida A EPI é uma técnica de aquisição extremamente rápida, ideal para imagens funcionais e de difusão, onde é crucial capturar imagens rapidamente.
  • 102.
    A Importância daCompensação de Heterogeneidade de Campo Magnético A heterogeneidade do campo magnético pode causar distorções nas imagens de RM, especialmente em áreas próximas a implantes metálicos. Sequências como SE são mais resistentes a esses artefatos do que a GRE.
  • 103.
    Aplicações de Sequências dePulso: Escolhendo a Melhor Opção A escolha da sequência de pulso depende da aplicação específica, como a necessidade de alta qualidade da imagem, velocidade de aquisição ou sensibilidade a artefatos.
  • 104.
    Artefatos de Susceptibilidade Magnética: UmDesafio nas Imagens de RM Artefatos de susceptibilidade magnética são distorções no sinal de RM que ocorrem perto de materiais com alta susceptibilidade magnética, como metais. Essas distorções podem dificultar a interpretação das imagens.
  • 105.
    Entendendo o Espaço"K": A Base da Imagem de RM O espaço K é um conceito abstrato que representa o domínio da frequência espacial, onde as informações sobre o sinal de RM são armazenadas durante a aquisição da imagem.
  • 106.
    O Processo deCodificação do Sinal: Da Aquisição ao Espaço "K" As informações obtidas no processo de codificação espacial são enviadas para o espaço K, onde são armazenadas em forma de uma matriz de dados, antes de serem transformadas em uma imagem.
  • 107.
    Reconstrução da Imagem: TransformandoDados do Espaço "K" em uma Imagem Uma transformada matemática é aplicada aos dados no espaço K para gerar a imagem final, que é uma representação bidimensional da anatomia do corpo.
  • 108.
    Gradientes: Moldando o CampoMagnético para Seleção de Cortes Os gradientes são campos magnéticos que variam linearmente ao longo de cada eixo do scanner, permitindo a seleção de cortes específicos e a codificação espacial do sinal.
  • 109.
    O Gradiente Seletivo(Gz): Definindo a Espessura do Corte O gradiente seletivo, aplicado ao longo do eixo Z, define a espessura do corte a ser adquirido, selecionando uma fatia específica do corpo.
  • 110.
    Gradiente de Fase(Gy) e Gradiente de Frequência (Gx): Codificação Espacial do Sinal Os gradientes de fase (Gy) e de frequência (Gx) são aplicados para codificar o sinal em cada ponto dentro do corte selecionado, permitindo a localização espacial precisa dos sinais.
  • 111.
    Eixos do Sistemade RM: Definindo a Orientação do Corte O sistema de RM possui três eixos principais: Z (longitudinal), Y (vertical) e X (horizontal), que são utilizados para definir a orientação do corte a ser adquirido.
  • 112.
    Cortes Axial, Sagitale Coronal: Abrangendo a Anatomia em Diferentes Planos 1 Corte Axial Corte perpendicular ao eixo Z, mostrando a anatomia em um plano horizontal, paralelo ao plano cranial e podal. 2 Corte Sagital Corte perpendicular ao eixo Y, mostrando a anatomia em um plano vertical, paralelo aos planos laterais, dividindo o corpo em metades direita e esquerda. 3 Corte Coronal Corte perpendicular ao eixo X, mostrando a anatomia em um plano vertical, paralelo aos planos ventral e dorsal, separando os planos ventral e dorsal.
  • 113.
    A Importância daSaturação de Gordura: Melhorando o Contraste A saturação de gordura é uma técnica que suprime o sinal de gordura, melhorando o contraste entre outros tecidos, como o tecido muscular e o tecido cerebral.
  • 114.
    Contraste em T1:Gordura Brilhante, Água Escura Em imagens de ponderação T1, a gordura tem um sinal alto e a água tem um sinal baixo, tornando a gordura mais brilhante e a água mais escura.
  • 115.
    Contraste em T2:Água Brilhante, Gordura Escura Em imagens de ponderação T2, a água tem um sinal alto e a gordura tem um sinal baixo, tornando a água mais brilhante e a gordura mais escura.
  • 116.
    Contraste em Densidadede Prótons (DP): Refletindo a Concentração de Hidrogênio Em imagens de ponderação DP, o sinal é proporcional à densidade de prótons, ou seja, à concentração de átomos de hidrogênio. Áreas com alto conteúdo de água terão sinal alto.
  • 117.
    A Utilização daRM na Diagnóstico de Doenças: Desvendando os Mistérios do Corpo A RM é um método de imagem fundamental no diagnóstico de uma ampla gama de doenças, incluindo tumores, doenças neurológicas, doenças musculoesqueléticas e outras condições.
  • 118.
    Vantagens da RM:Um Olhar Aprofundado na Anatomia 1 Detalhes Sem Precedentes A RM fornece imagens de alta resolução, revelando detalhes complexos da anatomia interna. 2 Sem Radiação Ionizante A RM não utiliza radiação ionizante, tornando-a segura para exames frequentes. 3 Várias Ponderações A flexibilidade em termos de ponderações T1, T2 e DP permite a otimização do contraste para diferentes aplicações.
  • 119.
    Desvantagens da RM: Limitantese Considerações 1 Custo Elevado A RM é uma técnica relativamente cara, o que pode limitar o acesso para alguns pacientes. 2 Tempo de Exame Longo Os exames de RM podem durar de 30 minutos a mais de uma hora, o que pode ser desconfortável para alguns pacientes. 3 Contraindicações A RM tem contraindicações para pacientes com dispositivos metálicos implantados, como marca- passos e implantes cocleares. 4 Claustrofobia O ambiente fechado do scanner pode causar claustrofobia em alguns pacientes.
  • 120.
    O Futuro daRM: Avanços e Novas Aplicações A RM continua a evoluir com avanços tecnológicos, como técnicas de aquisição mais rápidas e maior resolução, abrindo caminho para novas aplicações e diagnósticos mais precisos.
  • 121.
    Considerações Éticas: Privacidade doPaciente e Uso Responsável da Tecnologia É fundamental abordar os aspectos éticos da RM, como a privacidade do paciente, o uso responsável da tecnologia e a necessidade de uma comunicação clara e transparente.
  • 122.
    A RM: UmaFerramenta Indispensável na Prática Clínica A RM é uma ferramenta valiosa na prática clínica, permitindo o diagnóstico preciso de diversas doenças e o acompanhamento da resposta ao tratamento.
  • 123.
    Conclusão: Explorando osLimites da Imagem Médica A ressonância magnética é uma técnica de imagem médica que revolucionou o diagnóstico e tratamento de doenças, proporcionando um olhar sem precedentes dentro do corpo humano.
  • 124.
    Perguntas? Tire SuasDúvidas Estamos à disposição para responder a qualquer dúvida que você possa ter sobre a ressonância magnética.
  • 125.
    Introdução à RessonânciaMagnética Nuclear (RMN) A ressonância magnética nuclear (RMN) é a base da ressonância magnética médica, uma técnica que utiliza um campo magnético potente e ondas de rádio para gerar imagens detalhadas do interior do corpo.
  • 126.
    Os Núcleos Atômicos:A Base da RMN A RMN se concentra nos núcleos atômicos, especificamente nos prótons, que possuem uma propriedade chamada spin, que os faz se comportar como pequenos ímãs.
  • 127.
    O Campo Magnético: Alinhandoos Spins Quando um paciente é colocado dentro do scanner de RM, ele é submetido a um campo magnético potente, o que faz com que os spins dos prótons se alinhem com o campo.
  • 128.
    O Pulso deRadiofrequência (RF): Criando Ressonância Um pulso de RF é então aplicado, com uma frequência específica que coincide com a frequência de ressonância dos prótons. Esse pulso faz com que os spins dos prótons absorvam energia e passem para um estado de maior energia.
  • 129.
    O Sinal deRM: Detectado após o Pulso de RF Após o pulso de RF ser desligado, os spins dos prótons retornam ao seu estado de menor energia, liberando a energia absorvida na forma de um sinal que é detectado pelas bobinas do scanner.
  • 130.
    A Importância da Frequênciade Ressonância A frequência de ressonância depende do ambiente magnético local em que os núcleos se encontram. Essa diferença de frequência é explorada na RM para diferenciar tecidos com composições químicas distintas.
  • 131.
    Processamento do Sinal:Da Detecção à Imagem O sinal detectado pelas bobinas do scanner é processado e convertido em uma imagem.
  • 132.
    Fatores que Influenciamo Sinal de RM 1 Tipo de Tecido Diferentes tecidos têm diferentes concentrações de prótons e ambientes magnéticos, o que influencia o sinal de RM. 2 Força do Campo Magnético A intensidade do campo magnético influencia a força do sinal de RM. Campos mais fortes produzem imagens mais detalhadas. 3 Sequência de Pulso As diferentes sequências de pulso utilizadas na RM influenciam o contraste e a qualidade das imagens.
  • 133.
    Aplicações da RMN:Além da Imagem Médica A RMN não se limita à imagem médica. Ela também é uma técnica poderosa utilizada em pesquisa científica, química, física e outros campos para estudar a estrutura e dinâmica de moléculas.
  • 134.
    Avanços na RMN:Melhorias e Novas Aplicações A RMN continua a evoluir, com novas tecnologias e técnicas sendo desenvolvidas para melhorar a qualidade das imagens, aumentar a velocidade de aquisição e ampliar as aplicações da técnica.
  • 135.
    A Importância da Compreensãoda RMN A compreensão dos princípios básicos da RMN é essencial para profissionais da saúde que interpretam imagens de RM e para estudantes de medicina que desejam se aprofundar no campo da imagem médica.
  • 136.
    O Papel daRMN na Saúde: Um Olhar para o Futuro A RMN desempenha um papel cada vez mais importante na área da saúde, auxiliando no diagnóstico, tratamento e acompanhamento de uma ampla gama de doenças.
  • 137.
    Compreendendo a RMN: AbrindoNovos Caminhos na Ciência A RMN continua a ser uma ferramenta poderosa em pesquisa científica, abrindo caminho para novas descobertas e avanços em diversos campos.
  • 138.
    Considerações Éticas: OUso Responsável da Tecnologia É crucial garantir o uso ético e responsável da RMN, considerando a privacidade do paciente, a segurança da tecnologia e o acesso equitativo ao tratamento.
  • 139.
    A RMN: Transformandoa Imagem Médica A ressonância magnética nuclear revolucionou a imagem médica, permitindo um olhar sem precedentes dentro do corpo humano.
  • 140.
    Desafios e Oportunidades: OFuturo da RMN Apesar dos avanços, a RMN ainda enfrenta desafios como a necessidade de otimizar a velocidade de aquisição, reduzir o custo da técnica e ampliar o acesso a essa tecnologia inovadora.
  • 141.
    Explorando o Potencial: Avançosem Pesquisa e Aplicações A pesquisa em RMN continua a avançar, com novas aplicações sendo descobertas, como a utilização da RMN para o estudo de células e tecidos vivos, a detecção precoce de doenças e o desenvolvimento de novas terapias.
  • 142.
    A RMN: UmaJanela para o Corpo Humano A ressonância magnética nuclear é uma tecnologia poderosa que abriu uma nova janela para o interior do corpo humano, permitindo a visualização de detalhes intrincados e a compreensão de processos complexos da vida.
  • 143.
    Vetores de Magnetização Efetiva(VME) e Técnicas de Ressonância Magnética Este guia aborda conceitos importantes relacionados aos Vetores de Magnetização Efetiva (VME) e suas aplicações em diferentes técnicas de ressonância magnética. A compreensão dos VME é fundamental para a interpretação de imagens de RM e a detecção de diversas condições médicas. por Ariela Mauller
  • 144.
    Vetores de MagnetizaçãoEfetiva (VME): Uma Introdução Definição O termo "Vetores de Magnetização Efetiva" (VME) descreve o estado coletivo dos vetores de magnetização em um tecido após a aplicação de pulsos de radiofrequência (RF). Essencialmente, representa o resultado da soma das contribuições individuais de cada próton no tecido. Importância Os VME são cruciais na ressonância magnética porque influenciam diretamente o sinal detectado. Esse sinal, por sua vez, define a qualidade e o contraste da imagem. O alinhamento e o movimento dos VME durante o processo de RM são fatores-chave para a obtenção de informações precisas sobre os tecidos.
  • 145.
    Pulso de 180°:Inversão do VME O Papel do Pulso de 180° Um pulso de RF de 180° é aplicado para inverter os vetores de magnetização dos prótons em relação ao campo magnético externo. Essa inversão é fundamental para a realização de técnicas de RM como a FLAIR e o STIR. VME após a Inversão Após o pulso de 180°, os vetores de magnetização dos prótons, inicialmente alinhados com o campo magnético, se invertem. O VME, que representa a soma vetorial dos prótons, também se inverte, mudando sua direção e magnitude.
  • 146.
    Relaxamento do VME:Retorno ao Equilíbrio O Processo de Relaxamento Após a aplicação do pulso de 180°, o campo de RF é desligado. Os vetores de magnetização dos prótons começam a relaxar, retornando à sua orientação inicial, alinhada com o campo magnético externo. Esse processo de relaxamento é essencial para a formação do sinal de RM. Tempo de Relaxamento Existem dois principais tempos de relaxamento: T1 e T2. T1 representa o tempo que leva para os prótons se re- alinhar com o campo magnético, enquanto T2 representa o tempo que leva para a perda de coerência entre os spins. Esses tempos são características específicas de cada tecido e influenciam o contraste na imagem de RM.
  • 147.
    Pulso de 90°:Alinhamento no Plano Transversal Ponto Nulo O "ponto nulo" ocorre quando o VME de uma substância cruza o plano transversal, resultando em um sinal mínimo ou nulo. Esse ponto é crucial para a realização de técnicas de RM como o FLAIR. Ação do Pulso de 90° Para detectar o sinal, um pulso de 90° é aplicado no ponto nulo. Esse pulso alinha o VME restante no plano transversal, permitindo a detecção do sinal por meio de uma antena receptora.
  • 148.
    Sequência Spin Echo(SE): Coleta de Dados A Sequência Spin Echo A sequência Spin Echo é um dos métodos mais comuns para coletar dados em RM. Ela envolve a aplicação de pulsos de RF específicos para gerar ecos de spins que são usados para construir a imagem. Utilização Após a Recuperação por Inversão A sequência SE é frequentemente utilizada após a recuperação por inversão (como na técnica FLAIR) para coletar dados e criar imagens que destacam diferenças de contraste entre os tecidos.
  • 149.
    Tempo de Inversão(TI): Controla o Contraste da Imagem Definição O tempo de inversão (TI) é o intervalo de tempo entre o pulso de 180° e o pulso de 90° na sequência de RM. O TI é um parâmetro crucial para a definição do contraste da imagem. Ajustando o Contraste A escolha do TI determina quais tecidos serão suprimidos ou realçados na imagem. Um TI curto suprime tecidos com tempo de relaxamento T1 curto, enquanto um TI longo suprime tecidos com tempo de relaxamento T1 longo.
  • 150.
    FLAIR: Suprimindo oSinal do LCR Princípio da Técnica FLAIR A sequência FLAIR (Fluid Attenuated Inversion Recovery), uma variação da sequência T2, é utilizada para suprimir o sinal do líquido cefalorraquidiano (LCR), tornando mais fácil identificar lesões próximas aos ventrículos ou outras áreas ricas em LCR. Aplicações da FLAIR A técnica FLAIR é particularmente útil na identificação de lesões na substância branca, como aquelas observadas em doenças desmielinizantes, bem como na detecção de edemas, infartos e outras anormalidades que podem não ser visíveis em outras sequências.
  • 151.
    FLAIR vs. T2:Uma Comparação Detalhada FLAIR A sequência FLAIR suprime o sinal do LCR, permitindo a visualização de lesões que poderiam ser obscurecidas pelo brilho do líquido nas imagens T2 convencionais. T2 Na imagem ponderada em T2, líquidos (como o LCR) aparecem brilhantes, e as lesões na substância branca também tendem a se destacar devido ao seu alto teor de água.
  • 152.
    FLAIR: Vantagens eAplicações Clínicas Características da FLAIR A sequência FLAIR é uma variação da sequência T2 que suprime o sinal do LCR, permitindo uma melhor visualização de lesões próximas aos ventrículos ou outras áreas ricas em LCR. Aplicações Clínicas A FLAIR é especialmente útil para detectar lesões na substância branca, edemas, infartos e outras anormalidades em áreas próximas aos ventrículos ou espaços ricos em LCR.
  • 153.
    T1: Anatomia Cerebrale Detalhes Características da T1 As imagens ponderadas em T1 apresentam o tecido cerebral de maneira mais anatômica e detalhada, com uma excelente resolução espacial. Diferentemente do T2, o líquido (LCR) aparece escuro, e a substância branca é mais brilhante que a substância cinzenta. Aplicações Clínicas A T1 é frequentemente usada para estudar a anatomia cerebral, identificar lesões com contraste (como tumores que captam contraste) e para exames pós- contraste onde agentes de contraste como o gadolínio são usados.
  • 154.
    FLAIR vs. T1:Uma Comparação Completa FLAIR A FLAIR é mais focada em destacar lesões em áreas onde há líquido, ao suprimir o sinal do LCR. É ideal para detectar lesões em áreas próximas ao líquido cefalorraquidiano. T1 A T1, por outro lado, é utilizada para oferecer uma visão clara e detalhada da anatomia cerebral, sendo a escolha preferida para estudos anatômicos e avaliação de lesões após a administração de contraste.
  • 155.
    FLAIR: Uma VisãoGeral 1 Uso em Exames de Crânio A sequência FLAIR é uma técnica de ressonância magnética utilizada principalmente em exames do crânio. 2 Suprimindo o Sinal do Líquido A FLAIR é uma variação da sequência T2, porém com um tempo de inversão (TI) longo, o que faz com que o líquido cefalorraquidiano (LCR) apareça preto na imagem (sem sinal). 3 Pulso de Inversão A técnica FLAIR utiliza um pulso de inversão para saturar o sinal do LCR, permitindo que as lesões na substância branca se destaquem mais claramente.
  • 156.
    FLAIR: Destacando Lesões Cerebrais 1Lesões Cerebrais Imagens de lesão no parênquima cerebral serão evidenciadas no FLAIR. 2 Importância no Estudo do Encéfalo A sequência FLAIR é considerada a mais importante no estudo do encéfalo, pois facilita a visualização de lesões e anormalidades.
  • 157.
    FLAIR e T2:Uma Comparação Visual FLAIR A sequência FLAIR suprime o sinal do LCR, permitindo a visualização de lesões que poderiam ser obscurecidas pelo brilho do líquido nas imagens T2 convencionais. T2 Na imagem ponderada em T2, líquidos (como o LCR) aparecem brilhantes, e as lesões na substância branca também tendem a se destacar devido ao seu alto teor de água.
  • 158.
    FLAIR e T1:Uma Análise Comparativa FLAIR A sequência FLAIR é ideal para detectar lesões em áreas próximas ao líquido cefalorraquidiano. T1 A T1 é utilizada para oferecer uma visão clara e detalhada da anatomia cerebral, sendo a escolha preferida para estudos anatômicos e avaliação de lesões após a administração de contraste.
  • 159.
    STIR: Suprimindo oSinal da Gordura 1 Tempo de Inversão Curto A técnica STIR (Short T1 Inversion Recovery) utiliza um tempo de inversão (TI) muito baixo, fazendo com que a gordura não dê sinal na imagem. 2 Aplicações em Musculoesquelético A STIR é excelente para o estudo musculoesquelético, pois evidencia muito bem as lesões com edemas e inflamações.
  • 160.
    STIR: Aplicações em Imagens Musculoesqueléticas 1Imagens de Ombro A STIR é utilizada para avaliar a presença de tendinite, ruptura do manguito rotador, bursite e outros problemas no ombro. 2 Imagens de Joelho A STIR é útil para identificar edemas no menisco, ligamentos cruzados, e outros problemas no joelho. 3 Imagens de Coluna A STIR é usada para detectar herniações discais, estenoses, e inflamação na medula espinhal.
  • 161.
    SPIR ou FAT-SAT: Suprimindoo Sinal da Gordura 1 Suprimindo o Sinal da Gordura A técnica SPIR (Spectral Presaturation with Inversion Recovery) ou FAT-SAT (Fat Saturation) suprime o sinal da gordura utilizando a présaturação espectral com IR. 2 Base da Técnica Essa técnica baseia-se na diferença de frequência entre a água e a gordura. A água e a gordura são lidas em tempos diferentes, permitindo a anulação do sinal da gordura.
  • 162.
    SPIR ou FAT-SAT:Vantagens e Limitações 1 Qualidade da Imagem A técnica SPIR ou FAT-SAT proporciona imagens de alta qualidade com melhor contraste entre tecidos. 2 Utilização na Rotina Pós-Contraste A técnica SPIR ou FAT-SAT é frequentemente usada na rotina pós-contraste, pois permite uma melhor visualização de lesões com contraste. 3 Susceptibilidade a Erros A técnica é suscetível a erros de gordurasaturação, especialmente em casos de inomogeneidade do campo magnético.
  • 163.
    Sequência de PulsosFLAIR: Analisando Detalhes 1 Recuperação por Inversão Convencional A técnica FLAIR (Fluid Attenuated Inversion Recovery) é baseada na recuperação por inversão convencional. 2 Anulação do Sinal do LCR O objetivo principal da FLAIR é anular o sinal do LCR, permitindo a visualização de lesões hiperintensas. 3 Delineamento de Lesões A FLAIR facilita o delineamento de lesões que se encontram em contato com sulcos ou ventrículos, áreas que normalmente contém LCR.
  • 164.
    Sequência de PulsosFLAIR: Desvendando o Mecanismo Recuperação por Inversão Convencional A técnica FLAIR (Fluid Attenuated Inversion Recovery) é baseada na recuperação por inversão convencional. Pulsos de Inversão A sequência FLAIR utiliza um pulso de inversão (180°) seguido de um tempo de inversão (TI) para saturar o sinal do LCR.
  • 165.
    FLAIR vs. FastSE: Uma Comparação de Eficácia Fast SE A sequência Fast SE (Fast Spin Echo) é uma técnica rápida de aquisição de imagens, mas pode ter menor contraste para visualizar lesões, especialmente aquelas próximas ao LCR. FLAIR A FLAIR é mais sensível para detectar lesões na substância branca, especialmente aquelas que se encontram próximas aos ventrículos ou outras áreas ricas em LCR.
  • 166.
    STIR: Suprimindo oSinal da Gordura 1 Tempo de Inversão Curto A técnica STIR (Short T1 Inversion Recovery) utiliza um tempo de inversão (TI) muito baixo, fazendo com que a gordura não dê sinal na imagem. 2 Detecção de Edema da Medula Óssea A STIR é uma técnica de ressonância magnética sensível para detectar edema da medula óssea, que pode ser um indicador de fratura oculta.
  • 167.
    STIR: Analisando oMecanismo da Sequência Recuperação por Inversão Convencional A técnica STIR (Short T1 Inversion Recovery) é baseada na recuperação por inversão convencional. Pulsos de Inversão A STIR utiliza um pulso de inversão (180°) seguido de um tempo de inversão (TI) curto, geralmente de 140 ms, para suprimir o sinal da gordura.
  • 168.
    STIR: Detectando Edemada Medula Óssea Edema da Medula Óssea A STIR é especialmente útil para detectar edema da medula óssea, que pode ser um indicador de fratura oculta ou outras lesões. Visualização de Lesões A STIR é capaz de destacar lesões com edema ou inflamação, facilitando o diagnóstico de diversas condições musculoesqueléticas.
  • 169.
    STIR: Comparando comoutras Sequências T1 (Fast SE) A sequência T1 é útil para avaliar a anatomia óssea e tecidual. STIR A STIR é mais sensível para detectar edema da medula óssea e inflamação, o que pode não ser tão evidente nas imagens T1.
  • 170.
    STIR: Aplicações em Diagnóstico 1Fraturas Ocultas A STIR é uma técnica valiosa para detectar fraturas ocultas, especialmente aquelas que não são visíveis em raio-x convencionais. 2 Inflamação e Edema A STIR é muito útil para avaliar a presença de inflamação e edema em tecidos moles, ligamentos e tendões. 3 Doenças Reumáticas A STIR é utilizada para diagnosticar e monitorar doenças reumáticas, como a artrite reumatóide.
  • 171.
    STIR: Aplicações em Diagnóstico Musculoesquelético 1Lesões Ligamentares A STIR é usada para avaliar a presença de lesões ligamentares, como ruptura do ligamento cruzado anterior. 2 Lesões Tendinosas A STIR é útil para detectar tendinite, ruptura do manguito rotador, e outras lesões tendinosas. 3 Doenças Osteocondrais A STIR é utilizada para diagnosticar e monitorar doenças osteocondrais, como a osteonecrose.
  • 172.
    STIR: Uma TécnicaEssencial em Diagnóstico 1 Imagens de Coluna A STIR é utilizada para avaliar a presença de hérnias de disco, estenoses, e outras patologias da coluna vertebral. 2 Imagens de Joelho A STIR é útil para identificar edemas no menisco, ligamentos cruzados, e outros problemas no joelho. 3 Imagens de Ombro A STIR é utilizada para avaliar a presença de tendinite, ruptura do manguito rotador, bursite e outros problemas no ombro.
  • 173.
    Qualidade da Imagemem Ressonância Magnética Relação Sinal-Ruído (RSR) A qualidade da imagem em ressonância magnética pode ser medida pela Relação Sinal-Ruído (RSR). Importância da RSR Quanto maior o valor da RSR, menor será a influência dos fatores que contribuem para a degradação da imagem.
  • 174.
    Ruído na Imagemde RM: Compreendendo a Degradação 1 O que é Ruído O ruído se caracteriza pela formação da imagem "granulada" que se sobrepõe à imagem real do objeto, dificultando a sua visualização. 2 Impacto na Qualidade Imagens com baixos valores de RSR são pobres em detalhes, por isso, estamos constantemente preocupados com os parâmetros que possam elevar esta relação.
  • 175.
    Fatores que Influenciama Relação Sinal-Ruído (RSR) 1 Campo Magnético Quanto maior o campo magnético (B0), maior a RSR. 2 Sensibilidade da Bobina Bobinas de RM com maior sensibilidade captam mais sinal, aumentando a RSR. 3 Movimento do Paciente O movimento do paciente durante a aquisição de imagens reduz a RSR.
  • 176.
    Campo Magnético (B0):Impacto na RSR Alinhamento dos Prótons Quanto maior o campo magnético, maior a quantidade de núcleos de hidrogênios que se alinharão com o campo. Sinal de RM Com mais hidrogênios "disponíveis", haverá um ganho proporcional no sinal gerado pelo paciente.
  • 177.
    Imagem Eco-Planar (EPI): UmaTécnica de Aquisição Rápida 1 Aquisição de Dados Rápida Em EPI, um único eco é usado para adquirir dados de todas as linhas de k-Space em um único TR. 2 Gradientes Codificadores Os gradientes codificadores de fase e frequência são ligados/desligados rapidamente.
  • 178.
    EPI: Vantagens eDesvantagens Vantagens A EPI é uma técnica rápida que minimiza artefatos de movimento e proporciona maior contraste. Desvantagens A EPI é mais suscetível a distorções causadas por inomogeneidades do campo magnético.
  • 179.
    EPI-SE: Combinação deEPI e Spin Echo 1 Aquisição Rápida A EPI-SE combina as vantagens da técnica EPI (aquisição rápida) com a qualidade da sequência Spin Echo. 2 Aplicações A EPI-SE é uma técnica de escolha para a Difusão e EPI-GRE (Gradient Echo).
  • 180.
    Vantagens do EPI: AbrangendoDiversas Aplicações 1 Aquisição Rápida O EPI permite a coleta de uma imagem completa em frações de segundo. 2 Redução de Artefatos de Movimento Como as imagens são capturadas rapidamente, há menos risco de artefatos causados pelo movimento do paciente.
  • 181.
    Desvantagens do EPI: ConsiderandoLimitações 1 Susceptibilidade a Artefatos A técnica é mais suscetível a distorções causadas por variações no campo magnético, especialmente em regiões com transições abruptas de diferentes materiais. 2 Menor Resolução Espacial Comparado a outras técnicas de RM, o EPI pode ter resolução espacial inferior, o que significa que as imagens podem ser menos detalhadas.
  • 182.
    EPI: Aplicações Clínicas 1Imagens Funcionais (fMRI) O EPI é a técnica mais comum usada na ressonância magnética funcional (fMRI), que mapeia a atividade cerebral detectando mudanças no fluxo sanguíneo. 2 Difusão (DWI) A DWI é uma técnica que medem a difusão das moléculas de água nos tecidos, sendo particularmente útil na detecção precoce de acidentes vasculares cerebrais (AVCs). 3 Perfusão (PWI) Em estudos de perfusão, o EPI é usado para avaliar o fluxo sanguíneo em órgãos, especialmente no cérebro, ajudando no diagnóstico de condições como tumores ou isquemia.
  • 183.
    Imagens de Mãose Pés: Analisando Detalhes Anatômicos Mão Esquerda Pé Esquerdo Mão Direita Pé Direito
  • 184.
    Sequência de Difusão:Medindo o Movimento da Água 1 Dois Pulsos de Gradiente A sequência de difusão utiliza dois pulsos de gradiente aplicados para avaliar o movimento de água nos tecidos. 2 Interpretação do Sinal Se não houver movimento de spins entre os pulsos, o sinal será forte (hipersinal). Se houver movimento, o sinal será fraco (hipossinal).
  • 185.
    Difusão: Aplicações Clínicas 1Diagnóstico de AVE Recente A sequência de difusão é fundamental no diagnóstico de AVE (acidente vascular cerebral) recente. 2 Avaliação da Difusão da Água A sequência de difusão mede a movimentação da água nos tecidos, que é influenciada pela estrutura celular e pelas condições do tecido.
  • 186.
    Sequência de Difusão: Desvendandoo Mecanismo 1 Alteração de Fase O primeiro pulso de gradiente altera as fases dos spins, ou seja, eles deixam de estar todos alinhados da mesma forma. 2 Re-alinhamento dos Spins O segundo pulso de gradiente tenta "desfazer" essa alteração de fase, alinhando novamente os spins.
  • 187.
    Difusão: O Movimentoda Água nos Tecidos 1 Difusão da Água Moléculas de água se movimentam e difundem no interior das células, no citoplasma, nas organelas e no espaço entre as células. 2 Restrição do Movimento O movimento da água no interior das células é restrito devido às colisões com outras moléculas. 3 Difusão no Líquido Cefalorraquidiano (LCR) No LCR, a água se movimenta livremente, pois não há elementos que restrinjam seu movimento.
  • 188.
    Difusão: Interpretando oSinal 1 Hipossinal Se ocorrer movimento de spins entre os pulsos, os prótons não são afetados pelos gradientes, resultando em hipossinal. 2 Hipersinal Se nenhum movimento de spin ocorrer entre as aplicações dos pulsos de gradiente, o primeiro gradiente defasa e o segundo refasa os núcleos, resultando em hipersinal.
  • 189.
    Mapa de ADC:Quantificando a Difusão da Água 1 Coeficiente de Difusão Aparente (ADC) O Mapa de ADC (Coeficiente de Difusão Aparente) é uma medida quantitativa da difusão da água nos tecidos. 2 Difusão Restrita Em tecidos com difusão restrita, o ADC será baixo (hipossinal). 3 Difusão Livre Em tecidos com difusão livre, o ADC será alto (hipersinal).
  • 190.
    Mapa de ADC:Aplicações Clínicas 1 AVE Agudo Em um AVE agudo, o DWI mostrará hiperssinal e o mapa de ADC mostrará hipossinal. 2 AVE Subagudo Em um AVE subagudo, o DWI mostrará hiperssinal leve e o mapa de ADC mostrará hiperssinal moderado. 3 AVE Antigo Em um AVE antigo, o DWI mostrará hipossinal e o mapa de ADC mostrará hiperssinal.
  • 191.
    Mapa de ADC:Cálculo e Interpretação 1 Imagens DWI As imagens DWI são usadas para medir a difusão da água nos tecidos. 2 Cálculo do ADC A máquina de RM calcula o ADC usando os dados das imagens DWI. 3 Interpretação do Mapa de ADC Cada ponto no mapa de ADC representa o grau de difusão da água naquela região específica do tecido.
  • 192.
    Difusão: Influência da MicroestruturaTecidual 1 Tecido Normal Em tecidos normais, as moléculas de água se difundem livremente, resultando em alto ADC. 2 Aumento de Celularidade O aumento de celularidade diminui o espaço intercelular, restringindo a difusão e diminuindo o ADC. 3 Edema Intracelular O edema intracelular (edema citotóxico) diminui o espaço intersticial e restringe a difusão da água, diminuindo o ADC.
  • 193.
    Sequência de Difusão:Desvendando o Mecanismo Pulsos de Gradiente A sequência de difusão utiliza dois pulsos de gradiente aplicados para avaliar o movimento de água nos tecidos. Interpretação do Sinal Se não houver movimento de spins entre os pulsos, o sinal será forte (hipersinal). Se houver movimento, o sinal será fraco (hipossinal).
  • 194.
    FLAIR e Difusão:Diagnóstico de AVC Múltiplos FLAIR A sequência FLAIR é capaz de identificar áreas afetadas por AVC. Difusão e Mapa de ADC A sequência de difusão e o mapa de ADC permitem determinar a idade dos AVCs, diferenciando AVCs recentes, subagudos e antigos.
  • 195.
    Difusão: Detalhando asAplicações Clínicas Diagnóstico Precoce de AVE A difusão é uma técnica sensível para detectar AVE em estágio inicial, quando as lesões podem ser reversíveis. Avaliação da Difusão da Água A sequência de difusão mede a movimentação da água nos tecidos, que é influenciada pela estrutura celular e pelas condições do tecido.
  • 196.
    Perfusão: Medindo oFluxo Sanguíneo Cerebral 1 Aquisição em EPI A sequência de perfusão é adquirida em EPI. 2 Detecção de Isquemia Cerebral A perfusão é usada para visualizar áreas de menor aporte sanguíneo em casos de isquemia cerebral. 3 Trombólise A perfusão é importante para identificar lesões que podem ser reversíveis e permitir a trombólise posterior.
  • 197.
    Perfusão: Desvendando o ProcessoIsquêmico 1 Fase Inicial da Isquemia A perfusão é sensível para detectar áreas com baixa perfusão cerebral na fase inicial da isquemia. 2 Monitoramento da Isquemia A perfusão permite o monitoramento da evolução da isquemia cerebral.
  • 198.
    Perfusão: Avaliação da EstenoseCarotídea 1 Estenose Carotídea A perfusão é utilizada para avaliar a presença de estenose carotídea. 2 Redução do Fluxo Sanguíneo A perfusão detecta áreas com redução do fluxo sanguíneo, indicando a presença de estenose.
  • 199.
    Sequências In-Phase eOut- of-Phase: Detectando Gordura Microscópica 1 Gordura Microscópica As sequências In-Phase e Out-of-Phase são usadas para detectar gordura microscópica. 2 Frequências de Precessão Os núcleos de hidrogênio da gordura e da água precessam em diferentes frequências. 3 Anulação do Sinal Se gordura microscópica estiver presente, o sinal será anulado nas imagens Out-of-Phase.
  • 200.
    Sequências In-Phase eOut- of-Phase: Aplicações Clínicas 1 Diferenciando Adenomas e Carcinomas Adrenais As sequências In-Phase e Out-of-Phase são úteis para diferenciar adenomas adrenais de carcinomas adrenais. 2 Avaliação de Tumores Essas sequências podem ajudar a caracterizar tumores e determinar seu conteúdo de gordura.
  • 201.
    Fundamentos da RessonânciaMagnética: Uma Visão Geral 1 Transmissão de Energia de RF A máquina de RM emite pulsos de radiofrequência que são direcionados aos prótons (geralmente os núcleos de hidrogénio no corpo). 2 Absorção de Energia Os prótons absorvem essa energia e entram em "ressonância", ou seja, vibram na mesma frequência. 3 Reemissão de Energia Após um tempo, esses prótons retornam ao seu estado original, emitindo a energia absorvida. 4 Captação dos Sinais Antenas especiais na máquina captam esses sinais emitidos pelos prótons. 5 Processamento e Criação da Imagem A máquina processa esses sinais para criar imagens detalhadas das estruturas internas do corpo.
  • 202.
    Resumo: Técnicas deRM e Aplicações 1 T1 A sequência T1 é ideal para avaliar a anatomia cerebral, identificar lesões com contraste e para exames pós-contraste. 2 T2 A sequência T2 destaca o líquido com brilho intenso e é útil para detectar lesões que apresentam aumento de água. 3 FLAIR A FLAIR suprime o sinal do LCR, permitindo a visualização de lesões próximas aos ventrículos ou outras áreas ricas em LCR. 4 STIR A STIR suprime o sinal da gordura, sendo útil para detectar edema da medula óssea, inflamações e outras patologias. 5 Difusão A sequência de difusão é fundamental no diagnóstico de AVE recente e na avaliação do movimento da água nos tecidos. 6 Perfusão A perfusão é utilizada para visualizar áreas de menor aporte sanguíneo, especialmente em casos de isquemia cerebral. 7 In-Phase e Out-of-Phase As sequências In-Phase e Out-of-Phase são usadas para detectar gordura microscópica e diferenciar tecidos com diferentes conteúdos de gordura.

Notas do Editor

  • #43 Ambos os parâmetros afetam contraste em imagens porque fornecem vários níveis de sensibilidade para diferenças no tempo de relaxamento entre vários tecidos. TR curto: detecção da diferenca no tempo de relaxamento da gordura e agua (rec T1 / mag long mais rapida na gordura, gordura vai ter recurado mag long em maior % que a agua) / TR longo nao detecta TE curto: nao consegue detectar diferencias nos tempos de declinio T2 da gordura e agua / TE longo: agua declinca T2 mais lentamente, logo sua mag transversal (que é responsável pelo sinal) será maior que o da gordura. TR longo e TE curto: diferenças na recuperação e declinio entre gordura e água não são distinguíveis, portanto, o contraste resulta predominantemente da diferença na densidade de protons entre os dois tipos de tecidos