Núcleo celular: O centro de
comando.
Unidade 4 –
Pág 34
NÚCLEO
• O núcleo é o centro de coordenação das
atividades da célula.
• Em geral há um núcleo por célula; células
sem núcleo são apenas uma fase da vida; há
células binucleadas (paramécio) e
plurinucleadas (fibra muscular estriada
esquelética).
FASES DO NÚCLEO
• NÚCLEO INTERFÁSICO: é o núcleo da célula
no intervalo entre duas divisões celulares.
• É constituído de:
– Envoltório nuclear
– Cromatina
– Nucléolo
– Cariolinfa
• NÚCLEO EM DIVISÃO: é o núcleo durante a
divisão celular. Contém os cromossomos.
1. O NÚCLEO INTERFÁSICO
1. CARIOTECA
2. RIBOSOMOS
3. POROS
4. NUCLÉOLO
5. CROMATINA
6. NÚCLEO
7. RETÍCULO ENDOPLASMÁTICO
RUGOSO OU GRANULOSO
8. NUCLEOPLASMA
Envoltório nuclear: duas
membranas. A externa com
ribossomos e ligada ao R.E. R.
Em branco a cisterna
perinuclear. A membrana do lado
nuclear com a lâmina nuclear +
heterocromatina aderida.
Observar os poros do envoltório.
Áreas claras do núcleo:
eucromatina – ativa
geneticamente.
Áreas escuras:
heterocromatina – inativa
geneticamente.
Nucléolo – no centro – produtor
de ribossomos.
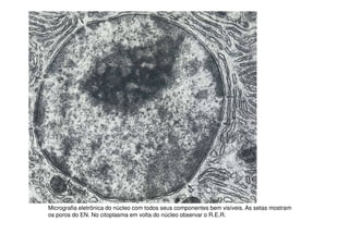
Micrografia eletrônica do núcleo com todos seus componentes bem visíveis. As setas mostram
os poros do EN. No citoplasma em volta do núcleo observar o R.E.R.
Poros
Ribossomos Mitocôndria
* Cada poro é rodeado de proteínas que controlam sua abertura
Cariolinfa
• É um material com aspecto gelatinoso que
preenche o núcleo. Contendo proteínas
(DNA polimerase, RNA polimerase,),
nucleotídeos, RNAt, RNAm e RNAr).
• Semelhante ao hialoplasma.
• Meio em que ocorrem reações químicas.
CROMATINA
• É um material de aspecto filamentoso,
constituído de DNA + histonas. O número
de filamentos é constante para cada
espécie (o mesmo de cromossomos). Na
mitose tornam-se condensados e visíveis
ao microscópio.
• Função: Contém as informações genéticas.
CROMATINA
• TIPOS:
– EUCROMATINA: é a cromatina com aspecto
claro ao microscópio. Menos condensada. É
geneticamente ativa (produz RNA).
– HETEROCROMATINA: é a cromatina com
aspecto escuro, é espiralizada e inativa
geneticamente.
Cromatina sexual ou Corpúsculo
de Barr
• Cromatina sexual, também chamado de
corpúsculo de Barr, é o nome dado ao
cromossomo X inativo e condensado das
células que constituem as fêmeas de
mamíferos.
Corpúsculo de Barr
NUCLÉOLO
• Tem aspecto de grânulo, mas não é
limitado por membrana. É o centro de
produção de ribossomos.
• São constituídos de RNAr e proteínas
vindas do citoplasma.
• Originam-se dos cromossomos
(organizadores nucleares).
Esquema do núcleo rodeado pelo envoltório nuclear. A área azul mais escura é o nucléolo onde se
observa a transcrição do DNA em RNAr e sua complexação com proteínas vindas do citoplasma para
formar as subunidades dos ribossomos que atravessam os poros do envoltório e no citoplasma unem-
se ao RNAm, iniciando o processo de Tradução.
Experiência de Balbiani: Importância
do núcleo.
CROMOSSOMOS
• Nas células que vão iniciar mitose ou
meiose, cada filamento de cromatina se
espiraliza tornando visível um
cromossomo, que atinge a condensação
máxima durante a metáfase;
(Durante essa etapa pode-se contar os cromossomos da célula)
ESTRUTURA DO CROMOSSOMO
• Todo cromossomo funcional apresenta as
seguintes estruturas durante as metáfase:
– Cromátides;
– Constrição primária ou centrômero;
– Constrição secundária;
– Telômero;
Formação de um cromossomo: Primeira figura (esquerda): filamento de cromatina com eucromatina (1)
e heterocromatina (2). Na fase S da interfase ocorre a replicação do DNA e o filamento de cromatina
aparece duplo (duas metades são cromátides). A terceira figura mostra o filamento de cromatina
espiralizado formando um cromossomo. Onde havia heterocromatina forma´-se constrições. A quarta
figura é o desenho de um cromossomo visto durante a metáfase.
TIPOS DE CROMOSSOMOS
• METACÊNTRICO: com os braços do mesmo comprimento
• SUBMETACÊNTRICO:braços de tamanhos diferentes.
• ACROCÊNTRICO: centrômero próximo à extremidade.
Podem ter regiões satélites.
• TELOCÊNTRICO: O centrômero fica na extremidade
(terminal). Encontrado somente em vegetais.
CARIÓTIPO
• Organização dos cromossomos homólogos em
pares, de acordo com o tipo e o tamanho.
• IMPORTÂNCIA: Verificar se há excesso ou
falta de cromossomos ou de partes de
cromossomos.
Cariótipo humano masculino. Observe as diferenças de tamanho e dos tipos de cromossomos e os
diferentes tipos. Par 1: metacêntrico. Submetacêntrico: pares 2 – 12. Acrocêntricos: pares 13, 14, 15,
21 e 22. Os cromossomos de cada par são HOMÓLOGOS.
• Todas as células do nosso corpo (exceto os
gametas) são diplóides, ou seja, possuem
dois cromossomos de cada tipo.
• Células com um cromossomo de cada tipo
(gametas com 23 cromossomos), são
classificadas haplóides.
Humanos
2n=46
n=23
Cromossomos
homólogos
Autossomos (somáticos) e heterossomos (sexuais)
Os cromossomos autossômicos (A): características
comuns aos dois sexos, enquanto os sexuais (X e Y)
são os responsáveis pelas características próprias de
cada sexo.
A formação de órgãos somáticos, tais como fígado,
baço, o estômago e outros, deve-se a genes
localizados nos autossomos.
22 PARES DE AUTOSSOMOS + XY =
MASCULINO
22 PARES DE AUTOSSOMOS + XX =
FEMININO
Microscopia Eletrônica do cromossomo X e Y.
Os cromossomos sexuais
O cromossomo Y é mais curto e possui menos genes que o
cromossomo X, além de conter uma porção encurtada, em que
existem genes exclusivos do sexo masculino. Observe na figura abaixo
que uma parte do cromossomo X não possui alelos em Y, isto é, entre
os dois cromossomos há uma região não-homóloga.
AÇÃO GÊNICA DO DNA
SÍNTESE DE PROTEÍNAS
RNAm- faz a TRANSCRIÇÃO
Leva a informação de 1 GENE do núcleo
para o citoplasma, onde ocorre a
tradução. Ele contém uma sequência de
trincas correspondente a uma das fitas do
DNA.
1 códon 3 nucleotídeos 1 aminoácido
7 códons 21 nucleotídeos
DNA Transcrição DNA RNA
RNAt- faz a TRADUÇÃO
Levam os aminoácidos para o RNAm durante o
processo de síntese protéica. Possuem trincas de
nucleotídeos, denominada anticódon.
É através do anticódon que o RNAt reconhece o
local do RNAm onde deve ser colocado o
aminoácido específico por ele transportado.
Anti-códon
Sítio de
ligação ao
aminoácido
U A C
Tradução
• Quando o RNAm chega ao citoplasma ele
se associa ao ribossomo. Após essa
associação os RNAt levam os
aminoácidos, que serão ligados, formando
assim a proteína.
RNAr
São componentes dos ribossomos.
Os ribossomos são formados por RNAr e
proteínas.
Formam os nucléolos.
A U G U U U C U U G A C C C C U G A
U A C AAA
• Quando o RNAm chega ao
citoplasma, ele se associa ao
ribossomo.
• Nessa organela existem 2 espaços
onde entram os RNAt com
aminoácidos específicos.
• somente os RNAt que têm
seqüência do anti-códon
complementar à seqüência do
códon .
A U G U U U C U U G A C C C C U G A
U A C AAA
• Uma enzima presente na
subunidade maior do ribossomo
realiza a ligação peptídica entre os
aminoácidos.
A U G U U U C U U G A C C C C U G A
U A C
AAA
• O RNAt “vazio” volta para o
citoplasma para se ligar a outro
aminoácido.
A U G U U U C U U G A C C C C U G A
U A C
AAA G AA
• O ribossomo agora se desloca a
distância de 1 códon.
• o espaço vazio é preenchido por
um outro RNAt com seqüência do
anti-códon complementar à
seqüência do códon.
A U G U U U C U U G A C C C C U G A
U A C
AAA G AA
• Uma enzima presente na
subunidade maior do ribossomo
realiza a ligação peptídica entre os
aminoácidos.
A U G U U U C U U G A C C C C U G A
U A C AAA
G AA
• O RNAt “vazio” volta para o
citoplasma para se ligar a outro
aminoácido.
• Assim o ribossomo vai se
deslocando ao longo do RNAm e os
aminoácidos são ligados.
A U G U U U C U U G A C C C C U G A
G G G
Códon de
terminação
• Quando o ribossomo passa por um
códon de terminação nenhum RNAt
entra no ribossomo, porque na célula
não existem RNAt com seqüências
complementares aos códons de
terminação.
A U G U U U C U U G A C C C C U G A
G G G
• Então o ribossomo se solta do
RNAm, a proteína recém formada é
liberada e o RNAm é degradado.
CLONAGEM
CLONAGEM REPRODUTIVA
CLONAGEM TERAPEUTICA
O objetivo desta técnica é
produzir células-tronco para o
tratamento de doenças e produção de
tecidos e órgãos para transplante. Esta
técnica é a esperança de cura de doenças
como diabetes, Parkinson e Alzheimer.

Núcleo celular e Síntese de proteínas

  • 1.
    Núcleo celular: Ocentro de comando. Unidade 4 – Pág 34
  • 2.
    NÚCLEO • O núcleoé o centro de coordenação das atividades da célula. • Em geral há um núcleo por célula; células sem núcleo são apenas uma fase da vida; há células binucleadas (paramécio) e plurinucleadas (fibra muscular estriada esquelética).
  • 3.
    FASES DO NÚCLEO •NÚCLEO INTERFÁSICO: é o núcleo da célula no intervalo entre duas divisões celulares. • É constituído de: – Envoltório nuclear – Cromatina – Nucléolo – Cariolinfa • NÚCLEO EM DIVISÃO: é o núcleo durante a divisão celular. Contém os cromossomos.
  • 4.
    1. O NÚCLEOINTERFÁSICO 1. CARIOTECA 2. RIBOSOMOS 3. POROS 4. NUCLÉOLO 5. CROMATINA 6. NÚCLEO 7. RETÍCULO ENDOPLASMÁTICO RUGOSO OU GRANULOSO 8. NUCLEOPLASMA
  • 5.
    Envoltório nuclear: duas membranas.A externa com ribossomos e ligada ao R.E. R. Em branco a cisterna perinuclear. A membrana do lado nuclear com a lâmina nuclear + heterocromatina aderida. Observar os poros do envoltório. Áreas claras do núcleo: eucromatina – ativa geneticamente. Áreas escuras: heterocromatina – inativa geneticamente. Nucléolo – no centro – produtor de ribossomos.
  • 6.
    Micrografia eletrônica donúcleo com todos seus componentes bem visíveis. As setas mostram os poros do EN. No citoplasma em volta do núcleo observar o R.E.R.
  • 7.
    Poros Ribossomos Mitocôndria * Cadaporo é rodeado de proteínas que controlam sua abertura
  • 8.
    Cariolinfa • É ummaterial com aspecto gelatinoso que preenche o núcleo. Contendo proteínas (DNA polimerase, RNA polimerase,), nucleotídeos, RNAt, RNAm e RNAr). • Semelhante ao hialoplasma. • Meio em que ocorrem reações químicas.
  • 9.
    CROMATINA • É ummaterial de aspecto filamentoso, constituído de DNA + histonas. O número de filamentos é constante para cada espécie (o mesmo de cromossomos). Na mitose tornam-se condensados e visíveis ao microscópio. • Função: Contém as informações genéticas.
  • 11.
    CROMATINA • TIPOS: – EUCROMATINA:é a cromatina com aspecto claro ao microscópio. Menos condensada. É geneticamente ativa (produz RNA). – HETEROCROMATINA: é a cromatina com aspecto escuro, é espiralizada e inativa geneticamente.
  • 12.
    Cromatina sexual ouCorpúsculo de Barr • Cromatina sexual, também chamado de corpúsculo de Barr, é o nome dado ao cromossomo X inativo e condensado das células que constituem as fêmeas de mamíferos. Corpúsculo de Barr
  • 13.
    NUCLÉOLO • Tem aspectode grânulo, mas não é limitado por membrana. É o centro de produção de ribossomos. • São constituídos de RNAr e proteínas vindas do citoplasma. • Originam-se dos cromossomos (organizadores nucleares).
  • 14.
    Esquema do núcleorodeado pelo envoltório nuclear. A área azul mais escura é o nucléolo onde se observa a transcrição do DNA em RNAr e sua complexação com proteínas vindas do citoplasma para formar as subunidades dos ribossomos que atravessam os poros do envoltório e no citoplasma unem- se ao RNAm, iniciando o processo de Tradução.
  • 15.
    Experiência de Balbiani:Importância do núcleo.
  • 16.
    CROMOSSOMOS • Nas célulasque vão iniciar mitose ou meiose, cada filamento de cromatina se espiraliza tornando visível um cromossomo, que atinge a condensação máxima durante a metáfase; (Durante essa etapa pode-se contar os cromossomos da célula)
  • 17.
    ESTRUTURA DO CROMOSSOMO •Todo cromossomo funcional apresenta as seguintes estruturas durante as metáfase: – Cromátides; – Constrição primária ou centrômero; – Constrição secundária; – Telômero;
  • 20.
    Formação de umcromossomo: Primeira figura (esquerda): filamento de cromatina com eucromatina (1) e heterocromatina (2). Na fase S da interfase ocorre a replicação do DNA e o filamento de cromatina aparece duplo (duas metades são cromátides). A terceira figura mostra o filamento de cromatina espiralizado formando um cromossomo. Onde havia heterocromatina forma´-se constrições. A quarta figura é o desenho de um cromossomo visto durante a metáfase.
  • 21.
    TIPOS DE CROMOSSOMOS •METACÊNTRICO: com os braços do mesmo comprimento • SUBMETACÊNTRICO:braços de tamanhos diferentes. • ACROCÊNTRICO: centrômero próximo à extremidade. Podem ter regiões satélites. • TELOCÊNTRICO: O centrômero fica na extremidade (terminal). Encontrado somente em vegetais.
  • 23.
    CARIÓTIPO • Organização doscromossomos homólogos em pares, de acordo com o tipo e o tamanho. • IMPORTÂNCIA: Verificar se há excesso ou falta de cromossomos ou de partes de cromossomos.
  • 24.
    Cariótipo humano masculino.Observe as diferenças de tamanho e dos tipos de cromossomos e os diferentes tipos. Par 1: metacêntrico. Submetacêntrico: pares 2 – 12. Acrocêntricos: pares 13, 14, 15, 21 e 22. Os cromossomos de cada par são HOMÓLOGOS.
  • 25.
    • Todas ascélulas do nosso corpo (exceto os gametas) são diplóides, ou seja, possuem dois cromossomos de cada tipo. • Células com um cromossomo de cada tipo (gametas com 23 cromossomos), são classificadas haplóides. Humanos 2n=46 n=23 Cromossomos homólogos
  • 26.
    Autossomos (somáticos) eheterossomos (sexuais) Os cromossomos autossômicos (A): características comuns aos dois sexos, enquanto os sexuais (X e Y) são os responsáveis pelas características próprias de cada sexo. A formação de órgãos somáticos, tais como fígado, baço, o estômago e outros, deve-se a genes localizados nos autossomos. 22 PARES DE AUTOSSOMOS + XY = MASCULINO 22 PARES DE AUTOSSOMOS + XX = FEMININO
  • 27.
    Microscopia Eletrônica docromossomo X e Y.
  • 28.
    Os cromossomos sexuais Ocromossomo Y é mais curto e possui menos genes que o cromossomo X, além de conter uma porção encurtada, em que existem genes exclusivos do sexo masculino. Observe na figura abaixo que uma parte do cromossomo X não possui alelos em Y, isto é, entre os dois cromossomos há uma região não-homóloga.
  • 29.
    AÇÃO GÊNICA DODNA SÍNTESE DE PROTEÍNAS
  • 30.
    RNAm- faz aTRANSCRIÇÃO Leva a informação de 1 GENE do núcleo para o citoplasma, onde ocorre a tradução. Ele contém uma sequência de trincas correspondente a uma das fitas do DNA.
  • 31.
    1 códon 3nucleotídeos 1 aminoácido 7 códons 21 nucleotídeos
  • 32.
  • 33.
    RNAt- faz aTRADUÇÃO Levam os aminoácidos para o RNAm durante o processo de síntese protéica. Possuem trincas de nucleotídeos, denominada anticódon. É através do anticódon que o RNAt reconhece o local do RNAm onde deve ser colocado o aminoácido específico por ele transportado.
  • 34.
  • 35.
    Tradução • Quando oRNAm chega ao citoplasma ele se associa ao ribossomo. Após essa associação os RNAt levam os aminoácidos, que serão ligados, formando assim a proteína.
  • 36.
    RNAr São componentes dosribossomos. Os ribossomos são formados por RNAr e proteínas. Formam os nucléolos.
  • 37.
    A U GU U U C U U G A C C C C U G A U A C AAA • Quando o RNAm chega ao citoplasma, ele se associa ao ribossomo. • Nessa organela existem 2 espaços onde entram os RNAt com aminoácidos específicos. • somente os RNAt que têm seqüência do anti-códon complementar à seqüência do códon .
  • 38.
    A U GU U U C U U G A C C C C U G A U A C AAA • Uma enzima presente na subunidade maior do ribossomo realiza a ligação peptídica entre os aminoácidos.
  • 39.
    A U GU U U C U U G A C C C C U G A U A C AAA • O RNAt “vazio” volta para o citoplasma para se ligar a outro aminoácido.
  • 40.
    A U GU U U C U U G A C C C C U G A U A C AAA G AA • O ribossomo agora se desloca a distância de 1 códon. • o espaço vazio é preenchido por um outro RNAt com seqüência do anti-códon complementar à seqüência do códon.
  • 41.
    A U GU U U C U U G A C C C C U G A U A C AAA G AA • Uma enzima presente na subunidade maior do ribossomo realiza a ligação peptídica entre os aminoácidos.
  • 42.
    A U GU U U C U U G A C C C C U G A U A C AAA G AA • O RNAt “vazio” volta para o citoplasma para se ligar a outro aminoácido. • Assim o ribossomo vai se deslocando ao longo do RNAm e os aminoácidos são ligados.
  • 43.
    A U GU U U C U U G A C C C C U G A G G G Códon de terminação • Quando o ribossomo passa por um códon de terminação nenhum RNAt entra no ribossomo, porque na célula não existem RNAt com seqüências complementares aos códons de terminação.
  • 44.
    A U GU U U C U U G A C C C C U G A G G G • Então o ribossomo se solta do RNAm, a proteína recém formada é liberada e o RNAm é degradado.
  • 46.
  • 48.
  • 49.
  • 50.
    O objetivo destatécnica é produzir células-tronco para o tratamento de doenças e produção de tecidos e órgãos para transplante. Esta técnica é a esperança de cura de doenças como diabetes, Parkinson e Alzheimer.