Ressonância Magnética
Módulo Técnico Prático
Por: Arlindo Capucho
Técnico em Radiologia do corpo de Bombeiros do RJ (CBMERJ)
Operador de Ressonância Magnética da Polícia Militar do RJ (PMERJ)
Operador de Ressonância Magnética da Rede Lab´s Dor
Professor do Curso preparatório Domínio Público
Professor do Curso CETEB (Capacitação em Ressonância Magnética)
NEURÔNIO
Tipos de Neurônios:
São três os tipos de neurônios: Sensitivo, Motor e Interneurônio. Um neurônio sensitivo conduz
a informação da periferia em direção ao SNC, sendo também chamado neurônio aferente. Um
neurônio motor conduz informação do SNC em direção à periferia, sendo conhecido como
neurônio eferente. Os neurônios sensitivos e motores são encontrados tanto no SNC quanto no
SNP.
Função Sensitiva: os nervos sensitivos captam informações do meio interno e externo do
corpo e as conduzem ao SNC;Portanto, o sistema nervoso apresenta três funções básicas:
Função Integradora: a informação sensitiva trazida ao SNC é processada ou interpretada;
Função Motora: os nervos motores conduzem a informação do SNC em direção aos músculos
e às glândulas do corpo, levando as informações do SNC.
DENDRITOS
TERMINAL SINÁPTICO
...
..
DENDRITOS DENDRITOS
DIVISÃO DO SISTEMA NERVOSO
REPAREM QUE TODO SISTEMA NERVOSO
CENTRAL ESTÁ PROTEGIDO.
ANATOMIA DO ENCÉFALO
PRÓXIMO CAPÍTULO
ANATOMIA DO ENCÉFALO
ANATOMIA DO ENCÉFALO
PRINCIPAIS INDICAÇÕES DE
RM DE CRÂNIO
• CEFALÉIA
• AVC/AVE
• CRISE CONVULSIVA / EPILEPSIA
• SINCOPE
• DÉFICIT COGNITIVO (PERDA DE MEMÓRIA)
ALZEIMER
• CRISES GELÁSTICAS ( RISOS)
• TUMORES E METÁSTASES
• HIDROCEFALIA
• DOENÇA DESMIELINIZANTE (ESCLEROSE
MULTIPLA)
• NEUROCISTICERCOSE
POSICIONAMENTO
INICIANDO O EXAME
O LOCALIADOR (LOCALIZER, SURVEY, SCOUT...) É UMA IMAGEM
GROSSEIRA INICIAL GERALMENTE EM GRE UTILIZADA PARA AJUSTAR A
MARCAÇÃO DOS CORTES NA REGIÃO DE INTERSSE.
Protocolos Básicos
• Axial Flair
• Axial T1
• Axial T2
• Axial GRE
• Difusão
• Coronal T2
• Sagital T1
• GD à critério do Radiologista
• Sagital T1 3D ISOTRÓPICO após uso de GD
• Axial T1 após uso de GD
Espessura de corte 4 à 5 mm e GAP de 10 a 20% da espessura
Posição do paciente: Decúbito dorsal entrando com a cabeça com o "laser"
(luz vermelha) que marca o isocentro incidindo na glabela
ISOTRÓPICO / ISOTROPIA
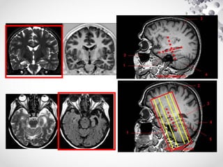
Orientação de Cortes Coronais
PLANOS:
SAGITAL - TOMA-SE POR REFERÊNCIA UMA LINHA QUE ACOMPANHA A PARTE
POSTERIOR DA PONTE (LINHA TRACEJADA)
AXIAL - TOMA-SE POR REFERÊNCIA UMA LINHA QUE ACOMPANHA A LINHA MÉDIA DO
ENCÉFALO OU FOICE CEREBRAL (LINHA TRACEJADA)
CORONAL - SUA IMAGEM REFERÊNCIA (FOV) OBSERVAR SE TOA ANATOMIA ESTÁ
DENTRO DO MESMO
Cortes Coronais
1 Giro reto.
2 Cavidade orbital.
3 Giro orbital.
LF Lobo frontal.
Cortes Coronais
1 Rostro, corpo caloso.
2 Ventrículo lateral.
3 Giro frontal superior.
4 giro temporal superior.
5 giro temporal médio.
Cortes Coronais
1 Hipocampo.
2 Núcleo caudado.
3 Corpo caloso.
4 Ventrículo lateral.
5 Terceiro ventrículo.
6 Cisterna Inter peduncular.
Cortes Coronais
1 Quarto ventrículo.
2 Pedúnculo cerebelar superior.
3 Ventrículo lateral.
4 fórnix.
5 Colículos.
6 Hemisfério cerebelar.
Cortes Coronais
1 Sulco calcarino.
2 Sulco subparietal.
3 sulco cingulado.
4 Hemisfério cerebelar.
Cortes Coronais
1 Sulco parieto-occipital.
2 Fissura inter-hemisférica.
3 Hemisfério cerebelar
Orientação de Cortes Axiais
Joelho ou corno
anterior do corpo
caloso
Esplênio ou corno
posterior do corpo
caloso
Orientação de Cortes Axiais
Espessura de corte 4 à 5 mm e GAP de 10 a 20% da espessura
Cortes Axiais
1 Bulbo ou medula oblonga.
2 Hemisfério cerebelar.
Cortes Axiais
1 Lobo temporal (direito).
2 Ponte.
3 Quarto ventrículo.
4 Hemisfério cerebelar.
Cortes Axiais
1 Vermis.
2 Artéria basilar.
3 globo ocular (direito).
4 úncus.
5 Ponte.
Cortes Axiais
1 pedúnculo cerebral.
2 Artéria cerebral média.
3 mesencéfalo.
4 Aqueduto cerebral.
Cortes Axiais
1 Insula.
2 Septum pellucidum.
3 Joelho, corpo caloso.
4 Núcleo caudado.
5 Ramo anterior da cápsula interna.
6 putâmen.
7 Tálamo.
8 Ramo do fórnix.
Cortes Axiais
1 Núcleo caudado.
2 Fissura inter-hemisférica.
3 Ventriculo lateral.
4 Esplênio, corpo caloso.
Cortes Axiais
1 Giro frontal superior.
2 Fissura inter-hemisférica.
3 Sulco frontal superior.
4 Giro pré-central.
5 giro pós-central.
6 Sulco central.
Orientação de Cortes Sagitais
PARA ORIENTAR A AQUISIÇÃO NO PLANO SAGITAL TOMAREMOS POR
ORIENTAÇÃO A LINHA MÉDIA DO ENCÉFALO
Cortes Sagitais
1 Joelho, corpo caloso.
2 Tronco, Corpo caloso.
3 Sulco cingulado .
4 Giro cingulado.
5 Esplênio, corpo caloso.
6 Cerebelo.
7 Bulbo ou medula oblonga.
8 Ponte.
Cortes Sagitais
1 Núcleo caudado.
2 Ventriculo lateral.
3 Sulco parieto-occippital.
4 Cerebelo.
Cortes Sagitais
1 Seio maxilar.
2 globo ocular.
3 Núcleo caudado.
4 Cerebelo.
5 Hipocampo.
Cortes Sagitais
1 Giro paraHipocampal.
2 globo ocular.
3 Núcleo caudado.
4 Ventriculo lateral.
5 Giro lingual.
6 Giro occipito-temporal medial.
Cortes Sagitais
1 Hipocampo.
2 Seio maxilar.
3 Sulco central.
4 Cerebelo.
Cortes Sagitais
1 Giro temporal inferior.
2 giro temporal médio.
3 giro temporal superior.
4 Sulco central.
5 Cerebelo.
DÉFICIT COGNITIVO / ALZHEIMER
PERDA DE MEMÓRIA
• PARA APROFUNDAR NO ESTUDO DESSA INDICAÇÃO
UTILIZAMOS UMA SEQUÊNCIA ADICIONAL E UMA
SEQUÊNCIA FUNCIONAL QUANDO SOLICITADO,ALÉM DO
PROTOCOLO BÁSICO.
• SEQUÊNCIA ADICIONAL
– T2 NO PLANO CORONAL ANGULADO PARA O HIPOCAMPO
Hipocampo é uma estrutura localizada nos lobos temporais do
cérebro humano, considerada a principal sede da memória, esta
estrutura é muito importante para converter a memória a curto
prazo em memória a longo prazo.
– SEQUÊNCIA FUNCIONAL UTILIZADA É A
ESPECTROSCOPIA SINGLE VOXEL DO GIRO POSTEIROR
DO CÍNGULO
HIPOCAMPO VISTA CORONAL
HIPOCAMPO VISTA SAGITAL
HIPOCAMPO VISTA AXIAL
GIRO DO CÍNGULO
ESPECTROSCOPIA SINGLE VOXEL
TUMORES E METÁSTASES
• NO EXAME DE RM PARA ESTUDO DE TUMEORES E MATASTASES
REALIZAMOS TODO ESTUDO DE ROTINA ACRESCENTANDO NO ESTUDO A
CRITÉRIO MÉDICO A ESPECTROSCOPIA MULTI-VOXEL E O ESTUDO
PERFUSIONAL DA LESÃO, ESTES ESTUDOS DEVERÃO SER ADOTADOS
APENAS EM LESÕES PRIMÁRIAS DO ENCÉFALO, NO CASO DE METÁSTASES
ALÉM DO ESTUDO DE ROTINA DEVEREMOS ACRESCENTAR UM CORONAL T1
COM SATURAÇÃO DE GORDURA (FAT SAT), PARA EXCLUIR A POSSIBILIDADE
DE LESÕES METASTÁTICAS NA CALOTA CRANIANA.
COLINA
Coronal T1 Fat Sat
FALANDO DE ESPECTROSCOPIA
• ESPECTRÓSCOPIA OU ERM FOI
APROVADA PELA FDA EM 1995, DESDE
ENTÃO VEM SENDO UTILIZADA COMO
TÉCNICA NÃO INVASIVA CAPAZ DE
OFERECER INFORMAÇÃO
BIOQUÍMICA/METABÓLICA SOBRE O
PARENQUIMA CEREBRAL NORMAL E
SOBRE VÁRIOS PROCESSOS
PATOLÓGICOS.
FALANDO DE ESPECTROSCOPIA
PERFUSÃO
SIGNIFICADO:
1 - MEDICINA introdução lenta e contínua de um líquido
terapêutico na circulação sanguínea
2 -MEDICINA passagem de um líquido através de um
órgão
• O estudo de perfusão cerebral permite a
avaliação da microcirculação encefálica por
meio da aquisição de imagens muito rápidas de
ressonância magnética (EPI) durante a injeção
intravenosa de contraste paramagnético
(gadolínio). A passagem desse agente altera o
sinal de RM, que pode ser estimado por meio da
análise comparativa com o tecido cerebral
normal.
• SÃO FEITA EM MÉDIA 50 AQUISIÇÕES DA
MESMA IMAGEM ACOMPANHANDO A
PERFUSÃO DO CONTRASTE (GADOLÍNIO)
ENCURTA O
TEMPO T2*
PERFUSÃO
• A INJEÇÃO DO MEIO DE CONTRASTE
(GD) É FEITA À UMA DOSE DE 0,2
ML/KG DE PESO E UMA VOLUME DE
5ML/S, SEGUIDO DE 20 ML DE
SOLUÇÃO SALINA,
PREFERNCIALMENTE ATRAVEZ DE
BOMBA INJETORA.
MAPAS DE PERFUSÃO
TTP
CBV
MTT MTT – Mean transit time
Em quanto tempo o sangue passa
Pelo tecido (fist-pass).
CBV – Cerebral blood volume
Quantidade de contraste/sangue
em um volume de tecido.
TTP - Time to peak
O tempo que leva para chegar ao
pico de contraste.
( decaimento máximo de sinal)
CBF – Cerebral blood flow
Quantidade de contraste/sangue que
Passa em uma região por unidade de
Tempo.
CBF=CBV/MTT
MAPAS DE PERFUSÃO
Indicações ao uso de gadolínio
• Tumores
• Metástases
• Áreas de infarto
• Análises vasculares
• Processos inflamatórios
• Placas de esclerose ativas
• Artro-RM
DIFUSÃO
• O princípio da imagem de RM ponderada na sequência
de difusão (DWI) diz respeito ao movimento ao acaso,
também conhecido como movimento "browniano" dos
prótons das moléculas de água através dos tecidos
biológicos
TRACTOGRAFIA / ANISOTROPIA
FRACIONADA / MAPA DE F A (DTI)
TRACTOGRAFIA / ANISOTROPIA
FRACIONADA / MAPA DE F A (DTI)
Baseada na análise do movimento das moléculas de água
no tecido cerebral in vivo, a tractografia é uma moderna
técnica de ressonância magnética que mostra a posição, a
anatomia e a integridade dos tratos da substância branca no
encéfalo e na medula, conforme a direção de suas fibras
Paciente normal
As fibras nervosas são representados por faixas de cores, codificado para
indicar a direção da difusão.
anisotrópica em feixes nervosos:
Vermelho = esquerda para a direita.
Azul = cima para baixo.
Verde = anterior para posterior.
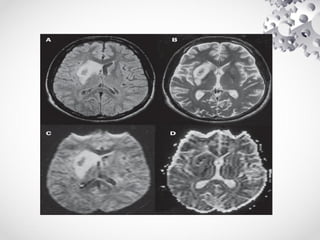
DOENÇA DESMIELINIZANTE /
ESCLEROSE MÚLTIPLA
• Esclerose múltipla (EM), ou esclerose em
placas, é uma doença desmielinizante de
etiologia ainda desconhecida, caracterizada
por uma reação inflamatória na qual são
danificadas as bainhas de mielina que
envolvem os axónios dos neurónios
cerebrais e medulares.
DENDRITOS
DOENÇA DESMIELINIZANTE /
ESCLEROSE MÚLTIPLA
Protocolos Básicos
• Axial Flair
• Sagital Flair (Grande Importância)
• Axial T1
• Axial T2
• Axial GRE
• Difusão
• Coronal T2
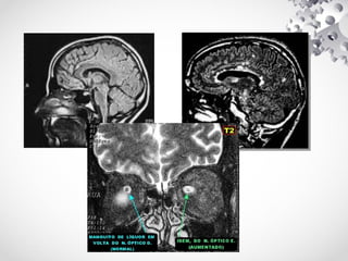
• Coronal T2 IR (Fino 3mm para nervo óptico)
• Sagital T1
• GD (Rotina)
• Axial T1 após uso de GD
Espessura de corte 4 à 5 mm e GAP de 10 a 20% da espessura
Posição do paciente: Decúbito dorsal entrando com a cabeça com o "laser"
(luz vermelha) que marca o isocentro incidindo na glabela
Coronal do
Nervo óptico
PRINCIPAIS INDICAÇÕES DE
RM DE MASTÓIDE
• ZUMBIDO
• TONTEIRAS
• ÂNGULO PONTO CEREBELAR
• SCHIWANNOMA
• CAI
• MASTÓIDE
Protocolos Básicos
• Axial Flair (Crânio todo)
• Axial T1 (Estudo do CAI 3mm)
• Axial T2 GRE ( 3D isotrópico do CAI)
• Difusão (crânio todo / CAI)
• Coronal T1 (Estudo do CAI 3mm)
• Coronal T2 (Estudo do CAI 3mm)
• GD (Rotina)
• Axial T1 após uso de GD (CAI)
• Coronal T1 após uso de GD (CAI )
• Axial T1 GD (Crânio todo) * Opcional
• Espessura de corte 3mm (CAI) ou 5 mm (Crânio)
• GAP de 10 a 20% da espessura
Posição do paciente: Decúbito dorsal entrando com a cabeça com o "laser"
(luz vermelha) que marca o isocentro incidindo na glabela
CAI-CONDUTO AUDITIVO
INTERNO
CAI-CONDUTO AUDITIVO
INTERNO
CAI-CONDUTO AUDITIVO
INTERNO
CAI-CONDUTO AUDITIVO
INTERNO
HIPÓFISE
A hipófise, ou glândula pituitária é uma glândula pequena que se divide em duas porções
distintas, os lobos anterior e posterior, e é localizada na base do cérebro.
A hipófise anterior, também conhecida como adeno-hipófise, secreta seis hormônios
peptídeos importantes, são eles:
O hormônio do crescimento;
A adrenocorticotropina;
O hormônio estimulante da tireóide;
A prolactina;
Dois homônios gonadotrópicos – o FSH e o LH;
A hipófise posterior, conhecida como neuro-hipófise, secreta dois hormônios:
O hormônio antidiurético
A ocitocina
PRINCIPAIS INDICAÇÕES DE
RM DE SELA
• MICRO ADENOMA DE HIPOFISE < 10mm
• MACRO ADENOMA DE HIPOFISE > 10mm
• PROLACTINOMA
• HIPERPROLACTINEMIA
• SELA VAZIA
• SELA PARCIALMENTE VAZIA
HIPÓFISE
Orientação dos cortes coronais
HIPÓFISE
Micro adenoma hipofisário = à estudo dinâmico
Micro Menor 10mm
HIPÓFISE
ESTUDO DINÂMICO
Macro não necessita estudo dinâmico
Protocolos Parkinson
• Axial Flair
• Axial T1
• Axial T2
• Axial GRE
• Difusão
• Coronal T2
• Sagital T1
• Axial Duplo Eco (DP / T2 ) Avaliar Substância Nigra
• GD à critério do Radiologista
• Sagital T1 3D ISOTRÓPICO após uso de GD
• Axial T1 após uso de GD
Espessura de corte 4 à 5 mm e GAP de 10 a 20% da espessura
Posição do paciente: Decúbito dorsal entrando com a cabeça com o "laser"
(luz vermelha) que marca o isocentro incidindo na glabela
Orientação de Cortes Axial fino Base
3mm de
espessura
A substância nigra é uma
porção heterogênea do
mesencéfalo responsável
pela produção de dopamina
no cérebro.
Parkinson
Protocolo Neurociticercose
• Axial Flair
• Axial T1
• Axial T2
• Axial GRE
• Difusão
• Axial t2 GRE 3D (Escolex)
• Coronal T2
• Sagital T1
• GD Rotina
• Sagital T1 3D ISOTRÓPICO após uso de GD
• Axial T1 após uso de GD
Espessura de corte 4 à 5 mm e GAP de 10 a 20% da espessura
Posição do paciente: Decúbito dorsal entrando com a cabeça com o "laser"
(luz vermelha) que marca o isocentro incidindo na glabela
Neurociticercose
Protocolos Fluxo Liquórico
• Axial Flair (Crânio todo)
• Axial T1
• Sagital T2 GRE ( Sobre o Aqueduto)
• Sagita DP (Flow Void)
• Difusão (crânio todo )
• Coronal T2 (crânio todo )
• Axial GRE (Qualitativo e Quantitativo)
• GD (Rotina)
• Axial T1 após uso de GD (CAI)
• Coronal T1 após uso de GD (CAI )
• Sagital 3D Isotrópico
• Espessura de corte 3mm (CAI) ou 5 mm (Crânio)
• GAP de 10 a 20% da espessura
Posição do paciente: Decúbito dorsal entrando com a cabeça com o "laser"
(luz vermelha) que marca o isocentro incidindo na glabela
FLUXO LIQUÓRICO
• Fornece informações sobre a velocidade e
sentido do fluxo liquórico. Permite o estudo
das hidrocefalias obstrutivas ou hidrocefalia
de pressão normal.
FLUXO LIQUÓRICO
TRIGGER/GATING
CARDIACO E PERIFÉRICO
FLUXO LIQUÓRICO
FLUXO LIQUÓRICO
Aqueduto de Sylvius
FLUXO LIQUÓRICO
FLUXO LIQUÓRICO
AQUEDUTO DE SYLVIUS
(CORTE AXIAL)
FLUXO LIQUÓRICO
RM Protocolo Crânio.pdfi muito bom esse material estudem

RM Protocolo Crânio.pdfi muito bom esse material estudem

  • 1.
    Ressonância Magnética Módulo TécnicoPrático Por: Arlindo Capucho Técnico em Radiologia do corpo de Bombeiros do RJ (CBMERJ) Operador de Ressonância Magnética da Polícia Militar do RJ (PMERJ) Operador de Ressonância Magnética da Rede Lab´s Dor Professor do Curso preparatório Domínio Público Professor do Curso CETEB (Capacitação em Ressonância Magnética)
  • 2.
    NEURÔNIO Tipos de Neurônios: Sãotrês os tipos de neurônios: Sensitivo, Motor e Interneurônio. Um neurônio sensitivo conduz a informação da periferia em direção ao SNC, sendo também chamado neurônio aferente. Um neurônio motor conduz informação do SNC em direção à periferia, sendo conhecido como neurônio eferente. Os neurônios sensitivos e motores são encontrados tanto no SNC quanto no SNP. Função Sensitiva: os nervos sensitivos captam informações do meio interno e externo do corpo e as conduzem ao SNC;Portanto, o sistema nervoso apresenta três funções básicas: Função Integradora: a informação sensitiva trazida ao SNC é processada ou interpretada; Função Motora: os nervos motores conduzem a informação do SNC em direção aos músculos e às glândulas do corpo, levando as informações do SNC. DENDRITOS
  • 3.
  • 4.
    DIVISÃO DO SISTEMANERVOSO REPAREM QUE TODO SISTEMA NERVOSO CENTRAL ESTÁ PROTEGIDO.
  • 5.
  • 6.
  • 7.
  • 8.
    PRINCIPAIS INDICAÇÕES DE RMDE CRÂNIO • CEFALÉIA • AVC/AVE • CRISE CONVULSIVA / EPILEPSIA • SINCOPE • DÉFICIT COGNITIVO (PERDA DE MEMÓRIA) ALZEIMER • CRISES GELÁSTICAS ( RISOS) • TUMORES E METÁSTASES • HIDROCEFALIA • DOENÇA DESMIELINIZANTE (ESCLEROSE MULTIPLA) • NEUROCISTICERCOSE
  • 9.
  • 10.
    INICIANDO O EXAME OLOCALIADOR (LOCALIZER, SURVEY, SCOUT...) É UMA IMAGEM GROSSEIRA INICIAL GERALMENTE EM GRE UTILIZADA PARA AJUSTAR A MARCAÇÃO DOS CORTES NA REGIÃO DE INTERSSE.
  • 11.
    Protocolos Básicos • AxialFlair • Axial T1 • Axial T2 • Axial GRE • Difusão • Coronal T2 • Sagital T1 • GD à critério do Radiologista • Sagital T1 3D ISOTRÓPICO após uso de GD • Axial T1 após uso de GD Espessura de corte 4 à 5 mm e GAP de 10 a 20% da espessura Posição do paciente: Decúbito dorsal entrando com a cabeça com o "laser" (luz vermelha) que marca o isocentro incidindo na glabela
  • 12.
  • 13.
    Orientação de CortesCoronais PLANOS: SAGITAL - TOMA-SE POR REFERÊNCIA UMA LINHA QUE ACOMPANHA A PARTE POSTERIOR DA PONTE (LINHA TRACEJADA) AXIAL - TOMA-SE POR REFERÊNCIA UMA LINHA QUE ACOMPANHA A LINHA MÉDIA DO ENCÉFALO OU FOICE CEREBRAL (LINHA TRACEJADA) CORONAL - SUA IMAGEM REFERÊNCIA (FOV) OBSERVAR SE TOA ANATOMIA ESTÁ DENTRO DO MESMO
  • 14.
    Cortes Coronais 1 Giroreto. 2 Cavidade orbital. 3 Giro orbital. LF Lobo frontal.
  • 15.
    Cortes Coronais 1 Rostro,corpo caloso. 2 Ventrículo lateral. 3 Giro frontal superior. 4 giro temporal superior. 5 giro temporal médio.
  • 16.
    Cortes Coronais 1 Hipocampo. 2Núcleo caudado. 3 Corpo caloso. 4 Ventrículo lateral. 5 Terceiro ventrículo. 6 Cisterna Inter peduncular.
  • 17.
    Cortes Coronais 1 Quartoventrículo. 2 Pedúnculo cerebelar superior. 3 Ventrículo lateral. 4 fórnix. 5 Colículos. 6 Hemisfério cerebelar.
  • 18.
    Cortes Coronais 1 Sulcocalcarino. 2 Sulco subparietal. 3 sulco cingulado. 4 Hemisfério cerebelar.
  • 19.
    Cortes Coronais 1 Sulcoparieto-occipital. 2 Fissura inter-hemisférica. 3 Hemisfério cerebelar
  • 20.
    Orientação de CortesAxiais Joelho ou corno anterior do corpo caloso Esplênio ou corno posterior do corpo caloso
  • 21.
    Orientação de CortesAxiais Espessura de corte 4 à 5 mm e GAP de 10 a 20% da espessura
  • 22.
    Cortes Axiais 1 Bulboou medula oblonga. 2 Hemisfério cerebelar.
  • 23.
    Cortes Axiais 1 Lobotemporal (direito). 2 Ponte. 3 Quarto ventrículo. 4 Hemisfério cerebelar.
  • 24.
    Cortes Axiais 1 Vermis. 2Artéria basilar. 3 globo ocular (direito). 4 úncus. 5 Ponte.
  • 25.
    Cortes Axiais 1 pedúnculocerebral. 2 Artéria cerebral média. 3 mesencéfalo. 4 Aqueduto cerebral.
  • 26.
    Cortes Axiais 1 Insula. 2Septum pellucidum. 3 Joelho, corpo caloso. 4 Núcleo caudado. 5 Ramo anterior da cápsula interna. 6 putâmen. 7 Tálamo. 8 Ramo do fórnix.
  • 27.
    Cortes Axiais 1 Núcleocaudado. 2 Fissura inter-hemisférica. 3 Ventriculo lateral. 4 Esplênio, corpo caloso.
  • 28.
    Cortes Axiais 1 Girofrontal superior. 2 Fissura inter-hemisférica. 3 Sulco frontal superior. 4 Giro pré-central. 5 giro pós-central. 6 Sulco central.
  • 29.
    Orientação de CortesSagitais PARA ORIENTAR A AQUISIÇÃO NO PLANO SAGITAL TOMAREMOS POR ORIENTAÇÃO A LINHA MÉDIA DO ENCÉFALO
  • 30.
    Cortes Sagitais 1 Joelho,corpo caloso. 2 Tronco, Corpo caloso. 3 Sulco cingulado . 4 Giro cingulado. 5 Esplênio, corpo caloso. 6 Cerebelo. 7 Bulbo ou medula oblonga. 8 Ponte.
  • 31.
    Cortes Sagitais 1 Núcleocaudado. 2 Ventriculo lateral. 3 Sulco parieto-occippital. 4 Cerebelo.
  • 32.
    Cortes Sagitais 1 Seiomaxilar. 2 globo ocular. 3 Núcleo caudado. 4 Cerebelo. 5 Hipocampo.
  • 33.
    Cortes Sagitais 1 GiroparaHipocampal. 2 globo ocular. 3 Núcleo caudado. 4 Ventriculo lateral. 5 Giro lingual. 6 Giro occipito-temporal medial.
  • 34.
    Cortes Sagitais 1 Hipocampo. 2Seio maxilar. 3 Sulco central. 4 Cerebelo.
  • 35.
    Cortes Sagitais 1 Girotemporal inferior. 2 giro temporal médio. 3 giro temporal superior. 4 Sulco central. 5 Cerebelo.
  • 36.
    DÉFICIT COGNITIVO /ALZHEIMER PERDA DE MEMÓRIA • PARA APROFUNDAR NO ESTUDO DESSA INDICAÇÃO UTILIZAMOS UMA SEQUÊNCIA ADICIONAL E UMA SEQUÊNCIA FUNCIONAL QUANDO SOLICITADO,ALÉM DO PROTOCOLO BÁSICO. • SEQUÊNCIA ADICIONAL – T2 NO PLANO CORONAL ANGULADO PARA O HIPOCAMPO Hipocampo é uma estrutura localizada nos lobos temporais do cérebro humano, considerada a principal sede da memória, esta estrutura é muito importante para converter a memória a curto prazo em memória a longo prazo. – SEQUÊNCIA FUNCIONAL UTILIZADA É A ESPECTROSCOPIA SINGLE VOXEL DO GIRO POSTEIROR DO CÍNGULO
  • 37.
    HIPOCAMPO VISTA CORONAL HIPOCAMPOVISTA SAGITAL HIPOCAMPO VISTA AXIAL
  • 39.
  • 40.
  • 41.
    TUMORES E METÁSTASES •NO EXAME DE RM PARA ESTUDO DE TUMEORES E MATASTASES REALIZAMOS TODO ESTUDO DE ROTINA ACRESCENTANDO NO ESTUDO A CRITÉRIO MÉDICO A ESPECTROSCOPIA MULTI-VOXEL E O ESTUDO PERFUSIONAL DA LESÃO, ESTES ESTUDOS DEVERÃO SER ADOTADOS APENAS EM LESÕES PRIMÁRIAS DO ENCÉFALO, NO CASO DE METÁSTASES ALÉM DO ESTUDO DE ROTINA DEVEREMOS ACRESCENTAR UM CORONAL T1 COM SATURAÇÃO DE GORDURA (FAT SAT), PARA EXCLUIR A POSSIBILIDADE DE LESÕES METASTÁTICAS NA CALOTA CRANIANA. COLINA
  • 42.
  • 43.
    FALANDO DE ESPECTROSCOPIA •ESPECTRÓSCOPIA OU ERM FOI APROVADA PELA FDA EM 1995, DESDE ENTÃO VEM SENDO UTILIZADA COMO TÉCNICA NÃO INVASIVA CAPAZ DE OFERECER INFORMAÇÃO BIOQUÍMICA/METABÓLICA SOBRE O PARENQUIMA CEREBRAL NORMAL E SOBRE VÁRIOS PROCESSOS PATOLÓGICOS.
  • 44.
  • 45.
    PERFUSÃO SIGNIFICADO: 1 - MEDICINAintrodução lenta e contínua de um líquido terapêutico na circulação sanguínea 2 -MEDICINA passagem de um líquido através de um órgão • O estudo de perfusão cerebral permite a avaliação da microcirculação encefálica por meio da aquisição de imagens muito rápidas de ressonância magnética (EPI) durante a injeção intravenosa de contraste paramagnético (gadolínio). A passagem desse agente altera o sinal de RM, que pode ser estimado por meio da análise comparativa com o tecido cerebral normal.
  • 46.
    • SÃO FEITAEM MÉDIA 50 AQUISIÇÕES DA MESMA IMAGEM ACOMPANHANDO A PERFUSÃO DO CONTRASTE (GADOLÍNIO) ENCURTA O TEMPO T2*
  • 47.
    PERFUSÃO • A INJEÇÃODO MEIO DE CONTRASTE (GD) É FEITA À UMA DOSE DE 0,2 ML/KG DE PESO E UMA VOLUME DE 5ML/S, SEGUIDO DE 20 ML DE SOLUÇÃO SALINA, PREFERNCIALMENTE ATRAVEZ DE BOMBA INJETORA.
  • 48.
    MAPAS DE PERFUSÃO TTP CBV MTTMTT – Mean transit time Em quanto tempo o sangue passa Pelo tecido (fist-pass). CBV – Cerebral blood volume Quantidade de contraste/sangue em um volume de tecido. TTP - Time to peak O tempo que leva para chegar ao pico de contraste. ( decaimento máximo de sinal) CBF – Cerebral blood flow Quantidade de contraste/sangue que Passa em uma região por unidade de Tempo. CBF=CBV/MTT
  • 49.
  • 50.
    Indicações ao usode gadolínio • Tumores • Metástases • Áreas de infarto • Análises vasculares • Processos inflamatórios • Placas de esclerose ativas • Artro-RM
  • 51.
    DIFUSÃO • O princípioda imagem de RM ponderada na sequência de difusão (DWI) diz respeito ao movimento ao acaso, também conhecido como movimento "browniano" dos prótons das moléculas de água através dos tecidos biológicos
  • 53.
  • 54.
    TRACTOGRAFIA / ANISOTROPIA FRACIONADA/ MAPA DE F A (DTI) Baseada na análise do movimento das moléculas de água no tecido cerebral in vivo, a tractografia é uma moderna técnica de ressonância magnética que mostra a posição, a anatomia e a integridade dos tratos da substância branca no encéfalo e na medula, conforme a direção de suas fibras
  • 55.
    Paciente normal As fibrasnervosas são representados por faixas de cores, codificado para indicar a direção da difusão. anisotrópica em feixes nervosos: Vermelho = esquerda para a direita. Azul = cima para baixo. Verde = anterior para posterior.
  • 56.
    DOENÇA DESMIELINIZANTE / ESCLEROSEMÚLTIPLA • Esclerose múltipla (EM), ou esclerose em placas, é uma doença desmielinizante de etiologia ainda desconhecida, caracterizada por uma reação inflamatória na qual são danificadas as bainhas de mielina que envolvem os axónios dos neurónios cerebrais e medulares.
  • 57.
  • 58.
    Protocolos Básicos • AxialFlair • Sagital Flair (Grande Importância) • Axial T1 • Axial T2 • Axial GRE • Difusão • Coronal T2 • Coronal T2 IR (Fino 3mm para nervo óptico) • Sagital T1 • GD (Rotina) • Axial T1 após uso de GD Espessura de corte 4 à 5 mm e GAP de 10 a 20% da espessura Posição do paciente: Decúbito dorsal entrando com a cabeça com o "laser" (luz vermelha) que marca o isocentro incidindo na glabela
  • 60.
  • 61.
    PRINCIPAIS INDICAÇÕES DE RMDE MASTÓIDE • ZUMBIDO • TONTEIRAS • ÂNGULO PONTO CEREBELAR • SCHIWANNOMA • CAI • MASTÓIDE
  • 62.
    Protocolos Básicos • AxialFlair (Crânio todo) • Axial T1 (Estudo do CAI 3mm) • Axial T2 GRE ( 3D isotrópico do CAI) • Difusão (crânio todo / CAI) • Coronal T1 (Estudo do CAI 3mm) • Coronal T2 (Estudo do CAI 3mm) • GD (Rotina) • Axial T1 após uso de GD (CAI) • Coronal T1 após uso de GD (CAI ) • Axial T1 GD (Crânio todo) * Opcional • Espessura de corte 3mm (CAI) ou 5 mm (Crânio) • GAP de 10 a 20% da espessura Posição do paciente: Decúbito dorsal entrando com a cabeça com o "laser" (luz vermelha) que marca o isocentro incidindo na glabela
  • 63.
  • 64.
  • 65.
  • 66.
  • 67.
    HIPÓFISE A hipófise, ouglândula pituitária é uma glândula pequena que se divide em duas porções distintas, os lobos anterior e posterior, e é localizada na base do cérebro. A hipófise anterior, também conhecida como adeno-hipófise, secreta seis hormônios peptídeos importantes, são eles: O hormônio do crescimento; A adrenocorticotropina; O hormônio estimulante da tireóide; A prolactina; Dois homônios gonadotrópicos – o FSH e o LH; A hipófise posterior, conhecida como neuro-hipófise, secreta dois hormônios: O hormônio antidiurético A ocitocina
  • 68.
    PRINCIPAIS INDICAÇÕES DE RMDE SELA • MICRO ADENOMA DE HIPOFISE < 10mm • MACRO ADENOMA DE HIPOFISE > 10mm • PROLACTINOMA • HIPERPROLACTINEMIA • SELA VAZIA • SELA PARCIALMENTE VAZIA
  • 69.
  • 71.
    HIPÓFISE Micro adenoma hipofisário= à estudo dinâmico Micro Menor 10mm
  • 72.
  • 73.
    Macro não necessitaestudo dinâmico
  • 74.
    Protocolos Parkinson • AxialFlair • Axial T1 • Axial T2 • Axial GRE • Difusão • Coronal T2 • Sagital T1 • Axial Duplo Eco (DP / T2 ) Avaliar Substância Nigra • GD à critério do Radiologista • Sagital T1 3D ISOTRÓPICO após uso de GD • Axial T1 após uso de GD Espessura de corte 4 à 5 mm e GAP de 10 a 20% da espessura Posição do paciente: Decúbito dorsal entrando com a cabeça com o "laser" (luz vermelha) que marca o isocentro incidindo na glabela
  • 75.
    Orientação de CortesAxial fino Base 3mm de espessura A substância nigra é uma porção heterogênea do mesencéfalo responsável pela produção de dopamina no cérebro.
  • 76.
  • 77.
    Protocolo Neurociticercose • AxialFlair • Axial T1 • Axial T2 • Axial GRE • Difusão • Axial t2 GRE 3D (Escolex) • Coronal T2 • Sagital T1 • GD Rotina • Sagital T1 3D ISOTRÓPICO após uso de GD • Axial T1 após uso de GD Espessura de corte 4 à 5 mm e GAP de 10 a 20% da espessura Posição do paciente: Decúbito dorsal entrando com a cabeça com o "laser" (luz vermelha) que marca o isocentro incidindo na glabela
  • 78.
  • 81.
    Protocolos Fluxo Liquórico •Axial Flair (Crânio todo) • Axial T1 • Sagital T2 GRE ( Sobre o Aqueduto) • Sagita DP (Flow Void) • Difusão (crânio todo ) • Coronal T2 (crânio todo ) • Axial GRE (Qualitativo e Quantitativo) • GD (Rotina) • Axial T1 após uso de GD (CAI) • Coronal T1 após uso de GD (CAI ) • Sagital 3D Isotrópico • Espessura de corte 3mm (CAI) ou 5 mm (Crânio) • GAP de 10 a 20% da espessura Posição do paciente: Decúbito dorsal entrando com a cabeça com o "laser" (luz vermelha) que marca o isocentro incidindo na glabela
  • 82.
    FLUXO LIQUÓRICO • Forneceinformações sobre a velocidade e sentido do fluxo liquórico. Permite o estudo das hidrocefalias obstrutivas ou hidrocefalia de pressão normal.
  • 83.
  • 84.
  • 85.
  • 86.
  • 87.
  • 88.
    AQUEDUTO DE SYLVIUS (CORTEAXIAL) FLUXO LIQUÓRICO